Clinical comprehensive and experimental assessment of the radioprotective effect of Annona muricata leaf extract to prevent cellular damage in the ileum tissue
-
Ozlem Elmas
, Havva Hande Keser Sahin
, Antoaneta Ene
und Huseyin Ozan Tekin
Abstract
We report the radioprotective attitude of Annona muricata (AM) leaf extract as antioxidant material to prevent cellular damage in the ileum tissue. The protective effects of an ethyl acetate extract of AM leaves are comprehensively investigated against radiation-induced ileal damage in numerous rats. Thirty-two adult female rats were separated into 4 groups (3 intervention groups and 1 control) as follows: controls received 0.01 mL/kg distilled water, the AM group received 300 mg/kg AM leaf extract, the ionizing radiation (IR) group received a single dose of whole body radiation (8.3 Gy) after 0.01 mL/kg saline treatment, and the AM + IR group received 300 mg/kg AM leaf extract treatment and were subjected to whole body radiation (8.3 Gy) 1 h after the last gavage. All treatments are administered by oral gavage once a day for 9 days. At the end of the experiment, biochemical total oxidant status (TOS, interleukin-6, and caspase) and histological examinations are performed on blood samples as well as ileum tissue. TOS levels are found to be significantly high in rats, which received irradiation, and those in the AM group when compared to controls. These findings suggest that AM has radioprotective effects on ileum tissue, likely because of its antioxidative properties. The findings of this research may contribute to the minimizing of major side effects induced by excessive radiation exposure in patients undergoing radiotherapy and may serve as a significant impetus for further assessments. However, future studies are highly recommended to confirm safety and to determine extraction technique and dosage before human use can be considered.
1 Introduction
The concept of ionizing radiation (IR) has found a broad variety of applications and has enabled significant advancements in numerous concepts from energy to health over the years. Diagnostic and therapeutic uses of medical radiation have a clear and indispensable position in healthcare. Moreover, the utilization of high-energy X-rays is an essential and inseparable component of cancer treatment, referred to as radiotherapy or radiation therapy. Approximately 50% of cancer patients benefit from radiation for the treatment of localized disease, while those with the incurable disease may get symptom relief or control of disease spread [1,2]. However, the use of high-dose radiation to treat cancer causes reactive oxygen species (ROS) production, which leads to permanent cell damage and oxidative stress [3].
On the other hand, ROS can interact with biological macromolecules, such as DNA, proteins, and lipids, and can lead to various pathological manifestations due to alterations in the structure and function of these macromolecules. These inflammation-related changes can result in the development or worsening of cardiovascular disease, atherosclerosis, hypertension, cardiomyopathy, and stroke [4,5].
The gastrointestinal tract (GIT) is particularly radiation sensitive, and injury of the tract may negatively affect overall health conditions. Intestine irradiation may manifest as gastrointestinal mucosa loss, mucositis, hemorrhages, and ulcers, resulting in damage to the integrity of the intestinal barrier [6]. Fortunately, numerous radioprotective materials have been investigated in recent years, and their highly promising contributions have been well documented, such that these situations have a limited impact on the patient’s overall health state [7,8,9,10,11,12,13,14,15].
Meanwhile, Annona muricata (A. muricata; AM), commonly known as “graviola” or “soursop,” a member of the Annonaceae family, is a tropical tree [16] widely distributed in Central and South America. Its leaf, root, and fruit have found use as traditional medicines for various conditions, such as neuralgia, arthritis, diarrhea, abscess, and parasitic infections [17]. A number of pharmacological activities have been reported, including anti-cancer [18], antidiabetic [19], anti-inflammatory, and antioxidant activities [10,11]. Antioxidant and anti-inflammatory activities assessed by radical-scavenging activity and other methods have been demonstrated in animal models [20]. Previous studies revealed that AM leaf extract also has protective and healing effects on the GIT. These effects include gastroprotective activity against ulcers and mucosal inflammation [21] and antiparasitic and antibacterial activities against GIT infections [22].
Taking into consideration the oxidative stress caused by tissue irradiation, the sensitivity of the ileum, and the proven antioxidant abilities of AM leaf extract, we hypothesized that the use of AM leaf extracts prior to radiotherapy would have protective effects against radiation-induced damage to the ileum. As such, we carried out this study to investigate the possible protection conferred by AM leaf extract in a rat model of radiation-induced ileum injury. Even though numerous studies have evaluated the effects of AM in different pathophysiological states, we could not find any study investigating the effect of AM leaf extract in radiation-induced ileum injury. The findings of this research may contribute to the minimizing of major side effects induced by excessive radiation exposure in patients undergoing radiotherapy and may serve as a significant impetus for further assessments.
2 Materials and methods
2.1 Animals
Animal studies were carried out in compliance with institutional norms and a protocol authorized by Bulent Ecevit University’s Ethics Committee. Our study was conducted in Bulent Ecevit University Faculty of Medicine Experimental Animal Research Unit with 32 adult female Wistar Albino rats weighing 250 ± 20 g with similar physiological characteristics. Figure 1 depicts the positioning of the rat on the treatment couch. Animals were initially randomized into four groups, one control, and three experimental groups. Throughout the experimental period, animals had constant access to tap water and standardized pellet feeds containing 21% crude protein. Environmental conditions were the routinely utilized optimum conditions for rats (22 ± 1°C temperature, 45–65% humidity, and 12 h light/dark cycle).

Positioning of rat on the treatment couch.
2.2 Radiotherapy procedure
All procedures of whole body irradiation were conducted in the Radiation Oncology Department of Bulent Ecevit University Faculty of Medicine. Subsequently, the required dose of irradiation to create measurable radiation damage was calculated. Following the treatment planning, total dose of 8.3 Gy X-rays was applied to the whole body in a single fraction through a linear accelerator device Varian Clinac IX (see Figure 2). Meanwhile, Figure 3 demonstrates the details of the abovementioned planning procedure along with the given doses and treatment details.

Treatment room and Varian Clinac IX – Radiation Oncology Department of Bulent Ecevit University Faculty of Medicine.

Planning procedure along with the given doses and treatment details.
2.3 Preparation of AM extract
AM (graviola) has many medicinal properties and is used widely in traditional medicine for treatment of various disorders in Africa. The present study was conducted to evaluate the protective effects of graviola leaves against the harms of chemotherapy to organs, which are sold in the Mali (Bomaco) market. These leaves were collected fresh from the graviola trees around Bomaco/Mali and dried hygienically at room temperature. The graviola tree whose leaves were collected is a fruitless tree. Figure 4 depicts the appearance of AM extract along with the leaves. The AM leaves were cleaned with distilled water and chopped into little pieces after being air-dried. Samples of leaves (25 g) were extracted in 50:50 ethanol solution with intermittent shaking throughout 7 days. Concentration was performed using a rotary evaporator to remove ethanol (Heidolph, Germany), followed by overnight lyophilization (Telstar, LyoQuest, Spain) to produce the extract in a dry form. The dry extract was stored at −20°C until application.

Appearance of Annona muricata extract along with the leaves.
2.4 Experiments in a murine model
Thirty-two adult female Wistar albino rats were classified into 4 different groups: Group 1 (n = 8) (control group): 0.01 mL/kg distilled water was given by oral gavage for 9 days (once daily). Group 2 (n = 8) (AM group): 300 mg/kg AM leaf extract was given by oral gavage for 9 days (once daily). Group 3 (n = 8) (IR group): 0.01 mL/kg of physiologic serum (saline) was given by oral gavage for 9 days (once daily), and a single dose of whole body radiation (8.3 Gy) was applied 1 h after the last gavage. Group 4 (n = 8) (AM + IR group): AM leaf extract of 300 mg/kg was given by oral gavage for 9 days (once daily), and whole body radiation (8.3 Gy) was applied 1 h after the last gavage. The animals were sacrificed 96 h after the last treatment, under anesthesia with intraperitoneal injection of 90 mg/kg ketamine and 10 mg/kg xylazine (Ketalar-Eczacibasi and Rompun-Bayer, Turkey, respectively). Blood samples and tissues from all animals were collected and stored at −80°C until the analytical assays were performed.
2.5 Biochemical analysis
Before processing, tissue rinsing with cold saline solution was performed twice, samples were deposited in glass vials, labeled, and kept in a deep freezer (−80°C). Using a glass-Teflon homogenizer, phosphate buffered saline was used to homogenize tissue samples (pH 7.4) (Ultra Turrax IKA T18 Basic). The homogenates were centrifuged at 5,000g for 15 min at 4°C, and the supernatants were analyzed instantly. Interleukin-6 (IL-6) and caspase levels were determined using ELISA immunoenzymatic assays (Cloud-Clone Corp., Wuhan, China). A commercial kit (Rel Assay Diagnostic, Turkey) was used to determine the total antioxidant status (TAS) and total oxidant status (TOS).
2.6 Histopathological evaluation
All ileum tissues (n = 32) that had been stored for histopathological evaluation were processed routinely with automated tissue-processing equipment (Leica ASP300S, Wetzlar, Germany), followed by paraffin embedding. Blocks were cut to 4 μm thickness by using a rotary microtome (Leica RM2255, Germany). Hematoxylin & eosin (HE) staining was performed. Histopathological changes were evaluated by a blinded pathologist using a histological score derived from the standard Chiu system [23]. Each specimen was rated based on the degree of histological damage detected, and each criterion was given a score [24].
2.7 Statistical analysis
The analyses were conducted using SPSS v21 (IBM, Armonk, NY, USA) with significance set as p < 0.05. The Shapiro–Wilk test was employed to assess normal distribution. For continuous variables, data are presented as mean value ± SD (standard deviation) or median (1st–3rd quartiles) in accordance with distribution normality. Variables having a normal distribution were evaluated using a one-way analysis of variance. The Tamhane test was used to conduct pairwise comparisons of these variables. Using the Kruskal–Wallis test, non-normally distributed variables were examined.
3 Results
3.1 Biochemical analyses
The highest levels of TOS were found in the IR group which significantly varied compared to the control and AM + IR groups (p = 0.004, p = 0.028, respectively). The AM group’s TOS level was likewise substantially greater than that of the control group (p = 0.036) (Table 1). Caspase 3, Caspase 8, and Caspase 9 concentrations were not significantly different amongst the groups (Table 1).
Biochemical findings according to treatment groups
Treatment groups | |||||
---|---|---|---|---|---|
Control (n = 5) | AM (n = 6) | IR (n = 4) | AM + IR (n = 8) | p | |
TOS (µmol H2O2 Eq/L) | 8.40 ± 0.39 | 9.56 ± 0.65a | 9.77 ± 0.32ab | 8.40 ± 0.85 | 0.003 |
Caspase 3 (ng/mL) | 0.39 (0.26–0.49) | 0.28 (0.18–0.32) | 0.36 (0.24–0.39) | 0.26 (0.21–0.30) | 0.541 |
Caspase 8 (ng/mL) | 1.22 ± 0.53 | 1.29 ± 0.78 | 2.62 ± 2.80 | 0.93 ± 0.43 | 0.193 |
Caspase 9 (ng/mL) | 0.10 (0.10–0.15) | 0.16 (0.10–0.18) | 0.14 (0.10–0.20) | 0.14 (0.11–0.17) | 0.890 |
Chiu score | — | — | — | — | — |
0 | 5 (100%) | 1 (16.7%) | 0 (0%) | 0 (0%) | N/A |
1 | 0 (0%) | 3 (50%) | 0 (0%) | 0 (0%) | — |
2 | 0 (0%) | 2 (33.3%) | 0 (0%) | 0 (0%) | — |
3 | 0 (0%) | 0 (0%) | 0 (0%) | 6 (75%) | — |
4 | 0 (0%) | 0 (0%) | 2 (50%) | 2 (25%) | — |
5 | 0 (0%) | 0 (0%) | 2 (50%) | 0 (0%) | — |
Data are given as mean value ± standard deviation or median (1st quartile – 3rd quartile) for continuous variables according to normality of distribution, and as frequency (percentage) for categorical variables. a and b: significantly different from the control group and AM + IR treated group, respectively.
AM: Annona muricata, IR: irradiation, TOS: total oxidant status.
3.2 Histopathological findings
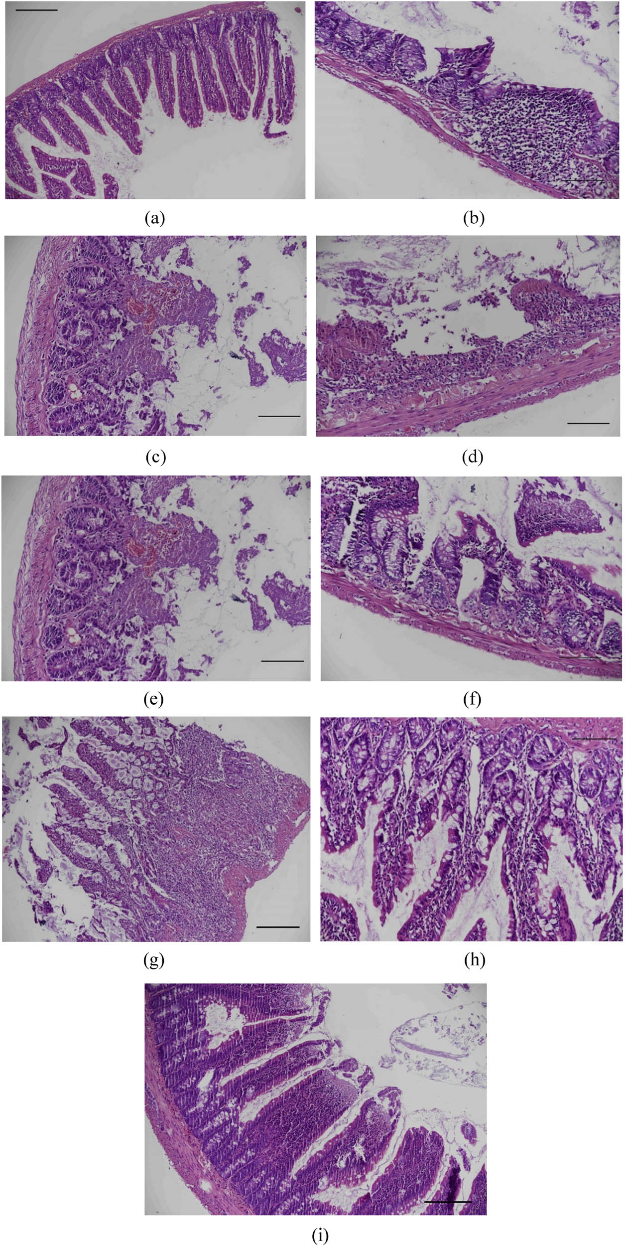
Before the histopathological examination, the relevant tissues were successfully removed with a careful surgical procedure. Figure 5 represents a picture of a part of the surgical procedure. The mucosa, lamina propria, and villi intestinalis of the control group had normal morphology, according to light microscopic assessment. Therefore, rats in this group received a Chiu score of 0 (Figure 6a). The ileum samples from the AM-treated rats showed a light epithelial lift in apical regions. There was minimal degeneration in epithelial cells and normal scattered goblet cells. With these findings, rats in this group had Chiu scores of 1 or 2 (Figure 6b and c). The ileum samples in the IR group showed dense mucosal injury. The epithelial layer was largely separated from the lamina in most specimens, the tips of the villi were denuded, and villous height was diminished. There was considerable degeneration in epithelial cells. Mucin and goblet cells were decreased. There was a dense capillary congestion in the villus, denudation of the Lieberkühn crypts, intense inflammatory cells, and areas of edema in the lamina propria. Ulcers were observed only in this group. The majority of rats in this group received a Chiu score of 5, the highest score (Figure 6d–f). The ileum samples from the AM + IR group showed thickened and irregular villi and the epithelial layer demonstrated lifting (separation) from the lamina. When compared with Group 1, the rise in goblet cells and mucins were evident in this group. Of note, the dense degenerative findings observed in the AM group were not present. Most specimens in this group received a Chiu score of 3, due to the presence of moderate to severe epithelial loss (Figure 6g–i).

Surgical procedure before the histopathological assessment.

Photomicrographs of ileal sections stained with HE. (a) The ileum samples from the control group showed regular morphology and revealed minimum Chiu score of 0. (b and c) The ileum samples from the AM-treated rats showed slight thickening and irregularity in some villi, light epithelial lift in the apical regions of some villi, minimal degenerative changes in the epithelial cells, generally normal scattered goblet cells, and revealed Chiu score of 1 and 2. (d–f) The ileum samples from the IR group showed thickened and irregular villi, heavy degenerative changes in the epithelial cells, breakage in the epithelial cells, decrease in the goblet cells and mucins, capillary congestion in the villus, denudation of the Lieberkühn crypts, intense inflammatory cells, ulceration, and revealed maximum Chiu score of 5. (g–i) The ileum samples from the AM + IR group showed thickened and irregular villi, lifting of epithelial layer from the lamina propria, increase in the goblet cells and mucins, and revealed Chiu score of 3; (a, c, g, and i: Scale bars: 200 μm, b, d, e, f, and h: Scale bars: 100 μm).
4 Discussion
In this investigation, we examined the effect of IR on the ileum and the potential protective effects of AM against radiotherapy-induced harm. Damage to DNA and other cellular structures caused by cellular exposure to radiation generates a complex cascade of downstream reactions in almost every cellular component, including the modification of the cell cycle, DNA repair, ROS generation/defense, cytokine release, and apoptosis [25]. The GIT is extremely sensitive to radiation and injuries occur frequently. The findings of our research show decreased TOS levels and relatively better histopathological findings in the AM + IR group than in the IR group. However, the AM group had higher TOS levels compared to controls, suggesting a toxic effect of the extract itself, which may be associated with dosage. The analysis of caspases did not reveal any remarkable differences between groups. Upon exposure to radiation, GIT damage arises from both direct and indirect effects, and the damaging effects may increase the likelihood of organ dysfunction or failure in multiple systems [6]. Therefore, studies endorse the concept of utilizing radioprotective drugs to mitigate the indirect effects of radiation by removing the free radicals generated in response to radiation [26]. AM is one of the most investigated phytotherapeutic substances, and its antioxidant and anticancer activities have been shown [18,27]. In the current study, the group of irradiated rats showed a significant increase in the TOS level and administration of AM leaf extract decreased TOS values in the AM + IR group. Based on this result, the use of AM prior to irradiation may be effective in reducing oxidative stress in radiotherapy recipients. This is in line with prior studies proving the antioxidant properties of AM [28,29]. As mentioned before, TOS levels were elevated in the AM group. This brings the suspicion that an AM dosage of 300 mg/kg may have toxic effects on the ileum in healthy rats, or that the extraction technique (ethyl acetate) could be introducing deleterious compounds into the final active form. This is a critical result, particularly for studies evaluating the protective effects of AM in various clinical states, and indicates that the dosage and extraction techniques should be assessed for resultant toxicity. Although the use of all parts of the plant is considered very safe, there are also other studies in the literature that have reported toxicity [30]. In keeping with the literature, we found that Arthur et al. evaluated the acute and sub-chronic safety of AM in animals, and they reported that the extract did not produce any toxic effects on tissues at low and moderate doses. Even high doses of 2,500 mg/kg/day used for a short time (up to 7 days) were reported to be tolerated. However, the use of AM in moderate and high doses for a period of up to 14 days could cause weight loss and kidney damage [31]. The dose we applied (300 mg/kg) is believed to be very safe, but a period of 9 days may be enough to cause an inflammatory or oxidative effect in the body. When taken together, these data show that the toxicity of AM extracts may vary depending on dosage, the solvent employed, the part of the plant used, and duration of application. Effectively eliminating tumor cells using IR is constrained by the need to avoid harm to normal tissues, which limits the dosage that may be delivered. The differential IR sensitivity of the majority of tissues is directly proportional to their proliferation rates. Failure to heal irradiation-induced damage, which is especially visible in sensitive tissues such as the hematological system and small intestine epithelium, is the cause of IR-induced death [32]. It is clear from prior research that multi-organ involvement and mortality/morbidity are associated with irradiation-induced gut injury [6]. Potten and Grant have shown that small intestinal crypts are exceedingly sensitive to radiation [33]. Our study analyzed histopathological changes according to the scale defined by Chiu and colleagues. In the current study, the ileum samples in the IR group showed dense mucosal injury with thickened and irregular villi and ulcers (only present in this group); additionally, the highest Chiu scores were recorded in this group. These findings are consistent with previous studies showing that radiation exposure damages the mucosal epithelial structure and could manifest as obstructive changes in the fine vasculature [6,34]. The administration of AM prior to radiotherapy appears to ameliorate these changes, as determined by mild histopathological findings in the AM + IR group. Caspase-9 is involved in the formation of ROS in relation to mitochondrial changes. This caspase-9 activation leads to caspase-3 stimulation and causes suppression of the generation of ROS, which is necessary for the proper execution of apoptosis [35]. Apoptosis becomes overwhelming in tissues with rapid proliferation of cells, such as hematopoietic cells, hair follicles, intestinal epithelium, and dermis. In normal intestinal epithelium, apoptosis can be demonstrated to be effective in the crypt and at the luminal surface [36]. In this study, caspase levels were similar in all experimental groups. In both human and animal research, many diseases are associated with increased epithelial apoptosis in the gut [37,38,39,40]. In an interesting study, Moghadamtousi et al. had concluded that an ethyl acetate extract of AM leaves was able to induce apoptosis in cancer cells through the mitochondria-mediated pathway, and treatment of rats with AM before irradiation was determined to have inhibited radiation-induced apoptosis [41]. Therefore, in the current study, treatment of rats with AM before irradiation could have also inhibited radiation-induced apoptosis; however, since there was no difference between the groups, it is impossible to conclude the presence of such an effect from our data. The assessment of such an effect would require further investigations, including the measurement of other parameters associated with apoptosis.
5 Conclusion
Utilizing natural plants for radioprotective purposes has shown to be beneficial to humanity [42,43,44,45]. In vitro, in vivo, and human randomized controlled studies have shown that radioprotective drugs minimize DNA damage. The implementation in clinical medicine to minimize DNA damage and lipid peroxidation may reduce carcinogenesis and teratogenesis and improve morbidity and mortality rates among patients. In conclusion, our novel study demonstrates that single-dose of 8.3 Gy irradiation elevated oxidative stress markers and caused ileum injury in rats, as revealed by Chiu scoring. Pretreatment with 300 mg/kg AM leaf extract prior to irradiation decreased TOS levels and appeared to ameliorate damage to the ileum tissue. However, TOS elevation in the AM group (compared to controls) suggests possible toxic effects that may be associated with dosage or extraction technique. Nevertheless, AM appears to have a radioprotective effect in ileum tissue, likely in relation to antioxidative properties. However, further studies are needed to approve the use of plant as a radioprotective modality in humans. Further toxicity testing should be conducted to confirm its safety and evaluate extraction techniques.
-
Funding information: The work of Antoaneta ENE and the APC were supported by Dunarea de Jos University of Galati, Romania through the grant no. RF 3621/2021.
-
Author contributions: O.E., H.H.K.S., and H.O.T.: – conceptualization and methodology; E.K., B.G., G.A., and R.U.E.: validation; G.A. and H.M.H.Z.: formal analysis; O.E., H.H.K.S., E.K., B.G., and H.O.T.: writing and review; O.E., H.H.K.S., E.K., B.G., and A.E.: investigation; A.E.: funding acquisition through APC by “Dunarea de Jos” University of Galati, Romania through the grant no. RF 3621/2021.
-
Conflict of interest: No conflict of interest was declared by the authors.
-
Ethical approval: Ethical Approval of this study has been obtained from Bulent Ecevit University, Animal Experiments Local Ethical Committee (2020-17-02/07).
-
Data availability statement: The datasets generated during and/or analyzed during the current study are available from the corresponding author on reasonable request.
References
[1] Barton MB, Jacob S, Shafiq J, Wong K, Thompson SR, Hanna TP, et al. Estimating the demand for radiotherapy from the evidence: a review of changes from 2003 to 2012. Radiother Oncol. 2014 Jul;112(1):140–4.10.1016/j.radonc.2014.03.024Suche in Google Scholar
[2] Atun R, Jaffray DA, Barton MB, Bray F, Baumann M, Vikram B, et al. Expanding global access to radiotherapy. Lancet Oncol. 2015 Sep;16(10):1153–86.10.1016/S1470-2045(15)00222-3Suche in Google Scholar
[3] Pajic M, Froio D, Daly S, Doculara L, Millar E, Graham PH, et al. miR-139-5p modulates radiotherapy resistance in breast cancer by repressing multiple gene networks of DNA repair and ROS defense. Cancer Res. 2018 Jan;78(2):501–15.10.1158/0008-5472.CAN-16-3105Suche in Google Scholar
[4] Sies H, Jones DP. Reactive oxygen species (ROS) as pleiotropic physiological signalling agents. Nat Rev Mol Cell Biol. 2020 Jul;21(7):363–83.10.1038/s41580-020-0230-3Suche in Google Scholar
[5] Birben E, Sahiner UM, Sackesen C, Erzurum S, Kalayci O. Oxidative stress and antioxidant defense. World Allergy Organ J. 2012 Jan;5(1):9–19.10.1097/WOX.0b013e3182439613Suche in Google Scholar
[6] Monti P, Wysocki J, Van Der Meeren A, Griffiths N. The contribution of radiation-induced injury to the gastrointestinal tract in the development of multi-organ dysfunction syndrome or failure. Br J Radiol. 2005(1):89–94. 10.1259/bjr/53186341.Suche in Google Scholar
[7] Smith TA, Kirkpatrick DR, Smith S, Smith TK, Pearson T, Kailasam A, et al. Radioprotective agents to prevent cellular damage due to ionizing radiation. J Transl Med. 2017 Nov;15(1):232.10.1186/s12967-017-1338-xSuche in Google Scholar
[8] Tekin HO, Karahan M, Erguzel TT, Manici T, Konuk M. Radiation shielding parameters of some antioxidants using Monte Carlo simulation. J Biol Phys. 2018;44(4):579–90.10.1007/s10867-018-9507-6Suche in Google Scholar
[9] Shirazi A, Mihandoost E, Mahdavi SR, Mohseni M. Radio-protective role of antioxidant agents. Oncol Rev. 2012 Oct;6(2):e16.10.4081/oncol.2012.e16Suche in Google Scholar
[10] Tekin HO, Sayyed MI, Kilicoglu O, Karahan M, Erguzel TT, Kara U, et al. Calculation of gamma-ray attenuation properties of some antioxidants using Monte Carlo simulation method. Biomed Phys Eng Exp. 2018 Jul;4(5):057001.10.1088/2057-1976/aad297Suche in Google Scholar
[11] Weiss JF, Landauer MR. Radioprotection by antioxidants. Ann N Y Acad Sci. 2000;899(1):44–60.10.1111/j.1749-6632.2000.tb06175.xSuche in Google Scholar
[12] Sharapov MG, Novoselov VI, Gudkov SV. Radioprotective role of peroxiredoxin 6. Antioxidants. 2019 Jan;8(1):15.10.3390/antiox8010015Suche in Google Scholar
[13] Tekin HO, ALMisned G, Issa SA, Kasikci ES, Arooj M, Ene A, et al. Molecular polar surface area, total solvent accessible surface area (SASA), heat of formation and gamma ray attenuation properties of some flavonoids. Front Phys (Lausanne). 2022;10:838725.10.3389/fphy.2022.838725Suche in Google Scholar
[14] Abdullaev SA, Glukhov SI, Gaziev AI. Radioprotective and radiomitigative effects of melatonin in tissues with different proliferative activity. Antioxidants. 2021 Nov;10(12):1885.10.3390/antiox10121885Suche in Google Scholar
[15] Abou-Zeid SM, El-Bialy BE, El-Borai NB, AbuBakr HO, Elhadary AM. Radioprotective effect of date syrup on radiation-induced damage in rats. Sci Rep. 2018 May;8(1):7423.10.1038/s41598-018-25586-3Suche in Google Scholar
[16] Barbalho S, Goulart R, Vasques Farinazzi-Machado F, Soares de Souza M, Santos Bueno P, Guiguer E, et al. Annona sp: plants with multiple applications as alternative medicine-A Review. Curr Bioact Compd. 2012;8(3):277–86.10.2174/157340712802762500Suche in Google Scholar
[17] Zorofchian Moghadamtousi S, Rouhollahi E, Karimian H, Fadaeinasab M, Firoozinia M, Ameen Abdulla M, et al. The chemopotential effect of Annona muricata leaves against azoxymethane-induced colonic aberrant crypt foci in rats and the apoptotic effect of Acetogenin Annomuricin E in HT-29 cells: a bioassay-guided approach. PLoS One. 2015 Apr;10(4):e0122288.10.1371/journal.pone.0122288Suche in Google Scholar
[18] El Tawiil GA, Noaman EA, Askar MA, El Fatih NM, Mohamed HE. Anticancer and apoptogenic effect of graviola and low-dose radiation in tumor Xenograft in mice. Integr Cancer Ther 2020;19:1534735419900930. 10.1177/1534735419900930.Suche in Google Scholar PubMed PubMed Central
[19] Florence NT, Benoit MZ, Jonas K, Alexandra T, Désiré DD, Pierre K, et al. Antidiabetic and antioxidant effects of Annona muricata (Annonaceae), aqueous extract on streptozotocin-induced diabetic rats. J Ethnopharmacol. 2014 Feb;151(2):784–90.10.1016/j.jep.2013.09.021Suche in Google Scholar
[20] George VC, Kumar DR, Suresh PK, Kumar RA. Antioxidant, DNA protective efficacy and HPLC analysis of Annona muricata (soursop) extracts. J Food Sci Technol. 2015 Apr;52(4):2328–35.10.1007/s13197-014-1289-7Suche in Google Scholar
[21] Moghadamtousi SZ, Rouhollahi E, Karimian H, Fadaeinasab M, Abdulla MA, Kadir HA. Gastroprotective activity of Annona muricata leaves against ethanol-induced gastric injury in rats via Hsp70/Bax involvement. Drug Des Devel Ther 2014;8:2099–110.10.2147/DDDT.S70096Suche in Google Scholar
[22] Osorio E, Arango GJ, Jiménez N, Alzate F, Ruiz G, Gutiérrez D, et al. Antiprotozoal and cytotoxic activities in vitro of Colombian Annonaceae. J Ethnopharmacol. 2007 May;111(3):630–5.10.1016/j.jep.2007.01.015Suche in Google Scholar
[23] Chiu CJ, McArdle AH, Brown R, Scott HJ, Gurd FN. Intestinal mucosal lesion in low-flow states. I. A morphological, hemodynamic, and metabolic reappraisal. Arch Surg. 1970 Oct;101(4):478–83.10.1001/archsurg.1970.01340280030009Suche in Google Scholar
[24] Li Y, Luo Y, Li B, Niu L, Liu J, Duan X. miRNA-182/Deptor/mTOR axis regulates autophagy to reduce intestinal ischaemia/reperfusion injury. J Cell Mol Med. 2020 Jul;24(14):7873–83.10.1111/jcmm.15420Suche in Google Scholar
[25] Goldstein M, Kastan MB. The DNA damage response: implications for tumor responses to radiation and chemotherapy. Annu Rev Med 2015;66:129–43. 10.1146/annurev-med-081313-121208.Suche in Google Scholar PubMed
[26] Nair CK, Parida DK, Nomura T. Radioprotectors in radiotherapy. J Radiat Res (Tokyo). 2001 Mar;42(1):21–37.10.1269/jrr.42.21Suche in Google Scholar
[27] Qazi AK, Siddiqui JA, Jahan R, Chaudhary S, Walker LA, Sayed Z, et al. Emerging therapeutic potential of graviola and its constituents in cancers. Carcinogenesis 2018 Apr;39(4):522–33.10.1093/carcin/bgy024Suche in Google Scholar
[28] Rady I, Bloch MB, Chamcheu RN, Banang Mbeumi S, Anwar MR, Mohamed H, et al. Anticancer properties of graviola (Annona muricata): a comprehensive mechanistic review. Oxid Med Cell Longev. 2018;2018:1826170.10.1155/2018/1826170Suche in Google Scholar
[29] Mansour HH, Elkady AA, Elrefaei AH, Hafez HF. Radioprotective, antioxidant and antitumor efficacy of Annona muricata L. Leaf Extr. 2018;55(3):205–14.Suche in Google Scholar
[30] Coria-Téllez AV, Montalvo-Gónzalez E, Yahia EM, Obledo-Vázquez EN. Annona muricata: A comprehensive review on its traditional medicinal uses, phytochemicals, pharmacological activities, mechanisms of action and toxicity. Arab J Chem. 2018;11(5):662–91.10.1016/j.arabjc.2016.01.004Suche in Google Scholar
[31] Arthur F, Woode E, Terlabi E, Larbie C. Evaluation of acute and subchronic toxicity of Annona muricata (Linn.) aqueous extract in animals. Eur J Exp Biol. 2011;1(4):115–24.Suche in Google Scholar
[32] Gudkov AV, Komarova EA. The role of p53 in determining sensitivity to radiotherapy. Nat Rev Cancer. 2003 Feb;3(2):117–29.10.1038/nrc992Suche in Google Scholar
[33] Potten CS, Grant HK. The relationship between ionizing radiation-induced apoptosis and stem cells in the small and large intestine. Br J Cancer. 1998 Oct;78(8):993–1003.10.1038/bjc.1998.618Suche in Google Scholar
[34] Van der Meeren A, Mouthon MA, Vandamme M, Squiban C, Aigueperse J. Combinations of cytokines promote survival of mice and limit acute radiation damage in concert with amelioration of vascular damage. Radiat Res. 2004 May;161(5):549–59.10.1667/RR3164Suche in Google Scholar
[35] Brentnall M, Rodriguez-Menocal L, De Guevara RL, Cepero E, Boise LH. Caspase-9, caspase-3 and caspase-7 have distinct roles during intrinsic apoptosis. BMC Cell Biol 2013;14:32. 10.1186/1471-2121-14-32.Suche in Google Scholar PubMed PubMed Central
[36] Ciccocioppo R, Di Sabatino A, Gasbarrini G, Corazza GR. Apoptosis and gastrointestinal tract. Ital J Gastroenterol Hepatol. 1999 Mar;31(2):162–72.Suche in Google Scholar
[37] Husain KD, Coopersmith CM. Role of intestinal epithelial apoptosis in survival. Curr Opin Crit Care. 2003 Apr;9(2):159–63.10.1097/00075198-200304000-00013Suche in Google Scholar
[38] Maj JG, Paris F, Haimovitz-Friedman A, Venkatraman E, Kolesnick R, Fuks Z. Microvascular function regulates intestinal crypt response to radiation. Cancer Res. 2003 Aug;63(15):4338–41.Suche in Google Scholar
[39] Paris F, Fuks Z, Kang A, Capodieci P, Juan G, Ehleiter D, et al. Endothelial apoptosis as the primary lesion initiating intestinal radiation damage in mice. Science. 2001 Jul;293(5528):293–7.10.1126/science.1060191Suche in Google Scholar
[40] van der Woude CJ, Kleibeuker JH, Jansen PL, Moshage H. Chronic inflammation, apoptosis and (pre-)malignant lesions in the gastro-intestinal tract. Apoptosis. 2004 Mar;9(2):123–30.10.1023/B:APPT.0000018794.26438.22Suche in Google Scholar
[41] Moghadamtousi SZ, Kadir HA, Paydar M, Rouhollahi E, Karimian H. Annona muricata leaves induced apoptosis in A549 cells through mitochondrial-mediated pathway and involvement of NF-κB. BMC Complement Altern Med. 2014;14:299.10.1186/1472-6882-14-299Suche in Google Scholar
[42] Galucio NC, Moysés DA, Pina JR, Marinho PS, Gomes Júnior PC, Cruz JN, et al. Antiproliferative, genotoxic activities and quantification of extracts and cucurbitacin B obtained from Luffa operculata (L.) Cogn. Arab J Chem. 2022;15(2):103589.10.1016/j.arabjc.2021.103589Suche in Google Scholar
[43] Cascaes MM, Carneiro OD, Nascimento LD, de Moraes ÂA, de Oliveira MS, Cruz JN, et al. Essential oils from annonaceae species from Brazil: a systematic review of their phytochemistry, and biological activities. Int J Mol Sci. 2021 Nov;22(22):12140.10.3390/ijms222212140Suche in Google Scholar
[44] Castro AL, Cruz JN, Sodré DF, Correa-Barbosa J, Azonsivo R, de Oliveira MS, et al., Evaluation of the genotoxicity and mutagenicity of isoeleutherin and eleutherin isolated from Eleutherine plicata herb. using bioassays and in silico approaches. Arab J Chem. 2021;14(4):103084.10.1016/j.arabjc.2021.103084Suche in Google Scholar
[45] da Silva Júnior OS, Franco CJ, de Moraes AA, Cruz JN, da Costa KS, do Nascimento LD, et al. In silico analyses of toxicity of the major constituents of essential oils from two Ipomoea L. species. Toxicon. 2021 May;195:111–8.10.1016/j.toxicon.2021.02.015Suche in Google Scholar
© 2022 Ozlem Elmas et al., published by De Gruyter
This work is licensed under the Creative Commons Attribution 4.0 International License.
Artikel in diesem Heft
- Regular Articles
- Photocatalytic degradation of Rhodamine B in aqueous phase by bimetallic metal-organic framework M/Fe-MOF (M = Co, Cu, and Mg)
- Assessment of using electronic portal imaging device for analysing bolus material utilised in radiation therapy
- A detailed investigation on highly dense CuZr bulk metallic glasses for shielding purposes
- Simulation of gamma-ray shielding properties for materials of medical interest
- Environmental impact assesment regulation applications and their analysis in Turkey
- Sample age effect on parameters of dynamic nuclear polarization in certain difluorobenzen isomers/MC800 asphaltene suspensions
- Passenger demand forecasting for railway systems
- Design of a Robust sliding mode controller for bioreactor cultures in overflow metabolism via an interdisciplinary approach
- Gamma, neutron, and heavy charged ion shielding properties of Er3+-doped and Sm3+-doped zinc borate glasses
- Bridging chiral de-tert-butylcalix[4]arenes: Optical resolution based on column chromatography and structural characterization
- Petrology and geochemistry of multiphase post-granitic dikes: A case study from the Gabal Serbal area, Southwestern Sinai, Egypt
- Comparison of the yield and purity of plasma exosomes extracted by ultracentrifugation, precipitation, and membrane-based approaches
- Bioactive triterpenoids from Indonesian medicinal plant Syzygium aqueum
- Investigation of the effects of machining parameters on surface integrity in micromachining
- The mesoporous aluminosilicate application as support for bifunctional catalysts for n-hexadecane hydroconversion
- Gamma-ray shielding properties of Nd2O3-added iron–boron–phosphate-based composites
- Numerical investigation on perforated sheet metals under tension loading
- Statistical analysis on the radiological assessment and geochemical studies of granite rocks in the north of Um Taghir area, Eastern Desert, Egypt
- Two new polypodane-type bicyclic triterpenoids from mastic
- Structural, physical, and mechanical properties of the TiO2 added hydroxyapatite composites
- Tribological properties and characterization of borided Co–Mg alloys
- Studies on Anemone nemorosa L. extracts; polyphenols profile, antioxidant activity, and effects on Caco-2 cells by in vitro and in silico studies
- Mechanical properties, elastic moduli, transmission factors, and gamma-ray-shielding performances of Bi2O3–P2O5–B2O3–V2O5 quaternary glass system
- Cyclic connectivity index of bipolar fuzzy incidence graph
- The role of passage numbers of donor cells in the development of Arabian Oryx – Cow interspecific somatic cell nuclear transfer embryos
- Mechanical property evaluation of tellurite–germanate glasses and comparison of their radiation-shielding characteristics using EPICS2017 to other glass systems
- Molecular screening of ionic liquids for CO2 absorption and molecular dynamic simulation
- Microwave-assisted preparation of Ag/Fe magnetic biochar from clivia leaves for adsorbing daptomycin antibiotics
- Iminodisuccinic acid enhances antioxidant and mineral element accumulation in young leaves of Ziziphus jujuba
- Cytotoxic activity of guaiane-type sesquiterpene lactone (deoxycynaropicrin) isolated from the leaves of Centaurothamnus maximus
- Effects of welding parameters on the angular distortion of welded steel plates
- Simulation of a reactor considering the Stamicarbon, Snamprogetti, and Toyo patents for obtaining urea
- Effect of different ramie (Boehmeria nivea L. Gaud) cultivars on the adsorption of heavy metal ions cadmium and lead in the remediation of contaminated farmland soils
- Impact of a live bacterial-based direct-fed microbial (DFM) postpartum and weaning system on performance, mortality, and health of Najdi lambs
- Anti-tumor effect of liposomes containing extracted Murrayafoline A against liver cancer cells in 2D and 3D cultured models
- Physicochemical properties and some mineral concentration of milk samples from different animals and altitudes
- Copper(ii) complexes supported by modified azo-based ligands: Nucleic acid binding and molecular docking studies
- Diagnostic and therapeutic radioisotopes in nuclear medicine: Determination of gamma-ray transmission factors and safety competencies of high-dense and transparent glassy shields
- Calculation of NaI(Tl) detector efficiency using 226Ra, 232Th, and 40K radioisotopes: Three-phase Monte Carlo simulation study
- Isolation and identification of unstable components from Caesalpinia sappan by high-speed counter-current chromatography combined with preparative high-performance liquid chromatography
- Quantification of biomarkers and evaluation of antioxidant, anti-inflammatory, and cytotoxicity properties of Dodonaea viscosa grown in Saudi Arabia using HPTLC technique
- Characterization of the elastic modulus of ceramic–metal composites with physical and mechanical properties by ultrasonic technique
- GC-MS analysis of Vespa velutina auraria Smith and its anti-inflammatory and antioxidant activities in vitro
- Texturing of nanocoatings for surface acoustic wave-based sensors for volatile organic compounds
- Insights into the molecular basis of some chalcone analogues as potential inhibitors of Leishmania donovani: An integrated in silico and in vitro study
- (1R,2S,5R)-5-Methyl-2-(propan-2-yl)cyclohexyl 4-amino-3-phenylbutanoate hydrochloride: Synthesis and anticonvulsant activity
- On the relative extraction rates of colour compounds and caffeine during brewing, an investigation of tea over time and temperature
- Characterization of egg shell powder-doped ceramic–metal composites
- Rapeseed oil-based hippurate amide nanocomposite coating material for anticorrosive and antibacterial applications
- Chemically modified Teucrium polium (Lamiaceae) plant act as an effective adsorbent tool for potassium permanganate (KMnO4) in wastewater remediation
- Efficiency analysis of photovoltaic systems installed in different geographical locations
- Risk prioritization model driven by success factor in the light of multicriteria decision making
- Theoretical investigations on the excited-state intramolecular proton transfer in the solvated 2-hydroxy-1-naphthaldehyde carbohydrazone
- Mechanical and gamma-ray shielding examinations of Bi2O3–PbO–CdO–B2O3 glass system
- Machine learning-based forecasting of potability of drinking water through adaptive boosting model
- The potential effect of the Rumex vesicarius water seeds extract treatment on mice before and during pregnancy on the serum enzymes and the histology of kidney and liver
- Impact of benzimidazole functional groups on the n-doping properties of benzimidazole derivatives
- Extraction of red pigment from Chinese jujube peel and the antioxidant activity of the pigment extracts
- Flexural strength and thermal properties of carbon black nanoparticle reinforced epoxy composites obtained from waste tires
- A focusing study on radioprotective and antioxidant effects of Annona muricata leaf extract in the circulation and liver tissue: Clinical and experimental studies
- Clinical comprehensive and experimental assessment of the radioprotective effect of Annona muricata leaf extract to prevent cellular damage in the ileum tissue
- Effect of WC content on ultrasonic properties, thermal and electrical conductivity of WC–Co–Ni–Cr composites
- Influence of various class cleaning agents for prosthesis on Co–Cr alloy surface
- The synthesis of nanocellulose-based nanocomposites for the effective removal of hexavalent chromium ions from aqueous solution
- Study on the influence of physical interlayers on the remaining oil production under different development modes
- Optimized linear regression control of DC motor under various disturbances
- Influence of different sample preparation strategies on hypothesis-driven shotgun proteomic analysis of human saliva
- Determination of flow distance of the fluid metal due to fluidity in ductile iron casting by artificial neural networks approach
- Investigation of mechanical activation effect on high-volume natural pozzolanic cements
- In vitro: Anti-coccidia activity of Calotropis procera leaf extract on Eimeria papillata oocysts sporulation and sporozoite
- Determination of oil composition of cowpea (Vigna unguiculata L.) seeds under influence of organic fertilizer forms
- Activated partial thromboplastin time maybe associated with the prognosis of papillary thyroid carcinoma
- Treatment of rat brain ischemia model by NSCs-polymer scaffold transplantation
- Lead and cadmium removal with native yeast from coastal wetlands
- Characterization of electroless Ni-coated Fe–Co composite using powder metallurgy
- Ferrate synthesis using NaOCl and its application for dye removal
- Antioxidant, antidiabetic, and anticholinesterase potential of Chenopodium murale L. extracts using in vitro and in vivo approaches
- Study on essential oil, antioxidant activity, anti-human prostate cancer effects, and induction of apoptosis by Equisetum arvense
- Experimental study on turning machine with permanent magnetic cutting tool
- Numerical simulation and mathematical modeling of the casting process for pearlitic spheroidal graphite cast iron
- Design, synthesis, and cytotoxicity evaluation of novel thiophene, pyrimidine, pyridazine, and pyridine: Griseofulvin heterocyclic extension derivatives
- Isolation and identification of promising antibiotic-producing bacteria
- Ultrasonic-induced reversible blood–brain barrier opening: Safety evaluation into the cellular level
- Evaluation of phytochemical and antioxidant potential of various extracts from traditionally used medicinal plants of Pakistan
- Effect of calcium lactate in standard diet on selected markers of oxidative stress and inflammation in ovariectomized rats
- Identification of crucial salivary proteins/genes and pathways involved in pathogenesis of temporomandibular disorders
- Zirconium-modified attapulgite was used for removing of Cr(vi) in aqueous solution
- The stress distribution of different types of restorative materials in primary molar
- Reducing surface heat loss in steam boilers
- Deformation behavior and formability of friction stir processed DP600 steel
- Synthesis and characterization of bismuth oxide/commercial activated carbon composite for battery anode
- Phytochemical analysis of Ziziphus jujube leaf at different foliar ages based on widely targeted metabolomics
- Effects of in ovo injection of black cumin (Nigella sativa) extract on hatching performance of broiler eggs
- Separation and evaluation of potential antioxidant, analgesic, and anti-inflammatory activities of limonene-rich essential oils from Citrus sinensis (L.)
- Bioactivity of a polyhydroxy gorgostane steroid from Xenia umbellata
- BiCAM-based automated scoring system for digital logic circuit diagrams
- Analysis of standard systems with solar monitoring systems
- Structural and spectroscopic properties of voriconazole and fluconazole – Experimental and theoretical studies
- New plant resistance inducers based on polyamines
- Experimental investigation of single-lap bolted and bolted/bonded (hybrid) joints of polymeric plates
- Investigation of inlet air pressure and evaporative cooling of four different cogeneration cycles
- Review Articles
- Comprehensive review on synthesis, physicochemical properties, and application of activated carbon from the Arecaceae plants for enhanced wastewater treatment
- Research progress on speciation analysis of arsenic in traditional Chinese medicine
- Recent modified air-assisted liquid–liquid microextraction applications for medicines and organic compounds in various samples: A review
- An insight on Vietnamese bio-waste materials as activated carbon precursors for multiple applications in environmental protection
- Antimicrobial activities of the extracts and secondary metabolites from Clausena genus – A review
- Bioremediation of organic/heavy metal contaminants by mixed cultures of microorganisms: A review
- Sonodynamic therapy for breast cancer: A literature review
- Recent progress of amino acid transporters as a novel antitumor target
- Aconitum coreanum Rapaics: Botany, traditional uses, phytochemistry, pharmacology, and toxicology
- Corrigendum
- Corrigendum to “Petrology and geochemistry of multiphase post-granitic dikes: A case study from the Gabal Serbal area, Southwestern Sinai, Egypt”
- Corrigendum to “Design of a Robust sliding mode controller for bioreactor cultures in overflow metabolism via an interdisciplinary approach”
- Corrigendum to “Statistical analysis on the radiological assessment and geochemical studies of granite rocks in the north of Um Taghir area, Eastern Desert, Egypt”
- Corrigendum to “Aroma components of tobacco powder from different producing areas based on gas chromatography ion mobility spectrometry”
- Corrigendum to “Mechanical properties, elastic moduli, transmission factors, and gamma-ray-shielding performances of Bi2O3–P2O5–B2O3–V2O5 quaternary glass system”
- Erratum
- Erratum to “Copper(ii) complexes supported by modified azo-based ligands: Nucleic acid binding and molecular docking studies”
- Special Issue on Applied Biochemistry and Biotechnology (ABB 2021)
- Study of solidification and stabilization of heavy metals by passivators in heavy metal-contaminated soil
- Human health risk assessment and distribution of VOCs in a chemical site, Weinan, China
- Preparation and characterization of Sparassis latifolia β-glucan microcapsules
- Special Issue on the Conference of Energy, Fuels, Environment 2020
- Improving the thermal performance of existing buildings in light of the requirements of the EU directive 2010/31/EU in Poland
- Special Issue on Ethnobotanical, Phytochemical and Biological Investigation of Medicinal Plants
- Study of plant resources with ethnomedicinal relevance from district Bagh, Azad Jammu and Kashmir, Pakistan
- Studies on the chemical composition of plants used in traditional medicine in Congo
- Special Issue on Applied Chemistry in Agriculture and Food Science
- Strip spraying technology for precise herbicide application in carrot fields
- Special Issue on Pharmacology and Metabolomics of Ethnobotanical and Herbal Medicine
- Phytochemical profiling, antibacterial and antioxidant properties of Crocus sativus flower: A comparison between tepals and stigmas
- Antioxidant and antimicrobial properties of polyphenolics from Withania adpressa (Coss.) Batt. against selected drug-resistant bacterial strains
- Integrating network pharmacology and molecular docking to explore the potential mechanism of Xinguan No. 3 in the treatment of COVID-19
- Chemical composition and in vitro and in vivo biological assortment of fixed oil extracted from Ficus benghalensis L.
- A review of the pharmacological activities and protective effects of Inonotus obliquus triterpenoids in kidney diseases
- Ethnopharmacological study of medicinal plants in Kastamonu province (Türkiye)
- Protective effects of asperuloside against cyclophosphamide-induced urotoxicity and hematotoxicity in rats
- Special Issue on Essential Oil, Extraction, Phytochemistry, Advances, and Application
- Identification of volatile compounds and antioxidant, antibacterial, and antifungal properties against drug-resistant microbes of essential oils from the leaves of Mentha rotundifolia var. apodysa Briq. (Lamiaceae)
- Phenolic contents, anticancer, antioxidant, and antimicrobial capacities of MeOH extract from the aerial parts of Trema orientalis plant
- Chemical composition and antimicrobial activity of essential oils from Mentha pulegium and Rosmarinus officinalis against multidrug-resistant microbes and their acute toxicity study
- Special Issue on Marine Environmental Sciences and Significance of the Multidisciplinary Approaches
- An insightful overview of the distribution pattern of polycyclic aromatic hydrocarbon in the marine sediments of the Red Sea
- Antifungal–antiproliferative norcycloartane-type triterpenes from the Red Sea green alga Tydemania expeditionis
- Solvent effect, dipole moment, and DFT studies of multi donor–acceptor type pyridine derivative
- An extensive assessment on the distribution pattern of organic contaminants in the aerosols samples in the Middle East
- Special Issue on 4th IC3PE
- Energetics of carboxylic acid–pyridine heterosynthon revisited: A computational study of intermolecular hydrogen bond domination on phenylacetic acid–nicotinamide cocrystals
- A review: Silver–zinc oxide nanoparticles – organoclay-reinforced chitosan bionanocomposites for food packaging
- Green synthesis of magnetic activated carbon from peanut shells functionalized with TiO2 photocatalyst for Batik liquid waste treatment
- Coagulation activity of liquid extraction of Leucaena leucocephala and Sesbania grandiflora on the removal of turbidity
- Hydrocracking optimization of palm oil over NiMoO4/activated carbon catalyst to produce biogasoline and kerosine
- Special Issue on Pharmacology and metabolomics of ethnobotanical and herbal medicine
- Cynarin inhibits PDGF-BB-induced proliferation and activation in hepatic stellate cells through PPARγ
- Special Issue on The 1st Malaysia International Conference on Nanotechnology & Catalysis (MICNC2021)
- Surfactant evaluation for enhanced oil recovery: Phase behavior and interfacial tension
- Topical Issue on phytochemicals, biological and toxicological analysis of aromatic medicinal plants
- Phytochemical analysis of leaves and stems of Physalis alkekengi L. (Solanaceae)
- Phytochemical and pharmacological profiling of Trewia nudiflora Linn. leaf extract deciphers therapeutic potentials against thrombosis, arthritis, helminths, and insects
- Pergularia tomentosa coupled with selenium nanoparticles salvaged lead acetate-induced redox imbalance, inflammation, apoptosis, and disruption of neurotransmission in rats’ brain
- Protective effect of Allium atroviolaceum-synthesized SeNPs on aluminum-induced brain damage in mice
- Mechanism study of Cordyceps sinensis alleviates renal ischemia–reperfusion injury
- Plant-derived bisbenzylisoquinoline alkaloid tetrandrine prevents human podocyte injury by regulating the miR-150-5p/NPHS1 axis
- Network pharmacology combined with molecular docking to explore the anti-osteoporosis mechanisms of β-ecdysone derived from medicinal plants
- Chinese medicinal plant Polygonum cuspidatum ameliorates silicosis via suppressing the Wnt/β-catenin pathway
- Special Issue on Advanced Nanomaterials for Energy, Environmental and Biological Applications - Part I
- Investigation of improved optical and conductivity properties of poly(methyl methacrylate)–MXenes (PMMA–MXenes) nanocomposite thin films for optoelectronic applications
- Special Issue on Applied Biochemistry and Biotechnology (ABB 2022)
- Model predictive control for precision irrigation of a Quinoa crop
Artikel in diesem Heft
- Regular Articles
- Photocatalytic degradation of Rhodamine B in aqueous phase by bimetallic metal-organic framework M/Fe-MOF (M = Co, Cu, and Mg)
- Assessment of using electronic portal imaging device for analysing bolus material utilised in radiation therapy
- A detailed investigation on highly dense CuZr bulk metallic glasses for shielding purposes
- Simulation of gamma-ray shielding properties for materials of medical interest
- Environmental impact assesment regulation applications and their analysis in Turkey
- Sample age effect on parameters of dynamic nuclear polarization in certain difluorobenzen isomers/MC800 asphaltene suspensions
- Passenger demand forecasting for railway systems
- Design of a Robust sliding mode controller for bioreactor cultures in overflow metabolism via an interdisciplinary approach
- Gamma, neutron, and heavy charged ion shielding properties of Er3+-doped and Sm3+-doped zinc borate glasses
- Bridging chiral de-tert-butylcalix[4]arenes: Optical resolution based on column chromatography and structural characterization
- Petrology and geochemistry of multiphase post-granitic dikes: A case study from the Gabal Serbal area, Southwestern Sinai, Egypt
- Comparison of the yield and purity of plasma exosomes extracted by ultracentrifugation, precipitation, and membrane-based approaches
- Bioactive triterpenoids from Indonesian medicinal plant Syzygium aqueum
- Investigation of the effects of machining parameters on surface integrity in micromachining
- The mesoporous aluminosilicate application as support for bifunctional catalysts for n-hexadecane hydroconversion
- Gamma-ray shielding properties of Nd2O3-added iron–boron–phosphate-based composites
- Numerical investigation on perforated sheet metals under tension loading
- Statistical analysis on the radiological assessment and geochemical studies of granite rocks in the north of Um Taghir area, Eastern Desert, Egypt
- Two new polypodane-type bicyclic triterpenoids from mastic
- Structural, physical, and mechanical properties of the TiO2 added hydroxyapatite composites
- Tribological properties and characterization of borided Co–Mg alloys
- Studies on Anemone nemorosa L. extracts; polyphenols profile, antioxidant activity, and effects on Caco-2 cells by in vitro and in silico studies
- Mechanical properties, elastic moduli, transmission factors, and gamma-ray-shielding performances of Bi2O3–P2O5–B2O3–V2O5 quaternary glass system
- Cyclic connectivity index of bipolar fuzzy incidence graph
- The role of passage numbers of donor cells in the development of Arabian Oryx – Cow interspecific somatic cell nuclear transfer embryos
- Mechanical property evaluation of tellurite–germanate glasses and comparison of their radiation-shielding characteristics using EPICS2017 to other glass systems
- Molecular screening of ionic liquids for CO2 absorption and molecular dynamic simulation
- Microwave-assisted preparation of Ag/Fe magnetic biochar from clivia leaves for adsorbing daptomycin antibiotics
- Iminodisuccinic acid enhances antioxidant and mineral element accumulation in young leaves of Ziziphus jujuba
- Cytotoxic activity of guaiane-type sesquiterpene lactone (deoxycynaropicrin) isolated from the leaves of Centaurothamnus maximus
- Effects of welding parameters on the angular distortion of welded steel plates
- Simulation of a reactor considering the Stamicarbon, Snamprogetti, and Toyo patents for obtaining urea
- Effect of different ramie (Boehmeria nivea L. Gaud) cultivars on the adsorption of heavy metal ions cadmium and lead in the remediation of contaminated farmland soils
- Impact of a live bacterial-based direct-fed microbial (DFM) postpartum and weaning system on performance, mortality, and health of Najdi lambs
- Anti-tumor effect of liposomes containing extracted Murrayafoline A against liver cancer cells in 2D and 3D cultured models
- Physicochemical properties and some mineral concentration of milk samples from different animals and altitudes
- Copper(ii) complexes supported by modified azo-based ligands: Nucleic acid binding and molecular docking studies
- Diagnostic and therapeutic radioisotopes in nuclear medicine: Determination of gamma-ray transmission factors and safety competencies of high-dense and transparent glassy shields
- Calculation of NaI(Tl) detector efficiency using 226Ra, 232Th, and 40K radioisotopes: Three-phase Monte Carlo simulation study
- Isolation and identification of unstable components from Caesalpinia sappan by high-speed counter-current chromatography combined with preparative high-performance liquid chromatography
- Quantification of biomarkers and evaluation of antioxidant, anti-inflammatory, and cytotoxicity properties of Dodonaea viscosa grown in Saudi Arabia using HPTLC technique
- Characterization of the elastic modulus of ceramic–metal composites with physical and mechanical properties by ultrasonic technique
- GC-MS analysis of Vespa velutina auraria Smith and its anti-inflammatory and antioxidant activities in vitro
- Texturing of nanocoatings for surface acoustic wave-based sensors for volatile organic compounds
- Insights into the molecular basis of some chalcone analogues as potential inhibitors of Leishmania donovani: An integrated in silico and in vitro study
- (1R,2S,5R)-5-Methyl-2-(propan-2-yl)cyclohexyl 4-amino-3-phenylbutanoate hydrochloride: Synthesis and anticonvulsant activity
- On the relative extraction rates of colour compounds and caffeine during brewing, an investigation of tea over time and temperature
- Characterization of egg shell powder-doped ceramic–metal composites
- Rapeseed oil-based hippurate amide nanocomposite coating material for anticorrosive and antibacterial applications
- Chemically modified Teucrium polium (Lamiaceae) plant act as an effective adsorbent tool for potassium permanganate (KMnO4) in wastewater remediation
- Efficiency analysis of photovoltaic systems installed in different geographical locations
- Risk prioritization model driven by success factor in the light of multicriteria decision making
- Theoretical investigations on the excited-state intramolecular proton transfer in the solvated 2-hydroxy-1-naphthaldehyde carbohydrazone
- Mechanical and gamma-ray shielding examinations of Bi2O3–PbO–CdO–B2O3 glass system
- Machine learning-based forecasting of potability of drinking water through adaptive boosting model
- The potential effect of the Rumex vesicarius water seeds extract treatment on mice before and during pregnancy on the serum enzymes and the histology of kidney and liver
- Impact of benzimidazole functional groups on the n-doping properties of benzimidazole derivatives
- Extraction of red pigment from Chinese jujube peel and the antioxidant activity of the pigment extracts
- Flexural strength and thermal properties of carbon black nanoparticle reinforced epoxy composites obtained from waste tires
- A focusing study on radioprotective and antioxidant effects of Annona muricata leaf extract in the circulation and liver tissue: Clinical and experimental studies
- Clinical comprehensive and experimental assessment of the radioprotective effect of Annona muricata leaf extract to prevent cellular damage in the ileum tissue
- Effect of WC content on ultrasonic properties, thermal and electrical conductivity of WC–Co–Ni–Cr composites
- Influence of various class cleaning agents for prosthesis on Co–Cr alloy surface
- The synthesis of nanocellulose-based nanocomposites for the effective removal of hexavalent chromium ions from aqueous solution
- Study on the influence of physical interlayers on the remaining oil production under different development modes
- Optimized linear regression control of DC motor under various disturbances
- Influence of different sample preparation strategies on hypothesis-driven shotgun proteomic analysis of human saliva
- Determination of flow distance of the fluid metal due to fluidity in ductile iron casting by artificial neural networks approach
- Investigation of mechanical activation effect on high-volume natural pozzolanic cements
- In vitro: Anti-coccidia activity of Calotropis procera leaf extract on Eimeria papillata oocysts sporulation and sporozoite
- Determination of oil composition of cowpea (Vigna unguiculata L.) seeds under influence of organic fertilizer forms
- Activated partial thromboplastin time maybe associated with the prognosis of papillary thyroid carcinoma
- Treatment of rat brain ischemia model by NSCs-polymer scaffold transplantation
- Lead and cadmium removal with native yeast from coastal wetlands
- Characterization of electroless Ni-coated Fe–Co composite using powder metallurgy
- Ferrate synthesis using NaOCl and its application for dye removal
- Antioxidant, antidiabetic, and anticholinesterase potential of Chenopodium murale L. extracts using in vitro and in vivo approaches
- Study on essential oil, antioxidant activity, anti-human prostate cancer effects, and induction of apoptosis by Equisetum arvense
- Experimental study on turning machine with permanent magnetic cutting tool
- Numerical simulation and mathematical modeling of the casting process for pearlitic spheroidal graphite cast iron
- Design, synthesis, and cytotoxicity evaluation of novel thiophene, pyrimidine, pyridazine, and pyridine: Griseofulvin heterocyclic extension derivatives
- Isolation and identification of promising antibiotic-producing bacteria
- Ultrasonic-induced reversible blood–brain barrier opening: Safety evaluation into the cellular level
- Evaluation of phytochemical and antioxidant potential of various extracts from traditionally used medicinal plants of Pakistan
- Effect of calcium lactate in standard diet on selected markers of oxidative stress and inflammation in ovariectomized rats
- Identification of crucial salivary proteins/genes and pathways involved in pathogenesis of temporomandibular disorders
- Zirconium-modified attapulgite was used for removing of Cr(vi) in aqueous solution
- The stress distribution of different types of restorative materials in primary molar
- Reducing surface heat loss in steam boilers
- Deformation behavior and formability of friction stir processed DP600 steel
- Synthesis and characterization of bismuth oxide/commercial activated carbon composite for battery anode
- Phytochemical analysis of Ziziphus jujube leaf at different foliar ages based on widely targeted metabolomics
- Effects of in ovo injection of black cumin (Nigella sativa) extract on hatching performance of broiler eggs
- Separation and evaluation of potential antioxidant, analgesic, and anti-inflammatory activities of limonene-rich essential oils from Citrus sinensis (L.)
- Bioactivity of a polyhydroxy gorgostane steroid from Xenia umbellata
- BiCAM-based automated scoring system for digital logic circuit diagrams
- Analysis of standard systems with solar monitoring systems
- Structural and spectroscopic properties of voriconazole and fluconazole – Experimental and theoretical studies
- New plant resistance inducers based on polyamines
- Experimental investigation of single-lap bolted and bolted/bonded (hybrid) joints of polymeric plates
- Investigation of inlet air pressure and evaporative cooling of four different cogeneration cycles
- Review Articles
- Comprehensive review on synthesis, physicochemical properties, and application of activated carbon from the Arecaceae plants for enhanced wastewater treatment
- Research progress on speciation analysis of arsenic in traditional Chinese medicine
- Recent modified air-assisted liquid–liquid microextraction applications for medicines and organic compounds in various samples: A review
- An insight on Vietnamese bio-waste materials as activated carbon precursors for multiple applications in environmental protection
- Antimicrobial activities of the extracts and secondary metabolites from Clausena genus – A review
- Bioremediation of organic/heavy metal contaminants by mixed cultures of microorganisms: A review
- Sonodynamic therapy for breast cancer: A literature review
- Recent progress of amino acid transporters as a novel antitumor target
- Aconitum coreanum Rapaics: Botany, traditional uses, phytochemistry, pharmacology, and toxicology
- Corrigendum
- Corrigendum to “Petrology and geochemistry of multiphase post-granitic dikes: A case study from the Gabal Serbal area, Southwestern Sinai, Egypt”
- Corrigendum to “Design of a Robust sliding mode controller for bioreactor cultures in overflow metabolism via an interdisciplinary approach”
- Corrigendum to “Statistical analysis on the radiological assessment and geochemical studies of granite rocks in the north of Um Taghir area, Eastern Desert, Egypt”
- Corrigendum to “Aroma components of tobacco powder from different producing areas based on gas chromatography ion mobility spectrometry”
- Corrigendum to “Mechanical properties, elastic moduli, transmission factors, and gamma-ray-shielding performances of Bi2O3–P2O5–B2O3–V2O5 quaternary glass system”
- Erratum
- Erratum to “Copper(ii) complexes supported by modified azo-based ligands: Nucleic acid binding and molecular docking studies”
- Special Issue on Applied Biochemistry and Biotechnology (ABB 2021)
- Study of solidification and stabilization of heavy metals by passivators in heavy metal-contaminated soil
- Human health risk assessment and distribution of VOCs in a chemical site, Weinan, China
- Preparation and characterization of Sparassis latifolia β-glucan microcapsules
- Special Issue on the Conference of Energy, Fuels, Environment 2020
- Improving the thermal performance of existing buildings in light of the requirements of the EU directive 2010/31/EU in Poland
- Special Issue on Ethnobotanical, Phytochemical and Biological Investigation of Medicinal Plants
- Study of plant resources with ethnomedicinal relevance from district Bagh, Azad Jammu and Kashmir, Pakistan
- Studies on the chemical composition of plants used in traditional medicine in Congo
- Special Issue on Applied Chemistry in Agriculture and Food Science
- Strip spraying technology for precise herbicide application in carrot fields
- Special Issue on Pharmacology and Metabolomics of Ethnobotanical and Herbal Medicine
- Phytochemical profiling, antibacterial and antioxidant properties of Crocus sativus flower: A comparison between tepals and stigmas
- Antioxidant and antimicrobial properties of polyphenolics from Withania adpressa (Coss.) Batt. against selected drug-resistant bacterial strains
- Integrating network pharmacology and molecular docking to explore the potential mechanism of Xinguan No. 3 in the treatment of COVID-19
- Chemical composition and in vitro and in vivo biological assortment of fixed oil extracted from Ficus benghalensis L.
- A review of the pharmacological activities and protective effects of Inonotus obliquus triterpenoids in kidney diseases
- Ethnopharmacological study of medicinal plants in Kastamonu province (Türkiye)
- Protective effects of asperuloside against cyclophosphamide-induced urotoxicity and hematotoxicity in rats
- Special Issue on Essential Oil, Extraction, Phytochemistry, Advances, and Application
- Identification of volatile compounds and antioxidant, antibacterial, and antifungal properties against drug-resistant microbes of essential oils from the leaves of Mentha rotundifolia var. apodysa Briq. (Lamiaceae)
- Phenolic contents, anticancer, antioxidant, and antimicrobial capacities of MeOH extract from the aerial parts of Trema orientalis plant
- Chemical composition and antimicrobial activity of essential oils from Mentha pulegium and Rosmarinus officinalis against multidrug-resistant microbes and their acute toxicity study
- Special Issue on Marine Environmental Sciences and Significance of the Multidisciplinary Approaches
- An insightful overview of the distribution pattern of polycyclic aromatic hydrocarbon in the marine sediments of the Red Sea
- Antifungal–antiproliferative norcycloartane-type triterpenes from the Red Sea green alga Tydemania expeditionis
- Solvent effect, dipole moment, and DFT studies of multi donor–acceptor type pyridine derivative
- An extensive assessment on the distribution pattern of organic contaminants in the aerosols samples in the Middle East
- Special Issue on 4th IC3PE
- Energetics of carboxylic acid–pyridine heterosynthon revisited: A computational study of intermolecular hydrogen bond domination on phenylacetic acid–nicotinamide cocrystals
- A review: Silver–zinc oxide nanoparticles – organoclay-reinforced chitosan bionanocomposites for food packaging
- Green synthesis of magnetic activated carbon from peanut shells functionalized with TiO2 photocatalyst for Batik liquid waste treatment
- Coagulation activity of liquid extraction of Leucaena leucocephala and Sesbania grandiflora on the removal of turbidity
- Hydrocracking optimization of palm oil over NiMoO4/activated carbon catalyst to produce biogasoline and kerosine
- Special Issue on Pharmacology and metabolomics of ethnobotanical and herbal medicine
- Cynarin inhibits PDGF-BB-induced proliferation and activation in hepatic stellate cells through PPARγ
- Special Issue on The 1st Malaysia International Conference on Nanotechnology & Catalysis (MICNC2021)
- Surfactant evaluation for enhanced oil recovery: Phase behavior and interfacial tension
- Topical Issue on phytochemicals, biological and toxicological analysis of aromatic medicinal plants
- Phytochemical analysis of leaves and stems of Physalis alkekengi L. (Solanaceae)
- Phytochemical and pharmacological profiling of Trewia nudiflora Linn. leaf extract deciphers therapeutic potentials against thrombosis, arthritis, helminths, and insects
- Pergularia tomentosa coupled with selenium nanoparticles salvaged lead acetate-induced redox imbalance, inflammation, apoptosis, and disruption of neurotransmission in rats’ brain
- Protective effect of Allium atroviolaceum-synthesized SeNPs on aluminum-induced brain damage in mice
- Mechanism study of Cordyceps sinensis alleviates renal ischemia–reperfusion injury
- Plant-derived bisbenzylisoquinoline alkaloid tetrandrine prevents human podocyte injury by regulating the miR-150-5p/NPHS1 axis
- Network pharmacology combined with molecular docking to explore the anti-osteoporosis mechanisms of β-ecdysone derived from medicinal plants
- Chinese medicinal plant Polygonum cuspidatum ameliorates silicosis via suppressing the Wnt/β-catenin pathway
- Special Issue on Advanced Nanomaterials for Energy, Environmental and Biological Applications - Part I
- Investigation of improved optical and conductivity properties of poly(methyl methacrylate)–MXenes (PMMA–MXenes) nanocomposite thin films for optoelectronic applications
- Special Issue on Applied Biochemistry and Biotechnology (ABB 2022)
- Model predictive control for precision irrigation of a Quinoa crop