Hemoperitoneum caused by spontaneous rupture of hepatocellular carcinoma in noncirrhotic liver. A case report and systematic review
-
Nicola Tartaglia
, Alessandra Di Lascia
, Pasquale Cianci , Alberto Fersini , Mario Pacilli , Giovanna Pavone und Antonio Ambrosi
Abstract
Introduction
Hepatocellular carcinoma (HCC) is the sixth most common cancer. Spontaneous rupture of HCC is an acute complication with a high mortality rate. The HCC principally arises in the background of chronic liver disease and cirrhosis of the liver. In the last few years, the rising incidence of HCC in noncirrhotic liver suggests the presence of other factors that may play a role in liver carcinogenesis.
Methods
We reviewed all cases treated at the University Surgical Department of Ospedali Riuniti of Foggia from 2009 to 2018. Only a single case of hemoperitoneum caused by spontaneous rupture of HCC in noncirrhotic liver was found. An extensive search of the relevant literature was carried out using MEDLINE, and a total of 58 published studies were screened from the sources listed.
Conclusions
The management of this devastating emergency should be carefully analyzed, with stabilization of vital signs as soon as possible. Patient with ruptured HCC and hemoperitoneum without a prior history of cirrhosis and viral infections benefited from the role of transcatheter arterial embolization (TAE) as the preliminary treatment in order to have a more precise diagnosis and an optimal stabilization of the patient. Delayed or staged hepatectomy after TAE represents the definitive treatment.
1 Introduction
Hemoperitoneum due to nontraumatic liver injury can be caused by several different neoplastic and nonneoplastic diseases. Hepatocellular carcinoma (HCC) represents 90% of primary liver cancers, being the sixth most common cancer, and it is the second leading cause of cancer-related death [1,2]. Spontaneous rupture of HCC is an acute complication with a high mortality rate. Its incidence reached 8–26% in Asia and 3% in the United Kingdom. The mean age of patients with rupture was 75–79 years [3]. The HCC principally arises in the background of chronic liver disease and cirrhosis of the liver [4]. Most important causes for cirrhosis in patients with HCC are chronic hepatitis B, chronic hepatitis C virus (HCV), and alcoholic liver disease. Efficacious treatments for HCV have decreased the risk of progression to cirrhosis and development of HCC secondary to HCV but, in the last few years, the rising incidence of HCC in noncirrhotic liver suggests the presence of other factors that may play a role in liver carcinogenesis [5].
Actually, several treatments for the hemoperitoneum associated with the rupture of HCC: emergent hepatic resection, placation or packing, hepatic artery ligation, and transcatheter arterial embolization (TAE) are reported in the literature.
The aim of this study is to review the literature focusing on various treatments of hemoperitoneum in cases of spontaneous ruptured HCC on noncirrhotic liver and to investigate the outcomes of treatment and factors associated with prognosis considering different surgeons’s personal experience.
2 Materials and methods
From January 2009 to December 2018, about 45 cases of hemoperitoneum were performed at the University Surgical Department of Ospedali Riuniti of Foggia. Cases undergoing surgical treatment were spleen rupture, hemorrhagic diverticulitis, trauma from gunshot wounds or cutting weapons, bleeding neoplastic lesions, and treatments dealing with traditional or minimally invasive techniques (laparoscopic or robotic). We can report only a single case of hemoperitoneum caused by spontaneous rupture of hepatocellular carcinoma in noncirrhotic liver.
2.1 Literature review
An extensive search for relevant literature was carried out using MEDLINE (PubMed). The keywords used for the search were “spontaneous rupture of hepatocellular carcinoma,” hemoperitoneum rupture of HCC. Exclusion criteria were bleeding from metastasis, HCC on cirrhotic liver, adenomas, angiomas, and HCC due to HCV or HBV infection. Additional articles were identified by a manual search of the references from the key articles. Languages were restricted to English. We included articles from 1999.
Ethical approval: Not applicable.
Consent for publication: Written informed consent for publication of clinical data and clinical images was obtained from the patient.
3 Results
A total of 58 published studies were screened from the sources listed. After an accurate examination of all titles and text contents, 48 papers were excluded: 13 as not relevant, in six studies because there isn’t a mention about the presence of cirrhosis, six articles report only cases with a cirrhotic liver, four with a history of HBV infection, and two with HCV infection. Among the remaining, three studies were in other languages and 14 were excluded, as they were prior 1999.
Finally, 10 studies were included in the present study (Table 1). We introduced our case in the analysis. A total of 25 patients were analyzed.
Literature review and our case
| Author | Article type | No. of total cases | No. of noncirrhotic livers | Treatment |
|---|---|---|---|---|
| Ozen et al. [6] | Case report | 01 | 01 | Surgery |
| Yang et al. [7] | Case series | 162 | 09 | NA (not applicable) |
| Park et al. [8] | Case report | 01 | 01 | Surgery |
| Rossetto et al. [9] | Case report | 01 | 01 | Surgery → TACE |
| Bassi [10] | Case series | 16 | 01 | NA |
| Recordare et al. [11] | Case series | 11 | 01 | NA |
| Marini et al. [12] | Case series | 13 | 03 | NA |
| Vergara et al. [13] | Case series | 06 | 01 | NA |
| Descottes et al. [14] | Case series | 22 | 05 | Na |
| Kosaka et al. [15] | Case report | 01 | 01 | Surgery |
NA, not applicable; surgery (surgical resection); TACE, transarterial chemoembolization.
3.1 Case report
A male patient, 75 years old, was urgently transported to the Emergency Room, due to onset of abdominal pain approximately 1 h before, associated with hypotension.
From the patient’s personal history: central obesity, arterial hypertension, treated with olmesartan medoxomil, diabetes mellitus 2, treated with repaglinide and glargine insulin, and cardioaspirin for prevention. Previous surgical interventions: open cholecystectomy at age 30, repair of epigastric hernia, and open prostatectomy for adenocarcinoma.
At the entrance, the patient’s parameters were, blood pressure 60/40 mmHg, 115 bpm heart rate, conserved diuresis, normochromic urine, and mild mental confusion (Shock Class III) 12.2 Hb at the first blood count and 10.4 on the second examination after an hour. On physical examination, the patient appeared pale and suffering. On palpation of the abdomen, it causes pain to the upper quadrants and the right lumbar.
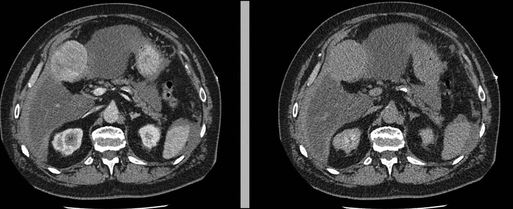
An urgent ultrasonographic examination was performed, which showed fluid in the peritoneal cavity and an unidentified hepatic neoformation without other relevant findings. After administration of fluids and two units of leukodeplete blood cells, the vital parameters normalized and the patient was stabilized. A chest abdomen CT with contrast was required (Figure 1).

Neoformation of the IV hepatic segment.
The TC images showed an oval neoformation with clear margins endowed with inhomogeneous enhancement, partly exophytic, at the level of the IV hepatic segment, with dimensions of 67 × 56 × 58 mm. The finding was not of unequivocal interpretation, therefore it had to be correlated to the biohumoral and clinical panel. Perihepatic and perisplenic blood effusion was also reported, but in the absence of active contrast spills. The liver appeared as enlarged as for chronic but not cirrhotic epatopathy, with the caliber of the inferior vena cava reduced. There are no other noteworthy findings.
The patient was therefore transferred to our Surgery Department. Set the continuous monitoring of vital parameters, the patient initially appeared stable, until the reappearance of signs of anemization, for which a new hemochromocytometric test was carried out, which showed hemoglobin values equal to 7.5 g/dL. Further transfusion of two units of red blood cells was carried out, and an urgent angiographic examination was required.
The angiographic examination was performed, with right transfemoral arterial approach, and showed an expansive lesion of the IV hepatic segment, a source of active intra-abdominal bleeding (Figure 2).

Expansive lesion of the IV hepatic segment.
The arterial afferents of this lesion are embolized and metal microspirals are positioned, so that at the final check the lesion appears to be very well devascularized (Figure 3).

Metal microspirals and devascularizated lesion.
After angiography, the patient remained in stable condition. At this point, it was possible to complete the diagnostic and preoperative investigations in accordance with the EASL guide for the management of the HCC.
The serum AFP levels were normal, and in the same way all the other neoplastic markers. The patient was fully active, able to perform all pre-illness benefits without restrictions, therefore with a grade 0 of Performance Status according to the scale developed by the Eastern Cooperative Oncology Group. Child Pugh score was A5, as there was no presence of jaundice, ascites, or hepatic encephalopathy, while the albumin (3.8 g/dL) and PT (1.15) levels were preserved.
In liver surgery, the therapeutic strategy requires a careful preoperative staging, based on the BCLC staging system. In this case, the parameters we evaluated found a stage A, so the patient was the candidate for surgical resection of the tumor.
A laparotomy was performed because of pregress abdominal surgery. It revealed about 500 cc hemoperitoneum and a 6.5 cm diameter liver tumor, which was exophytic, ulcerated, and hemorrhagic. The tumor occupied the lower board of IV hepatic segment. The liver was not cirrhotic and apparently slightly increased in volume. A wedge resection of the IV hepatic segment was performed and the tumor was completely removed. The parenchyma was then controlled with bipolar forceps.
A subhepatic drain was placed. On the 2nd postoperative day, peristalsis reappeared, and the patient resumed feeding. No postoperative complications (ascites, hepatic failure, and pleural effusion) were detected, and on the 4th postoperative day the drain was removed and on the fifth the patient was discharged in general health.
Histology revealed HCC and no presence of cirrhosis.
4 Discussion
Hemoperitoneum is a possible scenario resulting in spontaneous HCC rupture. It has a prevalence of 1% in Western countries [16,17], and it occurs more frequently in cirrhotic liver [18,19].
Some conditions may increase the risk of intra-abdominal hemorrhage, as in the case of an inappropriate anti-aggregating or anticoagulant therapy, the presence of coagulopathy and thrombocytopenia associated with liver cirrhosis, or in the case of metastases and tumors with a diameter greater than 5 cm, as in the case of our study [20,21,22].
The main symptoms were abdominal tenderness, acute blood loss, and shock. Other symptoms and signs were distended abdomen, hypotension, abdominal tenderness, and tachycardia. It could happen that the tumor ruptures in a biliary tract, so a characteristic picture known as the Quincke triad in which there is hemobilia is formed, which causes melena associated with jaundice and abdominal pain.
All intra-abdominal bleeding cases represent a life-threatening condition. For this reason, the first step is certainly the stabilization of the patient and of his vital parameters with a close monitoring of the hemodynamic values [23,24].
Preoperative diagnosis of HCC rupture is difficult in patients without a previous history of cirrhosis or HCC. Abdominal sonography and CT scan are useful to demonstrate the presence of hemoperitoneum and liver tumors. An ultrasound examination should always be carried out, especially in the case of hemodynamic instability. The suspicion of hemoperitoneum can thus be confirmed and a CT examination can be performed for a more precise diagnosis [16].
Angiography is rarely performed for initial diagnosis because CT angiography makes it much better (88% vs 18%) [25,26] and permits conception of the entire gastrointestinal arterial system at the same time. However, the angiographic examination must always be evaluated, as it offers a valid alternative to the treatment of hemorrhage, thanks to the TAE [27,28], which can be a unique treatment or allow to resolve active bleeding, stabilize the patient, and bring him to the best conditions for surgery. Most postoperative deaths after emergency liver surgery are truly due to liver or hemodynamic failure [29,30], which is not seen after elective surgery. Moreover, delaying surgery gives time to achieve an etiologic workup and assess the patient in order to choose the best procedure for the individual patient.
TAE may reach successful hemostasis for ruptured HCC in up to 99% of the cases and has largely replaced other surgical hemostatic methods, such as ligation of the hepatic artery, perihepatic packing, and plication [31,32].
While using TAE exclusively, ruptured HCC still gives rise to the risk of peritoneal metastasis as a result of dissemination of cancer cell debris [33]. The therapeutic effect of the TAE is apparently inferior to hepatectomy and (Li et al.) [31,32,33,34] suggested that staged hepatectomy should follow the TAE in selected patients.
In the articles considered in our study, in almost all cases the treatment was exclusively surgical. In only one case, the treatment was first surgical and then followed by TACE due to local recurrence of the disease. Yang and Marini also included TAE treatments among their cases without mention of surgical retreatment. In this study, we would like to focus on how important the precise preoperative diagnosis and optimal patient stabilization are. For this reason, it was decided to adopt a strategy of ‘staged hepatectomy,’ in order to take advantage of the diagnostic therapeutic role of the angiographic examination with embolization. In fact, in this way it was possible to obtain a second imaging evaluation, after the CT examination, since it was a noncirrhotic liver, in a patient who was HCV and HBV negative, and in whom the diagnosis of HCC was more difficult. Furthermore, it was possible to devascularize the lesion, in order to prevent further bleeding and to allow an optimal preoperative stabilization of the patient.
5 Conclusions
Patients with ruptured HCC always arrive in the Emergency Room with an acute abdomen. With the availability of imaging studies and laboratory analyses, a rapid diagnosis is possible, but in some cases it is still a challenge, as in the case of HCC on noncirrhotic liver. The management of this devastating emergency should be closely scrutinized, with stabilization of vital signs and maintenance of hepatic perfusion as soon as possible. From the present study, a patient with ruptured HCC and hemoperitoneum without a prior history of cirrhosis and viral infections benefited from the role of TAE as the preliminary treatment in order to have a more precise diagnosis and an optimal stabilization of the patient. Delayed or staged hepatectomy after TAE represents the definitive treatment and had the highest survival rate (Shimada et al. and Miyamoto et al.) [4,25,34] and should be the procedure of choice for treatment of a spontaneously ruptured HCC.
List of abbreviations
- HCC
Hepatocellular carcinoma
- TAE
Transarterial embolization
- HCV
Hepatitis C virus
- HBV
Hepatitis B virus
- ECOG
Eastern cooperative oncology group
- TACE
Transarterial chemoembolization
Author contributions: NT and MP made substantial contributions to the study conception and design and were responsible for acquisition of data, analysis and interpretation of data. PC and ADL were involved in drafting the manuscript. AA and AF critically revised the manuscript for important intellectual content. AA and NT gave final approval of the version to be published. All authors read and approved the final manuscript.
Funding: No funding was provided for this study.
Availability of data and materials: Data sharing was not applicable to this article, as no datasets were generated or analyzed during the current study.
Conflict of interest: The authors declare that they have no competing interests.
References
[1] Ferlay J, Shin H, Bray F, Forman D, Mathers C, Parkin D. Estimates of worldwide burden of cancer in 2008: GLOBOCAN 2008. Int J Cancer. 2010;127(12):2893–917. 10.1002/ijc.25516.Suche in Google Scholar PubMed
[2] Cianci P, Tartaglia N, Altamura A, Fersini A, Sanguedolce F, Ambrosi A, et al. Hemoperitoneum due to breaking uterine adenosarcoma located in the omentum. Report of a case. Ann Ital Chir. 2016 Dec 20;5:S2239253X16026311.Suche in Google Scholar
[3] Buczkowski A, Kim P, Ho S, Schaeffer D, Lee S, Owen D, et al. Multidisciplinary management of ruptured hepatocellular carcinoma. J Gastrointest Surg. 2006;10(3):379–86. 10.1016/j.gassur.2005.10.012.Suche in Google Scholar PubMed
[4] El-Serag H, Rudolph K. Hepatocellular carcinoma: epidemiology and molecular carcinogenesis. Gastroenterology. 2007;132(7):2557–76. 10.1053/j.gastro.2007.04.061.Suche in Google Scholar PubMed
[5] Michelotti G, Machado M, Diehl A. NAFLD, NASH and liver cancer. Nat Rev Gastroenterol Hepatol. 2013;10(11):656–65. 10.1038/nrgastro.2013.183.Suche in Google Scholar PubMed
[6] Özen Ö, Tosun A, Akgül Ç. Spontaneous rupture of multifocal hepatocellular carcinoma: case report. Int Med Case Rep J. 2015;8:165–7. 10.2147/imcrj.s87746.Suche in Google Scholar PubMed PubMed Central
[7] Yang H, Chen K, Wei Y, Liu F, Li H, Zhou Z, et al. Treatment of spontaneous ruptured hepatocellular carcinoma: a single-center study. Pak J Med Sci. 2014;30(3):472–6. 10.12669/pjms.303.4001.Suche in Google Scholar PubMed PubMed Central
[8] Park K, Yang S, Yoon M. One stage resection of spontaneous rupture of hepatocellular carcinoma in the triangular ligament with diaphragm invasion: case report and review of the literature. World J Emerg Surg. 2012;7(1):30. 10.1186/1749-7922-7-30.Suche in Google Scholar PubMed PubMed Central
[9] Rossetto A, Adani G, Risaliti A, Baccarani U, Bresadola V, Lorenzin D, et al. Combined approach for spontaneous rupture of hepatocellular carcinoma. World J Hepatol. 2010;2(1):49. 10.4254/wjh.v2.i1.49.Suche in Google Scholar PubMed PubMed Central
[10] Bassi N. Management of ruptured hepatocellular carcinoma: Implications for therapy. World J Gastroenterol. 2010;16(10):1221. 10.3748/wjg.v16.i10.1221.Suche in Google Scholar PubMed PubMed Central
[11] Recordare A, Bonariol L, Caratozzolo E, Callegari F, Bruno G, Di Paola F, et al. Management of spontaneousbleeding due to hepatocellular carcinoma. Minerva Chir. 2002;57(3):347–56.Suche in Google Scholar
[12] Marini P, Vilgrain V, Belghiti J. Management of spontaneous rupture of liver tumours. Digest Surg. 2002;19(2):109–13. 10.1159/000052022.Suche in Google Scholar PubMed
[13] Vergara V, Muratore A, Bouzari H, Polastri R, Ferrero A, Galatola G, et al. Spontaneous rupture of hepatocelluar carcinoma: surgical resection and long-term survival. Eur J Surg Oncol. 2000;26(8):770–2. 10.1053/ejso.2000.1001.Suche in Google Scholar
[14] Descottes B, Lachachi F, Valleix D, Durand-Fontanier S, Sodji M, Pech de Laclause B, et al. Ruptured hepatocarcinoma. Report of 22 cases. Chirurgie. 1999;124(6):618–25.10.1016/S0001-4001(99)00086-0Suche in Google Scholar
[15] Kosaka A, Hayakawa H, Kusagawa M, Takahashi H, Okamura K, Mizumoto R, et al. Successful surgical treatment for implanted intraperitoneal metastases of ruptured small hepatocellular carcinoma: report of a case. Surg Today. 1999;29(5):453–7. 10.1007/bf02483040.Suche in Google Scholar
[16] Battula N, Tsapralis D, Takhar A, Coldham C, Mayer D, Isaac J, et al. Aetio-pathogenesis and the management of spontaneous liver bleeding in the West: a 16-year single centre experience. HPB. 2012;14:382–9.10.1111/j.1477-2574.2012.00460.xSuche in Google Scholar PubMed PubMed Central
[17] Sanguedolce F, Landriscina M, Ambrosi A, Tartaglia N, Cianci P, Di Millo M, et al. Bladder metastases from breast cancer: managing the unexpected. A systematic review. Urol Int. 2018;101(2):125–31. 10.1159/000481576.Suche in Google Scholar PubMed
[18] Tan FLS, Tan YM, Chung AYF, Cheow PC, Chow PKH, Ooi LL. Factors affecting early mortality in spontaneous rupture of hepatocellular carcinoma. ANZ J Surg. 2006;76:448–52.10.1111/j.1445-2197.2006.03750.xSuche in Google Scholar PubMed
[19] Tartaglia N, Cianci P, Di Lascia A, Fersini A, Ambrosi A, Neri V. Laparoscopic antegrade cholecystectomy: a standard procedure? Open Med. 2016;11:429–32. 10.1515/med-2016-0078.Suche in Google Scholar PubMed PubMed Central
[20] Mounajjed T, Wu TT. Telangiectatic variant of hepatic adenoma: clinicopathologic features and correlation between liver needle biopsy and resection. Am J Surg Pathol. 2011;35:1356–63.10.1097/PAS.0b013e31822280f3Suche in Google Scholar PubMed
[21] Dokmak S, Paradis V, Vilgrain V, Sauvanet A, Farges O, Valla D, et al. A single-center surgical experience of 122 patients with single and multiple hepatocellular adenomas. Gastroenterology. 2009;137:1698–705.10.1053/j.gastro.2009.07.061Suche in Google Scholar PubMed
[22] Tartaglia N, Di Lascia A, Cianci P, Fersini A, Sanguedolce F, Iadarola R, et al. One stage surgery for synchronous liver metastasis from a neuroendocrine tumor of the colon. A case report. Ann Ital Chir. 2017 Nov 20;6:S2239253X17027694.Suche in Google Scholar
[23] Marini P, Vilgrain V, Belghiti J. Management of spontaneous rupture of liver tumours. Dig Surg. 2002;19:109–13.10.1159/000052022Suche in Google Scholar PubMed
[24] Kirikoshi H, Saito S, Yoneda M, Fujita K, Mawatari H, Uchiyama T, et al. Outcomes and factors influencing survival in cirrhotic cases with spontaneous rupture of hepatocellular carcinoma: a multicenter study. BMC Gastroenterol. 2009;9:29.10.1186/1471-230X-9-29Suche in Google Scholar
[25] Ngan HH, Tso WKW, Lai CLC, Fan STS. The role of hepatic arterial embolization in the treatment of spontaneous rupture of hepatocellular carcinoma. Clin Radiol. 1998;53:338–41.10.1016/S0009-9260(98)80004-4Suche in Google Scholar
[26] Cianci P, Fersini A, Tartaglia N, Ambrosi A, Neri V. Are there differences between the right and left laparoscopic adrenalectomy? Our experience. Annali Italiani Di Chirurgia. 2016;87:242–6.Suche in Google Scholar
[27] Liu CL, Fan ST, Lo CM, Tso WK, Poon RT, Lam CM, et al. Management of spontaneous rupture of hepatocellular carcinoma: single-center experience. J Clin Oncol. 2001;19:3725–32.10.1200/JCO.2001.19.17.3725Suche in Google Scholar
[28] Neri V, Ambrosi A, Fersini A, Tartaglia N, Cianci P, Lapolla F, et al. Laparoscopic cholecystectomy: evaluation of liver function tests. Annali Italiani Di Chirurgia. 2014;85(5):431–7.Suche in Google Scholar
[29] Lai ECH, Lau WY. Spontaneous rupture of hepatocellular carcinoma: a systematic review. Arch Surg. 2006;141:191–8.10.1001/archsurg.141.2.191Suche in Google Scholar
[30] Neri V, Ambrosi A, Fersini A, Tartaglia N, Lapolla F. Common bile duct lithiasis: therapeutic approach. Annali Italiani Di Chirurgia. 2013;84(4):405–10.Suche in Google Scholar
[31] Li WH, Cheuk EC, Kowk PC, Cheung MT. Survival after transarterial embolization for spontaneous ruptured hepatocellular carcinoma. J Hepatobil Pancreat Surg. 2009;16:508–12.10.1007/s00534-009-0094-6Suche in Google Scholar
[32] Kung CT, Liu BM, Ng SH, Lee TY, Cheng YF, Chen MC, et al. Transcatheter arterial embolization in the emergency department for hemodynamic instability due to ruptured hepatocellular carcinoma: analysis of 167 cases. AJR Am J Roentgenol Rad Ther. 2008;191:231–9.10.2214/AJR.07.3983Suche in Google Scholar
[33] Sonoda T, Kanematsu T, Takenaka K, Sugimachi K. Ruptured hepatocellular carcinoma evokes risk of implanted metastases. J Surg Oncol. 1989;41:183–6.10.1002/jso.2930410310Suche in Google Scholar
[34] Shimada R, Imamura H, Makuuchi M, Soeda J, Kobayashi A, Noike T, et al. Staged hepatectomy after emergency transcatheter arterial embolization for ruptured hepatocellular carcinoma. Surgery. 1998;124:526–35.10.1016/S0039-6060(98)70099-6Suche in Google Scholar
© 2020 Nicola Tartaglia et al., published by De Gruyter
This work is licensed under the Creative Commons Attribution 4.0 International License.
Artikel in diesem Heft
- Research Article
- MicroRNA-451b participates in coronary heart disease by targeting VEGFA
- Case Report
- A combination therapy for Kawasaki disease with severe complications: a case report
- Vitamin E for prevention of biofilm-caused Healthcare-associated infections
- Research Article
- Differential diagnosis: retroperitoneal fibrosis and oncological diseases
- Optimization of the Convolutional Neural Networks for Automatic Detection of Skin Cancer
- NEAT1 promotes LPS-induced inflammatory injury in macrophages by regulating miR-17-5p/TLR4
- Plasma matrix metalloproteinase-9 and tissue inhibitor of matrix metalloproteinase-1 as prognostic biomarkers in critically ill patients
- Effects of extracorporeal magnetic stimulation in fecal incontinence
- Case Report
- Mixed germ cell tumor of the endometrium: a case report and literature review
- Bowel perforation after ventriculoperitoneal-shunt placement: case report and review of the literature
- Research Article
- Prognostic value of lncRNA HOTAIR in colorectal cancer : a meta-analysis
- Case Report
- Treatment of insulinomas by laparoscopic radiofrequency ablation: case reports and literature review
- Research Article
- The characteristics and nomogram for primary lung papillary adenocarcinoma
- Undiagnosed pheochromocytoma presenting as a pancreatic tumor: A case report
- Bioinformatics Analysis of the Expression of ATP binding cassette subfamily C member 3 (ABCC3) in Human Glioma
- Diagnostic value of recombinant heparin-binding hemagglutinin adhesin protein in spinal tuberculosis
- Primary cutaneous DLBCL non-GCB type: challenges of a rare case
- LINC00152 knock-down suppresses esophageal cancer by EGFR signaling pathway
- Case Report
- Life-threatening anaemia in patient with hereditary haemorrhagic telangiectasia (Rendu-Osler-Weber syndrome)
- Research Article
- QTc interval predicts disturbed circadian blood pressure variation
- Shoulder ultrasound in the diagnosis of the suprascapular neuropathy in athletes
- The number of negative lymph nodes is positively associated with survival in esophageal squamous cell carcinoma patients in China
- Differentiation of pontine infarction by size
- RAF1 expression is correlated with HAF, a parameter of liver computed tomographic perfusion, and may predict the early therapeutic response to sorafenib in advanced hepatocellular carcinoma patients
- LncRNA ZEB1-AS1 regulates colorectal cancer cells by miR-205/YAP1 axis
- Tissue coagulation in laser hemorrhoidoplasty – an experimental study
- Classification of pathological types of lung cancer from CT images by deep residual neural networks with transfer learning strategy
- Enhanced Recovery after Surgery for Lung Cancer Patients
- Case Report
- Streptococcus pneumoniae-associated thrombotic microangiopathy in an immunosuppressed adult
- Research Article
- The characterization of Enterococcus genus: resistance mechanisms and inflammatory bowel disease
- Case Report
- Inflammatory fibroid polyp: an unusual cause of abdominal pain in the upper gastrointestinal tract A case report
- Research Article
- microRNA-204-5p participates in atherosclerosis via targeting MMP-9
- LncRNA LINC00152 promotes laryngeal cancer progression by sponging miR-613
- Can keratin scaffolds be used for creating three-dimensional cell cultures?
- miRNA-186 improves sepsis induced renal injury via PTEN/PI3K/AKT/P53 pathway
- Case Report
- Delayed bowel perforation after routine distal loopogram prior to ileostomy closure
- Research Article
- Diagnostic accuracy of MALDI-TOF mass spectrometry for the direct identification of clinical pathogens from urine
- The R219K polymorphism of the ATP binding cassette subfamily A member 1 gene and susceptibility to ischemic stroke in Chinese population
- miR-92 regulates the proliferation, migration, invasion and apoptosis of glioma cells by targeting neogenin
- Clinicopathological features of programmed cell death-ligand 1 expression in patients with oral squamous cell carcinoma
- NF2 inhibits proliferation and cancer stemness in breast cancer
- Body composition indices and cardiovascular risk in type 2 diabetes. CV biomarkers are not related to body composition
- S100A6 promotes proliferation and migration of HepG2 cells via increased ubiquitin-dependent degradation of p53
- Review Article
- Focus on localized laryngeal amyloidosis: management of five cases
- Research Article
- NEAT1 aggravates sepsis-induced acute kidney injury by sponging miR-22-3p
- Pericentric inversion in chromosome 1 and male infertility
- Increased atherogenic index in the general hearing loss population
- Prognostic role of SIRT6 in gastrointestinal cancers: a meta-analysis
- The complexity of molecular processes in osteoarthritis of the knee joint
- Interleukin-6 gene −572 G > C polymorphism and myocardial infarction risk
- Case Report
- Severe anaphylactic reaction to cisatracurium during anesthesia with cross-reactivity to atracurium
- Research Article
- Rehabilitation training improves nerve injuries by affecting Notch1 and SYN
- Case Report
- Myocardial amyloidosis following multiple myeloma in a 38-year-old female patient: A case report
- Research Article
- Identification of the hub genes RUNX2 and FN1 in gastric cancer
- miR-101-3p sensitizes non-small cell lung cancer cells to irradiation
- Distinct functions and prognostic values of RORs in gastric cancer
- Clinical impact of post-mortem genetic testing in cardiac death and cardiomyopathy
- Efficacy of pembrolizumab for advanced/metastatic melanoma: a meta-analysis
- Review Article
- The role of osteoprotegerin in the development, progression and management of abdominal aortic aneurysms
- Research Article
- Identification of key microRNAs of plasma extracellular vesicles and their diagnostic and prognostic significance in melanoma
- miR-30a-3p participates in the development of asthma by targeting CCR3
- microRNA-491-5p protects against atherosclerosis by targeting matrix metallopeptidase-9
- Bladder-embedded ectopic intrauterine device with calculus
- Case Report
- Mycobacterial identification on homogenised biopsy facilitates the early diagnosis and treatment of laryngeal tuberculosis
- Research Article
- The will of young minors in the terminal stage of sickness: A case report
- Extended perfusion protocol for MS lesion quantification
- Identification of four genes associated with cutaneous metastatic melanoma
- Case Report
- Thalidomide-induced serious RR interval prolongation (longest interval >5.0 s) in multiple myeloma patient with rectal cancer: A case report
- Research Article
- Voluntary exercise and cardiac remodeling in a myocardial infarction model
- Electromyography as an intraoperative test to assess the quality of nerve anastomosis – experimental study on rats
- Case Report
- CT findings of severe novel coronavirus disease (COVID-19): A case report of Heilongjiang Province, China
- Commentary
- Directed differentiation into insulin-producing cells using microRNA manipulation
- Research Article
- Culture-negative infective endocarditis (CNIE): impact on postoperative mortality
- Extracorporeal shock wave therapy for the treatment of chronic pelvic pain syndrome
- Plasma microRNAs in human left ventricular reverse remodelling
- Bevacizumab for non-small cell lung cancer patients with brain metastasis: A meta-analysis
- Risk factors for cerebral vasospasm in patients with aneurysmal subarachnoid hemorrhage
- Problems and solutions of personal protective equipment doffing in COVID-19
- Evaluation of COVID-19 based on ACE2 expression in normal and cancer patients
- Review Article
- Gastroenterological complications in kidney transplant patients
- Research Article
- CXCL13 concentration in latent syphilis patients with treatment failure
- A novel age-biomarker-clinical history prognostic index for heart failure with reduced left ventricular ejection fraction
- Case Report
- Clinicopathological analysis of composite lymphoma: A two-case report and literature review
- Trastuzumab-induced thrombocytopenia after eight cycles of trastuzumab treatment
- Research Article
- Inhibition of vitamin D analog eldecalcitol on hepatoma in vitro and in vivo
- CCTs as new biomarkers for the prognosis of head and neck squamous cancer
- Effect of glucagon-like peptide-1 receptor agonists on adipokine level of nonalcoholic fatty liver disease in rats fed high-fat diet
- 72 hour Holter monitoring, 7 day Holter monitoring, and 30 day intermittent patient-activated heart rhythm recording in detecting arrhythmias in cryptogenic stroke patients free from arrhythmia in a screening 24 h Holter
- FOXK2 downregulation suppresses EMT in hepatocellular carcinoma
- Case Report
- Total parenteral nutrition-induced Wernicke’s encephalopathy after oncologic gastrointestinal surgery
- Research Article
- Clinical prediction for outcomes of patients with acute-on-chronic liver failure associated with HBV infection: A new model establishment
- Case Report
- Combination of chest CT and clinical features for diagnosis of 2019 novel coronavirus pneumonia
- Research Article
- Clinical significance and potential mechanisms of miR-223-3p and miR-204-5p in squamous cell carcinoma of head and neck: a study based on TCGA and GEO
- Review Article
- Hemoperitoneum caused by spontaneous rupture of hepatocellular carcinoma in noncirrhotic liver. A case report and systematic review
- Research Article
- Voltage-dependent anion channels mediated apoptosis in refractory epilepsy
- Prognostic factors in stage I gastric cancer: A retrospective analysis
- Circulating irisin is linked to bone mineral density in geriatric Chinese men
- Case Report
- A family study of congenital dysfibrinogenemia caused by a novel mutation in the FGA gene: A case report
- Research Article
- CBCT for estimation of the cemento-enamel junction and crestal bone of anterior teeth
- Case Report
- Successful de-escalation antibiotic therapy using cephamycins for sepsis caused by extended-spectrum beta-lactamase-producing Enterobacteriaceae bacteremia: A sequential 25-case series
- Research Article
- Influence factors of extra-articular manifestations in rheumatoid arthritis
- Assessment of knowledge of use of electronic cigarette and its harmful effects among young adults
- Predictive factors of progression to severe COVID-19
- Procedural sedation and analgesia for percutaneous trans-hepatic biliary drainage: Randomized clinical trial for comparison of two different concepts
- Acute chemoradiotherapy toxicity in cervical cancer patients
- IGF-1 regulates the growth of fibroblasts and extracellular matrix deposition in pelvic organ prolapse
- NANOG regulates the proliferation of PCSCs via the TGF-β1/SMAD pathway
- An immune-relevant signature of nine genes as a prognostic biomarker in patients with gastric carcinoma
- Computer-aided diagnosis of skin cancer based on soft computing techniques
- MiR-1225-5p acts as tumor suppressor in glioblastoma via targeting FNDC3B
- miR-300/FA2H affects gastric cancer cell proliferation and apoptosis
- Hybrid treatment of fibroadipose vascular anomaly: A case report
- Surgical treatment for common hepatic aneurysm. Original one-step technique
- Neuropsychiatric symptoms, quality of life and caregivers’ burden in dementia
- Predictor of postoperative dyspnea for Pierre Robin Sequence infants
- Long non-coding RNA FOXD2-AS1 promotes cell proliferation, metastasis and EMT in glioma by sponging miR-506-5p
- Analysis of expression and prognosis of KLK7 in ovarian cancer
- Circular RNA circ_SETD2 represses breast cancer progression via modulating the miR-155-5p/SCUBE2 axis
- Glial cell induced neural differentiation of bone marrow stromal cells
- Case Report
- Moraxella lacunata infection accompanied by acute glomerulonephritis
- Research Article
- Diagnosis of complication in lung transplantation by TBLB + ROSE + mNGS
- Case Report
- Endometrial cancer in a renal transplant recipient: A case report
- Research Article
- Downregulation of lncRNA FGF12-AS2 suppresses the tumorigenesis of NSCLC via sponging miR-188-3p
- Case Report
- Splenic abscess caused by Streptococcus anginosus bacteremia secondary to urinary tract infection: a case report and literature review
- Research Article
- Advances in the role of miRNAs in the occurrence and development of osteosarcoma
- Rheumatoid arthritis increases the risk of pleural empyema
- Effect of miRNA-200b on the proliferation and apoptosis of cervical cancer cells by targeting RhoA
- LncRNA NEAT1 promotes gastric cancer progression via miR-1294/AKT1 axis
- Key pathways in prostate cancer with SPOP mutation identified by bioinformatic analysis
- Comparison of low-molecular-weight heparins in thromboprophylaxis of major orthopaedic surgery – randomized, prospective pilot study
- Case Report
- A case of SLE with COVID-19 and multiple infections
- Research Article
- Circular RNA hsa_circ_0007121 regulates proliferation, migration, invasion, and epithelial–mesenchymal transition of trophoblast cells by miR-182-5p/PGF axis in preeclampsia
- SRPX2 boosts pancreatic cancer chemoresistance by activating PI3K/AKT axis
- Case Report
- A case report of cervical pregnancy after in vitro fertilization complicated by tuberculosis and a literature review
- Review Article
- Serrated lesions of the colon and rectum: Emergent epidemiological data and molecular pathways
- Research Article
- Biological properties and therapeutic effects of plant-derived nanovesicles
- Case Report
- Clinical characterization of chromosome 5q21.1–21.3 microduplication: A case report
- Research Article
- Serum calcium levels correlates with coronary artery disease outcomes
- Rapunzel syndrome with cholangitis and pancreatitis – A rare case report
- Review Article
- A review of current progress in triple-negative breast cancer therapy
- Case Report
- Peritoneal-cutaneous fistula successfully treated at home: A case report and literature review
- Research Article
- Trim24 prompts tumor progression via inducing EMT in renal cell carcinoma
- Degradation of connexin 50 protein causes waterclefts in human lens
- GABRD promotes progression and predicts poor prognosis in colorectal cancer
- The lncRNA UBE2R2-AS1 suppresses cervical cancer cell growth in vitro
- LncRNA FOXD3-AS1/miR-135a-5p function in nasopharyngeal carcinoma cells
- MicroRNA-182-5p relieves murine allergic rhinitis via TLR4/NF-κB pathway
Artikel in diesem Heft
- Research Article
- MicroRNA-451b participates in coronary heart disease by targeting VEGFA
- Case Report
- A combination therapy for Kawasaki disease with severe complications: a case report
- Vitamin E for prevention of biofilm-caused Healthcare-associated infections
- Research Article
- Differential diagnosis: retroperitoneal fibrosis and oncological diseases
- Optimization of the Convolutional Neural Networks for Automatic Detection of Skin Cancer
- NEAT1 promotes LPS-induced inflammatory injury in macrophages by regulating miR-17-5p/TLR4
- Plasma matrix metalloproteinase-9 and tissue inhibitor of matrix metalloproteinase-1 as prognostic biomarkers in critically ill patients
- Effects of extracorporeal magnetic stimulation in fecal incontinence
- Case Report
- Mixed germ cell tumor of the endometrium: a case report and literature review
- Bowel perforation after ventriculoperitoneal-shunt placement: case report and review of the literature
- Research Article
- Prognostic value of lncRNA HOTAIR in colorectal cancer : a meta-analysis
- Case Report
- Treatment of insulinomas by laparoscopic radiofrequency ablation: case reports and literature review
- Research Article
- The characteristics and nomogram for primary lung papillary adenocarcinoma
- Undiagnosed pheochromocytoma presenting as a pancreatic tumor: A case report
- Bioinformatics Analysis of the Expression of ATP binding cassette subfamily C member 3 (ABCC3) in Human Glioma
- Diagnostic value of recombinant heparin-binding hemagglutinin adhesin protein in spinal tuberculosis
- Primary cutaneous DLBCL non-GCB type: challenges of a rare case
- LINC00152 knock-down suppresses esophageal cancer by EGFR signaling pathway
- Case Report
- Life-threatening anaemia in patient with hereditary haemorrhagic telangiectasia (Rendu-Osler-Weber syndrome)
- Research Article
- QTc interval predicts disturbed circadian blood pressure variation
- Shoulder ultrasound in the diagnosis of the suprascapular neuropathy in athletes
- The number of negative lymph nodes is positively associated with survival in esophageal squamous cell carcinoma patients in China
- Differentiation of pontine infarction by size
- RAF1 expression is correlated with HAF, a parameter of liver computed tomographic perfusion, and may predict the early therapeutic response to sorafenib in advanced hepatocellular carcinoma patients
- LncRNA ZEB1-AS1 regulates colorectal cancer cells by miR-205/YAP1 axis
- Tissue coagulation in laser hemorrhoidoplasty – an experimental study
- Classification of pathological types of lung cancer from CT images by deep residual neural networks with transfer learning strategy
- Enhanced Recovery after Surgery for Lung Cancer Patients
- Case Report
- Streptococcus pneumoniae-associated thrombotic microangiopathy in an immunosuppressed adult
- Research Article
- The characterization of Enterococcus genus: resistance mechanisms and inflammatory bowel disease
- Case Report
- Inflammatory fibroid polyp: an unusual cause of abdominal pain in the upper gastrointestinal tract A case report
- Research Article
- microRNA-204-5p participates in atherosclerosis via targeting MMP-9
- LncRNA LINC00152 promotes laryngeal cancer progression by sponging miR-613
- Can keratin scaffolds be used for creating three-dimensional cell cultures?
- miRNA-186 improves sepsis induced renal injury via PTEN/PI3K/AKT/P53 pathway
- Case Report
- Delayed bowel perforation after routine distal loopogram prior to ileostomy closure
- Research Article
- Diagnostic accuracy of MALDI-TOF mass spectrometry for the direct identification of clinical pathogens from urine
- The R219K polymorphism of the ATP binding cassette subfamily A member 1 gene and susceptibility to ischemic stroke in Chinese population
- miR-92 regulates the proliferation, migration, invasion and apoptosis of glioma cells by targeting neogenin
- Clinicopathological features of programmed cell death-ligand 1 expression in patients with oral squamous cell carcinoma
- NF2 inhibits proliferation and cancer stemness in breast cancer
- Body composition indices and cardiovascular risk in type 2 diabetes. CV biomarkers are not related to body composition
- S100A6 promotes proliferation and migration of HepG2 cells via increased ubiquitin-dependent degradation of p53
- Review Article
- Focus on localized laryngeal amyloidosis: management of five cases
- Research Article
- NEAT1 aggravates sepsis-induced acute kidney injury by sponging miR-22-3p
- Pericentric inversion in chromosome 1 and male infertility
- Increased atherogenic index in the general hearing loss population
- Prognostic role of SIRT6 in gastrointestinal cancers: a meta-analysis
- The complexity of molecular processes in osteoarthritis of the knee joint
- Interleukin-6 gene −572 G > C polymorphism and myocardial infarction risk
- Case Report
- Severe anaphylactic reaction to cisatracurium during anesthesia with cross-reactivity to atracurium
- Research Article
- Rehabilitation training improves nerve injuries by affecting Notch1 and SYN
- Case Report
- Myocardial amyloidosis following multiple myeloma in a 38-year-old female patient: A case report
- Research Article
- Identification of the hub genes RUNX2 and FN1 in gastric cancer
- miR-101-3p sensitizes non-small cell lung cancer cells to irradiation
- Distinct functions and prognostic values of RORs in gastric cancer
- Clinical impact of post-mortem genetic testing in cardiac death and cardiomyopathy
- Efficacy of pembrolizumab for advanced/metastatic melanoma: a meta-analysis
- Review Article
- The role of osteoprotegerin in the development, progression and management of abdominal aortic aneurysms
- Research Article
- Identification of key microRNAs of plasma extracellular vesicles and their diagnostic and prognostic significance in melanoma
- miR-30a-3p participates in the development of asthma by targeting CCR3
- microRNA-491-5p protects against atherosclerosis by targeting matrix metallopeptidase-9
- Bladder-embedded ectopic intrauterine device with calculus
- Case Report
- Mycobacterial identification on homogenised biopsy facilitates the early diagnosis and treatment of laryngeal tuberculosis
- Research Article
- The will of young minors in the terminal stage of sickness: A case report
- Extended perfusion protocol for MS lesion quantification
- Identification of four genes associated with cutaneous metastatic melanoma
- Case Report
- Thalidomide-induced serious RR interval prolongation (longest interval >5.0 s) in multiple myeloma patient with rectal cancer: A case report
- Research Article
- Voluntary exercise and cardiac remodeling in a myocardial infarction model
- Electromyography as an intraoperative test to assess the quality of nerve anastomosis – experimental study on rats
- Case Report
- CT findings of severe novel coronavirus disease (COVID-19): A case report of Heilongjiang Province, China
- Commentary
- Directed differentiation into insulin-producing cells using microRNA manipulation
- Research Article
- Culture-negative infective endocarditis (CNIE): impact on postoperative mortality
- Extracorporeal shock wave therapy for the treatment of chronic pelvic pain syndrome
- Plasma microRNAs in human left ventricular reverse remodelling
- Bevacizumab for non-small cell lung cancer patients with brain metastasis: A meta-analysis
- Risk factors for cerebral vasospasm in patients with aneurysmal subarachnoid hemorrhage
- Problems and solutions of personal protective equipment doffing in COVID-19
- Evaluation of COVID-19 based on ACE2 expression in normal and cancer patients
- Review Article
- Gastroenterological complications in kidney transplant patients
- Research Article
- CXCL13 concentration in latent syphilis patients with treatment failure
- A novel age-biomarker-clinical history prognostic index for heart failure with reduced left ventricular ejection fraction
- Case Report
- Clinicopathological analysis of composite lymphoma: A two-case report and literature review
- Trastuzumab-induced thrombocytopenia after eight cycles of trastuzumab treatment
- Research Article
- Inhibition of vitamin D analog eldecalcitol on hepatoma in vitro and in vivo
- CCTs as new biomarkers for the prognosis of head and neck squamous cancer
- Effect of glucagon-like peptide-1 receptor agonists on adipokine level of nonalcoholic fatty liver disease in rats fed high-fat diet
- 72 hour Holter monitoring, 7 day Holter monitoring, and 30 day intermittent patient-activated heart rhythm recording in detecting arrhythmias in cryptogenic stroke patients free from arrhythmia in a screening 24 h Holter
- FOXK2 downregulation suppresses EMT in hepatocellular carcinoma
- Case Report
- Total parenteral nutrition-induced Wernicke’s encephalopathy after oncologic gastrointestinal surgery
- Research Article
- Clinical prediction for outcomes of patients with acute-on-chronic liver failure associated with HBV infection: A new model establishment
- Case Report
- Combination of chest CT and clinical features for diagnosis of 2019 novel coronavirus pneumonia
- Research Article
- Clinical significance and potential mechanisms of miR-223-3p and miR-204-5p in squamous cell carcinoma of head and neck: a study based on TCGA and GEO
- Review Article
- Hemoperitoneum caused by spontaneous rupture of hepatocellular carcinoma in noncirrhotic liver. A case report and systematic review
- Research Article
- Voltage-dependent anion channels mediated apoptosis in refractory epilepsy
- Prognostic factors in stage I gastric cancer: A retrospective analysis
- Circulating irisin is linked to bone mineral density in geriatric Chinese men
- Case Report
- A family study of congenital dysfibrinogenemia caused by a novel mutation in the FGA gene: A case report
- Research Article
- CBCT for estimation of the cemento-enamel junction and crestal bone of anterior teeth
- Case Report
- Successful de-escalation antibiotic therapy using cephamycins for sepsis caused by extended-spectrum beta-lactamase-producing Enterobacteriaceae bacteremia: A sequential 25-case series
- Research Article
- Influence factors of extra-articular manifestations in rheumatoid arthritis
- Assessment of knowledge of use of electronic cigarette and its harmful effects among young adults
- Predictive factors of progression to severe COVID-19
- Procedural sedation and analgesia for percutaneous trans-hepatic biliary drainage: Randomized clinical trial for comparison of two different concepts
- Acute chemoradiotherapy toxicity in cervical cancer patients
- IGF-1 regulates the growth of fibroblasts and extracellular matrix deposition in pelvic organ prolapse
- NANOG regulates the proliferation of PCSCs via the TGF-β1/SMAD pathway
- An immune-relevant signature of nine genes as a prognostic biomarker in patients with gastric carcinoma
- Computer-aided diagnosis of skin cancer based on soft computing techniques
- MiR-1225-5p acts as tumor suppressor in glioblastoma via targeting FNDC3B
- miR-300/FA2H affects gastric cancer cell proliferation and apoptosis
- Hybrid treatment of fibroadipose vascular anomaly: A case report
- Surgical treatment for common hepatic aneurysm. Original one-step technique
- Neuropsychiatric symptoms, quality of life and caregivers’ burden in dementia
- Predictor of postoperative dyspnea for Pierre Robin Sequence infants
- Long non-coding RNA FOXD2-AS1 promotes cell proliferation, metastasis and EMT in glioma by sponging miR-506-5p
- Analysis of expression and prognosis of KLK7 in ovarian cancer
- Circular RNA circ_SETD2 represses breast cancer progression via modulating the miR-155-5p/SCUBE2 axis
- Glial cell induced neural differentiation of bone marrow stromal cells
- Case Report
- Moraxella lacunata infection accompanied by acute glomerulonephritis
- Research Article
- Diagnosis of complication in lung transplantation by TBLB + ROSE + mNGS
- Case Report
- Endometrial cancer in a renal transplant recipient: A case report
- Research Article
- Downregulation of lncRNA FGF12-AS2 suppresses the tumorigenesis of NSCLC via sponging miR-188-3p
- Case Report
- Splenic abscess caused by Streptococcus anginosus bacteremia secondary to urinary tract infection: a case report and literature review
- Research Article
- Advances in the role of miRNAs in the occurrence and development of osteosarcoma
- Rheumatoid arthritis increases the risk of pleural empyema
- Effect of miRNA-200b on the proliferation and apoptosis of cervical cancer cells by targeting RhoA
- LncRNA NEAT1 promotes gastric cancer progression via miR-1294/AKT1 axis
- Key pathways in prostate cancer with SPOP mutation identified by bioinformatic analysis
- Comparison of low-molecular-weight heparins in thromboprophylaxis of major orthopaedic surgery – randomized, prospective pilot study
- Case Report
- A case of SLE with COVID-19 and multiple infections
- Research Article
- Circular RNA hsa_circ_0007121 regulates proliferation, migration, invasion, and epithelial–mesenchymal transition of trophoblast cells by miR-182-5p/PGF axis in preeclampsia
- SRPX2 boosts pancreatic cancer chemoresistance by activating PI3K/AKT axis
- Case Report
- A case report of cervical pregnancy after in vitro fertilization complicated by tuberculosis and a literature review
- Review Article
- Serrated lesions of the colon and rectum: Emergent epidemiological data and molecular pathways
- Research Article
- Biological properties and therapeutic effects of plant-derived nanovesicles
- Case Report
- Clinical characterization of chromosome 5q21.1–21.3 microduplication: A case report
- Research Article
- Serum calcium levels correlates with coronary artery disease outcomes
- Rapunzel syndrome with cholangitis and pancreatitis – A rare case report
- Review Article
- A review of current progress in triple-negative breast cancer therapy
- Case Report
- Peritoneal-cutaneous fistula successfully treated at home: A case report and literature review
- Research Article
- Trim24 prompts tumor progression via inducing EMT in renal cell carcinoma
- Degradation of connexin 50 protein causes waterclefts in human lens
- GABRD promotes progression and predicts poor prognosis in colorectal cancer
- The lncRNA UBE2R2-AS1 suppresses cervical cancer cell growth in vitro
- LncRNA FOXD3-AS1/miR-135a-5p function in nasopharyngeal carcinoma cells
- MicroRNA-182-5p relieves murine allergic rhinitis via TLR4/NF-κB pathway