Nephroprotective effects of eriocitrin via alleviation of oxidative stress and DNA damage against cisplatin-induced renal toxicity
Abstract
Background
Cisplatin, a common anti-neoplastic drug used in the medical industry for cancer treatment has shown adverse nephrotoxic effects. This research targets to demonstrate the protective measure of eriocitrin, a bioactive flavonoid, against cisplatin-induced renal toxicity in rats.
Materials and methods
Rats of normal control and model groups were treated with saline whereas experimental groups received oral administration of eriocitrin (25 and 50 mg/kg b.w.) for 10 days and a single intraperitoneal (i.p.) injection of cisplatin (8 mg/kg b.w.) was given on the 7th day for all except normal control group. Blood serum, urine, and kidney tissue samples were collected for analysis.
Results
Cisplatin-induced rats demonstrated significant renal toxicity and damage. Eriocitrin dose-dependently reversed the effects by decreasing the proteinuria in urine, and urea, creatinine, lipid peroxidation, nitric oxide (NO) and pro-inflammatory cytokine levels (TNF-α, IL-1β) in serum. The tissue levels of reduced glutathione (GSH), superoxide dismutase (SOD) and catalase (CAT) were increased, whereas the levels of tissue DNA fragmentation and serum PARP-1 and Caspase-3 were reduced against model group. Histopathological modulations were supporting the protective effect of eriocitrin.
Conclusion
Eriocitrin has significant nephroprotective effects against cisplatin-induced renal toxicity by alleviating oxidative stress, preventing apoptosis and DNA damage.
Öz
Amaç
Medikal endüstride kanser tedavisi için sık kullanılan bir anti-neoplastik ilaç olan sisplatinin nefrotoksik yan etkileri gösterilmiştir. Bu çalışmanın amacı, bioaktif bir flavonoid olan eriositrinin ratlarda sisplatin kaynaklı renal toksisiteye karşı koruyucu etkilerini göstermektir.
Gereç ve Yöntem
Kontrol ve model gruplara salin uygulaması yapılırken, deney grubuna 10 gün boyunca oral eriositrin (25 ve 50 mg/kg vücut ağırlığı) verilmiştir. Kontrol grubu hariç tüm gruplara 7. günde tek doz intraperitoneal (i.p.) sisplatin (8 mg/kg vücut ağırlığı) uygulaması yapılmıştır. Serum, idrar ve böbrek dokusu örnekleri analiz için toplanmıştır.
Bulgular
Sisplatin verilen ratlarda anlamlı düzeyde renal toksisite ve hasar gösterildi. Eriositrin, doz bağımlı olarak idrarda proteinüriyi azaltarak, serumda üre, kreatinin, lipid peroksidasyonu, nitrik oksit (NO) ve pro-inflamatuar sitokin (TNF-α, IL-1β) düzeylerini azaltarak sisplatin etkisini geri çevirdi. İndirgenmiş glutatyon (GSH), superoksit dismutaz (SOD) ve katalazın (CAT) doku düzeyleri artarken, dokuda DNA fragmantasyonu ile serum PARP-1 ve Kaspaz-3 düzeyleri model gruba göre azalmıştı.
Histopatolojik modülasyonlar eriositrinin koruyucu etkisini desteklemekteydi.
Sonuç
Eriositrin sisplatin kaynaklı renal toksisiteye karşı oksidatif stresi hafifleten, apoptozisi ve DNA hasarını engelleyen nefroprotektif etkilere sahiptir.
Introduction
Renal toxicity or nephrotoxicity could arise due to several factors, including adverse drug effects incurred during medical treatments. Similarly, nephrotoxicity is induced by cisplatin, a common anti-neoplastic drug used in the medical industry for cancer treatment [1]. Cisplatin is commonly used for the treatment of malignant tumors in various body parts but was proven to have adverse toxicity in multiple organs especially brain and kidney [2]. The nephrotoxic manifestation of cisplatin is demonstrated with pathological changes in the kidney, increased inflammatory reactions and oxidative stress, DNA damage and cellular apoptosis [3], [4]. Kidney becomes the most vulnerable organ to toxicity caused by cisplatin because of its function for excretion of xenobiotics. The use of cisplatin in medical industry has been limited due to the extreme adverse effect, yet it is still widely in use for cancer treatment [5]. This is because cisplatin does have remarkable curative properties against malignant tumors. Cancer patients who are treated with cisplatin does show improvement in the initial stages, but continual administration of cisplatin leads to unfavorable results [6]. Although cisplatin fights the tumor, it also causes glomerular filtration rate to decrease drastically, therefore restricting the survival rate of patients [2]. To overcome this problem, antioxidants are currently in highlights to prevent cisplatin from damaging the kidney without impairing its antineoplastic effect [7].
Natural antioxidant compounds have been proven to possess nephroprotective effect against oxidative stress and inflammation induced by toxicants [8]. The effects of antioxidant compounds with therapeutic potentials have been documented and numerous flavonoids are reported to possess protective effects against renal toxicity [9], [10]. Eriocitrin is a flavonoid constituent of lemon and citrus fruits [11]. This bioactive compound has been reported with antioxidant, oxidative stress prevention in diabetic model, protective effect against hepatic steatosis and lipid-regulation against cholesterol [12], [13]. Lemon and citrus fruits having eriocitrin as their major polyphenolic constituent are known to possess anti-inflammatory, nephroprotective, neuroprotective, cardioprotective and other pharmacological properties [14], [15]. Therefore this research targets to demonstrate the protective measure of eriocitrin against cisplatin-induced renal toxicity in rats. This research will be the first to report the nephroprotective effects of eriocitrin, hence it will stand as a reference for future clinical research on this phenolic compound.
Materials and methods
Drugs preparation
Cisplatin (15663-27-1) and eriocitrin (94113) were purchased from Sigma Aldrich (St. Louis, MO, USA). Stock solution of cisplatin was prepared in pure distilled water, diluted in 0.9% saline and stored in 4°C until use. Eriocitrin was prepared freshly in distilled water for each administration.
Animals and grouping
Thirty male Wistar albino rats weighing approximately 140 g–180 g were obtained from the animal housing facility of Shandong University. The rats were acclimatized for 1 week before the experiment at 25±2°C, with adequate ventilation and humidity (55±5%) and supplied with water and standard rodent feed ad libitum. Ethical approval for the experiment was provided by the Animal Healthcare and Ethical Committee of Jinan Central Hospital affiliated to Shandong University with approval reference number JXC20180915. For the experimental procedure, the rats were divided into five groups with six animals (n=6) in each group. The whole experiment was carried out in the biochemical and histopathological laboratories of Jinan Central Hospital affiliated to Shandong University for approximately 8 months beginning in May 2018.
Experimental procedure
The experimental procedure was done following the methods of Abdel-Daim et al. [16]. with slight modifications. Rats of normal control group were orally administered with saline for 10 days. Nephrotoxic model group rats were orally administered with saline for 10 days, with a single i.p. injection of cisplatin (8 mg/kg b.w.) on the 7th day to induce renal toxicity. The animals of first dose experimental group were orally administered with 25 mg/kg b.w. of eriocitrin for 10 days and a single i.p. injection of cisplatin (8 mg/kg b.w.) on the 7th day. Animals of second dose experimental group received oral administration of 50 mg/kg b.w. eriocitrin for 10 days and a single i.p. injection of cisplatin (8 mg/kg b.w.) on the 7th day. Drug control group animals were subjected to oral administration of eriocitrin alone at 50 mg/kg b.w. for 10 days. All the animals were placed in metabolic cages for 24 h urine collection prior to end of experiment for proteinuria determination. On the 11th day, rats were anesthetized with isoflurane to obtain blood serum through retro orbital puncture. Blood samples were allowed to clot for 30 min and centrifuged at 3000 rpm for 15 min. The aliquots obtained were stored and later subjected to biochemical analysis. Upon blood collection, rats were immediately sacrificed by cervical dislocation and kidneys were excised and cleansed with cold isotonic NaCl (0.9%) and distilled water. A portion of kidney tissue was fixed in 10% neutral buffered formalin for histopathological studies. The remaining kidney tissues were homogenized in cold sodium phosphate buffered saline (5 mM) and centrifuged at 5000 rpm for 30 min to obtain aliquots for biochemical studies. The aliquots were used for determination of reduced glutathione (GSH), superoxide dismutase (SOD), catalase (CAT), and DNA fragmentation.
Biochemical assays
Determination of renal biomarkers; proteinuria in urine, urea, creatinine and albumin levels in the serum were done using colorimetric assays using commercial kits (Shimadzu CL-7200, Japan) following the method of Abdel-Daim et al. [16]. Oxidative stress markers such as lipid peroxidation (MAK085), reduced glutathione (GSH)(ab239709, Abcam, USA), superoxide dismutase (SOD)(19160), catalase (CAT)(219265) and nitric oxide (NO)(482650) production by measuring stable NO metabolites (nitrate/nitrite ions) using Griess reagent in the kidney tissues were determined by colorimetric assays using commercial diagnostic kits (Sigma Aldrich Inc., St. Louis, MO, USA) & (Merck Millipore, Darmstadt, Germany), following the protocols of Busari et al. [8] and Basu et al. [17]. The absorbance readings were measured using UV-vis spectrophotometer (Shimadzu UV-1900, Japan).
ELISA analysis
The levels of serum pro-inflammatory cytokines TNF-α and IL-1β together with activities of apoptosis marker enzymes (Poly-(ADP ribose) polymerase (PARP-1), Caspase-3 and percentage of DNA fragmentation in tissue were measured using ELISA assay of commercially available diagnostic kits (R&D Systems, Minneapolis, MN) according to the manufacturer’s protocols. All the assays were similarly performed according to the methods of Abdel-Daim et al. [18] and Shukla et al. [19].
Histopathological examination
Kidney tissues fixed in 10% neutral buffered formalin were trimmed, dehydrated with gradient alcohol and xylene, embedded in paraffin wax and sliced into 5 μm sections. The tissue sections were stained with hematoxylin and eosin (H&E), viewed under light microscope and photographed to identify the pathological changes due to cisplatin-induced toxicity.
Statistical analysis
All data were expressed as mean±standard error of mean. Statistical significance (p<0.05) was determined using SPSS software version 22.0 for windows (Chicago, USA) with one-way analysis of variance to compare means followed with Tukey’s multiple comparison analysis between groups.
Results
Effect of eriocitrin on renal biomarkers
The levels of proteinuria in urine, and serum levels of urea, creatinine and albumin did not show any abnormality in normal control and eriocitrin alone administered control group. Cisplatin-induced nephrotoxic model group showed significant difference (p<0.05) in all the serum biomarker levels against control group (Table 1). Administration of eriocitrin dose-dependently altered (p<0.05) the serum biomarker levels towards normal against cisplatin-induced renal toxicity.
Nephroprotective effects of eriocitrin on urine and serum levels of renal biomarkers in cisplatin-induced nephrotoxicity.
| Urea (U/L) | Proteinuria (U/L) | Creatinine (U/L) | Albumin (U/L) | |
|---|---|---|---|---|
| Normal control | 33.25±0.56 | 64.29±0.28 | 0.75±0.08 | 2.89±0.07 |
| Cisplatin model group | 155.36±1.23a | 247.36±1.16a | 3.69±0.10a | 1.36±0.09a |
| Eriocitrin (25 mg/kg b.w.)+cisplatin | 88.25±0.65b | 115.29±0.82b | 1.84±0.04b | 1.93±0.05b |
| Eriocitrin (50 mg/kg b.w.)+cisplatin | 59.36±0.82b,c | 91.76±0.98b,c | 1.12±0.07b,c | 2.33±0.03b,c |
| Eriocitrin alone (50 mg/kg b.w.) | 44.12±0.34b,c | 69.36±0.85b,c | 0.82±0.06b,c | 2.71±0.05b,c |
The results are given as mean±SEM for six rats (n=6). Significant difference against normal control group is symbolized as a(p<0.05), whereas significant difference against cisplatin-induced nephrotoxic model group is symbolized as b(p<0.05), significant difference against eriocitrin (25 mg/kg b.w.) group is symbolized as c(p<0.05).
Effect of eriocitrin on renal oxidative stress markers
Administration of cisplatin significantly induced oxidative stress (p<0.05) in nephrotoxic model group compared to control group with an increase in malondialdehyde (MDA) formation due to lipid peroxidation, reduced levels of GSH, SOD, CAT and elevated NO production (Table 2). Eriocitrin was able to reduce oxidative stress dose-dependently (p<0.05) against the renal toxicity induced by cisplatin. Eriocitrin alone treated control group did not differ significantly from the normal control group.
Nephroprotective effects of eriocitrin on renal oxidative stress markers in cisplatin-induced nephrotoxicity.
| MDA (nmol/mg protein) | GSH (nmol/mg protein) | SOD (U/mg protein) | CAT (U/mg protein) | NO (μmol/mg protein) | |
|---|---|---|---|---|---|
| Normal control | 15.97±0.67 | 9.51±0.90 | 7.43±1.23 | 6.71±0.75 | 165.19±1.99 |
| Cisplatin model group | 57.94±1.55a | 3.35±0.98a | 3.48±0.31a | 2.44±0.47a | 448.22±9.48a |
| Eriocitrin (25 mg/kg b.w.)+cisplatin | 33.54±1.41b | 5.81±0.57b | 5.3±0.31b | 4.35±0.32b | 277.88±10.86b |
| Eriocitrin (50 mg/kg b.w.)+cisplatin | 25.21±1.76b,c | 7.99±0.68b,c | 5.92±0.12b,c | 5.39±0.26b,c | 208.87±7.62b,c |
| Eriocitrin alone (50 mg/kg b.w.) | 17.42±0.73b,c | 8.66±0.85b,c | 6.46±0.37b,c | 6.11±0.06b,c | 176.42±2.44b,c |
The results are given as mean±SEM for six rats (n=6). Significant difference against normal control group is symbolized as a(p<0.05), whereas significant difference against cisplatin-induced nephrotoxic model group is symbolized as b(p<0.05), significant difference against eriocitrin (25 mg/kg b.w.) group is symbolized as c(p<0.05).
Effect of eriocitrin on pro-inflammatory cytokines
Pro-inflammatory cytokines TNF-α and IL-1β were at normal levels in the serum of control group and eriocitrin alone administered group. The serum levels of TNF-α and IL-1β for cisplatin-induced nephrotoxic model group were significantly high (p<0.05) as compared with normal control group (Table 3). The serum levels of pro-inflammatory cytokines were dose-dependently reduced (p<0.05) in eriocitrin administered groups against cisplatin-induced nephrotoxicity.
Protective effects of eriocitrin on pro-inflammatory cytokines in cisplatin-induced nephrotoxicity.
| TNF-α (pg/mL) | IL-1β (pg/mL) | |
|---|---|---|
| Normal control | 29.25±0.89 | 20.37±1.02 |
| Cisplatin model group | 68.28±1.06a | 57.24±1.08a |
| Eriocitrin (25 mg/kg b.w.)+cisplatin | 47.42±1.19b | 34.58±1.89b |
| Eriocitrin (50 mg/kg b.w.)+cisplatin | 34.95±1.68b,c | 26.53±0.58b,c |
| Eriocitrin alone (50 mg/kg b.w.) | 30.15±0.31b,c | 21.47±0.35b,c |
The results are given as mean±SEM for six rats (n=6). Significant difference against normal control group is symbolized as a(p<0.05), whereas significant difference against cisplatin-induced nephrotoxic model group is symbolized as b(p<0.05), significant difference against eriocitrin (25 mg/kg b.w.) group is symbolized as c(p<0.05).
Effect of eriocitrin on DNA fragmentation and apoptosis markers
Normal control group and eriocitrin alone treated control group did not express any abnormal levels in the percentage of DNA fragmentation and also apoptosis marker enzymes PARP-1 and Caspase-3. The nephrotoxic model group administered with cisplatin showed significant increase (p<0.05) in the percentage of DNA fragmentation and significantly high activities (p<0.05) of PARP-1 and Caspase-3 enzymes (Table 4). In contrast, administration of eriocitrin dose-dependently prevented DNA fragmentation and reduced the activities (p<0.05) of apoptosis marker enzymes against cisplatin-induced DNA damage and apoptosis.
Protective effects of eriocitrin on DNA damage and apoptosis markers in cisplatin-induced nephrotoxicity.
| DNA fragmentation (%) | PARP-1 (%) | Caspase-3 (%) | |
|---|---|---|---|
| Normal control | 100.19±0.12 | 100.19±0.12 | 100.04±0.12 |
| Cisplatin model group | 542.48±6.60a | 388.00±9.05a | 219.85±8.70a |
| Eriocitrin (25 mg/kg b.w.)+cisplatin | 273.25±4.45b | 238.44±3.00b | 166.65±6.56b |
| Eriocitrin (50 mg/kg b.w.)+cisplatin | 189.99±7.76b,c | 167.43±2.49b,c | 167.43±2.49b |
| Eriocitrin alone (50 mg/kg b.w.) | 135.52±2.55b,c | 135.05±2.74b,c | 124.24±0.51b,c |
The results are given as mean±SEM for six rats (n=6). Significant difference against normal control group is symbolized as a(p<0.05), whereas significant difference against cisplatin-induced nephrotoxic model group is symbolized as b(p<0.05), significant difference against eriocitrin (25 mg/kg b.w.) group is symbolized as c(p<0.05).
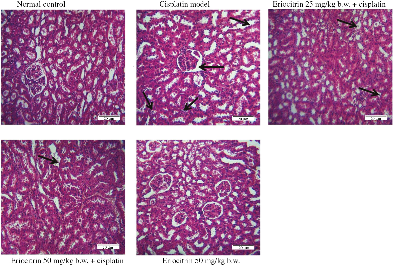
Effect of eriocitrin on histopathological changes
Histopathological results of the normal control and eriocitrin alone administered control group were having completely normal architecture (Figure 1). Cisplatin-induced renal toxic model group showed derangements in the renal pathology with dilated tubules, loss of epithelial cell borders and atrophy. These pathological changes were mitigated by eriocitrin administration in a dose-dependent manner against cisplatin-induced nephrotoxicity. The low dose of eriocitrin treated group showed slight tubular dilatation and atrophy but high dose of eriocitrin treatment exhibited very mild changes compared to the normal renal pathology.

Histopathological changes in kidney due to administration of eriocitrin against cisplatin-induced nephrotoxic rat model.
Normal control group and eriocitrin control group demonstrate common renal architecture; Cisplatin-induced nephrotoxic model group show signs of cell atrophy, dilated tubules and loss of boundary in endothelial cells (changes indicated by black arrow); Eriocitrin treated groups show protective features on the renal morphology against cisplatin-induced toxicity with mild loss of boundary (changes indicated by black arrow). H&E at 100× magnification.
Discussion
Renal toxicity is a serious problem among humans, as it will cause malfunction of kidneys, which eventually leads to death. Administration of cisplatin for the treatment of malignancies has shown side effects on kidney toxicity profile of patients [3]. Elimination of cisplatin during chemotherapy occurs mostly through kidneys compared to intestinal excretion. Due to high accumulation of cisplatin in kidney, administration of cisplatin at non-toxic blood levels causes renal toxicity [20]. As a management strategy, supplementation of antioxidants to attenuate the toxic effect of cisplatin has been promising for the past years [7]. From the results obtained, it was found that eriocitrin was able to prevent oxidative stress induced by cisplatin in rats. Elevated levels of renal biomarkers; urea, proteinuria and creatinine in the nephrotoxic model group can be related to degradation of glomerular function and membrane permeability in kidney. Moreover, low serum albumin level in the model group explains the degradation and decreased synthesis of albumin due to toxicity of cisplatin. Administration of eriocitrin altered the levels of cisplatin-induced renal biomarkers similar to the results of El-Shen et al. [21]. Cisplatin induces nephrotoxicity by accumulating in the lining epithelium of tubules in kidney which triggers a complex reaction of oxidative stress, inflammation and apoptosis. Cisplatin induced oxidative stress is based on formations of cisplatin-DNA adducts, disallowing DNA replication, causing production of free radicals [22]. Reactive oxygen species (ROS) formed during cisplatin-induced renal toxicity is assumed to be generated during entrance of cisplatin into renal tubular cells, creating positively charged electrophiles upon hydrolysis. These electrophiles accumulate in negatively charged mitochondria, causing inactivity of respiratory complexes, leading to ROS formation. Another process of ROS formation is due to reduction of GSH and antioxidant enzymes by cisplatin [20]. Oxidative stress levels in the nephrotoxic model group were demonstrated by declined levels of GSH, SOD and CAT along with an increase of lipid peroxidation. Similar to the results of Abdel-Daim et al. [16], eriocitrin remarkably altered the effects of oxidative stress induced by cisplatin through regulation of GSH and antioxidant enzymes to prevent oxidization of cell membranes.
Inflammatory reactions caused by cisplatin were observed in the nephrotoxic model group as the ELISA assay found that serum levels of pro-inflammatory cytokines TNF-α and IL-1β along with the serum nitric oxide concentrations were elevated. This shows the antioxidant regulation was disturbed in the kidney tissues similar to the findings of Sooriyaarachchi et al. [23] and Adil et al. [10]. Administration of eriocitrin mitigated the inflammatory response induced by cisplatin by suppressing the pro-inflammatory cytokines and NO levels. Prevention of cell membrane oxidation and preservation of mitochondrial integrity can be related to the mitigating effects of eriocitrin against oxidative stress and inflammation. The renal morphology of cisplatin-induced toxic model group was in accordance to the biochemical results which showed severe damage to the glomerulus along with dilated tubules and degenerated cells. These observations were significantly altered in eriocitrin treated groups where the renal morphology was well preserved. These results were in agreement with the results of Canayakin et al. [24]. Cisplatin-induced apoptosis and DNA damage in the model group was proven through the apoptotic enzyme reactions and DNA fragmentation results. It was found that PARP-1 and Caspase-3 activities were increased in the nephrotoxic model group. PARP-1 is a nuclear enzyme known to be involved in DNA repair mechanism and is associated with Caspase-3 during an apoptotic reaction, where the latter cleaves PARP-1 to prevent recruitment of the enzyme to DNA repair site. Therefore, apoptosis of cell takes place with the help of Caspase-3. High percentage of DNA fragmentation in the nephrotoxic model group can be related to the high activities of PARP-1 and Caspase-3. Eriocitrin was able to protect the renal cells through prevention of apoptosis and DNA damage similar to the results of Shukla et al. [19] and Kim et al. [25].
Recent studies on oral administration of eriocitrin reported the anti-inflammatory potentials on experimental colitis in mice model [26] and ameliorative effect on hepatic steatosis in diet-induced zebrafish [13]. Another in vitro study on hepatocellular carcinoma cells evidenced anti-proliferative effect of eriocitrin [27]. These studies have common findings with the results obtained in this study such as anti-inflammatory effect of eriocitrin by suppression of pro-inflammatory cytokines, anti-apoptotic effect on normal cells, and DNA damage prevention. The dose-dependent nephroprotective results of eriocitrin suggest that 50 mg/kg b.w. dose of eriocitrin can be used for further studies on pre-clinical trials on similar disease models. The eriocitrin alone treated control group results additionally provide evidence on the safety of the compound at 50 mg/kg b.w. dose. Limitations of this study are that the specific mechanisms or pathways involved in the anti-apoptotic and nephroprotective of eriocitrin were not elucidated. Moreover, due to limited resources, a study on curative effects (post-treatment) of eriocitrin on cisplatin-induced renal toxicity could not be conducted. Future studies are recommended for curative effects of eriocitrin on cisplatin-induced nephrotoxicity along with the mechanisms and pathways involved. Overall, the findings of this study provides evidence that eriocitrin has the ability to prevent oxidative stress, inflammatory reaction and apoptosis in cisplatin-induced nephropathy in rats through regulation of antioxidants and alleviation of cellular membrane and DNA-damage.
Conclusion
The findings of this research prove that eriocitrin has anti-apoptotic and nephroprotective effects against cisplatin-induced nephrotoxicity via alleviation of oxidative stress and DNA-damage. It can be suggested that eriocitrin could function as a chemopreventive adjuvant to be administered along with cisplatin during malignant cancer treatments. Clinical validations are required to proof the effectiveness of eriocitrin against nephrotoxicity in cisplatin-treated cancer patients.
Conflicts of interest: Authors have no potential conflicts of interests to declare regarding this study.
References
1. Tsuruya K, Ninomiya T, Tokumoto M, Hirakawa M, Masutani K, Taniguchi M, et al. Direct involvement of the receptor-mediated apoptotic pathways in cisplatin-induced renal tubular cell death. Kidney Int 2003;63:72–82.10.1046/j.1523-1755.2003.00709.xSuche in Google Scholar PubMed
2. Manohar S, Leung N. Cisplatin nephrotoxicity: a review of the literature. J Nephrol 2017;31:15–25.10.1007/s40620-017-0392-zSuche in Google Scholar PubMed
3. Arunkumar P, Viswanatha G, Radheshyam N, Mukund H, Belliyappa M. Science behind cisplatin-induced nephrotoxicity in humans: a clinical study. Asian Pac J Trop Biomed 2012;2: 640–4.10.1016/S2221-1691(12)60112-9Suche in Google Scholar PubMed PubMed Central
4. Uehara T, Yamate J, Torii M, Maruyama T. Comparative nephrotoxicity of cisplatin and nedaplatin: mechanisms and histopathological characteristics. J Toxicol Pathol 2011;24:87–94.10.1293/tox.24.87Suche in Google Scholar PubMed PubMed Central
5. Chirino YI, Pedraza-Chaverri J. Role of oxidative and nitrosative stress in cisplatin-induced nephrotoxicity. Exp Toxicol Pathol 2009;61:223–42.10.1016/j.etp.2008.09.003Suche in Google Scholar PubMed
6. Florea A, Busselberg D. Cisplatin as an anti-tumor drug: cellular mechanisms of activity, drug resistance and induced side effects. Cancers 2011;3:1351–71.10.3390/cancers3011351Suche in Google Scholar PubMed PubMed Central
7. Oh G, Kim H, Shen A, Lee SB, Khadka D, Pandit A, et al. Cisplatin-induced kidney dysfunction and perspectives on improving treatment strategies. Electrolyte Blood Press 2014;12:55–65.10.5049/EBP.2014.12.2.55Suche in Google Scholar PubMed PubMed Central
8. Busari A, Adejare A, Shodipe A, Oduniyi O, Ismail-Badmus K, Oreagba I. Protective but non-synergistic effects of Nigella sativa and Vitamin E against cisplatin-induced renal toxicity and oxidative stress in wistar rats. Drug Res 2018;68:696–703.10.1055/a-0626-7003Suche in Google Scholar PubMed
9. El-Naga RN. Pre-treatment with cardamonin protects against cisplatin-induced nephrotoxicity in rats: impact on NOX-1, inflammation and apoptosis. Toxicol Appl Pharmacol 2014;274:87–95.10.1016/j.taap.2013.10.031Suche in Google Scholar PubMed
10. Adil M, Kandhare AD, Dalvi G, Ghosh P, Venkata S, Raygude KS, et al. Ameliorative effect of berberine against gentamicin-induced nephrotoxicity in rats via attenuation of oxidative stress, inflammation, apoptosis and mitochondrial dysfunction. Ren Fail 2016;38:996–1006.10.3109/0886022X.2016.1165120Suche in Google Scholar PubMed
11. Smeriglio A, Cornara L, Denaro M, Barreca D, Burlando B, Xiao J, et al. Antioxidant and cytoprotective activities of an ancient Mediterranean citrus (Citrus lumia Risso) albedo extract: microscopic observations and polyphenol characterization. Food Chem 2019;279:347–55.10.1016/j.foodchem.2018.11.138Suche in Google Scholar PubMed
12. Miyake Y, Suzuki E, Ohya S, Fukumoto S, Hiramitsu M, Sakaida K, et al. Lipid-lowering effect of eriocitrin, the main flavonoid in lemon fruit, in rats on a high-fat and high-cholesterol diet. J Food Sci 2006;71:S633–7.10.1111/j.1750-3841.2006.00192.xSuche in Google Scholar
13. Hiramitsu M, Shimada Y, Kuroyanagi J, Inoue T, Katagiri T, Zang L, et al. Eriocitrin ameliorates diet-induced hepatic steatosis with activation of mitochondrial biogenesis. Sci Rep 2014;4:3708.10.1038/srep03708Suche in Google Scholar PubMed PubMed Central
14. Minato K, Miyake Y, Fukumoto S, Yamamoto K, Kato Y, Shimomura Y, et al. Lemon flavonoid, eriocitrin, suppresses exercise-induced oxidative damage in rat liver. Life Sci 2003;72:1609–16.10.1016/S0024-3205(02)02443-8Suche in Google Scholar PubMed
15. Miyake Y, Yamamoto K, Tsujihara N, Osawa T. Protective effects of lemon flavonoids on oxidative stress in diabetic rats. Lipids 1998;33:689–95.10.1007/s11745-998-0258-ySuche in Google Scholar PubMed
16. Abdel-Daim MM, Abushouk AI, Donia T, Alarifi S, Alkahtani S, Aleya L, et al. The nephroprotective effects of allicin and ascorbic acid against cisplatin-induced toxicity in rats. Env Sci Pollut Res 2019;26:13502–9.10.1007/s11356-019-04780-4Suche in Google Scholar PubMed
17. Basu A, Bhattacharjee A, Hajra S, Samanta A, Bhattacharya S. Ameliorative effect of an oxovanadium (IV) complex against oxidative stress and nephrotoxicity induced by cisplatin. Redox Rep 2016;22:377–87.10.1080/13510002.2016.1260192Suche in Google Scholar PubMed PubMed Central
18. Abdel-Daim MM, Kilany OE, Khalifa HA, Ahmed AA. Allicin ameliorates doxorubicin-induced cardiotoxicity in rats via suppression of oxidative stress, inflammation and apoptosis. Cancer Chemother Pharmacol 2017;80:745–53.10.1007/s00280-017-3413-7Suche in Google Scholar PubMed
19. Shukla R, Banerjee S, Tripathi YB. Antioxidant and antiapoptotic effect of aqueous extract of Pueraria tuberosa (Roxb. Ex Willd.) DC on streptozotocin-induced diabetic nephropathy in rats. BMC Compl Alt Med 2018;18:156.10.1186/s12906-018-2221-xSuche in Google Scholar PubMed PubMed Central
20. Kandemir FM, Yildirim S, Caglayan C, Kucukler S, Eser G. Protective effects of zingerone on cisplatin-induced nephrotoxicity in female rats. Env Sci Poll Res 2019;26:22562–74.10.1007/s11356-019-05505-3Suche in Google Scholar PubMed
21. El-Shen NS, Al-Eisa RA, Hamza RZ, Mehana AE. The Influence of L-carnitine on aspartame toxicity in kidney of male rats. Int J Pharmacol 2018;14:1118–27.10.3923/ijp.2018.1118.1127Suche in Google Scholar
22. Kaygusuzoglu E, Caglayan C, Kandemir FM, Yıldırım S, Kucukler S, Kılınc MA, et al. Zingerone ameliorates cisplatin-induced ovarian and uterine toxicity via suppression of sex hormone imbalances, oxidative stress, inflammation and apoptosis in female wistar rats. Biomed Pharmacother 2018;102:517–30.10.1016/j.biopha.2018.03.119Suche in Google Scholar PubMed
23. Sooriyaarachchi M, White WM, Narendran A, Gailer J. Chemoprotection byd-methionine against cisplatin-induced side-effects: insight from in vitro studies using human plasma. Metallomics 2014;6:532–41.10.1039/C3MT00238ASuche in Google Scholar
24. Canayakin D, Bayir Y, Baygutalp NK, Karaoglan ES, Atmaca HT, Ozgeris FB, et al. Paracetamol-induced nephrotoxicity and oxidative stress in rats: the protective role of Nigella sativa. Pharm Biol 2016;54:2082–91.10.3109/13880209.2016.1145701Suche in Google Scholar PubMed
25. Kim J, Park J, Kim K, Jo J, Leem J, Park K. Pharmacological inhibition of Caspase-1 ameliorates cisplatin-induced nephrotoxicity through suppression of apoptosis, oxidative stress and inflammation in mice. Mediat Inflamm 2018;2018:6571676.10.1155/2018/6571676Suche in Google Scholar PubMed PubMed Central
26. Guo G, Shi W, Shi F, Gong W, Li F, Zhou G, et al. Anti-inflammatory effects of eriocitrin against the dextran sulfate sodium-induced experimental colitis in murine model. J Biochem Mol Toxicol 2019;e22400.10.1002/jbt.22400Suche in Google Scholar PubMed
27. Wang Z, Zhang H, Zhou J, Zhang X, Chen L, Chen K, et al. Eriocitrin from lemon suppresses the proliferation of human hepatocellular carcinoma cells through inducing apoptosis and arresting cell cycle. Cancer Chemother Pharmacol 2016;78:1143–50.10.1007/s00280-016-3171-ySuche in Google Scholar PubMed
©2020 Walter de Gruyter GmbH, Berlin/Boston
Artikel in diesem Heft
- Frontmatter
- Research Articles
- Development of new total RNA isolation method for tissues with rich phenolic compounds
- Myofibrillar degeneration with diphtheria toxin
- In vitro and in silico studies on AChE inhibitory effects of a series of donepezil-like arylidene indanones
- In vitro antioxidant, anti-inflammatory and anti-cancer activities of methanolic extract of Asparagus horridus grows in North Cyprus Kuzey Kıbrıs da yetişen Asparagus horridus metanolik ekstraktının in-vitro antioksidan, anti-enflamatuar ve anti-kanser aktivitesi
- Purification and characterization of glucose-6-phosphate dehydrogenase from Eisenia fetida and effects of some pesticides and metal ions
- Nephroprotective effects of eriocitrin via alleviation of oxidative stress and DNA damage against cisplatin-induced renal toxicity
- The impact of orally administered gadolinium orthovanadate GdVO4:Eu3+ nanoparticles on the state of phospholipid bilayer of erythrocytes
- An anxiolytic drug buspirone ameliorates hyperglycemia and endothelial dysfunction in type 2 diabetic rat model
- Effects of mesenchymal stem cell and amnion membrane transfer on prevention of pericardial adhesions
- How potential endocrine disruptor deltamethrin effects antioxidant enzyme levels and total antioxidant status on model organisms
- Antiproliferative effect of rosehip tea phenolics in prostate cancer cell lines
- Investigation of MMP-9 rs3918242 and TIMP-2 rs8179090 polymorphisms in renal cell carcinoma tissues
- Investigation of SR-BI gene rs4238001 and rs5888 polymorphisms prevalence and effects on Turkish patients with metabolic syndrome
- Assessment of the frequency and biochemical parameters of conjunctivitis in COVID-19 and other viral and bacterial conditions
- Short Communication
- Lack of hotspot mutations other than TP53 R249S in aflatoxin B1 associated hepatocellular carcinoma
- Letter to the Editors
- Cornuside, identified in Corni fructus, suppresses melanin biosynthesis in B16/F10 melanoma cells through tyrosinase inhibition
- The extract of male bee and beehive from Bombus terrestris has biological efficacies for promoting skin health
- COVID-19 laboratory biosafety guide
- Retraction note
Artikel in diesem Heft
- Frontmatter
- Research Articles
- Development of new total RNA isolation method for tissues with rich phenolic compounds
- Myofibrillar degeneration with diphtheria toxin
- In vitro and in silico studies on AChE inhibitory effects of a series of donepezil-like arylidene indanones
- In vitro antioxidant, anti-inflammatory and anti-cancer activities of methanolic extract of Asparagus horridus grows in North Cyprus Kuzey Kıbrıs da yetişen Asparagus horridus metanolik ekstraktının in-vitro antioksidan, anti-enflamatuar ve anti-kanser aktivitesi
- Purification and characterization of glucose-6-phosphate dehydrogenase from Eisenia fetida and effects of some pesticides and metal ions
- Nephroprotective effects of eriocitrin via alleviation of oxidative stress and DNA damage against cisplatin-induced renal toxicity
- The impact of orally administered gadolinium orthovanadate GdVO4:Eu3+ nanoparticles on the state of phospholipid bilayer of erythrocytes
- An anxiolytic drug buspirone ameliorates hyperglycemia and endothelial dysfunction in type 2 diabetic rat model
- Effects of mesenchymal stem cell and amnion membrane transfer on prevention of pericardial adhesions
- How potential endocrine disruptor deltamethrin effects antioxidant enzyme levels and total antioxidant status on model organisms
- Antiproliferative effect of rosehip tea phenolics in prostate cancer cell lines
- Investigation of MMP-9 rs3918242 and TIMP-2 rs8179090 polymorphisms in renal cell carcinoma tissues
- Investigation of SR-BI gene rs4238001 and rs5888 polymorphisms prevalence and effects on Turkish patients with metabolic syndrome
- Assessment of the frequency and biochemical parameters of conjunctivitis in COVID-19 and other viral and bacterial conditions
- Short Communication
- Lack of hotspot mutations other than TP53 R249S in aflatoxin B1 associated hepatocellular carcinoma
- Letter to the Editors
- Cornuside, identified in Corni fructus, suppresses melanin biosynthesis in B16/F10 melanoma cells through tyrosinase inhibition
- The extract of male bee and beehive from Bombus terrestris has biological efficacies for promoting skin health
- COVID-19 laboratory biosafety guide
- Retraction note