Multiresponsive carboxylated graphene oxide-grafted aptamer as a multifunctional nanocarrier for targeted delivery of chemotherapeutics and bioactive compounds in cancer therapy
-
Fatemeh Yaghoubi
, Seyed Morteza Naghib , Najmeh Sadat Hosseini Motlagh , Fateme Haghiralsadat , Hossein Zarei Jaliani , Davood Tofighi and Ali Moradi
Abstract
To date, the use of nanocarriers has been developed in various fields, especially in cancer treatment. Graphene oxide (GO) is a novel drug delivery system that eagerly attracts the attention of many researchers due to its unique features. For the first time, a biocompatible AS1411 APT-GO-COOH was synthesized for the co-delivery of chemotherapeutics and herbal drugs. Here, a human gastric adenocarcinoma cell line (AGS) was targeted with aptamer-carboxylated graphene oxide (APT-CGO) containing anticancer drugs (curcumin (CUR) and doxorubicin (DOX)). The current study aimed to assess the anti-cancer effect of combination therapy, as well as target genes and proteins interfering in the development of gastric cancer. After attachment of APT to CGO, the drugs (CUR and DOX) were loaded on the carrier, establishing a co-delivery system. Then, physical characteristics, release profile, cytotoxicity assay, cellular uptake, expression rates of the genes (RB1, CDK2, AKT, and NF-KB) and proteins (RB1, CDK2), and the apoptosis rate were determined. The designed co-delivery system for the drugs (CUR and DOX) and APT showed a thermo- and pH-sensitive drug release behavior that successfully reduced the expression of CDK2, AKT, and NF-KB while it enhanced RB1 expression at the gene and protein levels. Also, APT-CGO-drugs were successfully targeted to the AGS cell line, leading to a highly inhibitory property against this cell line compared to CGO-drugs. It seems that the co-delivery of CUR and DOX along with APT as a targeting agent was more effective than CGO-drugs, suggesting a promising candidate for the treatment of gastric cancer. The results showed that this biofunctionalized nanocarrier could reduce the cytotoxicity of the drugs in normal cells and could increase efficiency.
1 Introduction
Despite common strategies for the treatment of cancer (surgery, chemotherapy, and radiotherapy), it remains a major cause of morbidity and mortality worldwide [1,2]. Although the efficiency of chemotherapy has been proved in recent years, the serious obstacle is its side effects on normal cells and toxicity [3]. Also, extensive heterogeneity of tumor cells and drug resistance count as other obstacles in cancer treatment, which cause the efflux of anticancer agents from cancer cells [4]. In fact, heterogeneity is derived from DNA instability and epigenetic differences of tumor cells, leading to diverse responses to therapy. Therefore, combination therapy can be applied as an effective strategy due to targeting several pathways of cancer cells [5]. Nanotechnology and bioactive nanomaterials established a revolution in biomedicine and biotechnology [6,7,8,9,10]. Nanocarriers have attracted the attention of many researchers in the last few years [11,12,13], owing to their great advantages such as reducing the systemic toxicity of the loaded drugs, as well as their ability to deliver several drugs, simultaneously [14,15,16,17,18].
Doxorubicin (DOX), a common chemotherapeutic agent [19,20,21], causes DNA double-helical breaks that inhibit the growth of tumor cells and induce apoptosis [22]. A single use of free DOX in the elimination of cancer cells is ineffective due to its broad side effects including cardiotoxicity, myelosuppression, elimination of the normal cells, and premature inactivation [23]. Owing to the anti-cancer properties of plant-derived compounds, they are widely used as effective agents in the treatment of various cancers. Curcumin (CUR) is a flavonoid found in herbal remedies and dietary turmeric that possesses anti-inflammatory, anti-oxidant, and anti-cancerous properties [24]. Moreover, CUR is a polyphenol extracted from Curcuma longa in 1815, which has acquired much consideration of researchers in the world for its bioactivities including antiviral, antimicrobial, anti-inflammatory, and antioxidant activities (for treatment of several chronic diseases such as cancers, neurodegenerative diseases, obesity, liver disease, metabolic syndrome, arthritis, and inflammation). The antitumor capability of CUR has been much discussed recently and still is still widely researched [25]. CUR acts through several cell signaling pathways, including inflammation (IL-1, IL-6, NF-kB, COX-2, and 5-LOX), proliferation (HER-2, AP-1, and EGFR), apoptosis (reduction of anti-apoptotic gene and activation of caspases) and angiogenesis (VEGF) [26]. In response to DNA damage, the RB1 gene activates cell cycle arrest by controlling the transition from G1/G0- to S-phase in the cell cycle [27].
Low absorption and solubility, fast metabolism, and rapid removal of CUR from the body are some restrictions in the administration of CUR [28,29]. Therefore, multiple nanocarriers have been developed in the last decades to overcome such limitations. The high capacity for the high loading of different molecules, such as metals and biomolecules through the planar structure of graphene, makes it a suitable nanocarrier. Graphene oxide (GO) can not only carry small drug molecules and macromolecules but also carry either hydrophilic or hydrophobic substances due to its bipolar groups. These excellent properties and high biocompatibility made GO a promising candidate for medical applications [30]. For enhancing the biocompatibility and solubility of GO, the functionalization of GO was conducted via the addition of some groups, such as carboxyl [31]. Safety, efficacy and higher biocompatibility of drugs loaded onto GO-COOH have been shown in previous studies [32,33].
Wu et al. showed more cytotoxicity of GO/DOX compared to pure DOX against human multiple myeloma cells [34]. Another study evaluated the release profile of CUR from PEGylated GO, which was dependent on pH, and the release increased in a basic environment [35]. Also, co-loading of CUR and Paclitaxel on polymer-functionalized reduced GO showed a synergistic effect and was highly potent against A549, MDA-MB-231, and lung cancer cells [36].
This study aimed to target the AGS cell line by APT AS1411 and to improve the cytotoxicity effect of CUR by co-delivery with DOX. As a result, the cytotoxicity effect, cellular uptake, expression rates of RB1, AKT, NF-KB, and CDK2 genes, expression rates of RB1 and CDK2 proteins, and flow cytometry analysis have been studied (Scheme 1).

Illustration of the synthesis procedure of the functionalized GO (APT-CGO) and its application in cancer therapy.
2 Materials and methods
2.1 Reagents
PBS tablets, dialysis bag (MW¼ 12 kDa), MTT (3-(4,5-dimethylthiazol-2-yl)-2,5-diphenyl tetrazolium bromide), DMSO (dimethyl sulfoxide), and CUR (purity >65%) were obtained from Sigma-Aldrich (St Louis, MO, USA). DOX was supplied from Ebewe Pharma (Australia). DAPI (40, 6-diamidino-2-phenylindole) and DIL stain (1,10-dioctadecyl-3,3,30,30-tetramethylindocarbocyanine perchlorate) were purchased from Thermo Fisher Scientific (Waltham, MA, USA). GO was purchased from GrapheneX. The sequences of AS1411 was HEX-5′-(GGTGGTGGTGGTTGTGGTGGTGGTGG)-3′-NH2 purchased from Pishgam (Iran). Actin, RB, and CDK2 mouse monoclonal antibody were supplied from Santa Cruz (Texas, USA). Annexin V-FITC/propidium iodide (PI) apoptosis detection kit was supplied from Abcam (Cambridge, UK).
2.2 Morphological characterization
The zeta potential of CGO and APT-CGO was evaluated by Brookhaven Corp Instruments (Holtsville, NY, USA). Also, a scanning electron microscope (SEM) was used to observe the CGO structure. For this purpose, a thin layer of film was required that was produced by pouring 5 µL of suspension on a glass plate. Finally, the sample was coated with a gold layer and the images were captured by SEM (model EM3200, KYKY, China).
2.3 Preparation of GO-COOH
The following steps were applied to carboxylation of GO: sonication of GO (2 mg mL−1) for 1 h, addition of 72 mg of NaOH, stirring at room temperature for 4 h, addition of 0.4 mL of HCl (37% v/v), washing the suspension with deionized water, and centrifuging at 4,000 g for removing the salts [37].
2.4 Conjugation of APT to CGO
AS1411 APT was linked to CGO by the amide formation between –COOH group of GO and –NH2 section of APT, through coupling 1-ethyl-3-(3-dimethylaminopropyl)-carbodiimide (EDC) and N-hydroxysuccinimide (NHS). First, 1 mg mL−1 of CGO mixed with 5 mM EDC and 10 mM NHS in PBS at pH 7.4 were stirred for 3 h. Then, 500 µL of APT (1 µM) was added to the solution and stirred overnight at room temperature. Finally, APT-CGO was collected with centrifugation and washed three times with deionized water [38].
2.5 Preparation of a drug delivery system
For drug loading on the CGO, CUR (0.5 mg mL−1 in ethanol) and DOX (0.5 mg mL−1 in PBS) were mixed with CGO (1 mg mL−1), and stirred overnight at room temperature. For co-loading of drugs, CGO (1 mg mL−1) was mixed with CUR (0.5 mg mL−1) and DOX (0.5 mg mL−1) at the same ratio (1:1). Unbounded drugs were removed by centrifuging at 15,000g for 10 min, while a UV-Vis spectrophotometer (Epoch Box 998 America) was used to calculate their concentration by assessing the absorption of CUR and DOX at 430 and 480 nm, respectively. Ultimately, entrapment efficiency (EE%) was measured using the following equation:
2.6 Drug release assay
For assessing the release behavior of CUR and DOX from CGO, a 12 kDa cut-off dialysis tube containing drug loaded onto CGO, was immersed in PBS at pH 7.4 and 5.5 at 37°C and 42°C, while stirring for 72 h. At different time intervals, the dialysis solution (0.5 mL) was gathered for measuring its absorbance by the UV-Vis spectrophotometer, and substituted with fresh PBS (0.5 mL). According to the total loaded drug concentration, the percentage of release was evaluated at different times.
2.7 Cell culture assay
AGS cell line was supplied from Pasteur Institute (Tehran, Iran). The cells were cultured in DMEM (Gibco, Grand Island) containing penicillin–streptomycin (Gibco, Grand Island) and 10% fetal bovine serum (FBS) (Gibco Grand Island) under standard conditions (37°C and 5% CO2).
2.8 In vitro evaluation of cellular uptake
Fluorescence intensity was measured for detecting the distribution of the following formulations in the cells: APT-CGO, CGO-CUR, APT-CGO-CUR, CGO-DOX, APT-CGO-DOX, and APT-CGO-CUR-DOX. For this purpose, the cells were cultured in a 6-well plate (1.5 × 105 per well). After 24 h, the cells were incubated with the listed formulations for 3 h. Then, the cells were washed and fixed with PBS (pH 7.4) and 95% ethanol solution, respectively. Ultimately, the cells were stained with DAPI (1 mg mL−1), and the images were recorded using a fluorescence microscope (Olympus, Japan).
2.9 Cytotoxicity study
MTT assay was applied to measure IC50 doses of blank GO-COOH (62.5, 125, 250, 500, and 1,000 µM), free DOX, APT-CGO-DOX (0.31, 0.625, 1.25, 2.5, 5, and 10 µg mL−1), free CUR and APT-CGO-CUR (3.9, 7.8, 15.6, 31.25, 62.5, and 125 µg mL−1) after 48 h. Also, IC50 of the combination form of drugs on CGO was calculated at different concentrations (4.1, 8.125, 16.25, 32.5, 65, and 130 µg mL−1). The content of wells was removed when incubation of each well was executed with 90 µL of themedium and 10 µL of MTT (5 mg mL−1) for 3 h. Afterward, the formazan crystals were dissolved in DMSO. Finally, an EPOCH spectrophotometer (Bio-Tek, Winooski) was used for measuring the absorbance of the samples at 570 nm.
2.10 Real-time PCR
Assessment of the expression of RB1 and CDK2 genes involved in the cell cycle, AKT1 involved in the signal transduction, and NF-KB involved in the cell survival, was performed by Real time PCR. The AGS cell line was seeded in a 6-well plate, and 150,000 cells per well were incubated with free CUR, free DOX, free CUR-DOX, APT-CGO-CUR, APT-CGO-DOX, and APT-CGO-CUR-DOX. The medium was removed after 48 h and washed with PBS. RNX-Plus extraction kit was used for extraction of total RNA. Consequently, cDNA synthesis was performed using the Parstous cDNA synthesis kit. Then, quantitative real-time PCR was performed through specific primers for CDK2, AKT1, RB1, NF-KB genes and Beta-actin (a housekeeping gene), and Yekta-tajhiz master mix. The following protocol was used for the synthesis of cDNA (for 40 cycles): 95°C for 1 min, 95°C for 5 s, 60°C for 20 s, 72°C for 10 s, and 72°C for 2 min. Finally, the rate expression of CDK2, AKT1, RB1, and NF-KB genes was assessed using the 2−ΔΔCT method. The primer sequences of the related genes are shown in Table 1.
The primer sequences of real-time PCR
| Gene | Forward (5ʹ-3ʹ) | Reverse (5ʹ-3ʹ) | Product length (bp) |
|---|---|---|---|
| Beta-actin | CGCGAGAAGATGACCCAGATC | GATAGCACAGCCTGGATAGCAAC | 77 |
| RB1 | CAGAAGCCATTGAAATCTACCTC | GGTGTGCTGGAAAAGGGTCC | 147 |
| CDK2 | GCTTTTGGAGTCCCTGTTCG | GGTCCCCAGAGTCCGAAAGA | 111 |
| AKT1 | TCTATGGCGCTGAGATTGTG | CTTAATGTGCCCGTCCTTGT | 113 |
| NF-KB | TACTCTGGCGCAGAAATTAGGTC | CTGTCTCGGAGCTCGTCTATTTG | 157 |
2.11 Western blot analysis
AGS cells were seeded in a 6-well plate and allowed to reach 80% confluence. Then, the cells were treated with free APT, free CUR, free DOX, free CUR-DOX, APT-CGO, CGO-CUR, APT-CGO-CUR, CGO-DOX, APT-CGO-DOX, and APT-CGO-CUR-DOX for 48 h. The cells were lysed with RIPA buffer, and their protein concentration was calculated by Bradford assay. Then, 10% SDS-PAGE was applied for 50 µg of samples. After at least 2 h, the bands were transferred into a nitrocellulose membrane that was incubated with 5% BSA for 1 h at room temperature to stop nonspecific binding. Then, 1:1,000 dilution of every β-actin, RB, and CDK2 primary antibody were incubated with the membranes overnight at 4°C. A horseradish peroxidase-conjugated secondary antibody (1:2,000) was applied for probing the bands for 2 h at room temperature. Ultimately, the ECL kit (GE Healthcare) was used for the visualization by a chemiluminescence visualization system (Syngene GBOX Gel Documentation 680X).
2.12 Flow cytometry analysis
Cell apoptosis was evaluated with an Annexin V-FITC/PI apoptosis analysis kit. For this purpose, after culturing the cells in 6-well plates and reaching 80% confluence, the cells were treated with free APT, free CUR, free DOX, free CUR-DOX, APT-CGO, CGO-CUR, APT-CGO-CUR, CGO-DOX, APT-CGO-DOX, and APT-CGO-CUR-DOX. After 48 h, total cells were collected by trypsinization, centrifuged, and washed with PBS. Then, 100 µL of binding buffer was added and stained with Annexin V-FITC and PI. After 15 min, the rate of apoptotic cells was quantified with a flow cytometer (BD Biosciences, USA).
3 Results and discussion
3.1 Characterization
The surface morphology of CGO is depicted in Figure 1a, which shows the sheet layer and broad surface of CGO [39,40]. In the physiological system, surface charge expressed as zeta potential plays a key role in cellular interactions that is determined by dynamic light scattering (DLS). Indeed, the amount of zeta potential determines repulsion or attraction between the particles [41]. A higher positive or a negative value of zeta potential indicates greater stability (particles are dispersed). In contrast, at a lower value of zeta potential, aggregation is formed [42,43]. The negative zeta potential of CGO (−75.0 mV) was attributed to the presence of –COOH group on its surface (Figure 1b). After binding of APT, the charge level of CGO was increased from −75 to −42.9, which confirmed the binding of APT. Also, energy-dispersive X-ray analysis (EDX) was performed for determining the elemental compositions of CGO and APT-CGO. Due to the presence of nitrogen and phosphate elements in APT, the amount of these elements increased 3.5 and 10 times, respectively, in APT-CGO, rather than CGO, confirming successful binding of APT (Table 2).

(a) SEM images of CGO. (b) Zeta potential of CGO and APT-CGO. (c) FTIR of CGO and APT-CGO. (d) UV-Vis spectra of CUR, CGO, APT, APT-CGO, and APT-CGO-CUR. (e) UV-Vis spectra of DOX, CGO, APT, APT-CGO, and APT-CGO-DOX.
Zeta potential and EDX analysis of CGO and APT-CGO
| Zeta potential (mV) | EDX analysis | ||
|---|---|---|---|
| % N | % P | ||
| CGO | −75.0 | 3.6 | 0.06 |
| APT-CGO | −42.9 | 12.8 | 0.6 |
FTIR spectra of the prepared nanomaterials are shown in Figure 1c. The broad band of OH appeared at ∼3,240 cm−1, as well as a functional group of GO-COOH (C═C) appeared at ∼1,631 cm−1 [44]. Covalent conjugation of APT was confirmed by FTIR (Figure 1c). After conjugation with APT, the amide bond was formed at 1,725 cm−1 (C═O) and 1,382 cm−1 (C–N).
Figure 1d–e displays the UV-Vis spectra of free APT, free CUR, free DOX, APT-CGO, APT-CGO-CUR, CGO-DOX, and APT-CGO-DOX. The characteristic absorption peaks of free CGO, APT, and CUR appeared at 230, 260, and 430 nm, respectively, which were in good agreement with previous studies [38,39]. After conjugation of APT, an absorption peak appeared at 255 nm, while the related peak for CGO was absent, verifying the conjugation of A1 with GO. In APT-CGO/CUR, the specific peak of CUR appeared at 430 nm. Also, in APT-CGO/DOX, the maximum absorbance of DOX was observed at 480 nm.
3.2 Loading assay
The potency of CGO as sheet-like nanoparticles for co-delivery of the hydrophobic drug (CUR) and hydrophilic drug (DOX), which have shown an anticancer effect, was assessed [45,46]. The loading of CUR and DOX, in separate or combined form, was conducted by simple mixing of APT-CGO with CUR and DOX overnight. Then, unbound drugs were removed by centrifugation while loaded ones were measured by UV-vis absorbance at 430 and 480 nm for CUR and DOX, respectively. Although the loaded CUR and DOX were visible according to their colors (yellow and red, respectively), in fact, CUR and DOX were linked to APT-CGO via π–π stacking interactions, as reported previously [45,47]. The pH of CGO has a key role in the maximum loading of drugs. The pH of drugs is close to the pH of CGO (5.5–6) and so the higher loading is achieved. The % EE values of CUR and DOX were 80.8 and 88.4% in the separate form, while in the combined form, was 81.6 and 92.8%, respectively.
3.3 Release assay
The release profiles of CGO-CUR and APT-CGO-CUR or CGO-DOX and APT-CGO-DOX were similar, verifying that there was no effect of APT on the release rate of CUR and DOX. In general, cancerous cells have higher temperatures and lower pH than normal cells [48]. Indeed, the pH and temperature of the surrounded environment of nanocarriers have an impact on the rate of drug release. Therefore, pH 7.5/temperature 37°C and pH 5.5/temperature 42°C were selected for normal and cancer cells, respectively. Based on the obtained results, the designed formulation has shown thermo- and pH-sensitive properties. The highest release rates of CUR and DOX, in an acidic condition at pH 5.5 and a temperature of 42°C, were 14.97 and 81.36%, respectively (Figure 2). In fact, acidic pH enhances the solubility of CUR resulting in decreased interactions between the drug and CGO [49]. In contrast, the lowest release rate was attributed to physiological conditions. High temperatures weaken the π → π* bonds and at acidic pH, the amine (–NH2) groups of DOX would be protonated resulting in the decrease of hydrogen-bonding interaction [44]. As shown in Figure 2(c and d), the release of CUR and DOX renders in the combined form compared to the separate form. The obtained results were similar to those of Omidi et al., Malekmohammadi et al., and Pourjavadi et al. [43,50,51]. This thermo- and pH-sensitive drug release profile suggested a good advantage to enhance the drug release from nanocarriers for anticancer drug delivery applications, leading to increased therapeutic efficiency of the designed system.

The drug release profile of (a) CUR from APT-CGO-CUR, (b) DOX from APT-CGO-DOX, (c) CUR from APT-CGO-CUR and APT-CGO-CUR-DOX, and (d) DOX from APT-CGO-DOX and APT-CGO-CUR-DOX at pH 7.5, 37°C.
3.4 Cellular uptake assay
A targeted drug-delivery system must be able to target specific tumor cells. Nucleolin overexpressing cells, such as AGS, were targeted by AS1411, which was evaluated by a cellular uptake assay in vitro. In the current study, free DOX and CUR as well as loaded ones on APT-CGO were co-cultured with the AGS cell line. DIL, DiIC18, and DAPI (4′,6-diamidino-2-phenylindole) dyes were used for staining CGO and the nuclei of cancer cells, respectively. The successful delivery of APT-CGO, CGO-CUR, APT-CGO-CUR, CGO-DOX, APT-CGO-DOX, and APT-CGO-CUR-DOX are depicted in Figure 3. CUR, DOX, and APT were monitored as green, red, and orange fluorescence, respectively. The free form of the drugs showed fluorescence intensity similar to that of the loaded form. The free forms pass into the cells by two pathways: diffusion mechanism through the cell membrane, and endocytosis that is counted as a key route for the loaded drugs [52]. When the drugs are linked to CGO, weak fluorescence intensity is emitted because of quenching the property of CGO [53]. Although the solubility of CUR as a hydrophobic drug was enhanced through CGO, its release was low leading to weak fluorescence. These results are in good agreement with the results of Zhao et al., which have shown a similar cellular uptake for free CUR and CUR-loaded lipid-polymer hybrid nanoparticles [54].

Cellular uptake images of AGS cells, incubated with (a) APT-CGO, (b) APT-CGO-CUR, (c) APT-CGO-DOX, and (d) APT-CGO-CUR-DOX for 180 min. DAPI (blue) was used for nucleus staining.
3.5 Cytotoxicity assay
Although the use of chemotherapeutic agents plays a key role in the treatment of tumor cells, its efficacy has been limited due to broad side effects on noncancerous cells and drug resistance. In fact, cancer cells target multiple pathways to overcome chemotherapy. As a result, combination therapy is a good strategy to overcome drug resistance by targeting several pathways in tumorigenesis [5]. In the current study, CUR and DOX were loaded simultaneously on APT-CGO. The inhibitory effects of free CUR, free DOX, free CGO, APT-CGO, APT-CGO-CUR, APT-CGO-DOX, and APT-CGO-CUR-DOX on the AGS cell line were investigated using MTT assay (Figure 4). Figure 4a shows negligible cytotoxicity of CGOin a dose-dependent manner in the treatment of AGS (all formulations). As shown in Table 3, free CUR and DOX have lower IC50 values than that of the loaded form on CGO, while the IC50 values of APT-CGO-CUR, APT-CGO-DOX, and APT-CGO-CUR-DOX were very similar to those of free CUR and DOX. When CUR was accompanied with DOX, the cytotoxicity was increased demonstrating an enhancement in cancer treatment efficiency. Interestingly, the current result of the MTT assay was inconsistent with the result of release profiles, that is the cytotoxicity of free CUR and DOX was higher than those of CGO-CUR, CGO-DOX, and CGO-CUR-DOX. In the presence of APT, the toxicity of APT-CGO-CUR, APT-CGO-DOX, and APT-CGO-CUR-DOX was increased due to the targeting property of APT. Although nucleolin is not overexpressed on the surface of all kinds of tumor cells, developing a targeted drug delivery system based on GO, especially for carrying hydrophobic agents, maybe a good option for increasing the effectiveness of cancer treatment in nucleolin overexpressing cancer cells [55]. Previous studies have improved the efficacy of GO-conjugated PEG used for the delivery of paclitaxel in prostate cancer, nonsmall cell lung cancer (A549), and breast adenocarcinoma (MCF-7) [56,57]. Most anticancer drugs are not able to act on cancer cells specifically, leading to side effects on normal cells; subsequently, targeted drug delivery systems have been designed [58]. AS1411 has reached clinical trials (phases I and II) [59]. After attaching to nucleolin with high affinity, the targeted system can penetrate into some cancer cells such as breast, colorectal, prostate, AGS, and NSCLC [60,61,62]

Cytotoxicity analysis of (a) free CGO and APT-CGO in AGS after 48 h. (b) Different concentrations of free CUR and APT-CGO-CUR in AGS after 48 h. (c) Different concentrations of free DOX and APT-CGO-DOX in AGS after 48 h. (d) Different concentrations of free CUR-DOX and APT-CGO-CUR-DOX in AGS after 48 h.
IC50 values of DOX and CUR on AGS cells after 48 h
| IC50 (µM) | CUR | DOX | CUR-DOX | APT-CGO-CUR | APT-CGO-DOX | APT-CGO-CUR-DOX |
|---|---|---|---|---|---|---|
| AGS | 38.15 ± 3.69 | 0.88 ± 0.97 | 17.52 ± 2.80 | 44.50 ± 4.79 | 0.64 ± 0.70 | 14.02 ± 2.86 |
3.6 Real-time PCR
The current study evaluated the expression of RB1, CDK2, AKT1, and NF-KB genes, which were involved in different pathways, regulating the survival of cancer cells. As shown in Figure 5, all formulations of free CUR, free DOX, and APT-CGO-drugs reduced the expression of CDK2, AKT1, and NF-KB genes and increased the expression of RB1 in the treated cells. APT-CGO-CUR, APT-CGO-DOX, and APT-CGO-CUR-DOX have shown similar results to free CUR, free DOX, and free CUR-DOX, respectively. Increased expression of RB1 along with reduced expression of CDK2 monitors the arrest of cells at the G1 phase of the cell cycle. Previous studies displayed that CUR enhanced apoptotic cell death through downregulation of survivin and Bcl2 and upregulation of Bax [63,64]. Also, CUR can induce cell death by induction of ROS [65], suppressing NFKB [66], and activation of death receptors [67]. In another study, CUR decreased the expression of CCNE1, E2F1, and CDK2 while it increased the expression of PTEN inducing cell cycle arrest in the cells treated with CUR. Earlier studies have demonstrated a strong link between the upregulation of CDK inhibitors (p16, p21, and p27) and induction of cell cycle arrest and apoptosis [68,69]. Also, CUR has shown an anti-proliferative effect on Y79 RB cells via modulation of miR-26a and upregulation of Rb1 [70]. DOX can motivate two models of cell death by regulating Cdk2 kinase and Cdc2. A low dose of DOX induces cell death by transient activation of Cdk2 kinases, cyclin A, cyclin B, and Cdc2 1-day after the treatment. On the other hand, a high dose of DOX causes apoptosis by reducing Cdc2, Cdk2 kinase, cyclin A and cyclin B [71]. The phosphatidylinositol 3-kinase (PI3K)/AKT pathway involved in various cellular processes, including proliferation, survival, metabolism, growth, angiogenesis, and metastasis, was demonstrated in previous research studies [72]. This hyperactivated pathway plays a significant role in the pathogenesis of breast cancer and resistance to chemotherapy [73]. AKT activates NF-κB as its own subset by phosphorylating IκB kinase (IKK), resulting in the release of transcription factor NF-κB from IκB [74]. The hyper-activation of NF-κB has been diagnosed in many types of cancer, such as breast cancer and gastric cancer that suppresses apoptosis [75,76]. In the current study, downregulation of NF-κB in all treated cells may contribute to apoptosis.

Effect of free CUR, APT-CGO-CUR, free DOX, APT-CGO-DOX, free CUR-DOX, and APT-CGO-CUR-DOX on the expression of (a) RB1 (b) CDK2 (c) NF-KB (d) AKT1 in the AGS cell line after 48 h. Results are expressed as mean ± standard deviation: *p < 0.05; **p < 0.01; ***p < 0.001.
3.7 Western blot analysis
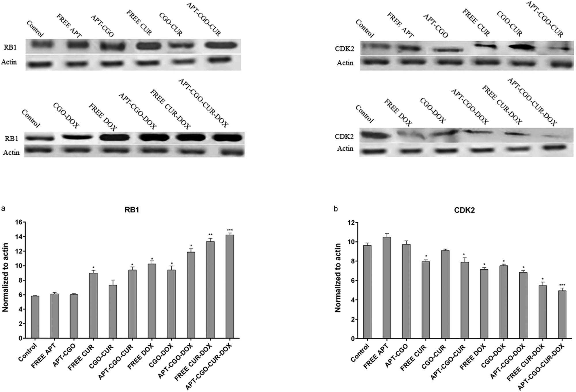
Real-time PCR and western blot analyses were conducted to measure the expression of RB1, CDK2, AKT1, NF-KB, RB1, and CDK2 at the levels of gene and protein, respectively. The effect of free APT, APT-CGO, free CUR, free DOX, free CUR-DOX, CGO-CUR, CGO-DOX, APT-CGO-CUR, APT-CGO-DOX, and APT-CGO-CUR-DOX on the expression level of RB1 and CDK2 were evaluated after 48 h (Figure 6). APT-CGO and CGO-CUR did not change the level of RB1 and CDK2 markedly, while free CUR, free DOX, free CUR-DOX, CGO-DOX, APT-CGO-CUR, APT-CGO-DOX, and APT-CGO-CUR-DOX remarkably increased the expression of RB1 compared to untreated controls. Also, the level of RB1 was not changed by free APT compared to APT-containing CGO. Co-delivery of free CUR-DOX by APT-CGO resulted in an enhanced level of RB1 compared to single- and free-form of CUR or APT. Interestingly, the results of western blot analysis were in agreement with the obtained result of RT-PCR (Figure 7).

Effect of different formulations on the protein levels of (a) RB1 and (b) CDK2.

Cell apoptosis evaluated with an Annexin V-FITC kit, after the treatment of cells for 48 h.
3.8 Apoptosis analysis
In the current study, the cytotoxicity of the drugs and APT-CGO delivery system was assayed not only by the MTT method but also by an alternative method, Annexin V-FITC/PI double staining. Before probing the cells with flow cytometry analysis, the cells were stained with Annexin VFITC or PI. Figure 7 shows the apoptotic rate of AGS cells. The living cells (FITC−/P− or double negative), late apoptotic cells (FITC+/PI+ or double-positive), early apoptotic cells (FITC+/PI−) and necrotic cells (FITC−/PI+) are depicted as Q4, Q3, Q2, and Q1, respectively, in the flow cytometry chart. The apoptosis rates of the cells treated with free APT and APT-CGO were 0.85 and 0.6%, respectively, which were similar to those of the untreated cells (0.79%) because, in this research, a low concentration of biocompatible GO was used. Therefore, the apoptotic effect of this system was negligible. Also, the apoptosis rates of the cells treated with free CUR and free DOX were 8.52 and 7.95% higher than those treated with CGO-CUR (0.89%) and CGO-DOX (4.42%), respectively. However, the apoptosis rate was increased to 9.12 and 13.5%, when the cells were treated with APT-CGO-CUR and APT-CGO-DOX, respectively. When DOX was co-delivered with CUR in free CUR-DOX, the rate of apoptosis was enhanced to 18.34%. Ultimately, the highest cell death rate in all groups was 20.82%, which belonged to APT-CGO-CUR-DOX. These results are consistent with the results of the MTT method. Ramasamy et al. co-delivered DOX and quercetin (QC) through pH-sensitive polypeptide-based nanocarriers. The results showed that QC increased the cytotoxic effect of DOX and induced cell apoptosis [77].
4 Conclusion
In this research, CGO as a suitable nanoparticle was selected due to its broad surface and bipolar properties, establishing the co-delivery of CUR and DOX in the AGS cell line. Although the release rate of CUR was less than 15%, the loading efficiency of CUR and DOX was favorable. The release profile was influenced by pH and temperature, which differentiated normal and cancer cells. MTT assay displayed that the IC50 values of the drugs loaded on CGO were higher than the free forms, resulting in more capability of drug loading and controlled release, as well as localized delivery, which, in turn, causes fewer side effects on noncancerous cells. When APT was added to CGO-drugs, the cytotoxicity was increased implying successful targeting of APT to cancer cells. The upregulation of RB1 and downregulation of CDK2, AKT1, and NF-KB genes displayed that cell cycle arrest occurred at the G1 phase. Therefore, the presented results suggested that APT-CGO-CUR-DOX was a promising platform for targeting and combination therapies to enhance the expression of RB1, and to decrease the expression of CDK2, AKT1 and NF-KB genes, and to induce apoptosis. Therefore, this thermosensitive and controlled release of the drug delivery system may be a great option for the treatment of gastric cancer. For enhancing the release rate of CUR and DOX, photodynamic and photothermal therapy can be used in future research work.
Acknowledgements
The authors thank the biochemistry department in Shahid Sadoughi University of Medical Sciences, Iran National Science Foundation, and Herbal Medicine Research Center for financial support.
-
Funding information: The result of this study was extracted from a PhD thesis that was supported by Shahid Sadoughi University of Medical Sciences (Grant No. 5228) and Iran National Science Foundation (Grant No. 97009563) and Herbal Medicine Research Center (Grant No. 9115).
-
Author contributions: All authors have accepted responsibility for the entire content of this manuscript and approved its submission.
-
Conflict of interest: The authors state no conflict of interest.
References
[1] Normanno N, Morabito A, De Luca A, Piccirillo MC, Gallo M, Maiello MR, et al. Target-based therapies in breast cancer: current status and future perspectives. Endocrine-Related Cancer. 2009;16(3):675–702.10.1677/ERC-08-0208Search in Google Scholar
[2] Bailar JC, Gornik HL. Cancer undefeated. N Engl J Med. 1997;336(22):1569–74.10.1056/NEJM199705293362206Search in Google Scholar
[3] Group EBCTC. Effects of chemotherapy and hormonal therapy for early breast cancer on recurrence and 15-year survival: an overview of the randomised trials. Lancet. 2005;365(9472):1687–717.10.1016/S0140-6736(05)66544-0Search in Google Scholar
[4] Dry JR, Yang M, Saez-Rodriguez J. Looking beyond the cancer cell for effective drug combinations. Genome Med. 2016;8(1):125.10.1186/s13073-016-0379-8Search in Google Scholar PubMed PubMed Central
[5] Hemati M, Haghiralsadat F, Yazdian F, Jafari F, Moradi A, Malekpour-Dehkordi Z. Development and characterization of a novel cationic PEGylated niosome-encapsulated forms of doxorubicin, quercetin and siRNA for the treatment of cancer by using combination therapy. Artif Cells Nanomed Biotechnol. 2019;47(1):1295–311.10.1080/21691401.2018.1489271Search in Google Scholar PubMed
[6] Behzad F, Naghib SM, Tabatabaei SN, Zare Y, Rhee KY. An overview of the plant-mediated green synthesis of noble metal nanoparticles for antibacterial applications. J Ind Eng Chem. 2021;94:92–104.10.1016/j.jiec.2020.12.005Search in Google Scholar
[7] Askari E, Khoshghadam-Pireyousefan M, Naghib SM, Akbari H, Khosravani B, Zali A, et al. A hybrid approach for in-situ synthesis of bioceramic nanocomposites to adjust the physicochemical and biological characteristics. J Mater Res Technol. 2021;14:464–74.10.1016/j.jmrt.2021.06.063Search in Google Scholar
[8] Kazemi F, Naghib SM, Zare Y, Rhee KY. Biosensing applications of polyaniline (PANI)-based nanocomposites: a review. Polym Rev. 2021;61(3):553–97.10.1080/15583724.2020.1858871Search in Google Scholar
[9] Rahimzadeh Z, Naghib SM, Zare Y, Rhee KY. An overview on the synthesis and recent applications of conducting poly (3, 4-ethylenedioxythiophene) (PEDOT) in industry and biomedicine. J Mater Sci. 2020;55(18):7575–611.10.1007/s10853-020-04561-2Search in Google Scholar
[10] Kalantari E, Naghib SM. A comparative study on biological properties of novel nanostructured monticellite-based composites with hydroxyapatite bioceramic. Mater Sci Eng C. 2019;98:1087–96.10.1016/j.msec.2018.12.140Search in Google Scholar PubMed
[11] Naghib SM, Behzad F, Rahmanian M, Zare Y, Rhee KY. A highly sensitive biosensor based on methacrylated graphene oxide-grafted polyaniline for ascorbic acid determination. Nanotechnol Rev. 2020;9(1):760–7.10.1515/ntrev-2020-0061Search in Google Scholar
[12] Abtahi NA, Naghib SM, Ghalekohneh SJ, Mohammadpour Z, Nazari H, Mosavi SM, et al. Multifunctional stimuli-responsive niosomal nanoparticles for co-delivery and co-administration of gene and bioactive compound: in vitro and in vivo studies. Chem Eng J. 2021;429:132090.10.1016/j.cej.2021.132090Search in Google Scholar
[13] Omidinia E, Naghib SM, Boughdachi A, Khoshkenar P, Mills DK. Hybridization of silver nanoparticles and reduced graphene nanosheets into a nanocomposite for highly sensitive L-phenylalanine biosensing. Int J Electrochem Sci. 2015;10(8):6833–43.10.1016/S1452-3981(23)06765-2Search in Google Scholar
[14] Shah N, Chaudhari K, Dantuluri P, Murthy R, Das S. Paclitaxel-loaded PLGA nanoparticles surface modified with transferrin and Pluronic® P85, an in vitro cell line and in vivo biodistribution studies on rat model. J Drug Target. 2009;17(7):533–42.10.1080/10611860903046628Search in Google Scholar PubMed
[15] Khatibi SA, Misaghi A, Moosavy MH, Basti AA, Koohi MK, Khosravi P, et al. Encapsulation of Zataria multiflora Bioss. essential oil into nanoliposomes and in vitro antibacterial activity against Escherichia coli O157: H7. J Food Process Preserv. 2017;41(3):e12955.10.1111/jfpp.12955Search in Google Scholar
[16] Malekimusavi H, Ghaemi A, Masoudi G, Chogan F, Rashedi H, Yazdian F, et al. Graphene oxide‐l‐arginine nanogel: a pH‐sensitive fluorouracil nanocarrier. Biotechnol Appl Biochem. 2019;66(5):772–80.10.1002/bab.1768Search in Google Scholar PubMed
[17] Mirhosseini M, Shekari-Far A, Hakimian F, Haghiralsadat BF, Fatemi SK, Dashtestani F. Core-shell Au@ Co-Fe hybrid nanoparticles as peroxidase mimetic nanozyme for antibacterial application. Process Biochem. 2020;95:131–8.10.1016/j.procbio.2020.05.003Search in Google Scholar
[18] Sartipzadeh O, Naghib SM, Shokati F, Rahmanian M, Majidzadeh-A K, Zare Y, et al. Microfluidic-assisted synthesis and modelling of monodispersed magnetic nanocomposites for biomedical applications. Nanotechnol Rev. 2020;9(1):1397–407.10.1515/ntrev-2020-0097Search in Google Scholar
[19] Gooneh-Farahani S, Naghib SM, Naimi-Jamal MR, Seyfoori A. A pH-sensitive nanocarrier based on BSA-stabilized graphene-chitosan nanocomposite for sustained and prolonged release of anticancer agents. Sci Rep. 2021;11(1):1–14.10.1038/s41598-021-97081-1Search in Google Scholar PubMed PubMed Central
[20] Gooneh-Farahani S, Naghib SM, Naimi-Jamal MR. A novel and inexpensive method based on modified ionic gelation for pH-responsive controlled drug release of homogeneously distributed chitosan nanoparticles with a high encapsulation efficiency. Fibers Polym. 2020;21(9):1917–26.10.1007/s12221-020-1095-ySearch in Google Scholar
[21] Askari E, Naghib SM, Zahedi A, Seyfoori A, Zare Y, Rhee KY. Local delivery of chemotherapeutic agent in tissue engineering based on gelatin/graphene hydrogel. J Mater Res Technol. 2021;12:412–22.10.1016/j.jmrt.2021.02.084Search in Google Scholar
[22] Foglesong PD, Reckord C, Swink S. Doxorubicin inhibits human DNA topoisomerase I. Cancer Chemother Pharmacol. 1992;30(2):123–5.10.1007/BF00686403Search in Google Scholar PubMed
[23] Deng G, Chen C, Zhang J, Zhai Y, Zhao J, Ji A, et al. Se@ SiO2 nanocomposites attenuate doxorubicin-induced cardiotoxicity through combatting oxidative damage. Artif Cells Nanomed Biotechnol. 2018;46(sup2):112–21.10.1080/21691401.2018.1452250Search in Google Scholar PubMed
[24] Vallianou NG, Evangelopoulos A, Schizas N, Kazazis C. Potential anticancer properties and mechanisms of action of curcumin. Anticancer Res. 2015;35(2):645–51.Search in Google Scholar
[25] Giordano A, Tommonaro G. Curcumin and cancer. Nutrients. 2019;11:10.10.3390/nu11102376Search in Google Scholar PubMed PubMed Central
[26] Agrawal D, Mishra P. Curcumin and its analogues: potential anticancer agents. Medicinal Res Rev. 2010;30(5):818.10.1002/med.20188Search in Google Scholar PubMed
[27] Huun J, Lønning PE, Knappskog S. Effects of concomitant inactivation of p53 and pRb on response to doxorubicin treatment in breast cancer cell lines. Cell Death Discovery. 2017;3(1):1–6.10.1038/cddiscovery.2017.26Search in Google Scholar PubMed PubMed Central
[28] Pourjavadi A, Asgari S, Hosseini SH, Akhlaghi M. Codelivery of hydrophobic and hydrophilic drugs by graphene-decorated magnetic dendrimers. Langmuir. 2018;34(50):15304–18.10.1021/acs.langmuir.8b02710Search in Google Scholar PubMed
[29] Mohanty C, Das M, Sahoo SK. Emerging role of nanocarriers to increase the solubility and bioavailability of curcumin. Expert Opin Drug Delivery. 2012;9(11):1347–64.10.1517/17425247.2012.724676Search in Google Scholar PubMed
[30] Tiwari H, Karki N, Pal M, Basak S, Verma RK, Bal R, et al. Functionalized graphene oxide as a nanocarrier for dual drug delivery applications: the synergistic effect of quercetin and gefitinib against ovarian cancer cells. Colloids Surf B, Biointerfaces. 2019;178:452–9.10.1016/j.colsurfb.2019.03.037Search in Google Scholar PubMed
[31] Huang X, Yin Z, Wu S, Qi X, He Q, Zhang Q, et al. Graphene‐based materials: synthesis, characterization, properties, and applications. Small. 2011;7(14):1876–902.10.1002/smll.201002009Search in Google Scholar PubMed
[32] Karki N, Tiwari H, Pal M, Chaurasia A, Bal R, Joshi P, et al. Functionalized graphene oxides for drug loading, release and delivery of poorly water soluble anticancer drug: a comparative study. Colloids Surfaces B Biointerfaces. 2018;169:265–72.10.1016/j.colsurfb.2018.05.022Search in Google Scholar PubMed
[33] Gholami A, Emadi F, Nazem M, Aghayi R, Khalvati B, Amini A, et al. Expression of key apoptotic genes in hepatocellular carcinoma cell line treated with etoposide-loaded graphene oxide. J Drug Delivery Sci Technol. 2020;57:101725.10.1016/j.jddst.2020.101725Search in Google Scholar
[34] Wu S, Zhao X, Cui Z, Zhao C, Wang Y, Du L, et al. Cytotoxicity of graphene oxide and graphene oxide loaded with doxorubicin on human multiple myeloma cells. Int J Nanomed. 2014;9:1413.10.2147/IJN.S57946Search in Google Scholar PubMed PubMed Central
[35] Charmi J, Nosrati H, Amjad JM, Mohammadkhani R, Danafar H. Polyethylene glycol (PEG) decorated graphene oxide nanosheets for controlled release curcumin delivery. Heliyon. 2019;5(4):e01466.10.1016/j.heliyon.2019.e01466Search in Google Scholar PubMed PubMed Central
[36] Muthoosamy K, Abubakar IB, Bai RG, Loh H-S, Manickam S. Exceedingly higher co-loading of curcumin and paclitaxel onto polymer-functionalized reduced graphene oxide for highly potent synergistic anticancer treatment. Sci Rep. 2016;6:32808.10.1038/srep32808Search in Google Scholar PubMed PubMed Central
[37] Motlagh NSH, Parvin P, Mirzaie ZH, Karimi R, Sanderson JH, Atyabi F. Synergistic performance of triggered drug release and photothermal therapy of MCF7 cells based on laser activated PEGylated GO + DOX. Biomed Opt Express. 2020;11(7):3783–94.10.1364/BOE.389261Search in Google Scholar PubMed PubMed Central
[38] Lu Y, Wu P, Yin Y, Zhang H, Cai C. Aptamer-functionalized graphene oxide for highly efficient loading and cancer cell-specific delivery of antitumor drug. J Mater Chem B. 2014;2(24):3849–59.10.1039/C4TB00521JSearch in Google Scholar
[39] Alibolandi M, Mohammadi M, Taghdisi SM, Ramezani M, Abnous K. Fabrication of aptamer decorated dextran coated nano-graphene oxide for targeted drug delivery. Carbohydr Polym. 2017;155:218–29.10.1016/j.carbpol.2016.08.046Search in Google Scholar PubMed
[40] Taghavi S, Nia AH, Abnous K, Ramezani M. Polyethylenimine-functionalized carbon nanotubes tagged with AS1411 aptamer for combination gene and drug delivery into human gastric cancer cells. Int J Pharmaceutic. 2017;516(1–2):301–12.10.1016/j.ijpharm.2016.11.027Search in Google Scholar PubMed
[41] Honary S, Zahir F. Effect of zeta potential on the properties of nano-drug delivery systems-a review (Part 2). Tropical J Pharm Res. 2013;12(2):265–273.10.4314/tjpr.v12i2.20Search in Google Scholar
[42] Mishra B, Patel BB, Tiwari S. Colloidal nanocarriers: a review on formulation technology, types and applications toward targeted drug delivery. Nanomed Nanotechnol Biol Med. 2010;6(1):9–24.10.1016/j.nano.2009.04.008Search in Google Scholar PubMed
[43] Pourjavadi A, Asgari S, Hosseini SH. Graphene oxide functionalized with oxygen-rich polymers as a pH-sensitive carrier for co-delivery of hydrophobic and hydrophilic drugs. J Drug Delivery Sci Technol. 2020;56:101542.10.1016/j.jddst.2020.101542Search in Google Scholar
[44] Motlagh NH, Parvin P, Mirzaie Z, Karimi R, Sanderson J, Atyabi F. Synergistic performance of triggered drug release and photothermal therapy of MCF7 cells based on laser activated PEGylated GO + DOX. Biomed Opt Express. 2020;11(7):3783–94.10.1364/BOE.389261Search in Google Scholar PubMed PubMed Central
[45] Yang X, Zhang X, Liu Z, Ma Y, Huang Y, Chen Y. High-efficiency loading and controlled release of doxorubicin hydrochloride on graphene oxide. J Phys Chem C. 2008;112(45):17554–58.10.1021/jp806751kSearch in Google Scholar
[46] Wang K, Zhang C, Bao J, Jia X, Liang Y, Wang X, et al. Synergistic chemopreventive effects of curcumin and berberine on human breast cancer cells through induction of apoptosis and autophagic cell death. Sci Rep. 2016;6(1):1–14.10.1038/srep26064Search in Google Scholar PubMed PubMed Central
[47] Li H, Zhang N, Hao Y, Wang Y, Jia S, Zhang H, et al. Formulation of curcumin delivery with functionalized single-walled carbon nanotubes: characteristics and anticancer effects in vitro. Drug Delivery. 2014;21(5):379–87.10.3109/10717544.2013.848246Search in Google Scholar PubMed
[48] Swietach P, Vaughan-Jones RD, Harris AL, Hulikova A. The chemistry, physiology and pathology of pH in cancer. Philos Trans R Soc B Biol Sci. 2014;369(1638):20130099.10.1098/rstb.2013.0099Search in Google Scholar PubMed PubMed Central
[49] Dinarvand R, Sepehri N, Manoochehri S, Rouhani H, Atyabi F. Polylactide-co-glycolide nanoparticles for controlled delivery of anticancer agents. Int J Nanomed. 2011;6:877.10.2147/IJN.S18905Search in Google Scholar PubMed PubMed Central
[50] Malekmohammadi S, Hadadzadeh H, Farrokhpour H, Amirghofran Z. Immobilization of gold nanoparticles on folate-conjugated dendritic mesoporous silica-coated reduced graphene oxide nanosheets: a new nanoplatform for curcumin pH-controlled and targeted delivery. Soft Matter. 2018;14(12):2400–10.10.1039/C7SM02248DSearch in Google Scholar PubMed
[51] Omidi S, Pirhayati M, Kakanejadifard A. Co-delivery of doxorubicin and curcumin by a pH-sensitive, injectable, and in situ hydrogel composed of chitosan, graphene, and cellulose nanowhisker. Carbohydr Polym. 2020;231:115745.10.1016/j.carbpol.2019.115745Search in Google Scholar PubMed
[52] Lee RJ, Wang S, Turk MJ, Low PS. The effects of pH and intraliposomal buffer strength on the rate of liposome content release and intracellular drug delivery. Biosci Rep. 1998;18(2):69–78.10.1023/A:1020132226113Search in Google Scholar
[53] Motlagh NSH, Parvin P, Refahizadeh M, Bavali A. Fluorescence properties of doxorubicin coupled carbon nanocarriers. Appl Opt. 2017;56(26):7498–503.10.1364/AO.56.007498Search in Google Scholar PubMed
[54] Zhao Y, Lin D, Wu F, Guo L, He G, Ouyang L, et al. Discovery and in vivo evaluation of novel RGD-modified lipid-polymer hybrid nanoparticles for targeted drug delivery. Int J Mol Sci. 2014;15(10):17565–76.10.3390/ijms151017565Search in Google Scholar PubMed PubMed Central
[55] Liu J, Wei T, Zhao J, Huang Y, Deng H, Kumar A, et al. Multifunctional aptamer-based nanoparticles for targeted drug delivery to circumvent cancer resistance. Biomaterials. 2016;91:44–56.10.1016/j.biomaterials.2016.03.013Search in Google Scholar PubMed
[56] Thapa RK, Youn YS, Jeong J-H, Choi H-G, Yong CS, Kim JO. Graphene oxide-wrapped PEGylated liquid crystalline nanoparticles for effective chemo-photothermal therapy of metastatic prostate cancer cells. Colloids Surf B Biointerfaces. 2016;143:271–7.10.1016/j.colsurfb.2016.03.045Search in Google Scholar PubMed
[57] Xu Z, Wang S, Li Y, Wang M, Shi P, Huang X. Covalent functionalization of graphene oxide with biocompatible poly (ethylene glycol) for delivery of paclitaxel. ACS Appl Mater Interfaces. 2014;6(19):17268–76.10.1021/am505308fSearch in Google Scholar PubMed
[58] Iversen T-G, Skotland T, Sandvig K. Endocytosis and intracellular transport of nanoparticles: present knowledge and need for future studies. Nano Today. 2011;6(2):176–85.10.1016/j.nantod.2011.02.003Search in Google Scholar
[59] Mongelard F, Bouvet P. AS-1411, a guanosine-rich oligonucleotide aptamer targeting nucleolin for the potential treatment of cancer, including acute myeloid leukemia. Curr Op Mol Therapeutics. 2010;12(1):107–14.Search in Google Scholar
[60] Liao Z-X, Chuang E-Y, Lin C-C, Ho Y-C, Lin K-J, Cheng P-Y, et al. An AS1411 aptamer-conjugated liposomal system containing a bubble-generating agent for tumor-specific chemotherapy that overcomes multidrug resistance. J Controlled Rel. 2015;208:42–51.10.1016/j.jconrel.2015.01.032Search in Google Scholar PubMed
[61] Tang Y, Hu H, Zhang MG, Song J, Nie L, Wang S, et al. An aptamer-targeting photoresponsive drug delivery system using “off–on” graphene oxide wrapped mesoporous silica nanoparticles. Nanoscale. 2015;7(14):6304–10.10.1039/C4NR07493ASearch in Google Scholar PubMed PubMed Central
[62] Zhong Y, Meng F, Deng C, Zhong Z. Ligand-directed active tumor-targeting polymeric nanoparticles for cancer chemotherapy. Biomacromolecules. 2014;15(6):1955–69.10.1021/bm5003009Search in Google Scholar PubMed
[63] Subramaniam D, Ponnurangam S, Ramamoorthy P, Standing D, Battafarano RJ, Anant S, et al. Curcumin induces cell death in esophageal cancer cells through modulating Notch signaling. PLoS One. 2012;7(2):e30590.10.1371/journal.pone.0030590Search in Google Scholar PubMed PubMed Central
[64] Yang J, Cao Y, Sun J, Zhang Y. Curcumin reduces the expression of Bcl-2 by upregulating miR-15a and miR-16 in MCF-7 cells. Med Oncol. 2010;27(4):1114–8.10.1007/s12032-009-9344-3Search in Google Scholar PubMed
[65] Ismail NI, Othman I, Abas F, Lajis H, Naidu N, R. Mechanism of apoptosis induced by curcumin in colorectal cancer. Int J Mol Sci. 2019;20(10):2454.10.3390/ijms20102454Search in Google Scholar PubMed PubMed Central
[66] Zheng M, Ekmekcioglu S, Walch ET, Tang C-H, Grimm EA. Inhibition of nuclear factor-κB and nitric oxide by curcumin induces G2/M cell cycle arrest and apoptosis in human melanoma cells. Melanoma Res. 2004;14(3):165–71.10.1097/01.cmr.0000129374.76399.19Search in Google Scholar PubMed
[67] Bush JA, Cheung Jr K-JJ, Li G. Curcumin induces apoptosis in human melanoma cells through a Fas receptor/caspase-8 pathway independent of p53. Exp Cell Res. 2001;271(2):305–14.10.1006/excr.2001.5381Search in Google Scholar PubMed
[68] Park M-J, Kim E-H, Park I-C, Lee H-C, Woo S-H, Lee J-Y, et al. Curcumin inhibits cell cycle progression of immortalized human umbilical vein endothelial (ECV304) cells by up-regulating cyclin-dependent kinase inhibitor, p21WAF1/CIP1, p27KIP1 and p53. Int J Oncol. 2002;21(2):379–83.10.3892/ijo.21.2.379Search in Google Scholar
[69] Srivastava RK, Chen Q, Siddiqui I, Sarva K, Shankar S. Linkage of curcumin-induced cell cycle arrest and apoptosis by cyclin-dependent kinase inhibitor p21/WAF1/CIP1. Cell Cycle. 2007;6(23):2953–61.10.4161/cc.6.23.4951Search in Google Scholar PubMed
[70] Bai J, Guo D, Liu X. Curcumin inhibits retinoblastoma cell proliferation by miR-26a targeting the tumor suppressor gene Rb1 in Y79 cells. J Anal Oncol. 2020;9(1):63–71.10.30683/1927-7229.2020.09.08Search in Google Scholar
[71] Park SS, Eom Y-W, Choi KS. Cdc2 and Cdk2 play critical roles in low dose doxorubicin-induced cell death through mitotic catastrophe but not in high dose doxorubicin-induced apoptosis. Biochem Biophys Res Commun. 2005;334(4):1014–21.10.1016/j.bbrc.2005.06.192Search in Google Scholar PubMed
[72] Ooms LM, Binge LC, Davies EM, Rahman P, Conway JR, Gurung R, et al. The inositol polyphosphate 5-phosphatase PIPP regulates AKT1-dependent breast cancer growth and metastasis. Cancer Cell. 2015;28(2):155–69.10.1016/j.ccell.2015.07.003Search in Google Scholar PubMed
[73] Clark AR, Toker A. Signalling specificity in the Akt pathway in breast cancer. Biochem Soc Trans. 2014;42(5):1349–55.10.1042/BST20140160Search in Google Scholar PubMed
[74] Vandermoere F, El Yazidi-Belkoura I, Adriaenssens E, Lemoine JM, Hondermarck H. The antiapoptotic effect of fibroblast growth factor-2 is mediated through nuclear factor-κ B activation induced via interaction between Akt and I κ B kinase-β in breast cancer cells. Oncogene. 2005;24(35):5482–91.10.1038/sj.onc.1208713Search in Google Scholar PubMed
[75] DeGraffenried L, Chandrasekar B, Friedrichs W, Donzis E, Silva J, Hidalgo M, et al. NF-κB inhibition markedly enhances sensitivity of resistant breast cancer tumor cells to tamoxifen. Ann Oncol. 2004;15(6):885–90.10.1093/annonc/mdh232Search in Google Scholar PubMed
[76] Lin K, Rong Y, Chen D, Zhao Z, Bo H, Qiao A, et al. Combination of ruthenium complex and doxorubicin synergistically inhibits cancer cell growth by down-regulating PI3K/AKT signaling pathway. Front Oncol. 2020;10:141.10.3389/fonc.2020.00141Search in Google Scholar PubMed PubMed Central
[77] Ramasamy T, Ruttala HB, Chitrapriya N, Poudal BK, Choi JY, Kim ST, et al. Engineering of cell microenvironment-responsive polypeptide nanovehicle co-encapsulating a synergistic combination of small molecules for effective chemotherapy in solid tumors. Acta Biomaterialia. 2017;48:131–43.10.1016/j.actbio.2016.10.034Search in Google Scholar PubMed
© 2021 Fatemeh Yaghoubi et al., published by De Gruyter
This work is licensed under the Creative Commons Attribution 4.0 International License.
Articles in the same Issue
- Research Articles
- Improved impedance matching by multi-componential metal-hybridized rGO toward high performance of microwave absorption
- Pure-silk fibroin hydrogel with stable aligned micropattern toward peripheral nerve regeneration
- Effective ion pathways and 3D conductive carbon networks in bentonite host enable stable and high-rate lithium–sulfur batteries
- Fabrication and characterization of 3D-printed gellan gum/starch composite scaffold for Schwann cells growth
- Synergistic strengthening mechanism of copper matrix composite reinforced with nano-Al2O3 particles and micro-SiC whiskers
- Deformation mechanisms and plasticity of ultrafine-grained Al under complex stress state revealed by digital image correlation technique
- On the deformation-induced grain rotations in gradient nano-grained copper based on molecular dynamics simulations
- Removal of sulfate from aqueous solution using Mg–Al nano-layered double hydroxides synthesized under different dual solvent systems
- Microwave-assisted sol–gel synthesis of TiO2-mixed metal oxide nanocatalyst for degradation of organic pollutant
- Electrophoretic deposition of graphene on basalt fiber for composite applications
- Polyphenylene sulfide-coated wrench composites by nanopinning effect
- Thermal conductivity and thermoelectric properties in 3D macroscopic pure carbon nanotube materials
- An effective thermal conductivity and thermomechanical homogenization scheme for a multiscale Nb3Sn filaments
- Friction stir spot welding of AA5052 with additional carbon fiber-reinforced polymer composite interlayer
- Improvement of long-term cycling performance of high-nickel cathode materials by ZnO coating
- Quantum effects of gas flow in nanochannels
- An approach to effectively improve the interfacial bonding of nano-perfused composites by in situ growth of CNTs
- Effects of nano-modified polymer cement-based materials on the bending behavior of repaired concrete beams
- Effects of the combined usage of nanomaterials and steel fibres on the workability, compressive strength, and microstructure of ultra-high performance concrete
- One-pot solvothermal synthesis and characterization of highly stable nickel nanoparticles
- Comparative study on mechanisms for improving mechanical properties and microstructure of cement paste modified by different types of nanomaterials
- Effect of in situ graphene-doped nano-CeO2 on microstructure and electrical contact properties of Cu30Cr10W contacts
- The experimental study of CFRP interlayer of dissimilar joint AA7075-T651/Ti-6Al-4V alloys by friction stir spot welding on mechanical and microstructural properties
- Vibration analysis of a sandwich cylindrical shell in hygrothermal environment
- Water barrier and mechanical properties of sugar palm crystalline nanocellulose reinforced thermoplastic sugar palm starch (TPS)/poly(lactic acid) (PLA) blend bionanocomposites
- Strong quadratic acousto-optic coupling in 1D multilayer phoxonic crystal cavity
- Three-dimensional shape analysis of peripapillary retinal pigment epithelium-basement membrane layer based on OCT radial images
- Solvent regulation synthesis of single-component white emission carbon quantum dots for white light-emitting diodes
- Xanthate-modified nanoTiO2 as a novel vulcanization accelerator enhancing mechanical and antibacterial properties of natural rubber
- Effect of steel fiber on impact resistance and durability of concrete containing nano-SiO2
- Ultrasound-enhanced biosynthesis of uniform ZnO nanorice using Swietenia macrophylla seed extract and its in vitro anticancer activity
- Temperature dependence of hardness prediction for high-temperature structural ceramics and their composites
- Study on the frequency of acoustic emission signal during crystal growth of salicylic acid
- Controllable modification of helical carbon nanotubes for high-performance microwave absorption
- Role of dry ozonization of basalt fibers on interfacial properties and fracture toughness of epoxy matrix composites
- Nanosystem’s density functional theory study of the chlorine adsorption on the Fe(100) surface
- A rapid nanobiosensing platform based on herceptin-conjugated graphene for ultrasensitive detection of circulating tumor cells in early breast cancer
- Improving flexural strength of UHPC with sustainably synthesized graphene oxide
- The role of graphene/graphene oxide in cement hydration
- Structural characterization of microcrystalline and nanocrystalline cellulose from Ananas comosus L. leaves: Cytocompatibility and molecular docking studies
- Evaluation of the nanostructure of calcium silicate hydrate based on atomic force microscopy-infrared spectroscopy experiments
- Combined effects of nano-silica and silica fume on the mechanical behavior of recycled aggregate concrete
- Safety study of malapposition of the bio-corrodible nitrided iron stent in vivo
- Triethanolamine interface modification of crystallized ZnO nanospheres enabling fast photocatalytic hazard-free treatment of Cr(vi) ions
- Novel electrodes for precise and accurate droplet dispensing and splitting in digital microfluidics
- Construction of Chi(Zn/BMP2)/HA composite coating on AZ31B magnesium alloy surface to improve the corrosion resistance and biocompatibility
- Experimental and multiscale numerical investigations on low-velocity impact responses of syntactic foam composites reinforced with modified MWCNTs
- Comprehensive performance analysis and optimal design of smart light pole for cooperative vehicle infrastructure system
- Room temperature growth of ZnO with highly active exposed facets for photocatalytic application
- Influences of poling temperature and elongation ratio on PVDF-HFP piezoelectric films
- Large strain hardening of magnesium containing in situ nanoparticles
- Super stable water-based magnetic fluid as a dual-mode contrast agent
- Photocatalytic activity of biogenic zinc oxide nanoparticles: In vitro antimicrobial, biocompatibility, and molecular docking studies
- Hygrothermal environment effect on the critical buckling load of FGP microbeams with initial curvature integrated by CNT-reinforced skins considering the influence of thickness stretching
- Thermal aging behavior characteristics of asphalt binder modified by nano-stabilizer based on DSR and AFM
- Building effective core/shell polymer nanoparticles for epoxy composite toughening based on Hansen solubility parameters
- Structural characterization and nanoscale strain field analysis of α/β interface layer of a near α titanium alloy
- Optimization of thermal and hydrophobic properties of GO-doped epoxy nanocomposite coatings
- The properties of nano-CaCO3/nano-ZnO/SBR composite-modified asphalt
- Three-dimensional metallic carbon allotropes with superhardness
- Physical stability and rheological behavior of Pickering emulsions stabilized by protein–polysaccharide hybrid nanoconjugates
- Optimization of volume fraction and microstructure evolution during thermal deformation of nano-SiCp/Al–7Si composites
- Phase analysis and corrosion behavior of brazing Cu/Al dissimilar metal joint with BAl88Si filler metal
- High-efficiency nano polishing of steel materials
- On the rheological properties of multi-walled carbon nano-polyvinylpyrrolidone/silicon-based shear thickening fluid
- Fabrication of Ag/ZnO hollow nanospheres and cubic TiO2/ZnO heterojunction photocatalysts for RhB degradation
- Fabrication and properties of PLA/nano-HA composite scaffolds with balanced mechanical properties and biological functions for bone tissue engineering application
- Investigation of the early-age performance and microstructure of nano-C–S–H blended cement-based materials
- Reduced graphene oxide coating on basalt fabric using electrophoretic deposition and its role in the mechanical and tribological performance of epoxy/basalt fiber composites
- Effect of nano-silica as cementitious materials-reducing admixtures on the workability, mechanical properties and durability of concrete
- Machine-learning-assisted microstructure–property linkages of carbon nanotube-reinforced aluminum matrix nanocomposites produced by laser powder bed fusion
- Physical, thermal, and mechanical properties of highly porous polylactic acid/cellulose nanofibre scaffolds prepared by salt leaching technique
- A comparative study on characterizations and synthesis of pure lead sulfide (PbS) and Ag-doped PbS for photovoltaic applications
- Clean preparation of washable antibacterial polyester fibers by high temperature and high pressure hydrothermal self-assembly
- Al 5251-based hybrid nanocomposite by FSP reinforced with graphene nanoplates and boron nitride nanoparticles: Microstructure, wear, and mechanical characterization
- Interlaminar fracture toughness properties of hybrid glass fiber-reinforced composite interlayered with carbon nanotube using electrospray deposition
- Microstructure and life prediction model of steel slag concrete under freezing-thawing environment
- Synthesis of biogenic silver nanoparticles from the seed coat waste of pistachio (Pistacia vera) and their effect on the growth of eggplant
- Study on adaptability of rheological index of nano-PUA-modified asphalt based on geometric parameters of parallel plate
- Preparation and adsorption properties of nano-graphene oxide/tourmaline composites
- A study on interfacial behaviors of epoxy/graphene oxide derived from pitch-based graphite fibers
- Multiresponsive carboxylated graphene oxide-grafted aptamer as a multifunctional nanocarrier for targeted delivery of chemotherapeutics and bioactive compounds in cancer therapy
- Piezoresistive/piezoelectric intrinsic sensing properties of carbon nanotube cement-based smart composite and its electromechanical sensing mechanisms: A review
- Smart stimuli-responsive biofunctionalized niosomal nanocarriers for programmed release of bioactive compounds into cancer cells in vitro and in vivo
- Photoremediation of methylene blue by biosynthesized ZnO/Fe3O4 nanocomposites using Callistemon viminalis leaves aqueous extract: A comparative study
- Study of gold nanoparticles’ preparation through ultrasonic spray pyrolysis and lyophilisation for possible use as markers in LFIA tests
- Review Articles
- Advance on the dispersion treatment of graphene oxide and the graphene oxide modified cement-based materials
- Development of ionic liquid-based electroactive polymer composites using nanotechnology
- Nanostructured multifunctional electrocatalysts for efficient energy conversion systems: Recent perspectives
- Recent advances on the fabrication methods of nanocomposite yarn-based strain sensor
- Review on nanocomposites based on aerospace applications
- Overview of nanocellulose as additives in paper processing and paper products
- The frontiers of functionalized graphene-based nanocomposites as chemical sensors
- Material advancement in tissue-engineered nerve conduit
- Carbon nanostructure-based superhydrophobic surfaces and coatings
- Functionalized graphene-based nanocomposites for smart optoelectronic applications
- Interfacial technology for enhancement in steel fiber reinforced cementitious composite from nano to macroscale
- Metal nanoparticles and biomaterials: The multipronged approach for potential diabetic wound therapy
- Review on resistive switching mechanisms of bio-organic thin film for non-volatile memory application
- Nanotechnology-enabled biomedical engineering: Current trends, future scopes, and perspectives
- Research progress on key problems of nanomaterials-modified geopolymer concrete
- Smart stimuli-responsive nanocarriers for the cancer therapy – nanomedicine
- An overview of methods for production and detection of silver nanoparticles, with emphasis on their fate and toxicological effects on human, soil, and aquatic environment
- Effects of chemical modification and nanotechnology on wood properties
- Mechanisms, influencing factors, and applications of electrohydrodynamic jet printing
- Application of antiviral materials in textiles: A review
- Phase transformation and strengthening mechanisms of nanostructured high-entropy alloys
- Research progress on individual effect of graphene oxide in cement-based materials and its synergistic effect with other nanomaterials
- Catalytic defense against fungal pathogens using nanozymes
- A mini-review of three-dimensional network topological structure nanocomposites: Preparation and mechanical properties
- Mechanical properties and structural health monitoring performance of carbon nanotube-modified FRP composites: A review
- Nano-scale delivery: A comprehensive review of nano-structured devices, preparative techniques, site-specificity designs, biomedical applications, commercial products, and references to safety, cellular uptake, and organ toxicity
- Effects of alloying, heat treatment and nanoreinforcement on mechanical properties and damping performances of Cu–Al-based alloys: A review
- Recent progress in the synthesis and applications of vertically aligned carbon nanotube materials
- Thermal conductivity and dynamic viscosity of mono and hybrid organic- and synthetic-based nanofluids: A critical review
- Recent advances in waste-recycled nanomaterials for biomedical applications: Waste-to-wealth
- Layup sequence and interfacial bonding of additively manufactured polymeric composite: A brief review
- Quantum dots synthetization and future prospect applications
- Approved and marketed nanoparticles for disease targeting and applications in COVID-19
- Strategies for improving rechargeable lithium-ion batteries: From active materials to CO2 emissions
Articles in the same Issue
- Research Articles
- Improved impedance matching by multi-componential metal-hybridized rGO toward high performance of microwave absorption
- Pure-silk fibroin hydrogel with stable aligned micropattern toward peripheral nerve regeneration
- Effective ion pathways and 3D conductive carbon networks in bentonite host enable stable and high-rate lithium–sulfur batteries
- Fabrication and characterization of 3D-printed gellan gum/starch composite scaffold for Schwann cells growth
- Synergistic strengthening mechanism of copper matrix composite reinforced with nano-Al2O3 particles and micro-SiC whiskers
- Deformation mechanisms and plasticity of ultrafine-grained Al under complex stress state revealed by digital image correlation technique
- On the deformation-induced grain rotations in gradient nano-grained copper based on molecular dynamics simulations
- Removal of sulfate from aqueous solution using Mg–Al nano-layered double hydroxides synthesized under different dual solvent systems
- Microwave-assisted sol–gel synthesis of TiO2-mixed metal oxide nanocatalyst for degradation of organic pollutant
- Electrophoretic deposition of graphene on basalt fiber for composite applications
- Polyphenylene sulfide-coated wrench composites by nanopinning effect
- Thermal conductivity and thermoelectric properties in 3D macroscopic pure carbon nanotube materials
- An effective thermal conductivity and thermomechanical homogenization scheme for a multiscale Nb3Sn filaments
- Friction stir spot welding of AA5052 with additional carbon fiber-reinforced polymer composite interlayer
- Improvement of long-term cycling performance of high-nickel cathode materials by ZnO coating
- Quantum effects of gas flow in nanochannels
- An approach to effectively improve the interfacial bonding of nano-perfused composites by in situ growth of CNTs
- Effects of nano-modified polymer cement-based materials on the bending behavior of repaired concrete beams
- Effects of the combined usage of nanomaterials and steel fibres on the workability, compressive strength, and microstructure of ultra-high performance concrete
- One-pot solvothermal synthesis and characterization of highly stable nickel nanoparticles
- Comparative study on mechanisms for improving mechanical properties and microstructure of cement paste modified by different types of nanomaterials
- Effect of in situ graphene-doped nano-CeO2 on microstructure and electrical contact properties of Cu30Cr10W contacts
- The experimental study of CFRP interlayer of dissimilar joint AA7075-T651/Ti-6Al-4V alloys by friction stir spot welding on mechanical and microstructural properties
- Vibration analysis of a sandwich cylindrical shell in hygrothermal environment
- Water barrier and mechanical properties of sugar palm crystalline nanocellulose reinforced thermoplastic sugar palm starch (TPS)/poly(lactic acid) (PLA) blend bionanocomposites
- Strong quadratic acousto-optic coupling in 1D multilayer phoxonic crystal cavity
- Three-dimensional shape analysis of peripapillary retinal pigment epithelium-basement membrane layer based on OCT radial images
- Solvent regulation synthesis of single-component white emission carbon quantum dots for white light-emitting diodes
- Xanthate-modified nanoTiO2 as a novel vulcanization accelerator enhancing mechanical and antibacterial properties of natural rubber
- Effect of steel fiber on impact resistance and durability of concrete containing nano-SiO2
- Ultrasound-enhanced biosynthesis of uniform ZnO nanorice using Swietenia macrophylla seed extract and its in vitro anticancer activity
- Temperature dependence of hardness prediction for high-temperature structural ceramics and their composites
- Study on the frequency of acoustic emission signal during crystal growth of salicylic acid
- Controllable modification of helical carbon nanotubes for high-performance microwave absorption
- Role of dry ozonization of basalt fibers on interfacial properties and fracture toughness of epoxy matrix composites
- Nanosystem’s density functional theory study of the chlorine adsorption on the Fe(100) surface
- A rapid nanobiosensing platform based on herceptin-conjugated graphene for ultrasensitive detection of circulating tumor cells in early breast cancer
- Improving flexural strength of UHPC with sustainably synthesized graphene oxide
- The role of graphene/graphene oxide in cement hydration
- Structural characterization of microcrystalline and nanocrystalline cellulose from Ananas comosus L. leaves: Cytocompatibility and molecular docking studies
- Evaluation of the nanostructure of calcium silicate hydrate based on atomic force microscopy-infrared spectroscopy experiments
- Combined effects of nano-silica and silica fume on the mechanical behavior of recycled aggregate concrete
- Safety study of malapposition of the bio-corrodible nitrided iron stent in vivo
- Triethanolamine interface modification of crystallized ZnO nanospheres enabling fast photocatalytic hazard-free treatment of Cr(vi) ions
- Novel electrodes for precise and accurate droplet dispensing and splitting in digital microfluidics
- Construction of Chi(Zn/BMP2)/HA composite coating on AZ31B magnesium alloy surface to improve the corrosion resistance and biocompatibility
- Experimental and multiscale numerical investigations on low-velocity impact responses of syntactic foam composites reinforced with modified MWCNTs
- Comprehensive performance analysis and optimal design of smart light pole for cooperative vehicle infrastructure system
- Room temperature growth of ZnO with highly active exposed facets for photocatalytic application
- Influences of poling temperature and elongation ratio on PVDF-HFP piezoelectric films
- Large strain hardening of magnesium containing in situ nanoparticles
- Super stable water-based magnetic fluid as a dual-mode contrast agent
- Photocatalytic activity of biogenic zinc oxide nanoparticles: In vitro antimicrobial, biocompatibility, and molecular docking studies
- Hygrothermal environment effect on the critical buckling load of FGP microbeams with initial curvature integrated by CNT-reinforced skins considering the influence of thickness stretching
- Thermal aging behavior characteristics of asphalt binder modified by nano-stabilizer based on DSR and AFM
- Building effective core/shell polymer nanoparticles for epoxy composite toughening based on Hansen solubility parameters
- Structural characterization and nanoscale strain field analysis of α/β interface layer of a near α titanium alloy
- Optimization of thermal and hydrophobic properties of GO-doped epoxy nanocomposite coatings
- The properties of nano-CaCO3/nano-ZnO/SBR composite-modified asphalt
- Three-dimensional metallic carbon allotropes with superhardness
- Physical stability and rheological behavior of Pickering emulsions stabilized by protein–polysaccharide hybrid nanoconjugates
- Optimization of volume fraction and microstructure evolution during thermal deformation of nano-SiCp/Al–7Si composites
- Phase analysis and corrosion behavior of brazing Cu/Al dissimilar metal joint with BAl88Si filler metal
- High-efficiency nano polishing of steel materials
- On the rheological properties of multi-walled carbon nano-polyvinylpyrrolidone/silicon-based shear thickening fluid
- Fabrication of Ag/ZnO hollow nanospheres and cubic TiO2/ZnO heterojunction photocatalysts for RhB degradation
- Fabrication and properties of PLA/nano-HA composite scaffolds with balanced mechanical properties and biological functions for bone tissue engineering application
- Investigation of the early-age performance and microstructure of nano-C–S–H blended cement-based materials
- Reduced graphene oxide coating on basalt fabric using electrophoretic deposition and its role in the mechanical and tribological performance of epoxy/basalt fiber composites
- Effect of nano-silica as cementitious materials-reducing admixtures on the workability, mechanical properties and durability of concrete
- Machine-learning-assisted microstructure–property linkages of carbon nanotube-reinforced aluminum matrix nanocomposites produced by laser powder bed fusion
- Physical, thermal, and mechanical properties of highly porous polylactic acid/cellulose nanofibre scaffolds prepared by salt leaching technique
- A comparative study on characterizations and synthesis of pure lead sulfide (PbS) and Ag-doped PbS for photovoltaic applications
- Clean preparation of washable antibacterial polyester fibers by high temperature and high pressure hydrothermal self-assembly
- Al 5251-based hybrid nanocomposite by FSP reinforced with graphene nanoplates and boron nitride nanoparticles: Microstructure, wear, and mechanical characterization
- Interlaminar fracture toughness properties of hybrid glass fiber-reinforced composite interlayered with carbon nanotube using electrospray deposition
- Microstructure and life prediction model of steel slag concrete under freezing-thawing environment
- Synthesis of biogenic silver nanoparticles from the seed coat waste of pistachio (Pistacia vera) and their effect on the growth of eggplant
- Study on adaptability of rheological index of nano-PUA-modified asphalt based on geometric parameters of parallel plate
- Preparation and adsorption properties of nano-graphene oxide/tourmaline composites
- A study on interfacial behaviors of epoxy/graphene oxide derived from pitch-based graphite fibers
- Multiresponsive carboxylated graphene oxide-grafted aptamer as a multifunctional nanocarrier for targeted delivery of chemotherapeutics and bioactive compounds in cancer therapy
- Piezoresistive/piezoelectric intrinsic sensing properties of carbon nanotube cement-based smart composite and its electromechanical sensing mechanisms: A review
- Smart stimuli-responsive biofunctionalized niosomal nanocarriers for programmed release of bioactive compounds into cancer cells in vitro and in vivo
- Photoremediation of methylene blue by biosynthesized ZnO/Fe3O4 nanocomposites using Callistemon viminalis leaves aqueous extract: A comparative study
- Study of gold nanoparticles’ preparation through ultrasonic spray pyrolysis and lyophilisation for possible use as markers in LFIA tests
- Review Articles
- Advance on the dispersion treatment of graphene oxide and the graphene oxide modified cement-based materials
- Development of ionic liquid-based electroactive polymer composites using nanotechnology
- Nanostructured multifunctional electrocatalysts for efficient energy conversion systems: Recent perspectives
- Recent advances on the fabrication methods of nanocomposite yarn-based strain sensor
- Review on nanocomposites based on aerospace applications
- Overview of nanocellulose as additives in paper processing and paper products
- The frontiers of functionalized graphene-based nanocomposites as chemical sensors
- Material advancement in tissue-engineered nerve conduit
- Carbon nanostructure-based superhydrophobic surfaces and coatings
- Functionalized graphene-based nanocomposites for smart optoelectronic applications
- Interfacial technology for enhancement in steel fiber reinforced cementitious composite from nano to macroscale
- Metal nanoparticles and biomaterials: The multipronged approach for potential diabetic wound therapy
- Review on resistive switching mechanisms of bio-organic thin film for non-volatile memory application
- Nanotechnology-enabled biomedical engineering: Current trends, future scopes, and perspectives
- Research progress on key problems of nanomaterials-modified geopolymer concrete
- Smart stimuli-responsive nanocarriers for the cancer therapy – nanomedicine
- An overview of methods for production and detection of silver nanoparticles, with emphasis on their fate and toxicological effects on human, soil, and aquatic environment
- Effects of chemical modification and nanotechnology on wood properties
- Mechanisms, influencing factors, and applications of electrohydrodynamic jet printing
- Application of antiviral materials in textiles: A review
- Phase transformation and strengthening mechanisms of nanostructured high-entropy alloys
- Research progress on individual effect of graphene oxide in cement-based materials and its synergistic effect with other nanomaterials
- Catalytic defense against fungal pathogens using nanozymes
- A mini-review of three-dimensional network topological structure nanocomposites: Preparation and mechanical properties
- Mechanical properties and structural health monitoring performance of carbon nanotube-modified FRP composites: A review
- Nano-scale delivery: A comprehensive review of nano-structured devices, preparative techniques, site-specificity designs, biomedical applications, commercial products, and references to safety, cellular uptake, and organ toxicity
- Effects of alloying, heat treatment and nanoreinforcement on mechanical properties and damping performances of Cu–Al-based alloys: A review
- Recent progress in the synthesis and applications of vertically aligned carbon nanotube materials
- Thermal conductivity and dynamic viscosity of mono and hybrid organic- and synthetic-based nanofluids: A critical review
- Recent advances in waste-recycled nanomaterials for biomedical applications: Waste-to-wealth
- Layup sequence and interfacial bonding of additively manufactured polymeric composite: A brief review
- Quantum dots synthetization and future prospect applications
- Approved and marketed nanoparticles for disease targeting and applications in COVID-19
- Strategies for improving rechargeable lithium-ion batteries: From active materials to CO2 emissions