Abstract
Caragana intermedia (C. intermedia) is a kind of drought-tolerant leguminous shrub. WRKY transcription factors are one of the largest family of transcription factors in plants and play critical regulatory roles in stress tolerance and the development of plants. In our study, CiWRKY48 was cloned from C. intermedia, analyzed using bioinformatics software, and expressed with a prokaryotic expression system. The results showed that the open reading frame (ORF) of CiWRKY48 was 1158bp, the molecular weight (MW) was 42 kDa, and its subcellular localization was in the nucleus. Additionally, fusion protein was obtained, and confirmed by western blotting. The stress resistance of the pET30a-His-MBP-CiWRKY48 transformed Escherichia coli expression strain was reduced under mannitol and salt treatment, compared with the control. Overall, our findings provided a foundation for uncovering the function of CiWRKY48.
1 Introduction
WRKY transcription factors are among the largest family of transcription factors in plants, and are named because of the highly conserved WRKY domain, containing 60 amino acids. According to the number of WRKY domains at the amino terminus and the types of zinc lipid domains at the carboxyl terminus, they were classified into three categories. The first category had two WRKY and C2H2 zinc lipid domains, the second category had one WRKY and C2H2 zinc lipid domain, and the third category had one WRKY and C2HC zinc lipid domain. The second type can be further subdivided into five subclasses from IIA to IIE based on other conserved amino acid sequences except for the WRKY domain [1]. The primary function of WRKY is to regulate the expression of downstream genes, so as to regulate the response of plants to the external environment [2]. It then plays an important regulatory role in plant response to various abiotic stresses [3,4], disease resistance [5], metabolism [6], and development[7,8].
The Escherichia coli (E. coli) expression system (prokaryotic expression system) is universal because it allows for high levels of heterologous protein expression [9], has a high growth rate on inexpensive substrates, and is relatively simple to operate [10]. Due to the above advantages, many heterologous proteins [11,12,13] are expressed in this system to study their functions. However, there are also some problems with the system, such as protein does not readily form in the supernatant and ubiquitously form inclusion bodies. In order to improve protein expression, in addition to changing the induction conditions, such as lowering the induction temperature and inducer concentration, some fusion tags can also be added to the prokaryotic expression vector or protein sequence, such as GST, NusA, MBP, and SUM [14]. As a result, the protein expressed in the host by these tags usually will be highly soluble. In addition, fusion tags are used to detect and purify the target protein and sometimes help transport the target protein to the periplasm to improve the biological activity of the target protein. Thus, we chose pET30a-His and pET30a-His-MBP ligated with fusion tags of MBP ligated with CiWRKY48 to form fusion protein, respectively, to ensure successful protein expression.
C. intermedia, commonly known as a bush forage, belongs to the legume family, grows in arid and semi-arid regions, and has resistance to adversity with high economic and ecological value [15]. WRKY transcription factors have a variety of biological functions, and currently, 53 WRKY transcription factors have been found in the transcriptome database of C. intermedia. Analysis of the expression pattern of CiWRKY48 indicates that it may be involved in response to abiotic stress in previous studies [16]. Therefore, it is necessary to study CiWRKY48. Nowadays, plant expression systems will take a long time to express proteins, so the prokaryotic expression system was selected to express CiWRKY48, allowing us to understand its properties and functions. In our study, we primarily analyzed the properties of CiWRKY48 using bioinformatics software and constructed the fusion expression vector of pET30a-His-CiWRKY48 and pET30a-His-MBP-CiWRKY48 to express the protein in the prokaryotic expression system to lay the groundwork for the research of CiWRKY48.
2 Materials and methods
2.1 Bacterial strains, plasmids, and reagents
Trans1-T1 phage-resistant chemically competent cells of Escherichia coli (E. coli) colony strain and pEASY ®-Blunt Simple Cloning vector were purchased from TransGen Biotech. C+ chemically competent cells of E. coli expression strain, pET30-His-MBP, and pET30-His-MBP expression vector were from in our laboratory. The RNAprep pure Plant kit (DP432), the Plant Genomic DNA kit (DP305), and the common agarose gel DNA recovery kit (DP209) were purchased from TIANGEN. PrimerSTAR Max DNA polymerase and T4 DNA polymerase were purchased from TaKaRa.
2.2 Culture conditions of plants
The material of this study was C. intermedia cultured in the greenhouse. The culture conditions were as follows: vegetative soil and vermiculite (V/V = 1:3), a long-day photoperiod (16-h light/8-h dark), relative humidity of about 30%, and culture temperature of about 25°C. When the seedlings of C. intermedia grew for 3 weeks, the aboveground part of each plant was taken and frozen with liquid nitrogen and stored at −80°C.
2.3 Gene cloning and vector construction
DNA and RNA were extracted from C. intermedia, and RNA was reversely transcribed into cDNA. The target gene fragment was amplified by polymerase chain reaction (PCR) using DNA and cDNA as templates. Primer Sequence, forward primer 5′-TACTTCCAATCCAATGCCATGGAGGAGAAGAGAGAG-3′, and reverse primer 5′-TTATCCACTTCCAATGTTATGATCTTCCTTCTCCAGC-3′ were synthesized by Sangon Biotech. PCR products were purified and then linked to a cloning vector transformed into Trans1-T1 cells for sequencing. The empty expression vector was digested and linearized by SspI. Both the linear vector and the PCR product were then treated with T4 DNA polymerase and the two treated fragments were mixed and linked by natural annealing.
2.4 Bioinformatics analysis
The amino acid sequences were obtained from NCBI, including Arabidopsis thaliana WRKY48 (AtWRKY48), Gossypium hirsutum WRKY48 (GhWRKY48), Populus tomentosa WRKY48 (PtWRKY48), Spatholobus suberectus WRKY48 (SsWRKY48), and Zea mays WRKY48 (ZmWRKY48). The Caragana intermedia WRKY48 (CiWRKY48) nucleotide sequence was obtained from the transcriptome database in our Laboratory Then, it was translated into amino acid sequences by the software of primer premier 5. Other software programs required in this study were DNAMAN, MEGA7, ProtParam, ProtScale, NetPhos 3.1 Server, WoLF PSORT, WISS-MODEL, and Novo-Pro.
2.5 Protein prokaryotic expression
First, the fusion expression vectors pET30a-His-CiWRKY48, pET30a-His-MBP-CiWRKY48, and pET30a-His-MBP were transformed into Trans1-T1 cells for amplification and then transformed into C+ cells for expression of the protein. The bacteria were cultured in LB (50 µg/mL Kana) overnight (shaking table at 37°C, 200 rpm). Then, the cultivation was extended with a scale of 1:100 for 3 h to induce protein expression with 0.25 mM IPTG, followed by further culturing for 12 h (16°C, 200 rpm). After that, bacteria were collected by centrifugation and was resuspended in NTA0 buffer. The bacteria were broken by ultrasonication (4°C), and then the supernatant and pellet were collected by centrifugation (4°C); the protein was purified by Ni-NTA resin. Finally, the supernatant, pellet, and the purified product were separated for electrophoresis on 10% SDS-PAGE. These proteins were visualized using Coomassie brilliant blue (CBB) staining. Finally, the image was saved using an Amersham Imager 600 (AI600).
2.6 Western blotting (WB)
The purified protein (20 µL; added 5 µL of 5× loading buffer) was boiled for 5 min to perform electrophoresis on 10% SDS-PAGE. The next steps were as follows: transferring the PVDF membrane, blocking (TBST buffer containing 5% milk m/v), incubating with first antibody (His-Tag antibody, 4°C overnight), washing with TBST (6 times, 5 min each time), incubating with secondary antibody (shaking table at 25°C, 70 rpm, 2 h), washing with TBST, adding enhanced chemiluminescent (ECL) and observing the PVDF membrane using a AI600 for chemiluminescence.
2.7 Stress resistance test of expression strain
Expression strain (transformed with the fusion expression vectors pET30a-His-MBP-CiWRKY48 and pET30a-His-MBP) was cultured in LB (50 µg/mL Kana) to OD600 = 0.8, and IPTG (0.25 mM) was added for induction for 1 h. After that, 200 µL of the bacteria solution was taken to a 20 mL LB stress medium (0, 200, 300, 400, 500 mM NaCl; 0, 400, 500, 800, 1,000 mM mannitol) for culturing for 12 h. The OD600 value of the bacteria solution was measured with a spectrophotometer.
3 Results
3.1 CiWRKY48 cloning and sequence analysis
A high-fidelity enzyme PrimeSTAR was used to amplify CiWRKY48, and PCR products were purified using a common agarose gel DNA recovery kit to attach the cloning vector for sequencing by Sangon Biotec. The sequencing results were analyzed with software (DNAMAN), and showed that the full length gDNA of CiWRKY48 was 1,686 bp, containing 2 introns, and ORF was 1,158 bp, encoding a protein of 385 amino acids as shown in Figure 1.

Nucleotide sequence and amino acid sequences of CiWRKY48: the upper row of line numbers represents the sequence of nucleic acids (the capital letters represent the sequence of exons and the lowercase letters represent the sequence of introns) and the lower row represents the sequence of amino acids.
3.2 Bioinformatics analysis
Multiple sequence alignment with DNAMAN showed that the amino acid sequences of AtWRKY48, GhWRKY48, PtWRKY48, SsWRKY48, and ZmWRKY48 had high similarity with CiWRKY48 and contained one WRKY domain and C2H2 zinc lipid domain. From previous research of phylogenetic analysis [16], it belonged to the group IIc WRKY family as shown in Figure 2. Phylogenetic analysis by MEGA7 showed that CiWRKY48 had the highest similarity to SsWRKY48 as shown in Figure 3, and CiWRKY48 and SsWRKY48 were all part of the legume WRKY proteins.

Multiple sequence alignment of CiWRKY48 with its homologs from other species.

Phylogenetic analysis of CiWRKY48 with its homologs from other species.
The physical and chemical properties of the CiWRKY48 protein were predicted by ProtParam, ProtScale, and NetPhos 3.1 Server. The results show that the molecular weight (MW) of CiWRKY48 was 42 kDa, the protein instability index was 59.07 U, the theoretical pI was 6.15, and the hydrophilic average coefficient was −0.806, and, according to the rule that the lower the amino acid score is, the stronger the hydrophilic and the higher the score is, the stronger the hydrophobicity is, the amino acids between +0.5 and −0.5 are mainly amphoteric amino acids, so the protein is a hydrophilic protein. The amino acid phosphorylation sites of WRKY48 contained 35 serines, 14 threonines, and 4 tyrosines, as shown in Figure 4.

Bioinformatics analysis of CiWRKY48: (a) The 3D structure prediction diagram; (b) phosphorylation site prediction map; (c) signal peptide prediction map; and (d) transmembrane doamain prediction of CiWRKY48.
The subcellular localization by WoLF PSORT indicated that WRKY48 was localized in the nucleus. The three dimensional (3D) structure prediction of WRKY48 protein by the WISS-MODEL showed that the protein was made up of five β-sheet (Figure 4). In addition, the present rate of the predicted signal peptide sequence was very low (only 0.08%), and there was no transmembrane domain by Novo-Pro prediction (Figure 4).
3.3 Prokaryotic protein expression and WB analysis
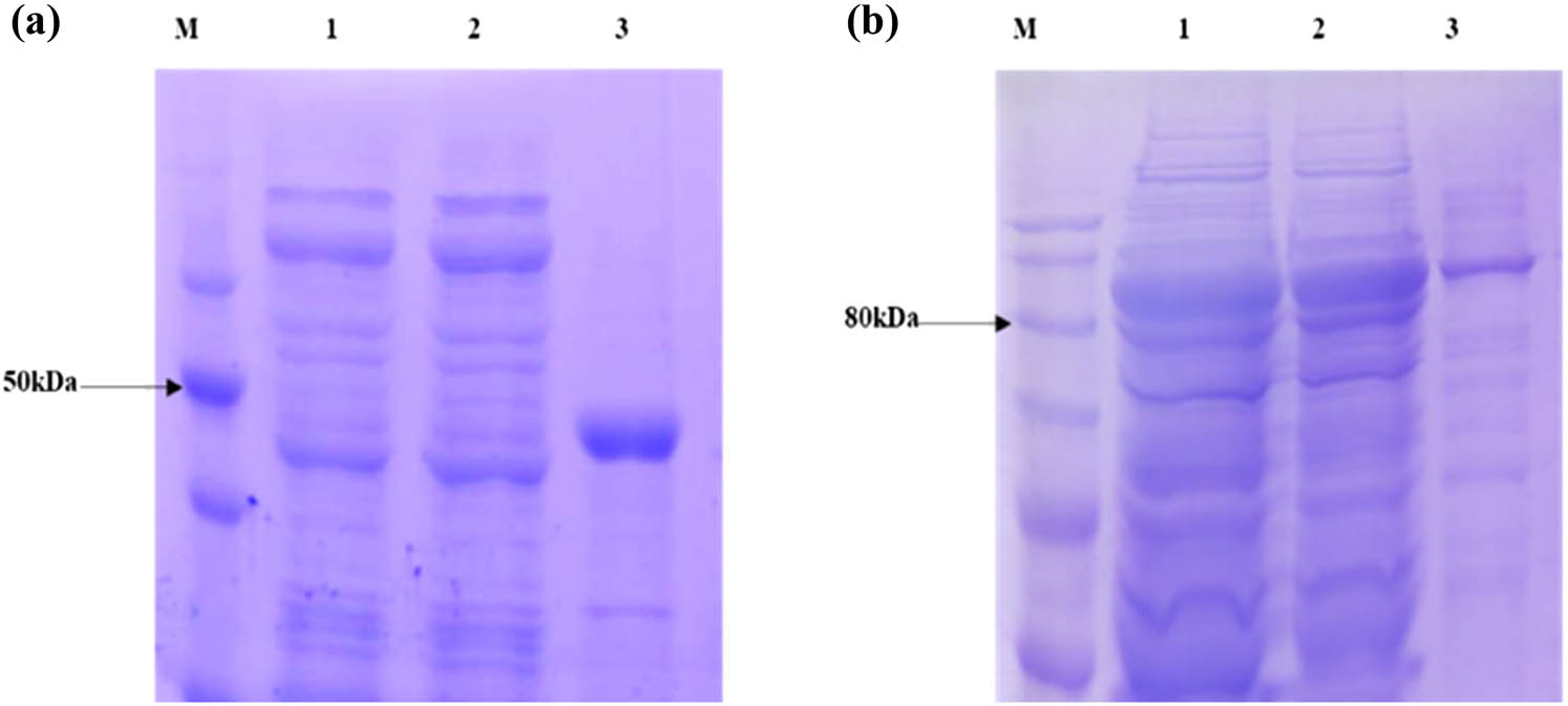
In our study, we chose pET30a-His and pET30a-His-MBP vectors with CiWRKY48 to form recombinant proteins, respectively, and found that the former is expressed only in the precipitate, but the latter was expressed in both supernatant and pellet. In total, the latter had a better-expressed effect, as shown in Figure 5.

The SDS-PAGE gel electrophoresis of the expressed pET30a-His-CiWRKY48 and pET30a-His-MBP-CiWRKY48 proteins (a) pET30a-His-CiWRKY48; (b) pET30a-His-MBP-CiWRKY48 protein expression, M, Maker; lanes 1-2, supernatant; and lane 3, pellet.
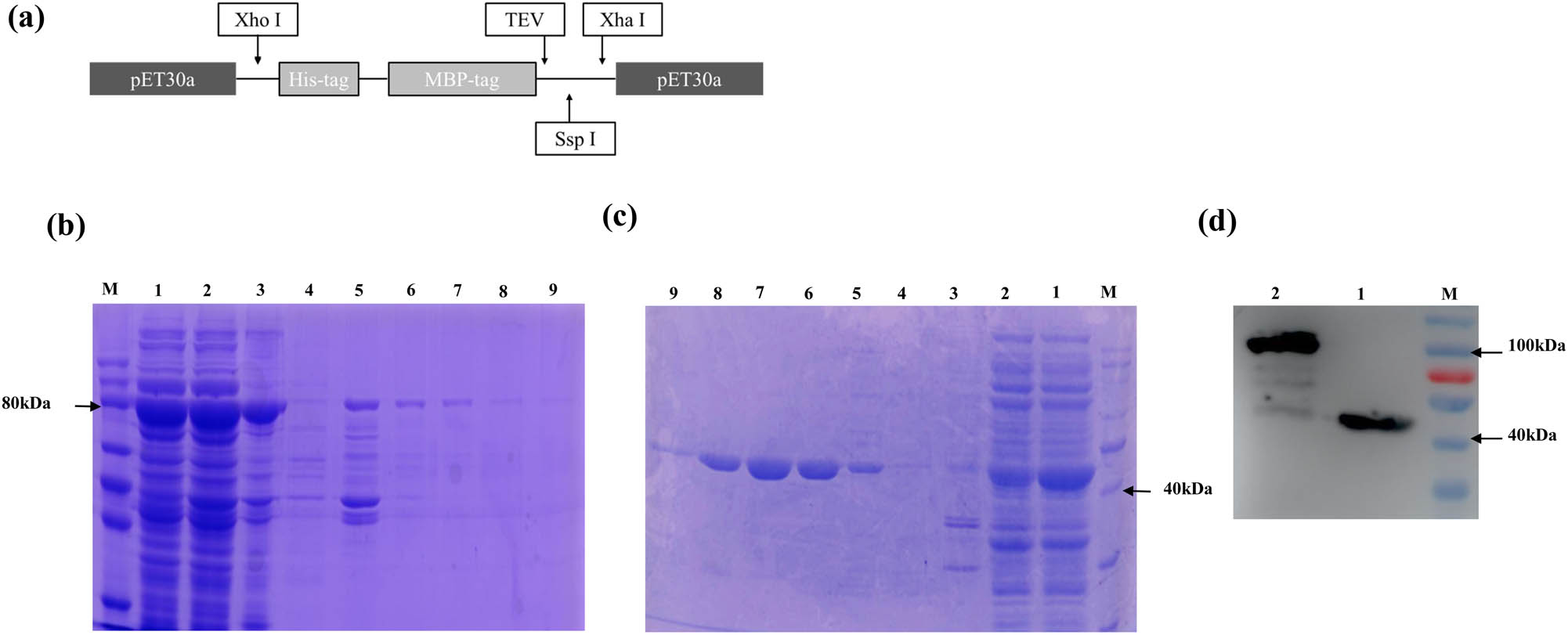
These two fusion proteins, pET30a-His-MBP-CiWRKY48, and pET30a-His-MBP (used as the control), containing a histidine tag, respectively, were successfully induced and expressed in the prokaryotic expression system. They were purified through the Ni-NTA resin and verified by WB with His-Tag antibody. The results showed that the fusion target proteins pET30a-His-MBP-CiWRKY48 (86 kDa) and pET30a-His-MBP (44 kDa) were obtained (Fig. 6).

Purification of His-MBP-CiWRKY48 and His-MBP protein as well as the WB verification. (a) The position of each element on the plasmid pET30a; (b) the SDS-PAGE of the purified pET30a-His-MBP-CiWRKY48 protein; (c) the SDS-PAGE of the purified pET30a-His-MBP protein, M, Maker; lane 1, supernatant; lane 2, the flow through; lane 3, pellet; lane 4, NTA0; lane 5, NTA10; lane 6, NTA30; lane 7, NTA50; lane 8, NTA100; lane 9, NTA200; (d) the WB of the purified His-MBP-CiWRKY48 and His-MBP proteins. M, Maker; lane 1, His-MBP protein; lane 2 NTA50-eluted His-MBP-CiWRKY48 protein.
3.4 Stress resistance test of the expression strain
The expression strain was tested for resistance to salt and mannitol treatment, as shown in Figure 7; the results showed that the E. coli expression strain (transformed with pET30a-His-MBP-CiWRKY48) was more sensitive than the control (transformed with pET30a-His-MBP).

The growth status of the expression strains under salt and mannitol treatments. (a) Indicates treatment under different concentrations of NaCl ; (b) indicates treatment under different concentrations of mannitol.
4 Discussion
C. intermedia is considered an ecological restoration species due to its drought tolerance, which indicates that it plays an important role in adapting stress resistance. WRKY transcription factors are one of the largest family of transcription factors in plants and play important roles in various aspects of plants. According to the current research on the expression patterns of WRKY transcription factors in C. intermedia, WRKY transcription factors may play a role in stress signaling pathways [16]. Furthermore, studies about WRKY prokaryotic proteins of C. intermedia have not been reported. For the above reasons, the goal of this study was to understand the properties of the protein and get a preliminary understanding of its resistance.
The prokaryotic expression system is one system that was operated easily and took less time to express heterologous proteins, including plant proteins [17,18,19]. At present, a wide range of plant proteins have been expressed using this system and are directly used for functional studies [17,20] or interaction experiments in vitro [21,22,23]. Based on the above reasons, the CiWRKY48 protein was expressed in a prokaryotic expression system. However, to successfully express CiWRKY48, two expression vectors with different tags were linked to CiWRKY48 and transformed into the protein-expressing strain. The results demonstrated that the protein with fusion tags of Mbp could be expressed more effectively. Following that, the protein was purified using the Ni-NTA resin and verified by WB; according to the WB verification results, the target protein was indeed expressed. To better understand the target protein’s resistance, the expression strain was tested for the resistance towards mannitol and salt, and the result revealed that the expression strain was sensitive to mannitol and salt. CiWRKY48, as a plant protein, may have its own special stress response mechanism in a plant, so it is necessary to conduct further functional studies in a plant expression system. In conclusion, CiWRKY48 was mainly expressed in the prokaryotic expression system in our study, which will help us understand the basic properties of the protein and lay a foundation for functional studies or interaction experiments in vitro.
5 Conclusion
The protein CiWRKY48 was successfully induced and expressed with a prokaryotic expression system, and conducted a stress resistance test of the expression strain. These above results laid a foundation for the functional study of this protein.
-
Funding information: This work was financially supported by the National Natural Science Foundation of China (No. 31860217); the High-level Talents Research Initiation Project Mission of Inner Mongolia Agricultural University (NDYB2018-61); the University Scientific and Technological Innovation Team Project of Inner Mongolia (NMGIRT2222).
-
Author contributions: J.L. carried out the experiment and prepared the draft of the manuscript. Y.W. and G.L. conceived and designed the experiments. R.W. prepared the material. J.L. contributed to data analysis. All authors read and approved the final manuscript.
-
Conflict of interest: Authors state no conflict of interest.
-
Data availability statement: The datasets generated during and/or analyzed during the current study are available from the corresponding author on reasonable request.
References
[1] Rushton PJ, Somssich IE, Ringler P, Shen QJ. WRKY transcription factors. Trends Plant Sci. 2010;15:247–58.10.1016/j.tplants.2010.02.006Search in Google Scholar PubMed
[2] Ulker B, Somssich IE. WRKY transcription factors: from DNA binding towards biological function. Curr Opin Plant Biol. 2004;7:491–8.10.1016/j.pbi.2004.07.012Search in Google Scholar PubMed
[3] Chen L, Song Y, Li S, Zhang L, Zou C, Yu D. The role of WRKY transcription factors in plant abiotic stresses. Biochim Biophys Acta-Gene Regulatory Mech. 2012;1819:120–8.10.1016/j.bbagrm.2011.09.002Search in Google Scholar PubMed
[4] Li W, Pang S, Lu Z, Jin B. Function and mechanism of WRKY transcription factors in abiotic stress responses of plants. Plants. 2020;9:1515.10.3390/plants9111515Search in Google Scholar PubMed PubMed Central
[5] Eulgem T, Somssich IE. Networks of WRKY transcription factors in defense signaling. Curr Opin Plant Biol. 2007;10:366–71.10.1016/j.pbi.2007.04.020Search in Google Scholar PubMed
[6] Meraj TA, Fu J, Raza MA, Zhu C, Shen Q, Xu D, et al. Transcriptional factors regulate plant stress responses through mediating secondary metabolism. Genes (Basel). 2020;11:346.10.3390/genes11040346Search in Google Scholar PubMed PubMed Central
[7] Liu L, Xu W, Hu X, Liu H, Lin Y. W-box and G-box elements play important roles in early senescence of rice flag leaf. Sci Rep. 2016;6:20881.10.1038/srep20881Search in Google Scholar PubMed PubMed Central
[8] Huang J, Chen F, Wu S, Li J, Xu W. Cotton GhMYB7 is predominantly expressed in developing fibers and regulates secondary cell wall biosynthesis in transgenic Arabidopsis. Sci China Life Sci. 2016;59:194–205.10.1007/s11427-015-4991-4Search in Google Scholar PubMed
[9] Rai M, Padh H. Expression systems for production of heterologous proteins. Curr Sci. 2000;80:1121–8.Search in Google Scholar
[10] Baneyx F, Mujacic M. Recombinant protein folding and misfolding in Escherichia coli. Nat Biotechnol. 2004;22:1399–408.10.1038/nbt1029Search in Google Scholar PubMed
[11] Li A, Sun K, Wang J, Wang S, Zhao X, Liu R, et al. Recombinant expression, purification and characterization of human soluble tumor necrosis factor receptor 2. Protein Expr Purif. 2021;182:105857.10.1016/j.pep.2021.105857Search in Google Scholar PubMed
[12] Djukic T, Mladenovic M, Stanic-Vucinic D, Radosavljevic J, Smiljanic K, Sabljic L, et al. Expression, purification and immunological characterization of recombinant nucleocapsid protein fragment from SARS-CoV-2. Virology. 2021;557:15–22.10.1016/j.virol.2021.01.004Search in Google Scholar PubMed PubMed Central
[13] Rostami N, Goharrizi LY. Cloning, expression, and purification of the human synthetic survivin protein in Escherichia Coli using response surface methodology (RSM). Mol Biotechnol. 2021 10.1007/s12033-021-00399-4.Search in Google Scholar PubMed
[14] Costa S, Almeida A, Castro A, Domingues L. Fusion tags for protein solubility, purification and immunogenicity in Escherichia coli: the novel Fh8 system. Front Microbiol. 2014;5:63.10.3389/fmicb.2014.00063Search in Google Scholar PubMed PubMed Central
[15] Zhang H, Ming T, Hui C, Tian Z, Xue Y, Ye F. Communities of arbuscular mycorrhizal fungi and bacteria in the rhizosphere of Caragana korshinkii and Hippophae rhamnoides in Zhifanggou watershed. Plant & Soil. 2010;326:415–24.10.1007/s11104-009-0022-1Search in Google Scholar
[16] Wan Y, Mao M, Wan D, Yang Q, Yang F, Mandlaa LG, et al. Identification of the WRKY gene family and functional analysis of two genes in Caragana intermedia. BMC Plant Biol. 2018;18:31.10.1186/s12870-018-1235-3Search in Google Scholar PubMed PubMed Central
[17] Tu J, Feng L, Hong Y, Liu Q, Huang X, Li Y. Prokaryotic expression of phosphoenolpyruvate carboxylase fragments from peanut and analysis of osmotic stress tolerance of recombinant strains. Plants. 2021;10:365.10.3390/plants10020365Search in Google Scholar PubMed PubMed Central
[18] He X, Zhang J, Wang S, Yang Z, Zhang H, Zhou X. Cloning, expression, purification, and biochemical characterization of CpxR protein from pectobacterium carotovorum. Biotechnol Appl Biochem. 2021:1–8. 10.1002/bab.2161.Search in Google Scholar PubMed
[19] Yu HY, Gao DM, Zhou W, Xia BB, He ZY, Wu B, et al. Expression, purification, and bioactivity of a soluble recombinant ovine Interferon-tau in Escherichia coli. J Veterinary Res. 2021;65:101–8.10.2478/jvetres-2021-0011Search in Google Scholar PubMed PubMed Central
[20] Jin Z, Li C, Wang L, Pei Y. Prokaryotic expression, purification and functional identification of epidermal pattern factors in Arabidopsis thaliana. Chin J Biotechnol. 2020;36:792–800.Search in Google Scholar
[21] Zhang D, Zhu Z, Gao J, Zhou X, Zhu S, Wang X, et al. The NPR1-WRKY46-WRKY6 signaling cascade mediates probenazole/salicylic acid-elicited leaf senescence in Arabidopsis thaliana. J Integr Plant Biol. 2021;63:924–36.10.1111/jipb.13044Search in Google Scholar PubMed
[22] Lei W, Li Y, Yao X, Qiao K, Wei L, Liu B, et al. NAP is involved in GA-mediated chlorophyll degradation and leaf senescence by interacting with DELLAs in Arabidopsis. Plant Cell Rep. 2020;39:75–87.10.1007/s00299-019-02474-2Search in Google Scholar PubMed
[23] Zhao XY, Qi CH, Jiang H, You CX, Guan QM, Ma FW, et al. The MdWRKY31 transcription factor binds to the MdRAV1 promoter to mediate ABA sensitivity. Horticulture Res. 2019;6:66.10.1038/s41438-019-0147-1Search in Google Scholar PubMed PubMed Central
© 2022 Jinhua Liu et al., published by De Gruyter
This work is licensed under the Creative Commons Attribution 4.0 International License.
Articles in the same Issue
- Biomedical Sciences
- Effects of direct oral anticoagulants dabigatran and rivaroxaban on the blood coagulation function in rabbits
- The mother of all battles: Viruses vs humans. Can humans avoid extinction in 50–100 years?
- Knockdown of G1P3 inhibits cell proliferation and enhances the cytotoxicity of dexamethasone in acute lymphoblastic leukemia
- LINC00665 regulates hepatocellular carcinoma by modulating mRNA via the m6A enzyme
- Association study of CLDN14 variations in patients with kidney stones
- Concanavalin A-induced autoimmune hepatitis model in mice: Mechanisms and future outlook
- Regulation of miR-30b in cancer development, apoptosis, and drug resistance
- Informatic analysis of the pulmonary microecology in non-cystic fibrosis bronchiectasis at three different stages
- Swimming attenuates tumor growth in CT-26 tumor-bearing mice and suppresses angiogenesis by mediating the HIF-1α/VEGFA pathway
- Characterization of intestinal microbiota and serum metabolites in patients with mild hepatic encephalopathy
- Functional conservation and divergence in plant-specific GRF gene family revealed by sequences and expression analysis
- Application of the FLP/LoxP-FRT recombination system to switch the eGFP expression in a model prokaryote
- Biomedical evaluation of antioxidant properties of lamb meat enriched with iodine and selenium
- Intravenous infusion of the exosomes derived from human umbilical cord mesenchymal stem cells enhance neurological recovery after traumatic brain injury via suppressing the NF-κB pathway
- Effect of dietary pattern on pregnant women with gestational diabetes mellitus and its clinical significance
- Potential regulatory mechanism of TNF-α/TNFR1/ANXA1 in glioma cells and its role in glioma cell proliferation
- Effect of the genetic mutant G71R in uridine diphosphate-glucuronosyltransferase 1A1 on the conjugation of bilirubin
- Quercetin inhibits cytotoxicity of PC12 cells induced by amyloid-beta 25–35 via stimulating estrogen receptor α, activating ERK1/2, and inhibiting apoptosis
- Nutrition intervention in the management of novel coronavirus pneumonia patients
- circ-CFH promotes the development of HCC by regulating cell proliferation, apoptosis, migration, invasion, and glycolysis through the miR-377-3p/RNF38 axis
- Bmi-1 directly upregulates glucose transporter 1 in human gastric adenocarcinoma
- Lacunar infarction aggravates the cognitive deficit in the elderly with white matter lesion
- Hydroxysafflor yellow A improved retinopathy via Nrf2/HO-1 pathway in rats
- Comparison of axon extension: PTFE versus PLA formed by a 3D printer
- Elevated IL-35 level and iTr35 subset increase the bacterial burden and lung lesions in Mycobacterium tuberculosis-infected mice
- A case report of CAT gene and HNF1β gene variations in a patient with early-onset diabetes
- Study on the mechanism of inhibiting patulin production by fengycin
- SOX4 promotes high-glucose-induced inflammation and angiogenesis of retinal endothelial cells by activating NF-κB signaling pathway
- Relationship between blood clots and COVID-19 vaccines: A literature review
- Analysis of genetic characteristics of 436 children with dysplasia and detailed analysis of rare karyotype
- Bioinformatics network analyses of growth differentiation factor 11
- NR4A1 inhibits the epithelial–mesenchymal transition of hepatic stellate cells: Involvement of TGF-β–Smad2/3/4–ZEB signaling
- Expression of Zeb1 in the differentiation of mouse embryonic stem cell
- Study on the genetic damage caused by cadmium sulfide quantum dots in human lymphocytes
- Association between single-nucleotide polymorphisms of NKX2.5 and congenital heart disease in Chinese population: A meta-analysis
- Assessment of the anesthetic effect of modified pentothal sodium solution on Sprague-Dawley rats
- Genetic susceptibility to high myopia in Han Chinese population
- Potential biomarkers and molecular mechanisms in preeclampsia progression
- Silencing circular RNA-friend leukemia virus integration 1 restrained malignancy of CC cells and oxaliplatin resistance by disturbing dyskeratosis congenita 1
- Endostar plus pembrolizumab combined with a platinum-based dual chemotherapy regime for advanced pulmonary large-cell neuroendocrine carcinoma as a first-line treatment: A case report
- The significance of PAK4 in signaling and clinicopathology: A review
- Sorafenib inhibits ovarian cancer cell proliferation and mobility and induces radiosensitivity by targeting the tumor cell epithelial–mesenchymal transition
- Characterization of rabbit polyclonal antibody against camel recombinant nanobodies
- Active legumain promotes invasion and migration of neuroblastoma by regulating epithelial-mesenchymal transition
- Effect of cell receptors in the pathogenesis of osteoarthritis: Current insights
- MT-12 inhibits the proliferation of bladder cells in vitro and in vivo by enhancing autophagy through mitochondrial dysfunction
- Study of hsa_circRNA_000121 and hsa_circRNA_004183 in papillary thyroid microcarcinoma
- BuyangHuanwu Decoction attenuates cerebral vasospasm caused by subarachnoid hemorrhage in rats via PI3K/AKT/eNOS axis
- Effects of the interaction of Notch and TLR4 pathways on inflammation and heart function in septic heart
- Monosodium iodoacetate-induced subchondral bone microstructure and inflammatory changes in an animal model of osteoarthritis
- A rare presentation of type II Abernethy malformation and nephrotic syndrome: Case report and review
- Rapid death due to pulmonary epithelioid haemangioendothelioma in several weeks: A case report
- Hepatoprotective role of peroxisome proliferator-activated receptor-α in non-cancerous hepatic tissues following transcatheter arterial embolization
- Correlation between peripheral blood lymphocyte subpopulations and primary systemic lupus erythematosus
- A novel SLC8A1-ALK fusion in lung adenocarcinoma confers sensitivity to alectinib: A case report
- β-Hydroxybutyrate upregulates FGF21 expression through inhibition of histone deacetylases in hepatocytes
- Identification of metabolic genes for the prediction of prognosis and tumor microenvironment infiltration in early-stage non-small cell lung cancer
- BTBD10 inhibits glioma tumorigenesis by downregulating cyclin D1 and p-Akt
- Mucormycosis co-infection in COVID-19 patients: An update
- Metagenomic next-generation sequencing in diagnosing Pneumocystis jirovecii pneumonia: A case report
- Long non-coding RNA HOXB-AS1 is a prognostic marker and promotes hepatocellular carcinoma cells’ proliferation and invasion
- Preparation and evaluation of LA-PEG-SPION, a targeted MRI contrast agent for liver cancer
- Proteomic analysis of the liver regulating lipid metabolism in Chaohu ducks using two-dimensional electrophoresis
- Nasopharyngeal tuberculosis: A case report
- Characterization and evaluation of anti-Salmonella enteritidis activity of indigenous probiotic lactobacilli in mice
- Aberrant pulmonary immune response of obese mice to periodontal infection
- Bacteriospermia – A formidable player in male subfertility
- In silico and in vivo analysis of TIPE1 expression in diffuse large B cell lymphoma
- Effects of KCa channels on biological behavior of trophoblasts
- Interleukin-17A influences the vulnerability rather than the size of established atherosclerotic plaques in apolipoprotein E-deficient mice
- Multiple organ failure and death caused by Staphylococcus aureus hip infection: A case report
- Prognostic signature related to the immune environment of oral squamous cell carcinoma
- Primary and metastatic squamous cell carcinoma of the thyroid gland: Two case reports
- Neuroprotective effects of crocin and crocin-loaded niosomes against the paraquat-induced oxidative brain damage in rats
- Role of MMP-2 and CD147 in kidney fibrosis
- Geometric basis of action potential of skeletal muscle cells and neurons
- Babesia microti-induced fulminant sepsis in an immunocompromised host: A case report and the case-specific literature review
- Role of cerebellar cortex in associative learning and memory in guinea pigs
- Application of metagenomic next-generation sequencing technique for diagnosing a specific case of necrotizing meningoencephalitis caused by human herpesvirus 2
- Case report: Quadruple primary malignant neoplasms including esophageal, ureteral, and lung in an elderly male
- Long non-coding RNA NEAT1 promotes angiogenesis in hepatoma carcinoma via the miR-125a-5p/VEGF pathway
- Osteogenic differentiation of periodontal membrane stem cells in inflammatory environments
- Knockdown of SHMT2 enhances the sensitivity of gastric cancer cells to radiotherapy through the Wnt/β-catenin pathway
- Continuous renal replacement therapy combined with double filtration plasmapheresis in the treatment of severe lupus complicated by serious bacterial infections in children: A case report
- Simultaneous triple primary malignancies, including bladder cancer, lymphoma, and lung cancer, in an elderly male: A case report
- Preclinical immunogenicity assessment of a cell-based inactivated whole-virion H5N1 influenza vaccine
- One case of iodine-125 therapy – A new minimally invasive treatment of intrahepatic cholangiocarcinoma
- S1P promotes corneal trigeminal neuron differentiation and corneal nerve repair via upregulating nerve growth factor expression in a mouse model
- Early cancer detection by a targeted methylation assay of circulating tumor DNA in plasma
- Calcifying nanoparticles initiate the calcification process of mesenchymal stem cells in vitro through the activation of the TGF-β1/Smad signaling pathway and promote the decay of echinococcosis
- Evaluation of prognostic markers in patients infected with SARS-CoV-2
- N6-Methyladenosine-related alternative splicing events play a role in bladder cancer
- Characterization of the structural, oxidative, and immunological features of testis tissue from Zucker diabetic fatty rats
- Effects of glucose and osmotic pressure on the proliferation and cell cycle of human chorionic trophoblast cells
- Investigation of genotype diversity of 7,804 norovirus sequences in humans and animals of China
- Characteristics and karyotype analysis of a patient with turner syndrome complicated with multiple-site tumors: A case report
- Aggravated renal fibrosis is positively associated with the activation of HMGB1-TLR2/4 signaling in STZ-induced diabetic mice
- Distribution characteristics of SARS-CoV-2 IgM/IgG in false-positive results detected by chemiluminescent immunoassay
- SRPX2 attenuated oxygen–glucose deprivation and reperfusion-induced injury in cardiomyocytes via alleviating endoplasmic reticulum stress-induced apoptosis through targeting PI3K/Akt/mTOR axis
- Aquaporin-8 overexpression is involved in vascular structure and function changes in placentas of gestational diabetes mellitus patients
- Relationship between CRP gene polymorphisms and ischemic stroke risk: A systematic review and meta-analysis
- Effects of growth hormone on lipid metabolism and sexual development in pubertal obese male rats
- Cloning and identification of the CTLA-4IgV gene and functional application of vaccine in Xinjiang sheep
- Antitumor activity of RUNX3: Upregulation of E-cadherin and downregulation of the epithelial–mesenchymal transition in clear-cell renal cell carcinoma
- PHF8 promotes osteogenic differentiation of BMSCs in old rat with osteoporosis by regulating Wnt/β-catenin pathway
- A review of the current state of the computer-aided diagnosis (CAD) systems for breast cancer diagnosis
- Bilateral dacryoadenitis in adult-onset Still’s disease: A case report
- A novel association between Bmi-1 protein expression and the SUVmax obtained by 18F-FDG PET/CT in patients with gastric adenocarcinoma
- The role of erythrocytes and erythroid progenitor cells in tumors
- Relationship between platelet activation markers and spontaneous abortion: A meta-analysis
- Abnormal methylation caused by folic acid deficiency in neural tube defects
- Silencing TLR4 using an ultrasound-targeted microbubble destruction-based shRNA system reduces ischemia-induced seizures in hyperglycemic rats
- Plant Sciences
- Seasonal succession of bacterial communities in cultured Caulerpa lentillifera detected by high-throughput sequencing
- Cloning and prokaryotic expression of WRKY48 from Caragana intermedia
- Novel Brassica hybrids with different resistance to Leptosphaeria maculans reveal unbalanced rDNA signal patterns
- Application of exogenous auxin and gibberellin regulates the bolting of lettuce (Lactuca sativa L.)
- Phytoremediation of pollutants from wastewater: A concise review
- Genome-wide identification and characterization of NBS-encoding genes in the sweet potato wild ancestor Ipomoea trifida (H.B.K.)
- Alleviative effects of magnetic Fe3O4 nanoparticles on the physiological toxicity of 3-nitrophenol to rice (Oryza sativa L.) seedlings
- Selection and functional identification of Dof genes expressed in response to nitrogen in Populus simonii × Populus nigra
- Study on pecan seed germination influenced by seed endocarp
- Identification of active compounds in Ophiopogonis Radix from different geographical origins by UPLC-Q/TOF-MS combined with GC-MS approaches
- The entire chloroplast genome sequence of Asparagus cochinchinensis and genetic comparison to Asparagus species
- Genome-wide identification of MAPK family genes and their response to abiotic stresses in tea plant (Camellia sinensis)
- Selection and validation of reference genes for RT-qPCR analysis of different organs at various development stages in Caragana intermedia
- Cloning and expression analysis of SERK1 gene in Diospyros lotus
- Integrated metabolomic and transcriptomic profiling revealed coping mechanisms of the edible and medicinal homologous plant Plantago asiatica L. cadmium resistance
- A missense variant in NCF1 is associated with susceptibility to unexplained recurrent spontaneous abortion
- Assessment of drought tolerance indices in faba bean genotypes under different irrigation regimes
- The entire chloroplast genome sequence of Asparagus setaceus (Kunth) Jessop: Genome structure, gene composition, and phylogenetic analysis in Asparagaceae
- Food Science
- Dietary food additive monosodium glutamate with or without high-lipid diet induces spleen anomaly: A mechanistic approach on rat model
- Binge eating disorder during COVID-19
- Potential of honey against the onset of autoimmune diabetes and its associated nephropathy, pancreatitis, and retinopathy in type 1 diabetic animal model
- FTO gene expression in diet-induced obesity is downregulated by Solanum fruit supplementation
- Physical activity enhances fecal lactobacilli in rats chronically drinking sweetened cola beverage
- Supercritical CO2 extraction, chemical composition, and antioxidant effects of Coreopsis tinctoria Nutt. oleoresin
- Functional constituents of plant-based foods boost immunity against acute and chronic disorders
- Effect of selenium and methods of protein extraction on the proteomic profile of Saccharomyces yeast
- Microbial diversity of milk ghee in southern Gansu and its effect on the formation of ghee flavor compounds
- Ecology and Environmental Sciences
- Effects of heavy metals on bacterial community surrounding Bijiashan mining area located in northwest China
- Microorganism community composition analysis coupling with 15N tracer experiments reveals the nitrification rate and N2O emissions in low pH soils in Southern China
- Genetic diversity and population structure of Cinnamomum balansae Lecomte inferred by microsatellites
- Preliminary screening of microplastic contamination in different marine fish species of Taif market, Saudi Arabia
- Plant volatile organic compounds attractive to Lygus pratensis
- Effects of organic materials on soil bacterial community structure in long-term continuous cropping of tomato in greenhouse
- Effects of soil treated fungicide fluopimomide on tomato (Solanum lycopersicum L.) disease control and plant growth
- Prevalence of Yersinia pestis among rodents captured in a semi-arid tropical ecosystem of south-western Zimbabwe
- Effects of irrigation and nitrogen fertilization on mitigating salt-induced Na+ toxicity and sustaining sea rice growth
- Bioengineering and Biotechnology
- Poly-l-lysine-caused cell adhesion induces pyroptosis in THP-1 monocytes
- Development of alkaline phosphatase-scFv and its use for one-step enzyme-linked immunosorbent assay for His-tagged protein detection
- Development and validation of a predictive model for immune-related genes in patients with tongue squamous cell carcinoma
- Agriculture
- Effects of chemical-based fertilizer replacement with biochar-based fertilizer on albic soil nutrient content and maize yield
- Genome-wide identification and expression analysis of CPP-like gene family in Triticum aestivum L. under different hormone and stress conditions
- Agronomic and economic performance of mung bean (Vigna radiata L.) varieties in response to rates of blended NPS fertilizer in Kindo Koysha district, Southern Ethiopia
- Influence of furrow irrigation regime on the yield and water consumption indicators of winter wheat based on a multi-level fuzzy comprehensive evaluation
- Discovery of exercise-related genes and pathway analysis based on comparative genomes of Mongolian originated Abaga and Wushen horse
- Lessons from integrated seasonal forecast-crop modelling in Africa: A systematic review
- Evolution trend of soil fertility in tobacco-planting area of Chenzhou, Hunan Province, China
- Animal Sciences
- Morphological and molecular characterization of Tatera indica Hardwicke 1807 (Rodentia: Muridae) from Pothwar, Pakistan
- Research on meat quality of Qianhua Mutton Merino sheep and Small-tail Han sheep
- SI: A Scientific Memoir
- Suggestions on leading an academic research laboratory group
- My scientific genealogy and the Toronto ACDC Laboratory, 1988–2022
- Erratum
- Erratum to “Changes of immune cells in patients with hepatocellular carcinoma treated by radiofrequency ablation and hepatectomy, a pilot study”
- Erratum to “A two-microRNA signature predicts the progression of male thyroid cancer”
- Retraction
- Retraction of “Lidocaine has antitumor effect on hepatocellular carcinoma via the circ_DYNC1H1/miR-520a-3p/USP14 axis”
Articles in the same Issue
- Biomedical Sciences
- Effects of direct oral anticoagulants dabigatran and rivaroxaban on the blood coagulation function in rabbits
- The mother of all battles: Viruses vs humans. Can humans avoid extinction in 50–100 years?
- Knockdown of G1P3 inhibits cell proliferation and enhances the cytotoxicity of dexamethasone in acute lymphoblastic leukemia
- LINC00665 regulates hepatocellular carcinoma by modulating mRNA via the m6A enzyme
- Association study of CLDN14 variations in patients with kidney stones
- Concanavalin A-induced autoimmune hepatitis model in mice: Mechanisms and future outlook
- Regulation of miR-30b in cancer development, apoptosis, and drug resistance
- Informatic analysis of the pulmonary microecology in non-cystic fibrosis bronchiectasis at three different stages
- Swimming attenuates tumor growth in CT-26 tumor-bearing mice and suppresses angiogenesis by mediating the HIF-1α/VEGFA pathway
- Characterization of intestinal microbiota and serum metabolites in patients with mild hepatic encephalopathy
- Functional conservation and divergence in plant-specific GRF gene family revealed by sequences and expression analysis
- Application of the FLP/LoxP-FRT recombination system to switch the eGFP expression in a model prokaryote
- Biomedical evaluation of antioxidant properties of lamb meat enriched with iodine and selenium
- Intravenous infusion of the exosomes derived from human umbilical cord mesenchymal stem cells enhance neurological recovery after traumatic brain injury via suppressing the NF-κB pathway
- Effect of dietary pattern on pregnant women with gestational diabetes mellitus and its clinical significance
- Potential regulatory mechanism of TNF-α/TNFR1/ANXA1 in glioma cells and its role in glioma cell proliferation
- Effect of the genetic mutant G71R in uridine diphosphate-glucuronosyltransferase 1A1 on the conjugation of bilirubin
- Quercetin inhibits cytotoxicity of PC12 cells induced by amyloid-beta 25–35 via stimulating estrogen receptor α, activating ERK1/2, and inhibiting apoptosis
- Nutrition intervention in the management of novel coronavirus pneumonia patients
- circ-CFH promotes the development of HCC by regulating cell proliferation, apoptosis, migration, invasion, and glycolysis through the miR-377-3p/RNF38 axis
- Bmi-1 directly upregulates glucose transporter 1 in human gastric adenocarcinoma
- Lacunar infarction aggravates the cognitive deficit in the elderly with white matter lesion
- Hydroxysafflor yellow A improved retinopathy via Nrf2/HO-1 pathway in rats
- Comparison of axon extension: PTFE versus PLA formed by a 3D printer
- Elevated IL-35 level and iTr35 subset increase the bacterial burden and lung lesions in Mycobacterium tuberculosis-infected mice
- A case report of CAT gene and HNF1β gene variations in a patient with early-onset diabetes
- Study on the mechanism of inhibiting patulin production by fengycin
- SOX4 promotes high-glucose-induced inflammation and angiogenesis of retinal endothelial cells by activating NF-κB signaling pathway
- Relationship between blood clots and COVID-19 vaccines: A literature review
- Analysis of genetic characteristics of 436 children with dysplasia and detailed analysis of rare karyotype
- Bioinformatics network analyses of growth differentiation factor 11
- NR4A1 inhibits the epithelial–mesenchymal transition of hepatic stellate cells: Involvement of TGF-β–Smad2/3/4–ZEB signaling
- Expression of Zeb1 in the differentiation of mouse embryonic stem cell
- Study on the genetic damage caused by cadmium sulfide quantum dots in human lymphocytes
- Association between single-nucleotide polymorphisms of NKX2.5 and congenital heart disease in Chinese population: A meta-analysis
- Assessment of the anesthetic effect of modified pentothal sodium solution on Sprague-Dawley rats
- Genetic susceptibility to high myopia in Han Chinese population
- Potential biomarkers and molecular mechanisms in preeclampsia progression
- Silencing circular RNA-friend leukemia virus integration 1 restrained malignancy of CC cells and oxaliplatin resistance by disturbing dyskeratosis congenita 1
- Endostar plus pembrolizumab combined with a platinum-based dual chemotherapy regime for advanced pulmonary large-cell neuroendocrine carcinoma as a first-line treatment: A case report
- The significance of PAK4 in signaling and clinicopathology: A review
- Sorafenib inhibits ovarian cancer cell proliferation and mobility and induces radiosensitivity by targeting the tumor cell epithelial–mesenchymal transition
- Characterization of rabbit polyclonal antibody against camel recombinant nanobodies
- Active legumain promotes invasion and migration of neuroblastoma by regulating epithelial-mesenchymal transition
- Effect of cell receptors in the pathogenesis of osteoarthritis: Current insights
- MT-12 inhibits the proliferation of bladder cells in vitro and in vivo by enhancing autophagy through mitochondrial dysfunction
- Study of hsa_circRNA_000121 and hsa_circRNA_004183 in papillary thyroid microcarcinoma
- BuyangHuanwu Decoction attenuates cerebral vasospasm caused by subarachnoid hemorrhage in rats via PI3K/AKT/eNOS axis
- Effects of the interaction of Notch and TLR4 pathways on inflammation and heart function in septic heart
- Monosodium iodoacetate-induced subchondral bone microstructure and inflammatory changes in an animal model of osteoarthritis
- A rare presentation of type II Abernethy malformation and nephrotic syndrome: Case report and review
- Rapid death due to pulmonary epithelioid haemangioendothelioma in several weeks: A case report
- Hepatoprotective role of peroxisome proliferator-activated receptor-α in non-cancerous hepatic tissues following transcatheter arterial embolization
- Correlation between peripheral blood lymphocyte subpopulations and primary systemic lupus erythematosus
- A novel SLC8A1-ALK fusion in lung adenocarcinoma confers sensitivity to alectinib: A case report
- β-Hydroxybutyrate upregulates FGF21 expression through inhibition of histone deacetylases in hepatocytes
- Identification of metabolic genes for the prediction of prognosis and tumor microenvironment infiltration in early-stage non-small cell lung cancer
- BTBD10 inhibits glioma tumorigenesis by downregulating cyclin D1 and p-Akt
- Mucormycosis co-infection in COVID-19 patients: An update
- Metagenomic next-generation sequencing in diagnosing Pneumocystis jirovecii pneumonia: A case report
- Long non-coding RNA HOXB-AS1 is a prognostic marker and promotes hepatocellular carcinoma cells’ proliferation and invasion
- Preparation and evaluation of LA-PEG-SPION, a targeted MRI contrast agent for liver cancer
- Proteomic analysis of the liver regulating lipid metabolism in Chaohu ducks using two-dimensional electrophoresis
- Nasopharyngeal tuberculosis: A case report
- Characterization and evaluation of anti-Salmonella enteritidis activity of indigenous probiotic lactobacilli in mice
- Aberrant pulmonary immune response of obese mice to periodontal infection
- Bacteriospermia – A formidable player in male subfertility
- In silico and in vivo analysis of TIPE1 expression in diffuse large B cell lymphoma
- Effects of KCa channels on biological behavior of trophoblasts
- Interleukin-17A influences the vulnerability rather than the size of established atherosclerotic plaques in apolipoprotein E-deficient mice
- Multiple organ failure and death caused by Staphylococcus aureus hip infection: A case report
- Prognostic signature related to the immune environment of oral squamous cell carcinoma
- Primary and metastatic squamous cell carcinoma of the thyroid gland: Two case reports
- Neuroprotective effects of crocin and crocin-loaded niosomes against the paraquat-induced oxidative brain damage in rats
- Role of MMP-2 and CD147 in kidney fibrosis
- Geometric basis of action potential of skeletal muscle cells and neurons
- Babesia microti-induced fulminant sepsis in an immunocompromised host: A case report and the case-specific literature review
- Role of cerebellar cortex in associative learning and memory in guinea pigs
- Application of metagenomic next-generation sequencing technique for diagnosing a specific case of necrotizing meningoencephalitis caused by human herpesvirus 2
- Case report: Quadruple primary malignant neoplasms including esophageal, ureteral, and lung in an elderly male
- Long non-coding RNA NEAT1 promotes angiogenesis in hepatoma carcinoma via the miR-125a-5p/VEGF pathway
- Osteogenic differentiation of periodontal membrane stem cells in inflammatory environments
- Knockdown of SHMT2 enhances the sensitivity of gastric cancer cells to radiotherapy through the Wnt/β-catenin pathway
- Continuous renal replacement therapy combined with double filtration plasmapheresis in the treatment of severe lupus complicated by serious bacterial infections in children: A case report
- Simultaneous triple primary malignancies, including bladder cancer, lymphoma, and lung cancer, in an elderly male: A case report
- Preclinical immunogenicity assessment of a cell-based inactivated whole-virion H5N1 influenza vaccine
- One case of iodine-125 therapy – A new minimally invasive treatment of intrahepatic cholangiocarcinoma
- S1P promotes corneal trigeminal neuron differentiation and corneal nerve repair via upregulating nerve growth factor expression in a mouse model
- Early cancer detection by a targeted methylation assay of circulating tumor DNA in plasma
- Calcifying nanoparticles initiate the calcification process of mesenchymal stem cells in vitro through the activation of the TGF-β1/Smad signaling pathway and promote the decay of echinococcosis
- Evaluation of prognostic markers in patients infected with SARS-CoV-2
- N6-Methyladenosine-related alternative splicing events play a role in bladder cancer
- Characterization of the structural, oxidative, and immunological features of testis tissue from Zucker diabetic fatty rats
- Effects of glucose and osmotic pressure on the proliferation and cell cycle of human chorionic trophoblast cells
- Investigation of genotype diversity of 7,804 norovirus sequences in humans and animals of China
- Characteristics and karyotype analysis of a patient with turner syndrome complicated with multiple-site tumors: A case report
- Aggravated renal fibrosis is positively associated with the activation of HMGB1-TLR2/4 signaling in STZ-induced diabetic mice
- Distribution characteristics of SARS-CoV-2 IgM/IgG in false-positive results detected by chemiluminescent immunoassay
- SRPX2 attenuated oxygen–glucose deprivation and reperfusion-induced injury in cardiomyocytes via alleviating endoplasmic reticulum stress-induced apoptosis through targeting PI3K/Akt/mTOR axis
- Aquaporin-8 overexpression is involved in vascular structure and function changes in placentas of gestational diabetes mellitus patients
- Relationship between CRP gene polymorphisms and ischemic stroke risk: A systematic review and meta-analysis
- Effects of growth hormone on lipid metabolism and sexual development in pubertal obese male rats
- Cloning and identification of the CTLA-4IgV gene and functional application of vaccine in Xinjiang sheep
- Antitumor activity of RUNX3: Upregulation of E-cadherin and downregulation of the epithelial–mesenchymal transition in clear-cell renal cell carcinoma
- PHF8 promotes osteogenic differentiation of BMSCs in old rat with osteoporosis by regulating Wnt/β-catenin pathway
- A review of the current state of the computer-aided diagnosis (CAD) systems for breast cancer diagnosis
- Bilateral dacryoadenitis in adult-onset Still’s disease: A case report
- A novel association between Bmi-1 protein expression and the SUVmax obtained by 18F-FDG PET/CT in patients with gastric adenocarcinoma
- The role of erythrocytes and erythroid progenitor cells in tumors
- Relationship between platelet activation markers and spontaneous abortion: A meta-analysis
- Abnormal methylation caused by folic acid deficiency in neural tube defects
- Silencing TLR4 using an ultrasound-targeted microbubble destruction-based shRNA system reduces ischemia-induced seizures in hyperglycemic rats
- Plant Sciences
- Seasonal succession of bacterial communities in cultured Caulerpa lentillifera detected by high-throughput sequencing
- Cloning and prokaryotic expression of WRKY48 from Caragana intermedia
- Novel Brassica hybrids with different resistance to Leptosphaeria maculans reveal unbalanced rDNA signal patterns
- Application of exogenous auxin and gibberellin regulates the bolting of lettuce (Lactuca sativa L.)
- Phytoremediation of pollutants from wastewater: A concise review
- Genome-wide identification and characterization of NBS-encoding genes in the sweet potato wild ancestor Ipomoea trifida (H.B.K.)
- Alleviative effects of magnetic Fe3O4 nanoparticles on the physiological toxicity of 3-nitrophenol to rice (Oryza sativa L.) seedlings
- Selection and functional identification of Dof genes expressed in response to nitrogen in Populus simonii × Populus nigra
- Study on pecan seed germination influenced by seed endocarp
- Identification of active compounds in Ophiopogonis Radix from different geographical origins by UPLC-Q/TOF-MS combined with GC-MS approaches
- The entire chloroplast genome sequence of Asparagus cochinchinensis and genetic comparison to Asparagus species
- Genome-wide identification of MAPK family genes and their response to abiotic stresses in tea plant (Camellia sinensis)
- Selection and validation of reference genes for RT-qPCR analysis of different organs at various development stages in Caragana intermedia
- Cloning and expression analysis of SERK1 gene in Diospyros lotus
- Integrated metabolomic and transcriptomic profiling revealed coping mechanisms of the edible and medicinal homologous plant Plantago asiatica L. cadmium resistance
- A missense variant in NCF1 is associated with susceptibility to unexplained recurrent spontaneous abortion
- Assessment of drought tolerance indices in faba bean genotypes under different irrigation regimes
- The entire chloroplast genome sequence of Asparagus setaceus (Kunth) Jessop: Genome structure, gene composition, and phylogenetic analysis in Asparagaceae
- Food Science
- Dietary food additive monosodium glutamate with or without high-lipid diet induces spleen anomaly: A mechanistic approach on rat model
- Binge eating disorder during COVID-19
- Potential of honey against the onset of autoimmune diabetes and its associated nephropathy, pancreatitis, and retinopathy in type 1 diabetic animal model
- FTO gene expression in diet-induced obesity is downregulated by Solanum fruit supplementation
- Physical activity enhances fecal lactobacilli in rats chronically drinking sweetened cola beverage
- Supercritical CO2 extraction, chemical composition, and antioxidant effects of Coreopsis tinctoria Nutt. oleoresin
- Functional constituents of plant-based foods boost immunity against acute and chronic disorders
- Effect of selenium and methods of protein extraction on the proteomic profile of Saccharomyces yeast
- Microbial diversity of milk ghee in southern Gansu and its effect on the formation of ghee flavor compounds
- Ecology and Environmental Sciences
- Effects of heavy metals on bacterial community surrounding Bijiashan mining area located in northwest China
- Microorganism community composition analysis coupling with 15N tracer experiments reveals the nitrification rate and N2O emissions in low pH soils in Southern China
- Genetic diversity and population structure of Cinnamomum balansae Lecomte inferred by microsatellites
- Preliminary screening of microplastic contamination in different marine fish species of Taif market, Saudi Arabia
- Plant volatile organic compounds attractive to Lygus pratensis
- Effects of organic materials on soil bacterial community structure in long-term continuous cropping of tomato in greenhouse
- Effects of soil treated fungicide fluopimomide on tomato (Solanum lycopersicum L.) disease control and plant growth
- Prevalence of Yersinia pestis among rodents captured in a semi-arid tropical ecosystem of south-western Zimbabwe
- Effects of irrigation and nitrogen fertilization on mitigating salt-induced Na+ toxicity and sustaining sea rice growth
- Bioengineering and Biotechnology
- Poly-l-lysine-caused cell adhesion induces pyroptosis in THP-1 monocytes
- Development of alkaline phosphatase-scFv and its use for one-step enzyme-linked immunosorbent assay for His-tagged protein detection
- Development and validation of a predictive model for immune-related genes in patients with tongue squamous cell carcinoma
- Agriculture
- Effects of chemical-based fertilizer replacement with biochar-based fertilizer on albic soil nutrient content and maize yield
- Genome-wide identification and expression analysis of CPP-like gene family in Triticum aestivum L. under different hormone and stress conditions
- Agronomic and economic performance of mung bean (Vigna radiata L.) varieties in response to rates of blended NPS fertilizer in Kindo Koysha district, Southern Ethiopia
- Influence of furrow irrigation regime on the yield and water consumption indicators of winter wheat based on a multi-level fuzzy comprehensive evaluation
- Discovery of exercise-related genes and pathway analysis based on comparative genomes of Mongolian originated Abaga and Wushen horse
- Lessons from integrated seasonal forecast-crop modelling in Africa: A systematic review
- Evolution trend of soil fertility in tobacco-planting area of Chenzhou, Hunan Province, China
- Animal Sciences
- Morphological and molecular characterization of Tatera indica Hardwicke 1807 (Rodentia: Muridae) from Pothwar, Pakistan
- Research on meat quality of Qianhua Mutton Merino sheep and Small-tail Han sheep
- SI: A Scientific Memoir
- Suggestions on leading an academic research laboratory group
- My scientific genealogy and the Toronto ACDC Laboratory, 1988–2022
- Erratum
- Erratum to “Changes of immune cells in patients with hepatocellular carcinoma treated by radiofrequency ablation and hepatectomy, a pilot study”
- Erratum to “A two-microRNA signature predicts the progression of male thyroid cancer”
- Retraction
- Retraction of “Lidocaine has antitumor effect on hepatocellular carcinoma via the circ_DYNC1H1/miR-520a-3p/USP14 axis”