Abstract
Objective
The aim of this study was to investigate the role of the Hounsfield unit value of chest CT non-contrast enhanced scan in evaluating the severity of anemia in HIV-infected patients.
Methods
Patients with HIV infection combined with anemia admitted to the Kunming Third People’s Hospital were retrospectively collected and divided into mild anemia, moderate anemia, and severe anemia groups by peripheral hemoglobin (HB) content and calculated the ratio of ventricular septum density (VSD) to left ventricular density (LVD) and VSD to right ventricular density (RVD); then, the above patients were divided into the critical value group and the non-critical value group according to HB and compared the differences of LVD, RVD, VSD/LVD, and VSD/RVD in the two groups of patients.
Results
A total of 126 patients were included, with a mean age of 47.9 ± 11.1 years; 43 cases were in the mild anemia group, 59 cases were in the moderate anemia group, and 24 cases were in the severe anemia group; the differences in LVD, RVD, VSD/LVD, and VSD/RVD were significant in the three groups; VSD/LVD was an independent predictor for the diagnosis of anemia critical value in the non-critical value group vs critical value group by multifactorial binary logistic regression analysis, and the ROC was plotted using VSD/LVD with an area under the curve of 0.731.
Conclusions
The measurement of cardiac cavity density and ventricular septal density under CT plain film scan has a high accuracy in evaluating the severity of anemia in patients with HIV infection and can quickly determine the severity of HIV infection in the early stage and treat it as soon as possible.
1 Introduction
AIDS, or acquired immunodeficiency syndrome, is a chronic infectious disease. It is caused by the human immunodeficiency virus, also called HIV. By 2022, there are 39 million people living with AIDS in the world; 29.8 million people are receiving antiretroviral treatment; 1.3 million new HIV infections; 630,000 people have died of AIDS-related diseases [1]. HIV remains one of the most serious infectious diseases that endanger human health by specifically targeting CD4+ T lymphocytes, a critical component of the human immune system, resulting in a decline in the body’s immune function [2,3,4]. Conclusively, people living with HIV sustain multi-organ and multi-system damage with a wide range of complications.
Anemia is the most frequent hematologic abnormality among people living with HIV worldwide [5,6]. The World Health Organization defines anemia as a hemoglobin (HB) level below 110–120 g/L. Sixty percent of HIV-infected adults in sub-Saharan Africa suffer from anemia, of which 22% are severely anemic [7,8]. In the context of HIV/AIDS, comorbid anemia is clinically common and causes decreased quality of survival and increased mortality in patients. Anemia increases the 1-year mortality rate of HIV-infected patients by about 8 and 55% in severely anemic patients [9,10]. In other words, treatment of anemia improves survival [11]. On the same HIV viral load and CD4+ T-cell count, HIV/AIDS-infected patients with comorbid anemia die at a much higher rate than those without anemia, with decreased mortality after correction of anemia [12]. Comorbid anemia is an independent risk factor for short-term mortality in people living with AIDS [13]. It is reported that 7.2–84% of HIV/AIDS patients are complicated with anemia [5]. Anemia is a multifactorial condition. A study of HIV/AIDS-infected patients with comorbid anemia in Yunnan Province proved that elderly women aged 60 years or above, ethnic minorities, body mass reduction, and initial antiviral regimen using zidovudine are risk factors for comorbid anemia [14]. HIV primarily induces several bone marrow disorders including anemia and thrombocytopenia in peripheral blood, accounting for much of the increased risk of death [15]. For this reason, a monitoring of changes in blood cell counts during HIV infection is a necessity for detecting the development of these blood disorders and for taking the essential clinical interventions to avoid comorbidities [16].
People living with HIV may be at risk for anemia secondary to bleeding from a variety of causes. The origin of the blood is detectable by the physician with the assistance of enhanced CT, such as gastrointestinal bleeding and spleen rupture. The scan then allows for a thorough evaluation of the organs to identify tumors, infections, or other organic lesions that possibly account for the anemia. Enhanced CT can also be of great benefit in visualizing enlarged lymph nodes. Since lymph node lesions may contribute to anemia in AIDS-infected patients as well, utilization of enhanced CT is instrumental in visualizing the size and shape of the lymph nodes as well as the uptake of contrast agent [17]. In conventional chest CT plain scanning, the ventricular density of anemia patients is found to be markedly lower than that the ventricular septum density (VSD) [18]. In this study, a retrospective analysis of adult HIV-infected patients with anemia admitted to our hospital was conducted with a view to exploring the value of measuring cardiac cavity density and VSD under CT plain scanning in assessing the severity of anemia in HIV-infected patients.
2 Materials and methods
2.1 Subjects
A retrospective study design type was used. From January 1, 2021, to December 31, 2021, 126 adult patients with HIV-infected anemia who underwent chest CT examination were continuously recruited in the Kunming Third People’s Hospital. The inclusion criteria were as follows: (1) patients aged >18 years; (2) those who fulfilled the diagnostic criteria for HIV infection [19], i.e., those who had any of the following: (a) positive HIV antibody screening test and positive HIV supplementary test (positive antibody supplementary test or positive qualitative nucleic acid test or quantitative nucleic acid >5,000 copies/mL), (b) epidemiologic history or AIDS-related clinical manifestations and positive on two HIV nucleic acid tests, and (c) positive HIV isolation test; (3) Laboratory tests showed that HB was less than 120 g/L; and (4) those who were informed and fully cooperated with the present study. The exclusion criteria were as follows: (1) patients aged <18 years; (2) those who were neither able to live on their own nor cooperate in receiving chest CT plain scanning; (3) those whose complete peripheral blood HB level data were not available; (4) those without left ventricular density (LVD), right ventricular density (RVD), VSD/LVD, and VSD/RVD measurements; and (5) those who had other important factors that might affect the study findings, such as comorbidities with other important diseases or complications.
Diagnostic criteria for anemia were as follows [20]: anemia was diagnosed when HB was <120 g/L for adult males, <110 g/L for adult females (non-pregnant), and <100 g/L for pregnant women, which was categorized as mild (>90 g/L), moderate (60–90 g/L), severe (30–59 g/L), and very severe (<30 g/L), respectively, according to HB concentration.
2.2 Methods
2.2.1 Peripheral blood HB examination and grouping
Five milliliters of peripheral blood was taken from the patients within 24 h of admission, and their HB levels were measured with a fully automated hematology analyzer (model: Sysmex XN2000, Japan). The patients were divided into the mild anemia group, the moderate anemia group, and the severe anemia group following the diagnostic criteria for anemia and then divided into the critical value group and the non-critical value group according to HB <60 versus ≥60 g/L.
2.2.2 Imaging examination and measurement of ventricular and VSD
Chest CT was performed with GE lightspeed VCT (USA), with a scanning range of thoracic entrance to lung base and a tube voltage of 120 kV; automatic mA technology was used for the tube current, with a scanning layer thickness of 5 mm and a reconstruction layer thickness of 1.25 mm. All patients underwent CT examination within 48 h after peripheral blood HB examination, during which no treatment such as blood transfusion was performed. The LVD, RVD, and VSD of patients were measured in Hounsfield Unit (HU). Three measurements were averaged, and accordingly, the ratio of VSD to LVD and the ratio of VSD to RVD were calculated to test for differences in LVD, RVD, VSD/LVD, and VSD/RVD in the mild, moderate, and severe anemia groups.
2.2.3 Plotting of regions of interests (ROIs) and acquisition of Hounsfield values for CT scan data
Selection of appropriate slices was as follows: CT scan images were opened and slices containing ROIs were selected. Adjustment of window widths and levels of images: window widths and levels were adjusted as needed to optimize the image contrast. ROIs were drawn around the region of interest by OsiriX, a drawing tool, usually rectangular, circular, or hand-drawn, ensuring that all key structures were included.
A CT value (HU) measuring tool was used on the selected ROIs. The tool usually provides parameters such as maximum, minimum, and average CT values, from which the desired parameters were selected for statistical purposes. The CT value parameters of the selected ROIs were recorded, representing the density and tissue characteristics of the region. Quantitative analyses, such as densitometry and tissue classification, were performed on HU values measured by DICOM Viewer. Comparisons of these values were made between different regions of the same patient or different patients to detect anomalies or changes. For serial CT scanning, changes in HU values at adjacent time points were analyzed to comprehend dynamic changes in structure or tissue. For specific study purposes, custom scripts were written and image processing platforms such as Python (using the Pydicom library) were used for analysis. With the above methods and tools, ROIs were effectively plotted and Hounsfield values were obtained for CT scan data by the investigators to provide basic data for further image analysis and research.
2.3 Statistical analysis
All patients were categorized into critical value and non-critical value groups as per the criteria of grouping in 1.2.1, and the differences between the two groups were examined for five variables: LVD, RVD, VSD, VSD/LVD, and VSD/RVD; variables that were statistically significant (P < 0.05) were screened for binary logistic regression and ROC curves were plotted to calculate the prediction efficiency of the regression equation. Statistical treatment was performed on the data included using SPSS 26.0 statistical software, and the count data were expressed as frequencies (percentages) using the chi-square test. Measurement data were tested for normality and homogeneity of variance, and those that met both were analyzed by one-way analysis of variance, expressed as mean ± standard deviation (X̄ ± S); those that did not were tested nonparametrically, expressed as median (interquartile range) M (Q), with a statistically significant difference at P < 0.05. Binary logistic regression was performed using the forward LR method.
-
Informed consent: All subjects gave informed consent and signed.
-
Ethical approval: The study was conducted in accordance with the principles of the Declaration of Helsinki and was approved by the Ethics Committee of the Kunming Third People’s Hospital for ethical rationality.
3 Results
3.1 General information
A total of 126 adult HIV-infected patients with anemia were recruited, of whom 74 (58.7%) were males and 52 (41.3%) were females, aged 26–81 years with a mean age of 47.9 ± 11.1 years; mild anemia was found in 43 cases (34.1%), moderate anemia in 59 cases (46.8%), and severe and very severe anemia in 24 cases (19.1%). Comparison of body mass index among the three groups revealed no significant difference (P = 0.975) in body mass index between mild anemia (23.04 ± 1.75 kg/m2), moderate anemia (22.30 ± 2.07 kg/m2), and severe anemia (22.80 ± 2.08 kg/m2); the statistics of AIDS duration in the three groups revealed no significant difference (P = 0.207) between mild anemia (7.28 ± 3.09 years), moderate anemia (7.29 ± 3.08 years), and severe anemia (7.04 ± 2.51 years). Further study revealed no difference between the three groups in terms of comorbidities such as intestinal infections, pneumocystis pneumonia infection, central nervous system infection, and Kaposi sarcoma (P = 0.198), and also in terms of the history of previous major illnesses such as heart, liver, and kidney (P = 0.996). To conclude, no statistically significant differences were found between the three groups in terms of baseline data such as gender and age (Table 1), which greatly excludes study confounders.
Basic patient information [
Group | Mild anemia (n = 43) | Moderate anemia (n = 59) | Severe anemia (n = 24) | P | |
---|---|---|---|---|---|
Gender (male) | 27(62.8%) | 34(57.6%) | 13(54.2%) | 0.770 | |
Age (years) | 48.16 ± 10.33 | 47.86 ± 11.71 | 47.50 ± 11.33 | 0.902 | |
Body mass index (kg/m2) | 23.04 ± 1.75 | 22.30 ± 2.07 | 22.80 ± 2.08 | 0.975 | |
Course of AIDS (year) | 7.28 ± 3.09 | 7.29 ± 3.08 | 7.04 ± 2.51 | 0.207 | |
History of heart, liver and kidney diseases | Yes | 22(51.2%) | 30(50.8%) | 12(50.0%) | 0.996 |
No | 21(48.8%) | 29(49.2%) | 12(50.0%) | ||
Comorbidities | No | 16(37.2%) | 35(59.3%) | 10(41.7%) | 0.198 |
Intestinal infection | 8(18.6%) | 7(11.9%) | 8(33.3%) | ||
Pulmonary infection | 7(16.3%) | 9(15.3%) | 3(12.5%) | ||
Central nervous system infection | 10(23.3%) | 7(11.9%) | 2(8.3%) | ||
Kaposi sarcoma | 2(4.7%) | 1(1.7%) | 1(4.2%) | ||
Medication | Yes | 24(55.8%) | 33(55.9%) | 14(58.3%) | 0.407 |
No | 19(44.2%) | 26(44.1%) | 10(41.7%) |
3.2 Ventricular density and the ratio of ventricular septum to ventricular density
LVD and RVD of HIV-infected patients with anemia were lower than those of VSD (Figure 1). In the mild anemia group, the mean LVD, RVD, and VSD were 38.90 ± 6.19 HU, 39.74 ± 9.66 HU, and 49.55 ± 6.95, respectively, with a median VSD/LVD of 1.29 (1.20–1.38) and a median VSD/RVD of 1.22 (1.11–1.37); in the moderate anemia group, the mean LVD, RVD, and VSD were 34.54 ± 8.11 HU, 34.99 ± 8.73 HU, and 47.72 ± 7.05, respectively, with a median VSD/LVD of 1.34 (1.26–1.57) and a median VSD/RVD of 1.36 (1.24–1.53); in the severe anemia group, the mean LVD, RVD, and VSD were 32.19 ± 7.23 HU, 34.25 ± 7.92 HU and 49.04 ± 5.98, respectively, with a median VSD/LVD of 1.46 (1.37–1.63) and a median VSD/RVD of 1.40 (1.27–1.6).

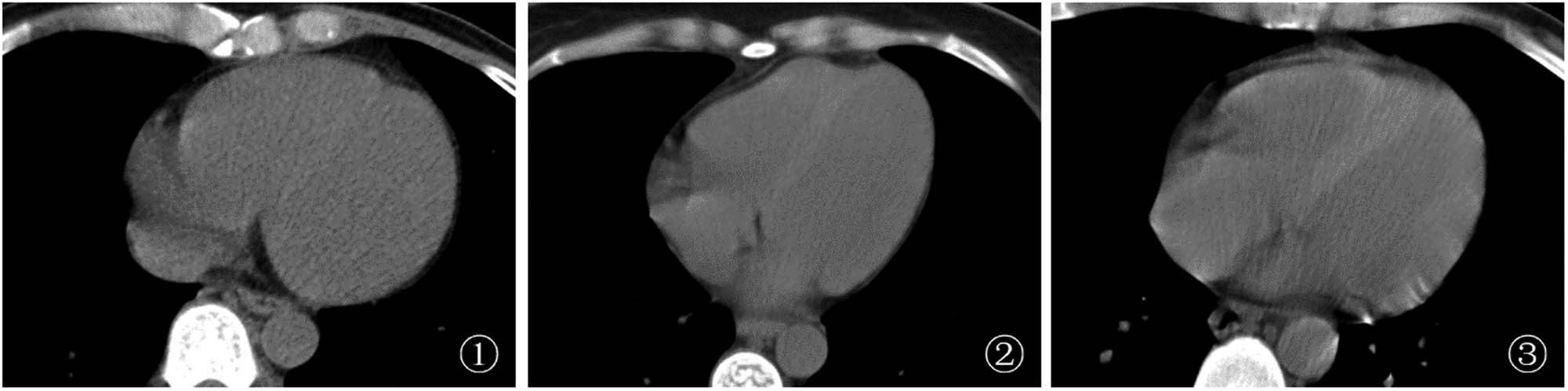
Chest CT images of a HIV-infected patient with anemia (1) A male patient, 44 years old, with mild anemia, HB = 109 g/L, LVD and RVD slightly lower than VSD; (2) A female patient, 42 years old, with moderate anemia, HB = 77 g/L, LVD and RVD lower than VSD; (3) A male patient, 46 years old, with severe anemia, HB = 40 g/L, LVD and RVD significantly lower than VSD.
LVD and RVD in the mild anemia group were higher than those in the moderate anemia group and the severe anemia group, and VSD/LVD was lower than that in the moderate anemia group and the severe anemia group, with statistically significant differences (P < 0.05). VSD/RVD in the mild anemia group was lower than that in the moderate anemia group, with a statistically significant difference (P < 0.05); VSD/LVD in the moderate anemia group was lower than that in the severe anemia group, with a statistically significant difference (P < 0.05) (Table 2).
Ventricular density and the ratio of the ventricular septum to ventricular density among the three groups [
Group | Mild anemia (n = 43) | Moderate anemia (n = 59) | Severe anemia (n = 24) | Mild-moderate | Mild-severe | Moderate-severe | |||
---|---|---|---|---|---|---|---|---|---|
F/Z | P | F/Z | P | F/Z | P | ||||
LVD | 38.90 ± 6.19 | 34.54 ± 8.11 | 32.19 ± 7.23 | 4.35 | 0.04* | 6.70 | 0.000* | 2.35 | 0.189 |
RVD | 39.74 ± 9.66 | 34.99 ± 8.73 | 34.25 ± 7.92 | 4.74 | 0.009* | 4.80 | 0.036* | 0.063 | 0.977 |
VSD | 49.55 ± 6.95 | 47.72 ± 7.05 | 49.04 ± 5.98 | 1.30 | 0.184 | 0.513 | 0.769 | 0.316 | 0.427 |
VSD/LVD | 1.29 (1.20–1.38) | 1.34 (1.26–1.57) | 1.46 (1.37–1.63) | −2.805 | 0.005* | −4.408 | 0.000* | −2.316 | 0.021* |
VSD/RVD | 1.22 (1.11–1.37) | 1.36 (1.24–1.53) | 1.40 (1.27–1.6) | −2.713 | 0.007* | −2.723 | 0.06 | −0.619 | 0.536 |
* The difference was statistically significant.
3.3 Binary logistics regression and ROC curve plotting for the critical value and non-critical value groups
All patients were divided into the critical value group and the non-critical value group according to HB <60 versus ≥60 g/L, of which 24 cases (19.0%) were in the critical value group and 102 cases (81.0%) in the non-critical value group. There was a statistically significant difference between LVD and VSD/LVD in the two groups (P < 0.05) (Table 2). Binary logistic regression analysis was performed with LVD and VSD/LVD as variables, which resulted in the regression equation y = −4.721 + 2.249 (VSD/LVD) (Table 3). The ROC curve was plotted by using the probability value of the logistic regression equation. The area under the ROC curve (AUC) of LV was 0.683 [95% confidence interval (CI): 0.587–0.779, P < 0.001], and that of VSD/LV was 0.731 (95% CI: 0.635–0.827, P < 0.001). At a cutoff value of 1.345, its sensitivity for discriminating the critical value group from the non-critical value group was 87.5% and specificity was 59.8% (Figure 2).
Binary logistic regression analysis for discriminating the critical value group from the non-critical value group
B | SE | Wald | Df | P | OR | 95% CI | |
---|---|---|---|---|---|---|---|
VSD/LVD | 2.249 | 0.816 | 7.596 | 1 | 0.006 | 9.481 | 1.915–46.935 |
Constant | −4.721 | 1.227 | 14.805 | 1 | 0 | 0.009 |

ROC curve of discriminating critical value by probability value of regression equation. (a) ROC curve of LV; (b) ROC curve of VSD/LV.
4 Discussion
In this study, we explored the value of measuring cardiac cavity density and ventricular septal density under a CT plain film scan to evaluate the severity of anemia in patients with HIV infection. The results showed that LVD and RVD in the mild anemia group were higher than those in the moderate anemia group and the severe anemia group, and VSD/LVD was lower than that in the moderate anemia group and the severe anemia group. VSD/RVD in the mild anemia group was lower than that in the moderate anemia group, and VSD/LVD in the moderate anemia group was lower than that in the severe anemia group. Multivariate binary logistic regression analysis showed that VSD/LVD was an independent predictor of the non-critical value group and anemia critical value diagnosis. VSD/LVD was used to draw, and the AUC was 0.731.
Patients with a mean age of 47.9 ± 11.1 years are included in our study, and there is no statistically significant difference in age in anemia severity. So we suggest that anemia should be taken into account in the clinical practice of middle-aged and old-aged HIV/AIDS-infected patients.
Routine blood laboratory examination serves as a valuable tool in the diagnosis of anemia. According to the HB level of peripheral blood, anemia is diagnosed when HB is <120 g/L for males and <110 g/L for females, which is categorized as mild, moderate, and severe according to HB concentration. The technique of testing HB levels in peripheral blood, although accurate and quick, is invasive, resulting in the risk of practice exposure during blood collection by medical staff. HIV infection is prevalent among intravenous drug users within Yunnan Province, and prolonged peripheral intravenous injection further complicates venous blood collection. There are still many challenges in the blood collection of HIV-infected patients: (1) blood routine examination results can be obtained within half an hour to an hour after blood collection. If the results verified by this study can guide clinical work, the results can be obtained by imaging technicians after the scanning is completed (usually 15 s), which attracts the attention and attention of clinicians; (2) blood routine examination results can be obtained within half an hour to an hour after blood collection. Pulmonary is the most common target organ of opportunistic infection. In clinical practice, the vast majority of HIV patients need chest CT examination when they are admitted to hospital, especially emergency patients, which can be evaluated in a short time after admission and have certain benefits; (3) blood routine HIV patients have the risk of exposure to medical staff when nurses collect peripheral blood; and (4) some HIV patients had difficulty in collecting peripheral venous blood due to long-term illness. Timely CT is more expensive than blood routine, but because of the need to diagnose lung inflammation, CT is necessary. Therefore, it is of certain clinical value to evaluate anemia by non-invasive, inevitable, and rapid chest CT.
Iron-containing HB constitutes a major component in the blood that interferes with the attenuation of X-rays [21], and a decrease in its concentration in the blood gradually reduces the CT value. People living with comorbid anemia exhibit reduced blood CT values because of decreased iron-containing HB. They show decreased density of cardiac chambers and chest vessels and relatively increased VSD on CT scans [22], as well as an “aortic ring sign” with a high density of aortic wall and relatively low density of lumen [23]. In the present study of anemia on CT scan images, decreased cardiac chamber density and relatively increased VSD were observed, with some variations for different severities of anemia. Previous studies have revealed the correlation between the measurements of cardiac chamber density and VSD as well as the calculation of their differences and ratios with HB levels in the peripheral blood [24,25] and that the measurements can be evaluated for mild, moderate, and severe anemia [26]. We also demonstrate statistically significant differences in the determination of central chamber density and VSD and the ratio between mild, moderate, and severe anemia in HIV/AIDS-infected patients. However, as noted in some studies, the method may be subject to misdiagnosis due to the imaging of heartbeats and various artifacts. This requires that breathing and movement artifacts should be avoided as much as possible and that CT devices with higher temporal resolution should be selected for practical clinical applications.
In practice, HB in peripheral blood below 60 g/L falls within the range of critical values that should be reported in the laboratory. However, routine blood HB testing is more time-consuming compared to CT examination. In this study, we divided anemia into the critical value group and the non-critical value group according to critical value criteria. The ratio of LV density and ventricular septum to LV density showed statistically significant differences between the two groups. After binary logistic regression analysis of the ratio and plotting the ROC, its AUC was 0.731, and the model had a sensitivity of 87.5% for discriminating anemia status between non-critical and critical values. Despite a relatively low specificity, the higher sensitivity ensures a lower false-negative and enhanced early prompting for clinicians during clinical diagnosis and treatment. Recent years have witnessed the growing importance of artificial intelligence in diagnostic imaging [27], and AI-based organ segmentation techniques are developing rapidly [28]. On the basis of a chest CT plain scan, the technique automatically outlines the entire cardiac chambers and the ventricular septum, which ensures faster prompting of the clinician about the potential anemia status and severity of patients on the basis of previous studies.
There are still some limitations to this study. First, the subjects included are only targeted at people living with HIV infection, for which it is not yet known whether their serum protein levels make a difference in CT values. Second, this is a single-center study with a small sample size and therefore cannot represent a wide range of significance. Moreover, other indexes such as the aorta, pulmonary artery, and inferior vena cava are not included.
5 Conclusions
In conclusion, the measurement of cardiac cavity density and ventricular septal density under CT plain film scan has a high accuracy in evaluating the severity of anemia in patients with HIV infection and can quickly determine the severity of HIV infection in the early stage and treat it as soon as possible.
Acknowledgments
Not applicable.
-
Funding information: The study is funded by the Science and Technology Program of Kunming (No. 2024-1-NS-0032).
-
Author contributions: Zhang L and Bi Y conceived and designed the study. Qi M, Fu XW, and Wei JL collected the data. Gan W, Zhu L, Li X, and Bai JS helped the date analysis and statistics. All authors took part in drafting the manuscript. All authors read and approved the final manuscript.
-
Conflict of interest: The authors of this study declared no conflict of interest.
-
Data availability statement: All data generated or analyzed during this study are included in this published article.
References
[1] Laurence J. The Path That Ends AIDS: National and international politics in conflict with treatment and prevention science. AIDS Patient Care STDS. 2023;37(11):505–6. 10.1089/apc.2023.29020.com.Search in Google Scholar PubMed
[2] Ghiasvand H, Waye KM, Noroozi M, Harouni GG, Armoon B, Bayani A. Clinical determinants associated with quality of life for people who live with HIV/AIDS: a Meta-analysis. BMC Health Serv Res. 2019;19(1):768. 10.1186/s12913-019-4659-z.Search in Google Scholar PubMed PubMed Central
[3] Zhang L, Liu L, Ma ZX. Relationship between infection and death,and level changes of peripheral inflammatory factors (IL-6 and hsCRP) and intestinal flora in AIDS patients. Acta Med Mediterr. 2021;3(37):1763–8. 10.19193/0393-6384_2021_3_280.Search in Google Scholar
[4] Pierce CA, Loh LN, Steach HR, Cheshenko N, Preston-Hurlburt P, Zhang F, et al. HSV-2 triggers upregulation of MALAT1 in CD4 + T cells and promotes HIV latency reversal. J Clin Invest. 2023;133(11):e164317. 10.1172/JCI164317.Search in Google Scholar PubMed PubMed Central
[5] Marchionatti A, Parisi MM. Anemia and thrombocytopenia in people living with HIV/AIDS: a narrative literature review. Int Health. 2021;13(2):98–109. 10.1093/inthealth/ihaa036.Search in Google Scholar PubMed PubMed Central
[6] Martí-Carvajal AJ, Solà I, Peña-Martí GE, Comunián-Carrasco G. Treatment for anemia in people with AIDS. Cochrane Database Syst Rev. 2011;10:CD004776. 10.1002/14651858.CD004776.pub3.Search in Google Scholar PubMed
[7] Makubi A, Okuma J, Spiegelman D, Hawkins C, Darling AM, Jackson E, et al. Burden and determinants of Severe Anemia among HIV-infected adults: Results from a large urban HIV program in Tanzania, East Africa. J Int Assoc Provid AIDS Care. 2015;14(2):148–55. 10.1177/2325957413488195.Search in Google Scholar PubMed PubMed Central
[8] Petraro P, Duggan C, Spiegelman D, Hertzmark E, Makubi A, Chalamilla G, et al. Determinants of anemia among human immunodeficiency virus-positive adults at care and treatment clinics in dar es salaam, Tanzania. Am J Trop Med Hyg. 2016;94(2):384–92. 10.4269/ajtmh.15-0587.Search in Google Scholar PubMed PubMed Central
[9] Santiago-Rodríguez EJ, Mayor AM, Fernández-Santos DM, Ruiz-Candelaria Y, Hunter-Mellado RF. Anemia in a cohort of HIV-infected Hispanics: prevalence, associated factors and impact on one-year mortality. BMC Res Notes. 2014;7:439. 10.1186/1756-0500-7-439.Search in Google Scholar PubMed PubMed Central
[10] Melku M, Enawgaw B, Ayana S, Anlay DZ, Kebede A, Haile A, et al. Magnitude of anemia and undernutrition among HIV-infected children who took HAART: a retrospective follow-up study. Am J Blood Res. 2020;10(5):198–209.Search in Google Scholar
[11] Sullivan P. Associations of anemia, treatments for anemia, and survival in patients with human immunodeficiency virus infection. J Infect Dis. 2002;185(Suppl 2):S138–42. 10.1086/340203.Search in Google Scholar PubMed
[12] Volberding P, Sullivan P. Introduction: the importance of identifying and treating complications of human immunodeficiency virus disease. J Infect Dis. 2002;185(Suppl 2):S103–4. 10.1086/340204.Search in Google Scholar PubMed
[13] Mocroft A, Kirk O, Barton SE, Dietrich M, Proenca R, Colebunders R, et al. Anaemia is an independent predictive marker for clinical prognosis in HIV-infected patients from across Europe. EuroSIDA study group. AIDS. 1999;13(8):943–50. 10.1097/00002030-199905280-00010.Search in Google Scholar PubMed
[14] Yao ST, He CY, Cao DD, Zhang YD, Shi Y, Xiao GF, et al. [A retrospective cohort study of incidence of anemia and risk factors in HIV/AIDS patients with access to antiretroviral therapy in Dehong Jingpo and Dai Autonomous Prefecture in Yunnan province, 2004-2018]. Zhonghua Liu Xing Bing Xue Za Zhi. 2021;42(7):1218–24. Chinese 10.3760/cma.j.cn112338-20200602-00799.Search in Google Scholar PubMed
[15] Huibers MHW, Bates I, McKew S, Allain TJ, Coupland SE, Phiri C, et al. Severe anaemia complicating HIV in Malawi; Multiple co-existing aetiologies are associated with high mortality. PLoS One. 2020;15(2):e0218695. 10.1371/journal.pone.0218695.Search in Google Scholar PubMed PubMed Central
[16] Peng L, He Y, Zhang J, Hong D, Li G. Erythropoietin and iron for anemia in HIV-infected patients undergoing maintenance hemodialysis in China: a cross-sectional study. BMC Nephrol. 2022;23(1):60. 10.1186/s12882-022-02693-y.Search in Google Scholar PubMed PubMed Central
[17] Zhu XL, Tang GX, Liu XY. CT findings of Talaromyces marneffei infection among HIV patients with lymphadenopathy. Front Med (Lausanne). 2022;9:930678. 10.3389/fmed.2022.930678.Search in Google Scholar PubMed PubMed Central
[18] Abbasi B, Seyed Hosseini M, Moodi Ghalibaf A, Akhavan R, Emadzadeh M, Bolvardi E. Evaluating anemia on non-contrast thoracic computed tomography. Sci Rep. 2022;12(1):21380. 10.1038/s41598-022-24265-8.Search in Google Scholar PubMed PubMed Central
[19] AIDS and Hepatitis C Professional Group. Society of Infectious Diseases, Chinese Medical Association; Chinese Center for Disease Control and Prevention. [Chinese guidelines for diagnosis and treatment of HIV/AIDS (2021 edition)]. Zhonghua Nei Ke Za Zhi. 2021;60(12):1106–28. 10.3760/cma.j.cn112138-20211006-00676 (Chinese).Search in Google Scholar
[20] Prefumo F, Fichera A, Fratelli N, Sartori E. Fetal anemia: Diagnosis and management. Best Pract Res Clin Obstet Gynaecol. 2019;58:2–14. 10.1016/j.bpobgyn.2019.01.001.Search in Google Scholar PubMed
[21] Dodd JD, MacDermott R. Anemia detection with contrast-enhanced photon-counting CT. Radiology. 2022;305(3):653–4. 10.1148/radiol.221471.Search in Google Scholar PubMed
[22] Ghanbarnia M, Sedaghat S, Rasoulinejad SA. Leukemic retinopathy presenting as concurrent bilateral subhyaloid hemorrhage and subarachnoid hemorrhage in a patient with acute monocytic leukemia: a case report. J Med Case Rep. 2022;16(1):466. 10.1186/s13256-022-03700-4.Search in Google Scholar PubMed PubMed Central
[23] Desaint P, Bernard C, Contou D. Diagnosing anemia with Chest CT-Scan: The aortic ring sign. Am J Med Sci. 2022;363(2):e17. 10.1016/j.amjms.2021.07.014.Search in Google Scholar PubMed
[24] Zopfs D, Rinneburger M, Pinto Dos Santos D, Reimer RP, Laukamp KR, Maintz D, et al. Evaluating anemia using contrast-enhanced spectral detector CT of the chest in a large cohort of 522 patients. Eur Radiol. 2021;31(6):4350–7. 10.1007/s00330-020-07497-y.Search in Google Scholar PubMed PubMed Central
[25] Chen D, Guo Y, Liu W, Yuan Z, Mo W, Wei X. Feasibility of thoracic CT in assessing anemia for aplastic anemia patients undergoing allogeneic hematopoietic stem cell transplantation. J Xray Sci Technol. 2023;31(1):199–209. 10.3233/XST-221296.Search in Google Scholar PubMed
[26] Zhou QQ, Yu YS, Chen YC, Ding BB, Fang SY, Yang X, et al. Optimal threshold for the diagnosis of anemia severity on unenhanced thoracic CT: A preliminary study. Eur J Radiol. 2018;108:236–41. 10.1016/j.ejrad.2018.10.007.Search in Google Scholar PubMed
[27] Pianykh OS, Langs G, Dewey M, Enzmann DR, Herold CJ, Schoenberg SO, et al. Continuous learning AI in Radiology: implementation principles and early applications. Radiology. 2020;297(1):6–14. 10.1148/radiol.2020200038.Search in Google Scholar PubMed
[28] Wang R, Ji C, Zhang Y, Li Y. Focus, fusion, and rectify: context-aware learning for COVID-19 lung infection segmentation. IEEE Trans Neural Netw Learn Syst. 2022;33(1):12–24. 10.1109/TNNLS.2021.3126305.Search in Google Scholar PubMed
© 2024 the author(s), published by De Gruyter
This work is licensed under the Creative Commons Attribution 4.0 International License.
Articles in the same Issue
- Research Articles
- EDNRB inhibits the growth and migration of prostate cancer cells by activating the cGMP-PKG pathway
- STK11 (LKB1) mutation suppresses ferroptosis in lung adenocarcinoma by facilitating monounsaturated fatty acid synthesis
- Association of SOX6 gene polymorphisms with Kashin-Beck disease risk in the Chinese Han population
- The pyroptosis-related signature predicts prognosis and influences the tumor immune microenvironment in dedifferentiated liposarcoma
- METTL3 attenuates ferroptosis sensitivity in lung cancer via modulating TFRC
- Identification and validation of molecular subtypes and prognostic signature for stage I and stage II gastric cancer based on neutrophil extracellular traps
- Novel lumbar plexus block versus femoral nerve block for analgesia and motor recovery after total knee arthroplasty
- Correlation between ABCB1 and OLIG2 polymorphisms and the severity and prognosis of patients with cerebral infarction
- Study on the radiotherapy effect and serum neutral granulocyte lymphocyte ratio and inflammatory factor expression of nasopharyngeal carcinoma
- Transcriptome analysis of effects of Tecrl deficiency on cardiometabolic and calcium regulation in cardiac tissue
- Aflatoxin B1 induces infertility, fetal deformities, and potential therapies
- Serum levels of HMW adiponectin and its receptors are associated with cytokine levels and clinical characteristics in chronic obstructive pulmonary disease
- METTL3-mediated methylation of CYP2C19 mRNA may aggravate clopidogrel resistance in ischemic stroke patients
- Understand how machine learning impact lung cancer research from 2010 to 2021: A bibliometric analysis
- Pressure ulcers in German hospitals: Analysis of reimbursement and length of stay
- Metformin plus L-carnitine enhances brown/beige adipose tissue activity via Nrf2/HO-1 signaling to reduce lipid accumulation and inflammation in murine obesity
- Downregulation of carbonic anhydrase IX expression in mouse xenograft nasopharyngeal carcinoma model via doxorubicin nanobubble combined with ultrasound
- Feasibility of 3-dimensional printed models in simulated training and teaching of transcatheter aortic valve replacement
- miR-335-3p improves type II diabetes mellitus by IGF-1 regulating macrophage polarization
- The analyses of human MCPH1 DNA repair machinery and genetic variations
- Activation of Piezo1 increases the sensitivity of breast cancer to hyperthermia therapy
- Comprehensive analysis based on the disulfidptosis-related genes identifies hub genes and immune infiltration for pancreatic adenocarcinoma
- Changes of serum CA125 and PGE2 before and after high-intensity focused ultrasound combined with GnRH-a in treatment of patients with adenomyosis
- The clinical value of the hepatic venous pressure gradient in patients undergoing hepatic resection for hepatocellular carcinoma with or without liver cirrhosis
- Development and validation of a novel model to predict pulmonary embolism in cardiology suspected patients: A 10-year retrospective analysis
- Downregulation of lncRNA XLOC_032768 in diabetic patients predicts the occurrence of diabetic nephropathy
- Circ_0051428 targeting miR-885-3p/MMP2 axis enhances the malignancy of cervical cancer
- Effectiveness of ginkgo diterpene lactone meglumine on cognitive function in patients with acute ischemic stroke
- The construction of a novel prognostic prediction model for glioma based on GWAS-identified prognostic-related risk loci
- Evaluating the impact of childhood BMI on the risk of coronavirus disease 2019: A Mendelian randomization study
- Lactate dehydrogenase to albumin ratio is associated with in-hospital mortality in patients with acute heart failure: Data from the MIMIC-III database
- CD36-mediated podocyte lipotoxicity promotes foot process effacement
- Efficacy of etonogestrel subcutaneous implants versus the levonorgestrel-releasing intrauterine system in the conservative treatment of adenomyosis
- FLRT2 mediates chondrogenesis of nasal septal cartilage and mandibular condyle cartilage
- Challenges in treating primary immune thrombocytopenia patients undergoing COVID-19 vaccination: A retrospective study
- Let-7 family regulates HaCaT cell proliferation and apoptosis via the ΔNp63/PI3K/AKT pathway
- Phospholipid transfer protein ameliorates sepsis-induced cardiac dysfunction through NLRP3 inflammasome inhibition
- Postoperative cognitive dysfunction in elderly patients with colorectal cancer: A randomized controlled study comparing goal-directed and conventional fluid therapy
- Long-pulsed ultrasound-mediated microbubble thrombolysis in a rat model of microvascular obstruction
- High SEC61A1 expression predicts poor outcome of acute myeloid leukemia
- Comparison of polymerase chain reaction and next-generation sequencing with conventional urine culture for the diagnosis of urinary tract infections: A meta-analysis
- Secreted frizzled-related protein 5 protects against renal fibrosis by inhibiting Wnt/β-catenin pathway
- Pan-cancer and single-cell analysis of actin cytoskeleton genes related to disulfidptosis
- Overexpression of miR-532-5p restrains oxidative stress response of chondrocytes in nontraumatic osteonecrosis of the femoral head by inhibiting ABL1
- Autologous liver transplantation for unresectable hepatobiliary malignancies in enhanced recovery after surgery model
- Clinical analysis of incomplete rupture of the uterus secondary to previous cesarean section
- Abnormal sleep duration is associated with sarcopenia in older Chinese people: A large retrospective cross-sectional study
- No genetic causality between obesity and benign paroxysmal vertigo: A two-sample Mendelian randomization study
- Identification and validation of autophagy-related genes in SSc
- Long non-coding RNA SRA1 suppresses radiotherapy resistance in esophageal squamous cell carcinoma by modulating glycolytic reprogramming
- Evaluation of quality of life in patients with schizophrenia: An inpatient social welfare institution-based cross-sectional study
- The possible role of oxidative stress marker glutathione in the assessment of cognitive impairment in multiple sclerosis
- Compilation of a self-management assessment scale for postoperative patients with aortic dissection
- Left atrial appendage closure in conjunction with radiofrequency ablation: Effects on left atrial functioning in patients with paroxysmal atrial fibrillation
- Effect of anterior femoral cortical notch grade on postoperative function and complications during TKA surgery: A multicenter, retrospective study
- Clinical characteristics and assessment of risk factors in patients with influenza A-induced severe pneumonia after the prevalence of SARS-CoV-2
- Analgesia nociception index is an indicator of laparoscopic trocar insertion-induced transient nociceptive stimuli
- High STAT4 expression correlates with poor prognosis in acute myeloid leukemia and facilitates disease progression by upregulating VEGFA expression
- Factors influencing cardiovascular system-related post-COVID-19 sequelae: A single-center cohort study
- HOXD10 regulates intestinal permeability and inhibits inflammation of dextran sulfate sodium-induced ulcerative colitis through the inactivation of the Rho/ROCK/MMPs axis
- Mesenchymal stem cell-derived exosomal miR-26a induces ferroptosis, suppresses hepatic stellate cell activation, and ameliorates liver fibrosis by modulating SLC7A11
- Endovascular thrombectomy versus intravenous thrombolysis for primary distal, medium vessel occlusion in acute ischemic stroke
- ANO6 (TMEM16F) inhibits gastrointestinal stromal tumor growth and induces ferroptosis
- Prognostic value of EIF5A2 in solid tumors: A meta-analysis and bioinformatics analysis
- The role of enhanced expression of Cx43 in patients with ulcerative colitis
- Choosing a COVID-19 vaccination site might be driven by anxiety and body vigilance
- Role of ICAM-1 in triple-negative breast cancer
- Cost-effectiveness of ambroxol in the treatment of Gaucher disease type 2
- HLA-DRB5 promotes immune thrombocytopenia via activating CD8+ T cells
- Efficacy and factors of myofascial release therapy combined with electrical and magnetic stimulation in the treatment of chronic pelvic pain syndrome
- Efficacy of tacrolimus monotherapy in primary membranous nephropathy
- Mechanisms of Tripterygium wilfordii Hook F on treating rheumatoid arthritis explored by network pharmacology analysis and molecular docking
- FBXO45 levels regulated ferroptosis renal tubular epithelial cells in a model of diabetic nephropathy by PLK1
- Optimizing anesthesia strategies to NSCLC patients in VATS procedures: Insights from drug requirements and patient recovery patterns
- Alpha-lipoic acid upregulates the PPARγ/NRF2/GPX4 signal pathway to inhibit ferroptosis in the pathogenesis of unexplained recurrent pregnancy loss
- Correlation between fat-soluble vitamin levels and inflammatory factors in paediatric community-acquired pneumonia: A prospective study
- CD1d affects the proliferation, migration, and apoptosis of human papillary thyroid carcinoma TPC-1 cells via regulating MAPK/NF-κB signaling pathway
- miR-let-7a inhibits sympathetic nerve remodeling after myocardial infarction by downregulating the expression of nerve growth factor
- Immune response analysis of solid organ transplantation recipients inoculated with inactivated COVID-19 vaccine: A retrospective analysis
- The H2Valdien derivatives regulate the epithelial–mesenchymal transition of hepatoma carcinoma cells through the Hedgehog signaling pathway
- Clinical efficacy of dexamethasone combined with isoniazid in the treatment of tuberculous meningitis and its effect on peripheral blood T cell subsets
- Comparison of short-segment and long-segment fixation in treatment of degenerative scoliosis and analysis of factors associated with adjacent spondylolisthesis
- Lycopene inhibits pyroptosis of endothelial progenitor cells induced by ox-LDL through the AMPK/mTOR/NLRP3 pathway
- Methylation regulation for FUNDC1 stability in childhood leukemia was up-regulated and facilitates metastasis and reduces ferroptosis of leukemia through mitochondrial damage by FBXL2
- Correlation of single-fiber electromyography studies and functional status in patients with amyotrophic lateral sclerosis
- Risk factors of postoperative airway obstruction complications in children with oral floor mass
- Expression levels and clinical significance of serum miR-19a/CCL20 in patients with acute cerebral infarction
- Physical activity and mental health trends in Korean adolescents: Analyzing the impact of the COVID-19 pandemic from 2018 to 2022
- Evaluating anemia in HIV-infected patients using chest CT
- Ponticulus posticus and skeletal malocclusion: A pilot study in a Southern Italian pre-orthodontic court
- Causal association of circulating immune cells and lymphoma: A Mendelian randomization study
- Assessment of the renal function and fibrosis indexes of conventional western medicine with Chinese medicine for dredging collaterals on treating renal fibrosis: A systematic review and meta-analysis
- Comprehensive landscape of integrator complex subunits and their association with prognosis and tumor microenvironment in gastric cancer
- New target-HMGCR inhibitors for the treatment of primary sclerosing cholangitis: A drug Mendelian randomization study
- Population pharmacokinetics of meropenem in critically ill patients
- Comparison of the ability of newly inflammatory markers to predict complicated appendicitis
- Comparative morphology of the cruciate ligaments: A radiological study
- Immune landscape of hepatocellular carcinoma: The central role of TP53-inducible glycolysis and apoptosis regulator
- Serum SIRT3 levels in epilepsy patients and its association with clinical outcomes and severity: A prospective observational study
- SHP-1 mediates cigarette smoke extract-induced epithelial–mesenchymal transformation and inflammation in 16HBE cells
- Acute hyper-hypoxia accelerates the development of depression in mice via the IL-6/PGC1α/MFN2 signaling pathway
- The GJB3 correlates with the prognosis, immune cell infiltration, and therapeutic responses in lung adenocarcinoma
- Physical fitness and blood parameters outcomes of breast cancer survivor in a low-intensity circuit resistance exercise program
- Exploring anesthetic-induced gene expression changes and immune cell dynamics in atrial tissue post-coronary artery bypass graft surgery
- Empagliflozin improves aortic injury in obese mice by regulating fatty acid metabolism
- Analysis of the risk factors of the radiation-induced encephalopathy in nasopharyngeal carcinoma: A retrospective cohort study
- Reproductive outcomes in women with BRCA 1/2 germline mutations: A retrospective observational study and literature review
- Evaluation of upper airway ultrasonographic measurements in predicting difficult intubation: A cross-section of the Turkish population
- Prognostic and diagnostic value of circulating IGFBP2 in pancreatic cancer
- Postural stability after operative reconstruction of the AFTL in chronic ankle instability comparing three different surgical techniques
- Research trends related to emergence agitation in the post-anaesthesia care unit from 2001 to 2023: A bibliometric analysis
- Frequency and clinicopathological correlation of gastrointestinal polyps: A six-year single center experience
- ACSL4 mediates inflammatory bowel disease and contributes to LPS-induced intestinal epithelial cell dysfunction by activating ferroptosis and inflammation
- Affibody-based molecular probe 99mTc-(HE)3ZHER2:V2 for non-invasive HER2 detection in ovarian and breast cancer xenografts
- Effectiveness of nutritional support for clinical outcomes in gastric cancer patients: A meta-analysis of randomized controlled trials
- The relationship between IFN-γ, IL-10, IL-6 cytokines, and severity of the condition with serum zinc and Fe in children infected with Mycoplasma pneumoniae
- Paraquat disrupts the blood–brain barrier by increasing IL-6 expression and oxidative stress through the activation of PI3K/AKT signaling pathway
- Sleep quality associate with the increased prevalence of cognitive impairment in coronary artery disease patients: A retrospective case–control study
- Dioscin protects against chronic prostatitis through the TLR4/NF-κB pathway
- Association of polymorphisms in FBN1, MYH11, and TGF-β signaling-related genes with susceptibility of sporadic thoracic aortic aneurysm and dissection in the Zhejiang Han population
- Application value of multi-parameter magnetic resonance image-transrectal ultrasound cognitive fusion in prostate biopsy
- Laboratory variables‐based artificial neural network models for predicting fatty liver disease: A retrospective study
- Decreased BIRC5-206 promotes epithelial–mesenchymal transition in nasopharyngeal carcinoma through sponging miR-145-5p
- Sepsis induces the cardiomyocyte apoptosis and cardiac dysfunction through activation of YAP1/Serpine1/caspase-3 pathway
- Assessment of iron metabolism and iron deficiency in incident patients on incident continuous ambulatory peritoneal dialysis
- Tibial periosteum flap combined with autologous bone grafting in the treatment of Gustilo-IIIB/IIIC open tibial fractures
- The application of intravenous general anesthesia under nasopharyngeal airway assisted ventilation undergoing ureteroscopic holmium laser lithotripsy: A prospective, single-center, controlled trial
- Long intergenic noncoding RNA for IGF2BP2 stability suppresses gastric cancer cell apoptosis by inhibiting the maturation of microRNA-34a
- Role of FOXM1 and AURKB in regulating keratinocyte function in psoriasis
- Parental control attitudes over their pre-school children’s diet
- The role of auto-HSCT in extranodal natural killer/T cell lymphoma
- Significance of negative cervical cytology and positive HPV in the diagnosis of cervical lesions by colposcopy
- Echinacoside inhibits PASMCs calcium overload to prevent hypoxic pulmonary artery remodeling by regulating TRPC1/4/6 and calmodulin
- ADAR1 plays a protective role in proximal tubular cells under high glucose conditions by attenuating the PI3K/AKT/mTOR signaling pathway
- The risk of cancer among insulin glargine users in Lithuania: A retrospective population-based study
- The unusual location of primary hydatid cyst: A case series study
- Intraoperative changes in electrophysiological monitoring can be used to predict clinical outcomes in patients with spinal cavernous malformation
- Obesity and risk of placenta accreta spectrum: A meta-analysis
- Shikonin alleviates asthma phenotypes in mice via an airway epithelial STAT3-dependent mechanism
- NSUN6 and HTR7 disturbed the stability of carotid atherosclerotic plaques by regulating the immune responses of macrophages
- The effect of COVID-19 lockdown on admission rates in Maternity Hospital
- Temporal muscle thickness is not a prognostic predictor in patients with high-grade glioma, an experience at two centers in China
- Luteolin alleviates cerebral ischemia/reperfusion injury by regulating cell pyroptosis
- Therapeutic role of respiratory exercise in patients with tuberculous pleurisy
- Effects of CFTR-ENaC on spinal cord edema after spinal cord injury
- Irisin-regulated lncRNAs and their potential regulatory functions in chondrogenic differentiation of human mesenchymal stem cells
- DMD mutations in pediatric patients with phenotypes of Duchenne/Becker muscular dystrophy
- Combination of C-reactive protein and fibrinogen-to-albumin ratio as a novel predictor of all-cause mortality in heart failure patients
- Significant role and the underly mechanism of cullin-1 in chronic obstructive pulmonary disease
- Ferroptosis-related prognostic model of mantle cell lymphoma
- Observation of choking reaction and other related indexes in elderly painless fiberoptic bronchoscopy with transnasal high-flow humidification oxygen therapy
- A bibliometric analysis of Prader-Willi syndrome from 2002 to 2022
- The causal effects of childhood sunburn occasions on melanoma: A univariable and multivariable Mendelian randomization study
- Oxidative stress regulates glycogen synthase kinase-3 in lymphocytes of diabetes mellitus patients complicated with cerebral infarction
- Role of COX6C and NDUFB3 in septic shock and stroke
- Trends in disease burden of type 2 diabetes, stroke, and hypertensive heart disease attributable to high BMI in China: 1990–2019
- Purinergic P2X7 receptor mediates hyperoxia-induced injury in pulmonary microvascular endothelial cells via NLRP3-mediated pyroptotic pathway
- Investigating the role of oviductal mucosa–endometrial co-culture in modulating factors relevant to embryo implantation
- Analgesic effect of external oblique intercostal block in laparoscopic cholecystectomy: A retrospective study
- Elevated serum miR-142-5p correlates with ischemic lesions and both NSE and S100β in ischemic stroke patients
- Correlation between the mechanism of arteriopathy in IgA nephropathy and blood stasis syndrome: A cohort study
- Risk factors for progressive kyphosis after percutaneous kyphoplasty in osteoporotic vertebral compression fracture
- Predictive role of neuron-specific enolase and S100-β in early neurological deterioration and unfavorable prognosis in patients with ischemic stroke
- The potential risk factors of postoperative cognitive dysfunction for endovascular therapy in acute ischemic stroke with general anesthesia
- Fluoxetine inhibited RANKL-induced osteoclastic differentiation in vitro
- Detection of serum FOXM1 and IGF2 in patients with ARDS and their correlation with disease and prognosis
- Rhein promotes skin wound healing by activating the PI3K/AKT signaling pathway
- Differences in mortality risk by levels of physical activity among persons with disabilities in South Korea
- Review Articles
- Cutaneous signs of selected cardiovascular disorders: A narrative review
- XRCC1 and hOGG1 polymorphisms and endometrial carcinoma: A meta-analysis
- A narrative review on adverse drug reactions of COVID-19 treatments on the kidney
- Emerging role and function of SPDL1 in human health and diseases
- Adverse reactions of piperacillin: A literature review of case reports
- Molecular mechanism and intervention measures of microvascular complications in diabetes
- Regulation of mesenchymal stem cell differentiation by autophagy
- Molecular landscape of borderline ovarian tumours: A systematic review
- Advances in synthetic lethality modalities for glioblastoma multiforme
- Investigating hormesis, aging, and neurodegeneration: From bench to clinics
- Frankincense: A neuronutrient to approach Parkinson’s disease treatment
- Sox9: A potential regulator of cancer stem cells in osteosarcoma
- Early detection of cardiovascular risk markers through non-invasive ultrasound methodologies in periodontitis patients
- Advanced neuroimaging and criminal interrogation in lie detection
- Maternal factors for neural tube defects in offspring: An umbrella review
- The chemoprotective hormetic effects of rosmarinic acid
- CBD’s potential impact on Parkinson’s disease: An updated overview
- Progress in cytokine research for ARDS: A comprehensive review
- Utilizing reactive oxygen species-scavenging nanoparticles for targeting oxidative stress in the treatment of ischemic stroke: A review
- NRXN1-related disorders, attempt to better define clinical assessment
- Lidocaine infusion for the treatment of complex regional pain syndrome: Case series and literature review
- Trends and future directions of autophagy in osteosarcoma: A bibliometric analysis
- Iron in ventricular remodeling and aneurysms post-myocardial infarction
- Case Reports
- Sirolimus potentiated angioedema: A case report and review of the literature
- Identification of mixed anaerobic infections after inguinal hernia repair based on metagenomic next-generation sequencing: A case report
- Successful treatment with bortezomib in combination with dexamethasone in a middle-aged male with idiopathic multicentric Castleman’s disease: A case report
- Complete heart block associated with hepatitis A infection in a female child with fatal outcome
- Elevation of D-dimer in eosinophilic gastrointestinal diseases in the absence of venous thrombosis: A case series and literature review
- Four years of natural progressive course: A rare case report of juvenile Xp11.2 translocations renal cell carcinoma with TFE3 gene fusion
- Advancing prenatal diagnosis: Echocardiographic detection of Scimitar syndrome in China – A case series
- Outcomes and complications of hemodialysis in patients with renal cancer following bilateral nephrectomy
- Anti-HMGCR myopathy mimicking facioscapulohumeral muscular dystrophy
- Recurrent opportunistic infections in a HIV-negative patient with combined C6 and NFKB1 mutations: A case report, pedigree analysis, and literature review
- Letter to the Editor
- Letter to the Editor: Total parenteral nutrition-induced Wernicke’s encephalopathy after oncologic gastrointestinal surgery
- Erratum
- Erratum to “Bladder-embedded ectopic intrauterine device with calculus”
- Retraction
- Retraction of “XRCC1 and hOGG1 polymorphisms and endometrial carcinoma: A meta-analysis”
- Corrigendum
- Corrigendum to “Investigating hormesis, aging, and neurodegeneration: From bench to clinics”
- Corrigendum to “Frankincense: A neuronutrient to approach Parkinson’s disease treatment”
- Special Issue The evolving saga of RNAs from bench to bedside - Part II
- Machine-learning-based prediction of a diagnostic model using autophagy-related genes based on RNA sequencing for patients with papillary thyroid carcinoma
- Unlocking the future of hepatocellular carcinoma treatment: A comprehensive analysis of disulfidptosis-related lncRNAs for prognosis and drug screening
- Elevated mRNA level indicates FSIP1 promotes EMT and gastric cancer progression by regulating fibroblasts in tumor microenvironment
- Special Issue Advancements in oncology: bridging clinical and experimental research - Part I
- Ultrasound-guided transperineal vs transrectal prostate biopsy: A meta-analysis of diagnostic accuracy and complication rates
- Assessment of diagnostic value of unilateral systematic biopsy combined with targeted biopsy in detecting clinically significant prostate cancer
- SENP7 inhibits glioblastoma metastasis and invasion by dissociating SUMO2/3 binding to specific target proteins
- MARK1 suppress malignant progression of hepatocellular carcinoma and improves sorafenib resistance through negatively regulating POTEE
- Analysis of postoperative complications in bladder cancer patients
- Carboplatin combined with arsenic trioxide versus carboplatin combined with docetaxel treatment for LACC: A randomized, open-label, phase II clinical study
- Special Issue Exploring the biological mechanism of human diseases based on MultiOmics Technology - Part I
- Comprehensive pan-cancer investigation of carnosine dipeptidase 1 and its prospective prognostic significance in hepatocellular carcinoma
- Identification of signatures associated with microsatellite instability and immune characteristics to predict the prognostic risk of colon cancer
- Single-cell analysis identified key macrophage subpopulations associated with atherosclerosis
Articles in the same Issue
- Research Articles
- EDNRB inhibits the growth and migration of prostate cancer cells by activating the cGMP-PKG pathway
- STK11 (LKB1) mutation suppresses ferroptosis in lung adenocarcinoma by facilitating monounsaturated fatty acid synthesis
- Association of SOX6 gene polymorphisms with Kashin-Beck disease risk in the Chinese Han population
- The pyroptosis-related signature predicts prognosis and influences the tumor immune microenvironment in dedifferentiated liposarcoma
- METTL3 attenuates ferroptosis sensitivity in lung cancer via modulating TFRC
- Identification and validation of molecular subtypes and prognostic signature for stage I and stage II gastric cancer based on neutrophil extracellular traps
- Novel lumbar plexus block versus femoral nerve block for analgesia and motor recovery after total knee arthroplasty
- Correlation between ABCB1 and OLIG2 polymorphisms and the severity and prognosis of patients with cerebral infarction
- Study on the radiotherapy effect and serum neutral granulocyte lymphocyte ratio and inflammatory factor expression of nasopharyngeal carcinoma
- Transcriptome analysis of effects of Tecrl deficiency on cardiometabolic and calcium regulation in cardiac tissue
- Aflatoxin B1 induces infertility, fetal deformities, and potential therapies
- Serum levels of HMW adiponectin and its receptors are associated with cytokine levels and clinical characteristics in chronic obstructive pulmonary disease
- METTL3-mediated methylation of CYP2C19 mRNA may aggravate clopidogrel resistance in ischemic stroke patients
- Understand how machine learning impact lung cancer research from 2010 to 2021: A bibliometric analysis
- Pressure ulcers in German hospitals: Analysis of reimbursement and length of stay
- Metformin plus L-carnitine enhances brown/beige adipose tissue activity via Nrf2/HO-1 signaling to reduce lipid accumulation and inflammation in murine obesity
- Downregulation of carbonic anhydrase IX expression in mouse xenograft nasopharyngeal carcinoma model via doxorubicin nanobubble combined with ultrasound
- Feasibility of 3-dimensional printed models in simulated training and teaching of transcatheter aortic valve replacement
- miR-335-3p improves type II diabetes mellitus by IGF-1 regulating macrophage polarization
- The analyses of human MCPH1 DNA repair machinery and genetic variations
- Activation of Piezo1 increases the sensitivity of breast cancer to hyperthermia therapy
- Comprehensive analysis based on the disulfidptosis-related genes identifies hub genes and immune infiltration for pancreatic adenocarcinoma
- Changes of serum CA125 and PGE2 before and after high-intensity focused ultrasound combined with GnRH-a in treatment of patients with adenomyosis
- The clinical value of the hepatic venous pressure gradient in patients undergoing hepatic resection for hepatocellular carcinoma with or without liver cirrhosis
- Development and validation of a novel model to predict pulmonary embolism in cardiology suspected patients: A 10-year retrospective analysis
- Downregulation of lncRNA XLOC_032768 in diabetic patients predicts the occurrence of diabetic nephropathy
- Circ_0051428 targeting miR-885-3p/MMP2 axis enhances the malignancy of cervical cancer
- Effectiveness of ginkgo diterpene lactone meglumine on cognitive function in patients with acute ischemic stroke
- The construction of a novel prognostic prediction model for glioma based on GWAS-identified prognostic-related risk loci
- Evaluating the impact of childhood BMI on the risk of coronavirus disease 2019: A Mendelian randomization study
- Lactate dehydrogenase to albumin ratio is associated with in-hospital mortality in patients with acute heart failure: Data from the MIMIC-III database
- CD36-mediated podocyte lipotoxicity promotes foot process effacement
- Efficacy of etonogestrel subcutaneous implants versus the levonorgestrel-releasing intrauterine system in the conservative treatment of adenomyosis
- FLRT2 mediates chondrogenesis of nasal septal cartilage and mandibular condyle cartilage
- Challenges in treating primary immune thrombocytopenia patients undergoing COVID-19 vaccination: A retrospective study
- Let-7 family regulates HaCaT cell proliferation and apoptosis via the ΔNp63/PI3K/AKT pathway
- Phospholipid transfer protein ameliorates sepsis-induced cardiac dysfunction through NLRP3 inflammasome inhibition
- Postoperative cognitive dysfunction in elderly patients with colorectal cancer: A randomized controlled study comparing goal-directed and conventional fluid therapy
- Long-pulsed ultrasound-mediated microbubble thrombolysis in a rat model of microvascular obstruction
- High SEC61A1 expression predicts poor outcome of acute myeloid leukemia
- Comparison of polymerase chain reaction and next-generation sequencing with conventional urine culture for the diagnosis of urinary tract infections: A meta-analysis
- Secreted frizzled-related protein 5 protects against renal fibrosis by inhibiting Wnt/β-catenin pathway
- Pan-cancer and single-cell analysis of actin cytoskeleton genes related to disulfidptosis
- Overexpression of miR-532-5p restrains oxidative stress response of chondrocytes in nontraumatic osteonecrosis of the femoral head by inhibiting ABL1
- Autologous liver transplantation for unresectable hepatobiliary malignancies in enhanced recovery after surgery model
- Clinical analysis of incomplete rupture of the uterus secondary to previous cesarean section
- Abnormal sleep duration is associated with sarcopenia in older Chinese people: A large retrospective cross-sectional study
- No genetic causality between obesity and benign paroxysmal vertigo: A two-sample Mendelian randomization study
- Identification and validation of autophagy-related genes in SSc
- Long non-coding RNA SRA1 suppresses radiotherapy resistance in esophageal squamous cell carcinoma by modulating glycolytic reprogramming
- Evaluation of quality of life in patients with schizophrenia: An inpatient social welfare institution-based cross-sectional study
- The possible role of oxidative stress marker glutathione in the assessment of cognitive impairment in multiple sclerosis
- Compilation of a self-management assessment scale for postoperative patients with aortic dissection
- Left atrial appendage closure in conjunction with radiofrequency ablation: Effects on left atrial functioning in patients with paroxysmal atrial fibrillation
- Effect of anterior femoral cortical notch grade on postoperative function and complications during TKA surgery: A multicenter, retrospective study
- Clinical characteristics and assessment of risk factors in patients with influenza A-induced severe pneumonia after the prevalence of SARS-CoV-2
- Analgesia nociception index is an indicator of laparoscopic trocar insertion-induced transient nociceptive stimuli
- High STAT4 expression correlates with poor prognosis in acute myeloid leukemia and facilitates disease progression by upregulating VEGFA expression
- Factors influencing cardiovascular system-related post-COVID-19 sequelae: A single-center cohort study
- HOXD10 regulates intestinal permeability and inhibits inflammation of dextran sulfate sodium-induced ulcerative colitis through the inactivation of the Rho/ROCK/MMPs axis
- Mesenchymal stem cell-derived exosomal miR-26a induces ferroptosis, suppresses hepatic stellate cell activation, and ameliorates liver fibrosis by modulating SLC7A11
- Endovascular thrombectomy versus intravenous thrombolysis for primary distal, medium vessel occlusion in acute ischemic stroke
- ANO6 (TMEM16F) inhibits gastrointestinal stromal tumor growth and induces ferroptosis
- Prognostic value of EIF5A2 in solid tumors: A meta-analysis and bioinformatics analysis
- The role of enhanced expression of Cx43 in patients with ulcerative colitis
- Choosing a COVID-19 vaccination site might be driven by anxiety and body vigilance
- Role of ICAM-1 in triple-negative breast cancer
- Cost-effectiveness of ambroxol in the treatment of Gaucher disease type 2
- HLA-DRB5 promotes immune thrombocytopenia via activating CD8+ T cells
- Efficacy and factors of myofascial release therapy combined with electrical and magnetic stimulation in the treatment of chronic pelvic pain syndrome
- Efficacy of tacrolimus monotherapy in primary membranous nephropathy
- Mechanisms of Tripterygium wilfordii Hook F on treating rheumatoid arthritis explored by network pharmacology analysis and molecular docking
- FBXO45 levels regulated ferroptosis renal tubular epithelial cells in a model of diabetic nephropathy by PLK1
- Optimizing anesthesia strategies to NSCLC patients in VATS procedures: Insights from drug requirements and patient recovery patterns
- Alpha-lipoic acid upregulates the PPARγ/NRF2/GPX4 signal pathway to inhibit ferroptosis in the pathogenesis of unexplained recurrent pregnancy loss
- Correlation between fat-soluble vitamin levels and inflammatory factors in paediatric community-acquired pneumonia: A prospective study
- CD1d affects the proliferation, migration, and apoptosis of human papillary thyroid carcinoma TPC-1 cells via regulating MAPK/NF-κB signaling pathway
- miR-let-7a inhibits sympathetic nerve remodeling after myocardial infarction by downregulating the expression of nerve growth factor
- Immune response analysis of solid organ transplantation recipients inoculated with inactivated COVID-19 vaccine: A retrospective analysis
- The H2Valdien derivatives regulate the epithelial–mesenchymal transition of hepatoma carcinoma cells through the Hedgehog signaling pathway
- Clinical efficacy of dexamethasone combined with isoniazid in the treatment of tuberculous meningitis and its effect on peripheral blood T cell subsets
- Comparison of short-segment and long-segment fixation in treatment of degenerative scoliosis and analysis of factors associated with adjacent spondylolisthesis
- Lycopene inhibits pyroptosis of endothelial progenitor cells induced by ox-LDL through the AMPK/mTOR/NLRP3 pathway
- Methylation regulation for FUNDC1 stability in childhood leukemia was up-regulated and facilitates metastasis and reduces ferroptosis of leukemia through mitochondrial damage by FBXL2
- Correlation of single-fiber electromyography studies and functional status in patients with amyotrophic lateral sclerosis
- Risk factors of postoperative airway obstruction complications in children with oral floor mass
- Expression levels and clinical significance of serum miR-19a/CCL20 in patients with acute cerebral infarction
- Physical activity and mental health trends in Korean adolescents: Analyzing the impact of the COVID-19 pandemic from 2018 to 2022
- Evaluating anemia in HIV-infected patients using chest CT
- Ponticulus posticus and skeletal malocclusion: A pilot study in a Southern Italian pre-orthodontic court
- Causal association of circulating immune cells and lymphoma: A Mendelian randomization study
- Assessment of the renal function and fibrosis indexes of conventional western medicine with Chinese medicine for dredging collaterals on treating renal fibrosis: A systematic review and meta-analysis
- Comprehensive landscape of integrator complex subunits and their association with prognosis and tumor microenvironment in gastric cancer
- New target-HMGCR inhibitors for the treatment of primary sclerosing cholangitis: A drug Mendelian randomization study
- Population pharmacokinetics of meropenem in critically ill patients
- Comparison of the ability of newly inflammatory markers to predict complicated appendicitis
- Comparative morphology of the cruciate ligaments: A radiological study
- Immune landscape of hepatocellular carcinoma: The central role of TP53-inducible glycolysis and apoptosis regulator
- Serum SIRT3 levels in epilepsy patients and its association with clinical outcomes and severity: A prospective observational study
- SHP-1 mediates cigarette smoke extract-induced epithelial–mesenchymal transformation and inflammation in 16HBE cells
- Acute hyper-hypoxia accelerates the development of depression in mice via the IL-6/PGC1α/MFN2 signaling pathway
- The GJB3 correlates with the prognosis, immune cell infiltration, and therapeutic responses in lung adenocarcinoma
- Physical fitness and blood parameters outcomes of breast cancer survivor in a low-intensity circuit resistance exercise program
- Exploring anesthetic-induced gene expression changes and immune cell dynamics in atrial tissue post-coronary artery bypass graft surgery
- Empagliflozin improves aortic injury in obese mice by regulating fatty acid metabolism
- Analysis of the risk factors of the radiation-induced encephalopathy in nasopharyngeal carcinoma: A retrospective cohort study
- Reproductive outcomes in women with BRCA 1/2 germline mutations: A retrospective observational study and literature review
- Evaluation of upper airway ultrasonographic measurements in predicting difficult intubation: A cross-section of the Turkish population
- Prognostic and diagnostic value of circulating IGFBP2 in pancreatic cancer
- Postural stability after operative reconstruction of the AFTL in chronic ankle instability comparing three different surgical techniques
- Research trends related to emergence agitation in the post-anaesthesia care unit from 2001 to 2023: A bibliometric analysis
- Frequency and clinicopathological correlation of gastrointestinal polyps: A six-year single center experience
- ACSL4 mediates inflammatory bowel disease and contributes to LPS-induced intestinal epithelial cell dysfunction by activating ferroptosis and inflammation
- Affibody-based molecular probe 99mTc-(HE)3ZHER2:V2 for non-invasive HER2 detection in ovarian and breast cancer xenografts
- Effectiveness of nutritional support for clinical outcomes in gastric cancer patients: A meta-analysis of randomized controlled trials
- The relationship between IFN-γ, IL-10, IL-6 cytokines, and severity of the condition with serum zinc and Fe in children infected with Mycoplasma pneumoniae
- Paraquat disrupts the blood–brain barrier by increasing IL-6 expression and oxidative stress through the activation of PI3K/AKT signaling pathway
- Sleep quality associate with the increased prevalence of cognitive impairment in coronary artery disease patients: A retrospective case–control study
- Dioscin protects against chronic prostatitis through the TLR4/NF-κB pathway
- Association of polymorphisms in FBN1, MYH11, and TGF-β signaling-related genes with susceptibility of sporadic thoracic aortic aneurysm and dissection in the Zhejiang Han population
- Application value of multi-parameter magnetic resonance image-transrectal ultrasound cognitive fusion in prostate biopsy
- Laboratory variables‐based artificial neural network models for predicting fatty liver disease: A retrospective study
- Decreased BIRC5-206 promotes epithelial–mesenchymal transition in nasopharyngeal carcinoma through sponging miR-145-5p
- Sepsis induces the cardiomyocyte apoptosis and cardiac dysfunction through activation of YAP1/Serpine1/caspase-3 pathway
- Assessment of iron metabolism and iron deficiency in incident patients on incident continuous ambulatory peritoneal dialysis
- Tibial periosteum flap combined with autologous bone grafting in the treatment of Gustilo-IIIB/IIIC open tibial fractures
- The application of intravenous general anesthesia under nasopharyngeal airway assisted ventilation undergoing ureteroscopic holmium laser lithotripsy: A prospective, single-center, controlled trial
- Long intergenic noncoding RNA for IGF2BP2 stability suppresses gastric cancer cell apoptosis by inhibiting the maturation of microRNA-34a
- Role of FOXM1 and AURKB in regulating keratinocyte function in psoriasis
- Parental control attitudes over their pre-school children’s diet
- The role of auto-HSCT in extranodal natural killer/T cell lymphoma
- Significance of negative cervical cytology and positive HPV in the diagnosis of cervical lesions by colposcopy
- Echinacoside inhibits PASMCs calcium overload to prevent hypoxic pulmonary artery remodeling by regulating TRPC1/4/6 and calmodulin
- ADAR1 plays a protective role in proximal tubular cells under high glucose conditions by attenuating the PI3K/AKT/mTOR signaling pathway
- The risk of cancer among insulin glargine users in Lithuania: A retrospective population-based study
- The unusual location of primary hydatid cyst: A case series study
- Intraoperative changes in electrophysiological monitoring can be used to predict clinical outcomes in patients with spinal cavernous malformation
- Obesity and risk of placenta accreta spectrum: A meta-analysis
- Shikonin alleviates asthma phenotypes in mice via an airway epithelial STAT3-dependent mechanism
- NSUN6 and HTR7 disturbed the stability of carotid atherosclerotic plaques by regulating the immune responses of macrophages
- The effect of COVID-19 lockdown on admission rates in Maternity Hospital
- Temporal muscle thickness is not a prognostic predictor in patients with high-grade glioma, an experience at two centers in China
- Luteolin alleviates cerebral ischemia/reperfusion injury by regulating cell pyroptosis
- Therapeutic role of respiratory exercise in patients with tuberculous pleurisy
- Effects of CFTR-ENaC on spinal cord edema after spinal cord injury
- Irisin-regulated lncRNAs and their potential regulatory functions in chondrogenic differentiation of human mesenchymal stem cells
- DMD mutations in pediatric patients with phenotypes of Duchenne/Becker muscular dystrophy
- Combination of C-reactive protein and fibrinogen-to-albumin ratio as a novel predictor of all-cause mortality in heart failure patients
- Significant role and the underly mechanism of cullin-1 in chronic obstructive pulmonary disease
- Ferroptosis-related prognostic model of mantle cell lymphoma
- Observation of choking reaction and other related indexes in elderly painless fiberoptic bronchoscopy with transnasal high-flow humidification oxygen therapy
- A bibliometric analysis of Prader-Willi syndrome from 2002 to 2022
- The causal effects of childhood sunburn occasions on melanoma: A univariable and multivariable Mendelian randomization study
- Oxidative stress regulates glycogen synthase kinase-3 in lymphocytes of diabetes mellitus patients complicated with cerebral infarction
- Role of COX6C and NDUFB3 in septic shock and stroke
- Trends in disease burden of type 2 diabetes, stroke, and hypertensive heart disease attributable to high BMI in China: 1990–2019
- Purinergic P2X7 receptor mediates hyperoxia-induced injury in pulmonary microvascular endothelial cells via NLRP3-mediated pyroptotic pathway
- Investigating the role of oviductal mucosa–endometrial co-culture in modulating factors relevant to embryo implantation
- Analgesic effect of external oblique intercostal block in laparoscopic cholecystectomy: A retrospective study
- Elevated serum miR-142-5p correlates with ischemic lesions and both NSE and S100β in ischemic stroke patients
- Correlation between the mechanism of arteriopathy in IgA nephropathy and blood stasis syndrome: A cohort study
- Risk factors for progressive kyphosis after percutaneous kyphoplasty in osteoporotic vertebral compression fracture
- Predictive role of neuron-specific enolase and S100-β in early neurological deterioration and unfavorable prognosis in patients with ischemic stroke
- The potential risk factors of postoperative cognitive dysfunction for endovascular therapy in acute ischemic stroke with general anesthesia
- Fluoxetine inhibited RANKL-induced osteoclastic differentiation in vitro
- Detection of serum FOXM1 and IGF2 in patients with ARDS and their correlation with disease and prognosis
- Rhein promotes skin wound healing by activating the PI3K/AKT signaling pathway
- Differences in mortality risk by levels of physical activity among persons with disabilities in South Korea
- Review Articles
- Cutaneous signs of selected cardiovascular disorders: A narrative review
- XRCC1 and hOGG1 polymorphisms and endometrial carcinoma: A meta-analysis
- A narrative review on adverse drug reactions of COVID-19 treatments on the kidney
- Emerging role and function of SPDL1 in human health and diseases
- Adverse reactions of piperacillin: A literature review of case reports
- Molecular mechanism and intervention measures of microvascular complications in diabetes
- Regulation of mesenchymal stem cell differentiation by autophagy
- Molecular landscape of borderline ovarian tumours: A systematic review
- Advances in synthetic lethality modalities for glioblastoma multiforme
- Investigating hormesis, aging, and neurodegeneration: From bench to clinics
- Frankincense: A neuronutrient to approach Parkinson’s disease treatment
- Sox9: A potential regulator of cancer stem cells in osteosarcoma
- Early detection of cardiovascular risk markers through non-invasive ultrasound methodologies in periodontitis patients
- Advanced neuroimaging and criminal interrogation in lie detection
- Maternal factors for neural tube defects in offspring: An umbrella review
- The chemoprotective hormetic effects of rosmarinic acid
- CBD’s potential impact on Parkinson’s disease: An updated overview
- Progress in cytokine research for ARDS: A comprehensive review
- Utilizing reactive oxygen species-scavenging nanoparticles for targeting oxidative stress in the treatment of ischemic stroke: A review
- NRXN1-related disorders, attempt to better define clinical assessment
- Lidocaine infusion for the treatment of complex regional pain syndrome: Case series and literature review
- Trends and future directions of autophagy in osteosarcoma: A bibliometric analysis
- Iron in ventricular remodeling and aneurysms post-myocardial infarction
- Case Reports
- Sirolimus potentiated angioedema: A case report and review of the literature
- Identification of mixed anaerobic infections after inguinal hernia repair based on metagenomic next-generation sequencing: A case report
- Successful treatment with bortezomib in combination with dexamethasone in a middle-aged male with idiopathic multicentric Castleman’s disease: A case report
- Complete heart block associated with hepatitis A infection in a female child with fatal outcome
- Elevation of D-dimer in eosinophilic gastrointestinal diseases in the absence of venous thrombosis: A case series and literature review
- Four years of natural progressive course: A rare case report of juvenile Xp11.2 translocations renal cell carcinoma with TFE3 gene fusion
- Advancing prenatal diagnosis: Echocardiographic detection of Scimitar syndrome in China – A case series
- Outcomes and complications of hemodialysis in patients with renal cancer following bilateral nephrectomy
- Anti-HMGCR myopathy mimicking facioscapulohumeral muscular dystrophy
- Recurrent opportunistic infections in a HIV-negative patient with combined C6 and NFKB1 mutations: A case report, pedigree analysis, and literature review
- Letter to the Editor
- Letter to the Editor: Total parenteral nutrition-induced Wernicke’s encephalopathy after oncologic gastrointestinal surgery
- Erratum
- Erratum to “Bladder-embedded ectopic intrauterine device with calculus”
- Retraction
- Retraction of “XRCC1 and hOGG1 polymorphisms and endometrial carcinoma: A meta-analysis”
- Corrigendum
- Corrigendum to “Investigating hormesis, aging, and neurodegeneration: From bench to clinics”
- Corrigendum to “Frankincense: A neuronutrient to approach Parkinson’s disease treatment”
- Special Issue The evolving saga of RNAs from bench to bedside - Part II
- Machine-learning-based prediction of a diagnostic model using autophagy-related genes based on RNA sequencing for patients with papillary thyroid carcinoma
- Unlocking the future of hepatocellular carcinoma treatment: A comprehensive analysis of disulfidptosis-related lncRNAs for prognosis and drug screening
- Elevated mRNA level indicates FSIP1 promotes EMT and gastric cancer progression by regulating fibroblasts in tumor microenvironment
- Special Issue Advancements in oncology: bridging clinical and experimental research - Part I
- Ultrasound-guided transperineal vs transrectal prostate biopsy: A meta-analysis of diagnostic accuracy and complication rates
- Assessment of diagnostic value of unilateral systematic biopsy combined with targeted biopsy in detecting clinically significant prostate cancer
- SENP7 inhibits glioblastoma metastasis and invasion by dissociating SUMO2/3 binding to specific target proteins
- MARK1 suppress malignant progression of hepatocellular carcinoma and improves sorafenib resistance through negatively regulating POTEE
- Analysis of postoperative complications in bladder cancer patients
- Carboplatin combined with arsenic trioxide versus carboplatin combined with docetaxel treatment for LACC: A randomized, open-label, phase II clinical study
- Special Issue Exploring the biological mechanism of human diseases based on MultiOmics Technology - Part I
- Comprehensive pan-cancer investigation of carnosine dipeptidase 1 and its prospective prognostic significance in hepatocellular carcinoma
- Identification of signatures associated with microsatellite instability and immune characteristics to predict the prognostic risk of colon cancer
- Single-cell analysis identified key macrophage subpopulations associated with atherosclerosis