Abstract
Background
Renal cell carcinoma (RCC) with TFE3 gene fusion caused by Xp11.2 translocations is a rare RCC subtype. This tumor is typically seen in children, comprising 20‒40% of overall RCC cases compared to 1‒1.6% observed in adults. Xp11.2 RCC is associated with a poor prognosis due to both the progression of local lesions and early distant and lymphatic metastasis.
Case presentation
A case of RCC with Xp11.2 RCC translocations and TFE3 gene fusion was found in a pediatric patient, illustrating the catastrophic effects of ignoring the condition. The tumor developed from a local lesion to lymph metastasis (3.2–12 cm) within 4 years. Despite ongoing controversy, surgical resection remains the most common and productive approach. In this patient, renal retroperitoneal lymph node dissection and radical nephrectomy of the left kidney were performed via laparoscopic surgery. The RCC-associated Xp11.2 translocation/TFE3 gene fusions were identified by postoperative pathology. Microscopic analysis showed the presence of intravascular cancer thrombus, renal sinus invasion, and cancer necrosis. The pathological stages were confirmed as PT3aN1M0 with a negative margin. Follow-up at 5 months showed that the patient recovered without the use of any adjuvant treatments.
Conclusion
Our study highlights the natural course, diagnosis, and treatment of RCC-associated Xp11.2 translocation/TFE3 gene fusions, especially the necessity of early surgery. This case may be a helpful reference for urologists in the treatment of similar cases. It also serves as a precautionary signal for patients who neglect the renal neoplasm.
1 Introduction
Renal cell carcinoma (RCC) caused by Xp11.2 translocation/TFE3 gene fusion is an uncommon RCC subtype that was first identified by the World Health Organization (WHO) in 2004 [1]. The prognosis of this tumor is worse than other RCC subtypes [2]. In 2016, the WHO introduced molecular-driven histotypes termed the MiT family, which comprises TFE3, MiTF, TFEB, and TFEC. Consequently, these tumors were identified as MiT-RCC, indicating miT family translocation RCC.
The tumor is more prevalent in children and teenagers compared to adults. The tumor differs from other RCC types in the presence of various translocations on chromosome Xp11.2, resulting in a gene fusion involving TFE3; there are at least six possible fusion types [3] which are currently described as TFE3-rearranged RCC, the predominant subtype. In addition, RCC associated with Xp11.2 translocations exhibits a more aggressive progression than other RCC subtypes, characterized by the rapid progression of local lesions and early distant and lymphatic metastases.
Moreover, the tumor’s resistance to chemotherapy and radiotherapy results in an ultimately poor prognosis [4]. Surgical resection is considered the most effective approach for managing Xp11.2-translocation RCC. The prognosis for pediatric patients is usually more favorable than that of adults.
The present study presents a rare case of a patient who developed Xp11.2-translocation RCC with TFE3 gene fusion over 4 years. A review of the relevant literature is included. It is hoped that this will increase awareness of this uncommon and often deadly disease.
2 Case presentation
A 16-year-old female patient presented at the urology clinic on March 25, 2019, with a complaint of hematuria lasting for 5 days. The patient was admitted to the hospital to identify the cause of the hematuria. Enhanced computed tomography (eCT) showed the presence of a solid mass (3.2 cm × 3.1 cm) in the dorsal upper pole of the left kidney, with evidence of invasion into the upper renal calyces (Figure 1). These findings were confirmed by ultrasonography (Figure 2) and enhanced magnetic resonance imaging (MRI) (Figure 3). Despite the apparent indications for surgical intervention, the patient’s guardians opted for Chinese Traditional Medicine (TCM) as an alternative treatment for the tumor, refusing surgical intervention. The patient was discharged following comprehensive communication and the completion of a consent form declining surgery.

eCT image showing a solid mass (3.2 cm × 3.1 cm) in the upper pole of the left kidney in 2019: (a) transverse plane and (b) coronal plane.

(a) Ultrasound showing a high echogenic area with internal uneven echo in the upper pole of the left kidney. (b) Ultrasound showing blood flow signal inside the echogenicity.

MRI image showing a solid mass in the upper pole of the kidney with long signal in T2WI: (a) transverse plane and (b) coronal plane.
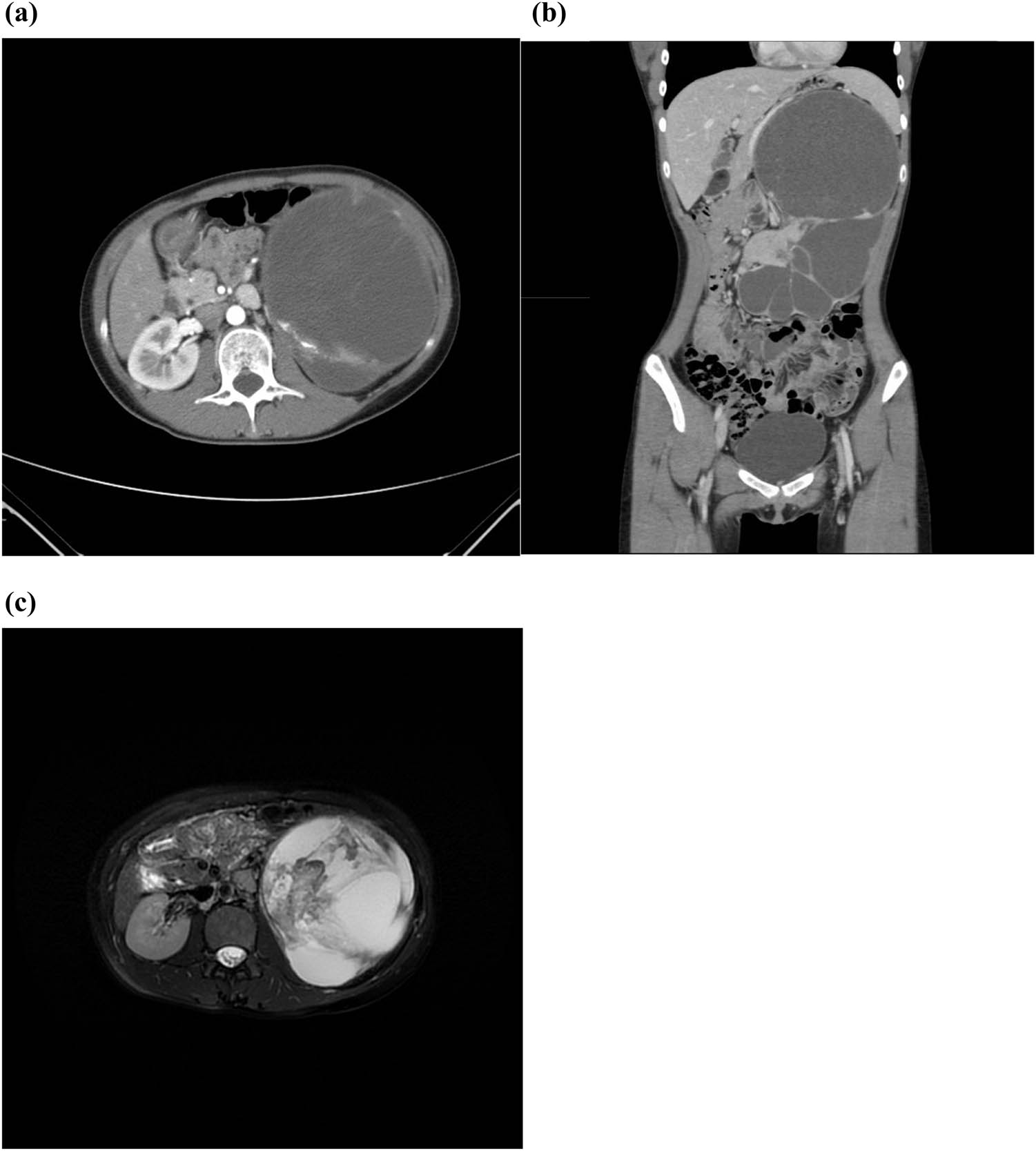
Four years later, on May 23, 2023, the patient, now 20 years old, revisited the Clinic of Urology with the complaint of a large mass in her left abdomen. Following admission to hospital, both eCT and enhanced MRI revealed the presence of left renal carcinoma with cystic changes, which had advanced considerably since March 30, 2019. The scans also detected invasion of the left calyces with left hydronephrosis. Furthermore, metastasis was indicated based on the observed enlargement of the retroperitoneal lymph nodes (Figure 4). The left renal glomerular filtration rate (GFR) was severely impaired, with GFR = 12.17 mL/min, while the right GFR was normal at 65.23 mL/min. No contraindications were identified during the preoperative evaluations. A palpable hard mass in the left upper abdomen was found during the physical examination.

A sizeable cystic kidney with increased compartments was detected in the left abdomen on eCT and MRI scanning in 2023: (a) transverse plane, (b) coronal plane, and (c) T2 scan.
To ensure the successful completion of the operation, a multidisciplinary discussion was convened, and it was decided that retroperitoneal laparoscopy for left radical nephrectomy (RN) was the most effective approach. The patient provided written consent and underwent retroperitoneal lymph node dissection and radical resection of the left carcinoma under general anesthesia (Figure 5). Following a week of recovery from surgery, the patient was discharged from the hospital.

Postoperative gross morphology of a typical Xp11.2 translocation RCC. (a) Specimen obtained on RN, showing multiple protruding masses. (b) Dissected specimen showing the cystic tumor covering the whole kidney.
Postoperative pathology identified RCC measuring 12 × 7.5 × 5.5 cm, together with intravascular cancer thrombus, renal sinus invasion, and necrosis associated with Xp11.2 translocations/TFE3 gene fusions.
In addition, analysis of the retroperitoneal lymph nodes (3/7) and hilar lymph nodes (11/20) revealed metastatic RCC. Based on the staging criteria of the American Joint Committee on Cancer (AJCC) (2017), the TNM staging was reclassified. The negative margin of pT3aN1M0 determined the pathological stage.
Positive results were observed for CD10, AE1/AE3, Vimentin, Melan-A, P504 s, and TFE3 via immunohistochemistry and fluorescence in situ hybridization (FISH) (Figures 6 and 7).

Microscopic examination of tumor cells with dense clear or eosinophilic cytoplasm and papillary and solid multilayered architecture. Hematoxylin and eosin (H&E) staining at 100× magnification. (a) Papillary architecture (200×) and (b) psammoma bodies (red arrows) (400×).


Immunohistochemical examination of the tumor cells (200× magnification) and FISH. The tumor cells were negative for CA IX (a), CD117 (d), CK7 (e), GATA3 (f), HMB45 (g), and melan-A (h) expression, using the EnVision two‐step immunostaining method at a magnification of 200×. Conversely, positive immunostaining was observed for CD10 (c), P504S (i), and PAX8 (j) using the same method and magnification. Additionally, the tumor cells displayed strong nuclear positivity for Cathepsin K (b) using the EnVision two‐step method and for TFE3 (k) using the SP method, both at a magnification of 200×. The TFE3 break-apart FISH assay (l) showed split green and red signals, indicating TFE3 gene rearrangement.
Immunoreactivity of nuclear TFE3 indicated robust CD10, Cathepsin K, P504S, and PAX8 expression in the tumor. There was no staining for CA IX, CD117, CK7, and GATA3, nor for melanocytic markers (melan-A and HMB45).
Due to socioeconomic considerations, the patient received only TCM as treatment after surgery. No evidence of recurrence was seen at the 5-month follow-up after surgery. However, long-term follow-up is necessary to evaluate the patient’s mid-to-long-term prognosis. Given the staging of clinical stage III, according to the 2022 EAU guidelines on RCC [5], we recommend that the follow-up plan be followed strictly. Physical re-examination should be carried out every 3 months for 2 years, semiannually for 1 year, annually for 1 years, and biennially after 5 years. The physical re-examination includes physical examination, laboratory examination, abdominal ultrasound, chest CT, and abdominal CT.
-
Informed consent: Informed consent has been obtained from the patient.
3 Discussion
The well-known clear cell cancer represents the majority (80–85%) of all RCC cases. A specific type of RCC, Xp11.2-translocation RCC, is typically found in children (incidence of 20–40%), with a lower incidence in adults (1–1.6%). However, its one-third incidence is much higher in juveniles than in adults (0.2–5.0%) [6–9]. In 2016, the WHO introduced a new molecular-driven histotype classification, resulting in the classification of this tumor as MiT-RCC, indicating miT family translocation RCC [10].
The translocation of Xp11.2 RCC is distinguished by a gene fusion between TFE3 and several other genes, including ASPL (17q25), CLTC (17q23), NonO (Xp12), PSF (1q34), and PRCC (1q21), along with the translocation on chromosome Xp11.2 [11].
RCCs resulting from Xp11.2 translocations are typically associated with advanced tumor stage and poor oncological prognosis due to their aggressive biological behavior. Pediatric patients with metastases have an average survival duration of 6.3 years, compared to the 2-year survival rate observed in adult patients [12]. A study conducted by Zhou et al. found that the overall survival (OS) rate closely matched the 5-year OS of RCCs. The study included 46 patients with Xp11.2-translocation RCC, and their OS rates were 97.4% at 1 year, 88.8% at 3 years, and 88.8% at 5 years. The increased proportion of cT1 Xp11.2 tumors in the group was then analyzed as a possible solution. This finding may also suggest that early treatment of Xp11.2-translocation RCCs (cT1∼2) may be related to a more favorable prognosis compared to patients who receive late treatment. Distal or regional lymph node metastasis may result in clinically unfavorable outcomes [13]. Despite its uncommon occurrence in adults, chemotherapy has the potential to cause chronic renal failure, which can lead to Xp 11.2 translocation of RCC.
Previous studies have indicated that children tend to have a more favorable prognosis than adults [3]. However, there is ongoing debate surrounding the prognosis of Xp11.2-translocation RCC. In contrast, Cheng et al. in a recent meta-analysis of 15 studies that examined 147 patients with Xp11.2-translocation RCC found no significant difference in prognosis between children and adults, males and females [4].
RCC with Xp11.2 translocation/TFE3 gene fusion affects mostly adolescents, and no difference between the sexes was found [1]. However, several studies, such as that of Liu et al., observed a female predominance as females possess two X chromosomes. In contrast, males only have one, which results in a greater incidence of X chromosome translocation. These authors concluded by stating that due to the small sample size, further investigation was necessary to determine the exact frequency and mechanisms [14]. Compared to other subtypes of RCC, RCC caused by Xp11.2 translocations is more aggressive, with enhanced progression of local lesions and an increased risk for distant and lymphatic metastases. Moreover, its resistance to chemotherapy and radiotherapy ultimately results in a less favorable prognosis [1,2].
Most patients do not present with the renal cancer triad, which consists of gross hematuria, lumbago, and abdominal mass. Similar to other forms of RCC, nearly all patients with Xpl1.2 RCC do not exhibit the typical triad of renal cancer symptoms. Instead, they may only experience one of the three syndromes or even have no sign of noticeable clinical manifestations, making accurate diagnosis difficult. The most prevalent clinical manifestation of the renal triad is gross hematuria, as was found in the current case study.
Renal neoplasms are typically detectable via abdominal ultrasonography, CT, and MRI examinations. Each of the three methods possesses distinct advantages. However, abdominal ultrasonography is the most commonly used simple procedure for daily inspection, diagnosis, and postoperative assessments. Abdominal CT scans, particularly enhanced contrast CT scans, offer higher diagnostic sensitivity, specificity, and information regarding organs other than the kidney. Due to their non-radioactive nature, MRI examinations are safe for children and patients allergic to chemicals. Moreover, positron emission tomography-computed tomography aids in the diagnosis procedure and is helpful during the clinical stages.
Immunohistochemical staining of the TFE3 gene fusion-associated protein is the primary diagnostic marker for Xp11.2 RCC [14]. In the current case study, the tumor was predominantly papillary in structure, and its histopathological analysis revealed cytoplasm-rich clear or eosinophilic epithelioid cells and numerous psammoma bodies.
Most cases are currently managed according to the treatment guidelines for conventional RCC, as standard treatment guidelines for Xp11.2 tRCC have not yet been published. Surgery is usually the most effective therapeutic approach for RCC, as the tumor is resistant to radiotherapy and chemotherapy. Patients with small lesions (≤7 cm) with distinct boundaries are advised to undergo nephron-sparing surgery (NSS), particularly those with an anatomical or functional solitary kidney, to allow retention of renal function. Based on the published literature, small diameters (≤7 cm) located in one pole and distinct rims in young patients are considered indicators for NSS [15,16]. Several studies have demonstrated that NSS yields positive treatment outcomes during short-term follow-up [17,18]. Considering the aggressive nature of the tumor as well as its tendency to invade nearby tissues, it is essential to consider the positive margins and the potential for lymphatic and distant organ metastasis. RN is critical in surgery for RCC where the diameter is greater than 7 cm, where there are unclear boundaries, or where the tumor cannot be completely removed via nephrectomy [19–21].
If the tumor size is around 7 cm, a comprehensive assessment should be made based on the location of the tumor. According to the RENAL score [22], the patient’s general condition, the technical level and experience of the surgeon, and the medical conditions of the hospital, are factors to consider when selecting the surgical approach.
A poor prognosis has been found to be associated with inferior vena cava tumor thrombosis and advanced TNM stage [15]. The examination of the young female patient in this case showed that she had a neoplasm in her left kidney, which was the probable cause of the gross hematuria. If the patient had not refused the treatment 4 years before, RN would have probably been sufficient. Unfortunately, after 4 years of natural rapid progression, the renal tumor had grown to 12 × 7.5 × 5.5 cm with cystic mass and necrosis. Additionally, the post-surgery pathology confirmed the presence of retroperitoneal lymph node enlargement, indicating metastasis.
The surgical procedure involved retroperitoneal laparoscopy for RN and lymph node dissection. The excision extension comprised various anatomical structures, including the ipsilateral adrenal gland, perirenal fascia, perirenal fat, and lymph nodes extending from the diaphragm’s crus to the abdominal aorta’s bifurcation. Based on the observed timeline, it is evident that Xp11.2-translocation RCC with TFE3 gene fusion tumors are highly malignant and exhibit rapid progression.
RN is the first step for Xp11.2 RCC patients with lymphatic or distant organ metastases. To increase survival time, adjuvant treatment should be implemented; this may consist of immune checkpoint inhibitors (ICI) or targeted agents such sunitinib and sorafenib, although there are limited data on the use of these.
Previous studies have demonstrated that targeted agents can extend the survival of patients with Xp11.2-translocation RCC, lymph node metastasis, or distant metastasis without disease progression [23]. Based on the study conducted by Gao et al. and Masago et al., two ICIs, nivolumab and ipilimumab, were found to be clinically effective in patients with metastatic RCC [24,25]. Furthermore, a case presented by Zhao et al. demonstrated that a novel anti-PD-1 antibody (camrelizumab, 200 mg) combined with axitinib (5 mg) administered for 1 year was highly effective in treating an Xp11.2-RCC patient who had developed retroperitoneal lymph node metastases following surgery. The patient achieved a complete clinical response after 18 months of follow-up [26]. In a retrospective analysis by Boilève et al., the median progression-free survival for patients with translocation RCC during the first ICI treatment was only 2.5 months (range, 1–40 months), while four patients experienced a partial response (16.7%) and three (12.5%) had stable disease [27]. Yan et al. in a study of 40 patients who underwent first-line treatment mainly including sunitinib (n = 14), sorafenib (n = 15), axitinib (n = 6), and pazopanib (n = 5), the median progression-free survival of patients receiving these regimens were 7.4, 5.4, 9.4, and 8.9 months, respectively, which demonstrated some efficacy [28].
However, the effectiveness of adjuvant treatment is still a matter of debate. For instance, Masago et al. reported that immunotherapy consisting of nivolumab and ipilimumab failed to cure patients with metastatic Xp11.2 RCC [25]. Liu et al. found that all adults with stage III disease who received ORN/LRN and targeted molecular therapy subsequently progressed to develop terminal or recurrent cancer. The poor efficacy of drugs in improving patient outcomes is the first potential challenge. Second, drug side effects, such as proteinuria, hypertension, neutropenia, palmar-plantar erythrodysesthesia syndrome, and hypertriglyceridemia, should also be considered [29]. Third, some people cannot afford the high price. Therefore, the development of a reliable and efficient adjuvant treatment is still required.
Based on the current understanding, this was the first case report demonstrating the natural progression of a juvenile Xp11.2-translocation RCC with TFE3 gene fusion and the catastrophic effects of neglecting the condition.
Collectively, juvenile Xp11.2-translocation RCC with TFE3 gene fusion is a highly malignant form of the disease, characterized by rapid progression in the short term, resulting in distant metastasis and tumor enlargement. Proper attention needs to be directed to teenagers diagnosed with renal tumors. Before any other treatment approach, Xp11.2-RCC should be addressed with radical NSS or RN. Adjuvant therapy, consisting of targeted agents and ICI, could extend longevity. However, further investigation is urgently required to improve the efficacy of treatments for Xp11.2 RCC.
-
Funding information: This case report was supported by the Key Project of Social Development of Jinhua Science and Technology Bureau of Zhejiang Province, China (No. 2021-3-079) and the Key Project of Social Development of Jinhua Science and Technology Bureau of Zhejiang Province, China (No. 2023-3-165).
-
Author contributions: All authors made a significant contribution to the work reported. L.H. and J.T. treated the patient and revised the manuscript. L.H. and L.L. wrote the manuscript. L.L. and A.L. were responsible for data collection. All authors have read and approved the final version of the manuscript and agreed to be responsible for all aspects of the manuscript.
-
Conflict of interest: The authors declare that they have no competing interests.
-
Data availability statement: The data will be available upon reasonable request.
References
[1] Antonio L-B, Marina S, Rodolfo M, Ziya K. 2004 WHO classification of the renal tumors of the adults. Eur Urol. 2006;49(5):798–805.10.1016/j.eururo.2005.11.035Suche in Google Scholar PubMed
[2] Rao Q, Guan B, Xiao-jun Z. Xp11.2 translocation renal cell carcinomas have a poorer prognosis than non-Xp11.2 translocation carcinomas in children and young adults: a meta-analysis. Int J Surg Pathol. 2010;18(6):458–64.10.1177/1066896910375565Suche in Google Scholar PubMed
[3] Tobias K, Berthold S, Friedrich W, Mesut R, Barbara K, Michela DM, et al. Renal cell carcinoma associated with transcription factor E3 expression and Xp11.2 translocation: incidence, characteristics, and prognosis. Am J Clin Pathol. 2012;137(5):761–8.10.1309/AJCPQ6LLFMC4OXGCSuche in Google Scholar PubMed
[4] Xiangming C, Weidong G, Gutian Z, Xiaogong L, Hongqian G. Clinical characteristics of XP11.2 translocation/TFE3 gene fusion renal cell carcinoma: a systematic review and meta-analysis of observational studies. BMC Urol. 2016;16(1):40.10.1186/s12894-016-0154-6Suche in Google Scholar PubMed PubMed Central
[5] Börje L, Laurence A, Yasmin A-G, Jens B, Umberto C, Saeed D, et al. European Association of Urology Guidelines on renal cell carcinoma: the 2022 update. Eur Urol. 2022;82(4):399–410.10.1016/j.eururo.2022.06.008Suche in Google Scholar PubMed
[6] Elisabeth B, Oliver P, Dieter H, Ivo L, Marc L, Pedram A, et al. Morphologic and molecular characterization of renal cell carcinoma in children and young adults. Am J Surg Pathol. 2004;28(9):1117–32.10.1097/01.pas.0000131558.32412.40Suche in Google Scholar PubMed
[7] Bumjin L, Dalsan Y, In Gab J, Taekmin K, Sungwoo H, Cheryn S, et al. Clinicopathological features of Xp11.2 translocation renal cell carcinoma. Korean J Urol. 2015;56(3):212–7.10.4111/kju.2015.56.3.212Suche in Google Scholar PubMed PubMed Central
[8] Megumi H, Naoya M, Toshiaki T, Hiroshi K, Akiko T, Tadashi H, et al. Clinicopathological characteristics of Xp11.2 translocation renal cell carcinoma in adolescents and adults: diagnosis using immunostaining of transcription factor E3 and fluorescence in situ hybridization analysis. Int J Urol. 2015;23(2):140–5.10.1111/iju.13007Suche in Google Scholar PubMed
[9] Jian H, Xiancheng C, Weidong G, Bin Z, Xiangshan F, Hongqian G, et al. Renal cell carcinoma associated with Xp11.2 translocation/TFE3 gene fusions: clinical experience and literature review. Future Oncol. 2015;11(24):3243–52.10.2217/fon.15.177Suche in Google Scholar PubMed
[10] Holger M, Antonio LC, Peter AH, Victor ER, Thomas MU. The 2016 WHO classification of tumours of the urinary system and male genital organs - Part A: renal, penile, and testicular tumours. Eur Urol. 2016;70(1):93–105.10.1016/j.eururo.2016.02.029Suche in Google Scholar PubMed
[11] Yuanyuan Q, Chengyuan G, Hongkai W, Kun C, Xiaoqun Y, Xiaoyan Z, et al. Diagnosis of adults Xp11.2 translocation renal cell carcinoma by immunohistochemistry and FISH assays: clinicopathological data from ethnic Chinese population. Sci Rep. 2016;6:21677.10.1038/srep21677Suche in Google Scholar PubMed PubMed Central
[12] John RS, Brett D, John NE, Lars E, Jonathan IE, David G, et al. The International Society of Urological Pathology (ISUP) vancouver classification of renal neoplasia. Am J Surg Pathol. 2013;37(10):1469–89.10.1097/PAS.0b013e318299f2d1Suche in Google Scholar PubMed
[13] Jiale Z, Ling Z, Zhaolin Y, Yonghui C, Xiaorong W, Wei X. Clinicopathologic, treatment and prognosis study of 46 Xp11.2 translocation/TFE3 gene fusion renal cell carcinomas. BMC Urol. 2022;22(1):109.10.1186/s12894-022-01060-1Suche in Google Scholar PubMed PubMed Central
[14] Ning L, Zhen W, Weidong G, Lei X, Baolei M, Xiancheng C, et al. Renal cell carcinoma associated with Xp11.2 translocation/TFE3 gene fusions: clinical features, treatments and prognosis. PLoS One. 2016;11(11):e0166897.10.1371/journal.pone.0166897Suche in Google Scholar PubMed PubMed Central
[15] Chao L, Weiping Z, Hongcheng S. Nephron-sparing surgery in the treatment of pediatric renal cell carcinoma associated with Xp11.2 translocation/TFE3 gene fusions. J Pediatr Surg. 2017;52(9):1492–5.10.1016/j.jpedsurg.2017.03.052Suche in Google Scholar PubMed
[16] Michael AG, Mark WB, Phillip MP, Pedram A, Mohamad EA. Partial nephrectomy for the treatment of translocation renal cell carcinoma. Clin Genitourin Cancer. 2015;13(3):e199–201.10.1016/j.clgc.2014.12.008Suche in Google Scholar PubMed PubMed Central
[17] Xiangming C, Jian H, Weidong G, Xiangshan F, Jun Y, Bin Z, et al. Pseudocapsule of renal cell carcinoma associated with Xp11.2 translocation/TFE3 gene fusion: a clue for tumor enucleation? Int J Clin Exp Pathol. 2015;8(5):5403–10.Suche in Google Scholar
[18] Runlin F, Yanping T, Yuan C, Wenkai X, Guifu Z, Haifeng W. Renal cancer associated with Xp11.2 translocation/TFE3 gene fusion: clinicopathological analysis of 13 cases. Ann Diagn Pathol. 2022;58:151908.10.1016/j.anndiagpath.2022.151908Suche in Google Scholar PubMed
[19] Ignacy M, Jan Mateusz Z, Jacek K, Renata Z. Case report: TFE3 positive Xp11.2 translocation renal cell carcinoma (TRCC) – a case study and review of the literature. Front Oncol. 2022;11:826325.10.3389/fonc.2021.826325Suche in Google Scholar PubMed PubMed Central
[20] Puneet A, Balagopal N, Ginil K. Renal cell carcinoma associated with Xp11.2 translocation/TFE3 gene fusion: a rare case report with review of the literature. Case Rep Urol. 2014;2013:810590.10.1155/2013/810590Suche in Google Scholar PubMed PubMed Central
[21] Sudour-Bonnange H, Leroy X, Chauvet MP, Classe M, Robin PM, Leblond P. Cutaneous metastases during an aggressive course of Xp11.2 translocation renal cell carcinoma in a teenager. Pediatr Blood Cancer. 2014;61(9):1698–700.10.1002/pbc.25015Suche in Google Scholar PubMed
[22] Arora M, Randhawa LS, Lakhera D, Thakker V, Abhishek KA, Singh D, et al. Interobserver reproducibility of RENAL nephrometry score in comparison to simplified PADUA renal nephrometry score. Urol Ann. 2023;15(4):373–82.10.4103/ua.ua_37_23Suche in Google Scholar PubMed PubMed Central
[23] Xin G, David FM. Ipilimumab in combination with nivolumab for the treatment of renal cell carcinoma. Expert Opin Biol Ther. 2018;18(9):947–57.10.1080/14712598.2018.1513485Suche in Google Scholar PubMed PubMed Central
[24] Toshihiko M, Susumu K, Yuu O, Kenjirou T, Takuji N, Naoto K, et al. Xp11.2 translocation renal cell carcinoma with TFE3 gene fusion in the elderly: case report and literature review. Int Cancer Conf J. 2020;9(4):182–6.10.1007/s13691-020-00430-6Suche in Google Scholar PubMed PubMed Central
[25] Juping Z, Kun D, Jialing X, Chen F, Na C, Jun D, et al. Case report: clinical complete response of advanced renal cell carcinoma associated with Xp11.2 translocation/TFE3 gene fusion by treated by camrelizumab and axitinib: a rare case report. Front Pharmacol. 2022;13:927299.10.3389/fphar.2022.927299Suche in Google Scholar PubMed PubMed Central
[26] Pedram A, Jessica H, Angelo MDM, Roula A, Peter BI, Marc L, et al. Xp11 translocation renal cell carcinoma (RCC): extended immunohistochemical profile emphasizing novel RCC markers. Am J Surg Pathol. 2010;34(9):1295–303.10.1097/PAS.0b013e3181e8ce5bSuche in Google Scholar PubMed PubMed Central
[27] Boilève A, Carlo MI, Barthelemy P, Oudard S, Borchiellini D, Voss MH, et al. Immune checkpoint inhibitors in MITF family translocation renal cell carcinomas and genetic correlates of exceptional responders. J Immunother Cancer. 2018;6(1):159.10.1186/s40425-018-0482-zSuche in Google Scholar PubMed PubMed Central
[28] Xieqiao Y, Li Z, Siming L, Xiaowen W, Chuanliang C, Zhihong C, et al. Systemic therapy in patients with metastatic Xp11.2 translocation renal cell carcinoma. Clin Genitourin Cancer. 2022;20(4):354–62.10.1016/j.clgc.2022.03.005Suche in Google Scholar PubMed
[29] Yuan-Yuan Q, Hai-Liang Z, Hongqian G, Hong L, Qing Z, Nianzeng X, et al. Camrelizumab plus Famitinib in patients with advanced or metastatic renal cell carcinoma: data from an Open-label, Multicenter Phase II Basket Study. Clin Cancer Res. 2021;27(21):5838–46.10.1158/1078-0432.CCR-21-1698Suche in Google Scholar PubMed
© 2024 the author(s), published by De Gruyter
This work is licensed under the Creative Commons Attribution 4.0 International License.
Artikel in diesem Heft
- Research Articles
- EDNRB inhibits the growth and migration of prostate cancer cells by activating the cGMP-PKG pathway
- STK11 (LKB1) mutation suppresses ferroptosis in lung adenocarcinoma by facilitating monounsaturated fatty acid synthesis
- Association of SOX6 gene polymorphisms with Kashin-Beck disease risk in the Chinese Han population
- The pyroptosis-related signature predicts prognosis and influences the tumor immune microenvironment in dedifferentiated liposarcoma
- METTL3 attenuates ferroptosis sensitivity in lung cancer via modulating TFRC
- Identification and validation of molecular subtypes and prognostic signature for stage I and stage II gastric cancer based on neutrophil extracellular traps
- Novel lumbar plexus block versus femoral nerve block for analgesia and motor recovery after total knee arthroplasty
- Correlation between ABCB1 and OLIG2 polymorphisms and the severity and prognosis of patients with cerebral infarction
- Study on the radiotherapy effect and serum neutral granulocyte lymphocyte ratio and inflammatory factor expression of nasopharyngeal carcinoma
- Transcriptome analysis of effects of Tecrl deficiency on cardiometabolic and calcium regulation in cardiac tissue
- Aflatoxin B1 induces infertility, fetal deformities, and potential therapies
- Serum levels of HMW adiponectin and its receptors are associated with cytokine levels and clinical characteristics in chronic obstructive pulmonary disease
- METTL3-mediated methylation of CYP2C19 mRNA may aggravate clopidogrel resistance in ischemic stroke patients
- Understand how machine learning impact lung cancer research from 2010 to 2021: A bibliometric analysis
- Pressure ulcers in German hospitals: Analysis of reimbursement and length of stay
- Metformin plus L-carnitine enhances brown/beige adipose tissue activity via Nrf2/HO-1 signaling to reduce lipid accumulation and inflammation in murine obesity
- Downregulation of carbonic anhydrase IX expression in mouse xenograft nasopharyngeal carcinoma model via doxorubicin nanobubble combined with ultrasound
- Feasibility of 3-dimensional printed models in simulated training and teaching of transcatheter aortic valve replacement
- miR-335-3p improves type II diabetes mellitus by IGF-1 regulating macrophage polarization
- The analyses of human MCPH1 DNA repair machinery and genetic variations
- Activation of Piezo1 increases the sensitivity of breast cancer to hyperthermia therapy
- Comprehensive analysis based on the disulfidptosis-related genes identifies hub genes and immune infiltration for pancreatic adenocarcinoma
- Changes of serum CA125 and PGE2 before and after high-intensity focused ultrasound combined with GnRH-a in treatment of patients with adenomyosis
- The clinical value of the hepatic venous pressure gradient in patients undergoing hepatic resection for hepatocellular carcinoma with or without liver cirrhosis
- Development and validation of a novel model to predict pulmonary embolism in cardiology suspected patients: A 10-year retrospective analysis
- Downregulation of lncRNA XLOC_032768 in diabetic patients predicts the occurrence of diabetic nephropathy
- Circ_0051428 targeting miR-885-3p/MMP2 axis enhances the malignancy of cervical cancer
- Effectiveness of ginkgo diterpene lactone meglumine on cognitive function in patients with acute ischemic stroke
- The construction of a novel prognostic prediction model for glioma based on GWAS-identified prognostic-related risk loci
- Evaluating the impact of childhood BMI on the risk of coronavirus disease 2019: A Mendelian randomization study
- Lactate dehydrogenase to albumin ratio is associated with in-hospital mortality in patients with acute heart failure: Data from the MIMIC-III database
- CD36-mediated podocyte lipotoxicity promotes foot process effacement
- Efficacy of etonogestrel subcutaneous implants versus the levonorgestrel-releasing intrauterine system in the conservative treatment of adenomyosis
- FLRT2 mediates chondrogenesis of nasal septal cartilage and mandibular condyle cartilage
- Challenges in treating primary immune thrombocytopenia patients undergoing COVID-19 vaccination: A retrospective study
- Let-7 family regulates HaCaT cell proliferation and apoptosis via the ΔNp63/PI3K/AKT pathway
- Phospholipid transfer protein ameliorates sepsis-induced cardiac dysfunction through NLRP3 inflammasome inhibition
- Postoperative cognitive dysfunction in elderly patients with colorectal cancer: A randomized controlled study comparing goal-directed and conventional fluid therapy
- Long-pulsed ultrasound-mediated microbubble thrombolysis in a rat model of microvascular obstruction
- High SEC61A1 expression predicts poor outcome of acute myeloid leukemia
- Comparison of polymerase chain reaction and next-generation sequencing with conventional urine culture for the diagnosis of urinary tract infections: A meta-analysis
- Secreted frizzled-related protein 5 protects against renal fibrosis by inhibiting Wnt/β-catenin pathway
- Pan-cancer and single-cell analysis of actin cytoskeleton genes related to disulfidptosis
- Overexpression of miR-532-5p restrains oxidative stress response of chondrocytes in nontraumatic osteonecrosis of the femoral head by inhibiting ABL1
- Autologous liver transplantation for unresectable hepatobiliary malignancies in enhanced recovery after surgery model
- Clinical analysis of incomplete rupture of the uterus secondary to previous cesarean section
- Abnormal sleep duration is associated with sarcopenia in older Chinese people: A large retrospective cross-sectional study
- No genetic causality between obesity and benign paroxysmal vertigo: A two-sample Mendelian randomization study
- Identification and validation of autophagy-related genes in SSc
- Long non-coding RNA SRA1 suppresses radiotherapy resistance in esophageal squamous cell carcinoma by modulating glycolytic reprogramming
- Evaluation of quality of life in patients with schizophrenia: An inpatient social welfare institution-based cross-sectional study
- The possible role of oxidative stress marker glutathione in the assessment of cognitive impairment in multiple sclerosis
- Compilation of a self-management assessment scale for postoperative patients with aortic dissection
- Left atrial appendage closure in conjunction with radiofrequency ablation: Effects on left atrial functioning in patients with paroxysmal atrial fibrillation
- Effect of anterior femoral cortical notch grade on postoperative function and complications during TKA surgery: A multicenter, retrospective study
- Clinical characteristics and assessment of risk factors in patients with influenza A-induced severe pneumonia after the prevalence of SARS-CoV-2
- Analgesia nociception index is an indicator of laparoscopic trocar insertion-induced transient nociceptive stimuli
- High STAT4 expression correlates with poor prognosis in acute myeloid leukemia and facilitates disease progression by upregulating VEGFA expression
- Factors influencing cardiovascular system-related post-COVID-19 sequelae: A single-center cohort study
- HOXD10 regulates intestinal permeability and inhibits inflammation of dextran sulfate sodium-induced ulcerative colitis through the inactivation of the Rho/ROCK/MMPs axis
- Mesenchymal stem cell-derived exosomal miR-26a induces ferroptosis, suppresses hepatic stellate cell activation, and ameliorates liver fibrosis by modulating SLC7A11
- Endovascular thrombectomy versus intravenous thrombolysis for primary distal, medium vessel occlusion in acute ischemic stroke
- ANO6 (TMEM16F) inhibits gastrointestinal stromal tumor growth and induces ferroptosis
- Prognostic value of EIF5A2 in solid tumors: A meta-analysis and bioinformatics analysis
- The role of enhanced expression of Cx43 in patients with ulcerative colitis
- Choosing a COVID-19 vaccination site might be driven by anxiety and body vigilance
- Role of ICAM-1 in triple-negative breast cancer
- Cost-effectiveness of ambroxol in the treatment of Gaucher disease type 2
- HLA-DRB5 promotes immune thrombocytopenia via activating CD8+ T cells
- Efficacy and factors of myofascial release therapy combined with electrical and magnetic stimulation in the treatment of chronic pelvic pain syndrome
- Efficacy of tacrolimus monotherapy in primary membranous nephropathy
- Mechanisms of Tripterygium wilfordii Hook F on treating rheumatoid arthritis explored by network pharmacology analysis and molecular docking
- FBXO45 levels regulated ferroptosis renal tubular epithelial cells in a model of diabetic nephropathy by PLK1
- Optimizing anesthesia strategies to NSCLC patients in VATS procedures: Insights from drug requirements and patient recovery patterns
- Alpha-lipoic acid upregulates the PPARγ/NRF2/GPX4 signal pathway to inhibit ferroptosis in the pathogenesis of unexplained recurrent pregnancy loss
- Correlation between fat-soluble vitamin levels and inflammatory factors in paediatric community-acquired pneumonia: A prospective study
- CD1d affects the proliferation, migration, and apoptosis of human papillary thyroid carcinoma TPC-1 cells via regulating MAPK/NF-κB signaling pathway
- miR-let-7a inhibits sympathetic nerve remodeling after myocardial infarction by downregulating the expression of nerve growth factor
- Immune response analysis of solid organ transplantation recipients inoculated with inactivated COVID-19 vaccine: A retrospective analysis
- The H2Valdien derivatives regulate the epithelial–mesenchymal transition of hepatoma carcinoma cells through the Hedgehog signaling pathway
- Clinical efficacy of dexamethasone combined with isoniazid in the treatment of tuberculous meningitis and its effect on peripheral blood T cell subsets
- Comparison of short-segment and long-segment fixation in treatment of degenerative scoliosis and analysis of factors associated with adjacent spondylolisthesis
- Lycopene inhibits pyroptosis of endothelial progenitor cells induced by ox-LDL through the AMPK/mTOR/NLRP3 pathway
- Methylation regulation for FUNDC1 stability in childhood leukemia was up-regulated and facilitates metastasis and reduces ferroptosis of leukemia through mitochondrial damage by FBXL2
- Correlation of single-fiber electromyography studies and functional status in patients with amyotrophic lateral sclerosis
- Risk factors of postoperative airway obstruction complications in children with oral floor mass
- Expression levels and clinical significance of serum miR-19a/CCL20 in patients with acute cerebral infarction
- Physical activity and mental health trends in Korean adolescents: Analyzing the impact of the COVID-19 pandemic from 2018 to 2022
- Evaluating anemia in HIV-infected patients using chest CT
- Ponticulus posticus and skeletal malocclusion: A pilot study in a Southern Italian pre-orthodontic court
- Causal association of circulating immune cells and lymphoma: A Mendelian randomization study
- Assessment of the renal function and fibrosis indexes of conventional western medicine with Chinese medicine for dredging collaterals on treating renal fibrosis: A systematic review and meta-analysis
- Comprehensive landscape of integrator complex subunits and their association with prognosis and tumor microenvironment in gastric cancer
- New target-HMGCR inhibitors for the treatment of primary sclerosing cholangitis: A drug Mendelian randomization study
- Population pharmacokinetics of meropenem in critically ill patients
- Comparison of the ability of newly inflammatory markers to predict complicated appendicitis
- Comparative morphology of the cruciate ligaments: A radiological study
- Immune landscape of hepatocellular carcinoma: The central role of TP53-inducible glycolysis and apoptosis regulator
- Serum SIRT3 levels in epilepsy patients and its association with clinical outcomes and severity: A prospective observational study
- SHP-1 mediates cigarette smoke extract-induced epithelial–mesenchymal transformation and inflammation in 16HBE cells
- Acute hyper-hypoxia accelerates the development of depression in mice via the IL-6/PGC1α/MFN2 signaling pathway
- The GJB3 correlates with the prognosis, immune cell infiltration, and therapeutic responses in lung adenocarcinoma
- Physical fitness and blood parameters outcomes of breast cancer survivor in a low-intensity circuit resistance exercise program
- Exploring anesthetic-induced gene expression changes and immune cell dynamics in atrial tissue post-coronary artery bypass graft surgery
- Empagliflozin improves aortic injury in obese mice by regulating fatty acid metabolism
- Analysis of the risk factors of the radiation-induced encephalopathy in nasopharyngeal carcinoma: A retrospective cohort study
- Reproductive outcomes in women with BRCA 1/2 germline mutations: A retrospective observational study and literature review
- Evaluation of upper airway ultrasonographic measurements in predicting difficult intubation: A cross-section of the Turkish population
- Prognostic and diagnostic value of circulating IGFBP2 in pancreatic cancer
- Postural stability after operative reconstruction of the AFTL in chronic ankle instability comparing three different surgical techniques
- Research trends related to emergence agitation in the post-anaesthesia care unit from 2001 to 2023: A bibliometric analysis
- Frequency and clinicopathological correlation of gastrointestinal polyps: A six-year single center experience
- ACSL4 mediates inflammatory bowel disease and contributes to LPS-induced intestinal epithelial cell dysfunction by activating ferroptosis and inflammation
- Affibody-based molecular probe 99mTc-(HE)3ZHER2:V2 for non-invasive HER2 detection in ovarian and breast cancer xenografts
- Effectiveness of nutritional support for clinical outcomes in gastric cancer patients: A meta-analysis of randomized controlled trials
- The relationship between IFN-γ, IL-10, IL-6 cytokines, and severity of the condition with serum zinc and Fe in children infected with Mycoplasma pneumoniae
- Paraquat disrupts the blood–brain barrier by increasing IL-6 expression and oxidative stress through the activation of PI3K/AKT signaling pathway
- Sleep quality associate with the increased prevalence of cognitive impairment in coronary artery disease patients: A retrospective case–control study
- Dioscin protects against chronic prostatitis through the TLR4/NF-κB pathway
- Association of polymorphisms in FBN1, MYH11, and TGF-β signaling-related genes with susceptibility of sporadic thoracic aortic aneurysm and dissection in the Zhejiang Han population
- Application value of multi-parameter magnetic resonance image-transrectal ultrasound cognitive fusion in prostate biopsy
- Laboratory variables‐based artificial neural network models for predicting fatty liver disease: A retrospective study
- Decreased BIRC5-206 promotes epithelial–mesenchymal transition in nasopharyngeal carcinoma through sponging miR-145-5p
- Sepsis induces the cardiomyocyte apoptosis and cardiac dysfunction through activation of YAP1/Serpine1/caspase-3 pathway
- Assessment of iron metabolism and iron deficiency in incident patients on incident continuous ambulatory peritoneal dialysis
- Tibial periosteum flap combined with autologous bone grafting in the treatment of Gustilo-IIIB/IIIC open tibial fractures
- The application of intravenous general anesthesia under nasopharyngeal airway assisted ventilation undergoing ureteroscopic holmium laser lithotripsy: A prospective, single-center, controlled trial
- Long intergenic noncoding RNA for IGF2BP2 stability suppresses gastric cancer cell apoptosis by inhibiting the maturation of microRNA-34a
- Role of FOXM1 and AURKB in regulating keratinocyte function in psoriasis
- Parental control attitudes over their pre-school children’s diet
- The role of auto-HSCT in extranodal natural killer/T cell lymphoma
- Significance of negative cervical cytology and positive HPV in the diagnosis of cervical lesions by colposcopy
- Echinacoside inhibits PASMCs calcium overload to prevent hypoxic pulmonary artery remodeling by regulating TRPC1/4/6 and calmodulin
- ADAR1 plays a protective role in proximal tubular cells under high glucose conditions by attenuating the PI3K/AKT/mTOR signaling pathway
- The risk of cancer among insulin glargine users in Lithuania: A retrospective population-based study
- The unusual location of primary hydatid cyst: A case series study
- Intraoperative changes in electrophysiological monitoring can be used to predict clinical outcomes in patients with spinal cavernous malformation
- Obesity and risk of placenta accreta spectrum: A meta-analysis
- Shikonin alleviates asthma phenotypes in mice via an airway epithelial STAT3-dependent mechanism
- NSUN6 and HTR7 disturbed the stability of carotid atherosclerotic plaques by regulating the immune responses of macrophages
- The effect of COVID-19 lockdown on admission rates in Maternity Hospital
- Temporal muscle thickness is not a prognostic predictor in patients with high-grade glioma, an experience at two centers in China
- Luteolin alleviates cerebral ischemia/reperfusion injury by regulating cell pyroptosis
- Therapeutic role of respiratory exercise in patients with tuberculous pleurisy
- Effects of CFTR-ENaC on spinal cord edema after spinal cord injury
- Irisin-regulated lncRNAs and their potential regulatory functions in chondrogenic differentiation of human mesenchymal stem cells
- DMD mutations in pediatric patients with phenotypes of Duchenne/Becker muscular dystrophy
- Combination of C-reactive protein and fibrinogen-to-albumin ratio as a novel predictor of all-cause mortality in heart failure patients
- Significant role and the underly mechanism of cullin-1 in chronic obstructive pulmonary disease
- Ferroptosis-related prognostic model of mantle cell lymphoma
- Observation of choking reaction and other related indexes in elderly painless fiberoptic bronchoscopy with transnasal high-flow humidification oxygen therapy
- A bibliometric analysis of Prader-Willi syndrome from 2002 to 2022
- The causal effects of childhood sunburn occasions on melanoma: A univariable and multivariable Mendelian randomization study
- Oxidative stress regulates glycogen synthase kinase-3 in lymphocytes of diabetes mellitus patients complicated with cerebral infarction
- Role of COX6C and NDUFB3 in septic shock and stroke
- Trends in disease burden of type 2 diabetes, stroke, and hypertensive heart disease attributable to high BMI in China: 1990–2019
- Purinergic P2X7 receptor mediates hyperoxia-induced injury in pulmonary microvascular endothelial cells via NLRP3-mediated pyroptotic pathway
- Investigating the role of oviductal mucosa–endometrial co-culture in modulating factors relevant to embryo implantation
- Analgesic effect of external oblique intercostal block in laparoscopic cholecystectomy: A retrospective study
- Elevated serum miR-142-5p correlates with ischemic lesions and both NSE and S100β in ischemic stroke patients
- Correlation between the mechanism of arteriopathy in IgA nephropathy and blood stasis syndrome: A cohort study
- Risk factors for progressive kyphosis after percutaneous kyphoplasty in osteoporotic vertebral compression fracture
- Predictive role of neuron-specific enolase and S100-β in early neurological deterioration and unfavorable prognosis in patients with ischemic stroke
- The potential risk factors of postoperative cognitive dysfunction for endovascular therapy in acute ischemic stroke with general anesthesia
- Fluoxetine inhibited RANKL-induced osteoclastic differentiation in vitro
- Detection of serum FOXM1 and IGF2 in patients with ARDS and their correlation with disease and prognosis
- Rhein promotes skin wound healing by activating the PI3K/AKT signaling pathway
- Differences in mortality risk by levels of physical activity among persons with disabilities in South Korea
- Review Articles
- Cutaneous signs of selected cardiovascular disorders: A narrative review
- XRCC1 and hOGG1 polymorphisms and endometrial carcinoma: A meta-analysis
- A narrative review on adverse drug reactions of COVID-19 treatments on the kidney
- Emerging role and function of SPDL1 in human health and diseases
- Adverse reactions of piperacillin: A literature review of case reports
- Molecular mechanism and intervention measures of microvascular complications in diabetes
- Regulation of mesenchymal stem cell differentiation by autophagy
- Molecular landscape of borderline ovarian tumours: A systematic review
- Advances in synthetic lethality modalities for glioblastoma multiforme
- Investigating hormesis, aging, and neurodegeneration: From bench to clinics
- Frankincense: A neuronutrient to approach Parkinson’s disease treatment
- Sox9: A potential regulator of cancer stem cells in osteosarcoma
- Early detection of cardiovascular risk markers through non-invasive ultrasound methodologies in periodontitis patients
- Advanced neuroimaging and criminal interrogation in lie detection
- Maternal factors for neural tube defects in offspring: An umbrella review
- The chemoprotective hormetic effects of rosmarinic acid
- CBD’s potential impact on Parkinson’s disease: An updated overview
- Progress in cytokine research for ARDS: A comprehensive review
- Utilizing reactive oxygen species-scavenging nanoparticles for targeting oxidative stress in the treatment of ischemic stroke: A review
- NRXN1-related disorders, attempt to better define clinical assessment
- Lidocaine infusion for the treatment of complex regional pain syndrome: Case series and literature review
- Trends and future directions of autophagy in osteosarcoma: A bibliometric analysis
- Iron in ventricular remodeling and aneurysms post-myocardial infarction
- Case Reports
- Sirolimus potentiated angioedema: A case report and review of the literature
- Identification of mixed anaerobic infections after inguinal hernia repair based on metagenomic next-generation sequencing: A case report
- Successful treatment with bortezomib in combination with dexamethasone in a middle-aged male with idiopathic multicentric Castleman’s disease: A case report
- Complete heart block associated with hepatitis A infection in a female child with fatal outcome
- Elevation of D-dimer in eosinophilic gastrointestinal diseases in the absence of venous thrombosis: A case series and literature review
- Four years of natural progressive course: A rare case report of juvenile Xp11.2 translocations renal cell carcinoma with TFE3 gene fusion
- Advancing prenatal diagnosis: Echocardiographic detection of Scimitar syndrome in China – A case series
- Outcomes and complications of hemodialysis in patients with renal cancer following bilateral nephrectomy
- Anti-HMGCR myopathy mimicking facioscapulohumeral muscular dystrophy
- Recurrent opportunistic infections in a HIV-negative patient with combined C6 and NFKB1 mutations: A case report, pedigree analysis, and literature review
- Letter to the Editor
- Letter to the Editor: Total parenteral nutrition-induced Wernicke’s encephalopathy after oncologic gastrointestinal surgery
- Erratum
- Erratum to “Bladder-embedded ectopic intrauterine device with calculus”
- Retraction
- Retraction of “XRCC1 and hOGG1 polymorphisms and endometrial carcinoma: A meta-analysis”
- Corrigendum
- Corrigendum to “Investigating hormesis, aging, and neurodegeneration: From bench to clinics”
- Corrigendum to “Frankincense: A neuronutrient to approach Parkinson’s disease treatment”
- Special Issue The evolving saga of RNAs from bench to bedside - Part II
- Machine-learning-based prediction of a diagnostic model using autophagy-related genes based on RNA sequencing for patients with papillary thyroid carcinoma
- Unlocking the future of hepatocellular carcinoma treatment: A comprehensive analysis of disulfidptosis-related lncRNAs for prognosis and drug screening
- Elevated mRNA level indicates FSIP1 promotes EMT and gastric cancer progression by regulating fibroblasts in tumor microenvironment
- Special Issue Advancements in oncology: bridging clinical and experimental research - Part I
- Ultrasound-guided transperineal vs transrectal prostate biopsy: A meta-analysis of diagnostic accuracy and complication rates
- Assessment of diagnostic value of unilateral systematic biopsy combined with targeted biopsy in detecting clinically significant prostate cancer
- SENP7 inhibits glioblastoma metastasis and invasion by dissociating SUMO2/3 binding to specific target proteins
- MARK1 suppress malignant progression of hepatocellular carcinoma and improves sorafenib resistance through negatively regulating POTEE
- Analysis of postoperative complications in bladder cancer patients
- Carboplatin combined with arsenic trioxide versus carboplatin combined with docetaxel treatment for LACC: A randomized, open-label, phase II clinical study
- Special Issue Exploring the biological mechanism of human diseases based on MultiOmics Technology - Part I
- Comprehensive pan-cancer investigation of carnosine dipeptidase 1 and its prospective prognostic significance in hepatocellular carcinoma
- Identification of signatures associated with microsatellite instability and immune characteristics to predict the prognostic risk of colon cancer
- Single-cell analysis identified key macrophage subpopulations associated with atherosclerosis
Artikel in diesem Heft
- Research Articles
- EDNRB inhibits the growth and migration of prostate cancer cells by activating the cGMP-PKG pathway
- STK11 (LKB1) mutation suppresses ferroptosis in lung adenocarcinoma by facilitating monounsaturated fatty acid synthesis
- Association of SOX6 gene polymorphisms with Kashin-Beck disease risk in the Chinese Han population
- The pyroptosis-related signature predicts prognosis and influences the tumor immune microenvironment in dedifferentiated liposarcoma
- METTL3 attenuates ferroptosis sensitivity in lung cancer via modulating TFRC
- Identification and validation of molecular subtypes and prognostic signature for stage I and stage II gastric cancer based on neutrophil extracellular traps
- Novel lumbar plexus block versus femoral nerve block for analgesia and motor recovery after total knee arthroplasty
- Correlation between ABCB1 and OLIG2 polymorphisms and the severity and prognosis of patients with cerebral infarction
- Study on the radiotherapy effect and serum neutral granulocyte lymphocyte ratio and inflammatory factor expression of nasopharyngeal carcinoma
- Transcriptome analysis of effects of Tecrl deficiency on cardiometabolic and calcium regulation in cardiac tissue
- Aflatoxin B1 induces infertility, fetal deformities, and potential therapies
- Serum levels of HMW adiponectin and its receptors are associated with cytokine levels and clinical characteristics in chronic obstructive pulmonary disease
- METTL3-mediated methylation of CYP2C19 mRNA may aggravate clopidogrel resistance in ischemic stroke patients
- Understand how machine learning impact lung cancer research from 2010 to 2021: A bibliometric analysis
- Pressure ulcers in German hospitals: Analysis of reimbursement and length of stay
- Metformin plus L-carnitine enhances brown/beige adipose tissue activity via Nrf2/HO-1 signaling to reduce lipid accumulation and inflammation in murine obesity
- Downregulation of carbonic anhydrase IX expression in mouse xenograft nasopharyngeal carcinoma model via doxorubicin nanobubble combined with ultrasound
- Feasibility of 3-dimensional printed models in simulated training and teaching of transcatheter aortic valve replacement
- miR-335-3p improves type II diabetes mellitus by IGF-1 regulating macrophage polarization
- The analyses of human MCPH1 DNA repair machinery and genetic variations
- Activation of Piezo1 increases the sensitivity of breast cancer to hyperthermia therapy
- Comprehensive analysis based on the disulfidptosis-related genes identifies hub genes and immune infiltration for pancreatic adenocarcinoma
- Changes of serum CA125 and PGE2 before and after high-intensity focused ultrasound combined with GnRH-a in treatment of patients with adenomyosis
- The clinical value of the hepatic venous pressure gradient in patients undergoing hepatic resection for hepatocellular carcinoma with or without liver cirrhosis
- Development and validation of a novel model to predict pulmonary embolism in cardiology suspected patients: A 10-year retrospective analysis
- Downregulation of lncRNA XLOC_032768 in diabetic patients predicts the occurrence of diabetic nephropathy
- Circ_0051428 targeting miR-885-3p/MMP2 axis enhances the malignancy of cervical cancer
- Effectiveness of ginkgo diterpene lactone meglumine on cognitive function in patients with acute ischemic stroke
- The construction of a novel prognostic prediction model for glioma based on GWAS-identified prognostic-related risk loci
- Evaluating the impact of childhood BMI on the risk of coronavirus disease 2019: A Mendelian randomization study
- Lactate dehydrogenase to albumin ratio is associated with in-hospital mortality in patients with acute heart failure: Data from the MIMIC-III database
- CD36-mediated podocyte lipotoxicity promotes foot process effacement
- Efficacy of etonogestrel subcutaneous implants versus the levonorgestrel-releasing intrauterine system in the conservative treatment of adenomyosis
- FLRT2 mediates chondrogenesis of nasal septal cartilage and mandibular condyle cartilage
- Challenges in treating primary immune thrombocytopenia patients undergoing COVID-19 vaccination: A retrospective study
- Let-7 family regulates HaCaT cell proliferation and apoptosis via the ΔNp63/PI3K/AKT pathway
- Phospholipid transfer protein ameliorates sepsis-induced cardiac dysfunction through NLRP3 inflammasome inhibition
- Postoperative cognitive dysfunction in elderly patients with colorectal cancer: A randomized controlled study comparing goal-directed and conventional fluid therapy
- Long-pulsed ultrasound-mediated microbubble thrombolysis in a rat model of microvascular obstruction
- High SEC61A1 expression predicts poor outcome of acute myeloid leukemia
- Comparison of polymerase chain reaction and next-generation sequencing with conventional urine culture for the diagnosis of urinary tract infections: A meta-analysis
- Secreted frizzled-related protein 5 protects against renal fibrosis by inhibiting Wnt/β-catenin pathway
- Pan-cancer and single-cell analysis of actin cytoskeleton genes related to disulfidptosis
- Overexpression of miR-532-5p restrains oxidative stress response of chondrocytes in nontraumatic osteonecrosis of the femoral head by inhibiting ABL1
- Autologous liver transplantation for unresectable hepatobiliary malignancies in enhanced recovery after surgery model
- Clinical analysis of incomplete rupture of the uterus secondary to previous cesarean section
- Abnormal sleep duration is associated with sarcopenia in older Chinese people: A large retrospective cross-sectional study
- No genetic causality between obesity and benign paroxysmal vertigo: A two-sample Mendelian randomization study
- Identification and validation of autophagy-related genes in SSc
- Long non-coding RNA SRA1 suppresses radiotherapy resistance in esophageal squamous cell carcinoma by modulating glycolytic reprogramming
- Evaluation of quality of life in patients with schizophrenia: An inpatient social welfare institution-based cross-sectional study
- The possible role of oxidative stress marker glutathione in the assessment of cognitive impairment in multiple sclerosis
- Compilation of a self-management assessment scale for postoperative patients with aortic dissection
- Left atrial appendage closure in conjunction with radiofrequency ablation: Effects on left atrial functioning in patients with paroxysmal atrial fibrillation
- Effect of anterior femoral cortical notch grade on postoperative function and complications during TKA surgery: A multicenter, retrospective study
- Clinical characteristics and assessment of risk factors in patients with influenza A-induced severe pneumonia after the prevalence of SARS-CoV-2
- Analgesia nociception index is an indicator of laparoscopic trocar insertion-induced transient nociceptive stimuli
- High STAT4 expression correlates with poor prognosis in acute myeloid leukemia and facilitates disease progression by upregulating VEGFA expression
- Factors influencing cardiovascular system-related post-COVID-19 sequelae: A single-center cohort study
- HOXD10 regulates intestinal permeability and inhibits inflammation of dextran sulfate sodium-induced ulcerative colitis through the inactivation of the Rho/ROCK/MMPs axis
- Mesenchymal stem cell-derived exosomal miR-26a induces ferroptosis, suppresses hepatic stellate cell activation, and ameliorates liver fibrosis by modulating SLC7A11
- Endovascular thrombectomy versus intravenous thrombolysis for primary distal, medium vessel occlusion in acute ischemic stroke
- ANO6 (TMEM16F) inhibits gastrointestinal stromal tumor growth and induces ferroptosis
- Prognostic value of EIF5A2 in solid tumors: A meta-analysis and bioinformatics analysis
- The role of enhanced expression of Cx43 in patients with ulcerative colitis
- Choosing a COVID-19 vaccination site might be driven by anxiety and body vigilance
- Role of ICAM-1 in triple-negative breast cancer
- Cost-effectiveness of ambroxol in the treatment of Gaucher disease type 2
- HLA-DRB5 promotes immune thrombocytopenia via activating CD8+ T cells
- Efficacy and factors of myofascial release therapy combined with electrical and magnetic stimulation in the treatment of chronic pelvic pain syndrome
- Efficacy of tacrolimus monotherapy in primary membranous nephropathy
- Mechanisms of Tripterygium wilfordii Hook F on treating rheumatoid arthritis explored by network pharmacology analysis and molecular docking
- FBXO45 levels regulated ferroptosis renal tubular epithelial cells in a model of diabetic nephropathy by PLK1
- Optimizing anesthesia strategies to NSCLC patients in VATS procedures: Insights from drug requirements and patient recovery patterns
- Alpha-lipoic acid upregulates the PPARγ/NRF2/GPX4 signal pathway to inhibit ferroptosis in the pathogenesis of unexplained recurrent pregnancy loss
- Correlation between fat-soluble vitamin levels and inflammatory factors in paediatric community-acquired pneumonia: A prospective study
- CD1d affects the proliferation, migration, and apoptosis of human papillary thyroid carcinoma TPC-1 cells via regulating MAPK/NF-κB signaling pathway
- miR-let-7a inhibits sympathetic nerve remodeling after myocardial infarction by downregulating the expression of nerve growth factor
- Immune response analysis of solid organ transplantation recipients inoculated with inactivated COVID-19 vaccine: A retrospective analysis
- The H2Valdien derivatives regulate the epithelial–mesenchymal transition of hepatoma carcinoma cells through the Hedgehog signaling pathway
- Clinical efficacy of dexamethasone combined with isoniazid in the treatment of tuberculous meningitis and its effect on peripheral blood T cell subsets
- Comparison of short-segment and long-segment fixation in treatment of degenerative scoliosis and analysis of factors associated with adjacent spondylolisthesis
- Lycopene inhibits pyroptosis of endothelial progenitor cells induced by ox-LDL through the AMPK/mTOR/NLRP3 pathway
- Methylation regulation for FUNDC1 stability in childhood leukemia was up-regulated and facilitates metastasis and reduces ferroptosis of leukemia through mitochondrial damage by FBXL2
- Correlation of single-fiber electromyography studies and functional status in patients with amyotrophic lateral sclerosis
- Risk factors of postoperative airway obstruction complications in children with oral floor mass
- Expression levels and clinical significance of serum miR-19a/CCL20 in patients with acute cerebral infarction
- Physical activity and mental health trends in Korean adolescents: Analyzing the impact of the COVID-19 pandemic from 2018 to 2022
- Evaluating anemia in HIV-infected patients using chest CT
- Ponticulus posticus and skeletal malocclusion: A pilot study in a Southern Italian pre-orthodontic court
- Causal association of circulating immune cells and lymphoma: A Mendelian randomization study
- Assessment of the renal function and fibrosis indexes of conventional western medicine with Chinese medicine for dredging collaterals on treating renal fibrosis: A systematic review and meta-analysis
- Comprehensive landscape of integrator complex subunits and their association with prognosis and tumor microenvironment in gastric cancer
- New target-HMGCR inhibitors for the treatment of primary sclerosing cholangitis: A drug Mendelian randomization study
- Population pharmacokinetics of meropenem in critically ill patients
- Comparison of the ability of newly inflammatory markers to predict complicated appendicitis
- Comparative morphology of the cruciate ligaments: A radiological study
- Immune landscape of hepatocellular carcinoma: The central role of TP53-inducible glycolysis and apoptosis regulator
- Serum SIRT3 levels in epilepsy patients and its association with clinical outcomes and severity: A prospective observational study
- SHP-1 mediates cigarette smoke extract-induced epithelial–mesenchymal transformation and inflammation in 16HBE cells
- Acute hyper-hypoxia accelerates the development of depression in mice via the IL-6/PGC1α/MFN2 signaling pathway
- The GJB3 correlates with the prognosis, immune cell infiltration, and therapeutic responses in lung adenocarcinoma
- Physical fitness and blood parameters outcomes of breast cancer survivor in a low-intensity circuit resistance exercise program
- Exploring anesthetic-induced gene expression changes and immune cell dynamics in atrial tissue post-coronary artery bypass graft surgery
- Empagliflozin improves aortic injury in obese mice by regulating fatty acid metabolism
- Analysis of the risk factors of the radiation-induced encephalopathy in nasopharyngeal carcinoma: A retrospective cohort study
- Reproductive outcomes in women with BRCA 1/2 germline mutations: A retrospective observational study and literature review
- Evaluation of upper airway ultrasonographic measurements in predicting difficult intubation: A cross-section of the Turkish population
- Prognostic and diagnostic value of circulating IGFBP2 in pancreatic cancer
- Postural stability after operative reconstruction of the AFTL in chronic ankle instability comparing three different surgical techniques
- Research trends related to emergence agitation in the post-anaesthesia care unit from 2001 to 2023: A bibliometric analysis
- Frequency and clinicopathological correlation of gastrointestinal polyps: A six-year single center experience
- ACSL4 mediates inflammatory bowel disease and contributes to LPS-induced intestinal epithelial cell dysfunction by activating ferroptosis and inflammation
- Affibody-based molecular probe 99mTc-(HE)3ZHER2:V2 for non-invasive HER2 detection in ovarian and breast cancer xenografts
- Effectiveness of nutritional support for clinical outcomes in gastric cancer patients: A meta-analysis of randomized controlled trials
- The relationship between IFN-γ, IL-10, IL-6 cytokines, and severity of the condition with serum zinc and Fe in children infected with Mycoplasma pneumoniae
- Paraquat disrupts the blood–brain barrier by increasing IL-6 expression and oxidative stress through the activation of PI3K/AKT signaling pathway
- Sleep quality associate with the increased prevalence of cognitive impairment in coronary artery disease patients: A retrospective case–control study
- Dioscin protects against chronic prostatitis through the TLR4/NF-κB pathway
- Association of polymorphisms in FBN1, MYH11, and TGF-β signaling-related genes with susceptibility of sporadic thoracic aortic aneurysm and dissection in the Zhejiang Han population
- Application value of multi-parameter magnetic resonance image-transrectal ultrasound cognitive fusion in prostate biopsy
- Laboratory variables‐based artificial neural network models for predicting fatty liver disease: A retrospective study
- Decreased BIRC5-206 promotes epithelial–mesenchymal transition in nasopharyngeal carcinoma through sponging miR-145-5p
- Sepsis induces the cardiomyocyte apoptosis and cardiac dysfunction through activation of YAP1/Serpine1/caspase-3 pathway
- Assessment of iron metabolism and iron deficiency in incident patients on incident continuous ambulatory peritoneal dialysis
- Tibial periosteum flap combined with autologous bone grafting in the treatment of Gustilo-IIIB/IIIC open tibial fractures
- The application of intravenous general anesthesia under nasopharyngeal airway assisted ventilation undergoing ureteroscopic holmium laser lithotripsy: A prospective, single-center, controlled trial
- Long intergenic noncoding RNA for IGF2BP2 stability suppresses gastric cancer cell apoptosis by inhibiting the maturation of microRNA-34a
- Role of FOXM1 and AURKB in regulating keratinocyte function in psoriasis
- Parental control attitudes over their pre-school children’s diet
- The role of auto-HSCT in extranodal natural killer/T cell lymphoma
- Significance of negative cervical cytology and positive HPV in the diagnosis of cervical lesions by colposcopy
- Echinacoside inhibits PASMCs calcium overload to prevent hypoxic pulmonary artery remodeling by regulating TRPC1/4/6 and calmodulin
- ADAR1 plays a protective role in proximal tubular cells under high glucose conditions by attenuating the PI3K/AKT/mTOR signaling pathway
- The risk of cancer among insulin glargine users in Lithuania: A retrospective population-based study
- The unusual location of primary hydatid cyst: A case series study
- Intraoperative changes in electrophysiological monitoring can be used to predict clinical outcomes in patients with spinal cavernous malformation
- Obesity and risk of placenta accreta spectrum: A meta-analysis
- Shikonin alleviates asthma phenotypes in mice via an airway epithelial STAT3-dependent mechanism
- NSUN6 and HTR7 disturbed the stability of carotid atherosclerotic plaques by regulating the immune responses of macrophages
- The effect of COVID-19 lockdown on admission rates in Maternity Hospital
- Temporal muscle thickness is not a prognostic predictor in patients with high-grade glioma, an experience at two centers in China
- Luteolin alleviates cerebral ischemia/reperfusion injury by regulating cell pyroptosis
- Therapeutic role of respiratory exercise in patients with tuberculous pleurisy
- Effects of CFTR-ENaC on spinal cord edema after spinal cord injury
- Irisin-regulated lncRNAs and their potential regulatory functions in chondrogenic differentiation of human mesenchymal stem cells
- DMD mutations in pediatric patients with phenotypes of Duchenne/Becker muscular dystrophy
- Combination of C-reactive protein and fibrinogen-to-albumin ratio as a novel predictor of all-cause mortality in heart failure patients
- Significant role and the underly mechanism of cullin-1 in chronic obstructive pulmonary disease
- Ferroptosis-related prognostic model of mantle cell lymphoma
- Observation of choking reaction and other related indexes in elderly painless fiberoptic bronchoscopy with transnasal high-flow humidification oxygen therapy
- A bibliometric analysis of Prader-Willi syndrome from 2002 to 2022
- The causal effects of childhood sunburn occasions on melanoma: A univariable and multivariable Mendelian randomization study
- Oxidative stress regulates glycogen synthase kinase-3 in lymphocytes of diabetes mellitus patients complicated with cerebral infarction
- Role of COX6C and NDUFB3 in septic shock and stroke
- Trends in disease burden of type 2 diabetes, stroke, and hypertensive heart disease attributable to high BMI in China: 1990–2019
- Purinergic P2X7 receptor mediates hyperoxia-induced injury in pulmonary microvascular endothelial cells via NLRP3-mediated pyroptotic pathway
- Investigating the role of oviductal mucosa–endometrial co-culture in modulating factors relevant to embryo implantation
- Analgesic effect of external oblique intercostal block in laparoscopic cholecystectomy: A retrospective study
- Elevated serum miR-142-5p correlates with ischemic lesions and both NSE and S100β in ischemic stroke patients
- Correlation between the mechanism of arteriopathy in IgA nephropathy and blood stasis syndrome: A cohort study
- Risk factors for progressive kyphosis after percutaneous kyphoplasty in osteoporotic vertebral compression fracture
- Predictive role of neuron-specific enolase and S100-β in early neurological deterioration and unfavorable prognosis in patients with ischemic stroke
- The potential risk factors of postoperative cognitive dysfunction for endovascular therapy in acute ischemic stroke with general anesthesia
- Fluoxetine inhibited RANKL-induced osteoclastic differentiation in vitro
- Detection of serum FOXM1 and IGF2 in patients with ARDS and their correlation with disease and prognosis
- Rhein promotes skin wound healing by activating the PI3K/AKT signaling pathway
- Differences in mortality risk by levels of physical activity among persons with disabilities in South Korea
- Review Articles
- Cutaneous signs of selected cardiovascular disorders: A narrative review
- XRCC1 and hOGG1 polymorphisms and endometrial carcinoma: A meta-analysis
- A narrative review on adverse drug reactions of COVID-19 treatments on the kidney
- Emerging role and function of SPDL1 in human health and diseases
- Adverse reactions of piperacillin: A literature review of case reports
- Molecular mechanism and intervention measures of microvascular complications in diabetes
- Regulation of mesenchymal stem cell differentiation by autophagy
- Molecular landscape of borderline ovarian tumours: A systematic review
- Advances in synthetic lethality modalities for glioblastoma multiforme
- Investigating hormesis, aging, and neurodegeneration: From bench to clinics
- Frankincense: A neuronutrient to approach Parkinson’s disease treatment
- Sox9: A potential regulator of cancer stem cells in osteosarcoma
- Early detection of cardiovascular risk markers through non-invasive ultrasound methodologies in periodontitis patients
- Advanced neuroimaging and criminal interrogation in lie detection
- Maternal factors for neural tube defects in offspring: An umbrella review
- The chemoprotective hormetic effects of rosmarinic acid
- CBD’s potential impact on Parkinson’s disease: An updated overview
- Progress in cytokine research for ARDS: A comprehensive review
- Utilizing reactive oxygen species-scavenging nanoparticles for targeting oxidative stress in the treatment of ischemic stroke: A review
- NRXN1-related disorders, attempt to better define clinical assessment
- Lidocaine infusion for the treatment of complex regional pain syndrome: Case series and literature review
- Trends and future directions of autophagy in osteosarcoma: A bibliometric analysis
- Iron in ventricular remodeling and aneurysms post-myocardial infarction
- Case Reports
- Sirolimus potentiated angioedema: A case report and review of the literature
- Identification of mixed anaerobic infections after inguinal hernia repair based on metagenomic next-generation sequencing: A case report
- Successful treatment with bortezomib in combination with dexamethasone in a middle-aged male with idiopathic multicentric Castleman’s disease: A case report
- Complete heart block associated with hepatitis A infection in a female child with fatal outcome
- Elevation of D-dimer in eosinophilic gastrointestinal diseases in the absence of venous thrombosis: A case series and literature review
- Four years of natural progressive course: A rare case report of juvenile Xp11.2 translocations renal cell carcinoma with TFE3 gene fusion
- Advancing prenatal diagnosis: Echocardiographic detection of Scimitar syndrome in China – A case series
- Outcomes and complications of hemodialysis in patients with renal cancer following bilateral nephrectomy
- Anti-HMGCR myopathy mimicking facioscapulohumeral muscular dystrophy
- Recurrent opportunistic infections in a HIV-negative patient with combined C6 and NFKB1 mutations: A case report, pedigree analysis, and literature review
- Letter to the Editor
- Letter to the Editor: Total parenteral nutrition-induced Wernicke’s encephalopathy after oncologic gastrointestinal surgery
- Erratum
- Erratum to “Bladder-embedded ectopic intrauterine device with calculus”
- Retraction
- Retraction of “XRCC1 and hOGG1 polymorphisms and endometrial carcinoma: A meta-analysis”
- Corrigendum
- Corrigendum to “Investigating hormesis, aging, and neurodegeneration: From bench to clinics”
- Corrigendum to “Frankincense: A neuronutrient to approach Parkinson’s disease treatment”
- Special Issue The evolving saga of RNAs from bench to bedside - Part II
- Machine-learning-based prediction of a diagnostic model using autophagy-related genes based on RNA sequencing for patients with papillary thyroid carcinoma
- Unlocking the future of hepatocellular carcinoma treatment: A comprehensive analysis of disulfidptosis-related lncRNAs for prognosis and drug screening
- Elevated mRNA level indicates FSIP1 promotes EMT and gastric cancer progression by regulating fibroblasts in tumor microenvironment
- Special Issue Advancements in oncology: bridging clinical and experimental research - Part I
- Ultrasound-guided transperineal vs transrectal prostate biopsy: A meta-analysis of diagnostic accuracy and complication rates
- Assessment of diagnostic value of unilateral systematic biopsy combined with targeted biopsy in detecting clinically significant prostate cancer
- SENP7 inhibits glioblastoma metastasis and invasion by dissociating SUMO2/3 binding to specific target proteins
- MARK1 suppress malignant progression of hepatocellular carcinoma and improves sorafenib resistance through negatively regulating POTEE
- Analysis of postoperative complications in bladder cancer patients
- Carboplatin combined with arsenic trioxide versus carboplatin combined with docetaxel treatment for LACC: A randomized, open-label, phase II clinical study
- Special Issue Exploring the biological mechanism of human diseases based on MultiOmics Technology - Part I
- Comprehensive pan-cancer investigation of carnosine dipeptidase 1 and its prospective prognostic significance in hepatocellular carcinoma
- Identification of signatures associated with microsatellite instability and immune characteristics to predict the prognostic risk of colon cancer
- Single-cell analysis identified key macrophage subpopulations associated with atherosclerosis