Endovascular management of post-pancreatectomy hemorrhage caused by a hepatic artery pseudoaneurysm: Case report and review of the literature
-
Ariadni Fouza
, Ioakeim Giagtzidis , Maria Sidiropoulou , Elissavet Symeonidou , Anna Maria Kouskoumvekaki , Maria Daoudaki, Panagiotis Petras
and Konstantinos Mpallas
Abstract
Pancreaticoduodenectomy is the standard surgical treatment for a range of malignant and some benign diseases. The mortality rate associated with this procedure has decreased to less than 3% in recent years, although the morbidity remains high at 6–40%. Common complications may include delayed gastric emptying, pancreatic fistula, intra-abdominal abscess, and gastrointestinal or intra-abdominal bleeding, among others. Bleeding and pseudoaneurysm formation are likely to be the most significant complications. This is a case report about gastrointestinal bleeding following a Whipple procedure from an aberrant hepatic artery originating from the superior mesenteric artery (SMA), treated by endovascular means. The SMA was cannulated under local anesthesia and direct puncture of the common femoral artery. Catheterization and angiogram of the aberrant right hepatic artery identified the pseudoaneurysm and bleeding site at its bifurcation. Coil embolization resulted in pseudoaneurysm occlusion and bleeding management. Hepatic perfusion was not affected as the main vasculature of the liver, namely the common hepatic artery, remained intact. The management of hemorrhage following pancreatectomy represents a significant challenge, particularly given the vulnerability of the patient cohort and the necessity for re-operation in an anatomically challenging environment. Endovascular intervention is the preferred method of treatment when applicable, as it can be performed under local anesthesia and is associated with less morbidity.
1 Introduction
Pancreaticoduodenectomy (PD, also known as the Whipple procedure) is the standard surgical intervention for a range of malignant diseases, including carcinoma of the head of the pancreas, duodenal carcinoma, terminal bile duct malignancies, as well as certain benign conditions such as pancreatitis. The mortality rate of this procedure has decreased to less than 3% in recent years; however, the morbidity rate remains high, at 6–40% [1,2,3].
Complications may include delayed gastric emptying, pancreatic fistula, intra-abdominal abscess, and gastrointestinal or intra-abdominal bleeding [4,5]. Bleeding is considered to be the most serious complication, occurring in 6–10% of cases and accounting for 11–38% of all-cause mortality [4]. Pseudoaneurysms can be formed in 28% of those cases requiring urgent treatment [4].
This study is a case report of endovascular management of a hepatic artery pseudoaneurysm and gastrointestinal bleeding following Whipple’s procedure and literature review.
2 Case report
A 72-year-old male patient underwent a PD and right hemicolectomy for a pancreatic head carcinoma that had invaded the transverse mesocolon. On the 13th postoperative day, the patient experienced an episode of gastrointestinal bleeding, which was attributed to the ileo-transverse anastomosis. A reoperation was performed, during which the ileo-transverse anastomosis was resected, and a terminal ileostomy was created. Eight days following the second operation, the patient once again presented in the emergency department with acute gastrointestinal bleeding and hemorrhagic shock. A CT angiography (CTA) was conducted, which demonstrated the presence of hyperdense material within the gastrointestinal tract, suggestive of blood, yet no evidence of contrast extravasation was observed. The patient was treated conservatively with the transfusion of 11 units of packed red blood cells and 8 units of fresh frozen plasma.
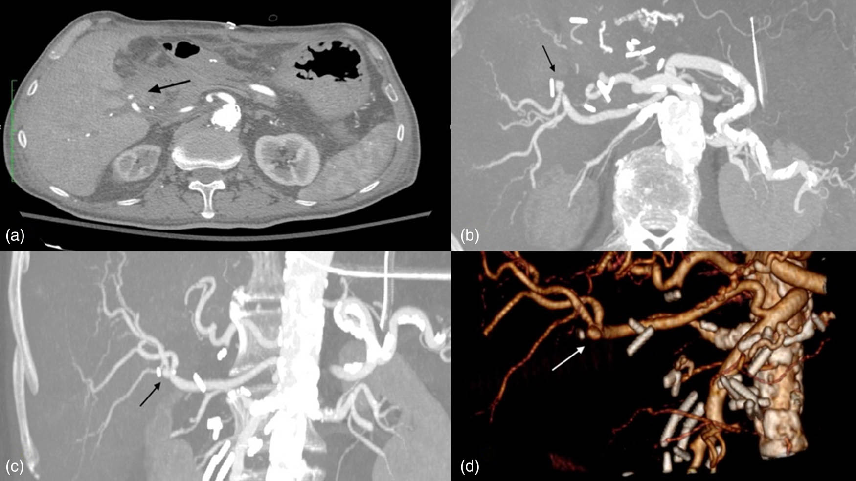
However, 2 days later, a more severe episode of gastrointestinal hemorrhage occurred. An urgent CTA was performed, which identified an aberrant right hepatic artery arising from the SMA and a pseudoaneurysm at its bifurcation (Figure 1) in close proximity to the hepaticojejunal anastomosis with a maximum diameter of 8 mm, without evidence of contrast extravasation (Figure 2).

Anatomy explanation from the 3D reconstructed image.

CTA. Arrows show hepatic artery pseudoaneurysm: (a) axial view, (b) axial MPR, (c) coronal MPR, (d) 3d reconstruction.
An endovascular approach was deemed the optimal strategy. The SMA was cannulated with the use of a “Simmons” catheter under local anesthesia and direct puncture of the common femoral artery. A 6Fr-45cm sheath was advanced, and an angiogram revealed the aberrant right hepatic artery, as well as the pseudoaneurysm at the bifurcation of the hepatic artery (Figure 3). The original 0.035-in. stiff wire was replaced with a 0.035-in. “Rosen” wire, and a 5Fr “Vertebral” catheter was advanced distally beyond the pseudoaneurysm. In order to seal the pseudoaneurysm and the right hepatic artery, six detachable coils were deployed (Interlock-18 Fibered IDC occlusion system, Boston Scientific, Marlborough USA) of various sizes (8 × 100 n = 2, 6 × 100 n = 1, 4 × 100 n = 2, 4 × 60 n = 1). Stent graft deployment was not considered, since the location of the pseudoaneurysm at the bifurcation of the aberrant hepatic artery did not provide an adequate landing zone and diameter mismatch between the hepatic artery and its branches. Final angiography demonstrated successful occlusion of the pseudoaneurysm, without compromise of liver blood supply from the coeliac artery (Figure 4).

Intra-op angiography. The arrow shows the contrast extravagation.

Final angiography with coils in place. No hemorrhage identified. Arrow indicates the previous site of extravagation.
The postoperative period was uneventful, with no further instances of bleeding, and the patient was discharged on the fourth postoperative day. The patient’s hepatic function was not affected postoperatively, as the maximum values of hepatic enzymes were SGOT 58U/L and SGPT 68U/L. In fact, hepatic enzymes reached the highest measurement 2 days before the operation (SGOT 298U/L, SGPT 156U/L, ALP 1007U/L, γGT 320U/L). The deterioration of hepatic function preoperatively was attributed to ischemia due to hemorrhagic shock. The patient developed no further bleeding episodes 6 months postoperatively.
-
Informed consent: Informed consent has been obtained from the patient’s caregivers.
-
Ethical approval: The research related to human use has been complied with all the relevant national regulations, institutional policies and in accordance with the tenets of the Helsinki Declaration, and has been approved by the authors' institutional review board or equivalent committee.
3 Discussion
Post-pancreatectomy hemorrhage (PPH) is a common complication of the postoperative period in patients, with a mortality rate of 20–50% [6]. There is currently no consensus on the optimal management of PPH. A consensus statement on the definition and further categorization of the condition has been published by the International Study Group of Pancreatic Surgery (ISGPS) [4].
In accordance with the ISGPS classification system, PPH is initially categorized as either early or late. Early hemorrhage refers to incidences occurring within the first 24 h postoperatively and are typically attributable to erroneous surgical technique or underlying coagulopathies. The most common sites for bleeding are the retroperitoneum or omental branches, and such patients are predominantly managed with re-laparotomy [5,7]. Late hemorrhage occurs after the first 24 h and is associated with elevated mortality, particularly when it occurs after the fifth postoperative day.
PPH is additionally classified as either mild or severe. A mild hemorrhage is defined as a medium blood loss, with a drop in hemoglobin of less than 3 g/dL, hemodynamic stability, and recommended conservative treatment. Severe hemorrhage is characterized by a drop in hemoglobin of more than 3 g/dL, clinical signs of hemodynamic instability, and strong recommendation for active bleeding control. It is important to make a specific reference to the term “sentinel bleeding,” which refers to a limited amount of blood loss in the peritoneal cavity or the gastrointestinal tract. This type of bleeding is not clinically significant, it is characterized by a drop in hemoglobin of less than 1.5 g/dL, and it is typically resolved spontaneously [5].
Additionally, post-pancreatectomy bleeding may occur within the lumen or extraluminally. Intraluminal bleeding is evidenced by the presence of blood within the nasogastric tube, hematemesis or melena. During the initial three postoperative days, the source of bleeding is predominantly the gastroenteric or enteroenteric anastomoses, which are managed endoscopically with the use of epinephrine or clipping [1]. After the third day, intraluminal bleeding is derived primarily from the pancreaticojejunostomy and is initially managed with interventional angiography [8]. The term “false” extraluminal bleeding, as defined by Yekebas and Wolfram, describes intraluminal bleeding from the pancreaticoenteric anastomosis that results in its secondary disruption and subsequent bleeding into the peritoneal cavity [5]. Secondary leakage of pancreatic enzymes can result in vascular erosion and the formation of arterial pseudoaneurysms. It has been demonstrated that extensive dissection during lymphadenectomy can render vessels more vulnerable to pancreatic enzymes [9]. It is important to note that bleeding from pseudoaneurysms can manifest as intraluminal hemorrhage, whereby blood can enter the lumen of the bowel through a disruption in the pancreaticoenteric or hepaticoenteric anastomosis [30]. This was also the case in our patient [1].
Special reference should also be made to the anatomy of our patient, as the presence of the aberrant hepatic artery, which derived from the SMA allowed us to safely embolize this vessel, without completely disrupting the arterial blood supply of the liver, as the common hepatic artery (CHA) and its branches were left intact. Complete occlusion of the hepatic arterial blood supply could lead to biliary necrosis or hepatic abscesses. Miura et al. mention that the dual blood supply of the liver along with its extensive collateral pathways protect the organ from ischemic infarction and that occlusion of the hepatic artery is often tolerated. However, 5 out of 15 patients analyzed in their study suffered from infarction [6]. Yoon et al. revealed a 30% incidence of abscesses after hepatic artery occlusion [31], and Kim et al. found that six out of seven patients of their series developed hepatic abscesses [32]. Hassold et al. report a 29–70% liver ischemia in their study [13].
4 Endovascular management as first-line therapy
CTA is a mandatory procedure that plays an important role in the diagnosis and identification of PPH origin. The endovascular approach appears to be a promising and viable alternative to open repair, offering a minimally invasive procedure that can be conducted under local anesthesia [10,30].
Vascular access is typically obtained through the common femoral artery or the left brachial artery, and visceral angiography of the abdomen is conducted to identify instances of extravasation or the formation of pseudoaneurysms [11,12]. The most common sources of bleeding are branches of the SMA, the gastroduodenal artery stump, and the CHA and its branches [6]. The management of bleeding is achieved through embolization and/or the placement of a covered stent [11,13]. The choice of embolization agent is dependent on the specific circumstances. Coils, as well as other liquid embolization agents such as NBCA (N-butyl-2-cyanocrylate) glue, gelfoam, or zein ethiodized coil, may be utilized in this process [14,15,20]. There is no randomized prospective study or meta-analysis that compares different coiling embolization techniques and materials for arterial trauma or pseudoaneurysms. A comparative study from 2021 for partial splenic embolization came under the conclusion that permanent embolic materials achieved better laboratory and radiological outcomes than gelatin sponge particles in cirrhotic hypersplenism patients [33].
A literature review was conducted on a series of patients with PPH who had been treated by endovascular means using the PubMed database. The data collected included the location of the bleeding (intra or extraluminal), whether angiography was applied, and the responsible vessels (Table 1). Additionally, the use of embolization agents or stents, technical success, recurrent bleeding, and re-intervention, as well as overall mortality, were documented (Table 1). Case reports and patient series that did not include the aforementioned information were excluded.
Literature review of studies with PPH
| Author, year | Patient with PPH | Intraluminal | Extraluminal | Angio graphy | Source of bleeding | Pseudo aneurysm | Embolization/coil/stent (n = number) | Success |
|---|---|---|---|---|---|---|---|---|
| Yekebas et al. (2007) [5] | 87 | 36 | 51 | 43 (49%) | HA (4) | 4 | Coil (n = 25) | 20 (80 %) |
| GDA/SPDA (12) | ||||||||
| SMA branches (14) | ||||||||
| SA branches (4) | ||||||||
| Xu et al. (2020) [10] | 17 | 17 | 14 | 17 (100%) | GDA (15) | 18 | Coil (n = 18) | 16 (94.1%) |
| HA (1) | ||||||||
| SA (1) | ||||||||
| Miura et al. (2007) [6] | 15 | NA | NA | 12 (80%) | SMA (4) | 5 | Coil (n = 13) | 6 (40 %) |
| SMA + CHA (1) | ||||||||
| HA (5) | ||||||||
| GDA (6) | ||||||||
| Correa-Gallego et al. (2012) [7] | 33 | 18 | 15 | 10 (30%) | HA (2) | 2 | Coil (n = 8) | 8 (100%) |
| GDA (4) | ||||||||
| SA (1) | ||||||||
| Pole branch of left renal artery (1) | ||||||||
| Unknown (2) | ||||||||
| Khalsa et al. (2015) [1] | 10 | 7 | 7 | 9 (90%) | GDA (4) | NA | Coil (n = 6), Stent (n = 3) | 8 (89%) |
| HA (2) | ||||||||
| Jejunal branches of the SMA (1) | ||||||||
| PDA (1) | ||||||||
| Inferior phrenic (1) | ||||||||
| Izumi et al. (2023) [11] | 6 | 2 | 4 | 6 (100%) | GDA (3) | 3 | Coil (n = 3), Stent (n = 3) | 5 (83%) |
| DPA (1) | ||||||||
| PHA (1) | ||||||||
| RHA (1) | ||||||||
| Pottier et al. (2015) [12] | 69 | 9 | 60 | 69 (100%) | SA (14) | 25 | Coil (n = 47), Stent (n = 6) | 51 (74%) |
| GDA (13) | ||||||||
| HA (8) | ||||||||
| LGA (4) | ||||||||
| Other (8) | ||||||||
| No target artery (22) | ||||||||
| Hassold et al. (2016) [13] | 27 | 27 (100%) | CHA (11) | 6 | Coil n = 11, Stent (n = 16) | 24 (89%) | ||
| GDA (5) | ||||||||
| PHA (4) | ||||||||
| SA (5) | ||||||||
| SMA (3) | ||||||||
| Right gastroepiploic (1) | ||||||||
| Ching et al. (2016) [14] | 28 | 8 | 30 | GDA (15) | 26 | Coil (n = 9), Stent (n = 25) | 37 (97.4%) | |
| SMA (8) | ||||||||
| HA (7) | ||||||||
| 38 Interventions- | SA (3) | |||||||
| PDA (3) | ||||||||
| RHA (2) | ||||||||
| Asari et al. (2016) [15] | 25 | 2 | 23 | 20 (80%) | CHA (5) | Unknown | Embolization (n = 25), Stent (n = 1) | 16 (80%) |
| PHA (3) | ||||||||
| GDA (4) | ||||||||
| SA (5) | ||||||||
| SMA (4) | ||||||||
| Unknown (5) | ||||||||
| Other (11) | ||||||||
| Beyer et al. (2009) [16] | 10 | 9 (90%) | GDA (5) | Unknown | Embolization (n = 8), Stent (n = 4) | 9 (100%) | ||
| Jejunal art. (2) | ||||||||
| SA (1) | ||||||||
| RGA (1) | ||||||||
| Darnis et al. (2013) [17] | 46 | 26 | 20 (2 of parietal origin) | 14 (30.4%) | SA (8) | Unknown | Embolization (n = 14) | 7 (50%) |
| GDA (3) | ||||||||
| Other (4) | ||||||||
| Unknown (3) | ||||||||
| Feng et al. (2014) [18] | 73 | 40 | 45 | 19 (35.2%) | GDA (7) | 9 | Embolization (n = 11), Stent (n = 1) | 9 (69.2%) |
| PHA (4) | ||||||||
| SMA (2) | ||||||||
| CT (2) | ||||||||
| CHA (1) | ||||||||
| SA (1) | ||||||||
| Other (2) | ||||||||
| Sanjay et al. (2012) [19] | 11 | 2 | 9 | 8 (73%) | CHA (3) | 6 | Embolization (n = 5), stent (n = 3) | 5 (62.5%) |
| GDA (2) | ||||||||
| SMA branches (2) | ||||||||
| SA (1) | ||||||||
| Huo et al. (2015) [20] | 21 | 15 | 11 | 18 (86%) | SMA (1) | Unknown | Embolization (n = 10), Stent (n = 8) | 15 (71.4%) |
| PHA (1) | ||||||||
| GDA (11) | ||||||||
| CHA (7) | ||||||||
| IPDA (1) | ||||||||
| SA (1) | ||||||||
| You et al. (2018) [21] | 66 | 24 | 17 | 62 (94%) | GDA (26) | 62 | Embolization (n = 30), Stent (n = 19) | 57 (92%) |
| PHA (16) | ||||||||
| CHA (14) | ||||||||
| SMA (9) | ||||||||
| Other (8) | ||||||||
| Choi et al. (2004) [22] | 22 | 10 | 12 | 16 (73%) | GDA (5) | 9 | Embolization (n = 14) | 8 (57%) |
| CHA (3) | ||||||||
| SMA (3) | ||||||||
| PHA (1) | ||||||||
| Other (2) | ||||||||
| Schäfer et al. (2010) [23] | 18 | 7 | 4 | 12 (67%) | SA (4) | Unknown | Embolization (n = 12), Stent (n = 3) | 10 (83%) |
| SMA (1) | ||||||||
| CHA (6) | ||||||||
| RHA (3) | ||||||||
| PHA (1) | ||||||||
| GDA (2) | ||||||||
| jejunal (1) | ||||||||
| Lee et al. (2010) [24] | 27 | 10 | 13 | 23 (85%) | GDA (11) | 23 | Embolization (n = 18), Stent (n = 2) | 18 (78.2%) |
| HA (8) | ||||||||
| Other (6) | ||||||||
| Makowiec et al. (2005) [25] | 12 | 7 | 5 | 10 (83%) | CHA (5) | Unknown | Embolization (n = 4), Coil (n = 2) | 6 (60%) |
| GDA (5) | ||||||||
| SA (1) | ||||||||
| PDA (1) | ||||||||
| Ansari et al. (2016) [26] | 19 | 12 | 11 | 10 (53%) | PHA (2) | Unknown | Embolization (n = 8), Coil (n = 2) | 8 (80%) |
| GDA (2) | ||||||||
| RHA (1) | ||||||||
| CHA (1) | ||||||||
| Other (2) | ||||||||
| Zhang et al. (2011) [27] | 14 | 4 | 10 | 11 (78.5%) | CHA (3) | Unknown | Embolization (n = 9) | 12 (85.7%) |
| RHA (1) | ||||||||
| LHA (2) | ||||||||
| CT (1) | ||||||||
| SA (2) | ||||||||
| GDA (4) | ||||||||
| Unknown (1) | ||||||||
| Asai et al. (2014) [28] | 32 | 28 | 18 | 32 (100%) | CHA/GDA (18) | Unknown | Embolization (n = 27), stent (n = 14) | 25 (78%) |
| SMA/IPDA (14) | ||||||||
| Stampfl et al. (2012) [29] | 25 | 7 | 18 | 25 (100%) | IPDA (1) | 8 | Embolization (n = 23) | 19 (83%) |
| SMA branches (3) | ||||||||
| GDA (7) | ||||||||
| Other (3) | ||||||||
| RHA (1) | ||||||||
| PHA (4) | ||||||||
| SA (4) | ||||||||
| Unknown (2) |
CHA: common hepatic artery, CT: celiac trunk, DPA: dorsal pancreatic artery, GDA: gastroduodenal artery, HA: hepatic artery, IPDA: inferior pancreaticoduodenal artery, LGA: left gastric artery, LHA: left hepatic artery, PDA: pancreaticoduodenal artery, PHA: proper hepatic artery, RHA: right hepatic artery, SA: splenic artery, SMA: superior mesenteric artery, SPDA: superior pancreaticoduodenal artery. “Embolization” is referred to usage of coiling and other embolization agents.
The review included 24 studies conducted between 2007 and 2023 involving 713 patients with PPH. Angiography was performed in 510 cases (80.2%), resulting in 483 interventional procedures (67.7%) with a success rate of 75.7% (range 40–100%). The remaining procedures were conducted for diagnostic purposes only. The most common source of bleeding was the gastroduodenal artery (38.9%), followed by the hepatic artery and its branches (32.9%). The majority of PPH cases were managed with embolization (n = 370, 76.6%), while 125 (25.8%) patients had been treated with a covered stent, either as a primary intervention or in conjunction with embolization. The overall incidence of recurrent bleeding and the necessity for re-intervention was, on average, 19% (range 0–50%), while the mortality rate was 15.1%. A recent systematic review and meta-analysis on PPH came up with similar findings from our review [30]. Specifically, the success rate of an endovascular approach was 61%, with a mortality rate of 16%, while with an open surgical procedure, the success rate dropped to 56%, and the mortality rate increased to 37% [30].
It is evident from the existing literature that an endovascular approach is preferable in PPH cases [21,28] as it allows for minimally invasive treatment of frail and unstable patients with satisfactory technical success and outcomes. In the event of recurrent bleeding, which is a common occurrence, the benefit of embolization and/or stenting is that it can be performed again without the need for access to a hostile abdomen, which in turn lowers mortality rates. However, the surgical approach offers simultaneous control of septic sources, such as intraabdominal collections arising from pancreatic fistulas, and hemostasis with sutures allows control of arterial bleeding without completely blocking the vessels [6].
Endovascular techniques include embolization as well as covered stents, as mentioned above. Stents offer an advantage, as they maintain the blood flow of the vessels. However, it can be challenging to choose the correct size of the stent, as undersizing can lead to endoleaks, and oversizing can lead to vessel rupture [13].
5 Conclusion
The management of hemorrhage following pancreatectomy represents a significant challenge, particularly given the vulnerable nature of the patient cohort and the necessity for re-operation in an anatomically challenging environment. Advancements in CT technology can identify potential pathologies with great accuracy, while the broader accessibility of endovascular treatment has improved morbidity and mortality rates. Endovascular intervention appears to be the preferred method of treatment when applicable, as it can be performed under local anesthesia and is associated with less morbidity. This case report presents a “how to guide” for similar cases, with the use of available and low-cost materials, that can be performed in most vascular units with quite a steep learning curve.
A systematic review and a meta-analysis would clarify the best treatment option, the ideal embolization agent, and postoperative management for this complex and lethal complication.
-
Funding information: Authors state no funding involved.
-
Author contributions: AF and IG conceptualized and designed the study, drafted the manuscript. MS contributed to data collection and analysis. ES, MK, and PP reviewed and edited the manuscript equally. MD, KM involved in study supervision, validation, and completion of all the required revisions.
-
Conflict of interest: Authors state no conflict of interest.
-
Data availability statement: The datasets generated during and/or analyzed during the current study are available from the corresponding author on reasonable request.
References
[1] Khalsa BS, Imagawa DK, Chen JI, Dermirjian AN, Yim DB, Findeiss LK. Evolution in the treatment of delayed postpancreatectomy hemorrhage: surgery to interventional radiology. Pancreas. 2015 Aug;44(6):953–8.10.1097/MPA.0000000000000347Search in Google Scholar PubMed
[2] Leichtle SW, Kaoutzanis C, Mouawad NJ, Welch KB, Lampman R, Hoshal VL, et al. Classic whipple versus pylorus-preserving pancreaticoduodenectomy in the ACS NSQIP. J Surg Res. 2013 Jul;183(1):170–6.10.1016/j.jss.2013.01.016Search in Google Scholar PubMed
[3] Campanile F, Maurea S, Mainenti P, Corvino A, Imbriaco M. Duodenal involvement by breast cancer. Breast J. 2012 Nov-Dec;18(6):615–6.10.1111/tbj.12034Search in Google Scholar PubMed
[4] Wente MN, Veit JA, Bassi C, Dervenis C, Fingerhut A, Gouma DJ, et al. Postpancreatectomy hemorrhage (PPH)–An International Study Group of Pancreatic Surgery (ISGPS) definition. Surgery. 2007 Jul;142(1):20–5.10.1016/j.surg.2007.02.001Search in Google Scholar PubMed
[5] Yekebas EF, Wolfram L, Cataldegirmen G, Habermann CR, Bogoevski D, Koenig AM, et al. Postpancreatectomy hemorrhage: diagnosis and treatment: an analysis in 1669 consecutive pancreatic resections. Ann Surg. 2007 Aug;6(2):269–80.10.1097/01.sla.0000262953.77735.dbSearch in Google Scholar PubMed PubMed Central
[6] Miura F, Asano T, Amano H, Yoshida M, Toyota N, Wada K, et al. Management of postoperative arterial hemorrhage after pancreato-biliary surgery according to the site of bleeding: re-laparotomy or interventional radiology. J Hepatobiliary Pancreat Surg. 2009 Jan;16(1):56–63.10.1007/s00534-008-0012-3Search in Google Scholar PubMed
[7] Correa-Gallego C, Brennan MF, D’Angelica MI, DeMatteo RP, Fong Y, Kingham PT, et al. Contemporary experience with postpancreatectomy hemorrhage: results of 1,122 patients resected between 2006 and 2011. J Am Coll Surg. 2012 Nov;215(5):616–21.10.1016/j.jamcollsurg.2012.07.010Search in Google Scholar PubMed
[8] Das S, Ray S, Mangla V, Mehrotra S, Lalwani S, Mehta N, et al. Post pancreatico-duodenectomy hemorrhage: A retrospective analysis of incidence, risk factors and outcome. Saudi J Gastroenterol. 2020;26(6):337.10.4103/sjg.SJG_145_20Search in Google Scholar PubMed PubMed Central
[9] De Castro SMM, Kuhlmann KFD, Busch ORC, Van Delden OM, Laméris JS, Van Gulik TM, et al. Delayed massive hemorrhage after pancreatic and biliary surgery: embolization or surgery? Ann Surg. 2005 Jan;241(1):85–91.10.1097/01.sla.0000150169.22834.13Search in Google Scholar PubMed PubMed Central
[10] Xu H, Jing C, Zhou J, Min X, Zhao J, Yang L, et al. Clinical efficacy of coil embolization in treating pseudoaneurysm post-Whipple operation. Exp Ther Med. 2020 Sep;20(5):1.10.3892/etm.2020.9164Search in Google Scholar PubMed PubMed Central
[11] Izumi H, Yoshii H, Fujino R, Takeo S, Nomura E, Mukai M, et al. Endovascular treatment of postoperative hemorrhage after pancreatectomy: a retrospective study. BMC Gastroenterol. 2023 Nov 7;23(1):379.10.1186/s12876-023-03022-9Search in Google Scholar PubMed PubMed Central
[12] Pottier E, Ronot M, Gaujoux S, Cesaretti M, Barbier L, Sauvanet A, et al. Endovascular management of delayed post-pancreatectomy haemorrhage. Eur Radiol. 2016 Oct;26(10):3456–65.10.1007/s00330-016-4213-xSearch in Google Scholar PubMed
[13] Hassold N, Wolfschmidt F, Dierks A, Klein I, Bley T, Kickuth R. Effectiveness and outcome of endovascular therapy for late-onset postpancreatectomy hemorrhage using covered stents and embolization. J Vasc Surg. 2016 Nov;64(5):1373–83.10.1016/j.jvs.2016.05.071Search in Google Scholar PubMed
[14] Ching KC, Santos E, McCluskey KM, Orons PD, Bandi R, Friend CJ, et al. Covered stents and coil embolization for treatment of postpancreatectomy arterial hemorrhage. J Vasc Interventional Radiol. 2016 Jan;27(1):73–9.10.1016/j.jvir.2015.09.024Search in Google Scholar PubMed
[15] Asari S, Matsumoto I, Toyama H, Yamaguchi M, Okada T, Shinzeki M, et al. Recommendation of treatment strategy for postpancreatectomy hemorrhage: Lessons from a single-center experience in 35 patients. Pancreatology. 2016 May;16(3):454–63.10.1016/j.pan.2016.02.003Search in Google Scholar PubMed
[16] Beyer L, Bonmardion R, Marciano S, Hartung O, Ramis O, Chabert L, et al. Results of non-operative therapy for delayed hemorrhage after pancreaticoduodenectomy. J Gastrointest Surg. 2009 May;13(5):922–8.10.1007/s11605-009-0818-6Search in Google Scholar PubMed
[17] Darnis B, Lebeau R, Chopin-Laly X, Adham M. Postpancreatectomy hemorrhage (PPH): predictors and management from a prospective database. Langenbecks Arch Surg. 2013 Mar;398(3):441–8.10.1007/s00423-013-1047-8Search in Google Scholar PubMed
[18] Feng J, Chen YL, Dong JH, Chen MY, Cai SW, Huang ZQ. Postpancreatico-duodenectomy hemorrhage risk factors, managements and outcomes. Hepatobiliary Pancreat Dis Int. 2014 Oct;13(5):513–22.10.1016/S1499-3872(14)60276-9Search in Google Scholar PubMed
[19] Sanjay P, Kellner M, Tait IS. The role of interventional radiology in the management of surgical complications after pancreatoduodenectomy. HPB. 2012 Nov;14(12):812–7.10.1111/j.1477-2574.2012.00545.xSearch in Google Scholar PubMed PubMed Central
[20] Huo Y, Chi J, Zhang J, Liu W, Liu D, Li J, et al. Endovascular intervention for delayed postpancreaticoduodenectomy hemorrhage: clinical features and outcomes of transcatheter arterial embolization and covered stent placement. Int J Clin Exp Med. 2015 May;8(5):7457–66.Search in Google Scholar
[21] You Y, Choi SH, Choi DW, Heo JS, Han IW, Han S, et al. Long-term clinical outcomes after endovascular management of ruptured pseudoaneurysm in patients undergoing pancreaticoduodenectomy. Ann Surg Treat Res. 2019;96(5):237.10.4174/astr.2019.96.5.237Search in Google Scholar PubMed PubMed Central
[22] Choi SH, Moon HJ, Heo JS, Joh JW, Kim YI. Delayed hemorrhage after pancreaticoduodenectomy. J Am Coll Surg. 2004 Aug;199(2):186–91.10.1016/j.jamcollsurg.2004.04.005Search in Google Scholar PubMed
[23] Schäfer M, Heinrich S, Pfammatter T, Clavien PA. Management of delayed major visceral arterial bleeding after pancreatic surgery. HPB. 2011 Feb;13(2):132–8.10.1111/j.1477-2574.2010.00260.xSearch in Google Scholar PubMed PubMed Central
[24] Lee HG, Heo JS, Choi SH, Choi DW. Management of bleeding from pseudoaneurysms following pancreaticoduodenectomy. WJG. 2010;16(10):1239.10.3748/wjg.v16.i10.1239Search in Google Scholar PubMed PubMed Central
[25] Makowiec F, Riediger H, Euringer W, Uhl M, Hopt UT, Adam U. Management of delayed visceral arterial bleeding after pancreatic head resection. J Gastrointest Surg. 2005 Dec;9(9):1293–9.10.1016/j.gassur.2005.08.003Search in Google Scholar PubMed
[26] Ansari D, Tingstedt B, Lindell G, Keussen I, Ansari D, Andersson R. Hemorrhage after major pancreatic resection: incidence, risk factors, management, and outcome. Scand J Surg. 2017 Mar;106(1):47–53.10.1177/1457496916631854Search in Google Scholar PubMed
[27] Zhang J, Zhu X, Chen H, Qian HG, Leng JH, Qiu H, et al. Management of delayed post pancreatico-duodenectomy arterial bleeding: interventional radiological treatment first. Pancreatology. 2011 Jan;11(5):455–63.10.1159/000331456Search in Google Scholar PubMed
[28] Asai K, Zaydfudim V, Truty M, Reid-Lombardo KM, Kendrick M, Que F, et al. Management of a delayed post pancreato-duodenectomy haemorrhage using endovascular techniques. HPB. 2015 Oct;17(10):902–8.10.1111/hpb.12464Search in Google Scholar PubMed PubMed Central
[29] Stampfl U, Hackert T, Sommer CM, Klauss M, Bellemann N, Siebert S, et al. Superselective embolization for the management of postpancreatectomy hemorrhage: a single-center experience in 25 patients. J Vasc Interventional Radiol. 2012 Apr;23(4):504–10.10.1016/j.jvir.2011.12.013Search in Google Scholar PubMed
[30] Floortje van Oosten A, Smits FJ, Van Den Heuvel DAF, Van Santvoort HC, Molenaar IQ. Diagnosis and management of postpancreatectomy hemorrhage: a systematic review and meta-analysis. HPB. 2019 Aug;21(8):953–61.10.1016/j.hpb.2019.02.011Search in Google Scholar PubMed
[31] Yoon YS, Kim SW, Her KH, Park YC, Ahn YJ, Jang JY, et al. Management of postoperative hemorrhage after pancreatoduodenectomy. Hepatogastroenterology. 2003;50:2208–12.Search in Google Scholar
[32] Kim W, Clark TW, Baum RA, Soulen MC. Risk factors for liver abscess formation after hepatic chemoembolization. J Vasc Interv Radiol. 2001;12:965–8.10.1016/S1051-0443(07)61577-2Search in Google Scholar
[33] Zaitoun MMA, Basha MAA, Elsayed SB, El Deen DS, Zaitoun NA, Alturkistani H, et al. Comparison of three embolic materials at partial splenic artery embolization for hypersplenism: clinical, laboratory, and radiological outcomes. Insights Imaging. 2021 Jun;12(1):85.10.1186/s13244-021-01030-5Search in Google Scholar PubMed PubMed Central
© 2025 the author(s), published by De Gruyter
This work is licensed under the Creative Commons Attribution 4.0 International License.
Articles in the same Issue
- Safety assessment and modulation of hepatic CYP3A4 and UGT enzymes by Glycyrrhiza glabra aqueous extract in female Sprague–Dawley rats
- Adult-onset Still’s disease with hemophagocytic lymphohistiocytosis and minimal change disease
- Role of DZ2002 in reducing corneal graft rejection in rats by influencing Th17 activation via inhibition of the PI3K/AKT pathway and downregulation of TRAF1
- Biomedical Sciences
- Mechanism of triptolide regulating proliferation and apoptosis of hepatoma cells by inhibiting JAK/STAT pathway
- Maslinic acid improves mitochondrial function and inhibits oxidative stress and autophagy in human gastric smooth muscle cells
- Comparative analysis of inflammatory biomarkers for the diagnosis of neonatal sepsis: IL-6, IL-8, SAA, CRP, and PCT
- Post-pandemic insights on COVID-19 and premature ovarian insufficiency
- Proteome differences of dental stem cells between permanent and deciduous teeth by data-independent acquisition proteomics
- Optimizing a modified cetyltrimethylammonium bromide protocol for fungal DNA extraction: Insights from multilocus gene amplification
- Preliminary analysis of the role of small hepatitis B surface proteins mutations in the pathogenesis of occult hepatitis B infection via the endoplasmic reticulum stress-induced UPR-ERAD pathway
- Efficacy of alginate-coated gold nanoparticles against antibiotics-resistant Staphylococcus and Streptococcus pathogens of acne origins
- Battling COVID-19 leveraging nanobiotechnology: Gold and silver nanoparticle–B-escin conjugates as SARS-CoV-2 inhibitors
- Neurodegenerative diseases and neuroinflammation-induced apoptosis
- Impact of fracture fixation surgery on cognitive function and the gut microbiota in mice with a history of stroke
- COLEC10: A potential tumor suppressor and prognostic biomarker in hepatocellular carcinoma through modulation of EMT and PI3K-AKT pathways
- High-temperature requirement serine protease A2 inhibitor UCF-101 ameliorates damaged neurons in traumatic brain-injured rats by the AMPK/NF-κB pathway
- SIK1 inhibits IL-1β-stimulated cartilage apoptosis and inflammation in vitro through the CRTC2/CREB1 signaling
- Rutin–chitooligosaccharide complex: Comprehensive evaluation of its anti-inflammatory and analgesic properties in vitro and in vivo
- Knockdown of Aurora kinase B alleviates high glucose-triggered trophoblast cells damage and inflammation during gestational diabetes
- Calcium-sensing receptors promoted Homer1 expression and osteogenic differentiation in bone marrow mesenchymal stem cells
- ABI3BP can inhibit the proliferation, invasion, and epithelial–mesenchymal transition of non-small-cell lung cancer cells
- Changes in blood glucose and metabolism in hyperuricemia mice
- Rapid detection of the GJB2 c.235delC mutation based on CRISPR-Cas13a combined with lateral flow dipstick
- IL-11 promotes Ang II-induced autophagy inhibition and mitochondrial dysfunction in atrial fibroblasts
- Short-chain fatty acid attenuates intestinal inflammation by regulation of gut microbial composition in antibiotic-associated diarrhea
- Application of metagenomic next-generation sequencing in the diagnosis of pathogens in patients with diabetes complicated by community-acquired pneumonia
- NAT10 promotes radiotherapy resistance in non-small cell lung cancer by regulating KPNB1-mediated PD-L1 nuclear translocation
- Phytol-mixed micelles alleviate dexamethasone-induced osteoporosis in zebrafish: Activation of the MMP3–OPN–MAPK pathway-mediating bone remodeling
- Association between TGF-β1 and β-catenin expression in the vaginal wall of patients with pelvic organ prolapse
- Primary pleomorphic liposarcoma involving bilateral ovaries: Case report and literature review
- Effects of de novo donor-specific Class I and II antibodies on graft outcomes after liver transplantation: A pilot cohort study
- Sleep architecture in Alzheimer’s disease continuum: The deep sleep question
- Ephedra fragilis plant extract: A groundbreaking corrosion inhibitor for mild steel in acidic environments – electrochemical, EDX, DFT, and Monte Carlo studies
- Langerhans cell histiocytosis in an adult patient with upper jaw and pulmonary involvement: A case report
- Inhibition of mast cell activation by Jaranol-targeted Pirin ameliorates allergic responses in mouse allergic rhinitis
- Aeromonas veronii-induced septic arthritis of the hip in a child with acute lymphoblastic leukemia
- Clusterin activates the heat shock response via the PI3K/Akt pathway to protect cardiomyocytes from high-temperature-induced apoptosis
- Research progress on fecal microbiota transplantation in tumor prevention and treatment
- Low-pressure exposure influences the development of HAPE
- Stigmasterol alleviates endplate chondrocyte degeneration through inducing mitophagy by enhancing PINK1 mRNA acetylation via the ESR1/NAT10 axis
- AKAP12, mediated by transcription factor 21, inhibits cell proliferation, metastasis, and glycolysis in lung squamous cell carcinoma
- Association between PAX9 or MSX1 gene polymorphism and tooth agenesis risk: A meta-analysis
- A case of bloodstream infection caused by Neisseria gonorrhoeae
- Case of nasopharyngeal tuberculosis complicated with cervical lymph node and pulmonary tuberculosis
- p-Cymene inhibits pro-fibrotic and inflammatory mediators to prevent hepatic dysfunction
- GFPT2 promotes paclitaxel resistance in epithelial ovarian cancer cells via activating NF-κB signaling pathway
- Transfer RNA-derived fragment tRF-36 modulates varicose vein progression via human vascular smooth muscle cell Notch signaling
- RTA-408 attenuates the hepatic ischemia reperfusion injury in mice possibly by activating the Nrf2/HO-1 signaling pathway
- Decreased serum TIMP4 levels in patients with rheumatoid arthritis
- Sirt1 protects lupus nephritis by inhibiting the NLRP3 signaling pathway in human glomerular mesangial cells
- Sodium butyrate aids brain injury repair in neonatal rats
- Interaction of MTHFR polymorphism with PAX1 methylation in cervical cancer
- Convallatoxin inhibits proliferation and angiogenesis of glioma cells via regulating JAK/STAT3 pathway
- The effect of the PKR inhibitor, 2-aminopurine, on the replication of influenza A virus, and segment 8 mRNA splicing
- Effects of Ire1 gene on virulence and pathogenicity of Candida albicans
- Small cell lung cancer with small intestinal metastasis: Case report and literature review
- GRB14: A prognostic biomarker driving tumor progression in gastric cancer through the PI3K/AKT signaling pathway by interacting with COBLL1
- 15-Lipoxygenase-2 deficiency induces foam cell formation that can be restored by salidroside through the inhibition of arachidonic acid effects
- FTO alleviated the diabetic nephropathy progression by regulating the N6-methyladenosine levels of DACT1
- Clinical relevance of inflammatory markers in the evaluation of severity of ulcerative colitis: A retrospective study
- Zinc valproic acid complex promotes osteoblast differentiation and exhibits anti-osteoporotic potential
- Primary pulmonary synovial sarcoma in the bronchial cavity: A case report
- Metagenomic next-generation sequencing of alveolar lavage fluid improves the detection of pulmonary infection
- Uterine tumor resembling ovarian sex cord tumor with extensive rhabdoid differentiation: A case report
- Genomic analysis of a novel ST11(PR34365) Clostridioides difficile strain isolated from the human fecal of a CDI patient in Guizhou, China
- Effects of tiered cardiac rehabilitation on CRP, TNF-α, and physical endurance in older adults with coronary heart disease
- Changes in T-lymphocyte subpopulations in patients with colorectal cancer before and after acupoint catgut embedding acupuncture observation
- Modulating the tumor microenvironment: The role of traditional Chinese medicine in improving lung cancer treatment
- Alterations of metabolites related to microbiota–gut–brain axis in plasma of colon cancer, esophageal cancer, stomach cancer, and lung cancer patients
- Research on individualized drug sensitivity detection technology based on bio-3D printing technology for precision treatment of gastrointestinal stromal tumors
- CEBPB promotes ulcerative colitis-associated colorectal cancer by stimulating tumor growth and activating the NF-κB/STAT3 signaling pathway
- Oncolytic bacteria: A revolutionary approach to cancer therapy
- A de novo meningioma with rapid growth: A possible malignancy imposter?
- Diagnosis of secondary tuberculosis infection in an asymptomatic elderly with cancer using next-generation sequencing: Case report
- Hesperidin and its zinc(ii) complex enhance osteoblast differentiation and bone formation: In vitro and in vivo evaluations
- Research progress on the regulation of autophagy in cardiovascular diseases by chemokines
- Anti-arthritic, immunomodulatory, and inflammatory regulation by the benzimidazole derivative BMZ-AD: Insights from an FCA-induced rat model
- Immunoassay for pyruvate kinase M1/2 as an Alzheimer’s biomarker in CSF
- The role of HDAC11 in age-related hearing loss: Mechanisms and therapeutic implications
- Evaluation and application analysis of animal models of PIPNP based on data mining
- Therapeutic approaches for liver fibrosis/cirrhosis by targeting pyroptosis
- Fabrication of zinc oxide nanoparticles using Ruellia tuberosa leaf extract induces apoptosis through P53 and STAT3 signalling pathways in prostate cancer cells
- Haplo-hematopoietic stem cell transplantation and immunoradiotherapy for severe aplastic anemia complicated with nasopharyngeal carcinoma: A case report
- Modulation of the KEAP1-NRF2 pathway by Erianin: A novel approach to reduce psoriasiform inflammation and inflammatory signaling
- The expression of epidermal growth factor receptor 2 and its relationship with tumor-infiltrating lymphocytes and clinical pathological features in breast cancer patients
- Innovations in MALDI-TOF Mass Spectrometry: Bridging modern diagnostics and historical insights
- BAP1 complexes with YY1 and RBBP7 and its downstream targets in ccRCC cells
- Hypereosinophilic syndrome with elevated IgG4 and T-cell clonality: A report of two cases
- Electroacupuncture alleviates sciatic nerve injury in sciatica rats by regulating BDNF and NGF levels, myelin sheath degradation, and autophagy
- Polydatin prevents cholesterol gallstone formation by regulating cholesterol metabolism via PPAR-γ signaling
- RNF144A and RNF144B: Important molecules for health
- Analysis of the detection rate and related factors of thyroid nodules in the healthy population
- Artesunate inhibits hepatocellular carcinoma cell migration and invasion through OGA-mediated O-GlcNAcylation of ZEB1
- Endovascular management of post-pancreatectomy hemorrhage caused by a hepatic artery pseudoaneurysm: Case report and review of the literature
- Efficacy and safety of anti-PD-1/PD-L1 antibodies in patients with relapsed refractory diffuse large B-cell lymphoma: A meta-analysis
- SATB2 promotes humeral fracture healing in rats by activating the PI3K/AKT pathway
- Overexpression of the ferroptosis-related gene, NFS1, corresponds to gastric cancer growth and tumor immune infiltration
- Understanding risk factors and prognosis in diabetic foot ulcers
- Atractylenolide I alleviates the experimental allergic response in mice by suppressing TLR4/NF-kB/NLRP3 signalling
- FBXO31 inhibits the stemness characteristics of CD147 (+) melanoma stem cells
- Immune molecule diagnostics in colorectal cancer: CCL2 and CXCL11
- Inhibiting CXCR6 promotes senescence of activated hepatic stellate cells with limited proinflammatory SASP to attenuate hepatic fibrosis
- Cadmium toxicity, health risk and its remediation using low-cost biochar adsorbents
- Pulmonary cryptococcosis with headache as the first presentation: A case report
- Solitary pulmonary metastasis with cystic airspaces in colon cancer: A rare case report
- RUNX1 promotes denervation-induced muscle atrophy by activating the JUNB/NF-κB pathway and driving M1 macrophage polarization
- Morphometric analysis and immunobiological investigation of Indigofera oblongifolia on the infected lung with Plasmodium chabaudi
- The NuA4/TIP60 histone-modifying complex and Hr78 modulate the Lobe2 mutant eye phenotype
- Experimental study on salmon demineralized bone matrix loaded with recombinant human bone morphogenetic protein-2: In vitro and in vivo study
- A case of IgA nephropathy treated with a combination of telitacicept and half-dose glucocorticoids
- Analgesic and toxicological evaluation of cannabidiol-rich Moroccan Cannabis sativa L. (Khardala variety) extract: Evidence from an in vivo and in silico study
- Wound healing and signaling pathways
- Combination of immunotherapy and whole-brain radiotherapy on prognosis of patients with multiple brain metastases: A retrospective cohort study
- To explore the relationship between endometrial hyperemia and polycystic ovary syndrome
- Research progress on the impact of curcumin on immune responses in breast cancer
- Biogenic Cu/Ni nanotherapeutics from Descurainia sophia (L.) Webb ex Prantl seeds for the treatment of lung cancer
- Dapagliflozin attenuates atrial fibrosis via the HMGB1/RAGE pathway in atrial fibrillation rats
- Glycitein alleviates inflammation and apoptosis in keratinocytes via ROS-associated PI3K–Akt signalling pathway
- ADH5 inhibits proliferation but promotes EMT in non-small cell lung cancer cell through activating Smad2/Smad3
- Apoptotic efficacies of AgNPs formulated by Syzygium aromaticum leaf extract on 32D-FLT3-ITD human leukemia cell line with PI3K/AKT/mTOR signaling pathway
- Novel cuproptosis-related genes C1QBP and PFKP identified as prognostic and therapeutic targets in lung adenocarcinoma
- Bee venom promotes exosome secretion and alters miRNA cargo in T cells
- Treatment of pure red cell aplasia in a chronic kidney disease patient with roxadustat: A case report
- Comparative bioinformatics analysis of the Wnt pathway in breast cancer: Selection of novel biomarker panels associated with ER status
- Kynurenine facilitates renal cell carcinoma progression by suppressing M2 macrophage pyroptosis through inhibition of CASP1 cleavage
- RFX5 promotes the growth, motility, and inhibits apoptosis of gastric adenocarcinoma cells through the SIRT1/AMPK axis
- ALKBH5 exacerbates early cardiac damage after radiotherapy for breast cancer via m6A demethylation of TLR4
- Phytochemicals of Roman chamomile: Antioxidant, anti-aging, and whitening activities of distillation residues
- Circadian gene Cry1 inhibits the tumorigenicity of hepatocellular carcinoma by the BAX/BCL2-mediated apoptosis pathway
- The TNFR-RIPK1/RIPK3 signalling pathway mediates the effect of lanthanum on necroptosis of nerve cells
- Longitudinal monitoring of autoantibody dynamics in patients with early-stage non-small-cell lung cancer undergoing surgery
- The potential role of rutin, a flavonoid, in the management of cancer through modulation of cell signaling pathways
- Construction of pectinase gene engineering microbe and its application in tobacco sheets
- Construction of a microbial abundance prognostic scoring model based on intratumoral microbial data for predicting the prognosis of lung squamous cell carcinoma
- Sepsis complicated by haemophagocytic lymphohistiocytosis triggered by methicillin-resistant Staphylococcus aureus and human herpesvirus 8 in an immunocompromised elderly patient: A case report
- Sarcopenia in liver transplantation: A comprehensive bibliometric study of current research trends and future directions
- Advances in cancer immunotherapy and future directions in personalized medicine
- Can coronavirus disease 2019 affect male fertility or cause spontaneous abortion? A two-sample Mendelian randomization analysis
- Heat stroke associated with novel leukaemia inhibitory factor receptor gene variant in a Chinese infant
- PSME2 exacerbates ulcerative colitis by disrupting intestinal barrier function and promoting autophagy-dependent inflammation
- Hyperosmolar hyperglycemic state with severe hypernatremia coexisting with central diabetes insipidus: A case report and literature review
- Efficacy and mechanism of escin in improving the tissue microenvironment of blood vessel walls via anti-inflammatory and anticoagulant effects: Implications for clinical practice
- Merkel cell carcinoma: Clinicopathological analysis of three patients and literature review
- Genetic variants in VWF exon 26 and their implications for type 1 Von Willebrand disease in a Saudi Arabian population
- Lipoxin A4 improves myocardial ischemia/reperfusion injury through the Notch1-Nrf2 signaling pathway
- High levels of EPHB2 expression predict a poor prognosis and promote tumor progression in endometrial cancer
- Knockdown of SHP-2 delays renal tubular epithelial cell injury in diabetic nephropathy by inhibiting NLRP3 inflammasome-mediated pyroptosis
- Exploring the toxicity mechanisms and detoxification methods of Rhizoma Paridis
- Concomitant gastric carcinoma and primary hepatic angiosarcoma in a patient: A case report
- YAP1 inhibition protects retinal vascular endothelial cells under high glucose by inhibiting autophagy
- Identification of secretory protein related biomarkers for primary biliary cholangitis based on machine learning and experimental validation
- Integrated genomic and clinical modeling for prognostic assessment of radiotherapy response in rectal neoplasms
- Stem cell-based approaches for glaucoma treatment: a mini review
- Bacteriophage titering by optical density means: KOTE assays
- Neutrophil-related signature characterizes immune landscape and predicts prognosis of esophageal squamous cell carcinoma
- Integrated bioinformatic analysis and machine learning strategies to identify new potential immune biomarkers for Alzheimer’s disease and their targeting prediction with geniposide
- TRIM21 accelerates ferroptosis in intervertebral disc degeneration by promoting SLC7A11 ubiquitination and degradation
- TRIM21 accelerates ferroptosis in intervertebral disc degeneration by promoting SLC7A11 ubiquitination and degradation
- Histone modification and non-coding RNAs in skin aging: emerging therapeutic avenues
- A multiplicative behavioral model of DNA replication initiation in cells
- Biogenic gold nanoparticles synthesized from Pergularia daemia leaves: a novel approach for nasopharyngeal carcinoma therapy
- Creutzfeldt-Jakob disease mimicking Hashimoto’s encephalopathy: steroid response followed by decline
- Impact of semaphorin, Sema3F, on the gene transcription and protein expression of CREB and its binding protein CREBBP in primary hippocampal neurons of rats
- Iron overloaded M0 macrophages regulate hematopoietic stem cell proliferation and senescence via the Nrf2/Keap1/HO-1 pathway
- Revisiting the link between NADPH oxidase p22phox C242T polymorphism and ischemic stroke risk: an updated meta-analysis
- Exercise training preferentially modulates α1D-adrenergic receptor expression in peripheral arteries of hypertensive rats
- Overexpression of HE4/WFDC2 gene in mice leads to keratitis and corneal opacity
- Tumoral calcinosis complicating CKD-MBD in hemodialysis: a case report
- Mechanism of KLF4 Inhibition of epithelial-mesenchymal transition in gastric cancer cells
- Dissecting the molecular mechanisms of T cell infiltration in psoriatic lesions via cell-cell communication and regulatory network analysis
- Circadian rhythm-based prognostic features predict immune infiltration and tumor microenvironment in molecular subtypes of hepatocellular carcinoma
- Ecology and Environmental Science
- Optimization and comparative study of Bacillus consortia for cellulolytic potential and cellulase enzyme activity
- The complete mitochondrial genome analysis of Haemaphysalis hystricis Supino, 1897 (Ixodida: Ixodidae) and its phylogenetic implications
- Epidemiological characteristics and risk factors analysis of multidrug-resistant tuberculosis among tuberculosis population in Huzhou City, Eastern China
- Indices of human impacts on landscapes: How do they reflect the proportions of natural habitats?
- Genetic analysis of the Siberian flying squirrel population in the northern Changbai Mountains, Northeast China: Insights into population status and conservation
- Diversity and environmental drivers of Suillus communities in Pinus sylvestris var. mongolica forests of Inner Mongolia
- Global assessment of the fate of nitrogen deposition in forest ecosystems: Insights from 15N tracer studies
- Fungal and bacterial pathogenic co-infections mainly lead to the assembly of microbial community in tobacco stems
- Influencing of coal industry related airborne particulate matter on ocular surface tear film injury and inflammatory factor expression in Sprague-Dawley rats
- Temperature-dependent development, predation, and life table of Sphaerophoria macrogaster (Thomson) (Diptera: Syrphidae) feeding on Myzus persicae (Sulzer) (Homoptera: Aphididae)
- Eleonora’s falcon trophic interactions with insects within its breeding range: A systematic review
- Agriculture
- Integrated analysis of transcriptome, sRNAome, and degradome involved in the drought-response of maize Zhengdan958
- Variation in flower frost tolerance among seven apple cultivars and transcriptome response patterns in two contrastingly frost-tolerant selected cultivars
- Heritability of durable resistance to stripe rust in bread wheat (Triticum aestivum L.)
- Molecular mechanism of follicular development in laying hens based on the regulation of water metabolism
- Molecular identification and control studies on Coridius sp. (Hemiptera: Dinidoridae) in Al-Khamra, south of Jeddah, Saudi Arabia
- 10.1515/biol-2025-1218
- Animal Science
- Effect of sex ratio on the life history traits of an important invasive species, Spodoptera frugiperda
- Plant Sciences
- Hairpin in a haystack: In silico identification and characterization of plant-conserved microRNA in Rafflesiaceae
- Widely targeted metabolomics of different tissues in Rubus corchorifolius
- The complete chloroplast genome of Gerbera piloselloides (L.) Cass., 1820 (Carduoideae, Asteraceae) and its phylogenetic analysis
- Field trial to correlate mineral solubilization activity of Pseudomonas aeruginosa and biochemical content of groundnut plants
- Correlation analysis between semen routine parameters and sperm DNA fragmentation index in patients with semen non-liquefaction: A retrospective study
- Plasticity of the anatomical traits of Rhododendron L. (Ericaceae) leaves and its implications in adaptation to the plateau environment
- Effects of Piriformospora indica and arbuscular mycorrhizal fungus on growth and physiology of Moringa oleifera under low-temperature stress
- Effects of different sources of potassium fertiliser on yield, fruit quality and nutrient absorption in “Harward” kiwifruit (Actinidia deliciosa)
- Comparative efficiency and residue levels of spraying programs against powdery mildew in grape varieties
- The DREB7 transcription factor enhances salt tolerance in soybean plants under salt stress
- Using plant electrical signals of water hyacinth (Eichhornia crassipes) for water pollution monitoring
- Response of hybrid grapes (Vitis spp.) to two biotic stress factors and their seedlessness status
- Metabolomic profiling reveals systemic metabolic reprogramming in Alternaria alternata under salt stress
- Effects of mixed salinity and alkali stress on photosynthetic characteristics and PEPC gene expression of vegetable soybean seedlings
- Food Science
- Phytochemical analysis of Stachys iva: Discovering the optimal extract conditions and its bioactive compounds
- Review on role of honey in disease prevention and treatment through modulation of biological activities
- Computational analysis of polymorphic residues in maltose and maltotriose transporters of a wild Saccharomyces cerevisiae strain
- Optimization of phenolic compound extraction from Tunisian squash by-products: A sustainable approach for antioxidant and antibacterial applications
- Liupao tea aqueous extract alleviates dextran sulfate sodium-induced ulcerative colitis in rats by modulating the gut microbiota
- Toxicological qualities and detoxification trends of fruit by-products for valorization: A review
- Polyphenolic spectrum of cornelian cherry fruits and their health-promoting effect
- Optimizing the encapsulation of the refined extract of squash peels for functional food applications: A sustainable approach to reduce food waste
- Advancements in curcuminoid formulations: An update on bioavailability enhancement strategies curcuminoid bioavailability and formulations
- Impact of saline sprouting on antioxidant properties and bioactive compounds in chia seeds
- The dilemma of food genetics and improvement
- Causal effects of trace elements on congenital foot deformities and their subtypes: a Mendelian randomization study with gut microbiota mediation
- Honey meets acidity: a novel biopreservative approach against foodborne pathogens
- Bioengineering and Biotechnology
- Impact of hyaluronic acid-modified hafnium metalorganic frameworks containing rhynchophylline on Alzheimer’s disease
- Emerging patterns in nanoparticle-based therapeutic approaches for rheumatoid arthritis: A comprehensive bibliometric and visual analysis spanning two decades
- Application of CRISPR/Cas gene editing for infectious disease control in poultry
- Preparation of hafnium nitride-coated titanium implants by magnetron sputtering technology and evaluation of their antibacterial properties and biocompatibility
- Preparation and characterization of lemongrass oil nanoemulsion: Antimicrobial, antibiofilm, antioxidant, and anticancer activities
- Fluorescent detection of sialic acid–binding lectins using functionalized quantum dots in ELISA format
- Smart tectorigenin-loaded ZnO hydrogel nanocomposites for targeted wound healing: synthesis, characterization, and biological evaluation
- Corrigendum
- Corrigendum to “Utilization of convolutional neural networks to analyze microscopic images for high-throughput screening of mesenchymal stem cells”
- Corrigendum to “Effects of Ire1 gene on virulence and pathogenicity of Candida albicans”
- Retraction
- Retraction of “Down-regulation of miR-539 indicates poor prognosis in patients with pancreatic cancer”
Articles in the same Issue
- Safety assessment and modulation of hepatic CYP3A4 and UGT enzymes by Glycyrrhiza glabra aqueous extract in female Sprague–Dawley rats
- Adult-onset Still’s disease with hemophagocytic lymphohistiocytosis and minimal change disease
- Role of DZ2002 in reducing corneal graft rejection in rats by influencing Th17 activation via inhibition of the PI3K/AKT pathway and downregulation of TRAF1
- Biomedical Sciences
- Mechanism of triptolide regulating proliferation and apoptosis of hepatoma cells by inhibiting JAK/STAT pathway
- Maslinic acid improves mitochondrial function and inhibits oxidative stress and autophagy in human gastric smooth muscle cells
- Comparative analysis of inflammatory biomarkers for the diagnosis of neonatal sepsis: IL-6, IL-8, SAA, CRP, and PCT
- Post-pandemic insights on COVID-19 and premature ovarian insufficiency
- Proteome differences of dental stem cells between permanent and deciduous teeth by data-independent acquisition proteomics
- Optimizing a modified cetyltrimethylammonium bromide protocol for fungal DNA extraction: Insights from multilocus gene amplification
- Preliminary analysis of the role of small hepatitis B surface proteins mutations in the pathogenesis of occult hepatitis B infection via the endoplasmic reticulum stress-induced UPR-ERAD pathway
- Efficacy of alginate-coated gold nanoparticles against antibiotics-resistant Staphylococcus and Streptococcus pathogens of acne origins
- Battling COVID-19 leveraging nanobiotechnology: Gold and silver nanoparticle–B-escin conjugates as SARS-CoV-2 inhibitors
- Neurodegenerative diseases and neuroinflammation-induced apoptosis
- Impact of fracture fixation surgery on cognitive function and the gut microbiota in mice with a history of stroke
- COLEC10: A potential tumor suppressor and prognostic biomarker in hepatocellular carcinoma through modulation of EMT and PI3K-AKT pathways
- High-temperature requirement serine protease A2 inhibitor UCF-101 ameliorates damaged neurons in traumatic brain-injured rats by the AMPK/NF-κB pathway
- SIK1 inhibits IL-1β-stimulated cartilage apoptosis and inflammation in vitro through the CRTC2/CREB1 signaling
- Rutin–chitooligosaccharide complex: Comprehensive evaluation of its anti-inflammatory and analgesic properties in vitro and in vivo
- Knockdown of Aurora kinase B alleviates high glucose-triggered trophoblast cells damage and inflammation during gestational diabetes
- Calcium-sensing receptors promoted Homer1 expression and osteogenic differentiation in bone marrow mesenchymal stem cells
- ABI3BP can inhibit the proliferation, invasion, and epithelial–mesenchymal transition of non-small-cell lung cancer cells
- Changes in blood glucose and metabolism in hyperuricemia mice
- Rapid detection of the GJB2 c.235delC mutation based on CRISPR-Cas13a combined with lateral flow dipstick
- IL-11 promotes Ang II-induced autophagy inhibition and mitochondrial dysfunction in atrial fibroblasts
- Short-chain fatty acid attenuates intestinal inflammation by regulation of gut microbial composition in antibiotic-associated diarrhea
- Application of metagenomic next-generation sequencing in the diagnosis of pathogens in patients with diabetes complicated by community-acquired pneumonia
- NAT10 promotes radiotherapy resistance in non-small cell lung cancer by regulating KPNB1-mediated PD-L1 nuclear translocation
- Phytol-mixed micelles alleviate dexamethasone-induced osteoporosis in zebrafish: Activation of the MMP3–OPN–MAPK pathway-mediating bone remodeling
- Association between TGF-β1 and β-catenin expression in the vaginal wall of patients with pelvic organ prolapse
- Primary pleomorphic liposarcoma involving bilateral ovaries: Case report and literature review
- Effects of de novo donor-specific Class I and II antibodies on graft outcomes after liver transplantation: A pilot cohort study
- Sleep architecture in Alzheimer’s disease continuum: The deep sleep question
- Ephedra fragilis plant extract: A groundbreaking corrosion inhibitor for mild steel in acidic environments – electrochemical, EDX, DFT, and Monte Carlo studies
- Langerhans cell histiocytosis in an adult patient with upper jaw and pulmonary involvement: A case report
- Inhibition of mast cell activation by Jaranol-targeted Pirin ameliorates allergic responses in mouse allergic rhinitis
- Aeromonas veronii-induced septic arthritis of the hip in a child with acute lymphoblastic leukemia
- Clusterin activates the heat shock response via the PI3K/Akt pathway to protect cardiomyocytes from high-temperature-induced apoptosis
- Research progress on fecal microbiota transplantation in tumor prevention and treatment
- Low-pressure exposure influences the development of HAPE
- Stigmasterol alleviates endplate chondrocyte degeneration through inducing mitophagy by enhancing PINK1 mRNA acetylation via the ESR1/NAT10 axis
- AKAP12, mediated by transcription factor 21, inhibits cell proliferation, metastasis, and glycolysis in lung squamous cell carcinoma
- Association between PAX9 or MSX1 gene polymorphism and tooth agenesis risk: A meta-analysis
- A case of bloodstream infection caused by Neisseria gonorrhoeae
- Case of nasopharyngeal tuberculosis complicated with cervical lymph node and pulmonary tuberculosis
- p-Cymene inhibits pro-fibrotic and inflammatory mediators to prevent hepatic dysfunction
- GFPT2 promotes paclitaxel resistance in epithelial ovarian cancer cells via activating NF-κB signaling pathway
- Transfer RNA-derived fragment tRF-36 modulates varicose vein progression via human vascular smooth muscle cell Notch signaling
- RTA-408 attenuates the hepatic ischemia reperfusion injury in mice possibly by activating the Nrf2/HO-1 signaling pathway
- Decreased serum TIMP4 levels in patients with rheumatoid arthritis
- Sirt1 protects lupus nephritis by inhibiting the NLRP3 signaling pathway in human glomerular mesangial cells
- Sodium butyrate aids brain injury repair in neonatal rats
- Interaction of MTHFR polymorphism with PAX1 methylation in cervical cancer
- Convallatoxin inhibits proliferation and angiogenesis of glioma cells via regulating JAK/STAT3 pathway
- The effect of the PKR inhibitor, 2-aminopurine, on the replication of influenza A virus, and segment 8 mRNA splicing
- Effects of Ire1 gene on virulence and pathogenicity of Candida albicans
- Small cell lung cancer with small intestinal metastasis: Case report and literature review
- GRB14: A prognostic biomarker driving tumor progression in gastric cancer through the PI3K/AKT signaling pathway by interacting with COBLL1
- 15-Lipoxygenase-2 deficiency induces foam cell formation that can be restored by salidroside through the inhibition of arachidonic acid effects
- FTO alleviated the diabetic nephropathy progression by regulating the N6-methyladenosine levels of DACT1
- Clinical relevance of inflammatory markers in the evaluation of severity of ulcerative colitis: A retrospective study
- Zinc valproic acid complex promotes osteoblast differentiation and exhibits anti-osteoporotic potential
- Primary pulmonary synovial sarcoma in the bronchial cavity: A case report
- Metagenomic next-generation sequencing of alveolar lavage fluid improves the detection of pulmonary infection
- Uterine tumor resembling ovarian sex cord tumor with extensive rhabdoid differentiation: A case report
- Genomic analysis of a novel ST11(PR34365) Clostridioides difficile strain isolated from the human fecal of a CDI patient in Guizhou, China
- Effects of tiered cardiac rehabilitation on CRP, TNF-α, and physical endurance in older adults with coronary heart disease
- Changes in T-lymphocyte subpopulations in patients with colorectal cancer before and after acupoint catgut embedding acupuncture observation
- Modulating the tumor microenvironment: The role of traditional Chinese medicine in improving lung cancer treatment
- Alterations of metabolites related to microbiota–gut–brain axis in plasma of colon cancer, esophageal cancer, stomach cancer, and lung cancer patients
- Research on individualized drug sensitivity detection technology based on bio-3D printing technology for precision treatment of gastrointestinal stromal tumors
- CEBPB promotes ulcerative colitis-associated colorectal cancer by stimulating tumor growth and activating the NF-κB/STAT3 signaling pathway
- Oncolytic bacteria: A revolutionary approach to cancer therapy
- A de novo meningioma with rapid growth: A possible malignancy imposter?
- Diagnosis of secondary tuberculosis infection in an asymptomatic elderly with cancer using next-generation sequencing: Case report
- Hesperidin and its zinc(ii) complex enhance osteoblast differentiation and bone formation: In vitro and in vivo evaluations
- Research progress on the regulation of autophagy in cardiovascular diseases by chemokines
- Anti-arthritic, immunomodulatory, and inflammatory regulation by the benzimidazole derivative BMZ-AD: Insights from an FCA-induced rat model
- Immunoassay for pyruvate kinase M1/2 as an Alzheimer’s biomarker in CSF
- The role of HDAC11 in age-related hearing loss: Mechanisms and therapeutic implications
- Evaluation and application analysis of animal models of PIPNP based on data mining
- Therapeutic approaches for liver fibrosis/cirrhosis by targeting pyroptosis
- Fabrication of zinc oxide nanoparticles using Ruellia tuberosa leaf extract induces apoptosis through P53 and STAT3 signalling pathways in prostate cancer cells
- Haplo-hematopoietic stem cell transplantation and immunoradiotherapy for severe aplastic anemia complicated with nasopharyngeal carcinoma: A case report
- Modulation of the KEAP1-NRF2 pathway by Erianin: A novel approach to reduce psoriasiform inflammation and inflammatory signaling
- The expression of epidermal growth factor receptor 2 and its relationship with tumor-infiltrating lymphocytes and clinical pathological features in breast cancer patients
- Innovations in MALDI-TOF Mass Spectrometry: Bridging modern diagnostics and historical insights
- BAP1 complexes with YY1 and RBBP7 and its downstream targets in ccRCC cells
- Hypereosinophilic syndrome with elevated IgG4 and T-cell clonality: A report of two cases
- Electroacupuncture alleviates sciatic nerve injury in sciatica rats by regulating BDNF and NGF levels, myelin sheath degradation, and autophagy
- Polydatin prevents cholesterol gallstone formation by regulating cholesterol metabolism via PPAR-γ signaling
- RNF144A and RNF144B: Important molecules for health
- Analysis of the detection rate and related factors of thyroid nodules in the healthy population
- Artesunate inhibits hepatocellular carcinoma cell migration and invasion through OGA-mediated O-GlcNAcylation of ZEB1
- Endovascular management of post-pancreatectomy hemorrhage caused by a hepatic artery pseudoaneurysm: Case report and review of the literature
- Efficacy and safety of anti-PD-1/PD-L1 antibodies in patients with relapsed refractory diffuse large B-cell lymphoma: A meta-analysis
- SATB2 promotes humeral fracture healing in rats by activating the PI3K/AKT pathway
- Overexpression of the ferroptosis-related gene, NFS1, corresponds to gastric cancer growth and tumor immune infiltration
- Understanding risk factors and prognosis in diabetic foot ulcers
- Atractylenolide I alleviates the experimental allergic response in mice by suppressing TLR4/NF-kB/NLRP3 signalling
- FBXO31 inhibits the stemness characteristics of CD147 (+) melanoma stem cells
- Immune molecule diagnostics in colorectal cancer: CCL2 and CXCL11
- Inhibiting CXCR6 promotes senescence of activated hepatic stellate cells with limited proinflammatory SASP to attenuate hepatic fibrosis
- Cadmium toxicity, health risk and its remediation using low-cost biochar adsorbents
- Pulmonary cryptococcosis with headache as the first presentation: A case report
- Solitary pulmonary metastasis with cystic airspaces in colon cancer: A rare case report
- RUNX1 promotes denervation-induced muscle atrophy by activating the JUNB/NF-κB pathway and driving M1 macrophage polarization
- Morphometric analysis and immunobiological investigation of Indigofera oblongifolia on the infected lung with Plasmodium chabaudi
- The NuA4/TIP60 histone-modifying complex and Hr78 modulate the Lobe2 mutant eye phenotype
- Experimental study on salmon demineralized bone matrix loaded with recombinant human bone morphogenetic protein-2: In vitro and in vivo study
- A case of IgA nephropathy treated with a combination of telitacicept and half-dose glucocorticoids
- Analgesic and toxicological evaluation of cannabidiol-rich Moroccan Cannabis sativa L. (Khardala variety) extract: Evidence from an in vivo and in silico study
- Wound healing and signaling pathways
- Combination of immunotherapy and whole-brain radiotherapy on prognosis of patients with multiple brain metastases: A retrospective cohort study
- To explore the relationship between endometrial hyperemia and polycystic ovary syndrome
- Research progress on the impact of curcumin on immune responses in breast cancer
- Biogenic Cu/Ni nanotherapeutics from Descurainia sophia (L.) Webb ex Prantl seeds for the treatment of lung cancer
- Dapagliflozin attenuates atrial fibrosis via the HMGB1/RAGE pathway in atrial fibrillation rats
- Glycitein alleviates inflammation and apoptosis in keratinocytes via ROS-associated PI3K–Akt signalling pathway
- ADH5 inhibits proliferation but promotes EMT in non-small cell lung cancer cell through activating Smad2/Smad3
- Apoptotic efficacies of AgNPs formulated by Syzygium aromaticum leaf extract on 32D-FLT3-ITD human leukemia cell line with PI3K/AKT/mTOR signaling pathway
- Novel cuproptosis-related genes C1QBP and PFKP identified as prognostic and therapeutic targets in lung adenocarcinoma
- Bee venom promotes exosome secretion and alters miRNA cargo in T cells
- Treatment of pure red cell aplasia in a chronic kidney disease patient with roxadustat: A case report
- Comparative bioinformatics analysis of the Wnt pathway in breast cancer: Selection of novel biomarker panels associated with ER status
- Kynurenine facilitates renal cell carcinoma progression by suppressing M2 macrophage pyroptosis through inhibition of CASP1 cleavage
- RFX5 promotes the growth, motility, and inhibits apoptosis of gastric adenocarcinoma cells through the SIRT1/AMPK axis
- ALKBH5 exacerbates early cardiac damage after radiotherapy for breast cancer via m6A demethylation of TLR4
- Phytochemicals of Roman chamomile: Antioxidant, anti-aging, and whitening activities of distillation residues
- Circadian gene Cry1 inhibits the tumorigenicity of hepatocellular carcinoma by the BAX/BCL2-mediated apoptosis pathway
- The TNFR-RIPK1/RIPK3 signalling pathway mediates the effect of lanthanum on necroptosis of nerve cells
- Longitudinal monitoring of autoantibody dynamics in patients with early-stage non-small-cell lung cancer undergoing surgery
- The potential role of rutin, a flavonoid, in the management of cancer through modulation of cell signaling pathways
- Construction of pectinase gene engineering microbe and its application in tobacco sheets
- Construction of a microbial abundance prognostic scoring model based on intratumoral microbial data for predicting the prognosis of lung squamous cell carcinoma
- Sepsis complicated by haemophagocytic lymphohistiocytosis triggered by methicillin-resistant Staphylococcus aureus and human herpesvirus 8 in an immunocompromised elderly patient: A case report
- Sarcopenia in liver transplantation: A comprehensive bibliometric study of current research trends and future directions
- Advances in cancer immunotherapy and future directions in personalized medicine
- Can coronavirus disease 2019 affect male fertility or cause spontaneous abortion? A two-sample Mendelian randomization analysis
- Heat stroke associated with novel leukaemia inhibitory factor receptor gene variant in a Chinese infant
- PSME2 exacerbates ulcerative colitis by disrupting intestinal barrier function and promoting autophagy-dependent inflammation
- Hyperosmolar hyperglycemic state with severe hypernatremia coexisting with central diabetes insipidus: A case report and literature review
- Efficacy and mechanism of escin in improving the tissue microenvironment of blood vessel walls via anti-inflammatory and anticoagulant effects: Implications for clinical practice
- Merkel cell carcinoma: Clinicopathological analysis of three patients and literature review
- Genetic variants in VWF exon 26 and their implications for type 1 Von Willebrand disease in a Saudi Arabian population
- Lipoxin A4 improves myocardial ischemia/reperfusion injury through the Notch1-Nrf2 signaling pathway
- High levels of EPHB2 expression predict a poor prognosis and promote tumor progression in endometrial cancer
- Knockdown of SHP-2 delays renal tubular epithelial cell injury in diabetic nephropathy by inhibiting NLRP3 inflammasome-mediated pyroptosis
- Exploring the toxicity mechanisms and detoxification methods of Rhizoma Paridis
- Concomitant gastric carcinoma and primary hepatic angiosarcoma in a patient: A case report
- YAP1 inhibition protects retinal vascular endothelial cells under high glucose by inhibiting autophagy
- Identification of secretory protein related biomarkers for primary biliary cholangitis based on machine learning and experimental validation
- Integrated genomic and clinical modeling for prognostic assessment of radiotherapy response in rectal neoplasms
- Stem cell-based approaches for glaucoma treatment: a mini review
- Bacteriophage titering by optical density means: KOTE assays
- Neutrophil-related signature characterizes immune landscape and predicts prognosis of esophageal squamous cell carcinoma
- Integrated bioinformatic analysis and machine learning strategies to identify new potential immune biomarkers for Alzheimer’s disease and their targeting prediction with geniposide
- TRIM21 accelerates ferroptosis in intervertebral disc degeneration by promoting SLC7A11 ubiquitination and degradation
- TRIM21 accelerates ferroptosis in intervertebral disc degeneration by promoting SLC7A11 ubiquitination and degradation
- Histone modification and non-coding RNAs in skin aging: emerging therapeutic avenues
- A multiplicative behavioral model of DNA replication initiation in cells
- Biogenic gold nanoparticles synthesized from Pergularia daemia leaves: a novel approach for nasopharyngeal carcinoma therapy
- Creutzfeldt-Jakob disease mimicking Hashimoto’s encephalopathy: steroid response followed by decline
- Impact of semaphorin, Sema3F, on the gene transcription and protein expression of CREB and its binding protein CREBBP in primary hippocampal neurons of rats
- Iron overloaded M0 macrophages regulate hematopoietic stem cell proliferation and senescence via the Nrf2/Keap1/HO-1 pathway
- Revisiting the link between NADPH oxidase p22phox C242T polymorphism and ischemic stroke risk: an updated meta-analysis
- Exercise training preferentially modulates α1D-adrenergic receptor expression in peripheral arteries of hypertensive rats
- Overexpression of HE4/WFDC2 gene in mice leads to keratitis and corneal opacity
- Tumoral calcinosis complicating CKD-MBD in hemodialysis: a case report
- Mechanism of KLF4 Inhibition of epithelial-mesenchymal transition in gastric cancer cells
- Dissecting the molecular mechanisms of T cell infiltration in psoriatic lesions via cell-cell communication and regulatory network analysis
- Circadian rhythm-based prognostic features predict immune infiltration and tumor microenvironment in molecular subtypes of hepatocellular carcinoma
- Ecology and Environmental Science
- Optimization and comparative study of Bacillus consortia for cellulolytic potential and cellulase enzyme activity
- The complete mitochondrial genome analysis of Haemaphysalis hystricis Supino, 1897 (Ixodida: Ixodidae) and its phylogenetic implications
- Epidemiological characteristics and risk factors analysis of multidrug-resistant tuberculosis among tuberculosis population in Huzhou City, Eastern China
- Indices of human impacts on landscapes: How do they reflect the proportions of natural habitats?
- Genetic analysis of the Siberian flying squirrel population in the northern Changbai Mountains, Northeast China: Insights into population status and conservation
- Diversity and environmental drivers of Suillus communities in Pinus sylvestris var. mongolica forests of Inner Mongolia
- Global assessment of the fate of nitrogen deposition in forest ecosystems: Insights from 15N tracer studies
- Fungal and bacterial pathogenic co-infections mainly lead to the assembly of microbial community in tobacco stems
- Influencing of coal industry related airborne particulate matter on ocular surface tear film injury and inflammatory factor expression in Sprague-Dawley rats
- Temperature-dependent development, predation, and life table of Sphaerophoria macrogaster (Thomson) (Diptera: Syrphidae) feeding on Myzus persicae (Sulzer) (Homoptera: Aphididae)
- Eleonora’s falcon trophic interactions with insects within its breeding range: A systematic review
- Agriculture
- Integrated analysis of transcriptome, sRNAome, and degradome involved in the drought-response of maize Zhengdan958
- Variation in flower frost tolerance among seven apple cultivars and transcriptome response patterns in two contrastingly frost-tolerant selected cultivars
- Heritability of durable resistance to stripe rust in bread wheat (Triticum aestivum L.)
- Molecular mechanism of follicular development in laying hens based on the regulation of water metabolism
- Molecular identification and control studies on Coridius sp. (Hemiptera: Dinidoridae) in Al-Khamra, south of Jeddah, Saudi Arabia
- 10.1515/biol-2025-1218
- Animal Science
- Effect of sex ratio on the life history traits of an important invasive species, Spodoptera frugiperda
- Plant Sciences
- Hairpin in a haystack: In silico identification and characterization of plant-conserved microRNA in Rafflesiaceae
- Widely targeted metabolomics of different tissues in Rubus corchorifolius
- The complete chloroplast genome of Gerbera piloselloides (L.) Cass., 1820 (Carduoideae, Asteraceae) and its phylogenetic analysis
- Field trial to correlate mineral solubilization activity of Pseudomonas aeruginosa and biochemical content of groundnut plants
- Correlation analysis between semen routine parameters and sperm DNA fragmentation index in patients with semen non-liquefaction: A retrospective study
- Plasticity of the anatomical traits of Rhododendron L. (Ericaceae) leaves and its implications in adaptation to the plateau environment
- Effects of Piriformospora indica and arbuscular mycorrhizal fungus on growth and physiology of Moringa oleifera under low-temperature stress
- Effects of different sources of potassium fertiliser on yield, fruit quality and nutrient absorption in “Harward” kiwifruit (Actinidia deliciosa)
- Comparative efficiency and residue levels of spraying programs against powdery mildew in grape varieties
- The DREB7 transcription factor enhances salt tolerance in soybean plants under salt stress
- Using plant electrical signals of water hyacinth (Eichhornia crassipes) for water pollution monitoring
- Response of hybrid grapes (Vitis spp.) to two biotic stress factors and their seedlessness status
- Metabolomic profiling reveals systemic metabolic reprogramming in Alternaria alternata under salt stress
- Effects of mixed salinity and alkali stress on photosynthetic characteristics and PEPC gene expression of vegetable soybean seedlings
- Food Science
- Phytochemical analysis of Stachys iva: Discovering the optimal extract conditions and its bioactive compounds
- Review on role of honey in disease prevention and treatment through modulation of biological activities
- Computational analysis of polymorphic residues in maltose and maltotriose transporters of a wild Saccharomyces cerevisiae strain
- Optimization of phenolic compound extraction from Tunisian squash by-products: A sustainable approach for antioxidant and antibacterial applications
- Liupao tea aqueous extract alleviates dextran sulfate sodium-induced ulcerative colitis in rats by modulating the gut microbiota
- Toxicological qualities and detoxification trends of fruit by-products for valorization: A review
- Polyphenolic spectrum of cornelian cherry fruits and their health-promoting effect
- Optimizing the encapsulation of the refined extract of squash peels for functional food applications: A sustainable approach to reduce food waste
- Advancements in curcuminoid formulations: An update on bioavailability enhancement strategies curcuminoid bioavailability and formulations
- Impact of saline sprouting on antioxidant properties and bioactive compounds in chia seeds
- The dilemma of food genetics and improvement
- Causal effects of trace elements on congenital foot deformities and their subtypes: a Mendelian randomization study with gut microbiota mediation
- Honey meets acidity: a novel biopreservative approach against foodborne pathogens
- Bioengineering and Biotechnology
- Impact of hyaluronic acid-modified hafnium metalorganic frameworks containing rhynchophylline on Alzheimer’s disease
- Emerging patterns in nanoparticle-based therapeutic approaches for rheumatoid arthritis: A comprehensive bibliometric and visual analysis spanning two decades
- Application of CRISPR/Cas gene editing for infectious disease control in poultry
- Preparation of hafnium nitride-coated titanium implants by magnetron sputtering technology and evaluation of their antibacterial properties and biocompatibility
- Preparation and characterization of lemongrass oil nanoemulsion: Antimicrobial, antibiofilm, antioxidant, and anticancer activities
- Fluorescent detection of sialic acid–binding lectins using functionalized quantum dots in ELISA format
- Smart tectorigenin-loaded ZnO hydrogel nanocomposites for targeted wound healing: synthesis, characterization, and biological evaluation
- Corrigendum
- Corrigendum to “Utilization of convolutional neural networks to analyze microscopic images for high-throughput screening of mesenchymal stem cells”
- Corrigendum to “Effects of Ire1 gene on virulence and pathogenicity of Candida albicans”
- Retraction
- Retraction of “Down-regulation of miR-539 indicates poor prognosis in patients with pancreatic cancer”