Abstract
Bilateral medial medullary infarction (BMMI) is an extremely rare type of cerebrovascular accident often resulting in poor functional consequences. “Heart appearance” on diffusion-weighted imaging (DWI) of magnetic resonance imaging (MRI) is the unique presentation of BMMI. In this article, we present an acute ischemic stroke patient whose brain MRI showed the atypical “heart appearance” sign, manifested unusual bilateral central facial paralysis concurrently. For an early diagnosis of BMMI, it is essential to recognize the characteristic clinical and MRI findings of this rare type of stroke. Abnormal small dot or linear DWI signal at the midline of the brainstem should not be ignored at the early stage of stroke.
1 Introduction
Medial medullary infarction (MMI) accounts for only less than 1–1.5% of ischemic strokes in the posterior circulation [1,2], in which bilateral infarctions are even rare. BMMI usually presents with acute onset of dysarthria, dysphagia and quadriplegia commonly sparing the face [3]. The progression in MRI technology plays an essential role in the differentiation with brainstem encephalitis and Guillain-Barre’s syndrome [4]. Although the characteristic “heart appearance” or “Y-shaped” sign is well recognized by neurologists, abnormal atypical signs on MRI must be noted as well. The aim of this article was to describe a rare case, where the patient had BMMI with bilateral central facial paralysis.
2 Case presentation
A 53 year old Chinese male machine operator presented with acute quadriplegia and numbness in his upper and lower extremities symmetrically on April 24, 2016. He also complained of noticeable slurred speech and difficulties in swallowing liquids. Droopy eyelids, double vision and vertigo were all denied. Past medical history included untreated hypertension for 10 years. He had a moderate alcohol consumption for 30 years; however, he was a heavy smoker (75 pack year). The suspected diagnosis was an acute ischemic stroke. Unfortunately, the initial manifestations appeared 14 h before he was admitted to the hospital so that he had missed the window period for intravenous recombinant tissue plasminogen activator (rt-PA). Thereafter, he was treated with tablet clopidogrel 75 mg, atorvastatin 20 mg daily and intravenous argatroban 10 mg twice a day.
On admission, the blood pressure was 178/90 mmHg, pulse was 68/min, and body temperature was 37.0°C. He was lucid but had dysarthria. Cranial nerve examination revealed normal pupils and eye movement. The pinprick and temperature sensations in the distribution of all three branches of the trigeminal nerve bilaterally were normal. There was central facial palsy on both sides; nevertheless, without loss of taste sensation in the anterior two-thirds of the tongue. The arch of the soft palate was paralyzed on both sides, while the absence of gag reflex and hoarseness were noted. The examinations of other cranial nerves were normal. Muscle strength revealed 0/5 on the Medical Research Council (MRC) scale in the four extremities. On this basis, tests of cerebellar function, coordination and balance were unable to perform. The perception of pinprick, proprioception and vibration sensations were all normal symmetrically. Deep tendon reflexes were 1+ in upper limbs and 2+ in lower limbs bilaterally, with Babinski’s sign, Chaddock’s sign and Oppenheim’s sign being positive on both sides. His National Institutes of Health Stroke Scale (NIHSS) score was 16/42.
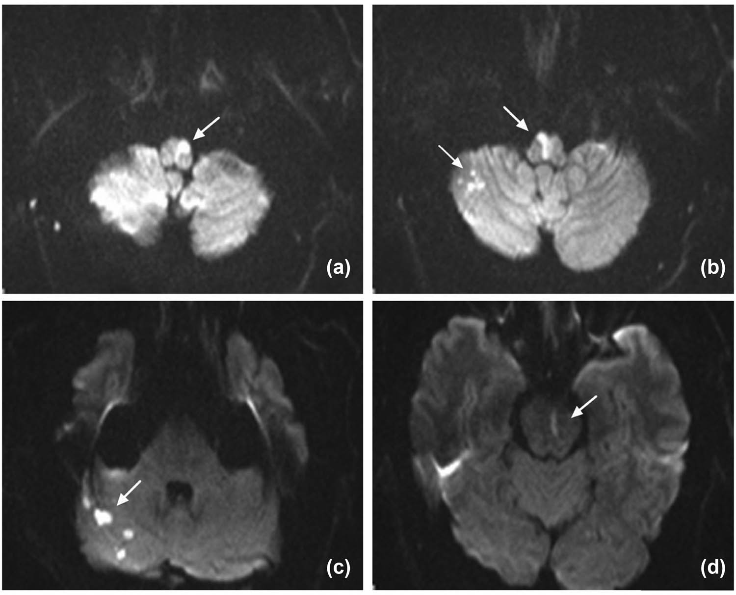
The initial brain MRI was performed 10 h after the onset of the symptoms. The consecutive horizontal sections were noted on diffusion-weighted MRI at 3.0T, a defined hyperintensive linear signal at right anterior-medial territory with a dot-like signal on the other side, which disclosed an atypical “heart-shaped” hyperintensity in the medial medulla (Figure 1a and b). In addition to the medulla oblongata, the infarcted areas also included pons and the right cerebellar hemisphere. Axial T2-weighted MRI image showed hyperintensive signal, while apparent diffusion coefficient (ADC) image (axial) showed hypointensity in the same region. Meanwhile, the signals remained normal on fluid-attenuated inversion recovery (FLAIR).

(Axial DWI imaging): (a and b; arrow) bilateral medial medullary infarction involves the ventral, middle parts of the medulla oblongata, which were compatible with atypical “heart appearance.” (b and c) The right cerebellar hemisphere and (d) pons also showed high-intensity lesions.
Brain magnetic resonance angiography (MRA) showed atherosclerosis of the bilateral internal carotid artery (ICA) throughout the entire length. The outlines of the vertebral-basilar system (VBS) were irregular and vague, with its lumen diameter <2 mm. Both the posterior cerebral arteries (PCA) were originated from a posterior communicating artery (PCoA) separately, which were considered as a fetal-type posterior cerebral artery (FTP) variation (Figure 2a and b). Meanwhile, the anterior spinal artery (ASA) was not visualized. There is no apparent dissection of the vertebral arteries (VA). The option of digital subtraction angiography (DSA) and endovascular approach was offered to his relatives, but his wife refused both.

(TOF-MRA imaging): the lateral projection of an MRA image shows the hypoplastic BAS. (a and b) The posterior communicating arteries supply the territory of all branches of the PCAs, which were considered as fetal-type. (b) Caudocranial projection image shows that both PCAs were divided from ICA separately.
Complete blood counts showed no abnormality. Biochemistry showed elevated levels of fasting blood glucose (FBG, 9.73 mmol/L) and HbA1c (8.5%). Postprandial blood glucose at 2 h fluctuated between 8.17 and 11.32 mmol/L, so he was diagnosed with type 2 diabetes finally and received insulin therapy. Blood lipid analysis showed elevated levels of serum low-density lipoprotein (LDL, 4.84 mmol/L), triglyceride (TG, 1.76 mmol/L) and total cholesterol (TC, 6.81 mmol/L). The plasma tHcy concentration (14.1 μmol/L) was slightly increased. Qualitative urinalysis showed proteinuria (1+) and glucosuria (3+). In addition to normal blood urea nitrogen (BNU, 7.36 mmol/L) and serum creatinine (SCr, 80 μmol/L), the following investigations were normal or negative: liver function tests, creatine kinase (CK), CK-MB isoenzyme, troponin I, B-type natriuretic peptide (BNP), thyroid function tests, vitamin B12 and folate levels. Hepatitis B-surface antibodies (Anti-HBs) and hepatitis B-core antibody (Anti-HBc) were positive, but serology testing including hepatitis B-surface antigen (HBsAg), hepatitis C, HIV and syphilis were all negative. Transthoracic echocardiogram, 24 h-Holter monitoring and routine electrocardiogram were normal.
Based on these clinic-radiological findings, the patient was diagnosed with bilateral medial medullary infarction (BMMI). Although the early medicinal treatment and rehabilitation were performed, signs of bulbar palsy and tetraplegia still remained. The patient had a modified Rankin Scale (mRS) score of 5/6. He was transferred to another hospital for long-term care after 2 weeks.
-
Ethics statement: This is a description of a clinical case with a brief literature review. There was no formal research ethics approval required or no experimental intervention into routine care. Fully informed consent from the patient’s family was obtained.
3 Discussion
3.1 BMMI
BMMI is a rare subtype of all ischemic strokes, which usually presents with hypoglossal palsy, quadriplegia, loss of deep sensation and bulbar dysfunction with or without respiratory failure. Pathognomonic MRI findings of BMMI reveal a bilateral infarction at levels of the medial medulla, which is well known as the “heart appearance” [2,5,6,7]. As for our patient, it was the linear and dot-like DWI lesions of both sides of the medulla on two consecutive transverse sections altogether that formed the imagiological presentation, which was not as typical as the published literature.
The blood supply of the anterior-medial territory of the medulla oblongata consists of two major parts: the superior one-third is known as the paramedian branches of VA, and the inferior two-thirds revealed the ASA. On account of the interindividual variation of these vastly complex networks and the spatial resolution limitation of MRA, it is commonly difficult to identify the occluded culprit vessel. There is consensus that BMMI commonly results from atherothrombotic involving the vertebral or ASA. In other words, the predominant presumed mechanisms were categorized into large artery atherosclerotic infarction according to the guidelines [8]. Extended thrombosis in the vertebra-basilar junction and the anatomic variability of paramedian perforating from vertebral or ASA; alternatively, one paramedian artery supplies both pyramids, maybe the immediate mechanism of the simultaneous bilateral infraction. This might explain BMMI caused by unilateral VA lesions reported in the literature [9,10,11]. In the largest series of 86 patients with MRI-identified unilateral MMI, Kim and Han [12] reported that large-artery atherosclerosis (62%) is the commonest cause. Pongmoragot et al. [13] also revealed large-artery atherosclerosis involving the VA (38.5%) and basilar artery (BA, 19.2%) accounted for the majority of the vascular pathology in a series of 38 patients with restricted inclusion criteria of BMMI.
It is undeniable that small penetrating artery disease represents another stroke mechanism of atheromatous branch occlusion as well, which could not be commonly demonstrated by MRA or DSA [14]. Pongmoragot et al. also found that more than one-third (38.5%) of the BMMI patients had no abnormal vascular findings. Furthermore, cardiac embolism, dissection of VA [15], even Takayasu arteritis [16] and Fabry disease [17] could be the mechanism of BMMI. To mention our case, the brain MRA showed large-artery atherosclerosis throughout the entire VBS, combined with barely visualized VA and ASA. Therefore, the fetal-type variant of PCA that was supplied by the anterior circulation from the ICA, rather than from the posterior circulation, played an essential compensatory role. Unfortunately, contrast-enhanced supraaortic MRA or DSA is not available for our patient. The precise etiology underlying the stroke remains to be elucidated since current imaging findings are hard to differentiate between the vascular lesion and hypoplasia/aplasia of VA and BA.
3.2 Bilateral facial paralysis of the central type
Central facial paralysis is extremely rare in medullary lesions and it is rarer still to bilateral paralysis in view of anatomic reasons. Literarily, MMI has been classically described as Déjerine syndrome, a triad of contralateral hemiparesis, proprioceptive impairment and ipsilateral hypoglossal palsy. However, on reviewing the literature, we found that central facial paralysis, not seen in the classic description, is found in a certain proportion(18–30%) of patients with MMI [12,18]. Bilateral central facial palsy, which has been reported as well [19,20], accounts for less than 16.2% of patients with BMMI [13].
It is well known that the anatomy of the human facial nucleus and peripheral facial nerves have been established. However, the confirmative course of the corticobulbar fibers that connect the motor cortex with the facial nucleus still remains uncertain. The facial corticobulbar tract fibers that arise from the motor cortex provide strongly unilateral innervation to the contralateral lower facial nucleus and bilateral innervation to the upper facial nucleus. Classic symptom localization has postulated that brainstem lesions rostral to the upper mid-pons result in contralateral facial paresis of central type. However, the absence of contralateral upper motor neuron facial palsy due to unifocal ischemic lesions at the medial medulla has been confirmed in the literature [21,22,23]. Transcranial magnetic stimulation combined with lesion topography analysis by MRI was used by Urban [23] to confirm these loop-shaped cortico-facial projections, which reveals facial paresis can occur ipsilateral to the lesion side at levels of upper medulla either. Based on the above-mentioned findings, it has been hypothesized that some of the facial corticobulbar fibers descend to the level of the upper-middle medulla ventromedially, making a loop before they decussate and then ascend to the dorsolateral medulla to supply the contralateral facial nucleus. On the other hand, lateral medullary infarction relatively often results in facial weakness on the side of the lesion [21,22,23]. It has also been postulated that facial weakness on the side of the lesion results from corticobulbar fibers being interrupted while they ascend contralaterally after decussating. Although this aberrant bundle was already described by Currier et al. [24] in the 1960s, conclusive pathological evidence has not been found yet. Interestingly, bilateral central facial paralysis occurs in our patient and suggests that this aberrant bundle, within both sides of the brainstem, does exist.
4 Conclusion
BMMI is an unusual stroke type, which is usually related to large arteries or branch disease of posterior circulation and is commonly associated with severe morbidity and mortality. As a result of anatomic variations of corticobulbar fibers in the brainstem, the central type of facial paralysis led by medullary infarction should not be ignored. For an early diagnosis, it is essential to bear in mind the characteristic findings obtained by diffusion-weighted MRI.
Acknowledgements
The authors thank the participant, whose help and participation made this work possible. The authors also thank all doctors, faculties and research associates from the Department of Neurology, Third Central Hospital of Tianjin, for their expert technical assistance.
-
Funding information: This work was supported by the Tianjin Science and Technology Commission for the Tianjin Science and technology major special projects, major scientific and technological projects of major disease prevention and control (19ZXDBSY00100); and the National Natural Science Foundation incubation project of Tianjin Third Central Hospital and Tianjin Key Laboratory of in vitro life support for severe diseases (2019YNR5).
-
Author contributions: Ruizhi Zheng, Xianzhu Zeng, Ting Zhang, Zhao Jin and Jing Zhang were involved in the workup of the patient, conducted the patients’ investigations and provided clinical care. Ruizhi Zheng drafted the initial manuscript, reviewed and revised the manuscript, and approved the final manuscript as submitted. Jing Zhang took part in the acquisition and interpretation of data, and helped review and revise the manuscript. Jing Zhang planned the case report, gave final approval of the version to be published, and agree to be accountable for all aspects of the work.
-
Conflict of interest: The authors declare that they have no competing interests.
-
Data availability statement: The datasets used and/or analyzed during the current study are available from the corresponding author on reasonable request.
References
[1] Bassetti C , Bogousslavsky J , Mattle H , Bernasconi A . Medial medullary stroke: report of seven patients and review of the literature. Neurology. 1997;48(4):882–90.10.1212/WNL.48.4.882Search in Google Scholar
[2] Shono Y , Koga M , Toyoda K , Matsuoka H , Yokota C , Uehara T , et al. Medial medullary infarction identified by diffusion-weighted magnetic resonance imaging. Cerebrovasc Dis. 2010;30(5):519–24.10.1159/000319887Search in Google Scholar PubMed
[3] Kleinert G , Fazekas F , Kleinert R , Schmidt R , Payer F , Offenbacher H , et al. Bilateral medial medullary infarction: magnetic resonance imaging and correlative histopathologic findings. Eur Neurol. 1993;33(1):74–6.10.1159/000116906Search in Google Scholar PubMed
[4] Montalvo M , Ali R , Khan M . Bilateral medial medullary infarction presenting as Guillain Barré Syndrome: a diagnostic challenge. J Neurolog Sci. 2015;352(1–2):135–6.10.1016/j.jns.2015.03.048Search in Google Scholar PubMed
[5] Maeda M , Shimono T , Tsukahara H , Maier SE , Takeda K . Acute bilateral medial medullary infarction: a unique ‘heart appearance’ sign by diffusion-weighted imaging. Eur Neurol. 2004;51(4):236–7.10.1159/000078549Search in Google Scholar PubMed
[6] Tokuoka K , Yuasa N , Ishikawa T , Takahashi M , Mandokoro H , Kitagawa Y , et al. A case of bilateral medial medullary infarction presenting with “heart appearance” sign. Tokai J Exp Clin Med. 2007;32(3):99–102.Search in Google Scholar
[7] Gupta A , Goyal MK , Vishnu VY , Ahuja CK , Khurana D , Lal V . Bilateral medial medullary infarction: the ‘heart’ reveals the diagnosis. Int J Stroke. 2014;9(4):E18.10.1111/ijs.12273Search in Google Scholar PubMed
[8] Amarenco P , Bogousslavsky J , Caplan LR , Donnan GA , Hennerici MG . New approach to stroke subtyping: the A–S–C–O (phenotypic) classification of stroke. Cerebrovasc Dis. 2009;27(5):502–8.10.1159/000210433Search in Google Scholar PubMed
[9] Zhang L , Zhang GL , Du JM , Ma ZL . Bilateral medial medullary infarction with nondominant vertebral artery occlusion. J Stroke Cerebrovasc Dis. 2015;24(9):e241–4.10.1016/j.jstrokecerebrovasdis.2015.04.005Search in Google Scholar PubMed
[10] Paliwal VK , Kalita J , Misra UK . Dysphagia in a patient with bilateral medial medullary infarcts. Dysphagia. 2009;24(3):349–53.10.1007/s00455-008-9194-8Search in Google Scholar PubMed
[11] Tai ML , Katiman E , Rahmat K , Tan CT . Acute bilateral medial medullary infarct with hypoplastic vertebral artery. Clin Neurol Neurosurg. 2012;114(10):1365–7.10.1016/j.clineuro.2012.03.031Search in Google Scholar PubMed
[12] Kim JS , Han YS . Medial medullary infarction: clinical, imaging, and outcome study in 86 consecutive patients. Stroke. 2009;40(10):3221–5.10.1161/STROKEAHA.109.559864Search in Google Scholar
[13] Pongmoragot J , Parthasarathy S , Selchen D , Saposnik G . Bilateral medial medullary infarction: a systematic review. J Stroke Cerebrovasc Dis. 2013;22(6):775–80.10.1016/j.jstrokecerebrovasdis.2012.03.010Search in Google Scholar
[14] Zhou ZH , Wu YF , Wu WF , Liu AQ , Yu QY , Peng ZX , et al. Giant “heart appearance-like sign” on MRI in bilateral ponto-medullary junction infraction: case report. BMC Neurol. 2020;20(1):107.10.1186/s12883-020-01683-7Search in Google Scholar
[15] Hagiwara N , Toyoda K , Torisu R , Inoue T , Yasumori K , Ibayashi S , et al. Progressive stroke involving bilateral medial medulla expanding to spinal cord due to vertebral artery dissection. Cerebrovasc Dis. 2007;24(6):540–2.10.1159/000111220Search in Google Scholar
[16] Deshpande A , Chandran V , Pai A , Rao S , Shetty R . Bilateral medial medullary syndrome secondary to Takayasu arteritis. BMJ Case Rep. 2013;2013:bcr0120125600.10.1136/bcr-01-2012-5600Search in Google Scholar
[17] Jiang S , Wang L , Yan Y , Zhu Q , Wan J , Sun J , et al. Fabry disease presenting as bilateral medial medullary infarction with a “heart appearance” sign: a case report. BMC Neurol. 2020;20(1):180.10.1186/s12883-020-01766-5Search in Google Scholar
[18] Kameda W , Kawanami T , Kurita K , Daimon M , Kayama T , Hosoya T , et al. Lateral and medial medullary infarction: a comparative analysis of 214 patients. Stroke. 2004;35(3):694–9.10.1161/01.STR.0000117570.41153.35Search in Google Scholar
[19] Toyoda K , Imamura T , Saku Y , Oita J , Ibayashi S , Minematsu K , et al. Medial medullary infarction: analyses of eleven patients. Neurology. 1996;47(5):1141–7.10.1212/WNL.47.5.1141Search in Google Scholar
[20] Wada K , Gotoh T , Hashimoto Y , Kimura K , Uchino M . A case of bilateral infarction of medial pontomedullary junction. Rinsho Shinkeigaku = Clin Neurol. 1996;36(10):1186–9.Search in Google Scholar
[21] Cavazos JE , Bulsara K , Caress J , Osumi A , Glass JP . Pure motor hemiplegia including the face induced by an infarct of the medullary pyramid. Clin Neurol Neurosurg. 1996;98(1):21–3.10.1016/0303-8467(95)00082-8Search in Google Scholar
[22] Terao S , Takatsu S , Izumi M , Takagi J , Mitsuma T , Takahashi A , et al. Central facial weakness due to medial medullary infarction: the course of facial corticobulbar fibres. J Neurol, Neurosurg, Psychiatry. 1997;63(3):391–3.10.1136/jnnp.63.3.391Search in Google Scholar PubMed PubMed Central
[23] Urban PP , Wicht S , Vucorevic G , Fitzek S , Marx J , Thömke F , et al. The course of corticofacial projections in the human brainstem. Brain. 2001;124(Pt 9):1866–76.10.1093/brain/124.9.1866Search in Google Scholar PubMed
[24] Currier RD , Giles CL , Dejong RN . Some comments on Wallenberg’s lateral medullary syndrome. Neurology. 1961;11:778–91.10.1212/WNL.11.9.778Search in Google Scholar
© 2022 Ruizhi Zheng et al., published by De Gruyter
This work is licensed under the Creative Commons Attribution 4.0 International License.
Articles in the same Issue
- Research Articles
- AMBRA1 attenuates the proliferation of uveal melanoma cells
- A ceRNA network mediated by LINC00475 in papillary thyroid carcinoma
- Differences in complications between hepatitis B-related cirrhosis and alcohol-related cirrhosis
- Effect of gestational diabetes mellitus on lipid profile: A systematic review and meta-analysis
- Long noncoding RNA NR2F1-AS1 stimulates the tumorigenic behavior of non-small cell lung cancer cells by sponging miR-363-3p to increase SOX4
- Promising novel biomarkers and candidate small-molecule drugs for lung adenocarcinoma: Evidence from bioinformatics analysis of high-throughput data
- Plasmapheresis: Is it a potential alternative treatment for chronic urticaria?
- The biomarkers of key miRNAs and gene targets associated with extranodal NK/T-cell lymphoma
- Gene signature to predict prognostic survival of hepatocellular carcinoma
- Effects of miRNA-199a-5p on cell proliferation and apoptosis of uterine leiomyoma by targeting MED12
- Does diabetes affect paraneoplastic thrombocytosis in colorectal cancer?
- Is there any effect on imprinted genes H19, PEG3, and SNRPN during AOA?
- Leptin and PCSK9 concentrations are associated with vascular endothelial cytokines in patients with stable coronary heart disease
- Pericentric inversion of chromosome 6 and male fertility problems
- Staple line reinforcement with nebulized cyanoacrylate glue in laparoscopic sleeve gastrectomy: A propensity score-matched study
- Retrospective analysis of crescent score in clinical prognosis of IgA nephropathy
- Expression of DNM3 is associated with good outcome in colorectal cancer
- Activation of SphK2 contributes to adipocyte-induced EOC cell proliferation
- CRRT influences PICCO measurements in febrile critically ill patients
- SLCO4A1-AS1 mediates pancreatic cancer development via miR-4673/KIF21B axis
- lncRNA ACTA2-AS1 inhibits malignant phenotypes of gastric cancer cells
- circ_AKT3 knockdown suppresses cisplatin resistance in gastric cancer
- Prognostic value of nicotinamide N-methyltransferase in human cancers: Evidence from a meta-analysis and database validation
- GPC2 deficiency inhibits cell growth and metastasis in colon adenocarcinoma
- A pan-cancer analysis of the oncogenic role of Holliday junction recognition protein in human tumors
- Radiation increases COL1A1, COL3A1, and COL1A2 expression in breast cancer
- Association between preventable risk factors and metabolic syndrome
- miR-29c-5p knockdown reduces inflammation and blood–brain barrier disruption by upregulating LRP6
- Cardiac contractility modulation ameliorates myocardial metabolic remodeling in a rabbit model of chronic heart failure through activation of AMPK and PPAR-α pathway
- Quercitrin protects human bronchial epithelial cells from oxidative damage
- Smurf2 suppresses the metastasis of hepatocellular carcinoma via ubiquitin degradation of Smad2
- circRNA_0001679/miR-338-3p/DUSP16 axis aggravates acute lung injury
- Sonoclot’s usefulness in prediction of cardiopulmonary arrest prognosis: A proof of concept study
- Four drug metabolism-related subgroups of pancreatic adenocarcinoma in prognosis, immune infiltration, and gene mutation
- Decreased expression of miR-195 mediated by hypermethylation promotes osteosarcoma
- LMO3 promotes proliferation and metastasis of papillary thyroid carcinoma cells by regulating LIMK1-mediated cofilin and the β-catenin pathway
- Cx43 upregulation in HUVECs under stretch via TGF-β1 and cytoskeletal network
- Evaluation of menstrual irregularities after COVID-19 vaccination: Results of the MECOVAC survey
- Histopathologic findings on removed stomach after sleeve gastrectomy. Do they influence the outcome?
- Analysis of the expression and prognostic value of MT1-MMP, β1-integrin and YAP1 in glioma
- Optimal diagnosis of the skin cancer using a hybrid deep neural network and grasshopper optimization algorithm
- miR-223-3p alleviates TGF-β-induced epithelial-mesenchymal transition and extracellular matrix deposition by targeting SP3 in endometrial epithelial cells
- Clinical value of SIRT1 as a prognostic biomarker in esophageal squamous cell carcinoma, a systematic meta-analysis
- circ_0020123 promotes cell proliferation and migration in lung adenocarcinoma via PDZD8
- miR-22-5p regulates the self-renewal of spermatogonial stem cells by targeting EZH2
- hsa-miR-340-5p inhibits epithelial–mesenchymal transition in endometriosis by targeting MAP3K2 and inactivating MAPK/ERK signaling
- circ_0085296 inhibits the biological functions of trophoblast cells to promote the progression of preeclampsia via the miR-942-5p/THBS2 network
- TCD hemodynamics findings in the subacute phase of anterior circulation stroke patients treated with mechanical thrombectomy
- Development of a risk-stratification scoring system for predicting risk of breast cancer based on non-alcoholic fatty liver disease, non-alcoholic fatty pancreas disease, and uric acid
- Tollip promotes hepatocellular carcinoma progression via PI3K/AKT pathway
- circ_0062491 alleviates periodontitis via the miR-142-5p/IGF1 axis
- Human amniotic fluid as a source of stem cells
- lncRNA NONRATT013819.2 promotes transforming growth factor-β1-induced myofibroblastic transition of hepatic stellate cells by miR24-3p/lox
- NORAD modulates miR-30c-5p-LDHA to protect lung endothelial cells damage
- Idiopathic pulmonary fibrosis telemedicine management during COVID-19 outbreak
- Risk factors for adverse drug reactions associated with clopidogrel therapy
- Serum zinc associated with immunity and inflammatory markers in Covid-19
- The relationship between night shift work and breast cancer incidence: A systematic review and meta-analysis of observational studies
- LncRNA expression in idiopathic achalasia: New insight and preliminary exploration into pathogenesis
- Notoginsenoside R1 alleviates spinal cord injury through the miR-301a/KLF7 axis to activate Wnt/β-catenin pathway
- Moscatilin suppresses the inflammation from macrophages and T cells
- Zoledronate promotes ECM degradation and apoptosis via Wnt/β-catenin
- Epithelial-mesenchymal transition-related genes in coronary artery disease
- The effect evaluation of traditional vaginal surgery and transvaginal mesh surgery for severe pelvic organ prolapse: 5 years follow-up
- Repeated partial splenic artery embolization for hypersplenism improves platelet count
- Low expression of miR-27b in serum exosomes of non-small cell lung cancer facilitates its progression by affecting EGFR
- Exosomal hsa_circ_0000519 modulates the NSCLC cell growth and metastasis via miR-1258/RHOV axis
- miR-455-5p enhances 5-fluorouracil sensitivity in colorectal cancer cells by targeting PIK3R1 and DEPDC1
- The effect of tranexamic acid on the reduction of intraoperative and postoperative blood loss and thromboembolic risk in patients with hip fracture
- Isocitrate dehydrogenase 1 mutation in cholangiocarcinoma impairs tumor progression by sensitizing cells to ferroptosis
- Artemisinin protects against cerebral ischemia and reperfusion injury via inhibiting the NF-κB pathway
- A 16-gene signature associated with homologous recombination deficiency for prognosis prediction in patients with triple-negative breast cancer
- Lidocaine ameliorates chronic constriction injury-induced neuropathic pain through regulating M1/M2 microglia polarization
- MicroRNA 322-5p reduced neuronal inflammation via the TLR4/TRAF6/NF-κB axis in a rat epilepsy model
- miR-1273h-5p suppresses CXCL12 expression and inhibits gastric cancer cell invasion and metastasis
- Clinical characteristics of pneumonia patients of long course of illness infected with SARS-CoV-2
- circRNF20 aggravates the malignancy of retinoblastoma depending on the regulation of miR-132-3p/PAX6 axis
- Linezolid for resistant Gram-positive bacterial infections in children under 12 years: A meta-analysis
- Rack1 regulates pro-inflammatory cytokines by NF-κB in diabetic nephropathy
- Comprehensive analysis of molecular mechanism and a novel prognostic signature based on small nuclear RNA biomarkers in gastric cancer patients
- Smog and risk of maternal and fetal birth outcomes: A retrospective study in Baoding, China
- Let-7i-3p inhibits the cell cycle, proliferation, invasion, and migration of colorectal cancer cells via downregulating CCND1
- β2-Adrenergic receptor expression in subchondral bone of patients with varus knee osteoarthritis
- Possible impact of COVID-19 pandemic and lockdown on suicide behavior among patients in Southeast Serbia
- In vitro antimicrobial activity of ozonated oil in liposome eyedrop against multidrug-resistant bacteria
- Potential biomarkers for inflammatory response in acute lung injury
- A low serum uric acid concentration predicts a poor prognosis in adult patients with candidemia
- Antitumor activity of recombinant oncolytic vaccinia virus with human IL2
- ALKBH5 inhibits TNF-α-induced apoptosis of HUVECs through Bcl-2 pathway
- Risk prediction of cardiovascular disease using machine learning classifiers
- Value of ultrasonography parameters in diagnosing polycystic ovary syndrome
- Bioinformatics analysis reveals three key genes and four survival genes associated with youth-onset NSCLC
- Identification of autophagy-related biomarkers in patients with pulmonary arterial hypertension based on bioinformatics analysis
- Protective effects of glaucocalyxin A on the airway of asthmatic mice
- Overexpression of miR-100-5p inhibits papillary thyroid cancer progression via targeting FZD8
- Bioinformatics-based analysis of SUMOylation-related genes in hepatocellular carcinoma reveals a role of upregulated SAE1 in promoting cell proliferation
- Effectiveness and clinical benefits of new anti-diabetic drugs: A real life experience
- Identification of osteoporosis based on gene biomarkers using support vector machine
- Tanshinone IIA reverses oxaliplatin resistance in colorectal cancer through microRNA-30b-5p/AVEN axis
- miR-212-5p inhibits nasopharyngeal carcinoma progression by targeting METTL3
- Association of ST-T changes with all-cause mortality among patients with peripheral T-cell lymphomas
- LINC00665/miRNAs axis-mediated collagen type XI alpha 1 correlates with immune infiltration and malignant phenotypes in lung adenocarcinoma
- The perinatal factors that influence the excretion of fecal calprotectin in premature-born children
- Effect of femoral head necrosis cystic area on femoral head collapse and stress distribution in femoral head: A clinical and finite element study
- Does the use of 3D-printed cones give a chance to postpone the use of megaprostheses in patients with large bone defects in the knee joint?
- lncRNA HAGLR modulates myocardial ischemia–reperfusion injury in mice through regulating miR-133a-3p/MAPK1 axis
- Protective effect of ghrelin on intestinal I/R injury in rats
- In vivo knee kinematics of an innovative prosthesis design
- Relationship between the height of fibular head and the incidence and severity of knee osteoarthritis
- lncRNA WT1-AS attenuates hypoxia/ischemia-induced neuronal injury during cerebral ischemic stroke via miR-186-5p/XIAP axis
- Correlation of cardiac troponin T and APACHE III score with all-cause in-hospital mortality in critically ill patients with acute pulmonary embolism
- LncRNA LINC01857 reduces metastasis and angiogenesis in breast cancer cells via regulating miR-2052/CENPQ axis
- Endothelial cell-specific molecule 1 (ESM1) promoted by transcription factor SPI1 acts as an oncogene to modulate the malignant phenotype of endometrial cancer
- SELENBP1 inhibits progression of colorectal cancer by suppressing epithelial–mesenchymal transition
- Visfatin is negatively associated with coronary artery lesions in subjects with impaired fasting glucose
- Treatment and outcomes of mechanical complications of acute myocardial infarction during the Covid-19 era: A comparison with the pre-Covid-19 period. A systematic review and meta-analysis
- Neonatal stroke surveillance study protocol in the United Kingdom and Republic of Ireland
- Oncogenic role of TWF2 in human tumors: A pan-cancer analysis
- Mean corpuscular hemoglobin predicts the length of hospital stay independent of severity classification in patients with acute pancreatitis
- Association of gallstone and polymorphisms of UGT1A1*27 and UGT1A1*28 in patients with hepatitis B virus-related liver failure
- TGF-β1 upregulates Sar1a expression and induces procollagen-I secretion in hypertrophic scarring fibroblasts
- Antisense lncRNA PCNA-AS1 promotes esophageal squamous cell carcinoma progression through the miR-2467-3p/PCNA axis
- NK-cell dysfunction of acute myeloid leukemia in relation to the renin–angiotensin system and neurotransmitter genes
- The effect of dilution with glucose and prolonged injection time on dexamethasone-induced perineal irritation – A randomized controlled trial
- miR-146-5p restrains calcification of vascular smooth muscle cells by suppressing TRAF6
- Role of lncRNA MIAT/miR-361-3p/CCAR2 in prostate cancer cells
- lncRNA NORAD promotes lung cancer progression by competitively binding to miR-28-3p with E2F2
- Noninvasive diagnosis of AIH/PBC overlap syndrome based on prediction models
- lncRNA FAM230B is highly expressed in colorectal cancer and suppresses the maturation of miR-1182 to increase cell proliferation
- circ-LIMK1 regulates cisplatin resistance in lung adenocarcinoma by targeting miR-512-5p/HMGA1 axis
- LncRNA SNHG3 promoted cell proliferation, migration, and metastasis of esophageal squamous cell carcinoma via regulating miR-151a-3p/PFN2 axis
- Risk perception and affective state on work exhaustion in obstetrics during the COVID-19 pandemic
- lncRNA-AC130710/miR-129-5p/mGluR1 axis promote migration and invasion by activating PKCα-MAPK signal pathway in melanoma
- SNRPB promotes cell cycle progression in thyroid carcinoma via inhibiting p53
- Xylooligosaccharides and aerobic training regulate metabolism and behavior in rats with streptozotocin-induced type 1 diabetes
- Serpin family A member 1 is an oncogene in glioma and its translation is enhanced by NAD(P)H quinone dehydrogenase 1 through RNA-binding activity
- Silencing of CPSF7 inhibits the proliferation, migration, and invasion of lung adenocarcinoma cells by blocking the AKT/mTOR signaling pathway
- Ultrasound-guided lumbar plexus block versus transversus abdominis plane block for analgesia in children with hip dislocation: A double-blind, randomized trial
- Relationship of plasma MBP and 8-oxo-dG with brain damage in preterm
- Identification of a novel necroptosis-associated miRNA signature for predicting the prognosis in head and neck squamous cell carcinoma
- Delayed femoral vein ligation reduces operative time and blood loss during hip disarticulation in patients with extremity tumors
- The expression of ASAP3 and NOTCH3 and the clinicopathological characteristics of adult glioma patients
- Longitudinal analysis of factors related to Helicobacter pylori infection in Chinese adults
- HOXA10 enhances cell proliferation and suppresses apoptosis in esophageal cancer via activating p38/ERK signaling pathway
- Meta-analysis of early-life antibiotic use and allergic rhinitis
- Marital status and its correlation with age, race, and gender in prognosis of tonsil squamous cell carcinomas
- HPV16 E6E7 up-regulates KIF2A expression by activating JNK/c-Jun signal, is beneficial to migration and invasion of cervical cancer cells
- Amino acid profiles in the tissue and serum of patients with liver cancer
- Pain in critically ill COVID-19 patients: An Italian retrospective study
- Immunohistochemical distribution of Bcl-2 and p53 apoptotic markers in acetamiprid-induced nephrotoxicity
- Estradiol pretreatment in GnRH antagonist protocol for IVF/ICSI treatment
- Long non-coding RNAs LINC00689 inhibits the apoptosis of human nucleus pulposus cells via miR-3127-5p/ATG7 axis-mediated autophagy
- The relationship between oxygen therapy, drug therapy, and COVID-19 mortality
- Monitoring hypertensive disorders in pregnancy to prevent preeclampsia in pregnant women of advanced maternal age: Trial mimicking with retrospective data
- SETD1A promotes the proliferation and glycolysis of nasopharyngeal carcinoma cells by activating the PI3K/Akt pathway
- The role of Shunaoxin pills in the treatment of chronic cerebral hypoperfusion and its main pharmacodynamic components
- TET3 governs malignant behaviors and unfavorable prognosis of esophageal squamous cell carcinoma by activating the PI3K/AKT/GSK3β/β-catenin pathway
- Associations between morphokinetic parameters of temporary-arrest embryos and the clinical prognosis in FET cycles
- Long noncoding RNA WT1-AS regulates trophoblast proliferation, migration, and invasion via the microRNA-186-5p/CADM2 axis
- The incidence of bronchiectasis in chronic obstructive pulmonary disease
- Integrated bioinformatics analysis shows integrin alpha 3 is a prognostic biomarker for pancreatic cancer
- Inhibition of miR-21 improves pulmonary vascular responses in bronchopulmonary dysplasia by targeting the DDAH1/ADMA/NO pathway
- Comparison of hospitalized patients with severe pneumonia caused by COVID-19 and influenza A (H7N9 and H1N1): A retrospective study from a designated hospital
- lncRNA ZFAS1 promotes intervertebral disc degeneration by upregulating AAK1
- Pathological characteristics of liver injury induced by N,N-dimethylformamide: From humans to animal models
- lncRNA ELFN1-AS1 enhances the progression of colon cancer by targeting miR-4270 to upregulate AURKB
- DARS-AS1 modulates cell proliferation and migration of gastric cancer cells by regulating miR-330-3p/NAT10 axis
- Dezocine inhibits cell proliferation, migration, and invasion by targeting CRABP2 in ovarian cancer
- MGST1 alleviates the oxidative stress of trophoblast cells induced by hypoxia/reoxygenation and promotes cell proliferation, migration, and invasion by activating the PI3K/AKT/mTOR pathway
- Bifidobacterium lactis Probio-M8 ameliorated the symptoms of type 2 diabetes mellitus mice by changing ileum FXR-CYP7A1
- circRNA DENND1B inhibits tumorigenicity of clear cell renal cell carcinoma via miR-122-5p/TIMP2 axis
- EphA3 targeted by miR-3666 contributes to melanoma malignancy via activating ERK1/2 and p38 MAPK pathways
- Pacemakers and methylprednisolone pulse therapy in immune-related myocarditis concomitant with complete heart block
- miRNA-130a-3p targets sphingosine-1-phosphate receptor 1 to activate the microglial and astrocytes and to promote neural injury under the high glucose condition
- Review Articles
- Current management of cancer pain in Italy: Expert opinion paper
- Hearing loss and brain disorders: A review of multiple pathologies
- The rationale for using low-molecular weight heparin in the therapy of symptomatic COVID-19 patients
- Amyotrophic lateral sclerosis and delayed onset muscle soreness in light of the impaired blink and stretch reflexes – watch out for Piezo2
- Interleukin-35 in autoimmune dermatoses: Current concepts
- Recent discoveries in microbiota dysbiosis, cholangiocytic factors, and models for studying the pathogenesis of primary sclerosing cholangitis
- Advantages of ketamine in pediatric anesthesia
- Congenital adrenal hyperplasia. Role of dentist in early diagnosis
- Migraine management: Non-pharmacological points for patients and health care professionals
- Atherogenic index of plasma and coronary artery disease: A systematic review
- Physiological and modulatory role of thioredoxins in the cellular function
- Case Reports
- Intrauterine Bakri balloon tamponade plus cervical cerclage for the prevention and treatment of postpartum haemorrhage in late pregnancy complicated with acute aortic dissection: Case series
- A case of successful pembrolizumab monotherapy in a patient with advanced lung adenocarcinoma: Use of multiple biomarkers in combination for clinical practice
- Unusual neurological manifestations of bilateral medial medullary infarction: A case report
- Atypical symptoms of malignant hyperthermia: A rare causative mutation in the RYR1 gene
- A case report of dermatomyositis with the missed diagnosis of non-small cell lung cancer and concurrence of pulmonary tuberculosis
- A rare case of endometrial polyp complicated with uterine inversion: A case report and clinical management
- Spontaneous rupturing of splenic artery aneurysm: Another reason for fatal syncope and shock (Case report and literature review)
- Fungal infection mimicking COVID-19 infection – A case report
- Concurrent aspergillosis and cystic pulmonary metastases in a patient with tongue squamous cell carcinoma
- Paraganglioma-induced inverted takotsubo-like cardiomyopathy leading to cardiogenic shock successfully treated with extracorporeal membrane oxygenation
- Lineage switch from lymphoma to myeloid neoplasms: First case series from a single institution
- Trismus during tracheal extubation as a complication of general anaesthesia – A case report
- Simultaneous treatment of a pubovesical fistula and lymph node metastasis secondary to multimodal treatment for prostate cancer: Case report and review of the literature
- Two case reports of skin vasculitis following the COVID-19 immunization
- Ureteroiliac fistula after oncological surgery: Case report and review of the literature
- Synchronous triple primary malignant tumours in the bladder, prostate, and lung harbouring TP53 and MEK1 mutations accompanied with severe cardiovascular diseases: A case report
- Huge mucinous cystic neoplasms with adhesion to the left colon: A case report and literature review
- Commentary
- Commentary on “Clinicopathological features of programmed cell death-ligand 1 expression in patients with oral squamous cell carcinoma”
- Rapid Communication
- COVID-19 fear, post-traumatic stress, growth, and the role of resilience
- Erratum
- Erratum to “Tollip promotes hepatocellular carcinoma progression via PI3K/AKT pathway”
- Erratum to “Effect of femoral head necrosis cystic area on femoral head collapse and stress distribution in femoral head: A clinical and finite element study”
- Erratum to “lncRNA NORAD promotes lung cancer progression by competitively binding to miR-28-3p with E2F2”
- Retraction
- Expression and role of ABIN1 in sepsis: In vitro and in vivo studies
- Retraction to “miR-519d downregulates LEP expression to inhibit preeclampsia development”
- Special Issue Computational Intelligence Methodologies Meets Recurrent Cancers - Part II
- Usefulness of close surveillance for rectal cancer patients after neoadjuvant chemoradiotherapy
Articles in the same Issue
- Research Articles
- AMBRA1 attenuates the proliferation of uveal melanoma cells
- A ceRNA network mediated by LINC00475 in papillary thyroid carcinoma
- Differences in complications between hepatitis B-related cirrhosis and alcohol-related cirrhosis
- Effect of gestational diabetes mellitus on lipid profile: A systematic review and meta-analysis
- Long noncoding RNA NR2F1-AS1 stimulates the tumorigenic behavior of non-small cell lung cancer cells by sponging miR-363-3p to increase SOX4
- Promising novel biomarkers and candidate small-molecule drugs for lung adenocarcinoma: Evidence from bioinformatics analysis of high-throughput data
- Plasmapheresis: Is it a potential alternative treatment for chronic urticaria?
- The biomarkers of key miRNAs and gene targets associated with extranodal NK/T-cell lymphoma
- Gene signature to predict prognostic survival of hepatocellular carcinoma
- Effects of miRNA-199a-5p on cell proliferation and apoptosis of uterine leiomyoma by targeting MED12
- Does diabetes affect paraneoplastic thrombocytosis in colorectal cancer?
- Is there any effect on imprinted genes H19, PEG3, and SNRPN during AOA?
- Leptin and PCSK9 concentrations are associated with vascular endothelial cytokines in patients with stable coronary heart disease
- Pericentric inversion of chromosome 6 and male fertility problems
- Staple line reinforcement with nebulized cyanoacrylate glue in laparoscopic sleeve gastrectomy: A propensity score-matched study
- Retrospective analysis of crescent score in clinical prognosis of IgA nephropathy
- Expression of DNM3 is associated with good outcome in colorectal cancer
- Activation of SphK2 contributes to adipocyte-induced EOC cell proliferation
- CRRT influences PICCO measurements in febrile critically ill patients
- SLCO4A1-AS1 mediates pancreatic cancer development via miR-4673/KIF21B axis
- lncRNA ACTA2-AS1 inhibits malignant phenotypes of gastric cancer cells
- circ_AKT3 knockdown suppresses cisplatin resistance in gastric cancer
- Prognostic value of nicotinamide N-methyltransferase in human cancers: Evidence from a meta-analysis and database validation
- GPC2 deficiency inhibits cell growth and metastasis in colon adenocarcinoma
- A pan-cancer analysis of the oncogenic role of Holliday junction recognition protein in human tumors
- Radiation increases COL1A1, COL3A1, and COL1A2 expression in breast cancer
- Association between preventable risk factors and metabolic syndrome
- miR-29c-5p knockdown reduces inflammation and blood–brain barrier disruption by upregulating LRP6
- Cardiac contractility modulation ameliorates myocardial metabolic remodeling in a rabbit model of chronic heart failure through activation of AMPK and PPAR-α pathway
- Quercitrin protects human bronchial epithelial cells from oxidative damage
- Smurf2 suppresses the metastasis of hepatocellular carcinoma via ubiquitin degradation of Smad2
- circRNA_0001679/miR-338-3p/DUSP16 axis aggravates acute lung injury
- Sonoclot’s usefulness in prediction of cardiopulmonary arrest prognosis: A proof of concept study
- Four drug metabolism-related subgroups of pancreatic adenocarcinoma in prognosis, immune infiltration, and gene mutation
- Decreased expression of miR-195 mediated by hypermethylation promotes osteosarcoma
- LMO3 promotes proliferation and metastasis of papillary thyroid carcinoma cells by regulating LIMK1-mediated cofilin and the β-catenin pathway
- Cx43 upregulation in HUVECs under stretch via TGF-β1 and cytoskeletal network
- Evaluation of menstrual irregularities after COVID-19 vaccination: Results of the MECOVAC survey
- Histopathologic findings on removed stomach after sleeve gastrectomy. Do they influence the outcome?
- Analysis of the expression and prognostic value of MT1-MMP, β1-integrin and YAP1 in glioma
- Optimal diagnosis of the skin cancer using a hybrid deep neural network and grasshopper optimization algorithm
- miR-223-3p alleviates TGF-β-induced epithelial-mesenchymal transition and extracellular matrix deposition by targeting SP3 in endometrial epithelial cells
- Clinical value of SIRT1 as a prognostic biomarker in esophageal squamous cell carcinoma, a systematic meta-analysis
- circ_0020123 promotes cell proliferation and migration in lung adenocarcinoma via PDZD8
- miR-22-5p regulates the self-renewal of spermatogonial stem cells by targeting EZH2
- hsa-miR-340-5p inhibits epithelial–mesenchymal transition in endometriosis by targeting MAP3K2 and inactivating MAPK/ERK signaling
- circ_0085296 inhibits the biological functions of trophoblast cells to promote the progression of preeclampsia via the miR-942-5p/THBS2 network
- TCD hemodynamics findings in the subacute phase of anterior circulation stroke patients treated with mechanical thrombectomy
- Development of a risk-stratification scoring system for predicting risk of breast cancer based on non-alcoholic fatty liver disease, non-alcoholic fatty pancreas disease, and uric acid
- Tollip promotes hepatocellular carcinoma progression via PI3K/AKT pathway
- circ_0062491 alleviates periodontitis via the miR-142-5p/IGF1 axis
- Human amniotic fluid as a source of stem cells
- lncRNA NONRATT013819.2 promotes transforming growth factor-β1-induced myofibroblastic transition of hepatic stellate cells by miR24-3p/lox
- NORAD modulates miR-30c-5p-LDHA to protect lung endothelial cells damage
- Idiopathic pulmonary fibrosis telemedicine management during COVID-19 outbreak
- Risk factors for adverse drug reactions associated with clopidogrel therapy
- Serum zinc associated with immunity and inflammatory markers in Covid-19
- The relationship between night shift work and breast cancer incidence: A systematic review and meta-analysis of observational studies
- LncRNA expression in idiopathic achalasia: New insight and preliminary exploration into pathogenesis
- Notoginsenoside R1 alleviates spinal cord injury through the miR-301a/KLF7 axis to activate Wnt/β-catenin pathway
- Moscatilin suppresses the inflammation from macrophages and T cells
- Zoledronate promotes ECM degradation and apoptosis via Wnt/β-catenin
- Epithelial-mesenchymal transition-related genes in coronary artery disease
- The effect evaluation of traditional vaginal surgery and transvaginal mesh surgery for severe pelvic organ prolapse: 5 years follow-up
- Repeated partial splenic artery embolization for hypersplenism improves platelet count
- Low expression of miR-27b in serum exosomes of non-small cell lung cancer facilitates its progression by affecting EGFR
- Exosomal hsa_circ_0000519 modulates the NSCLC cell growth and metastasis via miR-1258/RHOV axis
- miR-455-5p enhances 5-fluorouracil sensitivity in colorectal cancer cells by targeting PIK3R1 and DEPDC1
- The effect of tranexamic acid on the reduction of intraoperative and postoperative blood loss and thromboembolic risk in patients with hip fracture
- Isocitrate dehydrogenase 1 mutation in cholangiocarcinoma impairs tumor progression by sensitizing cells to ferroptosis
- Artemisinin protects against cerebral ischemia and reperfusion injury via inhibiting the NF-κB pathway
- A 16-gene signature associated with homologous recombination deficiency for prognosis prediction in patients with triple-negative breast cancer
- Lidocaine ameliorates chronic constriction injury-induced neuropathic pain through regulating M1/M2 microglia polarization
- MicroRNA 322-5p reduced neuronal inflammation via the TLR4/TRAF6/NF-κB axis in a rat epilepsy model
- miR-1273h-5p suppresses CXCL12 expression and inhibits gastric cancer cell invasion and metastasis
- Clinical characteristics of pneumonia patients of long course of illness infected with SARS-CoV-2
- circRNF20 aggravates the malignancy of retinoblastoma depending on the regulation of miR-132-3p/PAX6 axis
- Linezolid for resistant Gram-positive bacterial infections in children under 12 years: A meta-analysis
- Rack1 regulates pro-inflammatory cytokines by NF-κB in diabetic nephropathy
- Comprehensive analysis of molecular mechanism and a novel prognostic signature based on small nuclear RNA biomarkers in gastric cancer patients
- Smog and risk of maternal and fetal birth outcomes: A retrospective study in Baoding, China
- Let-7i-3p inhibits the cell cycle, proliferation, invasion, and migration of colorectal cancer cells via downregulating CCND1
- β2-Adrenergic receptor expression in subchondral bone of patients with varus knee osteoarthritis
- Possible impact of COVID-19 pandemic and lockdown on suicide behavior among patients in Southeast Serbia
- In vitro antimicrobial activity of ozonated oil in liposome eyedrop against multidrug-resistant bacteria
- Potential biomarkers for inflammatory response in acute lung injury
- A low serum uric acid concentration predicts a poor prognosis in adult patients with candidemia
- Antitumor activity of recombinant oncolytic vaccinia virus with human IL2
- ALKBH5 inhibits TNF-α-induced apoptosis of HUVECs through Bcl-2 pathway
- Risk prediction of cardiovascular disease using machine learning classifiers
- Value of ultrasonography parameters in diagnosing polycystic ovary syndrome
- Bioinformatics analysis reveals three key genes and four survival genes associated with youth-onset NSCLC
- Identification of autophagy-related biomarkers in patients with pulmonary arterial hypertension based on bioinformatics analysis
- Protective effects of glaucocalyxin A on the airway of asthmatic mice
- Overexpression of miR-100-5p inhibits papillary thyroid cancer progression via targeting FZD8
- Bioinformatics-based analysis of SUMOylation-related genes in hepatocellular carcinoma reveals a role of upregulated SAE1 in promoting cell proliferation
- Effectiveness and clinical benefits of new anti-diabetic drugs: A real life experience
- Identification of osteoporosis based on gene biomarkers using support vector machine
- Tanshinone IIA reverses oxaliplatin resistance in colorectal cancer through microRNA-30b-5p/AVEN axis
- miR-212-5p inhibits nasopharyngeal carcinoma progression by targeting METTL3
- Association of ST-T changes with all-cause mortality among patients with peripheral T-cell lymphomas
- LINC00665/miRNAs axis-mediated collagen type XI alpha 1 correlates with immune infiltration and malignant phenotypes in lung adenocarcinoma
- The perinatal factors that influence the excretion of fecal calprotectin in premature-born children
- Effect of femoral head necrosis cystic area on femoral head collapse and stress distribution in femoral head: A clinical and finite element study
- Does the use of 3D-printed cones give a chance to postpone the use of megaprostheses in patients with large bone defects in the knee joint?
- lncRNA HAGLR modulates myocardial ischemia–reperfusion injury in mice through regulating miR-133a-3p/MAPK1 axis
- Protective effect of ghrelin on intestinal I/R injury in rats
- In vivo knee kinematics of an innovative prosthesis design
- Relationship between the height of fibular head and the incidence and severity of knee osteoarthritis
- lncRNA WT1-AS attenuates hypoxia/ischemia-induced neuronal injury during cerebral ischemic stroke via miR-186-5p/XIAP axis
- Correlation of cardiac troponin T and APACHE III score with all-cause in-hospital mortality in critically ill patients with acute pulmonary embolism
- LncRNA LINC01857 reduces metastasis and angiogenesis in breast cancer cells via regulating miR-2052/CENPQ axis
- Endothelial cell-specific molecule 1 (ESM1) promoted by transcription factor SPI1 acts as an oncogene to modulate the malignant phenotype of endometrial cancer
- SELENBP1 inhibits progression of colorectal cancer by suppressing epithelial–mesenchymal transition
- Visfatin is negatively associated with coronary artery lesions in subjects with impaired fasting glucose
- Treatment and outcomes of mechanical complications of acute myocardial infarction during the Covid-19 era: A comparison with the pre-Covid-19 period. A systematic review and meta-analysis
- Neonatal stroke surveillance study protocol in the United Kingdom and Republic of Ireland
- Oncogenic role of TWF2 in human tumors: A pan-cancer analysis
- Mean corpuscular hemoglobin predicts the length of hospital stay independent of severity classification in patients with acute pancreatitis
- Association of gallstone and polymorphisms of UGT1A1*27 and UGT1A1*28 in patients with hepatitis B virus-related liver failure
- TGF-β1 upregulates Sar1a expression and induces procollagen-I secretion in hypertrophic scarring fibroblasts
- Antisense lncRNA PCNA-AS1 promotes esophageal squamous cell carcinoma progression through the miR-2467-3p/PCNA axis
- NK-cell dysfunction of acute myeloid leukemia in relation to the renin–angiotensin system and neurotransmitter genes
- The effect of dilution with glucose and prolonged injection time on dexamethasone-induced perineal irritation – A randomized controlled trial
- miR-146-5p restrains calcification of vascular smooth muscle cells by suppressing TRAF6
- Role of lncRNA MIAT/miR-361-3p/CCAR2 in prostate cancer cells
- lncRNA NORAD promotes lung cancer progression by competitively binding to miR-28-3p with E2F2
- Noninvasive diagnosis of AIH/PBC overlap syndrome based on prediction models
- lncRNA FAM230B is highly expressed in colorectal cancer and suppresses the maturation of miR-1182 to increase cell proliferation
- circ-LIMK1 regulates cisplatin resistance in lung adenocarcinoma by targeting miR-512-5p/HMGA1 axis
- LncRNA SNHG3 promoted cell proliferation, migration, and metastasis of esophageal squamous cell carcinoma via regulating miR-151a-3p/PFN2 axis
- Risk perception and affective state on work exhaustion in obstetrics during the COVID-19 pandemic
- lncRNA-AC130710/miR-129-5p/mGluR1 axis promote migration and invasion by activating PKCα-MAPK signal pathway in melanoma
- SNRPB promotes cell cycle progression in thyroid carcinoma via inhibiting p53
- Xylooligosaccharides and aerobic training regulate metabolism and behavior in rats with streptozotocin-induced type 1 diabetes
- Serpin family A member 1 is an oncogene in glioma and its translation is enhanced by NAD(P)H quinone dehydrogenase 1 through RNA-binding activity
- Silencing of CPSF7 inhibits the proliferation, migration, and invasion of lung adenocarcinoma cells by blocking the AKT/mTOR signaling pathway
- Ultrasound-guided lumbar plexus block versus transversus abdominis plane block for analgesia in children with hip dislocation: A double-blind, randomized trial
- Relationship of plasma MBP and 8-oxo-dG with brain damage in preterm
- Identification of a novel necroptosis-associated miRNA signature for predicting the prognosis in head and neck squamous cell carcinoma
- Delayed femoral vein ligation reduces operative time and blood loss during hip disarticulation in patients with extremity tumors
- The expression of ASAP3 and NOTCH3 and the clinicopathological characteristics of adult glioma patients
- Longitudinal analysis of factors related to Helicobacter pylori infection in Chinese adults
- HOXA10 enhances cell proliferation and suppresses apoptosis in esophageal cancer via activating p38/ERK signaling pathway
- Meta-analysis of early-life antibiotic use and allergic rhinitis
- Marital status and its correlation with age, race, and gender in prognosis of tonsil squamous cell carcinomas
- HPV16 E6E7 up-regulates KIF2A expression by activating JNK/c-Jun signal, is beneficial to migration and invasion of cervical cancer cells
- Amino acid profiles in the tissue and serum of patients with liver cancer
- Pain in critically ill COVID-19 patients: An Italian retrospective study
- Immunohistochemical distribution of Bcl-2 and p53 apoptotic markers in acetamiprid-induced nephrotoxicity
- Estradiol pretreatment in GnRH antagonist protocol for IVF/ICSI treatment
- Long non-coding RNAs LINC00689 inhibits the apoptosis of human nucleus pulposus cells via miR-3127-5p/ATG7 axis-mediated autophagy
- The relationship between oxygen therapy, drug therapy, and COVID-19 mortality
- Monitoring hypertensive disorders in pregnancy to prevent preeclampsia in pregnant women of advanced maternal age: Trial mimicking with retrospective data
- SETD1A promotes the proliferation and glycolysis of nasopharyngeal carcinoma cells by activating the PI3K/Akt pathway
- The role of Shunaoxin pills in the treatment of chronic cerebral hypoperfusion and its main pharmacodynamic components
- TET3 governs malignant behaviors and unfavorable prognosis of esophageal squamous cell carcinoma by activating the PI3K/AKT/GSK3β/β-catenin pathway
- Associations between morphokinetic parameters of temporary-arrest embryos and the clinical prognosis in FET cycles
- Long noncoding RNA WT1-AS regulates trophoblast proliferation, migration, and invasion via the microRNA-186-5p/CADM2 axis
- The incidence of bronchiectasis in chronic obstructive pulmonary disease
- Integrated bioinformatics analysis shows integrin alpha 3 is a prognostic biomarker for pancreatic cancer
- Inhibition of miR-21 improves pulmonary vascular responses in bronchopulmonary dysplasia by targeting the DDAH1/ADMA/NO pathway
- Comparison of hospitalized patients with severe pneumonia caused by COVID-19 and influenza A (H7N9 and H1N1): A retrospective study from a designated hospital
- lncRNA ZFAS1 promotes intervertebral disc degeneration by upregulating AAK1
- Pathological characteristics of liver injury induced by N,N-dimethylformamide: From humans to animal models
- lncRNA ELFN1-AS1 enhances the progression of colon cancer by targeting miR-4270 to upregulate AURKB
- DARS-AS1 modulates cell proliferation and migration of gastric cancer cells by regulating miR-330-3p/NAT10 axis
- Dezocine inhibits cell proliferation, migration, and invasion by targeting CRABP2 in ovarian cancer
- MGST1 alleviates the oxidative stress of trophoblast cells induced by hypoxia/reoxygenation and promotes cell proliferation, migration, and invasion by activating the PI3K/AKT/mTOR pathway
- Bifidobacterium lactis Probio-M8 ameliorated the symptoms of type 2 diabetes mellitus mice by changing ileum FXR-CYP7A1
- circRNA DENND1B inhibits tumorigenicity of clear cell renal cell carcinoma via miR-122-5p/TIMP2 axis
- EphA3 targeted by miR-3666 contributes to melanoma malignancy via activating ERK1/2 and p38 MAPK pathways
- Pacemakers and methylprednisolone pulse therapy in immune-related myocarditis concomitant with complete heart block
- miRNA-130a-3p targets sphingosine-1-phosphate receptor 1 to activate the microglial and astrocytes and to promote neural injury under the high glucose condition
- Review Articles
- Current management of cancer pain in Italy: Expert opinion paper
- Hearing loss and brain disorders: A review of multiple pathologies
- The rationale for using low-molecular weight heparin in the therapy of symptomatic COVID-19 patients
- Amyotrophic lateral sclerosis and delayed onset muscle soreness in light of the impaired blink and stretch reflexes – watch out for Piezo2
- Interleukin-35 in autoimmune dermatoses: Current concepts
- Recent discoveries in microbiota dysbiosis, cholangiocytic factors, and models for studying the pathogenesis of primary sclerosing cholangitis
- Advantages of ketamine in pediatric anesthesia
- Congenital adrenal hyperplasia. Role of dentist in early diagnosis
- Migraine management: Non-pharmacological points for patients and health care professionals
- Atherogenic index of plasma and coronary artery disease: A systematic review
- Physiological and modulatory role of thioredoxins in the cellular function
- Case Reports
- Intrauterine Bakri balloon tamponade plus cervical cerclage for the prevention and treatment of postpartum haemorrhage in late pregnancy complicated with acute aortic dissection: Case series
- A case of successful pembrolizumab monotherapy in a patient with advanced lung adenocarcinoma: Use of multiple biomarkers in combination for clinical practice
- Unusual neurological manifestations of bilateral medial medullary infarction: A case report
- Atypical symptoms of malignant hyperthermia: A rare causative mutation in the RYR1 gene
- A case report of dermatomyositis with the missed diagnosis of non-small cell lung cancer and concurrence of pulmonary tuberculosis
- A rare case of endometrial polyp complicated with uterine inversion: A case report and clinical management
- Spontaneous rupturing of splenic artery aneurysm: Another reason for fatal syncope and shock (Case report and literature review)
- Fungal infection mimicking COVID-19 infection – A case report
- Concurrent aspergillosis and cystic pulmonary metastases in a patient with tongue squamous cell carcinoma
- Paraganglioma-induced inverted takotsubo-like cardiomyopathy leading to cardiogenic shock successfully treated with extracorporeal membrane oxygenation
- Lineage switch from lymphoma to myeloid neoplasms: First case series from a single institution
- Trismus during tracheal extubation as a complication of general anaesthesia – A case report
- Simultaneous treatment of a pubovesical fistula and lymph node metastasis secondary to multimodal treatment for prostate cancer: Case report and review of the literature
- Two case reports of skin vasculitis following the COVID-19 immunization
- Ureteroiliac fistula after oncological surgery: Case report and review of the literature
- Synchronous triple primary malignant tumours in the bladder, prostate, and lung harbouring TP53 and MEK1 mutations accompanied with severe cardiovascular diseases: A case report
- Huge mucinous cystic neoplasms with adhesion to the left colon: A case report and literature review
- Commentary
- Commentary on “Clinicopathological features of programmed cell death-ligand 1 expression in patients with oral squamous cell carcinoma”
- Rapid Communication
- COVID-19 fear, post-traumatic stress, growth, and the role of resilience
- Erratum
- Erratum to “Tollip promotes hepatocellular carcinoma progression via PI3K/AKT pathway”
- Erratum to “Effect of femoral head necrosis cystic area on femoral head collapse and stress distribution in femoral head: A clinical and finite element study”
- Erratum to “lncRNA NORAD promotes lung cancer progression by competitively binding to miR-28-3p with E2F2”
- Retraction
- Expression and role of ABIN1 in sepsis: In vitro and in vivo studies
- Retraction to “miR-519d downregulates LEP expression to inhibit preeclampsia development”
- Special Issue Computational Intelligence Methodologies Meets Recurrent Cancers - Part II
- Usefulness of close surveillance for rectal cancer patients after neoadjuvant chemoradiotherapy