Abstract
Background and aim
Acute treatment of young patients with proximal femoral fracture (PFF) remains a challenge for trauma surgeons due to major fracture displacement and heavy pain in clinical practice. Traditional methods have a variety of intrinsic defaults and cannot successfully manage the requirements of young patients. Benefiting from our anatomic research, we explored a new method of external fixation for this specific trauma and evaluated its feasibility and clinical outcomes.
Material and methods
Twenty-three young multiple-trauma patients with PFF were included in this study. Surgical treatment was applied using an external fixator via the anterior inferior iliac spine (AIIS). Electronic patient records, surgical characteristics, clinical outcomes, and complications were reviewed for each patient.
Results
The mean surgical time was 30.3 ± 7.3 min. The mean blood loss was 25.3 ± 10.8 mL. No iatrogenic nerve palsy, pin tract infection, failure of external fixation, or bedsores were observed. The postoperative visual analog scale score was significantly lower than the preoperative score (P < 0.01). The mean fracture reduction rate of the femur was 58.1 ± 17.0%, and the mean degree of reduction was 13.5 ± 6.9°. The mean external fixation time was 7.6 ± 4.0 days and intramedullary nailing was performed. The mean hospital, follow-up, and healing times were 28.7 ± 8.7 days, 23.5 ± 7.9 months, and 22.8 ± 5.7 weeks, respectively. The Harris Hip Score indicated excellent or good results in 20 patients.
Conclusion
Collectively, the results of this study revealed that external fixation via the AIIS is a safe, rapid, and effective method for acute treatment of PFF in young patients.
1 Introduction
Proximal femoral fractures (PFFs) in young patients are the result of high energy impact and often associated with major fracture displacement and heavy pain. Acute treatment of these specific fractures remains a challenge for trauma surgeons due to multisystem injuries and poor conditions during emergencies [1,2]. Traditionally, acute treatment of PFFs involves lower-limb skin or skeletal traction [3,4,5], and then intramedullary nailing is considered to be the definitive treatment in the majority of trauma patients [6,7,8,9,10]. With the extensive use of external fixators in trauma surgery, some literature has described the application of an external fixator to the PFF as the definitive treatment, but it is associated with extensive soft tissue damage, severe open fractures [11,12], and poor general conditions [13,14,15,16,17]. Traditional lower-limb traction and the aforementioned methods of external fixation still have some faults [3,4,18], including cortical defects, pin tract infection, secondary pin-tract osteomyelitis, or septic arthritis if placed intra-articularly [19]. In addition, long-term traction and unstable external fixation may result in a high risk of bedsores, pneumonia, deep vein thrombosis, and urinary tract infection [20]. With advances in implant material, surgical techniques, and anatomic research, and popularization of the concept of enhanced recovery after surgery (EARS), young patients have high requirements for reducing postoperative complications, shortening the length of the hospital stay, improving satisfaction, and accelerating recovery [21]. This presents an urgent problem for trauma surgeons to explore an ideal method of external fixation for PFF in young patients who can achieve initial stabilization, pain relief, and conversion to definitive treatment in two stages.
Our previous study demonstrated that the anterior inferior iliac spine (AIIS), which is close to the proximal femur possesses, has the thickest bone mass and largest anti-pulling force. The AIIS presents an ideal site for proximal pin insertion, and the other pins are set to be inserted into the distal femur at different levels [22]. External fixation via the AIIS for PFF has predictable initial stabilization biomechanically and permits conversion to intramedullary nailing as a reliable surgical procedure clinically [2,23] when young patients’ general condition permits major surgery. Figure 1 illustrates the details of this novel external fixation method via the AIIS.

It illustrates the details of this novel external fixation method via the AIIS and distal femur.
The aim of this study was to evaluate the feasibility, surgical safety, and clinical outcomes of this novel method of external fixation via the AIIS as an acute treatment option for PFF in young trauma patients.
2 Patients and methods
2.1 Study population
A prospective analysis of external fixation via the AIIS and distal femur was performed in our level I trauma center between January 2015 and December 2017. The inclusion criteria were young trauma patients (<65 years) suffering an intertrochanteric femoral fracture and/or subtrochanteric femoral fracture with major displacement. Exclusion criteria were age >65 years, isolated PFF with little displacement, hemodynamic instability, serious open fractures (Gustilo III) [24], serious medical conditions (e.g., diabetes mellitus, heart, and respiratory diseases), and serious osteoporosis.
A total of 23 young trauma patients with PFF were included and treated with external fixation via the AIIS and distal femur (Table 1). The patients consisted of 13 men (56.5%) and 10 women (43.5%). The mean patient age was 45.8 ± 14.2 years (range, 29–63 years). In 7 cases (30.4%), the right femur was involved; in 16 cases (69.6%), the left femur was involved. Only three patients had open fractures graded Gustilo I–II. The mechanisms of injury included motor vehicle accidents (n = 11, 47.8%) and falls (n = 12, 52.2%). All patients were treated with external fixation via the AIIS in emergency surgery, and the other system injuries were initially managed at the same time according to the guidelines of the Advanced Trauma Life Support (ATLS) [25].
General data
| Data | n (%)/Mean ± SD |
|---|---|
| Gender | |
| Male | 13 (56.5) |
| Female | 10 (43.5) |
| Age (years) | 45.8 ± 14.2 |
| Mechanism | |
| Motor vehicle accidents | 11 (47.8) |
| Fall | 12 (52.2) |
| Proximal femoral fractures (*) | |
| Left | 16 (69.6)a |
| Right | 7 (30.4) |
| Open fractures | 2 (8.7) |
| Closed fracture | 21 (91.3) |
- a
P < 0.01, Left vs Right. General data of this study show nonsignificant differences except in limb sides. Values are expressed as the mean ± standard deviation or n (%).
- *
Intertrochanteric femoral fracture and/or subtrochanteric femoral fracture with major displacement.
-
Ethical statement: This study was reviewed and approved by the Institutional Review Board of the Qingpu Branch of Zhongshan Hospital affiliated with Fudan University Qingpu District Central Hospital Shanghai. This study was performed following the principles of the 1964 Declaration of Helsinki. All participants were asked to sign written consent for publication of their X-rays and photographs.
2.2 Surgical procedures
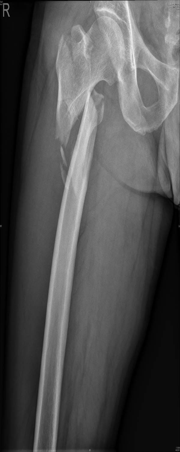
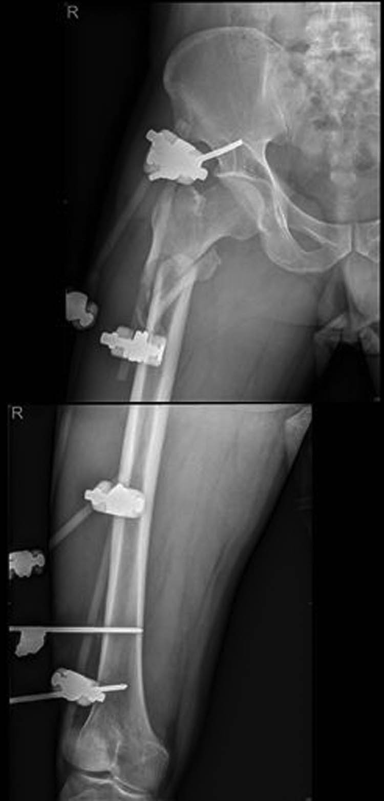
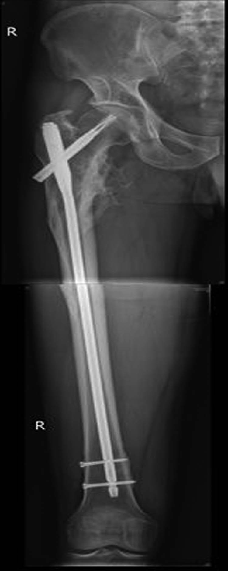
External fixation via the AIIS and distal femur was performed by a single surgeon under general anesthesia without regional nerve blockade during emergency surgery. External fixators derived from AO (Synthes, Ltd., Paoli, PA), Trauson (Trauson, Ltd., Changzhou), and Carefix (Carefix, Ltd., Shanghai) were used. Patients were placed in a supine position on the operating table. A C-arm was used to locate the points of the AIIS, and a minimal incision of 1–2 cm in length was made. The deep fascia of the pelvis and femur were incised. Proximally, the lateral femoral cutaneous nerve was protected by a surgical hook. One pin (diameter 6.0 mm, length 180 mm, thread length 60 mm) was placed at the AIIS on the same side as the PFF. Distally, two crossing pins (diameter 6.0 mm, length 180 mm, thread length 60 mm) were placed at the distal femur through two minimal incisions. High-strength and fully transparent carbon fiber rods (diameter 8 mm, length 400 mm) were fixed, manipulative reduction was performed along the strength line under the C-arm, and the clamps were tightened. The incisions were then sutured. A typical case is presented in Figures 2–5.

A 42-year-old man fell from height and his X-ray examination revealed that a femoral intertrochanteric fracture had occurred and that the fracture was displaced.

A patient with femoral intertrochanteric fracture was fitted with an external fixator during emergency surgery.

Postoperative X-ray showing good alignment following external fixation.

Patient with femoral intertrochanteric fracture accepted intramedullary nailing and the fracture eventually healed.
2.3 Postoperative care
Postoperatively, the pin tract of external fixation was cleaned each day. Antibiotics were used for 1–3 days if necessary in young patients who had open fractures (Gustilo I–II) to prevent postoperative infection. After external fixation, young patients were permitted to turn over regularly under careful observation to prevent bedsores. The external fixation was then removed and surgery was performed when the patients’ general and local condition tolerated conversion to intramedullary nailing, which was clinically preferred as a definitive treatment.
For data collection, surgical time was defined as the time from making the skin incision to skin closure. Blood loss was calculated throughout the surgical time. The degree of pain and treatment results were scored using a visual analog scale (VAS) [18]. VAS1 was defined as the degree of pain after trauma, and VAS2 was defined as the degree of pain after external fixation via the AIIS. The fracture reduction rate (FRR) of the femur was defined as (A − B)/A × 100%, where A and B are the displacement degree of the fracture pre- and post-surgery, respectively. The FRR was used to evaluate the outcome of fracture reduction.
The use of external fixators, intramedullary nails, peri-surgical and later complications, external fixation time, and fracture healing time was recorded. Union was defined as the absence of pain and the presence of bridging calluses in three of the four cortices seen on the anteroposterior and lateral radiographic views. Patients were followed up to the bone union. The hip function was evaluated using the Harris Hip Score (HHS) [26].
2.4 Statistical analysis
Single-factor analysis of variance (ANOVA) was used to compare the pain relief pre- and post-surgery. Statistical analyses were performed using SAS software (version 9.4; SAS Institute). P < 0.01 was considered significant.
3 Results
External fixation via the AIIS was successfully converted to intramedullary nailing as a definitive treatment in all 23 young patients. The use of the C-arm made the AIIS location more easily, and the mean surgical time was 20.3 ± 7.3 min (range, 15–25 min). Minimal invasive external fixation procedures resulted in low blood loss (25.3 ± 10.8 mL, range 10–50 mL). The intra- or post-surgery safety of this method of external fixation was proven by the absence of iatrogenic lateral femoral cutaneous nerve palsy, femoral nerve palsy, or femoral vessel injuries. In summary, a total of 10 AO (43.5%), 5 Trauson (21.7%), and 8 Carefix (34.8%) external fixators were applied and showed excellent biomechanical stability. No failure of external fixation was observed post-surgery. Due to pin tract cleaning each day, use of antibiotics, and short external fixation time, no pin tract infection was found.
This new method of external fixation for PFF presented satisfactory clinical outcomes. First, significant pain relief was found when comparing pre- and post-external fixation surgery VAS scores. VAS1 was used to evaluate the degree of pain pre-surgery. A total of two cases with a score of 3–4, two cases with a score of 5–6, 18 cases with a score of 7–8, and one case with a score of nine were observed. The mean VAS1 was 7.0 ± 1.4. VAS2 was used to evaluate the pain relief post-surgery. Two cases with a score of 3–4, 11 cases with a score of 5–6, and two cases with a score of 7–8 were observed. The mean VAS2 was 4.7 ± 1.3. VAS1 and VAS2 were compared using single-factor ANOVA; VAS2 was lower than VAS1 (P < 0.01).
Second, a great degree of fracture reduction and high FRR further confirmed the effectiveness of this external fixation method. Post-surgery images were measured and compared regularly to the pre-surgery images. The mean degree of fracture reduction was 13.5 ± 6.9, which was achieved by the external fixator’s strong traction and rigid external fixation functions. As a result, the major displacement of the PFF was reduced and the mean FRR of the proximal femur was 58.1 ± 17.0. All patients had good performance after external fixation via the AIIS for decreased pain intensity and early mobilization post-surgery, which placed patients at low risk of bedsores, pneumonia, deep vein thrombosis, and urinary tract infection. No complications were observed after external fixation and before intramedullary nailing.
Third, the condition of all patients improved and they accepted intramedullary nailing as the definitive treatment after a mean of 7.6 ± 4.0 days (range, 5–21 days). Being different from previous external fixation methods, both the greater trochanter and medullary cavity of the femur were not interfered by this technique, which facilitated the intramedullary nailing appliance. Early mobilization was encouraged 1 day after intramedullary nailing.
Finally, the mean hospital stay was 28.7 ± 8.7 days (range, 19–56 days; Table 2) and the mean follow-up was 23.5 ± 7.9 months (range, 12–36 months), whereas the mean healing time was 22.8 ± 5.7 weeks (range, 12–32 weeks). At the final follow-up, all patients had an X-ray examination and femoral axial alignment evaluation. Completely normal alignment was present, and varus angulation >5° was observed in 2 (8.6%) patients with limb shortening of 0.5 ± 0.2 cm (range, 0.45–0.80 cm). The HHS indicated that 12, 8, and 3 patients exhibited excellent, good, and fair results, respectively (Table 3).
Surgical characteristics
| Surgical characteristics | Mean ± SD/n (%) |
|---|---|
| Surgical time (min) | 20.3 ± 7.3 |
| Blood loss (mL) | 25.3 ± 10.8 |
| VAS1 scores | 7.0 ± 1.4 |
| VAS2 scores | 4.7 ± 1.3a |
| Fracture reduction (%) | 58.1 ± 17.0 |
| Fracture reduction degree (°) | 13.5 ± 6.9 |
| Failure of external fixation | 0 |
| Iatrogenic nerve palsy | 0 |
| Iatrogenic vessel injury | 0 |
| Pin tract infection | 0 |
| External fixation time (days) | 7.6 ± 4.0 |
| Intramedullary nailing | 23 |
| Hospital time (days) | 28.7 ± 8.7 |
- a
P < 0.01, VAS2 vs VAS1; values are expressed as the mean ± standard deviation or n (%).
Follow up and functional outcome
| Followup and results | Mean ± SD/n (%) |
|---|---|
| Follow up (months) | 23.5 ± 7.9 |
| Healing time (weeks) | 22.8 ± 5.7 |
| Shortening (cm) | 0.5 ± 0.2 |
| Varus angulation (>5°) | 2 (8.6%) |
| Harris hip score | |
| Excellent/good/fair | 12/8/3 |
Values are expressed as the mean ± standard deviation or n (%).
4 Discussion
With the development of the transportation and construction industries, high-energy trauma to the hip is exhibiting an increasing trend. This trauma mainly occurs in young patients, characterized by major fracture displacement, heavy pain, and open fractures [1,2]. Multisystem trauma in young patients is another challenge for trauma surgeons in emergency care.
Considering the aforementioned factors, acute treatment of PFFs in young patients should be different from treatment in the elderly, requiring more patience from the trauma surgeons in clinical practice. Skin or skeletal traction is traditionally used for initial stabilization of the femur [3,4,5,18] and then converted to intramedullary nailing as reliable internal fixation in a two-stage process [2,23] when the patient’s general condition tolerates major surgery in a few days. However, uncontrolled pain management, unsatisfied fracture reduction, and no permission for post-surgery mobilization cause traction methods unacceptable by young trauma patients.
A variety of external fixators have been designed for elderly patients, severely injured patients, and open fractures in young patients suffering PFFs and applied as a definitive treatment due to poor general or regional conditions. Previous studies have identified advantages of external fixators applied in elderly patients, which include low surgical risk, early mobilization, and reduced hospital stay [17,27,28,29]. A previous study [11,12] described a pelvifemoral external fixator indicated for acute treatment of explosive injuries that provides stable bone fixation and allows early mobilization. However, pin-related complications and biomechanical instability are inevitable shortcomings of external fixators in clinical practice [16,17]. Moreover, external fixation cannot be converted clinically to intramedullary nailing as a reliable surgical procedure for PFF [2,23]. With the development of EARS [21], young patients have high requirements for satisfactory fracture reduction, continuous pain control, and early post-surgery mobilization. Therefore, exploring an ideal method of external fixation prior to intramedullary nailing is important for treating PFF in young trauma patients.
Our previous anatomical study of the pelvis revealed that the bony tract from the AIIS to the posterior superior iliac spine provides an ideal location for external fixation pins with a strong anti-pulling force [22]. The osseous passage from the AIIS to the posterior superior iliac spine provides an effective holding force for the pin, counteracting the femoral displacement, and making the external fixation system more biomechanically stable. A large contact surface between the pins and the bone channel and a degree of controlled sliding contribute to the mechanical stability of the external fixation. Taking this into account, a novel effective method for treating PFF was developed in this study.
In this study, external fixation via the AIIS was successfully performed in all patients and shown to be a safe, rapid, and effective treatment protocol in an emergency for trauma surgeons. The mean surgical time was only 20 min and blood loss was only 25 mL. No complications, including iatrogenic nerve and vascular injuries, pin tract infection, or pin loosening, were noted.
Pin tract infection is a common clinical complication that requires daily cleaning with antiseptic solutions, oral antibiotics, and even removal of the pins. Vossinakis and Badras [13] reported that 16% of patients develop superficial pin tract infections. Karn et al. [16] reported pin tract infection in 60% of cases, and all healed after removal of the pins. Kazemian et al. [4] found that 70% of elderly patients with intertrochanteric fractures suffer superficial pin tract infection and 30% suffer deep infection. This was not observed in our study, possibly due to the short external fixation time and anti-infection procedures.
Pain management is of particular importance in patients with PPF, as uncontrolled pain may result in severe clinical outcomes and delayed recovery [30]. Kazemian et al. [4] found no difference between skeletal traction and external fixation in patients with intertrochanteric fractures (P > 0.05). As a result, external fixation via the AIIS was a useful protocol offering significant pain relief. The post-surgery pain was found to be easily controllable, making the care and mobilization of these patients easier.
The FRR was used to evaluate the degree of fracture reduction. This novel method of external fixation could initially correct ∼60% of the fracture displacement of the femur, and anatomic or almost anatomic reduction was achieved using intramedullary nailing as a definitive treatment. However, Kazemian et al. [4] reported that only 26% of patients with skeletal traction achieved acceptable reduction, and 86% of patients with external fixation had the same result.
Shortening and varus angulation are well-recognized complications of external fixation in unstable fractures or in the presence of severe osteoporosis [13,16,17]. Vossinakis and Badras [13] reported that 12 (27%) patients developed shortening of 18 mm (15–30 mm). In a previous report [16], 12 (24%) patients had an average shortening of 14 mm (range, 5–20 mm) and 10 patients had a varus angulation of 5° (range, 4–8°). Arslan et al. [17] reported a compression pin technique that demonstrated the rate of varus angulation as >5° for 20% of patients. In our study, only 2 (8.6%) patients had varus angulation (>5°) and limb shortening (<1 cm) according to the X-ray evaluation at final follow-up. This is due to early good reduction by an external fixator via the AIIS, which facilitates conversion to intramedullary nailing.
Bedsores are common complications of long-term bed rest for uncontrolled pain and inadequate stabilization [4,20]. Kazemian et al. [4] found that as many as 30% of intertrochanteric fracture patients suffer bedsores, and it was not significantly different between skeletal traction and external fixation (P > 0.05). Our study did not find bedsores or other complications (pneumonia, deep vein thrombosis, and urinary tract infection). This result was much better than previous reports [4,20], which we attribute to continuous pain management, short external fixation time, and early mobilization.
Previous studies revealed that a major complication of external fixators is a decrease in the range of motion of the hip and knee joints, necessitating removal of the fixators and physiotherapy [4,13,14,31]. Kazemian et al. [4] found that 30% of patients with intertrochanteric fractures suffer from the decreased motion of the hip and knee joints. This complication was not encountered in this study. This may be attributed to short external fixation time, adequate stabilization, and early joint mobilization.
All patients were followed up for >12 months until bone union was achieved. Functional outcomes wereevaluated by HHS [26]; ∼90% patients achieved excellent or good results (score >90 score), which was better than skeletal traction (score = 57) and external fixation (score = 66) [4].
Although previous studies reported the use of external fixators in osteoporosis patients and achieved good results [13,14,15,16,17,29], patients with osteoporosis were excluded from this study, as local pin holding and crossing-joint frame bridging are likely to fail in these patients. Amini et al. [1] reported that 13.5% of young patients with PFFs had major complications requiring revision surgery, but we did not find that in this study.
In addition, patients with severe soft tissue injuries (Gustilo III) were not indicated for intramedullary nailing due to a high risk of infection [11,12]. For high-energy hip trauma, Dingemans et al. [32] compared direct intramedullary nailing and two-stage treatment, concluding that two-stage treatment is a safe treatment option in young patients in terms of post-surgery wound infections and union rates. Our results are similar and support this opinion.
Despite these advantages of external fixation via the AIIS, Biz et al. [5] pointed out that skin or skeletal traction for patients with PFFs should be discouraged as standard practice, which is widely supported in the international literature. External fixation via the AIIS is an alternative surgical procedure for acute treatment of PFF in young trauma patients. However, this study has certain limitations. First, a small number of patients were evaluated. Second, patients were followed up for a relatively short period of time. Third, a control group was not set up to compare results. Long-term investigations and larger patient groups are required to validate the findings.
5 Conclusion
In conclusion, this study revealed that external fixation via the AIIS is a feasible, safe, and effective surgical technique when applied appropriately. The technique is valuable and should be considered for acute treatment of PFF in young trauma patients.
Acknowledgement
I would like to personally thank those patients who involved the study.
-
Funding information: There were no external sources of funding.
-
Author contributions: Q.Y. and W.F. conceived the idea for the study. Q.Y. contributed to the design of the research. Q.Y. and N.C. were involved in data collection and analysis.
-
Conflict of interest: The authors declare that they have no conflict of interest.
-
Data availability statements: The data used to support the findings of this study are available from the corresponding author upon request.
References
[1] Amini MH, Feldman JJ, Weinlein 4th JC. High complication rate in young patients with high-energy intertrochanteric femoral fractures. Orthopedics. 2017;40:e293–9.10.3928/01477447-20161128-04Suche in Google Scholar PubMed
[2] Shane E, Burr D, Ebeling PR, Abrahamsen B, Adler RA, Brown TD, et al. Atypical subtrochanteric and diaphyseal femoral fractures: report of a task force of the American society for bone and mineral research. J Bone Miner Res. 2010;25:2267–94.10.1002/jbmr.253Suche in Google Scholar PubMed
[3] Matullo KS, Gangavalli A, Nwachuku C. Review of lower extremity traction in current orthopaedic trauma. J Am Acad Orthop Surg. 2016;24:600–6.10.5435/JAAOS-D-14-00458Suche in Google Scholar PubMed
[4] Kazemian GH, Emami M, Manafi A, Najafi F, Najafi MA. External fixation vs skeletal traction for treatment of intertrochanteric fractures in the elderly. Trauma Mon. 2016;21:e15477.10.5812/traumamon.15477Suche in Google Scholar PubMed PubMed Central
[5] Biz C, Fantoni I, Crepaldi N, Zonta F, Buffon L, Corradin M. Clinical practice and nursing management of pre-operative skin or skeletal traction for hip fractures in elderly patients: a cross-sectional three-institution study. Int J Orthop Trauma Nurs. 2019;32:32–40.10.1016/j.ijotn.2018.10.002Suche in Google Scholar PubMed
[6] Kokoroghiannis C, Aktselis I, Deligeorgis A, Fragkomichalos E, Papadimas D, Pappadas I. Evolving concepts of stability and intramedullary fixation of intertrochanteric fractures – a review. Injury. 2012;43:686–93.10.1016/j.injury.2011.05.031Suche in Google Scholar PubMed
[7] Radcliff TA, Regan E, Ripley DCC, Hutt E. Increased use of intramedullary nails for intertrochanteric PFF in veterans affairs hospitals: a comparative effectiveness study. J Bone Joint Surg Am. 2012;94:833–40.10.2106/JBJS.I.01403Suche in Google Scholar PubMed
[8] Bohl DD, Basques BA, Golinvaux NS, Miller CP, Baumgaertner MR, Grauer JN. Extramedullary compared with intramedullary implants for intertrochanteric hip fractures: thirty-day outcomes of 4,432 procedures from the ACS NSQIP database. J Bone Joint Surg Am. 2014;96:1871–7.10.2106/JBJS.N.00041Suche in Google Scholar PubMed
[9] Li AB, Zhang WJ, Wang J, Guo WJ, Wang XH, Zhao YM. Intramedullary and extramedullary fixations for the treatment of unstable femoral intertrochanteric fractures: a meta-analysis of prospective randomized controlled trials. Int orthop. 2017;41:403–13.10.1007/s00264-016-3308-ySuche in Google Scholar PubMed
[10] Yu X, Wang H, Duan X, Liu M, Xiang Z. Intramedullary versus extramedullary internal fixation for unstable intertrochanteric fracture, a meta-analysis. Acta Orthop Traumatol Turc. 2018;52:299–307.10.1016/j.aott.2018.02.009Suche in Google Scholar PubMed PubMed Central
[11] Miric DM, Bumbasirevic MZ, Senohradski KK, Djordjevic ZP. Pelvifemoral external fixation for the treatment of open fractures of the proximal femur caused by firearms. Acta Orthop Belg. 2002;68:37–41.Suche in Google Scholar
[12] Mirić D, Bumbasirević M, Radulović N, Lesić A. External fixation of war injuries of the proximal femur. Acta Chir Iugosl. 2005;52:101–5.10.2298/ACI0502101MSuche in Google Scholar
[13] Vossinakis IC, Badras LS. Management of pertrochanteric fractures in high-risk patients with an external fixation. Int. Orthopedics(SICOT). 2001;25:219–22.10.1007/s002640100238Suche in Google Scholar PubMed PubMed Central
[14] Devgan A, Sangwan SS. External fixator in the management of trochanteric fractures in high-risk geriatric patients: a friend to the elderly. Indian J Med Sci. 2002;56:385–90.Suche in Google Scholar
[15] Ozkaya U, Parmaksizoğlu AS, Gül M, Kabukçuoğlu Y, Ozkazanli G, Basilgan S. Management of osteoporotic pertrochanteric fractures with external fixation in elderly patients. Acta Orthop Traumatol Turc. 2008;42:246–51.10.3944/AOTT.2008.246Suche in Google Scholar PubMed
[16] Karn NK, Singh GK, Kumar P, Singh MP, Shrestha BP, Chaudhary P. Management of trochanteric fractures of the femur with external fixation in high-risk patients. Int Orthop. 2009;33:785–8.10.1007/s00264-008-0546-7Suche in Google Scholar PubMed PubMed Central
[17] Arslan A, Utkan A, Koca TT. Results of a compression pin along with trochanteric external fixation in management of high risk elderly intertrochanteric fractures. Indian J Orthop. 2016;50:636–40.10.4103/0019-5413.193479Suche in Google Scholar PubMed PubMed Central
[18] Choudhry B, Leung B, Filips E, Dhaliwal K. Keeping the traction on in orthopaedics. Cureus. 2020 Aug 25;12:e10034.10.7759/cureus.10034Suche in Google Scholar PubMed PubMed Central
[19] DeFroda SF, Gil JA, Born CT. Indications and anatomic landmarks for the application of lower extremity traction: a review. Eur J Trauma Emerg Surg. 2016;42:695–700.10.1007/s00068-016-0712-3Suche in Google Scholar PubMed
[20] Wu X, Li Z, Cao J, Jiao J, Wang Y, Liu G. The association between major complications of immobility during hospitalization and quality of life among bedridden patients: a 3 month prospective multi-center study. PLoS One. 2018;13:e0205729.10.1371/journal.pone.0205729Suche in Google Scholar PubMed PubMed Central
[21] Kaye AD, Urman RD, Cornett EM, Hart BM, Chami A, Gayle JA, et al. Enhanced recovery pathways in orthopedic surgery. J Anaesthesiol Clin Pharmacol. 2019;35:S35–9.10.4103/joacp.JOACP_35_18Suche in Google Scholar PubMed PubMed Central
[22] Wang F, Song H, Zhao F, Yang Q, Tang H, Ji X, et al. Supra-acetabular external fixation for pelvic fractures: a digital anatomical study. Clin Anat. 2012;25:503–8.10.1002/ca.21263Suche in Google Scholar PubMed
[23] Hoffmann MF, Khoriaty JD, Sietsema DL, Jones CB. Outcome of intramedullary nailing treatment for intertrochanteric femoral fractures. J Orthop Surg Res. 2019;14:360.10.1186/s13018-019-1431-3Suche in Google Scholar PubMed PubMed Central
[24] Gustilo RB, Anderson JT. Prevention of infection in the treatment of one thousand and twenty-five open fractures of long bones: retrospective and prospective analyses. JBJS. 1976;58:453–8.10.2106/00004623-197658040-00004Suche in Google Scholar
[25] American College of Surgeons Committee on Trauma. Advanced trauma life support for doctors. Chicago: American College of Surgeons; 2004.Suche in Google Scholar
[26] Harris WH. Traumatic arthritis of the hip after dislocation and acetabular fractures: treatmentby mold arthroplasty an end-result study using a new method of result evaluation. J Bone Joint Surg Am. 1969;51:737–55.10.2106/00004623-196951040-00012Suche in Google Scholar
[27] Wang XK, Ye JD, Gu FS, Wang AG, Zhang CQ, Tian QQ, et al. Numerical simulation research to both the external fixation surgery scheme of intertrochanteric fracture and the healing process, and its clinical application. Biomed Mater Eng. 2014;24:625–32.10.3233/BME-130850Suche in Google Scholar PubMed
[28] Kazemian GH, Manafi AR, Najafi F, Najafi MA. Treatment of intertrochanteric fractures in elderly highrisk patients: dynamic hip screw vs external fixation. Injury. 2014;45:568–72.10.1016/j.injury.2013.11.020Suche in Google Scholar PubMed
[29] Polat M, Arslan A, Utkan A. External fixation versus hemiartroplasty in unstable intertrochanteric hip fractures of the elderly. Acta Orthop Belg. 2017;83:351–9.Suche in Google Scholar
[30] Sanzone AG. Current challenges in pain management in hip fracture patients. J Orthop Trauma. 2016;30:S1–5.10.1097/BOT.0000000000000562Suche in Google Scholar PubMed
[31] Zlowodzki M, Prakash JS, Aggarwal NK. External fixation of complex femoral shaft fractures. Int Orthop. 2007;31:409–13.10.1007/s00264-006-0187-7Suche in Google Scholar PubMed PubMed Central
[32] Dingemans SA, Sier MAT, Peters RW, Goslings JC, Schepers T. Two‑stage treatment in patients with patients with high‑energy femoral fractures does not lead to an increase in deep infectious complications: a propensity score analysis. Eur J Trauma Emerg Surg. 2018;44:125–31.10.1007/s00068-017-0822-6Suche in Google Scholar PubMed PubMed Central
© 2021 Qing Yang et al., published by De Gruyter
This work is licensed under the Creative Commons Attribution 4.0 International License.
Artikel in diesem Heft
- Research Articles
- Identification of ZG16B as a prognostic biomarker in breast cancer
- Behçet’s disease with latent Mycobacterium tuberculosis infection
- Erratum
- Erratum to “Suffering from Cerebral Small Vessel Disease with and without Metabolic Syndrome”
- Research Articles
- GPR37 promotes the malignancy of lung adenocarcinoma via TGF-β/Smad pathway
- Expression and role of ABIN1 in sepsis: In vitro and in vivo studies
- Additional baricitinib loading dose improves clinical outcome in COVID-19
- The co-treatment of rosuvastatin with dapagliflozin synergistically inhibited apoptosis via activating the PI3K/AKt/mTOR signaling pathway in myocardial ischemia/reperfusion injury rats
- SLC12A8 plays a key role in bladder cancer progression and EMT
- LncRNA ATXN8OS enhances tamoxifen resistance in breast cancer
- Case Report
- Serratia marcescens as a cause of unfavorable outcome in the twin pregnancy
- Spleno-adrenal fusion mimicking an adrenal metastasis of a renal cell carcinoma: A case report and embryological background
- Research Articles
- TRIM25 contributes to the malignancy of acute myeloid leukemia and is negatively regulated by microRNA-137
- CircRNA circ_0004370 promotes cell proliferation, migration, and invasion and inhibits cell apoptosis of esophageal cancer via miR-1301-3p/COL1A1 axis
- LncRNA XIST regulates atherosclerosis progression in ox-LDL-induced HUVECs
- Potential role of IFN-γ and IL-5 in sepsis prediction of preterm neonates
- Rapid Communication
- COVID-19 vaccine: Call for employees in international transportation industries and international travelers as the first priority in global distribution
- Case Report
- Rare squamous cell carcinoma of the kidney with concurrent xanthogranulomatous pyelonephritis: A case report and review of the literature
- An infertile female delivered a baby after removal of primary renal carcinoid tumor
- Research Articles
- Hypertension, BMI, and cardiovascular and cerebrovascular diseases
- Case Report
- Coexistence of bilateral macular edema and pale optic disc in the patient with Cohen syndrome
- Research Articles
- Correlation between kinematic sagittal parameters of the cervical lordosis or head posture and disc degeneration in patients with posterior neck pain
- Review Articles
- Hepatoid adenocarcinoma of the lung: An analysis of the Surveillance, Epidemiology, and End Results (SEER) database
- Research Articles
- Thermography in the diagnosis of carpal tunnel syndrome
- Pemetrexed-based first-line chemotherapy had particularly prominent objective response rate for advanced NSCLC: A network meta-analysis
- Comparison of single and double autologous stem cell transplantation in multiple myeloma patients
- The influence of smoking in minimally invasive spinal fusion surgery
- Impact of body mass index on left atrial dimension in HOCM patients
- Expression and clinical significance of CMTM1 in hepatocellular carcinoma
- miR-142-5p promotes cervical cancer progression by targeting LMX1A through Wnt/β-catenin pathway
- Comparison of multiple flatfoot indicators in 5–8-year-old children
- Early MRI imaging and follow-up study in cerebral amyloid angiopathy
- Intestinal fatty acid-binding protein as a biomarker for the diagnosis of strangulated intestinal obstruction: A meta-analysis
- miR-128-3p inhibits apoptosis and inflammation in LPS-induced sepsis by targeting TGFBR2
- Dynamic perfusion CT – A promising tool to diagnose pancreatic ductal adenocarcinoma
- Biomechanical evaluation of self-cinching stitch techniques in rotator cuff repair: The single-loop and double-loop knot stitches
- Review Articles
- The ambiguous role of mannose-binding lectin (MBL) in human immunity
- Case Report
- Membranous nephropathy with pulmonary cryptococcosis with improved 1-year follow-up results: A case report
- Fertility problems in males carrying an inversion of chromosome 10
- Acute myeloid leukemia with leukemic pleural effusion and high levels of pleural adenosine deaminase: A case report and review of literature
- Metastatic renal Ewing’s sarcoma in adult woman: Case report and review of the literature
- Burkitt-like lymphoma with 11q aberration in a patient with AIDS and a patient without AIDS: Two cases reports and literature review
- Skull hemophilia pseudotumor: A case report
- Judicious use of low-dosage corticosteroids for non-severe COVID-19: A case report
- Adult-onset citrullinaemia type II with liver cirrhosis: A rare cause of hyperammonaemia
- Clinicopathologic features of Good’s syndrome: Two cases and literature review
- Fatal immune-related hepatitis with intrahepatic cholestasis and pneumonia associated with camrelizumab: A case report and literature review
- Research Articles
- Effects of hydroxyethyl starch and gelatin on the risk of acute kidney injury following orthotopic liver transplantation: A multicenter retrospective comparative clinical study
- Significance of nucleic acid positive anal swab in COVID-19 patients
- circAPLP2 promotes colorectal cancer progression by upregulating HELLS by targeting miR-335-5p
- Ratios between circulating myeloid cells and lymphocytes are associated with mortality in severe COVID-19 patients
- Risk factors of left atrial appendage thrombus in patients with non-valvular atrial fibrillation
- Clinical features of hypertensive patients with COVID-19 compared with a normotensive group: Single-center experience in China
- Surgical myocardial revascularization outcomes in Kawasaki disease: systematic review and meta-analysis
- Decreased chromobox homologue 7 expression is associated with epithelial–mesenchymal transition and poor prognosis in cervical cancer
- FGF16 regulated by miR-520b enhances the cell proliferation of lung cancer
- Platelet-rich fibrin: Basics of biological actions and protocol modifications
- Accurate diagnosis of prostate cancer using logistic regression
- miR-377 inhibition enhances the survival of trophoblast cells via upregulation of FNDC5 in gestational diabetes mellitus
- Prognostic significance of TRIM28 expression in patients with breast carcinoma
- Integrative bioinformatics analysis of KPNA2 in six major human cancers
- Exosomal-mediated transfer of OIP5-AS1 enhanced cell chemoresistance to trastuzumab in breast cancer via up-regulating HMGB3 by sponging miR-381-3p
- A four-lncRNA signature for predicting prognosis of recurrence patients with gastric cancer
- Knockdown of circ_0003204 alleviates oxidative low-density lipoprotein-induced human umbilical vein endothelial cells injury: Circulating RNAs could explain atherosclerosis disease progression
- Propofol postpones colorectal cancer development through circ_0026344/miR-645/Akt/mTOR signal pathway
- Knockdown of lncRNA TapSAKI alleviates LPS-induced injury in HK-2 cells through the miR-205/IRF3 pathway
- COVID-19 severity in relation to sociodemographics and vitamin D use
- Clinical analysis of 11 cases of nocardiosis
- Cis-regulatory elements in conserved non-coding sequences of nuclear receptor genes indicate for crosstalk between endocrine systems
- Four long noncoding RNAs act as biomarkers in lung adenocarcinoma
- Real-world evidence of cytomegalovirus reactivation in non-Hodgkin lymphomas treated with bendamustine-containing regimens
- Relation between IL-8 level and obstructive sleep apnea syndrome
- circAGFG1 sponges miR-28-5p to promote non-small-cell lung cancer progression through modulating HIF-1α level
- Nomogram prediction model for renal anaemia in IgA nephropathy patients
- Effect of antibiotic use on the efficacy of nivolumab in the treatment of advanced/metastatic non-small cell lung cancer: A meta-analysis
- NDRG2 inhibition facilitates angiogenesis of hepatocellular carcinoma
- A nomogram for predicting metabolic steatohepatitis: The combination of NAMPT, RALGDS, GADD45B, FOSL2, RTP3, and RASD1
- Clinical and prognostic features of MMP-2 and VEGF in AEG patients
- The value of miR-510 in the prognosis and development of colon cancer
- Functional implications of PABPC1 in the development of ovarian cancer
- Prognostic value of preoperative inflammation-based predictors in patients with bladder carcinoma after radical cystectomy
- Sublingual immunotherapy increases Treg/Th17 ratio in allergic rhinitis
- Prediction of improvement after anterior cruciate ligament reconstruction
- Effluent Osteopontin levels reflect the peritoneal solute transport rate
- circ_0038467 promotes PM2.5-induced bronchial epithelial cell dysfunction
- Significance of miR-141 and miR-340 in cervical squamous cell carcinoma
- Association between hair cortisol concentration and metabolic syndrome
- Microvessel density as a prognostic indicator of prostate cancer: A systematic review and meta-analysis
- Characteristics of BCR–ABL gene variants in patients of chronic myeloid leukemia
- Knee alterations in rheumatoid arthritis: Comparison of US and MRI
- Long non-coding RNA TUG1 aggravates cerebral ischemia and reperfusion injury by sponging miR-493-3p/miR-410-3p
- lncRNA MALAT1 regulated ATAD2 to facilitate retinoblastoma progression via miR-655-3p
- Development and validation of a nomogram for predicting severity in patients with hemorrhagic fever with renal syndrome: A retrospective study
- Analysis of COVID-19 outbreak origin in China in 2019 using differentiation method for unusual epidemiological events
- Laparoscopic versus open major liver resection for hepatocellular carcinoma: A case-matched analysis of short- and long-term outcomes
- Travelers’ vaccines and their adverse events in Nara, Japan
- Association between Tfh and PGA in children with Henoch–Schönlein purpura
- Can exchange transfusion be replaced by double-LED phototherapy?
- circ_0005962 functions as an oncogene to aggravate NSCLC progression
- Circular RNA VANGL1 knockdown suppressed viability, promoted apoptosis, and increased doxorubicin sensitivity through targeting miR-145-5p to regulate SOX4 in bladder cancer cells
- Serum intact fibroblast growth factor 23 in healthy paediatric population
- Algorithm of rational approach to reconstruction in Fournier’s disease
- A meta-analysis of exosome in the treatment of spinal cord injury
- Src-1 and SP2 promote the proliferation and epithelial–mesenchymal transition of nasopharyngeal carcinoma
- Dexmedetomidine may decrease the bupivacaine toxicity to heart
- Hypoxia stimulates the migration and invasion of osteosarcoma via up-regulating the NUSAP1 expression
- Long noncoding RNA XIST knockdown relieves the injury of microglia cells after spinal cord injury by sponging miR-219-5p
- External fixation via the anterior inferior iliac spine for proximal femoral fractures in young patients
- miR-128-3p reduced acute lung injury induced by sepsis via targeting PEL12
- HAGLR promotes neuron differentiation through the miR-130a-3p-MeCP2 axis
- Phosphoglycerate mutase 2 is elevated in serum of patients with heart failure and correlates with the disease severity and patient’s prognosis
- Cell population data in identifying active tuberculosis and community-acquired pneumonia
- Prognostic value of microRNA-4521 in non-small cell lung cancer and its regulatory effect on tumor progression
- Mean platelet volume and red blood cell distribution width is associated with prognosis in premature neonates with sepsis
- 3D-printed porous scaffold promotes osteogenic differentiation of hADMSCs
- Association of gene polymorphisms with women urinary incontinence
- Influence of COVID-19 pandemic on stress levels of urologic patients
- miR-496 inhibits proliferation via LYN and AKT pathway in gastric cancer
- miR-519d downregulates LEP expression to inhibit preeclampsia development
- Comparison of single- and triple-port VATS for lung cancer: A meta-analysis
- Fluorescent light energy modulates healing in skin grafted mouse model
- Silencing CDK6-AS1 inhibits LPS-induced inflammatory damage in HK-2 cells
- Predictive effect of DCE-MRI and DWI in brain metastases from NSCLC
- Severe postoperative hyperbilirubinemia in congenital heart disease
- Baicalin improves podocyte injury in rats with diabetic nephropathy by inhibiting PI3K/Akt/mTOR signaling pathway
- Clinical factors predicting ureteral stent failure in patients with external ureteral compression
- Novel H2S donor proglumide-ADT-OH protects HUVECs from ox-LDL-induced injury through NF-κB and JAK/SATA pathway
- Triple-Endobutton and clavicular hook: A propensity score matching analysis
- Long noncoding RNA MIAT inhibits the progression of diabetic nephropathy and the activation of NF-κB pathway in high glucose-treated renal tubular epithelial cells by the miR-182-5p/GPRC5A axis
- Serum exosomal miR-122-5p, GAS, and PGR in the non-invasive diagnosis of CAG
- miR-513b-5p inhibits the proliferation and promotes apoptosis of retinoblastoma cells by targeting TRIB1
- Fer exacerbates renal fibrosis and can be targeted by miR-29c-3p
- The diagnostic and prognostic value of miR-92a in gastric cancer: A systematic review and meta-analysis
- Prognostic value of α2δ1 in hypopharyngeal carcinoma: A retrospective study
- No significant benefit of moderate-dose vitamin C on severe COVID-19 cases
- circ_0000467 promotes the proliferation, metastasis, and angiogenesis in colorectal cancer cells through regulating KLF12 expression by sponging miR-4766-5p
- Downregulation of RAB7 and Caveolin-1 increases MMP-2 activity in renal tubular epithelial cells under hypoxic conditions
- Educational program for orthopedic surgeons’ influences for osteoporosis
- Expression and function analysis of CRABP2 and FABP5, and their ratio in esophageal squamous cell carcinoma
- GJA1 promotes hepatocellular carcinoma progression by mediating TGF-β-induced activation and the epithelial–mesenchymal transition of hepatic stellate cells
- lncRNA-ZFAS1 promotes the progression of endometrial carcinoma by targeting miR-34b to regulate VEGFA expression
- Anticoagulation is the answer in treating noncritical COVID-19 patients
- Effect of late-onset hemorrhagic cystitis on PFS after haplo-PBSCT
- Comparison of Dako HercepTest and Ventana PATHWAY anti-HER2 (4B5) tests and their correlation with silver in situ hybridization in lung adenocarcinoma
- VSTM1 regulates monocyte/macrophage function via the NF-κB signaling pathway
- Comparison of vaginal birth outcomes in midwifery-led versus physician-led setting: A propensity score-matched analysis
- Treatment of osteoporosis with teriparatide: The Slovenian experience
- New targets of morphine postconditioning protection of the myocardium in ischemia/reperfusion injury: Involvement of HSP90/Akt and C5a/NF-κB
- Superenhancer–transcription factor regulatory network in malignant tumors
- β-Cell function is associated with osteosarcopenia in middle-aged and older nonobese patients with type 2 diabetes: A cross-sectional study
- Clinical features of atypical tuberculosis mimicking bacterial pneumonia
- Proteoglycan-depleted regions of annular injury promote nerve ingrowth in a rabbit disc degeneration model
- Effect of electromagnetic field on abortion: A systematic review and meta-analysis
- miR-150-5p affects AS plaque with ASMC proliferation and migration by STAT1
- MALAT1 promotes malignant pleural mesothelioma by sponging miR-141-3p
- Effects of remifentanil and propofol on distant organ lung injury in an ischemia–reperfusion model
- miR-654-5p promotes gastric cancer progression via the GPRIN1/NF-κB pathway
- Identification of LIG1 and LIG3 as prognostic biomarkers in breast cancer
- MitoQ inhibits hepatic stellate cell activation and liver fibrosis by enhancing PINK1/parkin-mediated mitophagy
- Dissecting role of founder mutation p.V727M in GNE in Indian HIBM cohort
- circATP2A2 promotes osteosarcoma progression by upregulating MYH9
- Prognostic role of oxytocin receptor in colon adenocarcinoma
- Review Articles
- The function of non-coding RNAs in idiopathic pulmonary fibrosis
- Efficacy and safety of therapeutic plasma exchange in stiff person syndrome
- Role of cesarean section in the development of neonatal gut microbiota: A systematic review
- Small cell lung cancer transformation during antitumor therapies: A systematic review
- Research progress of gut microbiota and frailty syndrome
- Recommendations for outpatient activity in COVID-19 pandemic
- Rapid Communication
- Disparity in clinical characteristics between 2019 novel coronavirus pneumonia and leptospirosis
- Use of microspheres in embolization for unruptured renal angiomyolipomas
- COVID-19 cases with delayed absorption of lung lesion
- A triple combination of treatments on moderate COVID-19
- Social networks and eating disorders during the Covid-19 pandemic
- Letter
- COVID-19, WHO guidelines, pedagogy, and respite
- Inflammatory factors in alveolar lavage fluid from severe COVID-19 pneumonia: PCT and IL-6 in epithelial lining fluid
- COVID-19: Lessons from Norway tragedy must be considered in vaccine rollout planning in least developed/developing countries
- What is the role of plasma cell in the lamina propria of terminal ileum in Good’s syndrome patient?
- Case Report
- Rivaroxaban triggered multifocal intratumoral hemorrhage of the cabozantinib-treated diffuse brain metastases: A case report and review of literature
- CTU findings of duplex kidney in kidney: A rare duplicated renal malformation
- Synchronous primary malignancy of colon cancer and mantle cell lymphoma: A case report
- Sonazoid-enhanced ultrasonography and pathologic characters of CD68 positive cell in primary hepatic perivascular epithelioid cell tumors: A case report and literature review
- Persistent SARS-CoV-2-positive over 4 months in a COVID-19 patient with CHB
- Pulmonary parenchymal involvement caused by Tropheryma whipplei
- Mediastinal mixed germ cell tumor: A case report and literature review
- Ovarian female adnexal tumor of probable Wolffian origin – Case report
- Rare paratesticular aggressive angiomyxoma mimicking an epididymal tumor in an 82-year-old man: Case report
- Perimenopausal giant hydatidiform mole complicated with preeclampsia and hyperthyroidism: A case report and literature review
- Primary orbital ganglioneuroblastoma: A case report
- Primary aortic intimal sarcoma masquerading as intramural hematoma
- Sustained false-positive results for hepatitis A virus immunoglobulin M: A case report and literature review
- Peritoneal loose body presenting as a hepatic mass: A case report and review of the literature
- Chondroblastoma of mandibular condyle: Case report and literature review
- Trauma-induced complete pacemaker lead fracture 8 months prior to hospitalization: A case report
- Primary intradural extramedullary extraosseous Ewing’s sarcoma/peripheral primitive neuroectodermal tumor (PIEES/PNET) of the thoracolumbar spine: A case report and literature review
- Computer-assisted preoperative planning of reduction of and osteosynthesis of scapular fracture: A case report
- High quality of 58-month life in lung cancer patient with brain metastases sequentially treated with gefitinib and osimertinib
- Rapid response of locally advanced oral squamous cell carcinoma to apatinib: A case report
- Retrieval of intrarenal coiled and ruptured guidewire by retrograde intrarenal surgery: A case report and literature review
- Usage of intermingled skin allografts and autografts in a senior patient with major burn injury
- Retraction
- Retraction on “Dihydromyricetin attenuates inflammation through TLR4/NF-kappa B pathway”
- Special Issue Computational Intelligence Methodologies Meets Recurrent Cancers - Part I
- An artificial immune system with bootstrap sampling for the diagnosis of recurrent endometrial cancers
- Breast cancer recurrence prediction with ensemble methods and cost-sensitive learning
Artikel in diesem Heft
- Research Articles
- Identification of ZG16B as a prognostic biomarker in breast cancer
- Behçet’s disease with latent Mycobacterium tuberculosis infection
- Erratum
- Erratum to “Suffering from Cerebral Small Vessel Disease with and without Metabolic Syndrome”
- Research Articles
- GPR37 promotes the malignancy of lung adenocarcinoma via TGF-β/Smad pathway
- Expression and role of ABIN1 in sepsis: In vitro and in vivo studies
- Additional baricitinib loading dose improves clinical outcome in COVID-19
- The co-treatment of rosuvastatin with dapagliflozin synergistically inhibited apoptosis via activating the PI3K/AKt/mTOR signaling pathway in myocardial ischemia/reperfusion injury rats
- SLC12A8 plays a key role in bladder cancer progression and EMT
- LncRNA ATXN8OS enhances tamoxifen resistance in breast cancer
- Case Report
- Serratia marcescens as a cause of unfavorable outcome in the twin pregnancy
- Spleno-adrenal fusion mimicking an adrenal metastasis of a renal cell carcinoma: A case report and embryological background
- Research Articles
- TRIM25 contributes to the malignancy of acute myeloid leukemia and is negatively regulated by microRNA-137
- CircRNA circ_0004370 promotes cell proliferation, migration, and invasion and inhibits cell apoptosis of esophageal cancer via miR-1301-3p/COL1A1 axis
- LncRNA XIST regulates atherosclerosis progression in ox-LDL-induced HUVECs
- Potential role of IFN-γ and IL-5 in sepsis prediction of preterm neonates
- Rapid Communication
- COVID-19 vaccine: Call for employees in international transportation industries and international travelers as the first priority in global distribution
- Case Report
- Rare squamous cell carcinoma of the kidney with concurrent xanthogranulomatous pyelonephritis: A case report and review of the literature
- An infertile female delivered a baby after removal of primary renal carcinoid tumor
- Research Articles
- Hypertension, BMI, and cardiovascular and cerebrovascular diseases
- Case Report
- Coexistence of bilateral macular edema and pale optic disc in the patient with Cohen syndrome
- Research Articles
- Correlation between kinematic sagittal parameters of the cervical lordosis or head posture and disc degeneration in patients with posterior neck pain
- Review Articles
- Hepatoid adenocarcinoma of the lung: An analysis of the Surveillance, Epidemiology, and End Results (SEER) database
- Research Articles
- Thermography in the diagnosis of carpal tunnel syndrome
- Pemetrexed-based first-line chemotherapy had particularly prominent objective response rate for advanced NSCLC: A network meta-analysis
- Comparison of single and double autologous stem cell transplantation in multiple myeloma patients
- The influence of smoking in minimally invasive spinal fusion surgery
- Impact of body mass index on left atrial dimension in HOCM patients
- Expression and clinical significance of CMTM1 in hepatocellular carcinoma
- miR-142-5p promotes cervical cancer progression by targeting LMX1A through Wnt/β-catenin pathway
- Comparison of multiple flatfoot indicators in 5–8-year-old children
- Early MRI imaging and follow-up study in cerebral amyloid angiopathy
- Intestinal fatty acid-binding protein as a biomarker for the diagnosis of strangulated intestinal obstruction: A meta-analysis
- miR-128-3p inhibits apoptosis and inflammation in LPS-induced sepsis by targeting TGFBR2
- Dynamic perfusion CT – A promising tool to diagnose pancreatic ductal adenocarcinoma
- Biomechanical evaluation of self-cinching stitch techniques in rotator cuff repair: The single-loop and double-loop knot stitches
- Review Articles
- The ambiguous role of mannose-binding lectin (MBL) in human immunity
- Case Report
- Membranous nephropathy with pulmonary cryptococcosis with improved 1-year follow-up results: A case report
- Fertility problems in males carrying an inversion of chromosome 10
- Acute myeloid leukemia with leukemic pleural effusion and high levels of pleural adenosine deaminase: A case report and review of literature
- Metastatic renal Ewing’s sarcoma in adult woman: Case report and review of the literature
- Burkitt-like lymphoma with 11q aberration in a patient with AIDS and a patient without AIDS: Two cases reports and literature review
- Skull hemophilia pseudotumor: A case report
- Judicious use of low-dosage corticosteroids for non-severe COVID-19: A case report
- Adult-onset citrullinaemia type II with liver cirrhosis: A rare cause of hyperammonaemia
- Clinicopathologic features of Good’s syndrome: Two cases and literature review
- Fatal immune-related hepatitis with intrahepatic cholestasis and pneumonia associated with camrelizumab: A case report and literature review
- Research Articles
- Effects of hydroxyethyl starch and gelatin on the risk of acute kidney injury following orthotopic liver transplantation: A multicenter retrospective comparative clinical study
- Significance of nucleic acid positive anal swab in COVID-19 patients
- circAPLP2 promotes colorectal cancer progression by upregulating HELLS by targeting miR-335-5p
- Ratios between circulating myeloid cells and lymphocytes are associated with mortality in severe COVID-19 patients
- Risk factors of left atrial appendage thrombus in patients with non-valvular atrial fibrillation
- Clinical features of hypertensive patients with COVID-19 compared with a normotensive group: Single-center experience in China
- Surgical myocardial revascularization outcomes in Kawasaki disease: systematic review and meta-analysis
- Decreased chromobox homologue 7 expression is associated with epithelial–mesenchymal transition and poor prognosis in cervical cancer
- FGF16 regulated by miR-520b enhances the cell proliferation of lung cancer
- Platelet-rich fibrin: Basics of biological actions and protocol modifications
- Accurate diagnosis of prostate cancer using logistic regression
- miR-377 inhibition enhances the survival of trophoblast cells via upregulation of FNDC5 in gestational diabetes mellitus
- Prognostic significance of TRIM28 expression in patients with breast carcinoma
- Integrative bioinformatics analysis of KPNA2 in six major human cancers
- Exosomal-mediated transfer of OIP5-AS1 enhanced cell chemoresistance to trastuzumab in breast cancer via up-regulating HMGB3 by sponging miR-381-3p
- A four-lncRNA signature for predicting prognosis of recurrence patients with gastric cancer
- Knockdown of circ_0003204 alleviates oxidative low-density lipoprotein-induced human umbilical vein endothelial cells injury: Circulating RNAs could explain atherosclerosis disease progression
- Propofol postpones colorectal cancer development through circ_0026344/miR-645/Akt/mTOR signal pathway
- Knockdown of lncRNA TapSAKI alleviates LPS-induced injury in HK-2 cells through the miR-205/IRF3 pathway
- COVID-19 severity in relation to sociodemographics and vitamin D use
- Clinical analysis of 11 cases of nocardiosis
- Cis-regulatory elements in conserved non-coding sequences of nuclear receptor genes indicate for crosstalk between endocrine systems
- Four long noncoding RNAs act as biomarkers in lung adenocarcinoma
- Real-world evidence of cytomegalovirus reactivation in non-Hodgkin lymphomas treated with bendamustine-containing regimens
- Relation between IL-8 level and obstructive sleep apnea syndrome
- circAGFG1 sponges miR-28-5p to promote non-small-cell lung cancer progression through modulating HIF-1α level
- Nomogram prediction model for renal anaemia in IgA nephropathy patients
- Effect of antibiotic use on the efficacy of nivolumab in the treatment of advanced/metastatic non-small cell lung cancer: A meta-analysis
- NDRG2 inhibition facilitates angiogenesis of hepatocellular carcinoma
- A nomogram for predicting metabolic steatohepatitis: The combination of NAMPT, RALGDS, GADD45B, FOSL2, RTP3, and RASD1
- Clinical and prognostic features of MMP-2 and VEGF in AEG patients
- The value of miR-510 in the prognosis and development of colon cancer
- Functional implications of PABPC1 in the development of ovarian cancer
- Prognostic value of preoperative inflammation-based predictors in patients with bladder carcinoma after radical cystectomy
- Sublingual immunotherapy increases Treg/Th17 ratio in allergic rhinitis
- Prediction of improvement after anterior cruciate ligament reconstruction
- Effluent Osteopontin levels reflect the peritoneal solute transport rate
- circ_0038467 promotes PM2.5-induced bronchial epithelial cell dysfunction
- Significance of miR-141 and miR-340 in cervical squamous cell carcinoma
- Association between hair cortisol concentration and metabolic syndrome
- Microvessel density as a prognostic indicator of prostate cancer: A systematic review and meta-analysis
- Characteristics of BCR–ABL gene variants in patients of chronic myeloid leukemia
- Knee alterations in rheumatoid arthritis: Comparison of US and MRI
- Long non-coding RNA TUG1 aggravates cerebral ischemia and reperfusion injury by sponging miR-493-3p/miR-410-3p
- lncRNA MALAT1 regulated ATAD2 to facilitate retinoblastoma progression via miR-655-3p
- Development and validation of a nomogram for predicting severity in patients with hemorrhagic fever with renal syndrome: A retrospective study
- Analysis of COVID-19 outbreak origin in China in 2019 using differentiation method for unusual epidemiological events
- Laparoscopic versus open major liver resection for hepatocellular carcinoma: A case-matched analysis of short- and long-term outcomes
- Travelers’ vaccines and their adverse events in Nara, Japan
- Association between Tfh and PGA in children with Henoch–Schönlein purpura
- Can exchange transfusion be replaced by double-LED phototherapy?
- circ_0005962 functions as an oncogene to aggravate NSCLC progression
- Circular RNA VANGL1 knockdown suppressed viability, promoted apoptosis, and increased doxorubicin sensitivity through targeting miR-145-5p to regulate SOX4 in bladder cancer cells
- Serum intact fibroblast growth factor 23 in healthy paediatric population
- Algorithm of rational approach to reconstruction in Fournier’s disease
- A meta-analysis of exosome in the treatment of spinal cord injury
- Src-1 and SP2 promote the proliferation and epithelial–mesenchymal transition of nasopharyngeal carcinoma
- Dexmedetomidine may decrease the bupivacaine toxicity to heart
- Hypoxia stimulates the migration and invasion of osteosarcoma via up-regulating the NUSAP1 expression
- Long noncoding RNA XIST knockdown relieves the injury of microglia cells after spinal cord injury by sponging miR-219-5p
- External fixation via the anterior inferior iliac spine for proximal femoral fractures in young patients
- miR-128-3p reduced acute lung injury induced by sepsis via targeting PEL12
- HAGLR promotes neuron differentiation through the miR-130a-3p-MeCP2 axis
- Phosphoglycerate mutase 2 is elevated in serum of patients with heart failure and correlates with the disease severity and patient’s prognosis
- Cell population data in identifying active tuberculosis and community-acquired pneumonia
- Prognostic value of microRNA-4521 in non-small cell lung cancer and its regulatory effect on tumor progression
- Mean platelet volume and red blood cell distribution width is associated with prognosis in premature neonates with sepsis
- 3D-printed porous scaffold promotes osteogenic differentiation of hADMSCs
- Association of gene polymorphisms with women urinary incontinence
- Influence of COVID-19 pandemic on stress levels of urologic patients
- miR-496 inhibits proliferation via LYN and AKT pathway in gastric cancer
- miR-519d downregulates LEP expression to inhibit preeclampsia development
- Comparison of single- and triple-port VATS for lung cancer: A meta-analysis
- Fluorescent light energy modulates healing in skin grafted mouse model
- Silencing CDK6-AS1 inhibits LPS-induced inflammatory damage in HK-2 cells
- Predictive effect of DCE-MRI and DWI in brain metastases from NSCLC
- Severe postoperative hyperbilirubinemia in congenital heart disease
- Baicalin improves podocyte injury in rats with diabetic nephropathy by inhibiting PI3K/Akt/mTOR signaling pathway
- Clinical factors predicting ureteral stent failure in patients with external ureteral compression
- Novel H2S donor proglumide-ADT-OH protects HUVECs from ox-LDL-induced injury through NF-κB and JAK/SATA pathway
- Triple-Endobutton and clavicular hook: A propensity score matching analysis
- Long noncoding RNA MIAT inhibits the progression of diabetic nephropathy and the activation of NF-κB pathway in high glucose-treated renal tubular epithelial cells by the miR-182-5p/GPRC5A axis
- Serum exosomal miR-122-5p, GAS, and PGR in the non-invasive diagnosis of CAG
- miR-513b-5p inhibits the proliferation and promotes apoptosis of retinoblastoma cells by targeting TRIB1
- Fer exacerbates renal fibrosis and can be targeted by miR-29c-3p
- The diagnostic and prognostic value of miR-92a in gastric cancer: A systematic review and meta-analysis
- Prognostic value of α2δ1 in hypopharyngeal carcinoma: A retrospective study
- No significant benefit of moderate-dose vitamin C on severe COVID-19 cases
- circ_0000467 promotes the proliferation, metastasis, and angiogenesis in colorectal cancer cells through regulating KLF12 expression by sponging miR-4766-5p
- Downregulation of RAB7 and Caveolin-1 increases MMP-2 activity in renal tubular epithelial cells under hypoxic conditions
- Educational program for orthopedic surgeons’ influences for osteoporosis
- Expression and function analysis of CRABP2 and FABP5, and their ratio in esophageal squamous cell carcinoma
- GJA1 promotes hepatocellular carcinoma progression by mediating TGF-β-induced activation and the epithelial–mesenchymal transition of hepatic stellate cells
- lncRNA-ZFAS1 promotes the progression of endometrial carcinoma by targeting miR-34b to regulate VEGFA expression
- Anticoagulation is the answer in treating noncritical COVID-19 patients
- Effect of late-onset hemorrhagic cystitis on PFS after haplo-PBSCT
- Comparison of Dako HercepTest and Ventana PATHWAY anti-HER2 (4B5) tests and their correlation with silver in situ hybridization in lung adenocarcinoma
- VSTM1 regulates monocyte/macrophage function via the NF-κB signaling pathway
- Comparison of vaginal birth outcomes in midwifery-led versus physician-led setting: A propensity score-matched analysis
- Treatment of osteoporosis with teriparatide: The Slovenian experience
- New targets of morphine postconditioning protection of the myocardium in ischemia/reperfusion injury: Involvement of HSP90/Akt and C5a/NF-κB
- Superenhancer–transcription factor regulatory network in malignant tumors
- β-Cell function is associated with osteosarcopenia in middle-aged and older nonobese patients with type 2 diabetes: A cross-sectional study
- Clinical features of atypical tuberculosis mimicking bacterial pneumonia
- Proteoglycan-depleted regions of annular injury promote nerve ingrowth in a rabbit disc degeneration model
- Effect of electromagnetic field on abortion: A systematic review and meta-analysis
- miR-150-5p affects AS plaque with ASMC proliferation and migration by STAT1
- MALAT1 promotes malignant pleural mesothelioma by sponging miR-141-3p
- Effects of remifentanil and propofol on distant organ lung injury in an ischemia–reperfusion model
- miR-654-5p promotes gastric cancer progression via the GPRIN1/NF-κB pathway
- Identification of LIG1 and LIG3 as prognostic biomarkers in breast cancer
- MitoQ inhibits hepatic stellate cell activation and liver fibrosis by enhancing PINK1/parkin-mediated mitophagy
- Dissecting role of founder mutation p.V727M in GNE in Indian HIBM cohort
- circATP2A2 promotes osteosarcoma progression by upregulating MYH9
- Prognostic role of oxytocin receptor in colon adenocarcinoma
- Review Articles
- The function of non-coding RNAs in idiopathic pulmonary fibrosis
- Efficacy and safety of therapeutic plasma exchange in stiff person syndrome
- Role of cesarean section in the development of neonatal gut microbiota: A systematic review
- Small cell lung cancer transformation during antitumor therapies: A systematic review
- Research progress of gut microbiota and frailty syndrome
- Recommendations for outpatient activity in COVID-19 pandemic
- Rapid Communication
- Disparity in clinical characteristics between 2019 novel coronavirus pneumonia and leptospirosis
- Use of microspheres in embolization for unruptured renal angiomyolipomas
- COVID-19 cases with delayed absorption of lung lesion
- A triple combination of treatments on moderate COVID-19
- Social networks and eating disorders during the Covid-19 pandemic
- Letter
- COVID-19, WHO guidelines, pedagogy, and respite
- Inflammatory factors in alveolar lavage fluid from severe COVID-19 pneumonia: PCT and IL-6 in epithelial lining fluid
- COVID-19: Lessons from Norway tragedy must be considered in vaccine rollout planning in least developed/developing countries
- What is the role of plasma cell in the lamina propria of terminal ileum in Good’s syndrome patient?
- Case Report
- Rivaroxaban triggered multifocal intratumoral hemorrhage of the cabozantinib-treated diffuse brain metastases: A case report and review of literature
- CTU findings of duplex kidney in kidney: A rare duplicated renal malformation
- Synchronous primary malignancy of colon cancer and mantle cell lymphoma: A case report
- Sonazoid-enhanced ultrasonography and pathologic characters of CD68 positive cell in primary hepatic perivascular epithelioid cell tumors: A case report and literature review
- Persistent SARS-CoV-2-positive over 4 months in a COVID-19 patient with CHB
- Pulmonary parenchymal involvement caused by Tropheryma whipplei
- Mediastinal mixed germ cell tumor: A case report and literature review
- Ovarian female adnexal tumor of probable Wolffian origin – Case report
- Rare paratesticular aggressive angiomyxoma mimicking an epididymal tumor in an 82-year-old man: Case report
- Perimenopausal giant hydatidiform mole complicated with preeclampsia and hyperthyroidism: A case report and literature review
- Primary orbital ganglioneuroblastoma: A case report
- Primary aortic intimal sarcoma masquerading as intramural hematoma
- Sustained false-positive results for hepatitis A virus immunoglobulin M: A case report and literature review
- Peritoneal loose body presenting as a hepatic mass: A case report and review of the literature
- Chondroblastoma of mandibular condyle: Case report and literature review
- Trauma-induced complete pacemaker lead fracture 8 months prior to hospitalization: A case report
- Primary intradural extramedullary extraosseous Ewing’s sarcoma/peripheral primitive neuroectodermal tumor (PIEES/PNET) of the thoracolumbar spine: A case report and literature review
- Computer-assisted preoperative planning of reduction of and osteosynthesis of scapular fracture: A case report
- High quality of 58-month life in lung cancer patient with brain metastases sequentially treated with gefitinib and osimertinib
- Rapid response of locally advanced oral squamous cell carcinoma to apatinib: A case report
- Retrieval of intrarenal coiled and ruptured guidewire by retrograde intrarenal surgery: A case report and literature review
- Usage of intermingled skin allografts and autografts in a senior patient with major burn injury
- Retraction
- Retraction on “Dihydromyricetin attenuates inflammation through TLR4/NF-kappa B pathway”
- Special Issue Computational Intelligence Methodologies Meets Recurrent Cancers - Part I
- An artificial immune system with bootstrap sampling for the diagnosis of recurrent endometrial cancers
- Breast cancer recurrence prediction with ensemble methods and cost-sensitive learning