Abstract
The aim of this study is to investigate the effects and mechanism of action of sodium butyrate (SB) on brain injury repair in neonatal rats. 126 neonatal SD rats were randomly allocated to 7 groups, and necrotizing enterocolitis (NEC) and hypoxic–ischemic brain injury (HIBI) rat models were established. Hematoxylin and eosin staining showed that SB intervention alleviated intestinal and brain injuries in the HIBI + SB, NEC + SB, and NEC + HIBI + SB groups. Compared to the NEC and NEC + HIBI groups, the NEC + SB and NEC + HIBI + SB groups had significantly higher interleukin (IL)-10 and lower IL-17 levels (P < 0.05). Immunohistochemistry revealed increased Bcl-2 expression and decreased Bax expression in the NEC + SB and NEC + HIBI + SB groups compared to the NEC and NEC + HIBI groups in intestinal and brain tissues (P < 0.05). Compared to the control group (CG), gut microbiota diversity decreased in the HIBI, NEC, and NEC + HIBI groups, and increased significantly in the HIBI + SB, NEC + SB, and NEC + HIBI + SB groups. SB may alleviate brain injury by modulating gut microbiota, affecting IL-10 and IL-17 levels, and regulating Bcl-2 and Bax expression in intestinal and brain tissues.
Graphical abstract

1 Introduction
Brain injury in premature infants results from brain ischemia or hemorrhagic damage caused by various pathological factors during prenatal or postnatal periods. In severe cases, it can lead to death [1,2]. Hypoxic-ischemia and inflammation are major contributors that lead to adverse neurodevelopmental outcomes in premature infants [3,4]. The global incidence of premature birth is approximately 11%. Premature infants have a significantly higher risk of developing cerebral palsy than full-term infants, and the risk of severe medical disabilities increases significantly as gestational age decreases [5,6]. Current diagnostic and treatment options for brain damage in premature infants are limited in clinical practice [7]. Therefore, identifying reasonable treatment options is crucial for clinical prevention and treatment of brain damage in premature infants.
Emerging evidence shows that early life gut microbiota plays a key role in brain development, communicating bidirectionally with the gastrointestinal system and the brain through neural, immune, and endocrine pathways [8]. The gut, gut microbiota, and brain interaction involves the release of various metabolites, including short-chain fatty acids (SCFAs), proteins, branched-chain fatty acids, and tryptophan metabolites [9,10]. Among these, SCFAs are organic monocarboxylic acids with a chain length of no more than six carbon atoms, mainly including butyrate, acetate, and propionate [11]. Sodium butyrate (SB), produced by gut microbiota, modulates gut microbiota, inhibits inflammatory factors, protects the intestinal mucosal barrier, and maintains gut immune balance [12,13,14]. Clinical studies suggest SB intervention improves ischemic stroke, reducing lipopolysaccharide and pro-inflammatory cytokines in the serum while enhancing the blood–brain barrier [15,16]. However, specific mechanisms underlying SB repair in premature infants remain unclear.
This study explores SB’s mechanism in repairing brain injury in premature infants using hypoxic–ischemic brain injury (HIBI) and necrotizing enterocolitis (NEC) rat models providing insights for potential treatment options.
2 Materials and methods
2.1 Animals
Pregnant Sprague-Dawley (SD) rats (SPF grade) about to give birth were provided by the Experimental Animal Center of North Sichuan Medical College and placed in a 12 h of alternating light and dark cycle, with free access to water and food. The birth status of pregnant rats was observed every 2 h, and newborn SD rats were allowed to consume breast milk freely. A total of 126 newborn SD rats (weighing 5–7 g) were randomly divided into seven groups: HIBI, HIBI + SB, NEC, NEC + SB, NEC + HIBI, NEC + HIBI + SB, and control group (CG), with 18 rats per group.
-
Ethical approval: The research related to animal use has been complied with all the relevant national regulations and institutional policies for the care and use of animals, and has been approved by the Animal Ethics Committee of the North Sichuan Medical College (approval number: 2021-135).
2.2 Establishment of NEC and HIBI models
Newborn SD rats were orally administered 0.1 mL of 3% sodium gluconate sulfate every 6 h [17] four times a day for 3 consecutive days to induce the NEC [18]. Additionally, 3-days-old SD rats were anesthetized with isoflurane, and the left common carotid artery was ligated and severed for 30 min. The rats were then housed in a hypoxic chamber (8% oxygen and 92% nitrogen) for 3 h to induce HIBI [19].
2.3 SB treatment
Following successful modeling at 3 days of age, rats in the HIBI + SB, NEC + SB, and NEC + HIBI + SB groups were orally administered 0.01 mL/g of 3% SB once daily for 7 consecutive days (303410-5g, Merck KgaA, Darmstadt, Germany) at 4 days of age. Serum, brain, and intestinal tissues, as well as intestinal fecal samples, were collected at 5 days of age. The brain and intestinal tissues, along with intestinal fecal samples, were collected at 10 days of age, and fecal samples were collected at 28 days of age.
2.4 Hematoxylin and eosin (HE) staining
Intestinal and brain tissues were collected from three rats in each group at 10 days old and stored in 4% paraformaldehyde [20]. The tissues were dehydrated and embedded in wax, and sectioned into 5 μm thin layers using a paraffin microtome. Sections were deparaffinized, dehydrated, and stained with HE. After removing excess staining solution, the tissues were rapidly dehydrated with ethanol, treated with xylene for transparency, and sealed with neutral resin before observation under a light microscope. Three fields of view were randomly selected from each specimen for analysis and photography. The histopathological changes of intestinal and brain tissues were studied at 400× magnification under a light microscopy (BA410, McAudi Industrial Group Co., Ltd, Fujian, China).
2.5 Enzyme-linked immunosorbent assay (ELISA)
Blood samples were obtained from the carotid arteries of 21 5-days-old rats, with three rats in each group. Whole blood was allowed to remain at 25°C for 15 min before being centrifuged at 3,000 rpm for 15 min to isolate serum. Interleukin (IL)-10 and IL-17 levels were detected using ELISA. The Rat IL-10 ELISA Kit (2R-KMLJr30194, Nanjing Camillo Biotechnology Company, Jiangsu, China), and Rat IL-17 ELISA Kit (2R-KMLJr30201, Nanjing Camillo Biotechnology Company, Jiangsu, China) were used to analyze the respective levels of IL-10 and IL-17.
2.6 Immunohistochemistry
The expression of Bcl-2 and Bax in intestinal and brain tissues was explored as described previously [21]. Intestinal and brain tissues were collected from three rats from each group at 5 days of age. Tissues were dehydrated, embedded in wax, and sectioned. Subsequently, the samples were dewaxed with xylene and hydrated using a series of ethanol solutions at varying concentrations (100, 95, 85, and 75%). Subsequently, cells were heated in citrate buffer for 20 min to facilitate antigen retrieval. The sections were heated and incubated for 10 min with 3% hydrogen peroxide, followed by blocking with goat serum for 20 min. Afterward, they were incubated overnight at 4°C with RabbitAnti-Bcl-2 (Bs-20352R, Beijing Boorsen Biotechnology Co., Ltd, Beijing, China) and Rabbit Anti-Bax (Bs-0127R, Beijing Boorsen Biotechnology Co., Ltd, Beijing, China). Sections were heated and incubated with BIOTIN-labeled Goat Anti-Rabbit IgG (SP9001, Beijing Zhongshan Jinqiao Biotechnology Co., Ltd, Beijing, China) at 37°C for 30 min. 3,3'-Diaminobenzidine (DAB) was used for color development, followed by a 3 min counterstaining of the nuclei with hematoxylin. The cells were then dehydrated, made transparent, and sealed with neutral gum. Images were captured at 400× magnification using a microscope (IX73; Olympus, Tokyo, Japan).
2.7 16S rRNA gene sequencing
Fecal samples were collected from newborn rats in each group at 5, 10, and 28 days of age (n = 3). The QIAamp Power Fecal QIAcube HT kit (OMEGA-soilDNAKit, TransGen Biotech, Beijing, China) was used to extract genomic DNA from fecal samples. Primers (341F: 5′-CCTAYGGGRBGCASCAG-3′, 806R: 5′-GGACTACNNGGGTATCTAAT-3′) were used to amplify bacterial DNA targeting V3 + V4 regions. DNA was sequenced using a NovaSeq 6000 PE250 platform. The original sequence was divided using the QIIME2demux plugin after generating high-quality sequences. The QIIME2 data plugin was used to control, trim, denoise, splice, and remove chimeras from the split sequence, to obtain clean reads. The resulting clean reads underwent processing that include the removal of the 341F/806R primer pair and clustering to create operational taxonomic units (OTUs) using the Vsearch software, at a similarity threshold of 97%. Representative reads for each OTU were selected using the QIIME package, and all representative sequences were compared and annotated using a database. The Green genes database was used for comparison, and the species were annotated using RDP classifier software. The R package vegan (https://github.com/vegandevs/vegan) was utilized to calculate alpha and beta. Alpha diversity is represented by the Shannon and Richness indices, where the Shannon index reflects the number and distribution of microbial species in a sample and richness represents the number of different species. A principal coordinate analysis (PCoA) of Bray-Curtis distances was performed to assess beta diversity.
2.8 Statistical analysis
Statistical analysis was conducted using SPSS 25.0, with data presented as mean value ± SD. Multiple comparisons between groups were conducted using single factor analysis of variance (Dunnett’s correction for multiple comparison), and the LSD method used for pairwise comparisons. Similarity analysis of gut microbiota was conducted using non-parametric tests. P < 0.05 indicates a statistically significance.
3 Results
3.1 SB ameliorated pathological intestinal and brain injury in neonatal rats
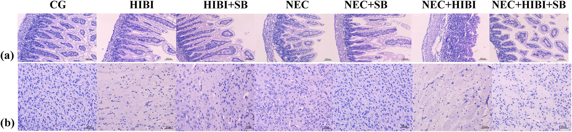
As shown in Figure 1a, the HIBI group exhibited villous edema and partial shedding, whereas the NEC group demonstrated edema of the intestinal wall, necrosis and shedding of the villi, and separation of the submucosal layer from the lamina propria. The NEC + HIBI group displayed intestinal wall edema, separation of the submucosal layer from the lamina propria, rupture of the muscle layer, extensive shedding of intestinal epithelial cells, and disappearance of villi. Compared to the model group, the HIBI + SB, NEC + SB, and NEC + HIBI + SB groups showed significant improvements in pathological manifestations. Additionally, the HE staining revealed pathological brain injury in rats. The number of nerve cells in the HIBI group was remarkably reduced, and the white matter around the ventricles appeared loose. In the NEC group, the nerve cell count decreased, with some nerve cells swelling to varying degrees, leading to a disordered arrangement, widened gaps, and loose white matter around the ventricles. Neurons in the NEC + HIBI group were sparse with nuclear pyknosis, severe white matter looseness around the ventricles, and reticular softening lesions. Again, compared to the model group, the HIBI + SB, NEC + SB, and NEC + HIBI + SB groups displayed significant improvements in these pathological manifestations. These findings demonstrate that SB ameliorated pathological intestinal and brain injury in neonatal rats (Figure 1b).

SB ameliorated pathological intestinal and brain injury in neonatal rats. (a) HE staining of intestinal tissue. (b) HE staining of brain tissue.
3.2 SB regulated the expression of IL-10 and IL-17
IL-10 and IL-17 levels were measured by ELISA (Figure 2). When compared to the HIBI, NEC, and NEC + HIBI groups, IL-10 levels in the HIBI + SB, NEC + SB, and NEC + HIBI + SB groups increased remarkably (P < 0.05; Figure 2a). Conversely, IL-17 levels in the NEC + SB and NEC + HIBI + SB groups were significantly lower than those in the NEC and NEC + HIBI groups (P < 0.05; Figure 2b).

SB regulated the expression of IL-10 and IL-17. (a) ELISA results of IL-10. (b) ELISA results of IL-17. *P < 0.05, **P < 0.01; # P < 0.05, ## P < 0.01.
3.3 Effect of SB on protein expression level of Bcl-2 and Bax in intestinal and brain tissues
In the intestinal tissue, Bcl-2 protein expression in the NEC + HIBI group was remarkably lower than that in the HIBI group (P < 0.05; Figure 3a). However, Bcl-2 protein expression increased significantly following SB treatment in the NEC and NEC + HIBI groups (P < 0.05; Figure 3a). Similarly, the Bcl-2 protein level in the brain tissue was increased in the NEC + HIBI + SB group compared to that in the NEC + HIBI group (P < 0.01; Figure 3b). In addition, in the intestinal tissue, the NEC + HIBI group showed a significant increase in Bax protein expression compared to the HIBI group (P < 0.05; Figure 3c). Conversely, Bax protein expression decreased significantly following SB treatment in the NEC and NEC + HIBI groups (P < 0.01; Figure 3c), aligning with the trend observed in brain tissue (Figure 3d).

SB regulated the protein expression of Bcl-2 and Bax in intestinal and brain tissues. Immunohistochemistry result of Bcl-2 protein expression in intestinal (a) and brain (b) tissues. Immunohistochemistry result of Bax protein expression in intestinal (c) and brain (d) tissues. *P < 0.05, **P < 0.01; # P < 0.05, ## P < 0.01.
3.4 Effect of SB treatment on the gut microbiota
Alterations in the gut microbiota were assessed using 16S rRNA gene sequencing. The alpha diversity results indicated a reduction in microbial diversity in the HIBI, NEC, and NEC + HIBI groups compared to the CG group, whereas microbial diversity was increased after SB treatment in the HIBI, NEC, and NEC + HIBI groups (Figure 4a). Moreover, PCA of the gut microbiota showed remarkable differences between the HIBI, NEC, and NEC + HIBI groups compared to the CG group, with samples from the HIBI + SB, NEC + SB, and NEC + HIBI + SB groups tending to be closer to the CG group (Figure 4b). Statistical analysis of microbial community similarity revealed no significant difference between the HIBI and HIBI + SB groups compared to the CG group; however, significant differences were observed in the NEC, NEC + SB, NEC + HIBI, and NEC + HIBI + SB groups (P < 0.05; Table 1).

Effect of SB treatment on the gut microbiota. (a) Alpha diversity results. (b) PCoA.
Statistical analysis of microbial community similarity
| Group | R 2 | P |
|---|---|---|
| HIBI, HIBI + SB, CG | 0.116 | 0.104 |
| NEC, NEC + SB, CG | 0.142 | 0.023* |
| NEC + HIBI, NEC + HIBI + SB, CG | 0.166 | 0.006* |
Note: *P < 0.05, compared to CG group.
4 Discussion
SB, a histone deacetylase inhibitor, has been reported to provide neuroprotection to neonatal rats with HIBI [22,23]. Ziemka-Nalecz et al. showed that SB demonstrated neuroprotective and neurogenic effects in a rat model of neonatal hypoxia-ischemia [24]. Moreover, Sun et al. revealed that SB mitigated intestinal inflammation in mice with NEC [25]. Consistent with these findings, this study demonstrated that SB intervention significantly elevated the Bcl-2/Bax ratio in all model rats, enhanced the secretion of the IL-10 cytokine, reduced the levels of the pro-inflammatory IL-17 factor, increased the α diversity of intestinal microbiota, and consequently mitigated neuronal cell apoptosis and inflammation. These effects led to improved pathological outcomes in both the intestinal tract and brain of neonatal rats with injuries.
Cytokines, including IL-10 and IL-17, play a crucial role in regulating the inflammatory response and tissue damage within the immune system. These cytokines are also implicated in the progression and treatment of various neurodegenerative and autoimmune diseases. Studies have demonstrated that Treg and γδT cells are activated and migrate to the damaged area following a ischemic brain injury, where they rapidly secrete IL-10 and IL-17, respectively [26,27]. IL-17 can activate glial cells, resulting in the release of pro-inflammatory factors such as TNF-α, which exacerbates brain tissue inflammation [28]. In contrast, IL-10 plays a crucial role in stimulating the repair response of microglia and in promoting neuronal survival [14]. Treg cells also secrete IL-10 to inhibit the matrix metalloproteinase (MMP-9) activity, thereby preventing the invasion of the blood–brain barrier by inflammatory cells [29]. In the late acute phase of ischemic brain injury, Treg cells were found in ischemic tissues, secreting large amounts of IL-10, which plays a neuroprotective role [30]. Research has indicated that the administration of butyrate elevates the levels of peripheral blood Treg cells and increases the plasma concentrations of anti-Th17 cytokines (IL-10 and IL-12). Additionally, butyrate treatment reduced IL-17 levels in both plasma and colonic mucosa, while improving lesions associated with colonic colitis in rats [31]. In this study, IL-10 levels increased and IL-17 levels decreased after SB treatment in neonatal rats, indicating that SB might have a protective effect on nerves by regulating inflammatory factors in neonatal rats.
The occurrence of brain injury in premature infants is typically concomitant with neuronal apoptosis [32]. Zhu et al. reported that more than 50% of degenerated cells in several brain regions of newborn rats after hypoxia-ischemia were apoptosis [33]. Bcl-2, a protein with anti-apoptotic properties, governs the process of apoptosis by engaging in direct or indirect interactions with the pro-apoptotic protein Bax. In this study, compared to the CG group, Bcl-2 expression reduced and Bax expression increased in the HIBI and NEC + HIBI groups, indicating that the imbalance of Bcl-2 and Bax expression was involved in neonatal rat brain injury. Further research found that after SB intervention, Bcl-2 expression increased and Bax expression decreased in the intestinal tissue. These results suggest that SB alleviates neuronal apoptosis and reduces brain injury in neonatal rats by modulating the expression of Bcl-2 and Bax.
Changes in gut microbiota are often accompanied by bidirectional communication between the intestine and the brain. Dysbiosis of the gut microbiota not only leads to gastrointestinal diseases, but also affects the nervous system [34]. Mohajeri et al. demonstrated that after repeated brain trauma in animals, the composition of gut microbiota was assessed at 6 h, 48 h, and 30 days, revealing a significant reduction in diversity in brain-injured animals at all time points [35]. Long-term treatment with SB can alter the composition of the gut microbiota and improve pathological brain damage. He et al. used SB at 100 mg/kg to treat hypoxic–ischemic brain damage in rats for 2 weeks and found that SB improves the pathology associated with HIBI by modifying the gut microbiota and brain SCFA levels, which subsequently influence the expression of neurotrophic-related genes mediated by histone crotonylation [23]. In a study conducted by Wang et al., type 2 Diabetes Mellitus mice underwent a 4-week intervention with SB, resulting in alterations in the gut microbiota and a reduction in brain injury following stroke [15]. This indicates that prolonged treatment with SB has the potential to modify gut microbiota composition and mitigate brain damage associated with pathology. This study observed that, compared to the CG group, microbial diversity in the HIBI, NEC, and NEC + HIBI groups decreased, indicating that changes in the gut microbiota might influence this bidirectional communication between the brain and the intestine. However, microbial diversity was significantly increased after SB treatment in the HIBI, NEC, and NEC + HIBI groups, suggesting that the level of SB might be related to the composition of the gut microbiota and the abundance of major bacterial phyla. However, study revealed that the composition and abundance of the gut baseline microbiota can metabolize substrates in various ways, thereby influencing the production and utilization of butyrate [36]. Additionally, environmental factors and a high dietary fiber intake can impact intestinal microbial diversity, consequently affecting butyrate utilization [37,38]. Given the constraints of the study conditions, a thorough exploration of these factors’ impact on SB treatment was not conducted. Nevertheless, this research mitigated the interference of these confounding factors by establishing a control group, replicating the experiments, and standardizing the diet and environmental conditions for the neonatal rats.
Although this study investigated the potential mechanisms of SB treatment for brain injury in neonatal rats, it has some limitations. First, the study was conducted exclusively using samples from newborn rats. Second, it did not explore the effect of inflammatory factors on the central nervous system or their specific mechanisms of action in brain injury. Finally, this study did not delve into the molecular mechanisms involving specific gut microbes and metabolites in the SB treatment of brain injury. Therefore, in the future, we will expand the experimental sample size and employ metabolomic and proteomic methodologies to further elucidate the molecular mechanisms by which SB regulates microorganisms in the treatment of neonatal rat brain injury.
5 Conclusion
In conclusion, SB, a metabolite of the intestinal flora, may alleviate brain injury in neonatal rats by modulating the structure of the gut microbiota, affecting the levels of the inflammatory factors IL-10 and IL-17, modulating the expression of Bcl-2 and Bax in intestinal and brain tissues, and reducing neuronal cell apoptosis. This study confirmed that intestinal inflammation plays a role in the onset and progression of brain injury in neonatal rats, thereby furnishing a robust theoretical foundation for the therapeutic use of SB in addressing brain injury.
-
Funding information: This work was supported by the School Cooperation Research Fund of Nanchong City (No. 20SXZRKX003), the Cultivation of Provincial Scientific Research Projects of North Sichuan Medical College (No. CBY22-ZDA04), and Fundamental Research Funds for Central University (No. SCU2023D006). The funders were not involved in the study design; collection, analysis, and interpretation of data; writing of the report; or decision to submit the article for publication.
-
Author contributions: Conception and design of the research: Jing Zhao; acquisition of data: Can Yang and Linlin Yin; analysis and interpretation of data: Jun Zhang and Li Hou; statistical analysis: Lin Jiang and Linlin Yin; obtaining funding: Jing Zhao; drafting of the manuscript: Jing Zhao, Can Yang, and Jun Zhang; and manuscript revision for important intellectual content: Jing Zhao. All the authors have read and approved the final manuscript.
-
Conflict of interest: Authors state no conflict interest.
-
Data availability statement: The datasets generated during and/or analyzed during the current study are available from the corresponding author on reasonable request.
References
[1] Volpe JJ. Brain injury in premature infants: a complex amalgam of destructive and developmental disturbances. Lancet Neurol. 2009;8(1):110–24.10.1016/S1474-4422(08)70294-1Search in Google Scholar PubMed PubMed Central
[2] Liu L. Application of brain ultrasound in premature infants with brain injury. Front Neurol. 2023;14:1095280.10.3389/fneur.2023.1095280Search in Google Scholar PubMed PubMed Central
[3] Strunk T, Inder T, Wang X, Burgner D, Mallard C, Levy O. Infection-induced inflammation and cerebral injury in preterm infants. Lancet Infect Dis. 2014;14(8):751–62.10.1016/S1473-3099(14)70710-8Search in Google Scholar PubMed PubMed Central
[4] Yang L, Zhang Y, Yu X, Li D, Liu N, Xue X, et al. Periventricular microglia polarization and morphological changes accompany NLRP3 inflammasome-mediated neuroinflammation after hypoxic-ischemic white matter damage in premature rats. J Immunol Res. 2023;2023:5149306.10.1155/2023/5149306Search in Google Scholar PubMed PubMed Central
[5] Walani SR. Global burden of preterm birth. Int J Gynaecol Obstet. 2020;150(1):31–3.10.1002/ijgo.13195Search in Google Scholar PubMed
[6] van Dorp W, Haupt R, Anderson RA, Mulder RL, van den Heuvel-Eibrink MM, van Dulmen-den Broeder E, et al. Reproductive function and outcomes in female survivors of childhood, adolescent, and young adult cancer: a review. J Clin Oncol. 2018;36(21):2169–80.10.1200/JCO.2017.76.3441Search in Google Scholar PubMed PubMed Central
[7] Forbes TA, Goldstein EZ, Dupree JL, Jablonska B, Scafidi J, Adams KL, et al. Environmental enrichment ameliorates perinatal brain injury and promotes functional white matter recovery. Nat Commun. 2020;11(1):964.10.1038/s41467-020-14762-7Search in Google Scholar PubMed PubMed Central
[8] Seki D, Mayer M, Hausmann B, Pjevac P, Giordano V, Goeral K, et al. Aberrant gut-microbiota-immune-brain axis development in premature neonates with brain damage. Cell Host Microbe. 2021;29(10):1558–72.e6.10.1016/j.chom.2021.08.004Search in Google Scholar PubMed PubMed Central
[9] Doroszkiewicz J, Groblewska M, Mroczko B. The role of gut microbiota and gut-brain interplay in selected diseases of the central nervous system. Int J Mol Sci. 2021;22(18):10028.10.3390/ijms221810028Search in Google Scholar PubMed PubMed Central
[10] Doifode T, Giridharan VV, Generoso JS, Bhatti G, Collodel A, Schulz PE, et al. The impact of the microbiota-gut-brain axis on Alzheimer’s disease pathophysiology. Pharmacol Res. 2021;164:105314.10.1016/j.phrs.2020.105314Search in Google Scholar PubMed
[11] Silva YP, Bernardi A, Frozza RL. The role of short-chain fatty acids from gut microbiota in gut-brain communication. Front Endocrinol (Lausanne). 2020;11:25.10.3389/fendo.2020.00025Search in Google Scholar PubMed PubMed Central
[12] Wang Y, Song J, Wang X, Qian Q, Wang H. Study on the toxic-mechanism of triclosan chronic exposure to zebrafish (Danio rerio) based on gut-brain axis. Sci Total Environ. 2022;844:156936.10.1016/j.scitotenv.2022.156936Search in Google Scholar PubMed
[13] Zhang LS, Davies SS. Microbial metabolism of dietary components to bioactive metabolites: opportunities for new therapeutic interventions. Genome Med. 2016;8(1):46.10.1186/s13073-016-0296-xSearch in Google Scholar PubMed PubMed Central
[14] Shi L, Sun Z, Su W, Xu F, Xie D, Zhang Q, et al. Treg cell-derived osteopontin promotes microglia-mediated white matter repair after ischemic stroke. Immunity. 2021;54(7):1527–42.e8.10.1016/j.immuni.2021.04.022Search in Google Scholar PubMed PubMed Central
[15] Wang H, Song W, Wu Q, Gao X, Li J, Tan C, et al. Fecal transplantation from db/db mice treated with sodium butyrate attenuates ischemic stroke injury. Microbiol Spectr. 2021;9(2):e0004221.10.1128/Spectrum.00042-21Search in Google Scholar PubMed PubMed Central
[16] Gao Q, Han ZY, Tian DF, Liu GL, Wang ZY, Lin JF, et al. Xinglou Chengqi Decoction improves neurological function in experimental stroke mice as evidenced by gut microbiota analysis and network pharmacology. Chin J Nat Med. 2021;19(12):881–99.10.1016/S1875-5364(21)60079-1Search in Google Scholar PubMed
[17] Jaworska J, Zalewska T, Sypecka J, Ziemka-Nalecz M. Effect of the HDAC inhibitor, sodium butyrate, on neurogenesis in a rat model of neonatal hypoxia-ischemia: potential mechanism of action. Mol Neurobiol. 2019;56(9):6341–70.10.1007/s12035-019-1518-1Search in Google Scholar PubMed PubMed Central
[18] Nielsen MM, Witherden DA, Havran WL. γδ T cells in homeostasis and host defence of epithelial barrier tissues. Nat Rev Immunol. 2017;17(12):733–45.10.1038/nri.2017.101Search in Google Scholar PubMed PubMed Central
[19] Rocha-Ferreira E, Poupon L, Zelco A, Leverin AL, Nair S, Jonsdotter A, et al. Neuroprotective exendin-4 enhances hypothermia therapy in a model of hypoxic-ischaemic encephalopathy. Brain. 2018;141(10):2925–42.10.1093/brain/awy220Search in Google Scholar PubMed PubMed Central
[20] Zhang M, Sui W, Xing Y, Cheng J, Cheng C, Xue F, et al. Angiotensin IV attenuates diabetic cardiomyopathy via suppressing FoxO1-induced excessive autophagy, apoptosis and fibrosis. Theranostics. 2021;11(18):8624–39.10.7150/thno.48561Search in Google Scholar PubMed PubMed Central
[21] Gao P, Zhao Z, Zhang C, Wang C, Long K, Guo L, et al. The therapeutic effects of traditional Chinese medicine Fusu agent in LPS-induced acute lung injury model rats. Drug Des Devel Ther. 2018;12:3867–78.10.2147/DDDT.S181798Search in Google Scholar PubMed PubMed Central
[22] Kim HJ, Leeds P, Chuang DM. The HDAC inhibitor, sodium butyrate, stimulates neurogenesis in the ischemic brain. J Neurochem. 2009;110(4):1226–40.10.1111/j.1471-4159.2009.06212.xSearch in Google Scholar PubMed PubMed Central
[23] He X, Zhang T, Zeng Y, Pei P, Liu Y, Jia W, et al. Sodium butyrate mediates histone crotonylation and alleviated neonatal rats hypoxic-ischemic brain injury through gut-brain axis. Front Microbiol. 2022;13:993146.10.3389/fmicb.2022.993146Search in Google Scholar PubMed PubMed Central
[24] Ziemka-Nalecz M, Jaworska J, Sypecka J, Polowy R, Filipkowski RK, Zalewska T. Sodium butyrate, a histone deacetylase inhibitor, exhibits neuroprotective/neurogenic effects in a rat model of neonatal hypoxia-ischemia. Mol Neurobiol. 2017;54(7):5300–18.10.1007/s12035-016-0049-2Search in Google Scholar PubMed PubMed Central
[25] Sun Q, Ji YC, Wang ZL, She X, He Y, Ai Q, et al. Sodium butyrate alleviates intestinal inflammation in mice with necrotizing enterocolitis. Mediators Inflamm. 2021;2021:6259381.10.1155/2021/6259381Search in Google Scholar PubMed PubMed Central
[26] Ito M, Komai K, Mise-Omata S, Iizuka-Koga M, Noguchi Y, Kondo T, et al. Brain regulatory T cells suppress astrogliosis and potentiate neurological recovery. Nature. 2019;565(7738):246–50.10.1038/s41586-018-0824-5Search in Google Scholar PubMed
[27] Dong X, Zhang X, Li C, Chen J, Xia S, Bao X, et al. γδ T cells aggravate blood-brain-barrier injury via IL-17A in experimental ischemic stroke. Neurosci Lett. 2022;776:136563.10.1016/j.neulet.2022.136563Search in Google Scholar PubMed
[28] Wang L, Yao C, Chen J, Ge Y, Wang C, Wang Y, , et al. γδ T cell in cerebral ischemic stroke: characteristic, immunity-inflammatory role, and therapy. Front Neurol. 2022;13:842212.10.3389/fneur.2022.842212Search in Google Scholar PubMed PubMed Central
[29] Candelario-Jalil E, Dijkhuizen RM, Magnus T. Neuroinflammation, stroke, blood-brain barrier dysfunction, and imaging modalities. Stroke. 2022;53(5):1473–86.10.1161/STROKEAHA.122.036946Search in Google Scholar PubMed PubMed Central
[30] Benakis C, Brea D, Caballero S, Faraco G, Moore J, Murphy M, et al. Commensal microbiota affects ischemic stroke outcome by regulating intestinal γδ T cells. Nat Med. 2016;22(5):516–23.10.1038/nm.4068Search in Google Scholar PubMed PubMed Central
[31] Zhang M, Zhou Q, Dorfman RG, Huang X, Fan T, Zhang H, et al. Butyrate inhibits interleukin-17 and generates Tregs to ameliorate colorectal colitis in rats. BMC Gastroenterol. 2016;16(1):84.10.1186/s12876-016-0500-xSearch in Google Scholar PubMed PubMed Central
[32] Johnston MV, Trescher WH, Ishida A, Nakajima W. Neurobiology of hypoxic-ischemic injury in the developing brain. Pediatr Res. 2001;49(6):735–41.10.1203/00006450-200106000-00003Search in Google Scholar PubMed
[33] Zhu C, Wang X, Xu F, Bahr BA, Shibata M, Uchiyama Y, et al. The influence of age on apoptotic and other mechanisms of cell death after cerebral hypoxia-ischemia. Cell Death Differ. 2005;12(2):162–76.10.1038/sj.cdd.4401545Search in Google Scholar PubMed
[34] Quigley EMM. Microbiota-brain-gut axis and neurodegenerative diseases. Curr Neurol Neurosci Rep. 2017;17(12):94.10.1007/s11910-017-0802-6Search in Google Scholar PubMed
[35] Mohajeri MH, La Fata G, Steinert RE, Weber P. Relationship between the gut microbiome and brain function. Nutr Rev. 2018;76(7):481–96.10.1093/nutrit/nuy009Search in Google Scholar PubMed
[36] Maiuolo J, Bulotta RM, Ruga S, Nucera S, Macrì R, Scarano F, et al. The postbiotic properties of butyrate in the modulation of the gut microbiota: the potential of its combination with polyphenols and dietary fibers. Int J Mol Sci. 2024;25(13):6971.10.3390/ijms25136971Search in Google Scholar PubMed PubMed Central
[37] Fong W, Li Q, Yu J. Gut microbiota modulation: a novel strategy for prevention and treatment of colorectal cancer. Oncogene. 2020;39(26):4925–43.10.1038/s41388-020-1341-1Search in Google Scholar PubMed PubMed Central
[38] Hodgkinson K, El Abbar F, Dobranowski P, Manoogian J, Butcher J, Figeys D, et al. Butyrate’s role in human health and the current progress towards its clinical application to treat gastrointestinal disease. Clin Nutr. 2023;42(2):61–75.10.1016/j.clnu.2022.10.024Search in Google Scholar PubMed
© 2025 the author(s), published by De Gruyter
This work is licensed under the Creative Commons Attribution 4.0 International License.
Articles in the same Issue
- Safety assessment and modulation of hepatic CYP3A4 and UGT enzymes by Glycyrrhiza glabra aqueous extract in female Sprague–Dawley rats
- Adult-onset Still’s disease with hemophagocytic lymphohistiocytosis and minimal change disease
- Role of DZ2002 in reducing corneal graft rejection in rats by influencing Th17 activation via inhibition of the PI3K/AKT pathway and downregulation of TRAF1
- Biomedical Sciences
- Mechanism of triptolide regulating proliferation and apoptosis of hepatoma cells by inhibiting JAK/STAT pathway
- Maslinic acid improves mitochondrial function and inhibits oxidative stress and autophagy in human gastric smooth muscle cells
- Comparative analysis of inflammatory biomarkers for the diagnosis of neonatal sepsis: IL-6, IL-8, SAA, CRP, and PCT
- Post-pandemic insights on COVID-19 and premature ovarian insufficiency
- Proteome differences of dental stem cells between permanent and deciduous teeth by data-independent acquisition proteomics
- Optimizing a modified cetyltrimethylammonium bromide protocol for fungal DNA extraction: Insights from multilocus gene amplification
- Preliminary analysis of the role of small hepatitis B surface proteins mutations in the pathogenesis of occult hepatitis B infection via the endoplasmic reticulum stress-induced UPR-ERAD pathway
- Efficacy of alginate-coated gold nanoparticles against antibiotics-resistant Staphylococcus and Streptococcus pathogens of acne origins
- Battling COVID-19 leveraging nanobiotechnology: Gold and silver nanoparticle–B-escin conjugates as SARS-CoV-2 inhibitors
- Neurodegenerative diseases and neuroinflammation-induced apoptosis
- Impact of fracture fixation surgery on cognitive function and the gut microbiota in mice with a history of stroke
- COLEC10: A potential tumor suppressor and prognostic biomarker in hepatocellular carcinoma through modulation of EMT and PI3K-AKT pathways
- High-temperature requirement serine protease A2 inhibitor UCF-101 ameliorates damaged neurons in traumatic brain-injured rats by the AMPK/NF-κB pathway
- SIK1 inhibits IL-1β-stimulated cartilage apoptosis and inflammation in vitro through the CRTC2/CREB1 signaling
- Rutin–chitooligosaccharide complex: Comprehensive evaluation of its anti-inflammatory and analgesic properties in vitro and in vivo
- Knockdown of Aurora kinase B alleviates high glucose-triggered trophoblast cells damage and inflammation during gestational diabetes
- Calcium-sensing receptors promoted Homer1 expression and osteogenic differentiation in bone marrow mesenchymal stem cells
- ABI3BP can inhibit the proliferation, invasion, and epithelial–mesenchymal transition of non-small-cell lung cancer cells
- Changes in blood glucose and metabolism in hyperuricemia mice
- Rapid detection of the GJB2 c.235delC mutation based on CRISPR-Cas13a combined with lateral flow dipstick
- IL-11 promotes Ang II-induced autophagy inhibition and mitochondrial dysfunction in atrial fibroblasts
- Short-chain fatty acid attenuates intestinal inflammation by regulation of gut microbial composition in antibiotic-associated diarrhea
- Application of metagenomic next-generation sequencing in the diagnosis of pathogens in patients with diabetes complicated by community-acquired pneumonia
- NAT10 promotes radiotherapy resistance in non-small cell lung cancer by regulating KPNB1-mediated PD-L1 nuclear translocation
- Phytol-mixed micelles alleviate dexamethasone-induced osteoporosis in zebrafish: Activation of the MMP3–OPN–MAPK pathway-mediating bone remodeling
- Association between TGF-β1 and β-catenin expression in the vaginal wall of patients with pelvic organ prolapse
- Primary pleomorphic liposarcoma involving bilateral ovaries: Case report and literature review
- Effects of de novo donor-specific Class I and II antibodies on graft outcomes after liver transplantation: A pilot cohort study
- Sleep architecture in Alzheimer’s disease continuum: The deep sleep question
- Ephedra fragilis plant extract: A groundbreaking corrosion inhibitor for mild steel in acidic environments – electrochemical, EDX, DFT, and Monte Carlo studies
- Langerhans cell histiocytosis in an adult patient with upper jaw and pulmonary involvement: A case report
- Inhibition of mast cell activation by Jaranol-targeted Pirin ameliorates allergic responses in mouse allergic rhinitis
- Aeromonas veronii-induced septic arthritis of the hip in a child with acute lymphoblastic leukemia
- Clusterin activates the heat shock response via the PI3K/Akt pathway to protect cardiomyocytes from high-temperature-induced apoptosis
- Research progress on fecal microbiota transplantation in tumor prevention and treatment
- Low-pressure exposure influences the development of HAPE
- Stigmasterol alleviates endplate chondrocyte degeneration through inducing mitophagy by enhancing PINK1 mRNA acetylation via the ESR1/NAT10 axis
- AKAP12, mediated by transcription factor 21, inhibits cell proliferation, metastasis, and glycolysis in lung squamous cell carcinoma
- Association between PAX9 or MSX1 gene polymorphism and tooth agenesis risk: A meta-analysis
- A case of bloodstream infection caused by Neisseria gonorrhoeae
- Case of nasopharyngeal tuberculosis complicated with cervical lymph node and pulmonary tuberculosis
- p-Cymene inhibits pro-fibrotic and inflammatory mediators to prevent hepatic dysfunction
- GFPT2 promotes paclitaxel resistance in epithelial ovarian cancer cells via activating NF-κB signaling pathway
- Transfer RNA-derived fragment tRF-36 modulates varicose vein progression via human vascular smooth muscle cell Notch signaling
- RTA-408 attenuates the hepatic ischemia reperfusion injury in mice possibly by activating the Nrf2/HO-1 signaling pathway
- Decreased serum TIMP4 levels in patients with rheumatoid arthritis
- Sirt1 protects lupus nephritis by inhibiting the NLRP3 signaling pathway in human glomerular mesangial cells
- Sodium butyrate aids brain injury repair in neonatal rats
- Interaction of MTHFR polymorphism with PAX1 methylation in cervical cancer
- Convallatoxin inhibits proliferation and angiogenesis of glioma cells via regulating JAK/STAT3 pathway
- The effect of the PKR inhibitor, 2-aminopurine, on the replication of influenza A virus, and segment 8 mRNA splicing
- Effects of Ire1 gene on virulence and pathogenicity of Candida albicans
- Small cell lung cancer with small intestinal metastasis: Case report and literature review
- GRB14: A prognostic biomarker driving tumor progression in gastric cancer through the PI3K/AKT signaling pathway by interacting with COBLL1
- 15-Lipoxygenase-2 deficiency induces foam cell formation that can be restored by salidroside through the inhibition of arachidonic acid effects
- FTO alleviated the diabetic nephropathy progression by regulating the N6-methyladenosine levels of DACT1
- Clinical relevance of inflammatory markers in the evaluation of severity of ulcerative colitis: A retrospective study
- Zinc valproic acid complex promotes osteoblast differentiation and exhibits anti-osteoporotic potential
- Primary pulmonary synovial sarcoma in the bronchial cavity: A case report
- Metagenomic next-generation sequencing of alveolar lavage fluid improves the detection of pulmonary infection
- Uterine tumor resembling ovarian sex cord tumor with extensive rhabdoid differentiation: A case report
- Genomic analysis of a novel ST11(PR34365) Clostridioides difficile strain isolated from the human fecal of a CDI patient in Guizhou, China
- Effects of tiered cardiac rehabilitation on CRP, TNF-α, and physical endurance in older adults with coronary heart disease
- Changes in T-lymphocyte subpopulations in patients with colorectal cancer before and after acupoint catgut embedding acupuncture observation
- Modulating the tumor microenvironment: The role of traditional Chinese medicine in improving lung cancer treatment
- Alterations of metabolites related to microbiota–gut–brain axis in plasma of colon cancer, esophageal cancer, stomach cancer, and lung cancer patients
- Research on individualized drug sensitivity detection technology based on bio-3D printing technology for precision treatment of gastrointestinal stromal tumors
- CEBPB promotes ulcerative colitis-associated colorectal cancer by stimulating tumor growth and activating the NF-κB/STAT3 signaling pathway
- Oncolytic bacteria: A revolutionary approach to cancer therapy
- A de novo meningioma with rapid growth: A possible malignancy imposter?
- Diagnosis of secondary tuberculosis infection in an asymptomatic elderly with cancer using next-generation sequencing: Case report
- Hesperidin and its zinc(ii) complex enhance osteoblast differentiation and bone formation: In vitro and in vivo evaluations
- Research progress on the regulation of autophagy in cardiovascular diseases by chemokines
- Anti-arthritic, immunomodulatory, and inflammatory regulation by the benzimidazole derivative BMZ-AD: Insights from an FCA-induced rat model
- Immunoassay for pyruvate kinase M1/2 as an Alzheimer’s biomarker in CSF
- The role of HDAC11 in age-related hearing loss: Mechanisms and therapeutic implications
- Evaluation and application analysis of animal models of PIPNP based on data mining
- Therapeutic approaches for liver fibrosis/cirrhosis by targeting pyroptosis
- Fabrication of zinc oxide nanoparticles using Ruellia tuberosa leaf extract induces apoptosis through P53 and STAT3 signalling pathways in prostate cancer cells
- Haplo-hematopoietic stem cell transplantation and immunoradiotherapy for severe aplastic anemia complicated with nasopharyngeal carcinoma: A case report
- Modulation of the KEAP1-NRF2 pathway by Erianin: A novel approach to reduce psoriasiform inflammation and inflammatory signaling
- The expression of epidermal growth factor receptor 2 and its relationship with tumor-infiltrating lymphocytes and clinical pathological features in breast cancer patients
- Innovations in MALDI-TOF Mass Spectrometry: Bridging modern diagnostics and historical insights
- BAP1 complexes with YY1 and RBBP7 and its downstream targets in ccRCC cells
- Hypereosinophilic syndrome with elevated IgG4 and T-cell clonality: A report of two cases
- Electroacupuncture alleviates sciatic nerve injury in sciatica rats by regulating BDNF and NGF levels, myelin sheath degradation, and autophagy
- Polydatin prevents cholesterol gallstone formation by regulating cholesterol metabolism via PPAR-γ signaling
- RNF144A and RNF144B: Important molecules for health
- Analysis of the detection rate and related factors of thyroid nodules in the healthy population
- Artesunate inhibits hepatocellular carcinoma cell migration and invasion through OGA-mediated O-GlcNAcylation of ZEB1
- Endovascular management of post-pancreatectomy hemorrhage caused by a hepatic artery pseudoaneurysm: Case report and review of the literature
- Efficacy and safety of anti-PD-1/PD-L1 antibodies in patients with relapsed refractory diffuse large B-cell lymphoma: A meta-analysis
- SATB2 promotes humeral fracture healing in rats by activating the PI3K/AKT pathway
- Overexpression of the ferroptosis-related gene, NFS1, corresponds to gastric cancer growth and tumor immune infiltration
- Understanding risk factors and prognosis in diabetic foot ulcers
- Atractylenolide I alleviates the experimental allergic response in mice by suppressing TLR4/NF-kB/NLRP3 signalling
- FBXO31 inhibits the stemness characteristics of CD147 (+) melanoma stem cells
- Immune molecule diagnostics in colorectal cancer: CCL2 and CXCL11
- Inhibiting CXCR6 promotes senescence of activated hepatic stellate cells with limited proinflammatory SASP to attenuate hepatic fibrosis
- Cadmium toxicity, health risk and its remediation using low-cost biochar adsorbents
- Pulmonary cryptococcosis with headache as the first presentation: A case report
- Solitary pulmonary metastasis with cystic airspaces in colon cancer: A rare case report
- RUNX1 promotes denervation-induced muscle atrophy by activating the JUNB/NF-κB pathway and driving M1 macrophage polarization
- Morphometric analysis and immunobiological investigation of Indigofera oblongifolia on the infected lung with Plasmodium chabaudi
- The NuA4/TIP60 histone-modifying complex and Hr78 modulate the Lobe2 mutant eye phenotype
- Experimental study on salmon demineralized bone matrix loaded with recombinant human bone morphogenetic protein-2: In vitro and in vivo study
- A case of IgA nephropathy treated with a combination of telitacicept and half-dose glucocorticoids
- Analgesic and toxicological evaluation of cannabidiol-rich Moroccan Cannabis sativa L. (Khardala variety) extract: Evidence from an in vivo and in silico study
- Wound healing and signaling pathways
- Combination of immunotherapy and whole-brain radiotherapy on prognosis of patients with multiple brain metastases: A retrospective cohort study
- To explore the relationship between endometrial hyperemia and polycystic ovary syndrome
- Research progress on the impact of curcumin on immune responses in breast cancer
- Biogenic Cu/Ni nanotherapeutics from Descurainia sophia (L.) Webb ex Prantl seeds for the treatment of lung cancer
- Dapagliflozin attenuates atrial fibrosis via the HMGB1/RAGE pathway in atrial fibrillation rats
- Glycitein alleviates inflammation and apoptosis in keratinocytes via ROS-associated PI3K–Akt signalling pathway
- ADH5 inhibits proliferation but promotes EMT in non-small cell lung cancer cell through activating Smad2/Smad3
- Apoptotic efficacies of AgNPs formulated by Syzygium aromaticum leaf extract on 32D-FLT3-ITD human leukemia cell line with PI3K/AKT/mTOR signaling pathway
- Novel cuproptosis-related genes C1QBP and PFKP identified as prognostic and therapeutic targets in lung adenocarcinoma
- Bee venom promotes exosome secretion and alters miRNA cargo in T cells
- Treatment of pure red cell aplasia in a chronic kidney disease patient with roxadustat: A case report
- Comparative bioinformatics analysis of the Wnt pathway in breast cancer: Selection of novel biomarker panels associated with ER status
- Kynurenine facilitates renal cell carcinoma progression by suppressing M2 macrophage pyroptosis through inhibition of CASP1 cleavage
- RFX5 promotes the growth, motility, and inhibits apoptosis of gastric adenocarcinoma cells through the SIRT1/AMPK axis
- ALKBH5 exacerbates early cardiac damage after radiotherapy for breast cancer via m6A demethylation of TLR4
- Phytochemicals of Roman chamomile: Antioxidant, anti-aging, and whitening activities of distillation residues
- Circadian gene Cry1 inhibits the tumorigenicity of hepatocellular carcinoma by the BAX/BCL2-mediated apoptosis pathway
- The TNFR-RIPK1/RIPK3 signalling pathway mediates the effect of lanthanum on necroptosis of nerve cells
- Longitudinal monitoring of autoantibody dynamics in patients with early-stage non-small-cell lung cancer undergoing surgery
- The potential role of rutin, a flavonoid, in the management of cancer through modulation of cell signaling pathways
- Construction of pectinase gene engineering microbe and its application in tobacco sheets
- Construction of a microbial abundance prognostic scoring model based on intratumoral microbial data for predicting the prognosis of lung squamous cell carcinoma
- Sepsis complicated by haemophagocytic lymphohistiocytosis triggered by methicillin-resistant Staphylococcus aureus and human herpesvirus 8 in an immunocompromised elderly patient: A case report
- Sarcopenia in liver transplantation: A comprehensive bibliometric study of current research trends and future directions
- Advances in cancer immunotherapy and future directions in personalized medicine
- Can coronavirus disease 2019 affect male fertility or cause spontaneous abortion? A two-sample Mendelian randomization analysis
- Heat stroke associated with novel leukaemia inhibitory factor receptor gene variant in a Chinese infant
- PSME2 exacerbates ulcerative colitis by disrupting intestinal barrier function and promoting autophagy-dependent inflammation
- Hyperosmolar hyperglycemic state with severe hypernatremia coexisting with central diabetes insipidus: A case report and literature review
- Efficacy and mechanism of escin in improving the tissue microenvironment of blood vessel walls via anti-inflammatory and anticoagulant effects: Implications for clinical practice
- Merkel cell carcinoma: Clinicopathological analysis of three patients and literature review
- Genetic variants in VWF exon 26 and their implications for type 1 Von Willebrand disease in a Saudi Arabian population
- Lipoxin A4 improves myocardial ischemia/reperfusion injury through the Notch1-Nrf2 signaling pathway
- High levels of EPHB2 expression predict a poor prognosis and promote tumor progression in endometrial cancer
- Knockdown of SHP-2 delays renal tubular epithelial cell injury in diabetic nephropathy by inhibiting NLRP3 inflammasome-mediated pyroptosis
- Exploring the toxicity mechanisms and detoxification methods of Rhizoma Paridis
- Concomitant gastric carcinoma and primary hepatic angiosarcoma in a patient: A case report
- YAP1 inhibition protects retinal vascular endothelial cells under high glucose by inhibiting autophagy
- Identification of secretory protein related biomarkers for primary biliary cholangitis based on machine learning and experimental validation
- Integrated genomic and clinical modeling for prognostic assessment of radiotherapy response in rectal neoplasms
- Stem cell-based approaches for glaucoma treatment: a mini review
- Bacteriophage titering by optical density means: KOTE assays
- Neutrophil-related signature characterizes immune landscape and predicts prognosis of esophageal squamous cell carcinoma
- Integrated bioinformatic analysis and machine learning strategies to identify new potential immune biomarkers for Alzheimer’s disease and their targeting prediction with geniposide
- TRIM21 accelerates ferroptosis in intervertebral disc degeneration by promoting SLC7A11 ubiquitination and degradation
- TRIM21 accelerates ferroptosis in intervertebral disc degeneration by promoting SLC7A11 ubiquitination and degradation
- Histone modification and non-coding RNAs in skin aging: emerging therapeutic avenues
- A multiplicative behavioral model of DNA replication initiation in cells
- Biogenic gold nanoparticles synthesized from Pergularia daemia leaves: a novel approach for nasopharyngeal carcinoma therapy
- Creutzfeldt-Jakob disease mimicking Hashimoto’s encephalopathy: steroid response followed by decline
- Impact of semaphorin, Sema3F, on the gene transcription and protein expression of CREB and its binding protein CREBBP in primary hippocampal neurons of rats
- Iron overloaded M0 macrophages regulate hematopoietic stem cell proliferation and senescence via the Nrf2/Keap1/HO-1 pathway
- Revisiting the link between NADPH oxidase p22phox C242T polymorphism and ischemic stroke risk: an updated meta-analysis
- Exercise training preferentially modulates α1D-adrenergic receptor expression in peripheral arteries of hypertensive rats
- Overexpression of HE4/WFDC2 gene in mice leads to keratitis and corneal opacity
- Tumoral calcinosis complicating CKD-MBD in hemodialysis: a case report
- Mechanism of KLF4 Inhibition of epithelial-mesenchymal transition in gastric cancer cells
- Dissecting the molecular mechanisms of T cell infiltration in psoriatic lesions via cell-cell communication and regulatory network analysis
- Circadian rhythm-based prognostic features predict immune infiltration and tumor microenvironment in molecular subtypes of hepatocellular carcinoma
- Ecology and Environmental Science
- Optimization and comparative study of Bacillus consortia for cellulolytic potential and cellulase enzyme activity
- The complete mitochondrial genome analysis of Haemaphysalis hystricis Supino, 1897 (Ixodida: Ixodidae) and its phylogenetic implications
- Epidemiological characteristics and risk factors analysis of multidrug-resistant tuberculosis among tuberculosis population in Huzhou City, Eastern China
- Indices of human impacts on landscapes: How do they reflect the proportions of natural habitats?
- Genetic analysis of the Siberian flying squirrel population in the northern Changbai Mountains, Northeast China: Insights into population status and conservation
- Diversity and environmental drivers of Suillus communities in Pinus sylvestris var. mongolica forests of Inner Mongolia
- Global assessment of the fate of nitrogen deposition in forest ecosystems: Insights from 15N tracer studies
- Fungal and bacterial pathogenic co-infections mainly lead to the assembly of microbial community in tobacco stems
- Influencing of coal industry related airborne particulate matter on ocular surface tear film injury and inflammatory factor expression in Sprague-Dawley rats
- Temperature-dependent development, predation, and life table of Sphaerophoria macrogaster (Thomson) (Diptera: Syrphidae) feeding on Myzus persicae (Sulzer) (Homoptera: Aphididae)
- Eleonora’s falcon trophic interactions with insects within its breeding range: A systematic review
- Agriculture
- Integrated analysis of transcriptome, sRNAome, and degradome involved in the drought-response of maize Zhengdan958
- Variation in flower frost tolerance among seven apple cultivars and transcriptome response patterns in two contrastingly frost-tolerant selected cultivars
- Heritability of durable resistance to stripe rust in bread wheat (Triticum aestivum L.)
- Molecular mechanism of follicular development in laying hens based on the regulation of water metabolism
- Molecular identification and control studies on Coridius sp. (Hemiptera: Dinidoridae) in Al-Khamra, south of Jeddah, Saudi Arabia
- 10.1515/biol-2025-1218
- Animal Science
- Effect of sex ratio on the life history traits of an important invasive species, Spodoptera frugiperda
- Plant Sciences
- Hairpin in a haystack: In silico identification and characterization of plant-conserved microRNA in Rafflesiaceae
- Widely targeted metabolomics of different tissues in Rubus corchorifolius
- The complete chloroplast genome of Gerbera piloselloides (L.) Cass., 1820 (Carduoideae, Asteraceae) and its phylogenetic analysis
- Field trial to correlate mineral solubilization activity of Pseudomonas aeruginosa and biochemical content of groundnut plants
- Correlation analysis between semen routine parameters and sperm DNA fragmentation index in patients with semen non-liquefaction: A retrospective study
- Plasticity of the anatomical traits of Rhododendron L. (Ericaceae) leaves and its implications in adaptation to the plateau environment
- Effects of Piriformospora indica and arbuscular mycorrhizal fungus on growth and physiology of Moringa oleifera under low-temperature stress
- Effects of different sources of potassium fertiliser on yield, fruit quality and nutrient absorption in “Harward” kiwifruit (Actinidia deliciosa)
- Comparative efficiency and residue levels of spraying programs against powdery mildew in grape varieties
- The DREB7 transcription factor enhances salt tolerance in soybean plants under salt stress
- Using plant electrical signals of water hyacinth (Eichhornia crassipes) for water pollution monitoring
- Response of hybrid grapes (Vitis spp.) to two biotic stress factors and their seedlessness status
- Metabolomic profiling reveals systemic metabolic reprogramming in Alternaria alternata under salt stress
- Effects of mixed salinity and alkali stress on photosynthetic characteristics and PEPC gene expression of vegetable soybean seedlings
- Food Science
- Phytochemical analysis of Stachys iva: Discovering the optimal extract conditions and its bioactive compounds
- Review on role of honey in disease prevention and treatment through modulation of biological activities
- Computational analysis of polymorphic residues in maltose and maltotriose transporters of a wild Saccharomyces cerevisiae strain
- Optimization of phenolic compound extraction from Tunisian squash by-products: A sustainable approach for antioxidant and antibacterial applications
- Liupao tea aqueous extract alleviates dextran sulfate sodium-induced ulcerative colitis in rats by modulating the gut microbiota
- Toxicological qualities and detoxification trends of fruit by-products for valorization: A review
- Polyphenolic spectrum of cornelian cherry fruits and their health-promoting effect
- Optimizing the encapsulation of the refined extract of squash peels for functional food applications: A sustainable approach to reduce food waste
- Advancements in curcuminoid formulations: An update on bioavailability enhancement strategies curcuminoid bioavailability and formulations
- Impact of saline sprouting on antioxidant properties and bioactive compounds in chia seeds
- The dilemma of food genetics and improvement
- Causal effects of trace elements on congenital foot deformities and their subtypes: a Mendelian randomization study with gut microbiota mediation
- Honey meets acidity: a novel biopreservative approach against foodborne pathogens
- Bioengineering and Biotechnology
- Impact of hyaluronic acid-modified hafnium metalorganic frameworks containing rhynchophylline on Alzheimer’s disease
- Emerging patterns in nanoparticle-based therapeutic approaches for rheumatoid arthritis: A comprehensive bibliometric and visual analysis spanning two decades
- Application of CRISPR/Cas gene editing for infectious disease control in poultry
- Preparation of hafnium nitride-coated titanium implants by magnetron sputtering technology and evaluation of their antibacterial properties and biocompatibility
- Preparation and characterization of lemongrass oil nanoemulsion: Antimicrobial, antibiofilm, antioxidant, and anticancer activities
- Fluorescent detection of sialic acid–binding lectins using functionalized quantum dots in ELISA format
- Smart tectorigenin-loaded ZnO hydrogel nanocomposites for targeted wound healing: synthesis, characterization, and biological evaluation
- Corrigendum
- Corrigendum to “Utilization of convolutional neural networks to analyze microscopic images for high-throughput screening of mesenchymal stem cells”
- Corrigendum to “Effects of Ire1 gene on virulence and pathogenicity of Candida albicans”
- Retraction
- Retraction of “Down-regulation of miR-539 indicates poor prognosis in patients with pancreatic cancer”
Articles in the same Issue
- Safety assessment and modulation of hepatic CYP3A4 and UGT enzymes by Glycyrrhiza glabra aqueous extract in female Sprague–Dawley rats
- Adult-onset Still’s disease with hemophagocytic lymphohistiocytosis and minimal change disease
- Role of DZ2002 in reducing corneal graft rejection in rats by influencing Th17 activation via inhibition of the PI3K/AKT pathway and downregulation of TRAF1
- Biomedical Sciences
- Mechanism of triptolide regulating proliferation and apoptosis of hepatoma cells by inhibiting JAK/STAT pathway
- Maslinic acid improves mitochondrial function and inhibits oxidative stress and autophagy in human gastric smooth muscle cells
- Comparative analysis of inflammatory biomarkers for the diagnosis of neonatal sepsis: IL-6, IL-8, SAA, CRP, and PCT
- Post-pandemic insights on COVID-19 and premature ovarian insufficiency
- Proteome differences of dental stem cells between permanent and deciduous teeth by data-independent acquisition proteomics
- Optimizing a modified cetyltrimethylammonium bromide protocol for fungal DNA extraction: Insights from multilocus gene amplification
- Preliminary analysis of the role of small hepatitis B surface proteins mutations in the pathogenesis of occult hepatitis B infection via the endoplasmic reticulum stress-induced UPR-ERAD pathway
- Efficacy of alginate-coated gold nanoparticles against antibiotics-resistant Staphylococcus and Streptococcus pathogens of acne origins
- Battling COVID-19 leveraging nanobiotechnology: Gold and silver nanoparticle–B-escin conjugates as SARS-CoV-2 inhibitors
- Neurodegenerative diseases and neuroinflammation-induced apoptosis
- Impact of fracture fixation surgery on cognitive function and the gut microbiota in mice with a history of stroke
- COLEC10: A potential tumor suppressor and prognostic biomarker in hepatocellular carcinoma through modulation of EMT and PI3K-AKT pathways
- High-temperature requirement serine protease A2 inhibitor UCF-101 ameliorates damaged neurons in traumatic brain-injured rats by the AMPK/NF-κB pathway
- SIK1 inhibits IL-1β-stimulated cartilage apoptosis and inflammation in vitro through the CRTC2/CREB1 signaling
- Rutin–chitooligosaccharide complex: Comprehensive evaluation of its anti-inflammatory and analgesic properties in vitro and in vivo
- Knockdown of Aurora kinase B alleviates high glucose-triggered trophoblast cells damage and inflammation during gestational diabetes
- Calcium-sensing receptors promoted Homer1 expression and osteogenic differentiation in bone marrow mesenchymal stem cells
- ABI3BP can inhibit the proliferation, invasion, and epithelial–mesenchymal transition of non-small-cell lung cancer cells
- Changes in blood glucose and metabolism in hyperuricemia mice
- Rapid detection of the GJB2 c.235delC mutation based on CRISPR-Cas13a combined with lateral flow dipstick
- IL-11 promotes Ang II-induced autophagy inhibition and mitochondrial dysfunction in atrial fibroblasts
- Short-chain fatty acid attenuates intestinal inflammation by regulation of gut microbial composition in antibiotic-associated diarrhea
- Application of metagenomic next-generation sequencing in the diagnosis of pathogens in patients with diabetes complicated by community-acquired pneumonia
- NAT10 promotes radiotherapy resistance in non-small cell lung cancer by regulating KPNB1-mediated PD-L1 nuclear translocation
- Phytol-mixed micelles alleviate dexamethasone-induced osteoporosis in zebrafish: Activation of the MMP3–OPN–MAPK pathway-mediating bone remodeling
- Association between TGF-β1 and β-catenin expression in the vaginal wall of patients with pelvic organ prolapse
- Primary pleomorphic liposarcoma involving bilateral ovaries: Case report and literature review
- Effects of de novo donor-specific Class I and II antibodies on graft outcomes after liver transplantation: A pilot cohort study
- Sleep architecture in Alzheimer’s disease continuum: The deep sleep question
- Ephedra fragilis plant extract: A groundbreaking corrosion inhibitor for mild steel in acidic environments – electrochemical, EDX, DFT, and Monte Carlo studies
- Langerhans cell histiocytosis in an adult patient with upper jaw and pulmonary involvement: A case report
- Inhibition of mast cell activation by Jaranol-targeted Pirin ameliorates allergic responses in mouse allergic rhinitis
- Aeromonas veronii-induced septic arthritis of the hip in a child with acute lymphoblastic leukemia
- Clusterin activates the heat shock response via the PI3K/Akt pathway to protect cardiomyocytes from high-temperature-induced apoptosis
- Research progress on fecal microbiota transplantation in tumor prevention and treatment
- Low-pressure exposure influences the development of HAPE
- Stigmasterol alleviates endplate chondrocyte degeneration through inducing mitophagy by enhancing PINK1 mRNA acetylation via the ESR1/NAT10 axis
- AKAP12, mediated by transcription factor 21, inhibits cell proliferation, metastasis, and glycolysis in lung squamous cell carcinoma
- Association between PAX9 or MSX1 gene polymorphism and tooth agenesis risk: A meta-analysis
- A case of bloodstream infection caused by Neisseria gonorrhoeae
- Case of nasopharyngeal tuberculosis complicated with cervical lymph node and pulmonary tuberculosis
- p-Cymene inhibits pro-fibrotic and inflammatory mediators to prevent hepatic dysfunction
- GFPT2 promotes paclitaxel resistance in epithelial ovarian cancer cells via activating NF-κB signaling pathway
- Transfer RNA-derived fragment tRF-36 modulates varicose vein progression via human vascular smooth muscle cell Notch signaling
- RTA-408 attenuates the hepatic ischemia reperfusion injury in mice possibly by activating the Nrf2/HO-1 signaling pathway
- Decreased serum TIMP4 levels in patients with rheumatoid arthritis
- Sirt1 protects lupus nephritis by inhibiting the NLRP3 signaling pathway in human glomerular mesangial cells
- Sodium butyrate aids brain injury repair in neonatal rats
- Interaction of MTHFR polymorphism with PAX1 methylation in cervical cancer
- Convallatoxin inhibits proliferation and angiogenesis of glioma cells via regulating JAK/STAT3 pathway
- The effect of the PKR inhibitor, 2-aminopurine, on the replication of influenza A virus, and segment 8 mRNA splicing
- Effects of Ire1 gene on virulence and pathogenicity of Candida albicans
- Small cell lung cancer with small intestinal metastasis: Case report and literature review
- GRB14: A prognostic biomarker driving tumor progression in gastric cancer through the PI3K/AKT signaling pathway by interacting with COBLL1
- 15-Lipoxygenase-2 deficiency induces foam cell formation that can be restored by salidroside through the inhibition of arachidonic acid effects
- FTO alleviated the diabetic nephropathy progression by regulating the N6-methyladenosine levels of DACT1
- Clinical relevance of inflammatory markers in the evaluation of severity of ulcerative colitis: A retrospective study
- Zinc valproic acid complex promotes osteoblast differentiation and exhibits anti-osteoporotic potential
- Primary pulmonary synovial sarcoma in the bronchial cavity: A case report
- Metagenomic next-generation sequencing of alveolar lavage fluid improves the detection of pulmonary infection
- Uterine tumor resembling ovarian sex cord tumor with extensive rhabdoid differentiation: A case report
- Genomic analysis of a novel ST11(PR34365) Clostridioides difficile strain isolated from the human fecal of a CDI patient in Guizhou, China
- Effects of tiered cardiac rehabilitation on CRP, TNF-α, and physical endurance in older adults with coronary heart disease
- Changes in T-lymphocyte subpopulations in patients with colorectal cancer before and after acupoint catgut embedding acupuncture observation
- Modulating the tumor microenvironment: The role of traditional Chinese medicine in improving lung cancer treatment
- Alterations of metabolites related to microbiota–gut–brain axis in plasma of colon cancer, esophageal cancer, stomach cancer, and lung cancer patients
- Research on individualized drug sensitivity detection technology based on bio-3D printing technology for precision treatment of gastrointestinal stromal tumors
- CEBPB promotes ulcerative colitis-associated colorectal cancer by stimulating tumor growth and activating the NF-κB/STAT3 signaling pathway
- Oncolytic bacteria: A revolutionary approach to cancer therapy
- A de novo meningioma with rapid growth: A possible malignancy imposter?
- Diagnosis of secondary tuberculosis infection in an asymptomatic elderly with cancer using next-generation sequencing: Case report
- Hesperidin and its zinc(ii) complex enhance osteoblast differentiation and bone formation: In vitro and in vivo evaluations
- Research progress on the regulation of autophagy in cardiovascular diseases by chemokines
- Anti-arthritic, immunomodulatory, and inflammatory regulation by the benzimidazole derivative BMZ-AD: Insights from an FCA-induced rat model
- Immunoassay for pyruvate kinase M1/2 as an Alzheimer’s biomarker in CSF
- The role of HDAC11 in age-related hearing loss: Mechanisms and therapeutic implications
- Evaluation and application analysis of animal models of PIPNP based on data mining
- Therapeutic approaches for liver fibrosis/cirrhosis by targeting pyroptosis
- Fabrication of zinc oxide nanoparticles using Ruellia tuberosa leaf extract induces apoptosis through P53 and STAT3 signalling pathways in prostate cancer cells
- Haplo-hematopoietic stem cell transplantation and immunoradiotherapy for severe aplastic anemia complicated with nasopharyngeal carcinoma: A case report
- Modulation of the KEAP1-NRF2 pathway by Erianin: A novel approach to reduce psoriasiform inflammation and inflammatory signaling
- The expression of epidermal growth factor receptor 2 and its relationship with tumor-infiltrating lymphocytes and clinical pathological features in breast cancer patients
- Innovations in MALDI-TOF Mass Spectrometry: Bridging modern diagnostics and historical insights
- BAP1 complexes with YY1 and RBBP7 and its downstream targets in ccRCC cells
- Hypereosinophilic syndrome with elevated IgG4 and T-cell clonality: A report of two cases
- Electroacupuncture alleviates sciatic nerve injury in sciatica rats by regulating BDNF and NGF levels, myelin sheath degradation, and autophagy
- Polydatin prevents cholesterol gallstone formation by regulating cholesterol metabolism via PPAR-γ signaling
- RNF144A and RNF144B: Important molecules for health
- Analysis of the detection rate and related factors of thyroid nodules in the healthy population
- Artesunate inhibits hepatocellular carcinoma cell migration and invasion through OGA-mediated O-GlcNAcylation of ZEB1
- Endovascular management of post-pancreatectomy hemorrhage caused by a hepatic artery pseudoaneurysm: Case report and review of the literature
- Efficacy and safety of anti-PD-1/PD-L1 antibodies in patients with relapsed refractory diffuse large B-cell lymphoma: A meta-analysis
- SATB2 promotes humeral fracture healing in rats by activating the PI3K/AKT pathway
- Overexpression of the ferroptosis-related gene, NFS1, corresponds to gastric cancer growth and tumor immune infiltration
- Understanding risk factors and prognosis in diabetic foot ulcers
- Atractylenolide I alleviates the experimental allergic response in mice by suppressing TLR4/NF-kB/NLRP3 signalling
- FBXO31 inhibits the stemness characteristics of CD147 (+) melanoma stem cells
- Immune molecule diagnostics in colorectal cancer: CCL2 and CXCL11
- Inhibiting CXCR6 promotes senescence of activated hepatic stellate cells with limited proinflammatory SASP to attenuate hepatic fibrosis
- Cadmium toxicity, health risk and its remediation using low-cost biochar adsorbents
- Pulmonary cryptococcosis with headache as the first presentation: A case report
- Solitary pulmonary metastasis with cystic airspaces in colon cancer: A rare case report
- RUNX1 promotes denervation-induced muscle atrophy by activating the JUNB/NF-κB pathway and driving M1 macrophage polarization
- Morphometric analysis and immunobiological investigation of Indigofera oblongifolia on the infected lung with Plasmodium chabaudi
- The NuA4/TIP60 histone-modifying complex and Hr78 modulate the Lobe2 mutant eye phenotype
- Experimental study on salmon demineralized bone matrix loaded with recombinant human bone morphogenetic protein-2: In vitro and in vivo study
- A case of IgA nephropathy treated with a combination of telitacicept and half-dose glucocorticoids
- Analgesic and toxicological evaluation of cannabidiol-rich Moroccan Cannabis sativa L. (Khardala variety) extract: Evidence from an in vivo and in silico study
- Wound healing and signaling pathways
- Combination of immunotherapy and whole-brain radiotherapy on prognosis of patients with multiple brain metastases: A retrospective cohort study
- To explore the relationship between endometrial hyperemia and polycystic ovary syndrome
- Research progress on the impact of curcumin on immune responses in breast cancer
- Biogenic Cu/Ni nanotherapeutics from Descurainia sophia (L.) Webb ex Prantl seeds for the treatment of lung cancer
- Dapagliflozin attenuates atrial fibrosis via the HMGB1/RAGE pathway in atrial fibrillation rats
- Glycitein alleviates inflammation and apoptosis in keratinocytes via ROS-associated PI3K–Akt signalling pathway
- ADH5 inhibits proliferation but promotes EMT in non-small cell lung cancer cell through activating Smad2/Smad3
- Apoptotic efficacies of AgNPs formulated by Syzygium aromaticum leaf extract on 32D-FLT3-ITD human leukemia cell line with PI3K/AKT/mTOR signaling pathway
- Novel cuproptosis-related genes C1QBP and PFKP identified as prognostic and therapeutic targets in lung adenocarcinoma
- Bee venom promotes exosome secretion and alters miRNA cargo in T cells
- Treatment of pure red cell aplasia in a chronic kidney disease patient with roxadustat: A case report
- Comparative bioinformatics analysis of the Wnt pathway in breast cancer: Selection of novel biomarker panels associated with ER status
- Kynurenine facilitates renal cell carcinoma progression by suppressing M2 macrophage pyroptosis through inhibition of CASP1 cleavage
- RFX5 promotes the growth, motility, and inhibits apoptosis of gastric adenocarcinoma cells through the SIRT1/AMPK axis
- ALKBH5 exacerbates early cardiac damage after radiotherapy for breast cancer via m6A demethylation of TLR4
- Phytochemicals of Roman chamomile: Antioxidant, anti-aging, and whitening activities of distillation residues
- Circadian gene Cry1 inhibits the tumorigenicity of hepatocellular carcinoma by the BAX/BCL2-mediated apoptosis pathway
- The TNFR-RIPK1/RIPK3 signalling pathway mediates the effect of lanthanum on necroptosis of nerve cells
- Longitudinal monitoring of autoantibody dynamics in patients with early-stage non-small-cell lung cancer undergoing surgery
- The potential role of rutin, a flavonoid, in the management of cancer through modulation of cell signaling pathways
- Construction of pectinase gene engineering microbe and its application in tobacco sheets
- Construction of a microbial abundance prognostic scoring model based on intratumoral microbial data for predicting the prognosis of lung squamous cell carcinoma
- Sepsis complicated by haemophagocytic lymphohistiocytosis triggered by methicillin-resistant Staphylococcus aureus and human herpesvirus 8 in an immunocompromised elderly patient: A case report
- Sarcopenia in liver transplantation: A comprehensive bibliometric study of current research trends and future directions
- Advances in cancer immunotherapy and future directions in personalized medicine
- Can coronavirus disease 2019 affect male fertility or cause spontaneous abortion? A two-sample Mendelian randomization analysis
- Heat stroke associated with novel leukaemia inhibitory factor receptor gene variant in a Chinese infant
- PSME2 exacerbates ulcerative colitis by disrupting intestinal barrier function and promoting autophagy-dependent inflammation
- Hyperosmolar hyperglycemic state with severe hypernatremia coexisting with central diabetes insipidus: A case report and literature review
- Efficacy and mechanism of escin in improving the tissue microenvironment of blood vessel walls via anti-inflammatory and anticoagulant effects: Implications for clinical practice
- Merkel cell carcinoma: Clinicopathological analysis of three patients and literature review
- Genetic variants in VWF exon 26 and their implications for type 1 Von Willebrand disease in a Saudi Arabian population
- Lipoxin A4 improves myocardial ischemia/reperfusion injury through the Notch1-Nrf2 signaling pathway
- High levels of EPHB2 expression predict a poor prognosis and promote tumor progression in endometrial cancer
- Knockdown of SHP-2 delays renal tubular epithelial cell injury in diabetic nephropathy by inhibiting NLRP3 inflammasome-mediated pyroptosis
- Exploring the toxicity mechanisms and detoxification methods of Rhizoma Paridis
- Concomitant gastric carcinoma and primary hepatic angiosarcoma in a patient: A case report
- YAP1 inhibition protects retinal vascular endothelial cells under high glucose by inhibiting autophagy
- Identification of secretory protein related biomarkers for primary biliary cholangitis based on machine learning and experimental validation
- Integrated genomic and clinical modeling for prognostic assessment of radiotherapy response in rectal neoplasms
- Stem cell-based approaches for glaucoma treatment: a mini review
- Bacteriophage titering by optical density means: KOTE assays
- Neutrophil-related signature characterizes immune landscape and predicts prognosis of esophageal squamous cell carcinoma
- Integrated bioinformatic analysis and machine learning strategies to identify new potential immune biomarkers for Alzheimer’s disease and their targeting prediction with geniposide
- TRIM21 accelerates ferroptosis in intervertebral disc degeneration by promoting SLC7A11 ubiquitination and degradation
- TRIM21 accelerates ferroptosis in intervertebral disc degeneration by promoting SLC7A11 ubiquitination and degradation
- Histone modification and non-coding RNAs in skin aging: emerging therapeutic avenues
- A multiplicative behavioral model of DNA replication initiation in cells
- Biogenic gold nanoparticles synthesized from Pergularia daemia leaves: a novel approach for nasopharyngeal carcinoma therapy
- Creutzfeldt-Jakob disease mimicking Hashimoto’s encephalopathy: steroid response followed by decline
- Impact of semaphorin, Sema3F, on the gene transcription and protein expression of CREB and its binding protein CREBBP in primary hippocampal neurons of rats
- Iron overloaded M0 macrophages regulate hematopoietic stem cell proliferation and senescence via the Nrf2/Keap1/HO-1 pathway
- Revisiting the link between NADPH oxidase p22phox C242T polymorphism and ischemic stroke risk: an updated meta-analysis
- Exercise training preferentially modulates α1D-adrenergic receptor expression in peripheral arteries of hypertensive rats
- Overexpression of HE4/WFDC2 gene in mice leads to keratitis and corneal opacity
- Tumoral calcinosis complicating CKD-MBD in hemodialysis: a case report
- Mechanism of KLF4 Inhibition of epithelial-mesenchymal transition in gastric cancer cells
- Dissecting the molecular mechanisms of T cell infiltration in psoriatic lesions via cell-cell communication and regulatory network analysis
- Circadian rhythm-based prognostic features predict immune infiltration and tumor microenvironment in molecular subtypes of hepatocellular carcinoma
- Ecology and Environmental Science
- Optimization and comparative study of Bacillus consortia for cellulolytic potential and cellulase enzyme activity
- The complete mitochondrial genome analysis of Haemaphysalis hystricis Supino, 1897 (Ixodida: Ixodidae) and its phylogenetic implications
- Epidemiological characteristics and risk factors analysis of multidrug-resistant tuberculosis among tuberculosis population in Huzhou City, Eastern China
- Indices of human impacts on landscapes: How do they reflect the proportions of natural habitats?
- Genetic analysis of the Siberian flying squirrel population in the northern Changbai Mountains, Northeast China: Insights into population status and conservation
- Diversity and environmental drivers of Suillus communities in Pinus sylvestris var. mongolica forests of Inner Mongolia
- Global assessment of the fate of nitrogen deposition in forest ecosystems: Insights from 15N tracer studies
- Fungal and bacterial pathogenic co-infections mainly lead to the assembly of microbial community in tobacco stems
- Influencing of coal industry related airborne particulate matter on ocular surface tear film injury and inflammatory factor expression in Sprague-Dawley rats
- Temperature-dependent development, predation, and life table of Sphaerophoria macrogaster (Thomson) (Diptera: Syrphidae) feeding on Myzus persicae (Sulzer) (Homoptera: Aphididae)
- Eleonora’s falcon trophic interactions with insects within its breeding range: A systematic review
- Agriculture
- Integrated analysis of transcriptome, sRNAome, and degradome involved in the drought-response of maize Zhengdan958
- Variation in flower frost tolerance among seven apple cultivars and transcriptome response patterns in two contrastingly frost-tolerant selected cultivars
- Heritability of durable resistance to stripe rust in bread wheat (Triticum aestivum L.)
- Molecular mechanism of follicular development in laying hens based on the regulation of water metabolism
- Molecular identification and control studies on Coridius sp. (Hemiptera: Dinidoridae) in Al-Khamra, south of Jeddah, Saudi Arabia
- 10.1515/biol-2025-1218
- Animal Science
- Effect of sex ratio on the life history traits of an important invasive species, Spodoptera frugiperda
- Plant Sciences
- Hairpin in a haystack: In silico identification and characterization of plant-conserved microRNA in Rafflesiaceae
- Widely targeted metabolomics of different tissues in Rubus corchorifolius
- The complete chloroplast genome of Gerbera piloselloides (L.) Cass., 1820 (Carduoideae, Asteraceae) and its phylogenetic analysis
- Field trial to correlate mineral solubilization activity of Pseudomonas aeruginosa and biochemical content of groundnut plants
- Correlation analysis between semen routine parameters and sperm DNA fragmentation index in patients with semen non-liquefaction: A retrospective study
- Plasticity of the anatomical traits of Rhododendron L. (Ericaceae) leaves and its implications in adaptation to the plateau environment
- Effects of Piriformospora indica and arbuscular mycorrhizal fungus on growth and physiology of Moringa oleifera under low-temperature stress
- Effects of different sources of potassium fertiliser on yield, fruit quality and nutrient absorption in “Harward” kiwifruit (Actinidia deliciosa)
- Comparative efficiency and residue levels of spraying programs against powdery mildew in grape varieties
- The DREB7 transcription factor enhances salt tolerance in soybean plants under salt stress
- Using plant electrical signals of water hyacinth (Eichhornia crassipes) for water pollution monitoring
- Response of hybrid grapes (Vitis spp.) to two biotic stress factors and their seedlessness status
- Metabolomic profiling reveals systemic metabolic reprogramming in Alternaria alternata under salt stress
- Effects of mixed salinity and alkali stress on photosynthetic characteristics and PEPC gene expression of vegetable soybean seedlings
- Food Science
- Phytochemical analysis of Stachys iva: Discovering the optimal extract conditions and its bioactive compounds
- Review on role of honey in disease prevention and treatment through modulation of biological activities
- Computational analysis of polymorphic residues in maltose and maltotriose transporters of a wild Saccharomyces cerevisiae strain
- Optimization of phenolic compound extraction from Tunisian squash by-products: A sustainable approach for antioxidant and antibacterial applications
- Liupao tea aqueous extract alleviates dextran sulfate sodium-induced ulcerative colitis in rats by modulating the gut microbiota
- Toxicological qualities and detoxification trends of fruit by-products for valorization: A review
- Polyphenolic spectrum of cornelian cherry fruits and their health-promoting effect
- Optimizing the encapsulation of the refined extract of squash peels for functional food applications: A sustainable approach to reduce food waste
- Advancements in curcuminoid formulations: An update on bioavailability enhancement strategies curcuminoid bioavailability and formulations
- Impact of saline sprouting on antioxidant properties and bioactive compounds in chia seeds
- The dilemma of food genetics and improvement
- Causal effects of trace elements on congenital foot deformities and their subtypes: a Mendelian randomization study with gut microbiota mediation
- Honey meets acidity: a novel biopreservative approach against foodborne pathogens
- Bioengineering and Biotechnology
- Impact of hyaluronic acid-modified hafnium metalorganic frameworks containing rhynchophylline on Alzheimer’s disease
- Emerging patterns in nanoparticle-based therapeutic approaches for rheumatoid arthritis: A comprehensive bibliometric and visual analysis spanning two decades
- Application of CRISPR/Cas gene editing for infectious disease control in poultry
- Preparation of hafnium nitride-coated titanium implants by magnetron sputtering technology and evaluation of their antibacterial properties and biocompatibility
- Preparation and characterization of lemongrass oil nanoemulsion: Antimicrobial, antibiofilm, antioxidant, and anticancer activities
- Fluorescent detection of sialic acid–binding lectins using functionalized quantum dots in ELISA format
- Smart tectorigenin-loaded ZnO hydrogel nanocomposites for targeted wound healing: synthesis, characterization, and biological evaluation
- Corrigendum
- Corrigendum to “Utilization of convolutional neural networks to analyze microscopic images for high-throughput screening of mesenchymal stem cells”
- Corrigendum to “Effects of Ire1 gene on virulence and pathogenicity of Candida albicans”
- Retraction
- Retraction of “Down-regulation of miR-539 indicates poor prognosis in patients with pancreatic cancer”