Abstract
Background
The Commiphora gileadensis (C. gileadensis) is a tree belonging to the genus Commiphora. Aim of the study: This study investigates the effect of C. gileadensis on erectile dysfunction and infertility in male mice.
Methods
Fifty male BALB/c mice are divided into five groups: control, untreated diabetic, diabetic C. gileadensis sap-treated, methanol extract-treated, and acetone extract-treated. All groups were assessed for body weight, testicular weight, serum follicle-stimulating hormone, luteinizing hormone, testosterone, prolactin, nitric oxide, adropin, endothelin levels, semen analysis, CD4+, CD8+, CD25+, and testicular nitric oxide synthase (NOS) immunoreactivity.
Outcome
C. gileadensis maintains sexual integrity and infertility in mice.
Results
Diabetic groups treated with C. gileadensis had significantly higher body weight than the untreated group. Furthermore, the diabetic group treated with C. gileadensis sap had significantly increased testicular weight than the untreated groups. Diabetic groups treated with C. gileadensis had significantly greater testosterone levels than the untreated groups. Additionally, these groups exhibit considerably higher nitric oxide and adropin levels than the untreated diabetic group. Endothelin levels were considerably lower in diabetic groups treated with C. gileadensis than in the untreated group. Semen analysis shows that the diabetic group treated with C. gileadensis sap had considerably more sperm count than the untreated group (P < 0.05). CD4+, CD8+, CD4+, CD25+, and CD8+ CD25+ were reduced significantly in diabetic mice treated with C. gileadnesis. In addition, the NOS immunoreactivity is greater in diabetic C. gileadensis treated groups than in the untreated group.
Clinical implications
C. gileadensis induces mice erectile function and fertility.
Strength and limitations
The study does not use laser Doppler flowmetry for the measurement of erectile dysfunction.
Conclusion
C. gileadensis ameliorates infertility and erectile dysfunction in diabetic mice.
1 Introduction
A significant portion of the population is afflicted by the crippling conditions of infertility and sexual dysfunction. Infertility has been classified as a public health concern by the WHO. According to studies by Gabr et al. and McCabe et al., erectile dysfunction and premature ejaculation are prevalent among men of reproductive age, with the prevalence ranging from 8 to 31% [1,2]. Infertility is defined as 1 year of regular, unprotected sexual activity without conception. Sexual dysfunction is the primary cause of male infertility [3–5]. Organic factors such as cardiovascular, metabolic, neurogenic, and endocrine disorders; relational factors such as family and marital disagreements; and intrapsychic disruptions such as anxiety and depression can all lead to erectile dysfunction [6]. Additionally, erectile dysfunction in men with infertility is an independent risk factor for a decline in sexual engagement and negatively impacts fertility [7].
Erectile dysfunction can be treated through changes in lifestyle, oral and parenteral medications, injectable vasodilator drugs, vacuum erection devices, surgery, and psychosexual therapy either with the patient alone or with the involvement of the patient’s partner. The frequency of erectile dysfunction occurrence in male infertility has not been extensively studied by experts. In a small cohort study utilizing a nonvalidated approach involving 16 couples, reported that 11 males claimed to experience impotence upon discovering their infertility [5].
The primary chemical mediator of smooth muscle relaxation involved in penile erection is nitric oxide. In the penile corpora cavernosa, neuronal and endothelial cells release nitric oxide [8]. In general, endothelin is employed as a measure of endothelial dysfunction and is a modulator of penile erection due to its powerful vasoconstrictor properties [9]. The endothelium tissue expresses the protein adropin [10]. By overexpressing nitric oxide synthases (NOS), adropin plays a crucial role in endothelium protection [11].
The Arabian balsam tree known as Commiphora gileadensis is a member of the genus Commiphora and is indigenous to the Arabian Peninsula and southern Egypt. The tree’s sap, wood, bark, and seeds have significant medicinal properties [12]. The tree is used in traditional Arabian medicine to treat inflammatory conditions, constipation, stomachaches, joint discomfort, and headaches. Numerous studies have noted the tree’s antimicrobial capabilities; however, no studies have examined how it affects mice’s infertility and erectile dysfunction [13]. Moreover, the sap of C. gileadensis has been used as an antibacterial agent in both in vivo and in vitro studies [14]. Furthermore, a previous study found that the methanolic extract of C. gileadensis has antibacterial effects and aids in wound healing [15]. This study aimed to investigate the effect of different extracts of C. gileadensis on male mice infertility and erectile dysfunction.
2 Materials and methods
This analytical study was carried out at the Faculty of Applied Medical Sciences, Taif University, between June 2023 and August 2023.
2.1 C. gileadensis collection
C. gileadensis was collected from a high mountain area called the Alaab Valley, located near the Al-Madinah region of western Saudi Arabia. Leaves and fallen branches of the tree were collected in October 2022.
2.2 Preparation of C. gileadensis sap
The apical portions of C. gileadensis branches were pruned, leaving a 5 mm distance from the ends, and the exuding sap was promptly collected following the incision. After being mixed with an equal volume of ethanol, the sap was subjected to centrifugation at a speed of 10,000 rpm for a duration of 10 min, subsequent to agitation for 15 min at ambient temperature. Subsequently, the supernatant was stored at a temperature of −20°C until it was subjected to analysis [16].
2.3 Preparation of C. gileadensis methanolic extract
The leaves and branches of C. gileadensis were subjected to a cleaning process using tap water, followed by drying in a hot-air oven at a temperature of 40°C. After undergoing the drying process, the substance was further transformed into a finely ground form and subjected to sieving in order to eliminate any significant impurities. Subsequently, a quantity of 10 g of the aforementioned powder was subjected to maceration within a sterile funnel for a duration of 24 h, utilizing a solvent volume of 100 mL consisting entirely of methanol with a purity of 100%. The funnel was aggressively agitated prior to the filtration process, which involved the use of sterile filter paper. The C. gileadensis extract obtained was subjected to drying in a water bath at a temperature of 40°C in order to get a concentrated extract. The sample was thereafter refrigerated at a temperature of 4°C for a duration of 2 weeks and afterward transferred to a storage temperature of −20°C for future analysis [17].
2.4 Preparation of C. gileadensis acetone extract
The leaves and branches of C. gileadensis were subjected to a drying process at a temperature of 60°C for a duration of 6 h in a vacuum oven. Subsequently, the dried plant material was meticulously chopped into minute fragments using a razor blade, resulting in the formation of a powdered substance. Subsequently, a quantity of 10 g of the unprocessed C. gileadensis fragments were submerged in a solution consisting of 200 mL of acetone for a duration of 3 days, maintaining the ambient temperature. Throughout this time frame, the acetone solution, which was homogenized using a magnetic stirrer, was renewed on a daily basis. The sample obtained from the extraction process was subjected to drying using a rotary evaporator in order to eliminate any remaining traces of acetone. Subsequently, the sample was kept at a temperature of −20°C in preparation for subsequent analysis [18].
2.5 Characterization of using ultraperformance liquid chromatography coupled with mass spectrometer (UPLC–MS)
Samples were thawed on ice, adding 1.5 mL chloroform:methanol (2:1, v/v), 0.5 mL ultrapure water, vortexed for 1 min, then centrifuged for 10 min at 3,000 rpm at 4°C. Transfer the lower phase to a fresh tube and dry under nitrogen. For lipidomic analysis, the dried extract was resuspended in 200 µL of isopropyl alcohol: MeOH (1:1, v/v) and added 5 µL of 1-heptadecanoyl-2-hydroxy-sn-glycero-3-phosphocholine LPC (12:0) as internal standards After centrifuging for 10 min at 12,000 rpm at 4°C, transfer the supernatant for LC-MS analysis. Separation is done using Ultimate 3000 LC and Q Exactive MS (Thermo, Waltham, MA, USA), followed by ESI-MS screening. The LC system uses ACQUITY UPLC BEH C18 (100 mm × 2.1 mm × 1.7 mm) and Ultimate 3000 LC. The mobile phase consists of solvents A (60% acetonitrile + 40% H2O + 10 mM ammonium formate) and B (10% acetonitrile + 90% isopropyl alcohol + 10 mM ammonium formate) with gradient elution (0–100% B, 30–100% B, 10.5–12.5% B, 100% B, 12.5–12.51 min, 100–30% B, 12.51–16.0 min, 30% B). A 0.3 mL/min flow rate is used for the mobile phase. Column temperature is fixed at 40°C, whereas sample manager temperature is set at 4°C. The following parameters are specified for ESI negative mode mass spectrometry: ESI−: heater temp 300°C, sheath flow rate 45 arb, aux flow rate 15 arb, sweep flow rate 1 arb; spray voltage 3.2 kV; capillary temp 350°C; S-Lens RF level 60% [15].
2.6 Experiment design
Fifty male BALB/c mice, aged 2 months and weighing 20–25 g, were obtained from the Umm Al-Qura University animal house. The mice were housed in a standard rodent cage with woodchip bedding. The cage was placed in a large, well-ventilated room with a 12 h light/dark cycle and maintained at a temperature of 25°C. A standard rodent diet and tap water were provided to all the mice throughout the experiment’s duration. After 2 weeks of acclimatization, 50 mice were randomly divided into five groups with ten mice each.
The first group served as the negative control and received no treatment.
The second group was the positive control (diabetic group). The mice in this group were injected with 55 mg/kg body weight of streptozotocin intraperitoneally for 5 consecutive days to induce diabetes mellitus.
The third group was designated as the C. gileadensis sap-treated (CGS) group. After the induction of diabetes mellitus, all the mice in this group were treated with a C. gileadensis sap dose of 200 mg/kg per day via intragastric gavage after 1 week of streptozotocin administration [15].
The fourth group was the C. gileadensis methanolic extract-treated (CGM) group. Similar to the second group, diabetes mellitus was induced in the mice in this group. In addition, they received 200 mg/kg body weight per day of C. gileadensis methanolic extract via intragastric gavage after 1 week of streptozotocin administration.
The fifth group was the C. gileadensis acetone extract-treated (CGA) group. Diabetes mellitus was induced in mice in this group as the second group. In addition, they received 200 mg/kg per day of C. gileadensis acetone extract via intragastric gavage following the administration of streptozotocin.
2.7 Body weight measurement
The body weight of each mouse included in this study was measured at the end of the experiment using a digital balance (OHAUS, Scout Pro SPU601, China).
2.8 Blood collection
Blood samples were collected for all 50 mice from the retro-orbital venous plexus in plain tubes after 5 days of streptozotocin administration for blood glucose estimation and at the end of the experiment (after 4 months) for biochemical markers measurement. All blood samples were immediately centrifuged at 2,500 rpm for 15 min, and the resulting blood sera were stored at −80°C for further analysis.
2.9 Preparation of testicular tissue
After 4 months, all the mice were euthanized. Their testes were rapidly excised for testicular weight measurement, testicular homogenate preparation, and immunohistochemistry analysis. The testes of each mouse were weighed and the ratio of testes weight to body weight was calculated. Semen was ground from the epididymis and incubated for 15 min in a sterile Petri dish containing 0.9 mL of RPMI-1640 medium.
2.10 Preparation of testicular homogenate
Using an OMNI International Inc. 2 mL bead kit, a testicular homogenate was prepared. A protease inhibitor, radio-immunoprecipitation assay buffer, and small pieces of testis were added to a 2 mL microtube containing beads. The microtube was put in a homogenizer for 2 min (Bead Ruptor 12, OMNI International Inc.), then centrifuged for 30 min at 8°C and 15,000 rpm (SIGMA 1-14 k). Until analysis, the supernatant was kept at −20°C after being aspirated into a microtube and centrifuged for 15 min at 8°C and 15,000 rpm [19].
2.11 Estimation of testicular homogenate antioxidant and oxidative stress parameters
Lipid peroxide (LPO), reduced glutathione (GSH), glutathione peroxidase (GSH-Px), superoxide dismutase (SOD), and catalase (Elabscience kits, USA) were estimated by colorimetric assay using Varioskan LUX (Thermo Fisher Scientific, USA).
2.12 Semen analysis
2.12.1 Sperm count
Ten microliters of diluted sperm suspension were placed in the counting chamber of a hemocytometer. Under a light microscope, counting began at 200× magnification after a 5 min incubation period [20].
2.12.2 Sperm morphology
A 40 L sample of sperm suspension was incubated with 10 L of 1% eosin and nigrosine stain in a test tube for 1 h at room temperature. Then, one drop of the suspension was applied to a slide and examined at 400× magnification. For each mouse, a total of 200 sperms were examined [21].
2.12.3 Sperm motility
A drop of sperm suspension was examined at 1,000× magnification under a light microscope to assess its motility. The percentage of motile sperm was calculated using the following formula: percentage of dead sperms = (number of dead sperms × 100)/total number of sperms examined [22].
2.13 Measurement of serum parameters
Serum testosterone, follicle-stimulating hormone (FSH), luteinizing hormone (LH), and prolactin were measured using the quantitative competitive ELISA method and the Varioskan TM LUX instrument (Thermo Fisher Scientific, USA) [23]. In addition, serum endothelin, adropin, and nitric oxide levels were measured using the same method and instrument [24]. Samples used for the estimation of testosterone levels for diabetic C. gileadensis sap-treated mice were diluted because the undiluted testosterone level samples were out of the range of the bio-machine.
2.14 Estimation of CD3+, CD4+, CD8+, and CD25+
EDTA tube blood samples were carefully deposited on Ficoll-Paque density gradient medium in a 15 mL conical tube. Continuous 400×g centrifugation at 4°C for 30 min was performed on the samples. The mononuclear cell layer was carefully removed and placed in a new tube. PBS with 2% fetal bovine serum and 0.1% sodium azide was used to stain the cells after two PBS washes. The cell suspension was tagged with fluorochrome-conjugated monoclonal antibodies (CD3+, CD4+, CD8+, and CD25+) in four tubes of 100 μL each. The staining took 30 min at 4°C in the dark. After staining, the cells were washed with buffer and fixed with 1% paraformaldehyde. At 4°C, all samples were incubated for 30 min without light. After washing, the samples were resuspended in flow cytometry sample preparation buffer. Next, the materials were flow cytometer-analyzed [25].
2.15 Testicular immunohistochemistry analysis
The mice were euthanized and dissected, and their testes were quickly removed for immunohistochemistry evaluation of NOS. The testicular tissue samples were fixed in 10% buffered formalin for at least 24 h before being transferred to 70% ethanol. The tissues were then embedded in paraffin blocks, and sections (slides) of approximately 5 μm were prepared. The sections were placed in xylene for 5 min and rehydrated in 100 and 95% ethanol in that order for 10 min and heated for a further 10 min in a microwave oven before being cooled for 30 min. The slides were then washed three times for 5 min in distilled water and stained with NOS antibodies. Finally, the slides were washed three times for 5 min with a wash buffer. Under a light microscope, the slides were examined qualitatively using the Sulzbacher scoring system.
2.16 Statistical analysis
Statistical analysis was performed using SPSS software version 16 (SPSS Inc., Chicago, IL, USA). All data were expressed as mean ± SD, and all comparisons of total chemical parameters included in this project between different groups were done through one-way analysis of variance. The level of significance was set at P < 0.05.
-
Ethical approval: The animal study protocol was accredited by the National Committee for Bioethics at Taif University (protocol code HAO-02-T-105) and the Committee considered that the proposal fulfills the requirements.
3 Results
3.1 LC–MS of C. gileadensis extracts
The LC–MS chromatographic profile in negative mode showed several lipid components. Ceramide 69%, hexosylceramide 18%, and phosphatidylethanolamine 7.6% were found to be the most abundant lipid components. Moreover, the extracts showed high quantities of steroids.
3.2 Blood glucose levels
After 5 days of streptozotocin injection, random blood glucose levels were found to be elevated in all diabetic groups. The random blood glucose levels ranged 380–420 mg/dL for all mice in the five groups.
3.3 Body and testicular weights
Table 1 presents the body weight, testicular weight, and testicle/body weight ratio of all groups after 4 months. Over the course of 16 weeks, the weight of the CGS (32.11 ± 4.31), CGM (32.55 ± 3.06), and CGA (30.31 ± 3.33) groups had significantly higher body weights compared with the untreated diabetic mice (24.14 ± 1.33) (P < 0.05). Furthermore, the testicular weight of the CGS group (1.87 ± 0.07) was significantly higher compared with that of the diabetic untreated group (1.10 ± 0.07) (P < 0.05).
Bodyweight, testicular weight, and testis body weight ratio of all groups
| Group 1 control (n = 10) | Group 2 DM (n = 10) | Group 3 DM + CGS (n = 10) | Group 4 DM + CGM (n = 10) | Group 5 DM + CGA (n = 10) | |
|---|---|---|---|---|---|
| Body weight (g) | 32.48 ± 4.25 | 24.14 ± 1.33 | 32.11 ± 4.31* | 32.55 ± 3.06* | 30.31 ± 3.33* |
| Testis weight (g) | 1.20 ± 0.08 | 1.10 ± 0.07 | 1.87 ± 0.07* | 1.35 ± 0.07 | 1.31 ± 0.06 |
| Testicular weight/body weight ratio | 0.040 ± 0.003 | 0.046 ± 0.002 | 0.058 ± 0.001 | 0.041 ± 0.002 | 0.043 ± 0.003 |
*P < 0.05, **P < 0.01; C. gileadensis sap treated (CGS), C. gileadensis methanol treated (CGM), C. gileadensis acetone treated (CGA), diabetes mellitus (DM).
3.4 Oxidative stress and antioxidant parameters
The concentration of LPO was reduced in CGS (12.44 ± 3.18), CGM (17.22 ± 1.76), and CGA (16.49 ± 2.11) groups compared to untreated diabetic mice (43.61 ± 9.44) (P < 0.05). Reduced GSH levels in the CGS (8.16 ± 0.22), CGM (7.77 ± 0.39), and CGA (7.52 ± 1.36) were significantly higher than in the untreated diabetic group (1.81 ± 0.010) (P < 0.05). Moreover, the GSH-Px activity was markedly induced in CGS (2.62 ± 0.10) and CGM (1.55 ± 0.02) groups compared to the diabetic untreated mice (0.31 ± 0.03) (P < 0.05). The CGS group had significantly higher SOD enzyme activity than the untreated diabetic group (32.44 ± 3.01 vs 15.031 ± 3.96, respectively) (P < 0.05) (Table 2).
Lipid peroxidation, reduced GSH, catalase, GSH-Px, and SOD in testis of all groups
| Group 1 control (n = 10) | Group 2 DM (n = 10) | Group 3 DM + CGS (n = 10) | Group 4 DM + CGM (n = 10) | Group 5 DM + CGA (n = 10) | |
|---|---|---|---|---|---|
| LPO (nmol/g) | 24.55 ± 4.08 | 43.61 ± 9.44 | 12.44 ± 3.18* | 17.22 ± 1.76* | 16.49 ± 2.11* |
| GSH (nmol/g) | 4.80 ± 1.01 | 1.81 ± 0.010 | 8.16 ± 0.22* | 7.77 ± 0.39* | 7.52 ± 1.36* |
| Catalase (U/g) | 46.02 ± 6.63 | 12.71 ± 6.92 | 22.14 ± 1.74 | 23.05 ± 3.04 | 18.84 ± 1.81 |
| GSH-Px (U/g protein) | 0.66 ± 0.02 | 0.31 ± 0.03 | 2.62 ± 0.10* | 1.55 ± 0.02* | 0.66 ± 0.02 |
| SOD (µg/g protein) | 23.73 ± 5.05 | 15.031 ± 3.96 | 32.44 ± 3.01* | 18.81 ± 2.26 | 19.77 ± 2.88 |
*P < 0.05, **P < 0.01; C. gileadensis sap treated (CGS), C. gileadensis methanol treated (CGM), C. gileadensis acetone treated (CGA), diabetes mellitus (DM).
3.5 Biochemical markers and hormone levels
Table 3 displays the biochemical markers of erectile function, LH, FSH, testosterone, and prolactin serum levels. The CGS group had significantly higher testosterone levels (76.018 ± 5.58) compared to all other groups (P < 0.0001). Furthermore, CGM (7.53 ± 0.37) and CGA (6.90 ± 0.17) groups had significantly higher testosterone levels compared to the untreated diabetic (0.15 ± 0.01) and control (2.92 ± 0.01) groups (P < 0.01). Compared with the untreated diabetic (8.21 ± 1.68) group, the CGS (45.01 ± 6.08), CGM (36.77 ± 3.28), and CGA (31.42 ± 4.53) groups had significantly higher nitric oxide levels (P < 0.01). In addition, the CGS group had a significantly higher nitric oxide level compared with the control group (24.03 ± 3.06) (P < 0.05). There were statistically significant differences in adropin levels between the CGS (31.02 ± 5.94), CGM (20.44 ± 3.88), and CGA (21.11 ± 2.09) groups and the untreated diabetic group (8.89 ± 2.22) (P < 0.01). Endothelin levels in the CGS (12.44 ± 2.40), CGM (13.06 ± 1.07), and CGA (12.86 ± 2.14) groups were significantly lower compared with the untreated diabetic group (43.50 ± 13.61) (P < 0.01).
Male sex hormones, prolactin, and erectile function markers levels in all five groups
| Group 1 control (n = 10) | Group 2 DM (n = 10) | Group 3 DM + CGS (n = 10) | Group 4 DM + CGM (n = 10) | Group 5 DM + CGA (n = 10) | |
|---|---|---|---|---|---|
| FSH (ng/mL) | 0.026 ± 0.0001 | 0.09 ± 0.01 | 0.022 ± 0.002 | 0.033 ± 0.006 | 0.024 ± 0.0005 |
| LH (ng/mL) | 0.030 ± 0.0005 | 0.26 ± 0.02 | 0.041 ± 0.0015 | 0.029 ± 0.0003 | 0.025 ± 0.0004 |
| Testosterone (ng/mL) | 2.92 ± 0.01 | 0.15 ± 0.01 | 76.018 ± 5.58*** | 7.53 ± 0.37** | 6.90 ± 0.17** |
| Prolactin (ng/mL) | 1.919 ± 0.0065 | 2.21 ± 0.23 | 1.39 ± 0.0063 | 1.08 ± 0.02 | 1.33 ± 0.02 |
| Nitric oxide (pg/mL) | 24.03 ± 3.06 | 8.21 ± 1.68 | 45.01 ± 6.08** | 36.77 ± 3.28** | 31.42 ± 4.53** |
| Adropin (µg/mL) | 18.42 ± 4.79 | 8.89 ± 2.22 | 31.02 ± 5.94** | 20.44 ± 3.88** | 21.11 ± 2.09** |
| Endothelin (µg/mL) | 11.12 ± 3.33 | 43.50 ± 13.61 | 12.44 ± 2.40** | 13.06 ± 1.07** | 12.86 ± 2.14** |
*P < 0.05, ** P < 0.01; C. gileadensis sap treated (CGS), C. gileadensis methanol treated (CGM), C. gileadensis acetone treated (CGA), diabetes mellitus (DM).
3.6 Semen analysis
The semen analysis of all five groups is displayed in Table 4. The CGS group had a significantly higher sperm count (111 ± 17) than the untreated diabetic group (67 ± 28) (P < 0.05). Despite the absence of statistically significant differences in morphology and motility, the comparison between diabetic mice treated with different C. gileadensis extracts and untreated diabetic mice reveal that treated mice had higher values for sperm count, morphology, and motility.
Semen analysis of all five groups
| Group 1 control (n = 10) | Group 2 DM (n = 10) | Group 3 DM + CGS (n = 10) | Group 4 DM + CGM (n = 10) | Group 5 DM + CGA (n = 10) | |
|---|---|---|---|---|---|
| Sperm count (106) | 102 ± 13 | 67 ± 28 | 111 ± 17* | 98 ± 22 | 77 ± 36 |
| Rapid motile (%) | 42 ± 18 | 27 ± 9 | 40 ± 6 | 38 ± 7 | 32 ± 8 |
| Slow motile (%) | 23 ± 5 | 38 ± 6 | 30 ± 16 | 33 ± 14 | 31 ± 21 |
| Immotile (%) | 32 ± 11 | 37 ± 7 | 30 ± 9 | 29 ± 11 | 33 ± 4 |
| Normal sperm (%) | 84 ± 27 | 52 ± 37 | 70 ± 26 | 63 ± 31 | 52 ± 14 |
| Abnormal sperm (%) | 16 ± 4 | 33 ± 2 | 18 ± 25 | 29 ± 8 | 30 ± 29 |
*P < 0.05, ** P < 0.01; C. gileadensis sap treated (CGS), C. gileadensis methanol treated (CGM), C. gileadensis acetone treated (CGA), diabetes mellitus (DM).
3.7 Peripheral CD3+, CD4+, CD8+, and CD25+
The CGS, CGM, and CGA showed a substantial decrease in total lymphocytes compared to the untreated diabetic group (P < 0.001) (Figure 1). Treatment of diabetic mice with CGS, CGM, and CGA extracts significantly reduced CD3+ T cells compared to the untreated group (P < 0.001) (Figure 2). In addition, CGS, CGM, and CGA extracts significantly reduced CD8+ T cells in diabetic groups (P < 0.001) (Figure 3). Results show a significant CD4+ reduction in CGS, CGM, and CGA groups compared to diabetic untreated groups (P < 0.001) (Figure 4). The CD4+ CD25+ cell population significantly decreased in all diabetic groups compared to the control group (P < 0.001) (Figure 5). Low CD8+ CD25+ cell counts were seen in CGS, CGM, and CGA groups compared to those not treated (P < 0.001) (Figure 6).

Total lymphocytes in all groups.

CD3+ cells in all groups.

CD4+ cells in all groups.

CD8+ cells in all groups.

CD4+ CD25+ cells in all groups.

CD8+ CD25+ cells in all groups.
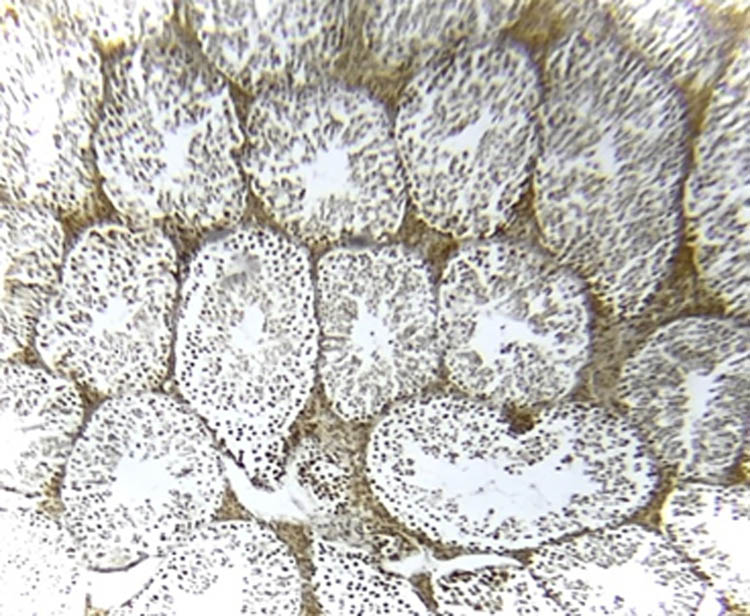
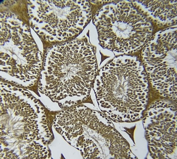
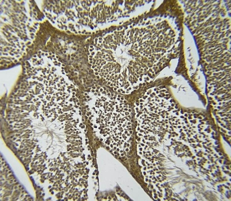
3.8 NOS immunohistochemistry in testicular tissue
Figures 7–11 represent the immunoreactivity of NOS in all groups. The immunoreactivity of NOS was significantly greater in mice treated with CGS (Figure 8), CGM (Figure 9), and CGA extracts (Figure 10) than in the control (Figure 7) and untreated diabetic (Figure 11) groups. In the untreated diabetic group, normal testicular architecture (seminiferous tubules) was destroyed and replaced by adipose tissue. Furthermore, the immunoreactivity of the enzyme in the untreated diabetic group was the lowest (Figure 11). Treatment with different C. gileadensis extracts restored the normal architecture of testicular tissue in diabetic mice.

NOS immunoreactivity in the control group.

NOS immunoreactivity in the diabetic C. gileadensis sap-treated group.

NOS immunoreactivity in the diabetic C. gileadensis methanol-treated group.

NOS immunoreactivity in the diabetic C. gileadensis acetone-treated group.

NOS immunoreactivity in the untreated diabetic group.
4 Discussion
The increase in the prevalence of infertility and subfertility has led to an increasing demand for the use of assisted reproduction techniques (ART). Hypertensive disorders of pregnancy and preeclampsia are the most common pregnancy complications and causes of maternal morbidity and mortality. In recent years, the increasing application of ART has resulted in the gradual enhancement of procedures, with embryo freezing being a significant advance. This treatment is specifically provided as a customized method to diminish the occurrence of multiple pregnancies and, crucially, to mitigate the risk of ovarian hyperstimulation syndrome [26]. Two techniques were used frozen embryo fresh (FEF) and frozen embryo transfer (FET). Previously, a study aimed to evaluate the neonatal outcomes in FEF and FET. It found that increased birth weight is shown to be greater in the FET technique, whereas for perinatal morbidity and mortality, the risk appears to be similar between the two groups. For malformation, the studies reported comparable malformation rates between the two groups. Another important finding concerns the incidence of neurodevelopmental abnormalities, with apparently no difference between the two groups. This discovery, along with the latest scientific information concerning the safety of ART on the neuro-psychomotor outcomes of neonates, is significant and reassuring for all couples facing infertility and sub-fertility issues [27]. The present study directed to use of natural products to ameliorate infertility and impotence in males. It uses a number of erection markers and sex hormones to evaluate the effect of C. gileadensis on penile erection and fertility in mice. The gonadotropins (LH and FSH) are synthesized and secreted by the gonadotrophs of the anterior pituitary gland [28]. FSH stimulates the first division of meiosis in primary spermatocytes, resulting in secondary spermatocytes. FSH is essential for the initiation of spermatogenesis because it stimulates the production of androgen-binding protein by the Sertoli cells of the testes by binding to FSH receptors on their basolateral membranes, while LH stimulates testosterone production by Leydig cells in the testes [29]. The CGS, CGM, and CGA extracts had no effect on both hormones (FSH and LH) in diabetic mice treated with these extracts. The testosterone levels of diabetic mice treated with CGS, CGM, and CGA extracts were increased compared with the testosterone levels in untreated diabetic and normal mice. Both CGM and CGA extracts induced testosterone levels that were seven and two times higher than those of the untreated diabetic and the control groups, respectively. Notably, for the diabetic group treated with CGS, the testosterone levels exceeded those in the untreated diabetic and control groups by more than 70 and 30 times, respectively. Furthermore, the testosterone levels in the CGS group were ten times greater than testosterone levels in normal adult men. The testosterone levels in the diabetic CGS treated mice were estimated many times to verify these results. Increased testosterone levels in diabetic mice treated with different extracts of C. gileadensis may be independent of the hypothalamic–pituitary axis because the FSH and LH levels are unaffected by treatment with these extracts.
Erectile dysfunction is defined as the inability to attain and maintain an erection sufficient for satisfying sexual activity. The incidence of erectile dysfunction is particularly high among men with diabetes mellitus. Atherosclerosis-related vascular issues are the primary cause of organic impotence. Because penile arteries have the smallest diameter in the vascular network, erectile dysfunction may be the first sign of a widespread vascular disorder. Vascular homeostasis is largely dependent on the integrity of the endothelium. Loss of functional integrity of the endothelium and subsequent endothelial dysfunction of the first stage of atherosclerosis significantly reduces blood flow to tissues and negatively affects erectile function [30]. Homeostasis of endothelial cells is maintained in part by the synthesis of nitric oxide [31]. Nitric oxide plays a crucial role in penile erection, and the impairment of nitric oxide bioactivity has been proposed as the most significant pathological mechanism in erectile dysfunction. Adropin contributes to nitric oxide bioavailability and influences the expression of inducible NOS. Endothelial cells treated with adropin exhibit increased proliferation, migration, and formation of capillary-like tubes and decreased permeability and tumor necrosis factor-α induced apoptosis [32]. Topuz et al. assessed endothelial dysfunction and flow-mediated dilatation in patients with type 2 diabetes mellitus. The correlation between plasma adropin levels and flow-mediated dilatation values was found to be positive, and the authors proposed that adropin levels could be used to quantify endothelial dysfunction [33]. A previous study found that the adropin level was low in type 2 diabetic patients with erectile dysfunction [34]. Previously collected evidence indicates that adropin and nitric oxide are positive markers of penile erection. The present study showed that the diabetic mice treated with CGS, CGM, and CGA extracts had a higher level of both adropin and nitric oxide compared with the control group. Furthermore, different C. gileadensis extracts elevated nitric oxide and adropin levels in diabetic mice nearly four times higher compared to the levels in the untreated diabetic group. Overexpression of endothelin is associated with hypertension, erectile dysfunction, and heart diseases [31]. In the current study, the endothelin levels decreased in diabetic mice treated with CGS, CGM, and CGA extracts. The CGS, CGM, and CGA extracts decrease lipid peroxidation products by inducing GSH levels and antioxidant enzyme activities such as GSH-Px and SOD. The induction of positive erectile markers and reduction of the negative marker endothelin may be due to C. gileadensis antioxidant activity.
Regarding the semen analysis results, the sperm count was increased in diabetic mice treated with CGS. Moreover, motility and the percentage of normal morphologic sperms were raised in diabetic mice treated with CGS, CGM, and CGA extracts although not significantly. Immunohistochemistry examination of the testes showed that diabetic mice treated with C. gileadensis had a higher immunoreactivity of NOS compared to the control group and untreated diabetic mice. Normal testicular architecture was destroyed in the diabetic group. However, treatment with CGS, CGM, and CGA extracts restored the architecture of testicular tissue in diabetic mice and made it normal. Testosterone inhibits CD8+ and CD4+ T-cell activation. When Leydig cells were damaged, CD8+ and CD4+ T lymphocytes proliferated. During testes inflammation both CD8+ and CD4+ cells are increased [35]. Testosterone and recovery Leydig cells diminish CD8+ and CD4+ cell numbers [36]. In the current study, C. gileadensis reduces CD8+ and CD4+ which may decrease testes inflammation and induce its recovery in diabetic mice. Previous studies indicate that natural extracts of Catharanthus roseus L. have high antioxidant content that can mitigate oxidative stress in diabetic testicular tissue [37]. The authors conclude that the C. roseus L. maintains testicular tissue by inducing epididymal SOD and catalase. C. gileadensis may act similarly, potentially through pathways involving the induction of epididymal SOD and catalase. Moreover, C. gileadensis protects testicular tissue by its anti-inflammatory activity. The comparison between different C. gileadensis extracts showed that CGS had a greater effect on testosterone, nitric oxide, adropin, endothelin, semen, and immunoreactivity of testicular NOS than did CGM and CGA extracts. These differences may be due to a variation in the consistency of sap and the methanol and acetone extracts: CGS is more viscous than methanol and acetone extracts. This viscosity may reflect the fact that the CGS had a higher concentration of free radical scavengers such as saponins, flavonoids, volatile oils, sterols, and triterpenes than the methanol and acetone extracts; hence, CGS had higher antioxidant activity than the methanol and acetone extracts. Furthermore, chemical characterization of C. gileadensis extracts showed a high content of steroids that may induce fertility and erection in these mice [15]. Besides male infertility, polycystic ovarian syndrome (PCOS) impairs female fertility and has the same prevalence as male infertility, so focusing on PCOS treatment becomes a large scale in future studies. PCOS has emerged as the most prevalent gynecologic endocrinopathy, with a global incidence of 1.55 million patients. PCOS is defined by a range of conditions including hyperandrogenism, polycystic ovarian morphology, oligo-anovulation, hyperinsulinemia due to insulin resistance (IR), and dyslipidemia. The precise pathogenic pathways remain ambiguous; nevertheless, IR and hyperandrogenaemia are proposed to be pivotal in the pathogenesis of PCOS [38]. Hyperinsulinemia resulting from IR predominantly induces hyperandrogenism and alters steroidogenesis in both the ovaries and adrenal glands. Additionally, early sensitivity to LH inhibits follicular growth in PCOS due to modified steroidogenesis [39]. The propensity of granulosa cells to secrete anti-Müllerian hormone (AMH) results in increased serum levels of AMH. Elevated levels of AMH desensitize ovarian follicles to FSH, resulting in premature follicular arrest and impaired fertility [40].
5 Recommendation and conclusion
This study concludes that C. gileadensis raises testosterone levels and sperm count in diabetic male mice. The herb also increases positive erectile function markers (adropin and nitric oxide) and immunoreactivity of testicular NOS. Moreover, C. gileadensis has an anti-inflammatory effect by decreasing CD4+ and CD8+. Overall, C. gileadensis ameliorate erectile dysfunction and infertility in diabetic male mice due to its high steroid contents and/or its antioxidant and anti-inflammatory activities. While the present study demonstrates substantial benefits of C. gileadensis in diabetic mice, further research, including human clinical trials beside human cell lines, is essential to validate these findings and explore the herb’s potential for treating diabetes-induced reproductive dysfunction in clinical settings.
Acknowledgements
The authors extend their appreciation to Taif University, Saudi Arabia, for supporting this work through project number (TU-DSPP-2024-270).
-
Funding information: This research was funded by Taif University, Saudi Arabia, Project No. (TU-DSPP-2024-270).
-
Author contribution: Conceptualization, methodology, investigation, writing of the original draft, formal analysis, visualization, and data curation were performed by Ayman Alhazmi. Ayman Alhazmi read and approved the final manuscript.
-
Conflict of interest: The authors declare that they have no conflicts of interest.
-
Data availability statement: All data generated or analyzed during this study are included in this published article. The datasets used and/or analyzed during the present study are available from the corresponding author on reasonable request.
References
[1] Gabr AA, Omran EF, Abdallah AA, Kotb MM, Farid EZ, Belal DS, et al. Prevalence of sexual dysfunction in infertile versus fertile couples. Eur J Obstet Gynecol Reprod Biol. 2017;217:38–43. 10.1016/j.ejogrb.2017.08.025.Suche in Google Scholar PubMed
[2] McCabe MP, Sharlip ID, Lewis R, Atalla E, Balon R, Fisher AD, et al. Incidence and prevalence of sexual dysfunction in women and men: a consensus statement from the fourth international consultation on sexual medicine. J Sex Med. 2016;13(2):144–52. 10.1016/j.jsxm.2015.12.034, PMID: 26953829.Suche in Google Scholar PubMed
[3] Kızılay F, Şahin M, Altay B. Do sperm parameters and infertility affect sexuality of couples? Andrologia. 2018;50(2):1–11. 10.1111/and.12879.Suche in Google Scholar PubMed
[4] Lotti F, Corona G, Castellini G, Maseroli E, Fino MG, Cozzolino M, et al. Semen quality impairment is associated with sexual dysfunction according to its severity. Hum Reprod. 2016;31(12):2668–80. 10.1093/humrep/dew246.Suche in Google Scholar PubMed
[5] Berger MH, Messore M, Pastuszak AW, Ramasamy R. Association between infertility and sexual dysfunction in men and women. Sex Med. 2016;4:353–65. 10.3389/fphar.2021.789787.Suche in Google Scholar PubMed PubMed Central
[6] Yafi FA, Lawrence J, Maarten A, Giovanni C, Andrea M, Shari G, et al. Erectile dysfunction. Nat Rev Dis Primers. 2016;2:16003. 10.1038/nrdp.2016.3.Suche in Google Scholar PubMed PubMed Central
[7] Li XC, Zhang XB, Liao ZC, Tang ZY, Li DJ. Is mild erectile dysfunction associated with severe psychological symptoms in Chinese patients with moderate-to-severe chronic prostatitis/chronic pelvic pain syndrome? Asian J Androl. 2020;23(3):319–24. 10.4103/aja.aja_71_20.Suche in Google Scholar PubMed PubMed Central
[8] Chen T, Wu F, Wang X, Ma G, Xuan X, Tang R. Different levels of estradiol are correlated with sexual dysfunction in adult men. Sci Rep. 2020;10:12660. 10.1038/s41598-020-69712-6.Suche in Google Scholar PubMed PubMed Central
[9] Akter S, Jesmin S, Iwashima Y, Sakuramoto H, Arifur R, Majedul I, et al. Higher circulatory level of endothelin-1 in hypertensive subjects screened through a cross-sectional study of rural Bangladeshi women. Hypertens Res. 2015;38:208–12. 10.1038/hr.2014.160.Suche in Google Scholar PubMed
[10] Altamimi TR, Gao S, Karwi QG, Fukushima A, Rawat S, Wagg CS, et al. Adropin regulates cardiac energy metabolism and improves cardiac function and efficiency. Metabolism. 2019;98:37–48. 10.1016/j.metabol.2019.06.005.Suche in Google Scholar PubMed
[11] Thapa D, Xie B, Zhang M, Stoner MW, Manning JR, Huckestein BR, et al. Adropin treatment restores cardiac glucose oxidation in pre-diabetic obese mice. J Mol Cell Cardiol. 2019;129:174–78. 10.1016/j.yjmcc.2019.02.012.Suche in Google Scholar PubMed PubMed Central
[12] Abdulbasit A. The antibacterial activity of traditionally used Salvadora persica L. and Commiphora gileadensis in Saudi Arabia. Afr J Tradit Complement Altern Med. 2014;11(1):23–7. 10.4314/ajtcam.v11i1.3.Suche in Google Scholar
[13] Bouslama L, Bochra K, Yasir MA, Kamel C, Adele P. Virucidal effect of guggulsterone isolated from Commiphora gileadensis. Planta Med. 2019;85(16):1225–32. 10.1055/a-1014-3303.Suche in Google Scholar PubMed
[14] Alhazmi AS, Bayan MA, Ebtesam MA, Mai NA, Maram MA, Ohood AA. In vitro and in vivo antibacterial effect of Commiphora gileadensis methanolic extract against methicillin-resistant Staphylococcus aureus (MRSA) and Pseudomonas aeruginosa. Pak J Biol Sci. 2020;23(12):1676–80. 10.3923/pjbs.2020.1676.1680.Suche in Google Scholar PubMed
[15] Alhazmi AS, Abdullah FA, Ahmad AA, Anas A, Abdulrahman M, Ahmad AO, et al. Antibacterial effects of Commiphora gileadensis methanolic extract on wound healing. Molecules. 2022;27(3320):1–14. 10.3390/molecules27103320.Suche in Google Scholar PubMed PubMed Central
[16] Iluz M, Hoffman N, Gilboa-Garber Z. Medicinal properties of Commiphora gileadensis. Afr J Pharm Pharmacol. 2010;4:516–20.Suche in Google Scholar
[17] Eitan W, Iain D, Vanessa W, Ksenia S, Marcel J, Shiri M, et al. Commiphora gileadensis sap extract induces cell cycle-dependent death in immortalized keratinocytes and human dermoid carcinoma cells. J Herb Med. 2015;5(4):199–206. https://10.1016/j.hermed.2015.08.001.Suche in Google Scholar
[18] Sulimani MA. Prenylated flavonoids from the stem wood of Commiphora opobalsamum (L.) Engl. (Burseraceae). J King Saud Univ–Sci. 2015;27(1):71–5. 10.1016/j.jksus.2014.04.005.Suche in Google Scholar
[19] Nya N, Arnold SM, Walsh TJ, Muller CH, Isoherranen N, Amory JK. Intratesticular 13-cis retinoic acid is lower in men with abnormal semen analyses, a pilot study. Andrology. 2013;1(2):325–31. 10.1111/j.2047-2927.2012.00033.x.Suche in Google Scholar PubMed PubMed Central
[20] Gerhard van der H, Bongekile S, Audrey L, Peter O, Stefan SP. Automated analysis of rat sperm morphometry and morphology: moving towards cut-off values for normal sperm morphology and toxicology. Biotech Histochem. 2018;93(1):49–58. 10.1080/10520295.2017.1380842.Suche in Google Scholar PubMed
[21] Rafieh A, Shadan N, Niloofar A, Abazar Y, Zohreh M, Erfan D, et al. The effect of aminoguanidine on sperm motility and mitochondrial membrane potential in varicocelized rats. Basic Med Sci. 2016;19:1279–84. 10.22038/ijbms.2016.7908.Suche in Google Scholar PubMed PubMed Central
[22] Narayana K, Prashanthi N, Nayanatara A, Kumar HH, Abhilash K, Bairy KL. Effects of methyl parathion (o,o-dimethyl o-4-nitrophenyl phosphorothioate) on rat sperm morphology and sperm count, but not fertility, are associated with decreased ascorbic acid level in the testis. Mutat Res. 2005;588:28–34. 10.1016/j.mrgentox.2005.08.012.Suche in Google Scholar PubMed
[23] Begum N, Anwary SA, Alfazzaman M, Mahzabin Z, Nahar K, Rahman MM, et al. Role of serum follicle stimulating hormone, luteinizing hormone, testosterone and prolactin levels in azoospermic male partner of subfertile couple. Mymensingh Med J. 2016;25(2):303–7, PMID: 27277364.Suche in Google Scholar
[24] Dijana B, Maja M, Mirko L, Dinko M, Daria T, Marino V, et al. Serum adropin levels in patients on hemodialysis. Life. 2021;11(4):337. 10.3390/life11040337.Suche in Google Scholar PubMed PubMed Central
[25] Sato K, Yamashita T, Shirai R, Shibata K, Okano T, Yamaguchi M, et al. Adropin contributes to anti-atherosclerosis by suppressing monocyte-endothelial cell adhesion and smooth muscle cell proliferation. Int J Mol Sci. 2018;19:1293. 10.3390/ijms19051293.Suche in Google Scholar PubMed PubMed Central
[26] Hui JC, Flavia E, Laura G, Maria P. Assisted reproductive technology and hypertensive disorders of pregnancy: systematic review and meta-analyses. BMC Pregnancy Childbirth. 2021;21:449. 10.1186/s12884-021-03938-8.Suche in Google Scholar PubMed PubMed Central
[27] Giuseppe G, Marco S, Gaspare C, Vito C, Antonino P, Maria E, et al. Neonatal outcomes and long-term follow-up of children born from frozen embryo, a narrative review of latest research findings. Medicina. 2022;58(9):1218. 10.3390/medicina58091218.Suche in Google Scholar PubMed PubMed Central
[28] Cahoreau C, Klett D, Combarnous Y. Structure–function relationships of glycoprotein hormones and their subunits ancestors. Front Endocrinol. 2015;6:26. 10.3389/fendo.2015.00026.Suche in Google Scholar PubMed PubMed Central
[29] Olayiwola OO, Hellevi P, Ilpo T. Role of follicle-stimulating hormone in spermatogenesis. Front Endocrinol. 2018;9:763. 10.3389/fendo.2018.00763.Suche in Google Scholar PubMed PubMed Central
[30] Dimitri Y, Francesca F, Linda V, Giovanni C, Mario M, Giulia R, et al. Erectile dysfunction is a hallmark of cardiovascular disease: unavoidable matter of fact or opportunity to improve men’s health? J Clin Med. 2021;10:2221. 10.3390/jcm10102221.Suche in Google Scholar PubMed PubMed Central
[31] Davenport AP, Hyndman KA, Dhaun N, Southan C, Kohan DE, Pollock JS, et al. Endothelin. Pharmacol Rev. 2016;68(2):357–418. 10.1124/pr.115.011833.Suche in Google Scholar PubMed PubMed Central
[32] Kuloglu T, Aydin S. Immunohistochemical expressions of adropin and inducible nitric oxide synthase in renal tissues of rats with streptozotocin-induced experimental diabetes. Biotech Histochem. 2014;89:104–10. 10.3109/10520295.2013.821713.Suche in Google Scholar PubMed
[33] Topuz M, Ahmet C, Tutku A, Ayse KD, Suna A, Suleyman A. Plasma adropin levels predict endothelial dysfunction like flow-mediated dilatation in patients with type 2 diabetes mellitus. J Investig Med. 2013;61(8):1161–4. 10.2310/JIM.0000000000000003.Suche in Google Scholar PubMed
[34] Hüsetin TC, Mehmet B, Fatmanur K, Mehmet EY, İlkay Bİ, Hüsamettin E. Serum adropin as a predictive biomarker of erectile dysfunction in coronary artery disease patients. Cent Eur J Urol. 2019;72:302–6. 10.5173/ceju.2019.1666.Suche in Google Scholar PubMed PubMed Central
[35] Jacobo P. The role of regulatory t cells in autoimmune orchitis. Andrologia. 2018;50(11):e13092. 10.1111/and.13092.Suche in Google Scholar PubMed
[36] Hedger MP, Wang J, Lan HY, Atkins RC, Wreford NG. Immunoregulatory activity in adult rat testicular interstitial fluid: relationship with intratesticular CD8+ lymphocytes following treatment with ethane dimethane sulfonate and testosterone implants. Biol Reprod. 1998;58(4):935–42. 10.1095/biolreprod58.4.935.Suche in Google Scholar PubMed
[37] Oguntibeju OO, Aboua Y, Kachepe P. Possible therapeutic effects of vindoline on testicular and epididymal function in diabetes-induced oxidative stress male Wistar rats. 2020;6(4):1–9. 10.1016/j.heliyon.2020.e03817.Suche in Google Scholar PubMed PubMed Central
[38] Mihanfar A, Nouri M, Roshangar L, Khadem-Ansari MH. Polyphenols. Natural compounds with promising potential in treating polycystic ovary syndrome. Reprod Biol. 2021;21(2):100500. 10.1016/j.repbio.2021.100500.Suche in Google Scholar PubMed
[39] Reyes-Muñoz E, Sathyapalan T, Rossetti P, Shah M, Long M, Buscema M, et al. Polycystic ovary syndrome: implication for drug metabolism on assisted reproductive techniques—a literature review. Adv Ther. 2018;35(11):11. 10.1007/S12325-018-0810-1.Suche in Google Scholar
[40] Saxena A, Sherkane M, Bhoite R, Sadananda MP, Satyavrat V, Kareenhalli V. Efficacy of optimal nutraceutical combination in treating PCOS characteristics: an in-silico assessment. BMC Endocr Disord. 2024 Mar;24:44. 10.1186/s12902-024-01571-y.Suche in Google Scholar PubMed PubMed Central
© 2025 the author(s), published by De Gruyter
This work is licensed under the Creative Commons Attribution 4.0 International License.
Artikel in diesem Heft
- Research Articles
- Network pharmacological analysis and in vitro testing of the rutin effects on triple-negative breast cancer
- Impact of diabetes on long-term survival in elderly liver cancer patients: A retrospective study
- Knockdown of CCNB1 alleviates high glucose-triggered trophoblast dysfunction during gestational diabetes via Wnt/β-catenin signaling pathway
- Risk factors for severe adverse drug reactions in hospitalized patients
- Analysis of the effect of ALA-PDT on macrophages in footpad model of mice infected with Fonsecaea monophora based on single-cell sequencing
- Development and validation of headspace gas chromatography with a flame ionization detector method for the determination of ethanol in the vitreous humor
- CMSP exerts anti-tumor effects on small cell lung cancer cells by inducing mitochondrial dysfunction and ferroptosis
- Predictive value of plasma sB7-H3 and YKL-40 in pediatric refractory Mycoplasma pneumoniae pneumonia
- Antiangiogenic potential of Elaeagnus umbellata extracts and molecular docking study by targeting VEGFR-2 pathway
- Comparison of the effectiveness of nurse-led preoperative counseling and postoperative follow-up care vs standard care for patients with gastric cancer
- Comparing the therapeutic efficacy of endoscopic minimally invasive surgery and traditional surgery for early-stage breast cancer: A meta-analysis
- Adhered macrophages as an additional marker of cardiomyocyte injury in biopsies of patients with dilated cardiomyopathy
- Association between statin administration and outcome in patients with sepsis: A retrospective study
- Exploration of the association between estimated glucose disposal rate and osteoarthritis in middle-aged and older adults: An analysis of NHANES data from 2011 to 2018
- A comparative analysis of the binary and multiclass classified chest X-ray images of pneumonia and COVID-19 with ML and DL models
- Lysophosphatidic acid 2 alleviates deep vein thrombosis via protective endothelial barrier function
- Transcription factor A, mitochondrial promotes lymph node metastasis and lymphangiogenesis in epithelial ovarian carcinoma
- Serum PM20D1 levels are associated with nutritional status and inflammatory factors in gastric cancer patients undergoing early enteral nutrition
- Hydromorphone reduced the incidence of emergence agitation after adenotonsillectomy in children with obstructive sleep apnea: A randomized, double-blind study
- Vitamin D replacement therapy may regulate sleep habits in patients with restless leg syndrome
- The first-line antihypertensive nitrendipine potentiated the therapeutic effect of oxaliplatin by downregulating CACNA1D in colorectal cancer
- Health literacy and health-related quality of life: The mediating role of irrational happiness
- Modulatory effects of Lycium barbarum polysaccharide on bone cell dynamics in osteoporosis
- Mechanism research on inhibition of gastric cancer in vitro by the extract of Pinellia ternata based on network pharmacology and cellular metabolomics
- Examination of the causal role of immune cells in non-alcoholic fatty liver disease by a bidirectional Mendelian randomization study
- Clinical analysis of ten cases of HIV infection combined with acute leukemia
- Investigating the cardioprotective potential of quercetin against tacrolimus-induced cardiotoxicity in Wistar rats: A mechanistic insights
- Clinical observation of probiotics combined with mesalazine and Yiyi Baitouweng Decoction retention enema in treating mild-to-moderate ulcerative colitis
- Diagnostic value of ratio of blood inflammation to coagulation markers in periprosthetic joint infection
- Sex-specific associations of sex hormone binding globulin and risk of bladder cancer
- Core muscle strength and stability-oriented breathing training reduces inter-recti distance in postpartum women
- The ERAS nursing care strategy for patients undergoing transsphenoidal endoscopic pituitary tumor resection: A randomized blinded controlled trial
- The serum IL-17A levels in patients with traumatic bowel rupture post-surgery and its predictive value for patient prognosis
- Impact of Kolb’s experiential learning theory-based nursing on caregiver burden and psychological state of caregivers of dementia patients
- Analysis of serum NLR combined with intraoperative margin condition to predict the prognosis of cervical HSIL patients undergoing LEEP surgery
- Commiphora gileadensis ameliorate infertility and erectile dysfunction in diabetic male mice
- The correlation between epithelial–mesenchymal transition classification and MMP2 expression of circulating tumor cells and prognosis of advanced or metastatic nasopharyngeal carcinoma
- Tetrahydropalmatine improves mitochondrial function in vascular smooth muscle cells of atherosclerosis in vitro by inhibiting Ras homolog gene family A/Rho-associated protein kinase-1 signaling pathway
- A cross-sectional study: Relationship between serum oxidative stress levels and arteriovenous fistula maturation in maintenance dialysis patients
- A comparative analysis of the impact of repeated administration of flavan 3-ol on brown, subcutaneous, and visceral adipose tissue
- Identifying early screening factors for depression in middle-aged and older adults: A cohort study
- Perform tumor-specific survival analysis for Merkel cell carcinoma patients undergoing surgical resection based on the SEER database by constructing a nomogram chart
- Unveiling the role of CXCL10 in pancreatic cancer progression: A novel prognostic indicator
- High-dose preoperative intraperitoneal erythropoietin and intravenous methylprednisolone in acute traumatic spinal cord injuries following decompression surgeries
- RAB39B: A novel biomarker for acute myeloid leukemia identified via multi-omics and functional validation
- Impact of peripheral conditioning on reperfusion injury following primary percutaneous coronary intervention in diabetic and non-diabetic STEMI patients
- Clinical efficacy of azacitidine in the treatment of middle- and high-risk myelodysplastic syndrome in middle-aged and elderly patients: A retrospective study
- The effect of ambulatory blood pressure load on mitral regurgitation in continuous ambulatory peritoneal dialysis patients
- Expression and clinical significance of ITGA3 in breast cancer
- Single-nucleus RNA sequencing reveals ARHGAP28 expression of podocytes as a biomarker in human diabetic nephropathy
- rSIG combined with NLR in the prognostic assessment of patients with multiple injuries
- Toxic metals and metalloids in collagen supplements of fish and jellyfish origin: Risk assessment for daily intake
- Exploring causal relationship between 41 inflammatory cytokines and marginal zone lymphoma: A bidirectional Mendelian randomization study
- Gender beliefs and legitimization of dating violence in adolescents
- Effect of serum IL-6, CRP, and MMP-9 levels on the efficacy of modified preperitoneal Kugel repair in patients with inguinal hernia
- Effect of smoking and smoking cessation on hematological parameters in polycythemic patients
- Pathogen surveillance and risk factors for pulmonary infection in patients with lung cancer: A retrospective single-center study
- Necroptosis of hippocampal neurons in paclitaxel chemotherapy-induced cognitive impairment mediates microglial activation via TLR4/MyD88 signaling pathway
- Celastrol suppresses neovascularization in rat aortic vascular endothelial cells stimulated by inflammatory tenocytes via modulating the NLRP3 pathway
- Cord-lamina angle and foraminal diameter as key predictors of C5 palsy after anterior cervical decompression and fusion surgery
- GATA1: A key biomarker for predicting the prognosis of patients with diffuse large B-cell lymphoma
- Influencing factors of false lumen thrombosis in type B aortic dissection: A single-center retrospective study
- MZB1 regulates the immune microenvironment and inhibits ovarian cancer cell migration
- Integrating experimental and network pharmacology to explore the pharmacological mechanisms of Dioscin against glioblastoma
- Trends in research on preterm birth in twin pregnancy based on bibliometrics
- Four-week IgE/baseline IgE ratio combined with tryptase predicts clinical outcome in omalizumab-treated children with moderate-to-severe asthma
- Single-cell transcriptomic analysis identifies a stress response Schwann cell subtype
- Acute pancreatitis risk in the diagnosis and management of inflammatory bowel disease: A critical focus
- Effect of subclinical esketamine on NLRP3 and cognitive dysfunction in elderly ischemic stroke patients
- Interleukin-37 mediates the anti-oral tumor activity in oral cancer through STAT3
- CA199 and CEA expression levels, and minimally invasive postoperative prognosis analysis in esophageal squamous carcinoma patients
- Efficacy of a novel drainage catheter in the treatment of CSF leak after posterior spine surgery: A retrospective cohort study
- Comprehensive biomedicine assessment of Apteranthes tuberculata extracts: Phytochemical analysis and multifaceted pharmacological evaluation in animal models
- Relation of time in range to severity of coronary artery disease in patients with type 2 diabetes: A cross-sectional study
- Dopamine attenuates ethanol-induced neuronal apoptosis by stimulating electrical activity in the developing rat retina
- Correlation between albumin levels during the third trimester and the risk of postpartum levator ani muscle rupture
- Factors associated with maternal attention and distraction during breastfeeding and childcare: A cross-sectional study in the west of Iran
- Mechanisms of hesperetin in treating metabolic dysfunction-associated steatosis liver disease via network pharmacology and in vitro experiments
- The law on oncological oblivion in the Italian and European context: How to best uphold the cancer patients’ rights to privacy and self-determination?
- The prognostic value of the neutrophil-to-lymphocyte ratio, platelet-to-lymphocyte ratio, and prognostic nutritional index for survival in patients with colorectal cancer
- Factors affecting the measurements of peripheral oxygen saturation values in healthy young adults
- Comparison and correlations between findings of hysteroscopy and vaginal color Doppler ultrasonography for detection of uterine abnormalities in patients with recurrent implantation failure
- The effects of different types of RAGT on balance function in stroke patients with low levels of independent walking in a convalescent rehabilitation hospital
- Causal relationship between asthma and ankylosing spondylitis: A bidirectional two-sample univariable and multivariable Mendelian randomization study
- Correlations of health literacy with individuals’ understanding and use of medications in Southern Taiwan
- Correlation of serum calprotectin with outcome of acute cerebral infarction
- Comparison of computed tomography and guided bronchoscopy in the diagnosis of pulmonary nodules: A systematic review and meta-analysis
- Curdione protects vascular endothelial cells and atherosclerosis via the regulation of DNMT1-mediated ERBB4 promoter methylation
- The identification of novel missense variant in ChAT gene in a patient with gestational diabetes denotes plausible genetic association
- Molecular genotyping of multi-system rare blood types in foreign blood donors based on DNA sequencing and its clinical significance
- Exploring the role of succinyl carnitine in the association between CD39⁺ CD4⁺ T cell and ulcerative colitis: A Mendelian randomization study
- Dexmedetomidine suppresses microglial activation in postoperative cognitive dysfunction via the mmu-miRNA-125/TRAF6 signaling axis
- Analysis of serum metabolomics in patients with different types of chronic heart failure
- Diagnostic value of hematological parameters in the early diagnosis of acute cholecystitis
- Pachymaran alleviates fat accumulation, hepatocyte degeneration, and injury in mice with nonalcoholic fatty liver disease
- Decrease in CD4 and CD8 lymphocytes are predictors of severe clinical picture and unfavorable outcome of the disease in patients with COVID-19
- METTL3 blocked the progression of diabetic retinopathy through m6A-modified SOX2
- The predictive significance of anti-RO-52 antibody in patients with interstitial pneumonia after treatment of malignant tumors
- Exploring cerebrospinal fluid metabolites, cognitive function, and brain atrophy: Insights from Mendelian randomization
- Development and validation of potential molecular subtypes and signatures of ocular sarcoidosis based on autophagy-related gene analysis
- Widespread venous thrombosis: Unveiling a complex case of Behçet’s disease with a literature perspective
- Uterine fibroid embolization: An analysis of clinical outcomes and impact on patients’ quality of life
- Discovery of lipid metabolism-related diagnostic biomarkers and construction of diagnostic model in steroid-induced osteonecrosis of femoral head
- Serum-derived exomiR-188-3p is a promising novel biomarker for early-stage ovarian cancer
- Enhancing chronic back pain management: A comparative study of ultrasound–MRI fusion guidance for paravertebral nerve block
- Peptide CCAT1-70aa promotes hepatocellular carcinoma proliferation and invasion via the MAPK/ERK pathway
- Electroacupuncture-induced reduction of myocardial ischemia–reperfusion injury via FTO-dependent m6A methylation modulation
- Hemorrhoids and cardiovascular disease: A bidirectional Mendelian randomization study
- Cell-free adipose extract inhibits hypertrophic scar formation through collagen remodeling and antiangiogenesis
- HALP score in Demodex blepharitis: A case–control study
- Assessment of SOX2 performance as a marker for circulating cancer stem-like cells (CCSCs) identification in advanced breast cancer patients using CytoTrack system
- Risk and prognosis for brain metastasis in primary metastatic cervical cancer patients: A population-based study
- Comparison of the two intestinal anastomosis methods in pediatric patients
- Factors influencing hematological toxicity and adverse effects of perioperative hyperthermic intraperitoneal vs intraperitoneal chemotherapy in gastrointestinal cancer
- Endotoxin tolerance inhibits NLRP3 inflammasome activation in macrophages of septic mice by restoring autophagic flux through TRIM26
- Lateral transperitoneal laparoscopic adrenalectomy: A single-centre experience of 21 procedures
- Petunidin attenuates lipopolysaccharide-induced retinal microglia inflammatory response in diabetic retinopathy by targeting OGT/NF-κB/LCN2 axis
- Procalcitonin and C-reactive protein as biomarkers for diagnosing and assessing the severity of acute cholecystitis
- Factors determining the number of sessions in successful extracorporeal shock wave lithotripsy patients
- Development of a nomogram for predicting cancer-specific survival in patients with renal pelvic cancer following surgery
- Inhibition of ATG7 promotes orthodontic tooth movement by regulating the RANKL/OPG ratio under compression force
- A machine learning-based prognostic model integrating mRNA stemness index, hypoxia, and glycolysis‑related biomarkers for colorectal cancer
- Glutathione attenuates sepsis-associated encephalopathy via dual modulation of NF-κB and PKA/CREB pathways
- FAHD1 prevents neuronal ferroptosis by modulating R-loop and the cGAS–STING pathway
- Association of placenta weight and morphology with term low birth weight: A case–control study
- Investigation of the pathogenic variants induced Sjogren’s syndrome in Turkish population
- Nucleotide metabolic abnormalities in post-COVID-19 condition and type 2 diabetes mellitus patients and their association with endocrine dysfunction
- TGF-β–Smad2/3 signaling in high-altitude pulmonary hypertension in rats: Role and mechanisms via macrophage M2 polarization
- Ultrasound-guided unilateral versus bilateral erector spinae plane block for postoperative analgesia of patients undergoing laparoscopic cholecystectomy
- Profiling gut microbiome dynamics in subacute thyroiditis: Implications for pathogenesis, diagnosis, and treatment
- Delta neutrophil index, CRP/albumin ratio, procalcitonin, immature granulocytes, and HALP score in acute appendicitis: Best performing biomarker?
- Anticancer activity mechanism of novelly synthesized and characterized benzofuran ring-linked 3-nitrophenyl chalcone derivative on colon cancer cells
- H2valdien3 arrests the cell cycle and induces apoptosis of gastric cancer
- Prognostic relevance of PRSS2 and its immune correlates in papillary thyroid carcinoma
- Association of SGLT2 inhibition with psychiatric disorders: A Mendelian randomization study
- Motivational interviewing for alcohol use reduction in Thai patients
- Luteolin alleviates oxygen-glucose deprivation/reoxygenation-induced neuron injury by regulating NLRP3/IL-1β signaling
- Polyphyllin II inhibits thyroid cancer cell growth by simultaneously inhibiting glycolysis and oxidative phosphorylation
- Relationship between the expression of copper death promoting factor SLC31A1 in papillary thyroid carcinoma and clinicopathological indicators and prognosis
- CSF2 polarized neutrophils and invaded renal cancer cells in vitro influence
- Proton pump inhibitors-induced thrombocytopenia: A systematic literature analysis of case reports
- The current status and influence factors of research ability among community nurses: A sequential qualitative–quantitative study
- OKAIN: A comprehensive oncology knowledge base for the interpretation of clinically actionable alterations
- The relationship between serum CA50, CA242, and SAA levels and clinical pathological characteristics and prognosis in patients with pancreatic cancer
- Identification and external validation of a prognostic signature based on hypoxia–glycolysis-related genes for kidney renal clear cell carcinoma
- Engineered RBC-derived nanovesicles functionalized with tumor-targeting ligands: A comparative study on breast cancer targeting efficiency and biocompatibility
- Relationship of resting echocardiography combined with serum micronutrients to the severity of low-gradient severe aortic stenosis
- Effect of vibration on pain during subcutaneous heparin injection: A randomized, single-blind, placebo-controlled trial
- The diagnostic performance of machine learning-based FFRCT for coronary artery disease: A meta-analysis
- Comparing biofeedback device vs diaphragmatic breathing for bloating relief: A randomized controlled trial
- Serum uric acid to albumin ratio and C-reactive protein as predictive biomarkers for chronic total occlusion and coronary collateral circulation quality
- Multiple organ scoring systems for predicting in-hospital mortality of sepsis patients in the intensive care unit
- Single-cell RNA sequencing data analysis of the inner ear in gentamicin-treated mice via intraperitoneal injection
- Suppression of cathepsin B attenuates myocardial injury via limiting cardiomyocyte apoptosis
- Influence of sevoflurane combined with propofol anesthesia on the anesthesia effect and adverse reactions in children with acute appendicitis
- Identification of hub genes related to acute kidney injury caused by sevoflurane anesthesia and endoplasmic reticulum stress
- Efficacy and safety of PD-1/PD-L1 inhibitors in pancreatic ductal adenocarcinoma: a systematic review and Meta-analysis of randomized controlled trials
- The value of diagnostic experience in O-RADS MRI score for ovarian-adnexal lesions
- Health education pathway for individuals with temporary enterostomies using patient journey mapping
- Serum TLR8 as a potential diagnostic biomarker of coronary heart disease
- Intraoperative temperature management and its effect on surgical outcomes in elderly patients undergoing lichtenstein unilateral inguinal hernia repair
- Immunohistochemical profiling and neuroepithelial heterogeneity in immature ovarian teratomas: a retrospective digital pathology-based study
- Associated risk factors and prevalence of human papillomavirus infection among females visiting tertiary care hospital: a cross-sectional study from Nepal
- Comparative evaluation of various disc elution methods for the detection of colistin-resistant gram-negative bacteria
- Effect of timing of cholecystectomy on weight loss after sleeve gastrectomy in morbidly obese individuals with cholelithiasis: a retrospective cohort study
- Causal association between ceramide levels and central precocious puberty: a mendelian randomization study
- Novel predictive model for colorectal liver metastases recurrence: a radiomics and clinical data approach
- Relationship between resident physicians’ perceived professional value and exposure to violence
- Multiple sclerosis and type 1 diabetes: a Mendelian randomization study of European ancestry
- Rapid pathogen identification in peritoneal dialysis effluent by MALDI-TOF MS following blood culture enrichment
- Comparison of open and percutaneous A1 pulley release in pediatric trigger thumb: a retrospective cohort study
- Impact of combined diaphragm-lung ultrasound assessment on postoperative respiratory function in patients under general anesthesia recovery
- Development and internal validation of a nomogram for predicting short-term prognosis in ICU patients with acute pyelonephritis
- The association between hypoxic burden and blood pressure in patients with obstructive sleep apnea
- Promotion of asthenozoospermia by C9orf72 through suppression of spermatogonia activity via fructose metabolism and mitophagy
- Review Articles
- The effects of enhanced external counter-pulsation on post-acute sequelae of COVID-19: A narrative review
- Diabetes-related cognitive impairment: Mechanisms, symptoms, and treatments
- Microscopic changes and gross morphology of placenta in women affected by gestational diabetes mellitus in dietary treatment: A systematic review
- Review of mechanisms and frontier applications in IL-17A-induced hypertension
- Research progress on the correlation between islet amyloid peptides and type 2 diabetes mellitus
- The safety and efficacy of BCG combined with mitomycin C compared with BCG monotherapy in patients with non-muscle-invasive bladder cancer: A systematic review and meta-analysis
- The application of augmented reality in robotic general surgery: A mini-review
- The effect of Greek mountain tea extract and wheat germ extract on peripheral blood flow and eicosanoid metabolism in mammals
- Neurogasobiology of migraine: Carbon monoxide, hydrogen sulfide, and nitric oxide as emerging pathophysiological trinacrium relevant to nociception regulation
- Plant polyphenols, terpenes, and terpenoids in oral health
- Laboratory medicine between technological innovation, rights safeguarding, and patient safety: A bioethical perspective
- End-of-life in cancer patients: Medicolegal implications and ethical challenges in Europe
- The maternal factors during pregnancy for intrauterine growth retardation: An umbrella review
- Intra-abdominal hypertension/abdominal compartment syndrome of pediatric patients in critical care settings
- PI3K/Akt pathway and neuroinflammation in sepsis-associated encephalopathy
- Screening of Group B Streptococcus in pregnancy: A systematic review for the laboratory detection
- Giant borderline ovarian tumours – review of the literature
- Leveraging artificial intelligence for collaborative care planning: Innovations and impacts in shared decision-making – A systematic review
- Cholera epidemiology analysis through the experience of the 1973 Naples epidemic
- Risk factors of frailty/sarcopenia in community older adults: Meta-analysis
- Supplement strategies for infertility in overweight women: Evidence and legal insights
- Scurvy, a not obsolete disorder: Clinical report in eight young children and literature review
- A meta-analysis of the effects of DBS on cognitive function in patients with advanced PD
- Protective role of selenium in sepsis: Mechanisms and potential therapeutic strategies
- Strategies for hyperkalemia management in dialysis patients: A systematic review
- C-reactive protein-to-albumin ratio in peripheral artery disease
- Research progress on autophagy and its roles in sepsis induced organ injury
- Neuronutrition in autism spectrum disorders
- Pumilio 2 in neural development, function, and specific neurological disorders
- Antibiotic prescribing patterns in general dental practice- a scoping review
- Clinical and medico-legal reflections on non-invasive prenatal testing
- Smartphone use and back pain: a narrative review of postural pathologies
- Targeting endothelial oxidative stress in hypertension
- Exploring links between acne and metabolic syndrome: a narrative review
- Case Reports
- Delayed graft function after renal transplantation
- Semaglutide treatment for type 2 diabetes in a patient with chronic myeloid leukemia: A case report and review of the literature
- Diverse electrophysiological demyelinating features in a late-onset glycogen storage disease type IIIa case
- Giant right atrial hemangioma presenting with ascites: A case report
- Laser excision of a large granular cell tumor of the vocal cord with subglottic extension: A case report
- EsoFLIP-assisted dilation for dysphagia in systemic sclerosis: Highlighting the role of multimodal esophageal evaluation
- Molecular hydrogen-rhodiola as an adjuvant therapy for ischemic stroke in internal carotid artery occlusion: A case report
- Coronary artery anomalies: A case of the “malignant” left coronary artery and its surgical management
- Combined VAT and retroperitoneoscopy for pleural empyema due to nephro-pleuric fistula in xanthogranulomatous pyelonephritis
- A rare case of Opalski syndrome with a suspected multiple sclerosis etiology
- Newly diagnosed B-cell acute lymphoblastic leukemia demonstrating localized bone marrow infiltration exclusively in the lower extremities
- Rapid Communication
- Biological properties of valve materials using RGD and EC
-
A single oral administration of flavanols enhances short
-term memory in mice along with increased brain-derived neurotrophic factor - Repeat influenza incidence across two consecutive influenza seasons
- Letter to the Editor
- Role of enhanced external counterpulsation in long COVID
- Expression of Concern
- Expression of concern “A ceRNA network mediated by LINC00475 in papillary thyroid carcinoma”
- Expression of concern “Notoginsenoside R1 alleviates spinal cord injury through the miR-301a/KLF7 axis to activate Wnt/β-catenin pathway”
- Expression of concern “circ_0020123 promotes cell proliferation and migration in lung adenocarcinoma via PDZD8”
- Corrigendum
- Corrigendum to “Empagliflozin improves aortic injury in obese mice by regulating fatty acid metabolism”
- Corrigendum to “Comparing the therapeutic efficacy of endoscopic minimally invasive surgery and traditional surgery for early-stage breast cancer: A meta-analysis”
- Corrigendum to “The progress of autoimmune hepatitis research and future challenges”
- Retraction
- Retraction of “miR-654-5p promotes gastric cancer progression via the GPRIN1/NF-κB pathway”
- Retraction of: “LncRNA CASC15 inhibition relieves renal fibrosis in diabetic nephropathy through downregulating SP-A by sponging to miR-424”
- Retraction of: “SCARA5 inhibits oral squamous cell carcinoma via inactivating the STAT3 and PI3K/AKT signaling pathways”
- Special Issue Advancements in oncology: bridging clinical and experimental research - Part II
- Unveiling novel biomarkers for platinum chemoresistance in ovarian cancer
- Lathyrol affects the expression of AR and PSA and inhibits the malignant behavior of RCC cells
- The era of increasing cancer survivorship: Trends in fertility preservation, medico-legal implications, and ethical challenges
- Bone scintigraphy and positron emission tomography in the early diagnosis of MRONJ
- Meta-analysis of clinical efficacy and safety of immunotherapy combined with chemotherapy in non-small cell lung cancer
- Special Issue Computational Intelligence Methodologies Meets Recurrent Cancers - Part IV
- Exploration of mRNA-modifying METTL3 oncogene as momentous prognostic biomarker responsible for colorectal cancer development
- Special Issue The evolving saga of RNAs from bench to bedside - Part III
- Interaction and verification of ferroptosis-related RNAs Rela and Stat3 in promoting sepsis-associated acute kidney injury
- The mRNA MOXD1: Link to oxidative stress and prognostic significance in gastric cancer
- Special Issue Exploring the biological mechanism of human diseases based on MultiOmics Technology - Part II
- Dynamic changes in lactate-related genes in microglia and their role in immune cell interactions after ischemic stroke
- A prognostic model correlated with fatty acid metabolism in Ewing’s sarcoma based on bioinformatics analysis
- Red cell distribution width predicts early kidney injury: A NHANES cross-sectional study
- Special Issue Diabetes mellitus: pathophysiology, complications & treatment
- Nutritional risk assessment and nutritional support in children with congenital diabetes during surgery
- Correlation of the differential expressions of RANK, RANKL, and OPG with obesity in the elderly population in Xinjiang
- A discussion on the application of fluorescence micro-optical sectioning tomography in the research of cognitive dysfunction in diabetes
- A review of brain research on T2DM-related cognitive dysfunction
- Metformin and estrogen modulation in LABC with T2DM: A 36-month randomized trial
- Special Issue Innovative Biomarker Discovery and Precision Medicine in Cancer Diagnostics
- CircASH1L-mediated tumor progression in triple-negative breast cancer: PI3K/AKT pathway mechanisms
Artikel in diesem Heft
- Research Articles
- Network pharmacological analysis and in vitro testing of the rutin effects on triple-negative breast cancer
- Impact of diabetes on long-term survival in elderly liver cancer patients: A retrospective study
- Knockdown of CCNB1 alleviates high glucose-triggered trophoblast dysfunction during gestational diabetes via Wnt/β-catenin signaling pathway
- Risk factors for severe adverse drug reactions in hospitalized patients
- Analysis of the effect of ALA-PDT on macrophages in footpad model of mice infected with Fonsecaea monophora based on single-cell sequencing
- Development and validation of headspace gas chromatography with a flame ionization detector method for the determination of ethanol in the vitreous humor
- CMSP exerts anti-tumor effects on small cell lung cancer cells by inducing mitochondrial dysfunction and ferroptosis
- Predictive value of plasma sB7-H3 and YKL-40 in pediatric refractory Mycoplasma pneumoniae pneumonia
- Antiangiogenic potential of Elaeagnus umbellata extracts and molecular docking study by targeting VEGFR-2 pathway
- Comparison of the effectiveness of nurse-led preoperative counseling and postoperative follow-up care vs standard care for patients with gastric cancer
- Comparing the therapeutic efficacy of endoscopic minimally invasive surgery and traditional surgery for early-stage breast cancer: A meta-analysis
- Adhered macrophages as an additional marker of cardiomyocyte injury in biopsies of patients with dilated cardiomyopathy
- Association between statin administration and outcome in patients with sepsis: A retrospective study
- Exploration of the association between estimated glucose disposal rate and osteoarthritis in middle-aged and older adults: An analysis of NHANES data from 2011 to 2018
- A comparative analysis of the binary and multiclass classified chest X-ray images of pneumonia and COVID-19 with ML and DL models
- Lysophosphatidic acid 2 alleviates deep vein thrombosis via protective endothelial barrier function
- Transcription factor A, mitochondrial promotes lymph node metastasis and lymphangiogenesis in epithelial ovarian carcinoma
- Serum PM20D1 levels are associated with nutritional status and inflammatory factors in gastric cancer patients undergoing early enteral nutrition
- Hydromorphone reduced the incidence of emergence agitation after adenotonsillectomy in children with obstructive sleep apnea: A randomized, double-blind study
- Vitamin D replacement therapy may regulate sleep habits in patients with restless leg syndrome
- The first-line antihypertensive nitrendipine potentiated the therapeutic effect of oxaliplatin by downregulating CACNA1D in colorectal cancer
- Health literacy and health-related quality of life: The mediating role of irrational happiness
- Modulatory effects of Lycium barbarum polysaccharide on bone cell dynamics in osteoporosis
- Mechanism research on inhibition of gastric cancer in vitro by the extract of Pinellia ternata based on network pharmacology and cellular metabolomics
- Examination of the causal role of immune cells in non-alcoholic fatty liver disease by a bidirectional Mendelian randomization study
- Clinical analysis of ten cases of HIV infection combined with acute leukemia
- Investigating the cardioprotective potential of quercetin against tacrolimus-induced cardiotoxicity in Wistar rats: A mechanistic insights
- Clinical observation of probiotics combined with mesalazine and Yiyi Baitouweng Decoction retention enema in treating mild-to-moderate ulcerative colitis
- Diagnostic value of ratio of blood inflammation to coagulation markers in periprosthetic joint infection
- Sex-specific associations of sex hormone binding globulin and risk of bladder cancer
- Core muscle strength and stability-oriented breathing training reduces inter-recti distance in postpartum women
- The ERAS nursing care strategy for patients undergoing transsphenoidal endoscopic pituitary tumor resection: A randomized blinded controlled trial
- The serum IL-17A levels in patients with traumatic bowel rupture post-surgery and its predictive value for patient prognosis
- Impact of Kolb’s experiential learning theory-based nursing on caregiver burden and psychological state of caregivers of dementia patients
- Analysis of serum NLR combined with intraoperative margin condition to predict the prognosis of cervical HSIL patients undergoing LEEP surgery
- Commiphora gileadensis ameliorate infertility and erectile dysfunction in diabetic male mice
- The correlation between epithelial–mesenchymal transition classification and MMP2 expression of circulating tumor cells and prognosis of advanced or metastatic nasopharyngeal carcinoma
- Tetrahydropalmatine improves mitochondrial function in vascular smooth muscle cells of atherosclerosis in vitro by inhibiting Ras homolog gene family A/Rho-associated protein kinase-1 signaling pathway
- A cross-sectional study: Relationship between serum oxidative stress levels and arteriovenous fistula maturation in maintenance dialysis patients
- A comparative analysis of the impact of repeated administration of flavan 3-ol on brown, subcutaneous, and visceral adipose tissue
- Identifying early screening factors for depression in middle-aged and older adults: A cohort study
- Perform tumor-specific survival analysis for Merkel cell carcinoma patients undergoing surgical resection based on the SEER database by constructing a nomogram chart
- Unveiling the role of CXCL10 in pancreatic cancer progression: A novel prognostic indicator
- High-dose preoperative intraperitoneal erythropoietin and intravenous methylprednisolone in acute traumatic spinal cord injuries following decompression surgeries
- RAB39B: A novel biomarker for acute myeloid leukemia identified via multi-omics and functional validation
- Impact of peripheral conditioning on reperfusion injury following primary percutaneous coronary intervention in diabetic and non-diabetic STEMI patients
- Clinical efficacy of azacitidine in the treatment of middle- and high-risk myelodysplastic syndrome in middle-aged and elderly patients: A retrospective study
- The effect of ambulatory blood pressure load on mitral regurgitation in continuous ambulatory peritoneal dialysis patients
- Expression and clinical significance of ITGA3 in breast cancer
- Single-nucleus RNA sequencing reveals ARHGAP28 expression of podocytes as a biomarker in human diabetic nephropathy
- rSIG combined with NLR in the prognostic assessment of patients with multiple injuries
- Toxic metals and metalloids in collagen supplements of fish and jellyfish origin: Risk assessment for daily intake
- Exploring causal relationship between 41 inflammatory cytokines and marginal zone lymphoma: A bidirectional Mendelian randomization study
- Gender beliefs and legitimization of dating violence in adolescents
- Effect of serum IL-6, CRP, and MMP-9 levels on the efficacy of modified preperitoneal Kugel repair in patients with inguinal hernia
- Effect of smoking and smoking cessation on hematological parameters in polycythemic patients
- Pathogen surveillance and risk factors for pulmonary infection in patients with lung cancer: A retrospective single-center study
- Necroptosis of hippocampal neurons in paclitaxel chemotherapy-induced cognitive impairment mediates microglial activation via TLR4/MyD88 signaling pathway
- Celastrol suppresses neovascularization in rat aortic vascular endothelial cells stimulated by inflammatory tenocytes via modulating the NLRP3 pathway
- Cord-lamina angle and foraminal diameter as key predictors of C5 palsy after anterior cervical decompression and fusion surgery
- GATA1: A key biomarker for predicting the prognosis of patients with diffuse large B-cell lymphoma
- Influencing factors of false lumen thrombosis in type B aortic dissection: A single-center retrospective study
- MZB1 regulates the immune microenvironment and inhibits ovarian cancer cell migration
- Integrating experimental and network pharmacology to explore the pharmacological mechanisms of Dioscin against glioblastoma
- Trends in research on preterm birth in twin pregnancy based on bibliometrics
- Four-week IgE/baseline IgE ratio combined with tryptase predicts clinical outcome in omalizumab-treated children with moderate-to-severe asthma
- Single-cell transcriptomic analysis identifies a stress response Schwann cell subtype
- Acute pancreatitis risk in the diagnosis and management of inflammatory bowel disease: A critical focus
- Effect of subclinical esketamine on NLRP3 and cognitive dysfunction in elderly ischemic stroke patients
- Interleukin-37 mediates the anti-oral tumor activity in oral cancer through STAT3
- CA199 and CEA expression levels, and minimally invasive postoperative prognosis analysis in esophageal squamous carcinoma patients
- Efficacy of a novel drainage catheter in the treatment of CSF leak after posterior spine surgery: A retrospective cohort study
- Comprehensive biomedicine assessment of Apteranthes tuberculata extracts: Phytochemical analysis and multifaceted pharmacological evaluation in animal models
- Relation of time in range to severity of coronary artery disease in patients with type 2 diabetes: A cross-sectional study
- Dopamine attenuates ethanol-induced neuronal apoptosis by stimulating electrical activity in the developing rat retina
- Correlation between albumin levels during the third trimester and the risk of postpartum levator ani muscle rupture
- Factors associated with maternal attention and distraction during breastfeeding and childcare: A cross-sectional study in the west of Iran
- Mechanisms of hesperetin in treating metabolic dysfunction-associated steatosis liver disease via network pharmacology and in vitro experiments
- The law on oncological oblivion in the Italian and European context: How to best uphold the cancer patients’ rights to privacy and self-determination?
- The prognostic value of the neutrophil-to-lymphocyte ratio, platelet-to-lymphocyte ratio, and prognostic nutritional index for survival in patients with colorectal cancer
- Factors affecting the measurements of peripheral oxygen saturation values in healthy young adults
- Comparison and correlations between findings of hysteroscopy and vaginal color Doppler ultrasonography for detection of uterine abnormalities in patients with recurrent implantation failure
- The effects of different types of RAGT on balance function in stroke patients with low levels of independent walking in a convalescent rehabilitation hospital
- Causal relationship between asthma and ankylosing spondylitis: A bidirectional two-sample univariable and multivariable Mendelian randomization study
- Correlations of health literacy with individuals’ understanding and use of medications in Southern Taiwan
- Correlation of serum calprotectin with outcome of acute cerebral infarction
- Comparison of computed tomography and guided bronchoscopy in the diagnosis of pulmonary nodules: A systematic review and meta-analysis
- Curdione protects vascular endothelial cells and atherosclerosis via the regulation of DNMT1-mediated ERBB4 promoter methylation
- The identification of novel missense variant in ChAT gene in a patient with gestational diabetes denotes plausible genetic association
- Molecular genotyping of multi-system rare blood types in foreign blood donors based on DNA sequencing and its clinical significance
- Exploring the role of succinyl carnitine in the association between CD39⁺ CD4⁺ T cell and ulcerative colitis: A Mendelian randomization study
- Dexmedetomidine suppresses microglial activation in postoperative cognitive dysfunction via the mmu-miRNA-125/TRAF6 signaling axis
- Analysis of serum metabolomics in patients with different types of chronic heart failure
- Diagnostic value of hematological parameters in the early diagnosis of acute cholecystitis
- Pachymaran alleviates fat accumulation, hepatocyte degeneration, and injury in mice with nonalcoholic fatty liver disease
- Decrease in CD4 and CD8 lymphocytes are predictors of severe clinical picture and unfavorable outcome of the disease in patients with COVID-19
- METTL3 blocked the progression of diabetic retinopathy through m6A-modified SOX2
- The predictive significance of anti-RO-52 antibody in patients with interstitial pneumonia after treatment of malignant tumors
- Exploring cerebrospinal fluid metabolites, cognitive function, and brain atrophy: Insights from Mendelian randomization
- Development and validation of potential molecular subtypes and signatures of ocular sarcoidosis based on autophagy-related gene analysis
- Widespread venous thrombosis: Unveiling a complex case of Behçet’s disease with a literature perspective
- Uterine fibroid embolization: An analysis of clinical outcomes and impact on patients’ quality of life
- Discovery of lipid metabolism-related diagnostic biomarkers and construction of diagnostic model in steroid-induced osteonecrosis of femoral head
- Serum-derived exomiR-188-3p is a promising novel biomarker for early-stage ovarian cancer
- Enhancing chronic back pain management: A comparative study of ultrasound–MRI fusion guidance for paravertebral nerve block
- Peptide CCAT1-70aa promotes hepatocellular carcinoma proliferation and invasion via the MAPK/ERK pathway
- Electroacupuncture-induced reduction of myocardial ischemia–reperfusion injury via FTO-dependent m6A methylation modulation
- Hemorrhoids and cardiovascular disease: A bidirectional Mendelian randomization study
- Cell-free adipose extract inhibits hypertrophic scar formation through collagen remodeling and antiangiogenesis
- HALP score in Demodex blepharitis: A case–control study
- Assessment of SOX2 performance as a marker for circulating cancer stem-like cells (CCSCs) identification in advanced breast cancer patients using CytoTrack system
- Risk and prognosis for brain metastasis in primary metastatic cervical cancer patients: A population-based study
- Comparison of the two intestinal anastomosis methods in pediatric patients
- Factors influencing hematological toxicity and adverse effects of perioperative hyperthermic intraperitoneal vs intraperitoneal chemotherapy in gastrointestinal cancer
- Endotoxin tolerance inhibits NLRP3 inflammasome activation in macrophages of septic mice by restoring autophagic flux through TRIM26
- Lateral transperitoneal laparoscopic adrenalectomy: A single-centre experience of 21 procedures
- Petunidin attenuates lipopolysaccharide-induced retinal microglia inflammatory response in diabetic retinopathy by targeting OGT/NF-κB/LCN2 axis
- Procalcitonin and C-reactive protein as biomarkers for diagnosing and assessing the severity of acute cholecystitis
- Factors determining the number of sessions in successful extracorporeal shock wave lithotripsy patients
- Development of a nomogram for predicting cancer-specific survival in patients with renal pelvic cancer following surgery
- Inhibition of ATG7 promotes orthodontic tooth movement by regulating the RANKL/OPG ratio under compression force
- A machine learning-based prognostic model integrating mRNA stemness index, hypoxia, and glycolysis‑related biomarkers for colorectal cancer
- Glutathione attenuates sepsis-associated encephalopathy via dual modulation of NF-κB and PKA/CREB pathways
- FAHD1 prevents neuronal ferroptosis by modulating R-loop and the cGAS–STING pathway
- Association of placenta weight and morphology with term low birth weight: A case–control study
- Investigation of the pathogenic variants induced Sjogren’s syndrome in Turkish population
- Nucleotide metabolic abnormalities in post-COVID-19 condition and type 2 diabetes mellitus patients and their association with endocrine dysfunction
- TGF-β–Smad2/3 signaling in high-altitude pulmonary hypertension in rats: Role and mechanisms via macrophage M2 polarization
- Ultrasound-guided unilateral versus bilateral erector spinae plane block for postoperative analgesia of patients undergoing laparoscopic cholecystectomy
- Profiling gut microbiome dynamics in subacute thyroiditis: Implications for pathogenesis, diagnosis, and treatment
- Delta neutrophil index, CRP/albumin ratio, procalcitonin, immature granulocytes, and HALP score in acute appendicitis: Best performing biomarker?
- Anticancer activity mechanism of novelly synthesized and characterized benzofuran ring-linked 3-nitrophenyl chalcone derivative on colon cancer cells
- H2valdien3 arrests the cell cycle and induces apoptosis of gastric cancer
- Prognostic relevance of PRSS2 and its immune correlates in papillary thyroid carcinoma
- Association of SGLT2 inhibition with psychiatric disorders: A Mendelian randomization study
- Motivational interviewing for alcohol use reduction in Thai patients
- Luteolin alleviates oxygen-glucose deprivation/reoxygenation-induced neuron injury by regulating NLRP3/IL-1β signaling
- Polyphyllin II inhibits thyroid cancer cell growth by simultaneously inhibiting glycolysis and oxidative phosphorylation
- Relationship between the expression of copper death promoting factor SLC31A1 in papillary thyroid carcinoma and clinicopathological indicators and prognosis
- CSF2 polarized neutrophils and invaded renal cancer cells in vitro influence
- Proton pump inhibitors-induced thrombocytopenia: A systematic literature analysis of case reports
- The current status and influence factors of research ability among community nurses: A sequential qualitative–quantitative study
- OKAIN: A comprehensive oncology knowledge base for the interpretation of clinically actionable alterations
- The relationship between serum CA50, CA242, and SAA levels and clinical pathological characteristics and prognosis in patients with pancreatic cancer
- Identification and external validation of a prognostic signature based on hypoxia–glycolysis-related genes for kidney renal clear cell carcinoma
- Engineered RBC-derived nanovesicles functionalized with tumor-targeting ligands: A comparative study on breast cancer targeting efficiency and biocompatibility
- Relationship of resting echocardiography combined with serum micronutrients to the severity of low-gradient severe aortic stenosis
- Effect of vibration on pain during subcutaneous heparin injection: A randomized, single-blind, placebo-controlled trial
- The diagnostic performance of machine learning-based FFRCT for coronary artery disease: A meta-analysis
- Comparing biofeedback device vs diaphragmatic breathing for bloating relief: A randomized controlled trial
- Serum uric acid to albumin ratio and C-reactive protein as predictive biomarkers for chronic total occlusion and coronary collateral circulation quality
- Multiple organ scoring systems for predicting in-hospital mortality of sepsis patients in the intensive care unit
- Single-cell RNA sequencing data analysis of the inner ear in gentamicin-treated mice via intraperitoneal injection
- Suppression of cathepsin B attenuates myocardial injury via limiting cardiomyocyte apoptosis
- Influence of sevoflurane combined with propofol anesthesia on the anesthesia effect and adverse reactions in children with acute appendicitis
- Identification of hub genes related to acute kidney injury caused by sevoflurane anesthesia and endoplasmic reticulum stress
- Efficacy and safety of PD-1/PD-L1 inhibitors in pancreatic ductal adenocarcinoma: a systematic review and Meta-analysis of randomized controlled trials
- The value of diagnostic experience in O-RADS MRI score for ovarian-adnexal lesions
- Health education pathway for individuals with temporary enterostomies using patient journey mapping
- Serum TLR8 as a potential diagnostic biomarker of coronary heart disease
- Intraoperative temperature management and its effect on surgical outcomes in elderly patients undergoing lichtenstein unilateral inguinal hernia repair
- Immunohistochemical profiling and neuroepithelial heterogeneity in immature ovarian teratomas: a retrospective digital pathology-based study
- Associated risk factors and prevalence of human papillomavirus infection among females visiting tertiary care hospital: a cross-sectional study from Nepal
- Comparative evaluation of various disc elution methods for the detection of colistin-resistant gram-negative bacteria
- Effect of timing of cholecystectomy on weight loss after sleeve gastrectomy in morbidly obese individuals with cholelithiasis: a retrospective cohort study
- Causal association between ceramide levels and central precocious puberty: a mendelian randomization study
- Novel predictive model for colorectal liver metastases recurrence: a radiomics and clinical data approach
- Relationship between resident physicians’ perceived professional value and exposure to violence
- Multiple sclerosis and type 1 diabetes: a Mendelian randomization study of European ancestry
- Rapid pathogen identification in peritoneal dialysis effluent by MALDI-TOF MS following blood culture enrichment
- Comparison of open and percutaneous A1 pulley release in pediatric trigger thumb: a retrospective cohort study
- Impact of combined diaphragm-lung ultrasound assessment on postoperative respiratory function in patients under general anesthesia recovery
- Development and internal validation of a nomogram for predicting short-term prognosis in ICU patients with acute pyelonephritis
- The association between hypoxic burden and blood pressure in patients with obstructive sleep apnea
- Promotion of asthenozoospermia by C9orf72 through suppression of spermatogonia activity via fructose metabolism and mitophagy
- Review Articles
- The effects of enhanced external counter-pulsation on post-acute sequelae of COVID-19: A narrative review
- Diabetes-related cognitive impairment: Mechanisms, symptoms, and treatments
- Microscopic changes and gross morphology of placenta in women affected by gestational diabetes mellitus in dietary treatment: A systematic review
- Review of mechanisms and frontier applications in IL-17A-induced hypertension
- Research progress on the correlation between islet amyloid peptides and type 2 diabetes mellitus
- The safety and efficacy of BCG combined with mitomycin C compared with BCG monotherapy in patients with non-muscle-invasive bladder cancer: A systematic review and meta-analysis
- The application of augmented reality in robotic general surgery: A mini-review
- The effect of Greek mountain tea extract and wheat germ extract on peripheral blood flow and eicosanoid metabolism in mammals
- Neurogasobiology of migraine: Carbon monoxide, hydrogen sulfide, and nitric oxide as emerging pathophysiological trinacrium relevant to nociception regulation
- Plant polyphenols, terpenes, and terpenoids in oral health
- Laboratory medicine between technological innovation, rights safeguarding, and patient safety: A bioethical perspective
- End-of-life in cancer patients: Medicolegal implications and ethical challenges in Europe
- The maternal factors during pregnancy for intrauterine growth retardation: An umbrella review
- Intra-abdominal hypertension/abdominal compartment syndrome of pediatric patients in critical care settings
- PI3K/Akt pathway and neuroinflammation in sepsis-associated encephalopathy
- Screening of Group B Streptococcus in pregnancy: A systematic review for the laboratory detection
- Giant borderline ovarian tumours – review of the literature
- Leveraging artificial intelligence for collaborative care planning: Innovations and impacts in shared decision-making – A systematic review
- Cholera epidemiology analysis through the experience of the 1973 Naples epidemic
- Risk factors of frailty/sarcopenia in community older adults: Meta-analysis
- Supplement strategies for infertility in overweight women: Evidence and legal insights
- Scurvy, a not obsolete disorder: Clinical report in eight young children and literature review
- A meta-analysis of the effects of DBS on cognitive function in patients with advanced PD
- Protective role of selenium in sepsis: Mechanisms and potential therapeutic strategies
- Strategies for hyperkalemia management in dialysis patients: A systematic review
- C-reactive protein-to-albumin ratio in peripheral artery disease
- Research progress on autophagy and its roles in sepsis induced organ injury
- Neuronutrition in autism spectrum disorders
- Pumilio 2 in neural development, function, and specific neurological disorders
- Antibiotic prescribing patterns in general dental practice- a scoping review
- Clinical and medico-legal reflections on non-invasive prenatal testing
- Smartphone use and back pain: a narrative review of postural pathologies
- Targeting endothelial oxidative stress in hypertension
- Exploring links between acne and metabolic syndrome: a narrative review
- Case Reports
- Delayed graft function after renal transplantation
- Semaglutide treatment for type 2 diabetes in a patient with chronic myeloid leukemia: A case report and review of the literature
- Diverse electrophysiological demyelinating features in a late-onset glycogen storage disease type IIIa case
- Giant right atrial hemangioma presenting with ascites: A case report
- Laser excision of a large granular cell tumor of the vocal cord with subglottic extension: A case report
- EsoFLIP-assisted dilation for dysphagia in systemic sclerosis: Highlighting the role of multimodal esophageal evaluation
- Molecular hydrogen-rhodiola as an adjuvant therapy for ischemic stroke in internal carotid artery occlusion: A case report
- Coronary artery anomalies: A case of the “malignant” left coronary artery and its surgical management
- Combined VAT and retroperitoneoscopy for pleural empyema due to nephro-pleuric fistula in xanthogranulomatous pyelonephritis
- A rare case of Opalski syndrome with a suspected multiple sclerosis etiology
- Newly diagnosed B-cell acute lymphoblastic leukemia demonstrating localized bone marrow infiltration exclusively in the lower extremities
- Rapid Communication
- Biological properties of valve materials using RGD and EC
-
A single oral administration of flavanols enhances short
-term memory in mice along with increased brain-derived neurotrophic factor - Repeat influenza incidence across two consecutive influenza seasons
- Letter to the Editor
- Role of enhanced external counterpulsation in long COVID
- Expression of Concern
- Expression of concern “A ceRNA network mediated by LINC00475 in papillary thyroid carcinoma”
- Expression of concern “Notoginsenoside R1 alleviates spinal cord injury through the miR-301a/KLF7 axis to activate Wnt/β-catenin pathway”
- Expression of concern “circ_0020123 promotes cell proliferation and migration in lung adenocarcinoma via PDZD8”
- Corrigendum
- Corrigendum to “Empagliflozin improves aortic injury in obese mice by regulating fatty acid metabolism”
- Corrigendum to “Comparing the therapeutic efficacy of endoscopic minimally invasive surgery and traditional surgery for early-stage breast cancer: A meta-analysis”
- Corrigendum to “The progress of autoimmune hepatitis research and future challenges”
- Retraction
- Retraction of “miR-654-5p promotes gastric cancer progression via the GPRIN1/NF-κB pathway”
- Retraction of: “LncRNA CASC15 inhibition relieves renal fibrosis in diabetic nephropathy through downregulating SP-A by sponging to miR-424”
- Retraction of: “SCARA5 inhibits oral squamous cell carcinoma via inactivating the STAT3 and PI3K/AKT signaling pathways”
- Special Issue Advancements in oncology: bridging clinical and experimental research - Part II
- Unveiling novel biomarkers for platinum chemoresistance in ovarian cancer
- Lathyrol affects the expression of AR and PSA and inhibits the malignant behavior of RCC cells
- The era of increasing cancer survivorship: Trends in fertility preservation, medico-legal implications, and ethical challenges
- Bone scintigraphy and positron emission tomography in the early diagnosis of MRONJ
- Meta-analysis of clinical efficacy and safety of immunotherapy combined with chemotherapy in non-small cell lung cancer
- Special Issue Computational Intelligence Methodologies Meets Recurrent Cancers - Part IV
- Exploration of mRNA-modifying METTL3 oncogene as momentous prognostic biomarker responsible for colorectal cancer development
- Special Issue The evolving saga of RNAs from bench to bedside - Part III
- Interaction and verification of ferroptosis-related RNAs Rela and Stat3 in promoting sepsis-associated acute kidney injury
- The mRNA MOXD1: Link to oxidative stress and prognostic significance in gastric cancer
- Special Issue Exploring the biological mechanism of human diseases based on MultiOmics Technology - Part II
- Dynamic changes in lactate-related genes in microglia and their role in immune cell interactions after ischemic stroke
- A prognostic model correlated with fatty acid metabolism in Ewing’s sarcoma based on bioinformatics analysis
- Red cell distribution width predicts early kidney injury: A NHANES cross-sectional study
- Special Issue Diabetes mellitus: pathophysiology, complications & treatment
- Nutritional risk assessment and nutritional support in children with congenital diabetes during surgery
- Correlation of the differential expressions of RANK, RANKL, and OPG with obesity in the elderly population in Xinjiang
- A discussion on the application of fluorescence micro-optical sectioning tomography in the research of cognitive dysfunction in diabetes
- A review of brain research on T2DM-related cognitive dysfunction
- Metformin and estrogen modulation in LABC with T2DM: A 36-month randomized trial
- Special Issue Innovative Biomarker Discovery and Precision Medicine in Cancer Diagnostics
- CircASH1L-mediated tumor progression in triple-negative breast cancer: PI3K/AKT pathway mechanisms