Abstract
Hereditary spherocytosis (HS) and Chronic myelocytic leukemia (CML) are both life threatening hemotologic diseases. They are rarely seen to occur simultaneously in one individual patient. Here we demonstrate a case of HS associated with CML in this study. The patient is a young female, diagnosed with HS in 2005, and was given partial embolization of the splenic artery. She got significant remission after the procedure. In 2008, she was found abnormal in blood routine test, after bone marrow routine, chromosome and fusion gene tests, she was diagnosed with CML (chronic phase). She did not receive regular treatment until 3 months prior, and is currently being treated with Dasatimib. She achieved hematological remission, but had no significant improvement in chromosome and fusion gene figures. Due to her severe condition of hemolysis, a splenectomy or an allogeneic hematopoietic stem cell transplantation is considered.
1 Introduction
HS is the most commonly seen hemolytic disease in hereditary red cell membrane disease. The incidence rate in North Europe and North America can be as high as 1/2000; the overall incidence rate in Caucasians is 1/2000-1/5000[1]. According to the statistics of the Changhai Affiliated Hospital of Shanghai Second Military Medical University, among all the hereditary hemolytic diseases, hemoglobin disease counts for 34%, red cell membrane diseases 43%, and red cell enzyme diseases 23%; HS makes 84% in all the red cell membrane diseases [2]. The featuring chromosome alteration of CML is t (9;22) (q34;q11), hence in molecular level causes the formation of BCR-ABL fusion gene. Concurrent cases of HS and CML is rarely seen in literature reports, here we report our case as follows.
2 Case report
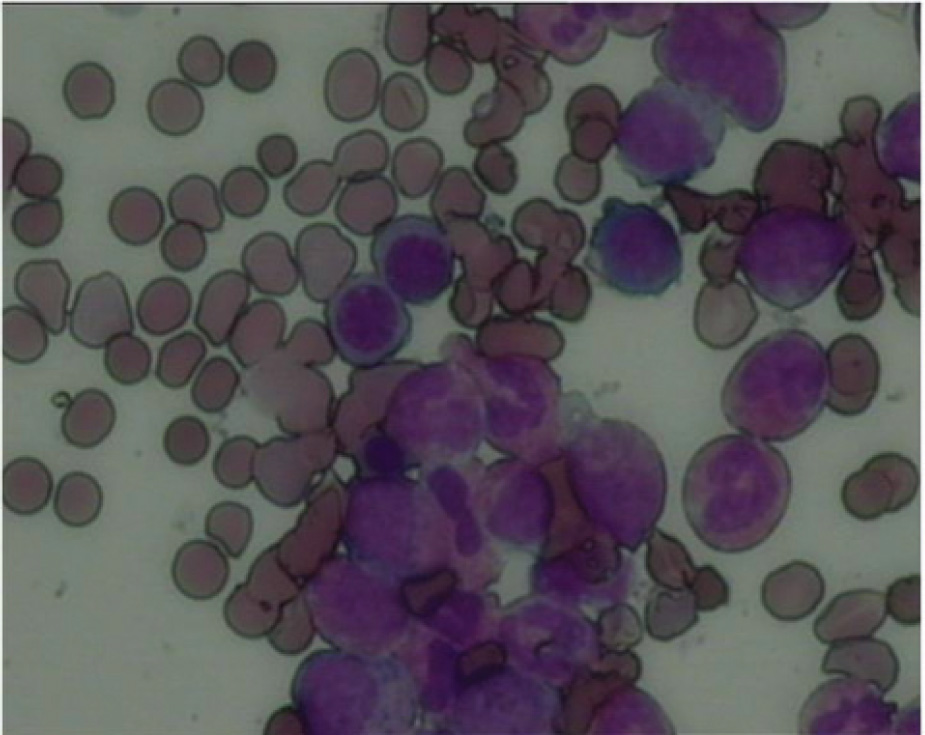
The patient is female, 27 years old, with her mother, aunt, and brother and cousin history of HS. She was sent to our hospital in April 2005, for “yellowish discoloration of the sclera and the skin for 3 years, aggravated for 2 months”. Physical examination shows “mild yellowish discoloration of the sclera and the skin, soft abdomen, liver not palpable, spleen is palpable 3cm below the left costal margin. Auxiliary examinations: blood routine test: white blood cell count (WBC) 8.2*10E9/L, red blood cell count (RBC) 2.84*10E12/L, hemoglobin (Hb) 92g/L, mean corpuscular hemoglobin concentration (MCHC) 382g/L, platelet count (PLT) 327*10E9/L, proportion of reticulocyte 10.1%; blood smear shows the proportion of spherocytes is 18%; Erythrocyte osmotic fragility test: hemolysis begins at 0.56% salt solution (normal control at 0.42%), complete hemolysis at 0.41% salt solution (normal control at 0.22%); liver function tests: total bilirubin (TB) 163.3umol/L, indirect bilirubin (IB) 154.4umol/L, Lactate dehydrogenase (LDH) 402U/L. computed tomography of the abdomen shows splenomegaly (7 rib units); bone marrow routine test shows significantly active bone marrow proliferation (Figure 1), erythroid proliferation is active, spherocytes are commonly seen, counts for 15%, folic acid, vitamin B12, ferritin, glucose phosphate isomerase, glucose-6-phosphate dehydrogenase test and pyruvate kinase tests were normal, Coomb’s test shows negative result; normal hemoglobin electrophoresis; expression of CD55 and CD59 on erythrocytes and granulocytes are not significantly below normal range. The clinical diagnosis is: HS. She was given partial embolization of the splenic artery, after which yellowish discoloration of the skin and sclera faded, hemoglobin and bilirubin level returned to normal and splenomegly relieved.

Bone marrow smear shows typical chronic
Yellowish discoloration of the skin and sclera occurred again in September 200 7. Auxiliary examination shows: WBC 12.4*10E9/L, RBC 3.17*10E12/L, H 108g/L, PLT 425*10E9/L, proportion of reticulocyte 12%; liver function tests: TB 122.3umol/L, IB 108umol/L; upper abdomen CT shows splenomegly (7 rib units) and splenic embolization postoperative change; bone marrow test gives the same result as the previous one. She received a second partial splenic artery embolization. After the procedure, yellowish discoloration of the skin and sclera faded, hemoglobin and bilirubin level returned to normal and splenomegly relieved again.
Her blood routine test in February 2008 shows a result of WBC 69.2*10E9/L the proportion of neutrophils is 74% RBC 3.93*10E12/L Hb 124g/L PLT 575*10E9/L proportion of late promyelocyte is 10%, the proportion of reticulocytes is 11%。Physical examination shows her skin and sclera are mildly yellowish discolored, spleen is enlarged and being palpable 8cm below the left costal margin. Bone marrow test shows extremely active proliferation, Myeloid: erythroid ratio is 8:1, all stages of myeloid cells are increased, especially late promyelocytes, eosinophils and basophils are commonly seen, neutrophil alkaline phosphatase positive rate is 1%, score 2. Chromosome: 46, XX, t(9; 22)(q34; q11) (Figure 2); bone marrow gene test: M-bcr-abl/abl 92%, m-bcr-abl/abl(-). She was diagnosed of CML (chronic phase), and was given imatinib therapy for 1 month before recheck her blood routine test: WBC 7.4*10E9/L, RBC 3.8*10E12/L, Hb 121g/L, PLT 344*10E9/L. She didn’t re-examine chromosome and fusion gene.

Typical chronic myeloid leukemia chromosome changes46, XX, t (9; 22) (q34; q11)
Ethical approval: The research related to human use has been complied with all the relevant national regulations, institutional policies and in accordance the tenets of the Helsinki Declaration, and has been approved by the authors’ institutional review board or equivalent committee.
Informed consent: Informed consent has been obtained from all individuals included in this study.
3 Discussion
HS is a hereditary hemolytic disease, in most cases is an autosomal dominant trait [3]. The age of onset presents with heterogeneity: it can start from infancy, however in rare cases can start from old age too, which is related to the severity of the defects of the membrane protein. The clinical manifestations of HS are hemolytic anemia of varying degrees, intermittent jaundice, enlargement of the spleen, and significant improvement of symptoms after splenectomy [4]. The hematological characteristics are spherical red blood cell in peripheral blood and significantly elevated red blood cell osmotic fragility [1,5,6].
According to guidelines for the diagnosis and management of hereditary spherocytosis, patient with an HS family history, typical clinical features (e.g. splenomegly) and peripheral blood index (elevated MCHC and reticulocytes, and presence of spherocytes) can be diagnosed with HS without further examinations. Approximately 70% of HS are autosomal dominant, 25% are autosomal recessive and 5% are de novo mutations. Even in autosomal dominant cases, most patients need further laboratory tests, for folate deficiency, severe anemia or recent blood transfusions can cover the changes in blood test index. In this case, the patient presents with an HS family history, anemia, jaundice, splenomegaly, elevated MCHC and red blood cell osmotic fragility, elevated reticulocytes, and spherocytes can be seen in peripheral blood. Hence the diagnosis of HS is clear according to 2011 HS guideline.
According to the management recommendations provided in the guidelines, the patient underwent a partial splenic artery embolization, and received good therapeutic effect [7]. Disease relapsed 2 years later, she underwent a second procedure which is still effective, however mild hemolysis has always been present since. During the time she was given 2nd generation tyrosine kinase inhibitor (TKI) (nilotimib and dasatinib), her hemolysis exacerbated. This condition has not been reported in literature up to date.
3 years after being diagnosed with HS, she was diagnosed of CML. She has been being treated with imatinib for 1 month, but stopped regular treatment afterwards for various kinds of reasons, she has been pregnant and given birth to a healthy baby girl. After the parturition, her examination results showed she was still in chronic phase. Through 3 months of regular treatment with 2nd generation TKI dasatinib, she achieved hematological remission, but gained no improvements in chromosome and BCR-ABL fusion gene (Figure 3). Her treatment response is suboptimal response. The possible reasons for her poor treatment response could be: a. unstandardized and delayed treatment; b. leukemia cells are retained in the enlarged spleen caused by HS; c. drug resistance.

Typical chronic myeloid leukemia gene mutation: bcr-ablfusion gene by FISH array
Recently, People’s Hospital of Peking University Hematology Institute successfully treated a female case of HS associated with CML by allogenic hematopoietic stem cell transplantation [8]. After transplantation, the patient’s anemia significantly improved, reticulocytes and MCHC went back to normal, BCR-ABL fusion gene is negative, TB level went back to normal. HS has no HLAidentical allogenic hematopoietic stem cell transplantation contraindications. The patient in our case is currently with serious hemolysis, has been treating with 2nd generation TKI for 3 months but hasn’t achieved optimal response, HLA-identical allogenic hematopoietic stem cell transplantation can be a choice, for it cures both of the diseases. Also for this patient, we think splenectomy possibly can also have good effect for her condition.
For this patient, CML occurs during the treatment of HS. Could the occurrence of the two conditions have some sort of association? There are no literature reports exploring the reason, and is still waiting to be studied.
Conflict of interest statement: Authors state no conflict of interest.
Reference
[1] Perrotta S, Gallagher PG, Mohandas N: Hereditary spherocytosis. Lancet 2008; 372:1411-2610.1016/S0140-6736(08)61588-3Suche in Google Scholar
[2] Li Jinying HZ, XU Yanqun ZH, HAN Fenglai GS: Compound heterozygote factor and clinical significance of hemolysis system analysis in the diagnosis of congenital hemolytic anemia: Etiological analysis of 506 cases of anemia and jaundice. Journal of clinical hematology 2005; 18: 204-206Suche in Google Scholar
[3] Kaysser TM, Wandersee NJ, Bronson RT, Barker JE: Thrombosis and secondary hemochromatosis play major roles in the pathogenesis of jaundiced and spherocytic mice, murine models for hereditary spherocytosis 1997; Blood 90: 4610-461910.1182/blood.V90.11.4610Suche in Google Scholar
[4] White B, Leong KW, Crotty GM, McCann SR: Hereditary spherocytosis: implications in bone marrow transplantation. Bone Marrow Transplant 1998; 21: 21510.1038/sj.bmt.1701059Suche in Google Scholar
[5] Garg PK, Kumar A, Teckchandani N, Hadke NS:Hereditary spherocytosis coexisting with Gilbert’s syndrome: a diagnostic dilemma. Singapore Med J 2008; 49: e308-309Suche in Google Scholar
[6] Summerfield GP, Wyatt GP. Human parvovirus infection revealing hereditary spherocytosis. Lancet 1985; 2: 107010.1016/S0140-6736(85)90940-7Suche in Google Scholar
[7] Bolton-Maggs PH, Langer JC, Iolascon A, Tittensor P, King MJ:Guidelines for the diagnosis and management of hereditary spherocytosis. 2011 update. Br J Haematol 2012; 156: 37-4910.1111/j.1365-2141.2011.08921.xSuche in Google Scholar PubMed
[8] Zhang XH, Fu HX, Xu LP, Liu DH, Chen H, Han W, Chen YH, Wang FR, Wang JZ, Wang Y, Zhao T, Liu KY, Huang XJ: Allo-hematopoietic stem cell transplantation is a potential treatment for a patient with a combined disorder of hereditary spherocytosis. Chin Med J (Engl) 2012; 125: 947-50Suche in Google Scholar
© 2016 Wang Xiaoqiu et al.
This work is licensed under the Creative Commons Attribution-NonCommercial-NoDerivatives 3.0 License.
Artikel in diesem Heft
- Research Article
- The possible molecular regulation mechanism of CIK cells inhibiting the proliferation of Human Lung Adenocarcinoma NCL-H157 Cells
- Case Report
- Urethral stone of unexpected size: case report and short literature review
- Case Report
- Complete remission through icotinib treatment in Non-small cell lung cancer epidermal growth factor receptor mutation patient with brain metastasis: A case report
- Research Article
- FPL tendon thickness, tremor and hand functions in Parkinson’s disease
- Research Article
- Diagnostic value of circulating tumor cells in cerebrospinal fluid
- Research Article
- A meta-analysis of neuroprotective effect for traditional Chinese medicine (TCM) in the treatment of glaucoma
- Research Article
- MiR-218 increases sensitivity to cisplatin in esophageal cancer cells via targeting survivin expression
- Research Article
- Association of HOTAIR expression with PI3K/Akt pathway activation in adenocarcinoma of esophagogastric junction
- Research Article
- The role of interleukin genes in the course of depression
- Case Report
- A rare case of primary pulmonary diffuse large B cell lymphoma with CD5 positive expression
- Research Article
- DWI and SPARCC scoring assess curative effect of early ankylosing spondylitis
- Research Article
- The diagnostic value of serum CEA, NSE and MMP-9 for on-small cell lung cancer
- Case Report
- Dysphonia – the single symptom of rifampicin resistant laryngeal tuberculosis
- Review Article
- Development of epidermal growth factor receptor tyrosine kinase inhibitors against EGFR T790M. Mutation in non small-cell lung carcinoma
- Research Article
- Negative regulation of CDC42 expression and cell cycle progression by miR-29a in breast cancer
- Research Article
- Expression analysis of the TGF-β/SMAD target genes in adenocarcinoma of esophagogastric junction
- Research Article
- Blood cells in thyroid cancer patients: a possible influence of apoptosis
- Research Article
- Detected EGFR mutation in cerebrospinal fluid of lung adenocarcinoma patients with meningeal metastasis
- Mini-review
- Pathogenesis-oriented approaches for the management of corticosteroid-resistant or relapsedprimary immune thrombocytopenia
- Research Article
- GSTP1 A>G polymorphism and chemosensitivity of osteosarcoma: A meta-analysis
- Research Article
- A meta-analysis of adiponectin gene rs22411766 T>G polymorphism and ischemic stroke susceptibility
- Research Article
- The diagnosis and pathological value of combined detection of HE4 and CA125 for patients with ovarian cancer
- Research Article
- SOX7 inhibits tumor progression of glioblastoma and is regulated by miRNA-24
- Research Article
- Sevoflurane affects evoked electromyography monitoring in cerebral palsy
- Case Report
- A case report of hereditary spherocytosis with concomitant chronic myelocytic leukemia
- Case Report
- A case of giant saphenous vein graft aneurysm followed serially after coronary artery bypass surgery
- Research Article
- LncRNA TUG1 is upregulated and promotes cell proliferation in osteosarcoma
- Review Article
- Meningioma recurrence
- Case Report
- Endobronchial amyloidosis mimicking bronchial asthma: a case report and review of the literature
- Case Report
- A confusing case report of pulmonary langerhans cell histiocytosis and literature review
- Research Article
- Effect of hesperetin on chaperone activity in selenite-induced cataract
- Research Article
- Clinical value of self-assessment risk of osteoporosis in Chinese
- Research Article
- Correlation analysis of VHL and Jade-1 gene expression in human renal cell carcinoma
- Research Article
- Is acute appendicitis still misdiagnosed?
- Retraction
- Retraction of: application of food-specific IgG antibody detection in allergy dermatosis
- Review Article
- Platelet Rich Plasma: a short overview of certain bioactive components
- Research Article
- Correlation between CTLA-4 gene rs221775A>G single nucleotide polymorphism and multiple sclerosis susceptibility. A meta-analysis
- Review Article
- Standards of anesthesiology practice during neuroradiological interventions
- Research Article
- Expression and clinical significance of LXRα and SREBP-1c in placentas of preeclampsia
- Letter to the Editor
- ARDS diagnosed by SpO2/FiO2 ratio compared with PaO2/FiO2 ratio: the role as a diagnostic tool for early enrolment into clinical trials
- Research Article
- Impact of sensory integration training on balance among stroke patients: sensory integration training on balance among stroke patients
- Review Article
- MicroRNAs as regulatory elements in psoriasis
- Review Article
- Influenza A(H1N1)pdm09 and postpandemic influenza in Lithuania
- Review Article
- Garengeot’s hernia: two case reports with CT diagnosis and literature review
- Research Article
- Concept of experimental preparation for treating dentin hypersensitivity
- Research Article
- Hydrogen water reduces NSE, IL-6, and TNF-α levels in hypoxic-ischemic encephalopathy
- Research Article
- Xanthogranuloma of the sellar region diagnosed by frozen section
- Case Report
- Laparoscopic antegrade cholecystectomy: a standard procedure?
- Case Report
- Maxillary fibrous dysplasia associated with McCune-Albright syndrome. A case study
- Regular Article
- Sialoendoscopy, sialography, and ultrasound: a comparison of diagnostic methods
- Research Article
- Antibody Response to Live Attenuated Vaccines in Adults in Japan
- Conference article
- Excellence and safety in surgery require excellent and safe tutoring
- Conference article
- Suggestions on how to make suboptimal kidney transplantation an ethically viable option
- Regular Article
- Ectopic pregnancy treatment by combination therapy
- Conference article
- Use of a simplified consent form to facilitate patient understanding of informed consent for laparoscopic cholecystectomy
- Regular Article
- Cusum analysis for learning curve of videothoracoscopic lobectomy
- Regular Article
- A meta-analysis of association between glutathione S-transferase M1 gene polymorphism and Parkinson’s disease susceptibility
- Conference article
- Plastination: ethical and medico-legal considerations
- Regular Article
- Investigation and control of a suspected nosocomial outbreak of pan-drug resistant Acinetobacter baumannii in an intensive care unit
- Regular Article
- Multifactorial analysis of fatigue scale among nurses in Poland
- Regular Article
- Smoking cessation for free: outcomes of a study of three Romanian clinics
- Regular Article
- Clinical efficacy and safety of tripterygium glycosides in treatment of stage IV diabetic nephropathy: A meta-analysis
- Special Issue on Italian Society for the Study of Vascular Anomalies
- Prevention and treatment of peritoneal adhesions in patients affected by vascular diseases following surgery: a review of the literature
- Special Issue on Italian Society for the Study of Vascular Anomalies
- Surgical treatment of recidivist lymphedema
- Special Issue on Italian Society for the Study of Vascular Anomalies
- CT and MR imaging of the thoracic aorta
- Special Issue on Italian Society for the Study of Vascular Anomalies
- Role of FDG-PET scan in staging of pulmonary epithelioid hemangioendothelioma
- Special Issue on Italian Society for the Study of Vascular Anomalies
- Sternal reconstruction by extracellular matrix: a rare case of phaces syndrome
- Special Issue on Italian Society for the Study of Vascular Anomalies
- Prenatal diagnosis, 3-D virtual rendering and lung sparing surgery by ligasure device in a baby with “CCAM and intralobar pulmonary sequestration”
- Special Issue on Italian Society for the Study of Vascular Anomalies
- Serum levels of inhibin B in adolescents after varicocelelectomy: A long term follow up
- Special Issue on Italian Society for the Study of Vascular Anomalies
- Our experience in the treatment of Malignant Fibrous Hystiocytoma of the larynx: clinical diagnosis, therapeutic approach and review of literature
- Special Issue on Italian Society for the Study of Vascular Anomalies
- Delayed recurrent nerve paralysis following post-traumatic aortic pseudoaneurysm
- Special Issue on Italian Society for the Study of Vascular Anomalies
- Integrated therapeutic approach to giant solitary fibrous tumor of the pleura: report of a case and review of the literature
- Special Issue on Italian Society for the Study of Vascular Anomalies
- Celiac axis compression syndrome: laparoscopic approach in a strange case of chronic abdominal pain in 71 years old man
- Special Issue on Italian Society for the Study of Vascular Anomalies
- A rare case of persistent hypoglossal artery associated with contralateral proximal subclavian stenosis
- Focus on Medico-Legal and Ethical Topics in Surgery in Italy
- Contralateral risk reducing mastectomy in Non-BRCA-Mutated patients
- Focus on Medico-Legal and Ethical Topics in Surgery in Italy
- Professional dental and oral surgery liability in Italy: a comparative analysis of the insurance products offered to health workers
- Focus on Medico-Legal and Ethical Topics in Surgery in Italy
- Informed consent in robotic surgery: quality of information and patient perception
- Focus on Medico-Legal and Ethical Topics in Surgery in Italy
- Malfunctions of robotic system in surgery: role and responsibility of surgeon in legal point of view
- Focus on Medico-Legal and Ethical Topics in Surgery in Italy
- Medicolegal implications of surgical errors and complications in neck surgery: A review based on the Italian current legislation
- Focus on Medico-Legal and Ethical Topics in Surgery in Italy
- Iatrogenic splenic injury: review of the literature and medico-legal issues
- Focus on Medico-Legal and Ethical Topics in Surgery in Italy
- Donation of the body for scientific purposes in Italy: ethical and medico-legal considerations
- Focus on Medico-Legal and Ethical Topics in Surgery in Italy
- Cosmetic surgery: medicolegal considerations
- Focus on Medico-Legal and Ethical Topics in Surgery in Italy
- Voluntary termination of pregnancy (medical or surgical abortion): forensic medicine issues
- Review Article
- Role of Laparoscopic Splenectomy in Elderly Immune Thrombocytopenia
- Review Article
- Endoscopic diagnosis and treatment of neuroendocrine tumors of the digestive system
- Review Article
- Efficacy and safety of splenectomy in adult autoimmune hemolytic anemia
- Research Article
- Relationship between gastroesophageal reflux disease and Ph nose and salivary: proposal of a simple method outpatient in patients adults
- Case Report
- Idiopathic pleural panniculitis with recurrent pleural effusion not associated with Weber-Christian disease
- Research Article
- Morbid Obesity: treatment with Bioenterics Intragastric Balloon (BIB), psychological and nursing care: our experience
- Research Article
- Learning curve for endorectal ultrasound in young and elderly: lights and shades
- Case Report
- Uncommon primary hydatid cyst occupying the adrenal gland space, treated with laparoscopic surgical approach in an old patient
- Research Article
- Distraction techniques for face and smile aesthetic preventing ageing decay
- Research Article
- Preoperative high-intensity training in frail old patients undergoing pulmonary resection for NSCLC
- Review Article
- Descending necrotizing mediastinitis in the elderly patients
- Research Article
- Prophylactic GSV surgery in elderly candidates for hip or knee arthroplasty
- Research Article
- Diagnostic yield and safety of C-TBNA in elderly patients with lung cancer
- Research Article
- The learning curve of laparoscopic holecystectomy in general surgery resident training: old age of the patient may be a risk factor?
- Research Article
- Self-gripping mesh versus fibrin glue fixation in laparoscopic inguinal hernia repair: a randomized prospective clinical trial in young and elderly patients
- Research Article
- Anal sphincter dysfunction in multiple sclerosis: an observation manometric study
Artikel in diesem Heft
- Research Article
- The possible molecular regulation mechanism of CIK cells inhibiting the proliferation of Human Lung Adenocarcinoma NCL-H157 Cells
- Case Report
- Urethral stone of unexpected size: case report and short literature review
- Case Report
- Complete remission through icotinib treatment in Non-small cell lung cancer epidermal growth factor receptor mutation patient with brain metastasis: A case report
- Research Article
- FPL tendon thickness, tremor and hand functions in Parkinson’s disease
- Research Article
- Diagnostic value of circulating tumor cells in cerebrospinal fluid
- Research Article
- A meta-analysis of neuroprotective effect for traditional Chinese medicine (TCM) in the treatment of glaucoma
- Research Article
- MiR-218 increases sensitivity to cisplatin in esophageal cancer cells via targeting survivin expression
- Research Article
- Association of HOTAIR expression with PI3K/Akt pathway activation in adenocarcinoma of esophagogastric junction
- Research Article
- The role of interleukin genes in the course of depression
- Case Report
- A rare case of primary pulmonary diffuse large B cell lymphoma with CD5 positive expression
- Research Article
- DWI and SPARCC scoring assess curative effect of early ankylosing spondylitis
- Research Article
- The diagnostic value of serum CEA, NSE and MMP-9 for on-small cell lung cancer
- Case Report
- Dysphonia – the single symptom of rifampicin resistant laryngeal tuberculosis
- Review Article
- Development of epidermal growth factor receptor tyrosine kinase inhibitors against EGFR T790M. Mutation in non small-cell lung carcinoma
- Research Article
- Negative regulation of CDC42 expression and cell cycle progression by miR-29a in breast cancer
- Research Article
- Expression analysis of the TGF-β/SMAD target genes in adenocarcinoma of esophagogastric junction
- Research Article
- Blood cells in thyroid cancer patients: a possible influence of apoptosis
- Research Article
- Detected EGFR mutation in cerebrospinal fluid of lung adenocarcinoma patients with meningeal metastasis
- Mini-review
- Pathogenesis-oriented approaches for the management of corticosteroid-resistant or relapsedprimary immune thrombocytopenia
- Research Article
- GSTP1 A>G polymorphism and chemosensitivity of osteosarcoma: A meta-analysis
- Research Article
- A meta-analysis of adiponectin gene rs22411766 T>G polymorphism and ischemic stroke susceptibility
- Research Article
- The diagnosis and pathological value of combined detection of HE4 and CA125 for patients with ovarian cancer
- Research Article
- SOX7 inhibits tumor progression of glioblastoma and is regulated by miRNA-24
- Research Article
- Sevoflurane affects evoked electromyography monitoring in cerebral palsy
- Case Report
- A case report of hereditary spherocytosis with concomitant chronic myelocytic leukemia
- Case Report
- A case of giant saphenous vein graft aneurysm followed serially after coronary artery bypass surgery
- Research Article
- LncRNA TUG1 is upregulated and promotes cell proliferation in osteosarcoma
- Review Article
- Meningioma recurrence
- Case Report
- Endobronchial amyloidosis mimicking bronchial asthma: a case report and review of the literature
- Case Report
- A confusing case report of pulmonary langerhans cell histiocytosis and literature review
- Research Article
- Effect of hesperetin on chaperone activity in selenite-induced cataract
- Research Article
- Clinical value of self-assessment risk of osteoporosis in Chinese
- Research Article
- Correlation analysis of VHL and Jade-1 gene expression in human renal cell carcinoma
- Research Article
- Is acute appendicitis still misdiagnosed?
- Retraction
- Retraction of: application of food-specific IgG antibody detection in allergy dermatosis
- Review Article
- Platelet Rich Plasma: a short overview of certain bioactive components
- Research Article
- Correlation between CTLA-4 gene rs221775A>G single nucleotide polymorphism and multiple sclerosis susceptibility. A meta-analysis
- Review Article
- Standards of anesthesiology practice during neuroradiological interventions
- Research Article
- Expression and clinical significance of LXRα and SREBP-1c in placentas of preeclampsia
- Letter to the Editor
- ARDS diagnosed by SpO2/FiO2 ratio compared with PaO2/FiO2 ratio: the role as a diagnostic tool for early enrolment into clinical trials
- Research Article
- Impact of sensory integration training on balance among stroke patients: sensory integration training on balance among stroke patients
- Review Article
- MicroRNAs as regulatory elements in psoriasis
- Review Article
- Influenza A(H1N1)pdm09 and postpandemic influenza in Lithuania
- Review Article
- Garengeot’s hernia: two case reports with CT diagnosis and literature review
- Research Article
- Concept of experimental preparation for treating dentin hypersensitivity
- Research Article
- Hydrogen water reduces NSE, IL-6, and TNF-α levels in hypoxic-ischemic encephalopathy
- Research Article
- Xanthogranuloma of the sellar region diagnosed by frozen section
- Case Report
- Laparoscopic antegrade cholecystectomy: a standard procedure?
- Case Report
- Maxillary fibrous dysplasia associated with McCune-Albright syndrome. A case study
- Regular Article
- Sialoendoscopy, sialography, and ultrasound: a comparison of diagnostic methods
- Research Article
- Antibody Response to Live Attenuated Vaccines in Adults in Japan
- Conference article
- Excellence and safety in surgery require excellent and safe tutoring
- Conference article
- Suggestions on how to make suboptimal kidney transplantation an ethically viable option
- Regular Article
- Ectopic pregnancy treatment by combination therapy
- Conference article
- Use of a simplified consent form to facilitate patient understanding of informed consent for laparoscopic cholecystectomy
- Regular Article
- Cusum analysis for learning curve of videothoracoscopic lobectomy
- Regular Article
- A meta-analysis of association between glutathione S-transferase M1 gene polymorphism and Parkinson’s disease susceptibility
- Conference article
- Plastination: ethical and medico-legal considerations
- Regular Article
- Investigation and control of a suspected nosocomial outbreak of pan-drug resistant Acinetobacter baumannii in an intensive care unit
- Regular Article
- Multifactorial analysis of fatigue scale among nurses in Poland
- Regular Article
- Smoking cessation for free: outcomes of a study of three Romanian clinics
- Regular Article
- Clinical efficacy and safety of tripterygium glycosides in treatment of stage IV diabetic nephropathy: A meta-analysis
- Special Issue on Italian Society for the Study of Vascular Anomalies
- Prevention and treatment of peritoneal adhesions in patients affected by vascular diseases following surgery: a review of the literature
- Special Issue on Italian Society for the Study of Vascular Anomalies
- Surgical treatment of recidivist lymphedema
- Special Issue on Italian Society for the Study of Vascular Anomalies
- CT and MR imaging of the thoracic aorta
- Special Issue on Italian Society for the Study of Vascular Anomalies
- Role of FDG-PET scan in staging of pulmonary epithelioid hemangioendothelioma
- Special Issue on Italian Society for the Study of Vascular Anomalies
- Sternal reconstruction by extracellular matrix: a rare case of phaces syndrome
- Special Issue on Italian Society for the Study of Vascular Anomalies
- Prenatal diagnosis, 3-D virtual rendering and lung sparing surgery by ligasure device in a baby with “CCAM and intralobar pulmonary sequestration”
- Special Issue on Italian Society for the Study of Vascular Anomalies
- Serum levels of inhibin B in adolescents after varicocelelectomy: A long term follow up
- Special Issue on Italian Society for the Study of Vascular Anomalies
- Our experience in the treatment of Malignant Fibrous Hystiocytoma of the larynx: clinical diagnosis, therapeutic approach and review of literature
- Special Issue on Italian Society for the Study of Vascular Anomalies
- Delayed recurrent nerve paralysis following post-traumatic aortic pseudoaneurysm
- Special Issue on Italian Society for the Study of Vascular Anomalies
- Integrated therapeutic approach to giant solitary fibrous tumor of the pleura: report of a case and review of the literature
- Special Issue on Italian Society for the Study of Vascular Anomalies
- Celiac axis compression syndrome: laparoscopic approach in a strange case of chronic abdominal pain in 71 years old man
- Special Issue on Italian Society for the Study of Vascular Anomalies
- A rare case of persistent hypoglossal artery associated with contralateral proximal subclavian stenosis
- Focus on Medico-Legal and Ethical Topics in Surgery in Italy
- Contralateral risk reducing mastectomy in Non-BRCA-Mutated patients
- Focus on Medico-Legal and Ethical Topics in Surgery in Italy
- Professional dental and oral surgery liability in Italy: a comparative analysis of the insurance products offered to health workers
- Focus on Medico-Legal and Ethical Topics in Surgery in Italy
- Informed consent in robotic surgery: quality of information and patient perception
- Focus on Medico-Legal and Ethical Topics in Surgery in Italy
- Malfunctions of robotic system in surgery: role and responsibility of surgeon in legal point of view
- Focus on Medico-Legal and Ethical Topics in Surgery in Italy
- Medicolegal implications of surgical errors and complications in neck surgery: A review based on the Italian current legislation
- Focus on Medico-Legal and Ethical Topics in Surgery in Italy
- Iatrogenic splenic injury: review of the literature and medico-legal issues
- Focus on Medico-Legal and Ethical Topics in Surgery in Italy
- Donation of the body for scientific purposes in Italy: ethical and medico-legal considerations
- Focus on Medico-Legal and Ethical Topics in Surgery in Italy
- Cosmetic surgery: medicolegal considerations
- Focus on Medico-Legal and Ethical Topics in Surgery in Italy
- Voluntary termination of pregnancy (medical or surgical abortion): forensic medicine issues
- Review Article
- Role of Laparoscopic Splenectomy in Elderly Immune Thrombocytopenia
- Review Article
- Endoscopic diagnosis and treatment of neuroendocrine tumors of the digestive system
- Review Article
- Efficacy and safety of splenectomy in adult autoimmune hemolytic anemia
- Research Article
- Relationship between gastroesophageal reflux disease and Ph nose and salivary: proposal of a simple method outpatient in patients adults
- Case Report
- Idiopathic pleural panniculitis with recurrent pleural effusion not associated with Weber-Christian disease
- Research Article
- Morbid Obesity: treatment with Bioenterics Intragastric Balloon (BIB), psychological and nursing care: our experience
- Research Article
- Learning curve for endorectal ultrasound in young and elderly: lights and shades
- Case Report
- Uncommon primary hydatid cyst occupying the adrenal gland space, treated with laparoscopic surgical approach in an old patient
- Research Article
- Distraction techniques for face and smile aesthetic preventing ageing decay
- Research Article
- Preoperative high-intensity training in frail old patients undergoing pulmonary resection for NSCLC
- Review Article
- Descending necrotizing mediastinitis in the elderly patients
- Research Article
- Prophylactic GSV surgery in elderly candidates for hip or knee arthroplasty
- Research Article
- Diagnostic yield and safety of C-TBNA in elderly patients with lung cancer
- Research Article
- The learning curve of laparoscopic holecystectomy in general surgery resident training: old age of the patient may be a risk factor?
- Research Article
- Self-gripping mesh versus fibrin glue fixation in laparoscopic inguinal hernia repair: a randomized prospective clinical trial in young and elderly patients
- Research Article
- Anal sphincter dysfunction in multiple sclerosis: an observation manometric study