Abstract
This research aimed to describe the functions of vascular endothelial cells (VECs) in protecting target organs and the anti-atherosclerotic effects of different enantiomers of amlodipine on a rabbit model of atherosclerosis. Thirty male New Zealand white rabbits were randomly allocated to four groups (nA = 9, nB = 7, nC = 7, and nD = 7 rabbits): rabbits in group-A (control group) were fed a high-fat diet, group-B rabbits were fed a high-fat diet plus 2.5 mg/kg/day S-amlodipine, group-C rabbits were fed a high-fat diet plus 2.5 mg/kg/day R-amlodipine, and group-D rabbits were fed a high-fat diet plus 5 mg/kg/day racemic amlodipine. Different enantiomers of amlodipine did not influence lipid profiles and serum level of eNOS in the rabbit atherosclerosis model but decreased ET-1 expression to some extent. The serum NO and iNOS levels in the drug intervention groups were significantly reduced. No significant differences in the rabbits’ body weights were observed. At the 4th and 8th weeks, the serum lipid profiles significantly increased in high cholesterol diet groups. The serum ET-1 level was significantly increased in each group of rabbits at the 8th week. Both S-amlodipine and R-amlodipine may protect the endothelium by reducing the serum ET-1 level, downregulating iNOS expression.
1 Introduction
Calcium channel blockers (CCBs), also known as calcium antagonists (CA), constitute a category of hypotensive drugs widely applied in clinics for many years. CCBs are widely used to treat hypertension, chronic coronary ischemia, and/or supraventricular arrhythmias. Previous studies alluding to the increased cardiovascular risk associated with CCBs use have been silenced by an array of outcomes trials that show these drugs to be both safe and effective in reducing hard cardiovascular endpoints [1]. Furthermore, according to the 2007 European Society of Hypertension (ESH)/European Society of Cardiology (ESC) guidelines for the treatment of hypertension, CCBs have added beneficial anti-atherosclerotic effects on coronary and carotid vessels, independent of their abilities to reduce blood pressure [2].
Amlodipine, a long-acting dihydropyridine-type CCB, is a chiral compound composed of an S-enantiomer of amlodipine (S-amlodipine) and an R-enantiomer of amlodipine (R-amlodipine) in the same ratio. Amlodipine and l-amlodipine are common hypotensive drugs used in clinics in China. The activity of the S-enantiomer of amlodipine, which accounts for the primary cardiovascular activity, is 1,000-fold greater than the activity of R-amlodipine in reducing blood pressure [3]. In addition, according to basic research, amlodipine exerts a beneficial effect on atherosclerosis in animals. Clinical research studies, such as the classical PREVENT and CAMELOT studies, have shown that CCBs have an anti-atherosclerosis effect. Long-term treatment with CCBs may decrease the carotid intima-media thickness (IMT) in hypertensive patients and attenuate the progression of atherosclerosis [4,5]. Combination therapies of amlodipine with other agents causing blockade of the renin–angiotensin–aldosterone pathway (angiotensin II receptor blockers or renin inhibitors) have shown successful blood pressure reduction approaches to decrease the risk of CV and progression of renal disease. The new form of CCBs has been established that have additional properties of blocking calcium channel subtypes T and N and exert particular action on heart rate and renin aldosterone system apart from their class effects. Because of these additional features, they are considered to be more renoprotective [6].
In recent years, researchers have proposed that R-amlodipine may have the same anti-atherosclerosis effects as S-amlodipine, but only one in vitro study revealed that R-amlodipine induces the release of nitric oxide (NO) from the coronary artery in the canine species. Therefore, we speculate that R-amlodipine may function to retard the pathogenesis of atherosclerosis and protect target organs by regulating vascular endothelial function [7]. However, currently, there is a lack of studies that prove that R-amlodipine may function to retard the pathogenesis of atherosclerosis. Therefore, studies determining whether an essential difference exists between amlodipine and l-amlodipine in the protection of target organs will be very crucial. This study aims to describe the functions of vascular endothelial cells (VECs) in protecting target organs and the anti-atherosclerotic effects of different enantiomers of amlodipine on a rabbit model of atherosclerosis.
2 Materials and methods
2.1 Animals
Thirty male New Zealand white rabbits (parent generation, F0) (2.0 ± 0.3 kg) were obtained from the Laboratory Animal Center of Hebei Medical University. Rabbits were housed in an animal room in Hebei Provincial People’s Hospital and provided free access to rabbit chow and tap water.
-
Ethical approval: The research related to animal use has been complied with all the relevant national regulations and institutional policies for the care and use of animals. The research conforms with the Guide for the Care and Use of Laboratory Animals published by the US National Institutes of Health (NIH Publication No. 85-23, revised 1996). The study protocol was approved by the Animal Ethics Committee of Hebei Medical University (K2015-019-1).
2.2 Treatments
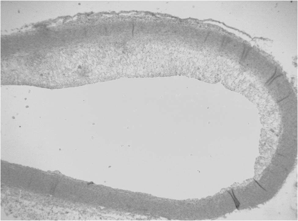
The rabbits were randomly allocated to four groups (nA = 9, nB = 7, nC = 7, and nD = 7 rabbits): rabbits in group A (control group) were fed a high-fat diet (containing 1% pure cholesterol and 1% edible lard), rabbits in group B were fed a high-fat diet plus 2.5 mg/kg/day S-amlodipine, rabbits in group C were fed a high-fat diet plus 2.5 mg/kg/day R-amlodipine, and rabbits in group D were fed a high-fat diet plus 5 mg/kg/day racemic amlodipine. Drugs were dissolved in distilled water and administered via a special gavage tube at 08:00 every morning. All rabbits were allowed a 1-week adaptation period before the study and were then fed the respective diet protocols for 8 weeks. One rabbit from group A was euthanized at each of the 4th and 8th week, and a 5 mm length of the distal aortic arch was removed. Aortas were fixed with formaldehyde for 24 h, embedded in paraffin, sliced into pathological sections, and stained with standard hematoxylin–eosin dyes (H&E). The pathological changes in the HE-stained specimens were observed under a light microscope. Models were confirmed to be successfully established by forming an atherosclerotic plaque (Figures 1 and 2).

Plaques from the control group were observed under a light microscope at the 4th week. The models were successfully established.

Plaques from the control group were observed under a light microscope at the 8th week. The models were successfully established.
2.3 Drugs
Amlodipine and S-amlodipine powders were provided by CSPC Ouyi Pharmaceutical Co., Ltd. (Shijiazhuang, Hebei, China). The R-amlodipine powder was provided by Shihuida Pharma Group (Jilin, China). The cholesterol powder was produced by Qitian Chemical Industry Co., Ltd. (Nanjing, Jiangsu, China). Edible lard was available in the market.
2.4 Measurement of lipid profiles and vasomotor factors
Total cholesterol (TC), low-density lipoprotein cholesterol (LDL-C), high-density lipoprotein cholesterol (HDL-C), and triglycerides (TG) were included in the lipid profiles in this study. Vasomotor factors, including NO, nitric oxide synthase (NOS), and endothelin-1 (ET-1), were also evaluated in this study. At weeks 0, 4, and 8, all animals were fasted for 12–14 h and blood was drawn from the ear vein to measure the lipid profiles and the vasomotor factors. Blood was allowed to stand for 1 hour before centrifugation at 3,000 rpm for 15 min, and the separated serum samples were then stored at −70°C until assay in batches.
2.5 Plasma lipoproteins and biochemical determinations
Blood was drawn in the nonfasting state with a 20-gauge Teflon catheter introduced into the central artery of the ear (Vasofix, B. Braun) into tubes containing disodium EDTA to a final concentration. TC, LDL-C, HDL-C, and TG levels were measured with an automatic biochemistry analyzer (HORIBA, pentra C400).
Plasma NO concentrations were measured using a Nitric Oxide Assay Kit (Nanjing Jiancheng Bioengineering Institute), as described in the study by Deng et al. [8]. Plasma NOS concentrations were measured using a Nitric Oxide Synthase Typed Assay Kit (Nanjing Jiancheng Bioengineering Institute), as described in the study by Deng et al. [8].
2.6 Plasma ET-1 levels
Plasma ET-1 levels were measured with a Rabbit Endothelin-1 ELISA Kit (Shanghai Mingjing Biology). Briefly, all reagents and samples were prepared. Then, 100 µL of a standard or a sample were added to each well, followed by a 2 h incubation at 37°C. The samples were aspirated, and 100 µL of the prepared Detection Reagent A was added and incubated for 1 h at 37°C. The samples were then aspirated, washed 3 times, and 100 µL of the prepared Detection Reagent B was added and incubated for 1 h at 37°C. The samples were again aspirated and washed 5 times. Then, 90 µL of the Substrate Solution was added and incubated for 15–25 min at 37°C. Finally, 50 µL of the Stop Solution was added, and the absorbance of the samples was immediately measured at 450 nm.
2.7 Statistical analysis
SPSS22.0 software for Windows was used for the statistical analysis. Data are presented as the mean ± standard deviation (SD) and were analyzed using one-way ANOVA when a normal distribution and the homogeneity of variance were satisfied. When the data were not normally distributed, the nonparametric Kruskal–Wallis test was used. Inter-group differences were assessed using the Student–Newman–Keuls (SNK) q test for comparisons between two groups. p-values <0.05 were considered statistically significant.
3 Results
3.1 Animals
Thirty male New Zealand white rabbits were adaptively fed for 1 week and all proceeded to the drug intervention stage. With the exception of the two rabbits from the control group that was euthanized at the 4th and 8th weeks, the remaining rabbits survived to the end of this experiment. No unexpected deaths occurred during the process of animal feeding.
3.2 Bodyweight
After 8 weeks of feeding on a high cholesterol diet, the body weights of each group of rabbits increased significantly. No significant differences in the rabbits’ body weights were observed among the 4 groups at baseline (p = 0.22), the 4th week (p = 0.31), or the 8th week (p = 0.34) (Table 1).
Average body weight of rabbits at baseline, the 4th week, and the 8th week
| Group | n | Baseline (kg) | 4th week (kg) | 8th week (kg) |
|---|---|---|---|---|
| A | 9/8/7 | 2.03 ± 0.17 | 3.12 ± 0.21 | 3.55 ± 0.30 |
| B | 7 | 2.08 ± 0.20 | 3.09 ± 0.27 | 3.62 ± 0.34 |
| C | 7 | 2.12 ± 0.21 | 3.13 ± 0.30 | 3.58 ± 0.28 |
| D | 7 | 2.06 ± 0.26 | 3.07 ± 0.31 | 3.51 ± 0.29 |
Note: Data are presented as mean ± SD. p < 0.05 was considered a significant difference. Group A = high-fat diet alone (control group), group B = high-fat diet plus 2.5 mg/kg/day S-amlodipine, group C = high-fat diet plus 2.5 mg/kg/day R-amlodipine, and group D = high-fat diet plus 5 mg/kg/day racemic amlodipine. p > 0.05 when the drug groups (groups B, C, and D) were compared with group A.
3.3 Serum lipid profiles
At the 4th and 8th weeks, the serum lipid profiles (TC, LDL-C, HDL-C, and TG) were significantly increased in the groups of rabbits that were fed the high cholesterol diets compared with the baseline values. A high cholesterol diet induced hypercholesterolemia in our rabbit model. However, statistically, significant differences were not observed between the groups at each feeding stage (Tables 2–4), indicating that the different enantiomers of amlodipine did not influence the lipid profiles (TC, LDL-C, HDL-C, and TG).
Effects of different enantiomers of amlodipine on serum TC, LDL-C, HDL-C, and TG levels in rabbits at baseline
| Group | n | TC (mmol/L) | LDL-C (mmol/L) | HDL-C (mmol/L) | TG (mmol/L) |
|---|---|---|---|---|---|
| A | 9 | 3.97 ± 0.45 | 1.03 ± 0.19 | 1.41 ± 0.41 | 0.77 ± 0.31 |
| B | 7 | 3.84 ± 0.61 | 1.02 ± 0.22 | 1.18 ± 0.24 | 0.68 ± 0.23 |
| C | 7 | 4.20 ± 0.99 | 1.11 ± 0.27 | 1.30 ± 0.39 | 0.74 ± 0.37 |
| D | 7 | 3.85 ± 0.75 | 1.08 ± 0.26 | 1.46 ± 0.61 | 0.84 ± 0.21 |
Data are presented as mean ± SD. p < 0.05 was considered a significant difference. Group A = high-fat diet alone (control group), group B = high-fat diet plus 2.5 mg/kg/day S-amlodipine, group C = high-fat diet plus 2.5 mg/kg/day R-amlodipine, and group D = high-fat diet plus 5 mg/kg/day racemic amlodipine. TC = total cholesterol, LDL-C = low-density lipoprotein cholesterol, HDL-C = high-density lipoprotein cholesterol, TG = triglyceride. p > 0.05 when the drug groups (group B, C, and D) were compared with group A.
Effects of different enantiomers of amlodipine on serum TC, LDL-C, HDL-C, and TG levels in rabbits at the 4th week
| Group | n | TC (mmol/L) | LDL-C (mmol/L) | HDL-C (mmol/L) | TG (mmol/L) |
|---|---|---|---|---|---|
| A | 8 | 11.97 ± 2.28 | 6.41 ± 0.93 | 3.66 ± 0.62 | 1.91 ± 0.34 |
| B | 7 | 11.14 ± 1.46 | 5.85 ± 1.39 | 2.64 ± 0.81 | 1.85 ± 0.43 |
| C | 7 | 10.71 ± 2.45 | 6.09 ± 1.58 | 3.70 ± 1.32 | 1.83 ± 0.22 |
| D | 7 | 11.64 ± 2.86 | 5.27 ± 0.79 | 2.91 ± 0.67 | 1.77 ± 0.47 |
Data are presented as mean ± SD. p < 0.05 was considered a significant difference. Group A = high-fat diet alone (control group), group B = high-fat diet plus 2.5 mg/kg/day S-amlodipine, group C = high-fat diet plus 2.5 mg/kg/day of R-amlodipine, and group D = high-fat diet plus 5 mg/kg/day racemic amlodipine. TC = total cholesterol, LDL-C = low-density lipoprotein cholesterol, HDL-C = high-density lipoprotein cholesterol, TG = triglyceride. p > 0.05 when the drug groups (group B, C, and D) were compared with group A.
Effects of different enantiomers of amlodipine on serum TC, LDL-C, HDL-C, and TG levels in rabbits at the 8th week
| Group | n | TC (mmol/L) | LDL-C (mmol/L) | HDL-C (mmol/L) | TG (mmol/L) |
|---|---|---|---|---|---|
| A | 7 | 15.23 ± 2.68 | 8.77 ± 1.86 | 4.91 ± 0.70 | 3.05 ± 0.28 |
| B | 7 | 13.66 ± 2.88 | 7.81 ± 1.69 | 3.82 ± 0.96 | 3.19 ± 0.60 |
| C | 7 | 14.04 ± 3.45 | 8.12 ± 1.27 | 4.12 ± 1.25 | 2.95 ± 0.61 |
| D | 7 | 14.75 ± 1.82 | 7.24 ± 1.57 | 4.54 ± 0.82 | 3.21 ± 0.56 |
Data are presented as mean ± SD. Differences of p < 0.05 were considered significant. Group A = high-fat diet alone (control group), group B = high-fat diet plus 2.5 mg/kg/day S-amlodipine, group C = high-fat diet plus 2.5 mg/kg/day R-amlodipine, and group D = high-fat diet plus 5 mg/kg/day racemic amlodipine. TC = total cholesterol, LDL-C = low-density lipoprotein cholesterol, HDL-C = high-density lipoprotein cholesterol, TG = triglyceride. p > 0.05 when the drug groups (groups B, C, and D) were compared with group A.
3.4 Serum vasomotor factors
3.4.1 Baseline levels of vasomotor factors
Significant differences in the serum levels of NO, ET-1, endothelial nitric oxide synthase (eNOS), or inducible nitric oxide synthase (iNOS) were not observed among the different groups of rabbits at baseline (p > 0.05) (Figures 3–6).

Effects of different enantiomers of amlodipine on the serum ET-1 levels in rabbits at baseline, the 4th week, and the 8th week. Data are presented as mean ± SD. p < 0.05 was considered a significant difference. Group A = high-fat diet alone (control group), group B = high-fat diet plus 2.5 mg/kg/day S-amlodipine, group C = high-fat diet plus 2.5 mg/kg/day R-amlodipine, and group D = high-fat diet plus 5 mg/kg/day racemic amlodipine. ET-1 = endothelin-1. * p > 0.05 compared with group A, # p < 0.01 compared with group A, and $ p < 0.01 compared with group B or C.

Effects of different enantiomers of amlodipine on serum iNOS levels in rabbits at baseline, the 4th week, and the 8th week. Data are presented as mean ± SD. p < 0.05 was considered a significant difference. Group A = high-fat diet alone (control group), group B = high-fat diet plus 2.5 mg/kg/day S-amlodipine, group C = high-fat diet plus 2.5 mg/kg/day R-amlodipine, and group D = high-fat diet plus 5 mg/kg/day racemic amlodipine. NO = nitric oxide. * p < 0.01, # p < 0.01, and $ p < 0.01 compared with group A.

Effects of different enantiomers of amlodipine on serum eNOS levels in rabbits at baseline, the 4th week, and the 8th week. Data are presented as mean ± SD. p < 0.05 was considered a significant difference. Group A = high-fat diet alone (control group), group B = high-fat diet plus 2.5 mg/kg/day S-amlodipine, group C = high-fat diet plus 2.5 mg/kg/day R-amlodipine, and group D = high-fat diet plus 5 mg/kg/day racemic amlodipine. iNOS = inducible nitric oxide synthase. * p < 0.01, # p < 0.01, and $ p < 0.01 compared with group A.

Effects of different enantiomers of amlodipine on serum NO levels in rabbits at baseline, the 4th week, and the 8th week. Data are presented as mean ± SD. p < 0.05 was considered a significant difference. Group A = high-fat diet alone (control group), group B = high-fat diet plus 2.5 mg/kg/day S-amlodipine, group C = high-fat diet plus 2.5 mg/kg/day R-amlodipine, and group D = high-fat diet plus 5 mg/kg/day racemic amlodipine. eNOS = endothelial nitric oxide synthase. * p > 0.05, # p > 0.05, and $ p > 0.05 compared with group A.
3.4.2 Levels of vasomotor factors at the 4th and 8th weeks
The serum ET-1 level was significantly increased in each group of rabbits at the 8th week. Serum ET-1 levels were lower in the drug intervention groups than in the control group at the 4th and 8th weeks. The serum ET-1 level was much lower in group D (5 mg/kg/day racemic amlodipine) than in group B (2.5 mg/kg/day S-amlodipine), or group C (2.5 mg/kg/day R-amlodipine) (p < 0.01). No significant differences were observed between groups B and C (p > 0.05) (Figure 3), indicating that different enantiomers of amlodipine downregulate ET-1 expression to some extent.
Serum levels of NO and iNOS: As time progressed, the serum levels of NO and iNOS obviously increased. Compared with the control group, NO levels in the drug intervention groups decreased significantly at the 4th and 8th weeks (p < 0.01). No significant differences in the serum levels of NO were observed among groups B, C, and D (p > 0.05) (Figure 4). The serum iNOS levels were significantly decreased in the drug intervention groups at the 4th and 8th weeks compared with those in the control group (p < 0.01). Moreover, the serum iNOS level in group D showed a decreasing trend compared with those in groups B and C. No significant differences in iNOS levels were observed among groups B, C, and D (p > 0.05) (Figure 5). Based on these results, S- and R-amlodipine may downregulate the expression of NO and iNOS.
Serum level of eNOS: The serum eNOS levels showed an increasing trend as the feeding time increased. However, statistically significant differences were not observed between the control group and the drug intervention groups at the 4th and 8th weeks (p > 0.05) (Figure 6), suggesting that the different enantiomers of amlodipine did not affect the serum eNOS levels in the rabbit atherosclerosis model.
4 Discussion
Due to their important roles in maintaining the physiological function of the human circulatory system, VECs are present throughout human tissues and are located in the epithelial lining of capacitance vessels, resistance vessels, and capillaries. In addition to serving as a mechanical barrier, VECs also represent an important paracrine organ. Endothelium vasoactive substances (VECs) secrete many vasoactive substances, such as NO, ET-1, thromboxane A-2 (TXA-2), angiotensin II (Ang II), and prostacyclin (PGI-2) [9,10,11]. The maintenance of vasomotor function, the regulation of angiogenesis and cell proliferation, inflammatory immune responses, alterations in vascular permeability, the balance between coagulation and fibrinolysis, and the suppression of the accumulation and adhesion of inflammatory cells all depend on neurohumoral regulation by VECs. NO and ET-1 are important vasoactive substances. The dynamic balance between these substances has an important role in maintaining the good physiological function of blood vessels. However, the imbalance may lead to vasomotor dysfunction, which is also closely related to hypertension [12,13]. Angiotensin-converting enzyme (ACE) expression ultimately leads to the constriction of vascular smooth muscle cells (VSMCs) by converting Ang I to Ang II, inducing the tyrosine phosphorylation of eNOS, reducing NO synthesis, and promoting ET-1 production [14]. ET-1 is similar to growth factors in some respects and promotes the formation of early atherosclerotic lesions by inducing the proliferation of arterial smooth muscle cells [15]. ET-1 levels contribute to the hypertensive atherosclerotic process and dramatically influence the risks of cardiovascular and cerebrovascular diseases [16,17]. The combination of antihypertensive therapy with the drugs amlodipine and lisinopril is highly effective in correcting endothelial dysfunction by increasing the NO level and decreasing the ET-1 level in hypertensive patients with type 2 diabetes mellitus (T2DM) [18]. In addition, the ET-1 level is a valuable independent predictor of coronary artery calcification (CAC), which is considered one of the important predictors of atherosclerosis [19]. Conversely, NO exerts anti-atherosclerosis effects through various mechanisms, such as inhibiting adhesion between endothelial cells and monocytes [20]. Amlodipine treatments may ameliorate endothelial dysfunction through their antioxidant activity and improve NO availability in spontaneously hypertensive rats [21]. VECs constitute the target organ of cardiovascular diseases and risk factors. Vascular endothelial dysfunction is closely related to the development of diseases and unhealthy lifestyles. Based on the current basic and clinical research, vascular endothelial dysfunction may be one of the most important initial steps in atherosclerosis [22].
The formation of atherosclerotic plaques is very complicated. Many factors, such as blood vessel cells, the extracellular matrix, blood components, hemodynamics, the in vivo environment, and hereditary factors, are related to atherosclerosis. In addition, large arteries, including the coronary artery, the cerebral artery, the renal artery, and the lower extremity artery, are often involved in atherosclerosis, but arterioles are rarely eroded. Decreased levels of NO and eNOS are often observed in patients with hypertension, indicating that endothelial dysfunction (ED) and hypertension often co-exist [23]. CCBs have been shown to inhibit the formation of atherosclerotic plaques independent of their hypotensive effect. According to the results of the INSIGHT study, nifedipine not only delays the progression of CAC but also can reverse the thickening of the carotid artery intima-media [24]. Lacidipine exerted better effects than atenolol on attenuating carotid artery intima-media thickness in the ELSA study [25]. Nifedipine was recently shown to prevent endothelial cell senescence in an eNOS-dependent manner, potentially representing a novel mechanism by which this drug protects against atherosclerosis [26]. Amlodipine is a long-acting dihydropyridine-type CCB and is a racemic mixture of S-amlodipine and R-amlodipine. Amlodipine inhibits Ang II-induced aortic aneurysms and atherosclerosis in hypercholesterolemic mice [27]. Amlodipine increases NO release by modulating the eNOS/Caveolin-1 interaction [28]. Combined treatment with angiotensin receptor blockers (ARBs) and amlodipine markedly prevent atherosclerotic lesion development and progression in a model of atherosclerosis [29,30]. In addition to its primary effect on blood pressure, amlodipine delays the progression of atherosclerosis, but the mechanism underlying this additional effect remains unclear. According to the results of an in vitro study of canine species, R-amlodipine increases NO release [31]. The anti-atherosclerotic effect of amlodipine is presumed to benefit from the R-enantiomer by stimulating NO generation.
Dyslipidemia is generally increased LDL-C or TG levels or decreased HDL-C levels in serum. Because it injures endothelial cells, dyslipidemia is an important risk factor for atherosclerosis. Serum lipids are components of atherosclerosis because they deposit on vessel walls through several pathways. The accumulation of excess levels of these lipids will lead to lipid plaque formation, which is called atherosclerosis. Low-density lipoprotein (LDL) is a carrier that delivers cholesterol from the liver to all body tissues. As shown in the study by Ogasswara et al., serum LDL levels are associated with atherosclerosis and coronary artery disease (CAD) [32]. LDL increases platelet activity, promoting the progression of atherosclerosis [33]. High-density lipoprotein (HDL) has a role in reverse cholesterol transport, carrying cholesterol from peripheral tissues back to the liver via the scavenger receptor β-1. Accordingly, this transport may protect the cardiovascular system [34]. HDL elicits a broad spectrum of biological responses, such as improving endothelial function, increasing NO and prostacyclin release, and inhibiting platelet aggregation and apoptosis [35]. Moreover, HDL/LDL has an advantage over LDL alone [36,37]. Besides, according to the results of the PROCAM study, hypertriglyceridemia is an independent risk factor for CAD [38]. Increased TG levels and decreased HDL-C levels reflect the primary dyslipidemia phenotype, which is an element in the residual risk of vascular events in patients with cardiovascular disease [39].
Different enantiomers of amlodipine had no effect on lipid profiles (TC, LDL-C, HDL-C, and TG) in the experimental groups compared with those in the control group at weeks 0, 4, and 8. In theory, amlodipine is a hypotensive drug but not a lipid-lowering agent. However, the short feeding time and very high serum lipid levels may have distorted the test outcomes and even led to false-negative results. Nevertheless, in this study, the serum lipid levels of each group were at an equivalent level.
VECs play an important role in human physiological functions, and normal vascular endothelial function is vitally important in preventing cardiovascular disease. ED is one of the key steps in the formation of early atherosclerotic lesions. VECs secrete vasoactive factors that regulate vasomotor function at the physiological level and conditions that upset this balance may cause vascular ED. NO is produced from l-arginine, which is catalyzed to l-citrulline by eNOS [40]. Vasodilation dysfunction is a primary cause of ED and is induced by the decreased synthesis and release of NO [41]. The pro-inflammatory state generated by dyslipidemia, which decreases NOS and NO production, produces ED [42]. ET-1 is a powerful endothelium-derived contracting factor (EDCF) secreted by VECs that induces VSMC contraction by stimulating the calcium channel and accelerating Ca2+ exchange. Conditions that interrupt the dynamic equilibrium between ET-1 and NO in serum may also cause ED. A decrease in NO bioactivity may cause a relative increase in ET-1 levels, leading to vascular remodeling, vasoconstriction, and dysfunction [43]. Furthermore, an ET-1 receptor antagonist was shown to improve the vascular endothelial function of a patient with coronary heart disease (CHD), confirming that ET-1 plays an important role in ED and the development of atherosclerosis in the early stage to some extent [44]. Three different NOS isoforms have been identified in mammals, including eNOS, neuronal nitric oxide synthase (nNOS), and iNOS. Both eNOS and nNOS are constitutive nitric oxide synthases (cNOS). As nNOS is primarily expressed in the nervous system, our research does not cover this isoform. eNOS is often synthesized by the vascular endothelium and exerts important anti-atherosclerosis effects through multiple pathways by promoting the catalytic synthesis of NO. Serum eNOS contributes to the regulation of blood pressure and nitrite homeostasis [45]. iNOS is mainly expressed in macrophages, mastocytes, and neutrophils. It is not expressed in resting cells but is more frequently expressed in cells stimulated with endotoxins, neurokines, and immunity-inducing substances. This reaction causes a sequence of pathological effects by producing large amounts of NO. Upregulation of iNOS produces additional NO and promotes nitrosative stress and ED. The abnormal iNOS activity increases arginase activity and competes with eNOS for l-arginine, thus resulting in the reduced bioavailability of physiological NO [46]. A selective iNOS inhibitor has been shown to delay the progression of atherosclerosis by reducing the production of pathological NO [47].
As feeding time increased, the serum ET-1 level increased significantly. This phenomenon may be related to severe atherosclerosis and endothelial dysfunction in rabbits fed with a high-fat diet. The serum ET-1 level was lower in the experimental groups than in the control group at the 4th and 8th weeks, and the serum level in group D was much lower than the levels observed in groups B and C. The antihypertensive effect of amlodipine mainly results from its S-enantiomer. Groups B and D received the same dose of S-amlodipine in the daily feed, which may have theoretically caused a similar decrease in blood pressure in these groups. Based on the results of our study, different enantiomers of amlodipine decrease ET-1 expression to some extent, but the results from groups B and D may be affected by changes in blood pressure, suggesting that the hypotensive effect of S-amlodipine may lead to positive results. Group C also displayed positive results, and group D exhibited a larger decrease in ET-1 levels than group B. In some sense, R-amlodipine indeed decreased ET-1 expression when it did not cause changes in blood pressure usually.
As time progressed, the serum NO and iNOS levels increased substantially. The same reason for the increase of ET-1 level, the pathological process may lead to iNOS activation and a large number of pathological NO release. Compared with the control group, the levels of NO in the drug intervention groups were significantly decreased at the 4th and 8th weeks. However, significant differences were not observed among groups B, C, and D. The serum iNOS levels in the drug intervention groups were significantly reduced. Moreover, group D showed a continuous decreasing trend compared with groups B and C. However, significant differences were not observed among groups B, C, and D. This may be due to the small sample size of the study. If the sample size increases, it may show a statistical difference. Thus, S- and R-amlodipine may decrease NO and iNOS expression. The serum eNOS levels exhibited a gradually increasing tendency as the feeding time increased, but statistically, differences were not observed between the control group and the drug intervention groups. The serum level of eNOS in the drug intervention groups showed an increasing trend compared with the control group. It may be due to that a decrease of serum ET-1 level in drug intervention groups may promote eNOS expression. Different enantiomers of amlodipine had no effect on the level of eNOS in the rabbit atherosclerosis model in this study but may have reduced ET-1 and iNOS expression and inhibited NO release.
In conclusion, different enantiomers of amlodipine protect the endothelium by reducing the serum ET-1 level, down-regulating iNOS expression, and inhibiting the release of pathological NO.
5 Conclusions
Different enantiomers of amlodipine had no effect on lipid profiles (TC, LDL-C, HDL-C, and TG) in the rabbit atherosclerosis model.
S-amlodipine and R-amlodipine may protect the endothelium by reducing the serum ET-1 level, downregulating iNOS expression, and inhibiting the release of pathological NO. The enantiomers may exert an anti-atherosclerosis effect. Our study also found that enantiomers of amlodipine had no effect on eNOS expression in the rabbit atherosclerosis model.
There is some limitation to this study. Severe atherosclerosis may lead to the activation of iNOS and the release of excess pathological NO, which exerts the complete opposite biological functions to physiological NO [38]. The atherosclerotic lesion is very serious in our model; therefore, the effects of the excess pathological NO may be far greater than the effects of physiological NO. We did not distinguish these two kinds of NO, and thus the amount of pathological NO may have concealed the variation in pathological NO in this research. Further studies are required to study this effect in a larger animal model. Theoretically, amlodipine is a hypotensive drug, but not a lipid-lowering agent. However, the short feeding time and very high serum lipid levels may have distorted the test outcomes and even led to false-negative results. However, in this study, the serum lipid levels of each group were at an equivalent level. This effect needs to be elaborated further in vitro and in vivo.
Acknowledgments
I would like to express my gratitude to all those who have helped me during the writing of this thesis. I am greatly indebted to my supervisor, Professor Yifang Guo, for his valuable instructions, suggestions, and encouragement on my thesis as well as his careful reading of the manuscript. Also, I feel grateful to all the teachers at the Hebei Medical University who helped me during my study. Finally, my gratitude also extends to my family who has been assisting, supporting, and caring for me all of my life.
-
Funding information: The authors state no funding involved.
-
Conflict of interest: The authors state no conflict of interest.
-
Data availability statement: The datasets generated during and/or analyzed during the current study are available from the corresponding author on reasonable request.
References
[1] Sica DA. Pharmacotherapy review: calcium channel blockers. J Clin Hypertens (Greenwich). 2006;8(1):53–6.10.1111/j.1524-6175.2005.04140.xSearch in Google Scholar PubMed PubMed Central
[2] Mancia G, De Backer G, Dominiczak A, Cifkova R, Fagard R, Germano G, et al. Guidelines for the management of arterial hypertension: the task force for the management of arterial hypertension of the european society of hypertension (ESH) and of the European society of cardiology (ESC). Eur Heart J. 2007;28(12):1462–536.10.1093/eurheartj/ehm236Search in Google Scholar PubMed
[3] Zhang X-P, Loke KE, Mital S, Chahwala S, Hintze TH. Paradoxical release of nitric oxide by an l-type calcium channel antagonist, the R+ enantiomer of amlodipine. J Cardiovasc Pharmacol. 2002;39(2):208–14.10.1097/00005344-200202000-00007Search in Google Scholar PubMed
[4] Pitt B, Byington RP, Furberg CD, Hunninghake DB, Mancini GB, Miller ME, et al. Effect of amlodipine on the progression of atherosclerosis and the occurrence of clinical events. Circulation. 2000;102(13):1503–10.10.1161/01.CIR.102.13.1503Search in Google Scholar PubMed
[5] Nissen SE, Tuzcu EM, Libby P, Thompson PD, Ghali M, Garza D, et al. Effect of antihypertensive agents on cardiovascular events in patients with coronary disease and normal blood pressure: the CAMELOT study: a randomized controlled trial. JAMA. 2004;292(18):2217–25.10.1001/jama.292.18.2217Search in Google Scholar PubMed
[6] Tiwaskar M, Langote A, Kashyap R, Toppo A. Amlodipine in the Era of new generation calcium channel blockers. J Assoc Phys India. 2018;66(3):64–9.Search in Google Scholar
[7] Kuruvilla ME, Sanan N. Amlodipine-induced angioedema: an unusual complication of a common medication. Allergy Rhinol (Providence). 2018;9:2152656718764139.10.1177/2152656718764139Search in Google Scholar PubMed PubMed Central
[8] Deng X, Wu F, Liu Z, Luo M, Li L, Ni Q, et al. The splenic toxicity of water soluble multi-walled carbon nanotubes in mice. Carbon. 2009;47(6):1421–8.10.1016/j.carbon.2008.12.032Search in Google Scholar
[9] Gryglewski RJ, Dembínska-Kieć A, Korbut R. A possible role of thromboxane A2 (TXA2) and prostacyclin (PGI2) in circulation. Acta Biol Med Ger. 1978;37(5–6):715–23.Search in Google Scholar
[10] Majed BH, Khalil RA. Molecular mechanisms regulating the vascular prostacyclin pathways and their adaptation during pregnancy and in the newborn. Pharmacol Rev. 2012;64(3):540–82.10.1124/pr.111.004770Search in Google Scholar PubMed PubMed Central
[11] Francois H, Athirakul K, Mao L, Rockman H, Coffman TM. Role for thromboxane receptors in angiotensin-II–induced hypertension. Hypertension. 2004;43(2):364–9.10.1161/01.HYP.0000112225.27560.24Search in Google Scholar PubMed
[12] Tang EHC, Vanhoutte PM. Endothelial dysfunction: a strategic target in the treatment of hypertension? Pflügers Archiv-Eur J Physiol. 2010;459(6):995–1004.10.1007/s00424-010-0786-4Search in Google Scholar PubMed
[13] Kawanabe Y, Nauli SM. Endothelin. Cell Mol Life Sci. 2011;68(2):195–203.10.1007/s00018-010-0518-0Search in Google Scholar PubMed PubMed Central
[14] Loot AE, Schreiber JG, Fisslthaler B, Fleming I. Angiotensin II impairs endothelial function via tyrosine phosphorylation of the endothelial nitric oxide synthase. J Exp Med. 2009;206(13):2889–96.10.1084/jem.20090449Search in Google Scholar PubMed PubMed Central
[15] Thorin E, Webb DJ. Endothelium-derived endothelin-1. Pflügers Archiv-Eur J Physiol. 2010;459(6):951–8.10.1007/s00424-009-0763-ySearch in Google Scholar PubMed PubMed Central
[16] Novo G, Sansone A, Rizzo M, Guarneri FP, Pernice C, Novo S. High plasma levels of endothelin-1 enhance the predictive value of preclinical atherosclerosis for future cerebrovascular and cardiovascular events: a 20-year prospective study. J Cardiovasc Med. 2014;15(9):696–701.10.2459/JCM.0000000000000121Search in Google Scholar PubMed
[17] Lin Y-J, Juan CC, Kwok CF, Hsu YP, Shih KC, Chen CC, et al. Endothelin-1 exacerbates development of hypertension and atherosclerosis in modest insulin resistant syndrome. Biochem Biophys Res Commun. 2015;460(3):497–503.10.1016/j.bbrc.2015.03.017Search in Google Scholar PubMed
[18] Liang Y, Wang J, Gao H, Wang Q, Zhang J, Qiu J. Beneficial effects of grape seed proanthocyanidin extract on arterial remodeling in spontaneously hypertensive rats via protecting against oxidative stress. Mol Med Rep. 2016;14(4):3711–8.10.3892/mmr.2016.5699Search in Google Scholar PubMed
[19] Qing P, Li XL, Zhang Y, Li YL, Xu RX, Guo YL, et al. Association of big endothelin-1 with coronary artery calcification. PLoS One. 2015;10(11):e0142458.10.1371/journal.pone.0142458Search in Google Scholar PubMed PubMed Central
[20] Gkaliagkousi E, Ferro A. Nitric oxide signalling in the regulation of cardiovascular and platelet function. Front Biosci. 2011;16(1):1873–97.10.2741/3828Search in Google Scholar PubMed
[21] He X, Zhang HL, Zhao M, Yang JL, Cheng G, Sun L, et al. Amlodipine ameliorates endothelial dysfunction in mesenteric arteries from spontaneously hypertensive rats. Clin Exp Pharmacol Physiol. 2011;38(4):255–61.10.1111/j.1440-1681.2011.05495.xSearch in Google Scholar PubMed
[22] Tesauro M, Cardillo C. Obesity, blood vessels and metabolic syndrome. Acta Physiol. 2011;203(1):279–86.10.1111/j.1748-1716.2011.02290.xSearch in Google Scholar PubMed
[23] Cengiz M, Yavuzer S, Kılıçkıran Avcı B, Yürüyen M, Yavuzer H, Dikici SA, et al. Circulating miR-21 and eNOS in subclinical atherosclerosis in patients with hypertension. Clin Exp Hypertens. 2015;37(8):643–9.10.3109/10641963.2015.1036064Search in Google Scholar PubMed
[24] Mancia G, Brown M, Castaigne A, de Leeuw P, Palmer CR, Rosenthal T, et al. Outcomes with nifedipine GITS or Co-amilozide in hypertensive diabetics and nondiabetics in Intervention as a Goal in Hypertension (INSIGHT). Hypertension. 2003;41(3):431–6.10.1161/01.HYP.0000057420.27692.ADSearch in Google Scholar PubMed
[25] Zanchetti A, Bond MG, Hennig M, Neiss A, Mancia G, Dal Palù C, et al. Calcium antagonist lacidipine slows down progression of asymptomatic carotid atherosclerosis: principal results of the European lacidipine study on atherosclerosis (ELSA), a randomized, double-blind, long-term trial. Circulation. 2002;106(19):2422–7.10.1161/01.CIR.0000039288.86470.DDSearch in Google Scholar PubMed
[26] Hayashi T, Yamaguchi T, Sakakibara Y, Taguchi K, Maeda M, Kuzuya M, et al. eNOS-dependent antisenscence effect of a calcium channel blocker in human endothelial cells. PLoS One. 2014;9(2):e88391.10.1371/journal.pone.0088391Search in Google Scholar PubMed PubMed Central
[27] Chen X, Rateri DL, Howatt DA, Balakrishnan A, Moorleghen JJ, Morris AJ, et al. Amlodipine reduces AngII-induced aortic aneurysms and atherosclerosis in hypercholesterolemic mice. PLoS One. 2013;8(11):e81743.10.1371/journal.pone.0081743Search in Google Scholar PubMed PubMed Central
[28] Sharma A, Trane A, Yu C, Jasmin JF, Bernatchez P. Amlodipine increases endothelial nitric oxide release by modulating binding of native eNOS protein complex to caveolin-1. Eur J Pharmacol. 2011;659(2–3):206–12.10.1016/j.ejphar.2011.03.028Search in Google Scholar PubMed
[29] Uchida T, Furuno Y, Tanimoto A, Toyohira Y, Arakaki K, Kina-Tanada M, et al. Development of an experimentally useful model of acute myocardial infarction: 2/3 nephrectomized triple nitric oxide synthases-deficient mouse. J Mol Cell Cardiol. 2014;77:29–41.10.1016/j.yjmcc.2014.09.021Search in Google Scholar PubMed
[30] Sievers P, Uhlmann L, Korkmaz-Icöz S, Fastner C, Bea F, Blessing E, et al. Combined treatment with olmesartan medoxomil and amlodipine besylate attenuates atherosclerotic lesion progression in a model of advanced atherosclerosis. Drug Design Dev Ther. 2015;9:3935–42.10.2147/DDDT.S85203Search in Google Scholar PubMed PubMed Central
[31] Mason RP, Marche P, Hintze TH. Novel vascular biology of third-generation l-type calcium channel antagonists: ancillary actions of amlodipine. Arterioscler Thromb Vasc Biol. 2003;23(12):2155–63.10.1161/01.ATV.0000097770.66965.2ASearch in Google Scholar PubMed
[32] Ogasawara K, Mashiba S, Hashimoto H, Kojima S, Matsuno S, Takeya M, et al. Low-density lipoprotein (LDL), which includes apolipoprotein AI (apoAI-LDL) as a novel marker of coronary artery disease. Clin Chim Acta. 2008;397(1–2):42–7.10.1016/j.cca.2008.07.014Search in Google Scholar PubMed
[33] Angiolillo DJ, Capranzano P, Desai B, Shoemaker SB, Charlton R, Zenni MM, et al. Impact of P2Y12 inhibitory effects induced by clopidogrel on platelet procoagulant activity in type 2 diabetes mellitus patients. Thromb Res. 2009;124(3):318–22.10.1016/j.thromres.2008.10.001Search in Google Scholar PubMed
[34] Rader DJ. Molecular regulation of HDL metabolism and function: implications for novel therapies. J Clin Investig. 2006;116(12):3090–100.10.1172/JCI30163Search in Google Scholar PubMed PubMed Central
[35] Argraves KM, Argraves WS. HDL serves as a S1P signaling platform mediating a multitude of cardiovascular effects. J Lipid Res. 2007;48(11):2325–33.10.1194/jlr.R700011-JLR200Search in Google Scholar PubMed
[36] Mghaieth F, Mizouni H, Mbarki S, Ayari J, Trabelsi R, Moussa NB, et al. Acute myocardial infarction in a patient with hypofibrinogenemia: a case report. J Med Case Rep. 2011;5(1):1–5.10.1186/1752-1947-5-582Search in Google Scholar PubMed PubMed Central
[37] Mirzaii-Dizgah I, Riahi E. Serum and saliva levels of cathepsin L in patients with acute coronary syndrome. J Contemp Dent Pract. 2011;12(2):114–9.10.5005/jp-journals-10024-1019Search in Google Scholar PubMed
[38] Assmann G, Schulte H, Seedorf U. Cardiovascular risk assessment in the metabolic syndrome: results from the prospective cardiovascular munster (PROCAM) study. Int J Obes. 2008;32(2):S11–6.10.1038/ijo.2008.29Search in Google Scholar PubMed
[39] Fruchart J-C, Sacks F, Hermans MP, Assmann G, Brown WV, Ceska R, et al. The residual risk reduction initiative: a call to action to reduce residual vascular risk in patients with dyslipidemia. Am J Cardiol. 2008;102(10):1–34K.10.1016/j.amjcard.2008.10.002Search in Google Scholar
[40] Zhao Y, Vanhoutte PM, Leung SWS. Vascular nitric oxide: beyond eNOS. J Pharmacol Sci. 2015;129(2):83–94.10.1016/j.jphs.2015.09.002Search in Google Scholar PubMed
[41] Higashi Y, Noma K, Yoshizumi M, Kihara Y. Endothelial function and oxidative stress in cardiovascular diseases. Circ J. 2009;73(3):411–8.10.1253/circj.CJ-08-1102Search in Google Scholar PubMed
[42] Cavieres V, Valdes K, Moreno B, Moore-Carrasco R, Gonzalez DR. Vascular hypercontractility and endothelial dysfunction before development of atherosclerosis in moderate dyslipidemia: role for nitric oxide and interleukin-6. Am J Cardiovasc Dis. 2014;4(3):114–22.Search in Google Scholar
[43] Bourque SL, Davidge ST, Adams MA. The interaction between endothelin-1 and nitric oxide in the vasculature: new perspectives. Am J Physiol Regul Integr Comp Physiol. 2011;300(6):R1288–95.10.1152/ajpregu.00397.2010Search in Google Scholar PubMed
[44] Martin RK, Raichlin E, Prasad A, Mathew V, Lennon R, Rihal C, et al. Long term endothelin receptor antagonist improves coronary endothelial function in patients with early atherosclerosis. J Am Coll Cardiol. 2010;55(10S):A158–E1480.10.1016/S0735-1097(10)61481-7Search in Google Scholar
[45] Wood KC, Cortese-Krott MM, Kovacic JC, Noguchi A, Liu VB, Wang X, et al. Circulating blood endothelial nitric oxide synthase contributes to the regulation of systemic blood pressure and nitrite homeostasis. Arterioscler Thromb Vasc Biol. 2013;33(8):1861–71.10.1161/ATVBAHA.112.301068Search in Google Scholar PubMed PubMed Central
[46] Oliveira-Paula H, Lacchini GR, Tanus-Santos JE. Inducible nitric oxide synthase as a possible target in hypertension. Curr Drug Targets. 2014;15(2):164–74.10.2174/13894501113146660227Search in Google Scholar PubMed
[47] Cai X-j, Li CJ, Chen L, Rong YY, Zhang Y, Zhang M. A hypothesis: adiponectin mediates anti-atherosclerosis via adventitia-AMPK-iNOS pathway. Med Hypotheses. 2008;70(5):1044–7.10.1016/j.mehy.2007.08.012Search in Google Scholar PubMed
© 2021 Jing Zhang et al., published by De Gruyter
This work is licensed under the Creative Commons Attribution 4.0 International License.
Articles in the same Issue
- Biomedical Sciences
- Research progress on the mechanism of orexin in pain regulation in different brain regions
- Adriamycin-resistant cells are significantly less fit than adriamycin-sensitive cells in cervical cancer
- Exogenous spermidine affects polyamine metabolism in the mouse hypothalamus
- Iris metastasis of diffuse large B-cell lymphoma misdiagnosed as primary angle-closure glaucoma: A case report and review of the literature
- LncRNA PVT1 promotes cervical cancer progression by sponging miR-503 to upregulate ARL2 expression
- Two new inflammatory markers related to the CURB-65 score for disease severity in patients with community-acquired pneumonia: The hypersensitive C-reactive protein to albumin ratio and fibrinogen to albumin ratio
- Circ_0091579 enhances the malignancy of hepatocellular carcinoma via miR-1287/PDK2 axis
- Silencing XIST mitigated lipopolysaccharide (LPS)-induced inflammatory injury in human lung fibroblast WI-38 cells through modulating miR-30b-5p/CCL16 axis and TLR4/NF-κB signaling pathway
- Protocatechuic acid attenuates cerebral aneurysm formation and progression by inhibiting TNF-alpha/Nrf-2/NF-kB-mediated inflammatory mechanisms in experimental rats
- ABCB1 polymorphism in clopidogrel-treated Montenegrin patients
- Metabolic profiling of fatty acids in Tripterygium wilfordii multiglucoside- and triptolide-induced liver-injured rats
- miR-338-3p inhibits cell growth, invasion, and EMT process in neuroblastoma through targeting MMP-2
- Verification of neuroprotective effects of alpha-lipoic acid on chronic neuropathic pain in a chronic constriction injury rat model
- Circ_WWC3 overexpression decelerates the progression of osteosarcoma by regulating miR-421/PDE7B axis
- Knockdown of TUG1 rescues cardiomyocyte hypertrophy through targeting the miR-497/MEF2C axis
- MiR-146b-3p protects against AR42J cell injury in cerulein-induced acute pancreatitis model through targeting Anxa2
- miR-299-3p suppresses cell progression and induces apoptosis by downregulating PAX3 in gastric cancer
- Diabetes and COVID-19
- Discovery of novel potential KIT inhibitors for the treatment of gastrointestinal stromal tumor
- TEAD4 is a novel independent predictor of prognosis in LGG patients with IDH mutation
- circTLK1 facilitates the proliferation and metastasis of renal cell carcinoma by regulating miR-495-3p/CBL axis
- microRNA-9-5p protects liver sinusoidal endothelial cell against oxygen glucose deprivation/reperfusion injury
- Long noncoding RNA TUG1 regulates degradation of chondrocyte extracellular matrix via miR-320c/MMP-13 axis in osteoarthritis
- Duodenal adenocarcinoma with skin metastasis as initial manifestation: A case report
- Effects of Loofah cylindrica extract on learning and memory ability, brain tissue morphology, and immune function of aging mice
- Recombinant Bacteroides fragilis enterotoxin-1 (rBFT-1) promotes proliferation of colorectal cancer via CCL3-related molecular pathways
- Blocking circ_UBR4 suppressed proliferation, migration, and cell cycle progression of human vascular smooth muscle cells in atherosclerosis
- Gene therapy in PIDs, hemoglobin, ocular, neurodegenerative, and hemophilia B disorders
- Downregulation of circ_0037655 impedes glioma formation and metastasis via the regulation of miR-1229-3p/ITGB8 axis
- Vitamin D deficiency and cardiovascular risk in type 2 diabetes population
- Circ_0013359 facilitates the tumorigenicity of melanoma by regulating miR-136-5p/RAB9A axis
- Mechanisms of circular RNA circ_0066147 on pancreatic cancer progression
- lncRNA myocardial infarction-associated transcript (MIAT) knockdown alleviates LPS-induced chondrocytes inflammatory injury via regulating miR-488-3p/sex determining region Y-related HMG-box 11 (SOX11) axis
- Identification of circRNA circ-CSPP1 as a potent driver of colorectal cancer by directly targeting the miR-431/LASP1 axis
- Hyperhomocysteinemia exacerbates ischemia-reperfusion injury-induced acute kidney injury by mediating oxidative stress, DNA damage, JNK pathway, and apoptosis
- Potential prognostic markers and significant lncRNA–mRNA co-expression pairs in laryngeal squamous cell carcinoma
- Gamma irradiation-mediated inactivation of enveloped viruses with conservation of genome integrity: Potential application for SARS-CoV-2 inactivated vaccine development
- ADHFE1 is a correlative factor of patient survival in cancer
- The association of transcription factor Prox1 with the proliferation, migration, and invasion of lung cancer
- Is there a relationship between the prevalence of autoimmune thyroid disease and diabetic kidney disease?
- Immunoregulatory function of Dictyophora echinovolvata spore polysaccharides in immunocompromised mice induced by cyclophosphamide
- T cell epitopes of SARS-CoV-2 spike protein and conserved surface protein of Plasmodium malariae share sequence homology
- Anti-obesity effect and mechanism of mesenchymal stem cells influence on obese mice
- Long noncoding RNA HULC contributes to paclitaxel resistance in ovarian cancer via miR-137/ITGB8 axis
- Glucocorticoids protect HEI-OC1 cells from tunicamycin-induced cell damage via inhibiting endoplasmic reticulum stress
- Prognostic value of the neutrophil-to-lymphocyte ratio in acute organophosphorus pesticide poisoning
- Gastroprotective effects of diosgenin against HCl/ethanol-induced gastric mucosal injury through suppression of NF-κβ and myeloperoxidase activities
- Silencing of LINC00707 suppresses cell proliferation, migration, and invasion of osteosarcoma cells by modulating miR-338-3p/AHSA1 axis
- Successful extracorporeal membrane oxygenation resuscitation of patient with cardiogenic shock induced by phaeochromocytoma crisis mimicking hyperthyroidism: A case report
- Effects of miR-185-5p on replication of hepatitis C virus
- Lidocaine has antitumor effect on hepatocellular carcinoma via the circ_DYNC1H1/miR-520a-3p/USP14 axis
- Primary localized cutaneous nodular amyloidosis presenting as lymphatic malformation: A case report
- Multimodal magnetic resonance imaging analysis in the characteristics of Wilson’s disease: A case report and literature review
- Therapeutic potential of anticoagulant therapy in association with cytokine storm inhibition in severe cases of COVID-19: A case report
- Neoadjuvant immunotherapy combined with chemotherapy for locally advanced squamous cell lung carcinoma: A case report and literature review
- Rufinamide (RUF) suppresses inflammation and maintains the integrity of the blood–brain barrier during kainic acid-induced brain damage
- Inhibition of ADAM10 ameliorates doxorubicin-induced cardiac remodeling by suppressing N-cadherin cleavage
- Invasive ductal carcinoma and small lymphocytic lymphoma/chronic lymphocytic leukemia manifesting as a collision breast tumor: A case report and literature review
- Clonal diversity of the B cell receptor repertoire in patients with coronary in-stent restenosis and type 2 diabetes
- CTLA-4 promotes lymphoma progression through tumor stem cell enrichment and immunosuppression
- WDR74 promotes proliferation and metastasis in colorectal cancer cells through regulating the Wnt/β-catenin signaling pathway
- Down-regulation of IGHG1 enhances Protoporphyrin IX accumulation and inhibits hemin biosynthesis in colorectal cancer by suppressing the MEK-FECH axis
- Curcumin suppresses the progression of gastric cancer by regulating circ_0056618/miR-194-5p axis
- Scutellarin-induced A549 cell apoptosis depends on activation of the transforming growth factor-β1/smad2/ROS/caspase-3 pathway
- lncRNA NEAT1 regulates CYP1A2 and influences steroid-induced necrosis
- A two-microRNA signature predicts the progression of male thyroid cancer
- Isolation of microglia from retinas of chronic ocular hypertensive rats
- Changes of immune cells in patients with hepatocellular carcinoma treated by radiofrequency ablation and hepatectomy, a pilot study
- Calcineurin Aβ gene knockdown inhibits transient outward potassium current ion channel remodeling in hypertrophic ventricular myocyte
- Aberrant expression of PI3K/AKT signaling is involved in apoptosis resistance of hepatocellular carcinoma
- Clinical significance of activated Wnt/β-catenin signaling in apoptosis inhibition of oral cancer
- circ_CHFR regulates ox-LDL-mediated cell proliferation, apoptosis, and EndoMT by miR-15a-5p/EGFR axis in human brain microvessel endothelial cells
- Resveratrol pretreatment mitigates LPS-induced acute lung injury by regulating conventional dendritic cells’ maturation and function
- Ubiquitin-conjugating enzyme E2T promotes tumor stem cell characteristics and migration of cervical cancer cells by regulating the GRP78/FAK pathway
- Carriage of HLA-DRB1*11 and 1*12 alleles and risk factors in patients with breast cancer in Burkina Faso
- Protective effect of Lactobacillus-containing probiotics on intestinal mucosa of rats experiencing traumatic hemorrhagic shock
- Glucocorticoids induce osteonecrosis of the femoral head through the Hippo signaling pathway
- Endothelial cell-derived SSAO can increase MLC20 phosphorylation in VSMCs
- Downregulation of STOX1 is a novel prognostic biomarker for glioma patients
- miR-378a-3p regulates glioma cell chemosensitivity to cisplatin through IGF1R
- The molecular mechanisms underlying arecoline-induced cardiac fibrosis in rats
- TGF-β1-overexpressing mesenchymal stem cells reciprocally regulate Th17/Treg cells by regulating the expression of IFN-γ
- The influence of MTHFR genetic polymorphisms on methotrexate therapy in pediatric acute lymphoblastic leukemia
- Red blood cell distribution width-standard deviation but not red blood cell distribution width-coefficient of variation as a potential index for the diagnosis of iron-deficiency anemia in mid-pregnancy women
- Small cell neuroendocrine carcinoma expressing alpha fetoprotein in the endometrium
- Superoxide dismutase and the sigma1 receptor as key elements of the antioxidant system in human gastrointestinal tract cancers
- Molecular characterization and phylogenetic studies of Echinococcus granulosus and Taenia multiceps coenurus cysts in slaughtered sheep in Saudi Arabia
- ITGB5 mutation discovered in a Chinese family with blepharophimosis-ptosis-epicanthus inversus syndrome
- ACTB and GAPDH appear at multiple SDS-PAGE positions, thus not suitable as reference genes for determining protein loading in techniques like Western blotting
- Facilitation of mouse skin-derived precursor growth and yield by optimizing plating density
- 3,4-Dihydroxyphenylethanol ameliorates lipopolysaccharide-induced septic cardiac injury in a murine model
- Downregulation of PITX2 inhibits the proliferation and migration of liver cancer cells and induces cell apoptosis
- Expression of CDK9 in endometrial cancer tissues and its effect on the proliferation of HEC-1B
- Novel predictor of the occurrence of DKA in T1DM patients without infection: A combination of neutrophil/lymphocyte ratio and white blood cells
- Investigation of molecular regulation mechanism under the pathophysiology of subarachnoid hemorrhage
- miR-25-3p protects renal tubular epithelial cells from apoptosis induced by renal IRI by targeting DKK3
- Bioengineering and Biotechnology
- Green fabrication of Co and Co3O4 nanoparticles and their biomedical applications: A review
- Agriculture
- Effects of inorganic and organic selenium sources on the growth performance of broilers in China: A meta-analysis
- Crop-livestock integration practices, knowledge, and attitudes among smallholder farmers: Hedging against climate change-induced shocks in semi-arid Zimbabwe
- Food Science and Nutrition
- Effect of food processing on the antioxidant activity of flavones from Polygonatum odoratum (Mill.) Druce
- Vitamin D and iodine status was associated with the risk and complication of type 2 diabetes mellitus in China
- Diversity of microbiota in Slovak summer ewes’ cheese “Bryndza”
- Comparison between voltammetric detection methods for abalone-flavoring liquid
- Composition of low-molecular-weight glutenin subunits in common wheat (Triticum aestivum L.) and their effects on the rheological properties of dough
- Application of culture, PCR, and PacBio sequencing for determination of microbial composition of milk from subclinical mastitis dairy cows of smallholder farms
- Investigating microplastics and potentially toxic elements contamination in canned Tuna, Salmon, and Sardine fishes from Taif markets, KSA
- From bench to bar side: Evaluating the red wine storage lesion
- Establishment of an iodine model for prevention of iodine-excess-induced thyroid dysfunction in pregnant women
- Plant Sciences
- Characterization of GMPP from Dendrobium huoshanense yielding GDP-D-mannose
- Comparative analysis of the SPL gene family in five Rosaceae species: Fragaria vesca, Malus domestica, Prunus persica, Rubus occidentalis, and Pyrus pyrifolia
- Identification of leaf rust resistance genes Lr34 and Lr46 in common wheat (Triticum aestivum L. ssp. aestivum) lines of different origin using multiplex PCR
- Investigation of bioactivities of Taxus chinensis, Taxus cuspidata, and Taxus × media by gas chromatography-mass spectrometry
- Morphological structures and histochemistry of roots and shoots in Myricaria laxiflora (Tamaricaceae)
- Transcriptome analysis of resistance mechanism to potato wart disease
- In silico analysis of glycosyltransferase 2 family genes in duckweed (Spirodela polyrhiza) and its role in salt stress tolerance
- Comparative study on growth traits and ions regulation of zoysiagrasses under varied salinity treatments
- Role of MS1 homolog Ntms1 gene of tobacco infertility
- Biological characteristics and fungicide sensitivity of Pyricularia variabilis
- In silico/computational analysis of mevalonate pyrophosphate decarboxylase gene families in Campanulids
- Identification of novel drought-responsive miRNA regulatory network of drought stress response in common vetch (Vicia sativa)
- How photoautotrophy, photomixotrophy, and ventilation affect the stomata and fluorescence emission of pistachios rootstock?
- Apoplastic histochemical features of plant root walls that may facilitate ion uptake and retention
- Ecology and Environmental Sciences
- The impact of sewage sludge on the fungal communities in the rhizosphere and roots of barley and on barley yield
- Domestication of wild animals may provide a springboard for rapid variation of coronavirus
- Response of benthic invertebrate assemblages to seasonal and habitat condition in the Wewe River, Ashanti region (Ghana)
- Molecular record for the first authentication of Isaria cicadae from Vietnam
- Twig biomass allocation of Betula platyphylla in different habitats in Wudalianchi Volcano, northeast China
- Animal Sciences
- Supplementation of probiotics in water beneficial growth performance, carcass traits, immune function, and antioxidant capacity in broiler chickens
- Predators of the giant pine scale, Marchalina hellenica (Gennadius 1883; Hemiptera: Marchalinidae), out of its natural range in Turkey
- Honey in wound healing: An updated review
- NONMMUT140591.1 may serve as a ceRNA to regulate Gata5 in UT-B knockout-induced cardiac conduction block
- Radiotherapy for the treatment of pulmonary hydatidosis in sheep
- Retraction
- Retraction of “Long non-coding RNA TUG1 knockdown hinders the tumorigenesis of multiple myeloma by regulating microRNA-34a-5p/NOTCH1 signaling pathway”
- Special Issue on Reuse of Agro-Industrial By-Products
- An effect of positional isomerism of benzoic acid derivatives on antibacterial activity against Escherichia coli
- Special Issue on Computing and Artificial Techniques for Life Science Applications - Part II
- Relationship of Gensini score with retinal vessel diameter and arteriovenous ratio in senile CHD
- Effects of different enantiomers of amlodipine on lipid profiles and vasomotor factors in atherosclerotic rabbits
- Establishment of the New Zealand white rabbit animal model of fatty keratopathy associated with corneal neovascularization
- lncRNA MALAT1/miR-143 axis is a potential biomarker for in-stent restenosis and is involved in the multiplication of vascular smooth muscle cells
Articles in the same Issue
- Biomedical Sciences
- Research progress on the mechanism of orexin in pain regulation in different brain regions
- Adriamycin-resistant cells are significantly less fit than adriamycin-sensitive cells in cervical cancer
- Exogenous spermidine affects polyamine metabolism in the mouse hypothalamus
- Iris metastasis of diffuse large B-cell lymphoma misdiagnosed as primary angle-closure glaucoma: A case report and review of the literature
- LncRNA PVT1 promotes cervical cancer progression by sponging miR-503 to upregulate ARL2 expression
- Two new inflammatory markers related to the CURB-65 score for disease severity in patients with community-acquired pneumonia: The hypersensitive C-reactive protein to albumin ratio and fibrinogen to albumin ratio
- Circ_0091579 enhances the malignancy of hepatocellular carcinoma via miR-1287/PDK2 axis
- Silencing XIST mitigated lipopolysaccharide (LPS)-induced inflammatory injury in human lung fibroblast WI-38 cells through modulating miR-30b-5p/CCL16 axis and TLR4/NF-κB signaling pathway
- Protocatechuic acid attenuates cerebral aneurysm formation and progression by inhibiting TNF-alpha/Nrf-2/NF-kB-mediated inflammatory mechanisms in experimental rats
- ABCB1 polymorphism in clopidogrel-treated Montenegrin patients
- Metabolic profiling of fatty acids in Tripterygium wilfordii multiglucoside- and triptolide-induced liver-injured rats
- miR-338-3p inhibits cell growth, invasion, and EMT process in neuroblastoma through targeting MMP-2
- Verification of neuroprotective effects of alpha-lipoic acid on chronic neuropathic pain in a chronic constriction injury rat model
- Circ_WWC3 overexpression decelerates the progression of osteosarcoma by regulating miR-421/PDE7B axis
- Knockdown of TUG1 rescues cardiomyocyte hypertrophy through targeting the miR-497/MEF2C axis
- MiR-146b-3p protects against AR42J cell injury in cerulein-induced acute pancreatitis model through targeting Anxa2
- miR-299-3p suppresses cell progression and induces apoptosis by downregulating PAX3 in gastric cancer
- Diabetes and COVID-19
- Discovery of novel potential KIT inhibitors for the treatment of gastrointestinal stromal tumor
- TEAD4 is a novel independent predictor of prognosis in LGG patients with IDH mutation
- circTLK1 facilitates the proliferation and metastasis of renal cell carcinoma by regulating miR-495-3p/CBL axis
- microRNA-9-5p protects liver sinusoidal endothelial cell against oxygen glucose deprivation/reperfusion injury
- Long noncoding RNA TUG1 regulates degradation of chondrocyte extracellular matrix via miR-320c/MMP-13 axis in osteoarthritis
- Duodenal adenocarcinoma with skin metastasis as initial manifestation: A case report
- Effects of Loofah cylindrica extract on learning and memory ability, brain tissue morphology, and immune function of aging mice
- Recombinant Bacteroides fragilis enterotoxin-1 (rBFT-1) promotes proliferation of colorectal cancer via CCL3-related molecular pathways
- Blocking circ_UBR4 suppressed proliferation, migration, and cell cycle progression of human vascular smooth muscle cells in atherosclerosis
- Gene therapy in PIDs, hemoglobin, ocular, neurodegenerative, and hemophilia B disorders
- Downregulation of circ_0037655 impedes glioma formation and metastasis via the regulation of miR-1229-3p/ITGB8 axis
- Vitamin D deficiency and cardiovascular risk in type 2 diabetes population
- Circ_0013359 facilitates the tumorigenicity of melanoma by regulating miR-136-5p/RAB9A axis
- Mechanisms of circular RNA circ_0066147 on pancreatic cancer progression
- lncRNA myocardial infarction-associated transcript (MIAT) knockdown alleviates LPS-induced chondrocytes inflammatory injury via regulating miR-488-3p/sex determining region Y-related HMG-box 11 (SOX11) axis
- Identification of circRNA circ-CSPP1 as a potent driver of colorectal cancer by directly targeting the miR-431/LASP1 axis
- Hyperhomocysteinemia exacerbates ischemia-reperfusion injury-induced acute kidney injury by mediating oxidative stress, DNA damage, JNK pathway, and apoptosis
- Potential prognostic markers and significant lncRNA–mRNA co-expression pairs in laryngeal squamous cell carcinoma
- Gamma irradiation-mediated inactivation of enveloped viruses with conservation of genome integrity: Potential application for SARS-CoV-2 inactivated vaccine development
- ADHFE1 is a correlative factor of patient survival in cancer
- The association of transcription factor Prox1 with the proliferation, migration, and invasion of lung cancer
- Is there a relationship between the prevalence of autoimmune thyroid disease and diabetic kidney disease?
- Immunoregulatory function of Dictyophora echinovolvata spore polysaccharides in immunocompromised mice induced by cyclophosphamide
- T cell epitopes of SARS-CoV-2 spike protein and conserved surface protein of Plasmodium malariae share sequence homology
- Anti-obesity effect and mechanism of mesenchymal stem cells influence on obese mice
- Long noncoding RNA HULC contributes to paclitaxel resistance in ovarian cancer via miR-137/ITGB8 axis
- Glucocorticoids protect HEI-OC1 cells from tunicamycin-induced cell damage via inhibiting endoplasmic reticulum stress
- Prognostic value of the neutrophil-to-lymphocyte ratio in acute organophosphorus pesticide poisoning
- Gastroprotective effects of diosgenin against HCl/ethanol-induced gastric mucosal injury through suppression of NF-κβ and myeloperoxidase activities
- Silencing of LINC00707 suppresses cell proliferation, migration, and invasion of osteosarcoma cells by modulating miR-338-3p/AHSA1 axis
- Successful extracorporeal membrane oxygenation resuscitation of patient with cardiogenic shock induced by phaeochromocytoma crisis mimicking hyperthyroidism: A case report
- Effects of miR-185-5p on replication of hepatitis C virus
- Lidocaine has antitumor effect on hepatocellular carcinoma via the circ_DYNC1H1/miR-520a-3p/USP14 axis
- Primary localized cutaneous nodular amyloidosis presenting as lymphatic malformation: A case report
- Multimodal magnetic resonance imaging analysis in the characteristics of Wilson’s disease: A case report and literature review
- Therapeutic potential of anticoagulant therapy in association with cytokine storm inhibition in severe cases of COVID-19: A case report
- Neoadjuvant immunotherapy combined with chemotherapy for locally advanced squamous cell lung carcinoma: A case report and literature review
- Rufinamide (RUF) suppresses inflammation and maintains the integrity of the blood–brain barrier during kainic acid-induced brain damage
- Inhibition of ADAM10 ameliorates doxorubicin-induced cardiac remodeling by suppressing N-cadherin cleavage
- Invasive ductal carcinoma and small lymphocytic lymphoma/chronic lymphocytic leukemia manifesting as a collision breast tumor: A case report and literature review
- Clonal diversity of the B cell receptor repertoire in patients with coronary in-stent restenosis and type 2 diabetes
- CTLA-4 promotes lymphoma progression through tumor stem cell enrichment and immunosuppression
- WDR74 promotes proliferation and metastasis in colorectal cancer cells through regulating the Wnt/β-catenin signaling pathway
- Down-regulation of IGHG1 enhances Protoporphyrin IX accumulation and inhibits hemin biosynthesis in colorectal cancer by suppressing the MEK-FECH axis
- Curcumin suppresses the progression of gastric cancer by regulating circ_0056618/miR-194-5p axis
- Scutellarin-induced A549 cell apoptosis depends on activation of the transforming growth factor-β1/smad2/ROS/caspase-3 pathway
- lncRNA NEAT1 regulates CYP1A2 and influences steroid-induced necrosis
- A two-microRNA signature predicts the progression of male thyroid cancer
- Isolation of microglia from retinas of chronic ocular hypertensive rats
- Changes of immune cells in patients with hepatocellular carcinoma treated by radiofrequency ablation and hepatectomy, a pilot study
- Calcineurin Aβ gene knockdown inhibits transient outward potassium current ion channel remodeling in hypertrophic ventricular myocyte
- Aberrant expression of PI3K/AKT signaling is involved in apoptosis resistance of hepatocellular carcinoma
- Clinical significance of activated Wnt/β-catenin signaling in apoptosis inhibition of oral cancer
- circ_CHFR regulates ox-LDL-mediated cell proliferation, apoptosis, and EndoMT by miR-15a-5p/EGFR axis in human brain microvessel endothelial cells
- Resveratrol pretreatment mitigates LPS-induced acute lung injury by regulating conventional dendritic cells’ maturation and function
- Ubiquitin-conjugating enzyme E2T promotes tumor stem cell characteristics and migration of cervical cancer cells by regulating the GRP78/FAK pathway
- Carriage of HLA-DRB1*11 and 1*12 alleles and risk factors in patients with breast cancer in Burkina Faso
- Protective effect of Lactobacillus-containing probiotics on intestinal mucosa of rats experiencing traumatic hemorrhagic shock
- Glucocorticoids induce osteonecrosis of the femoral head through the Hippo signaling pathway
- Endothelial cell-derived SSAO can increase MLC20 phosphorylation in VSMCs
- Downregulation of STOX1 is a novel prognostic biomarker for glioma patients
- miR-378a-3p regulates glioma cell chemosensitivity to cisplatin through IGF1R
- The molecular mechanisms underlying arecoline-induced cardiac fibrosis in rats
- TGF-β1-overexpressing mesenchymal stem cells reciprocally regulate Th17/Treg cells by regulating the expression of IFN-γ
- The influence of MTHFR genetic polymorphisms on methotrexate therapy in pediatric acute lymphoblastic leukemia
- Red blood cell distribution width-standard deviation but not red blood cell distribution width-coefficient of variation as a potential index for the diagnosis of iron-deficiency anemia in mid-pregnancy women
- Small cell neuroendocrine carcinoma expressing alpha fetoprotein in the endometrium
- Superoxide dismutase and the sigma1 receptor as key elements of the antioxidant system in human gastrointestinal tract cancers
- Molecular characterization and phylogenetic studies of Echinococcus granulosus and Taenia multiceps coenurus cysts in slaughtered sheep in Saudi Arabia
- ITGB5 mutation discovered in a Chinese family with blepharophimosis-ptosis-epicanthus inversus syndrome
- ACTB and GAPDH appear at multiple SDS-PAGE positions, thus not suitable as reference genes for determining protein loading in techniques like Western blotting
- Facilitation of mouse skin-derived precursor growth and yield by optimizing plating density
- 3,4-Dihydroxyphenylethanol ameliorates lipopolysaccharide-induced septic cardiac injury in a murine model
- Downregulation of PITX2 inhibits the proliferation and migration of liver cancer cells and induces cell apoptosis
- Expression of CDK9 in endometrial cancer tissues and its effect on the proliferation of HEC-1B
- Novel predictor of the occurrence of DKA in T1DM patients without infection: A combination of neutrophil/lymphocyte ratio and white blood cells
- Investigation of molecular regulation mechanism under the pathophysiology of subarachnoid hemorrhage
- miR-25-3p protects renal tubular epithelial cells from apoptosis induced by renal IRI by targeting DKK3
- Bioengineering and Biotechnology
- Green fabrication of Co and Co3O4 nanoparticles and their biomedical applications: A review
- Agriculture
- Effects of inorganic and organic selenium sources on the growth performance of broilers in China: A meta-analysis
- Crop-livestock integration practices, knowledge, and attitudes among smallholder farmers: Hedging against climate change-induced shocks in semi-arid Zimbabwe
- Food Science and Nutrition
- Effect of food processing on the antioxidant activity of flavones from Polygonatum odoratum (Mill.) Druce
- Vitamin D and iodine status was associated with the risk and complication of type 2 diabetes mellitus in China
- Diversity of microbiota in Slovak summer ewes’ cheese “Bryndza”
- Comparison between voltammetric detection methods for abalone-flavoring liquid
- Composition of low-molecular-weight glutenin subunits in common wheat (Triticum aestivum L.) and their effects on the rheological properties of dough
- Application of culture, PCR, and PacBio sequencing for determination of microbial composition of milk from subclinical mastitis dairy cows of smallholder farms
- Investigating microplastics and potentially toxic elements contamination in canned Tuna, Salmon, and Sardine fishes from Taif markets, KSA
- From bench to bar side: Evaluating the red wine storage lesion
- Establishment of an iodine model for prevention of iodine-excess-induced thyroid dysfunction in pregnant women
- Plant Sciences
- Characterization of GMPP from Dendrobium huoshanense yielding GDP-D-mannose
- Comparative analysis of the SPL gene family in five Rosaceae species: Fragaria vesca, Malus domestica, Prunus persica, Rubus occidentalis, and Pyrus pyrifolia
- Identification of leaf rust resistance genes Lr34 and Lr46 in common wheat (Triticum aestivum L. ssp. aestivum) lines of different origin using multiplex PCR
- Investigation of bioactivities of Taxus chinensis, Taxus cuspidata, and Taxus × media by gas chromatography-mass spectrometry
- Morphological structures and histochemistry of roots and shoots in Myricaria laxiflora (Tamaricaceae)
- Transcriptome analysis of resistance mechanism to potato wart disease
- In silico analysis of glycosyltransferase 2 family genes in duckweed (Spirodela polyrhiza) and its role in salt stress tolerance
- Comparative study on growth traits and ions regulation of zoysiagrasses under varied salinity treatments
- Role of MS1 homolog Ntms1 gene of tobacco infertility
- Biological characteristics and fungicide sensitivity of Pyricularia variabilis
- In silico/computational analysis of mevalonate pyrophosphate decarboxylase gene families in Campanulids
- Identification of novel drought-responsive miRNA regulatory network of drought stress response in common vetch (Vicia sativa)
- How photoautotrophy, photomixotrophy, and ventilation affect the stomata and fluorescence emission of pistachios rootstock?
- Apoplastic histochemical features of plant root walls that may facilitate ion uptake and retention
- Ecology and Environmental Sciences
- The impact of sewage sludge on the fungal communities in the rhizosphere and roots of barley and on barley yield
- Domestication of wild animals may provide a springboard for rapid variation of coronavirus
- Response of benthic invertebrate assemblages to seasonal and habitat condition in the Wewe River, Ashanti region (Ghana)
- Molecular record for the first authentication of Isaria cicadae from Vietnam
- Twig biomass allocation of Betula platyphylla in different habitats in Wudalianchi Volcano, northeast China
- Animal Sciences
- Supplementation of probiotics in water beneficial growth performance, carcass traits, immune function, and antioxidant capacity in broiler chickens
- Predators of the giant pine scale, Marchalina hellenica (Gennadius 1883; Hemiptera: Marchalinidae), out of its natural range in Turkey
- Honey in wound healing: An updated review
- NONMMUT140591.1 may serve as a ceRNA to regulate Gata5 in UT-B knockout-induced cardiac conduction block
- Radiotherapy for the treatment of pulmonary hydatidosis in sheep
- Retraction
- Retraction of “Long non-coding RNA TUG1 knockdown hinders the tumorigenesis of multiple myeloma by regulating microRNA-34a-5p/NOTCH1 signaling pathway”
- Special Issue on Reuse of Agro-Industrial By-Products
- An effect of positional isomerism of benzoic acid derivatives on antibacterial activity against Escherichia coli
- Special Issue on Computing and Artificial Techniques for Life Science Applications - Part II
- Relationship of Gensini score with retinal vessel diameter and arteriovenous ratio in senile CHD
- Effects of different enantiomers of amlodipine on lipid profiles and vasomotor factors in atherosclerotic rabbits
- Establishment of the New Zealand white rabbit animal model of fatty keratopathy associated with corneal neovascularization
- lncRNA MALAT1/miR-143 axis is a potential biomarker for in-stent restenosis and is involved in the multiplication of vascular smooth muscle cells