Abstract
Objective
Hypertrophic scars (HS) are a fibrotic proliferative disorder that results from an abnormal wound healing process, presenting significant challenges for clinical intervention. The primary characteristics of HS include excessive collagen deposition and angiogenesis. In recent years, the study of mesenchymal stem cells (MSCs) and their derived exosomes has emerged as a prominent area of research within the academic community. However, the therapeutic application of MSCs is impeded by several challenges, including immune rejection, sourcing limitations, ethical dilemmas, and difficulties related to the scalability of exosome production. Cell-free adipose extract (CEFAE), a novel bioproduct derived from adipose tissue, is rich in various active protein factors that are essential for MSCs and their exosomes. CEFAE presents several advantages, including low immunogenicity, non-tumorigenicity, and a high degree of clinical safety. However, the application of CEFAE in the prevention and treatment of scar formation has not been adequately validated through experimental studies.
Methods
This research established a rabbit ear scar model, establishing a control group, a low-concentration CEFAE group (L-CEFAE), and a high-concentration CEFAE group (H-CEFAE) to evaluate wound treatment. Observations of scar changes were conducted at 14 and 28 days post-treatment, supplemented by histological and immunohistochemical analyses.
Results
Histological analysis revealed that the H-CEFAE group achieved optimal outcomes, with the lowest collagen deposition, thinnest epidermal/dermal thickness, and the most orderly collagen alignment. Furthermore, the formation of new blood vessels in the H-CEFAE group showed a significant reduction over time, resulting in decreased blood supply, which is beneficial for suppressing scar tissue development. Quantification of COL I, COL III, and vascular endothelial growth factor also supports these results.
Conclusion
The findings indicated that high-concentration CEFAE has a beneficial preventive and therapeutic effect on scar proliferation. Furthermore, the study explored the potential mechanisms by which CEFAE inhibits scar proliferation, thereby providing novel therapeutic strategies for the prevention and management of clinical scars.
1 Introduction
Hypertrophic scars (HS) typically develop following severe burns or skin injuries and are classified as a fibrotic proliferative disorder that occurs during the skin wound healing process [1,2,3,4]. These scars are characterized by excessive proliferation of fibroblasts, fibrosis, chronic inflammation, and an overabundance of extracellular matrix (ECM) proteins produced by fibroblasts, particularly type I and type III collagen [5,6,7,8,9,10]. HS not only cause cosmetic concerns but may also lead to functional impairments, resulting in both physiological and psychological issues. Currently, there are various treatment methods for scars in clinical practice, commonly including surgical excision, laser therapy, pressure therapy, local injection of corticosteroids, and functional dressings [11,12,13,14,15]. Since there has not been an effective treatment plan that can completely resolve the issue of scars, there is an urgent need to explore new clinical intervention approaches.
In recent years, mesenchymal stem cells (MSCs) and their derived exosomes have emerged as a prominent area of research in academia [16,17,18,19,20]. For instance, exosomes derived from human adipose-derived MSCs have been utilized to mitigate HS fibrosis [21]. Nevertheless, MSC therapy continues to encounter numerous unresolved challenges, including immune rejection, sourcing limitations, ethical controversies, and difficulties in scaling up exosome production [17,22,23]. These factors collectively hinder the advancement of stem cells and exosomes in clinical applications. Research has demonstrated that stem cells can facilitate tissue repair by secreting growth factors [21,24,25,26,27,28]. However, the low yield of cytokines and the high cost of treatment present significant barriers to their widespread application.
Fat tissue has been extensively utilized in the treatment of various diseases after undergoing processing through physical or chemical methods as they are rich in cytokines [29,30,31,32]. Cell-free adipose extract (CEFAE) is an emerging biological product derived from adipose tissue that has garnered attention in regenerative medicine. Unlike traditional fat grafting or stem cell therapies, CEFAE is processed to remove intact cells (e.g., adipocytes, stromal vascular fraction cells) while retaining a concentrated mixture of bioactive components, including growth factors [e.g., vascular endothelial growth factor (VEGF), FGF, TGF-β], cytokines, extracellular vesicles, and other soluble proteins [33,34,35,36,37,38]. The extract is typically prepared through mechanical emulsification, centrifugation, and filtration of lipoaspirated fat, resulting in a liquid formulation enriched with regenerative molecules but devoid of cellular debris or risks associated with whole-cell transplantation. Furthermore, CEFAE offers several advantages, including autologous origin, low immunogenicity, non-tumorigenicity, high clinical safety, and minimal ethical concerns [39,40,41,42,43,44]. However, the application of CEFAE in the prevention and treatment of scar formation lacks robust experimental validation. This study employs a rabbit ear scar model to investigate the preventive and therapeutic effects of CEFAE on scar hyperplasia and further explores its potential mechanisms for inhibiting scar hyperplasia, thereby providing new treatment strategies for the prevention and management of clinical scars.
2 Materials and methods
2.1 Preparation of CEFAE
A total of 24 male New Zealand rabbits aged 8–10 weeks were used in this study and purchased from Qingdao Kangda Aibo Biotechnology Co., Ltd. (Qingdao, China). The animals were housed under controlled conditions (24 ± 2°C, 50 ± 10% humidity, 12 h light/dark cycle) and acclimatized for 1 week. All experiments and procedures were approved by the Animal Research Committee of the Clinical Medical College of Shandong Second Medical University.
Using negative pressure suction technology, 5 mL of adipose tissue was collected from the groin area of a rabbit. The collected adipose tissue was rinsed with physiological saline and then centrifuged at 1,200 rpm for 3 min. The excess washing liquid from the lower layer was drained, and the above steps were repeated for a total of three cycles. After centrifugation, the adipose tissue was divided into 10 mL syringes using a fat emulsifier. One end of the emulsifier was connected to a 10 mL syringe, while the other end was connected to an empty 10 mL syringe. After manually pushing and pulling the fat 60 times, the emulsified fat was transferred to a new syringe, the stopper was tightened, and the syringe piston shaft was broken off. The remaining fat was processed in the same manner until all the fat was handled. During the emulsification process, if larger fat clumps or obvious white fascia were observed, they could be removed and discarded using sterile gauze or tweezers. After balancing the emulsified fat, it was symmetrically placed in a centrifuge and centrifuged at 2,000 rpm for 10 min. Following centrifugation, a three-layer structure should form, with the bottom layer being CEFAE, the middle layer being fat, and the top layer being oil. The top two layers were removed to obtain pure CEFAE. Finally, the obtained CEFAE was filtered using a 0.22 micron sterilizing filter, and the filtrate was aliquoted into 1 mL sterile tubes for future use.
2.2 Establishment and treatment of rabbit ear scar model
The experimental rabbits were anesthetized using inhalation of 2–2.5% isoflurane. Once adequate anesthesia was confirmed, three circular defects, each with a diameter of 8 mm, were created on the inner surface of the ventral side of each ear, removing the dermis, epidermis, and perichondrium.
These three defects were randomly assigned to three groups: the top group received high concentration CEFAE with 3 mg/mL (H-CEFAE group) treatment, the middle group received low concentration CEFAE with 1 mg/mL (L-CEFAE group) treatment, and the bottom group served as the PBS control group. At a distance of 1 mm from the outer edge of the wound, each group received a subcutaneous injection of H-CEFAE, L-CEFAE, or PBS, with an injection volume of 100 µL for each.
After a 14-day observation period, twelve experimental rabbits (four in each group) were anesthetized using 2–2.5% isoflurane. Subsequently, sterile ophthalmic scissors were employed to incise the muscle layer, allowing for the excision of the wound and the surrounding tissue within a 3 mm margin. The fresh wound tissue was immediately fixed in 4% formaldehyde for subsequent dehydration and paraffin block preparation. After 28 days, the same procedure was conducted on the remaining twelve rabbits.
2.3 Scar elevation index (SEI)
The SEI is utilized to evaluate the condition of scars and the process of wound healing. This index is determined by measuring the distance from the highest point of the vertical scar tissue (a) to the surface of the surrounding normal skin (b) and to the surface of the ear cartilage. The specific methodology involves using ImageJ software for measurement, where SEI is calculated as SEI = a/b. In this formula, ‘a’ represents the vertical distance from the highest point of the scar tissue to the surface of the ear cartilage, while ‘b’ denotes the vertical distance from the surface of the surrounding normal skin to the surface of the ear cartilage. The assessment of the SEI is performed prior to injection and again at 14 and 28 days post-injection.
2.4 Histopathological examination
Fix the samples in 4% paraformaldehyde, followed by embedding in paraffin. Then, cut the samples into sections with a thickness of 5 µm and mount them on glass slides. The slices are processed through the following steps: first, they undergo routine deparaffinization and hydration treatment, then they are soaked in hematoxylin for 5 min, followed by rinsing with tap water. Next, the slices are immersed in a hydrochloric acid-ethanol solution for 30 s, rinsed again with tap water, and then stained with eosin for 2 min, followed by another rinse with tap water. After that, a gradient concentration ethanol dehydration treatment is performed, and finally, they are cleaned in xylene and mounted with neutral balsam. The final results are observed under a microscope.
The tissue sections were subjected to staining with Ponceau acid fuchsin for a duration of 10 min, followed by rinsing with distilled water. Subsequently, the sections were immersed in a phosphomolybdic acid solution for 5 min, after which they were stained with aniline blue for an additional 5 min and treated with 1% acetic acid for 2 min. Following these procedures, the sections underwent dehydration, clarification, and mounting before being examined under a microscope.
2.5 Immunohistochemistry and Immunofluorescence staining
Fix the samples in 4% paraformaldehyde, followed by embedding in paraffin. Then, cut the samples into sections with a thickness of 5 µm and mount them on glass slides. After deparaffinization with xylene, the sections underwent gradient alcohol hydration and were heated in a microwave to promote antigen retrieval. Next, the sections were incubated in a 3% H2O2 solution for 15 min to eliminate endogenous peroxidase activity. Subsequently, the sections were blocked with goat serum for 1 h to prevent non-specific binding. The sections were incubated overnight with the primary antibody at 4°C, followed by a 2 h incubation with the secondary antibody. The color development process used diaminobenzidine. After counterstaining with hematoxylin, the sections were dehydrated and cleared, and finally sealed with resin.
Tissue sections are placed in a repair box filled with EDTA antigen retrieval buffer (pH 9.0) and subjected to antigen retrieval in a microwave. Heat on high for 3 min until boiling, then switch to low for 9 min. After natural cooling, the slides are washed once in PBS for 5 min. After gently shaking off excess liquid, 10% rabbit serum is added to evenly cover the tissue, and the slides are incubated in a 37°C oven for 30 min. The blocking solution is gently discarded, and PBS with a prepared primary antibody is added to the slides, which are then placed in a humid box and incubated overnight at 4°C. The slides are washed in PBS three times, with each wash lasting 5 min. After gently shaking off excess liquid, a secondary antibody is added to cover the tissue and incubated at 37°C for 45 min in the dark. The slides are washed in PBS four times, with each wash lasting 5 min, and after gently shaking off excess liquid, DAPI staining solution is added and incubated at room temperature for 10 min in the dark. The slides are washed in distilled water three times, with each wash lasting 5 min. After gently shaking off excess liquid, the slides are mounted with an anti-fade mounting medium. The slides are observed under an inverted fluorescence microscope, and images are collected. The results were analyzed using ImageJ software.
2.6 Statistical analysis
Differences in quantitative data were analyzed using SPSS 23. A p-value of less than 0.05 was considered statistically significant.
-
Ethical approval: The study protocol was reviewed and approved by the Shandong Second Medical University Research Ethics Committee and Weifang People’s Hospital Research Ethics Committee.
3 Results
3.1 In vivo treatment
Before starting the treatment, all rabbits were successfully modeled, and three circular wounds with a diameter of 0.8 cm were made on each rabbit's ear, and the cartilage membrane was removed. Comprehensive observations indicated that by the 14th day following surgery, the wound healing rates in both the H-CEFAE and L-CEFAE groups surpassed those of the Blank group. By the 28th day, all groups achieved complete wound closure; however, the Blank and L-CEFAE groups exhibited notable scar characteristics, including elevation, contraction, erythema, and palpable scars. In contrast, the H-CEFAE group presented with flatter scars, demonstrating less contraction and reduced erythema (Figure 1). A quantitative measure of the SEI was significantly lower in the H-CEFAE group (1.15 ± 0.08) compared to the L-CEFAE (3.03 ± 0.12) and blank (4.28 ± 0.17) groups at day 28. These findings suggest that the CEFAE effectively reduces scar hypertrophy and promotes regenerative healing.

Treatment of HS: (a) Gross view, (b) Wound trance of Blank, L-CEFAE, and H-CEFAE group at 0, 14, and 28 days; (c) SEI assay calculated from HE staining (*P < 0.05).
3.2 Histopathological, immunohistochemistry and ommunofluorescence staining
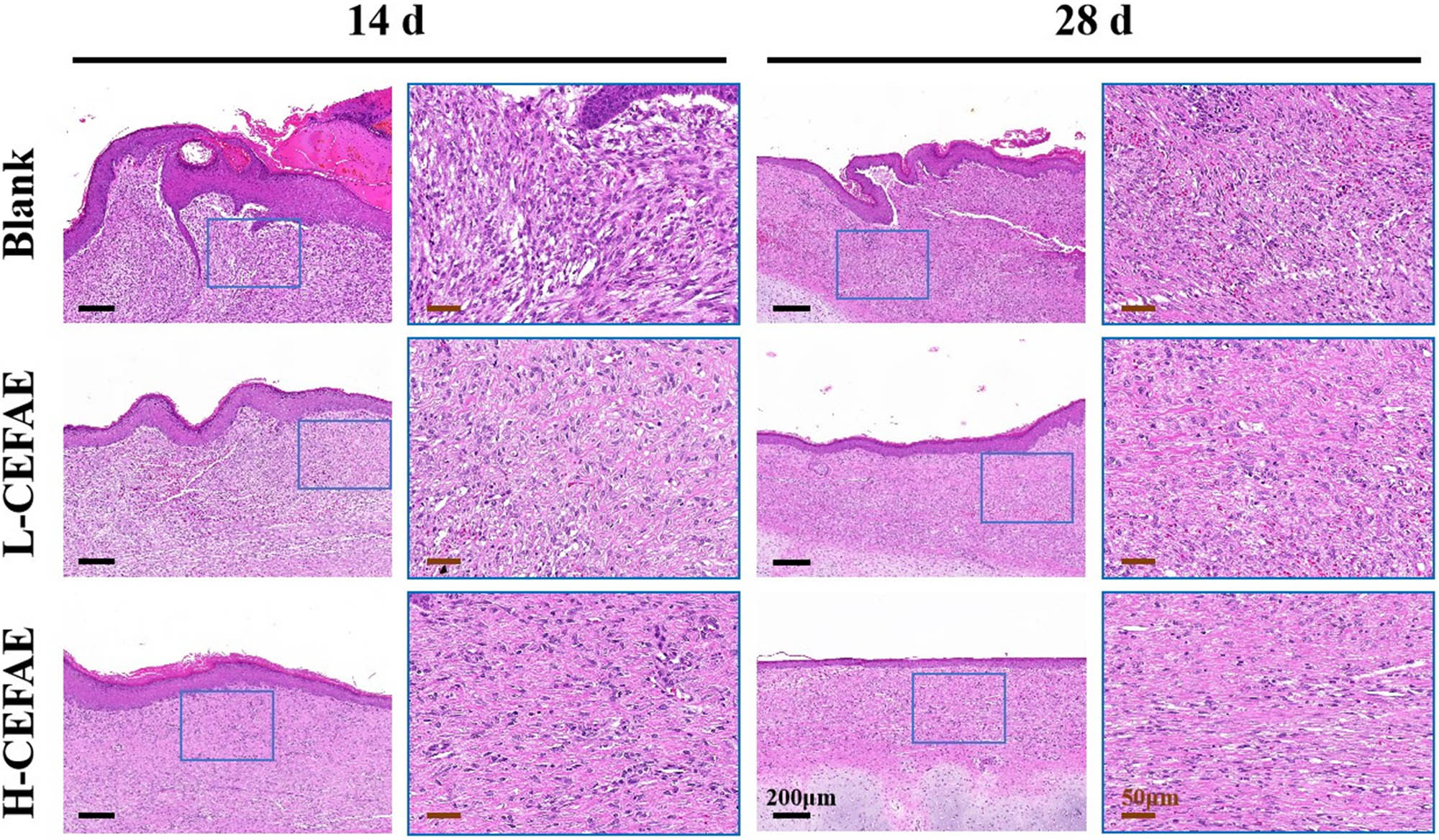
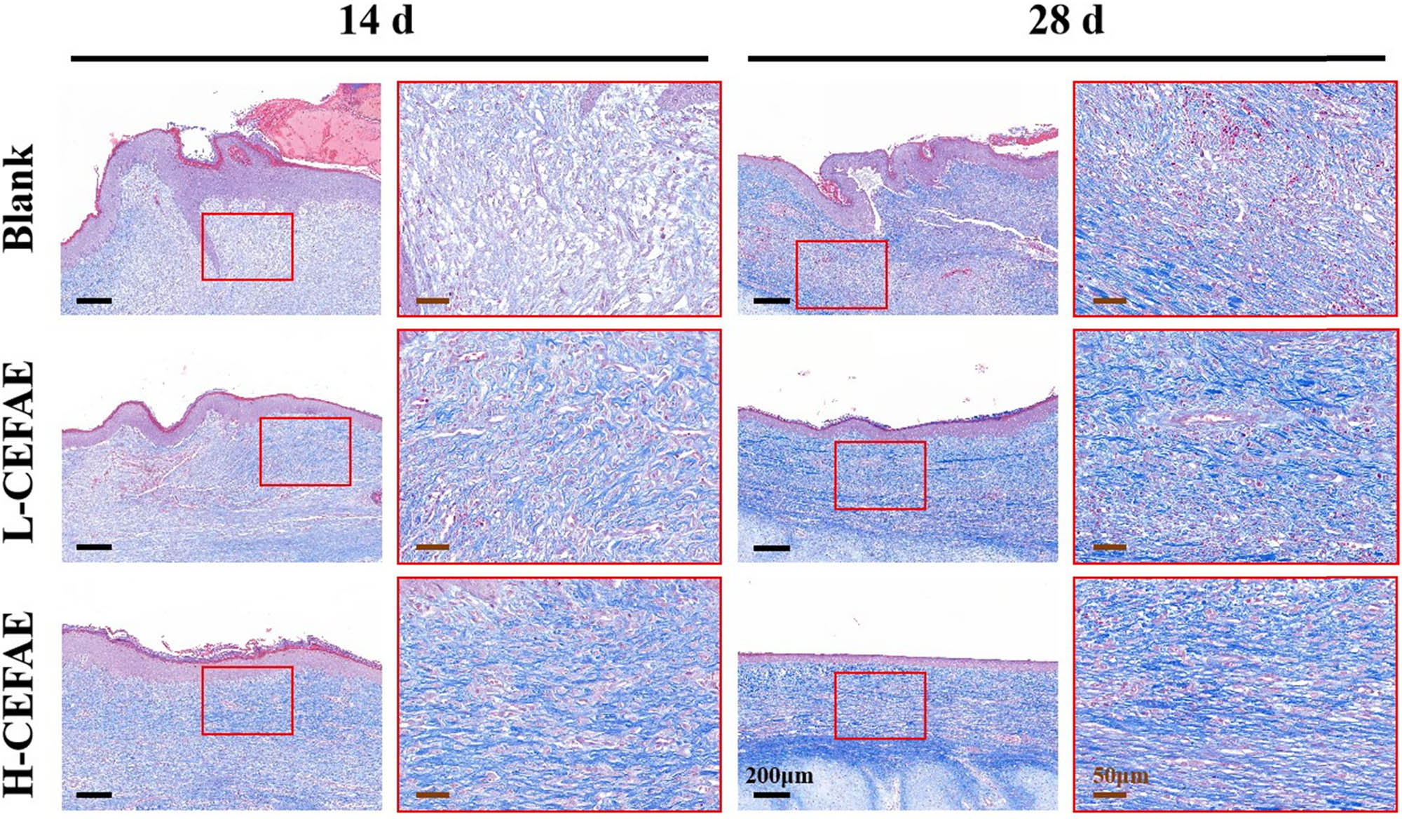
Histological analysis revealed that the H-CEFAE group achieved optimal outcomes, with the lowest collagen deposition, thinnest epidermal/dermal thickness, and the most orderly collagen alignment. The L-CEFAE group showed intermediate efficacy, demonstrating comparatively reduced scar severity and improved ECM organization (Figures 2–4). In contrast, blank group scars exhibited thickened epidermal and dermal layers, irregular collagen fiber organization, and excessive ECM accumulation. Furthermore, the formation of new blood vessels in the H-CEFAE group showed a significant reduction over time, resulting in decreased blood supply, which is beneficial for suppressing scar tissue development. Although the L-CEFAE group demonstrated a greater quantity of new blood vessels compared to the H-CEFAE group, it also exhibited a tendency toward vascular inhibition (Figure 5). Quantification of COL I, COL III, and VEGF also supports these results (Figure 6).

HE staining of blank, L-CEFAE and H-CEFAE with 14 and 28 days.

Masson staining of blank, L-CEFAE, and H-CEFAE at 14 and 28 days.

COL I and COL III staining of blank, L-CEFAE, and H-CEFAE at 14 and 28 days.

VEGF staining of blank, L-CEFAE, and H-CEFAE at 14 and 28 days.

Quantification of COL I, COL III, and VEGF.
4 Discussion
HS develop due to an aberrant wound-healing response characterized by excessive fibroblast proliferation, collagen deposition, and disrupted ECM remodeling. Central to this pathology is the aberrant behavior of COL I and COL III. Early in healing, COL III – a thinner, more flexible collagen variant – is overproduced, forming a provisional matrix that is later replaced by the thicker, sturdier COL I in healthy tissue. However, in HS, this transition is disrupted: COL III remains overly abundant initially, while COL I eventually dominates but is deposited in dense, parallel bundles rather than the basket-weave pattern of normal skin. VEGF promotes excessive microvascular proliferation, contributing to scar erythema and rigidity. Genetic predisposition and environmental factors (e.g., wound infection, delayed epithelialization) further amplify these pathways, culminating in raised, erythematous, and inelastic scars confined to the original wound boundaries. Unlike keloids, HS lack invasive growth but share overlapping molecular drivers.
Recent research advances in the treatment of HS using stem cells and exosomes have focused on harnessing their regenerative and anti-fibrotic properties to target the pathological mechanisms underlying scar formation [45]. MSCs, sourced from adipose tissue, bone marrow, or umbilical cord, are increasingly recognized for their ability to modulate inflammation, reduce fibroblast overactivity, and promote collagen remodeling. Studies highlight that MSCs inhibit HS progression by suppressing the TGF-β1/Smad pathway, a key driver of fibrosis, while enhancing the expression of anti-fibrotic factors like HGF and MMPs to degrade excess collagen. Innovations in delivery systems, such as 3D-printed scaffolds or injectable hydrogels, have improved MSC retention and localized therapeutic effects in scar tissue, addressing earlier challenges like poor cell survival. Exosomes, nanosized EVs derived from MSCs, have emerged as a safer, cell-free alternative, circumventing risks associated with whole-cell therapies. These vesicles are enriched with bioactive molecules, including miRNAs (e.g., miR-29a, miR-21, and miR-196a), proteins, and lipids, which regulate fibroblast proliferation, collagen synthesis, and inflammation. Preclinical models demonstrate that exosome treatment reduces scar thickness, improves collagen alignment, and normalizes ECM composition by silencing pro-fibrotic genes and promoting apoptosis in hyperactive fibroblasts. Advances in bioengineering, such as modifying exosomes to enhance targeting or loading them with specific anti-scarring miRNAs, have boosted their therapeutic precision. Techniques like exosome-laden microneedling patches or hybrid hydrogels enable sustained, controlled release into dense scar tissue, improving efficacy.
Despite their therapeutic potential, stem cell and exosome therapies for HS face significant challenges. Stem cells, particularly MSCs, struggle with low survival and engraftment rates in the harsh fibrotic scar microenvironment, where hypoxia and inflammation limit their effectiveness. Additionally, heterogeneity in MSCs sources and potency, along with risks of unintended differentiation or rare tumorigenic effects, raises safety and consistency concerns. Exosomes, while safer as cell-free alternatives, confront hurdles in standardization, as isolation methods yield variable purity and cargo composition. Their natural molecular cargo – miRNAs, proteins, and lipids – can include unintended pro-fibrotic elements, and engineering exosomes to enrich specific therapeutic molecules without compromising stability remains technically difficult. Both therapies face delivery challenges, as dense scar tissue impedes penetration, and current strategies (e.g., hydrogels, microneedling) only partially improve localized retention.
CEFAE is a cell-free biologic derived from processed adipose tissue, enriched with growth factors, cytokines, EVs, and signaling molecules. Its therapeutic potential for HS lies in its ability to target multiple pathological processes simultaneously. Angiogenesis is enhanced through VEGF and FGF, improving blood flow and reducing hypoxia-driven fibrosis. Simultaneously, CEFAE remodels the ECM by stimulating elastin and hyaluronic acid synthesis, which restores skin elasticity, while EV-mediated delivery of MMPs and miRNAs (e.g., miR-196a) degrades disorganized collagen and promotes healthy ECM alignment.
The results indicate that both low and high concentrations of CEFAE have a significant regulatory effect on collagen, particularly under high concentration conditions. Specifically, in the high concentration group, the content of COL III exhibits a decreasing trend, while the content of COL I gradually increases over time. CEFAE effectively rebalances collagen dynamics in HS by targeting both type 1 and COL III. It suppresses excessive COL I synthesis – associated with scar rigidity, while promoting the production of COL III, which enhances skin elasticity, through regenerative factors such as VEGF and FGF. We speculate that CEFAE upregulates matrix metalloproteinases (MMPs-1/3) to degrade overabundant COL I and ensures balanced degradation of COL III, maintaining a healthy collagen ratio simultaneously. This will be further validated in our future experiments. This dual modulation restores the collagen architecture to a natural, organized basket-weave pattern, improving scar pliability and tensile strength. Long-term, CEFAE sustains ECM homeostasis via bioactive molecules like adiponectin and miRNAs, which fine-tune collagen gene expression and prevent scar recurrence. By harmonizing collagen reduction and regeneration, CEFAE transforms HS into softer, thinner, and more functional tissue resembling healthy skin.
In comparison to the other cell and active factor therapies previously discussed, CEFAE presents several significant advantages. First, CEFAE circumvents the ethical challenges associated with MSCs. Currently, the use of allogeneic MSCs necessitates rigorous donor screening and informed consent, while the use of embryonically derived MSCs raises ethical concerns regarding the beginning of life. Moreover, traditional cell therapies often require in vitro expansion, which carries the risk of tumorigenesis. A notable advantage of CEFAE is that it does not involve the transplantation of live cells, thereby mitigating the risks of tumor formation and immune rejection. Additionally, CEFAE does not depend on the viability of donor cells, facilitating the establishment of a storage bank and eliminating the human leukocyte antigen matching issues commonly associated with MSCs. This study evaluated the safety and efficacy of rabbit autologous CEFAE, thereby establishing a foundational basis for its conceptual validation in human applications. Future research will concentrate on developing the production process for human-derived CEFAE and investigating its mechanisms for enhancing healing in chronic wound models. This acellular therapy model is anticipated to address the challenges associated with cell therapies, particularly in the realms of ethics, regulation, and industrialization.
However, challenges remain, including variability in CEFAE composition due to donor differences and processing methods, limited penetration into dense scars, and incomplete understanding of how individual components synergize. Compared to cell-based therapies, CEFAE avoids risks like tumorigenicity and offers a broader bioactive profile than isolated exosomes, but standardization and delivery optimization (e.g., combining with microneedling) are needed. Overall, CEFAE represents a promising, multi-target approach to scar treatment, though further clinical validation and mechanistic studies are essential to solidify its role in practice.
5 Conclusion
In conclusion, CEFAE demonstrates significant preventive and therapeutic efficacy in the rabbit ear HS model, effectively restoring homeostasis in collagen metabolism and inhibiting abnormal neovascularization associated with altered angiogenic regulators. These findings highlight the dual mechanisms through which CEFAE functions, particularly in the regulation of collagen remodeling and the angiogenesis process. This study supports the potential of CEFAE as a cell-free therapeutic intervention for HS, offering a promising approach for alleviating this condition. Future research will aim to further optimize the effective concentration of CEFAE.
Acknowledgments
This research was supported by the Science and Technology Project of Traditional Chinese Medicine of Shandong Province (M-2022055), and the Traditional Chinese Medicine Research Project of Weifang Health Commission (WFZYY2022-03-013).
-
Funding information: Authors state no funding involved.
-
Author contributions: All authors contributed to the conception, design, and data analysis of this study. Junchao Sun contributed to the acquisition and interpretation of data and drafted the manuscript. Yujie Zhao contributed to the design of the study, performed statistical analyses and improved the manuscript. Zhoujiang Qu contributed to the data collection, interpretation and provided constructive feedback on the manuscript. Shudong Sun contributed to the study design, data analysis, and revised the manuscript. Kun Wang contributed to the interpretation of data and provided significant revisions to the manuscript. All authors have approved the final version of the manuscript and have agreed to be accountable for all aspects of the work. This ensures that any inquiries regarding the accuracy or integrity of the study are adequately addressed and resolved.
-
Conflict of interest: Authors state no conflict of interest.
-
Data availability statement: All data that support the findings of this study are available from the corresponding author upon reasonable request.
References
[1] Mbiine R, Wayengera M, Kiwanuka N, Munabi I, Muwonge H, Nakanwagi C, et al. Autologous adipose-derived stromal vascular fraction (SVF) in scar treatment among patients with keloids and hypertrophic scars: a systematic review and meta-analysis of current practices and outcomes. Am J Stem Cell. 2023;12(5):98–111.Search in Google Scholar
[2] Neelon J, Yau I, Carlsson AH, Smithson SB, Varon DE, Chan CK, et al. Topical application of anti-inflammatory agents on burn wounds and their effect on healing. Burns. 2024;50(9):107290.10.1016/j.burns.2024.107290Search in Google Scholar PubMed
[3] Chen D, Li Q, Zhang H, Kou F, Li Q, Lyu C, et al. Traditional Chinese medicine for hypertrophic scars-A review of the therapeutic methods and potential effects. Front Pharmacol. 2022;13:1025602.10.3389/fphar.2022.1025602Search in Google Scholar PubMed PubMed Central
[4] Agrawal A, Ding J, Agrawal B, Kwan PO, Tredget EE. Stimulation of toll-like receptor pathways by burn eschar tissue as a possible mechanism for hypertrophic scarring. Wound Repair Regen. 2021;29(5):810–9.10.1111/wrr.12940Search in Google Scholar PubMed
[5] Yuan B, Yu J, Dong J, Mao Z, Wang X. Bacteria in hypertrophic scars promote scar formation through HSBP1-mediated autophagy. Wound Repair Regen. 2025;33(1):e13253.10.1111/wrr.13253Search in Google Scholar PubMed PubMed Central
[6] Xu R, Yang E, Liang H, Luo S, Liu Y, Khoong Y, et al. ALKBH5-mediated m(6)A demethylation ameliorates extracellular matrix deposition in cutaneous pathological fibrosis. Clin Transl Med. 2024;14(9):e70016.10.1002/ctm2.70016Search in Google Scholar PubMed PubMed Central
[7] Kim SH, Oh JM, Roh H, Lee KW, Lee JH, Lee WJ. Zinc-Alpha-2-glycoprotein peptide downregulates type I and III collagen expression via suppression of TGF-beta and p-Smad 2/3 pathway in keloid fibroblasts and rat incisional model. Tissue Eng Regen Med. 2024;21(7):1079–92.10.1007/s13770-024-00664-ySearch in Google Scholar PubMed PubMed Central
[8] Zhou X, Ye H, Wang X, Sun J, Tu J, Lv J. Ursolic acid inhibits human dermal fibroblasts hyperproliferation, migration, and collagen deposition induced by TGF-beta via regulating the Smad2/3 pathway. Gene. 2023;867:147367.10.1016/j.gene.2023.147367Search in Google Scholar PubMed
[9] Liu C, Zhang H, Cui X, Wang S, Zhou Q. The effects of Shikonin on the hypertrophic scar of rabbit ears via the TLR4/NF-kappaB signaling pathway. Cell Mol Biol (Noisy-le-grand). 2023;69(9):161–6.10.14715/cmb/2023.69.9.24Search in Google Scholar PubMed
[10] Han F, Wang K, Shen K, Wang J, Han S, Hu D, et al. Extracellular vesicles from Lactobacillus druckerii inhibit hypertrophic scar fibrosis. J Nanobiotechnology. 2023;21(1):113.10.1186/s12951-023-01861-ySearch in Google Scholar PubMed PubMed Central
[11] Gili N, Micallef Stafrace K, Laybats F, Mifsud T. The role of extracorporeal shock wave therapy in keloids and hypertrophic scars: a systematic review. Cureus. 2024;16(10):e71869.10.7759/cureus.71869Search in Google Scholar PubMed PubMed Central
[12] Bailey J, Schwehr M, Beattie A. Management of keloids and hypertrophic scars. Am Fam Physician. 2024;110(6):605–11.Search in Google Scholar
[13] Cao LL, Yang ZG, Qi WH, Zhang H, Bi Y, Shan Y, et al. A preliminary study on ultrasound techniques applied to evaluate the curative effect of botulinum toxin type a in hypertrophic scars. Heliyon. 2024;10(15):e34723.10.1016/j.heliyon.2024.e34723Search in Google Scholar PubMed PubMed Central
[14] Rimmer SN, Chandy RJ, Khan D, Feldman SR. Recurrence rates in the treatment of keloids and hypertrophic scars with intralesional triamcinolone combined with other intralesional agents. Arch Dermatol Res. 2023;315(10):2757–67.10.1007/s00403-023-02662-xSearch in Google Scholar PubMed
[15] Luo XY, Wu XG, Xu AE, Song XZ, Peng JZ. The combination of the mini-punch technique and photodynamic therapy for the treatment of mandibular keloids and hypertrophic scars. Dermatol Surg. 2022;48(12):1294–8.10.1097/DSS.0000000000003621Search in Google Scholar PubMed
[16] Wang Y, Zhou X. Exosomes and microRNAs: insights into their roles in thermal-induced skin injury, wound healing and scarring. Mol Genet Genomics. 2024;299(1):89.10.1007/s00438-024-02183-wSearch in Google Scholar PubMed
[17] Sierra-Sanchez A, Montero-Vilchez T, Quinones-Vico MI, Sanchez-Diaz M, Arias-Santiago S. Current advanced therapies based on human mesenchymal stem cells for skin diseases. Front Cell Dev Biol. 2021;9:643125.10.3389/fcell.2021.643125Search in Google Scholar PubMed PubMed Central
[18] Xu C, Zhang H, Yang C, Wang Y, Wang K, Wang R, et al. miR-125b-5p delivered by adipose-derived stem cell exosomes alleviates hypertrophic scarring by suppressing Smad2. Burn Trauma. 2024;12:tkad064.10.1093/burnst/tkad064Search in Google Scholar PubMed PubMed Central
[19] Jafarzadeh A, PourMohammad A, Goodarzi A. A systematic review of the efficacy, safety and satisfaction of regenerative medicine treatments, including platelet-rich plasma, stromal vascular fraction and stem cell-conditioned medium for hypertrophic scars and keloids. Int Wound J. 2024;21(4):e14557.10.1111/iwj.14557Search in Google Scholar PubMed PubMed Central
[20] Yuan R, Dai X, Li Y, Li C, Liu L. Exosomes from miR-29a-modified adipose-derived mesenchymal stem cells reduce excessive scar formation by inhibiting TGF-beta2/Smad3 signaling. Mol Med Rep. 2021;24(5):758.10.3892/mmr.2021.12398Search in Google Scholar PubMed PubMed Central
[21] Zhang T. Hepatocyte growth factor-modified adipose-derived mesenchymal stem cells inhibit human hypertrophic scar fibroblast activation. J Cosmet Dermatol. 2024;23(12):4268–76.10.1111/jocd.16509Search in Google Scholar PubMed PubMed Central
[22] Zahorec P, Sarkozyova N, Ferancikova N, Bukovcan P, Danisovic L, Bohac M, et al. Autologous mesenchymal stem cells application in post-burn scars treatment: a preliminary study. Cell Tissue Bank. 2021;22(1):39–46.10.1007/s10561-020-09862-zSearch in Google Scholar PubMed
[23] Bojanic C, To K, Hatoum A, Shea J, Seah KTM, Khan W, et al. Mesenchymal stem cell therapy in hypertrophic and keloid scars. Cell Tissue Res. 2021;383(3):915–30.10.1007/s00441-020-03361-zSearch in Google Scholar
[24] Zhang X, Jiang X, Deng H, Yu G, Yang N, Al Mamun A, et al. Engineering exosomes from fibroblast growth factor 1 pre-conditioned adipose-derived stem cells promote ischemic skin flaps survival by activating autophagy. Mater Today Bio. 2024;29:101314.10.1016/j.mtbio.2024.101314Search in Google Scholar PubMed PubMed Central
[25] Miller LN, Walters AE, Denninger JK, Hanson MA, Marshall AH, Johantges AC, et al. Neural stem and progenitor cells support and protect adult hippocampal function via vascular endothelial growth factor secretion. Mol Psychiatry. 2025;30(5):2152–67.10.1038/s41380-024-02827-8Search in Google Scholar PubMed PubMed Central
[26] Jung SI, Choi SH, Kim JW, Lim J, Rim YA, Ju JH. The effect of nerve growth factor on cartilage fibrosis and hypertrophy during in vitro chondrogenesis using induced pluripotent stem cells. Int J Stem Cell. 2025;18(1):59–71.10.15283/ijsc24097Search in Google Scholar PubMed PubMed Central
[27] Gong C, Xia C, Liu L. Exosomes derived from epidermal growth factor-like domain protein 6-preconditioned mesenchymal stem cells for diabetic wound healing. Regen Ther. 2024;26:932–40.10.1016/j.reth.2024.09.009Search in Google Scholar PubMed PubMed Central
[28] Chen QH, Zhang Y, Gu X, Yang PL, Yuan J, Yu LN, et al. Microvesicles derived from mesenchymal stem cells inhibit acute respiratory distress syndrome-related pulmonary fibrosis in mouse partly through hepatocyte growth factor. World J Stem Cell. 2024;16(8):811–23.10.4252/wjsc.v16.i8.811Search in Google Scholar PubMed PubMed Central
[29] Yang T, Zhao F, Zhao J, Geng J, Shao C, Liu J, et al. Negatively charged bladder acellular matrix loaded with positively charged adipose-derived mesenchymal stem cell-derived small extracellular vesicles for bladder tissue engineering. J Control Release. 2023;364:718–33.10.1016/j.jconrel.2023.10.048Search in Google Scholar PubMed
[30] Sood R, Shergill S, Singh J, Sharma E, Ridhi G. Treatment of gingival class I or class II recession using subepithelial connective tissue graft and acellular dermal matrix allograft. Bioinformation. 2022;18(9):801–6.10.6026/97320630018801Search in Google Scholar PubMed PubMed Central
[31] Mihalecko J, Bohac M, Danisovic L, Koller J, Varga I, Kuniakova M. Acellular dermal matrix in plastic and reconstructive surgery. Physiol Res. 2022;71(Suppl 1):S51–7.10.33549/physiolres.935045Search in Google Scholar PubMed PubMed Central
[32] Wang Y, Xu Y, Zhou G, Liu Y, Cao Y. Biological evaluation of acellular cartilaginous and dermal matrixes as tissue engineering scaffolds for cartilage regeneration. Front Cell Dev Biol. 2020;8:624337.10.3389/fcell.2020.624337Search in Google Scholar PubMed PubMed Central
[33] Jia Z, Kang B, Cai Y, Chen C, Yu Z, Li W, et al. Cell-free fat extract attenuates osteoarthritis via chondrocytes regeneration and macrophages immunomodulation. Stem Cell Res Ther. 2022;13(1):133.10.1186/s13287-022-02813-3Search in Google Scholar PubMed PubMed Central
[34] Liu M, Zhang D, Zhou X, Duan J, Hu Y, Zhang W, et al. Cell-free fat extract improves ovarian function and fertility in mice with premature ovarian insufficiency. Stem Cell Res Ther. 2022;13(1):320.10.1186/s13287-022-03012-wSearch in Google Scholar PubMed PubMed Central
[35] Xu M, Du J, Cui J, Zhang S, Zhang S, Deng M, et al. Cell-free fat extract prevents tail suspension-induced bone loss by inhibiting osteocyte apoptosis. Front Bioeng Biotechnol. 2022;10:818572.10.3389/fbioe.2022.818572Search in Google Scholar PubMed PubMed Central
[36] Cai Y, Jia Z, Zhang Y, Kang B, Chen C, Liu W, et al. Cell-free fat extract restores hair loss: a novel therapeutic strategy for androgenetic alopecia. Stem Cell Res Ther. 2023;14(1):219.10.1186/s13287-023-03398-1Search in Google Scholar PubMed PubMed Central
[37] Xu B, Zhou M, Liu M, Wang Z, Duan J, Li W, et al. Bioactive injectable and self-healing hydrogel via cell-free fat extract for endometrial regeneration. Small. 2023;19(30):e2300481.10.1002/smll.202300481Search in Google Scholar PubMed
[38] Li D, Li Q, Xu T, Guo X, Tang H, Wang W, et al. Pro-vasculogenic Fibers by PDA-Mediated Surface Functionalization Using Cell-Free Fat Extract (CEFFE). Biomacromolecules. 2024;25(3):1550–62.10.1021/acs.biomac.3c01124Search in Google Scholar PubMed
[39] Liu M, Li W, Zhou X, Zhou M, Zhang W, Liu Q, et al. Cell-free fat extract improves ovarian function and fertility in mice with advanced age. Front Endocrinol (Lausanne). 2022;13:912648.10.3389/fendo.2022.912648Search in Google Scholar PubMed PubMed Central
[40] Wu D, Li X, Wang X, Wang D. Cell-free fat extract protects septic lethality via restraining NLRP3 inflammasome activation. Am J Transl Res. 2022;14(7):5201–14.Search in Google Scholar
[41] Zhang L, Hu C, Xu W, Wu D, Lei S. Advances in wound repair and regeneration: Systematic comparison of cell free fat extract and platelet rich plasma. Front Chem. 2022;10:1089277.10.3389/fchem.2022.1089277Search in Google Scholar PubMed PubMed Central
[42] Kan T, Ran Z, Sun L, Jiang X, Hou L, Yang Y, et al. Cell-free fat extract-loaded microneedles attenuate inflammation-induced apoptosis and mitochondrial damage in tendinopathy. Mater Today Bio. 2023;22:100738.10.1016/j.mtbio.2023.100738Search in Google Scholar PubMed PubMed Central
[43] Ding J, Wei C, Xu Y, Dai W, Chen R. 3D printing of Ceffe-infused scaffolds for tailored nipple-like cartilage development. BMC Biotechnol. 2024;24(1):25.10.1186/s12896-024-00848-3Search in Google Scholar PubMed PubMed Central
[44] Li D, Xu T, Wang X, Xiao Q, Zhang W, Li F, et al. Enhanced osteo-angiogenic coupling by a bioactive cell-free fat extract (CEFFE) delivered through electrospun fibers. J Mater Chem B. 2025;13(3):1100–17.10.1039/D4TB01394HSearch in Google Scholar
[45] Li G, Han Q, Lu P, Zhang L, Zhang Y, Chen S, et al. Construction of dual-biofunctionalized chitosan/collagen scaffolds for simultaneous neovascularization and nerve regeneration. Research (Wash D C). 2020 Aug;2020:2603048. 10.34133/2020/2603048.Search in Google Scholar PubMed PubMed Central
© 2025 the author(s), published by De Gruyter
This work is licensed under the Creative Commons Attribution 4.0 International License.
Articles in the same Issue
- Research Articles
- Network pharmacological analysis and in vitro testing of the rutin effects on triple-negative breast cancer
- Impact of diabetes on long-term survival in elderly liver cancer patients: A retrospective study
- Knockdown of CCNB1 alleviates high glucose-triggered trophoblast dysfunction during gestational diabetes via Wnt/β-catenin signaling pathway
- Risk factors for severe adverse drug reactions in hospitalized patients
- Analysis of the effect of ALA-PDT on macrophages in footpad model of mice infected with Fonsecaea monophora based on single-cell sequencing
- Development and validation of headspace gas chromatography with a flame ionization detector method for the determination of ethanol in the vitreous humor
- CMSP exerts anti-tumor effects on small cell lung cancer cells by inducing mitochondrial dysfunction and ferroptosis
- Predictive value of plasma sB7-H3 and YKL-40 in pediatric refractory Mycoplasma pneumoniae pneumonia
- Antiangiogenic potential of Elaeagnus umbellata extracts and molecular docking study by targeting VEGFR-2 pathway
- Comparison of the effectiveness of nurse-led preoperative counseling and postoperative follow-up care vs standard care for patients with gastric cancer
- Comparing the therapeutic efficacy of endoscopic minimally invasive surgery and traditional surgery for early-stage breast cancer: A meta-analysis
- Adhered macrophages as an additional marker of cardiomyocyte injury in biopsies of patients with dilated cardiomyopathy
- Association between statin administration and outcome in patients with sepsis: A retrospective study
- Exploration of the association between estimated glucose disposal rate and osteoarthritis in middle-aged and older adults: An analysis of NHANES data from 2011 to 2018
- A comparative analysis of the binary and multiclass classified chest X-ray images of pneumonia and COVID-19 with ML and DL models
- Lysophosphatidic acid 2 alleviates deep vein thrombosis via protective endothelial barrier function
- Transcription factor A, mitochondrial promotes lymph node metastasis and lymphangiogenesis in epithelial ovarian carcinoma
- Serum PM20D1 levels are associated with nutritional status and inflammatory factors in gastric cancer patients undergoing early enteral nutrition
- Hydromorphone reduced the incidence of emergence agitation after adenotonsillectomy in children with obstructive sleep apnea: A randomized, double-blind study
- Vitamin D replacement therapy may regulate sleep habits in patients with restless leg syndrome
- The first-line antihypertensive nitrendipine potentiated the therapeutic effect of oxaliplatin by downregulating CACNA1D in colorectal cancer
- Health literacy and health-related quality of life: The mediating role of irrational happiness
- Modulatory effects of Lycium barbarum polysaccharide on bone cell dynamics in osteoporosis
- Mechanism research on inhibition of gastric cancer in vitro by the extract of Pinellia ternata based on network pharmacology and cellular metabolomics
- Examination of the causal role of immune cells in non-alcoholic fatty liver disease by a bidirectional Mendelian randomization study
- Clinical analysis of ten cases of HIV infection combined with acute leukemia
- Investigating the cardioprotective potential of quercetin against tacrolimus-induced cardiotoxicity in Wistar rats: A mechanistic insights
- Clinical observation of probiotics combined with mesalazine and Yiyi Baitouweng Decoction retention enema in treating mild-to-moderate ulcerative colitis
- Diagnostic value of ratio of blood inflammation to coagulation markers in periprosthetic joint infection
- Sex-specific associations of sex hormone binding globulin and risk of bladder cancer
- Core muscle strength and stability-oriented breathing training reduces inter-recti distance in postpartum women
- The ERAS nursing care strategy for patients undergoing transsphenoidal endoscopic pituitary tumor resection: A randomized blinded controlled trial
- The serum IL-17A levels in patients with traumatic bowel rupture post-surgery and its predictive value for patient prognosis
- Impact of Kolb’s experiential learning theory-based nursing on caregiver burden and psychological state of caregivers of dementia patients
- Analysis of serum NLR combined with intraoperative margin condition to predict the prognosis of cervical HSIL patients undergoing LEEP surgery
- Commiphora gileadensis ameliorate infertility and erectile dysfunction in diabetic male mice
- The correlation between epithelial–mesenchymal transition classification and MMP2 expression of circulating tumor cells and prognosis of advanced or metastatic nasopharyngeal carcinoma
- Tetrahydropalmatine improves mitochondrial function in vascular smooth muscle cells of atherosclerosis in vitro by inhibiting Ras homolog gene family A/Rho-associated protein kinase-1 signaling pathway
- A cross-sectional study: Relationship between serum oxidative stress levels and arteriovenous fistula maturation in maintenance dialysis patients
- A comparative analysis of the impact of repeated administration of flavan 3-ol on brown, subcutaneous, and visceral adipose tissue
- Identifying early screening factors for depression in middle-aged and older adults: A cohort study
- Perform tumor-specific survival analysis for Merkel cell carcinoma patients undergoing surgical resection based on the SEER database by constructing a nomogram chart
- Unveiling the role of CXCL10 in pancreatic cancer progression: A novel prognostic indicator
- High-dose preoperative intraperitoneal erythropoietin and intravenous methylprednisolone in acute traumatic spinal cord injuries following decompression surgeries
- RAB39B: A novel biomarker for acute myeloid leukemia identified via multi-omics and functional validation
- Impact of peripheral conditioning on reperfusion injury following primary percutaneous coronary intervention in diabetic and non-diabetic STEMI patients
- Clinical efficacy of azacitidine in the treatment of middle- and high-risk myelodysplastic syndrome in middle-aged and elderly patients: A retrospective study
- The effect of ambulatory blood pressure load on mitral regurgitation in continuous ambulatory peritoneal dialysis patients
- Expression and clinical significance of ITGA3 in breast cancer
- Single-nucleus RNA sequencing reveals ARHGAP28 expression of podocytes as a biomarker in human diabetic nephropathy
- rSIG combined with NLR in the prognostic assessment of patients with multiple injuries
- Toxic metals and metalloids in collagen supplements of fish and jellyfish origin: Risk assessment for daily intake
- Exploring causal relationship between 41 inflammatory cytokines and marginal zone lymphoma: A bidirectional Mendelian randomization study
- Gender beliefs and legitimization of dating violence in adolescents
- Effect of serum IL-6, CRP, and MMP-9 levels on the efficacy of modified preperitoneal Kugel repair in patients with inguinal hernia
- Effect of smoking and smoking cessation on hematological parameters in polycythemic patients
- Pathogen surveillance and risk factors for pulmonary infection in patients with lung cancer: A retrospective single-center study
- Necroptosis of hippocampal neurons in paclitaxel chemotherapy-induced cognitive impairment mediates microglial activation via TLR4/MyD88 signaling pathway
- Celastrol suppresses neovascularization in rat aortic vascular endothelial cells stimulated by inflammatory tenocytes via modulating the NLRP3 pathway
- Cord-lamina angle and foraminal diameter as key predictors of C5 palsy after anterior cervical decompression and fusion surgery
- GATA1: A key biomarker for predicting the prognosis of patients with diffuse large B-cell lymphoma
- Influencing factors of false lumen thrombosis in type B aortic dissection: A single-center retrospective study
- MZB1 regulates the immune microenvironment and inhibits ovarian cancer cell migration
- Integrating experimental and network pharmacology to explore the pharmacological mechanisms of Dioscin against glioblastoma
- Trends in research on preterm birth in twin pregnancy based on bibliometrics
- Four-week IgE/baseline IgE ratio combined with tryptase predicts clinical outcome in omalizumab-treated children with moderate-to-severe asthma
- Single-cell transcriptomic analysis identifies a stress response Schwann cell subtype
- Acute pancreatitis risk in the diagnosis and management of inflammatory bowel disease: A critical focus
- Effect of subclinical esketamine on NLRP3 and cognitive dysfunction in elderly ischemic stroke patients
- Interleukin-37 mediates the anti-oral tumor activity in oral cancer through STAT3
- CA199 and CEA expression levels, and minimally invasive postoperative prognosis analysis in esophageal squamous carcinoma patients
- Efficacy of a novel drainage catheter in the treatment of CSF leak after posterior spine surgery: A retrospective cohort study
- Comprehensive biomedicine assessment of Apteranthes tuberculata extracts: Phytochemical analysis and multifaceted pharmacological evaluation in animal models
- Relation of time in range to severity of coronary artery disease in patients with type 2 diabetes: A cross-sectional study
- Dopamine attenuates ethanol-induced neuronal apoptosis by stimulating electrical activity in the developing rat retina
- Correlation between albumin levels during the third trimester and the risk of postpartum levator ani muscle rupture
- Factors associated with maternal attention and distraction during breastfeeding and childcare: A cross-sectional study in the west of Iran
- Mechanisms of hesperetin in treating metabolic dysfunction-associated steatosis liver disease via network pharmacology and in vitro experiments
- The law on oncological oblivion in the Italian and European context: How to best uphold the cancer patients’ rights to privacy and self-determination?
- The prognostic value of the neutrophil-to-lymphocyte ratio, platelet-to-lymphocyte ratio, and prognostic nutritional index for survival in patients with colorectal cancer
- Factors affecting the measurements of peripheral oxygen saturation values in healthy young adults
- Comparison and correlations between findings of hysteroscopy and vaginal color Doppler ultrasonography for detection of uterine abnormalities in patients with recurrent implantation failure
- The effects of different types of RAGT on balance function in stroke patients with low levels of independent walking in a convalescent rehabilitation hospital
- Causal relationship between asthma and ankylosing spondylitis: A bidirectional two-sample univariable and multivariable Mendelian randomization study
- Correlations of health literacy with individuals’ understanding and use of medications in Southern Taiwan
- Correlation of serum calprotectin with outcome of acute cerebral infarction
- Comparison of computed tomography and guided bronchoscopy in the diagnosis of pulmonary nodules: A systematic review and meta-analysis
- Curdione protects vascular endothelial cells and atherosclerosis via the regulation of DNMT1-mediated ERBB4 promoter methylation
- The identification of novel missense variant in ChAT gene in a patient with gestational diabetes denotes plausible genetic association
- Molecular genotyping of multi-system rare blood types in foreign blood donors based on DNA sequencing and its clinical significance
- Exploring the role of succinyl carnitine in the association between CD39⁺ CD4⁺ T cell and ulcerative colitis: A Mendelian randomization study
- Dexmedetomidine suppresses microglial activation in postoperative cognitive dysfunction via the mmu-miRNA-125/TRAF6 signaling axis
- Analysis of serum metabolomics in patients with different types of chronic heart failure
- Diagnostic value of hematological parameters in the early diagnosis of acute cholecystitis
- Pachymaran alleviates fat accumulation, hepatocyte degeneration, and injury in mice with nonalcoholic fatty liver disease
- Decrease in CD4 and CD8 lymphocytes are predictors of severe clinical picture and unfavorable outcome of the disease in patients with COVID-19
- METTL3 blocked the progression of diabetic retinopathy through m6A-modified SOX2
- The predictive significance of anti-RO-52 antibody in patients with interstitial pneumonia after treatment of malignant tumors
- Exploring cerebrospinal fluid metabolites, cognitive function, and brain atrophy: Insights from Mendelian randomization
- Development and validation of potential molecular subtypes and signatures of ocular sarcoidosis based on autophagy-related gene analysis
- Widespread venous thrombosis: Unveiling a complex case of Behçet’s disease with a literature perspective
- Uterine fibroid embolization: An analysis of clinical outcomes and impact on patients’ quality of life
- Discovery of lipid metabolism-related diagnostic biomarkers and construction of diagnostic model in steroid-induced osteonecrosis of femoral head
- Serum-derived exomiR-188-3p is a promising novel biomarker for early-stage ovarian cancer
- Enhancing chronic back pain management: A comparative study of ultrasound–MRI fusion guidance for paravertebral nerve block
- Peptide CCAT1-70aa promotes hepatocellular carcinoma proliferation and invasion via the MAPK/ERK pathway
- Electroacupuncture-induced reduction of myocardial ischemia–reperfusion injury via FTO-dependent m6A methylation modulation
- Hemorrhoids and cardiovascular disease: A bidirectional Mendelian randomization study
- Cell-free adipose extract inhibits hypertrophic scar formation through collagen remodeling and antiangiogenesis
- HALP score in Demodex blepharitis: A case–control study
- Assessment of SOX2 performance as a marker for circulating cancer stem-like cells (CCSCs) identification in advanced breast cancer patients using CytoTrack system
- Risk and prognosis for brain metastasis in primary metastatic cervical cancer patients: A population-based study
- Comparison of the two intestinal anastomosis methods in pediatric patients
- Factors influencing hematological toxicity and adverse effects of perioperative hyperthermic intraperitoneal vs intraperitoneal chemotherapy in gastrointestinal cancer
- Endotoxin tolerance inhibits NLRP3 inflammasome activation in macrophages of septic mice by restoring autophagic flux through TRIM26
- Lateral transperitoneal laparoscopic adrenalectomy: A single-centre experience of 21 procedures
- Petunidin attenuates lipopolysaccharide-induced retinal microglia inflammatory response in diabetic retinopathy by targeting OGT/NF-κB/LCN2 axis
- Procalcitonin and C-reactive protein as biomarkers for diagnosing and assessing the severity of acute cholecystitis
- Factors determining the number of sessions in successful extracorporeal shock wave lithotripsy patients
- Development of a nomogram for predicting cancer-specific survival in patients with renal pelvic cancer following surgery
- Inhibition of ATG7 promotes orthodontic tooth movement by regulating the RANKL/OPG ratio under compression force
- A machine learning-based prognostic model integrating mRNA stemness index, hypoxia, and glycolysis‑related biomarkers for colorectal cancer
- Glutathione attenuates sepsis-associated encephalopathy via dual modulation of NF-κB and PKA/CREB pathways
- FAHD1 prevents neuronal ferroptosis by modulating R-loop and the cGAS–STING pathway
- Association of placenta weight and morphology with term low birth weight: A case–control study
- Investigation of the pathogenic variants induced Sjogren’s syndrome in Turkish population
- Nucleotide metabolic abnormalities in post-COVID-19 condition and type 2 diabetes mellitus patients and their association with endocrine dysfunction
- TGF-β–Smad2/3 signaling in high-altitude pulmonary hypertension in rats: Role and mechanisms via macrophage M2 polarization
- Ultrasound-guided unilateral versus bilateral erector spinae plane block for postoperative analgesia of patients undergoing laparoscopic cholecystectomy
- Profiling gut microbiome dynamics in subacute thyroiditis: Implications for pathogenesis, diagnosis, and treatment
- Delta neutrophil index, CRP/albumin ratio, procalcitonin, immature granulocytes, and HALP score in acute appendicitis: Best performing biomarker?
- Anticancer activity mechanism of novelly synthesized and characterized benzofuran ring-linked 3-nitrophenyl chalcone derivative on colon cancer cells
- H2valdien3 arrests the cell cycle and induces apoptosis of gastric cancer
- Prognostic relevance of PRSS2 and its immune correlates in papillary thyroid carcinoma
- Association of SGLT2 inhibition with psychiatric disorders: A Mendelian randomization study
- Motivational interviewing for alcohol use reduction in Thai patients
- Luteolin alleviates oxygen-glucose deprivation/reoxygenation-induced neuron injury by regulating NLRP3/IL-1β signaling
- Polyphyllin II inhibits thyroid cancer cell growth by simultaneously inhibiting glycolysis and oxidative phosphorylation
- Relationship between the expression of copper death promoting factor SLC31A1 in papillary thyroid carcinoma and clinicopathological indicators and prognosis
- CSF2 polarized neutrophils and invaded renal cancer cells in vitro influence
- Proton pump inhibitors-induced thrombocytopenia: A systematic literature analysis of case reports
- The current status and influence factors of research ability among community nurses: A sequential qualitative–quantitative study
- OKAIN: A comprehensive oncology knowledge base for the interpretation of clinically actionable alterations
- The relationship between serum CA50, CA242, and SAA levels and clinical pathological characteristics and prognosis in patients with pancreatic cancer
- Identification and external validation of a prognostic signature based on hypoxia–glycolysis-related genes for kidney renal clear cell carcinoma
- Engineered RBC-derived nanovesicles functionalized with tumor-targeting ligands: A comparative study on breast cancer targeting efficiency and biocompatibility
- Relationship of resting echocardiography combined with serum micronutrients to the severity of low-gradient severe aortic stenosis
- Effect of vibration on pain during subcutaneous heparin injection: A randomized, single-blind, placebo-controlled trial
- The diagnostic performance of machine learning-based FFRCT for coronary artery disease: A meta-analysis
- Comparing biofeedback device vs diaphragmatic breathing for bloating relief: A randomized controlled trial
- Serum uric acid to albumin ratio and C-reactive protein as predictive biomarkers for chronic total occlusion and coronary collateral circulation quality
- Multiple organ scoring systems for predicting in-hospital mortality of sepsis patients in the intensive care unit
- Single-cell RNA sequencing data analysis of the inner ear in gentamicin-treated mice via intraperitoneal injection
- Suppression of cathepsin B attenuates myocardial injury via limiting cardiomyocyte apoptosis
- Influence of sevoflurane combined with propofol anesthesia on the anesthesia effect and adverse reactions in children with acute appendicitis
- Identification of hub genes related to acute kidney injury caused by sevoflurane anesthesia and endoplasmic reticulum stress
- Efficacy and safety of PD-1/PD-L1 inhibitors in pancreatic ductal adenocarcinoma: a systematic review and Meta-analysis of randomized controlled trials
- The value of diagnostic experience in O-RADS MRI score for ovarian-adnexal lesions
- Health education pathway for individuals with temporary enterostomies using patient journey mapping
- Serum TLR8 as a potential diagnostic biomarker of coronary heart disease
- Intraoperative temperature management and its effect on surgical outcomes in elderly patients undergoing lichtenstein unilateral inguinal hernia repair
- Immunohistochemical profiling and neuroepithelial heterogeneity in immature ovarian teratomas: a retrospective digital pathology-based study
- Associated risk factors and prevalence of human papillomavirus infection among females visiting tertiary care hospital: a cross-sectional study from Nepal
- Comparative evaluation of various disc elution methods for the detection of colistin-resistant gram-negative bacteria
- Effect of timing of cholecystectomy on weight loss after sleeve gastrectomy in morbidly obese individuals with cholelithiasis: a retrospective cohort study
- Causal association between ceramide levels and central precocious puberty: a mendelian randomization study
- Novel predictive model for colorectal liver metastases recurrence: a radiomics and clinical data approach
- Relationship between resident physicians’ perceived professional value and exposure to violence
- Multiple sclerosis and type 1 diabetes: a Mendelian randomization study of European ancestry
- Rapid pathogen identification in peritoneal dialysis effluent by MALDI-TOF MS following blood culture enrichment
- Comparison of open and percutaneous A1 pulley release in pediatric trigger thumb: a retrospective cohort study
- Impact of combined diaphragm-lung ultrasound assessment on postoperative respiratory function in patients under general anesthesia recovery
- Development and internal validation of a nomogram for predicting short-term prognosis in ICU patients with acute pyelonephritis
- The association between hypoxic burden and blood pressure in patients with obstructive sleep apnea
- Promotion of asthenozoospermia by C9orf72 through suppression of spermatogonia activity via fructose metabolism and mitophagy
- Review Articles
- The effects of enhanced external counter-pulsation on post-acute sequelae of COVID-19: A narrative review
- Diabetes-related cognitive impairment: Mechanisms, symptoms, and treatments
- Microscopic changes and gross morphology of placenta in women affected by gestational diabetes mellitus in dietary treatment: A systematic review
- Review of mechanisms and frontier applications in IL-17A-induced hypertension
- Research progress on the correlation between islet amyloid peptides and type 2 diabetes mellitus
- The safety and efficacy of BCG combined with mitomycin C compared with BCG monotherapy in patients with non-muscle-invasive bladder cancer: A systematic review and meta-analysis
- The application of augmented reality in robotic general surgery: A mini-review
- The effect of Greek mountain tea extract and wheat germ extract on peripheral blood flow and eicosanoid metabolism in mammals
- Neurogasobiology of migraine: Carbon monoxide, hydrogen sulfide, and nitric oxide as emerging pathophysiological trinacrium relevant to nociception regulation
- Plant polyphenols, terpenes, and terpenoids in oral health
- Laboratory medicine between technological innovation, rights safeguarding, and patient safety: A bioethical perspective
- End-of-life in cancer patients: Medicolegal implications and ethical challenges in Europe
- The maternal factors during pregnancy for intrauterine growth retardation: An umbrella review
- Intra-abdominal hypertension/abdominal compartment syndrome of pediatric patients in critical care settings
- PI3K/Akt pathway and neuroinflammation in sepsis-associated encephalopathy
- Screening of Group B Streptococcus in pregnancy: A systematic review for the laboratory detection
- Giant borderline ovarian tumours – review of the literature
- Leveraging artificial intelligence for collaborative care planning: Innovations and impacts in shared decision-making – A systematic review
- Cholera epidemiology analysis through the experience of the 1973 Naples epidemic
- Risk factors of frailty/sarcopenia in community older adults: Meta-analysis
- Supplement strategies for infertility in overweight women: Evidence and legal insights
- Scurvy, a not obsolete disorder: Clinical report in eight young children and literature review
- A meta-analysis of the effects of DBS on cognitive function in patients with advanced PD
- Protective role of selenium in sepsis: Mechanisms and potential therapeutic strategies
- Strategies for hyperkalemia management in dialysis patients: A systematic review
- C-reactive protein-to-albumin ratio in peripheral artery disease
- Research progress on autophagy and its roles in sepsis induced organ injury
- Neuronutrition in autism spectrum disorders
- Pumilio 2 in neural development, function, and specific neurological disorders
- Antibiotic prescribing patterns in general dental practice- a scoping review
- Clinical and medico-legal reflections on non-invasive prenatal testing
- Smartphone use and back pain: a narrative review of postural pathologies
- Targeting endothelial oxidative stress in hypertension
- Exploring links between acne and metabolic syndrome: a narrative review
- Case Reports
- Delayed graft function after renal transplantation
- Semaglutide treatment for type 2 diabetes in a patient with chronic myeloid leukemia: A case report and review of the literature
- Diverse electrophysiological demyelinating features in a late-onset glycogen storage disease type IIIa case
- Giant right atrial hemangioma presenting with ascites: A case report
- Laser excision of a large granular cell tumor of the vocal cord with subglottic extension: A case report
- EsoFLIP-assisted dilation for dysphagia in systemic sclerosis: Highlighting the role of multimodal esophageal evaluation
- Molecular hydrogen-rhodiola as an adjuvant therapy for ischemic stroke in internal carotid artery occlusion: A case report
- Coronary artery anomalies: A case of the “malignant” left coronary artery and its surgical management
- Combined VAT and retroperitoneoscopy for pleural empyema due to nephro-pleuric fistula in xanthogranulomatous pyelonephritis
- A rare case of Opalski syndrome with a suspected multiple sclerosis etiology
- Newly diagnosed B-cell acute lymphoblastic leukemia demonstrating localized bone marrow infiltration exclusively in the lower extremities
- Rapid Communication
- Biological properties of valve materials using RGD and EC
-
A single oral administration of flavanols enhances short
-term memory in mice along with increased brain-derived neurotrophic factor - Repeat influenza incidence across two consecutive influenza seasons
- Letter to the Editor
- Role of enhanced external counterpulsation in long COVID
- Expression of Concern
- Expression of concern “A ceRNA network mediated by LINC00475 in papillary thyroid carcinoma”
- Expression of concern “Notoginsenoside R1 alleviates spinal cord injury through the miR-301a/KLF7 axis to activate Wnt/β-catenin pathway”
- Expression of concern “circ_0020123 promotes cell proliferation and migration in lung adenocarcinoma via PDZD8”
- Corrigendum
- Corrigendum to “Empagliflozin improves aortic injury in obese mice by regulating fatty acid metabolism”
- Corrigendum to “Comparing the therapeutic efficacy of endoscopic minimally invasive surgery and traditional surgery for early-stage breast cancer: A meta-analysis”
- Corrigendum to “The progress of autoimmune hepatitis research and future challenges”
- Retraction
- Retraction of “miR-654-5p promotes gastric cancer progression via the GPRIN1/NF-κB pathway”
- Retraction of: “LncRNA CASC15 inhibition relieves renal fibrosis in diabetic nephropathy through downregulating SP-A by sponging to miR-424”
- Retraction of: “SCARA5 inhibits oral squamous cell carcinoma via inactivating the STAT3 and PI3K/AKT signaling pathways”
- Special Issue Advancements in oncology: bridging clinical and experimental research - Part II
- Unveiling novel biomarkers for platinum chemoresistance in ovarian cancer
- Lathyrol affects the expression of AR and PSA and inhibits the malignant behavior of RCC cells
- The era of increasing cancer survivorship: Trends in fertility preservation, medico-legal implications, and ethical challenges
- Bone scintigraphy and positron emission tomography in the early diagnosis of MRONJ
- Meta-analysis of clinical efficacy and safety of immunotherapy combined with chemotherapy in non-small cell lung cancer
- Special Issue Computational Intelligence Methodologies Meets Recurrent Cancers - Part IV
- Exploration of mRNA-modifying METTL3 oncogene as momentous prognostic biomarker responsible for colorectal cancer development
- Special Issue The evolving saga of RNAs from bench to bedside - Part III
- Interaction and verification of ferroptosis-related RNAs Rela and Stat3 in promoting sepsis-associated acute kidney injury
- The mRNA MOXD1: Link to oxidative stress and prognostic significance in gastric cancer
- Special Issue Exploring the biological mechanism of human diseases based on MultiOmics Technology - Part II
- Dynamic changes in lactate-related genes in microglia and their role in immune cell interactions after ischemic stroke
- A prognostic model correlated with fatty acid metabolism in Ewing’s sarcoma based on bioinformatics analysis
- Red cell distribution width predicts early kidney injury: A NHANES cross-sectional study
- Special Issue Diabetes mellitus: pathophysiology, complications & treatment
- Nutritional risk assessment and nutritional support in children with congenital diabetes during surgery
- Correlation of the differential expressions of RANK, RANKL, and OPG with obesity in the elderly population in Xinjiang
- A discussion on the application of fluorescence micro-optical sectioning tomography in the research of cognitive dysfunction in diabetes
- A review of brain research on T2DM-related cognitive dysfunction
- Metformin and estrogen modulation in LABC with T2DM: A 36-month randomized trial
- Special Issue Innovative Biomarker Discovery and Precision Medicine in Cancer Diagnostics
- CircASH1L-mediated tumor progression in triple-negative breast cancer: PI3K/AKT pathway mechanisms
Articles in the same Issue
- Research Articles
- Network pharmacological analysis and in vitro testing of the rutin effects on triple-negative breast cancer
- Impact of diabetes on long-term survival in elderly liver cancer patients: A retrospective study
- Knockdown of CCNB1 alleviates high glucose-triggered trophoblast dysfunction during gestational diabetes via Wnt/β-catenin signaling pathway
- Risk factors for severe adverse drug reactions in hospitalized patients
- Analysis of the effect of ALA-PDT on macrophages in footpad model of mice infected with Fonsecaea monophora based on single-cell sequencing
- Development and validation of headspace gas chromatography with a flame ionization detector method for the determination of ethanol in the vitreous humor
- CMSP exerts anti-tumor effects on small cell lung cancer cells by inducing mitochondrial dysfunction and ferroptosis
- Predictive value of plasma sB7-H3 and YKL-40 in pediatric refractory Mycoplasma pneumoniae pneumonia
- Antiangiogenic potential of Elaeagnus umbellata extracts and molecular docking study by targeting VEGFR-2 pathway
- Comparison of the effectiveness of nurse-led preoperative counseling and postoperative follow-up care vs standard care for patients with gastric cancer
- Comparing the therapeutic efficacy of endoscopic minimally invasive surgery and traditional surgery for early-stage breast cancer: A meta-analysis
- Adhered macrophages as an additional marker of cardiomyocyte injury in biopsies of patients with dilated cardiomyopathy
- Association between statin administration and outcome in patients with sepsis: A retrospective study
- Exploration of the association between estimated glucose disposal rate and osteoarthritis in middle-aged and older adults: An analysis of NHANES data from 2011 to 2018
- A comparative analysis of the binary and multiclass classified chest X-ray images of pneumonia and COVID-19 with ML and DL models
- Lysophosphatidic acid 2 alleviates deep vein thrombosis via protective endothelial barrier function
- Transcription factor A, mitochondrial promotes lymph node metastasis and lymphangiogenesis in epithelial ovarian carcinoma
- Serum PM20D1 levels are associated with nutritional status and inflammatory factors in gastric cancer patients undergoing early enteral nutrition
- Hydromorphone reduced the incidence of emergence agitation after adenotonsillectomy in children with obstructive sleep apnea: A randomized, double-blind study
- Vitamin D replacement therapy may regulate sleep habits in patients with restless leg syndrome
- The first-line antihypertensive nitrendipine potentiated the therapeutic effect of oxaliplatin by downregulating CACNA1D in colorectal cancer
- Health literacy and health-related quality of life: The mediating role of irrational happiness
- Modulatory effects of Lycium barbarum polysaccharide on bone cell dynamics in osteoporosis
- Mechanism research on inhibition of gastric cancer in vitro by the extract of Pinellia ternata based on network pharmacology and cellular metabolomics
- Examination of the causal role of immune cells in non-alcoholic fatty liver disease by a bidirectional Mendelian randomization study
- Clinical analysis of ten cases of HIV infection combined with acute leukemia
- Investigating the cardioprotective potential of quercetin against tacrolimus-induced cardiotoxicity in Wistar rats: A mechanistic insights
- Clinical observation of probiotics combined with mesalazine and Yiyi Baitouweng Decoction retention enema in treating mild-to-moderate ulcerative colitis
- Diagnostic value of ratio of blood inflammation to coagulation markers in periprosthetic joint infection
- Sex-specific associations of sex hormone binding globulin and risk of bladder cancer
- Core muscle strength and stability-oriented breathing training reduces inter-recti distance in postpartum women
- The ERAS nursing care strategy for patients undergoing transsphenoidal endoscopic pituitary tumor resection: A randomized blinded controlled trial
- The serum IL-17A levels in patients with traumatic bowel rupture post-surgery and its predictive value for patient prognosis
- Impact of Kolb’s experiential learning theory-based nursing on caregiver burden and psychological state of caregivers of dementia patients
- Analysis of serum NLR combined with intraoperative margin condition to predict the prognosis of cervical HSIL patients undergoing LEEP surgery
- Commiphora gileadensis ameliorate infertility and erectile dysfunction in diabetic male mice
- The correlation between epithelial–mesenchymal transition classification and MMP2 expression of circulating tumor cells and prognosis of advanced or metastatic nasopharyngeal carcinoma
- Tetrahydropalmatine improves mitochondrial function in vascular smooth muscle cells of atherosclerosis in vitro by inhibiting Ras homolog gene family A/Rho-associated protein kinase-1 signaling pathway
- A cross-sectional study: Relationship between serum oxidative stress levels and arteriovenous fistula maturation in maintenance dialysis patients
- A comparative analysis of the impact of repeated administration of flavan 3-ol on brown, subcutaneous, and visceral adipose tissue
- Identifying early screening factors for depression in middle-aged and older adults: A cohort study
- Perform tumor-specific survival analysis for Merkel cell carcinoma patients undergoing surgical resection based on the SEER database by constructing a nomogram chart
- Unveiling the role of CXCL10 in pancreatic cancer progression: A novel prognostic indicator
- High-dose preoperative intraperitoneal erythropoietin and intravenous methylprednisolone in acute traumatic spinal cord injuries following decompression surgeries
- RAB39B: A novel biomarker for acute myeloid leukemia identified via multi-omics and functional validation
- Impact of peripheral conditioning on reperfusion injury following primary percutaneous coronary intervention in diabetic and non-diabetic STEMI patients
- Clinical efficacy of azacitidine in the treatment of middle- and high-risk myelodysplastic syndrome in middle-aged and elderly patients: A retrospective study
- The effect of ambulatory blood pressure load on mitral regurgitation in continuous ambulatory peritoneal dialysis patients
- Expression and clinical significance of ITGA3 in breast cancer
- Single-nucleus RNA sequencing reveals ARHGAP28 expression of podocytes as a biomarker in human diabetic nephropathy
- rSIG combined with NLR in the prognostic assessment of patients with multiple injuries
- Toxic metals and metalloids in collagen supplements of fish and jellyfish origin: Risk assessment for daily intake
- Exploring causal relationship between 41 inflammatory cytokines and marginal zone lymphoma: A bidirectional Mendelian randomization study
- Gender beliefs and legitimization of dating violence in adolescents
- Effect of serum IL-6, CRP, and MMP-9 levels on the efficacy of modified preperitoneal Kugel repair in patients with inguinal hernia
- Effect of smoking and smoking cessation on hematological parameters in polycythemic patients
- Pathogen surveillance and risk factors for pulmonary infection in patients with lung cancer: A retrospective single-center study
- Necroptosis of hippocampal neurons in paclitaxel chemotherapy-induced cognitive impairment mediates microglial activation via TLR4/MyD88 signaling pathway
- Celastrol suppresses neovascularization in rat aortic vascular endothelial cells stimulated by inflammatory tenocytes via modulating the NLRP3 pathway
- Cord-lamina angle and foraminal diameter as key predictors of C5 palsy after anterior cervical decompression and fusion surgery
- GATA1: A key biomarker for predicting the prognosis of patients with diffuse large B-cell lymphoma
- Influencing factors of false lumen thrombosis in type B aortic dissection: A single-center retrospective study
- MZB1 regulates the immune microenvironment and inhibits ovarian cancer cell migration
- Integrating experimental and network pharmacology to explore the pharmacological mechanisms of Dioscin against glioblastoma
- Trends in research on preterm birth in twin pregnancy based on bibliometrics
- Four-week IgE/baseline IgE ratio combined with tryptase predicts clinical outcome in omalizumab-treated children with moderate-to-severe asthma
- Single-cell transcriptomic analysis identifies a stress response Schwann cell subtype
- Acute pancreatitis risk in the diagnosis and management of inflammatory bowel disease: A critical focus
- Effect of subclinical esketamine on NLRP3 and cognitive dysfunction in elderly ischemic stroke patients
- Interleukin-37 mediates the anti-oral tumor activity in oral cancer through STAT3
- CA199 and CEA expression levels, and minimally invasive postoperative prognosis analysis in esophageal squamous carcinoma patients
- Efficacy of a novel drainage catheter in the treatment of CSF leak after posterior spine surgery: A retrospective cohort study
- Comprehensive biomedicine assessment of Apteranthes tuberculata extracts: Phytochemical analysis and multifaceted pharmacological evaluation in animal models
- Relation of time in range to severity of coronary artery disease in patients with type 2 diabetes: A cross-sectional study
- Dopamine attenuates ethanol-induced neuronal apoptosis by stimulating electrical activity in the developing rat retina
- Correlation between albumin levels during the third trimester and the risk of postpartum levator ani muscle rupture
- Factors associated with maternal attention and distraction during breastfeeding and childcare: A cross-sectional study in the west of Iran
- Mechanisms of hesperetin in treating metabolic dysfunction-associated steatosis liver disease via network pharmacology and in vitro experiments
- The law on oncological oblivion in the Italian and European context: How to best uphold the cancer patients’ rights to privacy and self-determination?
- The prognostic value of the neutrophil-to-lymphocyte ratio, platelet-to-lymphocyte ratio, and prognostic nutritional index for survival in patients with colorectal cancer
- Factors affecting the measurements of peripheral oxygen saturation values in healthy young adults
- Comparison and correlations between findings of hysteroscopy and vaginal color Doppler ultrasonography for detection of uterine abnormalities in patients with recurrent implantation failure
- The effects of different types of RAGT on balance function in stroke patients with low levels of independent walking in a convalescent rehabilitation hospital
- Causal relationship between asthma and ankylosing spondylitis: A bidirectional two-sample univariable and multivariable Mendelian randomization study
- Correlations of health literacy with individuals’ understanding and use of medications in Southern Taiwan
- Correlation of serum calprotectin with outcome of acute cerebral infarction
- Comparison of computed tomography and guided bronchoscopy in the diagnosis of pulmonary nodules: A systematic review and meta-analysis
- Curdione protects vascular endothelial cells and atherosclerosis via the regulation of DNMT1-mediated ERBB4 promoter methylation
- The identification of novel missense variant in ChAT gene in a patient with gestational diabetes denotes plausible genetic association
- Molecular genotyping of multi-system rare blood types in foreign blood donors based on DNA sequencing and its clinical significance
- Exploring the role of succinyl carnitine in the association between CD39⁺ CD4⁺ T cell and ulcerative colitis: A Mendelian randomization study
- Dexmedetomidine suppresses microglial activation in postoperative cognitive dysfunction via the mmu-miRNA-125/TRAF6 signaling axis
- Analysis of serum metabolomics in patients with different types of chronic heart failure
- Diagnostic value of hematological parameters in the early diagnosis of acute cholecystitis
- Pachymaran alleviates fat accumulation, hepatocyte degeneration, and injury in mice with nonalcoholic fatty liver disease
- Decrease in CD4 and CD8 lymphocytes are predictors of severe clinical picture and unfavorable outcome of the disease in patients with COVID-19
- METTL3 blocked the progression of diabetic retinopathy through m6A-modified SOX2
- The predictive significance of anti-RO-52 antibody in patients with interstitial pneumonia after treatment of malignant tumors
- Exploring cerebrospinal fluid metabolites, cognitive function, and brain atrophy: Insights from Mendelian randomization
- Development and validation of potential molecular subtypes and signatures of ocular sarcoidosis based on autophagy-related gene analysis
- Widespread venous thrombosis: Unveiling a complex case of Behçet’s disease with a literature perspective
- Uterine fibroid embolization: An analysis of clinical outcomes and impact on patients’ quality of life
- Discovery of lipid metabolism-related diagnostic biomarkers and construction of diagnostic model in steroid-induced osteonecrosis of femoral head
- Serum-derived exomiR-188-3p is a promising novel biomarker for early-stage ovarian cancer
- Enhancing chronic back pain management: A comparative study of ultrasound–MRI fusion guidance for paravertebral nerve block
- Peptide CCAT1-70aa promotes hepatocellular carcinoma proliferation and invasion via the MAPK/ERK pathway
- Electroacupuncture-induced reduction of myocardial ischemia–reperfusion injury via FTO-dependent m6A methylation modulation
- Hemorrhoids and cardiovascular disease: A bidirectional Mendelian randomization study
- Cell-free adipose extract inhibits hypertrophic scar formation through collagen remodeling and antiangiogenesis
- HALP score in Demodex blepharitis: A case–control study
- Assessment of SOX2 performance as a marker for circulating cancer stem-like cells (CCSCs) identification in advanced breast cancer patients using CytoTrack system
- Risk and prognosis for brain metastasis in primary metastatic cervical cancer patients: A population-based study
- Comparison of the two intestinal anastomosis methods in pediatric patients
- Factors influencing hematological toxicity and adverse effects of perioperative hyperthermic intraperitoneal vs intraperitoneal chemotherapy in gastrointestinal cancer
- Endotoxin tolerance inhibits NLRP3 inflammasome activation in macrophages of septic mice by restoring autophagic flux through TRIM26
- Lateral transperitoneal laparoscopic adrenalectomy: A single-centre experience of 21 procedures
- Petunidin attenuates lipopolysaccharide-induced retinal microglia inflammatory response in diabetic retinopathy by targeting OGT/NF-κB/LCN2 axis
- Procalcitonin and C-reactive protein as biomarkers for diagnosing and assessing the severity of acute cholecystitis
- Factors determining the number of sessions in successful extracorporeal shock wave lithotripsy patients
- Development of a nomogram for predicting cancer-specific survival in patients with renal pelvic cancer following surgery
- Inhibition of ATG7 promotes orthodontic tooth movement by regulating the RANKL/OPG ratio under compression force
- A machine learning-based prognostic model integrating mRNA stemness index, hypoxia, and glycolysis‑related biomarkers for colorectal cancer
- Glutathione attenuates sepsis-associated encephalopathy via dual modulation of NF-κB and PKA/CREB pathways
- FAHD1 prevents neuronal ferroptosis by modulating R-loop and the cGAS–STING pathway
- Association of placenta weight and morphology with term low birth weight: A case–control study
- Investigation of the pathogenic variants induced Sjogren’s syndrome in Turkish population
- Nucleotide metabolic abnormalities in post-COVID-19 condition and type 2 diabetes mellitus patients and their association with endocrine dysfunction
- TGF-β–Smad2/3 signaling in high-altitude pulmonary hypertension in rats: Role and mechanisms via macrophage M2 polarization
- Ultrasound-guided unilateral versus bilateral erector spinae plane block for postoperative analgesia of patients undergoing laparoscopic cholecystectomy
- Profiling gut microbiome dynamics in subacute thyroiditis: Implications for pathogenesis, diagnosis, and treatment
- Delta neutrophil index, CRP/albumin ratio, procalcitonin, immature granulocytes, and HALP score in acute appendicitis: Best performing biomarker?
- Anticancer activity mechanism of novelly synthesized and characterized benzofuran ring-linked 3-nitrophenyl chalcone derivative on colon cancer cells
- H2valdien3 arrests the cell cycle and induces apoptosis of gastric cancer
- Prognostic relevance of PRSS2 and its immune correlates in papillary thyroid carcinoma
- Association of SGLT2 inhibition with psychiatric disorders: A Mendelian randomization study
- Motivational interviewing for alcohol use reduction in Thai patients
- Luteolin alleviates oxygen-glucose deprivation/reoxygenation-induced neuron injury by regulating NLRP3/IL-1β signaling
- Polyphyllin II inhibits thyroid cancer cell growth by simultaneously inhibiting glycolysis and oxidative phosphorylation
- Relationship between the expression of copper death promoting factor SLC31A1 in papillary thyroid carcinoma and clinicopathological indicators and prognosis
- CSF2 polarized neutrophils and invaded renal cancer cells in vitro influence
- Proton pump inhibitors-induced thrombocytopenia: A systematic literature analysis of case reports
- The current status and influence factors of research ability among community nurses: A sequential qualitative–quantitative study
- OKAIN: A comprehensive oncology knowledge base for the interpretation of clinically actionable alterations
- The relationship between serum CA50, CA242, and SAA levels and clinical pathological characteristics and prognosis in patients with pancreatic cancer
- Identification and external validation of a prognostic signature based on hypoxia–glycolysis-related genes for kidney renal clear cell carcinoma
- Engineered RBC-derived nanovesicles functionalized with tumor-targeting ligands: A comparative study on breast cancer targeting efficiency and biocompatibility
- Relationship of resting echocardiography combined with serum micronutrients to the severity of low-gradient severe aortic stenosis
- Effect of vibration on pain during subcutaneous heparin injection: A randomized, single-blind, placebo-controlled trial
- The diagnostic performance of machine learning-based FFRCT for coronary artery disease: A meta-analysis
- Comparing biofeedback device vs diaphragmatic breathing for bloating relief: A randomized controlled trial
- Serum uric acid to albumin ratio and C-reactive protein as predictive biomarkers for chronic total occlusion and coronary collateral circulation quality
- Multiple organ scoring systems for predicting in-hospital mortality of sepsis patients in the intensive care unit
- Single-cell RNA sequencing data analysis of the inner ear in gentamicin-treated mice via intraperitoneal injection
- Suppression of cathepsin B attenuates myocardial injury via limiting cardiomyocyte apoptosis
- Influence of sevoflurane combined with propofol anesthesia on the anesthesia effect and adverse reactions in children with acute appendicitis
- Identification of hub genes related to acute kidney injury caused by sevoflurane anesthesia and endoplasmic reticulum stress
- Efficacy and safety of PD-1/PD-L1 inhibitors in pancreatic ductal adenocarcinoma: a systematic review and Meta-analysis of randomized controlled trials
- The value of diagnostic experience in O-RADS MRI score for ovarian-adnexal lesions
- Health education pathway for individuals with temporary enterostomies using patient journey mapping
- Serum TLR8 as a potential diagnostic biomarker of coronary heart disease
- Intraoperative temperature management and its effect on surgical outcomes in elderly patients undergoing lichtenstein unilateral inguinal hernia repair
- Immunohistochemical profiling and neuroepithelial heterogeneity in immature ovarian teratomas: a retrospective digital pathology-based study
- Associated risk factors and prevalence of human papillomavirus infection among females visiting tertiary care hospital: a cross-sectional study from Nepal
- Comparative evaluation of various disc elution methods for the detection of colistin-resistant gram-negative bacteria
- Effect of timing of cholecystectomy on weight loss after sleeve gastrectomy in morbidly obese individuals with cholelithiasis: a retrospective cohort study
- Causal association between ceramide levels and central precocious puberty: a mendelian randomization study
- Novel predictive model for colorectal liver metastases recurrence: a radiomics and clinical data approach
- Relationship between resident physicians’ perceived professional value and exposure to violence
- Multiple sclerosis and type 1 diabetes: a Mendelian randomization study of European ancestry
- Rapid pathogen identification in peritoneal dialysis effluent by MALDI-TOF MS following blood culture enrichment
- Comparison of open and percutaneous A1 pulley release in pediatric trigger thumb: a retrospective cohort study
- Impact of combined diaphragm-lung ultrasound assessment on postoperative respiratory function in patients under general anesthesia recovery
- Development and internal validation of a nomogram for predicting short-term prognosis in ICU patients with acute pyelonephritis
- The association between hypoxic burden and blood pressure in patients with obstructive sleep apnea
- Promotion of asthenozoospermia by C9orf72 through suppression of spermatogonia activity via fructose metabolism and mitophagy
- Review Articles
- The effects of enhanced external counter-pulsation on post-acute sequelae of COVID-19: A narrative review
- Diabetes-related cognitive impairment: Mechanisms, symptoms, and treatments
- Microscopic changes and gross morphology of placenta in women affected by gestational diabetes mellitus in dietary treatment: A systematic review
- Review of mechanisms and frontier applications in IL-17A-induced hypertension
- Research progress on the correlation between islet amyloid peptides and type 2 diabetes mellitus
- The safety and efficacy of BCG combined with mitomycin C compared with BCG monotherapy in patients with non-muscle-invasive bladder cancer: A systematic review and meta-analysis
- The application of augmented reality in robotic general surgery: A mini-review
- The effect of Greek mountain tea extract and wheat germ extract on peripheral blood flow and eicosanoid metabolism in mammals
- Neurogasobiology of migraine: Carbon monoxide, hydrogen sulfide, and nitric oxide as emerging pathophysiological trinacrium relevant to nociception regulation
- Plant polyphenols, terpenes, and terpenoids in oral health
- Laboratory medicine between technological innovation, rights safeguarding, and patient safety: A bioethical perspective
- End-of-life in cancer patients: Medicolegal implications and ethical challenges in Europe
- The maternal factors during pregnancy for intrauterine growth retardation: An umbrella review
- Intra-abdominal hypertension/abdominal compartment syndrome of pediatric patients in critical care settings
- PI3K/Akt pathway and neuroinflammation in sepsis-associated encephalopathy
- Screening of Group B Streptococcus in pregnancy: A systematic review for the laboratory detection
- Giant borderline ovarian tumours – review of the literature
- Leveraging artificial intelligence for collaborative care planning: Innovations and impacts in shared decision-making – A systematic review
- Cholera epidemiology analysis through the experience of the 1973 Naples epidemic
- Risk factors of frailty/sarcopenia in community older adults: Meta-analysis
- Supplement strategies for infertility in overweight women: Evidence and legal insights
- Scurvy, a not obsolete disorder: Clinical report in eight young children and literature review
- A meta-analysis of the effects of DBS on cognitive function in patients with advanced PD
- Protective role of selenium in sepsis: Mechanisms and potential therapeutic strategies
- Strategies for hyperkalemia management in dialysis patients: A systematic review
- C-reactive protein-to-albumin ratio in peripheral artery disease
- Research progress on autophagy and its roles in sepsis induced organ injury
- Neuronutrition in autism spectrum disorders
- Pumilio 2 in neural development, function, and specific neurological disorders
- Antibiotic prescribing patterns in general dental practice- a scoping review
- Clinical and medico-legal reflections on non-invasive prenatal testing
- Smartphone use and back pain: a narrative review of postural pathologies
- Targeting endothelial oxidative stress in hypertension
- Exploring links between acne and metabolic syndrome: a narrative review
- Case Reports
- Delayed graft function after renal transplantation
- Semaglutide treatment for type 2 diabetes in a patient with chronic myeloid leukemia: A case report and review of the literature
- Diverse electrophysiological demyelinating features in a late-onset glycogen storage disease type IIIa case
- Giant right atrial hemangioma presenting with ascites: A case report
- Laser excision of a large granular cell tumor of the vocal cord with subglottic extension: A case report
- EsoFLIP-assisted dilation for dysphagia in systemic sclerosis: Highlighting the role of multimodal esophageal evaluation
- Molecular hydrogen-rhodiola as an adjuvant therapy for ischemic stroke in internal carotid artery occlusion: A case report
- Coronary artery anomalies: A case of the “malignant” left coronary artery and its surgical management
- Combined VAT and retroperitoneoscopy for pleural empyema due to nephro-pleuric fistula in xanthogranulomatous pyelonephritis
- A rare case of Opalski syndrome with a suspected multiple sclerosis etiology
- Newly diagnosed B-cell acute lymphoblastic leukemia demonstrating localized bone marrow infiltration exclusively in the lower extremities
- Rapid Communication
- Biological properties of valve materials using RGD and EC
-
A single oral administration of flavanols enhances short
-term memory in mice along with increased brain-derived neurotrophic factor - Repeat influenza incidence across two consecutive influenza seasons
- Letter to the Editor
- Role of enhanced external counterpulsation in long COVID
- Expression of Concern
- Expression of concern “A ceRNA network mediated by LINC00475 in papillary thyroid carcinoma”
- Expression of concern “Notoginsenoside R1 alleviates spinal cord injury through the miR-301a/KLF7 axis to activate Wnt/β-catenin pathway”
- Expression of concern “circ_0020123 promotes cell proliferation and migration in lung adenocarcinoma via PDZD8”
- Corrigendum
- Corrigendum to “Empagliflozin improves aortic injury in obese mice by regulating fatty acid metabolism”
- Corrigendum to “Comparing the therapeutic efficacy of endoscopic minimally invasive surgery and traditional surgery for early-stage breast cancer: A meta-analysis”
- Corrigendum to “The progress of autoimmune hepatitis research and future challenges”
- Retraction
- Retraction of “miR-654-5p promotes gastric cancer progression via the GPRIN1/NF-κB pathway”
- Retraction of: “LncRNA CASC15 inhibition relieves renal fibrosis in diabetic nephropathy through downregulating SP-A by sponging to miR-424”
- Retraction of: “SCARA5 inhibits oral squamous cell carcinoma via inactivating the STAT3 and PI3K/AKT signaling pathways”
- Special Issue Advancements in oncology: bridging clinical and experimental research - Part II
- Unveiling novel biomarkers for platinum chemoresistance in ovarian cancer
- Lathyrol affects the expression of AR and PSA and inhibits the malignant behavior of RCC cells
- The era of increasing cancer survivorship: Trends in fertility preservation, medico-legal implications, and ethical challenges
- Bone scintigraphy and positron emission tomography in the early diagnosis of MRONJ
- Meta-analysis of clinical efficacy and safety of immunotherapy combined with chemotherapy in non-small cell lung cancer
- Special Issue Computational Intelligence Methodologies Meets Recurrent Cancers - Part IV
- Exploration of mRNA-modifying METTL3 oncogene as momentous prognostic biomarker responsible for colorectal cancer development
- Special Issue The evolving saga of RNAs from bench to bedside - Part III
- Interaction and verification of ferroptosis-related RNAs Rela and Stat3 in promoting sepsis-associated acute kidney injury
- The mRNA MOXD1: Link to oxidative stress and prognostic significance in gastric cancer
- Special Issue Exploring the biological mechanism of human diseases based on MultiOmics Technology - Part II
- Dynamic changes in lactate-related genes in microglia and their role in immune cell interactions after ischemic stroke
- A prognostic model correlated with fatty acid metabolism in Ewing’s sarcoma based on bioinformatics analysis
- Red cell distribution width predicts early kidney injury: A NHANES cross-sectional study
- Special Issue Diabetes mellitus: pathophysiology, complications & treatment
- Nutritional risk assessment and nutritional support in children with congenital diabetes during surgery
- Correlation of the differential expressions of RANK, RANKL, and OPG with obesity in the elderly population in Xinjiang
- A discussion on the application of fluorescence micro-optical sectioning tomography in the research of cognitive dysfunction in diabetes
- A review of brain research on T2DM-related cognitive dysfunction
- Metformin and estrogen modulation in LABC with T2DM: A 36-month randomized trial
- Special Issue Innovative Biomarker Discovery and Precision Medicine in Cancer Diagnostics
- CircASH1L-mediated tumor progression in triple-negative breast cancer: PI3K/AKT pathway mechanisms