Home Value of ultrasonography parameters in diagnosing polycystic ovary syndrome
Article Open Access

Value of ultrasonography parameters in diagnosing polycystic ovary syndrome

  • Augustina Gyliene , Vestina Straksyte EMAIL logo and Inga Zaboriene
Published/Copyright: June 20, 2022

Abstract

Polycystic ovary syndrome (PCOS) is a common endocrinopathy among women of reproductive age associated with hyperandrogenism, oligo-amenorrhea, and infertility. Symptoms and their severity vary among the individuals. If the manifestation is mild, PCOS may remain undiagnosed. In more severe cases, it results in a spectrum of symptoms of metabolic syndrome, insulin resistance, and cardiovascular diseases. The diagnosis is established after a physical examination and evaluating the patient’s hormonal profile. In addition to these required methods, ultrasonographic assessment of the patient’s ovaries is another non-invasive, cheap, and time-saving tool, making the examination more profound and leading to the correct diagnosis. Specific ultrasonographic parameters are used to tell the healthy and polycystic ovaries apart: the ovarian volume (OV), ovarian follicle count, follicle distribution pattern, ovarian stromal echogenicity, and the resistance and pulsatility indices assessed using the Doppler function. This review evaluated the selected articles and ascertained the ultrasonographic parameters that accurately predict PCOS. This systematic review showed that the most valuable ultrasonographic parameters in diagnosing PCOS are the OV and follicle number per ovary.

1 Introduction

Polycystic ovary syndrome (PCOS), or Leventhal and Stein disease, is an endocrine and metabolic disorder that most commonly affects women of reproductive age. Most European women diagnosed with PCOS are 35–44 years old [1]. The prevalence rate of this disorder among adolescents is also concerning (97.83 per 100,000) [1]. PCOS manifests with a broad diversity of clinical symptoms associated with hyperandrogenemia and insulin resistance (IR). Evidence confirmed a key role for IR and compensatory hyperinsulinemia in the pathogenesis of PCOS, which may be exacerbated by concomitant obesity, which affects approximately 50% of women with PCOS (occurring in about 80% of obese women with PCOS and 30–40% of lean women) [2,3,4]. IR has been consistently observed among many women with PCOS, but this is excluded from any diagnostic criterion.

The syndrome is often related to severe conditions such as diabetes mellitus, cardiovascular diseases, and metabolic syndrome (MetS) [5,6,7].

It is crucial to establish a proper diagnosis and treat PCOS before it causes severe or even life-threatening problems. However, it is not always an easy task. Treatment options include lifestyle changes, medicines (isoforms of inositol), or surgical methods [4,8].

Over the years, the diagnostic criteria for PCOS have been changing. The initial diagnostic criteria were established at the National Institutes of Health consensus conference. These criteria were broadened several years after describing four main PCOS phenotypes [9]. Two main features are required to diagnose PCOS: the presence of hyperandrogenism and chronic oligo-anovulation if no other disorders cause these conditions [10]. The other criteria were introduced at the conference held in Rotterdam, the Netherlands [9]. Consequently, specific ultrasound features for ovarian morphology were added to the two existing criteria, thus expanding the definition of PCOS. An ovary was considered polycystic if the ovarian volume (OV) was greater than 10 cm3 and/or the number of follicles (FNPO) measuring 2–9 mm was 12 per ovary or greater [11].

Various publications express the significance of these ultrasound parameters in establishing PCOS diagnosis. The current article assesses the value of ultrasound parameters in diagnosing PCOS.

2 Evaluation of criteria for PCOS

To date, the expanded Rotterdam criteria are widely accepted and recommended using international evidence-based guidelines [12].

Ultrasound features for polycystic ovary morphology have slightly changed – follicle number per ovary was altered to 20 or more (Table 1) [12]. Many publications have recently proved that ultrasound is valuable in doubtful cases, especially with hormonal assays [13,14,15].

Table 1

Main ultrasound parameters

Ultrasound features
FNPO ≥12 per ovary* measuring 2–9 mm
≥20 per ovary** measuring 2–9 mm
OV >10 mL, Ensuring no corpora lutea, cysts, or dominant follicles are present
FDP Predominantly peripheral

* – Rotterdam criteria, ** – International evidence-based guideline for the assessment and management of polycystic ovary syndrome 2018 [12].

Despite the OV and FNPO, a few more ultrasound features help diagnose PCOS: follicle distribution pattern (FDP), antral follicle count (AFC), resistance index (RI), pulsatility index (PI) of uterine and ovarian arteries, and ovarian stromal echogenicity [15,16].

3 Materials and methods

The systematic article search was performed according to PRISMA guidelines. The Google Scholar and MEDLINE (PubMed) electronic databases were searched. The terms “polycystic ovary syndrome,” “PCOS,” “ultrasound,” “Doppler,” “ovarian volume,” “antral follicle count,” “ovarian stroma” were used in the process. Only articles written in the English language and published between the years 2014 and 2021 were included. The initial search resulted in 8,062 articles in both databases. After removing the duplicates and all systematic reviews, meta-analyses, case reports, and animal studies, the article titles or abstracts were reviewed manually, and the irrelevant article titles or abstracts were excluded. The studies were considered relevant if they used the ultrasound technique, the sample size was larger than 30 participants, and the PCOS was their main study condition. The advanced search resulted in 12 articles enrolled in the review [17,18,19,20,21,22,23,24,25,26,27,28].

4 Results

Twelve studies used ultrasound to evaluate women with PCOS symptoms. Nine authors conducted case–control studies. Three authors organized cross-sectional studies. The main features of the studies are presented in Table 2.

Table 2

Characteristics of the studies that used ultrasound to evaluate PCOS

Study, year PCOS/Controls (n) Mean BMI (kg/m2) PCOS/Controls Age range Mean age Transducer frequency (MHz) Menstrual cycle day Doppler feature usage
Ali et al., 2016 [17] 90/90 −/− 16–38 27 2–7.2 3–7
Chawla and Anand, 2020 [18] 35/35 −/− <35 3–9 3–5 +
Manzoor et al., 2019 [21] 50/50 −/− PCOS 13–42/Controls 14–45 PCOS 23/Controls 27 2–7 +
Anum et al., 2019 [22] 69/69 −/− 20–45 27.65 3–7.5 6–14 +
Ozdemir et al., 2015 [23] 42/38 24.4/22.5 PCOS 22.3/Controls 22.7 6.5 2–5 +
Christ et al., 2015 [24] 49/− 33.3/− 19–36 27.5 9
Bano and Tariq [25] 120/− −/− 20–37 24.3 8–16 +
Dwivedi et al., 2019 [26] 100/100 26.27/22.84 26.2 3.5–5 3–5 +
Sipahi et al., 2019 [27] 15/81 31.8/24.3 PCOS 25.8/Controls 23.3 1–8 1–7 +
Jarrett et al., 2019 [28] 87/67 32.0/23.6 18–38 PCOS 27/Controls: 27 5–9 or 6–12
Younesi et al., 2019 [19] 45/32 28.1/24.3 PCOS 28.1/Controls 32 2–5 +
Ahmed et al., 2020 [20] 25*; 25**/25X; 25XX 29.37*; 21.48**/28.19X; 22.77XX 20–40 31 2–5 and 7.5 3–7

Abbreviations: BMI – body mass index; PCOS – polycystic ovary syndrome; *PCOS with obesity; **PCOS-only; x – obesity-only; xx – controls.

+: Doppler was used.

−: Doppler wasn't used.

4.1 OV

Nine articles assessed the importance of OV in diagnosing PCOS and predicting the severity of related conditions [17,18,19,20,23,24,26,27,28]. The highest value of the mean OV in the PCOS group among the studies was 16.25 mL. The lowest value was 9.65 mL. In the control groups, the mean value of OV varied between 4.86 and 9.6 mL. The mean OV values are presented in Table 3.

Table 3

Mean OV, FNPO, and AFC

Study, year Mean OV (mL) PCOS/Controls P value Mean FNPO PCOS/Controls P value Mean AFC PCOS/Controls P value
Ali et al., 2016 [17] 9.65/9.3 –/– –/–
Chawla and Anand [18] 15.72/4.93 <0.01 17.39/5.72 <0.01 –/–
Ozdemir et al., 2015 [23] 11.43/4.86 <0.05 –/– –/–
Christ et al., 2015 [24] 14/– –/– 77/–
Dwivedi et al., 2019 [26] 16.25/5.5 <0.0001 14.39/3 <0.0001 –/–
Sipahi et al., 2019 [27] 11.7/9.6 0.027 –/– 32.3/29.6 >0.05
Jarrett et al., 2019 [28] 11/7 <0.05 45/25 <0.05 –/–
Younesi et al., 2019 [19] 16/8.1 <0.01 18.3/7.1 ≤0.05 –/–
Ahmed et al., 2020 [20] 11.1* and 11.2**/9.4x; 9.1xx <0.05 –/– –/–

Abbreviations: AFC – antral follicle count; FNPO – follicle number per ovary; OV – ovarian volume; PCOS – polycystic ovary syndrome; *PCOS with obesity; **PCOS-only; x  – obesity-only; xx  – controls.

–: Data are not available.

According to the recommendations of the newest evidence-based guidelines, an ovary is enlarged when its volume is greater than 10 cm3 [12]. Although high OV is thought to be a reliable PCOS marker, not all authors managed to prove its superiority to other ultrasound features in diagnosing this disease. Ali et al. found no statistically significant difference between patients with PCOS’ OV and the healthy women’s OV. Only 16.6% of the evaluated ovaries were above the normal volume range [17]. Christ et al. showed that the mean OV of the patients was elevated to 14 mL. However, no statistically significant links between OV and reproductive dysfunction were found [24].

In contrast, Sipahi et al. proved that OV is a valuable ultrasound feature helpful in predicting the occurrence of MetS in patients with PCOS [27]. The authors found that the mean OV of the PCOS and MetS patient group was significantly higher than in PCOS-only group [27]. A study by Jarrett et al. investigated the difference between the right and left ovaries in patients with PCOS and controls and found that the right ovary was more prominent in both groups [28]. Also, mean OV was significantly higher in the PCOS group than in the control [28]. It was concluded that the prevalence of developing MetS increases in patients with PCOS with larger ovaries.

Ahmed et al. studied four groups of participants: obese patients with PCOS, non-obese patients with PCOS, obese women without PCOS, and healthy controls. The mean OV was highest in the PCOS-only group (11.2 mL) and lowest in the healthy control group (9.1 mL) [20]. A similar study by Younesi et al. found that the mean OV was highest in the PCOS group; however, in contrast to Jarret et al., the left ovary was more prominent in all groups [22].

Additionally, the mean OV was significantly higher in obese participants than in non-obese ones [20]. Chawla and Anand and Dwivedi et al. proved that the OV is considerably higher in patients with PCOS than in healthy individuals [18,26]. Chawla and Anand found that the mean OV in the PCOS patient group was significantly higher than in the control group [18]. Dwivedi et al. obtained similar results [26].

4.2 FNPO and AFC

Chawla and Anand and Dwivedi et al. compared the FNPO in PCOS and control groups and obtained statistically significant results [18,26]. Both studies involved only follicles that measured 2–9 mm. Younesi et al. tested patients with PCOS, women with PCO morphology, and a healthy control group [19]. The mean FNPO was significantly higher among patients with PCOS than healthy women [19]. All mean FNPO and AFC values are presented in Table 3.

Jarrett et al. investigated the differences in FNPO between the right and left ovaries with PCOS and controls [28]. The researchers found that the FNPO was almost two times higher in both ovaries of the PCOS cohort than it was among the controls. Moreover, 94% of patients with PCOS had the FNPO higher than 20, and 89% had it higher than 25 in both ovaries [28]. The authors concluded that FNPO has tremendous diagnostic potential for PCOS.

Christ et al. and Sipahi et al. attempted to find correlations between the AFC and different PCOS manifestations [24,27]. The study by Christ et al. assessed the clinical, ultrasonographic, and hormonal features of patients with PCOS to find associations between them [24]. They discovered that the mean AFC of 49 patients with PCOS was 77, ranging from 36 to 145. The AFC was positively related to free testosterone and androstenedione levels and the LH:FSH ratio. In another study by Sipahi et al., the difference in AFC between PCOS and PCOS with MetS patient groups was not significant (P > 0.05) [27]. The mean AFC of the PCOS-only patient group was 29.6; in the group of PCOS with MetS, it was slightly higher32.3.

4.3 FDP

Ali et al. found that the classic FDP of PCOS, the ultrasonographic “string of pearls” sign, appeared in most patients in the case group (91.1%). Other patients (8.8%) showed normal morphology, with follicles equally distributed within the ovarian stroma [17]. FDP was normal in all 90 controls. Younesi et al. also discovered some dissimilarities in FDP among the three participant groups. Although no significant difference was observed between patients with PCOS and women with PCO morphology (82.2 and 80.6% women with peripheral distribution of follicles, respectively), these groups showed a significant difference from the control group, in which the “string of pearls” sign appeared in 46.8% of participants [19]. Christ et al. investigated the reproductive and metabolic features of patients with PCOS. They assessed the correlations between them and the FDP, but there was no statistically significant link between them [24]. Sipahi et al. did not find a notable difference between the FDP of PCOS-only patients and patients with PCOS with coexisting MetS (1.7 and 1.8, respectively) [27].

4.4 Ovarian stromal echogenicity

Ovarian stromal echogenicity is an important PCOS marker. The study by Dwivedi et al. proved a definite difference between healthy women and patients with PCOS’s ovarian stromal echogenicity [26]. Hyperechogenic stroma was seen in 98% of patients with PCOS and 4% of healthy women. Chawla and Anand also discovered a statistically significant difference in stromal echogenicity between the controls and patients with PCOS [18]. Only 7.1% of 35 healthy women had hyperechoic ovarian stroma, and among 35 patients, this feature occurred in 60% of cases.

4.5 RI and PI of uterine and ovarian arteries

Increased blood flow in the ovarian stroma is a critical PCOS feature, occurring due to the hyperactive angiogenesis in the ovary. The abundant blood flow may disrupt normal folliculogenesis, stimulating the growth of multiple primary follicles instead of a few leading ones [16,29]. The ultrasonographic Doppler feature is used to detect the increased blood flow by measuring the PI and RI of the ovarian stromal or uterine arteries [16]. The mean RI of the uterine artery ranged between 0.877 and 0.96 in the PCOS and the control group between 0.868 and 0.92. The RI of ovarian stromal arteries in the PCOS group was from 0.45 to 0.83, and in the control group between 0.50 and 0.84. The mean PI of the uterine artery was from 3.04 to 3.89 in the PCOS group and 2.2 in the control group. The PI values of the ovarian stromal arteries varied between 0.815 and 2.5 in the case group and 1.3 and 4.2 in the control group. All RI and PI mean values are presented in Table 4.

Table 4

Mean values of RI and PI in uterine and ovarian stromal arteries

Study, year PCOS/Controls (n) Mean RI PCOS/Controls (n) Mean PI PCOS/Controls (n) P value
Uterine artery Ovarian stromal arteries Uterine artery Ovarian stromal arteries
Chawla and Anand, 2020 [18] 35/35 0.91/0.92 0.515/0.675 3.04/2.2 0.815/1.35 <0.01
Manzoor et al., 2019 [21] 50/50 –/– 0.6/0.79 –/– 1.24/2.16
Sarwar et al., 2019 [22] 69/69 R–0.886/0.879; L–0.877/0.868 –/– –/– –/– >0.05
Ozdemir et al., 2015 [23] 42/38 –/– 0.45/0.84 –/– 0.89/1.3 <0.05
Bano and Tariq [25] 120/– 0.93/– –/– 3.89/– –/–
Dwivedi et al., 2019 [26] 100/100 –/– 0.52/0.71 –/– 1.15/4.2 <0.0001
Sipahi et al., 2019 [27] 15* 81**/– –/– 0.81* 0.83**/– –/– 2.2 2.5/– >0.05
Younesi et al., 2018 [19] 45/32 0.96/0.87 0.50/0.50 –/– –/– >0.05

Abbreviations: L – left; PI – pulsatility index; R – right; RI – resistance index; *with metabolic syndrome; **without metabolic syndrome.

– Data are not available.

5 Discussion

PCOS is a highly prevalent condition that affects 1 of 10 women of reproductive age worldwide [30]. The PCO morphology is defined by various ultrasonographic features that, along with hormonal assays, help the physician diagnose PCOS. PCOS is composed of many related conditions. No “gold standard” diagnostic test can predict it alone. However, the ultrasonographic evaluation is essential in establishing or solidifying the diagnosis [30,31].

Testing for PCOS in early puberty and adolescence is still an issue, and the ultrasonographic evaluation might be controversial. The syndrome might affect women at the beginning of their reproductive years. In this case, transvaginal ultrasonography is considered more accurate. This method is inappropriate for children and sexually inactive adolescent girls [31]. The international guidelines recommend using ultrasound for patients more than eight years have passed after their first menstruation [12]. During puberty, the body goes through significant hormonal changes, which naturally stimulate the growth of ovarian follicles. This state appears similar to the PCO morphology [31]. Witchel et al. stated that ultrasonography is unnecessary for pediatric and adolescent patients and leads to overdiagnosis [32].

OV is a widely used ultrasonographic parameter in establishing the diagnosis of PCOS. Senaldi et al. stated that increased OV was significantly associated with circulating testosterone and insulin and IR [33]. Hyperinsulinemia and elevated serum LH are essential in ovarian enlargement and androgen synthesis in patients with PCOS [33]. Numerous studies have proved that patients with PCOS have larger ovaries than the controls [18,19,20,23,26,27,28]. However, the range of values of the mean OV is extensive, not only in patients but also in healthy women. Because healthy women have PCO morphology, their enlarged ovaries lead to PCOS overdiagnosis as one of the Rotterdam criteria [34]. This review showed a minimal difference between the lowest mean OV of the patients with PCOS and the highest mean OV value in the control groups (9.65 and 9.6 mL, respectively). Data suggest that women have normal-sized ovaries in PCOS patient groups and larger than normal in the control groups.

FNPO is another commonly used ultrasonographic parameter associated with PCOS. The number of ovarian follicles becomes markedly higher in patients with PCOS due to increased androgen and anti-Müllerian hormone levels [35]. Jarrett et al. found it superior to OV and follicle numbers per section in detecting polycystic ovaries when a high-frequency transvaginal transducer is available [28]. The cut-off value of FNPO is the most specific for PCOS. Even though the international evidence-based guidelines accepted the cut-off of 20 or more follicles per ovary, some authors indicate different FNPO thresholds [12]. Dewailly et al. suggested using a cut-off of 25 or more follicles per ovary for 18–35-year-old women. Lujan et al. found that an FNPO of 26 or more per ovary is a reliable threshold for detecting PCOS [36,37]. It is complicated to determine a single cut-off value for FNPO because physicians often use different ultrasound machines and follicle-calculating methods. Additionally, the results depend on the skills and experience of the observer.

Scientists have noticed that the widely accepted Rotterdam criteria can lead to misdiagnosing PCOS in middle-aged women. For that reason, PCOS might be underdiagnosed in older women if the currently used cut-offs of OV (>10 cm3) and FNPO (>20) are applied [14]. Kim et al. lowered the cut-off values of OV and FNPO for women older than 30 years because, at that age, the volume of the ovary and follicle count starts to decrease [38].

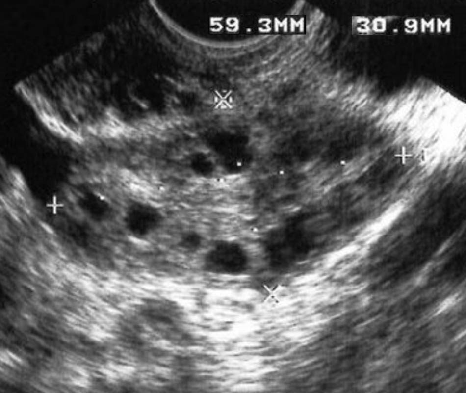
FDP is an essential feature of PCOS. The follicles might be scattered throughout the ovary or distributed peripherally around the ovarian stroma. The first variant is considered normal, and the second is the so-called ultrasonographic “string of pearls” sign, a typical finding in PCOS (Figure 1) [39].

Figure 1 
               Transverse US image of the left ovary demonstrates the “string of pearls” sign.
Figure 1

Transverse US image of the left ovary demonstrates the “string of pearls” sign.

The ovarian stromal brightness in patients with PCOS might be related to increased serum concentrations of vascular endothelial growth factor, which encourages the formation of new vessels around the ovarian follicles and thus leads to the development of hyperechoic stroma sign [32]. The hyperechoic or brighter grayscale tone of the ovarian stroma is determined subjectively and mainly depends on the experience of the examinator. Therefore, not many authors use this ultrasonographic parameter daily [19].

The ovarian blood flow of a patient with PCOS is often abnormal. The imbalance of angiogenic and antiangiogenic factors induces vascular growth within the ovarian stroma. The stromal arteries supply blood to the small ovarian follicles because their walls do not contain any vessels [40]. When the blood flow in the stromal arteries increases, it also induces abnormal follicle growth – numerous small follicles accumulate around the ovarian stroma, their further maturation is restricted, and the failure to select dominant follicle results in anovulation [35]. The increase in ovarian blood flow also alters the risk of developing ovarian hyperstimulation syndrome. The ultrasonographic Doppler parameters, such as RI and PI, help detect abnormal ovarian blood flow and diagnose this condition early. Since the enhanced ovarian blood flow causes most PCOS symptoms, scientists revealed that vascular growth restriction is a suitable PCOS treatment method [40]. The medicines inhibit angiogenic factors, restoring normal ovarian blood flow and reducing PCOS symptoms.

Numerous studies have emphasized the association between the ultrasound parameters and clinical features of patients with PCOS. Christ et al. found that ovarian morphology can reflect the degree of metabolic and reproductive derangements in patients with PCOS [24]. The count of follicles under 6 mm and AFC was positively associated with features of endogenous androgen excess. The OV, however, was not linked with any reproductive markers but showed negative associations with glycated hemoglobin (HbA1c) [24].

As technologies developed faster and new ultrasound machines with higher resolution transducers became available in most healthcare units, the guideline-creating groups from Europe, Australia, and America decided to alter the AFC from 12 to 20 or more follicles per ovary [12]. High-frequency transducers allow more precise images and thus should help distinguish more cysts. However, the new threshold appeared disadvantageous in the recent article by Kim et al. [38]. Their study revealed that women, who could be diagnosed with PCOS according to the previous cut-off, are now excluded from the diagnosis, even though they have irregular menstruation or symptoms of hyperandrogenism. Moreover, they discovered that the excluded women (the “low AFC group” who had 12–19 follicles per ovary) tended to have worse hormonal profiles, higher prevalence of MetS, and higher androgen levels in the blood than the control group [38].

3D ultrasonography is a novel perspective tool for diagnosing PCOS. It allows precise visualization of the ovarian morphology and may help establish a more accurate diagnosis [41]. Nylander et al. recently conducted a study in which AFC and OV were obtained using 2D and 3D transvaginal ultrasound and compared with MRI as the gold standard. 2D transvaginal ultrasound showed lower AFC and OV values than the 3D and MRI in the overweight population with PCOS. Furthermore, serum anti-Müllerian hormone, a biochemical marker of PCO, had a higher correlation with AFC, obtained from 3D, than from 2D transvaginal ultrasound [42]. In the study by Bozkurt et al., PCOS patients and women with multifollicular ovaries were evaluated using 2D and 3D ultrasonography [15]. The 2D Doppler measured the RI and PI; these parameters were slightly higher in the PCOS group, but the difference from the multifollicular ovary group was not statistically significant. However, the 3D Doppler measurements (vascularization index, flow index, and vascularization flow index) showed significantly higher values in the PCOS group. The authors suggest that 3D ultrasound with power Doppler would be an essential tool in differentiating PCOS and multifollicular ovaries [15]. However, some authors doubt the 3D ultrasound superiority over the 2D ultrasound in diagnosing PCOS. Sujata et al. discovered no significant differences between these ultrasound types in assessing ovarian morphology [43]. As the study findings remain controversial, more research is required to evaluate the effectiveness of the 3D ultrasound in establishing the PCOS diagnosis.

6 Conclusion

OV and FNPO are reliable markers of PCOS. However, the peripheral distribution of follicles is particular for PCOS. Higher ovarian stromal echogenicity might predict reproductive dysfunction. The Doppler ultrasound is a promising tool for evaluating the ovarian stromal artery; nevertheless, the value of assessing the uterine artery remains controversial.


tel: +370 37 326154

  1. Funding information: None.

  2. Conflict of interest: The authors state no conflict of interest.

  3. Data availability statement: The data used to support the findings of this study are included within this article.

References

[1] Miazgowski T, Martopullo I, Widecka J, Miazgowski B, Brodowska A. National and regional trends in the prevalence of polycystic ovary syndrome since 1990 within Europe: the modeled estimates from the Global Burden of Disease Study 2016. Arch Med Sci. 2021;17(2):343–51. 10.5114/aoms.2019.87112.Search in Google Scholar PubMed PubMed Central

[2] Laganà AS, Rossetti P, Buscema M, La Vignera S, Condorelli RA, Gullo G, et al. Metabolism and ovarian function in PCOS women: a therapeutic approach with inositols. Int J Endocrinol. 2016;2016:6306410. 10.1155/2016/6306410. Epub 2016 August 4. PMID: 27579037; PMCID: PMC4989075. Search in Google Scholar PubMed PubMed Central

[3] Laganà AS, Garzon S, Casarin J, Franchi M, Ghezzi F. Inositol in polycystic ovary syndrome: restoring fertility through a pathophysiology-based approach. Trends Endocrinol Metab. 2018 Nov;29(11):768–80. 10.1016/j.tem.2018.09.001. Epub 2018 September 27. PMID: 30270194.Search in Google Scholar PubMed

[4] Paul C, Laganà AS, Maniglio P, Triolo O, Brady DM. Inositol’s and other nutraceuticals’ synergistic actions counteract insulin resistance in polycystic ovarian syndrome and metabolic syndrome: state-of-the-art and future perspectives. Gynecol Endocrinol. 2016 Jun;32(6):431–8. 10.3109/09513590.2016.1144741. Epub 2016 February 29. PMID: 26927948.Search in Google Scholar PubMed

[5] Apridonidze T, Essah PA, Iuorno MJ, Nestler JE. Prevalence and characteristics of the metabolic syndrome in women with polycystic ovary syndrome. J Clin Endocrinol Metab. 2005;90(4):1929–35. https://academic.oup.com/jcem/article/90/4/1929/283653210.1210/jc.2004-1045Search in Google Scholar PubMed

[6] Dokras A, Bochner M, Hollinrake E, Markham S, VanVoorhis B, Jagasia DH. Screening women with polycystic ovary syndrome for metabolic syndrome. Obstet Gynecol. 2005;106(1):131–7. http://journals.lww.com/00006250-200507000-0002210.1097/01.AOG.0000167408.30893.6bSearch in Google Scholar PubMed

[7] Ollila MM, West S, Keinänen-Kiukaanniemi S, Jokelainen J, Auvinen J, Puukka K, et al. Overweight and obese but not normal weight women with PCOS are at increased risk of Type 2 diabetes mellitus – a prospective, population-based cohort study. Hum Reprod. 2017;32(2):423–31. https://academic.oup.com/humrep/article/32/2/423/2748247.10.1093/humrep/dew329Search in Google Scholar PubMed PubMed Central

[8] Hoeger KM, Dokras A, Piltonen T. Update on PCOS: consequences, challenges, and guiding treatment. J Clin Endocrinol Metab. 2021;106(3):E1071–83.10.1210/clinem/dgaa839Search in Google Scholar PubMed

[9] Lizneva D, Suturina L, Walker W, Brakta S, Gavrilova-Jordan L, Azziz R. Criteria, prevalence, and phenotypes of polycystic ovary syndrome. Fertility and sterility. Vol. 106. USA: Elsevier Inc; 2016. p. 6–15. 10.1016/j.fertnstert.2016.05.003.Search in Google Scholar PubMed

[10] Roe AH, Dokras A. The diagnosis of polycystic ovary syndrome in adolescents. Rev Obstet Gynecol. 2011;4(2):45–51. http://www.ncbi.nlm.nih.gov/pubmed/22102927.Search in Google Scholar

[11] Azziz R, Nestler JE, Dewailly D. Ovarian histology, morphology, and ultrasonography in the polycystic ovary syndrome. Androgen excess disorders in women. Contemporary Endocrinology. USA: Humana Press; 2006. p. 3–16. 10.1007/978-1-59745-179-6_1.Search in Google Scholar

[12] Teede HJ, Misso ML, Costello MF, Dokras A, Laven J, Moran L, et al. Recommendations from the international evidence-based guideline for the assessment and management of polycystic ovary syndrome. Clin Endocrinol. 2018;110(3):251–68, 364–79. 10.1111/cen.13795.Search in Google Scholar PubMed PubMed Central

[13] Youngster M, Ward VL, Blood EA, Barnewolt CE, Emans SJ, Divasta AD. Utility of ultrasound in the diagnosis of polycystic ovary syndrome in adolescents. Fertil Steril. 2014;102(5):1432–8. 10.1016/j.fertnstert.2014.07.1241.Search in Google Scholar PubMed

[14] Carmina E, Campagna AM, Fruzzetti F, Lobo RA. AMH measurement versus ovarian ultrasound in the diagnosis of polycystic ovary syndrome in different phonotypes. Endocr Pract. 2016;22(3):287–93. http://www.endocrinepractice.org/article/S1530891X20359619/fulltext.10.4158/EP15903.ORSearch in Google Scholar PubMed

[15] Bozkurt M, Kara Bozkurt D, Kurban D, Takmaz T, Sevket O, Ozcan P. 2–D and 3–D ultrasonographic characteristics of the ovary in women with PCOS and multifollicular ovaries. J Obstet Gynaecol (Lahore). 2020;41:920–6. 10.1080/01443615.2020.1803244.Search in Google Scholar PubMed

[16] Zhu RY, Wong YC, Yong EL. Sonographic evaluation of polycystic ovaries. Best Pract Res Clin Obstet Gynaecol. 2016;37:25–37. https://linkinghub.elsevier.com/retrieve/pii/S1521693416300049.10.1016/j.bpobgyn.2016.02.005Search in Google Scholar PubMed

[17] Ali HI, Elsadawy ME, Khater NH. Ultrasound assessment of polycystic ovaries: ovarian volume and morphology; which is more accurate in making the diagnosis?! Egypt J Radiol Nucl Med. 2016 March 1;47(1):347–50.10.1016/j.ejrnm.2015.10.002Search in Google Scholar

[18] Chawla K, Anand R. Role of color doppler ultrasonography in evaluation of women with polycystic ovarian syndrome (case-control study). ECR; 2020. https://epos.myesr.org/poster/esr/ecr2020/C-09855.Search in Google Scholar

[19] Younesi L, Lima ZS, Sene AA, Jebelli ZH, Amjad G. Comparison of uterine and ovarian stromal blood flow in patients with polycystic ovarian syndrome. Endocr Connect. 2019;8(1):50–6. 10.1530/EC-18-0423.Search in Google Scholar PubMed PubMed Central

[20] Ahmed AA, Moselhy SS, Kumosani TA, Huwait EA, AL-Ghamdi MA, AL-Madani KA, et al. Ultrasonographic and biochemical assessments as early prediction of polycystic ovarian syndrome in obese women. Afr Health Sci. 2020;20(2):676–81. 10.4314/ahs.v20i2.18.Search in Google Scholar PubMed PubMed Central

[21] Manzoor I, Bacha R, Gilani SA. Sonographic association of polycystic ovaries with intraovarian arterial pulsatility and resistive index. Gynecol Endocrinol. 2019;35(10):851–3. 10.1080/09513590.2019.1612357.Search in Google Scholar PubMed

[22] Anum S, Raham B, Syed Yousaf Farooq G, Khan AA. Sonographic correlation of polycystic ovarian syndrome (PCOS) with uterine artery resistive index (RI); 2019. Available from: EASJRIT_15_94–100_c.pdf (easpublisher.com).Search in Google Scholar

[23] Ozdemir O, Sari ME, Kalkan D, Koc EM, Ozdemir S, Atalay CR. Comparsion of ovarian stromal blood flow measured by color Doppler ultrasonography in polycystic ovary syndrome patients and healthy women with ultrasonographic evidence of polycystic. Gynecol Endocrinol. 2015;31(4):322–6. 10.3109/09513590.2014.995617.Search in Google Scholar PubMed

[24] Christ JP, Vanden Brink H, Brooks ED, Pierson RA, Chizen DR, Lujan ME. Ultrasound features of polycystic ovaries relate to degree of reproductive and metabolic disturbance in polycystic ovary syndrome. Fertil Steril. 2015;103(3):787–94. 10.1016/j.fertnstert.2014.12.094.Search in Google Scholar PubMed

[25] Bano A, Tariq A. Diagnosis of polycystic ovarian syndrome on doppler based resistive index and pulsatility index. JRMC. 30 Dec 2016;20(4):305–8. https://www.journalrmc.com/index.php/JRMC/article/view/155.Search in Google Scholar

[26] Dwivedi S, Kumar Ujjaliya M, Kaushik A. Assessment of the best predictor for diagnosis of polycystic ovarian disease in color doppler study of ovarian artery. Int J Sci Study. 2019;6(12):154–62. Available from: (ijss-sn.com).Search in Google Scholar

[27] Sipahi M, Tokgöz VY, Keskin Ö, Atasever M, Menteşe A, Demir S. Is ovarian volume a good predictor to determine metabolic syndrome development in polycystic ovary patients. J Obstet Gynaecol (Lahore). 2019;39(3):372–6. 10.1080/01443615.2018.1522530.Search in Google Scholar PubMed

[28] Jarrett BY, Vanden Brink H, Brooks ED, Hoeger KM, Spandorfer SD, Pierson RA, et al. Impact of right–left differences in ovarian morphology on the ultrasound diagnosis of polycystic ovary syndrome. Fertil Steril. 2019;112(5):939–46. Available from: /pmc/articles/PMC6858942/.10.1016/j.fertnstert.2019.06.016Search in Google Scholar PubMed PubMed Central

[29] Stubbs SA, Stark J, Dilworth SM, Franks S, Hardy K. Abnormal preantral folliculogenesis in polycystic ovaries is associated with increased granulosa cell division. J Clin Endocrinol Metab. 2007;92(11):4418–26. https://academic.oup.com/jcem/article/92/11/4418/2598867.10.1210/jc.2007-0729Search in Google Scholar PubMed

[30] Deswal R, Narwal V, Dang A, Pundir CS. The prevalence of polycystic ovary syndrome: a brief systematic review. J Hum Reprod Sci. 2020;13(4):261–71. 10.4103/jhrs.JHRS_95_18.Search in Google Scholar PubMed PubMed Central

[31] Deslandes A, Pannucio C, Parasivam S, Balogh M, Short A. How to perform a gynaecological ultrasound in the paediatric or adolescent patient. Australas J Ultrasound Med. 2020;23(1):10–21. 10.1002/ajum.12200.Search in Google Scholar PubMed PubMed Central

[32] Witchel SF, Oberfield SE, Peña AS. Polycystic ovary syndrome: pathophysiology, presentation, and treatment with emphasis on adolescent girls. J Endocr Soc. 2019;3(8):1545–73. 10.1210/js.2019-00078.Search in Google Scholar PubMed PubMed Central

[33] Senaldi L, Gopi RP, Milla S, Shah B. Is ultrasound useful in the diagnosis of adolescents with polycystic ovary syndrome? J Pediatr Endocrinol Metab. 2015 May;28(5–6):605–12. 10.1515/jpem-2014-0307. PMID: 25381947.Search in Google Scholar PubMed

[34] Rosenfield RL. The polycystic ovary morphology-polycystic ovary syndrome spectrum. J Pediatr Adolesc Gynecol. 2015;28(6):412–9. Available from: /pmc/articles/PMC4387116/.10.1016/j.jpag.2014.07.016Search in Google Scholar PubMed PubMed Central

[35] Jonard S, Dewailly D. The follicular excess in polycystic ovaries, due to intra‐ovarian hyperandrogenism, may be the main culprit for the follicular arrest. Hum Reprod Update. 2004;10(2):107–17. https://academic.oup.com/humupd/article/10/2/107/617160.10.1093/humupd/dmh010Search in Google Scholar PubMed

[36] Dewailly D, Lujan ME, Carmina E, Cedars MI, Laven J, Norman RJ, et al. Definition and significance of polycystic ovarian morphology: a task force report from the androgen excess and polycystic ovary syndrome society. Hum Reprod Update. 2014;20(3):334–52. https://academic.oup.com/humupd/article/20/3/334/730849.10.1093/humupd/dmt061Search in Google Scholar PubMed

[37] Lujan ME, Jarrett BY, Brooks ED, Reines JK, Peppin AK, Muhn N, et al. Updated ultrasound criteria for polycystic ovary syndrome: reliable thresholds for elevated follicle population and ovarian volume. Hum Reprod. 2013;28(5):1361–8. https://academic.oup.com/humrep/article/28/5/1361/945015.10.1093/humrep/det062Search in Google Scholar PubMed

[38] Kim JJ, Hwang KR, Chae SJ, Yoon SH, Choi YM. Impact of the newly recommended antral follicle count cut-off for polycystic ovary in adult women with polycystic ovary syndrome. Hum Reprod. 2020;35(3):652–9. 10.1093/humrep/deaa012.Search in Google Scholar PubMed

[39] Ponnatapura J, Dyer RB, Ou JJ. The ovarian “string-of-pearls” sign. Abdom Radiol. 2018;44:1181–2. 10.1007/s00261-018-1830-7.Search in Google Scholar PubMed

[40] Di Pietro M, Pascuali N, Parborell F, Abramovich D. Ovarian angiogenesis in polycystic ovary syndrome. Reproduction. 2018;155(5):R199–209. https://rep.bioscientifica.com/view/journals/rep/155/5/REP-17-0597.xml.10.1530/REP-17-0597Search in Google Scholar PubMed

[41] Ziogas A, Xydias E, Tsakos E. Novel methods in the diagnosis of PCOS: the role of 3d ultrasonographic modalities. In: Wang, Z., editor. Polycystic Ovary Syndrome. London: IntechOpen; 2022 [cited 2022 Jun 07]. Available from: https://www.intechopen.com/chapters/80033 doi: 10.5772/intechopen.101995.10.5772/intechopen.101995Search in Google Scholar

[42] Nylander M, Frøssing S, Bjerre AH, Chabanova E, Clausen HV, Faber J, et al. Ovarian morphology in polycystic ovary syndrome: estimates from 2D and 3D ultrasound and magnetic resonance imaging and their correlation to anti-Müllerian hormone. Acta Radiol. 2017 August 1;58(8):997–1004.10.1177/0284185116676656Search in Google Scholar PubMed

[43] Sujata K, Swoyam S. 2D and 3D trans-vaginal sonography to determine cut-offs for ovarian volume and follicle number per ovary for diagnosis of polycystic ovary syndrome in Indian women. J Reprod Infertil. 2018 July 1;19(3):146.Search in Google Scholar

Received: 2021-09-07
Revised: 2022-03-29
Accepted: 2022-05-13
Published Online: 2022-06-20

© 2022 Augustina Gyliene et al., published by De Gruyter

This work is licensed under the Creative Commons Attribution 4.0 International License.

Articles in the same Issue

  1. Research Articles
  2. AMBRA1 attenuates the proliferation of uveal melanoma cells
  3. A ceRNA network mediated by LINC00475 in papillary thyroid carcinoma
  4. Differences in complications between hepatitis B-related cirrhosis and alcohol-related cirrhosis
  5. Effect of gestational diabetes mellitus on lipid profile: A systematic review and meta-analysis
  6. Long noncoding RNA NR2F1-AS1 stimulates the tumorigenic behavior of non-small cell lung cancer cells by sponging miR-363-3p to increase SOX4
  7. Promising novel biomarkers and candidate small-molecule drugs for lung adenocarcinoma: Evidence from bioinformatics analysis of high-throughput data
  8. Plasmapheresis: Is it a potential alternative treatment for chronic urticaria?
  9. The biomarkers of key miRNAs and gene targets associated with extranodal NK/T-cell lymphoma
  10. Gene signature to predict prognostic survival of hepatocellular carcinoma
  11. Effects of miRNA-199a-5p on cell proliferation and apoptosis of uterine leiomyoma by targeting MED12
  12. Does diabetes affect paraneoplastic thrombocytosis in colorectal cancer?
  13. Is there any effect on imprinted genes H19, PEG3, and SNRPN during AOA?
  14. Leptin and PCSK9 concentrations are associated with vascular endothelial cytokines in patients with stable coronary heart disease
  15. Pericentric inversion of chromosome 6 and male fertility problems
  16. Staple line reinforcement with nebulized cyanoacrylate glue in laparoscopic sleeve gastrectomy: A propensity score-matched study
  17. Retrospective analysis of crescent score in clinical prognosis of IgA nephropathy
  18. Expression of DNM3 is associated with good outcome in colorectal cancer
  19. Activation of SphK2 contributes to adipocyte-induced EOC cell proliferation
  20. CRRT influences PICCO measurements in febrile critically ill patients
  21. SLCO4A1-AS1 mediates pancreatic cancer development via miR-4673/KIF21B axis
  22. lncRNA ACTA2-AS1 inhibits malignant phenotypes of gastric cancer cells
  23. circ_AKT3 knockdown suppresses cisplatin resistance in gastric cancer
  24. Prognostic value of nicotinamide N-methyltransferase in human cancers: Evidence from a meta-analysis and database validation
  25. GPC2 deficiency inhibits cell growth and metastasis in colon adenocarcinoma
  26. A pan-cancer analysis of the oncogenic role of Holliday junction recognition protein in human tumors
  27. Radiation increases COL1A1, COL3A1, and COL1A2 expression in breast cancer
  28. Association between preventable risk factors and metabolic syndrome
  29. miR-29c-5p knockdown reduces inflammation and blood–brain barrier disruption by upregulating LRP6
  30. Cardiac contractility modulation ameliorates myocardial metabolic remodeling in a rabbit model of chronic heart failure through activation of AMPK and PPAR-α pathway
  31. Quercitrin protects human bronchial epithelial cells from oxidative damage
  32. Smurf2 suppresses the metastasis of hepatocellular carcinoma via ubiquitin degradation of Smad2
  33. circRNA_0001679/miR-338-3p/DUSP16 axis aggravates acute lung injury
  34. Sonoclot’s usefulness in prediction of cardiopulmonary arrest prognosis: A proof of concept study
  35. Four drug metabolism-related subgroups of pancreatic adenocarcinoma in prognosis, immune infiltration, and gene mutation
  36. Decreased expression of miR-195 mediated by hypermethylation promotes osteosarcoma
  37. LMO3 promotes proliferation and metastasis of papillary thyroid carcinoma cells by regulating LIMK1-mediated cofilin and the β-catenin pathway
  38. Cx43 upregulation in HUVECs under stretch via TGF-β1 and cytoskeletal network
  39. Evaluation of menstrual irregularities after COVID-19 vaccination: Results of the MECOVAC survey
  40. Histopathologic findings on removed stomach after sleeve gastrectomy. Do they influence the outcome?
  41. Analysis of the expression and prognostic value of MT1-MMP, β1-integrin and YAP1 in glioma
  42. Optimal diagnosis of the skin cancer using a hybrid deep neural network and grasshopper optimization algorithm
  43. miR-223-3p alleviates TGF-β-induced epithelial-mesenchymal transition and extracellular matrix deposition by targeting SP3 in endometrial epithelial cells
  44. Clinical value of SIRT1 as a prognostic biomarker in esophageal squamous cell carcinoma, a systematic meta-analysis
  45. circ_0020123 promotes cell proliferation and migration in lung adenocarcinoma via PDZD8
  46. miR-22-5p regulates the self-renewal of spermatogonial stem cells by targeting EZH2
  47. hsa-miR-340-5p inhibits epithelial–mesenchymal transition in endometriosis by targeting MAP3K2 and inactivating MAPK/ERK signaling
  48. circ_0085296 inhibits the biological functions of trophoblast cells to promote the progression of preeclampsia via the miR-942-5p/THBS2 network
  49. TCD hemodynamics findings in the subacute phase of anterior circulation stroke patients treated with mechanical thrombectomy
  50. Development of a risk-stratification scoring system for predicting risk of breast cancer based on non-alcoholic fatty liver disease, non-alcoholic fatty pancreas disease, and uric acid
  51. Tollip promotes hepatocellular carcinoma progression via PI3K/AKT pathway
  52. circ_0062491 alleviates periodontitis via the miR-142-5p/IGF1 axis
  53. Human amniotic fluid as a source of stem cells
  54. lncRNA NONRATT013819.2 promotes transforming growth factor-β1-induced myofibroblastic transition of hepatic stellate cells by miR24-3p/lox
  55. NORAD modulates miR-30c-5p-LDHA to protect lung endothelial cells damage
  56. Idiopathic pulmonary fibrosis telemedicine management during COVID-19 outbreak
  57. Risk factors for adverse drug reactions associated with clopidogrel therapy
  58. Serum zinc associated with immunity and inflammatory markers in Covid-19
  59. The relationship between night shift work and breast cancer incidence: A systematic review and meta-analysis of observational studies
  60. LncRNA expression in idiopathic achalasia: New insight and preliminary exploration into pathogenesis
  61. Notoginsenoside R1 alleviates spinal cord injury through the miR-301a/KLF7 axis to activate Wnt/β-catenin pathway
  62. Moscatilin suppresses the inflammation from macrophages and T cells
  63. Zoledronate promotes ECM degradation and apoptosis via Wnt/β-catenin
  64. Epithelial-mesenchymal transition-related genes in coronary artery disease
  65. The effect evaluation of traditional vaginal surgery and transvaginal mesh surgery for severe pelvic organ prolapse: 5 years follow-up
  66. Repeated partial splenic artery embolization for hypersplenism improves platelet count
  67. Low expression of miR-27b in serum exosomes of non-small cell lung cancer facilitates its progression by affecting EGFR
  68. Exosomal hsa_circ_0000519 modulates the NSCLC cell growth and metastasis via miR-1258/RHOV axis
  69. miR-455-5p enhances 5-fluorouracil sensitivity in colorectal cancer cells by targeting PIK3R1 and DEPDC1
  70. The effect of tranexamic acid on the reduction of intraoperative and postoperative blood loss and thromboembolic risk in patients with hip fracture
  71. Isocitrate dehydrogenase 1 mutation in cholangiocarcinoma impairs tumor progression by sensitizing cells to ferroptosis
  72. Artemisinin protects against cerebral ischemia and reperfusion injury via inhibiting the NF-κB pathway
  73. A 16-gene signature associated with homologous recombination deficiency for prognosis prediction in patients with triple-negative breast cancer
  74. Lidocaine ameliorates chronic constriction injury-induced neuropathic pain through regulating M1/M2 microglia polarization
  75. MicroRNA 322-5p reduced neuronal inflammation via the TLR4/TRAF6/NF-κB axis in a rat epilepsy model
  76. miR-1273h-5p suppresses CXCL12 expression and inhibits gastric cancer cell invasion and metastasis
  77. Clinical characteristics of pneumonia patients of long course of illness infected with SARS-CoV-2
  78. circRNF20 aggravates the malignancy of retinoblastoma depending on the regulation of miR-132-3p/PAX6 axis
  79. Linezolid for resistant Gram-positive bacterial infections in children under 12 years: A meta-analysis
  80. Rack1 regulates pro-inflammatory cytokines by NF-κB in diabetic nephropathy
  81. Comprehensive analysis of molecular mechanism and a novel prognostic signature based on small nuclear RNA biomarkers in gastric cancer patients
  82. Smog and risk of maternal and fetal birth outcomes: A retrospective study in Baoding, China
  83. Let-7i-3p inhibits the cell cycle, proliferation, invasion, and migration of colorectal cancer cells via downregulating CCND1
  84. β2-Adrenergic receptor expression in subchondral bone of patients with varus knee osteoarthritis
  85. Possible impact of COVID-19 pandemic and lockdown on suicide behavior among patients in Southeast Serbia
  86. In vitro antimicrobial activity of ozonated oil in liposome eyedrop against multidrug-resistant bacteria
  87. Potential biomarkers for inflammatory response in acute lung injury
  88. A low serum uric acid concentration predicts a poor prognosis in adult patients with candidemia
  89. Antitumor activity of recombinant oncolytic vaccinia virus with human IL2
  90. ALKBH5 inhibits TNF-α-induced apoptosis of HUVECs through Bcl-2 pathway
  91. Risk prediction of cardiovascular disease using machine learning classifiers
  92. Value of ultrasonography parameters in diagnosing polycystic ovary syndrome
  93. Bioinformatics analysis reveals three key genes and four survival genes associated with youth-onset NSCLC
  94. Identification of autophagy-related biomarkers in patients with pulmonary arterial hypertension based on bioinformatics analysis
  95. Protective effects of glaucocalyxin A on the airway of asthmatic mice
  96. Overexpression of miR-100-5p inhibits papillary thyroid cancer progression via targeting FZD8
  97. Bioinformatics-based analysis of SUMOylation-related genes in hepatocellular carcinoma reveals a role of upregulated SAE1 in promoting cell proliferation
  98. Effectiveness and clinical benefits of new anti-diabetic drugs: A real life experience
  99. Identification of osteoporosis based on gene biomarkers using support vector machine
  100. Tanshinone IIA reverses oxaliplatin resistance in colorectal cancer through microRNA-30b-5p/AVEN axis
  101. miR-212-5p inhibits nasopharyngeal carcinoma progression by targeting METTL3
  102. Association of ST-T changes with all-cause mortality among patients with peripheral T-cell lymphomas
  103. LINC00665/miRNAs axis-mediated collagen type XI alpha 1 correlates with immune infiltration and malignant phenotypes in lung adenocarcinoma
  104. The perinatal factors that influence the excretion of fecal calprotectin in premature-born children
  105. Effect of femoral head necrosis cystic area on femoral head collapse and stress distribution in femoral head: A clinical and finite element study
  106. Does the use of 3D-printed cones give a chance to postpone the use of megaprostheses in patients with large bone defects in the knee joint?
  107. lncRNA HAGLR modulates myocardial ischemia–reperfusion injury in mice through regulating miR-133a-3p/MAPK1 axis
  108. Protective effect of ghrelin on intestinal I/R injury in rats
  109. In vivo knee kinematics of an innovative prosthesis design
  110. Relationship between the height of fibular head and the incidence and severity of knee osteoarthritis
  111. lncRNA WT1-AS attenuates hypoxia/ischemia-induced neuronal injury during cerebral ischemic stroke via miR-186-5p/XIAP axis
  112. Correlation of cardiac troponin T and APACHE III score with all-cause in-hospital mortality in critically ill patients with acute pulmonary embolism
  113. LncRNA LINC01857 reduces metastasis and angiogenesis in breast cancer cells via regulating miR-2052/CENPQ axis
  114. Endothelial cell-specific molecule 1 (ESM1) promoted by transcription factor SPI1 acts as an oncogene to modulate the malignant phenotype of endometrial cancer
  115. SELENBP1 inhibits progression of colorectal cancer by suppressing epithelial–mesenchymal transition
  116. Visfatin is negatively associated with coronary artery lesions in subjects with impaired fasting glucose
  117. Treatment and outcomes of mechanical complications of acute myocardial infarction during the Covid-19 era: A comparison with the pre-Covid-19 period. A systematic review and meta-analysis
  118. Neonatal stroke surveillance study protocol in the United Kingdom and Republic of Ireland
  119. Oncogenic role of TWF2 in human tumors: A pan-cancer analysis
  120. Mean corpuscular hemoglobin predicts the length of hospital stay independent of severity classification in patients with acute pancreatitis
  121. Association of gallstone and polymorphisms of UGT1A1*27 and UGT1A1*28 in patients with hepatitis B virus-related liver failure
  122. TGF-β1 upregulates Sar1a expression and induces procollagen-I secretion in hypertrophic scarring fibroblasts
  123. Antisense lncRNA PCNA-AS1 promotes esophageal squamous cell carcinoma progression through the miR-2467-3p/PCNA axis
  124. NK-cell dysfunction of acute myeloid leukemia in relation to the renin–angiotensin system and neurotransmitter genes
  125. The effect of dilution with glucose and prolonged injection time on dexamethasone-induced perineal irritation – A randomized controlled trial
  126. miR-146-5p restrains calcification of vascular smooth muscle cells by suppressing TRAF6
  127. Role of lncRNA MIAT/miR-361-3p/CCAR2 in prostate cancer cells
  128. lncRNA NORAD promotes lung cancer progression by competitively binding to miR-28-3p with E2F2
  129. Noninvasive diagnosis of AIH/PBC overlap syndrome based on prediction models
  130. lncRNA FAM230B is highly expressed in colorectal cancer and suppresses the maturation of miR-1182 to increase cell proliferation
  131. circ-LIMK1 regulates cisplatin resistance in lung adenocarcinoma by targeting miR-512-5p/HMGA1 axis
  132. LncRNA SNHG3 promoted cell proliferation, migration, and metastasis of esophageal squamous cell carcinoma via regulating miR-151a-3p/PFN2 axis
  133. Risk perception and affective state on work exhaustion in obstetrics during the COVID-19 pandemic
  134. lncRNA-AC130710/miR-129-5p/mGluR1 axis promote migration and invasion by activating PKCα-MAPK signal pathway in melanoma
  135. SNRPB promotes cell cycle progression in thyroid carcinoma via inhibiting p53
  136. Xylooligosaccharides and aerobic training regulate metabolism and behavior in rats with streptozotocin-induced type 1 diabetes
  137. Serpin family A member 1 is an oncogene in glioma and its translation is enhanced by NAD(P)H quinone dehydrogenase 1 through RNA-binding activity
  138. Silencing of CPSF7 inhibits the proliferation, migration, and invasion of lung adenocarcinoma cells by blocking the AKT/mTOR signaling pathway
  139. Ultrasound-guided lumbar plexus block versus transversus abdominis plane block for analgesia in children with hip dislocation: A double-blind, randomized trial
  140. Relationship of plasma MBP and 8-oxo-dG with brain damage in preterm
  141. Identification of a novel necroptosis-associated miRNA signature for predicting the prognosis in head and neck squamous cell carcinoma
  142. Delayed femoral vein ligation reduces operative time and blood loss during hip disarticulation in patients with extremity tumors
  143. The expression of ASAP3 and NOTCH3 and the clinicopathological characteristics of adult glioma patients
  144. Longitudinal analysis of factors related to Helicobacter pylori infection in Chinese adults
  145. HOXA10 enhances cell proliferation and suppresses apoptosis in esophageal cancer via activating p38/ERK signaling pathway
  146. Meta-analysis of early-life antibiotic use and allergic rhinitis
  147. Marital status and its correlation with age, race, and gender in prognosis of tonsil squamous cell carcinomas
  148. HPV16 E6E7 up-regulates KIF2A expression by activating JNK/c-Jun signal, is beneficial to migration and invasion of cervical cancer cells
  149. Amino acid profiles in the tissue and serum of patients with liver cancer
  150. Pain in critically ill COVID-19 patients: An Italian retrospective study
  151. Immunohistochemical distribution of Bcl-2 and p53 apoptotic markers in acetamiprid-induced nephrotoxicity
  152. Estradiol pretreatment in GnRH antagonist protocol for IVF/ICSI treatment
  153. Long non-coding RNAs LINC00689 inhibits the apoptosis of human nucleus pulposus cells via miR-3127-5p/ATG7 axis-mediated autophagy
  154. The relationship between oxygen therapy, drug therapy, and COVID-19 mortality
  155. Monitoring hypertensive disorders in pregnancy to prevent preeclampsia in pregnant women of advanced maternal age: Trial mimicking with retrospective data
  156. SETD1A promotes the proliferation and glycolysis of nasopharyngeal carcinoma cells by activating the PI3K/Akt pathway
  157. The role of Shunaoxin pills in the treatment of chronic cerebral hypoperfusion and its main pharmacodynamic components
  158. TET3 governs malignant behaviors and unfavorable prognosis of esophageal squamous cell carcinoma by activating the PI3K/AKT/GSK3β/β-catenin pathway
  159. Associations between morphokinetic parameters of temporary-arrest embryos and the clinical prognosis in FET cycles
  160. Long noncoding RNA WT1-AS regulates trophoblast proliferation, migration, and invasion via the microRNA-186-5p/CADM2 axis
  161. The incidence of bronchiectasis in chronic obstructive pulmonary disease
  162. Integrated bioinformatics analysis shows integrin alpha 3 is a prognostic biomarker for pancreatic cancer
  163. Inhibition of miR-21 improves pulmonary vascular responses in bronchopulmonary dysplasia by targeting the DDAH1/ADMA/NO pathway
  164. Comparison of hospitalized patients with severe pneumonia caused by COVID-19 and influenza A (H7N9 and H1N1): A retrospective study from a designated hospital
  165. lncRNA ZFAS1 promotes intervertebral disc degeneration by upregulating AAK1
  166. Pathological characteristics of liver injury induced by N,N-dimethylformamide: From humans to animal models
  167. lncRNA ELFN1-AS1 enhances the progression of colon cancer by targeting miR-4270 to upregulate AURKB
  168. DARS-AS1 modulates cell proliferation and migration of gastric cancer cells by regulating miR-330-3p/NAT10 axis
  169. Dezocine inhibits cell proliferation, migration, and invasion by targeting CRABP2 in ovarian cancer
  170. MGST1 alleviates the oxidative stress of trophoblast cells induced by hypoxia/reoxygenation and promotes cell proliferation, migration, and invasion by activating the PI3K/AKT/mTOR pathway
  171. Bifidobacterium lactis Probio-M8 ameliorated the symptoms of type 2 diabetes mellitus mice by changing ileum FXR-CYP7A1
  172. circRNA DENND1B inhibits tumorigenicity of clear cell renal cell carcinoma via miR-122-5p/TIMP2 axis
  173. EphA3 targeted by miR-3666 contributes to melanoma malignancy via activating ERK1/2 and p38 MAPK pathways
  174. Pacemakers and methylprednisolone pulse therapy in immune-related myocarditis concomitant with complete heart block
  175. miRNA-130a-3p targets sphingosine-1-phosphate receptor 1 to activate the microglial and astrocytes and to promote neural injury under the high glucose condition
  176. Review Articles
  177. Current management of cancer pain in Italy: Expert opinion paper
  178. Hearing loss and brain disorders: A review of multiple pathologies
  179. The rationale for using low-molecular weight heparin in the therapy of symptomatic COVID-19 patients
  180. Amyotrophic lateral sclerosis and delayed onset muscle soreness in light of the impaired blink and stretch reflexes – watch out for Piezo2
  181. Interleukin-35 in autoimmune dermatoses: Current concepts
  182. Recent discoveries in microbiota dysbiosis, cholangiocytic factors, and models for studying the pathogenesis of primary sclerosing cholangitis
  183. Advantages of ketamine in pediatric anesthesia
  184. Congenital adrenal hyperplasia. Role of dentist in early diagnosis
  185. Migraine management: Non-pharmacological points for patients and health care professionals
  186. Atherogenic index of plasma and coronary artery disease: A systematic review
  187. Physiological and modulatory role of thioredoxins in the cellular function
  188. Case Reports
  189. Intrauterine Bakri balloon tamponade plus cervical cerclage for the prevention and treatment of postpartum haemorrhage in late pregnancy complicated with acute aortic dissection: Case series
  190. A case of successful pembrolizumab monotherapy in a patient with advanced lung adenocarcinoma: Use of multiple biomarkers in combination for clinical practice
  191. Unusual neurological manifestations of bilateral medial medullary infarction: A case report
  192. Atypical symptoms of malignant hyperthermia: A rare causative mutation in the RYR1 gene
  193. A case report of dermatomyositis with the missed diagnosis of non-small cell lung cancer and concurrence of pulmonary tuberculosis
  194. A rare case of endometrial polyp complicated with uterine inversion: A case report and clinical management
  195. Spontaneous rupturing of splenic artery aneurysm: Another reason for fatal syncope and shock (Case report and literature review)
  196. Fungal infection mimicking COVID-19 infection – A case report
  197. Concurrent aspergillosis and cystic pulmonary metastases in a patient with tongue squamous cell carcinoma
  198. Paraganglioma-induced inverted takotsubo-like cardiomyopathy leading to cardiogenic shock successfully treated with extracorporeal membrane oxygenation
  199. Lineage switch from lymphoma to myeloid neoplasms: First case series from a single institution
  200. Trismus during tracheal extubation as a complication of general anaesthesia – A case report
  201. Simultaneous treatment of a pubovesical fistula and lymph node metastasis secondary to multimodal treatment for prostate cancer: Case report and review of the literature
  202. Two case reports of skin vasculitis following the COVID-19 immunization
  203. Ureteroiliac fistula after oncological surgery: Case report and review of the literature
  204. Synchronous triple primary malignant tumours in the bladder, prostate, and lung harbouring TP53 and MEK1 mutations accompanied with severe cardiovascular diseases: A case report
  205. Huge mucinous cystic neoplasms with adhesion to the left colon: A case report and literature review
  206. Commentary
  207. Commentary on “Clinicopathological features of programmed cell death-ligand 1 expression in patients with oral squamous cell carcinoma”
  208. Rapid Communication
  209. COVID-19 fear, post-traumatic stress, growth, and the role of resilience
  210. Erratum
  211. Erratum to “Tollip promotes hepatocellular carcinoma progression via PI3K/AKT pathway”
  212. Erratum to “Effect of femoral head necrosis cystic area on femoral head collapse and stress distribution in femoral head: A clinical and finite element study”
  213. Erratum to “lncRNA NORAD promotes lung cancer progression by competitively binding to miR-28-3p with E2F2”
  214. Retraction
  215. Expression and role of ABIN1 in sepsis: In vitro and in vivo studies
  216. Retraction to “miR-519d downregulates LEP expression to inhibit preeclampsia development”
  217. Special Issue Computational Intelligence Methodologies Meets Recurrent Cancers - Part II
  218. Usefulness of close surveillance for rectal cancer patients after neoadjuvant chemoradiotherapy
Downloaded on 31.10.2025 from https://www.degruyterbrill.com/document/doi/10.1515/med-2022-0505/html?lang=en&srsltid=AfmBOorphAP5_WuSCeUd8QmRxU4EkveHt-Wk3QrAUDxLYQLtQCvrZoKP
Scroll to top button