Home Ureteroiliac fistula after oncological surgery: Case report and review of the literature
Article Open Access

Ureteroiliac fistula after oncological surgery: Case report and review of the literature

  • Ettore Mearini , Alessio Paladini , Valerio Cellini EMAIL logo , Matteo Mearini , Graziano Felici , Andrea Vitale and Giovanni Cochetti
Published/Copyright: December 12, 2022

Abstract

Fistulas arising between ureters and iliac arteries (UAF) are rare pathological events and frequently require emergency treatment, as they are associated with massive haematuria and haemorrhagic shock. The medical history plays a key role in the diagnostic and therapeutic process, as it allows to include UAF among the differential diagnoses of gross haematuria. The emergency treatments of fistulas arising between the urinary system and the vascular system include the open repairing surgery or the endovascular grafting, the latter generally better tolerated by patients suffering from multiple comorbidities or not eligible for traditional surgery. Nephrostomy or ureteral stent can be used to drain the affected upper urinary tract temporarily or permanently. Herein, we reported two cases of oncological patients affected by UAF and treated successfully by endovascular procedures. Furthermore, we performed a narrative review of the literature concerning UAF and its diagnostic and therapeutic management. Although our study did not allow us to state definitive conclusion about the diagnostic and therapeutic management of UAF due to small sample size, our findings support previous experiences in favour of the treatment of fistulas with an endovascular approach.

1 Introduction

Fistulas arising between ureters and iliac arteries (UAF) are rare pathological events [1] and frequently require emergency treatment, as they are associated with massive haematuria and haemorrhagic shock, with an overall mortality ranging between 7 and 23% [2]. Over the years, many pathogenetic factors of fistulization have been detected, such as arterial atherosclerosis, pelvic and retroperitoneal surgery (oncological and vascular), radiation therapies, and indwelling ureteral stenting [1,3,4,5,6,7,8]. The emergency treatments of fistulas arising between the urinary system and the vascular system include the open repairing surgery or the endovascular grafting, the latter generally better tolerated by patients suffering from multiple comorbidities or not eligible for traditional surgery [3,4]. Nephrostomy or ureteral stent can be used to drain the affected upper urinary tract temporarily or permanently.

Herein, we reported two cases of oncological patients treated for UAF, one of them affected by bilateral fistula. Secondary aim was to perform a narrative review of the literature concerning UAF and its diagnostic and therapeutic management (Figure 1).

Figure 1 
               Site of UAF. Yellow dart: case 1 (proximal external iliac artery). Orange darts: case 2 (distal left common iliac artery and proximal left hypogastric artery).
Figure 1

Site of UAF. Yellow dart: case 1 (proximal external iliac artery). Orange darts: case 2 (distal left common iliac artery and proximal left hypogastric artery).

Table 1 shows the main demographic and clinical data.

Table 1

Clinical history of our patients

Case 1 Case 2
1st episode 1st episode 2nd episode
Gender Male Female
Age at UAF onset 72 56 64
Smoking Yes No No
Comorbidities and history Aorto-iliac atherosclerosis Comorbidities: AH, CKD, chronic anaemia. History: vasculitis, left iliac-femoral DVT.
Charlson comorbidity index (CCI) 9 4 5
Previous surgery (abdominal, retroperitoneal) None Left nephrectomy (February 2014) for chronic erosive pyelitis
Previous Surgery (oncological) RARC with lymphadenectomy Hystero-adnexectomy + lymphadenectomy
Urinary diversion Ileal orthotopic neobladder none
Chemotherapy (CHT) – immunotherapy (IO) Adjuvant CHT + IO Adjuvant CHT
Radiotherapy No Yes (pelvic)
Periodical stent substitution Yes (right) Yes, bilateral (after RN, only right ureteral substitutions) Yes (right ureter)
Stenting placement: indication Hydronephrosis (right ureter-neobladder anastomosis stenosis) and right pyelonephritis Hydronephrosis (ureteral stenosis)
Side/level fistula Right proximal EIA Left CIA (residual ureter) Right proximal IIA
Indwelling stent at UAF diagnosis Yes No Yes
First CT scan Positive Negative Not performed
Open surgery No No No
Endovascular approach Yes Yes Yes
Angiography/aortography Positive Positive 1st negative → 2nd positive
Pyelography Positive Positive Not performed
Ureteropyeloscopy Not performed Performed – not diagnostic for massive bleeding Performed – not diagnostic for massive bleeding
UAF onset after first stenting 16 months (February 2020) 7 years (May 2014) 13 years (July 2019)
Arterial embolization Right hypogastric artery Left hypogastric artery Right hypogastric artery
Materials and type of arterial by-pass Viabahn® 5 mm × 100 mm between right common iliac artery and External iliac artery Viabahn® 9 mm × 100 mm in left Common iliac artery Viabahn® 16 mm × 12 mm × 100 mm between right proximal common iliac artery and External iliac artery
Ureteral embolization No Yes No
UAF onset after RT (months) / Unknown Unknown
Stent material and Ch Polyurethane hydrophilic-coated double J 8 Ch nd Allium®, Silicone hydrophilic-coated (Vortek®) double J 7 Ch
Rebleeding No No Yes
Indwelling ureteral stent/nephrostomy post UAF Nephrostomy Right ureteral stent Right ureteral stent
Therapy at discharge Acetilsalicilic acid 100 mg LMWH and antibiotics LMWH and antibiotics
Follow-up (complications) No No Rebleeding; right uretero-colic fistula
Follow-up (further surgery/endovascular surgery) No No Endovascular prothesis placement; haemicolectomy and colostomy
Death 3 months earlier for BC metastatic progression No No

AH: arterial hypertension; CDK: chronic kidney failure; DVT: deep venous thrombosis; RARC: robot-assisted radical cystectomy; EIA: external iliac artery; CIA: common iliac artery; IIA: internal iliac artery; LMWH: low molecular weight heparin; BC: bladder cancer.

2 Case 1

Caucasian 72-year-old male, smoker, suffering from moderate and diffuse atherosclerosis along the aortic-bis-iliac and iliac bifurcations, underwent robot-assisted radical cystectomy (RARC) with orthotopic ileal neobladder reconstruction for muscle invasive high-grade urothelial carcinoma of the bladder cT2N2M0 on October 2018. After the onset of pulmonary metastases, he underwent adjuvant chemo-immunotherapy. Eleven months after RARC, an 8 Charrière (Ch) stent was placed for slight right hydronephrosis onset due to benign stenosis of the neobladder-ureteral anastomosis. The patient, not being a candidate for major corrective surgery of stenosis due to systemic progression of the muscle invasive bladder cancer, underwent one double J ureteral stent replacement for palliative purposes. The patient was re-admitted to our clinic for urosepsis showing hyperpyrexia (body temperature >39°C) associated with shiver and a slightly increased right hydronephrosis compared to the previous condition, with the impairment of renal function (creatinine and estimated glomerular filtration rate were 2.18 mg/dl and 31.64 mL/min, respectively) despite the double J stent resulted correctly placed. The patient was treated by empiric broad-spectrum antibiotic therapy and supportive therapy with quick recovery from all symptoms. On the fifth day of hospitalization and close to discharge, a lipothymic episode and stinging pain in the right iliac fossa with massive haematuria occurred, determining severe shock. Haemoglobin level dropped from 9.1 to 7.4 g/dL in few hours, and emergency blood transfusion was started. An emergency contrast-enhanced total body computed tomography (CT) scan was performed, showing a spread of contrast from a 6 mm injury of the right external iliac artery close to ureteral cross. The patient underwent subsequent transfemoral arteriography that revealed a pseudoaneurysm of the proximal right external iliac artery. The embolization of the right internal iliac artery using flakes of polyvinyl alcohol, and the placement of a 100 mm × 5 mm stent-graft (proximal-end in the common iliac artery, distal-end in the external iliac artery), allowed the prompt resolution of the haemorrhage without further complications. Along the day of the emergency, a total of five blood transfusions were administered consecutively, and another transfusion was made the day after. The subsequent antegrade pyelography confirmed the presence of contrast leakage near the external iliac artery, thus confirming the diagnosis of UAF. The ureteral stent was removed 16 days after the procedure and permanent right nephrostomy was placed simultaneously. The patient was discharged in general stationary conditions, with 1.63 mg/dL of creatinine levels and 10.3 g/dL of haemoglobin. The patient died of bladder cancer 3 months after the endovascular procedure without any other complications related to the fistula. The patient signed informed consent for anonymous data use and publication (Figures 2 and 3).

Figure 2 
               Angio-CT, axial plane, arterial phase, case 1. Major diameter of the UAF. Dart: UAF with concomitant iodinated contrast leakage; #: common right iliac artery bifurcation; *: hypogastric artery; §: external iliac artery; and @: pseudoaneurysm sac.
Figure 2

Angio-CT, axial plane, arterial phase, case 1. Major diameter of the UAF. Dart: UAF with concomitant iodinated contrast leakage; #: common right iliac artery bifurcation; *: hypogastric artery; §: external iliac artery; and @: pseudoaneurysm sac.

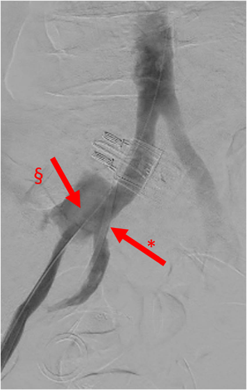
Figure 3 
               Angiography, image with no digital subtraction, frontal view, late arterial phase, case 1. Iodinated contrast leakage from UAF. *: right ureteral double J stent and §: contrast leakage from UAF.
Figure 3

Angiography, image with no digital subtraction, frontal view, late arterial phase, case 1. Iodinated contrast leakage from UAF. *: right ureteral double J stent and §: contrast leakage from UAF.

3 Case 2

A 56-year-old Caucasian woman underwent hystero-adnexectomy plus pelvic lymphadenectomy and adjuvant radio-chemotherapy treatment for squamous cell carcinoma of the uterine cervix in 2000. The patient, suffering from post-actinic retroperitoneal fibrosis and hydronephrosis was treated by bilateral ureteral stenting in 2007. In 2014, the patient underwent left radical nephrectomy (RN) for chronic pyelonephritis associated with severe haemorrhage. Few months after RN, the patient was re-admitted to our clinic for gross haematuria reaching a haemoglobin level of 6.6 g/dL, thus requiring blood transfusions. CT angiography and retrograde pyelography resulted negative for contrast leakage, so a bilateral ureteropyeloscopy and provocative retrograde pyelography were performed: the latter manoeuvre showed contrast leakage from the left ureteral stump into the iliac artery (Figure 4).

Figure 4 
               Retrograde ureterography, image with no digital subtraction, frontal view, case 2, first episode. Iodinated contrast leak from the left ureter into the distal left common iliac artery. *: left ureteral stent; §: left common iliac artery; and #: UAF.
Figure 4

Retrograde ureterography, image with no digital subtraction, frontal view, case 2, first episode. Iodinated contrast leak from the left ureter into the distal left common iliac artery. *: left ureteral stent; §: left common iliac artery; and #: UAF.

Ureteral embolization using a copolymer of ethylene and vinyl alcohol and percutaneous arterial stenting of the left common iliac artery by placement of 9 mm × 100 mm Viabahn® stents were performed. After 8 years of good health in which ureteral stent was periodically substituted, gross haematuria with haemoglobin level at the admittance of 6.8 g/dL requiring immediate blood transfusions, fever, and pain in the right side of the abdomen occurred and the patient was re-admitted to our clinic. Cystoscopy showed right ureteral bleeding and the ureteroscopy confirmed the ureteral origin of the bleeding but was not diagnostic for bleeding cause, whereas the arteriography did not show any arterial leakage or other source of bleeding in urinary system. CT angiography was not performed for severe chronic renal failure. As the bleeding was persisting, the ureteropyeloscopy was repeated but resulted negative for haematuria. Subsequent arteriography showed leakage of contrast from the proximal right hypogastric artery. The embolization of the right hypogastric artery, and concomitant positioning of Viabahn® vascular endoprosthesis and a silicone hydrophilic-coated single J 7 Ch ureteral stent on already-in-place self-expanding elastic nitinol alloy covered by a unique polymer (Allium®), allowed the resolution of the haematuria with a rapid improvement in the general conditions of the patient. Haematuria recurred after 8 and 10 months because of vascular complications, so a double self-expanding metalized endovascular prosthesis for pseudoaneurysm of the right EIA and an aortic-bisiliac endovascular prosthesis due to the collapse of the right iliac stent and the onset of a 10 cm pseudoaneurysm were, respectively, placed. At the 13th month of follow-up, the onset of a ureteral-intestinal fistula required to perform a colostomy. Six months after, the ureteral double J stent was removed and an indwelling nephrostomy was placed. The patients is alive to date. The patient signed informed consent for anonymous data use and publication.

4 Discussion

The onset of UAF is rare event, which could lead to dramatic consequences. It should be suspected in patients suffering from undefined continuous or intermittent haematuria with specific risk factors. The clinical presentation can be extremely variable and imaging may not be diagnostic at first analysis [1]. Therefore, the detailed and accurate analysis of patient’s comorbidity is mandatory for a correct clinical work-up. Smoking, history of pelvic cancer, previous pelvic or retroperitoneal surgery and radiation therapies, atherosclerosis, or chronic indwelling ureteral stenting were proved being associated with higher risk of UAF [1,9,10,11] (Table 2). Abdominal and pelvic oncological surgery and vascular surgery were reported from 63.8 to 69.5% of patients with UAF and van den Bergh et al. highlighted that they were independent risk factors [1].

Table 2

Main risk factors reported to be associated with UAF

van den Bergh et al. [1] Batter et al. [9] Das et al. [11] Subiela et al. [10]
139 patients 37 patients 118 patients 94 patients
Surgery 54% (oncologic) + 31% (vascular) 68% 69.5% 63.8%
RT Not specified 46% 48.3% 57.4%
Ureteral stenting Not specified 65% 73.7% 91.5%

Radiotherapy and ureteral stenting were proved being in 46–57.4 and 65–91.5% of patients suffered from UAF, respectively. It is to be noted that the incidence of both these risk factors has increased over the years. The explanation of these data could be related to the three possible causes: (1) the growing and progressive use of minimal invasive surgery, specifically endovascular and endourological ones; (2) the increasing application of RT in cancer therapeutic management; and (3) the ageing of the population so that over the years the proportion of elderly patients to be treated has increased. Therefore, the most innovative therapeutic strategies, mainly for pelvic oncological disease, paradoxically may favour UAF incidence [5,12,13,14].

In fact, from the pathogenetic point of view, pelvic RT and repeated ureteral manipulation favour the degeneration of the ureteral wall and the scar-adhesion reaction of the periureteral tissues. Chronic inflammation, which is stimulated and exacerbated by RT and ureteral stenting, promotes fibrogenesis, ischaemic vascular damage, tissue atrophy, and necrosis [1,15,16]. The damage of the sclerotic periureteral tissue is also favoured by the pulling effect of the pulsatility of the close iliac arteries [12,17]. Beside the ureteral damage, the weakening of the arterial wall should be considered as the consequence of radiotherapy, diabetes, systemic arterial hypertension, atherosclerotic disease, and vasa vasorum deficiency [2], which are all typical diseases of elderly. Therefore, a patient affected by the aforementioned risk factors should be considered a high risk for UAF development. Clinical feature of UAF is haematuria, massive or even intermittent, which is the most common symptom and is variously accompanied by flank pain and haemodynamic instability. Krambek et al. in 2005, in their diagnostic algorithm, considered haematuria, the presence of bladder clots, and flank pain the main symptomatological triad.

The most common symptoms reported in literature are summarized in Table 3.

Table 3

The most common symptoms of UAF (%)

Krambek et al. [3] (8 patients) van den Bergh [1] (139 patients) Das et al. [11] (118 patients) Subiela et al. [10] (94 patients) Our cases (2 patients, 3 UAF)
Main symptoms (%) Haematuria 100 74 100 100 3/3: 100%
Flank pain 57 17 7.6 12.8 3/3: 100%
Fever n.r. 7 n.r. n.r. 3/3: 100%
Hydronephrosis n.r. n.r. n.r. 26.6 2/3: 66%
Haemodynamic instability n.r. n.r. 17.8 21.3 2/3: 66%

n.r.: not reported.

Fever was reported as not frequent symptom in literature [1,2], whereas it occurred in both our cases and it anticipated the massive haematuria. We believe it is a significant symptom because it could be premonitory of the onset of haematuria. This could be due to the complete fistulization between ureter and iliac artery that favours the passage of pathogens and pro-inflammatory factors from an infected and inflamed ureter into the bloodstream, leading to fever and urosepsis, as occurred in our first case [18]. Therefore, fever, especially if accompanied by macroscopic haematuria, in patients with risk factors, could be useful in directing the differential diagnosis of haematuria towards UAF. Imaging evaluation may benefit from angiography and contrast-enhanced CT scan, the latter not always appreciated from all authors in Literature. Krambek et al., in their diagnostic algorithm, did not include CT as the first-line examination for its low detection rate (50% of patients), recommending angiography and provocative angiography as the most useful diagnostic tools. However, in their study, CT scan was tested on only four patients, which are a too small sample to state a definitive recommendation [3]. van den Bergh et al. found similar data, reporting angiography and CT sensibility of 69 and 42%, respectively. The authors also showed ureter-pyelography sensibility of 52%, specifying how its diagnostic capacity depends on the speed of the blood flow out of the fistulized artery, asserting that a blood flow of ≥3 mL/s from the artery through the fistula into the ureter is unlikely to allow a pyelographic diagnosis. In addition, this study highlighted the need of performing an average of 2.4 radiological studies for a single patient before a definitive radiological diagnosis [1]. The diagnostic accuracy (%) of CT scan has been reported in some more recent studies as extremely variable, ranging from 0 to 55% [16,19,20].

Subiela et al. reported the number and type of diagnostic techniques used in the most recent studies from 1990 to 2017: the prevalence of angiography and angioTC employment was 36.2 and 29.8%, respectively, but the authors did not refer their diagnostic accuracy. However, the authors stated that CT scan with contrast was the most used and accurate method for the diagnosis of UAF [10]. In our first case, the indication for CT scan was mandatory due to the lipothymic-neurological signs that anticipated the severe haemorrhagic shock. CT scan in this case was diagnostic, and angiography only confirmed and targeted the fistula for the endovascular treatment. The antegrade pyelography carried out after endovascular treatment was purely descriptive. The positivity of all radiological exams is certainly attributable to the size of the fistula (6 mm in maximum diameter) which, in the acute phase of rupture, determined a blood outflow of about 7 mL/s, considering that usually the speed of blood flow at the level of the iliac artery is about 30 cm/s.

In our second case, ureteroscopy with retrograde pyelography was diagnostic for UAF, while CT was negative. When the UAF has risen again, the arteriography initially was negative, whereas resulted positive during combined endourological-endovascular surgery. CT scan in the second episode was not practiced since, in the concrete suspicion of a UAF and because of the patient’s severe renal failure, priority was given to the angiographic study, thus allowing performing simultaneously both diagnosis and treatment (Table 4).

Table 4

Diagnostic rate (%) of imaging

Okada et al. [20] (11 patients) van den Bergh et al. [1] (139 patients) Das et al. [11] (118 patients) Our case (2 patients, 3 UAF)
Imaging (% diagnostic) CT scan 27 42 36 1/2 (50%)
Angiography 45 69 72 2/3 (66%)
UPS/RETROGRADE PYELOgraphy Not performed 52 61 3/3 (100%)

UPS: ureteropyeloscopy.

Concerning therapeutic management, Krambeck et al. in 2005 suggested an algorithm that took into account being fit for surgery, reserving the endovascular approach only to patients not eligible for surgery or whatever with contraindications to it [3]. However, many studies reported that the endovascular approach is equally effective and better tolerated by the patients than traditional open surgery, with lower risks related to procedure [1,4,9,11,12,15,16,17]. In our experience, both the patients were treated by an endovascular approach, therefore through arterial embolization and the placement of endovascular prostheses and stents, and did not need open surgical correction. The endovascular approach, especially in the first patient, proved to be the fastest treatment in conditions of absolute emergency and haemodynamic instability, allowing the prompt resolution of the massive bleeding and the quick improvement of health conditions.

Subiela et al. reported post-procedural outcomes and mortality in patients undergoing vascular endoprosthesis or vascular stent implantation [10]. Overall post-procedural complications were 10%: early complications, defined as event within 30 days, occurred in 4.2% of patients and included femoral arterial thrombosis, wound infection, rebleeding, and graft-skin fistulization. Late complications, defined as event over 30 days, occurred in 17% of patients at a median follow-up of 8 months and included rebleeding (7.5%), endovascular stent thrombosis (3.2%), retroperitoneal abscess and urosepsis (2.1%), arterial thrombosis (1%), and limb claudication (1%). Overall mortality was 27.6% (26/94) at the follow-up, but only 2.1% died from complications related to UAF. Okada et al. in their case series of 11 patients evaluated complications and mortality related to the endovascular approach of UAF, describing no rebleeding at 1 and 2 years in 76.2 and 40.6% of patients, respectively, with only one death related to UAF [20]. In our experience, the first patient died from metastatic bladder cancer, and in the short 3-month follow-up, there were no UAF-related complications. The second patient is still alive despite she needed two endovascular re-operations at 8 and 11 months. Data on recurrences seem to suggest that the placement of vascular endoprosthesis and nephrostomy, with the simultaneous removal of the ureteral stent and the subsequent break of the mechanic and inflammatory triggers, may led to UAF recovery without the need of surgery [2]. Considering the technological progress of imaging techniques and interventional radiology, we believe that the minimal invasive endovascular approach could be considered the first therapeutic option. Traditional surgery remains the gold standard in case of failure of minimally invasive therapy or if the experience concerning interventional radiology is poor [14]. Ureteral embolization may be useful to support the endovascular procedure in the management of macrohaematuria [13]. We also consider a safer procedure to remove the ureteral stent and to place of a temporary or indwelling nephrostomy and thus to reduce the mechanical damage on the already compromised ureteral wall and to lower inflammation and the risk of urinary infections. The fistula will therefore have the possibility to recover without the need of corrective surgery. However, due to the small sample size of the available studies and the lack of prospective comparative ones in literature, it is not possible to state a definitive recommendation about the best surgical strategy. It is important to underline the essential role of a multidisciplinary appoach including the urologist, the interventional radiologist, and the vascular surgeon in the case of the onset of UAF. As future perspective, two topics should be investigated: (1) the materials of the ureteral stents should be investigated as possible factor favouring UAF development and (2) a detailed histopathological analysis of the ureters and periureteral tissues in chronic stent carriers to improve the knowledge of the UAF etiopathogenesis.

5 Conclusions

Ureteral-iliac fistulas can be life threatening for the patient. The medical history plays a key role in the diagnostic and therapeutic process, as it allows to include UAF among the differential diagnoses of gross haematuria. Although our study did not allow us to state definitive conclusion about the diagnostic and therapeutic management of UAF due to small sample size, our findings support previous experiences in favour of the treatment of fistulas with an endovascular approach.

Acknowledgments

We are grateful to the University of Perugia that has supported this research with the “Basic Research Fund 2019”.

  1. Funding information: The authors did not receive any funding.

  2. Author contributions: conception: EM and GC; design: VC, GF, and AV; writing – original draft preparation: VC, GF, and MM; writing – review and editing: VC and MM; interpretation of the reported study: EM, AP, and GC; and supervision: EM and GC.

  3. Conflict of interest: AP and GC serve as Editors in Open Medicine, but it did not affect the peer-review process. Other authors state they have no conflict of interest.

  4. Data availability statement: The datasets generated during and/or analysed during the current study are available from the corresponding author on reasonable request.

References

[1] van den Bergh RC, Moll FL, de Vries JP, Lock TM. Arterioureteral fistulas: unusual suspects-systematic review of 139 cases. Urology. 2009;74(2):251–5. 10.1016/j.urology.2008.12.011.Search in Google Scholar PubMed

[2] Mahlknecht A, Bizzotto L, Gamper C, Wieser A. A rare complication of ureteral stenting: Case report of a uretero-arterial fistula and revision of the literature. Arch Ital Urol Androl. Published 2018 Sep 30;90(3):215–7. 10.4081/aiua.2018.3.215.Search in Google Scholar PubMed

[3] Krambeck AE, DiMarco DS, Gettman MT, Segura JW. Ureteroiliac artery fistula: diagnosis and treatment algorithm. Urology. 2005;66(5):990–4. 10.1016/j.urology.2005.05.036.Search in Google Scholar PubMed

[4] Fox JA, Krambeck A, McPhail EF, Lightner D. Ureteroarterial fistula treatment with open surgery versus endovascular management: long-term outcomes. J Urol. 2011;185(3):945–50. 10.1016/j.juro.2010.10.062.Search in Google Scholar PubMed

[5] Cochetti G, Del Zingaro M, Boni A, Cocca D, Panciarola M, Tiezzi A, et al. Colovesical fistula: review on conservative management, surgical techniques and minimally invasive approaches. G Chir. 2018;39(4):195–207.Search in Google Scholar

[6] Giovanni C, Emanuele L, Emanuele C, Roberto C, Corsi A, Francesco B, et al. Laparoscopic conservative treatment of colo-vesical fistulas following trauma and diverticulitis: report of two different cases. Open Med. 2013;8(6):790–4. 10.2478/s11536-013-0195-0.Search in Google Scholar

[7] Desiderio J, Trastulli S, Listorti C, Milani D, Cerroni M, Cochetti G, et al. Surgical approach of complicated diverticulitis with colovesical fistula: technical note in a particular condition. Open Med. 2012;7(5):578–83. 10.2478/s11536-012-0036-6.Search in Google Scholar

[8] Giovanni C, Emanuele C, Roberto C, Alberto P, Emanuele L, Alessia C, et al. Laparoscopic conservative surgery of colovesical fistula: is it the right way. Wideochir Inne Tech Maloinwazyjne. 2013;8(2):162–5. 10.5114/wiitm.2011.32808.Search in Google Scholar PubMed PubMed Central

[9] Batter SJ, McGovern FJ, Cambria RP. Ureteroarterial fistula: case report and review of the literature. Urology. 1996;48(3):481–9. 10.1016/S0090-4295(96)00202-6.Search in Google Scholar PubMed

[10] Subiela JD, Balla A, Bollo J, Dilme JF, Soto Carricas B, Targarona EM, et al. Endovascular management of ureteroarterial fistula: Single institution experience and systematic literature review. Vasc Endovasc Surg. 2018;52(4):275–86. 10.1177/1538574418761721.Search in Google Scholar PubMed

[11] Das A, Lewandoski P, Laganosky D, Walton J, Shenot P. Ureteroarterial fistula: A review of the literature. Vascular. 2016;24(2):203–7. 10.1177/1708538115585261.Search in Google Scholar PubMed

[12] Berastegi-Santamaria C, Echevarria-Uraga JJ, Garcia-Garai N, Jiménez-Zapater C, Cura-Allende GD. Ureteroarterial fistula treated by endovascular stent placement. Radiol Case Rep. Published 2020 Jul 25;15(9):1714–7. 10.1016/j.radcr.2020.05.044.Search in Google Scholar PubMed PubMed Central

[13] Cochetti G, Zingaro MD, Boni A, Allegritti M, de Vermandois JAR, Paladini A, et al. Renal artery embolization before radical nephrectomy for complex renal tumour: Which are the True Advantages? Open Med (Wars). Published 2019 Nov 7;14:797–804. 10.1515/med-2019-0095.Search in Google Scholar PubMed PubMed Central

[14] Trastulli S, Barillaro I, Desiderio J, Di Rocco G, Cochetti G, Mecarelli V, et al. Colonic explosion during treatment of radiotherapy complications in prostatic cancer. Oncol Lett. 2012;4(5):915–8. 10.3892/ol.2012.873.Search in Google Scholar PubMed PubMed Central

[15] De Ruysscher D, Niedermann G, Burnet NG, Siva S, Lee AWM, Hegi-Johnson F. Radiotherapy toxicity. Nat Rev Dis Primers. Published 2019 Feb 21;5(1):13. 10.1038/s41572-019-0064-5.Search in Google Scholar PubMed

[16] Leone L, Scarcella S, Dell’Atti L, Tiroli M, Sternardi F, Galosi AB. Uretero-iliac artery fistula: a challenge diagnosis for a life-threatening condition: monocentric experience and review of the literature. Int Urol Nephrol. 2019;51(5):789–93. 10.1007/s11255-019-02097-2.Search in Google Scholar PubMed

[17] Pillai AK, Anderson ME, Reddick MA, Sutphin PD, Kalva SP. Ureteroarterial fistula: diagnosis and management. AJR Am J Roentgenol. 2015;204(5):W592–8. 10.2214/AJR.14.13405.Search in Google Scholar PubMed

[18] de Vermandois JAR, Cochetti G, Zingaro MD, Santoro A, Panciarola M, Boni A, et al. Evaluation of Surgical Site Infection in Mini-invasive Urological Surgery. Open Med (Wars). Published 2019 Sep 15;14:711–8. 10.1515/med-2019-0081.Search in Google Scholar PubMed PubMed Central

[19] Tijunaitis K, Mosenko V, Baltrūnas T. A bleeding uretero-arterial fistula: Open repair after unsuccessful endovascular treatment. Vasc Endovasc Surg. 2021;55(2):171–6. 10.1177/1538574420953964.Search in Google Scholar PubMed

[20] Okada T, Yamaguchi M, Muradi A, Nomura Y, Uotani K, Idoguchi K, et al. Long-term results of endovascular stent graft placement of ureteroarterial fistula. Cardiovasc Intervent Radiol. 2013;36(4):950–6. 10.1007/s00270-012-0534-6.Search in Google Scholar PubMed

Received: 2022-04-04
Revised: 2022-10-02
Accepted: 2022-10-28
Published Online: 2022-12-12

© 2022 the author(s), published by De Gruyter

This work is licensed under the Creative Commons Attribution 4.0 International License.

Articles in the same Issue

  1. Research Articles
  2. AMBRA1 attenuates the proliferation of uveal melanoma cells
  3. A ceRNA network mediated by LINC00475 in papillary thyroid carcinoma
  4. Differences in complications between hepatitis B-related cirrhosis and alcohol-related cirrhosis
  5. Effect of gestational diabetes mellitus on lipid profile: A systematic review and meta-analysis
  6. Long noncoding RNA NR2F1-AS1 stimulates the tumorigenic behavior of non-small cell lung cancer cells by sponging miR-363-3p to increase SOX4
  7. Promising novel biomarkers and candidate small-molecule drugs for lung adenocarcinoma: Evidence from bioinformatics analysis of high-throughput data
  8. Plasmapheresis: Is it a potential alternative treatment for chronic urticaria?
  9. The biomarkers of key miRNAs and gene targets associated with extranodal NK/T-cell lymphoma
  10. Gene signature to predict prognostic survival of hepatocellular carcinoma
  11. Effects of miRNA-199a-5p on cell proliferation and apoptosis of uterine leiomyoma by targeting MED12
  12. Does diabetes affect paraneoplastic thrombocytosis in colorectal cancer?
  13. Is there any effect on imprinted genes H19, PEG3, and SNRPN during AOA?
  14. Leptin and PCSK9 concentrations are associated with vascular endothelial cytokines in patients with stable coronary heart disease
  15. Pericentric inversion of chromosome 6 and male fertility problems
  16. Staple line reinforcement with nebulized cyanoacrylate glue in laparoscopic sleeve gastrectomy: A propensity score-matched study
  17. Retrospective analysis of crescent score in clinical prognosis of IgA nephropathy
  18. Expression of DNM3 is associated with good outcome in colorectal cancer
  19. Activation of SphK2 contributes to adipocyte-induced EOC cell proliferation
  20. CRRT influences PICCO measurements in febrile critically ill patients
  21. SLCO4A1-AS1 mediates pancreatic cancer development via miR-4673/KIF21B axis
  22. lncRNA ACTA2-AS1 inhibits malignant phenotypes of gastric cancer cells
  23. circ_AKT3 knockdown suppresses cisplatin resistance in gastric cancer
  24. Prognostic value of nicotinamide N-methyltransferase in human cancers: Evidence from a meta-analysis and database validation
  25. GPC2 deficiency inhibits cell growth and metastasis in colon adenocarcinoma
  26. A pan-cancer analysis of the oncogenic role of Holliday junction recognition protein in human tumors
  27. Radiation increases COL1A1, COL3A1, and COL1A2 expression in breast cancer
  28. Association between preventable risk factors and metabolic syndrome
  29. miR-29c-5p knockdown reduces inflammation and blood–brain barrier disruption by upregulating LRP6
  30. Cardiac contractility modulation ameliorates myocardial metabolic remodeling in a rabbit model of chronic heart failure through activation of AMPK and PPAR-α pathway
  31. Quercitrin protects human bronchial epithelial cells from oxidative damage
  32. Smurf2 suppresses the metastasis of hepatocellular carcinoma via ubiquitin degradation of Smad2
  33. circRNA_0001679/miR-338-3p/DUSP16 axis aggravates acute lung injury
  34. Sonoclot’s usefulness in prediction of cardiopulmonary arrest prognosis: A proof of concept study
  35. Four drug metabolism-related subgroups of pancreatic adenocarcinoma in prognosis, immune infiltration, and gene mutation
  36. Decreased expression of miR-195 mediated by hypermethylation promotes osteosarcoma
  37. LMO3 promotes proliferation and metastasis of papillary thyroid carcinoma cells by regulating LIMK1-mediated cofilin and the β-catenin pathway
  38. Cx43 upregulation in HUVECs under stretch via TGF-β1 and cytoskeletal network
  39. Evaluation of menstrual irregularities after COVID-19 vaccination: Results of the MECOVAC survey
  40. Histopathologic findings on removed stomach after sleeve gastrectomy. Do they influence the outcome?
  41. Analysis of the expression and prognostic value of MT1-MMP, β1-integrin and YAP1 in glioma
  42. Optimal diagnosis of the skin cancer using a hybrid deep neural network and grasshopper optimization algorithm
  43. miR-223-3p alleviates TGF-β-induced epithelial-mesenchymal transition and extracellular matrix deposition by targeting SP3 in endometrial epithelial cells
  44. Clinical value of SIRT1 as a prognostic biomarker in esophageal squamous cell carcinoma, a systematic meta-analysis
  45. circ_0020123 promotes cell proliferation and migration in lung adenocarcinoma via PDZD8
  46. miR-22-5p regulates the self-renewal of spermatogonial stem cells by targeting EZH2
  47. hsa-miR-340-5p inhibits epithelial–mesenchymal transition in endometriosis by targeting MAP3K2 and inactivating MAPK/ERK signaling
  48. circ_0085296 inhibits the biological functions of trophoblast cells to promote the progression of preeclampsia via the miR-942-5p/THBS2 network
  49. TCD hemodynamics findings in the subacute phase of anterior circulation stroke patients treated with mechanical thrombectomy
  50. Development of a risk-stratification scoring system for predicting risk of breast cancer based on non-alcoholic fatty liver disease, non-alcoholic fatty pancreas disease, and uric acid
  51. Tollip promotes hepatocellular carcinoma progression via PI3K/AKT pathway
  52. circ_0062491 alleviates periodontitis via the miR-142-5p/IGF1 axis
  53. Human amniotic fluid as a source of stem cells
  54. lncRNA NONRATT013819.2 promotes transforming growth factor-β1-induced myofibroblastic transition of hepatic stellate cells by miR24-3p/lox
  55. NORAD modulates miR-30c-5p-LDHA to protect lung endothelial cells damage
  56. Idiopathic pulmonary fibrosis telemedicine management during COVID-19 outbreak
  57. Risk factors for adverse drug reactions associated with clopidogrel therapy
  58. Serum zinc associated with immunity and inflammatory markers in Covid-19
  59. The relationship between night shift work and breast cancer incidence: A systematic review and meta-analysis of observational studies
  60. LncRNA expression in idiopathic achalasia: New insight and preliminary exploration into pathogenesis
  61. Notoginsenoside R1 alleviates spinal cord injury through the miR-301a/KLF7 axis to activate Wnt/β-catenin pathway
  62. Moscatilin suppresses the inflammation from macrophages and T cells
  63. Zoledronate promotes ECM degradation and apoptosis via Wnt/β-catenin
  64. Epithelial-mesenchymal transition-related genes in coronary artery disease
  65. The effect evaluation of traditional vaginal surgery and transvaginal mesh surgery for severe pelvic organ prolapse: 5 years follow-up
  66. Repeated partial splenic artery embolization for hypersplenism improves platelet count
  67. Low expression of miR-27b in serum exosomes of non-small cell lung cancer facilitates its progression by affecting EGFR
  68. Exosomal hsa_circ_0000519 modulates the NSCLC cell growth and metastasis via miR-1258/RHOV axis
  69. miR-455-5p enhances 5-fluorouracil sensitivity in colorectal cancer cells by targeting PIK3R1 and DEPDC1
  70. The effect of tranexamic acid on the reduction of intraoperative and postoperative blood loss and thromboembolic risk in patients with hip fracture
  71. Isocitrate dehydrogenase 1 mutation in cholangiocarcinoma impairs tumor progression by sensitizing cells to ferroptosis
  72. Artemisinin protects against cerebral ischemia and reperfusion injury via inhibiting the NF-κB pathway
  73. A 16-gene signature associated with homologous recombination deficiency for prognosis prediction in patients with triple-negative breast cancer
  74. Lidocaine ameliorates chronic constriction injury-induced neuropathic pain through regulating M1/M2 microglia polarization
  75. MicroRNA 322-5p reduced neuronal inflammation via the TLR4/TRAF6/NF-κB axis in a rat epilepsy model
  76. miR-1273h-5p suppresses CXCL12 expression and inhibits gastric cancer cell invasion and metastasis
  77. Clinical characteristics of pneumonia patients of long course of illness infected with SARS-CoV-2
  78. circRNF20 aggravates the malignancy of retinoblastoma depending on the regulation of miR-132-3p/PAX6 axis
  79. Linezolid for resistant Gram-positive bacterial infections in children under 12 years: A meta-analysis
  80. Rack1 regulates pro-inflammatory cytokines by NF-κB in diabetic nephropathy
  81. Comprehensive analysis of molecular mechanism and a novel prognostic signature based on small nuclear RNA biomarkers in gastric cancer patients
  82. Smog and risk of maternal and fetal birth outcomes: A retrospective study in Baoding, China
  83. Let-7i-3p inhibits the cell cycle, proliferation, invasion, and migration of colorectal cancer cells via downregulating CCND1
  84. β2-Adrenergic receptor expression in subchondral bone of patients with varus knee osteoarthritis
  85. Possible impact of COVID-19 pandemic and lockdown on suicide behavior among patients in Southeast Serbia
  86. In vitro antimicrobial activity of ozonated oil in liposome eyedrop against multidrug-resistant bacteria
  87. Potential biomarkers for inflammatory response in acute lung injury
  88. A low serum uric acid concentration predicts a poor prognosis in adult patients with candidemia
  89. Antitumor activity of recombinant oncolytic vaccinia virus with human IL2
  90. ALKBH5 inhibits TNF-α-induced apoptosis of HUVECs through Bcl-2 pathway
  91. Risk prediction of cardiovascular disease using machine learning classifiers
  92. Value of ultrasonography parameters in diagnosing polycystic ovary syndrome
  93. Bioinformatics analysis reveals three key genes and four survival genes associated with youth-onset NSCLC
  94. Identification of autophagy-related biomarkers in patients with pulmonary arterial hypertension based on bioinformatics analysis
  95. Protective effects of glaucocalyxin A on the airway of asthmatic mice
  96. Overexpression of miR-100-5p inhibits papillary thyroid cancer progression via targeting FZD8
  97. Bioinformatics-based analysis of SUMOylation-related genes in hepatocellular carcinoma reveals a role of upregulated SAE1 in promoting cell proliferation
  98. Effectiveness and clinical benefits of new anti-diabetic drugs: A real life experience
  99. Identification of osteoporosis based on gene biomarkers using support vector machine
  100. Tanshinone IIA reverses oxaliplatin resistance in colorectal cancer through microRNA-30b-5p/AVEN axis
  101. miR-212-5p inhibits nasopharyngeal carcinoma progression by targeting METTL3
  102. Association of ST-T changes with all-cause mortality among patients with peripheral T-cell lymphomas
  103. LINC00665/miRNAs axis-mediated collagen type XI alpha 1 correlates with immune infiltration and malignant phenotypes in lung adenocarcinoma
  104. The perinatal factors that influence the excretion of fecal calprotectin in premature-born children
  105. Effect of femoral head necrosis cystic area on femoral head collapse and stress distribution in femoral head: A clinical and finite element study
  106. Does the use of 3D-printed cones give a chance to postpone the use of megaprostheses in patients with large bone defects in the knee joint?
  107. lncRNA HAGLR modulates myocardial ischemia–reperfusion injury in mice through regulating miR-133a-3p/MAPK1 axis
  108. Protective effect of ghrelin on intestinal I/R injury in rats
  109. In vivo knee kinematics of an innovative prosthesis design
  110. Relationship between the height of fibular head and the incidence and severity of knee osteoarthritis
  111. lncRNA WT1-AS attenuates hypoxia/ischemia-induced neuronal injury during cerebral ischemic stroke via miR-186-5p/XIAP axis
  112. Correlation of cardiac troponin T and APACHE III score with all-cause in-hospital mortality in critically ill patients with acute pulmonary embolism
  113. LncRNA LINC01857 reduces metastasis and angiogenesis in breast cancer cells via regulating miR-2052/CENPQ axis
  114. Endothelial cell-specific molecule 1 (ESM1) promoted by transcription factor SPI1 acts as an oncogene to modulate the malignant phenotype of endometrial cancer
  115. SELENBP1 inhibits progression of colorectal cancer by suppressing epithelial–mesenchymal transition
  116. Visfatin is negatively associated with coronary artery lesions in subjects with impaired fasting glucose
  117. Treatment and outcomes of mechanical complications of acute myocardial infarction during the Covid-19 era: A comparison with the pre-Covid-19 period. A systematic review and meta-analysis
  118. Neonatal stroke surveillance study protocol in the United Kingdom and Republic of Ireland
  119. Oncogenic role of TWF2 in human tumors: A pan-cancer analysis
  120. Mean corpuscular hemoglobin predicts the length of hospital stay independent of severity classification in patients with acute pancreatitis
  121. Association of gallstone and polymorphisms of UGT1A1*27 and UGT1A1*28 in patients with hepatitis B virus-related liver failure
  122. TGF-β1 upregulates Sar1a expression and induces procollagen-I secretion in hypertrophic scarring fibroblasts
  123. Antisense lncRNA PCNA-AS1 promotes esophageal squamous cell carcinoma progression through the miR-2467-3p/PCNA axis
  124. NK-cell dysfunction of acute myeloid leukemia in relation to the renin–angiotensin system and neurotransmitter genes
  125. The effect of dilution with glucose and prolonged injection time on dexamethasone-induced perineal irritation – A randomized controlled trial
  126. miR-146-5p restrains calcification of vascular smooth muscle cells by suppressing TRAF6
  127. Role of lncRNA MIAT/miR-361-3p/CCAR2 in prostate cancer cells
  128. lncRNA NORAD promotes lung cancer progression by competitively binding to miR-28-3p with E2F2
  129. Noninvasive diagnosis of AIH/PBC overlap syndrome based on prediction models
  130. lncRNA FAM230B is highly expressed in colorectal cancer and suppresses the maturation of miR-1182 to increase cell proliferation
  131. circ-LIMK1 regulates cisplatin resistance in lung adenocarcinoma by targeting miR-512-5p/HMGA1 axis
  132. LncRNA SNHG3 promoted cell proliferation, migration, and metastasis of esophageal squamous cell carcinoma via regulating miR-151a-3p/PFN2 axis
  133. Risk perception and affective state on work exhaustion in obstetrics during the COVID-19 pandemic
  134. lncRNA-AC130710/miR-129-5p/mGluR1 axis promote migration and invasion by activating PKCα-MAPK signal pathway in melanoma
  135. SNRPB promotes cell cycle progression in thyroid carcinoma via inhibiting p53
  136. Xylooligosaccharides and aerobic training regulate metabolism and behavior in rats with streptozotocin-induced type 1 diabetes
  137. Serpin family A member 1 is an oncogene in glioma and its translation is enhanced by NAD(P)H quinone dehydrogenase 1 through RNA-binding activity
  138. Silencing of CPSF7 inhibits the proliferation, migration, and invasion of lung adenocarcinoma cells by blocking the AKT/mTOR signaling pathway
  139. Ultrasound-guided lumbar plexus block versus transversus abdominis plane block for analgesia in children with hip dislocation: A double-blind, randomized trial
  140. Relationship of plasma MBP and 8-oxo-dG with brain damage in preterm
  141. Identification of a novel necroptosis-associated miRNA signature for predicting the prognosis in head and neck squamous cell carcinoma
  142. Delayed femoral vein ligation reduces operative time and blood loss during hip disarticulation in patients with extremity tumors
  143. The expression of ASAP3 and NOTCH3 and the clinicopathological characteristics of adult glioma patients
  144. Longitudinal analysis of factors related to Helicobacter pylori infection in Chinese adults
  145. HOXA10 enhances cell proliferation and suppresses apoptosis in esophageal cancer via activating p38/ERK signaling pathway
  146. Meta-analysis of early-life antibiotic use and allergic rhinitis
  147. Marital status and its correlation with age, race, and gender in prognosis of tonsil squamous cell carcinomas
  148. HPV16 E6E7 up-regulates KIF2A expression by activating JNK/c-Jun signal, is beneficial to migration and invasion of cervical cancer cells
  149. Amino acid profiles in the tissue and serum of patients with liver cancer
  150. Pain in critically ill COVID-19 patients: An Italian retrospective study
  151. Immunohistochemical distribution of Bcl-2 and p53 apoptotic markers in acetamiprid-induced nephrotoxicity
  152. Estradiol pretreatment in GnRH antagonist protocol for IVF/ICSI treatment
  153. Long non-coding RNAs LINC00689 inhibits the apoptosis of human nucleus pulposus cells via miR-3127-5p/ATG7 axis-mediated autophagy
  154. The relationship between oxygen therapy, drug therapy, and COVID-19 mortality
  155. Monitoring hypertensive disorders in pregnancy to prevent preeclampsia in pregnant women of advanced maternal age: Trial mimicking with retrospective data
  156. SETD1A promotes the proliferation and glycolysis of nasopharyngeal carcinoma cells by activating the PI3K/Akt pathway
  157. The role of Shunaoxin pills in the treatment of chronic cerebral hypoperfusion and its main pharmacodynamic components
  158. TET3 governs malignant behaviors and unfavorable prognosis of esophageal squamous cell carcinoma by activating the PI3K/AKT/GSK3β/β-catenin pathway
  159. Associations between morphokinetic parameters of temporary-arrest embryos and the clinical prognosis in FET cycles
  160. Long noncoding RNA WT1-AS regulates trophoblast proliferation, migration, and invasion via the microRNA-186-5p/CADM2 axis
  161. The incidence of bronchiectasis in chronic obstructive pulmonary disease
  162. Integrated bioinformatics analysis shows integrin alpha 3 is a prognostic biomarker for pancreatic cancer
  163. Inhibition of miR-21 improves pulmonary vascular responses in bronchopulmonary dysplasia by targeting the DDAH1/ADMA/NO pathway
  164. Comparison of hospitalized patients with severe pneumonia caused by COVID-19 and influenza A (H7N9 and H1N1): A retrospective study from a designated hospital
  165. lncRNA ZFAS1 promotes intervertebral disc degeneration by upregulating AAK1
  166. Pathological characteristics of liver injury induced by N,N-dimethylformamide: From humans to animal models
  167. lncRNA ELFN1-AS1 enhances the progression of colon cancer by targeting miR-4270 to upregulate AURKB
  168. DARS-AS1 modulates cell proliferation and migration of gastric cancer cells by regulating miR-330-3p/NAT10 axis
  169. Dezocine inhibits cell proliferation, migration, and invasion by targeting CRABP2 in ovarian cancer
  170. MGST1 alleviates the oxidative stress of trophoblast cells induced by hypoxia/reoxygenation and promotes cell proliferation, migration, and invasion by activating the PI3K/AKT/mTOR pathway
  171. Bifidobacterium lactis Probio-M8 ameliorated the symptoms of type 2 diabetes mellitus mice by changing ileum FXR-CYP7A1
  172. circRNA DENND1B inhibits tumorigenicity of clear cell renal cell carcinoma via miR-122-5p/TIMP2 axis
  173. EphA3 targeted by miR-3666 contributes to melanoma malignancy via activating ERK1/2 and p38 MAPK pathways
  174. Pacemakers and methylprednisolone pulse therapy in immune-related myocarditis concomitant with complete heart block
  175. miRNA-130a-3p targets sphingosine-1-phosphate receptor 1 to activate the microglial and astrocytes and to promote neural injury under the high glucose condition
  176. Review Articles
  177. Current management of cancer pain in Italy: Expert opinion paper
  178. Hearing loss and brain disorders: A review of multiple pathologies
  179. The rationale for using low-molecular weight heparin in the therapy of symptomatic COVID-19 patients
  180. Amyotrophic lateral sclerosis and delayed onset muscle soreness in light of the impaired blink and stretch reflexes – watch out for Piezo2
  181. Interleukin-35 in autoimmune dermatoses: Current concepts
  182. Recent discoveries in microbiota dysbiosis, cholangiocytic factors, and models for studying the pathogenesis of primary sclerosing cholangitis
  183. Advantages of ketamine in pediatric anesthesia
  184. Congenital adrenal hyperplasia. Role of dentist in early diagnosis
  185. Migraine management: Non-pharmacological points for patients and health care professionals
  186. Atherogenic index of plasma and coronary artery disease: A systematic review
  187. Physiological and modulatory role of thioredoxins in the cellular function
  188. Case Reports
  189. Intrauterine Bakri balloon tamponade plus cervical cerclage for the prevention and treatment of postpartum haemorrhage in late pregnancy complicated with acute aortic dissection: Case series
  190. A case of successful pembrolizumab monotherapy in a patient with advanced lung adenocarcinoma: Use of multiple biomarkers in combination for clinical practice
  191. Unusual neurological manifestations of bilateral medial medullary infarction: A case report
  192. Atypical symptoms of malignant hyperthermia: A rare causative mutation in the RYR1 gene
  193. A case report of dermatomyositis with the missed diagnosis of non-small cell lung cancer and concurrence of pulmonary tuberculosis
  194. A rare case of endometrial polyp complicated with uterine inversion: A case report and clinical management
  195. Spontaneous rupturing of splenic artery aneurysm: Another reason for fatal syncope and shock (Case report and literature review)
  196. Fungal infection mimicking COVID-19 infection – A case report
  197. Concurrent aspergillosis and cystic pulmonary metastases in a patient with tongue squamous cell carcinoma
  198. Paraganglioma-induced inverted takotsubo-like cardiomyopathy leading to cardiogenic shock successfully treated with extracorporeal membrane oxygenation
  199. Lineage switch from lymphoma to myeloid neoplasms: First case series from a single institution
  200. Trismus during tracheal extubation as a complication of general anaesthesia – A case report
  201. Simultaneous treatment of a pubovesical fistula and lymph node metastasis secondary to multimodal treatment for prostate cancer: Case report and review of the literature
  202. Two case reports of skin vasculitis following the COVID-19 immunization
  203. Ureteroiliac fistula after oncological surgery: Case report and review of the literature
  204. Synchronous triple primary malignant tumours in the bladder, prostate, and lung harbouring TP53 and MEK1 mutations accompanied with severe cardiovascular diseases: A case report
  205. Huge mucinous cystic neoplasms with adhesion to the left colon: A case report and literature review
  206. Commentary
  207. Commentary on “Clinicopathological features of programmed cell death-ligand 1 expression in patients with oral squamous cell carcinoma”
  208. Rapid Communication
  209. COVID-19 fear, post-traumatic stress, growth, and the role of resilience
  210. Erratum
  211. Erratum to “Tollip promotes hepatocellular carcinoma progression via PI3K/AKT pathway”
  212. Erratum to “Effect of femoral head necrosis cystic area on femoral head collapse and stress distribution in femoral head: A clinical and finite element study”
  213. Erratum to “lncRNA NORAD promotes lung cancer progression by competitively binding to miR-28-3p with E2F2”
  214. Retraction
  215. Expression and role of ABIN1 in sepsis: In vitro and in vivo studies
  216. Retraction to “miR-519d downregulates LEP expression to inhibit preeclampsia development”
  217. Special Issue Computational Intelligence Methodologies Meets Recurrent Cancers - Part II
  218. Usefulness of close surveillance for rectal cancer patients after neoadjuvant chemoradiotherapy
Downloaded on 3.12.2025 from https://www.degruyterbrill.com/document/doi/10.1515/med-2022-0588/html
Scroll to top button