Abstract
Several Serratia species are widely distributed in nature, but Serratia marcescens is the only species frequently isolated in hospitals. This pathogen is mainly responsible for nosocomial infection, mostly in immunocompromised hosts. A 26-year-old woman with a twin pregnancy, regularly controlled, was hospitalized at 24 + 5 weeks of gestation due to scant vaginal bleeding, lower abdominal pain, and body temperature up to 37.5°C. Gynecological examination revealed bleeding accompanied by dilatation of the cervix. The laboratory analyses revealed leukocytosis with elevated C-reactive protein (CRP). Treatment was initiated with intravenous antibiotic administration. After admission, fetal membranes spontaneously ruptured, and an extremely preterm dichorionic female twin birth occurred at 25 + 0 weeks of gestation. Both infants died two days after labor. Pathological and microbiological analyses revealed chorioamnionitis caused by S. marcescens. According to the antibiogram, antibiotic treatment was continued for the next 7 days. The examination of cervical and vaginal discharge samples was negative three days and two weeks after therapy. S. marcescens may cause spontaneous miscarriages and, in this important case, caused loss of discordant twins in an extremely preterm birth by an immunocompetent patient. Infection by S. marcescens cannot be excluded as a cause of discordant growth and needs to be confirmed by further research.
1 Introduction
Serratia marcescens is an aerobic (facultative anaerobic), motile, Gram-negative, enteric saprophytic rod of the Klebsiella–Enterobacter–Serratia division of the Enterobacteriaceae family [1]. S. marcescens is observed almost everywhere in nature, but it favors moist conditions [2]. In this paper, a case of S. marcescens placental infection is described as a cause of extremely preterm birth and loss of infants in twin pregnancy due to pneumonitis followed by respiratory insufficiency.
Infections during pregnancy are complex and important because the infection affects not only the mother, but also the fetus [3]. The duration and results of the infection depend on the number and virulence of the microbes, the immunobiological characteristics of the mother, the manner of spread of the infection, and the gestational period [4]. The immunobiological status of the mother is stressed given the depressed T lymphocyte function and frequent compositional alterations in biological flora in the birth canal during pregnancy, which significantly contributes to the development of infections [5].
As a result of infections during pregnancy, fetal membranes may become infected (chorioamnionitis and intraamniotic infection syndrome), resulting in premature placental abruption and spontaneous miscarriage or preterm birth [6]. Due to the very high infant death rate under these conditions, the peripartum morbidity of the mother is also high [7]. In line with these findings, Serratia bacteremia has a high mortality rate of approximately 37% within six months [8]. During pregnancy, this infection is a rare but potentially fatal disorder that is also associated with chorioamnionitis or placental abscess, miscarriages, and preterm deliveries [9,10,11,12,13,14].
2 Case report
A 26-year-old (gravida 2, para 1), Rh-negative, childbearing mother with an Rh-positive partner undergoing a regularly controlled second dichorionic twin pregnancy was the subject of this study. The first pregnancy proceeded normally and yielded a positive outcome. Due to uterine cervical insufficiency during this pregnancy, a cerclage was placed at 15 weeks of gestation (WG). Discordant fetal growth restriction (FGR) was diagnosed by ultrasound at 24 + 3 WG based on an estimated discordance of approximately 25% (ultrasound parameters of the first twin: 61 mm biparietal diameter (BPD), 45 mm femur length (FL), 19.8 cm abdominal circumference (AC), 22.6 cm head circumference (HC), and approximately 530 g estimated fetal weight (EFW); ultrasound parameters of the 2nd twin: 65 mm BPD, 48 mm FL, 21 cm AC, 23.8 cm HC, and approximately 730 g EFW.
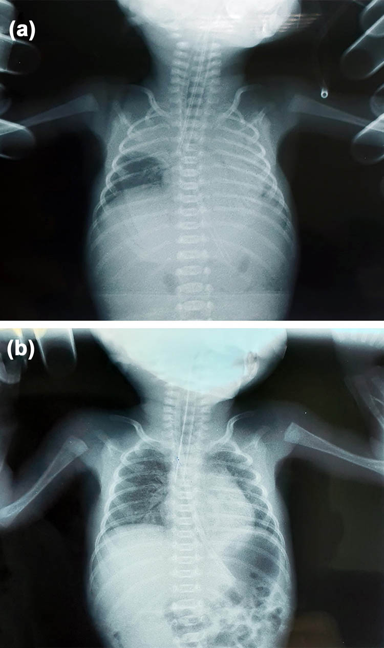
The patient was admitted to the hospital at 24 + 5 WG for scant vaginal bleeding, lower abdominal pain, and body temperature up to 37.5°C. Gynecological examination revealed bleeding within dilatation of the cervix with a diameter of 1 cm near the cerclage. The laboratory analyses revealed leukocytosis with elevated C-reactive protein (CRP) (28.3 × 109/L white blood cells (WBCs), 3.50 × 109/L red blood cells (RBCs), 108 g/L hemoglobin (Hgb), 385 × 109/L platelet count (PLT), and 28.5 mg/L CRP. Other laboratory analyses were in range with reference values. Treatment was initiated with intravenous administration of ceftriaxone at a dose of 2 g/day. Immediately after admission, fetal membranes spontaneously ruptured, and the mother experienced uterine contractions. The cerclage was removed, and an extremely preterm dichorionic female twin birth with discordant FGR occurred at 25 + 0 WG. The first twin weighed 560 g and had an AS of 2/2, and the second twin weighed 780 g and had an AS of 2/2. Both female infants had an altered state of consciousness and were edematous, hypotonic, apneic, and bradycardic, with multiple hematomas at the extremities and in the occipital region, and had leukocytosis (95.6 × 109/L WBCs in the first and 38.9 × 109/L WBCs in the second newborn). Swabs of the umbilical cord, nose, and anus were negative for both infants. Chest X-ray of the first newborn showed decreased transparency of the pulmonary parenchyma to the left with a clearly limited presence in the upper lobe area to the right (Figure 1a). Radiography of the second infant confirmed individual paracardial and basal shadings of the pulmonary parenchyma (Figure 1b). Ultrasound indicated the immaturity of the brain parenchyma in both newborns with asymmetry of the ventricular system and plexus. Both infants were attached to mechanical ventilation, followed by treatment with electrolytes, a prophylactic dose of corticosteroids, and antibiotic therapy. The infants died two days after birth due to respiratory failure despite resuscitation.

Chest X-ray of the newborns. (a) Image shows decreased transparency of the pulmonary parenchyma to the left with a clearly limited presence in the upper lobe area to the right in the first newborn; (b) chest X-ray shows individual paracardial and basal shadings of the pulmonary parenchyma in the second newborn.
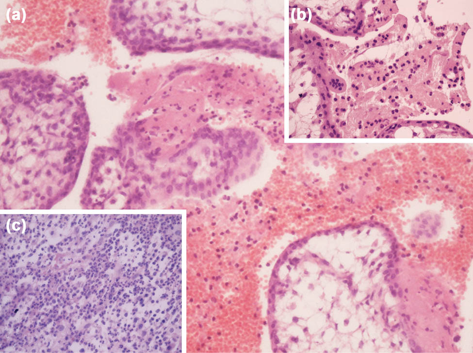
The placental tissue was sent for pathological and microbiological analyses. Pathological examination of placental tissue samples showed marginal hemorrhage and opaque membranes with yellow-green discoloration and purulent amniotic fluid. Microscopic analysis showed neutrophilic infiltrate of membranes and those overlying the chorionic plate with rare macrophages and without necrosis, including umbilical vasculitis. A diagnosis of acute chorioamnionitis was made (Figure 2). According to the Amsterdam consensus criteria for maternal and fetal inflammatory responses, our case was classified as Stage 2, Grade 2 [15]. Tests for the presence of genital mycoplasma (Ureaplasma urealyticum and Mycoplasma hominis) were negative, and real-time polymerase chain reaction (PCR) tests assessing the presence of Neisseria gonorrhoeae and Chlamydia trachomatis were negative. Applying the same examinations, the presence of the bacteria S. marcescens was discovered. Moreover, in a touch preparation of the placental tissue, dead cells were identified (up to 30 leukocytes in the visible range) [16]. After delivery on the third day of hospitalization, treatment was continued with amikacin (1 g/day) and ceftriaxone (2 g/day). On the ninth day of admission, the patient was discharged and treatment was continued according to the antibiogram, with ciprofloxacin at an oral dose of 1 g/day for the next 7 days. Control cervical and vaginal discharge samples were negative three days and two weeks after therapy.

Histological features of chorioamnionitis caused by Serratia marcescens. Photomicrographs of the placental tissue show neutrophilic infiltrate of membranes and those overlying the chorionic plate with rare macrophages and without necrotic debris; (a) hematoxylin and eosin staining, ×200; (b) hematoxylin and eosin staining, ×400; (c) hematoxylin and eosin staining, ×400.
-
Informed consent: Informed consent has been obtained from a mother for potentially descriptive information to be published in this article.
3 Discussion
According to the available data, an infection caused by S. marcescens results in a miscarriage or extremely preterm birth by an immunocompetent patient, thereby making this case very interesting [13]. Registered in 1960, this bacterial species is often described as a cause of nosocomial interhospital infections [2]. Although this species is sensitive to a wide range of available antibiotics, it is often difficult to exterminate this species from the facilities implicated in interhospital infections [2].
Van Ogtrop et al. followed an outbreak of colonization and infection with S. marcescens that occurred in a neonatal intensive care unit [17]. S. marcescens was isolated from five preterm infants between 25–30 weeks of gestation. Two infants developed fatal septicemia, and one infant experienced conjunctivitis due to S. marcescens [17]. Two infants were colonized, but did not display clinical signs of infection. All infants were treated with antibiotic regimens, including ciprofloxacin and gentamicin [17].
David et al. analyzed twenty-one patients who were infected or colonized in a neonatal unit over a 9-month period from 2001–2002 [18]. Twenty-two isolates were examined for antibiotic susceptibility, β-lactamase production, and genotype [18]. Random-amplified polymorphic deoxyribonucleic acid (DNA) PCR and pulsed-field gel electrophoresis revealed that two clones were present [18]. The first clone caused invasive clinical infection in four babies and was subsequently replaced by a noninvasive clone that affected 14 babies [18]. According to their production of prodigiosin, two different strains have been described: the first strain was nonpigmented, while the second exhibited pink-red pigmentation [18]. The clinical features suggested the difference in the scope of pathogenicities of these two strains. No environmental source was identified [18].
S. marcescens has only recently been implicated as a cause of miscarriages and preterm labor resulting from bacteremia and chorioamnionitis [9,10,12]. Prior rupture of membranes is not necessarily due to the development of an ascending amniotic infection [19]. It has been established that subclinical intrauterine infection may occur, even with intact membranes, leading to the absence of clinical signs of infection, despite clear histological signs of chorioamnionitis [20]. The way the infection occurred and spread in this case is not clear. In some cases, the growth and spread of the infection occurred from the vagina, which was confirmed by a vaginal swab [9,13,14]. S. marcescens is not part of the normal vaginal flora and is most commonly encountered as an opportunistic pathogen in nosocomial settings [21]. It is typically associated with the use of invasive devices or procedures (e.g., chorionic villus sampling, placement of a central venous line), repeated vaginal examinations after preterm prelabor rupture of membranes as well as with patients whose health is generally compromised [9,11,14]. It is also associated with poor hygiene in health care facilities (hands of personnel, contaminated irrigation solutions or disinfectants) and prior unsuccessful antibiotic treatments of patients [22]. In the hospital, Serratia species tend to colonize the respiratory and urinary tracts of adults rather than the gastrointestinal tract (2).
Amniocentesis is very important in the diagnosis of chorioamnionitis. This invasive procedure is followed by risks of miscarriage and transmission of the infection to the fetus [21]. On the other hand, a negative result cannot completely exclude chorioamnionitis, especially at an early stage [11]. In this case, this procedure was not performed. A review of the reported cases of Serratia marcescens chorioamnionitis is presented in Table 1.
Review of the reported cases of Serratia marcescens chorioamnionitis
| No | Reference | Year | Age | WG | Immunocompetent host | Source of infection | Symptoms on admission | Outcome | Treatment | Length of hospitalization |
|---|---|---|---|---|---|---|---|---|---|---|
| 1. | Kljakic et al. (Current study) | 2020 | 26 | 25 | Yes | Unknown | Scant vaginal bleeding, lower abdominal pain, fever | Vaginal preterm delivery; Infants died two days after birth. | Ceftriaxone (3 days). After delivery, the treatment was continued with Amikacin and Ceftriaxone (6 days) and followed by Ciprofloxacin according to the antibiogram (7 days) | 9 days |
| 2. | Mak et al. [21] | 2018 | 35 | 15–37 | Yes | Ascending infection from the vagina | Fever, chills, rigor, runny nose, cough, sputum, headache, myalgia, vomiting undigested food | Vaginal term delivery (uninfected newborn) | Meropenem | 24 weeks |
| 3. | Erenberg et al. [14] | 2017 | 36 | 25–28 | Yes | Prolonged PPROM | Chills, abdominal pain, sub-febrile fever, tachycardia, leukocytosis, fetal tachycardia | Emergency cesarean delivery | Amoxicillin/Clavulanic Acid (3 days), followed by Meropenem (6 days) | 11 days |
| 4. | Vale-Fernandes et al. [13] | 2015 | 31 | 15–16 | Yes | N/A | Hyperthermia, hemicranial headache, nausea, vomiting, diarrhea | Spontaneous abortion | Ceftriaxone and Ampicillin (12 days), followed by only Ceftriaxone (2 days) | 12 days |
| 5. | Chai et al. [12] | 2011 | 32 | 12 | No | Unknown | Amenorrhea, fever, chills, vomiting | Fetal death followed by vacuum curettage | Meropenem | N/A |
| 6. | Meirowitz et al. [11] | 2006 | 28 | 21–25 | No | Central catheter line | Fever, chills, malaise, headache | Emergency cesarean delivery | Ceftriaxone (11 days), followed by Ertapenem (17 days), followed by Imipenem (14 days) | 41 days |
| 7. | Shimizu et al. [10] | 2003 | 26 | 10–20 | Yes | Urinary tract | Gait disturbance, severe tenderness, flaring in the lower left extremity, fever | Spontaneous abortion | Cefotiam (5 days), followed by Ceftazidime (8 days), followed by Imipenem/Cilastatin (8 days). Second admission – Ceftriaxone and Imipenem/Cilastatin up to the abortion?, followed by Imipenem/Cilastatin (by the 7 day after the abortion 7) | 40 days during first admission? Period of the second admission is N/A |
| 8. | Prosser et al. [9] | 2003 | 38 | 19–21 | Yes | Chorionic-villus sampling | Intermittent fevers, malaise. | Spontaneous abortion | Tobramycin and Cefepime (12 days) followed by Trimethoprim–sulfamethoxazole and Cefepime (2 weeks?) | 12 days |
Potentially, two mechanisms of fetal loss are associated with infection, and both are characteristic of advanced pregnancy. First, bacterial invasion of the amniotic cavity or fetoplacental membranes can stimulate labor of an immature fetus, and second, intrauterine infection of the fetus can probably occur as a result of the swallowing or inhaling of infected amniotic fluid and cause fetal pneumonitis and/or septicemia [20].
FGR is defined as a condition in which the fetus does not achieve its genetically determined growth potential [23]. FGR can be caused by a variety of factors, such as infections, the mother’s illnesses, and chromosomal disorders, but it primarily refers to anomalies in placental development that occur early in pregnancy [24,25]. The pathophysiology of discordant FGR remains insufficiently and inaccurately defined. Several recognized factors, categorized as maternal, fetal, and placental, influence the likelihood of discordant twins [26]. Altogether, with factors including intrauterine surroundings and utero-placental insufficiency, this condition can lead to discordant FGR [26].
Discordant fetal growth (with greater than 20% discordance) complicates 15% to 29% of twin pregnancies [27]. In a study involving 15,066 twin pregnancies, the rate of miscarriage was significantly increased when discordance was greater than 20%, especially in cases of monochorionic twin pregnancies [28]. It is important to note that the pregnancy in this case report was dichorionic. The increased pregnancy loss rate is attributed to monochorionicity of twin pregnancy [29].
In this case, infection by S. marcescens cannot be excluded as a cause of discordant growth. This is supported by the lack of awareness of the pregnancy period when the infection occurred. Previous studies have shown that chronic chorioamnionitis in some cases may be the cause of restrictive intrauterine growth of the fetus, especially in twin pregnancies [30]. Thus, it is reported, on rare occasions, that bacterial infections such as chlamydia, mycoplasma, listeria, and tuberculosis can cause restrictive intrauterine growth [31]. In addition, studies are required to examine the association between localization and/or different bacterial populations with the degree of oxygenation and maternal and fetal circulation. The immunomodulatory effect caused by bacterial infections of the placenta, hypothetically, may be the reason for the restrictive growth of the fetus and its subsequent rejection or preterm birth, and this needs to be confirmed by further research.
4 Conclusions
Although rare, S. marcescens can cause spontaneous miscarriages and, in this case, loss of extremely preterm birth of discordant twins in an immunocompetent patient. Infection by S. marcescens cannot be excluded as a cause of discordant growth and needs to be confirmed by further research.
Abbreviations
- AC
-
abdominal circumference
- BPD
-
biparietal diameter
- CRP
-
C-reactive protein
- DNA
-
deoxyribonucleic acid
- EFW
-
estimated fetal weight
- FGR
-
fetal growth restriction
- FL
-
femur length
- HC
-
head circumference
- Hgb
-
hemoglobin
- PCR
-
polymerase chain reaction
- PLT
-
platelet count
- RBCs
-
red blood cells
- WBCs
-
white blood cells
- WG
-
weeks of gestation
Acknowledgments
We would like to express special gratitude to our friend and colleague Duško Kljakić who died during the Covid 19 epidemic.
-
Conflict of interest: Authors state no conflict of interest.
-
Data availability statement: The datasets generated during and/or analysed during the current study are available from the corresponding author on reasonable request.
References
[1] Donnenberg MS. Enterobacteriaceae. In: Mandell GL, Bennett JE, Dolin R, editors. Principles and practice of infectious diseases, 7th edn. Philadelphia: Churchill Livingstone – Elsevier; 2010. p. 2815–33.10.1016/B978-0-443-06839-3.00218-6Search in Google Scholar
[2] Mahlen SD. Serratia infections: from military experiments to current practice. Clin Microbiol Rev. 2011;24:755–91.10.1128/CMR.00017-11Search in Google Scholar
[3] Silasi M, Cardenas I, Kwon JY, Racicot K, Aldo P, Mor G. Viral infections during pregnancy. Am J Reprod Immunol. 2015;73:199–213.10.1111/aji.12355Search in Google Scholar
[4] Kourtis AP, Read JS, Jamieson DJ. Pregnancy and infection. N Engl J Med. 2014;370:2211–8.10.1056/NEJMra1213566Search in Google Scholar
[5] Coussons-Read ME. Effects of prenatal stress on pregnancy and human development: mechanisms and pathways. Obstet Med. 2013;6:52–7.10.1177/1753495x12473751Search in Google Scholar
[6] Jašarević E, Howerton CL, Howard CD, Bale TL. Alterations in the vaginal microbiome by maternal stress are associated with metabolic reprogramming of the offspring gut and brain. Endocrinology. 2015;156:3265–76.10.1210/en.2015-1177Search in Google Scholar
[7] Say L, Chou D, Gemmill A, Tunçalp Ö, Moller AB, Daniels J, et al. Global causes of maternal death: a WHO systematic analysis. Lancet Glob Health. 2014;2:323–33.10.1016/S2214-109X(14)70227-XSearch in Google Scholar
[8] Engel HJ, Collignon PJ, Whiting PT, Kennedy KJ. Serratia sp. bacteremia in Canberra, Australia: a population-based study over 10 years. Eur J Clin Microbiol Infect Dis. 2009;28:821–4.10.1007/s10096-009-0707-7Search in Google Scholar PubMed
[9] Prosser BJ, Horton J. A rare case of serratia sepsis and spontaneous abortion. N Engl J Med. 2003;348:668–9.10.1056/NEJM200302133480723Search in Google Scholar PubMed
[10] Shimizu S, Kojima H, Yoshida C, Suzukawa K, Mukai HY, Hasegawa Y, et al. Chorioamnionitis caused by Serratia marcescens in a non-immunocompromised host. J Clin Pathol. 2003;56:871–2.10.1136/jcp.56.11.871Search in Google Scholar PubMed PubMed Central
[11] Meirowitz NB, Fleischer A, Powers M, Hippolyte F. Diagnosis of placental abscess in association with recurrent maternal bacteremia in a twin pregnancy. Obstet Gynecol. 2006;107:463–6.10.1097/01.AOG.0000165268.09352.edSearch in Google Scholar
[12] Chai LY, Rauff M, Ong JS, Kee AC, Teo FS. Serratia septicaemia in pregnancy: further evidence of altered immune response to severe bacterial infection in pregnancy. J Infect. 2011;63:480–1.10.1016/j.jinf.2011.08.012Search in Google Scholar
[13] Vale-Fernandes E, Moucho M, Brandao O, Montenegro N. Late miscarriage caused by Serratia marcescens: a rare but dire disease in pregnancy. BMJ Case Rep. 2015;2015:bcr2015210586.10.1136/bcr-2015-210586Search in Google Scholar
[14] Erenberg M, Yagel Y, Press F, Weintraub AY. Chorioamnionitis caused by Serratia marcescens in a healthy pregnant woman with preterm premature rupture of membranes: a rare case report and review of the literature. Eur J Obstet Gynecol Reprod Biol. 2017;211:227–30.10.1016/j.ejogrb.2017.02.024Search in Google Scholar
[15] Khong TY, Mooney EE, Ariel I, Balmus NC, Boyd TK, Brundler MA, et al. Sampling and definitions of placental lesions: Amsterdam Placental workshop group consensus statement. Arch Pathol Lab Med. 2016;140:698–713.10.5858/arpa.2015-0225-CCSearch in Google Scholar
[16] Benirschke K, Burton GJ, Baergen RN. Pathology of the human placenta, 6th edn. New York: Springer-Verlag; 2012.10.1007/978-3-642-23941-0Search in Google Scholar
[17] Van Ogtrop ML, van Zoeren-Grobben D, Verbakel-Salomons EM, van Boven CP. Serratia marcescens infections in neonatal departments: description of an outbreak and review of the literature. J Hosp Infect. 1997;36:95–103.10.1016/S0195-6701(97)90115-8Search in Google Scholar
[18] David MD, Weller TM, Lambert P, Fraise AP. An outbreak of Serratia marcescens on the neonatal unit: a tale of two clones. J Hosp Infect. 2006;63:27–33.10.1016/j.jhin.2005.11.006Search in Google Scholar
[19] Naeye RL, Peters EC. Causes and consequences of premature rupture of fetal membranes. Lancet. 1980;1:192–4.10.1016/S0140-6736(80)90674-1Search in Google Scholar
[20] McDonald HM, Chambers HM. Intrauterine infection and spontaneous midgestation abortion: is the spectrum of microorganisms similar to that in preterm labor? Infect Dis Obstet Gynecol. 2000;8:220–7.10.1002/1098-0997(2000)8:5<220::AID-IDOG1022>3.0.CO;2-ISearch in Google Scholar
[21] Mak ASL, Tang THC, Lam KW, Kwok ALM, Cheuk W, Wu TC, et al. Prenatal sonography of placental abscess and prolonged antibiotic treatment for Serratia marcescens bacteremia. Clin Case Rep. 2018;6:537–40.10.1002/ccr3.1406Search in Google Scholar PubMed PubMed Central
[22] Hejazi A, Falkiner FR. Serratia marcescens. J Med Microbiol. 1997;46:903–12.10.1099/00222615-46-11-903Search in Google Scholar PubMed
[23] Blickstein I, Goldman RD, Smith-Levitin M, Greenberg M, Sherman D, Rydhstroem H. The relation between inter-twin birth weight discordance and total twin birth weight. Obstet Gynecol. 1999;93:113–6.10.1097/00006250-199901000-00023Search in Google Scholar
[24] Hwang AE, Mack TM, Hamilton AS, Gauderman WJ, Bernstein L, Cockburn MG, et al. Childhood infections and adult height in monozygotic twin pairs. Am J Epidemiol. 2013;178:551–8.10.1093/aje/kwt012Search in Google Scholar PubMed PubMed Central
[25] Kim YS, Kang JM, Lee JH, Chang YS, Park WS, Kim YJ. Discordant congenital cytomegalovirus infection in twins. Pediatr Infect Vaccine. 2017;24:65–70.10.14776/piv.2017.24.1.65Search in Google Scholar
[26] Miller J, Chauhan SP, Abuhamad AZ. Discordant twins: diagnosis, evaluation and management. Am J Obstet Gynecol. 2012;206:10–20.10.1016/j.ajog.2011.06.075Search in Google Scholar PubMed
[27] Barnea ER, Romero R, Scott D, Hobbins JC. The value of biparietal diameter and abdominal perimeter in the diagnosis of growth retardation in twin gestation. Am J Perinatol. 1985;2:221–2.10.1055/s-2007-999954Search in Google Scholar PubMed
[28] Rydhström H. Discordant birthweight and late fetal death in like-sexed and unlike-sexed twin pairs: a population-based study. Br J Obstet Gynaecol. 1994;10:765–9.10.1111/j.1471-0528.1994.tb11943.xSearch in Google Scholar
[29] Sperling L, Kiil C, Larsen LU, Qvist I, Schwartz M, Jørgensen C, et al. Naturally conceived twins with monochorionic placentation have the highest risk of fetal loss. Ultrasound Obstet Gynecol. 2006;28:644–52.10.1002/uog.3820Search in Google Scholar PubMed
[30] Bang H, Bae GE, Park HY, Kim YM, Choi SJ, Oh SY, et al. Chronic placental inflammation in twin pregnancies. J Pathol Transl Med. 2015;49:489–96.10.4132/jptm.2015.09.09Search in Google Scholar PubMed PubMed Central
[31] Suhag A, Berghella V. Intrauterine growth restriction (IUGR): etiology and diagnosis. Curr Obstet Gynecol Rep. 2013;2:102–11.10.1007/s13669-013-0041-zSearch in Google Scholar
© 2021 Duško Kljakić et al., published by De Gruyter
This work is licensed under the Creative Commons Attribution 4.0 International License.
Articles in the same Issue
- Research Articles
- Identification of ZG16B as a prognostic biomarker in breast cancer
- Behçet’s disease with latent Mycobacterium tuberculosis infection
- Erratum
- Erratum to “Suffering from Cerebral Small Vessel Disease with and without Metabolic Syndrome”
- Research Articles
- GPR37 promotes the malignancy of lung adenocarcinoma via TGF-β/Smad pathway
- Expression and role of ABIN1 in sepsis: In vitro and in vivo studies
- Additional baricitinib loading dose improves clinical outcome in COVID-19
- The co-treatment of rosuvastatin with dapagliflozin synergistically inhibited apoptosis via activating the PI3K/AKt/mTOR signaling pathway in myocardial ischemia/reperfusion injury rats
- SLC12A8 plays a key role in bladder cancer progression and EMT
- LncRNA ATXN8OS enhances tamoxifen resistance in breast cancer
- Case Report
- Serratia marcescens as a cause of unfavorable outcome in the twin pregnancy
- Spleno-adrenal fusion mimicking an adrenal metastasis of a renal cell carcinoma: A case report and embryological background
- Research Articles
- TRIM25 contributes to the malignancy of acute myeloid leukemia and is negatively regulated by microRNA-137
- CircRNA circ_0004370 promotes cell proliferation, migration, and invasion and inhibits cell apoptosis of esophageal cancer via miR-1301-3p/COL1A1 axis
- LncRNA XIST regulates atherosclerosis progression in ox-LDL-induced HUVECs
- Potential role of IFN-γ and IL-5 in sepsis prediction of preterm neonates
- Rapid Communication
- COVID-19 vaccine: Call for employees in international transportation industries and international travelers as the first priority in global distribution
- Case Report
- Rare squamous cell carcinoma of the kidney with concurrent xanthogranulomatous pyelonephritis: A case report and review of the literature
- An infertile female delivered a baby after removal of primary renal carcinoid tumor
- Research Articles
- Hypertension, BMI, and cardiovascular and cerebrovascular diseases
- Case Report
- Coexistence of bilateral macular edema and pale optic disc in the patient with Cohen syndrome
- Research Articles
- Correlation between kinematic sagittal parameters of the cervical lordosis or head posture and disc degeneration in patients with posterior neck pain
- Review Articles
- Hepatoid adenocarcinoma of the lung: An analysis of the Surveillance, Epidemiology, and End Results (SEER) database
- Research Articles
- Thermography in the diagnosis of carpal tunnel syndrome
- Pemetrexed-based first-line chemotherapy had particularly prominent objective response rate for advanced NSCLC: A network meta-analysis
- Comparison of single and double autologous stem cell transplantation in multiple myeloma patients
- The influence of smoking in minimally invasive spinal fusion surgery
- Impact of body mass index on left atrial dimension in HOCM patients
- Expression and clinical significance of CMTM1 in hepatocellular carcinoma
- miR-142-5p promotes cervical cancer progression by targeting LMX1A through Wnt/β-catenin pathway
- Comparison of multiple flatfoot indicators in 5–8-year-old children
- Early MRI imaging and follow-up study in cerebral amyloid angiopathy
- Intestinal fatty acid-binding protein as a biomarker for the diagnosis of strangulated intestinal obstruction: A meta-analysis
- miR-128-3p inhibits apoptosis and inflammation in LPS-induced sepsis by targeting TGFBR2
- Dynamic perfusion CT – A promising tool to diagnose pancreatic ductal adenocarcinoma
- Biomechanical evaluation of self-cinching stitch techniques in rotator cuff repair: The single-loop and double-loop knot stitches
- Review Articles
- The ambiguous role of mannose-binding lectin (MBL) in human immunity
- Case Report
- Membranous nephropathy with pulmonary cryptococcosis with improved 1-year follow-up results: A case report
- Fertility problems in males carrying an inversion of chromosome 10
- Acute myeloid leukemia with leukemic pleural effusion and high levels of pleural adenosine deaminase: A case report and review of literature
- Metastatic renal Ewing’s sarcoma in adult woman: Case report and review of the literature
- Burkitt-like lymphoma with 11q aberration in a patient with AIDS and a patient without AIDS: Two cases reports and literature review
- Skull hemophilia pseudotumor: A case report
- Judicious use of low-dosage corticosteroids for non-severe COVID-19: A case report
- Adult-onset citrullinaemia type II with liver cirrhosis: A rare cause of hyperammonaemia
- Clinicopathologic features of Good’s syndrome: Two cases and literature review
- Fatal immune-related hepatitis with intrahepatic cholestasis and pneumonia associated with camrelizumab: A case report and literature review
- Research Articles
- Effects of hydroxyethyl starch and gelatin on the risk of acute kidney injury following orthotopic liver transplantation: A multicenter retrospective comparative clinical study
- Significance of nucleic acid positive anal swab in COVID-19 patients
- circAPLP2 promotes colorectal cancer progression by upregulating HELLS by targeting miR-335-5p
- Ratios between circulating myeloid cells and lymphocytes are associated with mortality in severe COVID-19 patients
- Risk factors of left atrial appendage thrombus in patients with non-valvular atrial fibrillation
- Clinical features of hypertensive patients with COVID-19 compared with a normotensive group: Single-center experience in China
- Surgical myocardial revascularization outcomes in Kawasaki disease: systematic review and meta-analysis
- Decreased chromobox homologue 7 expression is associated with epithelial–mesenchymal transition and poor prognosis in cervical cancer
- FGF16 regulated by miR-520b enhances the cell proliferation of lung cancer
- Platelet-rich fibrin: Basics of biological actions and protocol modifications
- Accurate diagnosis of prostate cancer using logistic regression
- miR-377 inhibition enhances the survival of trophoblast cells via upregulation of FNDC5 in gestational diabetes mellitus
- Prognostic significance of TRIM28 expression in patients with breast carcinoma
- Integrative bioinformatics analysis of KPNA2 in six major human cancers
- Exosomal-mediated transfer of OIP5-AS1 enhanced cell chemoresistance to trastuzumab in breast cancer via up-regulating HMGB3 by sponging miR-381-3p
- A four-lncRNA signature for predicting prognosis of recurrence patients with gastric cancer
- Knockdown of circ_0003204 alleviates oxidative low-density lipoprotein-induced human umbilical vein endothelial cells injury: Circulating RNAs could explain atherosclerosis disease progression
- Propofol postpones colorectal cancer development through circ_0026344/miR-645/Akt/mTOR signal pathway
- Knockdown of lncRNA TapSAKI alleviates LPS-induced injury in HK-2 cells through the miR-205/IRF3 pathway
- COVID-19 severity in relation to sociodemographics and vitamin D use
- Clinical analysis of 11 cases of nocardiosis
- Cis-regulatory elements in conserved non-coding sequences of nuclear receptor genes indicate for crosstalk between endocrine systems
- Four long noncoding RNAs act as biomarkers in lung adenocarcinoma
- Real-world evidence of cytomegalovirus reactivation in non-Hodgkin lymphomas treated with bendamustine-containing regimens
- Relation between IL-8 level and obstructive sleep apnea syndrome
- circAGFG1 sponges miR-28-5p to promote non-small-cell lung cancer progression through modulating HIF-1α level
- Nomogram prediction model for renal anaemia in IgA nephropathy patients
- Effect of antibiotic use on the efficacy of nivolumab in the treatment of advanced/metastatic non-small cell lung cancer: A meta-analysis
- NDRG2 inhibition facilitates angiogenesis of hepatocellular carcinoma
- A nomogram for predicting metabolic steatohepatitis: The combination of NAMPT, RALGDS, GADD45B, FOSL2, RTP3, and RASD1
- Clinical and prognostic features of MMP-2 and VEGF in AEG patients
- The value of miR-510 in the prognosis and development of colon cancer
- Functional implications of PABPC1 in the development of ovarian cancer
- Prognostic value of preoperative inflammation-based predictors in patients with bladder carcinoma after radical cystectomy
- Sublingual immunotherapy increases Treg/Th17 ratio in allergic rhinitis
- Prediction of improvement after anterior cruciate ligament reconstruction
- Effluent Osteopontin levels reflect the peritoneal solute transport rate
- circ_0038467 promotes PM2.5-induced bronchial epithelial cell dysfunction
- Significance of miR-141 and miR-340 in cervical squamous cell carcinoma
- Association between hair cortisol concentration and metabolic syndrome
- Microvessel density as a prognostic indicator of prostate cancer: A systematic review and meta-analysis
- Characteristics of BCR–ABL gene variants in patients of chronic myeloid leukemia
- Knee alterations in rheumatoid arthritis: Comparison of US and MRI
- Long non-coding RNA TUG1 aggravates cerebral ischemia and reperfusion injury by sponging miR-493-3p/miR-410-3p
- lncRNA MALAT1 regulated ATAD2 to facilitate retinoblastoma progression via miR-655-3p
- Development and validation of a nomogram for predicting severity in patients with hemorrhagic fever with renal syndrome: A retrospective study
- Analysis of COVID-19 outbreak origin in China in 2019 using differentiation method for unusual epidemiological events
- Laparoscopic versus open major liver resection for hepatocellular carcinoma: A case-matched analysis of short- and long-term outcomes
- Travelers’ vaccines and their adverse events in Nara, Japan
- Association between Tfh and PGA in children with Henoch–Schönlein purpura
- Can exchange transfusion be replaced by double-LED phototherapy?
- circ_0005962 functions as an oncogene to aggravate NSCLC progression
- Circular RNA VANGL1 knockdown suppressed viability, promoted apoptosis, and increased doxorubicin sensitivity through targeting miR-145-5p to regulate SOX4 in bladder cancer cells
- Serum intact fibroblast growth factor 23 in healthy paediatric population
- Algorithm of rational approach to reconstruction in Fournier’s disease
- A meta-analysis of exosome in the treatment of spinal cord injury
- Src-1 and SP2 promote the proliferation and epithelial–mesenchymal transition of nasopharyngeal carcinoma
- Dexmedetomidine may decrease the bupivacaine toxicity to heart
- Hypoxia stimulates the migration and invasion of osteosarcoma via up-regulating the NUSAP1 expression
- Long noncoding RNA XIST knockdown relieves the injury of microglia cells after spinal cord injury by sponging miR-219-5p
- External fixation via the anterior inferior iliac spine for proximal femoral fractures in young patients
- miR-128-3p reduced acute lung injury induced by sepsis via targeting PEL12
- HAGLR promotes neuron differentiation through the miR-130a-3p-MeCP2 axis
- Phosphoglycerate mutase 2 is elevated in serum of patients with heart failure and correlates with the disease severity and patient’s prognosis
- Cell population data in identifying active tuberculosis and community-acquired pneumonia
- Prognostic value of microRNA-4521 in non-small cell lung cancer and its regulatory effect on tumor progression
- Mean platelet volume and red blood cell distribution width is associated with prognosis in premature neonates with sepsis
- 3D-printed porous scaffold promotes osteogenic differentiation of hADMSCs
- Association of gene polymorphisms with women urinary incontinence
- Influence of COVID-19 pandemic on stress levels of urologic patients
- miR-496 inhibits proliferation via LYN and AKT pathway in gastric cancer
- miR-519d downregulates LEP expression to inhibit preeclampsia development
- Comparison of single- and triple-port VATS for lung cancer: A meta-analysis
- Fluorescent light energy modulates healing in skin grafted mouse model
- Silencing CDK6-AS1 inhibits LPS-induced inflammatory damage in HK-2 cells
- Predictive effect of DCE-MRI and DWI in brain metastases from NSCLC
- Severe postoperative hyperbilirubinemia in congenital heart disease
- Baicalin improves podocyte injury in rats with diabetic nephropathy by inhibiting PI3K/Akt/mTOR signaling pathway
- Clinical factors predicting ureteral stent failure in patients with external ureteral compression
- Novel H2S donor proglumide-ADT-OH protects HUVECs from ox-LDL-induced injury through NF-κB and JAK/SATA pathway
- Triple-Endobutton and clavicular hook: A propensity score matching analysis
- Long noncoding RNA MIAT inhibits the progression of diabetic nephropathy and the activation of NF-κB pathway in high glucose-treated renal tubular epithelial cells by the miR-182-5p/GPRC5A axis
- Serum exosomal miR-122-5p, GAS, and PGR in the non-invasive diagnosis of CAG
- miR-513b-5p inhibits the proliferation and promotes apoptosis of retinoblastoma cells by targeting TRIB1
- Fer exacerbates renal fibrosis and can be targeted by miR-29c-3p
- The diagnostic and prognostic value of miR-92a in gastric cancer: A systematic review and meta-analysis
- Prognostic value of α2δ1 in hypopharyngeal carcinoma: A retrospective study
- No significant benefit of moderate-dose vitamin C on severe COVID-19 cases
- circ_0000467 promotes the proliferation, metastasis, and angiogenesis in colorectal cancer cells through regulating KLF12 expression by sponging miR-4766-5p
- Downregulation of RAB7 and Caveolin-1 increases MMP-2 activity in renal tubular epithelial cells under hypoxic conditions
- Educational program for orthopedic surgeons’ influences for osteoporosis
- Expression and function analysis of CRABP2 and FABP5, and their ratio in esophageal squamous cell carcinoma
- GJA1 promotes hepatocellular carcinoma progression by mediating TGF-β-induced activation and the epithelial–mesenchymal transition of hepatic stellate cells
- lncRNA-ZFAS1 promotes the progression of endometrial carcinoma by targeting miR-34b to regulate VEGFA expression
- Anticoagulation is the answer in treating noncritical COVID-19 patients
- Effect of late-onset hemorrhagic cystitis on PFS after haplo-PBSCT
- Comparison of Dako HercepTest and Ventana PATHWAY anti-HER2 (4B5) tests and their correlation with silver in situ hybridization in lung adenocarcinoma
- VSTM1 regulates monocyte/macrophage function via the NF-κB signaling pathway
- Comparison of vaginal birth outcomes in midwifery-led versus physician-led setting: A propensity score-matched analysis
- Treatment of osteoporosis with teriparatide: The Slovenian experience
- New targets of morphine postconditioning protection of the myocardium in ischemia/reperfusion injury: Involvement of HSP90/Akt and C5a/NF-κB
- Superenhancer–transcription factor regulatory network in malignant tumors
- β-Cell function is associated with osteosarcopenia in middle-aged and older nonobese patients with type 2 diabetes: A cross-sectional study
- Clinical features of atypical tuberculosis mimicking bacterial pneumonia
- Proteoglycan-depleted regions of annular injury promote nerve ingrowth in a rabbit disc degeneration model
- Effect of electromagnetic field on abortion: A systematic review and meta-analysis
- miR-150-5p affects AS plaque with ASMC proliferation and migration by STAT1
- MALAT1 promotes malignant pleural mesothelioma by sponging miR-141-3p
- Effects of remifentanil and propofol on distant organ lung injury in an ischemia–reperfusion model
- miR-654-5p promotes gastric cancer progression via the GPRIN1/NF-κB pathway
- Identification of LIG1 and LIG3 as prognostic biomarkers in breast cancer
- MitoQ inhibits hepatic stellate cell activation and liver fibrosis by enhancing PINK1/parkin-mediated mitophagy
- Dissecting role of founder mutation p.V727M in GNE in Indian HIBM cohort
- circATP2A2 promotes osteosarcoma progression by upregulating MYH9
- Prognostic role of oxytocin receptor in colon adenocarcinoma
- Review Articles
- The function of non-coding RNAs in idiopathic pulmonary fibrosis
- Efficacy and safety of therapeutic plasma exchange in stiff person syndrome
- Role of cesarean section in the development of neonatal gut microbiota: A systematic review
- Small cell lung cancer transformation during antitumor therapies: A systematic review
- Research progress of gut microbiota and frailty syndrome
- Recommendations for outpatient activity in COVID-19 pandemic
- Rapid Communication
- Disparity in clinical characteristics between 2019 novel coronavirus pneumonia and leptospirosis
- Use of microspheres in embolization for unruptured renal angiomyolipomas
- COVID-19 cases with delayed absorption of lung lesion
- A triple combination of treatments on moderate COVID-19
- Social networks and eating disorders during the Covid-19 pandemic
- Letter
- COVID-19, WHO guidelines, pedagogy, and respite
- Inflammatory factors in alveolar lavage fluid from severe COVID-19 pneumonia: PCT and IL-6 in epithelial lining fluid
- COVID-19: Lessons from Norway tragedy must be considered in vaccine rollout planning in least developed/developing countries
- What is the role of plasma cell in the lamina propria of terminal ileum in Good’s syndrome patient?
- Case Report
- Rivaroxaban triggered multifocal intratumoral hemorrhage of the cabozantinib-treated diffuse brain metastases: A case report and review of literature
- CTU findings of duplex kidney in kidney: A rare duplicated renal malformation
- Synchronous primary malignancy of colon cancer and mantle cell lymphoma: A case report
- Sonazoid-enhanced ultrasonography and pathologic characters of CD68 positive cell in primary hepatic perivascular epithelioid cell tumors: A case report and literature review
- Persistent SARS-CoV-2-positive over 4 months in a COVID-19 patient with CHB
- Pulmonary parenchymal involvement caused by Tropheryma whipplei
- Mediastinal mixed germ cell tumor: A case report and literature review
- Ovarian female adnexal tumor of probable Wolffian origin – Case report
- Rare paratesticular aggressive angiomyxoma mimicking an epididymal tumor in an 82-year-old man: Case report
- Perimenopausal giant hydatidiform mole complicated with preeclampsia and hyperthyroidism: A case report and literature review
- Primary orbital ganglioneuroblastoma: A case report
- Primary aortic intimal sarcoma masquerading as intramural hematoma
- Sustained false-positive results for hepatitis A virus immunoglobulin M: A case report and literature review
- Peritoneal loose body presenting as a hepatic mass: A case report and review of the literature
- Chondroblastoma of mandibular condyle: Case report and literature review
- Trauma-induced complete pacemaker lead fracture 8 months prior to hospitalization: A case report
- Primary intradural extramedullary extraosseous Ewing’s sarcoma/peripheral primitive neuroectodermal tumor (PIEES/PNET) of the thoracolumbar spine: A case report and literature review
- Computer-assisted preoperative planning of reduction of and osteosynthesis of scapular fracture: A case report
- High quality of 58-month life in lung cancer patient with brain metastases sequentially treated with gefitinib and osimertinib
- Rapid response of locally advanced oral squamous cell carcinoma to apatinib: A case report
- Retrieval of intrarenal coiled and ruptured guidewire by retrograde intrarenal surgery: A case report and literature review
- Usage of intermingled skin allografts and autografts in a senior patient with major burn injury
- Retraction
- Retraction on “Dihydromyricetin attenuates inflammation through TLR4/NF-kappa B pathway”
- Special Issue Computational Intelligence Methodologies Meets Recurrent Cancers - Part I
- An artificial immune system with bootstrap sampling for the diagnosis of recurrent endometrial cancers
- Breast cancer recurrence prediction with ensemble methods and cost-sensitive learning
Articles in the same Issue
- Research Articles
- Identification of ZG16B as a prognostic biomarker in breast cancer
- Behçet’s disease with latent Mycobacterium tuberculosis infection
- Erratum
- Erratum to “Suffering from Cerebral Small Vessel Disease with and without Metabolic Syndrome”
- Research Articles
- GPR37 promotes the malignancy of lung adenocarcinoma via TGF-β/Smad pathway
- Expression and role of ABIN1 in sepsis: In vitro and in vivo studies
- Additional baricitinib loading dose improves clinical outcome in COVID-19
- The co-treatment of rosuvastatin with dapagliflozin synergistically inhibited apoptosis via activating the PI3K/AKt/mTOR signaling pathway in myocardial ischemia/reperfusion injury rats
- SLC12A8 plays a key role in bladder cancer progression and EMT
- LncRNA ATXN8OS enhances tamoxifen resistance in breast cancer
- Case Report
- Serratia marcescens as a cause of unfavorable outcome in the twin pregnancy
- Spleno-adrenal fusion mimicking an adrenal metastasis of a renal cell carcinoma: A case report and embryological background
- Research Articles
- TRIM25 contributes to the malignancy of acute myeloid leukemia and is negatively regulated by microRNA-137
- CircRNA circ_0004370 promotes cell proliferation, migration, and invasion and inhibits cell apoptosis of esophageal cancer via miR-1301-3p/COL1A1 axis
- LncRNA XIST regulates atherosclerosis progression in ox-LDL-induced HUVECs
- Potential role of IFN-γ and IL-5 in sepsis prediction of preterm neonates
- Rapid Communication
- COVID-19 vaccine: Call for employees in international transportation industries and international travelers as the first priority in global distribution
- Case Report
- Rare squamous cell carcinoma of the kidney with concurrent xanthogranulomatous pyelonephritis: A case report and review of the literature
- An infertile female delivered a baby after removal of primary renal carcinoid tumor
- Research Articles
- Hypertension, BMI, and cardiovascular and cerebrovascular diseases
- Case Report
- Coexistence of bilateral macular edema and pale optic disc in the patient with Cohen syndrome
- Research Articles
- Correlation between kinematic sagittal parameters of the cervical lordosis or head posture and disc degeneration in patients with posterior neck pain
- Review Articles
- Hepatoid adenocarcinoma of the lung: An analysis of the Surveillance, Epidemiology, and End Results (SEER) database
- Research Articles
- Thermography in the diagnosis of carpal tunnel syndrome
- Pemetrexed-based first-line chemotherapy had particularly prominent objective response rate for advanced NSCLC: A network meta-analysis
- Comparison of single and double autologous stem cell transplantation in multiple myeloma patients
- The influence of smoking in minimally invasive spinal fusion surgery
- Impact of body mass index on left atrial dimension in HOCM patients
- Expression and clinical significance of CMTM1 in hepatocellular carcinoma
- miR-142-5p promotes cervical cancer progression by targeting LMX1A through Wnt/β-catenin pathway
- Comparison of multiple flatfoot indicators in 5–8-year-old children
- Early MRI imaging and follow-up study in cerebral amyloid angiopathy
- Intestinal fatty acid-binding protein as a biomarker for the diagnosis of strangulated intestinal obstruction: A meta-analysis
- miR-128-3p inhibits apoptosis and inflammation in LPS-induced sepsis by targeting TGFBR2
- Dynamic perfusion CT – A promising tool to diagnose pancreatic ductal adenocarcinoma
- Biomechanical evaluation of self-cinching stitch techniques in rotator cuff repair: The single-loop and double-loop knot stitches
- Review Articles
- The ambiguous role of mannose-binding lectin (MBL) in human immunity
- Case Report
- Membranous nephropathy with pulmonary cryptococcosis with improved 1-year follow-up results: A case report
- Fertility problems in males carrying an inversion of chromosome 10
- Acute myeloid leukemia with leukemic pleural effusion and high levels of pleural adenosine deaminase: A case report and review of literature
- Metastatic renal Ewing’s sarcoma in adult woman: Case report and review of the literature
- Burkitt-like lymphoma with 11q aberration in a patient with AIDS and a patient without AIDS: Two cases reports and literature review
- Skull hemophilia pseudotumor: A case report
- Judicious use of low-dosage corticosteroids for non-severe COVID-19: A case report
- Adult-onset citrullinaemia type II with liver cirrhosis: A rare cause of hyperammonaemia
- Clinicopathologic features of Good’s syndrome: Two cases and literature review
- Fatal immune-related hepatitis with intrahepatic cholestasis and pneumonia associated with camrelizumab: A case report and literature review
- Research Articles
- Effects of hydroxyethyl starch and gelatin on the risk of acute kidney injury following orthotopic liver transplantation: A multicenter retrospective comparative clinical study
- Significance of nucleic acid positive anal swab in COVID-19 patients
- circAPLP2 promotes colorectal cancer progression by upregulating HELLS by targeting miR-335-5p
- Ratios between circulating myeloid cells and lymphocytes are associated with mortality in severe COVID-19 patients
- Risk factors of left atrial appendage thrombus in patients with non-valvular atrial fibrillation
- Clinical features of hypertensive patients with COVID-19 compared with a normotensive group: Single-center experience in China
- Surgical myocardial revascularization outcomes in Kawasaki disease: systematic review and meta-analysis
- Decreased chromobox homologue 7 expression is associated with epithelial–mesenchymal transition and poor prognosis in cervical cancer
- FGF16 regulated by miR-520b enhances the cell proliferation of lung cancer
- Platelet-rich fibrin: Basics of biological actions and protocol modifications
- Accurate diagnosis of prostate cancer using logistic regression
- miR-377 inhibition enhances the survival of trophoblast cells via upregulation of FNDC5 in gestational diabetes mellitus
- Prognostic significance of TRIM28 expression in patients with breast carcinoma
- Integrative bioinformatics analysis of KPNA2 in six major human cancers
- Exosomal-mediated transfer of OIP5-AS1 enhanced cell chemoresistance to trastuzumab in breast cancer via up-regulating HMGB3 by sponging miR-381-3p
- A four-lncRNA signature for predicting prognosis of recurrence patients with gastric cancer
- Knockdown of circ_0003204 alleviates oxidative low-density lipoprotein-induced human umbilical vein endothelial cells injury: Circulating RNAs could explain atherosclerosis disease progression
- Propofol postpones colorectal cancer development through circ_0026344/miR-645/Akt/mTOR signal pathway
- Knockdown of lncRNA TapSAKI alleviates LPS-induced injury in HK-2 cells through the miR-205/IRF3 pathway
- COVID-19 severity in relation to sociodemographics and vitamin D use
- Clinical analysis of 11 cases of nocardiosis
- Cis-regulatory elements in conserved non-coding sequences of nuclear receptor genes indicate for crosstalk between endocrine systems
- Four long noncoding RNAs act as biomarkers in lung adenocarcinoma
- Real-world evidence of cytomegalovirus reactivation in non-Hodgkin lymphomas treated with bendamustine-containing regimens
- Relation between IL-8 level and obstructive sleep apnea syndrome
- circAGFG1 sponges miR-28-5p to promote non-small-cell lung cancer progression through modulating HIF-1α level
- Nomogram prediction model for renal anaemia in IgA nephropathy patients
- Effect of antibiotic use on the efficacy of nivolumab in the treatment of advanced/metastatic non-small cell lung cancer: A meta-analysis
- NDRG2 inhibition facilitates angiogenesis of hepatocellular carcinoma
- A nomogram for predicting metabolic steatohepatitis: The combination of NAMPT, RALGDS, GADD45B, FOSL2, RTP3, and RASD1
- Clinical and prognostic features of MMP-2 and VEGF in AEG patients
- The value of miR-510 in the prognosis and development of colon cancer
- Functional implications of PABPC1 in the development of ovarian cancer
- Prognostic value of preoperative inflammation-based predictors in patients with bladder carcinoma after radical cystectomy
- Sublingual immunotherapy increases Treg/Th17 ratio in allergic rhinitis
- Prediction of improvement after anterior cruciate ligament reconstruction
- Effluent Osteopontin levels reflect the peritoneal solute transport rate
- circ_0038467 promotes PM2.5-induced bronchial epithelial cell dysfunction
- Significance of miR-141 and miR-340 in cervical squamous cell carcinoma
- Association between hair cortisol concentration and metabolic syndrome
- Microvessel density as a prognostic indicator of prostate cancer: A systematic review and meta-analysis
- Characteristics of BCR–ABL gene variants in patients of chronic myeloid leukemia
- Knee alterations in rheumatoid arthritis: Comparison of US and MRI
- Long non-coding RNA TUG1 aggravates cerebral ischemia and reperfusion injury by sponging miR-493-3p/miR-410-3p
- lncRNA MALAT1 regulated ATAD2 to facilitate retinoblastoma progression via miR-655-3p
- Development and validation of a nomogram for predicting severity in patients with hemorrhagic fever with renal syndrome: A retrospective study
- Analysis of COVID-19 outbreak origin in China in 2019 using differentiation method for unusual epidemiological events
- Laparoscopic versus open major liver resection for hepatocellular carcinoma: A case-matched analysis of short- and long-term outcomes
- Travelers’ vaccines and their adverse events in Nara, Japan
- Association between Tfh and PGA in children with Henoch–Schönlein purpura
- Can exchange transfusion be replaced by double-LED phototherapy?
- circ_0005962 functions as an oncogene to aggravate NSCLC progression
- Circular RNA VANGL1 knockdown suppressed viability, promoted apoptosis, and increased doxorubicin sensitivity through targeting miR-145-5p to regulate SOX4 in bladder cancer cells
- Serum intact fibroblast growth factor 23 in healthy paediatric population
- Algorithm of rational approach to reconstruction in Fournier’s disease
- A meta-analysis of exosome in the treatment of spinal cord injury
- Src-1 and SP2 promote the proliferation and epithelial–mesenchymal transition of nasopharyngeal carcinoma
- Dexmedetomidine may decrease the bupivacaine toxicity to heart
- Hypoxia stimulates the migration and invasion of osteosarcoma via up-regulating the NUSAP1 expression
- Long noncoding RNA XIST knockdown relieves the injury of microglia cells after spinal cord injury by sponging miR-219-5p
- External fixation via the anterior inferior iliac spine for proximal femoral fractures in young patients
- miR-128-3p reduced acute lung injury induced by sepsis via targeting PEL12
- HAGLR promotes neuron differentiation through the miR-130a-3p-MeCP2 axis
- Phosphoglycerate mutase 2 is elevated in serum of patients with heart failure and correlates with the disease severity and patient’s prognosis
- Cell population data in identifying active tuberculosis and community-acquired pneumonia
- Prognostic value of microRNA-4521 in non-small cell lung cancer and its regulatory effect on tumor progression
- Mean platelet volume and red blood cell distribution width is associated with prognosis in premature neonates with sepsis
- 3D-printed porous scaffold promotes osteogenic differentiation of hADMSCs
- Association of gene polymorphisms with women urinary incontinence
- Influence of COVID-19 pandemic on stress levels of urologic patients
- miR-496 inhibits proliferation via LYN and AKT pathway in gastric cancer
- miR-519d downregulates LEP expression to inhibit preeclampsia development
- Comparison of single- and triple-port VATS for lung cancer: A meta-analysis
- Fluorescent light energy modulates healing in skin grafted mouse model
- Silencing CDK6-AS1 inhibits LPS-induced inflammatory damage in HK-2 cells
- Predictive effect of DCE-MRI and DWI in brain metastases from NSCLC
- Severe postoperative hyperbilirubinemia in congenital heart disease
- Baicalin improves podocyte injury in rats with diabetic nephropathy by inhibiting PI3K/Akt/mTOR signaling pathway
- Clinical factors predicting ureteral stent failure in patients with external ureteral compression
- Novel H2S donor proglumide-ADT-OH protects HUVECs from ox-LDL-induced injury through NF-κB and JAK/SATA pathway
- Triple-Endobutton and clavicular hook: A propensity score matching analysis
- Long noncoding RNA MIAT inhibits the progression of diabetic nephropathy and the activation of NF-κB pathway in high glucose-treated renal tubular epithelial cells by the miR-182-5p/GPRC5A axis
- Serum exosomal miR-122-5p, GAS, and PGR in the non-invasive diagnosis of CAG
- miR-513b-5p inhibits the proliferation and promotes apoptosis of retinoblastoma cells by targeting TRIB1
- Fer exacerbates renal fibrosis and can be targeted by miR-29c-3p
- The diagnostic and prognostic value of miR-92a in gastric cancer: A systematic review and meta-analysis
- Prognostic value of α2δ1 in hypopharyngeal carcinoma: A retrospective study
- No significant benefit of moderate-dose vitamin C on severe COVID-19 cases
- circ_0000467 promotes the proliferation, metastasis, and angiogenesis in colorectal cancer cells through regulating KLF12 expression by sponging miR-4766-5p
- Downregulation of RAB7 and Caveolin-1 increases MMP-2 activity in renal tubular epithelial cells under hypoxic conditions
- Educational program for orthopedic surgeons’ influences for osteoporosis
- Expression and function analysis of CRABP2 and FABP5, and their ratio in esophageal squamous cell carcinoma
- GJA1 promotes hepatocellular carcinoma progression by mediating TGF-β-induced activation and the epithelial–mesenchymal transition of hepatic stellate cells
- lncRNA-ZFAS1 promotes the progression of endometrial carcinoma by targeting miR-34b to regulate VEGFA expression
- Anticoagulation is the answer in treating noncritical COVID-19 patients
- Effect of late-onset hemorrhagic cystitis on PFS after haplo-PBSCT
- Comparison of Dako HercepTest and Ventana PATHWAY anti-HER2 (4B5) tests and their correlation with silver in situ hybridization in lung adenocarcinoma
- VSTM1 regulates monocyte/macrophage function via the NF-κB signaling pathway
- Comparison of vaginal birth outcomes in midwifery-led versus physician-led setting: A propensity score-matched analysis
- Treatment of osteoporosis with teriparatide: The Slovenian experience
- New targets of morphine postconditioning protection of the myocardium in ischemia/reperfusion injury: Involvement of HSP90/Akt and C5a/NF-κB
- Superenhancer–transcription factor regulatory network in malignant tumors
- β-Cell function is associated with osteosarcopenia in middle-aged and older nonobese patients with type 2 diabetes: A cross-sectional study
- Clinical features of atypical tuberculosis mimicking bacterial pneumonia
- Proteoglycan-depleted regions of annular injury promote nerve ingrowth in a rabbit disc degeneration model
- Effect of electromagnetic field on abortion: A systematic review and meta-analysis
- miR-150-5p affects AS plaque with ASMC proliferation and migration by STAT1
- MALAT1 promotes malignant pleural mesothelioma by sponging miR-141-3p
- Effects of remifentanil and propofol on distant organ lung injury in an ischemia–reperfusion model
- miR-654-5p promotes gastric cancer progression via the GPRIN1/NF-κB pathway
- Identification of LIG1 and LIG3 as prognostic biomarkers in breast cancer
- MitoQ inhibits hepatic stellate cell activation and liver fibrosis by enhancing PINK1/parkin-mediated mitophagy
- Dissecting role of founder mutation p.V727M in GNE in Indian HIBM cohort
- circATP2A2 promotes osteosarcoma progression by upregulating MYH9
- Prognostic role of oxytocin receptor in colon adenocarcinoma
- Review Articles
- The function of non-coding RNAs in idiopathic pulmonary fibrosis
- Efficacy and safety of therapeutic plasma exchange in stiff person syndrome
- Role of cesarean section in the development of neonatal gut microbiota: A systematic review
- Small cell lung cancer transformation during antitumor therapies: A systematic review
- Research progress of gut microbiota and frailty syndrome
- Recommendations for outpatient activity in COVID-19 pandemic
- Rapid Communication
- Disparity in clinical characteristics between 2019 novel coronavirus pneumonia and leptospirosis
- Use of microspheres in embolization for unruptured renal angiomyolipomas
- COVID-19 cases with delayed absorption of lung lesion
- A triple combination of treatments on moderate COVID-19
- Social networks and eating disorders during the Covid-19 pandemic
- Letter
- COVID-19, WHO guidelines, pedagogy, and respite
- Inflammatory factors in alveolar lavage fluid from severe COVID-19 pneumonia: PCT and IL-6 in epithelial lining fluid
- COVID-19: Lessons from Norway tragedy must be considered in vaccine rollout planning in least developed/developing countries
- What is the role of plasma cell in the lamina propria of terminal ileum in Good’s syndrome patient?
- Case Report
- Rivaroxaban triggered multifocal intratumoral hemorrhage of the cabozantinib-treated diffuse brain metastases: A case report and review of literature
- CTU findings of duplex kidney in kidney: A rare duplicated renal malformation
- Synchronous primary malignancy of colon cancer and mantle cell lymphoma: A case report
- Sonazoid-enhanced ultrasonography and pathologic characters of CD68 positive cell in primary hepatic perivascular epithelioid cell tumors: A case report and literature review
- Persistent SARS-CoV-2-positive over 4 months in a COVID-19 patient with CHB
- Pulmonary parenchymal involvement caused by Tropheryma whipplei
- Mediastinal mixed germ cell tumor: A case report and literature review
- Ovarian female adnexal tumor of probable Wolffian origin – Case report
- Rare paratesticular aggressive angiomyxoma mimicking an epididymal tumor in an 82-year-old man: Case report
- Perimenopausal giant hydatidiform mole complicated with preeclampsia and hyperthyroidism: A case report and literature review
- Primary orbital ganglioneuroblastoma: A case report
- Primary aortic intimal sarcoma masquerading as intramural hematoma
- Sustained false-positive results for hepatitis A virus immunoglobulin M: A case report and literature review
- Peritoneal loose body presenting as a hepatic mass: A case report and review of the literature
- Chondroblastoma of mandibular condyle: Case report and literature review
- Trauma-induced complete pacemaker lead fracture 8 months prior to hospitalization: A case report
- Primary intradural extramedullary extraosseous Ewing’s sarcoma/peripheral primitive neuroectodermal tumor (PIEES/PNET) of the thoracolumbar spine: A case report and literature review
- Computer-assisted preoperative planning of reduction of and osteosynthesis of scapular fracture: A case report
- High quality of 58-month life in lung cancer patient with brain metastases sequentially treated with gefitinib and osimertinib
- Rapid response of locally advanced oral squamous cell carcinoma to apatinib: A case report
- Retrieval of intrarenal coiled and ruptured guidewire by retrograde intrarenal surgery: A case report and literature review
- Usage of intermingled skin allografts and autografts in a senior patient with major burn injury
- Retraction
- Retraction on “Dihydromyricetin attenuates inflammation through TLR4/NF-kappa B pathway”
- Special Issue Computational Intelligence Methodologies Meets Recurrent Cancers - Part I
- An artificial immune system with bootstrap sampling for the diagnosis of recurrent endometrial cancers
- Breast cancer recurrence prediction with ensemble methods and cost-sensitive learning