Abstract
Remifentanil-induced hyperalgesia (RIH) is a common clinical phenomenon that limits the use of opioids in pain management. Esketamine, a non-competitive N-methyl-d-aspartate (NMDA) receptor antagonist, has been shown to prevent and treat RIH. However, the underlying effect mechanism of esketamine on RIH remains unclear. This study aimed to investigate the role and mechanism of esketamine in preventing and treating RIH based on the NMDA receptor–CaMKIIα pathway. In this study, an experimental animal model was used to determine the therapeutic effect of esketamine on pain elimination. Moreover, the mRNA transcription and protein expression levels of CaMKII and GluN2B were investigated to offer evidence of the protective capability of esketamine in ameliorating RIH. The results demonstrated that esketamine attenuated RIH by inhibiting CaMKII phosphorylation and downstream signaling pathways mediated by the NMDA receptor. Furthermore, ketamine reversed the upregulation of spinal CaMKII induced by remifentanil. These findings suggest that the NMDA receptor–CaMKII pathway plays a critical role in the development of RIH, and ketamine’s effect on this pathway may provide a new therapeutic approach for the prevention and treatment of RIH.
Graphical abstract

1 Introduction
Remifentanil is a potent, short-acting synthetic opioid that has gained widespread use in clinical settings as an analgesic agent. It was first approved by the US Food and Drug Administration in 1996 and has since become a popular choice for use during anesthesia and in acute pain management [1,2]. Remifentanil works by binding to μ-opioid receptors in the central nervous system, resulting in potent analgesic effects [3]. It has a rapid onset of action and a short duration of effect, which makes it particularly useful in situations where precise control of the depth and duration of anesthesia is required [4]. Unlike other opioids, remifentanil is rapidly metabolized by plasma and tissue esterase, resulting in a rapid offset of its effects [5]. This unique property makes it particularly useful in situations where a rapid recovery from anesthesia is desired, such as in outpatient surgical procedures. Although remifentanil has several advantages in clinical settings, the use of remifentanil is not without potential drawbacks. Like other opioids, remifentanil has a high potential for addiction, and its use can lead to physical dependence and withdrawal symptoms if not used appropriately [6]. Therefore, it is essential to use remifentanil only under supervision and in the appropriate clinical context.
Esketamine is a novel medication that has recently gained attention as a potential treatment for major depressive disorder and treatment-resistant depression (TRD) [7,8,9]. It is a derivative of ketamine, a dissociative anesthetic that has been used clinically for several decades. Esketamine is a non-competitive N-methyl-d-aspartate (NMDA) receptor antagonist that works by rapidly increasing glutamate transmission in the brain [10,11]. This increased glutamate signaling has been linked to the rapid and sustained antidepressant effects of esketamine [12]. Esketamine has been shown to have rapid and robust antidepressant effects, with some patients reporting improvement within hours of treatment. However, its use is not without controversy, as it has potential side effects, including dissociation, dizziness, and nausea [10,13]. Despite the potential risks, esketamine represents a promising new treatment option for patients with TRD who have not responded to traditional antidepressant therapies [14].
Remifentanil and esketamine are two powerful drugs used in anesthesia and pain management [15]. While they have different mechanisms of action, when used together, they can offer several advantages, such as reduced opioid requirements and improved patient satisfaction [16]. Remifentanil is an opioid that provides potent analgesia, but it can also cause respiratory depression and other side effects. When used in combination with esketamine, the amount of remifentanil required to achieve the desired level of analgesia can be reduced, thereby reducing the risk of opioid-related side effects [17]. Furthermore, synergistic effects would be able to be counted from the combination of remifentanil and esketamine. As a potent NMDA receptor antagonist, esketamine can enhance the analgesic effects of opioids, leading to greater pain relief than either drug alone.
While the combination of remifentanil and esketamine can offer several advantages in terms of anesthesia and pain management, there are still some unknown factors that need to be considered. In this study, the effect of the combined treatment of remifentanil and esketamine on experimental animals on the scale of reducing pain and improving pain tolerance was investigated to offer ideas for figuring out the question mentioned above.
2 Materials and methods
2.1 Materials
Remifentanil was purchased from the Yichang Renfu Pharmaceutical Industry. Esketamine was bought from Jiangsu Hengrui Medicine. N-Methyl-d-aspartic acid (NMDA) was purchased from Selleckchem. Polyvinylidene fluoride (PVDF) membrane was bought from Millipore. Antibodies used in this study were purchased from Abcam (CaMKII and p-CaMKII) and Cell Signaling Technology (GluN2B and GAPDH). All other chemicals were purchased from Sigma-Aldrich.
2.2 Experimental animal
Male ICR mice aged 10–12 weeks and weighing 30–35 g were bought from the Hubei Provincial Laboratory Animal Public Service Center. Mice were kept in separate cages with an appropriate density before the formal experiment to adapt to the environment. The environment of the animal facility was controlled as 12 h of light and 12 h of darkness with a room temperature of 20–23°C. Mice were free to access food and water except 12 h before the operation.
A total of 60 mice were randomly separated to 6 groups (n = 10), which were labeled as the control group, sham control group (called “P” in the figure legend), NMDA agonist group (called “NMDA” in the figure legend), remifentanil group (called “R” in the figure legend), remifentanil combined with esketamine group (called “RE” in the figure legend), and remifentanil combined with esketamine and intrathecal NMDA agonist group (called “REN” in the figure legend). Mice were subjected to a procedure in which incision was made in the left hind foot with inhalation of 1–2% sevoflurane for anaesthetization except for controls. For the sham control group, there was no further treatment before tests; for the NMDA agonist group, 5 μL of N-methyl-d-aspartic acid (5 nM) was intrathecally injected half an hour before surgery; for modeling of the remifentanil group, continuous subcutaneous pumping of remifentanil (80 μg/kg) was applied to mice; for the remifentanil combined with esketamine group, continuous subcutaneous pumping of remifentanil (80 μg/kg) and ketamine (administered intravenously by drip, 1 mg/kg) was used. For the remifentanil combined with esketamine and intrathecal NMDA agonist group, remifentanil (80 μg/kg) and ketamine (1 mg/kg) were used half an hour after intrathecal injection of N-methyl-d-aspartic acid (5 nM). This study was approved by Wuhan No.1 Hospital’s Institutional Animal Care and Use Committee (permit number: IACUC-202120155) in compliance with institutional guidelines for the care and use of animals.
-
Ethical approval: The research related to animal use has been complied with all the relevant national regulations and institutional policies for the care and use of animals and has been approved was approved by Wuhan No. 1 Hospital s Institutional Animal Care and Use Committee (permit number: IACUC-202120155).
2.3 Hot plate test
First, the plate was preheated, and the thermostatic water bath was adjusted to 55 ± 0.5°C, then the mice were put into the beaker, and the timing was started from the time the mice landed on the hind limbs and left the ground, as well as the phenomenon of licking the hind feet on the surgical side. A timer was used to start the timing until the mice licked their hind feet. In order not to burn the mice, each test did not exceed 30 s. The result would be recorded as 30 s if the mice did not lick their hind feet for more than 30 s. Each mouse was measured twice in a row, and each test was separated by 5 min, and the average result of the two tests was taken as the thermal pain threshold of the mouse.
2.4 Paw withdrawal test
Mice were placed in a resin cylinder with a diameter of 9 cm and a height of 15 cm with a wire mesh at the bottom, in which the mice could move freely. The mice were stimulated on the sole of the foot with von Frey filaments (folding force ranging from 0.008 to 2 g). The stimulation interval was at least 1 min. The mechanical pain threshold was tested by a modified up-down method. Stimulation was initiated by a fibrous wire with a folding force of 0.4 g. Regardless of whether the mice stimulated by the fiber filament of the folded force had a positive response, each strength was repeatedly stimulated five times, and when the stimulation at the folded force showed at least three positive responses, the strength was recorded as the upper limit strength, and the positive response rate of the strength (number of positive responses/5 × 100%) was the upper limit strength positive rate, and if the positive response was <3 times, the strength was adjusted upward by one level for determination; when the strength inducing a negative response positive reaction <3 times after five times of repeated testing, the strength was recorded as the lower limit strength, and the positive reaction rate of this strength was the lower limit strength positive rate; similarly, if the strength induced positive reaction ≥3 times, the strength was adjusted downward by one level for determination.
2.5 Real-time quantitative PCR
Primary mouse sensory cortical (S1) tissue (10 mg) was isolated by surgical instrumentation, and 300 μL of Trizol was added to lyse the tissue on ice for 5 min. Subsequently, the tissue was carefully homogenized using an electric tissue grinder. After homogenization of the tissue, Trizol was added to make up a total volume of 1 mL, followed by the addition of 200 μL of trichloromethane to vortex the tube vigorously to mix the liquid completely. Centrifuge the mixture at 12,000 rpm for 15 min to separate the liquid phases. Carefully aspirate the clarified solution into a clean centrifuge tube, add 500 μL of isopropanol, and mix the liquid by inverting up and down. After careful removal of the supernatant, add 1 mL of precooled 75% ethanol solution and wash the RNA by inverting up and down. Centrifuge at 7,500 rpm for 5 min at room temperature to precipitate the RNA, and open the lid of the tube to dry the RNA after complete removal of the supernatant. The protocol was performed as previously described [18].
The collected RNA was reverse transcribed to cDNA, and gene expression was detected using a qPCR instrument. qPCR reaction conditions were set to 10 min at 95°C for the DNA deconvolution phase, 15 s at 95°C and 30 s at 60°C for the PCR phase, 40 cycles, and 15 s at 95°C followed by 1 min at 60°C for the melting curve phase and 15 s at 95°C for the final reaction. Three replicates were set for each experimental group, and the Ct values collected from each well were analyzed to show the relative expression of each gene (CaMKII, Grin2b) using the housekeeping gene GAPDH as the reference. The primers were designed by authors through the websites (https://www.ncbi.nlm.nih.gov/ and https://pga.mgh.harvard.edu/primerbank/) and synthesized by Sangon Biotech (Shanghai, China). The primer sequences were as follows: CaMKII forward primer TGCCTGGTGTTGCTAACCC reverse primer CCATTAACTGAACGCTGGAACT; Grin2b forward primer GCCATGAACGAGACTGACCC reverse primer GCTTCCTGGTCCGTGTCATC; GAPDH forward primer AGGTCGGTGTGAACGGATTTG reverse primer TGTAGACCATGTAGTTGAGGTCA.
2.6 Western blotting
S1 tissues from various groups were collected after treatments, and then they were homogenized with RIPA lysis buffer by tissue grinder. Lysates were transferred to clean tubes for centrifugation with 14,000 rpm at 4°C for 10 min, and the supernatant was collected. Afterward, the BCA kit (Beyotime, China) was used to calculate the protein concentration of samples to normalize the amount of protein. The 40 μg protein was added to the lanes and was subjected to SDS–PAGE and then transferred to PVDF membrane by using a semi-dry transfer system (Bio-Rad, USA). About 5% skim milk was used to block the membrane for 1 h at room temperature. PVDF membrane was soaked at diluted primary antibody overnight at 4 °C, and secondary antibody was used to incubate with membrane for 1 h at room temperature after an appropriate membrane-washing procedure. The visualization of corresponding proteins was achieved by using an ECL chemiluminescence detection system, and values of fluorescence were analyzed by ImageJ software. The protocol was performed as previously described [19].
2.7 Statistics
Reported data from this article were collected from three independent samples, except a certain number of samples were mentioned, and data were expressed as mean ± standard deviations (SD). Differences were identified using a Student’s t-test performed by GraphPad Prism 7 (GraphPad Software, USA) and were considered significant when p < 0.05.
3 Results
3.1 Remifentanil combined with esketamine reduces pain sensation in experimental animals
In the 0.5-h experiment, the control group exhibited a hind paw withdrawal latency of 5.9 ± 2.9 s, while the group treated with NMDA agonist showed a hind paw withdrawal time of 8.9 ± 1.8 s (Figure 1a). Remifentanil, despite its shorter half-life, exhibited pain inhibition in mice 0.5 h after administration, with a hind paw withdrawal time of 10.8 ± 3.4 s. The combination group of remifentanil and esketamine showed a shorter pain perception time compared to the remifentanil group, with a time of 9.2 ± 1.3 s. However, when NMDA agonist was applied to the combination group of remifentanil and esketamine, the mice’s pain tolerance time was further shortened to 7.8 ± 1.9 s, demonstrating the synergistic effect of the two drugs. In the study of drug cessation for 2 h, the control group showed no significant difference with a hind paw withdrawal time of 5.5 ± 1.0 s, whereas the NMDA agonist group had a withdrawal time of 6.2 ± 1.9 s (Figure 1b). As the drug was metabolized and eliminated, the remifentanil group showed a hind paw withdrawal time of 7.4 ± 1.8 s, whereas the combination group of remifentanil and esketamine had a time of 8.4 ± 1.4 s, with no significant difference compared to the analgesic effect 0.5 h after drug cessation. In the 5-h cessation experiment, all experimental groups of mice exhibited pain intolerance: control group, 3.2 ± 0.9 s; NMDA agonist group, 3.4 ± 1.0 s; remifentanil group, 4.5 ± 0.7 s; combination group of remifentanil and esketamine, 3.7 ± 1.1 s; and REN group, 3.2 ± 0.9 s (Figure 1c). This indicates that the anesthesia effect gradually weakened and disappeared as drug cessation time increased. After 24 h of cessation, the control group had a latency of 10.1 ± 1.1 s, whereas the NMDA agonist group had a latency of 4.5 ± 1.3 s (Figure 1d). This result may be related to the sustained NMDA activation and pain sensation resulting from the administration method. The remifentanil group and the drug combination group had similar performances, with hind paw withdrawal times of 8.0 ± 1.7 s and 8.1 ± 2.0 s, respectively, whereas the REN group had a time of 9.5 ± 0.3 s.

Hindfoot staying time of experimental animal with various treatments after drug administration. (a) 0.5 h after drug administration. (b) 2 h after drug administration. (c) 5 h after drug administration. (d) 24 h after drug administration. Data are expressed as means ± SD (n = 6).
3.2 Remifentanil combined with esketamine improves the tolerance of experimental animals to mechanical pain
In the experiment conducted 0.5 h after drug cessation, the pain threshold of the control group was 49.2 ± 7.5, while that of the NMDA agonist-treated group of mice was 55.9 ± 11.7. Remifentanil did not show inhibition of mechanical pain after 0.5 h of drug cessation, and its pain threshold was 55.2 ± 15.4. In the group treated with a combination of remifentanil and esketamine, there was no significant difference in pain threshold compared to the remifentanil group, which was 49.3 ± 10.0. The application of NMDA agonist in the group treated with a combination of remifentanil and esketamine did not alter the sensitivity to mechanical pain, with a pain threshold of 55.0 ± 17.6 (Figure 2a). In the study conducted 2 h after drug cessation, the pain threshold of each group was elevated compared to that of the 0.5-h drug cessation group. The control group had a threshold of 70.0 ± 9.3, the NMDA agonist group was 60.2 ± 13.2, the remifentanil group was 60.7 ± 6.3, the combination group of remifentanil and es-ketamine was 72.6 ± 8.4, and the combination group of NMDA agonist, remifentanil, and esketamine was 72.2 ± 7.3 (Figure 2b). Interestingly, in the experiment conducted 5 h after drug cessation, the control group maintained a higher pain threshold of 62.1 ± 10.7. The NMDA agonist group and the remifentanil group both exhibited intolerance to mechanical pain, with values of 45.0 ± 6.2 and 41.6 ± 7.5, respectively (Figure 2c). Compared to remifentanil alone, the combination of remifentanil and esketamine better maintained a high pain threshold, demonstrating that the synergistic effect of remifentanil and esketamine was better than the analgesic effect of each drug alone. In the experiment conducted 24 h after drug cessation, the pain threshold of the control group was 55.0 ± 43.7, which may be due to individual differences in pain sensitivity (Figure 2d). The NMDA agonist group had a threshold of 36.8 ± 15.0, the remifentanil group had a threshold of 64.1 ± 17.1, and the combination group of remifentanil and esketamine had a threshold of 58.2 ± 9.7. Interestingly, the pain threshold of the group treated with a combination of NMDA agonist, remifentanil, and esketamine was higher, at 98.8 ± 45.8, which may be related to individual differences in the experimental animals.

Threshold values of experimental animals with various treatments after drug administration. (a) 0.5 h after drug administration. (b) 2 h after drug administration. (c) 5 h after drug administration. (d) 24 h after drug administration. Data are expressed as mean ± SD (n = 6).
3.3 Effects of remifentanil combined with esketamine on the expression of CaMKII and Grin2b in sensory cortical area
The qPCR was employed to investigate the effects of remifentanil combined with esketamine on the expression of CaMKII and Grin2b in the sensory cortical area at various timepoints (Figure 3). After 0.5 h of drug cessation, mRNA transcription of CaMKII and Grin2b in the sensory cortex showed significant upregulation in all treatment groups compared to the control group. After 2 h of drug cessation, the expression level of CaMKII in the NMDA agonist treatment group remained high, but the remifentanil group and the remifentanil combined with esketamine group showed downregulation compared to the NMDA agonist treatment group despite being higher than the control group. The expression pattern of Grin2b was different from CaMKII, showing relatively high expression in the P group, NMDA agonist treatment group, and remifentanil group, while the remifentanil combined with esketamine group showed downregulation of Grin2b expression compared to the remifentanil treatment group. After 5 h of drug cessation, the relative expression levels of CaMKII and Grin2b in the P group were the highest among all groups, while the CaMKII expression level in the remifentanil combined with esketamine group was the lowest except for the control group, but with a higher level of Grin2b expression. After 24 h of drug cessation, the CaMKII expression pattern in each group was similar to that at 5 h of withdrawal, while the expression of Grin2b in each group was no longer significantly different from that in the control group.

Effects of remifentanil combined with esketamine on the expression of CaMKII and Grin2b in sensory cortical area. (a) The expression of CaMKII in different groups from 0.5 h to 24 h. (b) The expression of Grin2b in different groups from 0.5h to 24 h.
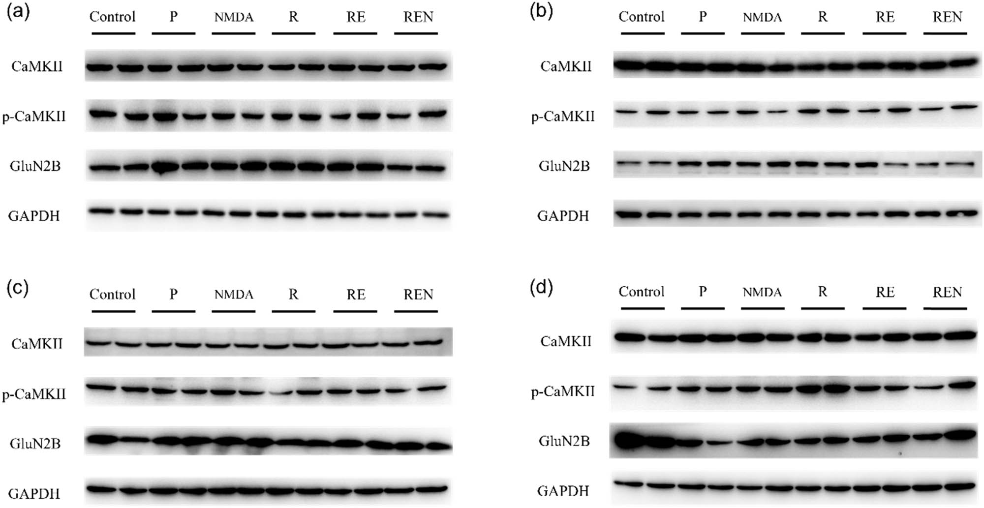
3.4 Effects of remifentanil combined with esketamine on the protein regulation of CaMKII and GluN2B in sensory cortical area
The immunoblot was used to determine the protein expression in the sensory cortical area (Figure 4). After 0.5 h of drug cessation, there was no significant increase in the expression of phosphorylated CaMKII in all treatment groups, which may be related to residual anesthesia effects. However, the expression of the NMDA receptor subunit GluN2B was lower in the control group but was upregulated in the sham surgery group, NMDA treatment group, remifentanil group, and remifentanil combined esketamine group. The expression of GluN2B in the remifentanil plus esketamine group treated with NMDA was similar to that in the control group. After 2 h of drug cessation, an upregulation in phosphorylated CaMKII expression was observed only in the remifentanil group. Compared to the result from 0.5-h drug cessation, the expression pattern of GluN2B was different, with lower expression in the control group, remifentanil plus esketamine group treated with NMDA, and remifentanil group, and increased expression in other treatment groups relative to the control group. In the experiment after 5 h of drug cessation, the expression of phosphorylated CaMKII was downregulated in the remifentanil group, remifentanil plus esketamine group treated with NMDA, and remifentanil group, compared to the control group. However, for the expression of GluN2B, all treatment groups except the remifentanil group showed an upregulation compared to the control group. After 24 h of drug cessation, there was a significant upregulation in the expression of phosphorylated CaMKII in the remifentanil group, possibly due to remifentanil-induced hyperalgesia (RIH). The expression of GluN2B in all treatment groups was downregulated compared to the control group.

Effects of remifentanil combined with esketamine on the protein regulation of CaMKII and GluN2B in various timepoints post medication. (a) 0.5 h after drug administration. (b) 2 h after drug administration. (c) 5 h after drug administration. (d) 24 h after drug administration. (n = 2).
4 Discussion
In this study, we demonstrated that esketamine attenuates RIH based on the NMDA receptor CaMKII pathway.
Remifentanil and esketamine are two medications commonly used in anesthesia and pain management [20,21]. Remifentanil is a potent opioid analgesic, while esketamine, a derivative of ketamine, is a dissociative anesthetic that acts on the N-methyl-d-aspartate (NMDA) receptor [22].
There is evidence to suggest that the combination of remifentanil and esketamine may have a synergistic effect in reducing pain and improving anesthesia [23]. CaMKII is a multifunctional enzyme that plays an important role in synaptic plasticity and learning and memory [24]. It is activated by calcium influx into cells and is involved in a variety of cellular processes, including gene expression, ion channel regulation, and neurotransmitter release [25]. Recent studies have suggested that CaMKII may also play a role in pain modulation and the effects of opioids and NMDA receptor antagonists.
Previous studies investigated the effects of combined remifentanil and esketamine on CaMKII activation in a rat model of neuropathic pain [26,27]. The results showed that the combination treatment led to a significant decrease in CaMKII activation in the spinal cord dorsal horn, which is a key region involved in pain processing [28,29]. This suggests that the combination treatment may have a potential therapeutic effect in treating neuropathic pain by modulating CaMKII activity. Another study investigated the effects of combined remifentanil and esketamine on CaMKII activation in the hippocampus, a brain region involved in learning and memory [30]. The results showed that the combination treatment led to a significant increase in CaMKII activation in the hippocampus, which suggests that the combination treatment may have a potential therapeutic effect in improving cognitive function. While these studies suggest that the combination of remifentanil and esketamine may have potential therapeutic effects on CaMKII activity, more research is needed to fully understand the mechanisms involved and to determine the clinical implications of these findings [2,31]. Additionally, further studies are needed to investigate the potential side effects of this combination treatment, as both remifentanil and esketamine can have adverse effects on the cardiovascular and respiratory systems.
Nerve cell damage is closely related to brain function. It has been reported that ketamine administration can induce neuroapoptosis in primary cultured cortical neurons [32,33]. For esketamine, it increases cell viability in LPS-induced primary cultured astrocytes and ameliorates the pyroptosis of astrocytes induced by LPS exposure by inhibiting the expression levels of cl-caspase-1 and IL-18 [34]. Esketamine can also alleviate apoptosis through the restoration of mitochondrial function in cortical neuronal cells induced by H2O2 [35]. For remifentanil, it reduces glutamate toxicity and increases cell viability in cultured neurons from the rat olfactory bulb [36]. Moreover, remifentanil substantially decreases neuronal apoptosis levels and increases the B-cell lymphoma 2 (Bcl-2)/Bcl-2-associated X protein (Bax) ratio in cerebral ischemia-reperfusion injury rats [37].
However, there are also some limitations in this study. First, we have not performed an in vitro experiment to explore the effect of esketamine on RIH. Second, we have not explored the effects of remifentanil, esketamine, and ketamine on apoptosis and necrosis of nerve cells. In future, we would like to further explore the effect of esketamine on the NMDA receptor–CaMKIIα pathway in RIH mice by gene overexpression and siRNA technology. Moreover, lactate dehydrogenase assay is also needed to explore the apoptotic processes and the possibility of toxicity of those drugs.
5 Conclusion
In conclusion, while there is evidence to suggest that the combination of remifentanil and esketamine may have potential therapeutic effects on CaMKII activity, further research is needed to fully understand the mechanisms involved and to determine the clinical implications of these findings. Additionally, the potential side effects of this combination treatment should be carefully considered before it is used in clinical practice.
-
Funding information: This study was supported by the General project of Wuhan Municipal Health Commission (WX21C20).
-
Author contributions: J.W. and Y.F.: manuscript writing, investigation, methodology, and validation; Z.Q. and J.L.: data collection and data curation and analysis; Z.C. and J.Z.: data curation and analysis and draft editing; J.Z. and D.Z.: study conceptualization, supervision, reviewing, manuscript writing, revising, and editing.
-
Conflict of interest: Authors state no conflict of interest.
-
Data availability statement: The datasets generated during and/or analyzed during the current study are available from the corresponding author on reasonable request.
References
[1] Grape S, Kirkham KR, Frauenknecht J, Albrecht E. Intra-operative analgesia with remifentanil vs. dexmedetomidine: a systematic review and meta-analysis with trial sequential analysis. Anaesthesia. 2019;74(6):793–800.10.1111/anae.14657Search in Google Scholar PubMed
[2] Eleveld DJ, Colin P, Absalom AR, Struys MMRF. Target-controlled-infusion models for remifentanil dosing consistent with approved recommendations. Br J Anaesth. 2020;125(4):483–91.10.1016/j.bja.2020.05.051Search in Google Scholar PubMed
[3] Hughes LM, Irwin MG, Nestor CC. Alternatives to remifentanil for the analgesic component of total intravenous anaesthesia: a narrative review. Anaesthesia. 2023;78(5):620–5.10.1111/anae.15952Search in Google Scholar PubMed
[4] Birgenheier NM, Stuart AR, Egan TD. Soft drugs in anesthesia: remifentanil as prototype to modern anesthetic drug development. Curr Opin Anaesthesiol. 2020;33(4):499–505.10.1097/ACO.0000000000000879Search in Google Scholar PubMed
[5] Yi S, Cao H, Zheng W, Wang Y, Li P, Wang S, et al. Targeting the opioid remifentanil: Protective effects and molecular mechanisms against organ ischemia-reperfusion injury. Biomed Pharmacother. 2023;167:115472.10.1016/j.biopha.2023.115472Search in Google Scholar PubMed
[6] Karila L, Marillier M, Chaumette B, Billieux J, Franchitto N, Benyamina A. New synthetic opioids: Part of a new addiction landscape. Neurosci Biobehav Rev. 2019;106:133–40.10.1016/j.neubiorev.2018.06.010Search in Google Scholar PubMed
[7] Terao I, Tsuge T, Endo K, Kodama W. Comparative efficacy, tolerability and acceptability of intravenous racemic ketamine with intranasal esketamine, aripiprazole and lithium as augmentative treatments for treatment-resistant unipolar depression: A systematic review and network meta-analysis. J Affect Disord. 2023;346:49–56.10.1016/j.jad.2023.11.023Search in Google Scholar PubMed
[8] Bahji A, Vazquez GH, Zarate CA Jr. Comparative efficacy of racemic ketamine and esketamine for depression: A systematic review and meta-analysis. J Affect Disord. 2021;278:542–55.10.1016/j.jad.2020.09.071Search in Google Scholar PubMed PubMed Central
[9] K Freind JM, Beserra FR, Menezes BS, Mograbi DC. Therapeutic protocols using ketamine and esketamine for depressive disorders: A systematic review. J Psychoact Drugs. 2023;28:1–17.10.1080/02791072.2023.2248989Search in Google Scholar PubMed
[10] Henter ID, Park LT, Zarate CA Jr. Novel glutamatergic modulators for the treatment of mood disorders: current status. CNS Drugs. 2021;35(5):527–43.10.1007/s40263-021-00816-xSearch in Google Scholar PubMed PubMed Central
[11] Levinta A, Meshkat S, McIntyre RS, Ho C, Lui LMW, Lee Y, et al. The association between stage of treatment-resistant depression and clinical utility of ketamine/esketamine: A systematic review. J Affect Disord. 2022;318:139–49.10.1016/j.jad.2022.08.050Search in Google Scholar PubMed
[12] Daly EJ, Singh JB, Fedgchin M, Cooper K, Lim P, Shelton RC, et al. Efficacy and safety of intranasal esketamine adjunctive to oral antidepressant therapy in treatment-resistant depression: a randomized clinical trial. JAMA Psychiatry. 2018;75(2):139–48.10.1001/jamapsychiatry.2017.3739Search in Google Scholar PubMed PubMed Central
[13] Ceban F, Rosenblat JD, Kratiuk K, Lee Y, Rodrigues NB, Gill H, et al. Prevention and management of common adverse effects of ketamine and esketamine in patients with mood disorders. CNS Drugs. 2021;35(9):925–34.10.1007/s40263-021-00846-5Search in Google Scholar PubMed
[14] Kaur U, Pathak BK, Singh A, Chakrabarti SS. Esketamine: a glimmer of hope in treatment-resistant depression. Eur Arch Psychiatry Clin Neurosci. 2021;271(3):417–29.10.1007/s00406-019-01084-zSearch in Google Scholar PubMed
[15] Nie J, Chen W, Jia Y, Zhang Y, Wang H. Comparison of remifentanil and esketamine in combination with propofol for patient sedation during fiberoptic bronchoscopy. BMC Pulm Med. 2023;23(1):254.10.1186/s12890-023-02517-1Search in Google Scholar PubMed PubMed Central
[16] Zhong Y, Jiang M, Wang Y, Su T, Lv Y, Fan Z, et al. Evaluating efficacy and safety of sub-anesthetic dose esketamine as an adjuvant to propofol/remifentanil analgosedation and spontaneous respiration for children flexible fibreoptic bronchoscopy: a prospective, double-blinded, randomized, and placebo-controlled clinical trial. Front Pharmacol. 2023;14:1184663.10.3389/fphar.2023.1184663Search in Google Scholar PubMed PubMed Central
[17] Su Y, Zhang J, Wang H, Gu Y, Ouyang H, Huang W. The use of Esketamine in CT-guided percutaneous liver tumor ablation reduces the consumption of remifentanil: a randomized, controlled, double-blind trial. Ann Transl Med. 2022;10(12):704.10.21037/atm-22-2756Search in Google Scholar PubMed PubMed Central
[18] Vuletic A, Konjevic G, Milanovic D, Ruzdijic S, Jurisic V. Antiproliferative effect of 13-cis-retinoic acid is associated with granulocyte differentiation and decrease in cyclin B1 and Bcl-2 protein levels in G0/G1 arrested HL-60 cells. Pathol Oncol Res. 2010;16(3):393–401.10.1007/s12253-009-9241-2Search in Google Scholar PubMed
[19] Scherbakov AM, Vorontsova SK, Khamidullina AI, Mrdjanovic J, Andreeva OE, Bogdanov FB, et al. Novel pentacyclic derivatives and benzylidenes of the progesterone series cause anti-estrogenic and antiproliferative effects and induce apoptosis in breast cancer cells. Invest N Drugs. 2023;41(1):142–52.10.1007/s10637-023-01332-zSearch in Google Scholar PubMed PubMed Central
[20] Feeney A, Papakostas GI. Pharmacotherapy: Ketamine and Esketamine. Psychiatr Clin North Am. 2023;46(2):277–90.10.1016/j.psc.2023.02.003Search in Google Scholar PubMed
[21] Kisilewicz M, Rosenberg H, Vaillancourt C. Remifentanil for procedural sedation: a systematic review of the literature. Emerg Med J. 2017;34(5):294–301.10.1136/emermed-2016-206129Search in Google Scholar PubMed
[22] Mion G, Villevieille T. Ketamine pharmacology: an update (pharmacodynamics and molecular aspects, recent findings). CNS Neurosci Ther. 2013;19(6):370–80.10.1111/cns.12099Search in Google Scholar PubMed PubMed Central
[23] Xin N, Yan W, Jin S. Efficacy of analgesic propofol/esketamine and propofol/fentanyl for painless induced abortion: a randomized clinical trial. Biomed Res Int. 2022;2022:5095282.10.1155/2022/5095282Search in Google Scholar PubMed PubMed Central
[24] Yasuda R, Hayashi Y, Hell JW. CaMKII: a central molecular organizer of synaptic plasticity, learning and memory. Nat Rev Neurosci. 2022;23(11):666–82.10.1038/s41583-022-00624-2Search in Google Scholar PubMed
[25] Nicoll RA, Schulman H. Synaptic memory and CaMKII. Physiol Rev. 2023;103(4):2877–2925.10.1152/physrev.00034.2022Search in Google Scholar PubMed PubMed Central
[26] Zhou HY, Chen SR, Pan HL. Targeting N-methyl-d-aspartate receptors for treatment of neuropathic pain. Expert Rev Clin Pharmacol. 2011;4(3):379–88.10.1586/ecp.11.17Search in Google Scholar PubMed PubMed Central
[27] Raffa RB, Pergolizzi JV Jr. Opioid-induced hyperalgesia: is it clinically relevant for the treatment of pain patients? Pain Manag Nurs. 2013;14(3):e67–83.10.1016/j.pmn.2011.04.002Search in Google Scholar PubMed
[28] Crown ED, Gwak YS, Ye Z, Yu Tan H, Johnson KM, Xu GY, et al. Calcium/calmodulin dependent kinase II contributes to persistent central neuropathic pain following spinal cord injury. Pain. 2012;153(3):710–21.10.1016/j.pain.2011.12.013Search in Google Scholar PubMed PubMed Central
[29] Wang XT, Lian X, Xu YM, Suo ZW, Yang X, Hu XD. α(2) noradrenergic receptor suppressed CaMKII signaling in spinal dorsal horn of mice with inflammatory pain. Eur J Pharmacol. 2014;724:16–23.10.1016/j.ejphar.2013.12.026Search in Google Scholar PubMed
[30] Qi F, Liu T, Zhang X, Gao X, Li Z, Chen L, et al. Ketamine reduces remifentanil-induced postoperative hyperalgesia mediated by CaMKII-NMDAR in the primary somatosensory cerebral cortex region in mice. Neuropharmacology. 2020;162:107783.10.1016/j.neuropharm.2019.107783Search in Google Scholar PubMed
[31] Colvin LA, Bull F, Hales TG. Perioperative opioid analgesia-when is enough too much? A review of opioid-induced tolerance and hyperalgesia. Lancet. 2019;393(10180):1558–68.10.1016/S0140-6736(19)30430-1Search in Google Scholar PubMed
[32] Liu F, Patterson TA, Sadovova N, Zhang X, Liu S, Zou X, et al. Ketamine-induced neuronal damage and altered N-methyl-d-aspartate receptor function in rat primary forebrain culture. Toxicol Sci. 2013;131(2):548–57.10.1093/toxsci/kfs296Search in Google Scholar PubMed PubMed Central
[33] Li J, Wu H, Xue G, Wang P, Hou Y. 17β-Oestradiol protects primary-cultured rat cortical neurons from ketamine-induced apoptosis by activating PI3K/Akt/Bcl-2 signalling. Basic Clin Pharmacol Toxicol. 2013;113(6):411–8.10.1111/bcpt.12124Search in Google Scholar PubMed
[34] Li Y, Wu ZY, Zheng WC, Wang JX, Yue-Xin, Song RX, et al. Esketamine alleviates postoperative cognitive decline via stimulator of interferon genes/TANK-binding kinase 1 signaling pathway in aged rats. Brain Res Bull. 2022;187:169–80.10.1016/j.brainresbull.2022.07.004Search in Google Scholar PubMed
[35] TTang Y, Liu Y, Zhou H, Lu H, Zhang Y, Hua J, et al. Esketamine is neuroprotective against traumatic brain injury through its modulation of autophagy and oxidative stress via AMPK/mTOR-dependent TFEB nuclear translocation. Exp Neurol. 2023;366:114436.10.1016/j.expneurol.2023.114436Search in Google Scholar PubMed
[36] Naldan ME, Taghizadehghalehjoughi A. Remifentanil reduces glutamate toxicity in rat olfactory bulb neurons in culture. Braz J Anesthesiol. 2021;71(4):402–7.10.1016/j.bjane.2021.04.003Search in Google Scholar PubMed PubMed Central
[37] Chen CR, Bi HL, Li X, Li ZM. Remifentanil protects neurological function of rats with cerebral ischemia-reperfusion injury via NR2B/CaMKIIα signaling pathway. J Biol Regul Homeost Agents. 2020;34(5):1647–56.Search in Google Scholar
© 2024 the author(s), published by De Gruyter
This work is licensed under the Creative Commons Attribution 4.0 International License.
Articles in the same Issue
- Biomedical Sciences
- Constitutive and evoked release of ATP in adult mouse olfactory epithelium
- LARP1 knockdown inhibits cultured gastric carcinoma cell cycle progression and metastatic behavior
- PEGylated porcine–human recombinant uricase: A novel fusion protein with improved efficacy and safety for the treatment of hyperuricemia and renal complications
- Research progress on ocular complications caused by type 2 diabetes mellitus and the function of tears and blepharons
- The role and mechanism of esketamine in preventing and treating remifentanil-induced hyperalgesia based on the NMDA receptor–CaMKII pathway
- Brucella infection combined with Nocardia infection: A case report and literature review
- Detection of serum interleukin-18 level and neutrophil/lymphocyte ratio in patients with antineutrophil cytoplasmic antibody-associated vasculitis and its clinical significance
- Ang-1, Ang-2, and Tie2 are diagnostic biomarkers for Henoch-Schönlein purpura and pediatric-onset systemic lupus erythematous
- PTTG1 induces pancreatic cancer cell proliferation and promotes aerobic glycolysis by regulating c-myc
- Role of serum B-cell-activating factor and interleukin-17 as biomarkers in the classification of interstitial pneumonia with autoimmune features
- Effectiveness and safety of a mumps containing vaccine in preventing laboratory-confirmed mumps cases from 2002 to 2017: A meta-analysis
- Low levels of sex hormone-binding globulin predict an increased breast cancer risk and its underlying molecular mechanisms
- A case of Trousseau syndrome: Screening, detection and complication
- Application of the integrated airway humidification device enhances the humidification effect of the rabbit tracheotomy model
- Preparation of Cu2+/TA/HAP composite coating with anti-bacterial and osteogenic potential on 3D-printed porous Ti alloy scaffolds for orthopedic applications
- Aquaporin-8 promotes human dermal fibroblasts to counteract hydrogen peroxide-induced oxidative damage: A novel target for management of skin aging
- Current research and evidence gaps on placental development in iron deficiency anemia
- Single-nucleotide polymorphism rs2910829 in PDE4D is related to stroke susceptibility in Chinese populations: The results of a meta-analysis
- Pheochromocytoma-induced myocardial infarction: A case report
- Kaempferol regulates apoptosis and migration of neural stem cells to attenuate cerebral infarction by O‐GlcNAcylation of β-catenin
- Sirtuin 5 regulates acute myeloid leukemia cell viability and apoptosis by succinylation modification of glycine decarboxylase
- Apigenin 7-glucoside impedes hypoxia-induced malignant phenotypes of cervical cancer cells in a p16-dependent manner
- KAT2A changes the function of endometrial stromal cells via regulating the succinylation of ENO1
- Current state of research on copper complexes in the treatment of breast cancer
- Exploring antioxidant strategies in the pathogenesis of ALS
- Helicobacter pylori causes gastric dysbacteriosis in chronic gastritis patients
- IL-33/soluble ST2 axis is associated with radiation-induced cardiac injury
- The predictive value of serum NLR, SII, and OPNI for lymph node metastasis in breast cancer patients with internal mammary lymph nodes after thoracoscopic surgery
- Carrying SNP rs17506395 (T > G) in TP63 gene and CCR5Δ32 mutation associated with the occurrence of breast cancer in Burkina Faso
- P2X7 receptor: A receptor closely linked with sepsis-associated encephalopathy
- Probiotics for inflammatory bowel disease: Is there sufficient evidence?
- Identification of KDM4C as a gene conferring drug resistance in multiple myeloma
- Microbial perspective on the skin–gut axis and atopic dermatitis
- Thymosin α1 combined with XELOX improves immune function and reduces serum tumor markers in colorectal cancer patients after radical surgery
- Highly specific vaginal microbiome signature for gynecological cancers
- Sample size estimation for AQP4-IgG seropositive optic neuritis: Retinal damage detection by optical coherence tomography
- The effects of SDF-1 combined application with VEGF on femoral distraction osteogenesis in rats
- Fabrication and characterization of gold nanoparticles using alginate: In vitro and in vivo assessment of its administration effects with swimming exercise on diabetic rats
- Mitigating digestive disorders: Action mechanisms of Mediterranean herbal active compounds
- Distribution of CYP2D6 and CYP2C19 gene polymorphisms in Han and Uygur populations with breast cancer in Xinjiang, China
- VSP-2 attenuates secretion of inflammatory cytokines induced by LPS in BV2 cells by mediating the PPARγ/NF-κB signaling pathway
- Factors influencing spontaneous hypothermia after emergency trauma and the construction of a predictive model
- Long-term administration of morphine specifically alters the level of protein expression in different brain regions and affects the redox state
- Application of metagenomic next-generation sequencing technology in the etiological diagnosis of peritoneal dialysis-associated peritonitis
- Clinical diagnosis, prevention, and treatment of neurodyspepsia syndrome using intelligent medicine
- Case report: Successful bronchoscopic interventional treatment of endobronchial leiomyomas
- Preliminary investigation into the genetic etiology of short stature in children through whole exon sequencing of the core family
- Cystic adenomyoma of the uterus: Case report and literature review
- Mesoporous silica nanoparticles as a drug delivery mechanism
- Dynamic changes in autophagy activity in different degrees of pulmonary fibrosis in mice
- Vitamin D deficiency and inflammatory markers in type 2 diabetes: Big data insights
- Lactate-induced IGF1R protein lactylation promotes proliferation and metabolic reprogramming of lung cancer cells
- Meta-analysis on the efficacy of allogeneic hematopoietic stem cell transplantation to treat malignant lymphoma
- Mitochondrial DNA drives neuroinflammation through the cGAS-IFN signaling pathway in the spinal cord of neuropathic pain mice
- Application value of artificial intelligence algorithm-based magnetic resonance multi-sequence imaging in staging diagnosis of cervical cancer
- Embedded monitoring system and teaching of artificial intelligence online drug component recognition
- Investigation into the association of FNDC1 and ADAMTS12 gene expression with plumage coloration in Muscovy ducks
- Yak meat content in feed and its impact on the growth of rats
- A rare case of Richter transformation with breast involvement: A case report and literature review
- First report of Nocardia wallacei infection in an immunocompetent patient in Zhejiang province
- Rhodococcus equi and Brucella pulmonary mass in immunocompetent: A case report and literature review
- Downregulation of RIP3 ameliorates the left ventricular mechanics and function after myocardial infarction via modulating NF-κB/NLRP3 pathway
- Evaluation of the role of some non-enzymatic antioxidants among Iraqi patients with non-alcoholic fatty liver disease
- The role of Phafin proteins in cell signaling pathways and diseases
- Ten-year anemia as initial manifestation of Castleman disease in the abdominal cavity: A case report
- Coexistence of hereditary spherocytosis with SPTB P.Trp1150 gene variant and Gilbert syndrome: A case report and literature review
- Utilization of convolutional neural networks to analyze microscopic images for high-throughput screening of mesenchymal stem cells
- Exploratory evaluation supported by experimental and modeling approaches of Inula viscosa root extract as a potent corrosion inhibitor for mild steel in a 1 M HCl solution
- Imaging manifestations of ductal adenoma of the breast: A case report
- Gut microbiota and sleep: Interaction mechanisms and therapeutic prospects
- Isomangiferin promotes the migration and osteogenic differentiation of rat bone marrow mesenchymal stem cells
- Prognostic value and microenvironmental crosstalk of exosome-related signatures in human epidermal growth factor receptor 2 positive breast cancer
- Circular RNAs as potential biomarkers for male severe sepsis
- Knockdown of Stanniocalcin-1 inhibits growth and glycolysis in oral squamous cell carcinoma cells
- The expression and biological role of complement C1s in esophageal squamous cell carcinoma
- A novel GNAS mutation in pseudohypoparathyroidism type 1a with articular flexion deformity: A case report
- Predictive value of serum magnesium levels for prognosis in patients with non-small cell lung cancer undergoing EGFR-TKI therapy
- HSPB1 alleviates acute-on-chronic liver failure via the P53/Bax pathway
- IgG4-related disease complicated by PLA2R-associated membranous nephropathy: A case report
- Baculovirus-mediated endostatin and angiostatin activation of autophagy through the AMPK/AKT/mTOR pathway inhibits angiogenesis in hepatocellular carcinoma
- Metformin mitigates osteoarthritis progression by modulating the PI3K/AKT/mTOR signaling pathway and enhancing chondrocyte autophagy
- Evaluation of the activity of antimicrobial peptides against bacterial vaginosis
- Atypical presentation of γ/δ mycosis fungoides with an unusual phenotype and SOCS1 mutation
- Analysis of the microecological mechanism of diabetic kidney disease based on the theory of “gut–kidney axis”: A systematic review
- Omega-3 fatty acids prevent gestational diabetes mellitus via modulation of lipid metabolism
- Refractory hypertension complicated with Turner syndrome: A case report
- Interaction of ncRNAs and the PI3K/AKT/mTOR pathway: Implications for osteosarcoma
- Association of low attenuation area scores with pulmonary function and clinical prognosis in patients with chronic obstructive pulmonary disease
- Long non-coding RNAs in bone formation: Key regulators and therapeutic prospects
- The deubiquitinating enzyme USP35 regulates the stability of NRF2 protein
- Neutrophil-to-lymphocyte ratio and platelet-to-lymphocyte ratio as potential diagnostic markers for rebleeding in patients with esophagogastric variceal bleeding
- G protein-coupled receptor 1 participating in the mechanism of mediating gestational diabetes mellitus by phosphorylating the AKT pathway
- LL37-mtDNA regulates viability, apoptosis, inflammation, and autophagy in lipopolysaccharide-treated RLE-6TN cells by targeting Hsp90aa1
- The analgesic effect of paeoniflorin: A focused review
- Chemical composition’s effect on Solanum nigrum Linn.’s antioxidant capacity and erythrocyte protection: Bioactive components and molecular docking analysis
- Knockdown of HCK promotes HREC cell viability and inner blood–retinal barrier integrity by regulating the AMPK signaling pathway
- The role of rapamycin in the PINK1/Parkin signaling pathway in mitophagy in podocytes
- Laryngeal non-Hodgkin lymphoma: Report of four cases and review of the literature
- Clinical value of macrogenome next-generation sequencing on infections
- Overview of dendritic cells and related pathways in autoimmune uveitis
- TAK-242 alleviates diabetic cardiomyopathy via inhibiting pyroptosis and TLR4/CaMKII/NLRP3 pathway
- Hypomethylation in promoters of PGC-1α involved in exercise-driven skeletal muscular alterations in old age
- Profile and antimicrobial susceptibility patterns of bacteria isolated from effluents of Kolladiba and Debark hospitals
- The expression and clinical significance of syncytin-1 in serum exosomes of hepatocellular carcinoma patients
- A histomorphometric study to evaluate the therapeutic effects of biosynthesized silver nanoparticles on the kidneys infected with Plasmodium chabaudi
- PGRMC1 and PAQR4 are promising molecular targets for a rare subtype of ovarian cancer
- Analysis of MDA, SOD, TAOC, MNCV, SNCV, and TSS scores in patients with diabetes peripheral neuropathy
- SLIT3 deficiency promotes non-small cell lung cancer progression by modulating UBE2C/WNT signaling
- The relationship between TMCO1 and CALR in the pathological characteristics of prostate cancer and its effect on the metastasis of prostate cancer cells
- Heterogeneous nuclear ribonucleoprotein K is a potential target for enhancing the chemosensitivity of nasopharyngeal carcinoma
- PHB2 alleviates retinal pigment epithelium cell fibrosis by suppressing the AGE–RAGE pathway
- Anti-γ-aminobutyric acid-B receptor autoimmune encephalitis with syncope as the initial symptom: Case report and literature review
- Comparative analysis of chloroplast genome of Lonicera japonica cv. Damaohua
- Human umbilical cord mesenchymal stem cells regulate glutathione metabolism depending on the ERK–Nrf2–HO-1 signal pathway to repair phosphoramide mustard-induced ovarian cancer cells
- Electroacupuncture on GB acupoints improves osteoporosis via the estradiol–PI3K–Akt signaling pathway
- Renalase protects against podocyte injury by inhibiting oxidative stress and apoptosis in diabetic nephropathy
- Review: Dicranostigma leptopodum: A peculiar plant of Papaveraceae
- Combination effect of flavonoids attenuates lung cancer cell proliferation by inhibiting the STAT3 and FAK signaling pathway
- Renal microangiopathy and immune complex glomerulonephritis induced by anti-tumour agents: A case report
- Correlation analysis of AVPR1a and AVPR2 with abnormal water and sodium and potassium metabolism in rats
- Gastrointestinal health anti-diarrheal mixture relieves spleen deficiency-induced diarrhea through regulating gut microbiota
- Myriad factors and pathways influencing tumor radiotherapy resistance
- Exploring the effects of culture conditions on Yapsin (YPS) gene expression in Nakaseomyces glabratus
- Screening of prognostic core genes based on cell–cell interaction in the peripheral blood of patients with sepsis
- Coagulation factor II thrombin receptor as a promising biomarker in breast cancer management
- Ileocecal mucinous carcinoma misdiagnosed as incarcerated hernia: A case report
- Methyltransferase like 13 promotes malignant behaviors of bladder cancer cells through targeting PI3K/ATK signaling pathway
- The debate between electricity and heat, efficacy and safety of irreversible electroporation and radiofrequency ablation in the treatment of liver cancer: A meta-analysis
- ZAG promotes colorectal cancer cell proliferation and epithelial–mesenchymal transition by promoting lipid synthesis
- Baicalein inhibits NLRP3 inflammasome activation and mitigates placental inflammation and oxidative stress in gestational diabetes mellitus
- Impact of SWCNT-conjugated senna leaf extract on breast cancer cells: A potential apoptotic therapeutic strategy
- MFAP5 inhibits the malignant progression of endometrial cancer cells in vitro
- Major ozonated autohemotherapy promoted functional recovery following spinal cord injury in adult rats via the inhibition of oxidative stress and inflammation
- Axodendritic targeting of TAU and MAP2 and microtubule polarization in iPSC-derived versus SH-SY5Y-derived human neurons
- Differential expression of phosphoinositide 3-kinase/protein kinase B and Toll-like receptor/nuclear factor kappa B signaling pathways in experimental obesity Wistar rat model
- The therapeutic potential of targeting Oncostatin M and the interleukin-6 family in retinal diseases: A comprehensive review
- BA inhibits LPS-stimulated inflammatory response and apoptosis in human middle ear epithelial cells by regulating the Nf-Kb/Iκbα axis
- Role of circRMRP and circRPL27 in chronic obstructive pulmonary disease
- Investigating the role of hyperexpressed HCN1 in inducing myocardial infarction through activation of the NF-κB signaling pathway
- Characterization of phenolic compounds and evaluation of anti-diabetic potential in Cannabis sativa L. seeds: In vivo, in vitro, and in silico studies
- Quantitative immunohistochemistry analysis of breast Ki67 based on artificial intelligence
- Ecology and Environmental Science
- Screening of different growth conditions of Bacillus subtilis isolated from membrane-less microbial fuel cell toward antimicrobial activity profiling
- Degradation of a mixture of 13 polycyclic aromatic hydrocarbons by commercial effective microorganisms
- Evaluation of the impact of two citrus plants on the variation of Panonychus citri (Acari: Tetranychidae) and beneficial phytoseiid mites
- Prediction of present and future distribution areas of Juniperus drupacea Labill and determination of ethnobotany properties in Antalya Province, Türkiye
- Population genetics of Todarodes pacificus (Cephalopoda: Ommastrephidae) in the northwest Pacific Ocean via GBS sequencing
- A comparative analysis of dendrometric, macromorphological, and micromorphological characteristics of Pistacia atlantica subsp. atlantica and Pistacia terebinthus in the middle Atlas region of Morocco
- Macrofungal sporocarp community in the lichen Scots pine forests
- Assessing the proximate compositions of indigenous forage species in Yemen’s pastoral rangelands
- Food Science
- Gut microbiota changes associated with low-carbohydrate diet intervention for obesity
- Reexamination of Aspergillus cristatus phylogeny in dark tea: Characteristics of the mitochondrial genome
- Differences in the flavonoid composition of the leaves, fruits, and branches of mulberry are distinguished based on a plant metabolomics approach
- Investigating the impact of wet rendering (solventless method) on PUFA-rich oil from catfish (Clarias magur) viscera
- Non-linear associations between cardiovascular metabolic indices and metabolic-associated fatty liver disease: A cross-sectional study in the US population (2017–2020)
- Knockdown of USP7 alleviates atherosclerosis in ApoE-deficient mice by regulating EZH2 expression
- Utility of dairy microbiome as a tool for authentication and traceability
- Agriculture
- Enhancing faba bean (Vicia faba L.) productivity through establishing the area-specific fertilizer rate recommendation in southwest Ethiopia
- Impact of novel herbicide based on synthetic auxins and ALS inhibitor on weed control
- Perspectives of pteridophytes microbiome for bioremediation in agricultural applications
- Fertilizer application parameters for drip-irrigated peanut based on the fertilizer effect function established from a “3414” field trial
- Improving the productivity and profitability of maize (Zea mays L.) using optimum blended inorganic fertilization
- Application of leaf multispectral analyzer in comparison to hyperspectral device to assess the diversity of spectral reflectance indices in wheat genotypes
- Animal Sciences
- Knockdown of ANP32E inhibits colorectal cancer cell growth and glycolysis by regulating the AKT/mTOR pathway
- Development of a detection chip for major pathogenic drug-resistant genes and drug targets in bovine respiratory system diseases
- Exploration of the genetic influence of MYOT and MB genes on the plumage coloration of Muscovy ducks
- Transcriptome analysis of adipose tissue in grazing cattle: Identifying key regulators of fat metabolism
- Comparison of nutritional value of the wild and cultivated spiny loaches at three growth stages
- Transcriptomic analysis of liver immune response in Chinese spiny frog (Quasipaa spinosa) infected with Proteus mirabilis
- Disruption of BCAA degradation is a critical characteristic of diabetic cardiomyopathy revealed by integrated transcriptome and metabolome analysis
- Plant Sciences
- Effect of long-term in-row branch covering on soil microorganisms in pear orchards
- Photosynthetic physiological characteristics, growth performance, and element concentrations reveal the calcicole–calcifuge behaviors of three Camellia species
- Transcriptome analysis reveals the mechanism of NaHCO3 promoting tobacco leaf maturation
- Bioinformatics, expression analysis, and functional verification of allene oxide synthase gene HvnAOS1 and HvnAOS2 in qingke
- Water, nitrogen, and phosphorus coupling improves gray jujube fruit quality and yield
- Improving grape fruit quality through soil conditioner: Insights from RNA-seq analysis of Cabernet Sauvignon roots
- Role of Embinin in the reabsorption of nucleus pulposus in lumbar disc herniation: Promotion of nucleus pulposus neovascularization and apoptosis of nucleus pulposus cells
- Revealing the effects of amino acid, organic acid, and phytohormones on the germination of tomato seeds under salinity stress
- Combined effects of nitrogen fertilizer and biochar on the growth, yield, and quality of pepper
- Comprehensive phytochemical and toxicological analysis of Chenopodium ambrosioides (L.) fractions
- Impact of “3414” fertilization on the yield and quality of greenhouse tomatoes
- Exploring the coupling mode of water and fertilizer for improving growth, fruit quality, and yield of the pear in the arid region
- Metagenomic analysis of endophytic bacteria in seed potato (Solanum tuberosum)
- Antibacterial, antifungal, and phytochemical properties of Salsola kali ethanolic extract
- Exploring the hepatoprotective properties of citronellol: In vitro and in silico studies on ethanol-induced damage in HepG2 cells
- Enhanced osmotic dehydration of watermelon rind using honey–sucrose solutions: A study on pre-treatment efficacy and mass transfer kinetics
- Effects of exogenous 2,4-epibrassinolide on photosynthetic traits of 53 cowpea varieties under NaCl stress
- Comparative transcriptome analysis of maize (Zea mays L.) seedlings in response to copper stress
- An optimization method for measuring the stomata in cassava (Manihot esculenta Crantz) under multiple abiotic stresses
- Fosinopril inhibits Ang II-induced VSMC proliferation, phenotype transformation, migration, and oxidative stress through the TGF-β1/Smad signaling pathway
- Antioxidant and antimicrobial activities of Salsola imbricata methanolic extract and its phytochemical characterization
- Bioengineering and Biotechnology
- Absorbable calcium and phosphorus bioactive membranes promote bone marrow mesenchymal stem cells osteogenic differentiation for bone regeneration
- New advances in protein engineering for industrial applications: Key takeaways
- An overview of the production and use of Bacillus thuringiensis toxin
- Research progress of nanoparticles in diagnosis and treatment of hepatocellular carcinoma
- Bioelectrochemical biosensors for water quality assessment and wastewater monitoring
- PEI/MMNs@LNA-542 nanoparticles alleviate ICU-acquired weakness through targeted autophagy inhibition and mitochondrial protection
- Unleashing of cytotoxic effects of thymoquinone-bovine serum albumin nanoparticles on A549 lung cancer cells
- Erratum
- Erratum to “Investigating the association between dietary patterns and glycemic control among children and adolescents with T1DM”
- Erratum to “Activation of hypermethylated P2RY1 mitigates gastric cancer by promoting apoptosis and inhibiting proliferation”
- Retraction
- Retraction to “MiR-223-3p regulates cell viability, migration, invasion, and apoptosis of non-small cell lung cancer cells by targeting RHOB”
- Retraction to “A data mining technique for detecting malignant mesothelioma cancer using multiple regression analysis”
- Special Issue on Advances in Neurodegenerative Disease Research and Treatment
- Transplantation of human neural stem cell prevents symptomatic motor behavior disability in a rat model of Parkinson’s disease
- Special Issue on Multi-omics
- Inflammasome complex genes with clinical relevance suggest potential as therapeutic targets for anti-tumor drugs in clear cell renal cell carcinoma
- Gastroesophageal varices in primary biliary cholangitis with anti-centromere antibody positivity: Early onset?
Articles in the same Issue
- Biomedical Sciences
- Constitutive and evoked release of ATP in adult mouse olfactory epithelium
- LARP1 knockdown inhibits cultured gastric carcinoma cell cycle progression and metastatic behavior
- PEGylated porcine–human recombinant uricase: A novel fusion protein with improved efficacy and safety for the treatment of hyperuricemia and renal complications
- Research progress on ocular complications caused by type 2 diabetes mellitus and the function of tears and blepharons
- The role and mechanism of esketamine in preventing and treating remifentanil-induced hyperalgesia based on the NMDA receptor–CaMKII pathway
- Brucella infection combined with Nocardia infection: A case report and literature review
- Detection of serum interleukin-18 level and neutrophil/lymphocyte ratio in patients with antineutrophil cytoplasmic antibody-associated vasculitis and its clinical significance
- Ang-1, Ang-2, and Tie2 are diagnostic biomarkers for Henoch-Schönlein purpura and pediatric-onset systemic lupus erythematous
- PTTG1 induces pancreatic cancer cell proliferation and promotes aerobic glycolysis by regulating c-myc
- Role of serum B-cell-activating factor and interleukin-17 as biomarkers in the classification of interstitial pneumonia with autoimmune features
- Effectiveness and safety of a mumps containing vaccine in preventing laboratory-confirmed mumps cases from 2002 to 2017: A meta-analysis
- Low levels of sex hormone-binding globulin predict an increased breast cancer risk and its underlying molecular mechanisms
- A case of Trousseau syndrome: Screening, detection and complication
- Application of the integrated airway humidification device enhances the humidification effect of the rabbit tracheotomy model
- Preparation of Cu2+/TA/HAP composite coating with anti-bacterial and osteogenic potential on 3D-printed porous Ti alloy scaffolds for orthopedic applications
- Aquaporin-8 promotes human dermal fibroblasts to counteract hydrogen peroxide-induced oxidative damage: A novel target for management of skin aging
- Current research and evidence gaps on placental development in iron deficiency anemia
- Single-nucleotide polymorphism rs2910829 in PDE4D is related to stroke susceptibility in Chinese populations: The results of a meta-analysis
- Pheochromocytoma-induced myocardial infarction: A case report
- Kaempferol regulates apoptosis and migration of neural stem cells to attenuate cerebral infarction by O‐GlcNAcylation of β-catenin
- Sirtuin 5 regulates acute myeloid leukemia cell viability and apoptosis by succinylation modification of glycine decarboxylase
- Apigenin 7-glucoside impedes hypoxia-induced malignant phenotypes of cervical cancer cells in a p16-dependent manner
- KAT2A changes the function of endometrial stromal cells via regulating the succinylation of ENO1
- Current state of research on copper complexes in the treatment of breast cancer
- Exploring antioxidant strategies in the pathogenesis of ALS
- Helicobacter pylori causes gastric dysbacteriosis in chronic gastritis patients
- IL-33/soluble ST2 axis is associated with radiation-induced cardiac injury
- The predictive value of serum NLR, SII, and OPNI for lymph node metastasis in breast cancer patients with internal mammary lymph nodes after thoracoscopic surgery
- Carrying SNP rs17506395 (T > G) in TP63 gene and CCR5Δ32 mutation associated with the occurrence of breast cancer in Burkina Faso
- P2X7 receptor: A receptor closely linked with sepsis-associated encephalopathy
- Probiotics for inflammatory bowel disease: Is there sufficient evidence?
- Identification of KDM4C as a gene conferring drug resistance in multiple myeloma
- Microbial perspective on the skin–gut axis and atopic dermatitis
- Thymosin α1 combined with XELOX improves immune function and reduces serum tumor markers in colorectal cancer patients after radical surgery
- Highly specific vaginal microbiome signature for gynecological cancers
- Sample size estimation for AQP4-IgG seropositive optic neuritis: Retinal damage detection by optical coherence tomography
- The effects of SDF-1 combined application with VEGF on femoral distraction osteogenesis in rats
- Fabrication and characterization of gold nanoparticles using alginate: In vitro and in vivo assessment of its administration effects with swimming exercise on diabetic rats
- Mitigating digestive disorders: Action mechanisms of Mediterranean herbal active compounds
- Distribution of CYP2D6 and CYP2C19 gene polymorphisms in Han and Uygur populations with breast cancer in Xinjiang, China
- VSP-2 attenuates secretion of inflammatory cytokines induced by LPS in BV2 cells by mediating the PPARγ/NF-κB signaling pathway
- Factors influencing spontaneous hypothermia after emergency trauma and the construction of a predictive model
- Long-term administration of morphine specifically alters the level of protein expression in different brain regions and affects the redox state
- Application of metagenomic next-generation sequencing technology in the etiological diagnosis of peritoneal dialysis-associated peritonitis
- Clinical diagnosis, prevention, and treatment of neurodyspepsia syndrome using intelligent medicine
- Case report: Successful bronchoscopic interventional treatment of endobronchial leiomyomas
- Preliminary investigation into the genetic etiology of short stature in children through whole exon sequencing of the core family
- Cystic adenomyoma of the uterus: Case report and literature review
- Mesoporous silica nanoparticles as a drug delivery mechanism
- Dynamic changes in autophagy activity in different degrees of pulmonary fibrosis in mice
- Vitamin D deficiency and inflammatory markers in type 2 diabetes: Big data insights
- Lactate-induced IGF1R protein lactylation promotes proliferation and metabolic reprogramming of lung cancer cells
- Meta-analysis on the efficacy of allogeneic hematopoietic stem cell transplantation to treat malignant lymphoma
- Mitochondrial DNA drives neuroinflammation through the cGAS-IFN signaling pathway in the spinal cord of neuropathic pain mice
- Application value of artificial intelligence algorithm-based magnetic resonance multi-sequence imaging in staging diagnosis of cervical cancer
- Embedded monitoring system and teaching of artificial intelligence online drug component recognition
- Investigation into the association of FNDC1 and ADAMTS12 gene expression with plumage coloration in Muscovy ducks
- Yak meat content in feed and its impact on the growth of rats
- A rare case of Richter transformation with breast involvement: A case report and literature review
- First report of Nocardia wallacei infection in an immunocompetent patient in Zhejiang province
- Rhodococcus equi and Brucella pulmonary mass in immunocompetent: A case report and literature review
- Downregulation of RIP3 ameliorates the left ventricular mechanics and function after myocardial infarction via modulating NF-κB/NLRP3 pathway
- Evaluation of the role of some non-enzymatic antioxidants among Iraqi patients with non-alcoholic fatty liver disease
- The role of Phafin proteins in cell signaling pathways and diseases
- Ten-year anemia as initial manifestation of Castleman disease in the abdominal cavity: A case report
- Coexistence of hereditary spherocytosis with SPTB P.Trp1150 gene variant and Gilbert syndrome: A case report and literature review
- Utilization of convolutional neural networks to analyze microscopic images for high-throughput screening of mesenchymal stem cells
- Exploratory evaluation supported by experimental and modeling approaches of Inula viscosa root extract as a potent corrosion inhibitor for mild steel in a 1 M HCl solution
- Imaging manifestations of ductal adenoma of the breast: A case report
- Gut microbiota and sleep: Interaction mechanisms and therapeutic prospects
- Isomangiferin promotes the migration and osteogenic differentiation of rat bone marrow mesenchymal stem cells
- Prognostic value and microenvironmental crosstalk of exosome-related signatures in human epidermal growth factor receptor 2 positive breast cancer
- Circular RNAs as potential biomarkers for male severe sepsis
- Knockdown of Stanniocalcin-1 inhibits growth and glycolysis in oral squamous cell carcinoma cells
- The expression and biological role of complement C1s in esophageal squamous cell carcinoma
- A novel GNAS mutation in pseudohypoparathyroidism type 1a with articular flexion deformity: A case report
- Predictive value of serum magnesium levels for prognosis in patients with non-small cell lung cancer undergoing EGFR-TKI therapy
- HSPB1 alleviates acute-on-chronic liver failure via the P53/Bax pathway
- IgG4-related disease complicated by PLA2R-associated membranous nephropathy: A case report
- Baculovirus-mediated endostatin and angiostatin activation of autophagy through the AMPK/AKT/mTOR pathway inhibits angiogenesis in hepatocellular carcinoma
- Metformin mitigates osteoarthritis progression by modulating the PI3K/AKT/mTOR signaling pathway and enhancing chondrocyte autophagy
- Evaluation of the activity of antimicrobial peptides against bacterial vaginosis
- Atypical presentation of γ/δ mycosis fungoides with an unusual phenotype and SOCS1 mutation
- Analysis of the microecological mechanism of diabetic kidney disease based on the theory of “gut–kidney axis”: A systematic review
- Omega-3 fatty acids prevent gestational diabetes mellitus via modulation of lipid metabolism
- Refractory hypertension complicated with Turner syndrome: A case report
- Interaction of ncRNAs and the PI3K/AKT/mTOR pathway: Implications for osteosarcoma
- Association of low attenuation area scores with pulmonary function and clinical prognosis in patients with chronic obstructive pulmonary disease
- Long non-coding RNAs in bone formation: Key regulators and therapeutic prospects
- The deubiquitinating enzyme USP35 regulates the stability of NRF2 protein
- Neutrophil-to-lymphocyte ratio and platelet-to-lymphocyte ratio as potential diagnostic markers for rebleeding in patients with esophagogastric variceal bleeding
- G protein-coupled receptor 1 participating in the mechanism of mediating gestational diabetes mellitus by phosphorylating the AKT pathway
- LL37-mtDNA regulates viability, apoptosis, inflammation, and autophagy in lipopolysaccharide-treated RLE-6TN cells by targeting Hsp90aa1
- The analgesic effect of paeoniflorin: A focused review
- Chemical composition’s effect on Solanum nigrum Linn.’s antioxidant capacity and erythrocyte protection: Bioactive components and molecular docking analysis
- Knockdown of HCK promotes HREC cell viability and inner blood–retinal barrier integrity by regulating the AMPK signaling pathway
- The role of rapamycin in the PINK1/Parkin signaling pathway in mitophagy in podocytes
- Laryngeal non-Hodgkin lymphoma: Report of four cases and review of the literature
- Clinical value of macrogenome next-generation sequencing on infections
- Overview of dendritic cells and related pathways in autoimmune uveitis
- TAK-242 alleviates diabetic cardiomyopathy via inhibiting pyroptosis and TLR4/CaMKII/NLRP3 pathway
- Hypomethylation in promoters of PGC-1α involved in exercise-driven skeletal muscular alterations in old age
- Profile and antimicrobial susceptibility patterns of bacteria isolated from effluents of Kolladiba and Debark hospitals
- The expression and clinical significance of syncytin-1 in serum exosomes of hepatocellular carcinoma patients
- A histomorphometric study to evaluate the therapeutic effects of biosynthesized silver nanoparticles on the kidneys infected with Plasmodium chabaudi
- PGRMC1 and PAQR4 are promising molecular targets for a rare subtype of ovarian cancer
- Analysis of MDA, SOD, TAOC, MNCV, SNCV, and TSS scores in patients with diabetes peripheral neuropathy
- SLIT3 deficiency promotes non-small cell lung cancer progression by modulating UBE2C/WNT signaling
- The relationship between TMCO1 and CALR in the pathological characteristics of prostate cancer and its effect on the metastasis of prostate cancer cells
- Heterogeneous nuclear ribonucleoprotein K is a potential target for enhancing the chemosensitivity of nasopharyngeal carcinoma
- PHB2 alleviates retinal pigment epithelium cell fibrosis by suppressing the AGE–RAGE pathway
- Anti-γ-aminobutyric acid-B receptor autoimmune encephalitis with syncope as the initial symptom: Case report and literature review
- Comparative analysis of chloroplast genome of Lonicera japonica cv. Damaohua
- Human umbilical cord mesenchymal stem cells regulate glutathione metabolism depending on the ERK–Nrf2–HO-1 signal pathway to repair phosphoramide mustard-induced ovarian cancer cells
- Electroacupuncture on GB acupoints improves osteoporosis via the estradiol–PI3K–Akt signaling pathway
- Renalase protects against podocyte injury by inhibiting oxidative stress and apoptosis in diabetic nephropathy
- Review: Dicranostigma leptopodum: A peculiar plant of Papaveraceae
- Combination effect of flavonoids attenuates lung cancer cell proliferation by inhibiting the STAT3 and FAK signaling pathway
- Renal microangiopathy and immune complex glomerulonephritis induced by anti-tumour agents: A case report
- Correlation analysis of AVPR1a and AVPR2 with abnormal water and sodium and potassium metabolism in rats
- Gastrointestinal health anti-diarrheal mixture relieves spleen deficiency-induced diarrhea through regulating gut microbiota
- Myriad factors and pathways influencing tumor radiotherapy resistance
- Exploring the effects of culture conditions on Yapsin (YPS) gene expression in Nakaseomyces glabratus
- Screening of prognostic core genes based on cell–cell interaction in the peripheral blood of patients with sepsis
- Coagulation factor II thrombin receptor as a promising biomarker in breast cancer management
- Ileocecal mucinous carcinoma misdiagnosed as incarcerated hernia: A case report
- Methyltransferase like 13 promotes malignant behaviors of bladder cancer cells through targeting PI3K/ATK signaling pathway
- The debate between electricity and heat, efficacy and safety of irreversible electroporation and radiofrequency ablation in the treatment of liver cancer: A meta-analysis
- ZAG promotes colorectal cancer cell proliferation and epithelial–mesenchymal transition by promoting lipid synthesis
- Baicalein inhibits NLRP3 inflammasome activation and mitigates placental inflammation and oxidative stress in gestational diabetes mellitus
- Impact of SWCNT-conjugated senna leaf extract on breast cancer cells: A potential apoptotic therapeutic strategy
- MFAP5 inhibits the malignant progression of endometrial cancer cells in vitro
- Major ozonated autohemotherapy promoted functional recovery following spinal cord injury in adult rats via the inhibition of oxidative stress and inflammation
- Axodendritic targeting of TAU and MAP2 and microtubule polarization in iPSC-derived versus SH-SY5Y-derived human neurons
- Differential expression of phosphoinositide 3-kinase/protein kinase B and Toll-like receptor/nuclear factor kappa B signaling pathways in experimental obesity Wistar rat model
- The therapeutic potential of targeting Oncostatin M and the interleukin-6 family in retinal diseases: A comprehensive review
- BA inhibits LPS-stimulated inflammatory response and apoptosis in human middle ear epithelial cells by regulating the Nf-Kb/Iκbα axis
- Role of circRMRP and circRPL27 in chronic obstructive pulmonary disease
- Investigating the role of hyperexpressed HCN1 in inducing myocardial infarction through activation of the NF-κB signaling pathway
- Characterization of phenolic compounds and evaluation of anti-diabetic potential in Cannabis sativa L. seeds: In vivo, in vitro, and in silico studies
- Quantitative immunohistochemistry analysis of breast Ki67 based on artificial intelligence
- Ecology and Environmental Science
- Screening of different growth conditions of Bacillus subtilis isolated from membrane-less microbial fuel cell toward antimicrobial activity profiling
- Degradation of a mixture of 13 polycyclic aromatic hydrocarbons by commercial effective microorganisms
- Evaluation of the impact of two citrus plants on the variation of Panonychus citri (Acari: Tetranychidae) and beneficial phytoseiid mites
- Prediction of present and future distribution areas of Juniperus drupacea Labill and determination of ethnobotany properties in Antalya Province, Türkiye
- Population genetics of Todarodes pacificus (Cephalopoda: Ommastrephidae) in the northwest Pacific Ocean via GBS sequencing
- A comparative analysis of dendrometric, macromorphological, and micromorphological characteristics of Pistacia atlantica subsp. atlantica and Pistacia terebinthus in the middle Atlas region of Morocco
- Macrofungal sporocarp community in the lichen Scots pine forests
- Assessing the proximate compositions of indigenous forage species in Yemen’s pastoral rangelands
- Food Science
- Gut microbiota changes associated with low-carbohydrate diet intervention for obesity
- Reexamination of Aspergillus cristatus phylogeny in dark tea: Characteristics of the mitochondrial genome
- Differences in the flavonoid composition of the leaves, fruits, and branches of mulberry are distinguished based on a plant metabolomics approach
- Investigating the impact of wet rendering (solventless method) on PUFA-rich oil from catfish (Clarias magur) viscera
- Non-linear associations between cardiovascular metabolic indices and metabolic-associated fatty liver disease: A cross-sectional study in the US population (2017–2020)
- Knockdown of USP7 alleviates atherosclerosis in ApoE-deficient mice by regulating EZH2 expression
- Utility of dairy microbiome as a tool for authentication and traceability
- Agriculture
- Enhancing faba bean (Vicia faba L.) productivity through establishing the area-specific fertilizer rate recommendation in southwest Ethiopia
- Impact of novel herbicide based on synthetic auxins and ALS inhibitor on weed control
- Perspectives of pteridophytes microbiome for bioremediation in agricultural applications
- Fertilizer application parameters for drip-irrigated peanut based on the fertilizer effect function established from a “3414” field trial
- Improving the productivity and profitability of maize (Zea mays L.) using optimum blended inorganic fertilization
- Application of leaf multispectral analyzer in comparison to hyperspectral device to assess the diversity of spectral reflectance indices in wheat genotypes
- Animal Sciences
- Knockdown of ANP32E inhibits colorectal cancer cell growth and glycolysis by regulating the AKT/mTOR pathway
- Development of a detection chip for major pathogenic drug-resistant genes and drug targets in bovine respiratory system diseases
- Exploration of the genetic influence of MYOT and MB genes on the plumage coloration of Muscovy ducks
- Transcriptome analysis of adipose tissue in grazing cattle: Identifying key regulators of fat metabolism
- Comparison of nutritional value of the wild and cultivated spiny loaches at three growth stages
- Transcriptomic analysis of liver immune response in Chinese spiny frog (Quasipaa spinosa) infected with Proteus mirabilis
- Disruption of BCAA degradation is a critical characteristic of diabetic cardiomyopathy revealed by integrated transcriptome and metabolome analysis
- Plant Sciences
- Effect of long-term in-row branch covering on soil microorganisms in pear orchards
- Photosynthetic physiological characteristics, growth performance, and element concentrations reveal the calcicole–calcifuge behaviors of three Camellia species
- Transcriptome analysis reveals the mechanism of NaHCO3 promoting tobacco leaf maturation
- Bioinformatics, expression analysis, and functional verification of allene oxide synthase gene HvnAOS1 and HvnAOS2 in qingke
- Water, nitrogen, and phosphorus coupling improves gray jujube fruit quality and yield
- Improving grape fruit quality through soil conditioner: Insights from RNA-seq analysis of Cabernet Sauvignon roots
- Role of Embinin in the reabsorption of nucleus pulposus in lumbar disc herniation: Promotion of nucleus pulposus neovascularization and apoptosis of nucleus pulposus cells
- Revealing the effects of amino acid, organic acid, and phytohormones on the germination of tomato seeds under salinity stress
- Combined effects of nitrogen fertilizer and biochar on the growth, yield, and quality of pepper
- Comprehensive phytochemical and toxicological analysis of Chenopodium ambrosioides (L.) fractions
- Impact of “3414” fertilization on the yield and quality of greenhouse tomatoes
- Exploring the coupling mode of water and fertilizer for improving growth, fruit quality, and yield of the pear in the arid region
- Metagenomic analysis of endophytic bacteria in seed potato (Solanum tuberosum)
- Antibacterial, antifungal, and phytochemical properties of Salsola kali ethanolic extract
- Exploring the hepatoprotective properties of citronellol: In vitro and in silico studies on ethanol-induced damage in HepG2 cells
- Enhanced osmotic dehydration of watermelon rind using honey–sucrose solutions: A study on pre-treatment efficacy and mass transfer kinetics
- Effects of exogenous 2,4-epibrassinolide on photosynthetic traits of 53 cowpea varieties under NaCl stress
- Comparative transcriptome analysis of maize (Zea mays L.) seedlings in response to copper stress
- An optimization method for measuring the stomata in cassava (Manihot esculenta Crantz) under multiple abiotic stresses
- Fosinopril inhibits Ang II-induced VSMC proliferation, phenotype transformation, migration, and oxidative stress through the TGF-β1/Smad signaling pathway
- Antioxidant and antimicrobial activities of Salsola imbricata methanolic extract and its phytochemical characterization
- Bioengineering and Biotechnology
- Absorbable calcium and phosphorus bioactive membranes promote bone marrow mesenchymal stem cells osteogenic differentiation for bone regeneration
- New advances in protein engineering for industrial applications: Key takeaways
- An overview of the production and use of Bacillus thuringiensis toxin
- Research progress of nanoparticles in diagnosis and treatment of hepatocellular carcinoma
- Bioelectrochemical biosensors for water quality assessment and wastewater monitoring
- PEI/MMNs@LNA-542 nanoparticles alleviate ICU-acquired weakness through targeted autophagy inhibition and mitochondrial protection
- Unleashing of cytotoxic effects of thymoquinone-bovine serum albumin nanoparticles on A549 lung cancer cells
- Erratum
- Erratum to “Investigating the association between dietary patterns and glycemic control among children and adolescents with T1DM”
- Erratum to “Activation of hypermethylated P2RY1 mitigates gastric cancer by promoting apoptosis and inhibiting proliferation”
- Retraction
- Retraction to “MiR-223-3p regulates cell viability, migration, invasion, and apoptosis of non-small cell lung cancer cells by targeting RHOB”
- Retraction to “A data mining technique for detecting malignant mesothelioma cancer using multiple regression analysis”
- Special Issue on Advances in Neurodegenerative Disease Research and Treatment
- Transplantation of human neural stem cell prevents symptomatic motor behavior disability in a rat model of Parkinson’s disease
- Special Issue on Multi-omics
- Inflammasome complex genes with clinical relevance suggest potential as therapeutic targets for anti-tumor drugs in clear cell renal cell carcinoma
- Gastroesophageal varices in primary biliary cholangitis with anti-centromere antibody positivity: Early onset?