Rapid identification of direct-acting pancreatic protectants from Cyclocarya paliurus leaves tea by the method of serum pharmacochemistry combined with target cell extraction
-
Wei-hong Chen
, Zhen Luo , Zi-Wan Ning , Jiao Peng , Xiao-peng Hu , Li-xiang Zhai , Bo Wen , Hai-tao Xiaoand Zhao-xiang Bian
Abstract
Extracts of Cyclocarya paliurus (CP) leaves, a popular sweet tea, inhibit pancreatic β cell apoptosis and have potent hypoglycemic effects, but the identities of the anti-apoptotic bioactive components are still unknown. In the present study, a method using UPLC-Q-TOF/MS based on serum pharmacochemistry combined with target cell extraction was established to rapidly identify direct-acting pancreatic protectants from CP. After orally administering a set amount of CP extract to rats, blood samples were collected to characterize the components that can be absorbed into the blood using UPLC-Q-TOF/MS. Also, target cells (pancreatic β NIT-1 cells) were incubated with CP extract for 24 hours, and cells were collected to identify the components that can bind to the cells using UPLC-Q-TOF/MS. Finally, to evaluate the protective effect of the bioactive components of CP, MTT and TUNEL assays were performed on treated NIT-1 cell induced by streptozotocin (STZ). Three potential direct-acting pancreatic protectants -- kaempferol, quercetin, quadranoside IV -- were identified, and anti-apoptotic effects of kaempferol and quercetin were confirmed in STZ-induced NIT-1 cells. The findings indicate that this combined approach is a feasible, rapid, and expedient tool for capturing potential direct-acting components from natural products such as those from CP leaves.
1 Introduction
Cyclocarya paliurus (Batal.) Ijinskaja (Juglandaceae) is a type of tall tree distributed in the highlands of the south and southeast of China [1]. C. paliurus (CP) leaves possess natural sweetness, and local people have long been consuming it as a nutraceutical tea. In addition, CP leaves are also an herbal medicine of Traditional Chinese medicine (TCM). The properties of “clearing heat and removing toxicity” are recorded in the ancient Chinese pharmacopeia Zhong-hua-ben-cao, and extracts have been widely used as an obesity and diabetes treatment [2, 3]. Based on their dual properties as food and drug, CP herbal teas have been approved as a dietary supplement product by the United States Food and Drug Administration (U.S.FDA) since 1991 [2]. Nowadays, dietary supplements derived from CP are in great demand among Chinese diabetes patients.
In the past decade, pharmacological studies have revealed that CP has versatile biological properties such as antioxidant, antihyperglycemic, antihyperlipidemic, and anticancer activities, in addition to many other positive effects [2, 4, 5, 6, 7]. Beyond that, phytochemical studies have indicated that CP contains various bioactive constituents, including carbohydrates, flavonoids, triterpenoids, phenolic acids, and sterols [8, 9, 10, 11]. However, few direct correlations between the chemical components and the pharmacological effects have been reported. In our previous study, we reported that CP exhibited a potent hypoglycemic effect in diabetic mice by inhibiting pancreatic β cell apoptosis via regulating MAPK and Akt signaling pathways [2]; therefore, we have continued to uncover the association of CP bioactive components with their biological functions in the present study.
According to the intracorporal course of orally administered drugs, the active components presented in oral drugs are initially absorbed into the bloodstream, afterwards distributed to the tissues and organs of the body. In the tissues and organs, the active components bind to receptors on cell membranes or move into the inner cellular systems to elicit their biological functions [12]. Therefore, there are two required conditions for oral drugs to act on tissues and organs: one is to be absorbed into the bloodstream, and another is to be able to interact with receptors on the cell membrane or within cells. This provides us a productive direction in the identification of direct-acting bioactive components from natural products.
Conventional procedures for screening potential active components from CP are to first isolate and purify the constituents from CP extracts and then perform in vivo and in vitro pharmacological evaluation approaches. Since CP contains hundreds of components [13], the traditional isolation and purification methods are not an ideal way to screen active components from CP due to their complex procedures and intensive labor. In recent years, the approach of serum pharmacochemistry coupled with liquid chromatography-mass spectrometry has been widely applied to track bioactive components of TCMs that can be absorbed into the bloodstream [14, 15, 16]. Moreover, target cell extraction coupled with liquid chromatography-mass spectrometry was also successfully applied to characterize the potential bioactive components from TCMs [17, 18, 19]. These make it possible to rapidly identify direct-acting active components from natural products like CP.
In this study, we aimed to establish an analytical platform using UPLC-Q-TOF/MS based on serum pharmacochemistry combined with target cell extraction approaches, in order to rapidly identify potential direct-acting pancreatic protectants from CP against pancreatic β cell apoptosis. Accordingly, we aimed to evaluate protective effects of identified compounds on STZ-induced pancreatic β cell apoptosis in vitro to confirm the feasibility of this approach.
2 Experimental procedure
2.1 Herbs and chemicals
C. paliurus (Batal.) Iljinskaja leaves were obtained from the garden of Nanjing Forestry University, China (Nanjing, Jiangsu, China) in March 2015. The authentication of leaves was performed by Prof. Hubiao Chen (School of Chinese Medicine, Hong Kong Baptist University), and voucher specimens (No. CP20151201) were deposited in Research Laboratory, School of Chinese Medicine, Hong Kong Baptist University, Hong Kong. Formic acid and streptozotocin (STZ), dimethylsulfoxide (DMSO), 3-(4, 5-dimethylthiazol-2-yl)-2, 5-diphenyltetrrazoliumbromide (MTT) were from Sigma (St. Louis, MO, USA). Dulbecco’s modified Eagle’s medium (DMEM) powder, fetal bovine serum (FBS), penicillin-streptomycin (PS), and trypsin-EDTA were from Gibco (Grand Island, NY, USA). Standard chemicals quercetin (98% purity) and kaempferol (98% purity) were provided by Baoji Herbest Bio-Tech Co., Ltd. (Baoji, Shanxi, China). LC-MS grade acetonitrile was obtained from Merck (EMD Millipore, MA, USA). Deionized water was produced by a milli-Q system (Millipore, MA, USA).
2.2 Preparation of aqueous extract of CP
CP was first extracted by water and then concentrated to yield the crude extract (yield 16.6%) as previously described [2].
2.3 Study of serum pharmacochemistry
2.3.1 Animals
Three Male Sprague-Dawley rats weighing 200–250 g were acquired from the Laboratory Animal Services Center, The Chinese University of Hong Kong, Hong Kong. The rats were provided with standard rodent diet ad libitum and free access to water and were housed in environment controlled rooms at 22 ± 1°C with a 12 h light/dark cycle (lights on 6:00-18:00). The Animal Ethics Committees of Hong Kong Baptist University, approved all experimental protocols, in accordance with “Institutional Guidelines and Animal Ordinance” from Department of Health, Hong Kong Special Administrative Region (Registration No. LIUYE/15-16/01-CLNC).
2.3.2 Serum pharmacochemistry analysis
For serum pharmacochemistry analysis, rats were firstly subjected to fasting for 18 hours. Subsequently, approximately 0.5 mL blood samples were collected from the ophthalmic veins under anesthesia in heparinized centrifuge tubes via sterile capillary tubes at 0, 10, and 30 minutes, 1, 2, 4, 8, and 12 hours after the oral administration of CP extract at 10.5 g/kg body weight. The blood serum was obtained by centrifugation at 3500 rpm for 30 minutes at room temperature. A total of 90 μL serum was added to 200 μL MeOH and vortexed vigorously. Two phases were formed after centrifugation at 14000 rpm for 10 minutes at 4°C. The supernatant was collected for UPLC-Q-TOF/MS analysis, and the injection volume was 2 µL.
2.4 Assay of cell extraction
2.4.1 Cell culture
Mouse pancreatic β NIT-1 cells were obtained from American Type Culture Collection (ATCC, 40–60 passages) and cultured as a monolayer in RPMI 1640 medium (Gibco Chemical, USA) supplemented with 10% heat-inactivated FBS, glucose (11.1 mM), penicillin (100 U/mL), and streptomycin (0.1 mg/mL). The cells were preserved under standard cell culture conditions at 37°C in a humidified environment of 5% CO2, and they were routinely sub-cultured every 2-3 days.
2.4.2 Cell extraction
NIT-1 cells grown in complete RPMI medium were seeded into 100-mm culture dishes with densities of 1.0 × 106 cells/mL and were maintained at 37°C in a 5% CO2 environment for 24 hours. After discarding the culture medium, serum-free RPMI medium and CP extract (100 μg/mL final concentration) were added into the dishes followed by continuous incubation for 24 hours. The cells were harvested and then centrifuged at 3000 rpm for 5 minutes, and deposited cells were washed five times with PBS. Afterwards, deposited cells were extracted with 1 mL of 70% acetonitrile by ultrasonic extraction for 1 hour. Centrifugation was performed at 13,000 rpm at 4°C for 10 minutes, and the supernatant was filtered through 0.45 μm nylon membranes for analysis.
2.5 UPLC-Q-TOF/MS analysis
An Agilent 1290 Infinity UPLC system equipped with a standard auto-sampler and binary solvent delivery system (Santa Clara, CA, USA) was used for chromatographic separation. A 100 mm × 2.1 mm Acquity UPLC HSS T3 1.8µm column (Waters Corp., Milford, MA, USA) was used. The mobile phase consisted of A (0.1% formic acid) and B (0.1% formic acid in acetonitrile). The optimized chromatography strategy, with a flow rate of 0.3 mL/min was as follows: (1) from 0–5 minutes, a linear gradient from 2–5% B; (2) from 5–25 minutes a linear gradient from 5–40% B; and from 25–30 minutes, a linear gradient from 40–98% B. The injection volume was 2 μL and the column temperature was maintained at 35°C for each run.
MS analysis was performed in a quadrupole time-of-flight (Q-TOF) tandem mass spectrometer (Agilent Technologies, USA) equipped with electrospray ionization (ESI) with negative ionization mode. The operating parameters were as follows: capillary voltage 3.5 KV; nebulizer 45 psi; drying gas flow 7 L/minutes; drying gas temperature 300°C; sheath gas flow, 10 L/minutes; sheath gas temperature 350°C. To ensure reproducibility and mass accuracy, the mass spectrometer was calibrated over a range of 50–1500 Da. The operations were controlled by Mass Hunter software version 6.00 (Agilent Technologies Inc., USA).
2.6 Cell viability
The NIT-1 β cells were cultured in 96-well microplates at densities of 1 × 104 cells/well and incubated with 0.2, 2, or 10 μM kaempferol or quercetin, with or without exposure to 32 mM STZ. Following a 24 h incubation, the culture medium was withdrawn and cell viability was measured using the MTT method as described previously [2].
2.7 TUNEL assay
Cells were plated on coverslips after exposure to 10 μM kaempferol or quercetin for 24 h and were fixed with 4% paraformaldehyde for 30 minutes. Nonspecific chromogen reaction induced by endogenous peroxidase was inhibited with 3% H2O2 in methanol for 10 minutes at room temperature, and cells were further rinsed in distilled PBS and incubated with equilibration buffer for 1 minute. A TUNEL kit ApopTag* Peroxidas In Situ Apoptosis Detection Kit (Merck Millipore, Temecula, CA) was used for TUNEL assay in accordance with instructions of manufacturer. TUNEL-positive cells were counted in 5 randomly selected fields (200× magnification), and the percentage was calculated against total cells.
2.8 Statistical analysis
All data were investigated with GraphPad PRISM 5.0 (GraphPad Software Inc., San Diego, CA, USA) software using one-way ANOVA, monitored by Duncan’s multiple range tests. All quantitative values were expressed as the mean ± SEM. Differences were determined to be significant when P< 0.05.
3 Results and discussion
3.1 Serum pharmacochemistry for tracking bioactive components from C. paliurus leaf extracts
For rapid screening and identification of bioactive components of CP extracts absorbed in the serum of rats, a simple three-step approach was developed. First, an in-house library that covers the known components of CP as described in the literature was established after searching databases including Pubmed, Chinese National Knowledge Infrastructure (CNKI) and Web of Science (Supplementary Table 1). Subsequently, the information of 108 known compounds, including name and molecular formula, was edited using PCDL software and MassHunter software to establish a library similar to the Standard Reference Database of the National Institute of Standards and Technology (NIST).
After the establishment of this molecular library, the total ion chromatograms (TICs) of CP extract samples, blank serum samples, and serum samples of CP extract-treated rats were obtained by using UPLC-Q-TOF-MS under individually positive and negative chemical ionization modes. These data were subjected to the mass extractor function of MassHunter Workstations Software Qualitative Analysis Version B.06.00 (Agilent Technologies, Inc.2012), and the potentially active molecules with matches in the library described above were automatically identified from TICs of CP extract samples, blank serum samples, and serum samples of CP extract-treated rats according to their precise molecular weights. Compared to obtaining in positive chemical ionization mode, TICs obtained in negative chemical ionization mode exhibited greater responsiveness and richer mass spectrum information for the potential active molecules. Therefore, these TICs were adopted to analyze the peaks of potential active molecules.
Among the TICs obtained from serum samples of CP extract-treated rats at different checkpoint times, those obtained at 30 minutes after oral administration of CP extract showed the most candidate peaks, but multiple candidate peaks were also present at other checkpoint times. Taken together, a total of 13 potential active molecules were detected by comparing TICs of CP extract, blank serum samples, and serum samples of rats after CP extract oral administration for 30 minutes (Figure 1). The structures of these 13 potential active molecules were identified by their MS and MS/MS information of ions (Supplementary Figure 1). For example, the parent [M−H]− of the candidate peak of 6 is at m/z 477.0705, with MS2 fragmentations at m/z 301.0355, formed by neutral loss of 176 Da (glucuronide). On basis of MS and MS/MS data obtained, the molecular formula of this ion was surmised as C21H18O13; hence, it was inferred to be quercetin-3-O-glucuronide. Likewise, a total of 13 absorbed components were tentatively recognized as quinic acid, gallic acid, p-hydroxybenzoic acid,neochlorogenic acid, chlorogenic acid, quercetin-3-O-glucuronide, kaempferol-3-O-glucopyranoside, kaempferol-3-O-rhamnoside, quercetin, kaempferol, quadranoside IV, asiatic acid and loganin-7-O-pentoside, respectively (Figure 1B and Table 1).

The total ion chromatograms of the chemical constituents in rat serum followed by oral administration of CP extract. Total ion chromatograms (TICs) in negative mode of CP extract (a, blue line), serum samples of rats following oral administration of CP extract for 30 minutes (b, green line), and blank plasma samples (c, purple line). (A) The overall profile of ion chromatograms; (B) Enlarged ion chromatograms of potential active absorbed components.
(1) quinic acid, (2) gallic acid, (3) p-hydroxybenzoic acid, (4) neochlorogenic acid, (5) chlorogenic acid, (6) quercetin-3-O-glucuronide, (7) kaempferol-3-O-glucopyranoside, (8) kaempferol-3-O-rhamnoside, (9) quercetin, (10) kaempferol, (11) quadranoside IV, (12) asiatic acid and (13) loganin-7-O-pentoside,
LC-MS/MS data for the compounds of CP absorbed into blood.
| No. | Rt (min) | Molecular formula | Ion information (m/z) | Identification |
|---|---|---|---|---|
| 1 | 1.051 | C7H12O6 | 191.0575(M-H)-→173.0446(M-18-H)- | Quinic acid |
| 2 | 2.090 | C7H6O5 | 169.0157(M-H)- | Gallic acid |
| 3 | 6.563 | C7H6O3 | 137.0249(M-H)- | p-hydroxybenzoid acid |
| 4 | 8.948 | C16H18O9 | 353.0885(M-H)-→191.0566 (M-162-H)- , 173.0476(M-162-18-H)- | Neochlorogenic acid |
| 5 | 9.633 | C16H18O9 | 353.0884(M-H)-→191.0565 (M-162-H)- , 173.0462(M-162-18-H)- | Chlorogenic acid |
| 6 | 13.852 | C21H18O13 | 477.0705(M-H)-→301.0355 (M-176-H)- | Quercetin-3-O-D-glucuronide |
| 7 | 15.352 | C21H20O11 | 447.0942(M-H)-→285.0405(M-162-H)- | Kaempferol-3-O-D-glucopyranoside |
| 8 | 16.724 | C21H20O10 | 431.1004(M-H)-→285.0402 (M-146-H)- | Kaempferol-3-O-L-rhamnoside |
| 9 | 18.728 | C15H10O7 | 301.0354(M-H)- | Quercetin |
| 10 | 21.110 | C15H10O6 | 285.0407(M-H)- | Kaempferol |
| 11 | 22.722 | C36H58O10 | 695.4020 (M+HCOO)-→649.3958(M-H) -→487.3425 (M-162-H-) | Quadranoside IV |
| 12 | 27.871 | C30H48O5 | 487.3430(M-H)- | Asiatic acid |
| 13 | 28.516 | C22H34O14 | 521.3137(M-H)- → 389.2714(M-132-H)-, 371.2588(M-132-18-H)- | Loganin-7-O-pentoside |
3.2 Target cell extraction for tracking bioactive components from C. paliurus leaf extracts
Our previous study showed that an aqueous extract of CP could alleviate STZ-induced apoptosis of NIT-1 (pancreatic β) cells [2]. Therefore, pancreatic β NIT-1 cells were used as an in vitro model for developing an affinity capturing system for pancreatic protectants from CP extract. After obtaining TICs of desorption eluate of NIT-1 β cells treated with or without CP extract, the potential active molecules with matches in the library were also automatically screened out via the aforementioned method. As seen in Figure 2, in comparison with a control incubation lacking CP extract, 7 potential active molecules were identified in the desorption eluate of pancreatic β NIT-1 cells incubated with CP extract for 24 h. In addition, 5 of 7 isolated components were tentatively identified as quercetin, kaempferol, quadranoside IV, cyclocarioside K and cyclocarioside K isomer, respectively (Supplementary Figure 1). However, the other two components have not yet been identified. Interestingly, some relatively abundant components in CP extract have no measurable binding affinity with the target cell in the assay, while only several low content components are detected in CP extract-treated cell extraction. These data indicated that components with low content have significant interactions with the target cells; in other words, the interactions between cells and components are selective.

The total ion chromatograms of the chemical constituents in desorption eluate of pancreatic β NIT-1 cells incubated with CP extract. Total ion chromatograms (TICs) in negative mode of CP extract (a, blue line), desorption eluate of pancreatic β NIT-1 cells incubated with CP extract for 24 h (b, green line), desorption eluate of pancreatic β NIT-1 cells incubated without CP extract for 24 h (c, purple line). (A) The overall profile of ion chromatograms; (B) Enlarged ion chromatograms of potential active absorbed components.
3.3 Direct-acting pancreatic protectants identification and activity evaluation
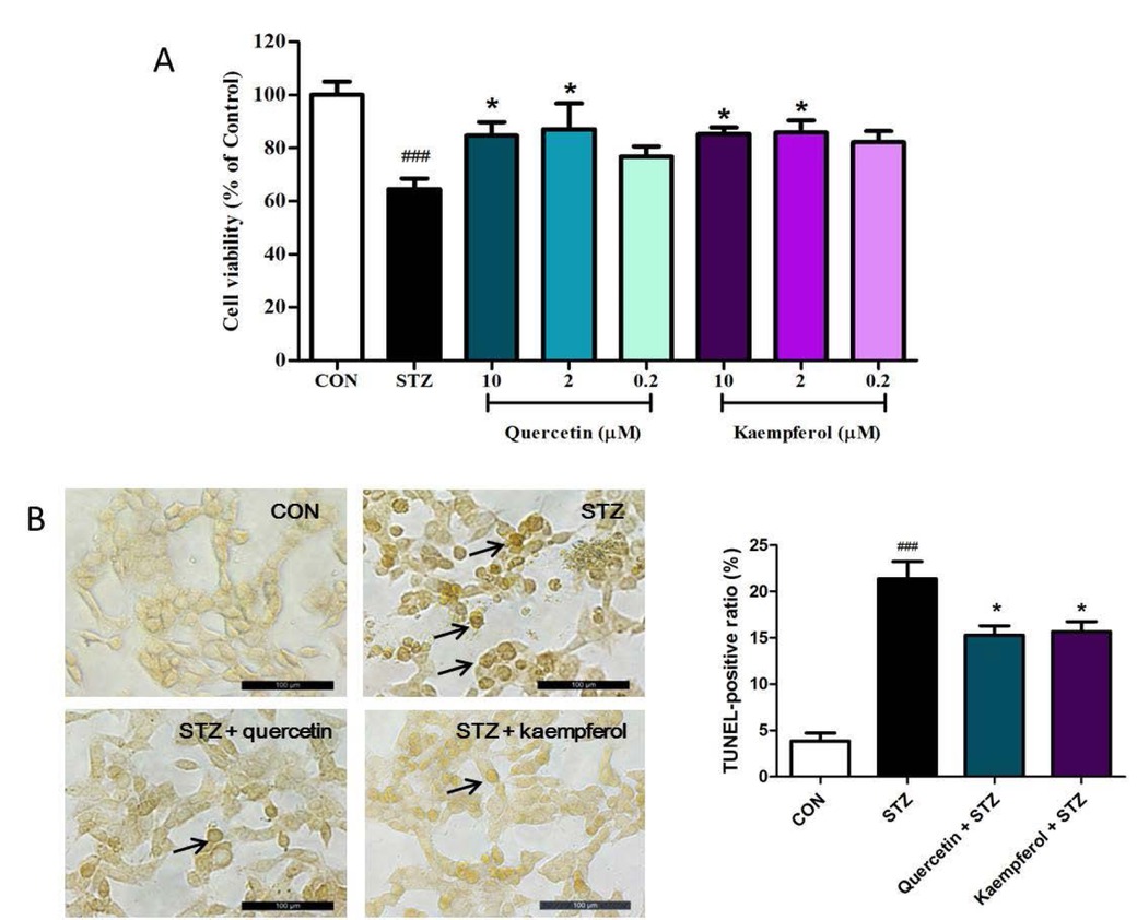
Direct-acting pancreatic protectants of CP must have two qualities: (1) the must be able to be absorbed into the bloodstream, and (2) they must interact with specific receptors, enzymes and/or channels on the cell membrane or within the cells. In our study, we have found three components, namely kaempferol, quercetin, quadranoside IV, that are detected both in the serum after oral administration and desorption eluate of target cell extraction. Hence, they were identified as potential direct-acting pancreatic protectants (Figure 3). Subsequently, the available standards of kaempferol and quercetin were obtained for the evaluation of their protective effects against STZ-induced pancreatic β cell apoptosis. As shown in Figure 4, both kaempferol and quercetin exhibit potent protective effects against STZ-induced pancreatic β cell death. The TUNEL staining assay also demonstrated that both kaempferol and quercetin at a concentration of 10 mM could significantly reduce STZ-induced cell apoptosis. Unfortunately, the protective activity of quadranoside IV has not been studied because no standard is commercially available. It is worth mentioning that STZ-induced NIT-1 pancreatic β cell apoptosis is associated with increased oxidative and inflammatory status [20]. Interestingly, quadranoside IV has already been confirmed as an anti-inflammatory agent to effectively suppress nitric oxide production and TNF-α in activated RAW 264.7 cells [21], which is suggestive of its potential protective effect against STZ-induced apoptosis in pancreatic β cells.

Direct-acting pancreatic protectants identification. (A) Summary of identified potential active components by using serum pharmacochemistry and cell extraction; (B) The structures of identified potential direct acting pancreatic protectants.

The effects of kaempferol and quercetin on STZ-induced apoptosis on NIT-1 cells. (A) NIT-1 cells were preincubated with kaempferol and quercetin (0.2, 2, 10 μM) for 2 h formerly 32 mM STZ treated for 24 h. Cell viability was measured by using MTT method; (B) NIT-1 cells were preincubated with kaempferol and quercetin (10 μM) for 2 h formerly 32 mM STZ treated for 24 h, After staining with 50 μL TUNEL reaction mixture, TUNEL-positive cells were analyzed. Data are expressed as the mean ± SEM (n = 3). ###P < 0.001, compared with the control group; ∗P < 0.05, compared with the STZ-treated group.
4 Conclusions
In this study, based on the method of serum pharmacochemistry combined with target cell extraction, three direct-acting pancreatic protectants, kaempferol, quercetin and quadranoside IV, were successfully identified from CP extract. Compared to conventional methods, this method is simpler and faster for screening out and identifying potential active components from a complex matrix (e.g. an extract of a TCM), and this method therefore shows great significance for elucidating the efficacies of natural medicines, such as pharmaceutical plant and mineral medicines.
Acknowledgments
This work was supported by grants from Hong Kong Baptist University Research Grant (No. LIUYE/15-16/01-CLNC), the Peacock Program for Overseas High-Level Talents of Shenzhen and the launching fund of Scientific Research for New Teachers of Shenzhen University (No. 2018020). The authors would like to thank Mr. CHAN Chi Leung and Mr. HO Hing Man for providing technical support for UPLC-Q-TOF/MS analysis.
Conflict of interest
Conflict of interest statement: All authors have no conflict of interest on the publication of this manuscript.
Supplemental Material: The online version of this article offers supplementary material (https://doi.org/10.1515/chem-2020-0032).
List of Abbreviations
- CP:
The leaves of Cyclocarya paliurus
- DMSO:
dimethylsulfoxide
- DMEM:
Dulbecco’s modified Eagle’s medium
- FBS:
fetal bovine serum
- U.S. FDA:
United States Food and Drug Administration
- MTT:
3-(4, 5-dimethylthiazol-2-yl)-2, 5-diphenyltetrrazoliumbromide
- UPLC-Q-TOF/MS:
ultra-performance liquid chromatography coupled to quadrupole time-of-flight mass spectrometry
- STZ:
streptozotocin
- TCMs:
Traditional Chinese medicines
- TUNEL:
terminal deoxynucleotidyl transferase-mediated dUTP-biotin nick end labeling assay
References
[1] Wu Z, Gao T, Zhong R, Lin Z, Jiang C, Ouyang S, et al. Antihyperlipidaemic effect of triterpenic acid-enriched fraction from Cyclocarya paliurus leaves in hyperlipidaemic rats. Pharm Biol. 2017;55:712-21.10.1080/13880209.2016.1267231Search in Google Scholar PubMed PubMed Central
[2] Xiao HT, Wen B, Ning ZW, Zhai LX, Liao CH, Lin CY, et al. Cyclocarya paliurus tea leaves enhances pancreatic beta cell preservation through inhibition of apoptosis. Sci Rep. 2017;7:9155.10.1038/s41598-017-09641-zSearch in Google Scholar PubMed PubMed Central
[3] Jiang C, Yao N, Wang Q, Zhang J, Sun Y, Xiao N, et al. Cyclocarya paliurus extract modulates adipokine expression and improves insulin sensitivity by inhibition of inflammation in mice. J Ethnopharmacol. 2014;153:344-51.10.1016/j.jep.2014.02.003Search in Google Scholar PubMed
[4] Ma Y, Jiang C, Yao N, Li Y, Wang Q, Fang S, et al. Antihyperlipidemic effect of Cyclocarya paliurus (Batal.) Iljinskaja extract and inhibition of apolipoprotein B48 overproduction in hyperlipidemic mice. J Ethnopharmacol. 2015;166:286-96.10.1016/j.jep.2015.03.030Search in Google Scholar PubMed
[5] Wang Q, Jiang C, Fang S, Wang J, Ji Y, Shang X, et al. Antihyperglycemic, antihyperlipidemic and antioxidant effects of ethanol and aqueous extracts of Cyclocarya paliurus leaves in type 2 diabetic rats. J Ethnopharmacol. 2013;150:1119-27.10.1016/j.jep.2013.10.040Search in Google Scholar PubMed
[6] Xie JH, Shen MY, Xie MY, Nie SP, Chen Y, Li C, et al. Ultrasonic-assisted extraction, antimicrobial and antioxidant activities of Cyclocarya paliurus (Batal.) Iljinskaja polysaccharides. Carbohydr Polym. 2012;89:177-84.10.1016/j.carbpol.2012.02.068Search in Google Scholar PubMed
[7] Xie JH, Liu X, Shen MY, Nie SP, Zhang H, Li C, et al. Purification, physicochemical characterisation and anticancer activity of a polysaccharide from Cyclocarya paliurus leaves. Food Chem. 2013;136:1453-60.10.1016/j.foodchem.2012.09.078Search in Google Scholar PubMed
[8] Gao Y, He C, Bi W, Wu G, Altman E. Bioassay guided fractionation identified hederagenin as a major cytotoxic agent from Cyclocarya paliurus leaves. Planta Med. 2016;82:171-9.10.1055/s-0035-1557900Search in Google Scholar PubMed
[9] Yang HM, Yin ZQ, Zhao MG, Jiang CH, Zhang J, Pan K. Pentacyclic triterpenoids from Cyclocarya paliurus and their antioxidant activities in FFA-induced HepG2 steatosis cells. Phytochemistry. 2018;151:119-27.10.1016/j.phytochem.2018.03.010Search in Google Scholar PubMed
[10] Li J, Lu YY, Li F, Zhang YJ, Huang XS, Su XJ. Study on chemical constituents of Cyclocarya paliurus. J Asian Nat Prod Res. 2006;16:441-2.10.1080/10286020.2013.825254Search in Google Scholar PubMed
[11] Li S, Cui B, Liu Q, Tang L, Yang Y, Jin X, et al. New triterpenoids from the leaves of Cyclocarya paliurus. Planta Med. 2012;78:290.10.1055/s-0031-1280411Search in Google Scholar PubMed
[12] Yang Z, Kulkarni K, Zhu W, Hu M. Bioavailability and pharmacokinetics of genistein: mechanistic studies on its ADME. Anticancer Agents Med Chem. 2012;12:1264-80.10.2174/187152012803833107Search in Google Scholar PubMed PubMed Central
[13] Cao Y, Fang S, Yin Z, Fu X, Shang X, Yang W, et al. Chemical Fingerprint and Multicomponent Quantitative Analysis for the Quality Evaluation of Cyclocarya paliurus Leaves by HPLC-Q-TOF-MS. Molecules. 2017;22:pii: E1927.10.3390/molecules22111927Search in Google Scholar PubMed PubMed Central
[14] Hu Y, Jiang P, Wang S, Yan S, Xiang L, Zhang W, et al. Plasma pharmacochemistry based approach to screening potential bioactive components in Huang-Lian-Jie-Du-Tang using high performance liquid chromatography coupled with mass spectrometric detection. J Ethnopharmacol. 2012;141:728-35.10.1016/j.jep.2011.08.011Search in Google Scholar PubMed
[15] Wang X, Sun W, Sun H, Lv H, Wu Z, Wang P, et al. Analysis of the constituents in the rat plasma after oral administration of Yin Chen Hao Tang by UPLC/Q-TOF-MS/MS. J Pharm Biomed Anal. 2008;46:477-90.10.1016/j.jpba.2007.11.014Search in Google Scholar PubMed
[16] Wang XJ, Zhang N, Sun WJ, Sun H. Preliminary study on serum pharmacochemistry of Liu Wei Di Huang Wan. Chin J Nat Med.; 2004.Search in Google Scholar
[17] Hong M, Wang XZ, Wang L, Hua YQ, Wen HM, Duan JA. Screening of immunomodulatory components in Yu-ping-feng-san using splenocyte binding and HPLC. J Pharm Biomed Anal. 2011;54:87-93.10.1016/j.jpba.2010.08.016Search in Google Scholar PubMed
[18] Li X, Sun H, Zhang A, Liu Z, Zou D, Song Y, et al. High-throughput LC–MS method for the rapid characterization of multiple chemical constituents and metabolites of Da-Bu-Yin-Wan. J Sep Sci. 2017;40:4102-12.10.1002/jssc.201700568Search in Google Scholar PubMed
[19] Sheng LH. Live cell extraction and HPLC-MS analysis for predicting bioactive components of traditional Chinese medicines. J Pharm Biomed Anal. 2006;41:576-81.10.1016/j.jpba.2006.01.014Search in Google Scholar PubMed
[20] Hong L, Qin W, Shuzhen G, Juncheng H, Hanju S, Xiaoxiang Z, et al. The protective effect of MT-α-glucan against streptozotocin (STZ)-induced NIT-1 pancreatic β-cell damage. Carbohydr Polym. 2013;92:1211-17.10.1016/j.carbpol.2012.10.037Search in Google Scholar PubMed
[21] Nhiem NX, Tai BH, Quang TH, Kiem PV, Minh CV, Nam NH, et al. A new ursane-type triterpenoid glycoside from Centella asiatica leaves modulates the production of nitric oxide and secretion of TNF-α in activated RAW 264.7 cells. Bioorg Med Chem Lett. 2011;21:1777-81.10.1016/j.bmcl.2011.01.066Search in Google Scholar PubMed
© 2020 Wei-hong Chen et al., published by De Gruyter
This work is licensed under the Creative Commons Attribution 4.0 International License.
Articles in the same Issue
- Regular Articles
- Electrochemical antioxidant screening and evaluation based on guanine and chitosan immobilized MoS2 nanosheet modified glassy carbon electrode (guanine/CS/MoS2/GCE)
- Kinetic models of the extraction of vanillic acid from pumpkin seeds
- On the maximum ABC index of bipartite graphs without pendent vertices
- Estimation of the total antioxidant potential in the meat samples using thin-layer chromatography
- Molecular dynamics simulation of sI methane hydrate under compression and tension
- Spatial distribution and potential ecological risk assessment of some trace elements in sediments and grey mangrove (Avicennia marina) along the Arabian Gulf coast, Saudi Arabia
- Amino-functionalized graphene oxide for Cr(VI), Cu(II), Pb(II) and Cd(II) removal from industrial wastewater
- Chemical composition and in vitro activity of Origanum vulgare L., Satureja hortensis L., Thymus serpyllum L. and Thymus vulgaris L. essential oils towards oral isolates of Candida albicans and Candida glabrata
- Effect of excess Fluoride consumption on Urine-Serum Fluorides, Dental state and Thyroid Hormones among children in “Talab Sarai” Punjab Pakistan
- Design, Synthesis and Characterization of Novel Isoxazole Tagged Indole Hybrid Compounds
- Comparison of kinetic and enzymatic properties of intracellular phosphoserine aminotransferases from alkaliphilic and neutralophilic bacteria
- Green Organic Solvent-Free Oxidation of Alkylarenes with tert-Butyl Hydroperoxide Catalyzed by Water-Soluble Copper Complex
- Ducrosia ismaelis Asch. essential oil: chemical composition profile and anticancer, antimicrobial and antioxidant potential assessment
- DFT calculations as an efficient tool for prediction of Raman and infra-red spectra and activities of newly synthesized cathinones
- Influence of Chemical Osmosis on Solute Transport and Fluid Velocity in Clay Soils
- A New fatty acid and some triterpenoids from propolis of Nkambe (North-West Region, Cameroon) and evaluation of the antiradical scavenging activity of their extracts
- Antiplasmodial Activity of Stigmastane Steroids from Dryobalanops oblongifolia Stem Bark
- Rapid identification of direct-acting pancreatic protectants from Cyclocarya paliurus leaves tea by the method of serum pharmacochemistry combined with target cell extraction
- Immobilization of Pseudomonas aeruginosa static biomass on eggshell powder for on-line preconcentration and determination of Cr (VI)
- Assessment of methyl 2-({[(4,6-dimethoxypyrimidin-2-yl)carbamoyl] sulfamoyl}methyl)benzoate through biotic and abiotic degradation modes
- Stability of natural polyphenol fisetin in eye drops Stability of fisetin in eye drops
- Production of a bioflocculant by using activated sludge and its application in Pb(II) removal from aqueous solution
- Molecular Properties of Carbon Crystal Cubic Structures
- Synthesis and characterization of calcium carbonate whisker from yellow phosphorus slag
- Study on the interaction between catechin and cholesterol by the density functional theory
- Analysis of some pharmaceuticals in the presence of their synthetic impurities by applying hybrid micelle liquid chromatography
- Two mixed-ligand coordination polymers based on 2,5-thiophenedicarboxylic acid and flexible N-donor ligands: the protective effect on periodontitis via reducing the release of IL-1β and TNF-α
- Incorporation of silver stearate nanoparticles in methacrylate polymeric monoliths for hemeprotein isolation
- Development of ultrasound-assisted dispersive solid-phase microextraction based on mesoporous carbon coated with silica@iron oxide nanocomposite for preconcentration of Te and Tl in natural water systems
- N,N′-Bis[2-hydroxynaphthylidene]/[2-methoxybenzylidene]amino]oxamides and their divalent manganese complexes: Isolation, spectral characterization, morphology, antibacterial and cytotoxicity against leukemia cells
- Determination of the content of selected trace elements in Polish commercial fruit juices and health risk assessment
- Diorganotin(iv) benzyldithiocarbamate complexes: synthesis, characterization, and thermal and cytotoxicity study
- Keratin 17 is induced in prurigo nodularis lesions
- Anticancer, antioxidant, and acute toxicity studies of a Saudi polyherbal formulation, PHF5
- LaCoO3 perovskite-type catalysts in syngas conversion
- Comparative studies of two vegetal extracts from Stokesia laevis and Geranium pratense: polyphenol profile, cytotoxic effect and antiproliferative activity
- Fragmentation pattern of certain isatin–indole antiproliferative conjugates with application to identify their in vitro metabolic profiles in rat liver microsomes by liquid chromatography tandem mass spectrometry
- Investigation of polyphenol profile, antioxidant activity and hepatoprotective potential of Aconogonon alpinum (All.) Schur roots
- Lead discovery of a guanidinyl tryptophan derivative on amyloid cascade inhibition
- Physicochemical evaluation of the fruit pulp of Opuntia spp growing in the Mediterranean area under hard climate conditions
- Electronic structural properties of amino/hydroxyl functionalized imidazolium-based bromide ionic liquids
- New Schiff bases of 2-(quinolin-8-yloxy)acetohydrazide and their Cu(ii), and Zn(ii) metal complexes: their in vitro antimicrobial potentials and in silico physicochemical and pharmacokinetics properties
- Treatment of adhesions after Achilles tendon injury using focused ultrasound with targeted bFGF plasmid-loaded cationic microbubbles
- Synthesis of orotic acid derivatives and their effects on stem cell proliferation
- Chirality of β2-agonists. An overview of pharmacological activity, stereoselective analysis, and synthesis
- Fe3O4@urea/HITh-SO3H as an efficient and reusable catalyst for the solvent-free synthesis of 7-aryl-8H-benzo[h]indeno[1,2-b]quinoline-8-one and indeno[2′,1′:5,6]pyrido[2,3-d]pyrimidine derivatives
- Adsorption kinetic characteristics of molybdenum in yellow-brown soil in response to pH and phosphate
- Enhancement of thermal properties of bio-based microcapsules intended for textile applications
- Exploring the effect of khat (Catha edulis) chewing on the pharmacokinetics of the antiplatelet drug clopidogrel in rats using the newly developed LC-MS/MS technique
- A green strategy for obtaining anthraquinones from Rheum tanguticum by subcritical water
- Cadmium (Cd) chloride affects the nutrient uptake and Cd-resistant bacterium reduces the adsorption of Cd in muskmelon plants
- Removal of H2S by vermicompost biofilter and analysis on bacterial community
- Structural cytotoxicity relationship of 2-phenoxy(thiomethyl)pyridotriazolopyrimidines: Quantum chemical calculations and statistical analysis
- A self-breaking supramolecular plugging system as lost circulation material in oilfield
- Synthesis, characterization, and pharmacological evaluation of thiourea derivatives
- Application of drug–metal ion interaction principle in conductometric determination of imatinib, sorafenib, gefitinib and bosutinib
- Synthesis and characterization of a novel chitosan-grafted-polyorthoethylaniline biocomposite and utilization for dye removal from water
- Optimisation of urine sample preparation for shotgun proteomics
- DFT investigations on arylsulphonyl pyrazole derivatives as potential ligands of selected kinases
- Treatment of Parkinson’s disease using focused ultrasound with GDNF retrovirus-loaded microbubbles to open the blood–brain barrier
- New derivatives of a natural nordentatin
- Fluorescence biomarkers of malignant melanoma detectable in urine
- Study of the remediation effects of passivation materials on Pb-contaminated soil
- Saliva proteomic analysis reveals possible biomarkers of renal cell carcinoma
- Withania frutescens: Chemical characterization, analgesic, anti-inflammatory, and healing activities
- Design, synthesis and pharmacological profile of (−)-verbenone hydrazones
- Synthesis of magnesium carbonate hydrate from natural talc
- Stability-indicating HPLC-DAD assay for simultaneous quantification of hydrocortisone 21 acetate, dexamethasone, and fluocinolone acetonide in cosmetics
- A novel lactose biosensor based on electrochemically synthesized 3,4-ethylenedioxythiophene/thiophene (EDOT/Th) copolymer
- Citrullus colocynthis (L.) Schrad: Chemical characterization, scavenging and cytotoxic activities
- Development and validation of a high performance liquid chromatography/diode array detection method for estrogen determination: Application to residual analysis in meat products
- PCSK9 concentrations in different stages of subclinical atherosclerosis and their relationship with inflammation
- Development of trace analysis for alkyl methanesulfonates in the delgocitinib drug substance using GC-FID and liquid–liquid extraction with ionic liquid
- Electrochemical evaluation of the antioxidant capacity of natural compounds on glassy carbon electrode modified with guanine-, polythionine-, and nitrogen-doped graphene
- A Dy(iii)–organic framework as a fluorescent probe for highly selective detection of picric acid and treatment activity on human lung cancer cells
- A Zn(ii)–organic cage with semirigid ligand for solvent-free cyanosilylation and inhibitory effect on ovarian cancer cell migration and invasion ability via regulating mi-RNA16 expression
- Polyphenol content and antioxidant activities of Prunus padus L. and Prunus serotina L. leaves: Electrochemical and spectrophotometric approach and their antimicrobial properties
- The combined use of GC, PDSC and FT-IR techniques to characterize fat extracted from commercial complete dry pet food for adult cats
- MALDI-TOF MS profiling in the discovery and identification of salivary proteomic patterns of temporomandibular joint disorders
- Concentrations of dioxins, furans and dioxin-like PCBs in natural animal feed additives
- Structure and some physicochemical and functional properties of water treated under ammonia with low-temperature low-pressure glow plasma of low frequency
- Mesoscale nanoparticles encapsulated with emodin for targeting antifibrosis in animal models
- Amine-functionalized magnetic activated carbon as an adsorbent for preconcentration and determination of acidic drugs in environmental water samples using HPLC-DAD
- Antioxidant activity as a response to cadmium pollution in three durum wheat genotypes differing in salt-tolerance
- A promising naphthoquinone [8-hydroxy-2-(2-thienylcarbonyl)naphtho[2,3-b]thiophene-4,9-dione] exerts anti-colorectal cancer activity through ferroptosis and inhibition of MAPK signaling pathway based on RNA sequencing
- Synthesis and efficacy of herbicidal ionic liquids with chlorsulfuron as the anion
- Effect of isovalent substitution on the crystal structure and properties of two-slab indates BaLa2−xSmxIn2O7
- Synthesis, spectral and thermo-kinetics explorations of Schiff-base derived metal complexes
- An improved reduction method for phase stability testing in the single-phase region
- Comparative analysis of chemical composition of some commercially important fishes with an emphasis on various Malaysian diets
- Development of a solventless stir bar sorptive extraction/thermal desorption large volume injection capillary gas chromatographic-mass spectrometric method for ultra-trace determination of pyrethroids pesticides in river and tap water samples
- A turbidity sensor development based on NL-PI observers: Experimental application to the control of a Sinaloa’s River Spirulina maxima cultivation
- Deep desulfurization of sintering flue gas in iron and steel works based on low-temperature oxidation
- Investigations of metallic elements and phenolics in Chinese medicinal plants
- Influence of site-classification approach on geochemical background values
- Effects of ageing on the surface characteristics and Cu(ii) adsorption behaviour of rice husk biochar in soil
- Adsorption and sugarcane-bagasse-derived activated carbon-based mitigation of 1-[2-(2-chloroethoxy)phenyl]sulfonyl-3-(4-methoxy-6-methyl-1,3,5-triazin-2-yl) urea-contaminated soils
- Antimicrobial and antifungal activities of bifunctional cooper(ii) complexes with non-steroidal anti-inflammatory drugs, flufenamic, mefenamic and tolfenamic acids and 1,10-phenanthroline
- Application of selenium and silicon to alleviate short-term drought stress in French marigold (Tagetes patula L.) as a model plant species
- Screening and analysis of xanthine oxidase inhibitors in jute leaves and their protective effects against hydrogen peroxide-induced oxidative stress in cells
- Synthesis and physicochemical studies of a series of mixed-ligand transition metal complexes and their molecular docking investigations against Coronavirus main protease
- A study of in vitro metabolism and cytotoxicity of mephedrone and methoxetamine in human and pig liver models using GC/MS and LC/MS analyses
- A new phenyl alkyl ester and a new combretin triterpene derivative from Combretum fragrans F. Hoffm (Combretaceae) and antiproliferative activity
- Erratum
- Erratum to: A one-step incubation ELISA kit for rapid determination of dibutyl phthalate in water, beverage and liquor
- Review Articles
- Sinoporphyrin sodium, a novel sensitizer for photodynamic and sonodynamic therapy
- Natural products isolated from Casimiroa
- Plant description, phytochemical constituents and bioactivities of Syzygium genus: A review
- Evaluation of elastomeric heat shielding materials as insulators for solid propellant rocket motors: A short review
- Special Issue on Applied Biochemistry and Biotechnology 2019
- An overview of Monascus fermentation processes for monacolin K production
- Study on online soft sensor method of total sugar content in chlorotetracycline fermentation tank
- Studies on the Anti-Gouty Arthritis and Anti-hyperuricemia Properties of Astilbin in Animal Models
- Effects of organic fertilizer on water use, photosynthetic characteristics, and fruit quality of pear jujube in northern Shaanxi
- Characteristics of the root exudate release system of typical plants in plateau lakeside wetland under phosphorus stress conditions
- Characterization of soil water by the means of hydrogen and oxygen isotope ratio at dry-wet season under different soil layers in the dry-hot valley of Jinsha River
- Composition and diurnal variation of floral scent emission in Rosa rugosa Thunb. and Tulipa gesneriana L.
- Preparation of a novel ginkgolide B niosomal composite drug
- The degradation, biodegradability and toxicity evaluation of sulfamethazine antibiotics by gamma radiation
- Special issue on Monitoring, Risk Assessment and Sustainable Management for the Exposure to Environmental Toxins
- Insight into the cadmium and zinc binding potential of humic acids derived from composts by EEM spectra combined with PARAFAC analysis
- Source apportionment of soil contamination based on multivariate receptor and robust geostatistics in a typical rural–urban area, Wuhan city, middle China
- Special Issue on 13th JCC 2018
- The Role of H2C2O4 and Na2CO3 as Precipitating Agents on The Physichochemical Properties and Photocatalytic Activity of Bismuth Oxide
- Preparation of magnetite-silica–cetyltrimethylammonium for phenol removal based on adsolubilization
- Topical Issue on Agriculture
- Size-dependent growth kinetics of struvite crystals in wastewater with calcium ions
- The effect of silica-calcite sedimentary rock contained in the chicken broiler diet on the overall quality of chicken muscles
- Physicochemical properties of selected herbicidal products containing nicosulfuron as an active ingredient
- Lycopene in tomatoes and tomato products
- Fluorescence in the assessment of the share of a key component in the mixing of feed
- Sulfur application alleviates chromium stress in maize and wheat
- Effectiveness of removal of sulphur compounds from the air after 3 years of biofiltration with a mixture of compost soil, peat, coconut fibre and oak bark
- Special Issue on the 4th Green Chemistry 2018
- Study and fire test of banana fibre reinforced composites with flame retardance properties
- Special Issue on the International conference CosCI 2018
- Disintegration, In vitro Dissolution, and Drug Release Kinetics Profiles of k-Carrageenan-based Nutraceutical Hard-shell Capsules Containing Salicylamide
- Synthesis of amorphous aluminosilicate from impure Indonesian kaolin
- Special Issue on the International Conf on Science, Applied Science, Teaching and Education 2019
- Functionalization of Congo red dye as a light harvester on solar cell
- The effect of nitrite food preservatives added to se’i meat on the expression of wild-type p53 protein
- Biocompatibility and osteoconductivity of scaffold porous composite collagen–hydroxyapatite based coral for bone regeneration
- Special Issue on the Joint Science Congress of Materials and Polymers (ISCMP 2019)
- Effect of natural boron mineral use on the essential oil ratio and components of Musk Sage (Salvia sclarea L.)
- A theoretical and experimental study of the adsorptive removal of hexavalent chromium ions using graphene oxide as an adsorbent
- A study on the bacterial adhesion of Streptococcus mutans in various dental ceramics: In vitro study
- Corrosion study of copper in aqueous sulfuric acid solution in the presence of (2E,5E)-2,5-dibenzylidenecyclopentanone and (2E,5E)-bis[(4-dimethylamino)benzylidene]cyclopentanone: Experimental and theoretical study
- Special Issue on Chemistry Today for Tomorrow 2019
- Diabetes mellitus type 2: Exploratory data analysis based on clinical reading
- Multivariate analysis for the classification of copper–lead and copper–zinc glasses
- Special Issue on Advances in Chemistry and Polymers
- The spatial and temporal distribution of cationic and anionic radicals in early embryo implantation
- Special Issue on 3rd IC3PE 2020
- Magnetic iron oxide/clay nanocomposites for adsorption and catalytic oxidation in water treatment applications
- Special Issue on IC3PE 2018/2019 Conference
- Exergy analysis of conventional and hydrothermal liquefaction–esterification processes of microalgae for biodiesel production
- Advancing biodiesel production from microalgae Spirulina sp. by a simultaneous extraction–transesterification process using palm oil as a co-solvent of methanol
- Topical Issue on Applications of Mathematics in Chemistry
- Omega and the related counting polynomials of some chemical structures
- M-polynomial and topological indices of zigzag edge coronoid fused by starphene
Articles in the same Issue
- Regular Articles
- Electrochemical antioxidant screening and evaluation based on guanine and chitosan immobilized MoS2 nanosheet modified glassy carbon electrode (guanine/CS/MoS2/GCE)
- Kinetic models of the extraction of vanillic acid from pumpkin seeds
- On the maximum ABC index of bipartite graphs without pendent vertices
- Estimation of the total antioxidant potential in the meat samples using thin-layer chromatography
- Molecular dynamics simulation of sI methane hydrate under compression and tension
- Spatial distribution and potential ecological risk assessment of some trace elements in sediments and grey mangrove (Avicennia marina) along the Arabian Gulf coast, Saudi Arabia
- Amino-functionalized graphene oxide for Cr(VI), Cu(II), Pb(II) and Cd(II) removal from industrial wastewater
- Chemical composition and in vitro activity of Origanum vulgare L., Satureja hortensis L., Thymus serpyllum L. and Thymus vulgaris L. essential oils towards oral isolates of Candida albicans and Candida glabrata
- Effect of excess Fluoride consumption on Urine-Serum Fluorides, Dental state and Thyroid Hormones among children in “Talab Sarai” Punjab Pakistan
- Design, Synthesis and Characterization of Novel Isoxazole Tagged Indole Hybrid Compounds
- Comparison of kinetic and enzymatic properties of intracellular phosphoserine aminotransferases from alkaliphilic and neutralophilic bacteria
- Green Organic Solvent-Free Oxidation of Alkylarenes with tert-Butyl Hydroperoxide Catalyzed by Water-Soluble Copper Complex
- Ducrosia ismaelis Asch. essential oil: chemical composition profile and anticancer, antimicrobial and antioxidant potential assessment
- DFT calculations as an efficient tool for prediction of Raman and infra-red spectra and activities of newly synthesized cathinones
- Influence of Chemical Osmosis on Solute Transport and Fluid Velocity in Clay Soils
- A New fatty acid and some triterpenoids from propolis of Nkambe (North-West Region, Cameroon) and evaluation of the antiradical scavenging activity of their extracts
- Antiplasmodial Activity of Stigmastane Steroids from Dryobalanops oblongifolia Stem Bark
- Rapid identification of direct-acting pancreatic protectants from Cyclocarya paliurus leaves tea by the method of serum pharmacochemistry combined with target cell extraction
- Immobilization of Pseudomonas aeruginosa static biomass on eggshell powder for on-line preconcentration and determination of Cr (VI)
- Assessment of methyl 2-({[(4,6-dimethoxypyrimidin-2-yl)carbamoyl] sulfamoyl}methyl)benzoate through biotic and abiotic degradation modes
- Stability of natural polyphenol fisetin in eye drops Stability of fisetin in eye drops
- Production of a bioflocculant by using activated sludge and its application in Pb(II) removal from aqueous solution
- Molecular Properties of Carbon Crystal Cubic Structures
- Synthesis and characterization of calcium carbonate whisker from yellow phosphorus slag
- Study on the interaction between catechin and cholesterol by the density functional theory
- Analysis of some pharmaceuticals in the presence of their synthetic impurities by applying hybrid micelle liquid chromatography
- Two mixed-ligand coordination polymers based on 2,5-thiophenedicarboxylic acid and flexible N-donor ligands: the protective effect on periodontitis via reducing the release of IL-1β and TNF-α
- Incorporation of silver stearate nanoparticles in methacrylate polymeric monoliths for hemeprotein isolation
- Development of ultrasound-assisted dispersive solid-phase microextraction based on mesoporous carbon coated with silica@iron oxide nanocomposite for preconcentration of Te and Tl in natural water systems
- N,N′-Bis[2-hydroxynaphthylidene]/[2-methoxybenzylidene]amino]oxamides and their divalent manganese complexes: Isolation, spectral characterization, morphology, antibacterial and cytotoxicity against leukemia cells
- Determination of the content of selected trace elements in Polish commercial fruit juices and health risk assessment
- Diorganotin(iv) benzyldithiocarbamate complexes: synthesis, characterization, and thermal and cytotoxicity study
- Keratin 17 is induced in prurigo nodularis lesions
- Anticancer, antioxidant, and acute toxicity studies of a Saudi polyherbal formulation, PHF5
- LaCoO3 perovskite-type catalysts in syngas conversion
- Comparative studies of two vegetal extracts from Stokesia laevis and Geranium pratense: polyphenol profile, cytotoxic effect and antiproliferative activity
- Fragmentation pattern of certain isatin–indole antiproliferative conjugates with application to identify their in vitro metabolic profiles in rat liver microsomes by liquid chromatography tandem mass spectrometry
- Investigation of polyphenol profile, antioxidant activity and hepatoprotective potential of Aconogonon alpinum (All.) Schur roots
- Lead discovery of a guanidinyl tryptophan derivative on amyloid cascade inhibition
- Physicochemical evaluation of the fruit pulp of Opuntia spp growing in the Mediterranean area under hard climate conditions
- Electronic structural properties of amino/hydroxyl functionalized imidazolium-based bromide ionic liquids
- New Schiff bases of 2-(quinolin-8-yloxy)acetohydrazide and their Cu(ii), and Zn(ii) metal complexes: their in vitro antimicrobial potentials and in silico physicochemical and pharmacokinetics properties
- Treatment of adhesions after Achilles tendon injury using focused ultrasound with targeted bFGF plasmid-loaded cationic microbubbles
- Synthesis of orotic acid derivatives and their effects on stem cell proliferation
- Chirality of β2-agonists. An overview of pharmacological activity, stereoselective analysis, and synthesis
- Fe3O4@urea/HITh-SO3H as an efficient and reusable catalyst for the solvent-free synthesis of 7-aryl-8H-benzo[h]indeno[1,2-b]quinoline-8-one and indeno[2′,1′:5,6]pyrido[2,3-d]pyrimidine derivatives
- Adsorption kinetic characteristics of molybdenum in yellow-brown soil in response to pH and phosphate
- Enhancement of thermal properties of bio-based microcapsules intended for textile applications
- Exploring the effect of khat (Catha edulis) chewing on the pharmacokinetics of the antiplatelet drug clopidogrel in rats using the newly developed LC-MS/MS technique
- A green strategy for obtaining anthraquinones from Rheum tanguticum by subcritical water
- Cadmium (Cd) chloride affects the nutrient uptake and Cd-resistant bacterium reduces the adsorption of Cd in muskmelon plants
- Removal of H2S by vermicompost biofilter and analysis on bacterial community
- Structural cytotoxicity relationship of 2-phenoxy(thiomethyl)pyridotriazolopyrimidines: Quantum chemical calculations and statistical analysis
- A self-breaking supramolecular plugging system as lost circulation material in oilfield
- Synthesis, characterization, and pharmacological evaluation of thiourea derivatives
- Application of drug–metal ion interaction principle in conductometric determination of imatinib, sorafenib, gefitinib and bosutinib
- Synthesis and characterization of a novel chitosan-grafted-polyorthoethylaniline biocomposite and utilization for dye removal from water
- Optimisation of urine sample preparation for shotgun proteomics
- DFT investigations on arylsulphonyl pyrazole derivatives as potential ligands of selected kinases
- Treatment of Parkinson’s disease using focused ultrasound with GDNF retrovirus-loaded microbubbles to open the blood–brain barrier
- New derivatives of a natural nordentatin
- Fluorescence biomarkers of malignant melanoma detectable in urine
- Study of the remediation effects of passivation materials on Pb-contaminated soil
- Saliva proteomic analysis reveals possible biomarkers of renal cell carcinoma
- Withania frutescens: Chemical characterization, analgesic, anti-inflammatory, and healing activities
- Design, synthesis and pharmacological profile of (−)-verbenone hydrazones
- Synthesis of magnesium carbonate hydrate from natural talc
- Stability-indicating HPLC-DAD assay for simultaneous quantification of hydrocortisone 21 acetate, dexamethasone, and fluocinolone acetonide in cosmetics
- A novel lactose biosensor based on electrochemically synthesized 3,4-ethylenedioxythiophene/thiophene (EDOT/Th) copolymer
- Citrullus colocynthis (L.) Schrad: Chemical characterization, scavenging and cytotoxic activities
- Development and validation of a high performance liquid chromatography/diode array detection method for estrogen determination: Application to residual analysis in meat products
- PCSK9 concentrations in different stages of subclinical atherosclerosis and their relationship with inflammation
- Development of trace analysis for alkyl methanesulfonates in the delgocitinib drug substance using GC-FID and liquid–liquid extraction with ionic liquid
- Electrochemical evaluation of the antioxidant capacity of natural compounds on glassy carbon electrode modified with guanine-, polythionine-, and nitrogen-doped graphene
- A Dy(iii)–organic framework as a fluorescent probe for highly selective detection of picric acid and treatment activity on human lung cancer cells
- A Zn(ii)–organic cage with semirigid ligand for solvent-free cyanosilylation and inhibitory effect on ovarian cancer cell migration and invasion ability via regulating mi-RNA16 expression
- Polyphenol content and antioxidant activities of Prunus padus L. and Prunus serotina L. leaves: Electrochemical and spectrophotometric approach and their antimicrobial properties
- The combined use of GC, PDSC and FT-IR techniques to characterize fat extracted from commercial complete dry pet food for adult cats
- MALDI-TOF MS profiling in the discovery and identification of salivary proteomic patterns of temporomandibular joint disorders
- Concentrations of dioxins, furans and dioxin-like PCBs in natural animal feed additives
- Structure and some physicochemical and functional properties of water treated under ammonia with low-temperature low-pressure glow plasma of low frequency
- Mesoscale nanoparticles encapsulated with emodin for targeting antifibrosis in animal models
- Amine-functionalized magnetic activated carbon as an adsorbent for preconcentration and determination of acidic drugs in environmental water samples using HPLC-DAD
- Antioxidant activity as a response to cadmium pollution in three durum wheat genotypes differing in salt-tolerance
- A promising naphthoquinone [8-hydroxy-2-(2-thienylcarbonyl)naphtho[2,3-b]thiophene-4,9-dione] exerts anti-colorectal cancer activity through ferroptosis and inhibition of MAPK signaling pathway based on RNA sequencing
- Synthesis and efficacy of herbicidal ionic liquids with chlorsulfuron as the anion
- Effect of isovalent substitution on the crystal structure and properties of two-slab indates BaLa2−xSmxIn2O7
- Synthesis, spectral and thermo-kinetics explorations of Schiff-base derived metal complexes
- An improved reduction method for phase stability testing in the single-phase region
- Comparative analysis of chemical composition of some commercially important fishes with an emphasis on various Malaysian diets
- Development of a solventless stir bar sorptive extraction/thermal desorption large volume injection capillary gas chromatographic-mass spectrometric method for ultra-trace determination of pyrethroids pesticides in river and tap water samples
- A turbidity sensor development based on NL-PI observers: Experimental application to the control of a Sinaloa’s River Spirulina maxima cultivation
- Deep desulfurization of sintering flue gas in iron and steel works based on low-temperature oxidation
- Investigations of metallic elements and phenolics in Chinese medicinal plants
- Influence of site-classification approach on geochemical background values
- Effects of ageing on the surface characteristics and Cu(ii) adsorption behaviour of rice husk biochar in soil
- Adsorption and sugarcane-bagasse-derived activated carbon-based mitigation of 1-[2-(2-chloroethoxy)phenyl]sulfonyl-3-(4-methoxy-6-methyl-1,3,5-triazin-2-yl) urea-contaminated soils
- Antimicrobial and antifungal activities of bifunctional cooper(ii) complexes with non-steroidal anti-inflammatory drugs, flufenamic, mefenamic and tolfenamic acids and 1,10-phenanthroline
- Application of selenium and silicon to alleviate short-term drought stress in French marigold (Tagetes patula L.) as a model plant species
- Screening and analysis of xanthine oxidase inhibitors in jute leaves and their protective effects against hydrogen peroxide-induced oxidative stress in cells
- Synthesis and physicochemical studies of a series of mixed-ligand transition metal complexes and their molecular docking investigations against Coronavirus main protease
- A study of in vitro metabolism and cytotoxicity of mephedrone and methoxetamine in human and pig liver models using GC/MS and LC/MS analyses
- A new phenyl alkyl ester and a new combretin triterpene derivative from Combretum fragrans F. Hoffm (Combretaceae) and antiproliferative activity
- Erratum
- Erratum to: A one-step incubation ELISA kit for rapid determination of dibutyl phthalate in water, beverage and liquor
- Review Articles
- Sinoporphyrin sodium, a novel sensitizer for photodynamic and sonodynamic therapy
- Natural products isolated from Casimiroa
- Plant description, phytochemical constituents and bioactivities of Syzygium genus: A review
- Evaluation of elastomeric heat shielding materials as insulators for solid propellant rocket motors: A short review
- Special Issue on Applied Biochemistry and Biotechnology 2019
- An overview of Monascus fermentation processes for monacolin K production
- Study on online soft sensor method of total sugar content in chlorotetracycline fermentation tank
- Studies on the Anti-Gouty Arthritis and Anti-hyperuricemia Properties of Astilbin in Animal Models
- Effects of organic fertilizer on water use, photosynthetic characteristics, and fruit quality of pear jujube in northern Shaanxi
- Characteristics of the root exudate release system of typical plants in plateau lakeside wetland under phosphorus stress conditions
- Characterization of soil water by the means of hydrogen and oxygen isotope ratio at dry-wet season under different soil layers in the dry-hot valley of Jinsha River
- Composition and diurnal variation of floral scent emission in Rosa rugosa Thunb. and Tulipa gesneriana L.
- Preparation of a novel ginkgolide B niosomal composite drug
- The degradation, biodegradability and toxicity evaluation of sulfamethazine antibiotics by gamma radiation
- Special issue on Monitoring, Risk Assessment and Sustainable Management for the Exposure to Environmental Toxins
- Insight into the cadmium and zinc binding potential of humic acids derived from composts by EEM spectra combined with PARAFAC analysis
- Source apportionment of soil contamination based on multivariate receptor and robust geostatistics in a typical rural–urban area, Wuhan city, middle China
- Special Issue on 13th JCC 2018
- The Role of H2C2O4 and Na2CO3 as Precipitating Agents on The Physichochemical Properties and Photocatalytic Activity of Bismuth Oxide
- Preparation of magnetite-silica–cetyltrimethylammonium for phenol removal based on adsolubilization
- Topical Issue on Agriculture
- Size-dependent growth kinetics of struvite crystals in wastewater with calcium ions
- The effect of silica-calcite sedimentary rock contained in the chicken broiler diet on the overall quality of chicken muscles
- Physicochemical properties of selected herbicidal products containing nicosulfuron as an active ingredient
- Lycopene in tomatoes and tomato products
- Fluorescence in the assessment of the share of a key component in the mixing of feed
- Sulfur application alleviates chromium stress in maize and wheat
- Effectiveness of removal of sulphur compounds from the air after 3 years of biofiltration with a mixture of compost soil, peat, coconut fibre and oak bark
- Special Issue on the 4th Green Chemistry 2018
- Study and fire test of banana fibre reinforced composites with flame retardance properties
- Special Issue on the International conference CosCI 2018
- Disintegration, In vitro Dissolution, and Drug Release Kinetics Profiles of k-Carrageenan-based Nutraceutical Hard-shell Capsules Containing Salicylamide
- Synthesis of amorphous aluminosilicate from impure Indonesian kaolin
- Special Issue on the International Conf on Science, Applied Science, Teaching and Education 2019
- Functionalization of Congo red dye as a light harvester on solar cell
- The effect of nitrite food preservatives added to se’i meat on the expression of wild-type p53 protein
- Biocompatibility and osteoconductivity of scaffold porous composite collagen–hydroxyapatite based coral for bone regeneration
- Special Issue on the Joint Science Congress of Materials and Polymers (ISCMP 2019)
- Effect of natural boron mineral use on the essential oil ratio and components of Musk Sage (Salvia sclarea L.)
- A theoretical and experimental study of the adsorptive removal of hexavalent chromium ions using graphene oxide as an adsorbent
- A study on the bacterial adhesion of Streptococcus mutans in various dental ceramics: In vitro study
- Corrosion study of copper in aqueous sulfuric acid solution in the presence of (2E,5E)-2,5-dibenzylidenecyclopentanone and (2E,5E)-bis[(4-dimethylamino)benzylidene]cyclopentanone: Experimental and theoretical study
- Special Issue on Chemistry Today for Tomorrow 2019
- Diabetes mellitus type 2: Exploratory data analysis based on clinical reading
- Multivariate analysis for the classification of copper–lead and copper–zinc glasses
- Special Issue on Advances in Chemistry and Polymers
- The spatial and temporal distribution of cationic and anionic radicals in early embryo implantation
- Special Issue on 3rd IC3PE 2020
- Magnetic iron oxide/clay nanocomposites for adsorption and catalytic oxidation in water treatment applications
- Special Issue on IC3PE 2018/2019 Conference
- Exergy analysis of conventional and hydrothermal liquefaction–esterification processes of microalgae for biodiesel production
- Advancing biodiesel production from microalgae Spirulina sp. by a simultaneous extraction–transesterification process using palm oil as a co-solvent of methanol
- Topical Issue on Applications of Mathematics in Chemistry
- Omega and the related counting polynomials of some chemical structures
- M-polynomial and topological indices of zigzag edge coronoid fused by starphene