Treatment of insulinomas by laparoscopic radiofrequency ablation: case reports and literature review
-
Changyu Yao
, Xiangtao Wang , Yongli Zhang , Jian Kong , Jun Gao , Shan Ke , Xuemei Ding , Zonghai Xin , Wenlei Xu , Shaohong Wang and Wenbing Sun
Abstract
Despite its rarity, insulinoma is the most common type of pancreatic endocrine neoplasm, with an occurrence of 1 to 5 per million per year in the population. Surgical resection or enucleation is the first line of curative treatment choice for insulinoma. Eight patients with symptomatic insulinomas treated by radiofrequency ablation have been described since 2009. In the past two years, we treated two patients with symptomatic insulinomas (one in the pancreatic tail and the other in the pancreatic neck) successfully using laparoscopic radiofrequency ablation. Both patients achieved complete elimination without any significant complications. Our study suggests laparoscopic radiofrequency ablation could be developed as a safe and effective alternative treatment to surgery for the patients with insulinomas who refuse or are not eligible for surgery.
1 Introduction
Despite its rarity, insulinoma is the most common type of pancreatic endocrine neoplasm, with an occurrence of 1 to 5 per million per year in the population [1]. More than 90% of insulinomas are sporadic, usually small (<20 mm) and benign (>90%) and occur throughout the pancreas. The diagnosis of insulinoma is often delayed as there may be a myriad of symptoms associated with neuroglycopenia, including confusion, neuropathies, blurred vision and an adrenergic response. Insulinoma may occur throughout life and afflict both genders equally. Anatomical distribution may vary throughout any part of the pancreas, but they are predominantly located in the pancreatic body and tail [2]. Surgical resection or enucleation is the first line of curative treatment choice for insulinoma [3,4]. The adoption of surgical procedures required are dependent on the anatomical position and size of the tumor. The operation may vary from a distal pancreatectomy, to enucleation of the tumor, or to a pancreaticoduodenectomy. However, a postoperative morbidity occurred in 35.4% or 32.8% of patients for open or laparoscopic surgical management respectively [5]. The medical treatment, such as administration of diazoxide or trans-catheter arterial embolization (TAE) are therapeutic options for patients who refuse or are not candidates for surgery. In the recent decade, radiofrequency ablation (RFA) was used as a method of multimodality therapy for liver and other solid tumors [6] and the first choice for some well-selected early-staged tumors. RFA may be an ideal curative alternative therapy to surgery for insulinomas, since they are usually benign, solitary and small at the time of diagnosis. In 2009, Limmer et al. [7] described the first case of insulinoma which was successfully treated by RFA, followed by reports of additional seven cases of patients with the same treatment [8, 9, 10, 11, 12]. In the past two years, we evaluated and documented the safety and efficacy of laparoscopic RFA for the treatment of two cases of patients with insulinomas
and reviewed the literatures associated with this novel treatment strategy (Table 1) .
2 Case one
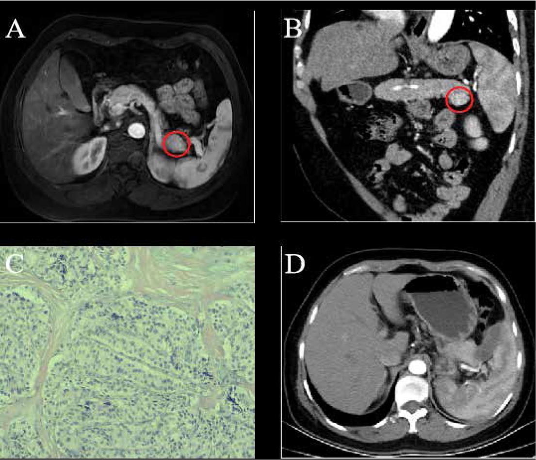
A 44-year-old female patient who had episodic hypoglycemic symptoms including sweating, palpitations and weakness for more than four years was referred to hospital. Physical examination didn’t show any abnormalities of heart, lung, kidney and other organs. Her random blood glucose was 2.4 mmol/L, fasting blood glucose was 1.7 mmol/L, glycosylated hemoglobin was 3.3% and fasting serum insulin was 372.6 mU/L. Contrast-enhanced magnetic resonance imaging (MRI) showed a round-like and well-defined lesion in the pancreatic tail with measured diameters of 18 mm × 17 mm in the arterial phase (Fig. 1 A). A coronal reconstructed CT scan showed that the tumor grew in an exophytic pattern (Fig. 1 B). The preoperative diagnosis of functioning insulinoma of the pancreatic tail was made based on the clinical symptoms, results of laboratory tests and characteristic MRI and CT imaging features.

A 44-year-old female with pathology-proven pancreatic insulinoma was treated with laparoscopic RFA. (A) Contrast-enhanced MRI showed a round-like, well-defined lesion in the pancreatic tail in the arterial phase (red cycle). (B) Coronal reconstructed CT image showed the tumor grew in an exophytic pattern (red cycle). (C) Pathology confirmed the diagnosis of pancreatic insulinoma (HE×100). (D) Contrast-enhanced CT showed no residual tumor foci and recurrent lesion with a small volume of fluid collection near the pancreatic tail.
Laparoscopic RFA was performed for the patient under general anesthesia. After the incision of the gastrocolic ligament made, an 18 mm tumor was visualized in the pancreatic tail corresponding to the tumor lesion depicted on CT and MR images. Before the RFA, a piece of tumor tissue was excised for the intraoperative pathologic examination, which confirmed the diagnosis of a benign lesion. Subsequently, a Cool-tip ACTC 2020 needle was placed in the lesion under the laparoscopic guidance with the tip of the needle being positioned in the center of the tumor. The ablation was carried with a Covidien Healthcare (Ireland, Dublin) generator with the power set at up to 40 W for the whole procedure. An abdominal drain was kept in the ablation region after the RFA procedure. The follow-up laboratory test showed the blood glucose was 7.6 - 9.8 mmol/L on the first day post the RFA procedure. No more hypoglycemia-related symptoms such as sweating, palpitation and weakness were seen. The level of fasting and random blood glucose was 5.3 mmol/L and 5.7 mmol/L respectively, the glycosylated hemoglobin was 4.3% and fasting serum insulin was 63.4 mU/L.
No pancreatic fistula occurred after the abdominal drain was withdrawn on the third postoperative day and the patient was discharged seven days later after the RFA procedure without any RFA-related complications. The pathological examination further confirmed the pre-procedural diagnosis of pancreatic insulinoma (Fig. 1 C). No recurrence of episodic hypoglycemic symptoms such as sweating, palpitation and weakness were observed in this patient during a 9-month follow-up period. Contrast-enhanced CT showed no residual tumor foci and a recurrent lesion with a small volume of fluid collection near the pancreatic tail. (Fig. 1 D).
3 Case two
A 65-year-old female complaining for more than 3 years of episodic hypoglycemic symptoms including recurrent sweating, palpitation and weakness was referred to hospital. No obvious abnormalities of her heart, lung, kidney and other major organs were found by physical examination. The results of routine laboratory test of blood, urine and stool routine were normal. The level of blood glucose was 2.3 mmol/L, carcinoembryonic antigen (CEA) was 6.5 μg/L, and carbohydrate antigen (CA) 19-9 was 67.5 kU/L. The contrast-enhanced CT scan depicted a markedly enhanced 15 mm lesion in the neck of the pancreas in the early arterial phase and an isointense lesion in the delayed phase (Fig. 2 A & B). A preoperative diagnosis of functioning insulinoma of the pancreatic neck was made based on clinical symptoms, laboratory results and the featured CT images.

A 65-year-old female with insulinoma in the neck of the pancreas was treated with laparoscopic RFA. (A) Contrast-enhanced CT scan depicted a markedly enhanced lesion in the neck of the pancreas in the early arterial phase (red cycle). (B) Contrast-enhanced CT scan showed an isointense lesion in the delayed phase (red cycle). (C) Pathology confirmed the diagnosis of pancreatic insulinoma (HE×100). (D) The postoperative CT scan suggested the tumor was completely ablated.
A laparoscopic RFA was performed for the patient under general anesthesia. After a thorough exploration of the pancreas, a well-demarcated 15 mm tumor with complete capsule was found in the inferior aspect of the pancreatic neck. The pathologic examination of a piece of lesion tissue showed the histology of a benign lesion. Subsequently, RFA was performed for the tumor with the same ablation. After that, an abdominal drain was kept in the ablation region. The level of blood glucose rose to 6.1 - 8.2 mmol/L on the first day after the treatment. The patient no longer experienced the hypoglycemia-related symptoms, such as sweating, palpitation and weakness and the fasting and random blood glucose were normal.
No pancreatic fistula was observed after the abdominal drain was withdrawn on the third postoperative day, and the patient was discharged at the sixth day after the RFA procedure. The detailed pathology further confirmed the diagnosis of pancreatic insulinoma (Fig. 2 C). The patient didn’t experience episodes of hypoglycemia-related symptoms such as sweating, palpitation and weakness during a 43-month follow-up period. The postoperative CT scan suggested the tumor was completely ablated (Fig. 2 D) .
Summary of RFA for insulinmoas of ten patients
| References | Age (y) | Sex | Clinical presentation | Tumor location | Tumor size (mm) | Techniques of ablation | Postoperative complications | Follow-up time (m) | Recurrence | Result |
|---|---|---|---|---|---|---|---|---|---|---|
| Limmer [7] | 80 | F | episodes of severe hypoglycemia | tail | 15 | percutaneous puncture | no | 7 | no | complete ablation |
| Akhlaghpoor [8] | 48 | M | recurrent symptoms of dizziness, hunger, perspiration, and nervousness | head | 12 | percutaneous puncture | no | 36 | no | complete ablation |
| Procházka [9] | 75 | F | episodic hypoglycemic symptoms | body | 15 | laparoscopic guidance | transitory hyperglycemia | 3 | no | complete ablation |
| Waung[10] | 70 | F | recurrent episodes of dizziness for 18 m | uncinate process | 18 | EUS | no | 10 | no | complete ablation |
| Lakhtakia [11] | 42 | M | hypoglycemia with recurrent episodes of seizures for 4 y | body | 14x12 | EUS | no | 12 | no | complete ablation |
| 41 | M | hypoglycemia with frequent eating and significant weight gain for 1 y | head | 17x12 | EUS | no | 12 | no | complete ablation | |
| 52 | M | hypoglycemia with recurrent episodes of syncope for 2 y | head, body, tail | 22x19 | EUS | no | 11 | no | complete ablation | |
| Bas-Cutrina [12] | 63 | F | periodic hypoglycemic episodes | body | 9x10 | EUS | no | 10 | no | complete ablation |
| Sun | 44 | F | episodic hypoglycemic symptoms for 4 y | tail | 18x17 | laparoscopic guidance | no | 9 | no | complete ablation |
| Sun | 65 | F | episodic hypoglycemic symptoms for 3 y | neck | 15x15 | laparoscopic guidance | no | 43 | no | complete ablation |
M: male, F: femal
Ethical approval: The research related to human use has been complied with all the relevant national regulations, institutional policies and in accordance the tenets of the Helsinki Declaration, and has been approved by the authors' institutional review board or equivalent committee.
Informed consent: Informed consent has been obtained from all individuals included in this study.
4 Discussion
Our study described the management of two patients with solitary and benign insulinomas by the treatment modality of laparoscopic RFA. No postoperative complications and tumor recurrence were observed during the follow-up period, which shows the feasibility, efficacy and safety of using laparoscopic RFA as alternative treatment to surgery for insulinoma.
Therapeutic strategies for insulinoma typically include surgical resection, medical treatment, TAE and ablative therapies. Surgical management is the mainstay of treatment modality for insulinoma and surgical resection or enucleation is the first choice of established curative therapy, but the postoperative morbidity rate of open or laparoscopic surgical management was 35.4% or 32.8% respectively, the mortality rate of open approach was 3.7% and the recurrence rate was 7.2% [5]. To perform the pancreatic resection safely and effectively requires considerable training, but the surgical treatment of insulinoma is only available in high profile medical centers. Medical treatment is usually prescribed for the patients who refuse the surgical resection or are not candidates for surgery. However, studies showed that drugs, such as diazoxide and octreotide, have various side effects and only a minority of patients can achieve the long-term improvement of hypoglycemia [13,14]. TAE is an effective procedure which is recommended for patients who are not eligible for or refuse surgery. Post-procedure complications of TAE including abdominal pain, mild pancreatitis and transitory mild diabetes were observed [15, 16, 17, 18, 19].
Local ablative therapies have been performed for patients with insulinoma who are not eligible for or refuse surgical management, including ethanol ablation (EA), microwave ablation (MWA), high intensity focused ultrasound ablation (HIFU), irreversible electroporation (IRE) and RFA. The postoperative complications of EA for insulinomas includes localized abdominal pain, mild pancreatitis, pseudocysts and duodenal ulceration, and disease recurrence was observed in four patients among twenty-six patients treated with EA [20, 21, 22, 23, 24, 25, 26, 27, 28, 29, 30]. EA can only be eligible for small lesions, and it has the contraindication for the tumor in the proximity to blood vessels and poses the risk of hemorrhage [25]. Chen et al. [31] described the treatment of one patient with insulinoma by CT-guided percutaneous MWA, demonstrating that MWA can yield a higher efficacy than RFA and is more suitable for bigger pancreatic lesions. Orgera et al. [32] described the treatment of two patients with insulinomas with HIFU and suggested this therapeutic modality should be prescribed for patients who are not candidates for surgery or other minimally invasive treatment. Papamichail et al. [33] reported one insulinoma patient treated with IRE developed mild pancreatitis postoperatively and suggested this novel non-direct thermal ablative technique was recommended for patients who are not eligible for surgical resection or other conventional ablative treatments [34].
RFA is considered a safe and potentially curative technique for the treatment of hepatic tumors. More than 90% of insulinomas are benign, solitary, and small (<20 mm) at the time of diagnosis, and the main pancreatic duct is usually located in the posterosuperior region of the pancreas, so it is safe to perform RFA for insulinomas originating in the anterosuperior and inferior aspect of the pancreas (Figure 3). Limmer et al. [7] firstly reported one patient with insulinoma was successfully treated with CT-guided percutaneous RFA, with the result showing that percutaneous RFA can be performed safely for insulinoma by experienced doctors. However, the pancreas is a deeply located retroperitoneal organ and RFA performed in the pancreas poses the risk of accidental puncturing and thermal injuries of adjacent critical anatomic structures, such as the stomach, duodenum, transverse colon, common bile duct, portal vein, mesenteric and splenic vessels, which determines the difficulty of this procedure in pancreatic head [35]. RFA assisted by endoscopic ultrasound (EUS) for treating insulinoma enables the easier target of the tumor lesion than the percutaneous approach. Lesions located in pancreatic body or tail can be targeted through the stomach and lesions located in pancreatic head can be accessed by puncturing through the duodenum. In studies by Lakhtakia et al. [10, 11, 12], five patients with insulinomas were treated with RFA under the EUS-guidance. No major postoperative complications and disease recurrence were observed. However, EUS-guided RFA for insulinomas can damage the gastrointestinal tract and it is necessary to be performed by experienced endoscopic experts in high-profile medical centers. Procházka et al. [9] firstly described the successful treatment of one insulinoma with laparoscopic RFA assisted with intraoperative ultrasound. The long-term follow-up didn’t find any postoperative complications. In our current study, two patients with insulinomas were treated by laparoscopic RFA. Both of the patients achieved the complete elimination of the tumor and no postoperative complications occurred. The laparoscopic RFA has a few advantages: (i) direct visualization of the tumors and pancreas can be offered by laparoscopic view, which could minimize the damage of the adjacent structures [4,36]; (ii) laparoscopy is a minimally invasive technique but has a high diagnostic accuracy and tissues can sampled for cytopathology and immunohistochemistry, which is helpful for the differentiation between benign and malignant tumors and the adoption of appropriate management; (iii) an abdominal drain could be placed in the ablation region intraoperatively in case of the occurrence of pancreatic fistula. Although these two patients were treated safely and effectively by the laparoscopic RFA, the long-term benefits and the potential risks need to be investigated in a large series of patients with long follow-up periods.

The safe region of pancreatic RFA is the anterosuperior and inferior aspects of the pancreas.
In our practice, indications of RFA for insulinoma are strictly controlled. The location of the lesion is the crucial factor when we perform RFA as the first choice for insulinoma. Insulinoma located in the pancreatic tail is the best indication of RFA and RFA can also be performed for lesions located on the surface of pancreatic head, neck, and body with a rather safe distance to the main pancreatic duct. Lesions located deeply in the pancreas parenchyma and closed to the main pancreatic duct should be considered as contraindications of RFA and surgical treatment could be performed as the first choice for these lesions, including segmental resection, distal pancreatectomy (spleen preserving), and pylorus-preserving Whipple [5].
In conclusion, our clinical preliminary observation of two female patients with insulinomas treated with laparoscopic RFA suggests that this procedure is technically feasible, safe and effective for the patients with insulinomas who refuse or are not eligible for surgery. However, multicenter studies involving a larger series of patients with longer follow-up periods are essential to assess the safety and efficacy of this method as the curative alternative treatment to surgery for insulinoma.
Author contributions: Yao CY, Gao J, Ke S, Ding XM, Xu WL, Kong J, Wang SH and Sun WB designed the report; Wang XT, Zhang YL and Xin ZH collected the patients’ clinical date; Yao CY and Sun WB wrote the paper.
Conflicts of interest: There are no conflicts of interest.
References
[1] Anderson C.W., Bennett J.J., Clinical presentation and diagnosis of pancreatic neuroendocrine tumors, Surg Oncol Clin N Am., 2016, 25, 363-374; DOI: 10.1016/j. soc.2015.12.00310.1016/j.soc.2015.12.003Search in Google Scholar PubMed
[2] Aggeli C., Nixon A.M., Karoumpalis I., Kaltsas G., Zografos G.N., Laparoscopic surgery for pancreatic insulinomas: an update, Hormones (Athens)., 2016, 15, 157-169; DOI: 10.14310/horm.2002.167010.14310/horm.2002.1670Search in Google Scholar PubMed
[3] Villacreses D.E., Stauffer J.A., Horacio J., Asbun J., Laparoscopic central pancreatectomy for insulinoma (with video), J Visc Surg., 2016, 153, 473-474; DOI: 10.1016/j. jviscsurg.2016.06.00410.1016/j.jviscsurg.2016.06.004Search in Google Scholar PubMed
[4] Antonakis P.T., Ashrafian H., Martinez-Isla A., Pancreatic insulinomas: laparoscopic management, World J Gastrointest Endosc., 2015, 7, 1197-1207; DOI: 10.4253/wjge.v7.i16.119710.4253/wjge.v7.i16.1197Search in Google Scholar PubMed PubMed Central
[5] Mehrabi A., Fischer L., Hafezi M., Dirlewanger A., Grenacher L., Diener M.K., et al., A systematic review of localization, surgical treatment options, and outcome of insulinoma, Pancreas., 2014, 43, 675-686; DOI: 10.1097/ MPA.000000000000011010.1097/MPA.0000000000000110Search in Google Scholar PubMed
[6] Xu X.L., Liu X.D., Liang M., Luo B.M., Radiofrequency ablation versus hepatic resection for small hepatocellular carcinoma: systematic review of randomized controlled trials with meta-analysis and trial sequential analysis, Radiology., 2018, 287, 461-472; DOI: 10.1148/radiol.201716275610.1148/radiol.2017162756Search in Google Scholar PubMed
[7] Limmera S., Huppertb P.E., Juette V., Lenhart A., Welte M., Wietholtz H., Radiofrequency ablation of solitary pancreatic insulinoma in a patient with episodes of severe hypoglycemia, Eur J Gastroenterol Hepato., 2009, 21, 1097-1101; DOI: 10.1097/meg.0b013e328323d70e10.1097/meg.0b013e328323d70eSearch in Google Scholar PubMed
[8] Akhlaghpoor S., Dahi F., Alinaghizadeh M., Shabestari A.A., CT Fluoroscopy-guided transcaval radiofrequency ablation of insulinoma, J Vasc Interv Radiol., 2011, 22, 409-410; DOI: 10.1016/j.jvir.2010.10.03110.1016/j.jvir.2010.10.031Search in Google Scholar PubMed
[9] Procházka V., Hlavsa J., Andrašina T., Starý K., Můčková K., Kala Z., et al., Laparoscopic radiofrequency ablation of functioning pancreatic insulinoma: video case report, Surg Laparosc Endosc Percutan Tech., 2012, 22, 312-315; DOI: 10.1097/SLE.0b013e318264b60710.1097/SLE.0b013e318264b607Search in Google Scholar PubMed
[10] Waung J.A., Todd J.F., Keane M.G., Pereira S.P., Successful management of a sporadic pancreatic insulinoma by endoscopic ultrasound-guided radiofrequency ablation, Endoscopy., 2016, 48, 144-145; DOI: 10.1055/s-0042-10465010.1055/s-0042-104650Search in Google Scholar PubMed
[11] Lakhtakia S., Ramchandani M., Galasso D., Gupta R., Venugopal S., Kalpala R., et al., EUS-guided radiofrequency ablation for management of pancreatic insulinoma by using a novel needle electrode (with videos), Gastrointest Endosc., 2016, 83, 234-239; DOI: 10.1016/j.gie.2015.08.08510.1016/j.gie.2015.08.085Search in Google Scholar
[12] Bas-Cutrina F., Bargalló D., Gornals J.B., Small pancreatic insulinoma: successful endoscopic ultrasound-guided radiofrequency ablation in a single session using a 22-G fine needle, Dig Endosc., 2017, 29, 636-638; DOI: 10.1111/ den.1286610.1111/den.12866Search in Google Scholar
[13] Gill G.V., Rauf, O., MacFarlane I.A., Diazoxide treatment for insulinoma: a national UK survey, Postgrad Med J., 1997, 73, 640-641; DOI: 10.1136/pgmj.73.864.64010.1136/pgmj.73.864.640Search in Google Scholar
[14] Krenning E.P., Kwekkeboom D.J., Bakker W.H., Breeman W.A., Kooij P.P., Oei H.Y., et al., Somatostatin receptor scintigraphy with [111In-DTPA-D-Phe1] and [123I-Tyr3] octreotide: the rotterdam experience with more than 1000 patients, Eur J Nucl Med., 1993, 8, 716-731; DOI: 10.1007/bf0018176510.1007/bf00181765Search in Google Scholar
[15] Moore T.J., Peterson L.M., Harrington D.P., Smith R.J., Successful arterial embolization of an insulinoma, JAMA., 1982, 248, 1353-1355; DOI: 10.1001/ jama.1982.0333011004902610.1001/jama.1982.03330110049026Search in Google Scholar
[16] Uflacker R., Arterial embolization as definitive treatment for benign insulinoma of the pancreas, J Vasc Interv Radiol., 1992, 3, 639-644; DOI: 10.1016/s1051-0443(92)72912-110.1016/s1051-0443(92)72912-1Search in Google Scholar
[17] Rott G., Biggemann M., Pfohl M., Embolization of an insulinoma of the pancreas with trisacryl gelatin microspheres as definitive treatment, Cardiovasc Intervent Radiol., 2008, 31, 659-662; DOI: 10.1007/s00270-007-9185-410.1007/s00270-007-9185-4Search in Google Scholar PubMed
[18] Peppa M., Brountzos E., Economopoulos N., Boutati E., Pikounis V., Patapis P., et al., Embolization as an alternative treatment of insulinoma in a patient with multiple endocrine neoplasia type 1 syndrome, Cardiovasc Intervent Radiol., 2009, 32, 807-811; DOI: 10.1007/s00270-008-9499-x10.1007/s00270-008-9499-xSearch in Google Scholar PubMed
[19] Mele C., Brunani A., Damascelli B., Tichà V., Castello L., Aimaretti G., et al., Non-surgical ablative therapies for inoperable benign insulinoma, J Endocrinol Invest., 2018, 41, 153-162; DOI: 10.1007/s40618-017-0738-310.1007/s40618-017-0738-3Search in Google Scholar PubMed
[20] Jürgensen C., Schuppan D., Neser F., Ernstberger J., Junghans U., Stölzel U., EUS-guided alcohol ablation of an insulinoma, Gastrointest Endosc., 2006, 63, 1059-1062; DOI: 10.1016/j. gie.2005.10.03410.1016/j.gie.2005.10.034Search in Google Scholar PubMed
[21] Deprez P.H., Claessens A., Borbath I., Gigot J.F., Maiter D., Successful endoscopic ultrasound-guided ethanol ablation of a sporadic insulinoma, Acta Gastroenterol Belg., 2008, 71, 333-337;Search in Google Scholar
[22] Vleggaar F.P., Bij de Vaate E.A., Valk G.D., Leguit R.J., Siersema P.D., Endoscopic ultrasound-guided ethanol ablation of a symptomatic sporadic insulinoma, Endoscopy., 2011, 43, 328-329; DOI: 10.1055/s-0030-125677510.1055/s-0030-1256775Search in Google Scholar PubMed
[23] Levy M.J., Thompson G.B., Topazian M.D., Callstrom M.R., Grant C.S., Vella A., US-guided ethanol ablation of insulinomas: a new treatment option, Gastrointest Endosc., 2012, 75, 200-206; DOI: 10.1016/j.gie.2011.09.01910.1016/j.gie.2011.09.019Search in Google Scholar PubMed
[24] Lee M.J., Jung C.H., Jang J.E., Hwang J.Y., Park D.H., Park T.S., et al., Successful endoscopic ultrasound-guided ethanol ablation of multiple insulinomas accompanied with multiple endocrine neoplasia type 1, Intern Med J., 2013, 43, 948-950; DOI: 10.1111/imj.1220810.1111/imj.12208Search in Google Scholar PubMed
[25] Qin S.Y., Lu X.P., Jiang H.X., EUS-guided ethanol ablation of insulinomas: case series and literature review, Medicine (Baltimore)., 2014, 93, e85; DOI: 10.1097/ MD.000000000000008510.1097/MD.0000000000000085Search in Google Scholar PubMed PubMed Central
[26] Yang D., Inabnet W.B., Sarpel U., DiMaio C.J., EUS-guided ethanol ablation of symptomatic pancreatic insulinomas, Gastrointest Endosc., 2015, 82, 1127; DOI: 10.1016/j. gie.2015.06.03010.1016/j.gie.2015.06.030Search in Google Scholar PubMed
[27] Paik W.H., Seo D.W., Dhir V., Wang H.P., Safety and efficacy of EUS-guided ethanol ablation for treating small solid pancreatic neoplasm, Medicine (Baltimore)., 2016, 95, e2538; DOI: 10.1097/MD.000000000000253810.1097/MD.0000000000002538Search in Google Scholar PubMed PubMed Central
[28] Trikudanathan G., Mallery S.J., Amateau S.K., Successful endoscopic ultrasound-guided alcohol ablation of sporadic insulinoma using three-dimensional targeting (with video), Clin Endosc., 2016, 49, 399-401; DOI: 10.5946/ce.2015.14410.5946/ce.2015.144Search in Google Scholar PubMed PubMed Central
[29] Burghardt K., Kaemmerer D., Michael A., Aschenbach R., Müller U.A., Kloos C., et al., Successful endoscopic ultrasound-guided ethanol ablation of a symptomatic sporadic insulinoma in a patient with severe comorbidities not suitable for pancreatic surgery, Diabetes Metab., 2018, 44, 84-86; DOI: 10.1016/j.diabet.2016.12.01210.1016/j.diabet.2016.12.012Search in Google Scholar PubMed
[30] de Sousa Lages A., Paiva I., Oliveira P., Portela F., Carrilho F., Endoscopic ultrasound-guided ethanol ablation therapy for pancreatic insulinoma: an unusual strategy, Endocrinol Diabetes Metab Case Rep., 2017, 2017, pii: 16-0145; DOI: 10.1530/EDM-16-014510.1530/EDM-16-0145Search in Google Scholar PubMed PubMed Central
[31] Chen O.T., Dojki F.K., Weber S.M., Hinshaw J.L., Percutaneous microwave ablation of an insulinoma in a patient with refractory symptomatic hypoglycemia, J Gastrointest Surg., 2015, 19, 1378-1381; DOI: 10.1007/s11605-015-2831-210.1007/s11605-015-2831-2Search in Google Scholar PubMed
[32] Orgera G., Krokidis M., Monfardini L., Bonomo G., Della Vigna P., Fazio N., et al., High intensity focused ultrasound ablation of pancreatic neuroendocrine tumours: report of two cases, Cardiovasc Interv Radiol., 2011, 34, 419-423; DOI: 10.1007/ s00270-010-9884-010.1007/s00270-010-9884-0Search in Google Scholar PubMed
[33] Papamichail M., Ali A., Pizanias M., Peddu P., Karani J., Heaton N., Irreversible electroporation for the treatment of pancreatic neuroendocrine tumors, Korean J Hepatobil Pancreat Surg., 2016, 20, 116-120; DOI: 10.14701/ kjhbps.2016.20.3.11610.14701/kjhbps.2016.20.3.116Search in Google Scholar PubMed PubMed Central
[34] Dunki-Jacobs E.M., Philips P., Martin R.C., Evaluation of resistance as a measure of successful tumor ablation during irreversible electroporation of the pancreas, J Am Coll Surg., 2014, 218, 179-187; DOI: 10.1016/j.jamcollsurg.2013.10.01310.1016/j.jamcollsurg.2013.10.013Search in Google Scholar PubMed
[35] D’Onofrio M., Ciaravino V., De Robertis R., Barbi E., Salvia R., Girelli R., et al., Percutaneous ablation of pancreatic cancer, World J Gastroenterol., 2016, 22, 9661-9673; DOI: 10.3748/ wjg.v22.i44.966110.3748/wjg.v22.i44.9661Search in Google Scholar PubMed PubMed Central
[36] Conrad C., Passot G., Katz M.H., Fleming J.B., Kim M., Chun Y.S., et al., Laparoscopic insulinoma enucleation from the retro-pancreatic neck: a stepwise approach, Ann Surg Oncol., 2016, 23, 2001; DOI: 10.1245/s10434-016-5106-610.1245/s10434-016-5106-6Search in Google Scholar PubMed
© 2020 Changyu Yao et al., published by De Gruyter
This work is licensed under the Creative Commons Attribution 4.0 International License.
Articles in the same Issue
- Research Article
- MicroRNA-451b participates in coronary heart disease by targeting VEGFA
- Case Report
- A combination therapy for Kawasaki disease with severe complications: a case report
- Vitamin E for prevention of biofilm-caused Healthcare-associated infections
- Research Article
- Differential diagnosis: retroperitoneal fibrosis and oncological diseases
- Optimization of the Convolutional Neural Networks for Automatic Detection of Skin Cancer
- NEAT1 promotes LPS-induced inflammatory injury in macrophages by regulating miR-17-5p/TLR4
- Plasma matrix metalloproteinase-9 and tissue inhibitor of matrix metalloproteinase-1 as prognostic biomarkers in critically ill patients
- Effects of extracorporeal magnetic stimulation in fecal incontinence
- Case Report
- Mixed germ cell tumor of the endometrium: a case report and literature review
- Bowel perforation after ventriculoperitoneal-shunt placement: case report and review of the literature
- Research Article
- Prognostic value of lncRNA HOTAIR in colorectal cancer : a meta-analysis
- Case Report
- Treatment of insulinomas by laparoscopic radiofrequency ablation: case reports and literature review
- Research Article
- The characteristics and nomogram for primary lung papillary adenocarcinoma
- Undiagnosed pheochromocytoma presenting as a pancreatic tumor: A case report
- Bioinformatics Analysis of the Expression of ATP binding cassette subfamily C member 3 (ABCC3) in Human Glioma
- Diagnostic value of recombinant heparin-binding hemagglutinin adhesin protein in spinal tuberculosis
- Primary cutaneous DLBCL non-GCB type: challenges of a rare case
- LINC00152 knock-down suppresses esophageal cancer by EGFR signaling pathway
- Case Report
- Life-threatening anaemia in patient with hereditary haemorrhagic telangiectasia (Rendu-Osler-Weber syndrome)
- Research Article
- QTc interval predicts disturbed circadian blood pressure variation
- Shoulder ultrasound in the diagnosis of the suprascapular neuropathy in athletes
- The number of negative lymph nodes is positively associated with survival in esophageal squamous cell carcinoma patients in China
- Differentiation of pontine infarction by size
- RAF1 expression is correlated with HAF, a parameter of liver computed tomographic perfusion, and may predict the early therapeutic response to sorafenib in advanced hepatocellular carcinoma patients
- LncRNA ZEB1-AS1 regulates colorectal cancer cells by miR-205/YAP1 axis
- Tissue coagulation in laser hemorrhoidoplasty – an experimental study
- Classification of pathological types of lung cancer from CT images by deep residual neural networks with transfer learning strategy
- Enhanced Recovery after Surgery for Lung Cancer Patients
- Case Report
- Streptococcus pneumoniae-associated thrombotic microangiopathy in an immunosuppressed adult
- Research Article
- The characterization of Enterococcus genus: resistance mechanisms and inflammatory bowel disease
- Case Report
- Inflammatory fibroid polyp: an unusual cause of abdominal pain in the upper gastrointestinal tract A case report
- Research Article
- microRNA-204-5p participates in atherosclerosis via targeting MMP-9
- LncRNA LINC00152 promotes laryngeal cancer progression by sponging miR-613
- Can keratin scaffolds be used for creating three-dimensional cell cultures?
- miRNA-186 improves sepsis induced renal injury via PTEN/PI3K/AKT/P53 pathway
- Case Report
- Delayed bowel perforation after routine distal loopogram prior to ileostomy closure
- Research Article
- Diagnostic accuracy of MALDI-TOF mass spectrometry for the direct identification of clinical pathogens from urine
- The R219K polymorphism of the ATP binding cassette subfamily A member 1 gene and susceptibility to ischemic stroke in Chinese population
- miR-92 regulates the proliferation, migration, invasion and apoptosis of glioma cells by targeting neogenin
- Clinicopathological features of programmed cell death-ligand 1 expression in patients with oral squamous cell carcinoma
- NF2 inhibits proliferation and cancer stemness in breast cancer
- Body composition indices and cardiovascular risk in type 2 diabetes. CV biomarkers are not related to body composition
- S100A6 promotes proliferation and migration of HepG2 cells via increased ubiquitin-dependent degradation of p53
- Review Article
- Focus on localized laryngeal amyloidosis: management of five cases
- Research Article
- NEAT1 aggravates sepsis-induced acute kidney injury by sponging miR-22-3p
- Pericentric inversion in chromosome 1 and male infertility
- Increased atherogenic index in the general hearing loss population
- Prognostic role of SIRT6 in gastrointestinal cancers: a meta-analysis
- The complexity of molecular processes in osteoarthritis of the knee joint
- Interleukin-6 gene −572 G > C polymorphism and myocardial infarction risk
- Case Report
- Severe anaphylactic reaction to cisatracurium during anesthesia with cross-reactivity to atracurium
- Research Article
- Rehabilitation training improves nerve injuries by affecting Notch1 and SYN
- Case Report
- Myocardial amyloidosis following multiple myeloma in a 38-year-old female patient: A case report
- Research Article
- Identification of the hub genes RUNX2 and FN1 in gastric cancer
- miR-101-3p sensitizes non-small cell lung cancer cells to irradiation
- Distinct functions and prognostic values of RORs in gastric cancer
- Clinical impact of post-mortem genetic testing in cardiac death and cardiomyopathy
- Efficacy of pembrolizumab for advanced/metastatic melanoma: a meta-analysis
- Review Article
- The role of osteoprotegerin in the development, progression and management of abdominal aortic aneurysms
- Research Article
- Identification of key microRNAs of plasma extracellular vesicles and their diagnostic and prognostic significance in melanoma
- miR-30a-3p participates in the development of asthma by targeting CCR3
- microRNA-491-5p protects against atherosclerosis by targeting matrix metallopeptidase-9
- Bladder-embedded ectopic intrauterine device with calculus
- Case Report
- Mycobacterial identification on homogenised biopsy facilitates the early diagnosis and treatment of laryngeal tuberculosis
- Research Article
- The will of young minors in the terminal stage of sickness: A case report
- Extended perfusion protocol for MS lesion quantification
- Identification of four genes associated with cutaneous metastatic melanoma
- Case Report
- Thalidomide-induced serious RR interval prolongation (longest interval >5.0 s) in multiple myeloma patient with rectal cancer: A case report
- Research Article
- Voluntary exercise and cardiac remodeling in a myocardial infarction model
- Electromyography as an intraoperative test to assess the quality of nerve anastomosis – experimental study on rats
- Case Report
- CT findings of severe novel coronavirus disease (COVID-19): A case report of Heilongjiang Province, China
- Commentary
- Directed differentiation into insulin-producing cells using microRNA manipulation
- Research Article
- Culture-negative infective endocarditis (CNIE): impact on postoperative mortality
- Extracorporeal shock wave therapy for the treatment of chronic pelvic pain syndrome
- Plasma microRNAs in human left ventricular reverse remodelling
- Bevacizumab for non-small cell lung cancer patients with brain metastasis: A meta-analysis
- Risk factors for cerebral vasospasm in patients with aneurysmal subarachnoid hemorrhage
- Problems and solutions of personal protective equipment doffing in COVID-19
- Evaluation of COVID-19 based on ACE2 expression in normal and cancer patients
- Review Article
- Gastroenterological complications in kidney transplant patients
- Research Article
- CXCL13 concentration in latent syphilis patients with treatment failure
- A novel age-biomarker-clinical history prognostic index for heart failure with reduced left ventricular ejection fraction
- Case Report
- Clinicopathological analysis of composite lymphoma: A two-case report and literature review
- Trastuzumab-induced thrombocytopenia after eight cycles of trastuzumab treatment
- Research Article
- Inhibition of vitamin D analog eldecalcitol on hepatoma in vitro and in vivo
- CCTs as new biomarkers for the prognosis of head and neck squamous cancer
- Effect of glucagon-like peptide-1 receptor agonists on adipokine level of nonalcoholic fatty liver disease in rats fed high-fat diet
- 72 hour Holter monitoring, 7 day Holter monitoring, and 30 day intermittent patient-activated heart rhythm recording in detecting arrhythmias in cryptogenic stroke patients free from arrhythmia in a screening 24 h Holter
- FOXK2 downregulation suppresses EMT in hepatocellular carcinoma
- Case Report
- Total parenteral nutrition-induced Wernicke’s encephalopathy after oncologic gastrointestinal surgery
- Research Article
- Clinical prediction for outcomes of patients with acute-on-chronic liver failure associated with HBV infection: A new model establishment
- Case Report
- Combination of chest CT and clinical features for diagnosis of 2019 novel coronavirus pneumonia
- Research Article
- Clinical significance and potential mechanisms of miR-223-3p and miR-204-5p in squamous cell carcinoma of head and neck: a study based on TCGA and GEO
- Review Article
- Hemoperitoneum caused by spontaneous rupture of hepatocellular carcinoma in noncirrhotic liver. A case report and systematic review
- Research Article
- Voltage-dependent anion channels mediated apoptosis in refractory epilepsy
- Prognostic factors in stage I gastric cancer: A retrospective analysis
- Circulating irisin is linked to bone mineral density in geriatric Chinese men
- Case Report
- A family study of congenital dysfibrinogenemia caused by a novel mutation in the FGA gene: A case report
- Research Article
- CBCT for estimation of the cemento-enamel junction and crestal bone of anterior teeth
- Case Report
- Successful de-escalation antibiotic therapy using cephamycins for sepsis caused by extended-spectrum beta-lactamase-producing Enterobacteriaceae bacteremia: A sequential 25-case series
- Research Article
- Influence factors of extra-articular manifestations in rheumatoid arthritis
- Assessment of knowledge of use of electronic cigarette and its harmful effects among young adults
- Predictive factors of progression to severe COVID-19
- Procedural sedation and analgesia for percutaneous trans-hepatic biliary drainage: Randomized clinical trial for comparison of two different concepts
- Acute chemoradiotherapy toxicity in cervical cancer patients
- IGF-1 regulates the growth of fibroblasts and extracellular matrix deposition in pelvic organ prolapse
- NANOG regulates the proliferation of PCSCs via the TGF-β1/SMAD pathway
- An immune-relevant signature of nine genes as a prognostic biomarker in patients with gastric carcinoma
- Computer-aided diagnosis of skin cancer based on soft computing techniques
- MiR-1225-5p acts as tumor suppressor in glioblastoma via targeting FNDC3B
- miR-300/FA2H affects gastric cancer cell proliferation and apoptosis
- Hybrid treatment of fibroadipose vascular anomaly: A case report
- Surgical treatment for common hepatic aneurysm. Original one-step technique
- Neuropsychiatric symptoms, quality of life and caregivers’ burden in dementia
- Predictor of postoperative dyspnea for Pierre Robin Sequence infants
- Long non-coding RNA FOXD2-AS1 promotes cell proliferation, metastasis and EMT in glioma by sponging miR-506-5p
- Analysis of expression and prognosis of KLK7 in ovarian cancer
- Circular RNA circ_SETD2 represses breast cancer progression via modulating the miR-155-5p/SCUBE2 axis
- Glial cell induced neural differentiation of bone marrow stromal cells
- Case Report
- Moraxella lacunata infection accompanied by acute glomerulonephritis
- Research Article
- Diagnosis of complication in lung transplantation by TBLB + ROSE + mNGS
- Case Report
- Endometrial cancer in a renal transplant recipient: A case report
- Research Article
- Downregulation of lncRNA FGF12-AS2 suppresses the tumorigenesis of NSCLC via sponging miR-188-3p
- Case Report
- Splenic abscess caused by Streptococcus anginosus bacteremia secondary to urinary tract infection: a case report and literature review
- Research Article
- Advances in the role of miRNAs in the occurrence and development of osteosarcoma
- Rheumatoid arthritis increases the risk of pleural empyema
- Effect of miRNA-200b on the proliferation and apoptosis of cervical cancer cells by targeting RhoA
- LncRNA NEAT1 promotes gastric cancer progression via miR-1294/AKT1 axis
- Key pathways in prostate cancer with SPOP mutation identified by bioinformatic analysis
- Comparison of low-molecular-weight heparins in thromboprophylaxis of major orthopaedic surgery – randomized, prospective pilot study
- Case Report
- A case of SLE with COVID-19 and multiple infections
- Research Article
- Circular RNA hsa_circ_0007121 regulates proliferation, migration, invasion, and epithelial–mesenchymal transition of trophoblast cells by miR-182-5p/PGF axis in preeclampsia
- SRPX2 boosts pancreatic cancer chemoresistance by activating PI3K/AKT axis
- Case Report
- A case report of cervical pregnancy after in vitro fertilization complicated by tuberculosis and a literature review
- Review Article
- Serrated lesions of the colon and rectum: Emergent epidemiological data and molecular pathways
- Research Article
- Biological properties and therapeutic effects of plant-derived nanovesicles
- Case Report
- Clinical characterization of chromosome 5q21.1–21.3 microduplication: A case report
- Research Article
- Serum calcium levels correlates with coronary artery disease outcomes
- Rapunzel syndrome with cholangitis and pancreatitis – A rare case report
- Review Article
- A review of current progress in triple-negative breast cancer therapy
- Case Report
- Peritoneal-cutaneous fistula successfully treated at home: A case report and literature review
- Research Article
- Trim24 prompts tumor progression via inducing EMT in renal cell carcinoma
- Degradation of connexin 50 protein causes waterclefts in human lens
- GABRD promotes progression and predicts poor prognosis in colorectal cancer
- The lncRNA UBE2R2-AS1 suppresses cervical cancer cell growth in vitro
- LncRNA FOXD3-AS1/miR-135a-5p function in nasopharyngeal carcinoma cells
- MicroRNA-182-5p relieves murine allergic rhinitis via TLR4/NF-κB pathway
Articles in the same Issue
- Research Article
- MicroRNA-451b participates in coronary heart disease by targeting VEGFA
- Case Report
- A combination therapy for Kawasaki disease with severe complications: a case report
- Vitamin E for prevention of biofilm-caused Healthcare-associated infections
- Research Article
- Differential diagnosis: retroperitoneal fibrosis and oncological diseases
- Optimization of the Convolutional Neural Networks for Automatic Detection of Skin Cancer
- NEAT1 promotes LPS-induced inflammatory injury in macrophages by regulating miR-17-5p/TLR4
- Plasma matrix metalloproteinase-9 and tissue inhibitor of matrix metalloproteinase-1 as prognostic biomarkers in critically ill patients
- Effects of extracorporeal magnetic stimulation in fecal incontinence
- Case Report
- Mixed germ cell tumor of the endometrium: a case report and literature review
- Bowel perforation after ventriculoperitoneal-shunt placement: case report and review of the literature
- Research Article
- Prognostic value of lncRNA HOTAIR in colorectal cancer : a meta-analysis
- Case Report
- Treatment of insulinomas by laparoscopic radiofrequency ablation: case reports and literature review
- Research Article
- The characteristics and nomogram for primary lung papillary adenocarcinoma
- Undiagnosed pheochromocytoma presenting as a pancreatic tumor: A case report
- Bioinformatics Analysis of the Expression of ATP binding cassette subfamily C member 3 (ABCC3) in Human Glioma
- Diagnostic value of recombinant heparin-binding hemagglutinin adhesin protein in spinal tuberculosis
- Primary cutaneous DLBCL non-GCB type: challenges of a rare case
- LINC00152 knock-down suppresses esophageal cancer by EGFR signaling pathway
- Case Report
- Life-threatening anaemia in patient with hereditary haemorrhagic telangiectasia (Rendu-Osler-Weber syndrome)
- Research Article
- QTc interval predicts disturbed circadian blood pressure variation
- Shoulder ultrasound in the diagnosis of the suprascapular neuropathy in athletes
- The number of negative lymph nodes is positively associated with survival in esophageal squamous cell carcinoma patients in China
- Differentiation of pontine infarction by size
- RAF1 expression is correlated with HAF, a parameter of liver computed tomographic perfusion, and may predict the early therapeutic response to sorafenib in advanced hepatocellular carcinoma patients
- LncRNA ZEB1-AS1 regulates colorectal cancer cells by miR-205/YAP1 axis
- Tissue coagulation in laser hemorrhoidoplasty – an experimental study
- Classification of pathological types of lung cancer from CT images by deep residual neural networks with transfer learning strategy
- Enhanced Recovery after Surgery for Lung Cancer Patients
- Case Report
- Streptococcus pneumoniae-associated thrombotic microangiopathy in an immunosuppressed adult
- Research Article
- The characterization of Enterococcus genus: resistance mechanisms and inflammatory bowel disease
- Case Report
- Inflammatory fibroid polyp: an unusual cause of abdominal pain in the upper gastrointestinal tract A case report
- Research Article
- microRNA-204-5p participates in atherosclerosis via targeting MMP-9
- LncRNA LINC00152 promotes laryngeal cancer progression by sponging miR-613
- Can keratin scaffolds be used for creating three-dimensional cell cultures?
- miRNA-186 improves sepsis induced renal injury via PTEN/PI3K/AKT/P53 pathway
- Case Report
- Delayed bowel perforation after routine distal loopogram prior to ileostomy closure
- Research Article
- Diagnostic accuracy of MALDI-TOF mass spectrometry for the direct identification of clinical pathogens from urine
- The R219K polymorphism of the ATP binding cassette subfamily A member 1 gene and susceptibility to ischemic stroke in Chinese population
- miR-92 regulates the proliferation, migration, invasion and apoptosis of glioma cells by targeting neogenin
- Clinicopathological features of programmed cell death-ligand 1 expression in patients with oral squamous cell carcinoma
- NF2 inhibits proliferation and cancer stemness in breast cancer
- Body composition indices and cardiovascular risk in type 2 diabetes. CV biomarkers are not related to body composition
- S100A6 promotes proliferation and migration of HepG2 cells via increased ubiquitin-dependent degradation of p53
- Review Article
- Focus on localized laryngeal amyloidosis: management of five cases
- Research Article
- NEAT1 aggravates sepsis-induced acute kidney injury by sponging miR-22-3p
- Pericentric inversion in chromosome 1 and male infertility
- Increased atherogenic index in the general hearing loss population
- Prognostic role of SIRT6 in gastrointestinal cancers: a meta-analysis
- The complexity of molecular processes in osteoarthritis of the knee joint
- Interleukin-6 gene −572 G > C polymorphism and myocardial infarction risk
- Case Report
- Severe anaphylactic reaction to cisatracurium during anesthesia with cross-reactivity to atracurium
- Research Article
- Rehabilitation training improves nerve injuries by affecting Notch1 and SYN
- Case Report
- Myocardial amyloidosis following multiple myeloma in a 38-year-old female patient: A case report
- Research Article
- Identification of the hub genes RUNX2 and FN1 in gastric cancer
- miR-101-3p sensitizes non-small cell lung cancer cells to irradiation
- Distinct functions and prognostic values of RORs in gastric cancer
- Clinical impact of post-mortem genetic testing in cardiac death and cardiomyopathy
- Efficacy of pembrolizumab for advanced/metastatic melanoma: a meta-analysis
- Review Article
- The role of osteoprotegerin in the development, progression and management of abdominal aortic aneurysms
- Research Article
- Identification of key microRNAs of plasma extracellular vesicles and their diagnostic and prognostic significance in melanoma
- miR-30a-3p participates in the development of asthma by targeting CCR3
- microRNA-491-5p protects against atherosclerosis by targeting matrix metallopeptidase-9
- Bladder-embedded ectopic intrauterine device with calculus
- Case Report
- Mycobacterial identification on homogenised biopsy facilitates the early diagnosis and treatment of laryngeal tuberculosis
- Research Article
- The will of young minors in the terminal stage of sickness: A case report
- Extended perfusion protocol for MS lesion quantification
- Identification of four genes associated with cutaneous metastatic melanoma
- Case Report
- Thalidomide-induced serious RR interval prolongation (longest interval >5.0 s) in multiple myeloma patient with rectal cancer: A case report
- Research Article
- Voluntary exercise and cardiac remodeling in a myocardial infarction model
- Electromyography as an intraoperative test to assess the quality of nerve anastomosis – experimental study on rats
- Case Report
- CT findings of severe novel coronavirus disease (COVID-19): A case report of Heilongjiang Province, China
- Commentary
- Directed differentiation into insulin-producing cells using microRNA manipulation
- Research Article
- Culture-negative infective endocarditis (CNIE): impact on postoperative mortality
- Extracorporeal shock wave therapy for the treatment of chronic pelvic pain syndrome
- Plasma microRNAs in human left ventricular reverse remodelling
- Bevacizumab for non-small cell lung cancer patients with brain metastasis: A meta-analysis
- Risk factors for cerebral vasospasm in patients with aneurysmal subarachnoid hemorrhage
- Problems and solutions of personal protective equipment doffing in COVID-19
- Evaluation of COVID-19 based on ACE2 expression in normal and cancer patients
- Review Article
- Gastroenterological complications in kidney transplant patients
- Research Article
- CXCL13 concentration in latent syphilis patients with treatment failure
- A novel age-biomarker-clinical history prognostic index for heart failure with reduced left ventricular ejection fraction
- Case Report
- Clinicopathological analysis of composite lymphoma: A two-case report and literature review
- Trastuzumab-induced thrombocytopenia after eight cycles of trastuzumab treatment
- Research Article
- Inhibition of vitamin D analog eldecalcitol on hepatoma in vitro and in vivo
- CCTs as new biomarkers for the prognosis of head and neck squamous cancer
- Effect of glucagon-like peptide-1 receptor agonists on adipokine level of nonalcoholic fatty liver disease in rats fed high-fat diet
- 72 hour Holter monitoring, 7 day Holter monitoring, and 30 day intermittent patient-activated heart rhythm recording in detecting arrhythmias in cryptogenic stroke patients free from arrhythmia in a screening 24 h Holter
- FOXK2 downregulation suppresses EMT in hepatocellular carcinoma
- Case Report
- Total parenteral nutrition-induced Wernicke’s encephalopathy after oncologic gastrointestinal surgery
- Research Article
- Clinical prediction for outcomes of patients with acute-on-chronic liver failure associated with HBV infection: A new model establishment
- Case Report
- Combination of chest CT and clinical features for diagnosis of 2019 novel coronavirus pneumonia
- Research Article
- Clinical significance and potential mechanisms of miR-223-3p and miR-204-5p in squamous cell carcinoma of head and neck: a study based on TCGA and GEO
- Review Article
- Hemoperitoneum caused by spontaneous rupture of hepatocellular carcinoma in noncirrhotic liver. A case report and systematic review
- Research Article
- Voltage-dependent anion channels mediated apoptosis in refractory epilepsy
- Prognostic factors in stage I gastric cancer: A retrospective analysis
- Circulating irisin is linked to bone mineral density in geriatric Chinese men
- Case Report
- A family study of congenital dysfibrinogenemia caused by a novel mutation in the FGA gene: A case report
- Research Article
- CBCT for estimation of the cemento-enamel junction and crestal bone of anterior teeth
- Case Report
- Successful de-escalation antibiotic therapy using cephamycins for sepsis caused by extended-spectrum beta-lactamase-producing Enterobacteriaceae bacteremia: A sequential 25-case series
- Research Article
- Influence factors of extra-articular manifestations in rheumatoid arthritis
- Assessment of knowledge of use of electronic cigarette and its harmful effects among young adults
- Predictive factors of progression to severe COVID-19
- Procedural sedation and analgesia for percutaneous trans-hepatic biliary drainage: Randomized clinical trial for comparison of two different concepts
- Acute chemoradiotherapy toxicity in cervical cancer patients
- IGF-1 regulates the growth of fibroblasts and extracellular matrix deposition in pelvic organ prolapse
- NANOG regulates the proliferation of PCSCs via the TGF-β1/SMAD pathway
- An immune-relevant signature of nine genes as a prognostic biomarker in patients with gastric carcinoma
- Computer-aided diagnosis of skin cancer based on soft computing techniques
- MiR-1225-5p acts as tumor suppressor in glioblastoma via targeting FNDC3B
- miR-300/FA2H affects gastric cancer cell proliferation and apoptosis
- Hybrid treatment of fibroadipose vascular anomaly: A case report
- Surgical treatment for common hepatic aneurysm. Original one-step technique
- Neuropsychiatric symptoms, quality of life and caregivers’ burden in dementia
- Predictor of postoperative dyspnea for Pierre Robin Sequence infants
- Long non-coding RNA FOXD2-AS1 promotes cell proliferation, metastasis and EMT in glioma by sponging miR-506-5p
- Analysis of expression and prognosis of KLK7 in ovarian cancer
- Circular RNA circ_SETD2 represses breast cancer progression via modulating the miR-155-5p/SCUBE2 axis
- Glial cell induced neural differentiation of bone marrow stromal cells
- Case Report
- Moraxella lacunata infection accompanied by acute glomerulonephritis
- Research Article
- Diagnosis of complication in lung transplantation by TBLB + ROSE + mNGS
- Case Report
- Endometrial cancer in a renal transplant recipient: A case report
- Research Article
- Downregulation of lncRNA FGF12-AS2 suppresses the tumorigenesis of NSCLC via sponging miR-188-3p
- Case Report
- Splenic abscess caused by Streptococcus anginosus bacteremia secondary to urinary tract infection: a case report and literature review
- Research Article
- Advances in the role of miRNAs in the occurrence and development of osteosarcoma
- Rheumatoid arthritis increases the risk of pleural empyema
- Effect of miRNA-200b on the proliferation and apoptosis of cervical cancer cells by targeting RhoA
- LncRNA NEAT1 promotes gastric cancer progression via miR-1294/AKT1 axis
- Key pathways in prostate cancer with SPOP mutation identified by bioinformatic analysis
- Comparison of low-molecular-weight heparins in thromboprophylaxis of major orthopaedic surgery – randomized, prospective pilot study
- Case Report
- A case of SLE with COVID-19 and multiple infections
- Research Article
- Circular RNA hsa_circ_0007121 regulates proliferation, migration, invasion, and epithelial–mesenchymal transition of trophoblast cells by miR-182-5p/PGF axis in preeclampsia
- SRPX2 boosts pancreatic cancer chemoresistance by activating PI3K/AKT axis
- Case Report
- A case report of cervical pregnancy after in vitro fertilization complicated by tuberculosis and a literature review
- Review Article
- Serrated lesions of the colon and rectum: Emergent epidemiological data and molecular pathways
- Research Article
- Biological properties and therapeutic effects of plant-derived nanovesicles
- Case Report
- Clinical characterization of chromosome 5q21.1–21.3 microduplication: A case report
- Research Article
- Serum calcium levels correlates with coronary artery disease outcomes
- Rapunzel syndrome with cholangitis and pancreatitis – A rare case report
- Review Article
- A review of current progress in triple-negative breast cancer therapy
- Case Report
- Peritoneal-cutaneous fistula successfully treated at home: A case report and literature review
- Research Article
- Trim24 prompts tumor progression via inducing EMT in renal cell carcinoma
- Degradation of connexin 50 protein causes waterclefts in human lens
- GABRD promotes progression and predicts poor prognosis in colorectal cancer
- The lncRNA UBE2R2-AS1 suppresses cervical cancer cell growth in vitro
- LncRNA FOXD3-AS1/miR-135a-5p function in nasopharyngeal carcinoma cells
- MicroRNA-182-5p relieves murine allergic rhinitis via TLR4/NF-κB pathway