Abstract
Rapunzel syndrome, defined by the presence of a trichobezoar extending from the stomach to the small intestine, is a rare cause of intestinal obstruction. It usually presents with vague symptoms; however, it can also present with complications such as perforation, peritonitis and obstructive jaundice. We report a rare case of a 37-year-old woman with Rapunzel syndrome complicated by acute cholangitis and pancreatitis and analyse the diagnosis and management of this complicated pathology. Although she reported a history of trichotillomania and trichophagia, she had been asymptomatic for ten years. We review the steps of diagnosis, highlighting the importance of a thorough clinical history and detailed examination, with supporting evidence from the contrast-enhanced computed tomography (CECT) scan. She was successfully managed with gastrotomy and trichobezoar removal. She had an uneventful postoperative recovery and was discharged after psychiatric counselling. To our knowledge, this is the first case of Rapunzel syndrome in a young female presenting with both cholangitis and pancreatitis.
1 Introduction
Rapunzel syndrome is a rare entity defined by the presence of a trichobezoar that extends from the stomach to the small intestine. Named after the fairy-tale Rapunzel, where the titular character has long hair, the first case was described in 1968 [1]. Since then, there have been around 110 cases reported. Bezoars are concretions in the gastrointestinal tract, which increase in size as they accumulate more nonabsorbable fibres. The most common type of bezoar seen mostly in females in the paediatric age group is a trichobezoar, which is a concretion of hair from external sources that amalgamate over the years. It is usually associated with psychiatric conditions such as trichotillomania, trichophagia and pica [2].
Patients are generally asymptomatic until the bezoar becomes very large and causes intestinal obstruction. Over 70% of the cases are females younger than 20 years and present with nausea, vomiting, pain and abdominal distension [3]. Very rarely, it presents with complications such as gastric perforation (10%), intussusception (1.8%) or cholangitis (<0.9%) [4]. We present a case of Rapunzel syndrome with both pancreatitis and cholangitis, seen in a young female. To the best of our knowledge, this is the first case of Rapunzel syndrome with both complications of cholangitis and pancreatitis.
2 Case report
A 37-year-old female patient presented to us with complaints of continuous, dull abdominal pain for six months. She reported an acute exacerbation of the epigastric pain with radiation to the back for five days. She had a history of fever for the past five days with a maximal temperature of 101°F, for which she was treated with acetaminophen tablets (500 mg). Additional complaints included halitosis and early satiety. Ten years ago, she was diagnosed with trichotillomania with anxiety and trichophagia. She reported receiving behavioural therapy and medication (sertraline 50 mg/day) for about one year, following which she had no recurrence of symptoms and was not on any medication. She had no history of pica or any eating disorders.
The height and weight of the patient were 162 cm and 54 kg, respectively, and the body mass index was 20.6. On clinical examination, she had icterus. Abdominal examination revealed a mobile mass in the epigastrium extending to the right hypochondrium with visible gastric peristalsis. Abdominal ultrasound showed a large heteroechoic intragastric mass. Upper gastrointestinal endoscopy revealed that her entire stomach was filled with hair and the scope could not be negotiated into the duodenum. Laboratory investigations revealed increased bilirubin levels (5.2 mg/dL) and elevated total leukocyte count (17,200 cells per μL). The lipase (550 IU/L; normal – 0–160 IU/L) and amylase (450 IU/L; normal – 30–110 IU/L) levels were increased. The AST and ALT levels were 53 U/L (normal – 5–40 U/L) and 58 U/L (7–50 U/L), respectively. The ALP level was 158 U/L (normal 45–115 U/L), and the GGT level was 150 U/L (normal 9–48 U/L). ESR was also elevated at 50 mm/h, and the CRP levels were not evaluated.
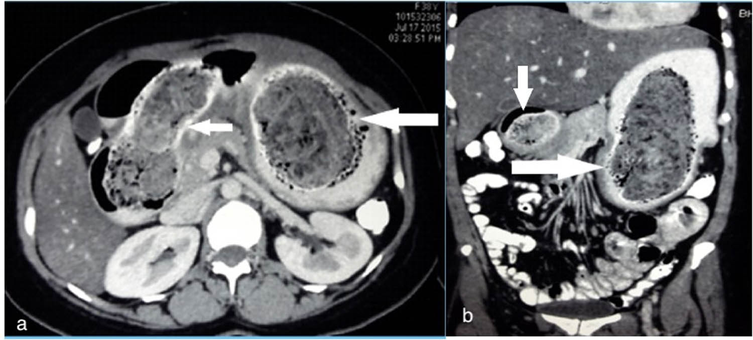
The contrast-enhanced computed tomography (CECT) scan revealed an intraluminal mottled mass of mesh-like appearance occupying the entire stomach and extending beyond the second part of the duodenum, delineated by the oral contrast circumferentially, suggestive of a trichobezoar (Figure 1). The lack of any findings of biliary dilation or the presence of gallstones on the ultrasound further narrowed down the diagnosis.

Axial (a) and coronal (b) CT scan image showing a non-homogenous non-enhancing mass with a mottled appearance within the lumen of the stomach (large arrow) first and second part of duodenum (small arrow).
Hence, due to evidence on the CT scan, a preoperative diagnosis of a trichobezoar was made. The large size and high density of the bezoar made fragmentation and removal by endoscopy, a high-risk procedure with high chances of failure. Failure of endoscopy could cause fragmentation and dislocation of parts of the bezoar. Written informed consent was obtained from the patient to perform the surgery, after a clear presentation of all available treatment options.
Given the large size of the trichobezoar and the presence of cholangitis and pancreatitis, the patient was scheduled for surgery. The abdomen was entered by a midline incision. The anterior gastrotomy was done between stay sutures which revealed a large, entangled mass of hair in the stomach with the tail extending to the second part of the duodenum (Figure 2). The tail of the trichobezoar was found to be obstructing the Ampulla of Vater, which confirmed the diagnosis of Rapunzel syndrome with complications of acute cholangitis and pancreatitis (Table 1). The trichobezoar was removed in-toto without peritoneal contamination (Figure 3). She had an uneventful postoperative recovery and was discharged after detailed psychiatric counselling. She was also advised regular follow-up, and three years later, the patient reports no complications. At the three years of follow-up (2019), informed consent was obtained from the patient for this study.

Panels (a and b) showing anterior gastrotomy and removal of the large trichobezoar extending from the stomach to the second part of duodenum
Review of Rapunzel Syndrome cases complicated by pancreatitis and biliary obstruction
| S. no. | Study | Age of patient | Presenting features | Complications | Management | Status |
|---|---|---|---|---|---|---|
| 1 | Jones et al. [19] | 37-year-old female | Abdominal pain, loss of appetite, constipation | Small bowel obstruction Pancreatitis | Laparotomy | Alive |
| 2 | Jalali et al. [20] | 17-year-old female | Intermittent bilious vomiting, mid-epigastric to right upper quadrant abdominal pain, weight loss | Esophagitis, gastritis, mild pancreatitis | Laparoscopic gastrotomy | Alive |
| 3 | Salem et al. [21] | 22-year-old female | Epigastric pain, vomiting, recent history of vaginal delivery | Pancreatitis | Emergency laparotomy | Alive |
| 4 | Kohler et al. [22] | 16-year-old male | Severe abdominal pain with radiation to back | Pancreatitis | Laparotomy | Alive |
| 5 | Dayasiri et al. [10] | 14-year-old female | Fever, abdominal pain, vomiting worsening on eating | Acute pancreatitis and hypoalbuminemia | Laparotomy with combined gastrotomy and enterotomy | Alive |
| 6 | Hamilton et al. [23] | 12-year-old female | Fatigue, nausea, decreased appetite, abdominal pain, vomiting, loss of weight | Biliary obstruction | Biliary sphincterotomy and laparotomy | Alive |
| 7 | Chogle et al. [24] | 3-year-old female | Cramping abdominal pain, vomiting, loss of weight | Biliary obstruction causing cholestasis | Laparotomy | Alive |
| 8 | Kim et al. [25] | 75-year-old female | epigastric pain, nausea and vomiting | Acute pancreatitis and subsequent biliary obstruction | Laparotomy | Alive |
| 9 | Shawis et al. [26] | 14-year-old female | Severe abdominal pain, bilious vomiting, bloody stool | Transient pancreatitis | Laparotomy | Alive |
| 10 | Vellaisamy et al. | 37-year-old female | Acute exacerbation of abdominal pain radiating to the back, fever, halitosis, early satiety | Pancreatitis and acute cholangitis | Laparotomy | Alive |

Specimen showing the removed trichobezoar casted in the shape of the stomach and the duodenum.
3 Discussion
Trichobezoars are conglomerations of hair that accumulate in the gastrointestinal tract. Trichobezoars are usually present in the stomach. Rarely, there might be an extension into the small intestine called Rapunzel syndrome presenting with intestinal obstruction, as seen in our case [1]. First reported in 1968, there have been less than 110 cases reported all over the world as per a recent review [5]. The majority of the cases are seen in patients younger than 20 years, with one of the largest case series reporting an average age of 5–23 years, therefore this case a relatively late presentation at 37 years [6].
This condition remains asymptomatic for a long time with symptoms appearing only in the late stages. Symptoms are very vague, such as abdominal pain (46.66%), nausea and vomiting (44.44%), obstruction (20%), abdominal distension (8.88%) and weight loss (8.88%) [7]. The clinical and radiological features help us narrow the diagnosis (Table 2).
Clinical and radiological differential diagnoses
| Differential diagnosis | Clinical findings | Radiologic findings |
|---|---|---|
| Phytobezoars | Non-specific, loss of appetite, nausea, vomiting; examination shows epigastric mass, relevant history | Intraluminal mass with air bubbles and site of the obstruction on CT |
| Gastrointestinal stromal tumour | Silent until large. Nonspecific symptoms – abdominal pain, fatigue, dyspepsia, nausea, anorexia, weight loss, fever and obstruction. | Exophytic mass arising from wall of hollow viscus, with ulceration and necrosis confirmed by CT |
| Choledocholithiasis | Biliary colic, jaundice, fever, nausea, vomiting, loss of appetite, pain radiating to back (pancreatitis), Murphy sign positive | USG showing opacity and dilated bile ducts, CECT shows central density and surrounding attenuation |
| Gastric carcinoma | Pain, nausea, vomiting due to outlet obstruction and early satiety. Examination may show visible gastric peristalsis | CT shows polypoid mass with ulceration, focal thicken of wall and mucosal irregularity |
| Trichobezoar | Nausea, pain, vomiting with or without complications of perforation, pancreatitis, cholangitis | CT scan shows intraluminal mottled mass of mesh-like appearance in the epigastrium (can extend in Rapunzel Syndrome) |
| Internal hernia | Vague epigastric colicky pain, nausea, vomiting, constipation, abdominal distension | CT scan shows encapsulation of bowel loops, obstruction presenting as dilation and stasis |
Majority of the patients have a psychiatric history of trichotillomania, trichophagia or pica (consumption of non-nutritive substances like ice, usually accompanied by iron deficiency anaemia) [8]. It is estimated that 1 in 2,000 children suffer from trichotillomania, but it is severely underdiagnosed [8]. However, this history is very difficult to elicit upon initial presentation unless it is specifically asked for ref. [9]. Therefore, in female patients with no other apparent causes of pain, a history of these psychiatric illness plays a major role in the diagnosis. In cases where the history is not apparent, careful examination of the scalp for patchy alopecia might aid in the diagnosis.
In a very small number of cases, it goes undetected for a long period of time causing biliary or pancreatic obstruction, gastric perforation or intussusception. Pancreatitis due to obstruction of Ampulla of Vater by the bezoar has been reported in only four cases of Rapunzel syndrome thus far ref. [10]. Irritation by the bezoar tail extending into the duodenum causes oedema and obstruction of the drainage of bile which was first reported by Schreiber et al. [11]. Derangement of liver enzymes, acute cholangitis and cholestasis are some of the rare biliary complications caused by the bezoar [11]. Based on a review of over 20 years – this is the only case of Rapunzel syndrome in a woman, with complications of both acute cholangitis and pancreatitis. Severe malnutrition and enteropathy are also seen in some cases as the mass prevents the absorption of nutrients in the stomach and small intestine [12].
Ultrasound may show an echogenic mass, but a CT scan is the diagnostic tool of choice since it provides a clear image of the bezoar delineated by the contrast dye, as seen in our case (Figure 1) [13]. Endoscopy also shows a large concretion of hair which is putrid and foul-smelling due to decomposition and fermentation of fats.
Treatment depends on size and location. Successful management involves complete removal as well as ensuring the prevention of recurrence. Previous literature shows that only small bezoars can be successfully removed by endoscopy. There is still a risk of esophagitis and perforation, which is higher with large bezoars [14]. For giant bezoars with invasion into the duodenum, gastrotomy is the first-line treatment as it reports the least complications, recurrence and also allows screening for satellite lesions [15,16]. Due to the large size of the bezoar and the complications involved, endoscopic removal posed a higher risk as it was nearly impossible to fragment and remove the entire bezoar successfully. Intraoperatively, we noticed the bezoar tail obstructing the Ampulla of Vater, confirming our suspected diagnosis. Some cases of gastric trichobezoar can be managed laparoscopically as stated by Yau et al. as it allows for a shorter postoperative stay and a smaller scar, yet the risk of intrabdominal spillage and incomplete removal are concerns [16,17]. In the largest review of the management of trichobezoars, 100 of 108 patients (92.5%) were treated by laparotomy, with only a 12% complication rate making it the treatment of choice for trichobezoars especially in Rapunzel syndrome [15]. The main goal is to prevent recurrence and hence proper psychiatric counselling and follow-up is of utmost importance, as highlighted by our case. Although malpractice claims in India are far fewer than those in the United States and other Western countries, they are on the rise with the recent addition of high compensation awards for negligence [18]. With this background, a detailed written informed consent was obtained from the patient before surgery, as well as before the submission of the case report after all advantages and disadvantages were clearly described. However, to date, there have been no reports of medicolegal cases with diagnoses of Rapunzel syndrome.
The case reveals that Rapunzel syndrome can have varied, often non-specific presentations as well as a myriad of complications such as cholangitis and pancreatitis, and it must be high on the differential diagnosis for patients with a psychiatric history.
4 Conclusions
Rapunzel syndrome is a very rare condition usually seen in young females with trichotillomania and trichophagia. Hence, we report a rare case of Rapunzel syndrome presenting with both acute cholangitis and pancreatitis. A history of psychiatric illness, a thorough clinical examination and confirmation of the diagnosis using investigations is key to making an accurate diagnosis. Surgical removal is the first line treatment for giant bezoars and is associated with the least complications. Hence, when a female patient with a history of psychiatric illness presents with features of intestinal obstruction, a high clinical suspicion must be held for trichobezoar, and regular post-operative psychiatric counselling is of utmost importance to prevent a recurrence.
Acknowledgements
None.
Conflict of interest: The authors have no conflict of interest to declare.
Human rights statement and informed consent: All procedures followed were in accordance with the ethical standards of the responsible committee on human experimentation (institutional and national) and with the Helsinki Declaration of 1964 and later versions. Informed consent was obtained from the patient for the study after explaining all advantages and disadvantages, with no revelation of personal information.
References
[1] Vaughan ED, Sawyers JL, Scott HW. The Rapunzel syndrome: an unusual complication of intestinal bezoar. Surgery. 1968;63(2):339–43.Search in Google Scholar
[2] Obinwa O, Cooper D, Khan F, O’Riordan JM. Rapunzel syndrome is not just a mere surgical problem: a case report and review of current management. World J Clin Cases. 2017;5(2):50–5.10.12998/wjcc.v5.i2.50Search in Google Scholar
[3] Tripodi V, Caruso A, Luraghi M, Armao FT, Bisagni P, Romano S, et al. Paediatric gastric trichobezoar: the Rapunzel syndrome A report of two cases. Ann Ital Chir. 2020;9:9.Search in Google Scholar
[4] Ahmad Z, Sharma A, Ahmed M, Vatti V. Trichobezoar causing gastric perforation: a case report. Iran J Med Sci. 2016;41(1):67–70.Search in Google Scholar
[5] Janssen-Aguilar R, Rochel-Pérez A, Cuevas-Koh OJ, Santos-Zaldivar KD, Rodríguez-Cuevas M, Inurreta-Díaz MJ, et al. Systematic review of Rapunzel Syndrome. Rev Biomed. 2020;31(1):38–57.10.32776/revbiomed.v30i3.678Search in Google Scholar
[6] Fallon SC, Slater BJ, Larimer EL, Brandt ML, Lopez ME. The surgical management of Rapunzel syndrome: a case series and literature review. J Pediatr Surg. 2013;48(4):830–4.10.1016/j.jpedsurg.2012.07.046Search in Google Scholar
[7] Khan AA, Alam T, Faizi R, Maroof S. Trichobezoar: case report. Eurorad. 2015. https://www.eurorad.org/case/12986 (Accessed on June 17th 2020).Search in Google Scholar
[8] Cannalire G, Conti L, Celoni M, Grassi C, Cella A, Bensi G, et al. Rapunzel syndrome: An infrequent cause of severe iron deficiency anemia and abdominal pain presenting to the pediatric emergency department. BMC Pediatr. 2018;18(1):125.10.1186/s12887-018-1097-8Search in Google Scholar
[9] Kumar M, Maletha M, Bhuddi S, Kumari R. Rapunzel syndrome in a 3-year-old boy: A menace too early to present. J Indian Assoc Pediatr Surg. 2020;25(2):112–4.10.4103/jiaps.JIAPS_1_19Search in Google Scholar
[10] Dayasiri K, Rodrigues A, Lee A. Rapunzel syndrome presenting as acute pancreatitis, hypoproteinaemia and subsequent distal intestinal obstruction. J Pediatr Surg Case Rep. 2020;59:101507. 10.1016/j.epsc.2020.101507, (accessed on June 17th 2020)Search in Google Scholar
[11] Schreiber H, Filston HC. Obstructive jaundice due to gastric trichobezoar. J Pediatr Surg. 1976;11(1):103–4.10.1016/0022-3468(76)90182-2Search in Google Scholar
[12] Ullah W, Saleem K, Ahmad E, Anwer F. Rapunzel syndrome: a rare cause of hypoproteinaemia and review of literature. BMJ Case Rep. 2016;2016:bcr2016216600. 10.1136/bcr2016216600.Search in Google Scholar
[13] Dong ZH, Yin F, Du SL, Mo ZH. Giant gastroduodenal trichobezoar: a case report. World J Clin Cases. 2019;7(21):3649–54.10.12998/wjcc.v7.i21.3649Search in Google Scholar PubMed PubMed Central
[14] Bilommi R. Rapunzel syndrome: a case report. J Pediatr Surg Case Rep. 2017;21:33–5.10.1016/j.epsc.2017.04.005Search in Google Scholar
[15] Gorter RR, Kneepkens CM, Mattens EC, Aronson DC, Heij HA. Management of trichobezoar: case report and literature review. Pediatr Surg Int. 2010;26(5):457–63.10.1007/s00383-010-2570-0Search in Google Scholar
[16] Harikrishnan S, Perumal S, Sachanandani K, Thiruvarul M, Sugumar C, Sathyanesan J, et al. A modified laparoscopic technique for the removal of nonfragmentable giant gastric trichobezoar. Niger J Surg. 2020;26(1):84–7.10.4103/njs.NJS_20_19Search in Google Scholar
[17] Yau KK, Siu WT, Law BK, Cheung HY, Ha JP, Li MK. Laparoscopic approach compared with conventional open approach for bezoar-induced small-bowel obstruction. Arch Surg. 2005;140(10):972–5.10.1001/archsurg.140.10.972Search in Google Scholar
[18] Chandra MS, Math SB. Progress in medicine: compensation and medical negligence in India: does the system need a quick fix or an overhaul? Ann Indian Acad Neurol. 2016;19(Suppl 1):S21–27.10.4103/0972-2327.192887Search in Google Scholar
[19] Jones GC, Coutinho K, Anjaria D, Hussain N, Dholakia R. Treatment of recurrent Rapunzel syndrome and trichotillomania: case report and literature review. Psychosomatics. 2010;51:443–6.10.1016/S0033-3182(10)70728-3Search in Google Scholar
[20] Koushk Jalali B, Bingöl A, Reyad A. Laparoscopic management of acute pancreatitis secondary to Rapunzel syndrome. Case Rep Surg. 2016;2016:7638504. doi: 10.1155/2016/7638504.10.1155/2016/7638504Search in Google Scholar PubMed PubMed Central
[21] Salem M, Fouda R, Fouda U, Maadawy ME, Ammar H. Rapunzel and pregnancy. South Med J. 2009;102:106–7.10.1097/SMJ.0b013e31818987b9Search in Google Scholar PubMed
[22] Kohler E, Millie M, Neuger E. Trichobezoar causing pancreatitis: first reported case of Rapunzel syndrome in a boy in North America. J Pediatr Surg. 2012;47:17–9.10.1016/j.jpedsurg.2011.11.002Search in Google Scholar PubMed
[23] Hamilton EC, Kramer RE, Roach JP. Rapunzel syndrome presenting as biliary obstruction. J Pediatr Surg Case Rep. 2018;35:32–4.10.1016/j.epsc.2018.05.015Search in Google Scholar
[24] Chogle A, Bonilla S, Brown M, Madonna MB, Parsons W, Donaldson J, et al. Rapunzel Syndrome: A rare cause of biliary obstruction. J Pediatr Gastr Nutr. 2010;51(4):522–3.10.1097/MPG.0b013e3181cb950aSearch in Google Scholar PubMed
[25] Kim JH, Chang JH, Nam SM, Lee MJ, Maeng IH, Park JY, et al. Duodenal obstruction following acute pancreatitis caused by a large duodenal diverticular bezoar. World J Gastroenterol. 2012;18:5485–8.10.3748/wjg.v18.i38.5485Search in Google Scholar PubMed PubMed Central
[26] Shawis RN, Doig CM. Gastric trichobezoar associated with transient pancreatitis. Arch Dis Child. 1984;59(10):994–5.10.1136/adc.59.10.994Search in Google Scholar PubMed PubMed Central
© 2020 Rajendran Vellaisamy et al., published by De Gruyter
This work is licensed under the Creative Commons Attribution 4.0 International License.
Articles in the same Issue
- Research Article
- MicroRNA-451b participates in coronary heart disease by targeting VEGFA
- Case Report
- A combination therapy for Kawasaki disease with severe complications: a case report
- Vitamin E for prevention of biofilm-caused Healthcare-associated infections
- Research Article
- Differential diagnosis: retroperitoneal fibrosis and oncological diseases
- Optimization of the Convolutional Neural Networks for Automatic Detection of Skin Cancer
- NEAT1 promotes LPS-induced inflammatory injury in macrophages by regulating miR-17-5p/TLR4
- Plasma matrix metalloproteinase-9 and tissue inhibitor of matrix metalloproteinase-1 as prognostic biomarkers in critically ill patients
- Effects of extracorporeal magnetic stimulation in fecal incontinence
- Case Report
- Mixed germ cell tumor of the endometrium: a case report and literature review
- Bowel perforation after ventriculoperitoneal-shunt placement: case report and review of the literature
- Research Article
- Prognostic value of lncRNA HOTAIR in colorectal cancer : a meta-analysis
- Case Report
- Treatment of insulinomas by laparoscopic radiofrequency ablation: case reports and literature review
- Research Article
- The characteristics and nomogram for primary lung papillary adenocarcinoma
- Undiagnosed pheochromocytoma presenting as a pancreatic tumor: A case report
- Bioinformatics Analysis of the Expression of ATP binding cassette subfamily C member 3 (ABCC3) in Human Glioma
- Diagnostic value of recombinant heparin-binding hemagglutinin adhesin protein in spinal tuberculosis
- Primary cutaneous DLBCL non-GCB type: challenges of a rare case
- LINC00152 knock-down suppresses esophageal cancer by EGFR signaling pathway
- Case Report
- Life-threatening anaemia in patient with hereditary haemorrhagic telangiectasia (Rendu-Osler-Weber syndrome)
- Research Article
- QTc interval predicts disturbed circadian blood pressure variation
- Shoulder ultrasound in the diagnosis of the suprascapular neuropathy in athletes
- The number of negative lymph nodes is positively associated with survival in esophageal squamous cell carcinoma patients in China
- Differentiation of pontine infarction by size
- RAF1 expression is correlated with HAF, a parameter of liver computed tomographic perfusion, and may predict the early therapeutic response to sorafenib in advanced hepatocellular carcinoma patients
- LncRNA ZEB1-AS1 regulates colorectal cancer cells by miR-205/YAP1 axis
- Tissue coagulation in laser hemorrhoidoplasty – an experimental study
- Classification of pathological types of lung cancer from CT images by deep residual neural networks with transfer learning strategy
- Enhanced Recovery after Surgery for Lung Cancer Patients
- Case Report
- Streptococcus pneumoniae-associated thrombotic microangiopathy in an immunosuppressed adult
- Research Article
- The characterization of Enterococcus genus: resistance mechanisms and inflammatory bowel disease
- Case Report
- Inflammatory fibroid polyp: an unusual cause of abdominal pain in the upper gastrointestinal tract A case report
- Research Article
- microRNA-204-5p participates in atherosclerosis via targeting MMP-9
- LncRNA LINC00152 promotes laryngeal cancer progression by sponging miR-613
- Can keratin scaffolds be used for creating three-dimensional cell cultures?
- miRNA-186 improves sepsis induced renal injury via PTEN/PI3K/AKT/P53 pathway
- Case Report
- Delayed bowel perforation after routine distal loopogram prior to ileostomy closure
- Research Article
- Diagnostic accuracy of MALDI-TOF mass spectrometry for the direct identification of clinical pathogens from urine
- The R219K polymorphism of the ATP binding cassette subfamily A member 1 gene and susceptibility to ischemic stroke in Chinese population
- miR-92 regulates the proliferation, migration, invasion and apoptosis of glioma cells by targeting neogenin
- Clinicopathological features of programmed cell death-ligand 1 expression in patients with oral squamous cell carcinoma
- NF2 inhibits proliferation and cancer stemness in breast cancer
- Body composition indices and cardiovascular risk in type 2 diabetes. CV biomarkers are not related to body composition
- S100A6 promotes proliferation and migration of HepG2 cells via increased ubiquitin-dependent degradation of p53
- Review Article
- Focus on localized laryngeal amyloidosis: management of five cases
- Research Article
- NEAT1 aggravates sepsis-induced acute kidney injury by sponging miR-22-3p
- Pericentric inversion in chromosome 1 and male infertility
- Increased atherogenic index in the general hearing loss population
- Prognostic role of SIRT6 in gastrointestinal cancers: a meta-analysis
- The complexity of molecular processes in osteoarthritis of the knee joint
- Interleukin-6 gene −572 G > C polymorphism and myocardial infarction risk
- Case Report
- Severe anaphylactic reaction to cisatracurium during anesthesia with cross-reactivity to atracurium
- Research Article
- Rehabilitation training improves nerve injuries by affecting Notch1 and SYN
- Case Report
- Myocardial amyloidosis following multiple myeloma in a 38-year-old female patient: A case report
- Research Article
- Identification of the hub genes RUNX2 and FN1 in gastric cancer
- miR-101-3p sensitizes non-small cell lung cancer cells to irradiation
- Distinct functions and prognostic values of RORs in gastric cancer
- Clinical impact of post-mortem genetic testing in cardiac death and cardiomyopathy
- Efficacy of pembrolizumab for advanced/metastatic melanoma: a meta-analysis
- Review Article
- The role of osteoprotegerin in the development, progression and management of abdominal aortic aneurysms
- Research Article
- Identification of key microRNAs of plasma extracellular vesicles and their diagnostic and prognostic significance in melanoma
- miR-30a-3p participates in the development of asthma by targeting CCR3
- microRNA-491-5p protects against atherosclerosis by targeting matrix metallopeptidase-9
- Bladder-embedded ectopic intrauterine device with calculus
- Case Report
- Mycobacterial identification on homogenised biopsy facilitates the early diagnosis and treatment of laryngeal tuberculosis
- Research Article
- The will of young minors in the terminal stage of sickness: A case report
- Extended perfusion protocol for MS lesion quantification
- Identification of four genes associated with cutaneous metastatic melanoma
- Case Report
- Thalidomide-induced serious RR interval prolongation (longest interval >5.0 s) in multiple myeloma patient with rectal cancer: A case report
- Research Article
- Voluntary exercise and cardiac remodeling in a myocardial infarction model
- Electromyography as an intraoperative test to assess the quality of nerve anastomosis – experimental study on rats
- Case Report
- CT findings of severe novel coronavirus disease (COVID-19): A case report of Heilongjiang Province, China
- Commentary
- Directed differentiation into insulin-producing cells using microRNA manipulation
- Research Article
- Culture-negative infective endocarditis (CNIE): impact on postoperative mortality
- Extracorporeal shock wave therapy for the treatment of chronic pelvic pain syndrome
- Plasma microRNAs in human left ventricular reverse remodelling
- Bevacizumab for non-small cell lung cancer patients with brain metastasis: A meta-analysis
- Risk factors for cerebral vasospasm in patients with aneurysmal subarachnoid hemorrhage
- Problems and solutions of personal protective equipment doffing in COVID-19
- Evaluation of COVID-19 based on ACE2 expression in normal and cancer patients
- Review Article
- Gastroenterological complications in kidney transplant patients
- Research Article
- CXCL13 concentration in latent syphilis patients with treatment failure
- A novel age-biomarker-clinical history prognostic index for heart failure with reduced left ventricular ejection fraction
- Case Report
- Clinicopathological analysis of composite lymphoma: A two-case report and literature review
- Trastuzumab-induced thrombocytopenia after eight cycles of trastuzumab treatment
- Research Article
- Inhibition of vitamin D analog eldecalcitol on hepatoma in vitro and in vivo
- CCTs as new biomarkers for the prognosis of head and neck squamous cancer
- Effect of glucagon-like peptide-1 receptor agonists on adipokine level of nonalcoholic fatty liver disease in rats fed high-fat diet
- 72 hour Holter monitoring, 7 day Holter monitoring, and 30 day intermittent patient-activated heart rhythm recording in detecting arrhythmias in cryptogenic stroke patients free from arrhythmia in a screening 24 h Holter
- FOXK2 downregulation suppresses EMT in hepatocellular carcinoma
- Case Report
- Total parenteral nutrition-induced Wernicke’s encephalopathy after oncologic gastrointestinal surgery
- Research Article
- Clinical prediction for outcomes of patients with acute-on-chronic liver failure associated with HBV infection: A new model establishment
- Case Report
- Combination of chest CT and clinical features for diagnosis of 2019 novel coronavirus pneumonia
- Research Article
- Clinical significance and potential mechanisms of miR-223-3p and miR-204-5p in squamous cell carcinoma of head and neck: a study based on TCGA and GEO
- Review Article
- Hemoperitoneum caused by spontaneous rupture of hepatocellular carcinoma in noncirrhotic liver. A case report and systematic review
- Research Article
- Voltage-dependent anion channels mediated apoptosis in refractory epilepsy
- Prognostic factors in stage I gastric cancer: A retrospective analysis
- Circulating irisin is linked to bone mineral density in geriatric Chinese men
- Case Report
- A family study of congenital dysfibrinogenemia caused by a novel mutation in the FGA gene: A case report
- Research Article
- CBCT for estimation of the cemento-enamel junction and crestal bone of anterior teeth
- Case Report
- Successful de-escalation antibiotic therapy using cephamycins for sepsis caused by extended-spectrum beta-lactamase-producing Enterobacteriaceae bacteremia: A sequential 25-case series
- Research Article
- Influence factors of extra-articular manifestations in rheumatoid arthritis
- Assessment of knowledge of use of electronic cigarette and its harmful effects among young adults
- Predictive factors of progression to severe COVID-19
- Procedural sedation and analgesia for percutaneous trans-hepatic biliary drainage: Randomized clinical trial for comparison of two different concepts
- Acute chemoradiotherapy toxicity in cervical cancer patients
- IGF-1 regulates the growth of fibroblasts and extracellular matrix deposition in pelvic organ prolapse
- NANOG regulates the proliferation of PCSCs via the TGF-β1/SMAD pathway
- An immune-relevant signature of nine genes as a prognostic biomarker in patients with gastric carcinoma
- Computer-aided diagnosis of skin cancer based on soft computing techniques
- MiR-1225-5p acts as tumor suppressor in glioblastoma via targeting FNDC3B
- miR-300/FA2H affects gastric cancer cell proliferation and apoptosis
- Hybrid treatment of fibroadipose vascular anomaly: A case report
- Surgical treatment for common hepatic aneurysm. Original one-step technique
- Neuropsychiatric symptoms, quality of life and caregivers’ burden in dementia
- Predictor of postoperative dyspnea for Pierre Robin Sequence infants
- Long non-coding RNA FOXD2-AS1 promotes cell proliferation, metastasis and EMT in glioma by sponging miR-506-5p
- Analysis of expression and prognosis of KLK7 in ovarian cancer
- Circular RNA circ_SETD2 represses breast cancer progression via modulating the miR-155-5p/SCUBE2 axis
- Glial cell induced neural differentiation of bone marrow stromal cells
- Case Report
- Moraxella lacunata infection accompanied by acute glomerulonephritis
- Research Article
- Diagnosis of complication in lung transplantation by TBLB + ROSE + mNGS
- Case Report
- Endometrial cancer in a renal transplant recipient: A case report
- Research Article
- Downregulation of lncRNA FGF12-AS2 suppresses the tumorigenesis of NSCLC via sponging miR-188-3p
- Case Report
- Splenic abscess caused by Streptococcus anginosus bacteremia secondary to urinary tract infection: a case report and literature review
- Research Article
- Advances in the role of miRNAs in the occurrence and development of osteosarcoma
- Rheumatoid arthritis increases the risk of pleural empyema
- Effect of miRNA-200b on the proliferation and apoptosis of cervical cancer cells by targeting RhoA
- LncRNA NEAT1 promotes gastric cancer progression via miR-1294/AKT1 axis
- Key pathways in prostate cancer with SPOP mutation identified by bioinformatic analysis
- Comparison of low-molecular-weight heparins in thromboprophylaxis of major orthopaedic surgery – randomized, prospective pilot study
- Case Report
- A case of SLE with COVID-19 and multiple infections
- Research Article
- Circular RNA hsa_circ_0007121 regulates proliferation, migration, invasion, and epithelial–mesenchymal transition of trophoblast cells by miR-182-5p/PGF axis in preeclampsia
- SRPX2 boosts pancreatic cancer chemoresistance by activating PI3K/AKT axis
- Case Report
- A case report of cervical pregnancy after in vitro fertilization complicated by tuberculosis and a literature review
- Review Article
- Serrated lesions of the colon and rectum: Emergent epidemiological data and molecular pathways
- Research Article
- Biological properties and therapeutic effects of plant-derived nanovesicles
- Case Report
- Clinical characterization of chromosome 5q21.1–21.3 microduplication: A case report
- Research Article
- Serum calcium levels correlates with coronary artery disease outcomes
- Rapunzel syndrome with cholangitis and pancreatitis – A rare case report
- Review Article
- A review of current progress in triple-negative breast cancer therapy
- Case Report
- Peritoneal-cutaneous fistula successfully treated at home: A case report and literature review
- Research Article
- Trim24 prompts tumor progression via inducing EMT in renal cell carcinoma
- Degradation of connexin 50 protein causes waterclefts in human lens
- GABRD promotes progression and predicts poor prognosis in colorectal cancer
- The lncRNA UBE2R2-AS1 suppresses cervical cancer cell growth in vitro
- LncRNA FOXD3-AS1/miR-135a-5p function in nasopharyngeal carcinoma cells
- MicroRNA-182-5p relieves murine allergic rhinitis via TLR4/NF-κB pathway
Articles in the same Issue
- Research Article
- MicroRNA-451b participates in coronary heart disease by targeting VEGFA
- Case Report
- A combination therapy for Kawasaki disease with severe complications: a case report
- Vitamin E for prevention of biofilm-caused Healthcare-associated infections
- Research Article
- Differential diagnosis: retroperitoneal fibrosis and oncological diseases
- Optimization of the Convolutional Neural Networks for Automatic Detection of Skin Cancer
- NEAT1 promotes LPS-induced inflammatory injury in macrophages by regulating miR-17-5p/TLR4
- Plasma matrix metalloproteinase-9 and tissue inhibitor of matrix metalloproteinase-1 as prognostic biomarkers in critically ill patients
- Effects of extracorporeal magnetic stimulation in fecal incontinence
- Case Report
- Mixed germ cell tumor of the endometrium: a case report and literature review
- Bowel perforation after ventriculoperitoneal-shunt placement: case report and review of the literature
- Research Article
- Prognostic value of lncRNA HOTAIR in colorectal cancer : a meta-analysis
- Case Report
- Treatment of insulinomas by laparoscopic radiofrequency ablation: case reports and literature review
- Research Article
- The characteristics and nomogram for primary lung papillary adenocarcinoma
- Undiagnosed pheochromocytoma presenting as a pancreatic tumor: A case report
- Bioinformatics Analysis of the Expression of ATP binding cassette subfamily C member 3 (ABCC3) in Human Glioma
- Diagnostic value of recombinant heparin-binding hemagglutinin adhesin protein in spinal tuberculosis
- Primary cutaneous DLBCL non-GCB type: challenges of a rare case
- LINC00152 knock-down suppresses esophageal cancer by EGFR signaling pathway
- Case Report
- Life-threatening anaemia in patient with hereditary haemorrhagic telangiectasia (Rendu-Osler-Weber syndrome)
- Research Article
- QTc interval predicts disturbed circadian blood pressure variation
- Shoulder ultrasound in the diagnosis of the suprascapular neuropathy in athletes
- The number of negative lymph nodes is positively associated with survival in esophageal squamous cell carcinoma patients in China
- Differentiation of pontine infarction by size
- RAF1 expression is correlated with HAF, a parameter of liver computed tomographic perfusion, and may predict the early therapeutic response to sorafenib in advanced hepatocellular carcinoma patients
- LncRNA ZEB1-AS1 regulates colorectal cancer cells by miR-205/YAP1 axis
- Tissue coagulation in laser hemorrhoidoplasty – an experimental study
- Classification of pathological types of lung cancer from CT images by deep residual neural networks with transfer learning strategy
- Enhanced Recovery after Surgery for Lung Cancer Patients
- Case Report
- Streptococcus pneumoniae-associated thrombotic microangiopathy in an immunosuppressed adult
- Research Article
- The characterization of Enterococcus genus: resistance mechanisms and inflammatory bowel disease
- Case Report
- Inflammatory fibroid polyp: an unusual cause of abdominal pain in the upper gastrointestinal tract A case report
- Research Article
- microRNA-204-5p participates in atherosclerosis via targeting MMP-9
- LncRNA LINC00152 promotes laryngeal cancer progression by sponging miR-613
- Can keratin scaffolds be used for creating three-dimensional cell cultures?
- miRNA-186 improves sepsis induced renal injury via PTEN/PI3K/AKT/P53 pathway
- Case Report
- Delayed bowel perforation after routine distal loopogram prior to ileostomy closure
- Research Article
- Diagnostic accuracy of MALDI-TOF mass spectrometry for the direct identification of clinical pathogens from urine
- The R219K polymorphism of the ATP binding cassette subfamily A member 1 gene and susceptibility to ischemic stroke in Chinese population
- miR-92 regulates the proliferation, migration, invasion and apoptosis of glioma cells by targeting neogenin
- Clinicopathological features of programmed cell death-ligand 1 expression in patients with oral squamous cell carcinoma
- NF2 inhibits proliferation and cancer stemness in breast cancer
- Body composition indices and cardiovascular risk in type 2 diabetes. CV biomarkers are not related to body composition
- S100A6 promotes proliferation and migration of HepG2 cells via increased ubiquitin-dependent degradation of p53
- Review Article
- Focus on localized laryngeal amyloidosis: management of five cases
- Research Article
- NEAT1 aggravates sepsis-induced acute kidney injury by sponging miR-22-3p
- Pericentric inversion in chromosome 1 and male infertility
- Increased atherogenic index in the general hearing loss population
- Prognostic role of SIRT6 in gastrointestinal cancers: a meta-analysis
- The complexity of molecular processes in osteoarthritis of the knee joint
- Interleukin-6 gene −572 G > C polymorphism and myocardial infarction risk
- Case Report
- Severe anaphylactic reaction to cisatracurium during anesthesia with cross-reactivity to atracurium
- Research Article
- Rehabilitation training improves nerve injuries by affecting Notch1 and SYN
- Case Report
- Myocardial amyloidosis following multiple myeloma in a 38-year-old female patient: A case report
- Research Article
- Identification of the hub genes RUNX2 and FN1 in gastric cancer
- miR-101-3p sensitizes non-small cell lung cancer cells to irradiation
- Distinct functions and prognostic values of RORs in gastric cancer
- Clinical impact of post-mortem genetic testing in cardiac death and cardiomyopathy
- Efficacy of pembrolizumab for advanced/metastatic melanoma: a meta-analysis
- Review Article
- The role of osteoprotegerin in the development, progression and management of abdominal aortic aneurysms
- Research Article
- Identification of key microRNAs of plasma extracellular vesicles and their diagnostic and prognostic significance in melanoma
- miR-30a-3p participates in the development of asthma by targeting CCR3
- microRNA-491-5p protects against atherosclerosis by targeting matrix metallopeptidase-9
- Bladder-embedded ectopic intrauterine device with calculus
- Case Report
- Mycobacterial identification on homogenised biopsy facilitates the early diagnosis and treatment of laryngeal tuberculosis
- Research Article
- The will of young minors in the terminal stage of sickness: A case report
- Extended perfusion protocol for MS lesion quantification
- Identification of four genes associated with cutaneous metastatic melanoma
- Case Report
- Thalidomide-induced serious RR interval prolongation (longest interval >5.0 s) in multiple myeloma patient with rectal cancer: A case report
- Research Article
- Voluntary exercise and cardiac remodeling in a myocardial infarction model
- Electromyography as an intraoperative test to assess the quality of nerve anastomosis – experimental study on rats
- Case Report
- CT findings of severe novel coronavirus disease (COVID-19): A case report of Heilongjiang Province, China
- Commentary
- Directed differentiation into insulin-producing cells using microRNA manipulation
- Research Article
- Culture-negative infective endocarditis (CNIE): impact on postoperative mortality
- Extracorporeal shock wave therapy for the treatment of chronic pelvic pain syndrome
- Plasma microRNAs in human left ventricular reverse remodelling
- Bevacizumab for non-small cell lung cancer patients with brain metastasis: A meta-analysis
- Risk factors for cerebral vasospasm in patients with aneurysmal subarachnoid hemorrhage
- Problems and solutions of personal protective equipment doffing in COVID-19
- Evaluation of COVID-19 based on ACE2 expression in normal and cancer patients
- Review Article
- Gastroenterological complications in kidney transplant patients
- Research Article
- CXCL13 concentration in latent syphilis patients with treatment failure
- A novel age-biomarker-clinical history prognostic index for heart failure with reduced left ventricular ejection fraction
- Case Report
- Clinicopathological analysis of composite lymphoma: A two-case report and literature review
- Trastuzumab-induced thrombocytopenia after eight cycles of trastuzumab treatment
- Research Article
- Inhibition of vitamin D analog eldecalcitol on hepatoma in vitro and in vivo
- CCTs as new biomarkers for the prognosis of head and neck squamous cancer
- Effect of glucagon-like peptide-1 receptor agonists on adipokine level of nonalcoholic fatty liver disease in rats fed high-fat diet
- 72 hour Holter monitoring, 7 day Holter monitoring, and 30 day intermittent patient-activated heart rhythm recording in detecting arrhythmias in cryptogenic stroke patients free from arrhythmia in a screening 24 h Holter
- FOXK2 downregulation suppresses EMT in hepatocellular carcinoma
- Case Report
- Total parenteral nutrition-induced Wernicke’s encephalopathy after oncologic gastrointestinal surgery
- Research Article
- Clinical prediction for outcomes of patients with acute-on-chronic liver failure associated with HBV infection: A new model establishment
- Case Report
- Combination of chest CT and clinical features for diagnosis of 2019 novel coronavirus pneumonia
- Research Article
- Clinical significance and potential mechanisms of miR-223-3p and miR-204-5p in squamous cell carcinoma of head and neck: a study based on TCGA and GEO
- Review Article
- Hemoperitoneum caused by spontaneous rupture of hepatocellular carcinoma in noncirrhotic liver. A case report and systematic review
- Research Article
- Voltage-dependent anion channels mediated apoptosis in refractory epilepsy
- Prognostic factors in stage I gastric cancer: A retrospective analysis
- Circulating irisin is linked to bone mineral density in geriatric Chinese men
- Case Report
- A family study of congenital dysfibrinogenemia caused by a novel mutation in the FGA gene: A case report
- Research Article
- CBCT for estimation of the cemento-enamel junction and crestal bone of anterior teeth
- Case Report
- Successful de-escalation antibiotic therapy using cephamycins for sepsis caused by extended-spectrum beta-lactamase-producing Enterobacteriaceae bacteremia: A sequential 25-case series
- Research Article
- Influence factors of extra-articular manifestations in rheumatoid arthritis
- Assessment of knowledge of use of electronic cigarette and its harmful effects among young adults
- Predictive factors of progression to severe COVID-19
- Procedural sedation and analgesia for percutaneous trans-hepatic biliary drainage: Randomized clinical trial for comparison of two different concepts
- Acute chemoradiotherapy toxicity in cervical cancer patients
- IGF-1 regulates the growth of fibroblasts and extracellular matrix deposition in pelvic organ prolapse
- NANOG regulates the proliferation of PCSCs via the TGF-β1/SMAD pathway
- An immune-relevant signature of nine genes as a prognostic biomarker in patients with gastric carcinoma
- Computer-aided diagnosis of skin cancer based on soft computing techniques
- MiR-1225-5p acts as tumor suppressor in glioblastoma via targeting FNDC3B
- miR-300/FA2H affects gastric cancer cell proliferation and apoptosis
- Hybrid treatment of fibroadipose vascular anomaly: A case report
- Surgical treatment for common hepatic aneurysm. Original one-step technique
- Neuropsychiatric symptoms, quality of life and caregivers’ burden in dementia
- Predictor of postoperative dyspnea for Pierre Robin Sequence infants
- Long non-coding RNA FOXD2-AS1 promotes cell proliferation, metastasis and EMT in glioma by sponging miR-506-5p
- Analysis of expression and prognosis of KLK7 in ovarian cancer
- Circular RNA circ_SETD2 represses breast cancer progression via modulating the miR-155-5p/SCUBE2 axis
- Glial cell induced neural differentiation of bone marrow stromal cells
- Case Report
- Moraxella lacunata infection accompanied by acute glomerulonephritis
- Research Article
- Diagnosis of complication in lung transplantation by TBLB + ROSE + mNGS
- Case Report
- Endometrial cancer in a renal transplant recipient: A case report
- Research Article
- Downregulation of lncRNA FGF12-AS2 suppresses the tumorigenesis of NSCLC via sponging miR-188-3p
- Case Report
- Splenic abscess caused by Streptococcus anginosus bacteremia secondary to urinary tract infection: a case report and literature review
- Research Article
- Advances in the role of miRNAs in the occurrence and development of osteosarcoma
- Rheumatoid arthritis increases the risk of pleural empyema
- Effect of miRNA-200b on the proliferation and apoptosis of cervical cancer cells by targeting RhoA
- LncRNA NEAT1 promotes gastric cancer progression via miR-1294/AKT1 axis
- Key pathways in prostate cancer with SPOP mutation identified by bioinformatic analysis
- Comparison of low-molecular-weight heparins in thromboprophylaxis of major orthopaedic surgery – randomized, prospective pilot study
- Case Report
- A case of SLE with COVID-19 and multiple infections
- Research Article
- Circular RNA hsa_circ_0007121 regulates proliferation, migration, invasion, and epithelial–mesenchymal transition of trophoblast cells by miR-182-5p/PGF axis in preeclampsia
- SRPX2 boosts pancreatic cancer chemoresistance by activating PI3K/AKT axis
- Case Report
- A case report of cervical pregnancy after in vitro fertilization complicated by tuberculosis and a literature review
- Review Article
- Serrated lesions of the colon and rectum: Emergent epidemiological data and molecular pathways
- Research Article
- Biological properties and therapeutic effects of plant-derived nanovesicles
- Case Report
- Clinical characterization of chromosome 5q21.1–21.3 microduplication: A case report
- Research Article
- Serum calcium levels correlates with coronary artery disease outcomes
- Rapunzel syndrome with cholangitis and pancreatitis – A rare case report
- Review Article
- A review of current progress in triple-negative breast cancer therapy
- Case Report
- Peritoneal-cutaneous fistula successfully treated at home: A case report and literature review
- Research Article
- Trim24 prompts tumor progression via inducing EMT in renal cell carcinoma
- Degradation of connexin 50 protein causes waterclefts in human lens
- GABRD promotes progression and predicts poor prognosis in colorectal cancer
- The lncRNA UBE2R2-AS1 suppresses cervical cancer cell growth in vitro
- LncRNA FOXD3-AS1/miR-135a-5p function in nasopharyngeal carcinoma cells
- MicroRNA-182-5p relieves murine allergic rhinitis via TLR4/NF-κB pathway