Abstract
Thioureas and their derivatives are organosulfur compounds having applications in numerous fields such as organic synthesis and pharmaceutical industries. Symmetric thiourea derivatives were synthesized by the reaction of various anilines with CS2. The synthesized compounds were characterized using the UV-visible and nuclear magnetic resonance (NMR) spectroscopic techniques. The compounds were screened for in vitro inhibition of α-amylase, α-glucosidase, acetylcholinesterase (AChE), and butyrylcholinesterase (BuChE) enzymes and for their antibacterial and antioxidant potentials. These compounds were fed to Swiss male albino mice to evaluate their toxicological effects and potential to inhibit glucose-6-phosphatase (G6Pase) inhibition. The antibacterial studies revealed that compound 4 was more active against the selected bacterial strains. Compound 1 was more active against 2,2-diphenyl-1-picrylhydrazyl and 2,2’-Azino-bis(3-ethylbenzothiazoline-6-sulfonic acid) (ABTS) free radicals, AChE, BuChE, and α-glucosidase. Compound 2 was more potent against α-amylase and G6Pase. Toxicity studies showed that compound 4 is safe as it exerted no toxic effect on any of the hematological and biochemical parameters or on liver histology of the experimental animals at any studied dose rate. The synthesized compounds showed promising antibacterial and antioxidant potential and were very active (both in vitro and in vivo) against G6Pase and moderately active against the other selected enzymes used in this study.
1 Introduction
Thiourea or thiocarbamide is an organosulfur compound with the formula SC(NH2)2. The term “thioureas” is used for the class of compounds with the general formula (R1R2N)(R3R4N)C═S [1]. None of any other class of organic compounds has such a wide diversity and multiple applications as thioureas have. Indeed, in almost every branch of chemistry, thioureas have played their exceptional role [2]. Commercially, industrially, and academically, they are of huge importance. On commercial scale, thioureas are frequently used in photographic film, plastics, dyes, elastomers, and textiles [3,4]. Several derivatives of thioureas are used as pharmaceuticals, preservatives, rodenticides, and insecticides [5,6,7,8]. Thioureas have valuable uses in organic synthesis and are used as intermediates in several organic synthetic reactions [9].
Another very important, diverse, and effective area of thiourea applications is their biological activities. Again, none other class of organic compounds has as much biological activities as thioureas. These have been reported to have antifungal, antiviral, antibacterial, catalytic, antitubercular, analgesic, insecticidal, anti-inflammatory, herbicidal, anticonvulsant, anti-cancer, anti-thyroid, anthelmintic, and anti-phenoloxidase activities [9,10,11,12,13,14,15,16]. They also act as rodenticide and have anti-HIV, antiviral, high density lipoprotein (HDL)-elevating, antibacterial, analgesic, antidiabetic, anti-hypertensive, anti-epileptic, anticancer, DNA-binding, hypnotic, and anesthetic properties [9,10,11,12,13,14,15,16].
Free radicals with unpaired electrons are very unstable and reactive molecules. The most reactive molecules are different atomic and molecular forms of oxygen, which are called reactive oxygen species (ROS). Being unstable, they attack nearby molecules, snatching their electrons and thus making them reactive and unstable free radicals, initiating a free radical chain reaction. Free radicals are normally and continually produced in the body because of biochemical reactions, and they are normally scavenged by the body scavenging mechanism. If the body’s self-defense system becomes incapable of eliminating them, then ROS can damage DNA, unsaturated lipids, and proteins and can lead to death of the cell. ROS are the cause of a variety of pathologic processes such as cancer, aging, inflammatory disease, reperfusion injury, diabetes, stroke, and dementia and several other lethal diseases [17,18,19,20].
Alzheimer’s disease (AD) is a type of dementia that causes memory loss, problems with cognitive abilities, thinking, and behavior. Usually, its symptoms develop slowly and get worse with the passage of time, becoming serious enough to interfere with routine life and usually accounts for about 60–80% of dementia cases [19]. The two main types of cholinesterases present in the mammalian brain are acetylcholinesterase (AChE) and butyrylcholinesterase (BuChE). In patients with AD, a remarkable decrease in the concentration of acetylcholine (ACh) was observed. One possible way to stop and maintain proper ACh hydrolysis is inhibiting AChE, which is the enzyme responsible for its hydrolysis [17,18,19,20].
BuChE has a minor role in the normal, healthy brain, but its activity gradually increases in patients with AD. In the advanced stages of AD, when AChE is inhibited, BChE usually can compensate for AChE and hydrolyze the remaining ACh present, thus making the situation worse. Recently, experimental evidence from the dual inhibition of both AChE and BChE show enhanced therapeutic benefits in AD and other related dementias [17,18,19,20].
Diabetes mellitus is a disorder of carbohydrate metabolism, where the body is unable to either produce insulin or respond to it, which results in impairment of maintaining normal blood glucose levels. Insulin is a hormone secreted by β cells of islets of Langerhans in the pancreas. It triggers the uptake of glucose by the cells, thereby ensuring a proper blood glucose level and making it available to the cells to be used as an energy source. People with diabetes either have inactive β cells that cannot secrete insulin (type 1 diabetes mellitus) or have unresponsive muscles and adipose cells that are resistant to the actions of insulin (type 2 diabetes mellitus). In both cases, the concentration of glucose in blood increases, resulting in hyperglycemia. In the treatment of diabetes mellitus, the main aim is to reduce blood glucose concentrations to normal range. One of the several strategies is to use such drugs that can control blood glucose level. One class of such drugs having the ability to inhibit two important enzymes involved in carbohydrate metabolism, namely, α-amylase and α-glucosidase, has been proved to be the most effective treatment [17,18,19,20].
In polysaccharides, the α-1,4-glycosidic bond is hydrolyzed by the α-amylase enzyme to yield oligosaccharides and disaccharides, which are further hydrolyzed by α-glucosidase (EC 3.2.1.20), an intestinal enzyme that splits their α-1,4-glycosidic linkages, yielding α-d-glucose molecules, which are then absorbed into the blood. Inhibition of these enzymes delays the digestion of carbohydrates and thus their consequent absorption, ultimately lowers the postprandial blood glucose concentration [17,18,19,20].
Glucose-6-phosphatase (G6Pase) is an important enzyme of carbohydrate metabolism, which catalyzes the last step of gluconeogenesis and glycogenolysis, where it converts glucose-6-phosphate to glucose and inorganic phosphate [20,21]. Both glycogenolysis and gluconeogenesis result in the formation of glucose-6-phosphate from gluconeogenic precursors in liver and kidney and from glycogen in liver. It not only catalyzes the hydrolysis of glucose-6-phosphate but also catalyzes its resynthesis from glucose and a phosphoryl donor. This enzyme, therefore, plays an important role in the regulation of glucose homeostasis. Consequently, its insufficiency prompts glycogen storage disorder, which is an acquired metabolic condition, described by poor resistance to fasting, development impediment, and hepatomegaly, which results in amassing of glycogen and fat in the liver. G6Pase also has an important role in diabetes mellitus, where its activity is increased in liver, leading to high blood glucose level. Therefore, its inhibition can decrease hepatic glucose output. Recently, this enzyme has been identified as an important antidiabetic target [20,21].
Many compounds such as 4,4′-di-diisothiocyanatostilbene-2,2′-disulfonic acid, which is a well-known inhibitor of anion transporter, 2-hydroxy-5-nitrobenzaldehyde, and chlorogenic acid derivatives inhibit the translocases of G6Pase system, but only a few compounds have inhibitory activities on the G6Pase enzyme complex [22,23,24]. Recently, a series of 4-, 5-, 6-, 7-tetrahydrothienopyridines have been reported as potent competitive inhibitors of G6Pase [20]. There is a need to find out a compound that competitively inhibit the G6Pase; hence, it will be an alternative to the drugs that inhibit T1 translocase [20,21].
An organism’s hematological and biochemical parameters of blood are indicative of its overall physiological status. A normal healthy organism without any toxic metabolites in blood should maintain its blood indices in relatively normal or constant state. A disorder, disease, or toxicity may be expected if the blood indices are found to be significantly altered or a tissue damage is detected [25,26]. In vivo studies of certain synthetic compounds (metribuzin, etc.) in albino mice have shown marked alterations in hematological and biochemical parameters [27]. It is necessary that a chemical compound that is a drug or intended to be used for therapeutic purpose should be assessed for its possible toxicity or adverse effects through examining the changes it may or may not bring in blood parameters and in function or structure of tissues [25,26].
The aim of this study was to synthesize novel thiourea derivatives that have antidiabetic, antibacterial, antioxidant, and anticholinesterase properties. The synthesized compounds were also tested in in vivo using albino mice whether they can inhibit G6Pase or not. Furthermore, various hematological and biochemical parameters were studied and histopathological examinations were also carried out to find out the effect of the synthesized compounds on the overall metabolic status and on liver tissue to tell that whether they are safe enough to be used therapeutically or not.
2 Materials and methods
Chemicals such as 3,4-dichloroaniline, 2,6-dimethylaniline, ethyl 4-aminobenzoate, 4-nitroaniline, 4-methylaniline, and CS2 were acquired from Sigma-Aldrich, Merck, and Alpha Acer and were used without further purification. Solvents including n-hexane, methanol, dichloromethane, ethanol, ethyl acetate, and chloroform were purchased from Sigma-Aldrich. The solvents were distilled before use. Thin layer chromatography (TLC) plates were used to monitor the reaction at regular intervals under ultraviolet irradiation.
2.1 Synthesis
2.1.1 Compound 1
Carbon disulfide (5 mmol) and 3,4-dichloroaniline (10 mmol) were added to 5 mL of water in a 50-mL round-bottom flask without using magnetic bar stirring, and the flask was corked and placed in the sunlight. After 7 h, the white solid was obtained in water. Thin-layer chromatography (10:90% ethyl acetate:n-hexane used as a mobile phase) was used to check the progress of the reaction. The product obtained was recrystallized with ethanol, purified by column chromatography, and characterized using UV-visible and NMR techniques (Figure 1S).
2.1.2 Compound 2
Carbon disulfide (5 mmol) and 2,6-dimethylaniline (10 mmol) were added to 5 mL of water in a 50-mL round-bottom flask without using magnetic bar or stirring. The flask was corked and placed in the sunlight. After 5 h, the white solid was obtained in water. Thin-layer chromatography (10:90% ethyl acetate:n-hexane) was used to check the progress of the reaction. The product obtained was recrystallized with ethanol and further purified by column chromatography and characterized by UV-visible and NMR techniques (Figure 2S).
2.1.3 Compound 3
Carbon disulfide (5 mmol) and ethyl 4-aminobenzoate (10 mmol) were added to 5 mL water in a 50-mL round-bottom flask without using magnetic bar or stirring. The flask was corked and placed in the sunlight. After 5 h, the white solid was obtained in water. Thin-layer chromatography (10:90% ethyl acetate:n-hexane) was used to check the progress of the reaction. The product obtained was recrystallized with ethanol, purified by column chromatography, and characterized by UV-visible and NMR techniques (Figure 3S).
2.1.4 Compound 4
Carbon disulfide (5 mmol) and 4-nitroaniline (10 mmol) were added to 5 mL of water in a 50 mL round-bottom flask without using magnetic bar or stirring. The flask was corked and placed in the sunlight. After 7 h, a white solid was obtained. Thin-layer chromatography (10:90% methanol:chloroform) was used to check the progress of the reaction. The product obtained was recrystallized with ethanol, purified by column chromatography, and characterized by UV-visible and NMR techniques (Figure 4S).
2.1.5 Compound 5
Carbon disulfide (5 mmol) and ethyl-4-methylaniline (10 mmol) were added to 5 mL of water in a 50 mL round-bottom flask without using magnetic bar or stirring. The flask was corked and placed in the sunlight. After 5 h, the white solid was obtained in water. Thin-layer chromatography (10:90% ethyl acetate:n-hexane) was used to check the progress of the reaction. The product obtained was washed with a mixture of ethyl acetate:n-hexane, purified by column chromatography, and characterized by UV-visible and NMR techniques (Figure 5S).
2.2 Instrumentation
Electrothermal melting point instrument (Model BioCote Stuart-SMP-10, Japan) was used to determine the melting point of the compounds in a sealed capillary tube. The 1H-NMR spectra were recorded using an NMR Bruker apparatus at 300 MHz in CDCl3.
2.3 In vitro biological activities of the synthesized compounds
2.3.1 Antibacterial assay
Minimum inhibitory concentration (MIC) and agar well diffusion method were used to evaluate the antibacterial potential of the synthesized compounds. Four different bacterial strains Pseudomonas aeruginosa ATCC 10145, Klebsiella pneumoniae ATCC 13883, Enterococcus faecalis ATCC 29212, and Salmonella typhi ATCC 6539 were used in this study. Nutrient agar and the Petri dishes were sterilized at 121°C for 15 min using autoclave (Jisico: J-NAS 45, Korea). Nutrient agar was poured into the sterilized Petri dishes under aseptic environment just before solidification. In this study, DMSO and ceftriaxone were used as negative and positive controls, respectively. Sample solutions of the synthesized thiourea compounds were prepared in DMSO (30 µg/mL). At the end of the incubation period, the average zones of inhibition were acquired and were compared with the positive control. Triplicate analysis was performed for the antibacterial assay.
To determine the MIC of the synthesized compounds, they (10–100 µg/mL) were added to the test tubes containing nutrient broth and inoculated with 5 × 105 cfu/mL of the selected bacterial strains and incubated at 37°C for 20 h. After 20 h incubation time, the bacterial growth in each tube was noted.
2.3.2 Antioxidant activity by DPPH method
Antioxidant activity of the synthesized compounds was determined using the 2,2-diphenyl-1-picrylhydrazyl (DPPH) and ABTS assays, described by Naz et al. [28]. The stock solution of DPPH having concentration of 20 mg/100 mL of methanol was prepared, while stock solution of ABTS was prepared by dissolving 7 mM of ABTS and 2.45 mM of potassium persulfate separately in 100 mL of methanol. About 3 mL from each stock solutions was taken and diluted with methanol to adjust its absorbance of 0.7 at 515 nm. The stock solutions were covered with aluminum foil and placed in a cold and dark place for 24 h to ensure the formation of free radical. Sample solutions were prepared by dissolving 5 mg of each compound in 5 mL methanol (sample stock solution). A dilution series having concentrations of 62.5, 125, 250, 500, and 1,000 µg/mL were also prepared from stock compound solutions. Specified amount from working standards was mixed with specified amount of DPPH/ABTS solutions and incubated for specified interval of time, as described by Naz et al. [28]. Percentage of free radical inhibition was calculated using the following equation:
where A is the absorbance of pure DPPH in oxidized form and B is the absorbance of the sample.
2.3.2 Anticholinesterase activities of the synthesized compounds
Anticholinesterase activities of the synthesized compounds were evaluated using AChE and BuChE enzymes using Ellman’s assay [14,29], which is based on acetylthiocholine iodide and butyrylthiocholine iodide hydrolysis by respective enzymes. The resultant product of hydrolysis is then combined with 5-thio-2-nitrobenzoate anion to from a yellow colored compound, 5,5′-dithiobis-(2-nitrobenzoic acid) (DTNB). The DTNB is then detected by the spectrophotometer (T60 PG Instruments, UK) after 15 min of the reaction.
Phosphate buffer, DTNB, AChE and BuChE, and acetylcholine iodide and butyrylcholine iodide solutions were prepared as described in Naz et al. [32]. From working dilution, 1 mL was added to a series of test tubes, and 100 μL of enzyme and DTNB solutions were added following 15 min incubation at 25°C. At the end of incubation, 100 μL of the substrate AChEI/BChEI solution was added to the test tube and was left for 15 min to get the reaction completed. The absorbance of the mixture was monitored at 412 nm. Galantamine was used as a positive control.
Percent activities of AChE and BChE and their percent inhibition were calculated using the following equations:
where V is the rate of reaction in the presence of inhibitor, ∆Abs is the change in absorbance, ∆T is the change in time, and Vmax is the rate of reaction without inhibitor.
2.3.3 Antidiabetic property of the synthesized compounds
2.3.3.1 Alpha-amylase inhibition
Alpha-amylase inhibition assay was performed according to the procedure of Naz et al. [28]. Enzyme solution in phosphate buffer (25 μL) after 10 min of incubation at 25°C was mixed with starch dissolved in phosphate buffer (25 μL) and again incubated at the same interval of time and temperature. Then, 50 μL DNS (3,5-dinitrosalicylic acid) was added to the mixture to stop the reaction, and absorbance was measured at 540 nm. The percent inhibition was determined from the percentage (w/v) of maltose generated using the following formula:
where (maltose) test is the percentage (w/v) of maltose generated by the sample solution and (maltose) control is the percentage (w/v) of maltose generated by the control solution. Acarbose was used as the standard.
2.3.3.2 Alpha-glucosidase inhibition
The potential alpha-glucosidase inhibition was determined according to the procedure of Naz et al. [32]. One hundred microliters of the enzyme solution in phosphate buffer (0.50 unit/mL) was mixed with compound working dilutions and incubated for 15 min at room temperature. About 100 µL of p-nitrophenyl-α-d-glucopyranoside was added to start the reaction, while 80 µL Na2CO3 (0.2 M) was added to stop the reaction. The absorbance of the resultant mixture of the reaction was recorded at 405 nm. The percent inhibition was calculated using the following equation:
where control absorbance is the absorbance of the control solution and sample absorbance is the absorbance of the sample solution.
2.3.3.3 G-6Pase inhibition
The G-6Pase activity was calculated on the basis of the rate of phosphate release under experimental conditions described by Fiske and Subbarow [21]. For calculating the enzyme activity, the same protocol was adopted as followed by Naz et al. [28]. The concentration of inorganic phosphate in each sample was determined from comparison with the standard phosphate calibration curve.
2.4 In vivo experiments
2.4.1 Experimental animals and their treatment
Swiss male albino mice, 24 weeks old, weighing 30–35 g, were obtained from the National Institute of Health, Islamabad, and were housed in plastic cages having good space and sawdust containing bedding. The animals were given free access to water and food. The room temperature was maintained at 25°C. All experiments and overall handling of the animals were performed in accordance with the guidelines, “Ethics Committee for Animal Care & Use, Pakistan” and ARRIVE guidelines. Approval was obtained from the University Ethical Committee vide letter NO: UOM-EC/PHARM & BIOCHEM/2018/1.
2.4.1.1 Groups
The animals were divided into six groups. The group numbers were actually the arbitrary names of compounds 1, 2, 3, 4, and 5 fed to each group. Based on the quantity of dose the mice received, each of the five groups were subdivided in three groups (each having five mice): A (received 0.5 mg of dose/kg body weight of mice), B (1 mg of dose/kg body weight of mice), and C (received 1.5 mg of dose/kg body weight of mice). Following are the groups and subgroups:
Group CL (having five mice): The group receiving only the normal food and water.
Group 1 (fed with compound 1): Subgroups: 1A, 1B, 1C
Group 2 (fed with compound 2): Subgroups: 2A, 2B, 2C
Group 3 (fed with compound 3): Subgroups: 3A, 3B, 3C
Group 4 (fed with compound 4): Subgroups: 4A, 4B, 4C
Group 5 (fed with compound 5): Subgroups: 5A, 5B, 5C
2.4.1.2 Collection of blood and tissue samples
Blood samples were taken at the start of the experiment and on days 7, 14, and 21 for evaluation of the hematological and biochemical parameters. On the 22nd day, the mice were sacrificed by first euthanizing them with isoflurane and then killed through cervical dislocation, and the livers were collected for histopathology studies.
2.4.1.3 Acute toxicity
Mice (n = 90) were taken, fasted overnight, and divided into five major groups (for the five compounds); each had further three subgroups and each sub-group had six mice. The subgroups were based on the three different doses they received (0.8, 1.6, and 2.4 mg/kg body weight). It was recorded that two of the six mice in the subgroup 3 (fed with the highest dose) of the major group 2 died after 22 h. In the light of the acute toxicity, dose range for the subchronic toxicity was set as 0.5–1.5 mg/kg body weight.
2.4.2 G6Pase inhibition
Mice were sacrificed on the 22nd day of the experiment, their livers were collected, and fast frozen, each in a separate flask (Labconco Corporation, Kansas City, MO, USA). Liver homogenates were prepared in iced water, and enzyme extract was prepared by placing the homogenate in a flask at a shaker (Stuart SF1, Cole Parmer, UK) (maintained at 0°C by continuous addition of ice) for an hour, and the supernatant obtained is filtered and used as a source of G6Pase. Then, 1 mL of the obtained liver homogenate (enzyme source), 2.5 mL of 0.01 M glucose-6-phosphate (substrate,) and 1.5 mL Tris(hydroxymethyl)aminomethane buffer (pH 6.7) were taken in a flask and incubated for an hour at 33°C. The reaction was stopped by the addition of 1 mL of 10% trichloroacetic acid. Inorganic phosphate released (one of the products) during the reaction was measured by the method of Fiske and Subbarow [21].
2.4.3 Hematological studies
About 0.2 mL of blood sample was drawn in 10% EDTA (anticoagulant) tube. Hematological parameters such as hematocrit, RBCs, hemoglobin, and leukocyte and platelet concentration were determined by using an automated hematology analyzer (Abbot CELL-DYN 3200, USA).
2.4.4 Biochemical studies
Another 0.2 mL of blood sample was collected without any EDTA to obtain serum after centrifugation. Serum was studied for biochemical parameters such as blood sugar, total cholesterol, triacylglycerol, alanine transaminase (ALT), and HDL using the HUMAN kit (HUMAN Diagnostic, Germany).
2.4.5 Histopathology studies
Specimens from the collected liver dissected, fixed in 10% formalin, and dehydrated using ethanol. Thin sections (about 8–10 µm) were cut from the specimens and studied under a light microscope (Olympus BH-2, Shinjuku, Tokyo, Japan) after staining [30].
2.5 Statistical analysis
The IC50 for % DPPH, ABTS, α-amylase, α-glucosidase, AChE, and BuChE was measured by linear regression analysis against the different concentrations of the tested compounds using Excel 2013 version. All results were presented as mean ± SEM (standard error of mean). Student’s t-test and one-way ANOVA followed by Dunnett’s post hoc multiple comparison test were used to determine P values. P values less than 0.05 were considered as significant.
3 Results and discussion
3.1 General mechanism for the synthesis of thiourea

In the first step, amine or amine derivative attacks as a nucleophile on the electrophilic carbon of CS2 to form thiocarbamate intermediate. In the second step, H+ transfer to form thiocarbamate. In the third step, another amine molecule attacks on the electrophilic center of carbamate to form thiourea. The H2S is evolved during this mechanism.
3.2 Spectral analysis of the synthesized compounds
The spectral details of the synthesized compounds are described below. 1H-NMR spectra of compounds 1–5 are shown in Figures 1S–5 S. As an internal reference, tetramethyl silane was used. Chemical shifts are given in a delta scale (ppm). Abbreviations s, d, t, and m represent singlet, doublet, triplet, and multiplet, respectively.
3.2.1 Compound 1
1,3-Bis(3,4-dichlorophenyl)thiourea: IUPAC name, 1,3-bis (3,4-dichlorophenyl)thiourea, yield = 84%, m.p. = 174–180°C, 1H-NMR (300 MHz, CDCl3): δ ppm 7.20 (d, 2H), 6.70 (d, 2H), 6.40(d, 2H). Since this is a known compound, its structure elucidation data were already reported [31].
3.2.2 Compound 2
1,3-Bis(2,6-dimethylphenyl)thiourea: IUPAC name, 1,3-bis(2,6-dimethylphenyl)thiourea, yield = 82%, m.p. = 180–184°C, 1H-NMR (300 MHz, CDCl3): δ ppm 6.90 (d, 4H), 6.70 (d, 4H), 2.10 (d, 4H). Since this is a known compound, its structure elucidation data were already reported [31].
3.2.3 Compound 3
Diethyl 4,4-thiocarbonylbis(azanediyl)dibenzoate: yield = 78%, m.p. = 177–183°C, 1H-NMR (300 MHz, CDCl3): δ ppm 7.60 (d, 4H), 6.50 (d, 4H), 4.30 (d, 2H) 1.30 (d, 2H). Since this is a known compound, its structure elucidation data were already reported [31].
3.2.4 Compound 4
1,3-Bis(4-nitrophenyl)thiourea: IUPAC name, 1,3-bis(4-nitrophenyl)thiourea, yield = 80%, m.p. = 188–193°C, 1H-NMR (300 MHz, CDCl3): δ ppm 8.0 (d, 4H), 6.60 (d, 4H). Since this is a known compound, its structure elucidation data were already reported [31].
3.2.5 Compound 5
1,3-Di-p-tolylthiourea: IUPAC name, 1,3-bis(4-methylphenyl)thiourea, yield = 86%, m.p. = 181–185°C, 1H-NMR (300 MHz, CDCl3): δ ppm 6.90 (d, 4H), 6.30 (d, 4H), 2.30 (d, 2H) 1.30 (d, 2H). Since this is a known compound, its structure elucidation data were already reported [31].
3.3 Antibacterial spectrum of the synthesized compounds
The synthesized compounds were evaluated for their antibacterial potential against K. pneumoniae, Pseudomonas aeruginosa, S. typhi, and Enterococcus faecalis. Compounds 1 and 5 showed moderate antibacterial activities. The antibacterial studies are shown as zone of inhibition in millimeters in Table 1. Compound 2 showed substantial activities against the selected bacterial strains, whereas compounds 3 and 4 showed significant antibacterial activities; compound 4 was the highly potent one. Against E. faecalis, P. aeruginosa, S. typhi, and K. pneumoniae, compound 4 showed 29 mm (standard 30 mm), 24 mm (standard 25 mm), 30 mm (standard 31 mm), and 19 mm (standard 20 mm) zone of inhibitions, respectively.
Antibacterial spectrum of the synthesized compounds
Sample | Bacterial strain | Zone of inhibition of standard* (mm) | Zone of inhibition of sample* (mm) | MIC (µg/mL) |
---|---|---|---|---|
1 | Enterococcus faecalis | 30 | 27 | 40 |
Pseudomonas aeruginosa | 28 | 24 | 50 | |
Salmonella typhi | 25 | 22 | 60 | |
Klebsiella pneumoniae | 23 | 20 | 60 | |
2 | E. faecalis | 31 | 29 | 40 |
P. aeruginosa | 27 | 24 | 40 | |
S. typhi | 33 | 29 | 40 | |
K. pneumoniae | 24 | 22 | 50 | |
3 | E. faecalis | 28 | 26 | 50 |
P. aeruginosa | 25 | 24 | 40 | |
S. typhi | 30 | 28 | 40 | |
K. pneumoniae | 22 | 21 | 50 | |
4 | E. faecalis | 30 | 29 | 40 |
P. aeruginosa | 25 | 24 | 40 | |
S. typhi | 31 | 30 | 40 | |
K. pneumoniae | 20 | 19 | 50 | |
5 | E. faecalis | 32 | 28 | 50 |
P. aeruginosa | 28 | 26 | 50 | |
S. typhi | 35 | 32 | 40 | |
K. pneumoniae | 26 | 24 | 60 |
- *
Antibacterial activity expressed as zone of inhibitions expressed in millimeters.
The MIC values of each compound (in µg/mL) are shown in Table 1. The MIC values were in the range of 40–60 µg/mL, indicating the high antibacterial potency of the synthesized compounds. Here, again compounds 3 and 4 were more potent, and less amount was required to inhibit the bacterial growth.
3.4 Antioxidant activity of the synthesized compounds
The synthesized compounds were investigated for their antioxidant potential using the DPPH and ABTS assays. In the DPPH assay, compound 1 was found to have higher antioxidant activity, with the IC50 value of 45 μg/mL, followed by compound 3 (IC50 = 50 μg/mL). The IC50 values of compounds 2, 4, and 5 were 100, 105, and 112 μg/mL (Table 2), respectively. As a positive control, ascorbic acid was used with the IC50 value of 20 μg/mL.
Antioxidant activities of the synthesized compounds
Compound | 1 | 2 | 3 | 4 | 5 | Ascorbic acid |
---|---|---|---|---|---|---|
DPPH IC50 (μg/mL) | 45 | 100 | 50 | 105 | 112 | 20 |
ABTS IC50 (μg/mL) | 52 | 103 | 56 | 109 | 120 | 30 |
Ascorbic acid was used as a positive control.
Comparable antioxidant activities of the synthesized compounds against ABTS free radical were observed. For compound 1, the IC50 value was 52 μg/mL, almost similar to its IC50 value in the antioxidant activity using DPPH free radical scavenging (Table 2). Compound 3 was also a potent antioxidant (IC50 = 56 μg/mL), followed by compounds 2, 4, and 5 (IC50 of 103, 109, and 120 μg/mL, respectively). Ascorbic acid was used as a positive control (IC50 = 30 μg/mL).
3.5 AChE inhibition by the thiourea derivatives
In AD, the inhibition of AChE is required to inhibit the ACh hydrolysis in the brain and hence to preserve the neurotransmitter acetyl choline. Many other thiourea derivatives that could inhibit the activity of AChE and BChE have also been investigated previously by several researchers [8,9,10,11]. The AChE inhibitory activity of the synthesized compounds as their IC50 values is shown in Table 3. Among the different synthesized compounds, compound 1 showed maximum inhibition of AChE with IC50 value of 130 µg/mL, followed by compound 3 with IC50 value of 160 µg/mL. Compound 2 showed substantial inhibition with IC50 of 200 µg/mL, followed by compounds 5 and 4 with the IC50 of 300 and 475 µg/mL, respectively. The AChE percent inhibitions were compared with that of the standard galantamine (IC50 = 45 μg/mL).
Thiourea derivatives inhibitory potential against AChE and BuChE
Compound | 1 | 2 | 3 | 4 | 5 | Galantamine |
---|---|---|---|---|---|---|
AChE IC50 (µg/mL) | 130 | 200 | 160 | 475 | 300 | 40 |
BChE IC50 (µg/mL) | 125 | 300 | 123 | 490 | 495 | 55 |
Galantamine was used as a positive control.
3.6 BuChE inhibition by thiourea derivatives
Currently, the treatment available for the treatment of AD is only symptomatic and 90% of the medications are cholinesterase inhibitors. The patients receiving only AChE inhibitors as medicines could not completely give response to the treatment as the activity of BChE becomes high in such patients to compensate for the loss of AChE activity; the ideal and required approach, therefore, is to develop such drug that could inhibit both the enzymes. The compounds were thus also tested for their potential BChE inhibition. BChE inhibitory activity of the synthesized compounds as their IC50 values is shown in Table 3. Compound 3 showed maximum BChE inhibitory activity among the group with the IC50 value of 123 µg/mL compared with the other four compounds. Compounds 2, 4, and 5 showed comparatively moderate inhibitory potential with the IC50 values of 300, 490, and 495 µg/mL, respectively. In this study, galantamine (IC50 = 60 µg/mL) was used as a positive control.
3.7 Alpha-amylase inhibition by thiourea derivatives
Alpha-amylase is an important enzyme of glucose metabolism. It hydrolyzes polysaccharides, starch, and glycogen to glucose and maltose. Acarbose, a non-insulin antidiabetic drug, works on the principle of alpha-amylase inhibition. The synthesized thiourea derivatives were investigated for their α-amylase inhibitory potentials, and the results are shown in Table 4. Compounds 1 and 2 were found to be highly potent against the selected enzyme, showing promising inhibitory potential with IC50 of 122 and 115 µg/mL, respectively. Compound 5 was ranked the third with IC50 of 130 µg/mL, followed by compounds 4 and 3 with IC50 of 200 and 250 µg/mL, respectively (Table 5). The observed inhibitory potentials of the compounds were compared with that of the standard acarbose (IC50 = 36 µg/mL).
Percent alpha-amylase and alpha-glucosidase inhibition by the synthesized compounds
Compound | 1 | 2 | 3 | 4 | 5 | Acarbose |
---|---|---|---|---|---|---|
Alpha-amylase IC50 (µg/mL) | 122 | 115 | 250 | 200 | 130 | 50 |
Alpha-glucosidase IC50 (µg/mL) | 126 | 200 | 250 | 450 | 275 | 60 |
Acarbose was used as a positive control.
Effect of the synthesized compounds on the activity of glucose-6-phosphatase
Compound | Concentration (µg/mL) | Total activity* | Control |
---|---|---|---|
1 | 1,000 | 25.60 | 91.0 |
500 | 29.80 | ||
250 | 32.70 | ||
125 | 38.10 | ||
2 | 1,000 | 04.20 | 91.0 |
500 | 09.20 | ||
250 | 08.20 | ||
125 | 10.40 | ||
3 | 1,000 | 18.50 | 91.0 |
500 | 22.50 | ||
250 | 24.70 | ||
125 | 28.40 | ||
4 | 1,000 | 15.10 | 91.0 |
500 | 15.70 | ||
250 | 17.30 | ||
125 | 22.70 | ||
5 | 1,000 | 12.20 | 91.0 |
500 | 13.10 | ||
250 | 14.50 | ||
125 | 17.50 |
- *
Activity expressed as mg of inorganic phosphate (P) released from the potassium salt of glucose-6-phosphate per hour at 33°C and pH 6.7.
3.8 Alpha-glucosidase inhibition by thiourea derivatives
Alpha-glucosidase is another important enzyme of glucose metabolism, which is found in the small intestine and hydrolyzes starch and maltose to glucose. The results are presented in Table 4, which shows that compound 1 was most potent against the enzyme with IC50 of 126 µg/mL, followed by compounds 2 and 3 with IC50 of 200 and 250 µg/mL, respectively. The least activity was recorded for compound 4 with IC50 of 450 µg/mL. The inhibitory potentials of the synthesized compounds were compared with that of acarbose used as standard (IC50 = 34 µg/mL).
3.9 G6Pase inhibition by synthesized thioureas
Inhibition of G6Pase by the synthesized compounds is shown in Table 5. Compound 2 was highly potent, followed by compound 4, and compound 5 also showed very good inhibition. Compounds 1 and 3 exhibited moderate inhibition of the enzyme. The inhibitory pattern seemed to be competitive as the activity of the enzyme significantly decreased with increasing concentration of the compounds.
3.10 In vivo effect of the synthesized compounds on the activity of G6Pase
The synthesized compounds were tested for their G6Pase inhibitory potential in vivo using male Swiss Albino mice. Table 6 illustrates the effect of the compounds on the activity of G6Pase. It is clear from the table that the enzyme’s activity is significantly decreased after oral administration of each of the five compounds when measured on the 22nd day of the experiment. Highest inhibitory activity was shown by compound 2 at all doses but the effect was maximum at 1.5 mg/kg body weight of mice. Likewise, compounds 3 and 4 also showed very good inhibition. Compounds 1 and 5 also inhibited the enzyme and decreased its activity significantly. The compounds were generally found to suppress the enzyme activity at one level or other. The mechanism of inhibition is not known, but the increase in inhibition with an increase in the amount of dose and time suggests that it may be competitive inhibition. Compounds 2 and 4 possessed the maximum potential, followed by compound 3. A moderate inhibition was observed for compounds 1 and 5. Therefore, all these can securely be presumed as potential inhibitors of G6Pase.
Effect of thiourea derivatives on the activity of glucose-6-phosphatase in Swiss albino mice
Description of groups | Total activity* | |
---|---|---|
Group 1 | 1A | 67.99 ± 1.735 |
1B | 58.3 ± 1.904 | |
1C | 46.11 ± 0.6416 | |
Group 2 | 2A | 46.37 ± 1.412 |
2B | 38.38 ± 1.649 | |
2C | 32.07 ± 1.113 | |
Group 3 | 3A | 56.04 ± 0.8536 |
3B | 47.42 ± 0.5892 | |
3C | 37.59 ± 2.428 | |
Group 4 | 4A | 53.38 ± 1.896 |
4B | 44.55 ± 1.38 | |
4C | 39.25 ± 1.616 | |
Group 5 | 5A | 63.95 ± 2.39 |
5B | 51.58 ± 1.633 | |
5C | 41.22 ± 2.027 | |
Control | 84.55 ± 3.213 |
The values are expressed as mean ± SEM of n = 5 mice per subgroup.
*Activity here is expressed as mg of inorganic phosphate (P) released from the potassium salt of glucose-6-phosphate/hour at pH 6.7 and temperature 33°C.
The enzyme’s activity is significantly decreased by oral administration of each of the five compounds when measured at the 22nd day of the experiment.
3.11 Effect on hematological parameters
Table 7 shows the effect of the compounds on various hematological parameters. Packed cell volume (PCV) was significantly decreased (P < 0.001) at all dose rates by compounds 1, 2, 3, and 5, and compound 4 had no significant effect on any dose. Erythrocyte concentration remains unaffected at all dose rates by all the test compounds. Hemoglobin was significantly decreased at dose rates of 0.5, 1.0 (P < 0.01), and 1.5 (P < 0.01) mg/kg body weight by compound 1; a significant decrease (P < 0.01) by compound 2 at dose rates 0.5, 1.0, and 1.5 (p < 0.001)/kg body weight and a significant (P < 0.05 and 0.01) decrease by compound 3 at 0.5, 1.0, and 1.5 mg/kg body weight, respectively, were observed. Compound 4 had no significant effect on PCV. WBC count was significantly decreased (P < 0.001) at a dose rate of 1.5 mg/kg body weight by compound 1 and at all dose rates for compound 2, whereas compound 5 significantly (P < 0.05) increased leukocyte count at higher doses. No significant effect was observed at any dose of compounds 3 and 4. Monocyte count was significantly (P < 0.01) increased at higher doses by compound 5. Platelet count was significantly increased (P < 0.01) at all dose rates by all compounds except compound 4. It is essential that the safety of a compound to be used as drug must properly be assessed, as metabolites of synthetic drugs may cause cellular destruction and tissue damage, which may lead to several immunological, biochemical, and hematological responses. Hence, along with enzyme inhibitory studies, the effect of the compounds on various blood indices and histology of the liver was also examined, and as the alterations in blood indices or tissue damage can occur either rapidly or slowly, the assays were carried out for different duration of time (10, 20, and 30 days) and at different dose levels (0.5, 1.0, and 1.5 mg/kg body weight of mice). In this study, only the results of 30-day exposure are represented. The effects observed are suggestive of the inflammation/infection occurred during exposure of the animals to the aforementioned compounds.
Effect of thiourea derivatives on hematological parameters in mice after 30 days of exposure
Compounds | Subgroups | PCV (%) | RBCs (106 µL) | Hb (g/dL) | WBCs (103 µL) | Differential count (103 µL) | Platelets (103 µL) | |
---|---|---|---|---|---|---|---|---|
L | M | |||||||
1 | 1A | 40.79 ± 1.81*** | 7.05 ± 1.24 | 11.61 ± 3.22* | 9.64 ± 2.31 | 5.13 ± 1.22 | 2.00 ± 0.00 | 179 ± 3.61### |
1B | 37.05 ± 1.88*** | 7.36 ± 1.35 | 11.12 ± 4.59** | 9.86 ± 1.27 | 5.25 ± 2.18 | 2.00 ± 0.00 | 185.6 ± 1.14### | |
1C | 33.03 ± 1.41*** | 6.31 ± 2.21 | 10.81 ± 2.56** | 10.1 ± 3.28* | 5.12 ± 2.14 | 2.00 ± 0.00 | 192.1 ± 1.96### | |
2 | 2A | 37.82 ± 2.52*** | 4.76 ± 3.22 | 10.83 ± 0.78** | 12.44 ± 2.29*** | 6.56 ± 2.36 | 2.00 ± 0.00 | 197.8 ± 1.15### |
2B | 32.19 ± 1.42*** | 4.2 ± 3.28 | 10.1 ± 2.53*** | 12.61 ± 4.34*** | 7.12 ± 3.12 | 2.00 ± 0.00 | 201.8 ± 1.34### | |
2C | 30.25 ± 2.51*** | 4.1 ± 1.29 | 9.39 ± 3.34*** | 12.85 ± 2.42*** | 7.52 ± 1.24 | 2.00 ± 0.00 | 212 ± 4.36### | |
3 | 3A | 39.64 ± 3.38*** | 4.72 ± 2.14 | 11.85 ± 2.22* | 10.14 ± 1.24* | 6.32 ± 2.32 | 2.00 ± 0.00 | 177.9 ± 3.32### |
3B | 38.23 ± 1.43*** | 4.69 ± 2.35 | 11.64 ± 2.59* | 10.36 ± 3.31* | 6.49 ± 1.27 | 2.00 ± 0.00 | 184.4 ± 4.14### | |
3C | 35.18 ± 2.25*** | 4.48 ± 1.21 | 11.13 ± 1.49** | 10.62 ± 1.12** | 7.66 ± 4.44 | 2.00 ± 0.00 | 190 ± 2.57### | |
4 | 4A | 44.01 ± 1.66 | 7.04 ± 2.36 | 14.74 ± 1.47 | 6.84 ± 2.66 | 5.09 ± 3.22 | 2.00 ± 0.00 | 137. ± 1.21 |
4B | 43.25 ± 1.89 | 7.66 ± 4.24 | 14.97 ± 1.15 | 6.41 ± 4.01 | 5.24 ± 2.16 | 2.00 ± 0.00 | 142. ± 1.48 | |
4C | 44.73 ± 3.74 | 7.44 ± 3.39 | 14.2 ± 4.35 | 7.44 ± 3.59 | 5.28 ± 4.68 | 2.00 ± 0.00 | 135. ± 1.13 | |
5 | 5A | 39.51 ± 3.67*** | 5.87 ± 2.39 | 11.91 ± 3.64* | 9.6 ± 1.35 | 5.67 ± 3.29 | 5.574 ± 0.27## | 168.1 ± 1.47### |
5B | 40.18 ± 1.53*** | 5.77 ± 4.11 | 11.57 ± 2.51* | 9.82* ± 1.16 | 5.32 ± 2.18 | 5.81 ± 0.14## | 172.2 ± 1.92### | |
5C | 39.31 ± 0.45*** | 5.43 ± 2.57 | 11.26 ± 2.57** | 10.21 ± 2.69* | 5.46 ± 0.89 | 6.2 ± 0.07## | 177.1 ± 1.55### | |
Control | 44.62 ± 1.58 | 7.76 ± 3.79 | 14.86 ± 2.75 | 7.16 ± 2.83 | 5.24 ± 1.78 | 2.00 ± 0.00 | 141 ± 4.69 |
Data are expressed as mean ± SD of n = 6. Numbers 1–5 represent compounds 1–5; A, 0.5 mg/kg body weight; B, 1 mg/kg body weight; and C, 1.5 mg/kg body weight. Significant difference was measured using one-way analysis of variance, followed by Bonferroni’s post hoc test. *P < 0.05, **P < 0.01, ***P < 0.001 vs control group, and ###P > 0.001 means significant increase compared to the control.
3.12 Effect on biochemical parameters
Table 8 represents the effect of the five compounds on hematological parameters of mice after 30 days of administration. We can see that blood glucose level after 30 days of dose administration was significantly (P < 0.001) reduced by compound 4 at all doses; other compound did not have any significant effect. An increase in triglycerides (TG) levels was observed at higher doses by compounds 1 and 3 and at all dose rates by compounds 2 and 5; a significant decrease (P < 0.001) in TG levels was caused by compound 4. Cholesterol level was increased (P < 0.001) at all doses by compounds 1, 2, 3, and 5, and compound 4 at all dose rates significantly (P < 0.001) decreased its level. HDL level was decreased (P < 0.001) by compounds 1, 2, 3, and 5, while it was increased by compound 4 at all doses. ALT level was significantly increased (P < 0.001) by all compounds except compound 4.
Effect of thiourea derivatives on biochemical parameters in mice after 30 days of administration
Compounds | Subgroups | Glucose (mg/dL) | Triglyceride (mg/dL) | Cholesterol (mg/dL) | HDL (mg/dL) | ALT (µ/L) |
---|---|---|---|---|---|---|
1 | 1A | 86.43 ± 1.69 | 115.7 ± 2.34 | 95.26 ± 1.86### | 40.23 ± 2.21*** | 62 ± 1.81### |
1B | 85.6 ± 2.04 | 117 ± 1.61### | 99 ± 1.58### | 38.16 ± 3.61*** | 71.14 ± 2.79### | |
1C | 87.4 ± 2.15 | 119 ± 2.56### | 106.8 ± 1.43### | 38.79 ± 1.68*** | 77.4 ± 4.87### | |
2 | 2A | 85.65 ± 1.12 | 118.1 ± 1.39### | 103.12 ± 1.69### | 37.53 ± 3.17*** | 65.82 ± 2.22### |
2B | 87.43 ± 3.41 | 118.4 ± 4.36### | 108.04 ± 3.36### | 35.27 ± 1.77*** | 71 ± 3.162### | |
2C | 89 ± 2.91 | 121.4 ± 2.48### | 110.08 ± 2.76### | 35.05 ± 1.86*** | 81.6 ± 2.702### | |
3 | 3A | 84.43 ± 2.23 | 115.9 ± 3.94 | 97 ± 1.81### | 39.1 ± 1.44*** | 61.42 ± 1.26### |
3B | 86.75 ± 2.26 | 117.8 ± 1.37### | 101 ± 1.47### | 36.31 ± 1.81*** | 59.73 ± 1.97### | |
3C | 86.91 ± 1.53 | 119.7 ± 1.19### | 105.2 ± 1.94### | 35.6 ± 1.17*** | 68.2 ± 2.58### | |
4 | 4A | 73.52 ± 2.96*** | 106.1 ± 2.41*** | 77.08 ± 2.41*** | 51.10 ± 1.43### | 48.65 ± 1.49 |
4B | 70.2 ± 1.94*** | 97.14 ± 2.29*** | 74.49 ± 2.19*** | 54.70 ± 1.51### | 50.14 ± 2.79 | |
4C | 69.8 ± 3.78*** | 92.2 ± 3.24*** | 73.6 ± 2.48*** | 57.20 ± 0.87### | 48 ± 2.91 | |
5 | 5A | 83.34 ± 1.95 | 115.3 ± 1.74 | 96.25 ± 1.86### | 37.78 ± 2.45*** | 62.26 ± 1.83### |
5B | 84.6 ± 2.48 | 117.7 ± 4.19### | 98.15 ± 2.13### | 38.07 ± 2.17*** | 63.4 ± 1.17### | |
5C | 85.84 ± 3.07 | 119 ± 3.06### | 102.34 ± 1.68### | 38.86 ± 1.73*** | 69.45 ± 1.88### | |
Control | 87.2 ± 2.49 | 110.4 ± 2.68 | 82.6 ± 3.78 | 45.4 ± 1.63 | 49.2 ± 2.87 |
Data are expressed as mean ± SD of n = 6. Numbers 1–5 represent compounds 1–5; A, 0.5 mg/kg body weight; B, 1 mg/kg body weight; and C, 1.5 mg/kg body weight. Significant difference was measured using one-way analysis of variance, followed by Bonferroni’s post hoc test. * P < 0.05, ** P < 0.01, *** P < 0.001 vs control group, and ###P > 0.001 means significant increase compared to the control.
The increased levels of TG, cholesterol, and ALT in the presence of compounds 1, 2, 3, and 5 compared with that of the control propose an underlying infection/inflammation caused by the administration of the compounds.
3.13 Effect on liver histology
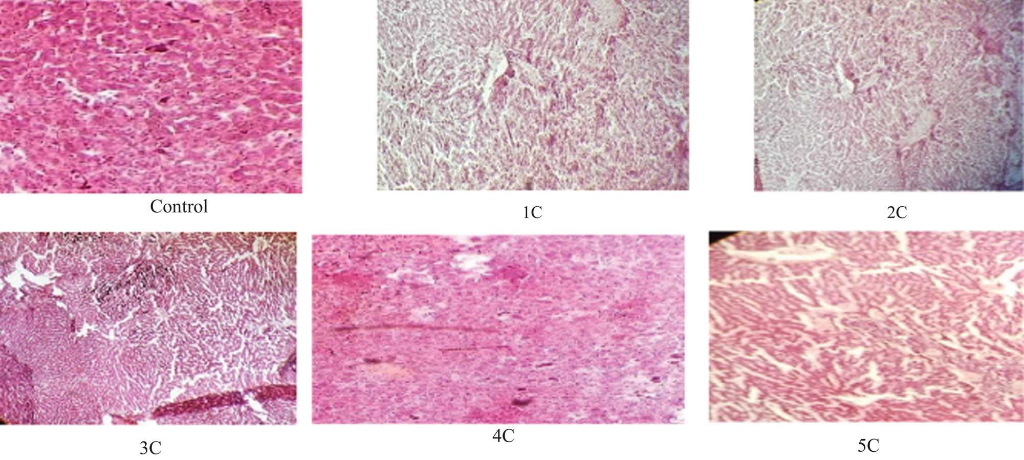
Figure 1 shows the effect of the compounds on histology of the mice liver after 30 days of oral administration. Compound 1 has caused a moderate degree of necrosis and inflammation (slide 1C) at 1.5 mg/kg body weight of mice. Compound 2 at 1.5 mg/kg body weight (slide 2C) shows inflammation, necrosis, swelling, and vacuolization of hepatocytes. Compound 3 has caused a higher degree of inflammation and necrosis (slide 3C). Almost normal hepatocyte and parenchyma can be seen for compound 4 at 1.5 mg/kg body weight of mice. Compound 5 shows necrosis, inflammation, and hepatocyte swelling at 1.5 mg/kg body weight of mice.

Effect of thiourea derivatives on liver (1, 2, 3, 4, and 5 indicate the respective thiourea derivative. C indicates the amount of dose given which is 1.5 mg/kg body weight. Livers were collected at day 30 of the experiment).
The liver histology was studied for all the three studied doses, but in this study, the results of the highest dose administration (1.5 mg/kg body weight) are presented. The histology findings indicate liver tissue damage in case of compounds 2 and 3 at all doses and compounds 1 and 5 at higher doses, and compound 4 showed no or less damage to the tissue. The findings of these three studies suggest that compound 2 is most toxic of all, the toxicity is highest at 1.5 mg/kg body weight of mice and 30 days, followed by compound 3, which is also highly toxic. Compound 5 showed moderate toxicity, and compound 1 had mildly toxic effects. Compound 4 can be generally assumed as safe, but it would be safer if used in lesser or moderate quantities.
4 Conclusions
The study was mainly devised to address three different yet tangentially interlinked biological conditions, viz., type 2 diabetes, oxidative stress, and AD. The synthesized compounds exhibited promising inhibitory activities against the studied free radicals and enzymes. Of all the five enzymes, highest in vitro inhibition against G6Pase was shown by all the compounds in general and by compounds 2 and 4 in specific. The in vitro inhibition of G6Pase was further confirmed and supported in the in vivo inhibition study, which also showed that the activity of the enzyme was appreciably inhibited by the compounds, whereas the activity of both α-amylase and α-glucosidase were also effectively inhibited by compounds 1 and 2, respectively. Compounds 1 and 3 exhibited considerable antioxidant potentials and also inhibited the activities of AChE and BuChE in an effective way. This provides a clue that these compounds may be effective in symptomatic treatment of AD. Furthermore, a notable antibacterial activity was shown by compounds 2 and 4 pointing toward their possibility to be used in treating various disease caused by bacteria. The compounds were also found to have antilipidemic and anti-hyperglycemic properties in vivo. To find out whether these compounds are safe for the systemic use or not, they were evaluated for their toxic effect on different blood indices and histology of liver. The in vivo studies showed that only compound 4 can be assumed to be safe (safer in moderate doses); compound 1 is mildly toxic and could be used only in lower doses; and compounds 2, 3, and 5 are toxic and should not be used at all. Further research and clinical trials are needed to fully determine their biological spectrum.
Acknowledgment
The authors extend their appreciation to the Umm Al-Qura University for providing funds.
Conflict of interest: The authors declare no conflicts of interest.
References
[1] Favre HA, Powell WH. Nomenclature of organic chemistry: IUPAC recommendations and preferred names 2013. Cambridge, UK: Royal Society Chemistry. 2013.Search in Google Scholar
[2] Schroeder DC. Thioureas. Chem Rev. 1955;55:181–228.10.1021/cr50001a005Search in Google Scholar
[3] Mertschenk B, Knott A, Bauer W. Thiourea and thiourea derivatives. Ullmann’s Encyclo Ind Chem. 2000; Jun 15:1–15.10.1002/14356007.a26_803.pub3Search in Google Scholar
[4] Schreiner PR. Metal-free organocatalysis through explicit hydrogen bonding interactions. Chem Soc Rev. 2003;32:289–96.10.1039/b107298fSearch in Google Scholar
[5] KILCIGİL GA, Altanlar N. Synthesis and antifungal properties of some benzimidazole derivatives. Turk J Chem. 2006;30:223–8.Search in Google Scholar
[6] Fengling C, Yanrui C, Hongxia L, Xiaojun Y, Jing F, Yan L. Interaction of APT with BSA or HSA. Chin Sci Bull. 2006;51:2201–7.10.1007/s11434-006-2108-ySearch in Google Scholar
[7] Kaneko C, Sugimoto A, Tanaka S. A facile one-step synthesis of cis-2-cyclopentene- and cis-2-cyclohexene-1,4-diols from the corresponding cyclodienes. Synthesis. 1974;1974:876–7.10.1002/chin.197513207Search in Google Scholar
[8] Gupta D, Soman R, Dev S. Thiourea, a convenient reagent for the reductive cleavage of olefin ozonolysis products. Tetrahedron. 1982;38:3013–8.10.1016/0040-4020(82)80187-7Search in Google Scholar
[9] Alcolea V, Plano D, Karelia DN, Palop JA, Amin S, Sanmartín C, et al. Novel seleno- and thio-urea derivatives with potent in vitro activities against several cancer cell lines. Eur J Med Chem. 2016;113:134–44.10.1016/j.ejmech.2016.02.042Search in Google Scholar PubMed
[10] Rivera A, Maldonado M, Ríos-Motta J. A facile and efficient procedure for the synthesis of new benzimidazole-2-thione derivatives. Molecules. 2012;17:8578–86.10.3390/molecules17078578Search in Google Scholar PubMed PubMed Central
[11] Kulakov I, Nurkenov O, Akhmetova S, Seidakhmetova R, Zhambekov Z. Synthesis and antibacterial and antifungal activities of thiourea derivatives of the alkaloid anabasine. Pharm Chem J. 2011;45:15–8.10.1007/s11094-011-0551-9Search in Google Scholar
[12] Mishra A, Batra S. Thiourea and guanidine derivatives as antimalarial and antimicrobial agents. Curr Top Med Chem. 2013;13:2011–25.10.2174/15680266113139990126Search in Google Scholar PubMed
[13] Hasanen J, El-Deen I, El-Desoky R, Abdalla A. Synthesis of some nitrogen heterocycles and in vitro evaluation of their antimicrobial and antitumor activity. Res Chem Interm. 2014;40:537–53.10.1007/s11164-012-0981-3Search in Google Scholar
[14] Pattan S, Kedar M, Pattan J, Dengale S, Sanap M, Gharate U, et al. Synthesis and evaluation of some novel 2,4-thiazolidinedione derivatives for antibacterial, antitubercular and antidiabetic activities. India: Indian Journal of Chemistry; 2012. ISSN: 0975-0983.10.1002/chin.201304081Search in Google Scholar
[15] Ganesh A. Biological activities of some Pyrazoline derivatives. Int J Pharm Bio Sci. 2013;4:727–33.Search in Google Scholar
[16] Arden C, Petrie JL, Tudhope SJ, Al-Oanzi Z, Claydon AJ, Beynon RJ, et al. Elevated glucose represses liver glucokinase and induces its regulatory protein to safeguard hepatic phosphate homeostasis. Diabetes. 2011;60:3110–20.10.2337/db11-0061Search in Google Scholar
[17] Zahoor M, Shafiq S, Ullah H, Sadiq A, Ullah F. Isolation of quercetin and mandelic acid from Aesculus indica fruit and their biological activities. BMC Biochem. 2018;19:5.10.1186/s12858-018-0095-7Search in Google Scholar
[18] Zahoor M, Zafar R, Rahman NU. Isolation and identification of phenolic antioxidants from Pistacia integerrima gall and their anticholine esterase activities. Heliyon. 2018;4:e01007.10.1016/j.heliyon.2018.e01007Search in Google Scholar
[19] Nazir N, Zahoor M, Nisar M, Khan I, Karim N, Abdel-Halim H, et al. Phytochemical analysis and antidiabetic potential of Elaeagnus umbellata (Thunb.) in streptozotocin-induced diabetic rats: pharmacological and computational approach. BMC Compl Alt Med. 2018;18:332.10.1186/s12906-018-2381-8Search in Google Scholar
[20] Zahoor M, Jan MR, Naz S. Investigation of repressive and enhancive effects of fruit extracts on the activity of glucose-6-phosphatase. Pak J Pharm Sci. 2016;29:1985–91.Search in Google Scholar
[21] Fiske CH, Subbarow Y. The colorimetric determination of phosphorus. J Biol Chem. 1925;66:375–400.10.1016/S0021-9258(18)84756-1Search in Google Scholar
[22] Zoccoli MA, Karnovsky ML. Effect of two inhibitors of anion transport on the hydrolysis of glucose 6-phosphate by rat liver microsomes. Covalent modification of the glucose 6-P transport component. J Biol Chem. 1980;255:1113–9.10.1016/S0021-9258(19)86149-5Search in Google Scholar
[23] Arion WJ, Canfield WK, Ramos FC, Su ML, Burger H-J, Hemmerle H, et al. Chlorogenic acid analogue S 3483: a potent competitive inhibitor of the hepatic and renal glucose-6-phosphatase systems. Arch Biochem Biophys. 1998;351:279–85.10.1006/abbi.1997.0563Search in Google Scholar PubMed
[24] Hemmerle H, Burger H-J, Below P, Schubert G, Rippel R, Schindler PW, et al. Chlorogenic acid and synthetic chlorogenic acid derivatives: novel inhibitors of hepatic glucose-6-phosphate translocase. J Med Chem. 1997;40:137–45.10.1021/jm9607360Search in Google Scholar PubMed
[25] Arika W, Nyamai D, Musila M, Ngugi M, Njagi E. Hematological markers of in vivo toxicity. J Hematol Thrombo Dis. 2016;4:236.Search in Google Scholar
[26] Sahibzada MUK, Sadiq A, Zahoor M, Naz S, Shahid M, Qureshi NA. Enhancement of bioavailability and hepatoprotection by Silibinin through conversion to nanoparticles prepared by liquid antisolvent method. Arab J Chem. 2020;13(2):3682–89.10.1016/j.arabjc.2020.01.002Search in Google Scholar
[27] Khogali FA, Sheikh JB, Rahman SA, Rahim AA, Daghestani MH. Histopathological and hematological effects of dimethoate 40EC on some organs of albino mice. J King Saud Univ. 2005;18:73–87.Search in Google Scholar
[28] Naz S, Zahoor M, Umar MN, Ali B, Ullah R, Shahat AA, et al. Enzyme inhibitory, antioxidant and antibacterial potentials of synthetic symmetrical and unsymmetrical thioureas. Drug Des Dev Ther. 2019;13:3485.10.2147/DDDT.S225311Search in Google Scholar PubMed PubMed Central
[29] Peng L, Rong Z, Wang H, Shao B, Kang L, Qi H, et al. A novel assay to determine acetylcholinesterase activity: the application potential for screening of drugs against Alzheimer’s disease. Biomed Chromatogr. 2017;31:e3971.10.1002/bmc.3971Search in Google Scholar PubMed
[30] Elalfy M, Aboumosalam M, Ali F. Biochemical, hematological and pathological effects of bispyribac sodium in female albino rats. J Vet Sci Technol. 2017;8:467.10.4172/2157-7579.1000467Search in Google Scholar
[31] Zhang Z, Wu H-H, Tan Y-J. A simple and straightforward synthesis of phenyl isothiocyanates, symmetrical and unsymmetrical thioureas under ball milling. RSC Adv. 2013;3:16940–4.10.1039/C3RA43252ASearch in Google Scholar
© 2020 Sumaira Naz et al., published by De Gruyter
This work is licensed under the Creative Commons Attribution 4.0 International License.
Articles in the same Issue
- Regular Articles
- Electrochemical antioxidant screening and evaluation based on guanine and chitosan immobilized MoS2 nanosheet modified glassy carbon electrode (guanine/CS/MoS2/GCE)
- Kinetic models of the extraction of vanillic acid from pumpkin seeds
- On the maximum ABC index of bipartite graphs without pendent vertices
- Estimation of the total antioxidant potential in the meat samples using thin-layer chromatography
- Molecular dynamics simulation of sI methane hydrate under compression and tension
- Spatial distribution and potential ecological risk assessment of some trace elements in sediments and grey mangrove (Avicennia marina) along the Arabian Gulf coast, Saudi Arabia
- Amino-functionalized graphene oxide for Cr(VI), Cu(II), Pb(II) and Cd(II) removal from industrial wastewater
- Chemical composition and in vitro activity of Origanum vulgare L., Satureja hortensis L., Thymus serpyllum L. and Thymus vulgaris L. essential oils towards oral isolates of Candida albicans and Candida glabrata
- Effect of excess Fluoride consumption on Urine-Serum Fluorides, Dental state and Thyroid Hormones among children in “Talab Sarai” Punjab Pakistan
- Design, Synthesis and Characterization of Novel Isoxazole Tagged Indole Hybrid Compounds
- Comparison of kinetic and enzymatic properties of intracellular phosphoserine aminotransferases from alkaliphilic and neutralophilic bacteria
- Green Organic Solvent-Free Oxidation of Alkylarenes with tert-Butyl Hydroperoxide Catalyzed by Water-Soluble Copper Complex
- Ducrosia ismaelis Asch. essential oil: chemical composition profile and anticancer, antimicrobial and antioxidant potential assessment
- DFT calculations as an efficient tool for prediction of Raman and infra-red spectra and activities of newly synthesized cathinones
- Influence of Chemical Osmosis on Solute Transport and Fluid Velocity in Clay Soils
- A New fatty acid and some triterpenoids from propolis of Nkambe (North-West Region, Cameroon) and evaluation of the antiradical scavenging activity of their extracts
- Antiplasmodial Activity of Stigmastane Steroids from Dryobalanops oblongifolia Stem Bark
- Rapid identification of direct-acting pancreatic protectants from Cyclocarya paliurus leaves tea by the method of serum pharmacochemistry combined with target cell extraction
- Immobilization of Pseudomonas aeruginosa static biomass on eggshell powder for on-line preconcentration and determination of Cr (VI)
- Assessment of methyl 2-({[(4,6-dimethoxypyrimidin-2-yl)carbamoyl] sulfamoyl}methyl)benzoate through biotic and abiotic degradation modes
- Stability of natural polyphenol fisetin in eye drops Stability of fisetin in eye drops
- Production of a bioflocculant by using activated sludge and its application in Pb(II) removal from aqueous solution
- Molecular Properties of Carbon Crystal Cubic Structures
- Synthesis and characterization of calcium carbonate whisker from yellow phosphorus slag
- Study on the interaction between catechin and cholesterol by the density functional theory
- Analysis of some pharmaceuticals in the presence of their synthetic impurities by applying hybrid micelle liquid chromatography
- Two mixed-ligand coordination polymers based on 2,5-thiophenedicarboxylic acid and flexible N-donor ligands: the protective effect on periodontitis via reducing the release of IL-1β and TNF-α
- Incorporation of silver stearate nanoparticles in methacrylate polymeric monoliths for hemeprotein isolation
- Development of ultrasound-assisted dispersive solid-phase microextraction based on mesoporous carbon coated with silica@iron oxide nanocomposite for preconcentration of Te and Tl in natural water systems
- N,N′-Bis[2-hydroxynaphthylidene]/[2-methoxybenzylidene]amino]oxamides and their divalent manganese complexes: Isolation, spectral characterization, morphology, antibacterial and cytotoxicity against leukemia cells
- Determination of the content of selected trace elements in Polish commercial fruit juices and health risk assessment
- Diorganotin(iv) benzyldithiocarbamate complexes: synthesis, characterization, and thermal and cytotoxicity study
- Keratin 17 is induced in prurigo nodularis lesions
- Anticancer, antioxidant, and acute toxicity studies of a Saudi polyherbal formulation, PHF5
- LaCoO3 perovskite-type catalysts in syngas conversion
- Comparative studies of two vegetal extracts from Stokesia laevis and Geranium pratense: polyphenol profile, cytotoxic effect and antiproliferative activity
- Fragmentation pattern of certain isatin–indole antiproliferative conjugates with application to identify their in vitro metabolic profiles in rat liver microsomes by liquid chromatography tandem mass spectrometry
- Investigation of polyphenol profile, antioxidant activity and hepatoprotective potential of Aconogonon alpinum (All.) Schur roots
- Lead discovery of a guanidinyl tryptophan derivative on amyloid cascade inhibition
- Physicochemical evaluation of the fruit pulp of Opuntia spp growing in the Mediterranean area under hard climate conditions
- Electronic structural properties of amino/hydroxyl functionalized imidazolium-based bromide ionic liquids
- New Schiff bases of 2-(quinolin-8-yloxy)acetohydrazide and their Cu(ii), and Zn(ii) metal complexes: their in vitro antimicrobial potentials and in silico physicochemical and pharmacokinetics properties
- Treatment of adhesions after Achilles tendon injury using focused ultrasound with targeted bFGF plasmid-loaded cationic microbubbles
- Synthesis of orotic acid derivatives and their effects on stem cell proliferation
- Chirality of β2-agonists. An overview of pharmacological activity, stereoselective analysis, and synthesis
- Fe3O4@urea/HITh-SO3H as an efficient and reusable catalyst for the solvent-free synthesis of 7-aryl-8H-benzo[h]indeno[1,2-b]quinoline-8-one and indeno[2′,1′:5,6]pyrido[2,3-d]pyrimidine derivatives
- Adsorption kinetic characteristics of molybdenum in yellow-brown soil in response to pH and phosphate
- Enhancement of thermal properties of bio-based microcapsules intended for textile applications
- Exploring the effect of khat (Catha edulis) chewing on the pharmacokinetics of the antiplatelet drug clopidogrel in rats using the newly developed LC-MS/MS technique
- A green strategy for obtaining anthraquinones from Rheum tanguticum by subcritical water
- Cadmium (Cd) chloride affects the nutrient uptake and Cd-resistant bacterium reduces the adsorption of Cd in muskmelon plants
- Removal of H2S by vermicompost biofilter and analysis on bacterial community
- Structural cytotoxicity relationship of 2-phenoxy(thiomethyl)pyridotriazolopyrimidines: Quantum chemical calculations and statistical analysis
- A self-breaking supramolecular plugging system as lost circulation material in oilfield
- Synthesis, characterization, and pharmacological evaluation of thiourea derivatives
- Application of drug–metal ion interaction principle in conductometric determination of imatinib, sorafenib, gefitinib and bosutinib
- Synthesis and characterization of a novel chitosan-grafted-polyorthoethylaniline biocomposite and utilization for dye removal from water
- Optimisation of urine sample preparation for shotgun proteomics
- DFT investigations on arylsulphonyl pyrazole derivatives as potential ligands of selected kinases
- Treatment of Parkinson’s disease using focused ultrasound with GDNF retrovirus-loaded microbubbles to open the blood–brain barrier
- New derivatives of a natural nordentatin
- Fluorescence biomarkers of malignant melanoma detectable in urine
- Study of the remediation effects of passivation materials on Pb-contaminated soil
- Saliva proteomic analysis reveals possible biomarkers of renal cell carcinoma
- Withania frutescens: Chemical characterization, analgesic, anti-inflammatory, and healing activities
- Design, synthesis and pharmacological profile of (−)-verbenone hydrazones
- Synthesis of magnesium carbonate hydrate from natural talc
- Stability-indicating HPLC-DAD assay for simultaneous quantification of hydrocortisone 21 acetate, dexamethasone, and fluocinolone acetonide in cosmetics
- A novel lactose biosensor based on electrochemically synthesized 3,4-ethylenedioxythiophene/thiophene (EDOT/Th) copolymer
- Citrullus colocynthis (L.) Schrad: Chemical characterization, scavenging and cytotoxic activities
- Development and validation of a high performance liquid chromatography/diode array detection method for estrogen determination: Application to residual analysis in meat products
- PCSK9 concentrations in different stages of subclinical atherosclerosis and their relationship with inflammation
- Development of trace analysis for alkyl methanesulfonates in the delgocitinib drug substance using GC-FID and liquid–liquid extraction with ionic liquid
- Electrochemical evaluation of the antioxidant capacity of natural compounds on glassy carbon electrode modified with guanine-, polythionine-, and nitrogen-doped graphene
- A Dy(iii)–organic framework as a fluorescent probe for highly selective detection of picric acid and treatment activity on human lung cancer cells
- A Zn(ii)–organic cage with semirigid ligand for solvent-free cyanosilylation and inhibitory effect on ovarian cancer cell migration and invasion ability via regulating mi-RNA16 expression
- Polyphenol content and antioxidant activities of Prunus padus L. and Prunus serotina L. leaves: Electrochemical and spectrophotometric approach and their antimicrobial properties
- The combined use of GC, PDSC and FT-IR techniques to characterize fat extracted from commercial complete dry pet food for adult cats
- MALDI-TOF MS profiling in the discovery and identification of salivary proteomic patterns of temporomandibular joint disorders
- Concentrations of dioxins, furans and dioxin-like PCBs in natural animal feed additives
- Structure and some physicochemical and functional properties of water treated under ammonia with low-temperature low-pressure glow plasma of low frequency
- Mesoscale nanoparticles encapsulated with emodin for targeting antifibrosis in animal models
- Amine-functionalized magnetic activated carbon as an adsorbent for preconcentration and determination of acidic drugs in environmental water samples using HPLC-DAD
- Antioxidant activity as a response to cadmium pollution in three durum wheat genotypes differing in salt-tolerance
- A promising naphthoquinone [8-hydroxy-2-(2-thienylcarbonyl)naphtho[2,3-b]thiophene-4,9-dione] exerts anti-colorectal cancer activity through ferroptosis and inhibition of MAPK signaling pathway based on RNA sequencing
- Synthesis and efficacy of herbicidal ionic liquids with chlorsulfuron as the anion
- Effect of isovalent substitution on the crystal structure and properties of two-slab indates BaLa2−xSmxIn2O7
- Synthesis, spectral and thermo-kinetics explorations of Schiff-base derived metal complexes
- An improved reduction method for phase stability testing in the single-phase region
- Comparative analysis of chemical composition of some commercially important fishes with an emphasis on various Malaysian diets
- Development of a solventless stir bar sorptive extraction/thermal desorption large volume injection capillary gas chromatographic-mass spectrometric method for ultra-trace determination of pyrethroids pesticides in river and tap water samples
- A turbidity sensor development based on NL-PI observers: Experimental application to the control of a Sinaloa’s River Spirulina maxima cultivation
- Deep desulfurization of sintering flue gas in iron and steel works based on low-temperature oxidation
- Investigations of metallic elements and phenolics in Chinese medicinal plants
- Influence of site-classification approach on geochemical background values
- Effects of ageing on the surface characteristics and Cu(ii) adsorption behaviour of rice husk biochar in soil
- Adsorption and sugarcane-bagasse-derived activated carbon-based mitigation of 1-[2-(2-chloroethoxy)phenyl]sulfonyl-3-(4-methoxy-6-methyl-1,3,5-triazin-2-yl) urea-contaminated soils
- Antimicrobial and antifungal activities of bifunctional cooper(ii) complexes with non-steroidal anti-inflammatory drugs, flufenamic, mefenamic and tolfenamic acids and 1,10-phenanthroline
- Application of selenium and silicon to alleviate short-term drought stress in French marigold (Tagetes patula L.) as a model plant species
- Screening and analysis of xanthine oxidase inhibitors in jute leaves and their protective effects against hydrogen peroxide-induced oxidative stress in cells
- Synthesis and physicochemical studies of a series of mixed-ligand transition metal complexes and their molecular docking investigations against Coronavirus main protease
- A study of in vitro metabolism and cytotoxicity of mephedrone and methoxetamine in human and pig liver models using GC/MS and LC/MS analyses
- A new phenyl alkyl ester and a new combretin triterpene derivative from Combretum fragrans F. Hoffm (Combretaceae) and antiproliferative activity
- Erratum
- Erratum to: A one-step incubation ELISA kit for rapid determination of dibutyl phthalate in water, beverage and liquor
- Review Articles
- Sinoporphyrin sodium, a novel sensitizer for photodynamic and sonodynamic therapy
- Natural products isolated from Casimiroa
- Plant description, phytochemical constituents and bioactivities of Syzygium genus: A review
- Evaluation of elastomeric heat shielding materials as insulators for solid propellant rocket motors: A short review
- Special Issue on Applied Biochemistry and Biotechnology 2019
- An overview of Monascus fermentation processes for monacolin K production
- Study on online soft sensor method of total sugar content in chlorotetracycline fermentation tank
- Studies on the Anti-Gouty Arthritis and Anti-hyperuricemia Properties of Astilbin in Animal Models
- Effects of organic fertilizer on water use, photosynthetic characteristics, and fruit quality of pear jujube in northern Shaanxi
- Characteristics of the root exudate release system of typical plants in plateau lakeside wetland under phosphorus stress conditions
- Characterization of soil water by the means of hydrogen and oxygen isotope ratio at dry-wet season under different soil layers in the dry-hot valley of Jinsha River
- Composition and diurnal variation of floral scent emission in Rosa rugosa Thunb. and Tulipa gesneriana L.
- Preparation of a novel ginkgolide B niosomal composite drug
- The degradation, biodegradability and toxicity evaluation of sulfamethazine antibiotics by gamma radiation
- Special issue on Monitoring, Risk Assessment and Sustainable Management for the Exposure to Environmental Toxins
- Insight into the cadmium and zinc binding potential of humic acids derived from composts by EEM spectra combined with PARAFAC analysis
- Source apportionment of soil contamination based on multivariate receptor and robust geostatistics in a typical rural–urban area, Wuhan city, middle China
- Special Issue on 13th JCC 2018
- The Role of H2C2O4 and Na2CO3 as Precipitating Agents on The Physichochemical Properties and Photocatalytic Activity of Bismuth Oxide
- Preparation of magnetite-silica–cetyltrimethylammonium for phenol removal based on adsolubilization
- Topical Issue on Agriculture
- Size-dependent growth kinetics of struvite crystals in wastewater with calcium ions
- The effect of silica-calcite sedimentary rock contained in the chicken broiler diet on the overall quality of chicken muscles
- Physicochemical properties of selected herbicidal products containing nicosulfuron as an active ingredient
- Lycopene in tomatoes and tomato products
- Fluorescence in the assessment of the share of a key component in the mixing of feed
- Sulfur application alleviates chromium stress in maize and wheat
- Effectiveness of removal of sulphur compounds from the air after 3 years of biofiltration with a mixture of compost soil, peat, coconut fibre and oak bark
- Special Issue on the 4th Green Chemistry 2018
- Study and fire test of banana fibre reinforced composites with flame retardance properties
- Special Issue on the International conference CosCI 2018
- Disintegration, In vitro Dissolution, and Drug Release Kinetics Profiles of k-Carrageenan-based Nutraceutical Hard-shell Capsules Containing Salicylamide
- Synthesis of amorphous aluminosilicate from impure Indonesian kaolin
- Special Issue on the International Conf on Science, Applied Science, Teaching and Education 2019
- Functionalization of Congo red dye as a light harvester on solar cell
- The effect of nitrite food preservatives added to se’i meat on the expression of wild-type p53 protein
- Biocompatibility and osteoconductivity of scaffold porous composite collagen–hydroxyapatite based coral for bone regeneration
- Special Issue on the Joint Science Congress of Materials and Polymers (ISCMP 2019)
- Effect of natural boron mineral use on the essential oil ratio and components of Musk Sage (Salvia sclarea L.)
- A theoretical and experimental study of the adsorptive removal of hexavalent chromium ions using graphene oxide as an adsorbent
- A study on the bacterial adhesion of Streptococcus mutans in various dental ceramics: In vitro study
- Corrosion study of copper in aqueous sulfuric acid solution in the presence of (2E,5E)-2,5-dibenzylidenecyclopentanone and (2E,5E)-bis[(4-dimethylamino)benzylidene]cyclopentanone: Experimental and theoretical study
- Special Issue on Chemistry Today for Tomorrow 2019
- Diabetes mellitus type 2: Exploratory data analysis based on clinical reading
- Multivariate analysis for the classification of copper–lead and copper–zinc glasses
- Special Issue on Advances in Chemistry and Polymers
- The spatial and temporal distribution of cationic and anionic radicals in early embryo implantation
- Special Issue on 3rd IC3PE 2020
- Magnetic iron oxide/clay nanocomposites for adsorption and catalytic oxidation in water treatment applications
- Special Issue on IC3PE 2018/2019 Conference
- Exergy analysis of conventional and hydrothermal liquefaction–esterification processes of microalgae for biodiesel production
- Advancing biodiesel production from microalgae Spirulina sp. by a simultaneous extraction–transesterification process using palm oil as a co-solvent of methanol
- Topical Issue on Applications of Mathematics in Chemistry
- Omega and the related counting polynomials of some chemical structures
- M-polynomial and topological indices of zigzag edge coronoid fused by starphene
Articles in the same Issue
- Regular Articles
- Electrochemical antioxidant screening and evaluation based on guanine and chitosan immobilized MoS2 nanosheet modified glassy carbon electrode (guanine/CS/MoS2/GCE)
- Kinetic models of the extraction of vanillic acid from pumpkin seeds
- On the maximum ABC index of bipartite graphs without pendent vertices
- Estimation of the total antioxidant potential in the meat samples using thin-layer chromatography
- Molecular dynamics simulation of sI methane hydrate under compression and tension
- Spatial distribution and potential ecological risk assessment of some trace elements in sediments and grey mangrove (Avicennia marina) along the Arabian Gulf coast, Saudi Arabia
- Amino-functionalized graphene oxide for Cr(VI), Cu(II), Pb(II) and Cd(II) removal from industrial wastewater
- Chemical composition and in vitro activity of Origanum vulgare L., Satureja hortensis L., Thymus serpyllum L. and Thymus vulgaris L. essential oils towards oral isolates of Candida albicans and Candida glabrata
- Effect of excess Fluoride consumption on Urine-Serum Fluorides, Dental state and Thyroid Hormones among children in “Talab Sarai” Punjab Pakistan
- Design, Synthesis and Characterization of Novel Isoxazole Tagged Indole Hybrid Compounds
- Comparison of kinetic and enzymatic properties of intracellular phosphoserine aminotransferases from alkaliphilic and neutralophilic bacteria
- Green Organic Solvent-Free Oxidation of Alkylarenes with tert-Butyl Hydroperoxide Catalyzed by Water-Soluble Copper Complex
- Ducrosia ismaelis Asch. essential oil: chemical composition profile and anticancer, antimicrobial and antioxidant potential assessment
- DFT calculations as an efficient tool for prediction of Raman and infra-red spectra and activities of newly synthesized cathinones
- Influence of Chemical Osmosis on Solute Transport and Fluid Velocity in Clay Soils
- A New fatty acid and some triterpenoids from propolis of Nkambe (North-West Region, Cameroon) and evaluation of the antiradical scavenging activity of their extracts
- Antiplasmodial Activity of Stigmastane Steroids from Dryobalanops oblongifolia Stem Bark
- Rapid identification of direct-acting pancreatic protectants from Cyclocarya paliurus leaves tea by the method of serum pharmacochemistry combined with target cell extraction
- Immobilization of Pseudomonas aeruginosa static biomass on eggshell powder for on-line preconcentration and determination of Cr (VI)
- Assessment of methyl 2-({[(4,6-dimethoxypyrimidin-2-yl)carbamoyl] sulfamoyl}methyl)benzoate through biotic and abiotic degradation modes
- Stability of natural polyphenol fisetin in eye drops Stability of fisetin in eye drops
- Production of a bioflocculant by using activated sludge and its application in Pb(II) removal from aqueous solution
- Molecular Properties of Carbon Crystal Cubic Structures
- Synthesis and characterization of calcium carbonate whisker from yellow phosphorus slag
- Study on the interaction between catechin and cholesterol by the density functional theory
- Analysis of some pharmaceuticals in the presence of their synthetic impurities by applying hybrid micelle liquid chromatography
- Two mixed-ligand coordination polymers based on 2,5-thiophenedicarboxylic acid and flexible N-donor ligands: the protective effect on periodontitis via reducing the release of IL-1β and TNF-α
- Incorporation of silver stearate nanoparticles in methacrylate polymeric monoliths for hemeprotein isolation
- Development of ultrasound-assisted dispersive solid-phase microextraction based on mesoporous carbon coated with silica@iron oxide nanocomposite for preconcentration of Te and Tl in natural water systems
- N,N′-Bis[2-hydroxynaphthylidene]/[2-methoxybenzylidene]amino]oxamides and their divalent manganese complexes: Isolation, spectral characterization, morphology, antibacterial and cytotoxicity against leukemia cells
- Determination of the content of selected trace elements in Polish commercial fruit juices and health risk assessment
- Diorganotin(iv) benzyldithiocarbamate complexes: synthesis, characterization, and thermal and cytotoxicity study
- Keratin 17 is induced in prurigo nodularis lesions
- Anticancer, antioxidant, and acute toxicity studies of a Saudi polyherbal formulation, PHF5
- LaCoO3 perovskite-type catalysts in syngas conversion
- Comparative studies of two vegetal extracts from Stokesia laevis and Geranium pratense: polyphenol profile, cytotoxic effect and antiproliferative activity
- Fragmentation pattern of certain isatin–indole antiproliferative conjugates with application to identify their in vitro metabolic profiles in rat liver microsomes by liquid chromatography tandem mass spectrometry
- Investigation of polyphenol profile, antioxidant activity and hepatoprotective potential of Aconogonon alpinum (All.) Schur roots
- Lead discovery of a guanidinyl tryptophan derivative on amyloid cascade inhibition
- Physicochemical evaluation of the fruit pulp of Opuntia spp growing in the Mediterranean area under hard climate conditions
- Electronic structural properties of amino/hydroxyl functionalized imidazolium-based bromide ionic liquids
- New Schiff bases of 2-(quinolin-8-yloxy)acetohydrazide and their Cu(ii), and Zn(ii) metal complexes: their in vitro antimicrobial potentials and in silico physicochemical and pharmacokinetics properties
- Treatment of adhesions after Achilles tendon injury using focused ultrasound with targeted bFGF plasmid-loaded cationic microbubbles
- Synthesis of orotic acid derivatives and their effects on stem cell proliferation
- Chirality of β2-agonists. An overview of pharmacological activity, stereoselective analysis, and synthesis
- Fe3O4@urea/HITh-SO3H as an efficient and reusable catalyst for the solvent-free synthesis of 7-aryl-8H-benzo[h]indeno[1,2-b]quinoline-8-one and indeno[2′,1′:5,6]pyrido[2,3-d]pyrimidine derivatives
- Adsorption kinetic characteristics of molybdenum in yellow-brown soil in response to pH and phosphate
- Enhancement of thermal properties of bio-based microcapsules intended for textile applications
- Exploring the effect of khat (Catha edulis) chewing on the pharmacokinetics of the antiplatelet drug clopidogrel in rats using the newly developed LC-MS/MS technique
- A green strategy for obtaining anthraquinones from Rheum tanguticum by subcritical water
- Cadmium (Cd) chloride affects the nutrient uptake and Cd-resistant bacterium reduces the adsorption of Cd in muskmelon plants
- Removal of H2S by vermicompost biofilter and analysis on bacterial community
- Structural cytotoxicity relationship of 2-phenoxy(thiomethyl)pyridotriazolopyrimidines: Quantum chemical calculations and statistical analysis
- A self-breaking supramolecular plugging system as lost circulation material in oilfield
- Synthesis, characterization, and pharmacological evaluation of thiourea derivatives
- Application of drug–metal ion interaction principle in conductometric determination of imatinib, sorafenib, gefitinib and bosutinib
- Synthesis and characterization of a novel chitosan-grafted-polyorthoethylaniline biocomposite and utilization for dye removal from water
- Optimisation of urine sample preparation for shotgun proteomics
- DFT investigations on arylsulphonyl pyrazole derivatives as potential ligands of selected kinases
- Treatment of Parkinson’s disease using focused ultrasound with GDNF retrovirus-loaded microbubbles to open the blood–brain barrier
- New derivatives of a natural nordentatin
- Fluorescence biomarkers of malignant melanoma detectable in urine
- Study of the remediation effects of passivation materials on Pb-contaminated soil
- Saliva proteomic analysis reveals possible biomarkers of renal cell carcinoma
- Withania frutescens: Chemical characterization, analgesic, anti-inflammatory, and healing activities
- Design, synthesis and pharmacological profile of (−)-verbenone hydrazones
- Synthesis of magnesium carbonate hydrate from natural talc
- Stability-indicating HPLC-DAD assay for simultaneous quantification of hydrocortisone 21 acetate, dexamethasone, and fluocinolone acetonide in cosmetics
- A novel lactose biosensor based on electrochemically synthesized 3,4-ethylenedioxythiophene/thiophene (EDOT/Th) copolymer
- Citrullus colocynthis (L.) Schrad: Chemical characterization, scavenging and cytotoxic activities
- Development and validation of a high performance liquid chromatography/diode array detection method for estrogen determination: Application to residual analysis in meat products
- PCSK9 concentrations in different stages of subclinical atherosclerosis and their relationship with inflammation
- Development of trace analysis for alkyl methanesulfonates in the delgocitinib drug substance using GC-FID and liquid–liquid extraction with ionic liquid
- Electrochemical evaluation of the antioxidant capacity of natural compounds on glassy carbon electrode modified with guanine-, polythionine-, and nitrogen-doped graphene
- A Dy(iii)–organic framework as a fluorescent probe for highly selective detection of picric acid and treatment activity on human lung cancer cells
- A Zn(ii)–organic cage with semirigid ligand for solvent-free cyanosilylation and inhibitory effect on ovarian cancer cell migration and invasion ability via regulating mi-RNA16 expression
- Polyphenol content and antioxidant activities of Prunus padus L. and Prunus serotina L. leaves: Electrochemical and spectrophotometric approach and their antimicrobial properties
- The combined use of GC, PDSC and FT-IR techniques to characterize fat extracted from commercial complete dry pet food for adult cats
- MALDI-TOF MS profiling in the discovery and identification of salivary proteomic patterns of temporomandibular joint disorders
- Concentrations of dioxins, furans and dioxin-like PCBs in natural animal feed additives
- Structure and some physicochemical and functional properties of water treated under ammonia with low-temperature low-pressure glow plasma of low frequency
- Mesoscale nanoparticles encapsulated with emodin for targeting antifibrosis in animal models
- Amine-functionalized magnetic activated carbon as an adsorbent for preconcentration and determination of acidic drugs in environmental water samples using HPLC-DAD
- Antioxidant activity as a response to cadmium pollution in three durum wheat genotypes differing in salt-tolerance
- A promising naphthoquinone [8-hydroxy-2-(2-thienylcarbonyl)naphtho[2,3-b]thiophene-4,9-dione] exerts anti-colorectal cancer activity through ferroptosis and inhibition of MAPK signaling pathway based on RNA sequencing
- Synthesis and efficacy of herbicidal ionic liquids with chlorsulfuron as the anion
- Effect of isovalent substitution on the crystal structure and properties of two-slab indates BaLa2−xSmxIn2O7
- Synthesis, spectral and thermo-kinetics explorations of Schiff-base derived metal complexes
- An improved reduction method for phase stability testing in the single-phase region
- Comparative analysis of chemical composition of some commercially important fishes with an emphasis on various Malaysian diets
- Development of a solventless stir bar sorptive extraction/thermal desorption large volume injection capillary gas chromatographic-mass spectrometric method for ultra-trace determination of pyrethroids pesticides in river and tap water samples
- A turbidity sensor development based on NL-PI observers: Experimental application to the control of a Sinaloa’s River Spirulina maxima cultivation
- Deep desulfurization of sintering flue gas in iron and steel works based on low-temperature oxidation
- Investigations of metallic elements and phenolics in Chinese medicinal plants
- Influence of site-classification approach on geochemical background values
- Effects of ageing on the surface characteristics and Cu(ii) adsorption behaviour of rice husk biochar in soil
- Adsorption and sugarcane-bagasse-derived activated carbon-based mitigation of 1-[2-(2-chloroethoxy)phenyl]sulfonyl-3-(4-methoxy-6-methyl-1,3,5-triazin-2-yl) urea-contaminated soils
- Antimicrobial and antifungal activities of bifunctional cooper(ii) complexes with non-steroidal anti-inflammatory drugs, flufenamic, mefenamic and tolfenamic acids and 1,10-phenanthroline
- Application of selenium and silicon to alleviate short-term drought stress in French marigold (Tagetes patula L.) as a model plant species
- Screening and analysis of xanthine oxidase inhibitors in jute leaves and their protective effects against hydrogen peroxide-induced oxidative stress in cells
- Synthesis and physicochemical studies of a series of mixed-ligand transition metal complexes and their molecular docking investigations against Coronavirus main protease
- A study of in vitro metabolism and cytotoxicity of mephedrone and methoxetamine in human and pig liver models using GC/MS and LC/MS analyses
- A new phenyl alkyl ester and a new combretin triterpene derivative from Combretum fragrans F. Hoffm (Combretaceae) and antiproliferative activity
- Erratum
- Erratum to: A one-step incubation ELISA kit for rapid determination of dibutyl phthalate in water, beverage and liquor
- Review Articles
- Sinoporphyrin sodium, a novel sensitizer for photodynamic and sonodynamic therapy
- Natural products isolated from Casimiroa
- Plant description, phytochemical constituents and bioactivities of Syzygium genus: A review
- Evaluation of elastomeric heat shielding materials as insulators for solid propellant rocket motors: A short review
- Special Issue on Applied Biochemistry and Biotechnology 2019
- An overview of Monascus fermentation processes for monacolin K production
- Study on online soft sensor method of total sugar content in chlorotetracycline fermentation tank
- Studies on the Anti-Gouty Arthritis and Anti-hyperuricemia Properties of Astilbin in Animal Models
- Effects of organic fertilizer on water use, photosynthetic characteristics, and fruit quality of pear jujube in northern Shaanxi
- Characteristics of the root exudate release system of typical plants in plateau lakeside wetland under phosphorus stress conditions
- Characterization of soil water by the means of hydrogen and oxygen isotope ratio at dry-wet season under different soil layers in the dry-hot valley of Jinsha River
- Composition and diurnal variation of floral scent emission in Rosa rugosa Thunb. and Tulipa gesneriana L.
- Preparation of a novel ginkgolide B niosomal composite drug
- The degradation, biodegradability and toxicity evaluation of sulfamethazine antibiotics by gamma radiation
- Special issue on Monitoring, Risk Assessment and Sustainable Management for the Exposure to Environmental Toxins
- Insight into the cadmium and zinc binding potential of humic acids derived from composts by EEM spectra combined with PARAFAC analysis
- Source apportionment of soil contamination based on multivariate receptor and robust geostatistics in a typical rural–urban area, Wuhan city, middle China
- Special Issue on 13th JCC 2018
- The Role of H2C2O4 and Na2CO3 as Precipitating Agents on The Physichochemical Properties and Photocatalytic Activity of Bismuth Oxide
- Preparation of magnetite-silica–cetyltrimethylammonium for phenol removal based on adsolubilization
- Topical Issue on Agriculture
- Size-dependent growth kinetics of struvite crystals in wastewater with calcium ions
- The effect of silica-calcite sedimentary rock contained in the chicken broiler diet on the overall quality of chicken muscles
- Physicochemical properties of selected herbicidal products containing nicosulfuron as an active ingredient
- Lycopene in tomatoes and tomato products
- Fluorescence in the assessment of the share of a key component in the mixing of feed
- Sulfur application alleviates chromium stress in maize and wheat
- Effectiveness of removal of sulphur compounds from the air after 3 years of biofiltration with a mixture of compost soil, peat, coconut fibre and oak bark
- Special Issue on the 4th Green Chemistry 2018
- Study and fire test of banana fibre reinforced composites with flame retardance properties
- Special Issue on the International conference CosCI 2018
- Disintegration, In vitro Dissolution, and Drug Release Kinetics Profiles of k-Carrageenan-based Nutraceutical Hard-shell Capsules Containing Salicylamide
- Synthesis of amorphous aluminosilicate from impure Indonesian kaolin
- Special Issue on the International Conf on Science, Applied Science, Teaching and Education 2019
- Functionalization of Congo red dye as a light harvester on solar cell
- The effect of nitrite food preservatives added to se’i meat on the expression of wild-type p53 protein
- Biocompatibility and osteoconductivity of scaffold porous composite collagen–hydroxyapatite based coral for bone regeneration
- Special Issue on the Joint Science Congress of Materials and Polymers (ISCMP 2019)
- Effect of natural boron mineral use on the essential oil ratio and components of Musk Sage (Salvia sclarea L.)
- A theoretical and experimental study of the adsorptive removal of hexavalent chromium ions using graphene oxide as an adsorbent
- A study on the bacterial adhesion of Streptococcus mutans in various dental ceramics: In vitro study
- Corrosion study of copper in aqueous sulfuric acid solution in the presence of (2E,5E)-2,5-dibenzylidenecyclopentanone and (2E,5E)-bis[(4-dimethylamino)benzylidene]cyclopentanone: Experimental and theoretical study
- Special Issue on Chemistry Today for Tomorrow 2019
- Diabetes mellitus type 2: Exploratory data analysis based on clinical reading
- Multivariate analysis for the classification of copper–lead and copper–zinc glasses
- Special Issue on Advances in Chemistry and Polymers
- The spatial and temporal distribution of cationic and anionic radicals in early embryo implantation
- Special Issue on 3rd IC3PE 2020
- Magnetic iron oxide/clay nanocomposites for adsorption and catalytic oxidation in water treatment applications
- Special Issue on IC3PE 2018/2019 Conference
- Exergy analysis of conventional and hydrothermal liquefaction–esterification processes of microalgae for biodiesel production
- Advancing biodiesel production from microalgae Spirulina sp. by a simultaneous extraction–transesterification process using palm oil as a co-solvent of methanol
- Topical Issue on Applications of Mathematics in Chemistry
- Omega and the related counting polynomials of some chemical structures
- M-polynomial and topological indices of zigzag edge coronoid fused by starphene