Abstract
Diabetic kidney dysfunction is closely associated with renal fibrosis. Although the suppression of fibrosis is crucial to attenuate kidney damage, the underlying mechanisms remain poorly understood. In this study, renal injury in diabetic mice was induced by the intraperitoneal injection of streptozotocin (100 or 150 mg/kg) for 2 consecutive days. In the model mice, remarkable renal injury was observed, manifested by albuminuria, swelling of kidneys, and histopathological characteristics. The renal fibrosis was obviously displayed with high-intensity staining of fibrin, type IV collagen (Col IV), and fibronectin. The levels of Col IV and transforming growth factor-β1 were significantly increased in diabetic mice kidneys. The aggravated fibrotic process was associated with the overexpression of HMGB1, TLR2/4, and p-NF-κB. Furthermore, a high expression of F4/80 and CD14 indicated that macrophage infiltration was involved in perpetuating inflammation and subsequent fibrosis in the kidneys of diabetic mice. The results demonstrate that the severity of renal fibrosis is positively associated with the activation of HMGB1/TLR2/4 signaling in diabetes.
1 Introduction
Diabetic kidney disease (DKD), one of the serious complications of diabetes, is the major cause of end-stage renal diseases [1,2,3]. In recent years, the worldwide prevalence of DKD has increased [4]. However, the knowledge gap of the pathogenesis of DKD leads to a lack of effective and safe therapeutics. At present, the treatment options available are almost suboptimal [4,5]. Therefore, an improved understanding of the pathogenesis of DKD is required for developing therapeutic strategies in clinical practice [6,7].
Kidney damage in diabetes is characterized by activated myofibroblasts, accumulation of fibrillary collagens, and inflammatory cells [8]. It has been reported that the sustained inflammation involved in DKD accelerates kidney injury, resulting in renal fibrosis [9,10]. As the late inflammatory factor, high-mobility group box (HMGB)-1 has been confirmed to be an important contributor to the maintenance of maintaining renal inflammation in DKD.
Under hyperglycemia and hyperlipidemia, HMGB1 is released from the cell nucleus and interacts with its receptors TLR2 and TLR4 on tubular cells, triggering an inflammatory response by activating the NF-κB signaling pathway to induce the production of proinflammatory cytokines [11]. Consequently, a high level of proinflammatory cytokines facilitates macrophage recruitment into kidney tissue, resulting in a self-perpetuating cycle of renal inflammation [12]. Meanwhile, several proinflammatory cytokines, including IL-1β, TNF-α, and IFN-γ, further stimulate macrophages to actively secrete HMGB1, which worsens the sustained inflammation of the kidney via positive feedback [13,14,15]. Therefore, the upregulation of HMGB1 gives rise to the amplification of inflammation and subsequent worsened kidney injury. In addition, HMGB1 exerts itself to facilitate collagen synthesis and accumulation [12]. Although the activation of HMGB-mediated TLR2/4 signaling has been analyzed in several mouse models of DKD, the correlation between HMGB1 activity and the progression of renal fibrosis is not well known [15,16,17].
In the present study, we refined the streptozotocin (STZ)-induced diabetic mouse model by administering different frequencies and doses. The model mice showed the remarkable kidney damage and renal fibrosis, especially at a higher dose of STZ. This aggravated fibrosis is associated with activated and augmented HMGB1 signaling. We conclude that the HMGB1/TLR2/4 pathway is involved in the regulation of fibrotic processes in the kidneys of STZ-induced diabetic mice, displaying a positive correlation.
2 Materials and methods
2.1 Establishment of the DKD mouse model
Male C57BL/6 mice (8 weeks old) were purchased from Slaccas-Shanghai Lab Animal Ltd. (SPF II Certificate; No. SCXK2012-0005) and kept under specific pathogen-free, normal housing conditions with constant humidity and temperature in a 12 h light and dark cycle.
After 1 week of being adapted to the new environment, mice were fasted but had free access to water overnight and subsequently treated with fresh STZ solution (Sigma-Aldrich, dissolved in 0.1 mmol/L sodium citrate buffer) by intraperitoneal injection in two doses (100 and 150 mg/kg) for 2 consecutive days (Days 0 and 1; n = 6 mice per group). On Day 8, blood glucose levels were monitored using a glucose meter (Abbott). Mice with blood glucose levels higher than 16.8 mmol/L were defined as hyperglycemic and used for experiments [18]. On Days 29 and 64, blood glucose levels were measured using assay kits following the manufacturers’ instructions (Fenghui, Shanghai, China). The survival status of the animals in each group was assessed during the whole experiment. At the end of the experiment (Day 64), serum and the kidneys of mice were collected for further assessment. All operations were performed anesthesia under 10% ethyl carbamate (intraperitoneal injection, 0.10 mL/10 g), and all efforts were taken to minimize the extent and the duration of the suffering. When euthanized in this experiment, mice were anesthetized with 10% ethyl carbamate followed by cervical dislocation.
-
Ethical approval: The research related to animal use has been complied with all the relevant national regulations and institutional policies for the care and use of animals, including the Guide for the Care and Use of Laboratory Animals of the National Institutes of Health. All the protocols in this experiment involving animals were approved by the Animal Ethical Committee of School of Pharmacy, Fudan University (approval number 2021-05-YL-WHB-78).
2.2 Biochemical assays
Urine was collected for 5 h via a device in a metabolism cage on Days 32 and 50. The concentration of urinary albumin was tested using an enzyme-linked immunosorbent assay (ELISA) kit, and the urinary albumin excretion rate (UAER) was calculated, indicating the total excretion of urinary albumin in 5 h.
On Day 64, blood was collected via the orbital sinus (under anesthesia with 10% ethyl carbamate, intraperitoneal injection, 0.10 mL/10 g) and centrifuged to obtain serum. High-density lipoprotein cholesterol (HDL-C), low-density lipoprotein cholesterol (LDL-C), serum creatinine, and blood urine nitrogen (BUN) were measured using assay kits (Fenghui, Shanghai, China).
2.3 Determination of inflammatory and fibrotic cytokines
The left kidney was weighed to calculate the kidney index (kidney weight/body weight, mg/g) and then homogenized in RIPA lysis reagent (Beyotime, Shanghai, China). The levels of TNF-α, IL-6, COI IV, and transforming growth factor (TGF)-β1 in the renal homogenates were measured using ELISA kits (Boatman, Shanghai, China).
2.4 Histopathological examination
On Day 64, the pancreas and the right kidney were collected, fixed in 10% formaldehyde, and embedded in paraffin wax. The specimens were processed using a microtome to obtain 4-μm-thick tissue sections. The tissue sections were stained with hematoxylin and eosin (H&E). Kidney sections were also processed for Periodic acid–Schiff (PAS) and Masson’s trichrome (Masson) assays.
2.5 Immunohistochemistry examination
The expression levels of HMGB1, TLR2, TLR4, F4/80, CD14, collagen IV (Col IV), and fibronectin (FN) in the kidney were examined using immunohistochemistry. The sections were dewaxed, rehydrated, and equilibrated in phosphate-buffered saline (pH 7.4). After quenching endogenous peroxidase activity with 3% H2O2 and blocking with 5% bovine albumin, the sections were incubated with antibodies recognizing HMGB1 (1:400, Proteintech), TLR2 (1:500, Arigo), TLR4 (1:400, Abcam), F4/80 (1:300, Servicebio), CD14 (1:500, Servicebio), Col IV (1:250, Abcam), and FN (1:250, Abcam) overnight. After incubation with a secondary antibody conjugated with horseshoe peroxidase [HMGB1, TLR2, TLR4, Col IV, and FN: horseradish peroxidase (HRP) 1:1,000, Bioworld; F4/80 and CD14: HRP 1:200, Servicebio] for 1 h at 37°C, signals were detected using the HRP substrate diaminobenzidine. The sections were lightly counterstained with hematoxylin and examined under a light microscope (Leica Inc., Switzerland).
2.6 Western blotting assay
Kidney specimens were homogenized in RIPA lysis reagent and centrifuged to collect the supernatant. The supernatant was mixed with the same volume of 2× SDS loading buffer. Total protein was measured by the Bradford assay (Beyotime, Shanghai, China).
Proteins in the samples were resolved in a 10% SDS polyacrylamide gel by electrophoresis and blotted onto polyvinylidene difluoride immobilon membranes (Millipore, Bedford, MA, USA). The membranes were blocked with 5% skim milk (in tris-buffered saline with Tween-20 buffer) for 1 h at room temperature and then probed overnight at 4°C with antibodies against HMGB1, p-NF-κB, FN, PCNA, and β-actin (all diluted at 1:1,000), followed by incubation with HRP-conjugated IgG (1:2,000, Beyotime, Shanghai, China) for 2 h at room temperature. Signals were detected by enhanced electrochemiluminescence reagent and captured with a camera-based imaging system (BIO-RAD, Santa Clara, CA, USA).
2.7 Statistical analysis
The data were expressed as mean ± SD. Differences between groups were analyzed by one-way analysis of variance (ANOVA), and post hoc comparisons of Fisher’s PLSD were performed. A P-value of <0.05 was considered significant.
3 Results
3.1 Characteristics of STZ-induced diabetic mice
Hyperglycemia was achieved (≥16.8 mmol/L) on Day 8 and sustained thereafter in the STZ-treated groups, as compared with the normal group (P < 0.001; Figure 1a). Mice with blood glucose levels higher than 27 mmol/L and weight lower than 16 g were euthanized by excessive anesthesia to minimize suffering. Survival rates up to Day 64 after STZ treatment were 100 and 50% in the 100 and 150 mg/kg groups, respectively (Figure 1b).

Characteristics of metabolism and histopathology in STZ-induced diabetic mice. Mice were treated with STZ at 100 or 150 mg/kg by intraperitoneal injection. The pancreas was dissected on Day 64. The blood glucose levels (a) and survival rate (b). Histopathology of the pancreas detected by H&E, photographed at 400× magnification (c). The levels of serum LDL-C (d) and HDL-C (e) in STZ-induced mice, n = 6. Data are expressed as the means ± SD. *P < 0.05, **P < 0.01, ***P < 0.001, vs the normal group, tested by one-way ANOVA and Fisher’s PLSD.
At the histological level, the Langerhans’ islets of the pancreas exhibited normal circular morphology with a healthy cell lining in the normal mice (Figure 1c). The exocrine glands of the pancreas were well organized and hadnormal morphology. In contrast, in the 100 mg/kg STZ group, the islet cell mass appeared atrophied and disorganized. In the 150 mg/kg STZ group, the islets of Langerhans further shrank and were almost indiscernible (Figure 1c).
Hyperlipidemia is an indicator of severe diabetes. Compared with the normal group, the levels of serum LDL-C in the diabetic groups (treated with 100 or 150 mg/kg STZ) were significantly higher (P < 0.05, P < 0.01, respectively) (Figure 1d), while the levels of serum HDL-C (150 mg/kg STZ) were significantly lower (P < 0.05, Figure 1e).
3.2 Renal injuries in STZ-induced diabetic mice
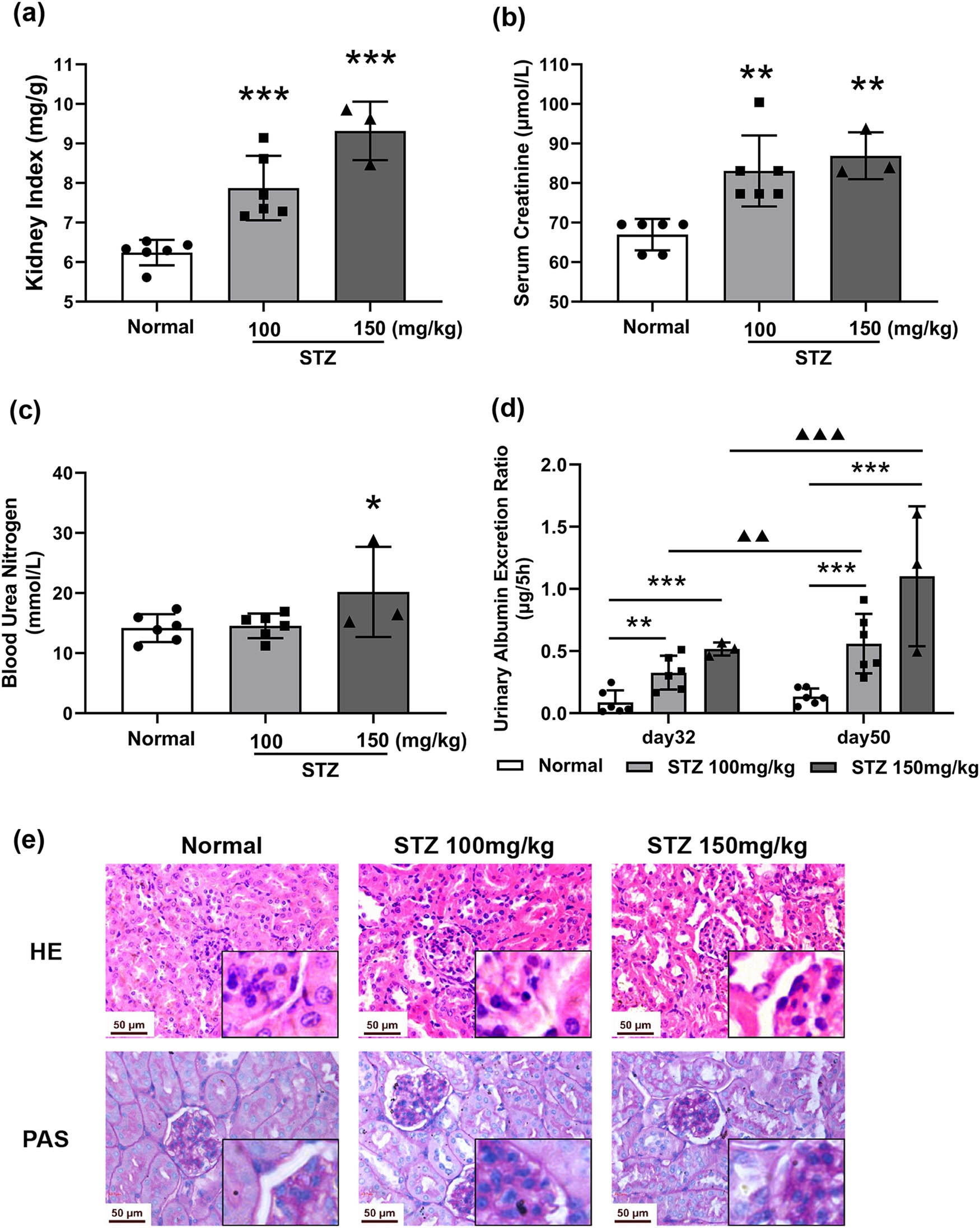
The kidney index (P < 0.001, Figure 2a) and serum creatinine level (P < 0.05, Figure 2b) were significantly increased in the diabetic groups, compared with those of the normal group. There was no difference in the levels of BUN (Figure 2c).

Kidney damaged in STZ-induced diabetic mice. Mice were treated with STZ at 100 or 150 mg/kg by intraperitoneal injection. Urine was collected for 5 h via a device in a metabolism cage at Days 32 and 50. The kidney was dissected on Day 64. The kidney index (a), serum creatinine (b), blood urea nitrogen level (c), urinary albumin excretion rate (UAER) (d), and renal histological changes (e) H&E, PAS, photographed at 400× magnification. n = 6, Data expressed as the mean ± SD. *P < 0.05, **P < 0.01, ***P < 0.001 vs the normal group, tested by one-way ANOVA and Fisher’s PLSD.
The levels of UAER were significantly elevated in the diabetic groups, compared with those of the normal group, and presented a progressive increase during the experiment (P < 0.001, Figure 2d).
H&E examination indicated pathological characteristics in the kidneys of DKD mice such as expansion of the glomerular mesangial region (Figure 2e). The PAS assay showed intensive deposition of saccharides in the glomerular mesangial region in the diabetic mice, indicating the proliferation of the extracellular matrix (Figure 2e).
3.3 Renal fibrosis in STZ-induced diabetic mice
Masson’s trichrome assay showed vacuolation of the tubular cells and heavy deposition of fibroblasts and fibrillary collagens in the tubular interstitium (Figure 3a). Col IV and FN, indicators of fibrosis, were highly accumulated in the kidneys of diabetic mice as assessed by immunohistochemical staining. Heavy Col IV deposition was seen in the renal tubule interstitial and basement membranes, while FN was highly present in the mesangial glomerulus and renal tubule interstitial (Figure 3a). The data from Western blot assays confirmed the upregulation of FN in the kidneys of model mice (P < 0.01; Figure 3b). Consistently, the levels of Col IV and FN were significantly elevated in the kidney homogenates of diabetic mice, compared with those of the normal group (P < 0.05; Figure 3b and c). TGF-β1 is well recognized as a risk factor that promotes fibrosis. In this study, the production of TGF-β1 displayed a significant increase in the renal tissues of diabetic mice (Figure 3d).

Severity of renal fibrosis in STZ-induced diabetic mice. Mice were treated with STZ at 100 or 150 mg/kg by intraperitoneal injection. The kidney was dissected on Day 64. Histological assays of the kidney (Masson’s trichome), immunohistochemical staining of Col IV and FN in the kidney (a), photographed at 400× magnification. Protein expression of FN in the kidney by Western blot (b), n = 3. β-Actin was used as an internal control. The levels of Col IV (c) and TGF-β1 (d) in renal tissues tested by ELISA. Data are expressed as the mean ± SD. *P < 0.05, ***P < 0.001 vs the normal group, tested by one-way ANOVA and Fisher’s PLSD.
3.4 Renal inflammation in STZ-induced diabetic mice
Inflammation is a key contributor to the development of the fibroblast activation process in the kidneys of diabetic mice. The inflammatory cytokines in the kidney homogenate were tested by ELISA. In the diabetic groups, the levels of TNF-α and IL-6 significantly ascended, compared with those in the normal group (P < 0.001; Figure 4a and b). To further evaluate the inflammatory condition, the macrophage infiltrate was determined by immunohistochemical assay. The results showed that F4/80 and CD14 were highly expressed and caused the inflammation infiltration in the kidneys of diabetic mice (Figure 4c), which contributed to amplification and perpetuation of inflammation.

Level of inflammatory cytokines and macrophage infiltration in the kidneys of STZ-induced diabetic mice. Mice were treated with STZ at 100 or 150 mg/kg by intraperitoneal injection. The kidney was dissected on Day 64. The levels of the inflammatory cytokines TNF-α (a) and IL-6 (b) in renal tissues tested by ELISA, n = 6. Immunohistochemical staining (c) of CD14 and F4/80 in the kidneys of STZ-induced mice, photographed at 400× magnification, n = 3. Data are expressed as the mean ± SD. *P < 0.05, **P < 0.01, ***P < 0.001, vs the normal group, tested by one-way ANOVA and Fisher’s PLSD.
3.5 Expression of HMGB1, TLR2/4, and p-NF-κB p65 in STZ-induced diabetic mice
As shown in Figure 5a, HMGB1, TLR2, and TLR4 were expressed at low levels in the normal mice but were notably upregulated in the kidneys of diabetic mice. Localization of HMGB1 was observed to be in the cytoplasm and extracellular space in the kidney of diabetic mice while was mainly in the nucleus in the normal group (Figure 5a). Western blot assays were consistent with the immunohistochemical results of the lower level of HMGB1 in the nucleus in the model mice (Figure 5b). The data suggested that the HMGB1 was not only highly expressed but also released into the cytoplasm and extracellular space, contributing to the activation of the downstream signaling pathway in the kidneys of diabetic mice.

Activation of the HMGB1/TLR2/4 signaling pathway in the kidneys of STZ-induced diabetic mice. Mice were treated with STZ at 100 or 150 mg/kg by intraperitoneal injection. The kidney was dissected on Day 64. Immunohistochemical staining of HMGB1, TLR2, and TLR4 in the kidneys (a), photographed at 400× magnification. Protein expression of HMGB1 and p-NF-κB in the kidneys by Western blot (b), n = 3. PCNA and β-actin were used as internal controls. Data are expressed as the mean ± SD. *P < 0.05, **P < 0.01, ***P < 0.001, vs the normal group, tested by one-way ANOVA and Fisher’s PLSD.
NF-κB is an important transcription factor in TLR signaling that regulates the expression of numerous inflammatory genes [19]. As shown in Figure 5b, the level of p-NF-κB expression was obviously increased in the renal tissues of diabetic mice based on Western blotting. Cumulatively, the results indicated that the activation of HMGB1-TLR 2/4 signaling promoted renal fibrosis via NF-κB-mediated production of proinflammatory cytokines.
4 Discussion
This study demonstrates that the progression of renal fibrosis is related to the activation of HMGB1 in the STZ-induced diabetic mouse model. In this model, injection of 100 and 150 mg/kg STZ both successfully induced renal injuries and fibrosis. Considering the mortality of model mice, 100 mg/kg STZ is recommended to establish the DKD mouse model. By means of the model, our results demonstrate that the amplification of HMGB1 signaling is an important contributor to the worsened kidney damage.
The accumulation of fibrillary collagens and inflammatory cells is the obvious characteristics of DKD, resulting in renal failure [8]. Although the HMGB1 interaction with TLRs via stimulation of the NF-kB pathway has been analyzed in several mouse models of DKD, the correlation between HMGB1 level and the progression of renal fibrosis is not well known [15,16,17] which slows the process of research on targeting HMGB1 for DKD therapy. In the present study, we refined the STZ-induced diabetic mouse model by administering different frequencies and doses to observe the effect of HMGB1 on renal fibrosis in DKD mice at different time points. Increased levels of UAER, serum creatinine, and kidney index were observed in STZ-induced mice. The histological examination was consistent, including HE, PAS, and Masson assays. To evaluate the degree of renal fibrosis, the proteins and cytokines related to the fibrosis process were detected. The results showed that both Col IV and FN were highly expressed and accumulated in the kidneys of diabetic mice, and the levels of Col IV and TGF-β1 increased in kidney homogenate. Therefore, the model enabled us to investigate the key factor in the progression of renal fibrosis in diabetic mice, which is much more intuitive to observe the effect of HMGB1 on the progression of renal fibrosis in DKD.
The occurrence and development of kidney damage are a result of multiple factor interactions under hyperglycemic environments [1,20,21]. Accumulating evidence indicates that inflammation plays a critical role in the progression of DKD [1]. As pattern recognition receptors, TLRs can bind with their endogenous ligands and then activate downstream NF-κB signaling pathways to trigger an inflammatory response when subjected to noninfectious stimuli, such as hyperglycemia [22,23]. The elevated production of proinflammatory cytokines is suggested to play a critical profibrotic role in diabetes [24]. Our data demonstrated that the levels of TNF-α and IL-6 were increased in the kidney homogenate of DKD model mice, and the alteration was associated with the severity of renal fibrosis.
In general, elevated levels of proinflammatory cytokines facilitate macrophage recruitment into kidney tissue, manifesting inflammatory infiltration [25,26]. Subsequently, activated macrophages further release more cytokines, forming a positive feedback regulation and amplification of inflammatory signaling [8,27]. Therefore, macrophage infiltration is known to be an important contributor to the progression of renal fibrosis. Consistently, our results showed that the levels of F4/80 and CD14 were markedly increased in the kidneys of diabetic mice by immunohistochemical staining, indicating that the kidneys of our model were exposed to the persistent induction of worsened renal fibrosis.
HMGB1 is a nuclear DNA-binding protein that modulates chromatin accessibility [28]. However, it can translocate into the cytoplasm from the nucleus and be released in the necrotic and damaged cells or activated immune cells [29]. Extracellular HMGB1 promotes inflammation asone of the ligands of TLR2 and TLR4 by activating downstream NF-κB signaling pathways [12,29,30]. Our data showed that the expression and translocation of HMGB1 were elevated in the kidneys of our model mice, accompanied by an increase in TLR2 and TLR4 expression and phosphorylated NF-κB. Cumulatively, the results demonstrated that HMGB1 expression was well associated with STZ-induced renal fibrosis after 2 consecutive days of 100 mg/kg STZ injection intraperitoneally. The findings are beneficial to further explore the role of HMGB1 in anti-fibrosis therapeutic strategies of DKD. In addition, our study provides an available and stable animal model for DKD investigation.
In this study, although the results from the study confirm that the activation of HMGB1/TLR2/4 contributes to the renal fibrosis process, the effect of the suppression of HMGB1 expression remains unclear and future experiments are needed. Moreover, the interactions between HMGB1 and other receptors or pro-inflammatory cytokines are complicated and interesting; further study is needed to fully understand this complexity.
5 Conclusion
In conclusion, on 2 consecutive days in a 100 mg/kg STZ-induced renal fibrosis mouse model, our results demonstrate that aggravated renal fibrosis is positively associated with the activation of HMGB1/TLR2/4 signaling. This study provides insight into anti-inflammatory therapeutic strategies for attenuating renal fibrosis in diabetes.
-
Funding information: This work was funded by the National Natural Science Foundation of China (Grant No. 82073859 and 81673658).
-
Author contributions: All authors have made a substantial contribution to the study conception and design, and all authors applied the SDC approach for the sequence of authors. Y.Y., Y.L., H.Y., Y.F., Z.L., L.P., and H.W. performed the materials and preparation. Y.Y. and M.S. performed data acquisition and analysis. Y.Y. and Y.L. wrote the original draft of the article. M.S., H.Y., Y.F., and H.W. first revised the article. All authors made a contribution to critical review, commentary, and revision.
-
Conflict of interest: Authors state no conflict of interest.
-
Data availability statement: The datasets generated during and/or analyzed during the current study are available from the corresponding author on reasonable request.
References
[1] Pérez-Morales RE, Del Pino MD, Valdivielso JM, Ortiz A, Mora-Fernández C, Navarro-González JF. Inflammation in diabetic kidney disease. Nephron. 2019;143(1):12–6.10.1159/000493278Search in Google Scholar PubMed
[2] Yamazaki T, Mimura I, Tanaka T, Nangaku M. Treatment of diabetic kidney disease: Current and future. Diabetes Metab J. 2021;45(1):11–26.10.4093/dmj.2020.0217Search in Google Scholar PubMed PubMed Central
[3] Barutta F, Bellini S, Canepa S, Durazzo M, Gruden G. Novel biomarkers of diabetic kidney disease: current status and potential clinical application. Acta Diabetol. 2021;58(7):819–30.10.1007/s00592-020-01656-9Search in Google Scholar PubMed
[4] Selby NM, Taal MW. An updated overview of diabetic nephropathy: Diagnosis, prognosis, treatment goals and latest guidelines. Diabetes Obes Metab. 2020;22(Suppl 1):3–15.10.1111/dom.14007Search in Google Scholar PubMed
[5] Matoba K, Takeda Y, Nagai Y, Kawanami D, Utsunomiya K, Nishimura R. Unraveling the role of inflammation in the pathogenesis of diabetic kidney disease. Int J Mol Sci. 2019;20(14):3393.10.3390/ijms20143393Search in Google Scholar PubMed PubMed Central
[6] Chen SJ, Lv LL, Liu BC, Tang RN. Crosstalk between tubular epithelial cells and glomerular endothelial cells in diabetic kidney disease. Cell Prolif. 2020;53(3):e12763.10.1111/cpr.12763Search in Google Scholar PubMed PubMed Central
[7] Lu HC, Dai WN, He LY. Epigenetic histone modifications in the pathogenesis of diabetic kidney disease. Diabetes Metab Syndr Obes. 2021;14:329–44.10.2147/DMSO.S288500Search in Google Scholar PubMed PubMed Central
[8] Tang SCW, Yiu WH. Innate immunity in diabetic kidney disease. Nat Rev Nephrol. 2020;16(4):206–22.10.1038/s41581-019-0234-4Search in Google Scholar PubMed
[9] Rayego-Mateos S, Morgado-Pascual JL, Opazo-Ríos L, Guerrero-Hue M, García-Caballero C, Vázquez-Carballo C, et al. Pathogenic pathways and therapeutic approaches targeting inflammation in diabetic nephropathy. Int J Mol Sci. 2020;21(11):3798.10.3390/ijms21113798Search in Google Scholar PubMed PubMed Central
[10] Winiarska A, Knysak M, Nabrdalik K, Gumprecht J, Stompór T. Inflammation and oxidative stress in diabetic kidney disease: The targets for SGLT2 inhibitors and GLP-1 receptor agonists. Int J Mol Sci. 2021;22(19):10822.10.3390/ijms221910822Search in Google Scholar PubMed PubMed Central
[11] Chen R, Kang R, Tang D. The mechanism of HMGB1 secretion and release. Exp Mol Med. 2022;54(2):91–102.10.1038/s12276-022-00736-wSearch in Google Scholar PubMed PubMed Central
[12] Chen Q, Guan X, Zuo X, Wang J, Yin W. The role of high mobility group box 1 (HMGB1) in the pathogenesis of kidney diseases. Acta Pharm Sin B. 2016;6(3):183–8.10.1016/j.apsb.2016.02.004Search in Google Scholar PubMed PubMed Central
[13] Zhang S, Pei L, Qu J, Sun L, Jiang W, Li W, et al. CRISPLD2 attenuates pro-inflammatory cytokines production in HMGB1-stimulated monocytes and septic mice. Am J Transl Res. 2021;13(5):4080–91.Search in Google Scholar
[14] Personnaz J, Piccolo E, Branchereau M, Filliol A, Paccoud R, Moreau E, et al. Macrophage-derived HMGB1 is dispensable for tissue fibrogenesis. FASEB Bioadv. 2019;1(4):227–45.10.1096/fba.2018-00035Search in Google Scholar PubMed PubMed Central
[15] Wang HQ, Wang SS, Chiufai K, Wang Q, Cheng XL. Umbelliferone ameliorates renal function in diabetic nephropathy rats through regulating inflammation and TLR/NF-κB pathway. Chin J Nat Med. 2019;17(5):346–54.10.1016/S1875-5364(19)30040-8Search in Google Scholar PubMed
[16] Wang H, Huang X, Xu P, Liu X, Zhou Z, Wang F, et al. Apolipoprotein C3 aggravates diabetic nephropathy in type 1 diabetes by activating the renal TLR2/NF-κB pathway. Metabolism. 2021;119:154740.10.1016/j.metabol.2021.154740Search in Google Scholar PubMed
[17] Zhang QY, Xu SJ, Qian JC, Yang LB, Chen PQ, Wang Y, et al. Pharmacological inhibition of MyD88 suppresses inflammation in tubular epithelial cells and prevents diabetic nephropathy in experimental mice. Acta Pharmacol Sin. 2022;43(2):354–66.10.1038/s41401-021-00766-6Search in Google Scholar PubMed PubMed Central
[18] Liu Z-Z, Weng H-B, Zhang L-J, Pan L-Y, Sun W, Chen H-X, et al. Bupleurum polysaccharides ameliorated renal injury in diabetic mice associated with suppression of HMGB1-TLR4 signaling. Chin J Nat Med. 2019;17(9):641–9.10.1016/S1875-5364(19)30078-0Search in Google Scholar PubMed
[19] Li Q, Verma IM. NF-kappaB regulation in the immune system. Nat Rev Immunol. 2002;2(10):725–34.10.1038/nri910Search in Google Scholar PubMed
[20] Sagoo MK, Gnudi L. Diabetic nephropathy: An overview. Methods Mol Biol. 2020;2067:3–7.10.1007/978-1-4939-9841-8_1Search in Google Scholar PubMed
[21] Bonner R, Albajrami O, Hudspeth J, Upadhyay A. Diabetic kidney disease. Prim Care. 2020;47(4):645–59.10.1016/j.pop.2020.08.004Search in Google Scholar PubMed
[22] Liu P, Li F, Xu X, Li S, Dong X, Chen L, et al. 1,25(OH)(2)D(3) provides protection against diabetic kidney disease by downregulating the TLR4-MyD88-NF-κB pathway. Exp Mol Pathol. 2020;114:104434.10.1016/j.yexmp.2020.104434Search in Google Scholar PubMed
[23] Behl T, Sharma E, Sehgal A, Kaur I, Kumar A, Arora R, et al. Expatiating the molecular approaches of HMGB1 in diabetes mellitus: Highlighting signalling pathways via RAGE and TLRs. Mol Biol Rep. 2021;48(2):1869–81.10.1007/s11033-020-06130-xSearch in Google Scholar PubMed
[24] Srivastava SP, Zhou H, Setia O, Liu B, Kanasaki K, Koya D, et al. Loss of endothelial glucocorticoid receptor accelerates diabetic nephropathy. Nat Commun. 2021;12(1):2368.10.1038/s41467-021-22617-ySearch in Google Scholar PubMed PubMed Central
[25] Nicholas SB. Novel anti-inflammatory and anti-fibrotic agents for diabetic kidney disease-from bench to bedside. Adv Chronic Kidney Dis. 2021;28(4):378–90.10.1053/j.ackd.2021.09.010Search in Google Scholar PubMed
[26] Jia Y, Xu H, Yu Q, Tan L, Xiong Z. Identification and verification of vascular cell adhesion protein 1 as an immune-related hub gene associated with the tubulointerstitial injury in diabetic kidney disease. Bioengineered. 2021;12(1):6655–73.10.1080/21655979.2021.1976540Search in Google Scholar PubMed PubMed Central
[27] Viola A, Munari F, Sánchez-Rodríguez R, Scolaro T, Castegna A. The metabolic signature of macrophage responses. Front Immunol. 2019;10:1462.10.3389/fimmu.2019.01462Search in Google Scholar PubMed PubMed Central
[28] Bianchi ME, Agresti A. HMG proteins: dynamic players in gene regulation and differentiation. Curr Opin Genet Dev. 2005;15(5):496–506.10.1016/j.gde.2005.08.007Search in Google Scholar PubMed
[29] Kim YH, Kwak MS, Lee B, Shin JM, Aum S, Park IH, et al. Secretory autophagy machinery and vesicular trafficking are involved in HMGB1 secretion. Autophagy. 2021;17(9):2345–62.10.1080/15548627.2020.1826690Search in Google Scholar PubMed PubMed Central
[30] Miao J, Zhong J, Lan J, Ye S, Ye P, Li S, et al. Paeonol attenuates inflammation by confining HMGB1 to the nucleus. J Cell Mol Med. 2021;25(6):2885–99.10.1111/jcmm.16319Search in Google Scholar PubMed PubMed Central
© 2022 Yan Yuan et al., published by De Gruyter
This work is licensed under the Creative Commons Attribution 4.0 International License.
Articles in the same Issue
- Biomedical Sciences
- Effects of direct oral anticoagulants dabigatran and rivaroxaban on the blood coagulation function in rabbits
- The mother of all battles: Viruses vs humans. Can humans avoid extinction in 50–100 years?
- Knockdown of G1P3 inhibits cell proliferation and enhances the cytotoxicity of dexamethasone in acute lymphoblastic leukemia
- LINC00665 regulates hepatocellular carcinoma by modulating mRNA via the m6A enzyme
- Association study of CLDN14 variations in patients with kidney stones
- Concanavalin A-induced autoimmune hepatitis model in mice: Mechanisms and future outlook
- Regulation of miR-30b in cancer development, apoptosis, and drug resistance
- Informatic analysis of the pulmonary microecology in non-cystic fibrosis bronchiectasis at three different stages
- Swimming attenuates tumor growth in CT-26 tumor-bearing mice and suppresses angiogenesis by mediating the HIF-1α/VEGFA pathway
- Characterization of intestinal microbiota and serum metabolites in patients with mild hepatic encephalopathy
- Functional conservation and divergence in plant-specific GRF gene family revealed by sequences and expression analysis
- Application of the FLP/LoxP-FRT recombination system to switch the eGFP expression in a model prokaryote
- Biomedical evaluation of antioxidant properties of lamb meat enriched with iodine and selenium
- Intravenous infusion of the exosomes derived from human umbilical cord mesenchymal stem cells enhance neurological recovery after traumatic brain injury via suppressing the NF-κB pathway
- Effect of dietary pattern on pregnant women with gestational diabetes mellitus and its clinical significance
- Potential regulatory mechanism of TNF-α/TNFR1/ANXA1 in glioma cells and its role in glioma cell proliferation
- Effect of the genetic mutant G71R in uridine diphosphate-glucuronosyltransferase 1A1 on the conjugation of bilirubin
- Quercetin inhibits cytotoxicity of PC12 cells induced by amyloid-beta 25–35 via stimulating estrogen receptor α, activating ERK1/2, and inhibiting apoptosis
- Nutrition intervention in the management of novel coronavirus pneumonia patients
- circ-CFH promotes the development of HCC by regulating cell proliferation, apoptosis, migration, invasion, and glycolysis through the miR-377-3p/RNF38 axis
- Bmi-1 directly upregulates glucose transporter 1 in human gastric adenocarcinoma
- Lacunar infarction aggravates the cognitive deficit in the elderly with white matter lesion
- Hydroxysafflor yellow A improved retinopathy via Nrf2/HO-1 pathway in rats
- Comparison of axon extension: PTFE versus PLA formed by a 3D printer
- Elevated IL-35 level and iTr35 subset increase the bacterial burden and lung lesions in Mycobacterium tuberculosis-infected mice
- A case report of CAT gene and HNF1β gene variations in a patient with early-onset diabetes
- Study on the mechanism of inhibiting patulin production by fengycin
- SOX4 promotes high-glucose-induced inflammation and angiogenesis of retinal endothelial cells by activating NF-κB signaling pathway
- Relationship between blood clots and COVID-19 vaccines: A literature review
- Analysis of genetic characteristics of 436 children with dysplasia and detailed analysis of rare karyotype
- Bioinformatics network analyses of growth differentiation factor 11
- NR4A1 inhibits the epithelial–mesenchymal transition of hepatic stellate cells: Involvement of TGF-β–Smad2/3/4–ZEB signaling
- Expression of Zeb1 in the differentiation of mouse embryonic stem cell
- Study on the genetic damage caused by cadmium sulfide quantum dots in human lymphocytes
- Association between single-nucleotide polymorphisms of NKX2.5 and congenital heart disease in Chinese population: A meta-analysis
- Assessment of the anesthetic effect of modified pentothal sodium solution on Sprague-Dawley rats
- Genetic susceptibility to high myopia in Han Chinese population
- Potential biomarkers and molecular mechanisms in preeclampsia progression
- Silencing circular RNA-friend leukemia virus integration 1 restrained malignancy of CC cells and oxaliplatin resistance by disturbing dyskeratosis congenita 1
- Endostar plus pembrolizumab combined with a platinum-based dual chemotherapy regime for advanced pulmonary large-cell neuroendocrine carcinoma as a first-line treatment: A case report
- The significance of PAK4 in signaling and clinicopathology: A review
- Sorafenib inhibits ovarian cancer cell proliferation and mobility and induces radiosensitivity by targeting the tumor cell epithelial–mesenchymal transition
- Characterization of rabbit polyclonal antibody against camel recombinant nanobodies
- Active legumain promotes invasion and migration of neuroblastoma by regulating epithelial-mesenchymal transition
- Effect of cell receptors in the pathogenesis of osteoarthritis: Current insights
- MT-12 inhibits the proliferation of bladder cells in vitro and in vivo by enhancing autophagy through mitochondrial dysfunction
- Study of hsa_circRNA_000121 and hsa_circRNA_004183 in papillary thyroid microcarcinoma
- BuyangHuanwu Decoction attenuates cerebral vasospasm caused by subarachnoid hemorrhage in rats via PI3K/AKT/eNOS axis
- Effects of the interaction of Notch and TLR4 pathways on inflammation and heart function in septic heart
- Monosodium iodoacetate-induced subchondral bone microstructure and inflammatory changes in an animal model of osteoarthritis
- A rare presentation of type II Abernethy malformation and nephrotic syndrome: Case report and review
- Rapid death due to pulmonary epithelioid haemangioendothelioma in several weeks: A case report
- Hepatoprotective role of peroxisome proliferator-activated receptor-α in non-cancerous hepatic tissues following transcatheter arterial embolization
- Correlation between peripheral blood lymphocyte subpopulations and primary systemic lupus erythematosus
- A novel SLC8A1-ALK fusion in lung adenocarcinoma confers sensitivity to alectinib: A case report
- β-Hydroxybutyrate upregulates FGF21 expression through inhibition of histone deacetylases in hepatocytes
- Identification of metabolic genes for the prediction of prognosis and tumor microenvironment infiltration in early-stage non-small cell lung cancer
- BTBD10 inhibits glioma tumorigenesis by downregulating cyclin D1 and p-Akt
- Mucormycosis co-infection in COVID-19 patients: An update
- Metagenomic next-generation sequencing in diagnosing Pneumocystis jirovecii pneumonia: A case report
- Long non-coding RNA HOXB-AS1 is a prognostic marker and promotes hepatocellular carcinoma cells’ proliferation and invasion
- Preparation and evaluation of LA-PEG-SPION, a targeted MRI contrast agent for liver cancer
- Proteomic analysis of the liver regulating lipid metabolism in Chaohu ducks using two-dimensional electrophoresis
- Nasopharyngeal tuberculosis: A case report
- Characterization and evaluation of anti-Salmonella enteritidis activity of indigenous probiotic lactobacilli in mice
- Aberrant pulmonary immune response of obese mice to periodontal infection
- Bacteriospermia – A formidable player in male subfertility
- In silico and in vivo analysis of TIPE1 expression in diffuse large B cell lymphoma
- Effects of KCa channels on biological behavior of trophoblasts
- Interleukin-17A influences the vulnerability rather than the size of established atherosclerotic plaques in apolipoprotein E-deficient mice
- Multiple organ failure and death caused by Staphylococcus aureus hip infection: A case report
- Prognostic signature related to the immune environment of oral squamous cell carcinoma
- Primary and metastatic squamous cell carcinoma of the thyroid gland: Two case reports
- Neuroprotective effects of crocin and crocin-loaded niosomes against the paraquat-induced oxidative brain damage in rats
- Role of MMP-2 and CD147 in kidney fibrosis
- Geometric basis of action potential of skeletal muscle cells and neurons
- Babesia microti-induced fulminant sepsis in an immunocompromised host: A case report and the case-specific literature review
- Role of cerebellar cortex in associative learning and memory in guinea pigs
- Application of metagenomic next-generation sequencing technique for diagnosing a specific case of necrotizing meningoencephalitis caused by human herpesvirus 2
- Case report: Quadruple primary malignant neoplasms including esophageal, ureteral, and lung in an elderly male
- Long non-coding RNA NEAT1 promotes angiogenesis in hepatoma carcinoma via the miR-125a-5p/VEGF pathway
- Osteogenic differentiation of periodontal membrane stem cells in inflammatory environments
- Knockdown of SHMT2 enhances the sensitivity of gastric cancer cells to radiotherapy through the Wnt/β-catenin pathway
- Continuous renal replacement therapy combined with double filtration plasmapheresis in the treatment of severe lupus complicated by serious bacterial infections in children: A case report
- Simultaneous triple primary malignancies, including bladder cancer, lymphoma, and lung cancer, in an elderly male: A case report
- Preclinical immunogenicity assessment of a cell-based inactivated whole-virion H5N1 influenza vaccine
- One case of iodine-125 therapy – A new minimally invasive treatment of intrahepatic cholangiocarcinoma
- S1P promotes corneal trigeminal neuron differentiation and corneal nerve repair via upregulating nerve growth factor expression in a mouse model
- Early cancer detection by a targeted methylation assay of circulating tumor DNA in plasma
- Calcifying nanoparticles initiate the calcification process of mesenchymal stem cells in vitro through the activation of the TGF-β1/Smad signaling pathway and promote the decay of echinococcosis
- Evaluation of prognostic markers in patients infected with SARS-CoV-2
- N6-Methyladenosine-related alternative splicing events play a role in bladder cancer
- Characterization of the structural, oxidative, and immunological features of testis tissue from Zucker diabetic fatty rats
- Effects of glucose and osmotic pressure on the proliferation and cell cycle of human chorionic trophoblast cells
- Investigation of genotype diversity of 7,804 norovirus sequences in humans and animals of China
- Characteristics and karyotype analysis of a patient with turner syndrome complicated with multiple-site tumors: A case report
- Aggravated renal fibrosis is positively associated with the activation of HMGB1-TLR2/4 signaling in STZ-induced diabetic mice
- Distribution characteristics of SARS-CoV-2 IgM/IgG in false-positive results detected by chemiluminescent immunoassay
- SRPX2 attenuated oxygen–glucose deprivation and reperfusion-induced injury in cardiomyocytes via alleviating endoplasmic reticulum stress-induced apoptosis through targeting PI3K/Akt/mTOR axis
- Aquaporin-8 overexpression is involved in vascular structure and function changes in placentas of gestational diabetes mellitus patients
- Relationship between CRP gene polymorphisms and ischemic stroke risk: A systematic review and meta-analysis
- Effects of growth hormone on lipid metabolism and sexual development in pubertal obese male rats
- Cloning and identification of the CTLA-4IgV gene and functional application of vaccine in Xinjiang sheep
- Antitumor activity of RUNX3: Upregulation of E-cadherin and downregulation of the epithelial–mesenchymal transition in clear-cell renal cell carcinoma
- PHF8 promotes osteogenic differentiation of BMSCs in old rat with osteoporosis by regulating Wnt/β-catenin pathway
- A review of the current state of the computer-aided diagnosis (CAD) systems for breast cancer diagnosis
- Bilateral dacryoadenitis in adult-onset Still’s disease: A case report
- A novel association between Bmi-1 protein expression and the SUVmax obtained by 18F-FDG PET/CT in patients with gastric adenocarcinoma
- The role of erythrocytes and erythroid progenitor cells in tumors
- Relationship between platelet activation markers and spontaneous abortion: A meta-analysis
- Abnormal methylation caused by folic acid deficiency in neural tube defects
- Silencing TLR4 using an ultrasound-targeted microbubble destruction-based shRNA system reduces ischemia-induced seizures in hyperglycemic rats
- Plant Sciences
- Seasonal succession of bacterial communities in cultured Caulerpa lentillifera detected by high-throughput sequencing
- Cloning and prokaryotic expression of WRKY48 from Caragana intermedia
- Novel Brassica hybrids with different resistance to Leptosphaeria maculans reveal unbalanced rDNA signal patterns
- Application of exogenous auxin and gibberellin regulates the bolting of lettuce (Lactuca sativa L.)
- Phytoremediation of pollutants from wastewater: A concise review
- Genome-wide identification and characterization of NBS-encoding genes in the sweet potato wild ancestor Ipomoea trifida (H.B.K.)
- Alleviative effects of magnetic Fe3O4 nanoparticles on the physiological toxicity of 3-nitrophenol to rice (Oryza sativa L.) seedlings
- Selection and functional identification of Dof genes expressed in response to nitrogen in Populus simonii × Populus nigra
- Study on pecan seed germination influenced by seed endocarp
- Identification of active compounds in Ophiopogonis Radix from different geographical origins by UPLC-Q/TOF-MS combined with GC-MS approaches
- The entire chloroplast genome sequence of Asparagus cochinchinensis and genetic comparison to Asparagus species
- Genome-wide identification of MAPK family genes and their response to abiotic stresses in tea plant (Camellia sinensis)
- Selection and validation of reference genes for RT-qPCR analysis of different organs at various development stages in Caragana intermedia
- Cloning and expression analysis of SERK1 gene in Diospyros lotus
- Integrated metabolomic and transcriptomic profiling revealed coping mechanisms of the edible and medicinal homologous plant Plantago asiatica L. cadmium resistance
- A missense variant in NCF1 is associated with susceptibility to unexplained recurrent spontaneous abortion
- Assessment of drought tolerance indices in faba bean genotypes under different irrigation regimes
- The entire chloroplast genome sequence of Asparagus setaceus (Kunth) Jessop: Genome structure, gene composition, and phylogenetic analysis in Asparagaceae
- Food Science
- Dietary food additive monosodium glutamate with or without high-lipid diet induces spleen anomaly: A mechanistic approach on rat model
- Binge eating disorder during COVID-19
- Potential of honey against the onset of autoimmune diabetes and its associated nephropathy, pancreatitis, and retinopathy in type 1 diabetic animal model
- FTO gene expression in diet-induced obesity is downregulated by Solanum fruit supplementation
- Physical activity enhances fecal lactobacilli in rats chronically drinking sweetened cola beverage
- Supercritical CO2 extraction, chemical composition, and antioxidant effects of Coreopsis tinctoria Nutt. oleoresin
- Functional constituents of plant-based foods boost immunity against acute and chronic disorders
- Effect of selenium and methods of protein extraction on the proteomic profile of Saccharomyces yeast
- Microbial diversity of milk ghee in southern Gansu and its effect on the formation of ghee flavor compounds
- Ecology and Environmental Sciences
- Effects of heavy metals on bacterial community surrounding Bijiashan mining area located in northwest China
- Microorganism community composition analysis coupling with 15N tracer experiments reveals the nitrification rate and N2O emissions in low pH soils in Southern China
- Genetic diversity and population structure of Cinnamomum balansae Lecomte inferred by microsatellites
- Preliminary screening of microplastic contamination in different marine fish species of Taif market, Saudi Arabia
- Plant volatile organic compounds attractive to Lygus pratensis
- Effects of organic materials on soil bacterial community structure in long-term continuous cropping of tomato in greenhouse
- Effects of soil treated fungicide fluopimomide on tomato (Solanum lycopersicum L.) disease control and plant growth
- Prevalence of Yersinia pestis among rodents captured in a semi-arid tropical ecosystem of south-western Zimbabwe
- Effects of irrigation and nitrogen fertilization on mitigating salt-induced Na+ toxicity and sustaining sea rice growth
- Bioengineering and Biotechnology
- Poly-l-lysine-caused cell adhesion induces pyroptosis in THP-1 monocytes
- Development of alkaline phosphatase-scFv and its use for one-step enzyme-linked immunosorbent assay for His-tagged protein detection
- Development and validation of a predictive model for immune-related genes in patients with tongue squamous cell carcinoma
- Agriculture
- Effects of chemical-based fertilizer replacement with biochar-based fertilizer on albic soil nutrient content and maize yield
- Genome-wide identification and expression analysis of CPP-like gene family in Triticum aestivum L. under different hormone and stress conditions
- Agronomic and economic performance of mung bean (Vigna radiata L.) varieties in response to rates of blended NPS fertilizer in Kindo Koysha district, Southern Ethiopia
- Influence of furrow irrigation regime on the yield and water consumption indicators of winter wheat based on a multi-level fuzzy comprehensive evaluation
- Discovery of exercise-related genes and pathway analysis based on comparative genomes of Mongolian originated Abaga and Wushen horse
- Lessons from integrated seasonal forecast-crop modelling in Africa: A systematic review
- Evolution trend of soil fertility in tobacco-planting area of Chenzhou, Hunan Province, China
- Animal Sciences
- Morphological and molecular characterization of Tatera indica Hardwicke 1807 (Rodentia: Muridae) from Pothwar, Pakistan
- Research on meat quality of Qianhua Mutton Merino sheep and Small-tail Han sheep
- SI: A Scientific Memoir
- Suggestions on leading an academic research laboratory group
- My scientific genealogy and the Toronto ACDC Laboratory, 1988–2022
- Erratum
- Erratum to “Changes of immune cells in patients with hepatocellular carcinoma treated by radiofrequency ablation and hepatectomy, a pilot study”
- Erratum to “A two-microRNA signature predicts the progression of male thyroid cancer”
- Retraction
- Retraction of “Lidocaine has antitumor effect on hepatocellular carcinoma via the circ_DYNC1H1/miR-520a-3p/USP14 axis”
Articles in the same Issue
- Biomedical Sciences
- Effects of direct oral anticoagulants dabigatran and rivaroxaban on the blood coagulation function in rabbits
- The mother of all battles: Viruses vs humans. Can humans avoid extinction in 50–100 years?
- Knockdown of G1P3 inhibits cell proliferation and enhances the cytotoxicity of dexamethasone in acute lymphoblastic leukemia
- LINC00665 regulates hepatocellular carcinoma by modulating mRNA via the m6A enzyme
- Association study of CLDN14 variations in patients with kidney stones
- Concanavalin A-induced autoimmune hepatitis model in mice: Mechanisms and future outlook
- Regulation of miR-30b in cancer development, apoptosis, and drug resistance
- Informatic analysis of the pulmonary microecology in non-cystic fibrosis bronchiectasis at three different stages
- Swimming attenuates tumor growth in CT-26 tumor-bearing mice and suppresses angiogenesis by mediating the HIF-1α/VEGFA pathway
- Characterization of intestinal microbiota and serum metabolites in patients with mild hepatic encephalopathy
- Functional conservation and divergence in plant-specific GRF gene family revealed by sequences and expression analysis
- Application of the FLP/LoxP-FRT recombination system to switch the eGFP expression in a model prokaryote
- Biomedical evaluation of antioxidant properties of lamb meat enriched with iodine and selenium
- Intravenous infusion of the exosomes derived from human umbilical cord mesenchymal stem cells enhance neurological recovery after traumatic brain injury via suppressing the NF-κB pathway
- Effect of dietary pattern on pregnant women with gestational diabetes mellitus and its clinical significance
- Potential regulatory mechanism of TNF-α/TNFR1/ANXA1 in glioma cells and its role in glioma cell proliferation
- Effect of the genetic mutant G71R in uridine diphosphate-glucuronosyltransferase 1A1 on the conjugation of bilirubin
- Quercetin inhibits cytotoxicity of PC12 cells induced by amyloid-beta 25–35 via stimulating estrogen receptor α, activating ERK1/2, and inhibiting apoptosis
- Nutrition intervention in the management of novel coronavirus pneumonia patients
- circ-CFH promotes the development of HCC by regulating cell proliferation, apoptosis, migration, invasion, and glycolysis through the miR-377-3p/RNF38 axis
- Bmi-1 directly upregulates glucose transporter 1 in human gastric adenocarcinoma
- Lacunar infarction aggravates the cognitive deficit in the elderly with white matter lesion
- Hydroxysafflor yellow A improved retinopathy via Nrf2/HO-1 pathway in rats
- Comparison of axon extension: PTFE versus PLA formed by a 3D printer
- Elevated IL-35 level and iTr35 subset increase the bacterial burden and lung lesions in Mycobacterium tuberculosis-infected mice
- A case report of CAT gene and HNF1β gene variations in a patient with early-onset diabetes
- Study on the mechanism of inhibiting patulin production by fengycin
- SOX4 promotes high-glucose-induced inflammation and angiogenesis of retinal endothelial cells by activating NF-κB signaling pathway
- Relationship between blood clots and COVID-19 vaccines: A literature review
- Analysis of genetic characteristics of 436 children with dysplasia and detailed analysis of rare karyotype
- Bioinformatics network analyses of growth differentiation factor 11
- NR4A1 inhibits the epithelial–mesenchymal transition of hepatic stellate cells: Involvement of TGF-β–Smad2/3/4–ZEB signaling
- Expression of Zeb1 in the differentiation of mouse embryonic stem cell
- Study on the genetic damage caused by cadmium sulfide quantum dots in human lymphocytes
- Association between single-nucleotide polymorphisms of NKX2.5 and congenital heart disease in Chinese population: A meta-analysis
- Assessment of the anesthetic effect of modified pentothal sodium solution on Sprague-Dawley rats
- Genetic susceptibility to high myopia in Han Chinese population
- Potential biomarkers and molecular mechanisms in preeclampsia progression
- Silencing circular RNA-friend leukemia virus integration 1 restrained malignancy of CC cells and oxaliplatin resistance by disturbing dyskeratosis congenita 1
- Endostar plus pembrolizumab combined with a platinum-based dual chemotherapy regime for advanced pulmonary large-cell neuroendocrine carcinoma as a first-line treatment: A case report
- The significance of PAK4 in signaling and clinicopathology: A review
- Sorafenib inhibits ovarian cancer cell proliferation and mobility and induces radiosensitivity by targeting the tumor cell epithelial–mesenchymal transition
- Characterization of rabbit polyclonal antibody against camel recombinant nanobodies
- Active legumain promotes invasion and migration of neuroblastoma by regulating epithelial-mesenchymal transition
- Effect of cell receptors in the pathogenesis of osteoarthritis: Current insights
- MT-12 inhibits the proliferation of bladder cells in vitro and in vivo by enhancing autophagy through mitochondrial dysfunction
- Study of hsa_circRNA_000121 and hsa_circRNA_004183 in papillary thyroid microcarcinoma
- BuyangHuanwu Decoction attenuates cerebral vasospasm caused by subarachnoid hemorrhage in rats via PI3K/AKT/eNOS axis
- Effects of the interaction of Notch and TLR4 pathways on inflammation and heart function in septic heart
- Monosodium iodoacetate-induced subchondral bone microstructure and inflammatory changes in an animal model of osteoarthritis
- A rare presentation of type II Abernethy malformation and nephrotic syndrome: Case report and review
- Rapid death due to pulmonary epithelioid haemangioendothelioma in several weeks: A case report
- Hepatoprotective role of peroxisome proliferator-activated receptor-α in non-cancerous hepatic tissues following transcatheter arterial embolization
- Correlation between peripheral blood lymphocyte subpopulations and primary systemic lupus erythematosus
- A novel SLC8A1-ALK fusion in lung adenocarcinoma confers sensitivity to alectinib: A case report
- β-Hydroxybutyrate upregulates FGF21 expression through inhibition of histone deacetylases in hepatocytes
- Identification of metabolic genes for the prediction of prognosis and tumor microenvironment infiltration in early-stage non-small cell lung cancer
- BTBD10 inhibits glioma tumorigenesis by downregulating cyclin D1 and p-Akt
- Mucormycosis co-infection in COVID-19 patients: An update
- Metagenomic next-generation sequencing in diagnosing Pneumocystis jirovecii pneumonia: A case report
- Long non-coding RNA HOXB-AS1 is a prognostic marker and promotes hepatocellular carcinoma cells’ proliferation and invasion
- Preparation and evaluation of LA-PEG-SPION, a targeted MRI contrast agent for liver cancer
- Proteomic analysis of the liver regulating lipid metabolism in Chaohu ducks using two-dimensional electrophoresis
- Nasopharyngeal tuberculosis: A case report
- Characterization and evaluation of anti-Salmonella enteritidis activity of indigenous probiotic lactobacilli in mice
- Aberrant pulmonary immune response of obese mice to periodontal infection
- Bacteriospermia – A formidable player in male subfertility
- In silico and in vivo analysis of TIPE1 expression in diffuse large B cell lymphoma
- Effects of KCa channels on biological behavior of trophoblasts
- Interleukin-17A influences the vulnerability rather than the size of established atherosclerotic plaques in apolipoprotein E-deficient mice
- Multiple organ failure and death caused by Staphylococcus aureus hip infection: A case report
- Prognostic signature related to the immune environment of oral squamous cell carcinoma
- Primary and metastatic squamous cell carcinoma of the thyroid gland: Two case reports
- Neuroprotective effects of crocin and crocin-loaded niosomes against the paraquat-induced oxidative brain damage in rats
- Role of MMP-2 and CD147 in kidney fibrosis
- Geometric basis of action potential of skeletal muscle cells and neurons
- Babesia microti-induced fulminant sepsis in an immunocompromised host: A case report and the case-specific literature review
- Role of cerebellar cortex in associative learning and memory in guinea pigs
- Application of metagenomic next-generation sequencing technique for diagnosing a specific case of necrotizing meningoencephalitis caused by human herpesvirus 2
- Case report: Quadruple primary malignant neoplasms including esophageal, ureteral, and lung in an elderly male
- Long non-coding RNA NEAT1 promotes angiogenesis in hepatoma carcinoma via the miR-125a-5p/VEGF pathway
- Osteogenic differentiation of periodontal membrane stem cells in inflammatory environments
- Knockdown of SHMT2 enhances the sensitivity of gastric cancer cells to radiotherapy through the Wnt/β-catenin pathway
- Continuous renal replacement therapy combined with double filtration plasmapheresis in the treatment of severe lupus complicated by serious bacterial infections in children: A case report
- Simultaneous triple primary malignancies, including bladder cancer, lymphoma, and lung cancer, in an elderly male: A case report
- Preclinical immunogenicity assessment of a cell-based inactivated whole-virion H5N1 influenza vaccine
- One case of iodine-125 therapy – A new minimally invasive treatment of intrahepatic cholangiocarcinoma
- S1P promotes corneal trigeminal neuron differentiation and corneal nerve repair via upregulating nerve growth factor expression in a mouse model
- Early cancer detection by a targeted methylation assay of circulating tumor DNA in plasma
- Calcifying nanoparticles initiate the calcification process of mesenchymal stem cells in vitro through the activation of the TGF-β1/Smad signaling pathway and promote the decay of echinococcosis
- Evaluation of prognostic markers in patients infected with SARS-CoV-2
- N6-Methyladenosine-related alternative splicing events play a role in bladder cancer
- Characterization of the structural, oxidative, and immunological features of testis tissue from Zucker diabetic fatty rats
- Effects of glucose and osmotic pressure on the proliferation and cell cycle of human chorionic trophoblast cells
- Investigation of genotype diversity of 7,804 norovirus sequences in humans and animals of China
- Characteristics and karyotype analysis of a patient with turner syndrome complicated with multiple-site tumors: A case report
- Aggravated renal fibrosis is positively associated with the activation of HMGB1-TLR2/4 signaling in STZ-induced diabetic mice
- Distribution characteristics of SARS-CoV-2 IgM/IgG in false-positive results detected by chemiluminescent immunoassay
- SRPX2 attenuated oxygen–glucose deprivation and reperfusion-induced injury in cardiomyocytes via alleviating endoplasmic reticulum stress-induced apoptosis through targeting PI3K/Akt/mTOR axis
- Aquaporin-8 overexpression is involved in vascular structure and function changes in placentas of gestational diabetes mellitus patients
- Relationship between CRP gene polymorphisms and ischemic stroke risk: A systematic review and meta-analysis
- Effects of growth hormone on lipid metabolism and sexual development in pubertal obese male rats
- Cloning and identification of the CTLA-4IgV gene and functional application of vaccine in Xinjiang sheep
- Antitumor activity of RUNX3: Upregulation of E-cadherin and downregulation of the epithelial–mesenchymal transition in clear-cell renal cell carcinoma
- PHF8 promotes osteogenic differentiation of BMSCs in old rat with osteoporosis by regulating Wnt/β-catenin pathway
- A review of the current state of the computer-aided diagnosis (CAD) systems for breast cancer diagnosis
- Bilateral dacryoadenitis in adult-onset Still’s disease: A case report
- A novel association between Bmi-1 protein expression and the SUVmax obtained by 18F-FDG PET/CT in patients with gastric adenocarcinoma
- The role of erythrocytes and erythroid progenitor cells in tumors
- Relationship between platelet activation markers and spontaneous abortion: A meta-analysis
- Abnormal methylation caused by folic acid deficiency in neural tube defects
- Silencing TLR4 using an ultrasound-targeted microbubble destruction-based shRNA system reduces ischemia-induced seizures in hyperglycemic rats
- Plant Sciences
- Seasonal succession of bacterial communities in cultured Caulerpa lentillifera detected by high-throughput sequencing
- Cloning and prokaryotic expression of WRKY48 from Caragana intermedia
- Novel Brassica hybrids with different resistance to Leptosphaeria maculans reveal unbalanced rDNA signal patterns
- Application of exogenous auxin and gibberellin regulates the bolting of lettuce (Lactuca sativa L.)
- Phytoremediation of pollutants from wastewater: A concise review
- Genome-wide identification and characterization of NBS-encoding genes in the sweet potato wild ancestor Ipomoea trifida (H.B.K.)
- Alleviative effects of magnetic Fe3O4 nanoparticles on the physiological toxicity of 3-nitrophenol to rice (Oryza sativa L.) seedlings
- Selection and functional identification of Dof genes expressed in response to nitrogen in Populus simonii × Populus nigra
- Study on pecan seed germination influenced by seed endocarp
- Identification of active compounds in Ophiopogonis Radix from different geographical origins by UPLC-Q/TOF-MS combined with GC-MS approaches
- The entire chloroplast genome sequence of Asparagus cochinchinensis and genetic comparison to Asparagus species
- Genome-wide identification of MAPK family genes and their response to abiotic stresses in tea plant (Camellia sinensis)
- Selection and validation of reference genes for RT-qPCR analysis of different organs at various development stages in Caragana intermedia
- Cloning and expression analysis of SERK1 gene in Diospyros lotus
- Integrated metabolomic and transcriptomic profiling revealed coping mechanisms of the edible and medicinal homologous plant Plantago asiatica L. cadmium resistance
- A missense variant in NCF1 is associated with susceptibility to unexplained recurrent spontaneous abortion
- Assessment of drought tolerance indices in faba bean genotypes under different irrigation regimes
- The entire chloroplast genome sequence of Asparagus setaceus (Kunth) Jessop: Genome structure, gene composition, and phylogenetic analysis in Asparagaceae
- Food Science
- Dietary food additive monosodium glutamate with or without high-lipid diet induces spleen anomaly: A mechanistic approach on rat model
- Binge eating disorder during COVID-19
- Potential of honey against the onset of autoimmune diabetes and its associated nephropathy, pancreatitis, and retinopathy in type 1 diabetic animal model
- FTO gene expression in diet-induced obesity is downregulated by Solanum fruit supplementation
- Physical activity enhances fecal lactobacilli in rats chronically drinking sweetened cola beverage
- Supercritical CO2 extraction, chemical composition, and antioxidant effects of Coreopsis tinctoria Nutt. oleoresin
- Functional constituents of plant-based foods boost immunity against acute and chronic disorders
- Effect of selenium and methods of protein extraction on the proteomic profile of Saccharomyces yeast
- Microbial diversity of milk ghee in southern Gansu and its effect on the formation of ghee flavor compounds
- Ecology and Environmental Sciences
- Effects of heavy metals on bacterial community surrounding Bijiashan mining area located in northwest China
- Microorganism community composition analysis coupling with 15N tracer experiments reveals the nitrification rate and N2O emissions in low pH soils in Southern China
- Genetic diversity and population structure of Cinnamomum balansae Lecomte inferred by microsatellites
- Preliminary screening of microplastic contamination in different marine fish species of Taif market, Saudi Arabia
- Plant volatile organic compounds attractive to Lygus pratensis
- Effects of organic materials on soil bacterial community structure in long-term continuous cropping of tomato in greenhouse
- Effects of soil treated fungicide fluopimomide on tomato (Solanum lycopersicum L.) disease control and plant growth
- Prevalence of Yersinia pestis among rodents captured in a semi-arid tropical ecosystem of south-western Zimbabwe
- Effects of irrigation and nitrogen fertilization on mitigating salt-induced Na+ toxicity and sustaining sea rice growth
- Bioengineering and Biotechnology
- Poly-l-lysine-caused cell adhesion induces pyroptosis in THP-1 monocytes
- Development of alkaline phosphatase-scFv and its use for one-step enzyme-linked immunosorbent assay for His-tagged protein detection
- Development and validation of a predictive model for immune-related genes in patients with tongue squamous cell carcinoma
- Agriculture
- Effects of chemical-based fertilizer replacement with biochar-based fertilizer on albic soil nutrient content and maize yield
- Genome-wide identification and expression analysis of CPP-like gene family in Triticum aestivum L. under different hormone and stress conditions
- Agronomic and economic performance of mung bean (Vigna radiata L.) varieties in response to rates of blended NPS fertilizer in Kindo Koysha district, Southern Ethiopia
- Influence of furrow irrigation regime on the yield and water consumption indicators of winter wheat based on a multi-level fuzzy comprehensive evaluation
- Discovery of exercise-related genes and pathway analysis based on comparative genomes of Mongolian originated Abaga and Wushen horse
- Lessons from integrated seasonal forecast-crop modelling in Africa: A systematic review
- Evolution trend of soil fertility in tobacco-planting area of Chenzhou, Hunan Province, China
- Animal Sciences
- Morphological and molecular characterization of Tatera indica Hardwicke 1807 (Rodentia: Muridae) from Pothwar, Pakistan
- Research on meat quality of Qianhua Mutton Merino sheep and Small-tail Han sheep
- SI: A Scientific Memoir
- Suggestions on leading an academic research laboratory group
- My scientific genealogy and the Toronto ACDC Laboratory, 1988–2022
- Erratum
- Erratum to “Changes of immune cells in patients with hepatocellular carcinoma treated by radiofrequency ablation and hepatectomy, a pilot study”
- Erratum to “A two-microRNA signature predicts the progression of male thyroid cancer”
- Retraction
- Retraction of “Lidocaine has antitumor effect on hepatocellular carcinoma via the circ_DYNC1H1/miR-520a-3p/USP14 axis”