Abstract
Background and purpose
Gastric cancer is a kind of malignant tumor with high incidence and high mortality, which has strong tumor heterogeneity. A classic Chinese medicine, Pinellia ternata (PT), was shown to exert therapeutic effects on gastric cancer cells. However, its chemical and pharmacological profiles remain to be elucidated. In the current study, we aimed to reveal the mechanism of PT in treating gastric cancer cells through metabolomic analysis and network pharmacology.
Methods
Metabolomic analysis of two strains of gastric cancer cells treated with the Pinellia ternata extract (PTE) was used to identify differential metabolites, and the metabolic pathways were enriched by MetaboAnalyst. Then, network pharmacology was applied to dig out the potential targets against gastric cancer cells induced by PTE. The integrated network of metabolomics and network pharmacology was constructed based on Cytoscape.
Results
The PTE was confirmed to significantly inhibit cell proliferation, migration, and invasion of HGC-27 and BGC-823 cells. The results of cellular metabolomics showed that 61 metabolites were differently expressed in gastric cancer cells of the experimental and control groups. Through pathway enrichment analysis, 16 metabolites were found to be involved in the glycerophospholipid metabolism, purine metabolism, sphingolipid metabolism, and tryptophan metabolism. Combined with network pharmacology, seven bioactive compounds were found in PT, and the networks of bioactive compound–target gene–metabolic enzyme–metabolite interactions were constructed.
Conclusions
In conclusion, this study revealed the complicated mechanisms of PT against gastric cancer. Our work provides a novel paradigm to identify the potential mechanisms of pharmacological effects derived from a natural compound.
1 Introduction
Gastric cancer is a malignant tumor originating from the gastric mucosal epithelium, which has highly heterogeneous characteristics. The incidence rate of gastric cancer shows a younger trend due to changes in diet, increased work pressure, and Helicobacter pylori infection [1]. According to the latest data from GLOBOCAN 2020, gastric cancer accounts for 7.7% of 10 million cancer deaths worldwide, ranking the fourth cause of death after lung cancer, colorectal cancer, and liver cancer [2]. Despite the numerous advances in targeted therapy for gastric cancer, the overall long-term outcomes of patients have not significantly improved [3,4,5,6]. A large number of studies have found that the components of traditional Chinese medicine (TCM) have the effects of inducing cell apoptosis and inhibiting cell proliferation, and then it can reduce symptoms, inhibit tumor development, and prolong the survival to improve the quality life of patients [7,8,9]. Most currently available chemotherapy drugs, including paclitaxel, vincristine, and vinblastine, are all derived from natural sources [10,11]. Therefore, the clinical prevention and treatment of gastric cancer utilizing the multi-component combination of TCM has garnered research attention.
Pinellia ternata (PT), which belongs to the Araceae family, has been widely used in China, Korea, and Japan as a valuable medicinal plant [12]. Modern pharmacological research has demonstrated that PT contains a large number of alkaloids, iridoids, iridoid glycosides, anthraquinones, anthraquinone glycosides, fatty acids, and their derivatives [13,14]. Pharmacological studies have demonstrated that PT has multiple activities, especially antitumor activity [15,16]. Numerous clinical Chinese medicine treatments have shown that PT can inhibit the proliferation and migration of gastric cancer cells, thereby alleviating the symptoms of gastric cancer patients [17]. However, the specific mechanism by which these components inhibit the proliferation of gastric cancer cells remains unclear. Unlike western medicine’s “one target, one drug” concept, TCM emphasizes the concept of the integrity of the whole human body [18]. Because of its complexity in composition, conventional pharmacological approaches to experimentally identify the unique action of mechanism may not be applicable to TCM research [19]. Network pharmacology meets the key ideas of the holistic philosophy of TCM. As a state-of-the-art technique, this method updates the research paradigm from the current “one target, one drug” mode to a new “network target, multicomponents” mode. Nonetheless, network pharmacology is limited by the single computational methods that rely on public databases [20]. Network pharmacology alone could only predict the possibility of compound–target combination and pathway analysis.
Along with the rapid development of bioinformatics, the newly emerging metabolomics based on big databases has become a useful tool to characterize the action mechanisms of complicated drug system in detail, from the molecular level to the pathway level [21,22,23,24]. Metabolomics has been employed in many fields, including the diagnosis and treatment of diseases, biomarker discovery, and exploration of disease pathogenesis [25,26,27]. Numerous studies have shown that metabolomics integrated network pharmacology is an effective method for studying the mechanism of action of TCM [28,29,30]. Therefore, we integrated metabolomics with network pharmacology for analyzing the mechanism of action of PT. This strategy is expected to help better understand the therapeutic principles of natural compounds like PT used in the treatment of gastric cancer.
In the current study, we used computational tools and resources to investigate the effect of the pharmacological network of PT on gastric cancer to predict its active compounds and potential protein targets and pathways. In addition, in vitro experiments were also conducted to validate the potential underlying mechanism of PT in gastric cancer, as predicted by the network pharmacology approach. Meanwhile, a gastric cancer cell metabolomic analysis was performed to reveal the synergetic metabolic mechanisms in terms of metabolites and metabolic pathways. Subsequently, the targets from network pharmacology and the metabolites from cell metabolomics were jointly analyzed to filter crucial metabolism pathways using MetScape. The detailed technical strategy of the current study is shown in Figure 1.

Technical strategy of the current study.
2 Materials and methods
2.1 Cell experiments
2.1.1 Reagents
The tubers of PT were collected from the experimental field at Suzhou University, which was authenticated by Professor Jianping Xue at the College of Life Sciences, Huaibei Normal University. Chemical reagents such as methanol and ethanol (analytical grade) were purchased from China National Pharmaceutical Group Co., Ltd.
2.1.2 Preparation of herb extracts
The extract of Pinellia ternata (PTE) was prepared as follows. Two kilograms of PT tubers were soaked in 70% ethanol (1:8, w/v) overnight, and the supernatant was collected by centrifugation at 5,000 rpm. The precipitate was extracted twice with 70% ethanol for 2 h, and the supernatant was collected and combined with the previously obtained supernatant. Later, the extract was vacuum-concentrated and freeze-dried into powder and stored at −80°C (the drug extract ratio was 13.8%).
2.1.3 Cell culture and cell viability determination
Human gastric cancer cells HGC-27 and BGC-823 were chosen in our lab for the following experiments. The cells were cultured in Dulbecco’s modified Eagle’s medium (DMEM) supplemented with 10% fetal bovine serum, 100 U/mL penicillin, and 100 mg/mL streptomycin and maintained at 37°C in a humidified chamber with 5% CO2.
The human gastric cancer cells (5,000 cells/well) were inoculated into 96-well plates and incubated for 24 h. After pretreatment with different concentrations of PTE (0, 0.0125, 0.025, 0.05, 0.10, 0.20, 0.40, and 0.80 μg/μL) for 48 h, 10 μL of 3-(4,5-dimethylthiazol-2-yl)-2,5-diphenyltetrazolium bromide (MTT, 5 mg/ml; Sigma, USA) solution was added to each well, and then the cells were cultured at 37°C for another 4 h. Then, the supernatants were discarded, and 100 μL of DMSO was added to each well. The absorbance was measured at 490 nm using a Multiskan MS microplate reader (Labsystems, Finland). The half-maximal inhibitory concentration (IC50) of gastric cancer cells treated with PTE was calculated by using the GraphPad Prism software.
2.1.4 Cell wound-healing and transwell invasion assays
For the transwell invasion assay, Millicell cell culture inserts in 24-well plates were pretreated with 100 μL of cold Matrigel (BD Biosciences, USA, diluted 1:4 with cold PBS) for 2 h at 37°C. Gastric cancer cells (1 × 105 cells/well) were seeded into the chamber with 200 μL of serum-free DMEM and then incubated with or without PTE at 37°C for 24 h. The invaded cells were fixed with 4% paraformaldehyde for 30 min, stained with crystal violet solution for 2 h, and then counted with a light microscope.
For the wound-healing assay, gastric cancer cells were incubated in 6-well plates with 100% confluence. The denuded area was scrapped using a plastic pipette tip on the cell monolayer. The medium was removed, and the monolayer was washed three times with PBS. Then, the medium with or without PTE was added to each well, and cell movements in the wound area were obtained after 24 h of incubation with a microscope.
2.2 UPLC–MS metabolomics analysis
2.2.1 Experimental grouping and sample preparation
The HGC-27 and BGC-823 cells were each cultured in 100 mm cell Petri dish separately and cultured overnight to make the cells to adhere to the wall. The cells were divided into a blank control group and an intervention group, treated with PTE at a concentration 0 or IC50, with six parallel samples in each group. Therefore, the treated HGC-27 and BGC-823 cells were divided into four groups: Control-H, PTE-H, Control-B, and PTE-B. After 48 h, the Petri dish was washed three times with precooled PBS and then digested with trypsin for 1–2 min. The suspension was centrifuged at 1,000 rpm for 5 min, the supernatant was discarded, and the cells were collected as samples.
The samples stored at −80°C were thawed on ice. A 500 μL solution (methanol:water = 4:1, v/v) containing internal standard was added into the cell sample and vortexed for 3 min. The sample was placed in liquid nitrogen for 5 min and on dry ice for 5 min, and then thawed on ice and vortexed for 2 min. This freeze–thaw cycle was repeated three times in total. The sample was centrifuged at 12,000 rpm for 10 min (4°C). Then, 300 μL of supernatant was collected and stored at −20°C for 30 min. The sample was then centrifuged at 12,000 rpm for 3 min (4°C). About 200 μL aliquots of supernatant were transferred for LC–MS analysis. The pooled quality control (QC) samples were made by mixing 10 μL aliquots of each sample (one per six samples).
2.2.2 UPLC–QTOF-MS analysis
All samples were acquired by the LC–MS system following the manufacturer’s instructions. The analytical conditions were as follows: UPLC: column, Waters ACQUITY UPLC BEH C18 1.8 µm, 2.1 mm × 100 mm; column temperature, 40°C; flow rate, 0.4 mL/min; injection volume, 2 μL; and solvent system, water (0.1% formic acid):acetonitrile (0.1% formic acid). The column was eluted with 5% mobile phase B (0.1% formic acid in acetonitrile) at 0 min, followed by a linear gradient to 90% mobile phase B (0.1% formic acid in acetonitrile) over 11 min, held for 1 min, then returned back to 5% mobile phase B within 0.1 min, held for 1.9 min, and then rapidly returned to starting conditions.
The data acquisition was performed in the information-dependent acquisition (IDA) mode using Analyst TF 1.7.1 software (Sciex, Concord, ON, Canada). The source parameters were set as follows: ion source gas 1 (GAS1), 50 psi; ion source gas 2 (GAS2), 50 psi; curtain gas (CUR), 35 psi; temperature (TEM), 550°C or 450°C; declustering potential, 60 V or −60 V in positive or negative mode, respectively; and ion spray voltage floating, 5,000 V or −4,000 V in positive or negative mode, respectively.
2.2.3 Data analysis
The original data file acquired by LC–MS was converted into mzML format using ProteoWizard software. Peak extraction, peak alignment, and retention time correction were performed using the XCMS program. The “SVR” method was used to correct the peak area. The peaks with detection rate lower than 50 % in each group of samples were discarded. After that, metabolic identification information was obtained by searching the laboratory’s self-built database, integrated public database, AI database, and metDNA. SIMCA-P 14.1 software (Umetrics, Sweden) was used to conduct principal component analysis (PCA), partial least-squares discriminant analysis (PLS-DA), and orthogonal partial least-squares (OPLS) analysis of the normalized data. Based on variable important in projection (VIP) values (VIP > 1) and T-test (p < 0.05), the differential abundant metabolites were selected between the control group and the model group and identified according to the online databases: mzCloud (https://www.mzcloud.org/), HMDB (http://www.hmdb.ca), ChemSpider (http://www.chemspider.com), and KEGG (http://www.kegg.jp) [31]. The Venn diagram was drawn according to the guidance method of online software (https://cloud.metware.cn/#/user/login). Pathway analysis was conducted with MetaboAnalyst [32]. Parameters (p value <0.05) were used as the index to determine the most relevant pathways.
2.3 Network pharmacology analysis
2.3.1 Bioactive component screening
The information on compounds present in PT was obtained from databases such as TCMSP (http://tcmspw.com/) [33]. The active compounds were filtered by integrating OB (≥30%) and DL (≥0.18) [34]. In addition, compounds with definite pharmacological effects were also selected for further research, even though they have low OB or DL values.
2.3.2 Target protein prediction of drug components in PT
The protein targets of the active substances in PT were retrieved from the TCMSP database by using the filter search bar of the related targets of the compound component. Meanwhile, the annotated genome database platform GeneCards, the protein database UniProt, and the online database KOBAS were used to query the human gene names corresponding to the target proteins.
2.3.3 Construction of the protein–protein interaction (PPI) network and screening of its core targets
For construction of the PPI and screening, the following steps were carried out. Log in to the String database online, find the search mode “multiple protein” box, enter the common target proteins of PT and gastric cancer into the String database (https://string-db.org/Version 10.5), and select human (Homo sapiens) as search species condition, convert the common target name, set the PPI score to >0.7, obtain the visual interaction map of the PPI network, manually hide the free protein that appears outside the network, and export the PPI relationship map. According to the node degree value, the key core genes of the PPI network were screened out.
2.3.4 Pathway enrichment analysis
To explore the combination mechanisms of PT against gastric cancer, pathway enrichment analysis was performed using the DAVID Bioinformatics Resources 6.8 server [35], and GO and KEGG pathway enrichment analyses of drugs–key chemical components–disease targets were carried out. Pathways with p values less than or equal to 0.05 were selected.
2.3.5 Network construction
Combined with the identification and screening of drug target proteins in Section 2.3.3, the gastric cancer target proteins were mapped to each other to obtain common target proteins, and then the related information about the drug active ingredient and the common target proteins was imported into Cytoscape 3.7.1 software for data processing. The visual network of drugs–bioactive components–disease targets was constructed and obtained. Among them, nodes were used to represent key chemical components and disease targets, and solid lines with arrows were used to represent the interaction between nodes.
2.3.6 Joint pathway analysis
The targets from network pharmacology and the metabolites from cell metabolomics were jointly analyzed to select crucial metabolism pathways by MetaboAnalyst [36].
2.4 Statistical analysis
Each independent experiment was repeated at least three times. Statistical analysis between two groups was performed by using Student’s t test through SPSS software (SPSS Inc., USA). Variance analysis between multiple groups followed by Tukey’s test was used to calculate the statistical significance of the differences. Multiple groups of normalized data were analyzed using one-way ANOVA. Data were shown as mean ± standard deviation. If not specified above, a p-value of less than 0.05 was considered to indicate a statistically significant difference.
3 Results
3.1 Inhibitory effect of PT on the proliferation of gastric cancer cells
To verify the antiproliferative effect of PTE on gastric cancer cells, HGC-27 and BGC-823 cells were each treated with PTE at different concentrations for 48 h (Supplementary File S1). The results showed that the inhibition rate of HGC-27 and BGC-823 cells significantly increased with the increase of PTE concentration, indicating that PTE had a significant inhibitory effect on the growth of gastric cancer cells (Figure 2). The IC50 values of HGC-27 and BGC-823 cells treated with PTE were calculated to be 1.76 and 2.20 μg/μL, respectively. For the convenience of subsequent experiments, 1.76 μg/μL PTE was selected for treatment of both cell lines.

Effects of PTE on the viability of HGC-27 and BGC-823 gastric cancer cells at different concentrations.
3.2 PT inhibits the invasion and migration of gastric cancer cells
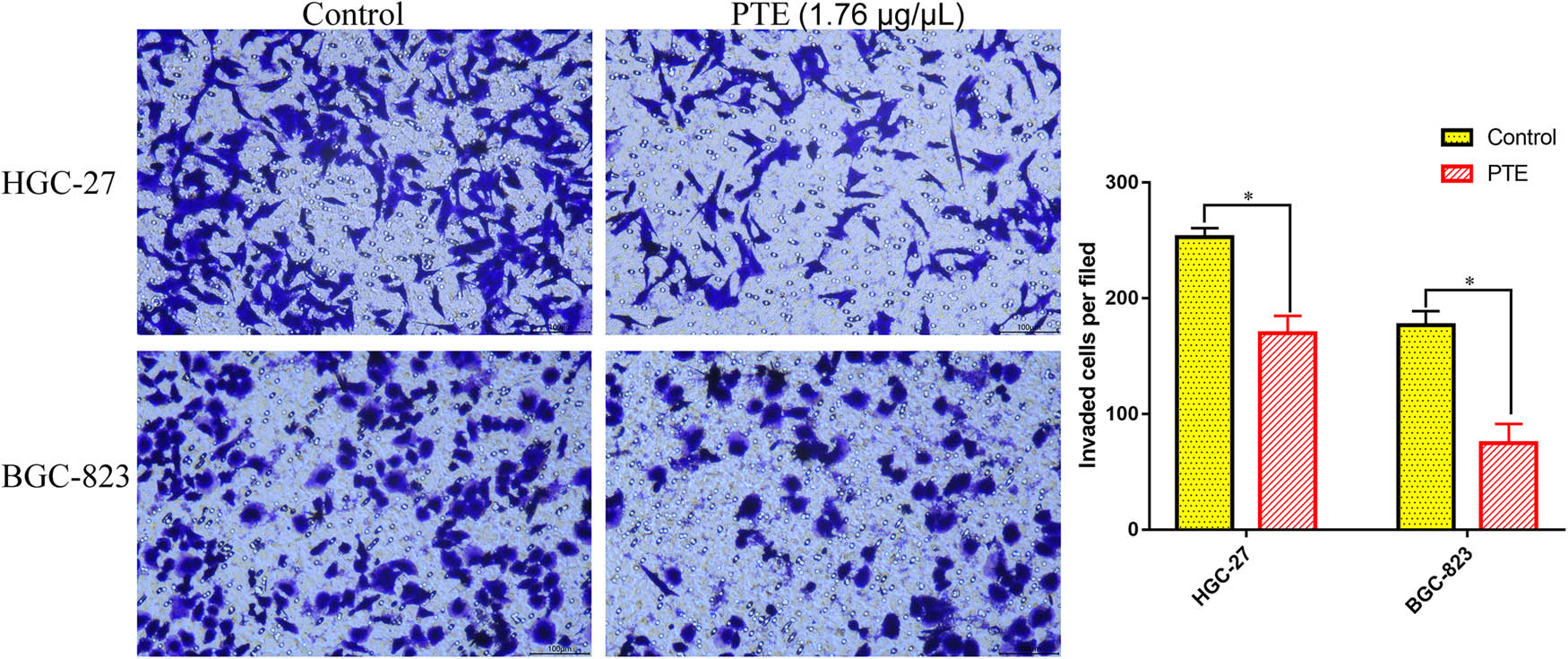
In order to investigate the effects of PTE on gastric cancer cells cultured in vitro, cell migration and invasion experiments were conducted. As shown in Figure 3, the wound-healing assay indicated that the speed of migration was slower in HGC-27 and BGC-823 cells treated with PTE and showed that it could obviously inhibit gastric cancer cell migration at 1.76 μg/μL concentration. In addition, compared with control groups, the speed of invasion was slower in HGC-27 and BGC-823 cells treated with PTE (Figure 4). These experiments indicated that the PTE could significantly inhibit cell migration and invasion in vitro.

Effects of PTE on the migration of HGC-27 and BGC-823 cells. * represents p < 0.05 compared with the control group.

Effects of PTE on the invasion of HGC-27 and BGC-823 cells. * represents p < 0.05 compared with the control group.
3.3 Results of metabolomics analysis in gastric cancer cells treated with PT
3.3.1 Multivariate data analysis
The typically based peak intensity chromatograms of the HGC-27 and BGC-823 gastric cancer cell samples were analyzed in both negative and positive modes (Figure S1). The PCA score chart indicated that the model group was distinguished from the control group (Figure 5a). Moreover, the QC group was gathered, which indicated that the instrument was stable (Figure 5a). Pearson correlation analysis was conducted on QC samples, and the correlation between QC samples was greater than 0.99 (Figure S2), indicating good stability and high data quality throughout the testing process. As shown in Figure 5a, significant separation between the PTE and control groups was observed in the PCA score 3D plots, indicating that the metabolic disturbances could be obviously induced by PTE treatment. Compared with those in the control group, the metabolic changes in the HGC-27 group were more obvious than those in the BGC-823 group. Further cluster analysis results showed that, after PTE treatment, there were significant differences in the metabolites of different gastric cancer cell lines, with small individual differences within the same group (Figure 5b).

PCA and cluster analysis of overall metabolites. (a) PCA-3D score chart of overall metabolites from LC–MS data in positive and negative modes. (b) Overall cluster diagram of the metabolites. Data were calculated by the Pearson correlation method after mean centering and unit variance scaling.
3.3.2 Identification of differential endogenous metabolites
After data preprocessing, a total of 4,335 metabolites were identified in gastric cancer cells of the 4 groups (Supplementary File S2). To identify the potential metabolites that contributed to metabolic distinction, we conducted PCA (Figure 6a), OPLS-DA (Figure 6b), and ANOVA, followed by FDR. The OPLS-DA model showed good separability with high R 2 Y (R 2 Y = 0.975, p < 0.005) and Q 2 (Q 2 = 0.886, p < 0.005) values (Figure S3), indicating good explanatory ability of sample classification information and cross-validated predictive capability. The S plots of OPLS-DA were constructed based on the VIP values (Figure 6c), which revealed the variety of metabolites.

Identification of differential endogenous metabolites. (a) PCA score plots. (b) OPLS-DA score plot. (c) S-plot of OPLS-DA. (d) Venn diagram of the potential metabolites associated with PTE treatment on gastric cancer cells.
Based on VIP > 1 and p < 0.05, 403 metabolites in HGC-27 gastric cancer cells were differentially expressed between the PTE-H and Control-H groups, 573 metabolites in BGC-823 gastric cancer cells were differentially expressed between the PTE-B and Control-B groups, and 399 metabolites in gastric cancer cells were differentially expressed between the PTE groups (PTE-H and PTE-B) and Control groups (Control-H and Control-B) (Supplementary File S3-5). Through Venn plot analysis, it was found that there were 143 common metabolic differences between the PTE-treated gastric cancer cell group and the control group (Figure 6d).
3.3.3 Metabolic pathway analysis
The 143 differential metabolites were imported into KEGG compound database to search their matching KEGG ID, and only 61 metabolites could be identified with the KEGG ID (Supplementary File S6). Then, these metabolites were imported into MetaboAnalyst to explore the potential anti-gastric cancer mechanisms of PT, and 16 metabolites could be matched for further pathway analysis. As shown in Figure 7, based on the p-value pathway less than 0.05, four pathways in the gastric cancer cells were significantly affected, including glycerophospholipid metabolism, purine metabolism, sphingolipid metabolism, and tryptophan metabolism (Figure S4). The metabolites related to these pathways were phosphatidylcholine, 1-acyl-sn-glycero-3-phosphocholine, choline, phosphatidate, adenosine monophosphate (AMP), inosine monophosphate (IMP), inosine diphosphate (IDP), sn-glycero-3- phosphocholine, xanthosine, hypoxanthine, sphingomyelin, sphingosine, l-serine, 5-hydroxy-l-tryptophan, l-formylkynurenine, and indoleacetaldehyde (Table 1).

Metabolic pathway analysis. The horizontal axis represents the influence value of the pathway and the vertical axis represents the significance impact value of the signal pathway.
Differential metabolites related to the inhibitory effect of PT on gastric cancer cells detected by UPLC–MS
No. | Metabolites | TR (min) | m/z | Formula | VIP | P | Fold change | Trend | KEGG ID | Scan mode |
---|---|---|---|---|---|---|---|---|---|---|
1 | Phosphatidylcholine | 12.35 | 785.59 | C26H52NO8P | 1.32 | 2.71 × 10−2 | 1.36 | ↑ | C00157 | + |
2 | 1-Acyl-sn-glycero-3-phosphocholine | 9.20 | 579.42 | C30H62NO7P | 1.39 | 3.38 × 10−2 | 0.65 | ↓ | C04230 | − |
3 | Choline | 3.95 | 393.54 | C20H44NO4P | 1.51 | 3.81 × 10−2 | 1.69 | ↑ | C00114 | − |
4 | sn-Glycero-3-phosphocholine | 0.74 | 257.10 | C8H20NO6P | 1.41 | 4.65 × 10−3 | 1.84 | ↑ | C00670 | + |
5 | AMP | 1.08 | 347.06 | C10H14N5O7P | 1.48 | 3.02 × 10−2 | 1.32 | ↑ | C00020 | − |
6 | Phosphatidate | 3.09 | 998.48 | C43H85O19P3 | 1.50 | 5.02 × 10−3 | 1.75 | ↑ | C00626 | − |
7 | IMP | 0.74 | 348.05 | C10H13N4O8P | 2.35 | 5.27 × 10−6 | 1.91 | ↑ | C00130 | − |
8 | IDP | 0.74 | 428.01 | C10H14N4O11P2 | 1.72 | 1.68 × 10−2 | 1.44 | ↑ | C00104 | − |
9 | Xanthosine | 1.64 | 284.07 | C10H12N4O6 | 1.89 | 1.56 × 10−3 | 3.12 | ↑ | C01762 | − |
10 | Hypoxanthine | 1.08 | 136.04 | C5H4N4O | 1.13 | 4.49 × 10−2 | 1.81 | ↑ | C00262 | − |
11 | Sphingomyelin | 12.22 | 812.68 | C47H93N2O6 | 1.85 | 4.26 × 10−4 | 0.72 | ↓ | C00550 | + |
12 | Sphingosine | 6.17 | 299.28 | C18H37NO2 | 2.98 | 6.41 × 10−4 | 3646.44 | ↑ | C00319 | + |
13 | l-Serine | 0.68 | 105.04 | C3H7NO3 | 2.63 | 1.09 × 10−8 | 10.23 | ↑ | C00065 | − |
14 | 5-Hydroxy-l-tryptophan | 2.03 | 220.08 | C11H12N2O3 | 2.54 | 3.46 × 10−4 | 3.60 | ↑ | C00643 | − |
15 | l-Formylkynurenine | 2.49 | 236.08 | C11H12N2O4 | 1.21 | 1.85 × 10−2 | 1.92 | ↑ | C02700 | + |
16 | Indoleacetaldehyde | 2.39 | 159.07 | C10H9NO | 1.36 | 1.71 × 10−2 | 1.65 | ↑ | C00637 | − |
3.4 Network pharmacological analysis results of PT
A total of 116 chemical components of PT were retrieved from the TCMSP database by keyword screening. Setting the inclusion criteria as DL ≥ 0.18 and OB ≥ 30%, a total of 13 candidate compounds were retrieved (Table S1). Among them, 24-ethylcholest-4-en-3-one, β-sitosterol, poriferast-5-en-3beta-ol, cavidine, baicalin, stigmasterol, and other components have drug-like properties of more than 75%, suggesting that these chemical components may play a key regulation role in the function of medicine in the human body. A total of 175 human target genes were matched from the 13 compound components searched through the TCMSP database. After deduplication, 99 target genes were finally obtained.
Then, the 13,731 target genes of gastric cancer were obtained from the GeneCards database by using “Gastric cancer” as the screening keyword, then a total of 4,559 genes were obtained by setting the correlation score greater than or equal to 6. Combining the screened 99 drug targets for mutual mapping, 99 common target genes were obtained. The relationship between these 13 compounds and 99 target protein was analyzed by Cytoscape software to construct a network visualization map of drugs–key chemical components–disease targets, as shown in Figure 8.

Drugs–bioactive components–disease targets network for PT on gastric cancer. The red nodes represent the PT drug, the yellow nodes represent candidate active compounds, and green nodes represent potential protein targets. The edges represent the interactions between these nodes.
3.5 Integrated analysis of metabolomics and network pharmacology
To obtain a comprehensive view of the mechanisms of PT against gastric cancer cells, we constructed an interaction network based on metabolomics and network pharmacology. Differentially abundant metabolites were imported into the MetScape plugin in Cytoscape to construct the metabolite–reaction–enzyme–gene networks. As shown in Figure 9, 51 metabolic enzymes associated with 16 differentially abundant metabolites were identified.

Compound–reaction–enzyme–gene networks of the key metabolites. The red hexagons, gray diamonds, green rectangles, and blue ovals represent the metabolite compounds, reactions, enzymes, and genes, respectively.
To further investigate how the target genes of effective components in PT regulate metabolic enzymes to differentially express metabolites, the above 99 target protein and 51 metabolic enzymes were analyzed for protein interaction via the DAVID database. Through interrelated mappings, 69 target genes of 7 compounds in PT were found to be closely related to 26 metabolic enzymes in gastric cancer cells, which produced 13 differential metabolites (Figure 10). The affected pathways were glycerophospholipid metabolism, purine metabolism, sphingolipid metabolism, and tryptophan metabolism. These compounds may play essential roles in the inhibitory effect of PT on gastric cancer cells.

Networks of drug–bioactive components–target genes–metabolic enzymes–metabolites. The red diamond node represents PT drug, green circle nodes represent the candidate active components in PT, blue square nodes represent the target genes of the active components, yellow hexagon nodes represent the key metabolic enzymes, and the purple arrow nodes represent the key metabolites.
4 Discussion
PT, a TCM, has the effect of reducing nausea and vomiting, which can be used to treat vomiting and nausea, protect the gastric mucosa, promote the repair of the gastric mucosa, and have the effect of resisting stress ulcers [37]. Our experiments showed that the PTE could significantly inhibit the proliferation, migration, and invasion of gastric cancer cells in vitro. By using network pharmacology methods, 13 ingredients in PT were selected through the TCMSP database, mainly including sterols, alkaloids, flavonoids, and cyprinosides. The results of modern pharmacological research showed that these categories of compounds played an important role in regulating tumorigenesis, suggesting that the network pharmacology for screening effective active ingredients of drugs had important reference values [38]. However, these studies still lack research on the anti-tumor functions and have not systematically identified which components participate in the regulatory mechanisms to affect the malignant phenotype characteristics of cancer from the perspective of metabolic pathways.
Researchers are increasingly relying on metabolomics to explore disease mechanisms and intervention strategies. We identified 16 significant metabolites of PT against gastric cancer cells, as well as their related metabolic pathways. However, given the complexity and heterogeneity of metabolomics, data analysis and interpretation were collaborative efforts [39]. Network pharmacology is a system biology-based methodology [40]. It evaluates drug polypharmacological effects at a molecular level to predict the interaction of natural products and proteins as well as to determine the major mechanisms [41]. Network pharmacology can further validate the therapeutic regulation of metabolic networks and facilitate the identification of key targets and biomarkers [42]. In this study, network pharmacology greatly improved the screening of metabolites of PT against gastric cancer and explicated the action mechanisms. By combining metabolomics with network pharmacology, we found 7 bioactive compounds, 69 key targets, 26 metabolic enzymes and 13 metabolites (phosphatidylcholine, 1-acyl-sn-glycero-3-phosphocholine, choline, sn-glycero-3-phosphocholine, AMP, IMP, xanthosine, IDP, hypoxanthine, sphingosine, l-serine, 5-hydroxy-l-tryptophan, and indoleacetaldehyde), and 4 related pathways (glycerophospholipid metabolism, purine metabolism, sphingolipid metabolism, and tryptophan metabolism). This strategy provides a suitable method to verify the results of the two approaches. It is also practicable to screen metabolites and targets in other natural compounds.
Phospholipids are mainly divided into two categories: glycerol phospholipids and sphingosine phospholipids, which are the main components of cell membranes. Changes in phospholipid metabolism directly affect cell membrane synthesis and cell proliferation. Multiple phospholipid molecules and their metabolic intermediates can participate in cell signal transduction, inflammation, and vascular regulation and are closely related to cell proliferation, adhesion, and movement [43,44]. Therefore, abnormal phospholipid metabolism is closely related to tumor occurrence, development, invasion, and metastasis. Glycerophospholipid metabolism regulates the metabolites of tumors, mainly including glycerophospholipids, lysophosphatidic acid, choline, phosphocholine, phosphatidate, and phosphatidylcholine. These metabolites can affect the proliferation, differentiation, and apoptosis of tumor cells, thereby affecting the occurrence and development of tumors [45]. By regulating these metabolites, new anti-tumor drugs and treatment strategies can be developed [46]. Sphingolipid metabolism, also known as neural sphingolipid metabolism, plays an important role in regulating tumors. Sphingolipids activate signal transduction by stimulating the formation of cell membrane microdomains, thereby regulating cell proliferation, differentiation, apoptosis, and tumor metastasis. Specifically, some molecules in sphingolipid metabolism, such as sphingosine and sphingosine-1-phosphate, can affect the migration and metastasis of tumor cells [47]. These molecules increase cancer cell migration and metastasis by stimulating intercellular communication within tumors. In addition, these molecules may also affect the survival of tumor cells, affecting their growth and proliferation by regulating their survival signal transduction. Interestingly, converting sphingolipids to glycerophospholipids could facilitate cancer progression in human hepatocellular carcinoma and colon cancer [48]. All these studies suggest that PT may inhibit the proliferation of gastric cancer cells by promoting glycerophospholipid metabolism and sphingolipid metabolism.
Purine metabolism represents a potential therapeutic pathway in cancer therapy. Purine, an abundant substrate in organisms, is a critical raw material for cell proliferation and an important factor for immune regulation [49]. The purine de novo pathway and salvage pathway are tightly regulated by multiple enzymes, and dysfunction in these enzymes leads to excessive cell proliferation and immune imbalance that result in tumor progression [50]. For example, inosine strongly enhances the proliferation of human melanoma cells, and the altered ratio of adenosine to inosine has been widely noticed in cancer cells, affecting the growth, invasiveness, and metastasis [51]. Meanwhile, purines serve as potent modulators in the response of immune cells and cytokine release via various receptor subtypes, such as P2X ligand-gated ion channels and G protein-coupled P2Y receptors [52], which are substantially involved in the development of oncogenesis and tumorigenesis [53]. Xanthosine is catalyzed by the substrate xanthine or xanthosine 5’-phosphate through the activity of purine-nucleoside phosphorylase or 5’-nucleotidase. The levels of xanthosine, IDP, IMP, AMP, and hypoxanthine are increased in PTE-treated gastric cancer cell groups. Studies have shown that administration of xanthosine did not affect the proportion of epithelial stem cells in bovine breast tissues but had potential negative effects on cell proliferation, and tumor development in mice was also limited by xanthosine administration [54]. Studies also indicated that 5-aminoimidazole-4-carboxamide riboside combined with methotrexate exerted synergistic anticancer action against human breast cancer and hepatocellular carcinoma [55]. Therefore, PT may inhibit the proliferation of gastric cancer cells through purine metabolism, especially by changing the metabolic levels of xanthosine, IDP, IMP, AMP, and hypoxanthine.
Tryptophan is an essential amino acid available from one’s diet by ingestion of food containing it. About 95% of the free tryptophan in the human body undergoes catabolism through the kynurenine pathway, participating in the regulation of immunity, neuronal function, and intestinal homeostasis [56]. Tryptophan metabolic imbalance has attracted great attention in the treatment of cancer and neurodegenerative diseases, especially targeted the regulation of rate limiting enzymes such as amine oxidase, tryptophan-5-monooxygenase, and arylformamidase [57,58]. In this study, indole-3-acetaldehyde, 5-hydroxy-l-tryptophan, and l-formylkynurenine were found to be abnormally expressed in gastric cancer cells treated with PTE compared with the control group. Indole-3-acetaldehyde was synthesized from the substrate tryptamine through the activity of amine oxidase. 5-Hydroxy-l-tryptophan was synthesized from the substrate l-tryptophan by the activity of tryptophan-5-monooxygenase. l-Formylkynurenine was synthesized from the substrate l-kynurenine through the activity of arylformamidase. Current research has found that there is still a lack of research on the correlation of three metabolites indole-3-acetaldehyde, 5-hydroxy-l-tryptophan, and l-formylkynurenine with tumors. Interestingly, the latest research has found that tryptophan metabolites 5-hydroxytryptamine and 3-hydroxyanthranilic acid could protect tumor cells from iron death and promote tumor growth [59]. This indicates that PT may inhibit the proliferation of gastric cancer cells by promoting tryptophan metabolism.
5 Conclusions
In this study, we have demonstrated that PT inhibited the proliferation, migration, and invasion of gastric cancer cells. Subsequently, 13 key metabolites and 4 important metabolic pathways were identified through cell metabolomics screening. Combined with network pharmacology, we identified 7 effective active components, and the association network, PT–bioactive component–target gene–metabolic enzyme–metabolite, was constructed. This is the first development of a new comprehensive strategy based on metabolomics and network pharmacology to explore key targets and mechanisms of PT in the treatment of gastric cancer. This study provides data and theoretical support for in-depth research on its mechanism of action, laying the foundation for clinical applications. Further systematic molecular biology experiments are needed to verify the accurate mechanism. It also provides a new paradigm to determine the potential mechanisms of pharmacological effects of natural compounds.
Abbreviations
- DL
-
drug likeness
- PT
-
Pinellia ternata
- OB
-
oral bioavailability
- PPI
-
protein–protein interaction
- TCM
-
traditional Chinese medicine
Acknowledgements
Not applicable.
-
Funding information: This study was supported by the Suzhou University’s 2021 School-Level Scientific Research Platform (2021XJPT34 and 2021XJPT38ZC), the Key Natural Science Project of Anhui Provincial Education Department (2023AH052241 and 2023AH052242), the Anhui Provincial Health Research Project (AHWJ2023A20289 and AHWJ2023A10057), the Suzhou University Scientific Research Development Fund Project (2021fzjj03), and the Suzhou University Scientific Research Platform Open Project (2022ykf02).
-
Author contributions: F.F. and P.H. conceived and designed the experiments; X.K.T. performed the experiments; J.C., L.Y.W., and L.P. participated in the detection of cell metabolomics and analyzed the data; F.F., P.H., X.K.T., and C.Q.L. drafted the manuscript. All authors have been involved in critically revising the manuscript and have approved the final version.
-
Conflict of interest: The authors state that they have no conflict of interest.
-
Data availability statement: The data that support the findings of this study are available from the corresponding author upon reasonable request.
References
[1] Smyth EC, Nilsson M, Grabsch HI, van Grieken NC, Lordick F. Gastric cancer. Lancet. 2020;396(10251):635–48.10.1016/S0140-6736(20)31288-5Suche in Google Scholar PubMed
[2] Sung H, Ferlay J, Siegel RL, Laversanne M, Soerjomataram I, Jemal A, et al. Global cancer statistics 2020: GLOBOCAN estimates of incidence and mortality worldwide for 36 cancers in 185 countries. CA Cancer J Clin. 2021;71(3):209–49.10.3322/caac.21660Suche in Google Scholar PubMed
[3] Kole C, Charalampakis N, Tsakatikas S, Kouris NI, Papaxoinis G, Karamouzis MV, et al. Immunotherapy for gastric cancer: A 2021 update. Immunotherapy. 2022;14(1):41–64.10.2217/imt-2021-0103Suche in Google Scholar PubMed
[4] Ohnuma H, Sato Y, Hirakawa M, Kikuchi S, Miyanishi K, Sagawa T, et al. Docetaxel, cisplatin and S-1 (DCS) combination chemotherapy for gastric cancer patients with peritoneal metastasis: a retrospective study. Cancer Chemother Pharmacol. 2018;81(3):539–48.10.1007/s00280-018-3523-xSuche in Google Scholar PubMed
[5] Joshi SS, Badgwell BD. Current treatment and recent progress in gastric cancer. CA Cancer J Clin. 2021;71(3):264–79.10.3322/caac.21657Suche in Google Scholar PubMed PubMed Central
[6] Zeng Y, Jin RU. Molecular pathogenesis, targeted therapies, and future perspectives for gastric cancer. Semin Cancer Biol. 2022;86(Pt 3):566–82.10.1016/j.semcancer.2021.12.004Suche in Google Scholar PubMed
[7] McCubrey JA, Lertpiriyapong K, Steelman LS, Abrams SL, Yang LV, Murata RM, et al. Effects of resveratrol, curcumin, berberine and other nutraceuticals on aging, cancer development, cancer stem cells and microRNAs. Aging (Albany NY). 2017;9(6):1477–536.10.18632/aging.101250Suche in Google Scholar PubMed PubMed Central
[8] Izzo C, Annunziata M, Melara G, Sciorio R, Dallio M, Masarone M, et al. The role of resveratrol in liver disease: A comprehensive review from in vitro to clinical trials. Nutrients. 2021;13(3):933.10.3390/nu13030933Suche in Google Scholar PubMed PubMed Central
[9] Sarawi WS, Alhusaini AM, Fadda LM, Alomar HA, Albaker AB, Aljrboa AS, et al. Curcumin and nano-curcumin mitigate copper neurotoxicity by modulating oxidative stress, inflammation, and Akt/GSK-3β signaling. Molecules. 2021;26(18):5591.10.3390/molecules26185591Suche in Google Scholar PubMed PubMed Central
[10] Zhu H, Zhao H, Zhang L, Xu J, Zhu C, Zhao H, et al. Dandelion root extract suppressed gastric cancer cells proliferation and migration through targeting lncRNA-CCAT1. Biomed Pharmacother. 2017;93:1010–7.10.1016/j.biopha.2017.07.007Suche in Google Scholar PubMed
[11] Mann J. Natural products in cancer chemotherapy: Past, present and future. Nat Rev Cancer. 2002;2(2):143–8.10.1038/nrc723Suche in Google Scholar PubMed
[12] Mao R, He Z. Pinellia ternata (Thunb.) Breit: A review of its germplasm resources, genetic diversity and active components. J Ethnopharmacol. 2020;263:113252.10.1016/j.jep.2020.113252Suche in Google Scholar PubMed
[13] Lee JY, Park NH, Lee W, Kim EH, Jin YH, Seo EK, et al. Comprehensive chemical profiling of Pinellia species tuber and processed Pinellia tuber by gas chromatography-mass spectrometry and liquid chromatography-atmospheric pressure chemical ionization-tandem mass spectrometry. J Chromatogr A. 2016;1471:164–77.10.1016/j.chroma.2016.10.033Suche in Google Scholar PubMed
[14] Sun LM, Zhang B, Wang YC, He HK, Chen XG, Wang SJ. Metabolomic analysis of raw Pinelliae Rhizoma and its alum-processed products via UPLC-MS and their cytotoxicity. Biomed Chromatogr. 2019;33(2):e4411.10.1002/bmc.4411Suche in Google Scholar PubMed
[15] Du Z, Wang Q, Ma G, Jiao J, Jiang D, Zheng X, et al. Inhibition of Nrf2 promotes the antitumor effect of Pinelliae rhizome in papillary thyroid cancer. J Cell Physiol. 2019;234(8):13867–77.10.1002/jcp.28069Suche in Google Scholar PubMed
[16] Meng T, Liu J, Chang H, Qie R. Reverse predictive analysis of Rhizoma Pinelliae and Rhizoma Coptidis on differential miRNA target genes in lung adenocarcinoma. Med (Baltim). 2023;102(7):e32999.10.1097/MD.0000000000032999Suche in Google Scholar PubMed PubMed Central
[17] Wang EY, Wang JH, Ding R, Li ZQ, Zhai MT, Ge RR, et al. Network pharmacology research and experimental validation of “Coptidis Rhizoma-Pinelliae Rhizoma” in treating gastric carcinoma. Zhongguo Zhong Yao Za Zhi. 2020;45(8):1779–88 Chinese.10.1155/2020/8887982Suche in Google Scholar PubMed PubMed Central
[18] Li X, Qin XM, Tian JS, Gao XX, Du GH, Zhou YZ. Integrated network pharmacology and metabolomics to dissect the combination mechanisms of Bupleurum chinense DC-Paeonia lactiflora Pall herb pair for treating depression. J Ethnopharmacol. 2021;264:113281.10.1016/j.jep.2020.113281Suche in Google Scholar PubMed
[19] Ma YM, Zhang XZ, Su ZZ, Li N, Cao L, Ding G, et al. Insight into the molecular mechanism of a herbal injection by integrating network pharmacology and in vitro. J Ethnopharmacol. 2015;173:91–9.10.1016/j.jep.2015.07.016Suche in Google Scholar PubMed
[20] Zhang J, Liu X, Wu J, Zhou W, Tian J, Guo S, et al. A bioinformatics investigation into the pharmacological mechanisms of the effect of the Yinchenhao decoction on hepatitis C based on network pharmacology. BMC Complement Med Ther. 2020;20(1):50.10.1186/s12906-020-2823-ySuche in Google Scholar PubMed PubMed Central
[21] Johnson CH, Ivanisevic J, Siuzdak G. Metabolomics: beyond biomarkers and towards mechanisms. Nat Rev Mol Cell Biol. 2016;17(7):451–9.10.1038/nrm.2016.25Suche in Google Scholar PubMed PubMed Central
[22] Huang D, Yang Y, Song W, Jiang C, Zhang Y, Zhang A, et al. Untargeted metabonomic analysis of a cerebral stroke model in rats: A study based on UPLC-MS/MS. Front Neurosci. 2023;17:1084813.10.3389/fnins.2023.1084813Suche in Google Scholar PubMed PubMed Central
[23] Selegato DM, Zanatta AC, Pilon AC, Veloso JH, Castro-Gamboa I. Application of feature-based molecular networking and MassQL for the MS/MS fragmentation study of depsipeptides. Front Mol Biosci. 2023;10:1238475.10.3389/fmolb.2023.1238475Suche in Google Scholar PubMed PubMed Central
[24] Xu Y, Zhao B, Xu Z, Li X, Sun Q. Plasma metabolomic signatures of breast cancer. Front Med (Lausanne). 2023;10:1148542.10.3389/fmed.2023.1148542Suche in Google Scholar PubMed PubMed Central
[25] Yang QJ, Zhao JR, Hao J, Li B, Huo Y, Han YL, et al. Serum and urine metabolomics study reveals a distinct diagnostic model for cancer cachexia. J Cachexia Sarcopenia Muscle. 2018;9(1):71–85.10.1002/jcsm.12246Suche in Google Scholar PubMed PubMed Central
[26] Kumar A, Misra BB. Challenges and Opportunities in Cancer Metabolomics. Proteomics. 2019;19(21-22):e1900042.10.1002/pmic.201900042Suche in Google Scholar PubMed
[27] Hotea I, Sirbu C, Plotuna AM, Tîrziu E, Badea C, Berbecea A, et al. Integrating (Nutri-)metabolomics into the one health tendency-the key for personalized medicine advancement. Metabolites. 2023;13(7):800.10.3390/metabo13070800Suche in Google Scholar PubMed PubMed Central
[28] Pan L, Li Z, Wang Y, Zhang B, Liu G, Liu J. Network pharmacology and metabolomics study on the intervention of traditional Chinese medicine Huanglian Decoction in rats with type 2 diabetes mellitus. J Ethnopharmacol. 2020;258:112842.10.1016/j.jep.2020.112842Suche in Google Scholar PubMed
[29] Yan P, Wei Y, Wang M, Tao J, Ouyang H, Du Z, et al. Network pharmacology combined with metabolomics and lipidomics to reveal the hypolipidemic mechanism of Alismatis rhizoma in hyperlipidemic mice. Food Funct. 2022;13(8):4714–33.10.1039/D1FO04386BSuche in Google Scholar PubMed
[30] Ren JL, Dong H, Han Y, Yang L, Zhang AH, Sun H, et al. Network pharmacology combined with metabolomics approach to investigate the protective role and detoxification mechanism of Yunnan Baiyao formulation. Phytomedicine. 2020;77:153266.10.1016/j.phymed.2020.153266Suche in Google Scholar PubMed
[31] Agrawal S, Das R, Singh AK, Kumar P, Shukla PK, Bhattacharya I, et al. Network pharmacology-based anti-pancreatic cancer potential of kaempferol and catechin of Trema orientalis L. through computational approach. Med Oncol. 2023;40(5):133.10.1007/s12032-023-01996-wSuche in Google Scholar PubMed
[32] Pang Z, Zhou G, Ewald J, Chang L, Hacariz O, Basu N, et al. Using MetaboAnalyst 5.0 for LC-HRMS spectra processing, multi-omics integration and covariate adjustment of global metabolomics data. Nat Protoc. 2022;17(8):1735–61.10.1038/s41596-022-00710-wSuche in Google Scholar PubMed
[33] Zhu M, He Q, Wang Y, Duan L, Rong K, Wu Y, et al. Exploring the mechanism of aloe-emodin in the treatment of liver cancer through network pharmacology and cell experiments. Front Pharmacol. 2023;14:1238841.10.3389/fphar.2023.1238841Suche in Google Scholar PubMed PubMed Central
[34] Xiang B, Geng R, Zhang Z, Ji X, Zou J, Chen L, et al. Identification of the effect and mechanism of Yiyi Fuzi Baijiang powder against colorectal cancer using network pharmacology and experimental validation. Front Pharmacol. 2022;13:929836.10.3389/fphar.2022.929836Suche in Google Scholar PubMed PubMed Central
[35] Huang da W, Sherman BT, Lempicki RA. Systematic and integrative analysis of large gene lists using DAVID bioinformatics resources. Nat Protoc. 2009;4(1):44–57.10.1038/nprot.2008.211Suche in Google Scholar PubMed
[36] Amgalan B, Day CP, Przytycka TM. Exploring tumor-normal cross-talk with TranNet: Role of the environment in tumor progression. PLoS Comput Biol. 2023;19(9):e1011472.10.1371/journal.pcbi.1011472Suche in Google Scholar PubMed PubMed Central
[37] Bai J, Qi J, Yang L, Wang Z, Wang R, Shi Y. A comprehensive review on ethnopharmacological, phytochemical, pharmacological and toxicological evaluation, and quality control of Pinellia ternata (Thunb.) Breit. J Ethnopharmacol. 2022;298:115650.10.1016/j.jep.2022.115650Suche in Google Scholar PubMed
[38] Song S, Huang W, Lu X, Liu J, Zhou J, Li Y, et al. A network pharmacology study based on the mechanism of citri reticulatae pericarpium-pinelliae rhizoma in the treatment of gastric cancer. Evid Based Complement Altern Med. 2021;2021:6667560.10.1155/2021/6667560Suche in Google Scholar PubMed PubMed Central
[39] Kwon HJ, Park UH, Goh CJ, Park D, Lim YG, Lee IK, et al. Enhancing lung cancer classification through integration of liquid biopsy multi-omics data with machine learning techniques. Cancers (Basel). 2023;15(18):4556.10.3390/cancers15184556Suche in Google Scholar PubMed PubMed Central
[40] Zhang W, Lv M, Shi Y, Mu Y, Yao Z, Yang Z. Network pharmacology-based study of the underlying mechanisms of Huangqi Sijunzi decoction for Alzheimer’s Disease. Evid Based Complement Altern Med. 2021;2021:6480381.10.1155/2021/6480381Suche in Google Scholar PubMed PubMed Central
[41] Yang J, Li S. Molecular mechanism of Hedyotis Diffusae Herba in the treatment of lupus nephritis based on network pharmacology. Front Pharmacol. 2023;14:1118804.10.3389/fphar.2023.1118804Suche in Google Scholar PubMed PubMed Central
[42] Niu B, Xie X, Xiong X, Jiang J. Network pharmacology-based analysis of the anti-hyperglycemic active ingredients of roselle and experimental validation. Comput Biol Med. 2022;141:104636.10.1016/j.compbiomed.2021.104636Suche in Google Scholar PubMed
[43] Piazzesi A, Afsar SY, van Echten-Deckert G. Sphingolipid metabolism in the development and progression of cancer: one cancer’s help is another’s hindrance. Mol Oncol. 2021;15(12):3256–79.10.1002/1878-0261.13063Suche in Google Scholar PubMed PubMed Central
[44] Ogretmen B. Sphingolipid metabolism in cancer signalling and therapy. Nat Rev Cancer. 2018;18(1):33–50.10.1038/nrc.2017.96Suche in Google Scholar PubMed PubMed Central
[45] Sonkar K, Ayyappan V, Tressler CM, Adelaja O, Cai R, Cheng M, et al. Focus on the glycerophosphocholine pathway in choline phospholipid metabolism of cancer. NMR Biomed. 2019;32(10):e4112.10.1002/nbm.4112Suche in Google Scholar PubMed PubMed Central
[46] Lo Presti C, Yamaryo-Botté Y, Mondet J, Berthier S, Nutiu D, Botté C, et al. Variation in lipid species profiles among leukemic cells significantly impacts their sensitivity to the drug targeting of lipid metabolism and the prognosis of AML patients. Int J Mol Sci. 2023;24(6):5988.10.3390/ijms24065988Suche in Google Scholar PubMed PubMed Central
[47] Pyne NJ, El Buri A, Adams DR, Pyne S. Sphingosine 1-phosphate and cancer. Adv Biol Regul. 2018;68:97–106.10.1016/j.jbior.2017.09.006Suche in Google Scholar PubMed
[48] Uranbileg B, Kurano M, Kano K, Sakai E, Arita J, Hasegawa K, et al. Sphingosine 1-phosphate lyase facilitates cancer progression through converting sphingolipids to glycerophospholipids. Clin Transl Med. 2022;12(9):e1056.10.1002/ctm2.1056Suche in Google Scholar PubMed PubMed Central
[49] Di Virgilio F. Purines, purinergic receptors, and cancer. Cancer Res. 2012;72(21):5441–7.10.1158/0008-5472.CAN-12-1600Suche in Google Scholar PubMed
[50] Goswami MT, Chen G, Chakravarthi BV, Pathi SS, Anand SK, Carskadon SL, et al. Role and regulation of coordinately expressed de novo purine biosynthetic enzymes PPAT and PAICS in lung cancer. Oncotarget. 2015;6(27):23445–61.10.18632/oncotarget.4352Suche in Google Scholar PubMed PubMed Central
[51] Dominissini D, Moshitch-Moshkovitz S, Amariglio N, Rechavi G. Adenosine-to-inosine RNA editing meets cancer. Carcinogenesis. 2011;32(11):1569–77.10.1093/carcin/bgr124Suche in Google Scholar PubMed
[52] Yin J, Ren W, Huang X, Deng J, Li T, Yin Y. Potential mechanisms connecting purine metabolism and cancer therapy. Front Immunol. 2018;9:1697.10.3389/fimmu.2018.01697Suche in Google Scholar PubMed PubMed Central
[53] Grivas P, Koshkin VS, Pal SK. Cancer vaccines at the age of immune checkpoint inhibitors: reasonable approach as combination therapy in advanced urothelial carcinoma? Ann Oncol. 2017;28(4):680–2.10.1093/annonc/mdx063Suche in Google Scholar PubMed
[54] Rauner G, Barash I. Xanthosine administration does not affect the proportion of epithelial stem cells in bovine mammary tissue, but has a latent negative effect on cell proliferation. Exp Cell Res. 2014;328(1):186–96.10.1016/j.yexcr.2014.06.017Suche in Google Scholar PubMed
[55] Cheng XL, Zhou TY, Li B, Li MY, Li L, Li ZQ, et al. Methotrexate and 5-aminoimidazole-4-carboxamide riboside exert synergistic anticancer action against human breast cancer and hepatocellular carcinoma. Acta Pharmacol Sin. 2013;34(7):951–9.10.1038/aps.2013.16Suche in Google Scholar PubMed PubMed Central
[56] Platten M, Nollen EAA, Röhrig UF, Fallarino F, Opitz CA. Tryptophan metabolism as a common therapeutic target in cancer, neurodegeneration and beyond. Nat Rev Drug Discov. 2019;8(5):379–401.10.1038/s41573-019-0016-5Suche in Google Scholar PubMed
[57] Schollbach J, Löb S. Challenges in targeting the tryptophan metabolism in cancer immunotherapy. Aging (Albany NY). 2021;13(16):19952–53.10.18632/aging.203492Suche in Google Scholar PubMed PubMed Central
[58] Trott JF, Kim J, Abu Aboud O, Wettersten H, Stewart B, Berryhill G, et al. Inhibiting tryptophan metabolism enhances interferon therapy in kidney cancer. Oncotarget. 2016;7(41):66540–57.10.18632/oncotarget.11658Suche in Google Scholar PubMed PubMed Central
[59] Liu D, Liang CH, Huang B, Zhuang X, Cui W, Yang L, et al. Tryptophan metabolism acts as a new anti-ferroptotic pathway to mediate tumor growth. Adv Sci (Weinh). 2023;10(6):e2204006.10.1002/advs.202204006Suche in Google Scholar PubMed PubMed Central
© 2025 the author(s), published by De Gruyter
This work is licensed under the Creative Commons Attribution 4.0 International License.
Artikel in diesem Heft
- Research Articles
- Network pharmacological analysis and in vitro testing of the rutin effects on triple-negative breast cancer
- Impact of diabetes on long-term survival in elderly liver cancer patients: A retrospective study
- Knockdown of CCNB1 alleviates high glucose-triggered trophoblast dysfunction during gestational diabetes via Wnt/β-catenin signaling pathway
- Risk factors for severe adverse drug reactions in hospitalized patients
- Analysis of the effect of ALA-PDT on macrophages in footpad model of mice infected with Fonsecaea monophora based on single-cell sequencing
- Development and validation of headspace gas chromatography with a flame ionization detector method for the determination of ethanol in the vitreous humor
- CMSP exerts anti-tumor effects on small cell lung cancer cells by inducing mitochondrial dysfunction and ferroptosis
- Predictive value of plasma sB7-H3 and YKL-40 in pediatric refractory Mycoplasma pneumoniae pneumonia
- Antiangiogenic potential of Elaeagnus umbellata extracts and molecular docking study by targeting VEGFR-2 pathway
- Comparison of the effectiveness of nurse-led preoperative counseling and postoperative follow-up care vs standard care for patients with gastric cancer
- Comparing the therapeutic efficacy of endoscopic minimally invasive surgery and traditional surgery for early-stage breast cancer: A meta-analysis
- Adhered macrophages as an additional marker of cardiomyocyte injury in biopsies of patients with dilated cardiomyopathy
- Association between statin administration and outcome in patients with sepsis: A retrospective study
- Exploration of the association between estimated glucose disposal rate and osteoarthritis in middle-aged and older adults: An analysis of NHANES data from 2011 to 2018
- A comparative analysis of the binary and multiclass classified chest X-ray images of pneumonia and COVID-19 with ML and DL models
- Lysophosphatidic acid 2 alleviates deep vein thrombosis via protective endothelial barrier function
- Transcription factor A, mitochondrial promotes lymph node metastasis and lymphangiogenesis in epithelial ovarian carcinoma
- Serum PM20D1 levels are associated with nutritional status and inflammatory factors in gastric cancer patients undergoing early enteral nutrition
- Hydromorphone reduced the incidence of emergence agitation after adenotonsillectomy in children with obstructive sleep apnea: A randomized, double-blind study
- Vitamin D replacement therapy may regulate sleep habits in patients with restless leg syndrome
- The first-line antihypertensive nitrendipine potentiated the therapeutic effect of oxaliplatin by downregulating CACNA1D in colorectal cancer
- Health literacy and health-related quality of life: The mediating role of irrational happiness
- Modulatory effects of Lycium barbarum polysaccharide on bone cell dynamics in osteoporosis
- Mechanism research on inhibition of gastric cancer in vitro by the extract of Pinellia ternata based on network pharmacology and cellular metabolomics
- Examination of the causal role of immune cells in non-alcoholic fatty liver disease by a bidirectional Mendelian randomization study
- Clinical analysis of ten cases of HIV infection combined with acute leukemia
- Investigating the cardioprotective potential of quercetin against tacrolimus-induced cardiotoxicity in Wistar rats: A mechanistic insights
- Clinical observation of probiotics combined with mesalazine and Yiyi Baitouweng Decoction retention enema in treating mild-to-moderate ulcerative colitis
- Diagnostic value of ratio of blood inflammation to coagulation markers in periprosthetic joint infection
- Sex-specific associations of sex hormone binding globulin and risk of bladder cancer
- Core muscle strength and stability-oriented breathing training reduces inter-recti distance in postpartum women
- The ERAS nursing care strategy for patients undergoing transsphenoidal endoscopic pituitary tumor resection: A randomized blinded controlled trial
- The serum IL-17A levels in patients with traumatic bowel rupture post-surgery and its predictive value for patient prognosis
- Impact of Kolb’s experiential learning theory-based nursing on caregiver burden and psychological state of caregivers of dementia patients
- Analysis of serum NLR combined with intraoperative margin condition to predict the prognosis of cervical HSIL patients undergoing LEEP surgery
- Commiphora gileadensis ameliorate infertility and erectile dysfunction in diabetic male mice
- The correlation between epithelial–mesenchymal transition classification and MMP2 expression of circulating tumor cells and prognosis of advanced or metastatic nasopharyngeal carcinoma
- Tetrahydropalmatine improves mitochondrial function in vascular smooth muscle cells of atherosclerosis in vitro by inhibiting Ras homolog gene family A/Rho-associated protein kinase-1 signaling pathway
- A cross-sectional study: Relationship between serum oxidative stress levels and arteriovenous fistula maturation in maintenance dialysis patients
- A comparative analysis of the impact of repeated administration of flavan 3-ol on brown, subcutaneous, and visceral adipose tissue
- Identifying early screening factors for depression in middle-aged and older adults: A cohort study
- Perform tumor-specific survival analysis for Merkel cell carcinoma patients undergoing surgical resection based on the SEER database by constructing a nomogram chart
- Unveiling the role of CXCL10 in pancreatic cancer progression: A novel prognostic indicator
- High-dose preoperative intraperitoneal erythropoietin and intravenous methylprednisolone in acute traumatic spinal cord injuries following decompression surgeries
- RAB39B: A novel biomarker for acute myeloid leukemia identified via multi-omics and functional validation
- Impact of peripheral conditioning on reperfusion injury following primary percutaneous coronary intervention in diabetic and non-diabetic STEMI patients
- Clinical efficacy of azacitidine in the treatment of middle- and high-risk myelodysplastic syndrome in middle-aged and elderly patients: A retrospective study
- The effect of ambulatory blood pressure load on mitral regurgitation in continuous ambulatory peritoneal dialysis patients
- Expression and clinical significance of ITGA3 in breast cancer
- Single-nucleus RNA sequencing reveals ARHGAP28 expression of podocytes as a biomarker in human diabetic nephropathy
- rSIG combined with NLR in the prognostic assessment of patients with multiple injuries
- Toxic metals and metalloids in collagen supplements of fish and jellyfish origin: Risk assessment for daily intake
- Exploring causal relationship between 41 inflammatory cytokines and marginal zone lymphoma: A bidirectional Mendelian randomization study
- Gender beliefs and legitimization of dating violence in adolescents
- Effect of serum IL-6, CRP, and MMP-9 levels on the efficacy of modified preperitoneal Kugel repair in patients with inguinal hernia
- Effect of smoking and smoking cessation on hematological parameters in polycythemic patients
- Pathogen surveillance and risk factors for pulmonary infection in patients with lung cancer: A retrospective single-center study
- Necroptosis of hippocampal neurons in paclitaxel chemotherapy-induced cognitive impairment mediates microglial activation via TLR4/MyD88 signaling pathway
- Celastrol suppresses neovascularization in rat aortic vascular endothelial cells stimulated by inflammatory tenocytes via modulating the NLRP3 pathway
- Cord-lamina angle and foraminal diameter as key predictors of C5 palsy after anterior cervical decompression and fusion surgery
- GATA1: A key biomarker for predicting the prognosis of patients with diffuse large B-cell lymphoma
- Influencing factors of false lumen thrombosis in type B aortic dissection: A single-center retrospective study
- MZB1 regulates the immune microenvironment and inhibits ovarian cancer cell migration
- Integrating experimental and network pharmacology to explore the pharmacological mechanisms of Dioscin against glioblastoma
- Trends in research on preterm birth in twin pregnancy based on bibliometrics
- Four-week IgE/baseline IgE ratio combined with tryptase predicts clinical outcome in omalizumab-treated children with moderate-to-severe asthma
- Single-cell transcriptomic analysis identifies a stress response Schwann cell subtype
- Acute pancreatitis risk in the diagnosis and management of inflammatory bowel disease: A critical focus
- Effect of subclinical esketamine on NLRP3 and cognitive dysfunction in elderly ischemic stroke patients
- Interleukin-37 mediates the anti-oral tumor activity in oral cancer through STAT3
- CA199 and CEA expression levels, and minimally invasive postoperative prognosis analysis in esophageal squamous carcinoma patients
- Efficacy of a novel drainage catheter in the treatment of CSF leak after posterior spine surgery: A retrospective cohort study
- Comprehensive biomedicine assessment of Apteranthes tuberculata extracts: Phytochemical analysis and multifaceted pharmacological evaluation in animal models
- Relation of time in range to severity of coronary artery disease in patients with type 2 diabetes: A cross-sectional study
- Dopamine attenuates ethanol-induced neuronal apoptosis by stimulating electrical activity in the developing rat retina
- Correlation between albumin levels during the third trimester and the risk of postpartum levator ani muscle rupture
- Factors associated with maternal attention and distraction during breastfeeding and childcare: A cross-sectional study in the west of Iran
- Mechanisms of hesperetin in treating metabolic dysfunction-associated steatosis liver disease via network pharmacology and in vitro experiments
- The law on oncological oblivion in the Italian and European context: How to best uphold the cancer patients’ rights to privacy and self-determination?
- The prognostic value of the neutrophil-to-lymphocyte ratio, platelet-to-lymphocyte ratio, and prognostic nutritional index for survival in patients with colorectal cancer
- Factors affecting the measurements of peripheral oxygen saturation values in healthy young adults
- Comparison and correlations between findings of hysteroscopy and vaginal color Doppler ultrasonography for detection of uterine abnormalities in patients with recurrent implantation failure
- The effects of different types of RAGT on balance function in stroke patients with low levels of independent walking in a convalescent rehabilitation hospital
- Causal relationship between asthma and ankylosing spondylitis: A bidirectional two-sample univariable and multivariable Mendelian randomization study
- Correlations of health literacy with individuals’ understanding and use of medications in Southern Taiwan
- Correlation of serum calprotectin with outcome of acute cerebral infarction
- Comparison of computed tomography and guided bronchoscopy in the diagnosis of pulmonary nodules: A systematic review and meta-analysis
- Curdione protects vascular endothelial cells and atherosclerosis via the regulation of DNMT1-mediated ERBB4 promoter methylation
- The identification of novel missense variant in ChAT gene in a patient with gestational diabetes denotes plausible genetic association
- Molecular genotyping of multi-system rare blood types in foreign blood donors based on DNA sequencing and its clinical significance
- Exploring the role of succinyl carnitine in the association between CD39⁺ CD4⁺ T cell and ulcerative colitis: A Mendelian randomization study
- Dexmedetomidine suppresses microglial activation in postoperative cognitive dysfunction via the mmu-miRNA-125/TRAF6 signaling axis
- Analysis of serum metabolomics in patients with different types of chronic heart failure
- Diagnostic value of hematological parameters in the early diagnosis of acute cholecystitis
- Pachymaran alleviates fat accumulation, hepatocyte degeneration, and injury in mice with nonalcoholic fatty liver disease
- Decrease in CD4 and CD8 lymphocytes are predictors of severe clinical picture and unfavorable outcome of the disease in patients with COVID-19
- METTL3 blocked the progression of diabetic retinopathy through m6A-modified SOX2
- The predictive significance of anti-RO-52 antibody in patients with interstitial pneumonia after treatment of malignant tumors
- Exploring cerebrospinal fluid metabolites, cognitive function, and brain atrophy: Insights from Mendelian randomization
- Development and validation of potential molecular subtypes and signatures of ocular sarcoidosis based on autophagy-related gene analysis
- Widespread venous thrombosis: Unveiling a complex case of Behçet’s disease with a literature perspective
- Uterine fibroid embolization: An analysis of clinical outcomes and impact on patients’ quality of life
- Discovery of lipid metabolism-related diagnostic biomarkers and construction of diagnostic model in steroid-induced osteonecrosis of femoral head
- Serum-derived exomiR-188-3p is a promising novel biomarker for early-stage ovarian cancer
- Enhancing chronic back pain management: A comparative study of ultrasound–MRI fusion guidance for paravertebral nerve block
- Peptide CCAT1-70aa promotes hepatocellular carcinoma proliferation and invasion via the MAPK/ERK pathway
- Electroacupuncture-induced reduction of myocardial ischemia–reperfusion injury via FTO-dependent m6A methylation modulation
- Hemorrhoids and cardiovascular disease: A bidirectional Mendelian randomization study
- Cell-free adipose extract inhibits hypertrophic scar formation through collagen remodeling and antiangiogenesis
- HALP score in Demodex blepharitis: A case–control study
- Assessment of SOX2 performance as a marker for circulating cancer stem-like cells (CCSCs) identification in advanced breast cancer patients using CytoTrack system
- Risk and prognosis for brain metastasis in primary metastatic cervical cancer patients: A population-based study
- Comparison of the two intestinal anastomosis methods in pediatric patients
- Factors influencing hematological toxicity and adverse effects of perioperative hyperthermic intraperitoneal vs intraperitoneal chemotherapy in gastrointestinal cancer
- Endotoxin tolerance inhibits NLRP3 inflammasome activation in macrophages of septic mice by restoring autophagic flux through TRIM26
- Lateral transperitoneal laparoscopic adrenalectomy: A single-centre experience of 21 procedures
- Petunidin attenuates lipopolysaccharide-induced retinal microglia inflammatory response in diabetic retinopathy by targeting OGT/NF-κB/LCN2 axis
- Procalcitonin and C-reactive protein as biomarkers for diagnosing and assessing the severity of acute cholecystitis
- Factors determining the number of sessions in successful extracorporeal shock wave lithotripsy patients
- Development of a nomogram for predicting cancer-specific survival in patients with renal pelvic cancer following surgery
- Inhibition of ATG7 promotes orthodontic tooth movement by regulating the RANKL/OPG ratio under compression force
- A machine learning-based prognostic model integrating mRNA stemness index, hypoxia, and glycolysis‑related biomarkers for colorectal cancer
- Glutathione attenuates sepsis-associated encephalopathy via dual modulation of NF-κB and PKA/CREB pathways
- FAHD1 prevents neuronal ferroptosis by modulating R-loop and the cGAS–STING pathway
- Association of placenta weight and morphology with term low birth weight: A case–control study
- Investigation of the pathogenic variants induced Sjogren’s syndrome in Turkish population
- Nucleotide metabolic abnormalities in post-COVID-19 condition and type 2 diabetes mellitus patients and their association with endocrine dysfunction
- TGF-β–Smad2/3 signaling in high-altitude pulmonary hypertension in rats: Role and mechanisms via macrophage M2 polarization
- Ultrasound-guided unilateral versus bilateral erector spinae plane block for postoperative analgesia of patients undergoing laparoscopic cholecystectomy
- Profiling gut microbiome dynamics in subacute thyroiditis: Implications for pathogenesis, diagnosis, and treatment
- Delta neutrophil index, CRP/albumin ratio, procalcitonin, immature granulocytes, and HALP score in acute appendicitis: Best performing biomarker?
- Anticancer activity mechanism of novelly synthesized and characterized benzofuran ring-linked 3-nitrophenyl chalcone derivative on colon cancer cells
- H2valdien3 arrests the cell cycle and induces apoptosis of gastric cancer
- 10.1515/med-2025-1283
- Review Articles
- The effects of enhanced external counter-pulsation on post-acute sequelae of COVID-19: A narrative review
- Diabetes-related cognitive impairment: Mechanisms, symptoms, and treatments
- Microscopic changes and gross morphology of placenta in women affected by gestational diabetes mellitus in dietary treatment: A systematic review
- Review of mechanisms and frontier applications in IL-17A-induced hypertension
- Research progress on the correlation between islet amyloid peptides and type 2 diabetes mellitus
- The safety and efficacy of BCG combined with mitomycin C compared with BCG monotherapy in patients with non-muscle-invasive bladder cancer: A systematic review and meta-analysis
- The application of augmented reality in robotic general surgery: A mini-review
- The effect of Greek mountain tea extract and wheat germ extract on peripheral blood flow and eicosanoid metabolism in mammals
- Neurogasobiology of migraine: Carbon monoxide, hydrogen sulfide, and nitric oxide as emerging pathophysiological trinacrium relevant to nociception regulation
- Plant polyphenols, terpenes, and terpenoids in oral health
- Laboratory medicine between technological innovation, rights safeguarding, and patient safety: A bioethical perspective
- End-of-life in cancer patients: Medicolegal implications and ethical challenges in Europe
- The maternal factors during pregnancy for intrauterine growth retardation: An umbrella review
- Intra-abdominal hypertension/abdominal compartment syndrome of pediatric patients in critical care settings
- PI3K/Akt pathway and neuroinflammation in sepsis-associated encephalopathy
- Screening of Group B Streptococcus in pregnancy: A systematic review for the laboratory detection
- Giant borderline ovarian tumours – review of the literature
- Leveraging artificial intelligence for collaborative care planning: Innovations and impacts in shared decision-making – A systematic review
- Cholera epidemiology analysis through the experience of the 1973 Naples epidemic
- Risk factors of frailty/sarcopenia in community older adults: Meta-analysis
- Supplement strategies for infertility in overweight women: Evidence and legal insights
- Scurvy, a not obsolete disorder: Clinical report in eight young children and literature review
- A meta-analysis of the effects of DBS on cognitive function in patients with advanced PD
- Case Reports
- Delayed graft function after renal transplantation
- Semaglutide treatment for type 2 diabetes in a patient with chronic myeloid leukemia: A case report and review of the literature
- Diverse electrophysiological demyelinating features in a late-onset glycogen storage disease type IIIa case
- Giant right atrial hemangioma presenting with ascites: A case report
- Laser excision of a large granular cell tumor of the vocal cord with subglottic extension: A case report
- EsoFLIP-assisted dilation for dysphagia in systemic sclerosis: Highlighting the role of multimodal esophageal evaluation
- Molecular hydrogen-rhodiola as an adjuvant therapy for ischemic stroke in internal carotid artery occlusion: A case report
- Coronary artery anomalies: A case of the “malignant” left coronary artery and its surgical management
- Rapid Communication
- Biological properties of valve materials using RGD and EC
-
A single oral administration of flavanols enhances short
-term memory in mice along with increased brain-derived neurotrophic factor - Letter to the Editor
- Role of enhanced external counterpulsation in long COVID
- Expression of Concern
- Expression of concern “A ceRNA network mediated by LINC00475 in papillary thyroid carcinoma”
- Expression of concern “Notoginsenoside R1 alleviates spinal cord injury through the miR-301a/KLF7 axis to activate Wnt/β-catenin pathway”
- Expression of concern “circ_0020123 promotes cell proliferation and migration in lung adenocarcinoma via PDZD8”
- Corrigendum
- Corrigendum to “Empagliflozin improves aortic injury in obese mice by regulating fatty acid metabolism”
- Corrigendum to “Comparing the therapeutic efficacy of endoscopic minimally invasive surgery and traditional surgery for early-stage breast cancer: A meta-analysis”
- Corrigendum to “The progress of autoimmune hepatitis research and future challenges”
- Retraction
- Retraction of “miR-654-5p promotes gastric cancer progression via the GPRIN1/NF-κB pathway”
- Special Issue Advancements in oncology: bridging clinical and experimental research - Part II
- Unveiling novel biomarkers for platinum chemoresistance in ovarian cancer
- Lathyrol affects the expression of AR and PSA and inhibits the malignant behavior of RCC cells
- The era of increasing cancer survivorship: Trends in fertility preservation, medico-legal implications, and ethical challenges
- Bone scintigraphy and positron emission tomography in the early diagnosis of MRONJ
- Meta-analysis of clinical efficacy and safety of immunotherapy combined with chemotherapy in non-small cell lung cancer
- Special Issue Computational Intelligence Methodologies Meets Recurrent Cancers - Part IV
- Exploration of mRNA-modifying METTL3 oncogene as momentous prognostic biomarker responsible for colorectal cancer development
- Special Issue The evolving saga of RNAs from bench to bedside - Part III
- Interaction and verification of ferroptosis-related RNAs Rela and Stat3 in promoting sepsis-associated acute kidney injury
- The mRNA MOXD1: Link to oxidative stress and prognostic significance in gastric cancer
- Special Issue Exploring the biological mechanism of human diseases based on MultiOmics Technology - Part II
- Dynamic changes in lactate-related genes in microglia and their role in immune cell interactions after ischemic stroke
- A prognostic model correlated with fatty acid metabolism in Ewing’s sarcoma based on bioinformatics analysis
- Red cell distribution width predicts early kidney injury: A NHANES cross-sectional study
- Special Issue Diabetes mellitus: pathophysiology, complications & treatment
- Nutritional risk assessment and nutritional support in children with congenital diabetes during surgery
- Correlation of the differential expressions of RANK, RANKL, and OPG with obesity in the elderly population in Xinjiang
- A discussion on the application of fluorescence micro-optical sectioning tomography in the research of cognitive dysfunction in diabetes
- A review of brain research on T2DM-related cognitive dysfunction
- Metformin and estrogen modulation in LABC with T2DM: A 36-month randomized trial
- Special Issue Innovative Biomarker Discovery and Precision Medicine in Cancer Diagnostics
- CircASH1L-mediated tumor progression in triple-negative breast cancer: PI3K/AKT pathway mechanisms
Artikel in diesem Heft
- Research Articles
- Network pharmacological analysis and in vitro testing of the rutin effects on triple-negative breast cancer
- Impact of diabetes on long-term survival in elderly liver cancer patients: A retrospective study
- Knockdown of CCNB1 alleviates high glucose-triggered trophoblast dysfunction during gestational diabetes via Wnt/β-catenin signaling pathway
- Risk factors for severe adverse drug reactions in hospitalized patients
- Analysis of the effect of ALA-PDT on macrophages in footpad model of mice infected with Fonsecaea monophora based on single-cell sequencing
- Development and validation of headspace gas chromatography with a flame ionization detector method for the determination of ethanol in the vitreous humor
- CMSP exerts anti-tumor effects on small cell lung cancer cells by inducing mitochondrial dysfunction and ferroptosis
- Predictive value of plasma sB7-H3 and YKL-40 in pediatric refractory Mycoplasma pneumoniae pneumonia
- Antiangiogenic potential of Elaeagnus umbellata extracts and molecular docking study by targeting VEGFR-2 pathway
- Comparison of the effectiveness of nurse-led preoperative counseling and postoperative follow-up care vs standard care for patients with gastric cancer
- Comparing the therapeutic efficacy of endoscopic minimally invasive surgery and traditional surgery for early-stage breast cancer: A meta-analysis
- Adhered macrophages as an additional marker of cardiomyocyte injury in biopsies of patients with dilated cardiomyopathy
- Association between statin administration and outcome in patients with sepsis: A retrospective study
- Exploration of the association between estimated glucose disposal rate and osteoarthritis in middle-aged and older adults: An analysis of NHANES data from 2011 to 2018
- A comparative analysis of the binary and multiclass classified chest X-ray images of pneumonia and COVID-19 with ML and DL models
- Lysophosphatidic acid 2 alleviates deep vein thrombosis via protective endothelial barrier function
- Transcription factor A, mitochondrial promotes lymph node metastasis and lymphangiogenesis in epithelial ovarian carcinoma
- Serum PM20D1 levels are associated with nutritional status and inflammatory factors in gastric cancer patients undergoing early enteral nutrition
- Hydromorphone reduced the incidence of emergence agitation after adenotonsillectomy in children with obstructive sleep apnea: A randomized, double-blind study
- Vitamin D replacement therapy may regulate sleep habits in patients with restless leg syndrome
- The first-line antihypertensive nitrendipine potentiated the therapeutic effect of oxaliplatin by downregulating CACNA1D in colorectal cancer
- Health literacy and health-related quality of life: The mediating role of irrational happiness
- Modulatory effects of Lycium barbarum polysaccharide on bone cell dynamics in osteoporosis
- Mechanism research on inhibition of gastric cancer in vitro by the extract of Pinellia ternata based on network pharmacology and cellular metabolomics
- Examination of the causal role of immune cells in non-alcoholic fatty liver disease by a bidirectional Mendelian randomization study
- Clinical analysis of ten cases of HIV infection combined with acute leukemia
- Investigating the cardioprotective potential of quercetin against tacrolimus-induced cardiotoxicity in Wistar rats: A mechanistic insights
- Clinical observation of probiotics combined with mesalazine and Yiyi Baitouweng Decoction retention enema in treating mild-to-moderate ulcerative colitis
- Diagnostic value of ratio of blood inflammation to coagulation markers in periprosthetic joint infection
- Sex-specific associations of sex hormone binding globulin and risk of bladder cancer
- Core muscle strength and stability-oriented breathing training reduces inter-recti distance in postpartum women
- The ERAS nursing care strategy for patients undergoing transsphenoidal endoscopic pituitary tumor resection: A randomized blinded controlled trial
- The serum IL-17A levels in patients with traumatic bowel rupture post-surgery and its predictive value for patient prognosis
- Impact of Kolb’s experiential learning theory-based nursing on caregiver burden and psychological state of caregivers of dementia patients
- Analysis of serum NLR combined with intraoperative margin condition to predict the prognosis of cervical HSIL patients undergoing LEEP surgery
- Commiphora gileadensis ameliorate infertility and erectile dysfunction in diabetic male mice
- The correlation between epithelial–mesenchymal transition classification and MMP2 expression of circulating tumor cells and prognosis of advanced or metastatic nasopharyngeal carcinoma
- Tetrahydropalmatine improves mitochondrial function in vascular smooth muscle cells of atherosclerosis in vitro by inhibiting Ras homolog gene family A/Rho-associated protein kinase-1 signaling pathway
- A cross-sectional study: Relationship between serum oxidative stress levels and arteriovenous fistula maturation in maintenance dialysis patients
- A comparative analysis of the impact of repeated administration of flavan 3-ol on brown, subcutaneous, and visceral adipose tissue
- Identifying early screening factors for depression in middle-aged and older adults: A cohort study
- Perform tumor-specific survival analysis for Merkel cell carcinoma patients undergoing surgical resection based on the SEER database by constructing a nomogram chart
- Unveiling the role of CXCL10 in pancreatic cancer progression: A novel prognostic indicator
- High-dose preoperative intraperitoneal erythropoietin and intravenous methylprednisolone in acute traumatic spinal cord injuries following decompression surgeries
- RAB39B: A novel biomarker for acute myeloid leukemia identified via multi-omics and functional validation
- Impact of peripheral conditioning on reperfusion injury following primary percutaneous coronary intervention in diabetic and non-diabetic STEMI patients
- Clinical efficacy of azacitidine in the treatment of middle- and high-risk myelodysplastic syndrome in middle-aged and elderly patients: A retrospective study
- The effect of ambulatory blood pressure load on mitral regurgitation in continuous ambulatory peritoneal dialysis patients
- Expression and clinical significance of ITGA3 in breast cancer
- Single-nucleus RNA sequencing reveals ARHGAP28 expression of podocytes as a biomarker in human diabetic nephropathy
- rSIG combined with NLR in the prognostic assessment of patients with multiple injuries
- Toxic metals and metalloids in collagen supplements of fish and jellyfish origin: Risk assessment for daily intake
- Exploring causal relationship between 41 inflammatory cytokines and marginal zone lymphoma: A bidirectional Mendelian randomization study
- Gender beliefs and legitimization of dating violence in adolescents
- Effect of serum IL-6, CRP, and MMP-9 levels on the efficacy of modified preperitoneal Kugel repair in patients with inguinal hernia
- Effect of smoking and smoking cessation on hematological parameters in polycythemic patients
- Pathogen surveillance and risk factors for pulmonary infection in patients with lung cancer: A retrospective single-center study
- Necroptosis of hippocampal neurons in paclitaxel chemotherapy-induced cognitive impairment mediates microglial activation via TLR4/MyD88 signaling pathway
- Celastrol suppresses neovascularization in rat aortic vascular endothelial cells stimulated by inflammatory tenocytes via modulating the NLRP3 pathway
- Cord-lamina angle and foraminal diameter as key predictors of C5 palsy after anterior cervical decompression and fusion surgery
- GATA1: A key biomarker for predicting the prognosis of patients with diffuse large B-cell lymphoma
- Influencing factors of false lumen thrombosis in type B aortic dissection: A single-center retrospective study
- MZB1 regulates the immune microenvironment and inhibits ovarian cancer cell migration
- Integrating experimental and network pharmacology to explore the pharmacological mechanisms of Dioscin against glioblastoma
- Trends in research on preterm birth in twin pregnancy based on bibliometrics
- Four-week IgE/baseline IgE ratio combined with tryptase predicts clinical outcome in omalizumab-treated children with moderate-to-severe asthma
- Single-cell transcriptomic analysis identifies a stress response Schwann cell subtype
- Acute pancreatitis risk in the diagnosis and management of inflammatory bowel disease: A critical focus
- Effect of subclinical esketamine on NLRP3 and cognitive dysfunction in elderly ischemic stroke patients
- Interleukin-37 mediates the anti-oral tumor activity in oral cancer through STAT3
- CA199 and CEA expression levels, and minimally invasive postoperative prognosis analysis in esophageal squamous carcinoma patients
- Efficacy of a novel drainage catheter in the treatment of CSF leak after posterior spine surgery: A retrospective cohort study
- Comprehensive biomedicine assessment of Apteranthes tuberculata extracts: Phytochemical analysis and multifaceted pharmacological evaluation in animal models
- Relation of time in range to severity of coronary artery disease in patients with type 2 diabetes: A cross-sectional study
- Dopamine attenuates ethanol-induced neuronal apoptosis by stimulating electrical activity in the developing rat retina
- Correlation between albumin levels during the third trimester and the risk of postpartum levator ani muscle rupture
- Factors associated with maternal attention and distraction during breastfeeding and childcare: A cross-sectional study in the west of Iran
- Mechanisms of hesperetin in treating metabolic dysfunction-associated steatosis liver disease via network pharmacology and in vitro experiments
- The law on oncological oblivion in the Italian and European context: How to best uphold the cancer patients’ rights to privacy and self-determination?
- The prognostic value of the neutrophil-to-lymphocyte ratio, platelet-to-lymphocyte ratio, and prognostic nutritional index for survival in patients with colorectal cancer
- Factors affecting the measurements of peripheral oxygen saturation values in healthy young adults
- Comparison and correlations between findings of hysteroscopy and vaginal color Doppler ultrasonography for detection of uterine abnormalities in patients with recurrent implantation failure
- The effects of different types of RAGT on balance function in stroke patients with low levels of independent walking in a convalescent rehabilitation hospital
- Causal relationship between asthma and ankylosing spondylitis: A bidirectional two-sample univariable and multivariable Mendelian randomization study
- Correlations of health literacy with individuals’ understanding and use of medications in Southern Taiwan
- Correlation of serum calprotectin with outcome of acute cerebral infarction
- Comparison of computed tomography and guided bronchoscopy in the diagnosis of pulmonary nodules: A systematic review and meta-analysis
- Curdione protects vascular endothelial cells and atherosclerosis via the regulation of DNMT1-mediated ERBB4 promoter methylation
- The identification of novel missense variant in ChAT gene in a patient with gestational diabetes denotes plausible genetic association
- Molecular genotyping of multi-system rare blood types in foreign blood donors based on DNA sequencing and its clinical significance
- Exploring the role of succinyl carnitine in the association between CD39⁺ CD4⁺ T cell and ulcerative colitis: A Mendelian randomization study
- Dexmedetomidine suppresses microglial activation in postoperative cognitive dysfunction via the mmu-miRNA-125/TRAF6 signaling axis
- Analysis of serum metabolomics in patients with different types of chronic heart failure
- Diagnostic value of hematological parameters in the early diagnosis of acute cholecystitis
- Pachymaran alleviates fat accumulation, hepatocyte degeneration, and injury in mice with nonalcoholic fatty liver disease
- Decrease in CD4 and CD8 lymphocytes are predictors of severe clinical picture and unfavorable outcome of the disease in patients with COVID-19
- METTL3 blocked the progression of diabetic retinopathy through m6A-modified SOX2
- The predictive significance of anti-RO-52 antibody in patients with interstitial pneumonia after treatment of malignant tumors
- Exploring cerebrospinal fluid metabolites, cognitive function, and brain atrophy: Insights from Mendelian randomization
- Development and validation of potential molecular subtypes and signatures of ocular sarcoidosis based on autophagy-related gene analysis
- Widespread venous thrombosis: Unveiling a complex case of Behçet’s disease with a literature perspective
- Uterine fibroid embolization: An analysis of clinical outcomes and impact on patients’ quality of life
- Discovery of lipid metabolism-related diagnostic biomarkers and construction of diagnostic model in steroid-induced osteonecrosis of femoral head
- Serum-derived exomiR-188-3p is a promising novel biomarker for early-stage ovarian cancer
- Enhancing chronic back pain management: A comparative study of ultrasound–MRI fusion guidance for paravertebral nerve block
- Peptide CCAT1-70aa promotes hepatocellular carcinoma proliferation and invasion via the MAPK/ERK pathway
- Electroacupuncture-induced reduction of myocardial ischemia–reperfusion injury via FTO-dependent m6A methylation modulation
- Hemorrhoids and cardiovascular disease: A bidirectional Mendelian randomization study
- Cell-free adipose extract inhibits hypertrophic scar formation through collagen remodeling and antiangiogenesis
- HALP score in Demodex blepharitis: A case–control study
- Assessment of SOX2 performance as a marker for circulating cancer stem-like cells (CCSCs) identification in advanced breast cancer patients using CytoTrack system
- Risk and prognosis for brain metastasis in primary metastatic cervical cancer patients: A population-based study
- Comparison of the two intestinal anastomosis methods in pediatric patients
- Factors influencing hematological toxicity and adverse effects of perioperative hyperthermic intraperitoneal vs intraperitoneal chemotherapy in gastrointestinal cancer
- Endotoxin tolerance inhibits NLRP3 inflammasome activation in macrophages of septic mice by restoring autophagic flux through TRIM26
- Lateral transperitoneal laparoscopic adrenalectomy: A single-centre experience of 21 procedures
- Petunidin attenuates lipopolysaccharide-induced retinal microglia inflammatory response in diabetic retinopathy by targeting OGT/NF-κB/LCN2 axis
- Procalcitonin and C-reactive protein as biomarkers for diagnosing and assessing the severity of acute cholecystitis
- Factors determining the number of sessions in successful extracorporeal shock wave lithotripsy patients
- Development of a nomogram for predicting cancer-specific survival in patients with renal pelvic cancer following surgery
- Inhibition of ATG7 promotes orthodontic tooth movement by regulating the RANKL/OPG ratio under compression force
- A machine learning-based prognostic model integrating mRNA stemness index, hypoxia, and glycolysis‑related biomarkers for colorectal cancer
- Glutathione attenuates sepsis-associated encephalopathy via dual modulation of NF-κB and PKA/CREB pathways
- FAHD1 prevents neuronal ferroptosis by modulating R-loop and the cGAS–STING pathway
- Association of placenta weight and morphology with term low birth weight: A case–control study
- Investigation of the pathogenic variants induced Sjogren’s syndrome in Turkish population
- Nucleotide metabolic abnormalities in post-COVID-19 condition and type 2 diabetes mellitus patients and their association with endocrine dysfunction
- TGF-β–Smad2/3 signaling in high-altitude pulmonary hypertension in rats: Role and mechanisms via macrophage M2 polarization
- Ultrasound-guided unilateral versus bilateral erector spinae plane block for postoperative analgesia of patients undergoing laparoscopic cholecystectomy
- Profiling gut microbiome dynamics in subacute thyroiditis: Implications for pathogenesis, diagnosis, and treatment
- Delta neutrophil index, CRP/albumin ratio, procalcitonin, immature granulocytes, and HALP score in acute appendicitis: Best performing biomarker?
- Anticancer activity mechanism of novelly synthesized and characterized benzofuran ring-linked 3-nitrophenyl chalcone derivative on colon cancer cells
- H2valdien3 arrests the cell cycle and induces apoptosis of gastric cancer
- 10.1515/med-2025-1283
- Review Articles
- The effects of enhanced external counter-pulsation on post-acute sequelae of COVID-19: A narrative review
- Diabetes-related cognitive impairment: Mechanisms, symptoms, and treatments
- Microscopic changes and gross morphology of placenta in women affected by gestational diabetes mellitus in dietary treatment: A systematic review
- Review of mechanisms and frontier applications in IL-17A-induced hypertension
- Research progress on the correlation between islet amyloid peptides and type 2 diabetes mellitus
- The safety and efficacy of BCG combined with mitomycin C compared with BCG monotherapy in patients with non-muscle-invasive bladder cancer: A systematic review and meta-analysis
- The application of augmented reality in robotic general surgery: A mini-review
- The effect of Greek mountain tea extract and wheat germ extract on peripheral blood flow and eicosanoid metabolism in mammals
- Neurogasobiology of migraine: Carbon monoxide, hydrogen sulfide, and nitric oxide as emerging pathophysiological trinacrium relevant to nociception regulation
- Plant polyphenols, terpenes, and terpenoids in oral health
- Laboratory medicine between technological innovation, rights safeguarding, and patient safety: A bioethical perspective
- End-of-life in cancer patients: Medicolegal implications and ethical challenges in Europe
- The maternal factors during pregnancy for intrauterine growth retardation: An umbrella review
- Intra-abdominal hypertension/abdominal compartment syndrome of pediatric patients in critical care settings
- PI3K/Akt pathway and neuroinflammation in sepsis-associated encephalopathy
- Screening of Group B Streptococcus in pregnancy: A systematic review for the laboratory detection
- Giant borderline ovarian tumours – review of the literature
- Leveraging artificial intelligence for collaborative care planning: Innovations and impacts in shared decision-making – A systematic review
- Cholera epidemiology analysis through the experience of the 1973 Naples epidemic
- Risk factors of frailty/sarcopenia in community older adults: Meta-analysis
- Supplement strategies for infertility in overweight women: Evidence and legal insights
- Scurvy, a not obsolete disorder: Clinical report in eight young children and literature review
- A meta-analysis of the effects of DBS on cognitive function in patients with advanced PD
- Case Reports
- Delayed graft function after renal transplantation
- Semaglutide treatment for type 2 diabetes in a patient with chronic myeloid leukemia: A case report and review of the literature
- Diverse electrophysiological demyelinating features in a late-onset glycogen storage disease type IIIa case
- Giant right atrial hemangioma presenting with ascites: A case report
- Laser excision of a large granular cell tumor of the vocal cord with subglottic extension: A case report
- EsoFLIP-assisted dilation for dysphagia in systemic sclerosis: Highlighting the role of multimodal esophageal evaluation
- Molecular hydrogen-rhodiola as an adjuvant therapy for ischemic stroke in internal carotid artery occlusion: A case report
- Coronary artery anomalies: A case of the “malignant” left coronary artery and its surgical management
- Rapid Communication
- Biological properties of valve materials using RGD and EC
-
A single oral administration of flavanols enhances short
-term memory in mice along with increased brain-derived neurotrophic factor - Letter to the Editor
- Role of enhanced external counterpulsation in long COVID
- Expression of Concern
- Expression of concern “A ceRNA network mediated by LINC00475 in papillary thyroid carcinoma”
- Expression of concern “Notoginsenoside R1 alleviates spinal cord injury through the miR-301a/KLF7 axis to activate Wnt/β-catenin pathway”
- Expression of concern “circ_0020123 promotes cell proliferation and migration in lung adenocarcinoma via PDZD8”
- Corrigendum
- Corrigendum to “Empagliflozin improves aortic injury in obese mice by regulating fatty acid metabolism”
- Corrigendum to “Comparing the therapeutic efficacy of endoscopic minimally invasive surgery and traditional surgery for early-stage breast cancer: A meta-analysis”
- Corrigendum to “The progress of autoimmune hepatitis research and future challenges”
- Retraction
- Retraction of “miR-654-5p promotes gastric cancer progression via the GPRIN1/NF-κB pathway”
- Special Issue Advancements in oncology: bridging clinical and experimental research - Part II
- Unveiling novel biomarkers for platinum chemoresistance in ovarian cancer
- Lathyrol affects the expression of AR and PSA and inhibits the malignant behavior of RCC cells
- The era of increasing cancer survivorship: Trends in fertility preservation, medico-legal implications, and ethical challenges
- Bone scintigraphy and positron emission tomography in the early diagnosis of MRONJ
- Meta-analysis of clinical efficacy and safety of immunotherapy combined with chemotherapy in non-small cell lung cancer
- Special Issue Computational Intelligence Methodologies Meets Recurrent Cancers - Part IV
- Exploration of mRNA-modifying METTL3 oncogene as momentous prognostic biomarker responsible for colorectal cancer development
- Special Issue The evolving saga of RNAs from bench to bedside - Part III
- Interaction and verification of ferroptosis-related RNAs Rela and Stat3 in promoting sepsis-associated acute kidney injury
- The mRNA MOXD1: Link to oxidative stress and prognostic significance in gastric cancer
- Special Issue Exploring the biological mechanism of human diseases based on MultiOmics Technology - Part II
- Dynamic changes in lactate-related genes in microglia and their role in immune cell interactions after ischemic stroke
- A prognostic model correlated with fatty acid metabolism in Ewing’s sarcoma based on bioinformatics analysis
- Red cell distribution width predicts early kidney injury: A NHANES cross-sectional study
- Special Issue Diabetes mellitus: pathophysiology, complications & treatment
- Nutritional risk assessment and nutritional support in children with congenital diabetes during surgery
- Correlation of the differential expressions of RANK, RANKL, and OPG with obesity in the elderly population in Xinjiang
- A discussion on the application of fluorescence micro-optical sectioning tomography in the research of cognitive dysfunction in diabetes
- A review of brain research on T2DM-related cognitive dysfunction
- Metformin and estrogen modulation in LABC with T2DM: A 36-month randomized trial
- Special Issue Innovative Biomarker Discovery and Precision Medicine in Cancer Diagnostics
- CircASH1L-mediated tumor progression in triple-negative breast cancer: PI3K/AKT pathway mechanisms