Abstract
The present study explores the mechanism of resistance to pulmonary fibrosis by observing the possible effects of serum containing drugs prepared from Gua Lou Xie Bai decoction (GLXB-D) on transforming growth factor beta 1 (TGF-β1) induced Epithelial-mesenchymal transition (EMT) of A549 human alveolar epithelial cells. The inhibition rate was observed with the help of thiazolyl blue tetrazolium bromide (MTT) in 24 h and 48 h treated cells. Inverted microscope and transmission electron microscope (TEM) were used to study the changes in the morphology and ultrastructure of the cells. The expressions of E-cadherin and Vimentin were comparatively analyzed by Western blotting, while the expressions of Collagen I and III were analyzed by ELISA. The data obtained indicated that the expression of epithelial marker E-cadherin was decreased, while the expressions of EMT markers such as Vimentin and Collagen I and III were increased in 24 h after TGF-β1 induction. However, the serum containing drugs of GLXB-D were found to inhibit the TGF-β1 induced proliferation of cells, increase the expression of E-cadherin and decrease the expression of Vimentin, collagen I and III. In conclusion, the serum containing drugs of GLXB-D effectively reduced pulmonary fibrosis, mainly via the reversal of EMT induction by TGF-β1. Thus, it can be considered as a potential candidate for the development of better treatment methods for pulmonary fibrosis.
1 Introduction
Pulmonary fibrosis (PF) is a chronic lung disease which is characterized by progressive interstitial fibrosis and progressive dyspnea. The severity of the disease is further enhanced due to its poor prognosis and high rates of morbidity and mortality [1], Furthermore, the exact etiology and pathogenic mechanisms of the disease are yet to be fully understood. Referring to the ancient literature based on traditional Chinese medicine, many modern scholars have ascribed pulmonary fibrosis as “lung impotent”, “lung paralysis”, “gasp syndrome” and “collateral diseases” [2,3]. The rates of incidence of pulmonary fibrosis in various regions across the world are increasing year by year, especially due to the increasing levels of environmental pollution. It is, therefore, imperative to get further insights into the process of pathogenesis of the disease and develop more effective prevention and treatment methods. Among the various pathogenic factors of PF, epithelial-mesenchymal transition (EMT), which plays a crucial role in the manifestation of pulmonary fibrosis, has attracted a lot of attention [4]. More specifically, the mechanism underlying TGF-β1-induced EMT has become the hotspot of pulmonary fibrosis research. TGF-β1 is a multifunctional cytokine that regulates tissue morphogenesis and differentiation. It also controls various other processes including cell proliferation, differentiation, apoptosis, and extracellular matrix production. TGF-β1 has been implicated as a “master switch” in the induction of fibrosis in many tissues, including the lungs [5]. During the process of EMT, E-cadherin, the epithelial markers, lose their polarity and decrease in expression; while, the mesenchymal markers, namely vimentin, fibronectin, collagen I and III increase in expression and the cytoskeleton gets reorganized to spindle form [6]. E-cadherin is a calcium-dependent transmembrane glycoprotein which is expressed in most epithelial cells. It is responsible for cell polarity and tissue structure determination. Vimentin is an intermediate filament protein that is ubiquitously expressed in normal mesenchymal cells. It is responsible for maintaining cellular architecture and tissue integrity. It also plays crucial roles in tumorigenesis, EMT and metastatic spread of cancer [7].
Gua Lou and Xie Bai, are the two most recommended Chinese herbs for relieving chest stuffiness. As per the “Synopsis of Golden Chamber,” they can be used for the treatment of “obstruction of qi in the chest” and “lung paralysis”. They are considered the most classic traditional Chinese medicines that can function as expectorants, for removing obstructions inside lungs. Our previous research studies were mostly focused on the possible “in vivo” intervention effects of GLXB-D on pulmonary fibrosis. The results obtained from these studies indicated that GLXB-D can significantly reduce rat pulmonary fibrosis [8,9,10,11], especially due to its ability to inhibit TGF-β1 induced EMT in A549 cells. However, the exact mechanism of action of these traditional medicines remains unclear [12]. The present study was designed to investigate the effects of serum containing drugs of GLXB-D on “in vitro” TGF-β1 induced EMT of A549 cells, and further expound the anti-fibrosis mechanism of GLXB-D.
2 Methods
2.1 Drugs and reagents
Recombinant human TGF-β1 was purchased from PEPROTECH Company (Rocky Hill, USA). Gua Lou (160201) and Xie Bai (20150801) were obtained from Third affiliated hospital, Henan University of Traditional Chinese Medicine. Other chemicals and reagents used in the study include: BCA Protein Assay Kit (Beyotime Biotechnology Company, Shanghai, China), rabbit-anti-E-cadherin primary antibodies (Proteintech Group, Inc. Wuhan, China), rabbit-anti-Vimentin, HRP-conjugated goat anti-rabbit IgG secondary antibody (Boster Biotechnology Company, Wuhan, China), Human Collagen I (AK0016JUL09014) and III (AK0016JUL09013) ELISA Kit (Elabscience Biotechnology Co., Ltd). Osmic acid, plumbum and uranium were obtained from Ted Pella Inc, CA, USA.
2.2 Instruments
Thermo Scientific Series CO2 incubator (DYCZ-40, Thermo, USA); iMark microplate reader (Thermo, MA, USA); Ultra-thin slicing machine (LEICA, Germany) and Transmission electron microscopy (JEM-1400, JEOL, Japan).
2.3 Cell line and culture conditions
The A549 human alveolar epithelial cell line was provided by KeyGen Biotechnology Co., Ltd (Nanjing, China). The cell line was grown in 1640 medium (Beijing Solarbio science&technology Co. Ltd., China) supplemented with 10% fetal bovine serum (FBS; Gibco, NY, USA). The cells were incubated at 37°C in a humidified atmosphere with 5% CO2.
2.4 Experimental animals
New Zealand male rabbits, each weighing 2.5–3.0 kg were purchased from Jinfeng laboratory animal Co. Ltd (SCXK20140006, Jinan, China). All animals were allowed free access to diet and water in a room with temperature (16–26°C), relative humidity (40%–70%) and 12:12 h light dark cycle. This study has been approved by the ethical committee of the Animal Experimental Center of Henan University of Chinese Medicine.
2.5 GLXB-D preparation
Gua Lou (Trichosanthes kirilowii (Maxim)) and Xie Bai (Allium macrostemon (Bge.)) were mixed in a ratio of 2:1, soaked 30 min and decocted two times, 25 min and 15 min The soup thus formed was filtrated and decocted for 1 h. The final solution obtained was concentrated to 1.73 g/mL and kept in 4°C.
2.6 Drug serum preparation
The New Zealand male rabbits used in the study were randomly divided into two groups, the blank control group and GLXB-D group (n = 6 per group), weight was not different between groups. In the first seven days, all rabbits were given pellet feed and adequate amounts of water, after which they were fasted for 10–12 h just before the treatment. The GLXB-D group rabbits were intragastrically administered with GLXB-D formulation, while, the control group received the same volume of saline. Each rabbit was treated with 30 mL clinical equivalent dose for 1 week, twice daily. After the last treatment for 2 h, all rabbits were narcotized with the help of administration of 10% chloral hydrate saline solution and collected aortaventralis blood under aseptic conditions. The blood was standed for 2 h at room temperature and centrifuged at 3000r/min for 15 min. The supernatant drug serum and the blank control serum were collected and inactivated by placing them in a water bath at 56°C for 30 min and then filtered through a microporous membrane (0.22 μm).
2.7 Cells culture and experimental groups
A549 cells were cultured in RPMI 1640 medium supplemented with 10% fetal bovine serum (FBS), in an incubator with 5% CO2 at 37°C. The A549 cells (5×104 cells/ mL) were first seeded on culture bottles and were randomly divided into 5 groups, including control group, TGF-β1 induced group and GLXB-D groups with variable concentrations (5 ng/mL TGF-β1 + 5%, 10% and 15% GLXB-D drug serum). To the control group was added 10% rabbit blank control serum, and the TGF-β1-induced group had added 5 ng/mL TGF-β1+10% rabbit blank control group serum.
2.8 Morphological observation and quantification analysis
The morphological changes in A549 cells treated with GLXB-D drug serum for 24 h and the control group were observed directly under an inverted microscope. Furthermore, the roundness of cells was comparatively analyzed with the help of Image Pro Plus 6.0 software [13].
2.9 Cell growth inhibition assay
A549 cells in the logarithmic phase were seeded on 96-well plates with 8×103 cells/well in 200 μL medium. The wells were divided into five groups of four each based on the type of treatments as specified above. The control 1640 medium was matched with 5 ng/mL TGF-β1 and different concentrations of GLXB-D drug serum (5%, 10%, 15%) in a final volume of 200 μL. After incubation for 24 h and 48 h, 20 μL MTT (4.8 mmol/L) was added to each well. The mixture medium was sucked out after 4 h, and DMSO (150 μL/well) was added. The optical density values (OD value) of the wells were detected at 490 nm. The inhibitory rate of the treated samples was calculated with the following equation:
2.10 Western blot and hybridization of E-cadherin and Vimentin
All cells treated for 24 h were collected and total protein was extracted from them with cell lysis buffer. The protein concentration was calculated with the help of the BCA protein concentration determination kit. Equal quantities of the isolated protein (40μg) from each group were electrophoresed on 8% separating gel and 5% stacking gel. The separated proteins were then transferred to a PVDF membrane which was blocked by incubating it with 5% skimmed milk for 2 h at room temperature along with shaking. This was followed by washing, after which the membrane was incubated overnight at 4°C in the presence of primary antibody against E-cadherin and Vimentin. The antibodies were used in the following dilutions: E-cadherin-1:2000; Vimentin-1:500; GAPDH-1:1000. This step was followed by washing, after which the membrane was incubated with secondary antibody: HRP-conjugated goat anti-rabbit IgG (1:50000) at 37°C for 2 h on a shaker. The bands thus formed due to hybridization were visualized by chemiluminescence (ECL) and the grey value was analyzed with the help of BandScan software. Target proteins levels were normalized by GAPDH.
2.11 Collagen I and III measurements by ELISA
Collagen I and III in cell culture supernatants of the cultures treated for 24 h and 48 h were quantified using the Human Collagen I and III ELISA Kit. The procedure followed was according to the manufacturer’s protocol.
2.12 Ultrastructure analysis of A549 cells
The ultrastructure of A549 cells treated with the fresh 1640 medium matching with 5 ng/mL TGF-β1 and different concentrations of GLXB-D drug serum (5%, 10%, 15%) for 24 h was analyzed with the help of a Transmission Electron Microscope (TEM). The cells were first fixed with cold 4% glutaraldehyde solution for 4 h. They were then scraped and centrifuged; and fixed with new 4% glutaraldehyde again. The fixed samples were then rinsed with PBS and fixed with 1% osmic acid for 90 min. The fixed cells were then dehydrated with acetone by using it in order of low to high concentration. The cells were then polymerized with 812 epoxy resin, sliced and double dyed by lead and uranium. TEM was used to assess the changes in the ultrastructure of these processed A549 cells.
2.13 Statistical analyses
Statistical analysis was done with the SPSS 17.0 software. Data were described as mean ± SD and analyzed by one-way ANOVA. Differences were considered to be significant if P < 0.05.
3 Results
3.1 Morphological observation and quantification analysis
As observed under an inverted microscope, the morphology of A549 cells in control group was circular, polygonal or cobble-shaped. The space between cells was found to be close (Figure 1A). It was also observed that when A549 cells were inducted by TGF-β1, the morphology of the cells changed and they became long and spindle-shaped. Furthermore, some cells were found to produce pseudopodia which increased the intercellular distance (Figure 1B). Compared with the control group, the roundness of cells was markedly decreased (P < 0.05). However, in GLXB-D drug serum groups, the morphology of cells was shorter and rounder than the TGF -β1 induced group, even the cobble-shape of the cells were found to be restored. Compared with the TGF-β1-inducted group, the roundness of cells was markedly increased (P < 0.05) (Figure 1C, D, E).

Changes in the morphology and roundness values of A549 cells stimulated by different concentrations of GLXB-D drug serum and TGF-β1 for 24h (×200). (A): control group; (B): 5ng/mL TGF-β1 induced group; (C): 5% GLXB-D drug serum group; (D): 10% GLXB-D drug serum group; (E): 15% GLXB-D drug serum group. Comparison with control group: *P<0.05; comparison with the TGF-β1 induced group: #P<0.05.
3.2 The effects of different concentrations of GLXB-D drug serum and TGF-β1on A549 cells proliferation
To verify the effect of GLXB-D drug serum on cell proliferation, A549 cells’ viability was assessed with the help of MTT assay at 24 h and 48 h of treatment. The OD value of cells induced by TGF-β1 showed no significant differences when compared with control group (P > 0.05). However, statistically significant differences were observed in the GLXB-D drug serum groups (5%, 10%, 15%) (P < 0.05). It was evident that extension of time and the increase of concentration of GLXB-D caused increase in the cell proliferation inhibition rate in a dose- and time-dependent manner (Table 1). The proliferation inhibition rate of 35.7% in 15% GLXB-D drug serum group was the highest observed in the study.
Inhibitory effects of different concentrations of GLXB-D drug serum on A549 induced by TGF-β1(n=3, x±s).
| Groups | 24h | 48h | ||
|---|---|---|---|---|
| OD value | Inhibition ratio (%) | OD value | Inhibition ratio (%) | |
| control group | 0.609±0.023 | - | 1.109±0.046 | - |
| 5 ng/mL TGF-β1 induced group | 0.617±0.015 | - | 1.046±0.087 | - |
| 5% GLXB-D drug serum | 0.547±0.041[*] | 11.3% | 0.926±0.023[*] | 16.5% |
| 10% GLXB-D drug serum | 0.476±0.068[*] | 21.9% | 0.843±0.044[*] | 24.0% |
| 15% GLXB-D drug serum | 0.437±0.025[*] | 28.3% | 0.713±0.034[*] | 35.7% |
Note: Comparison with control group
3.3 Expression of Epithelial cell marker E-cadherin and Interstitial cell marker Vimentin
It was observed that A549 cells induced by TGF-β1 had significantly lower (P < 0.05) levels of expression of E-cadherin, an epithelial cell marker. Conversely, the expression of Vimentin, an interstitial cell marker was considerably increased in the TGF-β1 induced A549 cells. However, when the cells were treated with GLXB-D (24h) the expression of E-cadherin was increased (P < 0.05) and the expression of Vimentin was reduced (P < 0.05) (Figure 2A, B).

Western blot results showing the expression levels of A549 cells treated with different concentrations of GLXB-D drug serum and TGF-β1 for 24 h . (A): The protein expression straps of E-cadherin and Vimentin; (B): The grey value ratio of expressions of E-cadherin and Vimentin. (1) control group; (2) 5ng/mL TGF-β1 induced group; (3) 5% GLXB-D drug serum group; (4) 10% GLXB-D drug serum group; (5) 15% GLXB-D drug serum group.
3.4 The expressions of human Collagen I and III
The concentration of collagen I and III were quantified in culture supernatants of cells that were treated for 24 h to 48 h. We found that the expression of Collagen I in the TGF-β1 induced group was increased as compared to the control group (P < 0.05) (Table 2). Furthermore, when compared with the TGF-β1 induced group, the expressions of Collagen I and III in the GLXB-D drug serum groups were all decreased (P < 0.05). As shown in Table 2 and Table 3, the expressions of Collagen I and III decreased in a dose-dependent manner (5%-15% GLXB-D drug serum).
The effects of different concentrations of GLXB-D drug serum on the expression of Collagen I in A549 cells (n=3, x±s)
| Group | n | 24h | 48h |
|---|---|---|---|
| control group | 3 | 9.664±0.091 | 19.182±0.157 |
| 5ng/mL TGF-β1 induced group | 3 | 10.688±0.065[*] | 20.745±0.094[*] |
| 5% GLXB-D drug serum | 3 | 10.315±0.103[*][#] | 18.455±0.146[*][#] |
| 10% GLXB-D drug serum | 3 | 10.032±0.145[*][#] | 17.930±0.078[*][#] |
| 15% GLXB-D drug serum | 3 | 9.162±0.126[*][#] | 15.274±0.086[*][#] |
Note: Comparison with control group: Comparison with the TGF-±1 induced group
The effects of different concentrations of GLXB-D drug serum on the expression of Collagen III of A549 cells (n=3, x±s)
| Group | n | 24h | 48h |
|---|---|---|---|
| control group | 3 | 0.878±0.012 | 1.176±0.097 |
| 5ng/mL TGF-β1 induced group | 3 | 6.350±0.065[*] | 11.77 2±0.038[*] |
| 5% GLXB-D drug serum | 3 | 3.957±0.129[*][#] | 8.479±0.083[*][#] |
| 10% GLXB-D drug serum | 3 | 3.730±0.037[*][#] | 7.015±0.127[*][#] |
| 15% GLXB-D drug serum | 3 | 2.817±0.025[*][#] | 4.544±0.129[*][#] |
Note: Comparison with control group: Comparison with the TGF-±1 induced group
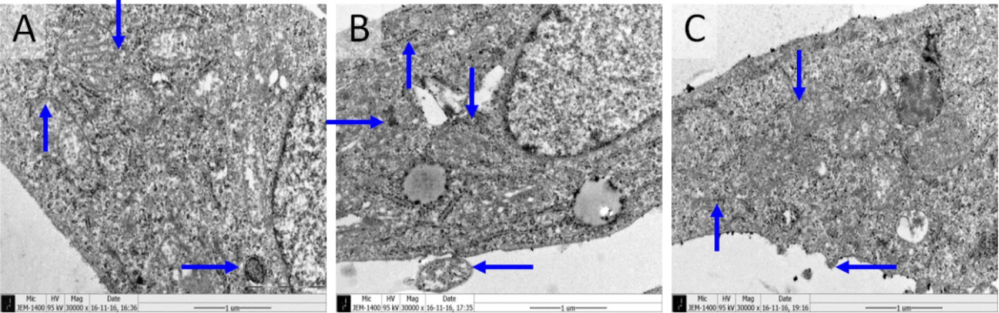
3.5 Changes in Cell ultrastructure
After A549 cells were induced by TGF-β1 for 24h, the ultrastructure changes in cells were observed directly with TEM. Many lamellar bodies, mitochondria and rough endoplasmic reticulum were found in cytoplasm of cells of the control group while, many microvilli were distributed on the cell surface (Figure 3A). After the cells were induced by TGF-β1 for 24 h, TEM images revealed vacuolar degeneration of lamellar bodies in cytoplasm. Furthermore, it was also observed that the number of lamellar bodies was significantly reduced (Figure 3B). These cytological changes indicate that cells induced by TGF-β1 for 24h may have undergone EMT. Interestingly, the number and morphology of lamellar bodies in GLXB-D drug serum groups was close to normal (Figure 3C).

Representative transmission electron microscopic pictures of the ultrastructure of cells (Lead and uranium double staining, ×30000). A: control group; B: 5ng/mL TGF-β1 induced group; C: 15% GLXB-D drug serum group. Lamellar bodies (→), Microvilli (←), Mitochondria (↓), Rough endoplasmic reticulum (↑).
4 Discussion
PF is a chronic interstitial pathological condition of the lungs which is characterized by increased proliferation of fibroblasts and accumulation of extracellular matrix (ECM) [1]. The process of EMT has been recognized to play an indispensable role in the process of fibrosis. Conversely, inhibition of EMT may thus help in treating lung fibrosis progression [14]. Though occurrence of EMT in lung tissues have already been demonstrated in several in vivo experiments, meanwhile, the same in type II alveolar epithelial cells have been studied in “in vitro” studies [15]. Furthermore, some studies found that TGF-β, a key fibrogenic cytokine, plays an important role in the process of stimulating pulmonary interstitial matrix deposition [16,17]. In normal mammalian epithelial cells, the TGF-β is a main facilitator of EMT in pulmonary fibrosis in renal tubular epithelial cells, corneal epithelium cells and alveolar epithelial cells [18]. Our findings illuminated that the phenotypic changes of A549 cells induced by TGF-β1 can be clearly observed both under inverted microscope and TEM.
EMT is considered as a complex process of cellular reprogramming in which the cells phenotype changes from epithelial to interstitial during which the motility and invasion ability of cells gets strengthened. It has previously been established that during this process, the special “cell-cell” junctions are gradually weakened, suppressed, shifted and even eliminated. The main molecular changes that were concurrent with the above mentioned cytological modifications decreased in the expression of epithelial markers, such as E-cadherin and Keratin; and increased in the expression of mesenchymal markers, such as N-mucins and Vimentin [19]. In addition, collagen protein is the extracellular matrix protein which can be synthesized and secreted by epithelial cells and fibroblasts. It is well known that the excessive expression of collagen can cause multiple organ pathological fibrosis. Some research shows that the morphology of A549 cells induced by TGF-β1 was changed from epithelial form into myofibroblast form due to a decrease in the expression of E-cadherin and an increase in the expression of Vimentin and Collagen I and III [20]. GLXB-D is a preparation consisting of Trichosanthes kirilowii (Maxim) and Allium macrostemon (Bge.) in a weight ratio of 2:1 [21]. Previously, we have showed that GLXB-D protected rats from pulmonary fibrosis [8,9,10,11]. In the present study, the results obtained from MTT assay analysis showed that GLXB-D could inhibit the TGF-β1 induced proliferation of cells. It was also observed that increase of serum containing drugs concentration causes an increase in the inhibition rate. The ultrastructure changes in cells induced by TGF-β1 suggest that the specific structures of epithelial cells begin to disappear. Moreover, the number of mitochondria and rough endoplasmic reticulum were increased. Furthermore, the rough endoplasmic reticulum (RER) was observed to expand and fill with floccus which indicates an increase in collagen production. Study of morphology and ultrastructure of cells treated with GLXB-D drug-containing serum groups indicated that the cells became shorter and even got restored to their previous cobble-shaped. Additionally, the lamellar bodies were also restored to their earlier form and number. This indicates that different concentrations of GLXB-D serum containing drug can inhibit the EMT process induced by TGF-β1.
5 Conclusions
Our study confirmed that GLXB-D can maintain the stability of cell morphology and prevent the transformation of epithelial cells to fibroblast cells. The effects of GLXB-D on cellular proliferation and pulmonary fibrosis may be related to inhibiting the TGF-β1 signaling pathway by down-regulating expressions of E-cadherin and up-regulating Vimentin and Collagen I and III expression. These findings raise the possibility that GLXB-D is a potential effective drug for the treatment of pulmonary fibrosis.
Acknowledgments
This study was subsidized by the Colleges key scientific research project of Henan province (17A310020) and Natural science foundation key research projects of Henan province (142102310504).
Conflict of interest: Authors state no conflict of interest.
References
[1] Zhou W.Ch., Mo X.T., Cui W.H., Zhang Zh.H., Li D.L., Li L.Ch., et al., Nrf2 inhibits epithelial mesenchymal transition by suppressing snail expression during pulmonary fibrosis, Scientific Reports, 2016, 6, 38646, 10.1038/srep38646.Search in Google Scholar PubMed PubMed Central
[2] Zheng Y.Y., Wu F.R., The intervention effect of Chrysanthemum indicum polysaccharide on pulmonary fibrosis in rats, Acta Universitatis Medicinalis Anhui, 2011, 46(12), 1271-1274.Search in Google Scholar
[3] Li X., Theory of xiao-yan gong treatment of pulmonary fibrosis, Liaoning Journal of Traditional Chinese Medicine, 2012, 39(1), 47-48.Search in Google Scholar
[4] Ohbayashi M., Kubota S., Kawase A., Kohyama N., Kobayashi Y., Yamamoto T., et al., Involvement of epithelial mesenchymal transition in methotrexate-induced pulmonary fibrosis, The Journal of Toxicological Sciences, 2014, 39(2), 319-330.10.2131/jts.39.319Search in Google Scholar PubMed
[5] Brigham C., Willis, Zea B., TGF-β-induced EMT: mechanisms and implications for fibrotic lung disease, American journal of physiologiy, Lung cellular and molecular physiology, 2007, 293, L525-L534.10.1152/ajplung.00163.2007Search in Google Scholar PubMed
[6] Zou Y., Zeng Y.L., Influence OF jnk signaling pathway in the epithelial-mesenchymal transition process of human alveolar epithelial cells induced by TGF-β1, Huazhong university of science and technology (medical sciences), 2014, 43(6), 658-662.Search in Google Scholar
[7] Liu P.F., Kang B.H., Wu Y.M., Sun J.H., Yen L.M., F T.Y., et al., Vimentin is a potential prognostic factor for tongue squamous cell carcinoma among five epithelial–mesenchymal transition-related proteins, PLoS ONE, 2017, https://doi.org/10.1371/journal.pone.0178581.10.1371/journal.pone.0178581Search in Google Scholar PubMed PubMed Central
[8] Song J.P., Li R.Q., Li W., Liu F.Zh., Zhang R., Jia Y.Y., et al., Effect of Gualouxiebai Decoction on TGF-B1expression of lung in rats with pulmonary fibrosis, Journal of Beijing University of Traditional Chinese Medicine, 2005, 28(2), 40-43.Search in Google Scholar
[9] Li RQ, Song JP, Zhang R, Li W, Li T, Yang JM, Effect of GualouxiebaiSoup (GLXBS) on the initial stage of pulmonary fibrosis induced by bleomycin A5 in rats, Pharmacology and Clinics of Chinese Materia Medica, 2009, 25(3), 6-8.Search in Google Scholar
[10] Song J.P., Xie Zh.L., Li W., Li R.Q., Zhang R., Yang M.F., Intervention of Gualou Xiebai Decoction on Pulmonary Fibrosis Formation Stage, Chinese Journal of Experimental Traditional Medical Formulae, 2011, 17(10), 140-143.Search in Google Scholar
[11] Song J.P., Xie Zh.L., Li W., Li R.Q., Zhang R., Yang M.F., Effects of GualouXiebai decoction on DA, NE and 5-HT of hypothalamus and hippocampus in pulmonary fibrosis formation stage of rats, Chinese Journal of Basic Medicine in Traditional Chinese Medicine, 2011, 17(6), 624-626.Search in Google Scholar
[12] J D.R., Gualou Xiebai Decoction inhibited TGF-β1 induced fibrosis effect of A549 cells, Master’s theses, Jilin agricultural university, Jilin, China, 2014.Search in Google Scholar
[13] Ren Zh.X., Yu H.B., Li J.Sh., Shen J.L., Du W.S., Suitable parameter choice on quantitative morphology of A549 cell in epithelial–mesenchymal transition, Bioscience Reports, 2015, 35(3), e00202, 10.1042/BSR20150070.Search in Google Scholar PubMed PubMed Central
[14] Y T., Chen M.M., Sun T.Y., Simvastatin Attenuates TGF-β1-Induced Epithelial-Mesenchymal Transition in Human Alveolar Epithelial Cells, Cell Physiology Biochemistry, 2013, 31, 863-874.10.1159/000350104Search in Google Scholar PubMed
[15] Chang Y.F., The preliminary study on the mechanism of cadmium-induced pulmonary fibrosis, PhD theses, Central South University, Hunan, China, 2013.Search in Google Scholar
[16] Hua Zh., Pang L.J., Zhao Zh.X., Liu Ch., Zheng W.D., Zang N.Z., et al., The summarization of the study of different signal transduction pathways in the pulmonary fibrosis, Liaoning Journal of Traditional Chinese Medicine, 2015, 17(8), 64-67.Search in Google Scholar
[17] Guan R.J., Wang X., Zhao X.M, Song N.N., Zhu J.M., Wang J.J., et al., Emodin ameliorates bleomycin induced pulmonary fibrosis in rats by suppressing epithelial mesenchymal transition and fibroblast activation, Scientific Reports, 2016, 6, 35696, 10.1038/srep35696.Search in Google Scholar PubMed PubMed Central
[18] Willis B.C., Borok Z., TGF-β-induced EMT: mechanisms and implications for fibrotic lung disease, American Journal of Physiology Lung Cellular and Molecular Physiology, 2007, 293(3), L525-L534, 10.1152/ajplung.00163.Search in Google Scholar
[19] Xu J., Lamouille S., Derynck R., TGF-β1induced-epithelial to mesenchymal transition, Cell Research, 2009, 19, 156-172.10.1038/cr.2009.5Search in Google Scholar PubMed PubMed Central
[20] Deng H.J., Li Sh.F., Sun Y., Zhang L.J., Xue X.X., Shi-pu D., et al., Effects of Ac-SDKP on Epithelial-Mesenchymal Transition of Human Type ⍰ Alveolar Epithelial Cells, Journal of Environment and Occupation Medicine, 2015, 32(2), 113-117.Search in Google Scholar
[21] Ding Y.F., Peng Y.R., Shen H., Shu L., Wei Y.J., Gualou Xiebai decoction inhibits cardiac dysfunction and inflammation in cardiac fibrosis rats, BioMedical Central Complementary and Alternative Medicine, 2016, 16, 49.10.1186/s12906-016-1012-5Search in Google Scholar PubMed PubMed Central
© 2018 Rui-qin Li et al., published by De Gruyter
This work is licensed under the Creative Commons Attribution-NonCommercial-NoDerivatives 4.0 License.
Articles in the same Issue
- Regular Articles
- The effect of CuO modification for a TiO2 nanotube confined CeO2 catalyst on the catalytic combustion of butane
- The preparation and antibacterial activity of cellulose/ZnO composite: a review
- Linde Type A and nano magnetite/NaA zeolites: cytotoxicity and doxorubicin loading efficiency
- Performance and thermal decomposition analysis of foaming agent NPL-10 for use in heavy oil recovery by steam injection
- Spectroscopic (FT-IR, FT-Raman, UV, 1H and 13C NMR) insights, electronic profiling and DFT computations on ({(E)-[3-(1H-imidazol-1-yl)-1-phenylpropylidene] amino}oxy)(4-nitrophenyl)methanone, an imidazole-bearing anti-Candida agent
- A Simplistic Preliminary Assessment of Ginstling-Brounstein Model for Solid Spherical Particles in the Context of a Diffusion-Controlled Synthesis
- M-Polynomials And Topological Indices Of Zigzag And Rhombic Benzenoid Systems
- Photochemical Transformation of some 3-benzyloxy-2-(benzo[b]thiophen-2-yl)-4Hchromen-4-ones: A Remote Substituent Effect
- Dynamic Changes of Secondary Metabolites and Antioxidant Activity of Ligustrum lucidum During Fruit Growth
- Studies on the flammability of polypropylene/ammonium polyphosphate and montmorillonite by using the cone calorimeter test
- DSC, FT-IR, NIR, NIR-PCA and NIR-ANOVA for determination of chemical stability of diuretic drugs: impact of excipients
- Antioxidant and Hepatoprotective Effects of Methanolic Extracts of Zilla spinosa and Hammada elegans Against Carbon Tetrachlorideinduced Hepatotoxicity in Rats
- Prunus cerasifera Ehrh. fabricated ZnO nano falcates and its photocatalytic and dose dependent in vitro bio-activity
- Organic biocides hosted in layered double hydroxides: enhancing antimicrobial activity
- Experimental study on the regulation of the cholinergic pathway in renal macrophages by microRNA-132 to alleviate inflammatory response
- Synthesis, characterization, in-vitro antimicrobial properties, molecular docking and DFT studies of 3-{(E)-[(4,6-dimethylpyrimidin-2-yl)imino]methyl} naphthalen-2-ol and Heteroleptic Mn(II), Co(II), Ni(II) and Zn(II) complexes
- M-Polynomials and Topological Indices of Dominating David Derived Networks
- Human Health Risk Assessment of Trace Metals in Surface Water Due to Leachate from the Municipal Dumpsite by Pollution Index: A Case Study from Ndawuse River, Abuja, Nigeria
- Analysis of Bowel Diseases from Blood Serum by Autofluorescence and Atomic Force Microscopy Techniques
- Hydrographic parameters and distribution of dissolved Cu, Ni, Zn and nutrients near Jeddah desalination plant
- Relationships between diatoms and environmental variables in industrial water biotopes of Trzuskawica S.A. (Poland)
- Optimum Conversion of Major Ginsenoside Rb1 to Minor Ginsenoside Rg3(S) by Pulsed Electric Field-Assisted Acid Hydrolysis Treatment
- Antioxidant, Anti-microbial Properties and Chemical Composition of Cumin Essential Oils Extracted by Three Methods
- Regulatory mechanism of ulinastatin on autophagy of macrophages and renal tubular epithelial cells
- Investigation of the sustained-release mechanism of hydroxypropyl methyl cellulose skeleton type Acipimox tablets
- Bio-accumulation of Polycyclic Aromatic Hydrocarbons in the Grey Mangrove (Avicennia marina) along Arabian Gulf, Saudi Coast
- Dynamic Change of Secondary Metabolites and spectrum-effect relationship of Malus halliana Koehne flowers during blooming
- Lipids constituents from Gardenia aqualla Stapf & Hutch
- Effect of using microwaves for catalysts preparation on the catalytic acetalization of glycerol with furfural to obtain fuel additives
- Effect of Humic Acid on the Degradation of Methylene Blue by Peroxymonosulfate
- Serum containing drugs of Gua Lou Xie Bai decoction (GLXB-D) can inhibit TGF-β1-Induced Epithelial to Mesenchymal Transition (EMT) in A549 Cells
- Antiulcer Activity of Different Extracts of Anvillea garcinii and Isolation of Two New Secondary Metabolites
- Analysis of Metabolites in Cabernet Sauvignon and Shiraz Dry Red Wines from Shanxi by 1H NMR Spectroscopy Combined with Pattern Recognition Analysis
- Can water temperature impact litter decomposition under pollution of copper and zinc mixture
- Released from ZrO2/SiO2 coating resveratrol inhibits senescence and oxidative stress of human adipose-derived stem cells (ASC)
- Validated thin-layer chromatographic method for alternative and simultaneous determination of two anti-gout agents in their fixed dose combinations
- Fast removal of pollutants from vehicle emissions during cold-start stage
- Review Article
- Catalytic activities of heterogeneous catalysts obtained by copolymerization of metal-containing 2-(acetoacetoxy)ethyl methacrylate
- Antibiotic Residue in the Aquatic Environment: Status in Africa
- Regular Articles
- Mercury fractionation in gypsum using temperature desorption and mass spectrometric detection
- Phytosynthetic Ag doped ZnO nanoparticles: Semiconducting green remediators
- Epithelial–Mesenchymal Transition Induced by SMAD4 Activation in Invasive Growth Hormone-Secreting Adenomas
- Physicochemical properties of stabilized sewage sludge admixtures by modified steel slag
- In Vitro Cytotoxic and Antiproliferative Activity of Cydonia oblonga flower petals, leaf and fruit pellet ethanolic extracts. Docking simulation of the active flavonoids on anti-apoptotic protein Bcl-2
- Synthesis and Characterization of Pd exchanged MMT Clay for Mizoroki-Heck Reaction
- A new selective, and sensitive method for the determination of lixivaptan, a vasopressin 2 (V2)-receptor antagonist, in mouse plasma and its application in a pharmacokinetic study
- Anti-EGFL7 antibodies inhibit rat prolactinoma MMQ cells proliferation and PRL secretion
- Density functional theory calculations, vibration spectral analysis and molecular docking of the antimicrobial agent 6-(1,3-benzodioxol-5-ylmethyl)-5-ethyl-2-{[2-(morpholin-4-yl)ethyl] sulfanyl}pyrimidin-4(3H)-one
- Effect of Nano Zeolite on the Transformation of Cadmium Speciation and Its Uptake by Tobacco in Cadmium-contaminated Soil
- Effects and Mechanisms of Jinniu Capsule on Methamphetamine-Induced Conditioned Place Preference in Rats
- Calculating the Degree-based Topological Indices of Dendrimers
- Efficient optimization and mineralization of UV absorbers: A comparative investigation with Fenton and UV/H2O2
- Metabolites of Tryptophane and Phenylalanine as Markers of Small Bowel Ischemia-Reperfusion Injury
- Adsorption and determination of polycyclic aromatic hydrocarbons in water through the aggregation of graphene oxide
- The role of NR2C2 in the prolactinomas
- Chromium removal from industrial wastewater using Phyllostachys pubescens biomass loaded Cu-S nanospheres
- Hydrotalcite Anchored Ruthenium Catalyst for CO2 Hydrogenation Reaction
- Preparation of Calcium Fluoride using Phosphogypsum by Orthogonal Experiment
- The mechanism of antibacterial activity of corylifolinin against three clinical bacteria from Psoralen corylifolia L
- 2-formyl-3,6-bis(hydroxymethyl)phenyl benzoate in Electrochemical Dry Cell
- Electro-photocatalytic degradation of amoxicillin using calcium titanate
- Effect of Malus halliana Koehne Polysaccharides on Functional Constipation
- Structural Properties and Nonlinear Optical Responses of Halogenated Compounds: A DFT Investigation on Molecular Modelling
- DMFDMA catalyzed synthesis of 2-((Dimethylamino)methylene)-3,4-dihydro-9-arylacridin-1(2H)-ones and their derivatives: in-vitro antifungal, antibacterial and antioxidant evaluations
- Production of Methanol as a Fuel Energy from CO2 Present in Polluted Seawater - A Photocatalytic Outlook
- Study of different extraction methods on finger print and fatty acid of raw beef fat using fourier transform infrared and gas chromatography-mass spectrometry
- Determination of trace fluoroquinolones in water solutions and in medicinal preparations by conventional and synchronous fluorescence spectrometry
- Extraction and determination of flavonoids in Carthamus tinctorius
- Therapeutic Application of Zinc and Vanadium Complexes against Diabetes Mellitus a Coronary Disease: A review
- Study of calcined eggshell as potential catalyst for biodiesel formation using used cooking oil
- Manganese oxalates - structure-based Insights
- Topological Indices of H-Naphtalenic Nanosheet
- Long-Term Dissolution of Glass Fibers in Water Described by Dissolving Cylinder Zero-Order Kinetic Model: Mass Loss and Radius Reduction
- Topological study of the para-line graphs of certain pentacene via topological indices
- A brief insight into the prediction of water vapor transmissibility in highly impermeable hybrid nanocomposites based on bromobutyl/epichlorohydrin rubber blends
- Comparative sulfite assay by voltammetry using Pt electrodes, photometry and titrimetry: Application to cider, vinegar and sugar analysis
- MicroRNA delivery mediated by PEGylated polyethylenimine for prostate cancer therapy
- Reversible Fluorescent Turn-on Sensors for Fe3+ based on a Receptor Composed of Tri-oxygen Atoms of Amide Groups in Water
- Sonocatalytic degradation of methyl orange in aqueous solution using Fe-doped TiO2 nanoparticles under mechanical agitation
- Hydrotalcite Anchored Ruthenium Catalyst for CO2 Hydrogenation Reaction
- Production and Analysis of Recycled Ammonium Perrhenate from CMSX-4 superalloys
- Topical Issue on Agriculture
- New phosphorus biofertilizers from renewable raw materials in the aspect of cadmium and lead contents in soil and plants
- Survey of content of cadmium, calcium, chromium, copper, iron, lead, magnesium, manganese, mercury, sodium and zinc in chamomile and green tea leaves by electrothermal or flame atomizer atomic absorption spectrometry
- Biogas digestate – benefits and risks for soil fertility and crop quality – an evaluation of grain maize response
- A numerical analysis of heat transfer in a cross-current heat exchanger with controlled and newly designed air flows
- Freshwater green macroalgae as a biosorbent of Cr(III) ions
- The main influencing factors of soil mechanical characteristics of the gravity erosion environment in the dry-hot valley of Jinsha river
- Free amino acids in Viola tricolor in relation to different habitat conditions
- The influence of filler amount on selected properties of new experimental resin dental composite
- Effect of poultry wastewater irrigation on nitrogen, phosphorus and carbon contents in farmland soil
- Response of spring wheat to NPK and S fertilization. The content and uptake of macronutrients and the value of ionic ratios
- The Effect of Macroalgal Extracts and Near Infrared Radiation on Germination of Soybean Seedlings: Preliminary Research Results
- Content of Zn, Cd and Pb in purple moor-grass in soils heavily contaminated with heavy metals around a zinc and lead ore tailing landfill
- Topical Issue on Research for Natural Bioactive Products
- Synthesis of (±)-3,4-dimethoxybenzyl-4-methyloctanoate as a novel internal standard for capsinoid determination by HPLC-ESI-MS/MS(QTOF)
- Repellent activity of monoterpenoid esters with neurotransmitter amino acids against yellow fever mosquito, Aedes aegypti
- Effect of Flammulina velutipes (golden needle mushroom, eno-kitake) polysaccharides on constipation
- Bioassay-directed fractionation of a blood coagulation factor Xa inhibitor, betulinic acid from Lycopus lucidus
- Antifungal and repellent activities of the essential oils from three aromatic herbs from western Himalaya
- Chemical composition and microbiological evaluation of essential oil from Hyssopus officinalis L. with white and pink flowers
- Bioassay-guided isolation and identification of Aedes aegypti larvicidal and biting deterrent compounds from Veratrum lobelianum
- α-Terpineol, a natural monoterpene: A review of its biological properties
- Utility of essential oils for development of host-based lures for Xyleborus glabratus (Coleoptera: Curculionidae: Scolytinae), vector of laurel wilt
- Phenolic composition and antioxidant potential of different organs of Kazakh Crataegus almaatensis Pojark: A comparison with the European Crataegus oxyacantha L. flowers
- Isolation of eudesmane type sesquiterpene ketone from Prangos heyniae H.Duman & M.F.Watson essential oil and mosquitocidal activity of the essential oils
- Comparative analysis of the polyphenols profiles and the antioxidant and cytotoxicity properties of various blue honeysuckle varieties
- Special Issue on ICCESEN 2017
- Modelling world energy security data from multinomial distribution by generalized linear model under different cumulative link functions
- Pine Cone and Boron Compounds Effect as Reinforcement on Mechanical and Flammability Properties of Polyester Composites
- Artificial Neural Network Modelling for Prediction of SNR Effected by Probe Properties on Ultrasonic Inspection of Austenitic Stainless Steel Weldments
- Calculation and 3D analyses of ERR in the band crack front contained in a rectangular plate made of multilayered material
- Improvement of fuel properties of biodiesel with bioadditive ethyl levulinate
- Properties of AlSi9Cu3 metal matrix micro and nano composites produced via stir casting
- Investigation of Antibacterial Properties of Ag Doped TiO2 Nanofibers Prepared by Electrospinning Process
- Modeling of Total Phenolic contents in Various Tea samples by Experimental Design Methods
- Nickel doping effect on the structural and optical properties of indium sulfide thin films by SILAR
- The effect mechanism of Ginnalin A as a homeopathic agent on various cancer cell lines
- Excitation functions of proton induced reactions of some radioisotopes used in medicine
- Oxide ionic conductivity and microstructures of Pr and Sm co-doped CeO2-based systems
- Rapid Synthesis of Metallic Reinforced in Situ Intermetallic Composites in Ti-Al-Nb System via Resistive Sintering
- Oxidation Behavior of NiCr/YSZ Thermal Barrier Coatings (TBCs)
- Clustering Analysis of Normal Strength Concretes Produced with Different Aggregate Types
- Magnetic Nano-Sized Solid Acid Catalyst Bearing Sulfonic Acid Groups for Biodiesel Synthesis
- The biological activities of Arabis alpina L. subsp. brevifolia (DC.) Cullen against food pathogens
- Humidity properties of Schiff base polymers
- Free Vibration Analysis of Fiber Metal Laminated Straight Beam
- Comparative study of in vitro antioxidant, acetylcholinesterase and butyrylcholinesterase activity of alfalfa (Medicago sativa L.) collected during different growth stages
- Isothermal Oxidation Behavior of Gadolinium Zirconate (Gd2Zr2O7) Thermal Barrier Coatings (TBCs) produced by Electron Beam Physical Vapor Deposition (EB-PVD) technique
- Optimization of Adsorption Parameters for Ultra-Fine Calcite Using a Box-Behnken Experimental Design
- The Microstructural Investigation of Vermiculite-Infiltrated Electron Beam Physical Vapor Deposition Thermal Barrier Coatings
- Modelling Porosity Permeability of Ceramic Tiles using Fuzzy Taguchi Method
- Experimental and theoretical study of a novel naphthoquinone Schiff base
- Physicochemical properties of heat treated sille stone for ceramic industry
- Sand Dune Characterization for Preparing Metallurgical Grade Silicon
- Catalytic Applications of Large Pore Sulfonic Acid-Functionalized SBA-15 Mesoporous Silica for Esterification
- One-photon Absorption Characterizations, Dipole Polarizabilities and Second Hyperpolarizabilities of Chlorophyll a and Crocin
- The Optical and Crystallite Characterization of Bilayer TiO2 Films Coated on Different ITO layers
- Topical Issue on Bond Activation
- Metal-mediated reactions towards the synthesis of a novel deaminolysed bisurea, dicarbamolyamine
- The structure of ortho-(trifluoromethyl)phenol in comparison to its homologues – A combined experimental and theoretical study
- Heterogeneous catalysis with encapsulated haem and other synthetic porphyrins: Harnessing the power of porphyrins for oxidation reactions
- Recent Advances on Mechanistic Studies on C–H Activation Catalyzed by Base Metals
- Reactions of the organoplatinum complex [Pt(cod) (neoSi)Cl] (neoSi = trimethylsilylmethyl) with the non-coordinating anions SbF6– and BPh4–
- Erratum
- Investigation on Two Compounds of O, O’-dithiophosphate Derivatives as Corrosion Inhibitors for Q235 Steel in Hydrochloric Acid Solution
Articles in the same Issue
- Regular Articles
- The effect of CuO modification for a TiO2 nanotube confined CeO2 catalyst on the catalytic combustion of butane
- The preparation and antibacterial activity of cellulose/ZnO composite: a review
- Linde Type A and nano magnetite/NaA zeolites: cytotoxicity and doxorubicin loading efficiency
- Performance and thermal decomposition analysis of foaming agent NPL-10 for use in heavy oil recovery by steam injection
- Spectroscopic (FT-IR, FT-Raman, UV, 1H and 13C NMR) insights, electronic profiling and DFT computations on ({(E)-[3-(1H-imidazol-1-yl)-1-phenylpropylidene] amino}oxy)(4-nitrophenyl)methanone, an imidazole-bearing anti-Candida agent
- A Simplistic Preliminary Assessment of Ginstling-Brounstein Model for Solid Spherical Particles in the Context of a Diffusion-Controlled Synthesis
- M-Polynomials And Topological Indices Of Zigzag And Rhombic Benzenoid Systems
- Photochemical Transformation of some 3-benzyloxy-2-(benzo[b]thiophen-2-yl)-4Hchromen-4-ones: A Remote Substituent Effect
- Dynamic Changes of Secondary Metabolites and Antioxidant Activity of Ligustrum lucidum During Fruit Growth
- Studies on the flammability of polypropylene/ammonium polyphosphate and montmorillonite by using the cone calorimeter test
- DSC, FT-IR, NIR, NIR-PCA and NIR-ANOVA for determination of chemical stability of diuretic drugs: impact of excipients
- Antioxidant and Hepatoprotective Effects of Methanolic Extracts of Zilla spinosa and Hammada elegans Against Carbon Tetrachlorideinduced Hepatotoxicity in Rats
- Prunus cerasifera Ehrh. fabricated ZnO nano falcates and its photocatalytic and dose dependent in vitro bio-activity
- Organic biocides hosted in layered double hydroxides: enhancing antimicrobial activity
- Experimental study on the regulation of the cholinergic pathway in renal macrophages by microRNA-132 to alleviate inflammatory response
- Synthesis, characterization, in-vitro antimicrobial properties, molecular docking and DFT studies of 3-{(E)-[(4,6-dimethylpyrimidin-2-yl)imino]methyl} naphthalen-2-ol and Heteroleptic Mn(II), Co(II), Ni(II) and Zn(II) complexes
- M-Polynomials and Topological Indices of Dominating David Derived Networks
- Human Health Risk Assessment of Trace Metals in Surface Water Due to Leachate from the Municipal Dumpsite by Pollution Index: A Case Study from Ndawuse River, Abuja, Nigeria
- Analysis of Bowel Diseases from Blood Serum by Autofluorescence and Atomic Force Microscopy Techniques
- Hydrographic parameters and distribution of dissolved Cu, Ni, Zn and nutrients near Jeddah desalination plant
- Relationships between diatoms and environmental variables in industrial water biotopes of Trzuskawica S.A. (Poland)
- Optimum Conversion of Major Ginsenoside Rb1 to Minor Ginsenoside Rg3(S) by Pulsed Electric Field-Assisted Acid Hydrolysis Treatment
- Antioxidant, Anti-microbial Properties and Chemical Composition of Cumin Essential Oils Extracted by Three Methods
- Regulatory mechanism of ulinastatin on autophagy of macrophages and renal tubular epithelial cells
- Investigation of the sustained-release mechanism of hydroxypropyl methyl cellulose skeleton type Acipimox tablets
- Bio-accumulation of Polycyclic Aromatic Hydrocarbons in the Grey Mangrove (Avicennia marina) along Arabian Gulf, Saudi Coast
- Dynamic Change of Secondary Metabolites and spectrum-effect relationship of Malus halliana Koehne flowers during blooming
- Lipids constituents from Gardenia aqualla Stapf & Hutch
- Effect of using microwaves for catalysts preparation on the catalytic acetalization of glycerol with furfural to obtain fuel additives
- Effect of Humic Acid on the Degradation of Methylene Blue by Peroxymonosulfate
- Serum containing drugs of Gua Lou Xie Bai decoction (GLXB-D) can inhibit TGF-β1-Induced Epithelial to Mesenchymal Transition (EMT) in A549 Cells
- Antiulcer Activity of Different Extracts of Anvillea garcinii and Isolation of Two New Secondary Metabolites
- Analysis of Metabolites in Cabernet Sauvignon and Shiraz Dry Red Wines from Shanxi by 1H NMR Spectroscopy Combined with Pattern Recognition Analysis
- Can water temperature impact litter decomposition under pollution of copper and zinc mixture
- Released from ZrO2/SiO2 coating resveratrol inhibits senescence and oxidative stress of human adipose-derived stem cells (ASC)
- Validated thin-layer chromatographic method for alternative and simultaneous determination of two anti-gout agents in their fixed dose combinations
- Fast removal of pollutants from vehicle emissions during cold-start stage
- Review Article
- Catalytic activities of heterogeneous catalysts obtained by copolymerization of metal-containing 2-(acetoacetoxy)ethyl methacrylate
- Antibiotic Residue in the Aquatic Environment: Status in Africa
- Regular Articles
- Mercury fractionation in gypsum using temperature desorption and mass spectrometric detection
- Phytosynthetic Ag doped ZnO nanoparticles: Semiconducting green remediators
- Epithelial–Mesenchymal Transition Induced by SMAD4 Activation in Invasive Growth Hormone-Secreting Adenomas
- Physicochemical properties of stabilized sewage sludge admixtures by modified steel slag
- In Vitro Cytotoxic and Antiproliferative Activity of Cydonia oblonga flower petals, leaf and fruit pellet ethanolic extracts. Docking simulation of the active flavonoids on anti-apoptotic protein Bcl-2
- Synthesis and Characterization of Pd exchanged MMT Clay for Mizoroki-Heck Reaction
- A new selective, and sensitive method for the determination of lixivaptan, a vasopressin 2 (V2)-receptor antagonist, in mouse plasma and its application in a pharmacokinetic study
- Anti-EGFL7 antibodies inhibit rat prolactinoma MMQ cells proliferation and PRL secretion
- Density functional theory calculations, vibration spectral analysis and molecular docking of the antimicrobial agent 6-(1,3-benzodioxol-5-ylmethyl)-5-ethyl-2-{[2-(morpholin-4-yl)ethyl] sulfanyl}pyrimidin-4(3H)-one
- Effect of Nano Zeolite on the Transformation of Cadmium Speciation and Its Uptake by Tobacco in Cadmium-contaminated Soil
- Effects and Mechanisms of Jinniu Capsule on Methamphetamine-Induced Conditioned Place Preference in Rats
- Calculating the Degree-based Topological Indices of Dendrimers
- Efficient optimization and mineralization of UV absorbers: A comparative investigation with Fenton and UV/H2O2
- Metabolites of Tryptophane and Phenylalanine as Markers of Small Bowel Ischemia-Reperfusion Injury
- Adsorption and determination of polycyclic aromatic hydrocarbons in water through the aggregation of graphene oxide
- The role of NR2C2 in the prolactinomas
- Chromium removal from industrial wastewater using Phyllostachys pubescens biomass loaded Cu-S nanospheres
- Hydrotalcite Anchored Ruthenium Catalyst for CO2 Hydrogenation Reaction
- Preparation of Calcium Fluoride using Phosphogypsum by Orthogonal Experiment
- The mechanism of antibacterial activity of corylifolinin against three clinical bacteria from Psoralen corylifolia L
- 2-formyl-3,6-bis(hydroxymethyl)phenyl benzoate in Electrochemical Dry Cell
- Electro-photocatalytic degradation of amoxicillin using calcium titanate
- Effect of Malus halliana Koehne Polysaccharides on Functional Constipation
- Structural Properties and Nonlinear Optical Responses of Halogenated Compounds: A DFT Investigation on Molecular Modelling
- DMFDMA catalyzed synthesis of 2-((Dimethylamino)methylene)-3,4-dihydro-9-arylacridin-1(2H)-ones and their derivatives: in-vitro antifungal, antibacterial and antioxidant evaluations
- Production of Methanol as a Fuel Energy from CO2 Present in Polluted Seawater - A Photocatalytic Outlook
- Study of different extraction methods on finger print and fatty acid of raw beef fat using fourier transform infrared and gas chromatography-mass spectrometry
- Determination of trace fluoroquinolones in water solutions and in medicinal preparations by conventional and synchronous fluorescence spectrometry
- Extraction and determination of flavonoids in Carthamus tinctorius
- Therapeutic Application of Zinc and Vanadium Complexes against Diabetes Mellitus a Coronary Disease: A review
- Study of calcined eggshell as potential catalyst for biodiesel formation using used cooking oil
- Manganese oxalates - structure-based Insights
- Topological Indices of H-Naphtalenic Nanosheet
- Long-Term Dissolution of Glass Fibers in Water Described by Dissolving Cylinder Zero-Order Kinetic Model: Mass Loss and Radius Reduction
- Topological study of the para-line graphs of certain pentacene via topological indices
- A brief insight into the prediction of water vapor transmissibility in highly impermeable hybrid nanocomposites based on bromobutyl/epichlorohydrin rubber blends
- Comparative sulfite assay by voltammetry using Pt electrodes, photometry and titrimetry: Application to cider, vinegar and sugar analysis
- MicroRNA delivery mediated by PEGylated polyethylenimine for prostate cancer therapy
- Reversible Fluorescent Turn-on Sensors for Fe3+ based on a Receptor Composed of Tri-oxygen Atoms of Amide Groups in Water
- Sonocatalytic degradation of methyl orange in aqueous solution using Fe-doped TiO2 nanoparticles under mechanical agitation
- Hydrotalcite Anchored Ruthenium Catalyst for CO2 Hydrogenation Reaction
- Production and Analysis of Recycled Ammonium Perrhenate from CMSX-4 superalloys
- Topical Issue on Agriculture
- New phosphorus biofertilizers from renewable raw materials in the aspect of cadmium and lead contents in soil and plants
- Survey of content of cadmium, calcium, chromium, copper, iron, lead, magnesium, manganese, mercury, sodium and zinc in chamomile and green tea leaves by electrothermal or flame atomizer atomic absorption spectrometry
- Biogas digestate – benefits and risks for soil fertility and crop quality – an evaluation of grain maize response
- A numerical analysis of heat transfer in a cross-current heat exchanger with controlled and newly designed air flows
- Freshwater green macroalgae as a biosorbent of Cr(III) ions
- The main influencing factors of soil mechanical characteristics of the gravity erosion environment in the dry-hot valley of Jinsha river
- Free amino acids in Viola tricolor in relation to different habitat conditions
- The influence of filler amount on selected properties of new experimental resin dental composite
- Effect of poultry wastewater irrigation on nitrogen, phosphorus and carbon contents in farmland soil
- Response of spring wheat to NPK and S fertilization. The content and uptake of macronutrients and the value of ionic ratios
- The Effect of Macroalgal Extracts and Near Infrared Radiation on Germination of Soybean Seedlings: Preliminary Research Results
- Content of Zn, Cd and Pb in purple moor-grass in soils heavily contaminated with heavy metals around a zinc and lead ore tailing landfill
- Topical Issue on Research for Natural Bioactive Products
- Synthesis of (±)-3,4-dimethoxybenzyl-4-methyloctanoate as a novel internal standard for capsinoid determination by HPLC-ESI-MS/MS(QTOF)
- Repellent activity of monoterpenoid esters with neurotransmitter amino acids against yellow fever mosquito, Aedes aegypti
- Effect of Flammulina velutipes (golden needle mushroom, eno-kitake) polysaccharides on constipation
- Bioassay-directed fractionation of a blood coagulation factor Xa inhibitor, betulinic acid from Lycopus lucidus
- Antifungal and repellent activities of the essential oils from three aromatic herbs from western Himalaya
- Chemical composition and microbiological evaluation of essential oil from Hyssopus officinalis L. with white and pink flowers
- Bioassay-guided isolation and identification of Aedes aegypti larvicidal and biting deterrent compounds from Veratrum lobelianum
- α-Terpineol, a natural monoterpene: A review of its biological properties
- Utility of essential oils for development of host-based lures for Xyleborus glabratus (Coleoptera: Curculionidae: Scolytinae), vector of laurel wilt
- Phenolic composition and antioxidant potential of different organs of Kazakh Crataegus almaatensis Pojark: A comparison with the European Crataegus oxyacantha L. flowers
- Isolation of eudesmane type sesquiterpene ketone from Prangos heyniae H.Duman & M.F.Watson essential oil and mosquitocidal activity of the essential oils
- Comparative analysis of the polyphenols profiles and the antioxidant and cytotoxicity properties of various blue honeysuckle varieties
- Special Issue on ICCESEN 2017
- Modelling world energy security data from multinomial distribution by generalized linear model under different cumulative link functions
- Pine Cone and Boron Compounds Effect as Reinforcement on Mechanical and Flammability Properties of Polyester Composites
- Artificial Neural Network Modelling for Prediction of SNR Effected by Probe Properties on Ultrasonic Inspection of Austenitic Stainless Steel Weldments
- Calculation and 3D analyses of ERR in the band crack front contained in a rectangular plate made of multilayered material
- Improvement of fuel properties of biodiesel with bioadditive ethyl levulinate
- Properties of AlSi9Cu3 metal matrix micro and nano composites produced via stir casting
- Investigation of Antibacterial Properties of Ag Doped TiO2 Nanofibers Prepared by Electrospinning Process
- Modeling of Total Phenolic contents in Various Tea samples by Experimental Design Methods
- Nickel doping effect on the structural and optical properties of indium sulfide thin films by SILAR
- The effect mechanism of Ginnalin A as a homeopathic agent on various cancer cell lines
- Excitation functions of proton induced reactions of some radioisotopes used in medicine
- Oxide ionic conductivity and microstructures of Pr and Sm co-doped CeO2-based systems
- Rapid Synthesis of Metallic Reinforced in Situ Intermetallic Composites in Ti-Al-Nb System via Resistive Sintering
- Oxidation Behavior of NiCr/YSZ Thermal Barrier Coatings (TBCs)
- Clustering Analysis of Normal Strength Concretes Produced with Different Aggregate Types
- Magnetic Nano-Sized Solid Acid Catalyst Bearing Sulfonic Acid Groups for Biodiesel Synthesis
- The biological activities of Arabis alpina L. subsp. brevifolia (DC.) Cullen against food pathogens
- Humidity properties of Schiff base polymers
- Free Vibration Analysis of Fiber Metal Laminated Straight Beam
- Comparative study of in vitro antioxidant, acetylcholinesterase and butyrylcholinesterase activity of alfalfa (Medicago sativa L.) collected during different growth stages
- Isothermal Oxidation Behavior of Gadolinium Zirconate (Gd2Zr2O7) Thermal Barrier Coatings (TBCs) produced by Electron Beam Physical Vapor Deposition (EB-PVD) technique
- Optimization of Adsorption Parameters for Ultra-Fine Calcite Using a Box-Behnken Experimental Design
- The Microstructural Investigation of Vermiculite-Infiltrated Electron Beam Physical Vapor Deposition Thermal Barrier Coatings
- Modelling Porosity Permeability of Ceramic Tiles using Fuzzy Taguchi Method
- Experimental and theoretical study of a novel naphthoquinone Schiff base
- Physicochemical properties of heat treated sille stone for ceramic industry
- Sand Dune Characterization for Preparing Metallurgical Grade Silicon
- Catalytic Applications of Large Pore Sulfonic Acid-Functionalized SBA-15 Mesoporous Silica for Esterification
- One-photon Absorption Characterizations, Dipole Polarizabilities and Second Hyperpolarizabilities of Chlorophyll a and Crocin
- The Optical and Crystallite Characterization of Bilayer TiO2 Films Coated on Different ITO layers
- Topical Issue on Bond Activation
- Metal-mediated reactions towards the synthesis of a novel deaminolysed bisurea, dicarbamolyamine
- The structure of ortho-(trifluoromethyl)phenol in comparison to its homologues – A combined experimental and theoretical study
- Heterogeneous catalysis with encapsulated haem and other synthetic porphyrins: Harnessing the power of porphyrins for oxidation reactions
- Recent Advances on Mechanistic Studies on C–H Activation Catalyzed by Base Metals
- Reactions of the organoplatinum complex [Pt(cod) (neoSi)Cl] (neoSi = trimethylsilylmethyl) with the non-coordinating anions SbF6– and BPh4–
- Erratum
- Investigation on Two Compounds of O, O’-dithiophosphate Derivatives as Corrosion Inhibitors for Q235 Steel in Hydrochloric Acid Solution