Abstract
This study showed the fabrication of gold nanoparticles (AuNPs) utilizing Erythrina senegalensis leaf extract as an effective, low-cost and eco-friendly approach. The bioconstituents existing in the E. senegalensis leaf extract are accountable for reducing and stabilization of NPs. The produced AuNPs were studied by using transmission electron microscopy, X-ray diffraction, UV-visible (UV-Vis) spectroscopy, Fourier transform infrared spectroscopy and energy-dispersive X-ray spectroscopy. In addition, this study also showed that the prepared AuNPs exhibited very good antipneumonial activity against mycoplasmal pneumonia in the investigational animals, indicating their potential for the development of new therapeutic drugs for the lung injury treatments in in the future.
1 Introduction
Due to the adverse medical consequences of pneumonia, the World Health Organization (WHO) has listed pneumonia as the major cause of death of the three most severe pediatric diseases in the world [1,2]. WHO’s recent survey stated that 19% of children died due to pneumonia at the age of 5 years. Pneumonia is a lung infection that causes inflammation in the alveoli (tiny air sacs in the lungs). Normally, pneumonia occurs due to bacteria or virus, different autoimmune diseases and few drugs [3].
One of the major significant pathogens that induce pneumonia in children is Mycoplasma pneumoniae. After clinical researches, the prospects in causative impacts of M. pneumoniae have expanded [4]. Eventually, M. pneumoniae has developed resistance and virulence to antibiotics over a decade, and hence, the treatment of M. pneumoniae became difficult. It is supposed that M. pneumoniae had a potential of affecting the respiratory epithelium in the lungs that may lead to pulmonary fibrosis and asthma [5]. Therefore, the need to investigate successful methods of treatment utilizing synthetic medicines has increased.
Gold nanoparticles (Au NPs) are an important class of nanomaterials that are widely used in cancer treatment with hyperthermia [6], infrared radiation absorbing optics [7], and Raman spectroscopy with enhanced surface [8]. In addition, Au NPs have been receiving more interest for scientific research owing to their smaller size, which results in their unique properties. Moreover, Au NPs are being utilized to develop many new progressions in the fields of biosensors, drug delivery, bionanotechnology, and medicine. Aluminum nanomaterials play a significant role in the process of drug delivery through encapsulating the drugs using enhanced solubility for evasion-clear pathways and enabling the drugs to be delivered at the appropriate cell site [9]. The metal nanoparticles-coated materials were being utilized in the medical industry for its numerous uses, such as the Au NPs comprising skin creams and skin ointments, which are commonly utilized to cure fire burnings and open wounds due to the infection of pathogens. For its protection against contagious bacteria, many implanting materials and diagnostic instruments are being treated with Au NPs [10,11].
Various synthetic methods were reported for the development of Au NPs with diversified sizes and shapes [12]. Wet chemical fabrication methods can be used to obtain various isotropic shapes, such as wires, rod structures and plates [13]. The green-route production of Au NPs is simple, low-cost prerequisite and environmentally safe; enables large-scale development; and often serves as a reducing and capping agent when compared with the chemical approaches. The chemical processes are quite expensive, and these methods also release harmful by-products that might create some dangerous effects to both the humans and the environment [14]. Conversely, various plant extracts, plant polyphenols, biomolecules and proteins are already reported to be used for the synthesis of nanomaterials such as, silver, Au NPs and graphene materials. Hence, there is a demand for the new biological methods for the development of drugs for biomedical applications [15,16,17,18,19,20,21,22,23,24].
In this study, we described the monodispersive Au NPs synthesis using a one-step simple process under room temperature conditions. Au NPs were synthesized with the help of aqueous leaf extract of Erythrina senegalensis by reducing aqueous chloroaurate ions (AuCl4−). The characteristics of the prepared Au NPs were studied by performing Fourier transform infrared spectroscopy (FTIR), transmission electron microscopy (TEM), energy dispersion X-ray spectroscopy (EDX), and UV-vis spectroscopy. The current work also showed that the prepared AuNPs exhibited very good antipneumonial activity against M. pneumonia in the studied animals, indicating their potential for the development of new therapeutic drugs for the treatment of lung injuries in the future.
2 Materials and methods
2.1 Materials
Tetrachloroauric acid (HAuCl4·3H2O) was obtained from Sigma-Aldrich (Shanghai, China). During the entire experiment, HAuCl4 (1 mM) aqueous solution that was freshly produced using double-distilled (DD) water was only utilized. All the glassware utilized in the experiments were rinsed well with distilled water before starting the experiments.
2.2 Au NPs synthesis
To prepare the plant extract for reducing Au3+ ions to Au0, 10 g of freshly collected E. senegalensis leaves were placed in a freshly cleaned 200 mL Erlenmeyer flask, and then, 1,000 mL sterile DD water was added and boiled for 5 min. The solution was then filtered using a cellulose nitrate filter paper to obtain a clear plant extract solution. In a standard test, 3 and 5 mL plant extracts were added separately to 1 mM aqueous HAuCl4 solution (45 mL), and solutions were left aside at room temperature. Then, the reduction of AuCl4− was observed in the UV-visible absorption spectrum.
2.3 Purification of AuNPs
After completion of the reaction process, Bench top, Eppendorf, Thermo Fisher Scientific equipment from Germany was utilized to centrifuge Au NPs for about 20 min at 14,000 rpm by maintaining ambient temperature for removing any huge aggregates. Later, the obtained mixture was collected and purified with the help of PD-10 columns from GE Healthcare, USA. The eluted samples (total 3.5 mL) were obtained and dialyzed with 10 mM of 7.0 pH sodium phosphate buffer with the help of 20 kDa dialysis bags (Spectrum Labs) with a buffer swap after 2 h, followed by overnight incubation for about 15–18 h.
2.4 Animals and grouping
Three-week-old BALB/c mice weighing about 15 ± 1 g were procured and preserved in pathogen- and dust-free laboratory surroundings. The animals are divided into four groups. The first group animals are considered as controls and administered with regular dietary pellets, while the second group animals were injected with pneumonia. Nasal drops comprising 100 mL MPFH (1 × 107 ccu/mL) were given for 2 days to the second group animals. The third group animals are administered 20 mg/kg synthesized AuNPs for 3 days accompanied by pneumonia infection. The fourth group animals are treated for 3 days using 0.10 g/kg azithromycin (AZM). After the procedure, all the mice were anesthetized with the help of chloroform accompanied by cervical displacement. The animals are then obtained for the studies.
2.5 Collection of bronchoalveolar lavage fluid (BALF)
The five different 30 mL aliquots of 0.89% sterile saline solution are instilled into the lingual or middle lobe on the right side. For the isolation of cells as well as other contaminants, the obtained fluid of bronchoalveolar lavage was centrifuged immediately for about 10 min at 6,000 rpm. Polypropylene tubes were used to collect the cell-free supernatants after the centrifugation. Later, the final obtained sample was stored for further assessment at −75°C.
2.6 Total BALF cells examination
The mucus was separated from the obtained BALF by straining through the surgical gauze monolayer. A total of 5 mL BALF aliquot was utilized to calculate the overall cells along with the help of hemocytometer. After the cytocentrifugation, the differential cell counts are performed, and the Giemsa stain was utilized for counting and staining. Neutrophils, lymphocytes, epithelial, macrophages, and eosinophil cells are counted, and the results are reported in percentage.
2.7 Total proteins and inflammatory cytokines in BALF
To eliminate all unnecessary mucus and cell debris, the total obtained BALF was centrifuged for about 20 min at 5,000 rpm. The supernatant was then utilized for the experiment, and the remaining was kept for further testing at −80°C. The tumor necrosis factor alpha (TNF-a); interleukins (ILs)-6, -8 and -1; and transforming growth factor (TGF) in the BALF are calculated with the help of murine-specific commercial kits through immunosorbent linked with sandwich enzyme to evaluate the production of proinflammatory cytokine in the observational animal study. All the guidelines of the manufacturer were followed. We estimated the total content of protein in the BALF, and it is utilized as a measure of epithelial damage and lung permeability. The protein assay kit was utilized to estimate the total content of protein in the BALF based on the Bradford method using standard serum called bovine albumin serum.
2.8 Histopathological examination
The mediocre lobe on the right side of the experimental and control rat’s lungs was collected on 4th day after anesthetizing the rats. The obtained lungs are placed in 5% formaldehyde and then fixed with paraffin wax. The lungs that were fixed with wax are then sliced into 5 µm small pieces. Then, hematoxylin and eosin (H&E) were used to stain the lung pieces. An optical microscope was utilized to perform the histopathological assessment of lungs to identify any inflammation or damage in the lung tissues.
2.9 Statistical examination
The results are presented as mean ± standard deviation for three separate experiments. Results are displayed subjecting to statistical examination by conducting one-way ANOVA accompanied by the study of Student–Newman–Keul with the help of Graph Pad prism 4 statistical software. P < 0.05 was considered as statistically significant.
3 Results and discussion
By the change in the color of the solution to ruby red from light yellow and through the existence of standard plasmon peak in UV-visible spectrum at 525–540 nm range along with the maximum peak range of about 540 nm, it is evident that the Au NPs were formed. This absorption in the visible region is because of the surface plasmon resonance (SPR) absorption of Au NPs (Figure 1). SPR band is highly sensitive to the properties of the nanoparticles (size and shape), the refractive index of the medium, the distance between neighboring NPs and the environment in which the nanoparticles are dispersed. The peak range is addressed as a unique feature of the formed Au NPs with 30–50 nm diameter [25,26].

UV-visible absorption of AuNPs.
The TEM images showed that the formed particles consist of mostly poly-crystalline and spherical-shaped Au NPs with an average particle size of 42 nm (Figure 2a and b). The results are also supported by the DLS size distribution histogram shown in Figure 2c, representing that the NPs are existed in the size ranging from 40 to 50 nm. In addition, Figure 2d shows the EDX analysis of the prepared AuNPs, which revealed that the formed nanoparticles mainly consist of gold (Figure 2c), indicating the formation of AuNPs without any impurities.

TEM images (a and b); DLS size distribution (c) and EDS spectrum (d) of AuNPs.
The study of XRD confirmed the presence of four significant peaks between 20 and 80 2θ range (Figure 3). The peak of diffraction observed at 77.8°, 64.7°, 44.5° and 38.1° related to the facets 311, 220, 200 and 111, respectively, of the face-centered cubic (FCC) crystal lattice, which are compatible with the recorded values of different gold nanostructures [27]. The recorded peak values have matched Au NP’s FCC cubic structures as well as planes that were developed by other approaches of green synthesis [28,29,30,31].

XRD pattern of the prepared AuNPs.
Figure 4 shows the FTIR spectrum of the prepared AuNPs, which showed a strong absorption band at 3,400 cm−1 corresponding to O–H stretching vibrations of polyphenolic groups. An intense band is found at 1,672 cm−1, representing the existence of C═O stretch vibrations of carbonyls functionalities, which are formed after oxidation of hydroxyl functionalities of polyphenolic constituents of plant extract after reduction. The bands found at 1,384 and 1,134 cm−1 are corresponding to –NO2 groups of aliphatic nitro and C–N stretch of aliphatic amines and C–O stretch of –COOH functionalities. A small vibrational band found at 604 cm−1 is because of the presence of alkyl halides. All these bands existed in the FTIR spectrum further indicated the capping of the prepared AuNPs with plant bioconstituents.

FTIR spectrum of the prepared AuNPs.
3.1 Effect of AuNPs on the levels of BALF total protein, total cells and cytokines of BALF in animals
The inflammation takes place in a quite serious molecular level. Cytokines such as IL-1, IL-6, IL-8, tumor necrosis factor alpha (TNF-α) and TGF are reported to play a quite important and significant role in the inflammatory process. IL-1 and TNF-α are the most significant mediators in the inflammatory cycle. These two cytokines evolved as the early progressions of the inflammatory cycle. These cytokines have the ability to increase the permeability of lung endothelial cells. It could also promote the development and the release of alternate cytokines and initiate the formation of lymphocytes and neutrophils [32]. IL-6 assists in the body’s immune response by facilitating the alteration or differentiation of untimely B cells antibody-secreting cells. Interestingly, the IL-6 promotes the development of T cells. IL-8 could activate the T cells, eosinophils and neutrophils through promoting the neutrophils degranulation, elastase discharging injury of the endothelial cells. Such cytokines are the main inflammatory mediators. Such cytokines play a very significant and essential function in alveolar matrix dilapidation, which is related with pneumonia [33].
In the present study, there was an increase in the total protein levels of BALF (p < 0.001) in experimental animals with pneumonia compared to the control mice group. On treating with AuNPs fabricated using E. senegalensis, there was a significant reduction in overall BALF protein (p < 0.001) compared to the animal group with pneumonia (Figure 5). The total level of BALF protein was also observed to be decreased on treating with standard drug called AZM. Through this outcome, it can be clearly demonstrated that ameliorative effects are exhibited by the AuNPs fabricated using E. senegalensis.

Levels of BALF total protein on AuNPs treatment in mice.
In this analysis, experimental animals with pneumonia displayed a spontaneous increase in the total count of cells in the BALF when compared with the control group animals (Figure 6). On administrating AuNPs fabricated using E. senegalensis resulted in significantly reducing the total count of proteins in the BALF (p < 0.001). Also, on treating with traditional drug, AZM displayed a decline in the quantity of overall cell count.

Effect of AuNPs on total number of cells in mice.
When compared with the normal animal group of control, there was a significant increase (p < 0.001) in the BALF cytokines levels like interleukin-1, interleukin-6, tumor necrosis factor alpha, interleukin-8 and TGF in the animals with pneumonia (Figure 7a).

Effects of AuNPs on BALF cytokines in mice. (a) Levels of IL-6, TGF and IL-1 and (b) levels of IL-8 and TNF-α.
When compared with the animal group with pneumonia, the animals treated with AuNPs fabricated using E. senegalensis showed a remarkable decline in the levels of BALF cytokines (Figure 7b). The standard drug treatment with AZM too displayed a decrease in the cytokines levels of BALF. This obviously shows that the AuNPs fabricated using E. senegalensis demonstrated the curative results.
3.2 Histopathological impact of fabricated Au NPs on lungs in mice
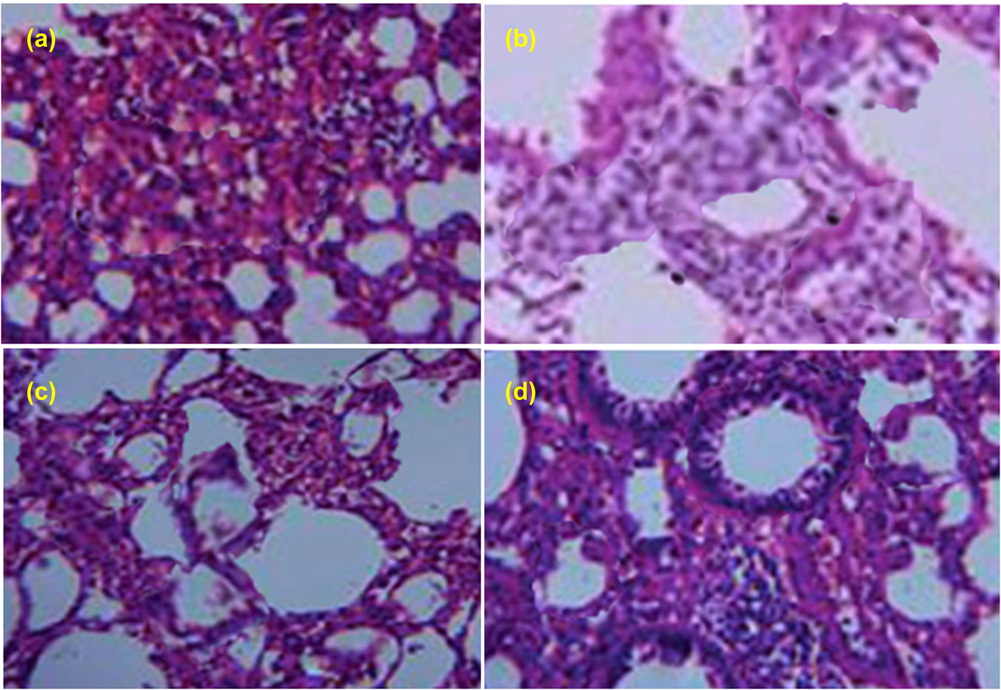
The control group (group I) mice displayed a healthy cellular arrangement and alveoli structures or micro-air sacs on histopathological staining of their lungs (Figure 8a). The analysis of histological sections of pneumonia-treated animal groups (group II) displayed maximum lymphocytes and plasmocytic pulmonary interstitial infiltration, as well as vasodilation congestion and bronchus (Figure 8b). On treatment with AuNPs fabricated using E. senegalensis displayed an obvious reduction in lymphocytes and plasmocytes peripheral infiltration in group III animals. A decrease in the lung cell inflammation was also observed when compared to the animal group with pneumonia (Figure 8c). The damage caused by pneumonia was almost restored by AuNPs. Conversely, the standard drug treatment of AZM displayed an obvious decrease in the cellular damage (p < 0.001) in group IV animals (Figure 8d). These outcomes indicated that the ameliorative effects are demonstrated by the AuNPs fabricated from E. senegalensis.

Histological images of lungs in mice showing the effect of AuNPs: (a) group I (control); (b) group II (pneumonia induced); (c) group III (AuNPs treatment at 20 mg/kg); (d) group IV (AZM treatment at 0.10 g/kg).
Furthermore, the Au NPs synthesized from the E. senegalensis aqueous extract effectively decreased the pulmonary interstitial penetration of the lymphocytes. The vasodilation congestion and bronchus had almost vanished in the animals treated with AuNPs. The as-prepared AuNPs using the E. senegalensis tubers in the present research work effectively decreased the inflammatory cytokines level on the animals used in the experiment.
4 Conclusions
We showed the synthesis of AuNPs using E. senegalensis leaf extract as effective, low-cost, and eco-friendly approach. FTIR spectrum confirmed the capping of AuNPs with plant extract polyphenols. In addition, the prepared AuNPs exhibited an excellent antipneumonial activity in M. pneumonia of the investigational animals, indicating their potential for the development of new therapeutic drugs for the treatment of M. pneumonia in the future.
References
[1] Brown SM, Jones JP, Aronsky D, Jones BE, Lanspa MJ, Dean NC. Relationships among initial hospital triage, disease progression and mortality in community-acquired pneumonia. Respirology. 2012;17:1207.10.1111/j.1440-1843.2012.02225.xSearch in Google Scholar PubMed PubMed Central
[2] Zasowski E, Butterfield JM, McNutt LA, Cohen J, Cosler L, Pai MP, et al. Relationship between time to clinical response and outcomes among Pneumonia Outcomes Research Team (PORT) risk class III and IV hospitalized patients with community-acquired pneumonia who received ceftriaxone and azithromycin. Antimicrob Agents Chemother. 2014;58:3804.10.1128/AAC.02632-13Search in Google Scholar PubMed PubMed Central
[3] Guo L, Liu F, Lu MP, Zhenng Q, Chen ZM. Increased T cell activation in BALF from children with Mycoplasma pneumoniae pneumonia. Pediatr Pulmonol. 2015;50:814.10.1002/ppul.23095Search in Google Scholar PubMed
[4] Shangguan Z, Sun Q, Zhang M, Ding J, Yi L, Gao Y, et al. Mycoplasma pneumoniae infection in hospitalized adult patients with community-acquired pneumonia in China. J Infect DevCtries. 2014;8:1259.10.3855/jidc.4721Search in Google Scholar PubMed
[5] Balish MF. Mycoplasma pneumoniae, an underutilized model for bacterial cell biology. J Bacteriol. 2014;196:3675.10.1128/JB.01865-14Search in Google Scholar PubMed PubMed Central
[6] Vines JB, Yoon JH, Ryu NE, Lim DJ, Park H. Gold nanoparticles for photothermal cancer therapy. Front Chem. 2019;7:167.10.3389/fchem.2019.00167Search in Google Scholar PubMed PubMed Central
[7] Lee S, Cha EJ, Park K, Lee SY, Hong JK, Sun IC, et al. A near-infrared-fluorescence-quenched gold-nanoparticle imaging probe for in vivo drug screening and protease activity determination. Angew Chem. 2008;47:2804.10.1002/anie.200705240Search in Google Scholar PubMed
[8] Szekeres GP, Kneipp J. SERS probing of proteins in gold nanoparticle agglomerates. Front Chem. 2019;7:30.10.3389/fchem.2019.00030Search in Google Scholar PubMed PubMed Central
[9] Tyner KM, Schiffman SR, Giannelis EP. Nanobiohybrids as delivery vehicles for camptothecin. J Controlled Release. 2004;95:501.10.1016/j.jconrel.2003.12.027Search in Google Scholar PubMed
[10] Duran NMP, Alves OL, De Souza GIH. Mechanistic aspects of biosynthesis of silver nanoparticles by several Fusariumoxysporum strains. J Nanobiotechnol. 2005;3:8.10.1186/1477-3155-3-8Search in Google Scholar PubMed PubMed Central
[11] Ro B. Silver ions in the treatment of local infections. Met Based Drugs. 1999;6:297.Search in Google Scholar
[12] Suchomel P, Kvitek L, Prucek R, Panacek A, Halder A, Vajda S, Zboril R. Simple size-controlled synthesis of Au nanoparticles and their size-dependent catalytic activity. Sci Rep. 2018;8:4589.10.1038/s41598-018-22976-5Search in Google Scholar PubMed PubMed Central
[13] De Souza CD, Nogueira BR, Rostelato MECM. Review of the methodologies used in the synthesis gold nanoparticles by chemical reduction. J Alloys Compd. 2019;798:714.10.1016/j.jallcom.2019.05.153Search in Google Scholar
[14] Quang HT, Van QN, Anh-Tuan L. Silver nanoparticles: synthesis, properties, toxicology, applications and perspectives. Adv Nat Sci Nanosci Nanotechnol. 2013;4:1.10.1088/2043-6262/4/3/033001Search in Google Scholar
[15] Sireesh Babu M, Badal Kumar M, Raviraj V, Poliraju K, Reddy PS. Bio-inspired reduced graphene oxide nanosheets using Terminalia chebula seeds extract. Spectrochim Acta A. 2015;145:117.10.1016/j.saa.2015.02.037Search in Google Scholar PubMed
[16] Sireesh Babu M, Badal Kumar M, Raviraj V, Poliraju K, Reddy PS, Sai Kumar T, Kiran Kumar HA. Casein mediated green synthesis and decoration of reduced graphene oxide. Spectrochim Acta A. 2014;126:227.10.1016/j.saa.2014.01.114Search in Google Scholar PubMed
[17] Sireesh Babu M, Badal Kumar M, Asit Ranjan G, Govindaraja P, Kiran Kumar A. Synthesis of CuO nanosheets and its applications towards catalysis and antimicrobial activity. J Indian Chem Soc. 2015;92:1.Search in Google Scholar
[18] Sireesh Babu M, Badal Kumar M. A review on ‘Low-cost and eco-friendly green methods for graphene synthesis. Int J Nanosci Technol. 2014;3:2319.Search in Google Scholar
[19] Sireesh Babu M, Jegatheeswaran S, Suzu Serap, Guobin H, Yurong C, Junkuo G, Qingqing N, Juming Y. Silk sericin induced fabrication of reduced graphene oxide and its in vitro cytotoxicity, photothermal evaluation. J Photochem Photobiol B. 2018;186:189.10.1016/j.jphotobiol.2018.07.020Search in Google Scholar PubMed
[20] Sireesh Babu M, Badal Kumar M, Kiran Kumar A. Tyrosine assisted size controlled synthesis of silver nanoparticles and their catalytic and in-vitro cytotoxicity evaluation. Environ Toxicol Pharmacol. 2017;51:23.10.1016/j.etap.2017.02.020Search in Google Scholar PubMed
[21] Sireesh Babu M, Badal Kumar M, Vaibhav Vilas A, Sagar Patel H, Shivendu R, Nandita D. Diastase induced green synthesis of bilayered reduced graphene oxide and its decoration with gold nanoparticles. J Photochem Photobiol B. 2017;166:252.10.1016/j.jphotobiol.2016.12.008Search in Google Scholar PubMed
[22] Sireesh Babu M, Badal Kumar M, Swetha Kameswari M. Biofabrication of size controllable silver nanoparticles – a green approach. J Photochem Photobiol B. 2017;167:236.10.1016/j.jphotobiol.2017.01.003Search in Google Scholar PubMed
[23] Sireesh Babu M, Badal Kumar M, Kiran Kumar A. Environment friendly approach for size controllable synthesis of biocompatible Silver nanoparticles using diastase. Environ Toxicol Pharmacol. 2017;49:131.10.1016/j.etap.2016.11.019Search in Google Scholar PubMed
[24] Sireesh Babu M, Badal Kumar M, Shivendu R, Nandita D. Diastase assisted green synthesis of size controllable gold nanoparticles. RSC Adv. 2015;5:26727.10.1039/C5RA03117FSearch in Google Scholar
[25] Barnes WL, Dereux A, Ebbesen TW. Surface plasmon subwavelength optics. Nature. 2003;424:824.10.1038/nature01937Search in Google Scholar
[26] Zuber A, Purdey M, Schartner E, Forbes C, van der Hoek B, Giles D, et al. Detection of gold nanoparticles with different sizes using absorption and fluorescence based method. Sens Actuators B. 2016;227:117.10.1016/j.snb.2015.12.044Search in Google Scholar
[27] Karuppiah C, Palanisamy S, Chen SM, Emmanuel R, Muthupandi K, Prakash P. Green synthesis of gold nanoparticles and its application for the trace level determination of painter’s colic. RSC Adv. 2015;5:16284.10.1039/C4RA14988BSearch in Google Scholar
[28] Yuan CG, Huo C, Gui B, Cao WP. Green synthesis of gold nanoparticles using Citrus maxima peel extract and their catalytic/antibacterial activities. IET Nanobiotechnol. 2017;11:523.10.1049/iet-nbt.2016.0183Search in Google Scholar
[29] Biao L, Tan S, Meng Q, Gao J, Zhang X, Liu Z, et al. Green synthesis, characterization and application of proanthocyanidins-functionalized gold nanoparticles. Nanomaterials. 2018;8:53.10.3390/nano8010053Search in Google Scholar
[30] Rao Y, Inwati GK, Singh M. Green synthesis of capped gold nanoparticles and their effect on Gram-positive and Gram-negative bacteria. Future Sci. 2017;3:FSO239.10.4155/fsoa-2017-0062Search in Google Scholar
[31] Uthaman S, Kim HS, Revuri V, Min JJ, Lee YK, Huh KM, et al. Green synthesis of bioactive polysaccharide-capped gold nanoparticles for lymph node CT imaging. Carbohydr Polym. 2018;181:27.10.1016/j.carbpol.2017.10.042Search in Google Scholar
[32] Boddeke EW. Involvement of chemokines in pain. Eur J Pharmacol. 2001;429:115.10.1016/S0014-2999(01)01311-5Search in Google Scholar
[33] Bordon J, Aliberti S, Fernandez-Botran R. Understanding the roles of cytokines and neutrophil activity and neutrophil apoptosis in the protective versus deleterious inflammatory response in pneumonia. Int J Infect Dis. 2013;17:76.10.1016/j.ijid.2012.06.006Search in Google Scholar PubMed
© 2020 Hong Yu et al., published by De Gruyter
This work is licensed under the Creative Commons Attribution 4.0 International License.
Articles in the same Issue
- Obituary for Prof. Dr. Jun-ichi Yoshida
- Regular Articles
- Optimization of microwave-assisted manganese leaching from electrolyte manganese residue
- Crustacean shell bio-refining to chitin by natural deep eutectic solvents
- The kinetics of the extraction of caffeine from guarana seed under the action of ultrasonic field with simultaneous cooling
- Biocomposite scaffold preparation from hydroxyapatite extracted from waste bovine bone
- A simple room temperature-static bioreactor for effective synthesis of hexyl acetate
- Biofabrication of zinc oxide nanoparticles, characterization and cytotoxicity against pediatric leukemia cell lines
- Efficient synthesis of palladium nanoparticles using guar gum as stabilizer and their applications as catalyst in reduction reactions and degradation of azo dyes
- Isolation of biosurfactant producing bacteria from Potwar oil fields: Effect of non-fossil fuel based carbon sources
- Green synthesis, characterization and photocatalytic applications of silver nanoparticles using Diospyros lotus
- Dielectric properties and microwave heating behavior of neutral leaching residues from zinc metallurgy in the microwave field
- Green synthesis and stabilization of silver nanoparticles using Lysimachia foenum-graecum Hance extract and their antibacterial activity
- Microwave-induced heating behavior of Y-TZP ceramics under multiphysics system
- Synthesis and catalytic properties of nickel salts of Keggin-type heteropolyacids embedded metal-organic framework hybrid nanocatalyst
- Preparation and properties of hydrogel based on sawdust cellulose for environmentally friendly slow release fertilizers
- Structural characterization, antioxidant and cytotoxic effects of iron nanoparticles synthesized using Asphodelus aestivus Brot. aqueous extract
- Phase transformation involved in the reduction process of magnesium oxide in calcined dolomite by ferrosilicon with additive of aluminum
- Green synthesis of TiO2 nanoparticles from Syzygium cumini extract for photo-catalytic removal of lead (Pb) in explosive industrial wastewater
- The study on the influence of oxidation degree and temperature on the viscosity of biodiesel
- Prepare a catalyst consist of rare earth minerals to denitrate via NH3-SCR
- Bacterial nanobiotic potential
- Green synthesis and characterization of carboxymethyl guar gum: Application in textile printing technology
- Potential of adsorbents from agricultural wastes as alternative fillers in mixed matrix membrane for gas separation: A review
- Bactericidal and cytotoxic properties of green synthesized nanosilver using Rosmarinus officinalis leaves
- Synthesis of biomass-supported CuNi zero-valent nanoparticles through wetness co-impregnation method for the removal of carcinogenic dyes and nitroarene
- Synthesis of 2,2′-dibenzoylaminodiphenyl disulfide based on Aspen Plus simulation and the development of green synthesis processes
- Catalytic performance of the biosynthesized AgNps from Bistorta amplexicaule: antifungal, bactericidal, and reduction of carcinogenic 4-nitrophenol
- Optical and antimicrobial properties of silver nanoparticles synthesized via green route using honey
- Adsorption of l-α-glycerophosphocholine on ion-exchange resin: Equilibrium, kinetic, and thermodynamic studies
- Microwave-assisted green synthesis of silver nanoparticles using dried extracts of Chlorella vulgaris and antibacterial activity studies
- Preparation of graphene oxide/chitosan complex and its adsorption properties for heavy metal ions
- Green synthesis of metal and metal oxide nanoparticles from plant leaf extracts and their applications: A review
- Synthesis, characterization, and electrochemical properties of carbon nanotubes used as cathode materials for Al–air batteries from a renewable source of water hyacinth
- Optimization of medium–low-grade phosphorus rock carbothermal reduction process by response surface methodology
- The study of rod-shaped TiO2 composite material in the protection of stone cultural relics
- Eco-friendly synthesis of AuNPs for cutaneous wound-healing applications in nursing care after surgery
- Green approach in fabrication of photocatalytic, antimicrobial, and antioxidant zinc oxide nanoparticles – hydrothermal synthesis using clove hydroalcoholic extract and optimization of the process
- Green synthesis: Proposed mechanism and factors influencing the synthesis of platinum nanoparticles
- Green synthesis of 3-(1-naphthyl), 4-methyl-3-(1-naphthyl) coumarins and 3-phenylcoumarins using dual-frequency ultrasonication
- Optimization for removal efficiency of fluoride using La(iii)–Al(iii)-activated carbon modified by chemical route
- In vitro biological activity of Hydroclathrus clathratus and its use as an extracellular bioreductant for silver nanoparticle formation
- Evaluation of saponin-rich/poor leaf extract-mediated silver nanoparticles and their antifungal capacity
- Propylene carbonate synthesis from propylene oxide and CO2 over Ga-Silicate-1 catalyst
- Environmentally benevolent synthesis and characterization of silver nanoparticles using Olea ferruginea Royle for antibacterial and antioxidant activities
- Eco-synthesis and characterization of titanium nanoparticles: Testing its cytotoxicity and antibacterial effects
- A novel biofabrication of gold nanoparticles using Erythrina senegalensis leaf extract and their ameliorative effect on mycoplasmal pneumonia for treating lung infection in nursing care
- Phytosynthesis of selenium nanoparticles using the costus extract for bactericidal application against foodborne pathogens
- Temperature effects on electrospun chitosan nanofibers
- An electrochemical method to investigate the effects of compound composition on gold dissolution in thiosulfate solution
- Trillium govanianum Wall. Ex. Royle rhizomes extract-medicated silver nanoparticles and their antimicrobial activity
- In vitro bactericidal, antidiabetic, cytotoxic, anticoagulant, and hemolytic effect of green-synthesized silver nanoparticles using Allium sativum clove extract incubated at various temperatures
- The green synthesis of N-hydroxyethyl-substituted 1,2,3,4-tetrahydroquinolines with acidic ionic liquid as catalyst
- Effect of KMnO4 on catalytic combustion performance of semi-coke
- Removal of Congo red and malachite green from aqueous solution using heterogeneous Ag/ZnCo-ZIF catalyst in the presence of hydrogen peroxide
- Nucleotide-based green synthesis of lanthanide coordination polymers for tunable white-light emission
- Determination of life cycle GHG emission factor for paper products of Vietnam
- Parabolic trough solar collectors: A general overview of technology, industrial applications, energy market, modeling, and standards
- Structural characteristics of plant cell wall elucidated by solution-state 2D NMR spectroscopy with an optimized procedure
- Sustainable utilization of a converter slagging agent prepared by converter precipitator dust and oxide scale
- Efficacy of chitosan silver nanoparticles from shrimp-shell wastes against major mosquito vectors of public health importance
- Effectiveness of six different methods in green synthesis of selenium nanoparticles using propolis extract: Screening and characterization
- Characterizations and analysis of the antioxidant, antimicrobial, and dye reduction ability of green synthesized silver nanoparticles
- Foliar applications of bio-fabricated selenium nanoparticles to improve the growth of wheat plants under drought stress
- Green synthesis of silver nanoparticles from Valeriana jatamansi shoots extract and its antimicrobial activity
- Characterization and biological activities of synthesized zinc oxide nanoparticles using the extract of Acantholimon serotinum
- Effect of calcination temperature on rare earth tailing catalysts for catalytic methane combustion
- Enhanced diuretic action of furosemide by complexation with β-cyclodextrin in the presence of sodium lauryl sulfate
- Development of chitosan/agar-silver nanoparticles-coated paper for antibacterial application
- Preparation, characterization, and catalytic performance of Pd–Ni/AC bimetallic nano-catalysts
- Acid red G dye removal from aqueous solutions by porous ceramsite produced from solid wastes: Batch and fixed-bed studies
- Review Articles
- Recent advances in the catalytic applications of GO/rGO for green organic synthesis
Articles in the same Issue
- Obituary for Prof. Dr. Jun-ichi Yoshida
- Regular Articles
- Optimization of microwave-assisted manganese leaching from electrolyte manganese residue
- Crustacean shell bio-refining to chitin by natural deep eutectic solvents
- The kinetics of the extraction of caffeine from guarana seed under the action of ultrasonic field with simultaneous cooling
- Biocomposite scaffold preparation from hydroxyapatite extracted from waste bovine bone
- A simple room temperature-static bioreactor for effective synthesis of hexyl acetate
- Biofabrication of zinc oxide nanoparticles, characterization and cytotoxicity against pediatric leukemia cell lines
- Efficient synthesis of palladium nanoparticles using guar gum as stabilizer and their applications as catalyst in reduction reactions and degradation of azo dyes
- Isolation of biosurfactant producing bacteria from Potwar oil fields: Effect of non-fossil fuel based carbon sources
- Green synthesis, characterization and photocatalytic applications of silver nanoparticles using Diospyros lotus
- Dielectric properties and microwave heating behavior of neutral leaching residues from zinc metallurgy in the microwave field
- Green synthesis and stabilization of silver nanoparticles using Lysimachia foenum-graecum Hance extract and their antibacterial activity
- Microwave-induced heating behavior of Y-TZP ceramics under multiphysics system
- Synthesis and catalytic properties of nickel salts of Keggin-type heteropolyacids embedded metal-organic framework hybrid nanocatalyst
- Preparation and properties of hydrogel based on sawdust cellulose for environmentally friendly slow release fertilizers
- Structural characterization, antioxidant and cytotoxic effects of iron nanoparticles synthesized using Asphodelus aestivus Brot. aqueous extract
- Phase transformation involved in the reduction process of magnesium oxide in calcined dolomite by ferrosilicon with additive of aluminum
- Green synthesis of TiO2 nanoparticles from Syzygium cumini extract for photo-catalytic removal of lead (Pb) in explosive industrial wastewater
- The study on the influence of oxidation degree and temperature on the viscosity of biodiesel
- Prepare a catalyst consist of rare earth minerals to denitrate via NH3-SCR
- Bacterial nanobiotic potential
- Green synthesis and characterization of carboxymethyl guar gum: Application in textile printing technology
- Potential of adsorbents from agricultural wastes as alternative fillers in mixed matrix membrane for gas separation: A review
- Bactericidal and cytotoxic properties of green synthesized nanosilver using Rosmarinus officinalis leaves
- Synthesis of biomass-supported CuNi zero-valent nanoparticles through wetness co-impregnation method for the removal of carcinogenic dyes and nitroarene
- Synthesis of 2,2′-dibenzoylaminodiphenyl disulfide based on Aspen Plus simulation and the development of green synthesis processes
- Catalytic performance of the biosynthesized AgNps from Bistorta amplexicaule: antifungal, bactericidal, and reduction of carcinogenic 4-nitrophenol
- Optical and antimicrobial properties of silver nanoparticles synthesized via green route using honey
- Adsorption of l-α-glycerophosphocholine on ion-exchange resin: Equilibrium, kinetic, and thermodynamic studies
- Microwave-assisted green synthesis of silver nanoparticles using dried extracts of Chlorella vulgaris and antibacterial activity studies
- Preparation of graphene oxide/chitosan complex and its adsorption properties for heavy metal ions
- Green synthesis of metal and metal oxide nanoparticles from plant leaf extracts and their applications: A review
- Synthesis, characterization, and electrochemical properties of carbon nanotubes used as cathode materials for Al–air batteries from a renewable source of water hyacinth
- Optimization of medium–low-grade phosphorus rock carbothermal reduction process by response surface methodology
- The study of rod-shaped TiO2 composite material in the protection of stone cultural relics
- Eco-friendly synthesis of AuNPs for cutaneous wound-healing applications in nursing care after surgery
- Green approach in fabrication of photocatalytic, antimicrobial, and antioxidant zinc oxide nanoparticles – hydrothermal synthesis using clove hydroalcoholic extract and optimization of the process
- Green synthesis: Proposed mechanism and factors influencing the synthesis of platinum nanoparticles
- Green synthesis of 3-(1-naphthyl), 4-methyl-3-(1-naphthyl) coumarins and 3-phenylcoumarins using dual-frequency ultrasonication
- Optimization for removal efficiency of fluoride using La(iii)–Al(iii)-activated carbon modified by chemical route
- In vitro biological activity of Hydroclathrus clathratus and its use as an extracellular bioreductant for silver nanoparticle formation
- Evaluation of saponin-rich/poor leaf extract-mediated silver nanoparticles and their antifungal capacity
- Propylene carbonate synthesis from propylene oxide and CO2 over Ga-Silicate-1 catalyst
- Environmentally benevolent synthesis and characterization of silver nanoparticles using Olea ferruginea Royle for antibacterial and antioxidant activities
- Eco-synthesis and characterization of titanium nanoparticles: Testing its cytotoxicity and antibacterial effects
- A novel biofabrication of gold nanoparticles using Erythrina senegalensis leaf extract and their ameliorative effect on mycoplasmal pneumonia for treating lung infection in nursing care
- Phytosynthesis of selenium nanoparticles using the costus extract for bactericidal application against foodborne pathogens
- Temperature effects on electrospun chitosan nanofibers
- An electrochemical method to investigate the effects of compound composition on gold dissolution in thiosulfate solution
- Trillium govanianum Wall. Ex. Royle rhizomes extract-medicated silver nanoparticles and their antimicrobial activity
- In vitro bactericidal, antidiabetic, cytotoxic, anticoagulant, and hemolytic effect of green-synthesized silver nanoparticles using Allium sativum clove extract incubated at various temperatures
- The green synthesis of N-hydroxyethyl-substituted 1,2,3,4-tetrahydroquinolines with acidic ionic liquid as catalyst
- Effect of KMnO4 on catalytic combustion performance of semi-coke
- Removal of Congo red and malachite green from aqueous solution using heterogeneous Ag/ZnCo-ZIF catalyst in the presence of hydrogen peroxide
- Nucleotide-based green synthesis of lanthanide coordination polymers for tunable white-light emission
- Determination of life cycle GHG emission factor for paper products of Vietnam
- Parabolic trough solar collectors: A general overview of technology, industrial applications, energy market, modeling, and standards
- Structural characteristics of plant cell wall elucidated by solution-state 2D NMR spectroscopy with an optimized procedure
- Sustainable utilization of a converter slagging agent prepared by converter precipitator dust and oxide scale
- Efficacy of chitosan silver nanoparticles from shrimp-shell wastes against major mosquito vectors of public health importance
- Effectiveness of six different methods in green synthesis of selenium nanoparticles using propolis extract: Screening and characterization
- Characterizations and analysis of the antioxidant, antimicrobial, and dye reduction ability of green synthesized silver nanoparticles
- Foliar applications of bio-fabricated selenium nanoparticles to improve the growth of wheat plants under drought stress
- Green synthesis of silver nanoparticles from Valeriana jatamansi shoots extract and its antimicrobial activity
- Characterization and biological activities of synthesized zinc oxide nanoparticles using the extract of Acantholimon serotinum
- Effect of calcination temperature on rare earth tailing catalysts for catalytic methane combustion
- Enhanced diuretic action of furosemide by complexation with β-cyclodextrin in the presence of sodium lauryl sulfate
- Development of chitosan/agar-silver nanoparticles-coated paper for antibacterial application
- Preparation, characterization, and catalytic performance of Pd–Ni/AC bimetallic nano-catalysts
- Acid red G dye removal from aqueous solutions by porous ceramsite produced from solid wastes: Batch and fixed-bed studies
- Review Articles
- Recent advances in the catalytic applications of GO/rGO for green organic synthesis