Abstract
Objective
To investigate the clinical value of echocardiographic detection in the prenatal early diagnosis of Scimitar syndrome (SS) in fetuses, and to develop better and more accurate management strategies for improved prognosis.
Methods
A retrospective analysis was conducted on medical records and fetal echocardiographic findings of all cases diagnosed as SS between April 1, 2016 and June 1, 2021. To summarize its echocardiographic features and distinguishing points, comprehensive clinical data and prognostic information were gathered.
Results
Six patients were diagnosed with SS during the study period. Major associated abnormalities included atrial septal defect (n = 3), right inferior pulmonary vein anomalies (n = 2), ventricular septal defect (n = 1), and right aortic arch (n = 1). Post-surgery, all patients exhibited unobstructed pulmonary vein flow and absence of pulmonary hypertension. The average follow-up duration was 24 months, during which five infants underwent surgical intervention for SS.
Conclusion
Comprehensive prenatal screening, particularly combined coronal and sagittal views of the fetal thorax, enables accurate diagnosis of right SS. This approach not only aids in timely intervention but also provides crucial prognostic insights for the child’s future well-being.
1 Introduction
Scimitar syndrome (SS) is a rare congenital anomaly, with an estimated incidence of 1–3 in 100,000 live births, including partial or complete abnormalities of right or left pulmonary veins (LPV) draining to the inferior vena cava (IVC) above or below the diaphragm, hypoplastic right pulmonary artery and lung, aortopulmonary collateral(s) to the right lung, and bronchial anomalies [1,2]. It was initially described in 1836 based on the autopsy of an infant with dextrocardia and right lung hypoplasia. Subsequently, it was reported for the second time in 1949 in an asymptomatic living patient through cardiac catheterization [3]. The first reported surgical intervention occurred in 1950 in a patient with recurrent pneumonia, with the initial corrective surgery performed in 1956 [3]. However, it was not until 1960 that the syndrome was formally named [4], and its association with radiological findings was established. The anomalous vein was initially described using the term “scimitar” as its radiographic appearance resembles the short-curved scimitar sword. Specifically, the anomalous return of pulmonary veins into the right heart system (right atrium [RA] or RA through the IVC) leads to an increase in the volume of the right heart system, which is manifested by the enlargement of the RA and right ventricle and the widening of the pulmonary artery, i.e., the increase in the blood volume of the right heart system. Because of the influence of the fetal position in the uterus and the pregnant woman’s own obesity factors, even if the changes of the fetal heart and hemodynamics are observed, it is difficult to determine the number of anomalous pulmonary venous drainage, the drainage route, and the place where the final drainage will pass. The ultrasound presentation is more complex. Especially, it is very difficult to fully display the pulmonary venous drainage route, and it is difficult to display it on the conventional section. However, there are few reports of prenatal diagnosis in China.
SS symptoms encompass cyanosis, respiratory distress, tachypnea, recurrent pneumonia, and heart failure. Additionally, SS presents in two distinct forms: infantile, manifesting early in life, often symptomatic and requiring intervention, and adult, typically asymptomatic [5]. As reported by Gao et al., more severe cases of SS occur early in life, often due to abnormal arterial collaterals supplying the RA, leading to increased pulmonary blood flow and respiratory distress [6]. Up to now, most cases of infants described in the medical literature have been diagnosed in the second half of pregnancy or in the postpartum period. The more severe cases of SS present early in life, usually with dyspnea due to increased pulmonary blood flow secondary to the abnormal collateral artery supplying systemic arterial blood to the RA. Postnatal diagnosis helps the physician confirm the diagnosis based on imaging such as computed tomography or angiography [7–9].
In summary, many studies have been proposed to diagnose SS by prenatal echocardiography, mainly in the middle of pregnancy. However, reaching a diagnosis prenatally remains a challenge [10,11]. Here, we present six cases of early prenatal diagnosis of SS at 26–32 weeks of gestation, as well as outline the shared characteristic sonographic findings in the fetal period by comparing the prenatal echocardiographic characteristics. The objective is to enhance clinical understanding of SS among healthcare professionals and supplement research on the treatment of SS in Chinese centers.
2 Materials and methods
Computerized records of all fetuses that had undergone ultrasound examinations between April 2016 and June 2021 at the Pediatric Cardiovascular Center, Beijing Anzhen Hospital, China, were analyzed for cases of SS. Unilateral pulmonary dysplasia caused by other extracardiac malformations was excluded. All cases were retrospectively reviewed for intrauterine findings, course, and outcome. A prenatal diagnosis of SS was made in the presence of hypoplasia of the right lung resulting in ipsilateral mediastinal shifting and abnormal pulmonary venous drainage to the IVC. All cases underwent a complete fetal anatomic survey that included fetal echocardiography and Doppler sonography in a standardized fashion. Fetal echocardiography was carried out by a segmental approach using standardized anatomical planes incorporating pulsed-wave and color Doppler imaging. All fetal echocardiographic examinations were performed on Philips IE33, Philips EPIQ 7C (Philips Royal Electronics Corporation, Holland), or GE Voluson E8 (GE Healthcare, Kretztechnik, Zipf, Austria) Color Doppler ultrasound systems using 4–8 MHz transabdominal transducer. Examinations were done by the 2013 guidelines of the American Institute of Ultrasound in Medicine [12]. Two radiologists were blinded to any patient’s clinical data to mitigate potential cognitive biases. Using medical record data can mitigate selection bias and provide detailed prognostic information for individual cases. Diagnoses of right-sided SS were confirmed by postnatal echocardiography and/or surgery in all cases.
The following prenatal parameters were collected: maternal age and gestational age at referral, the heart position, cardiac axis, cardiothoracic ratio, echo, and area of the bilateral lung. Postnatal medical records such as surgical, ultrasonic, and clinical findings were reviewed as well. Simultaneous two-dimensional monitoring of esophageal echocardiography was performed intraoperatively in all patients to evaluate in real time whether the postoperative pulmonary veins were draining into the left atrium, whether the blood flow was patent, and whether the other malformations were corrected satisfactorily at the same time. Three to four different bedside echocardiograms were performed during the hospital stay to clarify whether the postoperative cardiac function and hemodynamics were normal, whether pulmonary veins were stenotic, whether resistance type pulmonary hypertension was present, and whether pleural and abdominal effusions were present. Patients were followed up by echocardiography, ECG, and chest X-ray at the outpatient clinic on the first, third, sixth, twelfth, and every other year after discharge. Echocardiography was performed mainly to assess the position of the pulmonary venous drainage and the patency of the blood flow and the presence or absence of pulmonary venous stenosis by measuring the reflux velocity and pressure difference of the pulmonary veins.
The coronal and sagittal views of the fetal thorax were included in this study. Pulsed, color, and power Doppler interrogation were also conducted to confirm the location of pulmonary venous drainage, and the systemic arterial blood supply arising from the aorta. All fetal echocardiography examinations were performed and reviewed by two fetal/pediatric cardiologists.
-
Ethical approval: The study was approved by the Ethics Committee of Beijing Anzhen Hospital. The IRB number was 2020038X.
-
Informed consent: Informed consent was obtained from all participants before the study.
3 Results
3.1 General characteristics of the mother and the fetuses
During the period, a total of 1,420 fetuses with congenital heart disease (CHD) were examined in our center, and six cases were referred to our center for fetal echocardiography at 26–32 weeks gestation because of suspected CHDs. The reasons for their referral were all cardiac malformations. The age of pregnant women ranged from 26 to 35 years. All couples were healthy and nonconsanguineous, and all pregnant women had unremarkable family histories. None of the cases had extra-cardiac findings.
The right inferior pulmonary vein drained directly into the IVC below the diaphragm in cases 1 and 6, while the others involved the complete right pulmonary veins. In case 2, pulmonary vein reflux entered the superior aspect of the right atrial orifice of the IVC. All three cases presented with concomitant atrial septal defects (ASDs) postnatally. Case 4 was diagnosed postnatally with echocardiography and cardiac computed tomography angiography, revealing the simultaneous occurrence of the left lower pulmonary artery originating from the distal right pulmonary artery. In case 5, echocardiography revealed significant tricuspid regurgitation accompanied by severe pulmonary hypertension. The cardiac axis was 0° in case 2 and other fetuses had normal cardiac axis. On the cross-sectional four-chamber view, the area of the dysplastic lung was about 1/2 to 1/3 of the contralateral normal lung area. Table 1 summarizes the clinical observations.
Abnormalities and outcomes of six cases with right-sided scimitar syndrome
| Case | MA (years) | GA (weeks) | The heart position | Cardiac axis | Affected lung | Pulmonary veins drainage | Prenatal ultrasound | Associated heart anomalies | Outcome/surgery |
|---|---|---|---|---|---|---|---|---|---|
| 1 | 26 | 26 | Extraposition | Left axis 35° | R | RIPV-IVC | SS | ASD | Full-term delivery, surgery, alive |
| 2 | 29 | 26 | Mesocardia | 0° | R | RPV-IVC | SS, VSD, RAA | VSD, RAA | Full-term delivery, surgery, alive |
| 3 | 28 | 32 | Dextroposition | Left axis 40° | R | RPV-IVC | SS | — | Full-term delivery, surgery, alive |
| 4 | 35 | 28 | Dextroposition | Left axis 35° | R | RPV-IVC | SS, PLSVC | PLSVC, ASD, partial pulmonary sling | Full-term delivery, surgery, alive |
| 5 | 33 | 26 | Dextroposition | Left axis 30° | R | RPV-IVC | SS, PLSVC | ASD, PLSVC | Full-term delivery, surgery, alive |
| 6 | 31 | 30 | Dextroposition | Left axis 40° | R | RIPV-IVC | SS, PE | — | Full-term delivery, not yet operated, alive |
ASD = atrial septal defect; GA = gestational age; IVC = inferior vena cava; MA = maternal age; PE = pericardial effusion; PLSVC = persistent left superior vena cava, R = right; RAA = right aortic arch; RIPV = right inferior pulmonary vein; RPV = right pulmonary vein; SS = scimitar syndrome; VSD = ventricular septal defect.
3.2 Prenatal ultrasound findings
The common sonographic findings include: (1) shifting of the heart toward the right dysplastic lung, (2) hypoplastic right pulmonary artery branch and small lung area on the right dysplastic side, (3) normal and consistent appearance of lung tissue on echo, and (4) the coronal and sagittal view of fetal thorax being clearer for the site and course of pulmonary venous drainage. Three of the six fetuses presented with ASD, two fetuses with right inferior pulmonary vein, one fetus with ventricular septal defect, and one fetus with right aortic arch (Table 1).
All sonographic findings are characterized by color and power Doppler imaging, demonstrating the affected right pulmonary vein draining into the IVC below the diaphragm or the junction of the IVC and the RA on the coronal and sagittal views of the thorax in all fetuses (Figures 1 and 2). A solitary small abdominal aortopulmonary collateral was found by the prenatal echocardiography only in case 6.

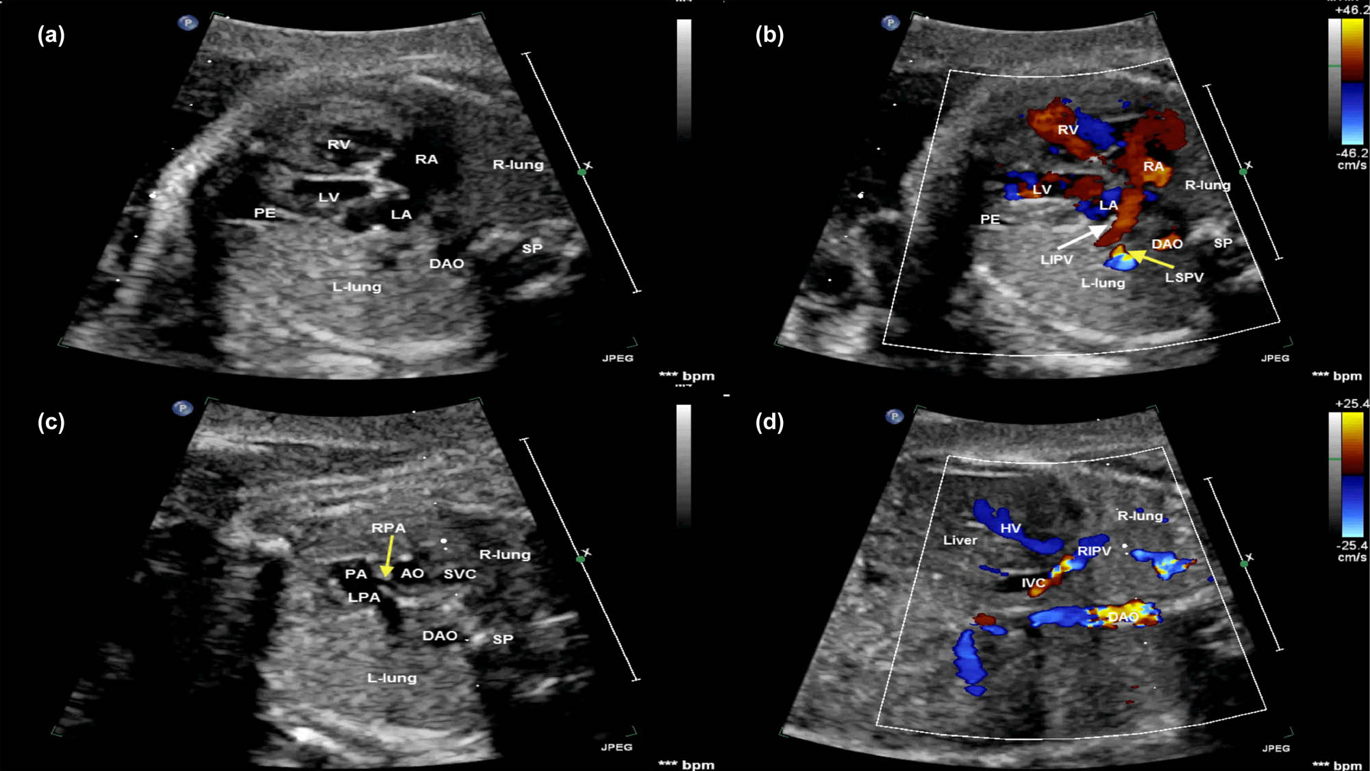
Fetal echocardiogram of case 2 at the time of diagnosis. (a) The four-chamber view demonstrated the heart was myocardial and the heart axis shifted to the right, the echo of bilateral lung tissue was consistent and normal, and the right lung was dysplastic. (b) Color Doppler showing the LPV flowed back into the LA, but no normal right pulmonary vein flowed back into the LA. (c) Color Doppler demonstrating the right pulmonary veins (yellow arrow) drained into the IVC on sagittal view. (d) Power Doppler demonstrating the right pulmonary veins (white and yellow arrows) drained into the IVC on sagittal view. (e) The bifurcation of the PA view demonstrating that the origin of the pulmonary branch was normal and the inner diameter of the right PA was narrow (yellow arrow). (f) Cardiac CT demonstrating the LPV (white arrow) flowed back into the LA, and the right PA was narrow. AO, aorta; DAO, descending aorta; HV, hepatic vein; IVC, inferior vena cava; LA, left atrium; LIPV, left inferior pulmonary vein; L-lung, left-lung; LPA, left pulmonary artery; LSPV, left superior pulmonary vein; LV, left ventricle; PA, pulmonary artery; RA, right atrium; RIPV, right inferior pulmonary vein; R-lung, right-lung; RPA, right pulmonary artery; RSPV, right superior pulmonary vein; RV, right ventricle; SP, spine.

Fetal echocardiogram of case 6 at the time of diagnosis. (a) The four-chamber view demonstrated the heart shifted to the right, the echo of bilateral lung tissue was consistent and normal, and the right lung was dysplastic. A small PE was seen at the apex of the LV. (b) Color Doppler showing the LPV (white and yellow arrows) flowed back into the LA and no normal right pulmonary vein flowed back into the LA. (c) The bifurcation of the PA view demonstrating that the origin of the pulmonary branch was normal and the inner diameter of the RPA (yellow arrow) was narrow than the left PA. (d) Color Doppler showing the RIPV passed through the diaphragm and drained into the IVC on a coronal view. AO, aorta; DAO, descending aorta; HV, hepatic vein; IVC, inferior vena cava; LA, left atrium; LIPV, left inferior pulmonary vein; L-lung, left-lung; LPA, left pulmonary artery; LV, left ventricle; PA, pulmonary artery; RA, right atrium; RIPV, right inferior pulmonary vein; R-lung, right-lung; RPA, right pulmonary artery; RSPV, right superior pulmonary vein; RV, right ventricle; SP, spine.
3.3 Postnatal course and follow-up
The fetuses were spontaneously delivered at full terms. An ostium secundum ASD was diagnosed after birth in cases 1 and 4. Additionally, in case 4, the prenatal ultrasound missed the diagnosis of the left inferior pulmonary artery arising from the distal part of the right pulmonary artery (partial pulmonary sling). Other cardiac anomalies were confirmed by the postnatal echocardiography examinations, cardiac-enhanced CT examinations, and surgery for cardiac anomalies. Postnatal examinations displayed abnormal arterial supply arising from the aorta in hypoplasia lung only in case 6, who is not operated on yet, but the investigator has been on regular follow-up visits for this patient. The main clinical symptoms were shortness of breath in cases 1 and 5 and recurrent chest infections in case 2.
Right pulmonary vein reconstruction and surgeries for other cardiac anomalies were performed in five cases approximately 4–9 months after birth, and all warranted embolization of one or more abnormal arteries that supplied the affected hypoplastic right lung. They were discharged from the hospital without complications 10–20 days after surgery. The diagnosis was confirmed by postnatal echocardiography in case 6, and the patient was asymptomatic. The patient has been under close periodic observation. At the time of data collection, all children were alive and in good health, at a 3–24-months follow-up.
4 Discussion
The most important indicator for prenatal diagnosis of SS was the abnormal position of the thoracic heart with mediastinal shift on the right side. In these cases, definitive abnormal pulmonary venous drainage was necessary to establish the diagnosis and differentiate dextrocardia from other causes. It was characterized by partial or complete anomalous right or left pulmonary venous drainage to the IVC, the junction of the IVC and the RA or the lower part of the RA, hypoplastic right pulmonary artery and lung, aortopulmonary collateral(s) to the right lung, and bronchial anomalies [1,8]. In the present study, early diagnosis of the above-mentioned abnormalities was performed by prenatal ultrasound, and early diagnosis and clinical analysis were performed postpartum.
The prevalence of SS ranged from 0.001 to 0.003%, rendering it an exceedingly rare cardiovascular anomaly. It represented a subtype of partial anomalous pulmonary venous return. Its features include partial or complete anomalous drainage of the right or, rarely, LPV into the IVC, at the confluence of the IVC and RA or at a lower position within the RA. In most instances, blood flow from the entire right lung was directed outward via the “scimitar” vein [1,2,13]. Grisaru et al. [14] reported a prenatally diagnosed case of SS, highlighting the importance of considering SS in cases of fetal cardiac rightward displacement and underdeveloped right pulmonary artery. Diagnosis often occurs late in pregnancy due to limited literature and ultrasound experience. However, recent studies by Khatib et al. described early diagnosis at 14–16 weeks of pregnancy, underscoring the significance of cardiac rightward displacement and underdeveloped right pulmonary artery as indicators. Confirmation of SS diagnosis may involve identifying the “scimitar” vein behind the IVC and normal lung tissue echoes. It is recommended to conduct slow, continuous scanning from the chest to the upper abdomen to visualize the descending “scimitar” vein or single pulmonary vein. Previous research findings align with ours. Paladini et al. [15] summarized four prenatal series comprising 13 cases, of which ten (76.9%) survived. Among these, six cases did not require surgery, and associated anomalies were rare, representing the milder end of the spectrum. In our study, one out of six cases did not undergo surgery, and postoperative recovery was satisfactory. This correlates with our emphasis on early diagnosis to facilitate timely intervention. However, an Indian study revealed that 3 out of 4 cases of SS exhibited associated cardiac and extracardiac defects, particularly incomplete right lung development. The surgical mortality rate ranged from 4.8 to 5.9%, possibly attributed to the higher prevalence of comorbidities. In our study, the majority of patients were asymptomatic during the late clinical examination, possibly because they exhibited only cardiac abnormalities while other prenatal examinations were normal, and the follow-up duration was short, lasting only 2 years. Clinical decisions regarding the need for follow-up surgery were based on postnatal fetal monitoring, evaluation, and follow-up assessments. Clinical symptoms typically manifested approximately 4–9 months after birth, leading to corrective surgery in five cases involving right pulmonary vein reconstruction and other cardiac anomalies. These patients underwent surgery to correct associated deformities such as ASD, ventricular septal defect, and partial pulmonary slip. They experienced smooth recoveries and were discharged from the hospital without complications within 10–20 days post-surgery. Subsequent follow-ups at 3–24 months revealed normal development with no signs of pulmonary arterial hypertension or pulmonary vein stenosis. Long-term lifelong follow-up remains necessary after surgery, with additional surgical intervention being considered if required.
Our study, after summarizing the ultrasonic characteristics of six cases of SS, found that during routine cardiac scanning, attention should be paid to the position of the heart. When the heart was displaced to the right, examiners need to probe bilaterally and from multiple angles to determine if the pulmonary venous return is normal. The confluence of the IVC and the right atrial orifice was a common site where the “scimitar” vein, formed by the right pulmonary veins, or two separate right pulmonary veins draining abnormally through the diaphragm, was found. Therefore, in addition to routine apical four-chamber and transverse four-chamber scanning, it was essential to focus on the coronal and sagittal sections of the IVC, which clearly display the position of anomalous pulmonary venous drainage, crucial for diagnosing SS. Additionally, SS often involved collateral circulation from the abdominal aorta, descending aorta, or celiac artery supplying the right lung lobe. Children with these systemic-to-pulmonary arterial collaterals may present with respiratory symptoms postnatally and may require embolization of these collaterals. As these systemic-to-pulmonary arterial collaterals were clearly visible during fetal life, prenatal diagnosis was also essential After analyzing and summarizing the prenatal echocardiographic characteristics of all fetuses in this study, consideration of the diagnosis of SS on ultrasound was warranted by every obstetrician and gynecologist when heart malposition was detected during prenatal ultrasound examinations, provided there was no suspicion for bronchopulmonary sequestration and congenital diaphragmatic hernia, as reported previously [7,14,16]. Based on this characteristic, a detailed scan of the pulmonary vein, main pulmonary artery, and branches of the pulmonary artery was performed to determine the presence or absence of pulmonary vein drainage. For fetuses suspected of having SS, spectral, color, and power Doppler imaging were utilized to demonstrate anomalous pulmonary venous drainage and the drainage location on the coronal and sagittal views of the fetal thorax. A chest radiograph could reveal the complete course of the right pulmonary vein in SS, making the coronal and sagittal views of the thorax crucial for diagnosis [17]. The color Doppler range was reduced, and the gain was increased in the examination of the pulmonary vein in fetuses with small gestational age. Visualization of a confluence behind the RA and a vertical vein provided the most consistent echocardiogram clue [18].
Additionally, pulmonary dysplasia predominantly affected the right lung tissue, consistent with previous reports [1,2]. It was crucial to emphasize that pulmonary hypoplasia led to abnormal pulmonary vein development on the ipsilateral side [19]. However, underdevelopment of the main pulmonary artery and its branches did not necessarily coexist with pulmonary dysplasia, as seen in cases of tetralogy of Fallot, Williams syndrome, and pulmonary atresia [1,11]. Treatment for SS included drug therapy, interventional therapy (pulmonary embolism), and surgical treatment [4,15,20,21]. Based on the onset of clinical symptoms, SS could be classified into infantile and childhood/adult forms. The infantile form typically presented within the first 2 months of life with symptoms such as tachypnea, recurrent pneumonia, failure to thrive, and signs of heart failure [1]. Infantile form represented a severe manifestation of the disease with a poorer prognosis, primarily linked to cardiac lesions and pulmonary hypertension. Previous studies on prenatal diagnosis of SS had yielded variable results.
However, our study still had limitations as it was a case series, with variations in therapeutic techniques used, follow-up duration, and population demographics. Additionally, the population enrolled in the current study was not sufficiently large, highlighting the need for further research involving personalized management with a larger population of SS on a prospective basis. Future studies should aim to collect additional cases for further detailed analysis. Given the small sample size, which restricts the generalizability of the study findings, we will explore extending the study duration or collaborating with other centers to increase the sample size and improve the statistical power of the research.
In conclusion, our study underscores the critical importance of early surgical intervention in improving outcomes for patients/neonates diagnosed with SS, particularly considering the associated cardiovascular malformations. Despite the inherent limitations stemming from the small sample size, the findings emphasize the imperative for accurate prenatal diagnosis during routine obstetric ultrasound examinations. This proactive approach enables timely interventions, which are pivotal for optimizing prognosis in affected individuals.
Acknowledgements
The authors sincerely appreciate the Beijing Natural Science Foundation Project of China. They would also like to thank the patients for their participation in the study.
-
Funding information: This study was funded by the Beijing Natural Science Foundation Project (7202040).
-
Author contributions: Yan Wang and Wenxiu Li designed the study, interpreted the data, and drafted and revised the manuscript; Bin Geng interpreted the results; Peizhi Yang revised the manuscript; and Yan Wang wrote the manuscript draft.
-
Conflict of interest: The authors declare that the research was conducted in the absence of any commercial or financial relationships that could be construed as a potential conflict of interest.
-
Data availability statement: Data available on request from the authors.
References
[1] Wang CC, Wu ET, Chen SJ, Lu F, Huang SC, Wang JK, et al. Scimitar syndrome: incidence, treatment, and prognosis. Eur J Pediatr. Feb 2008;167(2):155–60.10.1007/s00431-007-0441-zSearch in Google Scholar PubMed
[2] Midyat L, Demir E, Aşkin M, Gülen F, Ulger Z, Tanaç R, et al. Eponym: Scimitar syndrome. Eur J Pediatr. Oct 2010;169(10):1171–7.10.1007/s00431-010-1152-4Search in Google Scholar PubMed
[3] Gudjonsson U, Brown JW. Scimitar syndrome. Semin Thorac Cardiovasc Surg Pediatr Card Surg Annu. 2006;56–62.10.1053/j.pcsu.2006.02.011Search in Google Scholar PubMed
[4] Vida VL, Guariento A. A sword threatening the heart: the Scimitar syndrome. JTCVS Tech. Mar 2020;1:75–80.10.1016/j.xjtc.2020.01.017Search in Google Scholar PubMed PubMed Central
[5] Najm HK, Williams WG, Coles JG, Rebeyka IM, Freedom RM. Scimitar syndrome: twenty years’ experience and results of repair. J Thorac Cardiovasc Surg. Nov 1996;112(5):1161–8; discussion 1168–1169.10.1016/S0022-5223(96)70129-0Search in Google Scholar PubMed
[6] Gao YA, Burrows PE, Benson LN, Rabinovitch M, Freedom RM. Scimitar syndrome in infancy. J Am Coll Cardiol. Sep 1993;22(3):873–82.10.1016/0735-1097(93)90206-GSearch in Google Scholar
[7] Masrani A, McWilliams S, Bhalla S, Woodard PK. Anatomical associations and radiological characteristics of Scimitar syndrome on CT and MR. J Cardiovasc Comput Tomogr. Jul–Aug 2018;12(4):286–9.10.1016/j.jcct.2018.02.001Search in Google Scholar PubMed
[8] Bo I, Carvalho JS, Cheasty E, Rubens M, Rigby ML. Variants of the scimitar syndrome. Cardiol Young. Jun 2016;26(5):941–7.10.1017/S1047951115001651Search in Google Scholar PubMed
[9] Ali YZ, Bonnichsen C. Scimitar syndrome. Eur Heart J Cardiovasc Imaging. Aug 2020;21(8):939.10.1093/ehjci/jeaa061Search in Google Scholar PubMed
[10] Bhide A, Murphy D, Thilaganathan B, Carvalho JS. Prenatal findings and differential diagnosis of scimitar syndrome and pulmonary sequestration. Ultrasound Obstet Gynecol. Apr 2010;35(4):398–404.10.1002/uog.7555Search in Google Scholar PubMed
[11] Khatib N, Bronshtein M, Beloosesky R, Kidron D, Gover A. Early prenatal diagnosis of scimitar syndrome. Ultrasound Obstet Gynecol. Apr 2021;57(4):647–8.10.1002/uog.22015Search in Google Scholar PubMed
[12] AIUM practice guideline for documentation of an ultrasound examination. J Ultrasound Med. Dec 2014;33(12):2219–24.10.7863/jum.2014.33.12.2219Search in Google Scholar
[13] Alsoufi B, Cai S, Van Arsdell GS, Williams WG, Caldarone CA, Coles JG. Outcomes after surgical treatment of children with partial anomalous pulmonary venous connection. Ann Thorac Surg. Dec 2007;84(6):2020–26, discussion 2020-2026.10.1016/j.athoracsur.2007.05.046Search in Google Scholar PubMed
[14] Grisaru D, Achiron R, Lipitz S, Yahav J, Hegesh J, Rotstein Z. Antenatal sonographic findings associated with scimitar syndrome. Ultrasound Obstet Gynecol. Aug 1996;8(2):131–3.10.1046/j.1469-0705.1996.08020131.xSearch in Google Scholar PubMed
[15] Paladini D, Pistorio A, Wu LH, Meccariello G, Lei T, Tuo G, et al. Prenatal diagnosis of total and partial anomalous pulmonary venous connection: multicenter cohort study and meta-analysis. Ultrasound Obstet Gynecol. Jul 2018;52(1):24–34.10.1002/uog.18907Search in Google Scholar PubMed
[16] Zhang Y, Fan M, Ren WD, Xie LM, Ding CW, Sun W, et al. Prenatal diagnosis of fetal unilateral lung agenesis complicated with cardiac malposition. BMC Pregnancy Childbirth. Mar 2013;13:79.10.1186/1471-2393-13-79Search in Google Scholar PubMed PubMed Central
[17] Ahamed MF, Al Hameed F. Hypogenetic lung syndrome in an adolescent: imaging findings with short review. Ann Thorac Med. Apr 2008;3(2):60–3.10.4103/1817-1737.39639Search in Google Scholar PubMed PubMed Central
[18] Sehgal A, Loughran-Fowlds A. Scimitar syndrome. Indian J Pediatr. Mar 2005;72(3):249–51.10.1007/BF02859268Search in Google Scholar PubMed
[19] Yang J, Zhou W, Xie L, Xiong L, Wang X, Yang Y. The application of pulmonary valve biorifice for reconstruction of right ventricular outflow tract in tetralogy of Fallot. J Cardiothorac Surg. Jun 2013;8:152.10.1186/1749-8090-8-152Search in Google Scholar PubMed PubMed Central
[20] Khalilzadeh S, Hassanzad M, Khodayari AA. Scimitar syndrome. Arch Iran Med. Jan 2009;12(1):79–81.Search in Google Scholar
[21] Nitta M, Ishikawa Y, Machida D, Masuda M, Tamura K, Kimura K. Minimally invasive thoracoscopic surgery for scimitar syndrome variant. Asian Cardiovasc Thorac Ann. Jan 2020;28(1):48–51.10.1177/0218492319865446Search in Google Scholar PubMed
© 2024 the author(s), published by De Gruyter
This work is licensed under the Creative Commons Attribution 4.0 International License.
Articles in the same Issue
- Research Articles
- EDNRB inhibits the growth and migration of prostate cancer cells by activating the cGMP-PKG pathway
- STK11 (LKB1) mutation suppresses ferroptosis in lung adenocarcinoma by facilitating monounsaturated fatty acid synthesis
- Association of SOX6 gene polymorphisms with Kashin-Beck disease risk in the Chinese Han population
- The pyroptosis-related signature predicts prognosis and influences the tumor immune microenvironment in dedifferentiated liposarcoma
- METTL3 attenuates ferroptosis sensitivity in lung cancer via modulating TFRC
- Identification and validation of molecular subtypes and prognostic signature for stage I and stage II gastric cancer based on neutrophil extracellular traps
- Novel lumbar plexus block versus femoral nerve block for analgesia and motor recovery after total knee arthroplasty
- Correlation between ABCB1 and OLIG2 polymorphisms and the severity and prognosis of patients with cerebral infarction
- Study on the radiotherapy effect and serum neutral granulocyte lymphocyte ratio and inflammatory factor expression of nasopharyngeal carcinoma
- Transcriptome analysis of effects of Tecrl deficiency on cardiometabolic and calcium regulation in cardiac tissue
- Aflatoxin B1 induces infertility, fetal deformities, and potential therapies
- Serum levels of HMW adiponectin and its receptors are associated with cytokine levels and clinical characteristics in chronic obstructive pulmonary disease
- METTL3-mediated methylation of CYP2C19 mRNA may aggravate clopidogrel resistance in ischemic stroke patients
- Understand how machine learning impact lung cancer research from 2010 to 2021: A bibliometric analysis
- Pressure ulcers in German hospitals: Analysis of reimbursement and length of stay
- Metformin plus L-carnitine enhances brown/beige adipose tissue activity via Nrf2/HO-1 signaling to reduce lipid accumulation and inflammation in murine obesity
- Downregulation of carbonic anhydrase IX expression in mouse xenograft nasopharyngeal carcinoma model via doxorubicin nanobubble combined with ultrasound
- Feasibility of 3-dimensional printed models in simulated training and teaching of transcatheter aortic valve replacement
- miR-335-3p improves type II diabetes mellitus by IGF-1 regulating macrophage polarization
- The analyses of human MCPH1 DNA repair machinery and genetic variations
- Activation of Piezo1 increases the sensitivity of breast cancer to hyperthermia therapy
- Comprehensive analysis based on the disulfidptosis-related genes identifies hub genes and immune infiltration for pancreatic adenocarcinoma
- Changes of serum CA125 and PGE2 before and after high-intensity focused ultrasound combined with GnRH-a in treatment of patients with adenomyosis
- The clinical value of the hepatic venous pressure gradient in patients undergoing hepatic resection for hepatocellular carcinoma with or without liver cirrhosis
- Development and validation of a novel model to predict pulmonary embolism in cardiology suspected patients: A 10-year retrospective analysis
- Downregulation of lncRNA XLOC_032768 in diabetic patients predicts the occurrence of diabetic nephropathy
- Circ_0051428 targeting miR-885-3p/MMP2 axis enhances the malignancy of cervical cancer
- Effectiveness of ginkgo diterpene lactone meglumine on cognitive function in patients with acute ischemic stroke
- The construction of a novel prognostic prediction model for glioma based on GWAS-identified prognostic-related risk loci
- Evaluating the impact of childhood BMI on the risk of coronavirus disease 2019: A Mendelian randomization study
- Lactate dehydrogenase to albumin ratio is associated with in-hospital mortality in patients with acute heart failure: Data from the MIMIC-III database
- CD36-mediated podocyte lipotoxicity promotes foot process effacement
- Efficacy of etonogestrel subcutaneous implants versus the levonorgestrel-releasing intrauterine system in the conservative treatment of adenomyosis
- FLRT2 mediates chondrogenesis of nasal septal cartilage and mandibular condyle cartilage
- Challenges in treating primary immune thrombocytopenia patients undergoing COVID-19 vaccination: A retrospective study
- Let-7 family regulates HaCaT cell proliferation and apoptosis via the ΔNp63/PI3K/AKT pathway
- Phospholipid transfer protein ameliorates sepsis-induced cardiac dysfunction through NLRP3 inflammasome inhibition
- Postoperative cognitive dysfunction in elderly patients with colorectal cancer: A randomized controlled study comparing goal-directed and conventional fluid therapy
- Long-pulsed ultrasound-mediated microbubble thrombolysis in a rat model of microvascular obstruction
- High SEC61A1 expression predicts poor outcome of acute myeloid leukemia
- Comparison of polymerase chain reaction and next-generation sequencing with conventional urine culture for the diagnosis of urinary tract infections: A meta-analysis
- Secreted frizzled-related protein 5 protects against renal fibrosis by inhibiting Wnt/β-catenin pathway
- Pan-cancer and single-cell analysis of actin cytoskeleton genes related to disulfidptosis
- Overexpression of miR-532-5p restrains oxidative stress response of chondrocytes in nontraumatic osteonecrosis of the femoral head by inhibiting ABL1
- Autologous liver transplantation for unresectable hepatobiliary malignancies in enhanced recovery after surgery model
- Clinical analysis of incomplete rupture of the uterus secondary to previous cesarean section
- Abnormal sleep duration is associated with sarcopenia in older Chinese people: A large retrospective cross-sectional study
- No genetic causality between obesity and benign paroxysmal vertigo: A two-sample Mendelian randomization study
- Identification and validation of autophagy-related genes in SSc
- Long non-coding RNA SRA1 suppresses radiotherapy resistance in esophageal squamous cell carcinoma by modulating glycolytic reprogramming
- Evaluation of quality of life in patients with schizophrenia: An inpatient social welfare institution-based cross-sectional study
- The possible role of oxidative stress marker glutathione in the assessment of cognitive impairment in multiple sclerosis
- Compilation of a self-management assessment scale for postoperative patients with aortic dissection
- Left atrial appendage closure in conjunction with radiofrequency ablation: Effects on left atrial functioning in patients with paroxysmal atrial fibrillation
- Effect of anterior femoral cortical notch grade on postoperative function and complications during TKA surgery: A multicenter, retrospective study
- Clinical characteristics and assessment of risk factors in patients with influenza A-induced severe pneumonia after the prevalence of SARS-CoV-2
- Analgesia nociception index is an indicator of laparoscopic trocar insertion-induced transient nociceptive stimuli
- High STAT4 expression correlates with poor prognosis in acute myeloid leukemia and facilitates disease progression by upregulating VEGFA expression
- Factors influencing cardiovascular system-related post-COVID-19 sequelae: A single-center cohort study
- HOXD10 regulates intestinal permeability and inhibits inflammation of dextran sulfate sodium-induced ulcerative colitis through the inactivation of the Rho/ROCK/MMPs axis
- Mesenchymal stem cell-derived exosomal miR-26a induces ferroptosis, suppresses hepatic stellate cell activation, and ameliorates liver fibrosis by modulating SLC7A11
- Endovascular thrombectomy versus intravenous thrombolysis for primary distal, medium vessel occlusion in acute ischemic stroke
- ANO6 (TMEM16F) inhibits gastrointestinal stromal tumor growth and induces ferroptosis
- Prognostic value of EIF5A2 in solid tumors: A meta-analysis and bioinformatics analysis
- The role of enhanced expression of Cx43 in patients with ulcerative colitis
- Choosing a COVID-19 vaccination site might be driven by anxiety and body vigilance
- Role of ICAM-1 in triple-negative breast cancer
- Cost-effectiveness of ambroxol in the treatment of Gaucher disease type 2
- HLA-DRB5 promotes immune thrombocytopenia via activating CD8+ T cells
- Efficacy and factors of myofascial release therapy combined with electrical and magnetic stimulation in the treatment of chronic pelvic pain syndrome
- Efficacy of tacrolimus monotherapy in primary membranous nephropathy
- Mechanisms of Tripterygium wilfordii Hook F on treating rheumatoid arthritis explored by network pharmacology analysis and molecular docking
- FBXO45 levels regulated ferroptosis renal tubular epithelial cells in a model of diabetic nephropathy by PLK1
- Optimizing anesthesia strategies to NSCLC patients in VATS procedures: Insights from drug requirements and patient recovery patterns
- Alpha-lipoic acid upregulates the PPARγ/NRF2/GPX4 signal pathway to inhibit ferroptosis in the pathogenesis of unexplained recurrent pregnancy loss
- Correlation between fat-soluble vitamin levels and inflammatory factors in paediatric community-acquired pneumonia: A prospective study
- CD1d affects the proliferation, migration, and apoptosis of human papillary thyroid carcinoma TPC-1 cells via regulating MAPK/NF-κB signaling pathway
- miR-let-7a inhibits sympathetic nerve remodeling after myocardial infarction by downregulating the expression of nerve growth factor
- Immune response analysis of solid organ transplantation recipients inoculated with inactivated COVID-19 vaccine: A retrospective analysis
- The H2Valdien derivatives regulate the epithelial–mesenchymal transition of hepatoma carcinoma cells through the Hedgehog signaling pathway
- Clinical efficacy of dexamethasone combined with isoniazid in the treatment of tuberculous meningitis and its effect on peripheral blood T cell subsets
- Comparison of short-segment and long-segment fixation in treatment of degenerative scoliosis and analysis of factors associated with adjacent spondylolisthesis
- Lycopene inhibits pyroptosis of endothelial progenitor cells induced by ox-LDL through the AMPK/mTOR/NLRP3 pathway
- Methylation regulation for FUNDC1 stability in childhood leukemia was up-regulated and facilitates metastasis and reduces ferroptosis of leukemia through mitochondrial damage by FBXL2
- Correlation of single-fiber electromyography studies and functional status in patients with amyotrophic lateral sclerosis
- Risk factors of postoperative airway obstruction complications in children with oral floor mass
- Expression levels and clinical significance of serum miR-19a/CCL20 in patients with acute cerebral infarction
- Physical activity and mental health trends in Korean adolescents: Analyzing the impact of the COVID-19 pandemic from 2018 to 2022
- Evaluating anemia in HIV-infected patients using chest CT
- Ponticulus posticus and skeletal malocclusion: A pilot study in a Southern Italian pre-orthodontic court
- Causal association of circulating immune cells and lymphoma: A Mendelian randomization study
- Assessment of the renal function and fibrosis indexes of conventional western medicine with Chinese medicine for dredging collaterals on treating renal fibrosis: A systematic review and meta-analysis
- Comprehensive landscape of integrator complex subunits and their association with prognosis and tumor microenvironment in gastric cancer
- New target-HMGCR inhibitors for the treatment of primary sclerosing cholangitis: A drug Mendelian randomization study
- Population pharmacokinetics of meropenem in critically ill patients
- Comparison of the ability of newly inflammatory markers to predict complicated appendicitis
- Comparative morphology of the cruciate ligaments: A radiological study
- Immune landscape of hepatocellular carcinoma: The central role of TP53-inducible glycolysis and apoptosis regulator
- Serum SIRT3 levels in epilepsy patients and its association with clinical outcomes and severity: A prospective observational study
- SHP-1 mediates cigarette smoke extract-induced epithelial–mesenchymal transformation and inflammation in 16HBE cells
- Acute hyper-hypoxia accelerates the development of depression in mice via the IL-6/PGC1α/MFN2 signaling pathway
- The GJB3 correlates with the prognosis, immune cell infiltration, and therapeutic responses in lung adenocarcinoma
- Physical fitness and blood parameters outcomes of breast cancer survivor in a low-intensity circuit resistance exercise program
- Exploring anesthetic-induced gene expression changes and immune cell dynamics in atrial tissue post-coronary artery bypass graft surgery
- Empagliflozin improves aortic injury in obese mice by regulating fatty acid metabolism
- Analysis of the risk factors of the radiation-induced encephalopathy in nasopharyngeal carcinoma: A retrospective cohort study
- Reproductive outcomes in women with BRCA 1/2 germline mutations: A retrospective observational study and literature review
- Evaluation of upper airway ultrasonographic measurements in predicting difficult intubation: A cross-section of the Turkish population
- Prognostic and diagnostic value of circulating IGFBP2 in pancreatic cancer
- Postural stability after operative reconstruction of the AFTL in chronic ankle instability comparing three different surgical techniques
- Research trends related to emergence agitation in the post-anaesthesia care unit from 2001 to 2023: A bibliometric analysis
- Frequency and clinicopathological correlation of gastrointestinal polyps: A six-year single center experience
- ACSL4 mediates inflammatory bowel disease and contributes to LPS-induced intestinal epithelial cell dysfunction by activating ferroptosis and inflammation
- Affibody-based molecular probe 99mTc-(HE)3ZHER2:V2 for non-invasive HER2 detection in ovarian and breast cancer xenografts
- Effectiveness of nutritional support for clinical outcomes in gastric cancer patients: A meta-analysis of randomized controlled trials
- The relationship between IFN-γ, IL-10, IL-6 cytokines, and severity of the condition with serum zinc and Fe in children infected with Mycoplasma pneumoniae
- Paraquat disrupts the blood–brain barrier by increasing IL-6 expression and oxidative stress through the activation of PI3K/AKT signaling pathway
- Sleep quality associate with the increased prevalence of cognitive impairment in coronary artery disease patients: A retrospective case–control study
- Dioscin protects against chronic prostatitis through the TLR4/NF-κB pathway
- Association of polymorphisms in FBN1, MYH11, and TGF-β signaling-related genes with susceptibility of sporadic thoracic aortic aneurysm and dissection in the Zhejiang Han population
- Application value of multi-parameter magnetic resonance image-transrectal ultrasound cognitive fusion in prostate biopsy
- Laboratory variables‐based artificial neural network models for predicting fatty liver disease: A retrospective study
- Decreased BIRC5-206 promotes epithelial–mesenchymal transition in nasopharyngeal carcinoma through sponging miR-145-5p
- Sepsis induces the cardiomyocyte apoptosis and cardiac dysfunction through activation of YAP1/Serpine1/caspase-3 pathway
- Assessment of iron metabolism and iron deficiency in incident patients on incident continuous ambulatory peritoneal dialysis
- Tibial periosteum flap combined with autologous bone grafting in the treatment of Gustilo-IIIB/IIIC open tibial fractures
- The application of intravenous general anesthesia under nasopharyngeal airway assisted ventilation undergoing ureteroscopic holmium laser lithotripsy: A prospective, single-center, controlled trial
- Long intergenic noncoding RNA for IGF2BP2 stability suppresses gastric cancer cell apoptosis by inhibiting the maturation of microRNA-34a
- Role of FOXM1 and AURKB in regulating keratinocyte function in psoriasis
- Parental control attitudes over their pre-school children’s diet
- The role of auto-HSCT in extranodal natural killer/T cell lymphoma
- Significance of negative cervical cytology and positive HPV in the diagnosis of cervical lesions by colposcopy
- Echinacoside inhibits PASMCs calcium overload to prevent hypoxic pulmonary artery remodeling by regulating TRPC1/4/6 and calmodulin
- ADAR1 plays a protective role in proximal tubular cells under high glucose conditions by attenuating the PI3K/AKT/mTOR signaling pathway
- The risk of cancer among insulin glargine users in Lithuania: A retrospective population-based study
- The unusual location of primary hydatid cyst: A case series study
- Intraoperative changes in electrophysiological monitoring can be used to predict clinical outcomes in patients with spinal cavernous malformation
- Obesity and risk of placenta accreta spectrum: A meta-analysis
- Shikonin alleviates asthma phenotypes in mice via an airway epithelial STAT3-dependent mechanism
- NSUN6 and HTR7 disturbed the stability of carotid atherosclerotic plaques by regulating the immune responses of macrophages
- The effect of COVID-19 lockdown on admission rates in Maternity Hospital
- Temporal muscle thickness is not a prognostic predictor in patients with high-grade glioma, an experience at two centers in China
- Luteolin alleviates cerebral ischemia/reperfusion injury by regulating cell pyroptosis
- Therapeutic role of respiratory exercise in patients with tuberculous pleurisy
- Effects of CFTR-ENaC on spinal cord edema after spinal cord injury
- Irisin-regulated lncRNAs and their potential regulatory functions in chondrogenic differentiation of human mesenchymal stem cells
- DMD mutations in pediatric patients with phenotypes of Duchenne/Becker muscular dystrophy
- Combination of C-reactive protein and fibrinogen-to-albumin ratio as a novel predictor of all-cause mortality in heart failure patients
- Significant role and the underly mechanism of cullin-1 in chronic obstructive pulmonary disease
- Ferroptosis-related prognostic model of mantle cell lymphoma
- Observation of choking reaction and other related indexes in elderly painless fiberoptic bronchoscopy with transnasal high-flow humidification oxygen therapy
- A bibliometric analysis of Prader-Willi syndrome from 2002 to 2022
- The causal effects of childhood sunburn occasions on melanoma: A univariable and multivariable Mendelian randomization study
- Oxidative stress regulates glycogen synthase kinase-3 in lymphocytes of diabetes mellitus patients complicated with cerebral infarction
- Role of COX6C and NDUFB3 in septic shock and stroke
- Trends in disease burden of type 2 diabetes, stroke, and hypertensive heart disease attributable to high BMI in China: 1990–2019
- Purinergic P2X7 receptor mediates hyperoxia-induced injury in pulmonary microvascular endothelial cells via NLRP3-mediated pyroptotic pathway
- Investigating the role of oviductal mucosa–endometrial co-culture in modulating factors relevant to embryo implantation
- Analgesic effect of external oblique intercostal block in laparoscopic cholecystectomy: A retrospective study
- Elevated serum miR-142-5p correlates with ischemic lesions and both NSE and S100β in ischemic stroke patients
- Correlation between the mechanism of arteriopathy in IgA nephropathy and blood stasis syndrome: A cohort study
- Risk factors for progressive kyphosis after percutaneous kyphoplasty in osteoporotic vertebral compression fracture
- Predictive role of neuron-specific enolase and S100-β in early neurological deterioration and unfavorable prognosis in patients with ischemic stroke
- The potential risk factors of postoperative cognitive dysfunction for endovascular therapy in acute ischemic stroke with general anesthesia
- Fluoxetine inhibited RANKL-induced osteoclastic differentiation in vitro
- Detection of serum FOXM1 and IGF2 in patients with ARDS and their correlation with disease and prognosis
- Rhein promotes skin wound healing by activating the PI3K/AKT signaling pathway
- Differences in mortality risk by levels of physical activity among persons with disabilities in South Korea
- Review Articles
- Cutaneous signs of selected cardiovascular disorders: A narrative review
- XRCC1 and hOGG1 polymorphisms and endometrial carcinoma: A meta-analysis
- A narrative review on adverse drug reactions of COVID-19 treatments on the kidney
- Emerging role and function of SPDL1 in human health and diseases
- Adverse reactions of piperacillin: A literature review of case reports
- Molecular mechanism and intervention measures of microvascular complications in diabetes
- Regulation of mesenchymal stem cell differentiation by autophagy
- Molecular landscape of borderline ovarian tumours: A systematic review
- Advances in synthetic lethality modalities for glioblastoma multiforme
- Investigating hormesis, aging, and neurodegeneration: From bench to clinics
- Frankincense: A neuronutrient to approach Parkinson’s disease treatment
- Sox9: A potential regulator of cancer stem cells in osteosarcoma
- Early detection of cardiovascular risk markers through non-invasive ultrasound methodologies in periodontitis patients
- Advanced neuroimaging and criminal interrogation in lie detection
- Maternal factors for neural tube defects in offspring: An umbrella review
- The chemoprotective hormetic effects of rosmarinic acid
- CBD’s potential impact on Parkinson’s disease: An updated overview
- Progress in cytokine research for ARDS: A comprehensive review
- Utilizing reactive oxygen species-scavenging nanoparticles for targeting oxidative stress in the treatment of ischemic stroke: A review
- NRXN1-related disorders, attempt to better define clinical assessment
- Lidocaine infusion for the treatment of complex regional pain syndrome: Case series and literature review
- Trends and future directions of autophagy in osteosarcoma: A bibliometric analysis
- Iron in ventricular remodeling and aneurysms post-myocardial infarction
- Case Reports
- Sirolimus potentiated angioedema: A case report and review of the literature
- Identification of mixed anaerobic infections after inguinal hernia repair based on metagenomic next-generation sequencing: A case report
- Successful treatment with bortezomib in combination with dexamethasone in a middle-aged male with idiopathic multicentric Castleman’s disease: A case report
- Complete heart block associated with hepatitis A infection in a female child with fatal outcome
- Elevation of D-dimer in eosinophilic gastrointestinal diseases in the absence of venous thrombosis: A case series and literature review
- Four years of natural progressive course: A rare case report of juvenile Xp11.2 translocations renal cell carcinoma with TFE3 gene fusion
- Advancing prenatal diagnosis: Echocardiographic detection of Scimitar syndrome in China – A case series
- Outcomes and complications of hemodialysis in patients with renal cancer following bilateral nephrectomy
- Anti-HMGCR myopathy mimicking facioscapulohumeral muscular dystrophy
- Recurrent opportunistic infections in a HIV-negative patient with combined C6 and NFKB1 mutations: A case report, pedigree analysis, and literature review
- Letter to the Editor
- Letter to the Editor: Total parenteral nutrition-induced Wernicke’s encephalopathy after oncologic gastrointestinal surgery
- Erratum
- Erratum to “Bladder-embedded ectopic intrauterine device with calculus”
- Retraction
- Retraction of “XRCC1 and hOGG1 polymorphisms and endometrial carcinoma: A meta-analysis”
- Corrigendum
- Corrigendum to “Investigating hormesis, aging, and neurodegeneration: From bench to clinics”
- Corrigendum to “Frankincense: A neuronutrient to approach Parkinson’s disease treatment”
- Special Issue The evolving saga of RNAs from bench to bedside - Part II
- Machine-learning-based prediction of a diagnostic model using autophagy-related genes based on RNA sequencing for patients with papillary thyroid carcinoma
- Unlocking the future of hepatocellular carcinoma treatment: A comprehensive analysis of disulfidptosis-related lncRNAs for prognosis and drug screening
- Elevated mRNA level indicates FSIP1 promotes EMT and gastric cancer progression by regulating fibroblasts in tumor microenvironment
- Special Issue Advancements in oncology: bridging clinical and experimental research - Part I
- Ultrasound-guided transperineal vs transrectal prostate biopsy: A meta-analysis of diagnostic accuracy and complication rates
- Assessment of diagnostic value of unilateral systematic biopsy combined with targeted biopsy in detecting clinically significant prostate cancer
- SENP7 inhibits glioblastoma metastasis and invasion by dissociating SUMO2/3 binding to specific target proteins
- MARK1 suppress malignant progression of hepatocellular carcinoma and improves sorafenib resistance through negatively regulating POTEE
- Analysis of postoperative complications in bladder cancer patients
- Carboplatin combined with arsenic trioxide versus carboplatin combined with docetaxel treatment for LACC: A randomized, open-label, phase II clinical study
- Special Issue Exploring the biological mechanism of human diseases based on MultiOmics Technology - Part I
- Comprehensive pan-cancer investigation of carnosine dipeptidase 1 and its prospective prognostic significance in hepatocellular carcinoma
- Identification of signatures associated with microsatellite instability and immune characteristics to predict the prognostic risk of colon cancer
- Single-cell analysis identified key macrophage subpopulations associated with atherosclerosis
Articles in the same Issue
- Research Articles
- EDNRB inhibits the growth and migration of prostate cancer cells by activating the cGMP-PKG pathway
- STK11 (LKB1) mutation suppresses ferroptosis in lung adenocarcinoma by facilitating monounsaturated fatty acid synthesis
- Association of SOX6 gene polymorphisms with Kashin-Beck disease risk in the Chinese Han population
- The pyroptosis-related signature predicts prognosis and influences the tumor immune microenvironment in dedifferentiated liposarcoma
- METTL3 attenuates ferroptosis sensitivity in lung cancer via modulating TFRC
- Identification and validation of molecular subtypes and prognostic signature for stage I and stage II gastric cancer based on neutrophil extracellular traps
- Novel lumbar plexus block versus femoral nerve block for analgesia and motor recovery after total knee arthroplasty
- Correlation between ABCB1 and OLIG2 polymorphisms and the severity and prognosis of patients with cerebral infarction
- Study on the radiotherapy effect and serum neutral granulocyte lymphocyte ratio and inflammatory factor expression of nasopharyngeal carcinoma
- Transcriptome analysis of effects of Tecrl deficiency on cardiometabolic and calcium regulation in cardiac tissue
- Aflatoxin B1 induces infertility, fetal deformities, and potential therapies
- Serum levels of HMW adiponectin and its receptors are associated with cytokine levels and clinical characteristics in chronic obstructive pulmonary disease
- METTL3-mediated methylation of CYP2C19 mRNA may aggravate clopidogrel resistance in ischemic stroke patients
- Understand how machine learning impact lung cancer research from 2010 to 2021: A bibliometric analysis
- Pressure ulcers in German hospitals: Analysis of reimbursement and length of stay
- Metformin plus L-carnitine enhances brown/beige adipose tissue activity via Nrf2/HO-1 signaling to reduce lipid accumulation and inflammation in murine obesity
- Downregulation of carbonic anhydrase IX expression in mouse xenograft nasopharyngeal carcinoma model via doxorubicin nanobubble combined with ultrasound
- Feasibility of 3-dimensional printed models in simulated training and teaching of transcatheter aortic valve replacement
- miR-335-3p improves type II diabetes mellitus by IGF-1 regulating macrophage polarization
- The analyses of human MCPH1 DNA repair machinery and genetic variations
- Activation of Piezo1 increases the sensitivity of breast cancer to hyperthermia therapy
- Comprehensive analysis based on the disulfidptosis-related genes identifies hub genes and immune infiltration for pancreatic adenocarcinoma
- Changes of serum CA125 and PGE2 before and after high-intensity focused ultrasound combined with GnRH-a in treatment of patients with adenomyosis
- The clinical value of the hepatic venous pressure gradient in patients undergoing hepatic resection for hepatocellular carcinoma with or without liver cirrhosis
- Development and validation of a novel model to predict pulmonary embolism in cardiology suspected patients: A 10-year retrospective analysis
- Downregulation of lncRNA XLOC_032768 in diabetic patients predicts the occurrence of diabetic nephropathy
- Circ_0051428 targeting miR-885-3p/MMP2 axis enhances the malignancy of cervical cancer
- Effectiveness of ginkgo diterpene lactone meglumine on cognitive function in patients with acute ischemic stroke
- The construction of a novel prognostic prediction model for glioma based on GWAS-identified prognostic-related risk loci
- Evaluating the impact of childhood BMI on the risk of coronavirus disease 2019: A Mendelian randomization study
- Lactate dehydrogenase to albumin ratio is associated with in-hospital mortality in patients with acute heart failure: Data from the MIMIC-III database
- CD36-mediated podocyte lipotoxicity promotes foot process effacement
- Efficacy of etonogestrel subcutaneous implants versus the levonorgestrel-releasing intrauterine system in the conservative treatment of adenomyosis
- FLRT2 mediates chondrogenesis of nasal septal cartilage and mandibular condyle cartilage
- Challenges in treating primary immune thrombocytopenia patients undergoing COVID-19 vaccination: A retrospective study
- Let-7 family regulates HaCaT cell proliferation and apoptosis via the ΔNp63/PI3K/AKT pathway
- Phospholipid transfer protein ameliorates sepsis-induced cardiac dysfunction through NLRP3 inflammasome inhibition
- Postoperative cognitive dysfunction in elderly patients with colorectal cancer: A randomized controlled study comparing goal-directed and conventional fluid therapy
- Long-pulsed ultrasound-mediated microbubble thrombolysis in a rat model of microvascular obstruction
- High SEC61A1 expression predicts poor outcome of acute myeloid leukemia
- Comparison of polymerase chain reaction and next-generation sequencing with conventional urine culture for the diagnosis of urinary tract infections: A meta-analysis
- Secreted frizzled-related protein 5 protects against renal fibrosis by inhibiting Wnt/β-catenin pathway
- Pan-cancer and single-cell analysis of actin cytoskeleton genes related to disulfidptosis
- Overexpression of miR-532-5p restrains oxidative stress response of chondrocytes in nontraumatic osteonecrosis of the femoral head by inhibiting ABL1
- Autologous liver transplantation for unresectable hepatobiliary malignancies in enhanced recovery after surgery model
- Clinical analysis of incomplete rupture of the uterus secondary to previous cesarean section
- Abnormal sleep duration is associated with sarcopenia in older Chinese people: A large retrospective cross-sectional study
- No genetic causality between obesity and benign paroxysmal vertigo: A two-sample Mendelian randomization study
- Identification and validation of autophagy-related genes in SSc
- Long non-coding RNA SRA1 suppresses radiotherapy resistance in esophageal squamous cell carcinoma by modulating glycolytic reprogramming
- Evaluation of quality of life in patients with schizophrenia: An inpatient social welfare institution-based cross-sectional study
- The possible role of oxidative stress marker glutathione in the assessment of cognitive impairment in multiple sclerosis
- Compilation of a self-management assessment scale for postoperative patients with aortic dissection
- Left atrial appendage closure in conjunction with radiofrequency ablation: Effects on left atrial functioning in patients with paroxysmal atrial fibrillation
- Effect of anterior femoral cortical notch grade on postoperative function and complications during TKA surgery: A multicenter, retrospective study
- Clinical characteristics and assessment of risk factors in patients with influenza A-induced severe pneumonia after the prevalence of SARS-CoV-2
- Analgesia nociception index is an indicator of laparoscopic trocar insertion-induced transient nociceptive stimuli
- High STAT4 expression correlates with poor prognosis in acute myeloid leukemia and facilitates disease progression by upregulating VEGFA expression
- Factors influencing cardiovascular system-related post-COVID-19 sequelae: A single-center cohort study
- HOXD10 regulates intestinal permeability and inhibits inflammation of dextran sulfate sodium-induced ulcerative colitis through the inactivation of the Rho/ROCK/MMPs axis
- Mesenchymal stem cell-derived exosomal miR-26a induces ferroptosis, suppresses hepatic stellate cell activation, and ameliorates liver fibrosis by modulating SLC7A11
- Endovascular thrombectomy versus intravenous thrombolysis for primary distal, medium vessel occlusion in acute ischemic stroke
- ANO6 (TMEM16F) inhibits gastrointestinal stromal tumor growth and induces ferroptosis
- Prognostic value of EIF5A2 in solid tumors: A meta-analysis and bioinformatics analysis
- The role of enhanced expression of Cx43 in patients with ulcerative colitis
- Choosing a COVID-19 vaccination site might be driven by anxiety and body vigilance
- Role of ICAM-1 in triple-negative breast cancer
- Cost-effectiveness of ambroxol in the treatment of Gaucher disease type 2
- HLA-DRB5 promotes immune thrombocytopenia via activating CD8+ T cells
- Efficacy and factors of myofascial release therapy combined with electrical and magnetic stimulation in the treatment of chronic pelvic pain syndrome
- Efficacy of tacrolimus monotherapy in primary membranous nephropathy
- Mechanisms of Tripterygium wilfordii Hook F on treating rheumatoid arthritis explored by network pharmacology analysis and molecular docking
- FBXO45 levels regulated ferroptosis renal tubular epithelial cells in a model of diabetic nephropathy by PLK1
- Optimizing anesthesia strategies to NSCLC patients in VATS procedures: Insights from drug requirements and patient recovery patterns
- Alpha-lipoic acid upregulates the PPARγ/NRF2/GPX4 signal pathway to inhibit ferroptosis in the pathogenesis of unexplained recurrent pregnancy loss
- Correlation between fat-soluble vitamin levels and inflammatory factors in paediatric community-acquired pneumonia: A prospective study
- CD1d affects the proliferation, migration, and apoptosis of human papillary thyroid carcinoma TPC-1 cells via regulating MAPK/NF-κB signaling pathway
- miR-let-7a inhibits sympathetic nerve remodeling after myocardial infarction by downregulating the expression of nerve growth factor
- Immune response analysis of solid organ transplantation recipients inoculated with inactivated COVID-19 vaccine: A retrospective analysis
- The H2Valdien derivatives regulate the epithelial–mesenchymal transition of hepatoma carcinoma cells through the Hedgehog signaling pathway
- Clinical efficacy of dexamethasone combined with isoniazid in the treatment of tuberculous meningitis and its effect on peripheral blood T cell subsets
- Comparison of short-segment and long-segment fixation in treatment of degenerative scoliosis and analysis of factors associated with adjacent spondylolisthesis
- Lycopene inhibits pyroptosis of endothelial progenitor cells induced by ox-LDL through the AMPK/mTOR/NLRP3 pathway
- Methylation regulation for FUNDC1 stability in childhood leukemia was up-regulated and facilitates metastasis and reduces ferroptosis of leukemia through mitochondrial damage by FBXL2
- Correlation of single-fiber electromyography studies and functional status in patients with amyotrophic lateral sclerosis
- Risk factors of postoperative airway obstruction complications in children with oral floor mass
- Expression levels and clinical significance of serum miR-19a/CCL20 in patients with acute cerebral infarction
- Physical activity and mental health trends in Korean adolescents: Analyzing the impact of the COVID-19 pandemic from 2018 to 2022
- Evaluating anemia in HIV-infected patients using chest CT
- Ponticulus posticus and skeletal malocclusion: A pilot study in a Southern Italian pre-orthodontic court
- Causal association of circulating immune cells and lymphoma: A Mendelian randomization study
- Assessment of the renal function and fibrosis indexes of conventional western medicine with Chinese medicine for dredging collaterals on treating renal fibrosis: A systematic review and meta-analysis
- Comprehensive landscape of integrator complex subunits and their association with prognosis and tumor microenvironment in gastric cancer
- New target-HMGCR inhibitors for the treatment of primary sclerosing cholangitis: A drug Mendelian randomization study
- Population pharmacokinetics of meropenem in critically ill patients
- Comparison of the ability of newly inflammatory markers to predict complicated appendicitis
- Comparative morphology of the cruciate ligaments: A radiological study
- Immune landscape of hepatocellular carcinoma: The central role of TP53-inducible glycolysis and apoptosis regulator
- Serum SIRT3 levels in epilepsy patients and its association with clinical outcomes and severity: A prospective observational study
- SHP-1 mediates cigarette smoke extract-induced epithelial–mesenchymal transformation and inflammation in 16HBE cells
- Acute hyper-hypoxia accelerates the development of depression in mice via the IL-6/PGC1α/MFN2 signaling pathway
- The GJB3 correlates with the prognosis, immune cell infiltration, and therapeutic responses in lung adenocarcinoma
- Physical fitness and blood parameters outcomes of breast cancer survivor in a low-intensity circuit resistance exercise program
- Exploring anesthetic-induced gene expression changes and immune cell dynamics in atrial tissue post-coronary artery bypass graft surgery
- Empagliflozin improves aortic injury in obese mice by regulating fatty acid metabolism
- Analysis of the risk factors of the radiation-induced encephalopathy in nasopharyngeal carcinoma: A retrospective cohort study
- Reproductive outcomes in women with BRCA 1/2 germline mutations: A retrospective observational study and literature review
- Evaluation of upper airway ultrasonographic measurements in predicting difficult intubation: A cross-section of the Turkish population
- Prognostic and diagnostic value of circulating IGFBP2 in pancreatic cancer
- Postural stability after operative reconstruction of the AFTL in chronic ankle instability comparing three different surgical techniques
- Research trends related to emergence agitation in the post-anaesthesia care unit from 2001 to 2023: A bibliometric analysis
- Frequency and clinicopathological correlation of gastrointestinal polyps: A six-year single center experience
- ACSL4 mediates inflammatory bowel disease and contributes to LPS-induced intestinal epithelial cell dysfunction by activating ferroptosis and inflammation
- Affibody-based molecular probe 99mTc-(HE)3ZHER2:V2 for non-invasive HER2 detection in ovarian and breast cancer xenografts
- Effectiveness of nutritional support for clinical outcomes in gastric cancer patients: A meta-analysis of randomized controlled trials
- The relationship between IFN-γ, IL-10, IL-6 cytokines, and severity of the condition with serum zinc and Fe in children infected with Mycoplasma pneumoniae
- Paraquat disrupts the blood–brain barrier by increasing IL-6 expression and oxidative stress through the activation of PI3K/AKT signaling pathway
- Sleep quality associate with the increased prevalence of cognitive impairment in coronary artery disease patients: A retrospective case–control study
- Dioscin protects against chronic prostatitis through the TLR4/NF-κB pathway
- Association of polymorphisms in FBN1, MYH11, and TGF-β signaling-related genes with susceptibility of sporadic thoracic aortic aneurysm and dissection in the Zhejiang Han population
- Application value of multi-parameter magnetic resonance image-transrectal ultrasound cognitive fusion in prostate biopsy
- Laboratory variables‐based artificial neural network models for predicting fatty liver disease: A retrospective study
- Decreased BIRC5-206 promotes epithelial–mesenchymal transition in nasopharyngeal carcinoma through sponging miR-145-5p
- Sepsis induces the cardiomyocyte apoptosis and cardiac dysfunction through activation of YAP1/Serpine1/caspase-3 pathway
- Assessment of iron metabolism and iron deficiency in incident patients on incident continuous ambulatory peritoneal dialysis
- Tibial periosteum flap combined with autologous bone grafting in the treatment of Gustilo-IIIB/IIIC open tibial fractures
- The application of intravenous general anesthesia under nasopharyngeal airway assisted ventilation undergoing ureteroscopic holmium laser lithotripsy: A prospective, single-center, controlled trial
- Long intergenic noncoding RNA for IGF2BP2 stability suppresses gastric cancer cell apoptosis by inhibiting the maturation of microRNA-34a
- Role of FOXM1 and AURKB in regulating keratinocyte function in psoriasis
- Parental control attitudes over their pre-school children’s diet
- The role of auto-HSCT in extranodal natural killer/T cell lymphoma
- Significance of negative cervical cytology and positive HPV in the diagnosis of cervical lesions by colposcopy
- Echinacoside inhibits PASMCs calcium overload to prevent hypoxic pulmonary artery remodeling by regulating TRPC1/4/6 and calmodulin
- ADAR1 plays a protective role in proximal tubular cells under high glucose conditions by attenuating the PI3K/AKT/mTOR signaling pathway
- The risk of cancer among insulin glargine users in Lithuania: A retrospective population-based study
- The unusual location of primary hydatid cyst: A case series study
- Intraoperative changes in electrophysiological monitoring can be used to predict clinical outcomes in patients with spinal cavernous malformation
- Obesity and risk of placenta accreta spectrum: A meta-analysis
- Shikonin alleviates asthma phenotypes in mice via an airway epithelial STAT3-dependent mechanism
- NSUN6 and HTR7 disturbed the stability of carotid atherosclerotic plaques by regulating the immune responses of macrophages
- The effect of COVID-19 lockdown on admission rates in Maternity Hospital
- Temporal muscle thickness is not a prognostic predictor in patients with high-grade glioma, an experience at two centers in China
- Luteolin alleviates cerebral ischemia/reperfusion injury by regulating cell pyroptosis
- Therapeutic role of respiratory exercise in patients with tuberculous pleurisy
- Effects of CFTR-ENaC on spinal cord edema after spinal cord injury
- Irisin-regulated lncRNAs and their potential regulatory functions in chondrogenic differentiation of human mesenchymal stem cells
- DMD mutations in pediatric patients with phenotypes of Duchenne/Becker muscular dystrophy
- Combination of C-reactive protein and fibrinogen-to-albumin ratio as a novel predictor of all-cause mortality in heart failure patients
- Significant role and the underly mechanism of cullin-1 in chronic obstructive pulmonary disease
- Ferroptosis-related prognostic model of mantle cell lymphoma
- Observation of choking reaction and other related indexes in elderly painless fiberoptic bronchoscopy with transnasal high-flow humidification oxygen therapy
- A bibliometric analysis of Prader-Willi syndrome from 2002 to 2022
- The causal effects of childhood sunburn occasions on melanoma: A univariable and multivariable Mendelian randomization study
- Oxidative stress regulates glycogen synthase kinase-3 in lymphocytes of diabetes mellitus patients complicated with cerebral infarction
- Role of COX6C and NDUFB3 in septic shock and stroke
- Trends in disease burden of type 2 diabetes, stroke, and hypertensive heart disease attributable to high BMI in China: 1990–2019
- Purinergic P2X7 receptor mediates hyperoxia-induced injury in pulmonary microvascular endothelial cells via NLRP3-mediated pyroptotic pathway
- Investigating the role of oviductal mucosa–endometrial co-culture in modulating factors relevant to embryo implantation
- Analgesic effect of external oblique intercostal block in laparoscopic cholecystectomy: A retrospective study
- Elevated serum miR-142-5p correlates with ischemic lesions and both NSE and S100β in ischemic stroke patients
- Correlation between the mechanism of arteriopathy in IgA nephropathy and blood stasis syndrome: A cohort study
- Risk factors for progressive kyphosis after percutaneous kyphoplasty in osteoporotic vertebral compression fracture
- Predictive role of neuron-specific enolase and S100-β in early neurological deterioration and unfavorable prognosis in patients with ischemic stroke
- The potential risk factors of postoperative cognitive dysfunction for endovascular therapy in acute ischemic stroke with general anesthesia
- Fluoxetine inhibited RANKL-induced osteoclastic differentiation in vitro
- Detection of serum FOXM1 and IGF2 in patients with ARDS and their correlation with disease and prognosis
- Rhein promotes skin wound healing by activating the PI3K/AKT signaling pathway
- Differences in mortality risk by levels of physical activity among persons with disabilities in South Korea
- Review Articles
- Cutaneous signs of selected cardiovascular disorders: A narrative review
- XRCC1 and hOGG1 polymorphisms and endometrial carcinoma: A meta-analysis
- A narrative review on adverse drug reactions of COVID-19 treatments on the kidney
- Emerging role and function of SPDL1 in human health and diseases
- Adverse reactions of piperacillin: A literature review of case reports
- Molecular mechanism and intervention measures of microvascular complications in diabetes
- Regulation of mesenchymal stem cell differentiation by autophagy
- Molecular landscape of borderline ovarian tumours: A systematic review
- Advances in synthetic lethality modalities for glioblastoma multiforme
- Investigating hormesis, aging, and neurodegeneration: From bench to clinics
- Frankincense: A neuronutrient to approach Parkinson’s disease treatment
- Sox9: A potential regulator of cancer stem cells in osteosarcoma
- Early detection of cardiovascular risk markers through non-invasive ultrasound methodologies in periodontitis patients
- Advanced neuroimaging and criminal interrogation in lie detection
- Maternal factors for neural tube defects in offspring: An umbrella review
- The chemoprotective hormetic effects of rosmarinic acid
- CBD’s potential impact on Parkinson’s disease: An updated overview
- Progress in cytokine research for ARDS: A comprehensive review
- Utilizing reactive oxygen species-scavenging nanoparticles for targeting oxidative stress in the treatment of ischemic stroke: A review
- NRXN1-related disorders, attempt to better define clinical assessment
- Lidocaine infusion for the treatment of complex regional pain syndrome: Case series and literature review
- Trends and future directions of autophagy in osteosarcoma: A bibliometric analysis
- Iron in ventricular remodeling and aneurysms post-myocardial infarction
- Case Reports
- Sirolimus potentiated angioedema: A case report and review of the literature
- Identification of mixed anaerobic infections after inguinal hernia repair based on metagenomic next-generation sequencing: A case report
- Successful treatment with bortezomib in combination with dexamethasone in a middle-aged male with idiopathic multicentric Castleman’s disease: A case report
- Complete heart block associated with hepatitis A infection in a female child with fatal outcome
- Elevation of D-dimer in eosinophilic gastrointestinal diseases in the absence of venous thrombosis: A case series and literature review
- Four years of natural progressive course: A rare case report of juvenile Xp11.2 translocations renal cell carcinoma with TFE3 gene fusion
- Advancing prenatal diagnosis: Echocardiographic detection of Scimitar syndrome in China – A case series
- Outcomes and complications of hemodialysis in patients with renal cancer following bilateral nephrectomy
- Anti-HMGCR myopathy mimicking facioscapulohumeral muscular dystrophy
- Recurrent opportunistic infections in a HIV-negative patient with combined C6 and NFKB1 mutations: A case report, pedigree analysis, and literature review
- Letter to the Editor
- Letter to the Editor: Total parenteral nutrition-induced Wernicke’s encephalopathy after oncologic gastrointestinal surgery
- Erratum
- Erratum to “Bladder-embedded ectopic intrauterine device with calculus”
- Retraction
- Retraction of “XRCC1 and hOGG1 polymorphisms and endometrial carcinoma: A meta-analysis”
- Corrigendum
- Corrigendum to “Investigating hormesis, aging, and neurodegeneration: From bench to clinics”
- Corrigendum to “Frankincense: A neuronutrient to approach Parkinson’s disease treatment”
- Special Issue The evolving saga of RNAs from bench to bedside - Part II
- Machine-learning-based prediction of a diagnostic model using autophagy-related genes based on RNA sequencing for patients with papillary thyroid carcinoma
- Unlocking the future of hepatocellular carcinoma treatment: A comprehensive analysis of disulfidptosis-related lncRNAs for prognosis and drug screening
- Elevated mRNA level indicates FSIP1 promotes EMT and gastric cancer progression by regulating fibroblasts in tumor microenvironment
- Special Issue Advancements in oncology: bridging clinical and experimental research - Part I
- Ultrasound-guided transperineal vs transrectal prostate biopsy: A meta-analysis of diagnostic accuracy and complication rates
- Assessment of diagnostic value of unilateral systematic biopsy combined with targeted biopsy in detecting clinically significant prostate cancer
- SENP7 inhibits glioblastoma metastasis and invasion by dissociating SUMO2/3 binding to specific target proteins
- MARK1 suppress malignant progression of hepatocellular carcinoma and improves sorafenib resistance through negatively regulating POTEE
- Analysis of postoperative complications in bladder cancer patients
- Carboplatin combined with arsenic trioxide versus carboplatin combined with docetaxel treatment for LACC: A randomized, open-label, phase II clinical study
- Special Issue Exploring the biological mechanism of human diseases based on MultiOmics Technology - Part I
- Comprehensive pan-cancer investigation of carnosine dipeptidase 1 and its prospective prognostic significance in hepatocellular carcinoma
- Identification of signatures associated with microsatellite instability and immune characteristics to predict the prognostic risk of colon cancer
- Single-cell analysis identified key macrophage subpopulations associated with atherosclerosis