Uncommon primary hydatid cyst occupying the adrenal gland space, treated with laparoscopic surgical approach in an old patient
-
Giovanni Aprea
, Sergio Aloia , Gennaro Quarto , Ermenegildo Furino , Maurizio Amato , Tommaso Bianco , Lorenza Di Domenico , Aldo Rocca, Simone Maurea
und Luigi Sivero
Abstract
Hydatid disease (HD) is caused by Echinococcus Granulosus (EG), which is a larva endemic in many undeveloped areas. The most common target is the liver (59%–75%). The retroperitoneal space is considered as a rare localization. We report an uncommon case of HD located in the adrenal gland space.
Presentation of case. This is a 78-year-old Moroccan woman, with right flank pain for eight months previously. She denied contact with dogs or sheep. Her physical examination was normal. There was no pathological alteration of laboratory exams. CT scan measuring 5 cm without clear signs for a sure diagnosis found a round lesion in the right adrenal gland. An abdominal MRI showed a round mass of 34 x 27 mm with fluid component without a clear plane of dissection from kidney and liver. A laparoscopic procedure was performed to obtain a histological diagnosis. We reached a conclusive diagnosis of Hydatid cyst of right adrenal gland space.
Hydatid cysts often develop in the liver. The location in the adrenal bed is rare without clinical signs related to alteration of the gland’s secretion. Hydatid cyst identification in the adrenal gland space is based on ultrasonography, CT or MRI scans. The differential diagnosis includes various benign and malignant lesions. Laparoscopic procedure is the best approach available to obtain a histological diagnosis and a curative treatment.
The best treatment for HD is the pericystectomy. Laparoscopic surgery can guarantee a radical resection of these lesions when it performed by an expert surgeon.
1 Introduction
Hydatid disease (HD) is caused by Echinococcus Granulosus (EG), which is a larva endemic in many undeveloped areas such as the Middle East, Africa, Latin America, etc. It has maximum diffusion among people in poorer socioeconomic status so it poses a great problem to public health in countries where EG is endemic. Although HD is a relatively rare disease, it has a big impact on patient health because it may occur in any organ or tissue. The most common and preferential target organ is the liver (59%-to 75%), followed in frequency by lung (27%), bone (14%) and brain (12%) almost at the same level and finally the kidney (3%) [2-6]. Other sites such as spleen, pancreas, heart, and adrenal gland are very rare, despite this, in the international literature; there are some reports about these localizations.
The retroperitoneal space occupied by the adrenal gland is considered as a rare localization for a hydatid cyst, indeed the reported frequency for a hydatid cyst invading the adrenal gland is 3%[3], although the real incidence for primary localization in this site is even more rare; we report an uncommon case of HD localized in the retroperitoneal space normally occupied by the adrenal gland without any clinical and histological signs of adrenal gland encroachment.
2 Case presentation
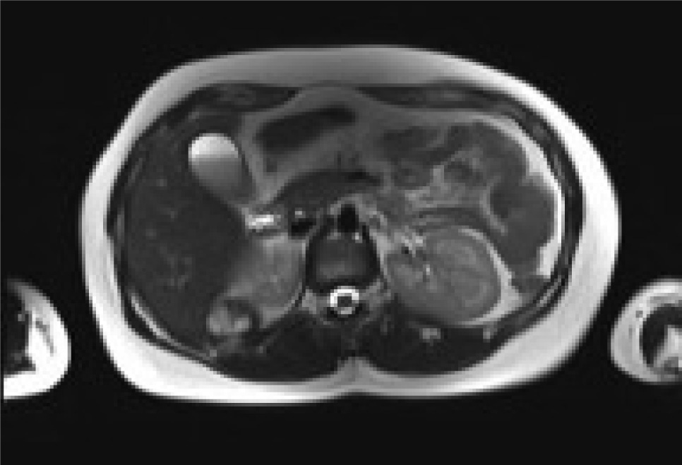
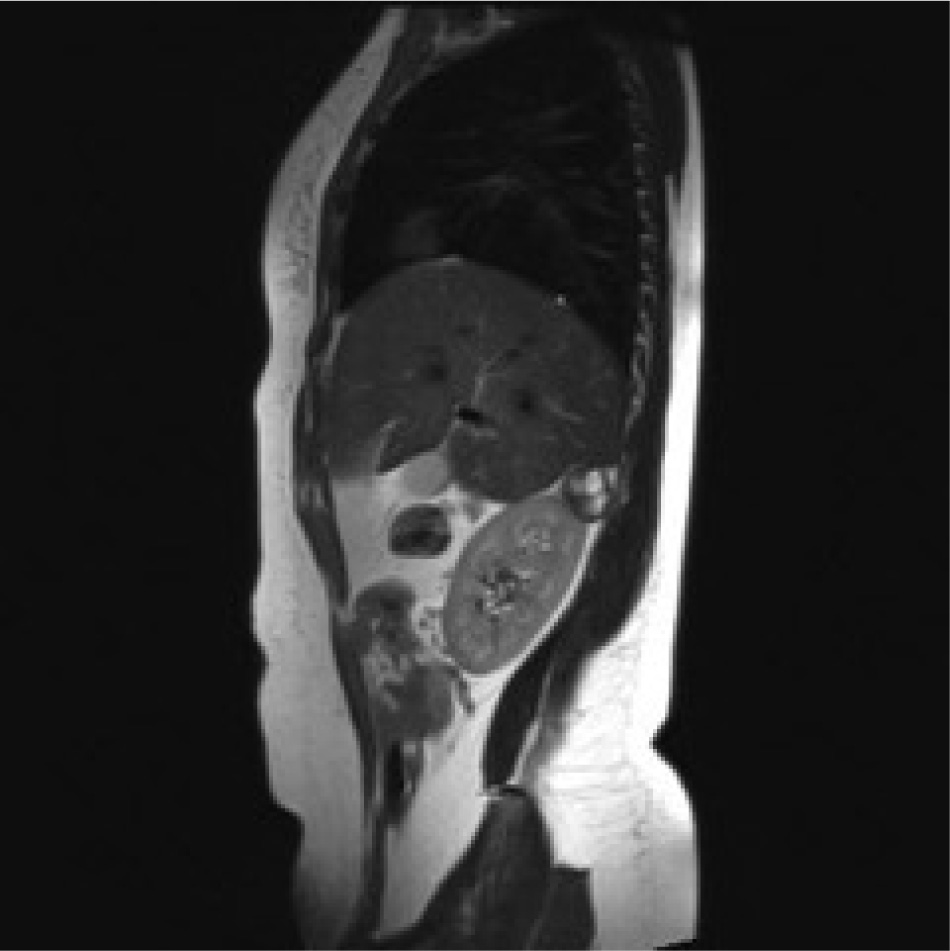
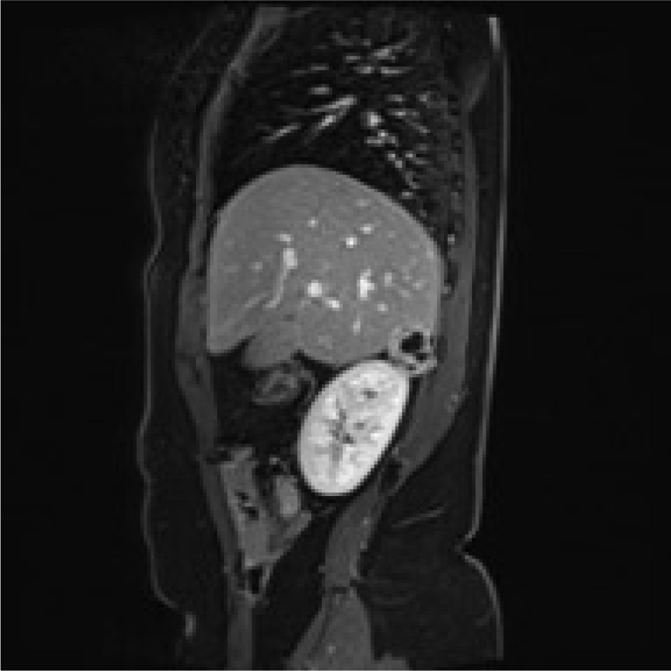
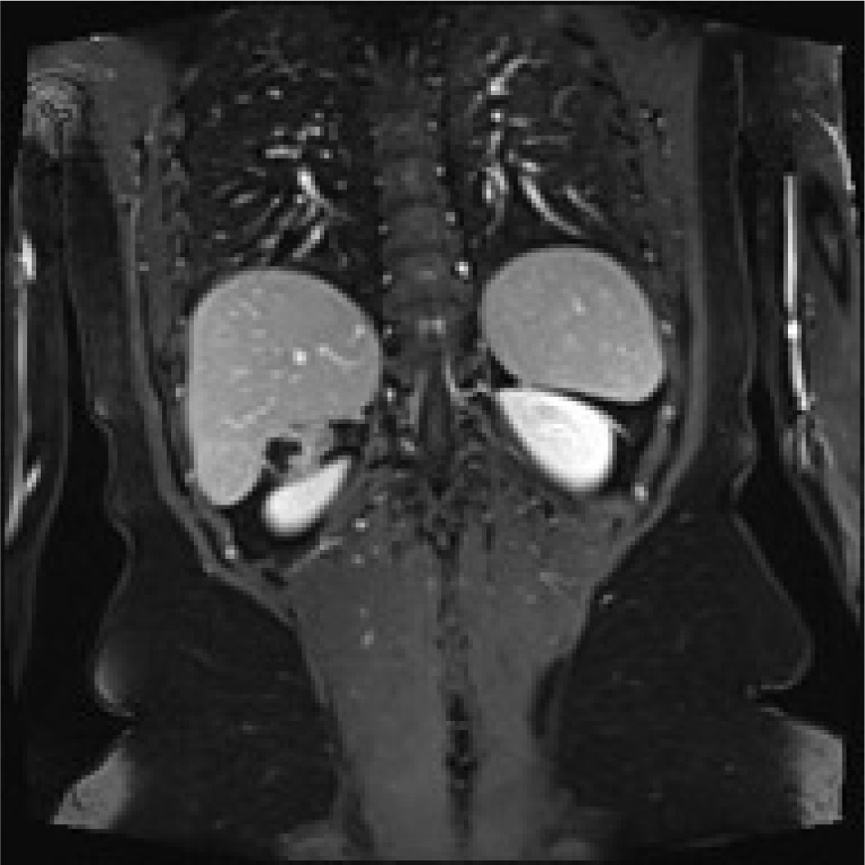
A 78-years old Moroccan woman was admitted to our department for a right flank pain without any other relevant symptoms or signs; she referred to only a light pain radiating to the epigastric region. The pain had started eight or ten months previously, she had no nausea or vomiting, she was afebrile and her vital signs were normal. She denied any contact with dogs or sheep and she had moved from Morocco to Italy in 2009. She was unemployed. Her physical examination was normal, without any significant signs or symptoms, which could suggest retroperitoneal abdominal masses. When she was a child she had the common infective diseases and at the moment of physical examination she had only an iron deficiency anemia. She underwent two Caesarean Births in 2009 and 2012. We performed routine laboratory exams on her, such as hemocromocitometric panel, major biochemical values and principal enzymes; there was no pathological alteration. She underwent ultrasound abdominal exam so we found a strange ovoidal hypoechoic formation in the right adrenal gland space; it was four centimetres in maximum diameter, and there were no signs of peripheral or central vascularization at Doppler’s exam; it was impossible to establish a sure diagnosis so we proposed a CT scan of the abdomen. The CT scan showed a solid mass of maximum diameter 5 cm, with a light peripheral vascularization and degenerative cystic areas; it had no clear linkage with either liver or with right adrenal gland. Therefore we decided to admit her to perform other imaging and laboratory exams; in fact we required an abdominal MRI which showed: “mass of 34 x 27 mm with a central cyst composed of a multilocular structure, there are signs of parietal vascularization and there aren’t signs of a clear dissection plane from kidney and liver”(image 1,2,3,4). Despite this we continued with a screening exam for HD such as indirect hemaglutination test and also hormonal exams both for adrenal cortex hormones and medullar catecholamines; all these exams were negative. We decided to perform a surgical approach to this mass, because we had to have a sure histological diagnosis of the mass; we gained the informed consent for surgical procedure. We set up the patient on the operating table in lateral left decubitus, we obtained a pneumoperitoneum with open technique and after an accurate exploration of abdominal cavity placed another three trocars to complete the procedure. We gained access to the retroperitoneal space with the same surgical steps of a laparoscopic adrenalectomy. There were significant adhesions between the unknown mass and the liver, kidney and adrenal gland. The mass was removed after a dissection through an unclear plane between liver and lesion. We extracted it into a laparoscopic bag from the access in right flank (image 5). The postoperative course was regular, without relevant complications. Unfortunately the definitive histological report was unclear. There was a significant rise in IG indirect hemagglutination one month after the surgical procedure (Indirect Haemoagglutination Assay was 1:600). Therefore we called a specialist for expert advice and finally we reached a conclusive diagnosis: Hydatid cyst localized in the retroperitoneal right adrenal gland space. Now the patient is in good health; even so, we have prescribed her a prophylactic drug treatment with albendazole.
Consent. Written informed consent was obtained from the patient for publication of this case report and any accompanying images. A copy of the written consent is available from review by the Editor-in-Chief of this journal.
Ethical approval: The research related to human use has been complied with all the relevant national regulations, institutional policies and in accordance the tenets of the Helsinki Declaration, and has been approved by the authors’ institutional review board or equivalent committee.
3 Discussion
Traditionally HD has two clinical categories: cystic hydatidosis-caused Echinococcus granulosus and alveolar hydatidosis, caused by Echinococcus multilocularis [1]. Infection begins with the ingestion of tapeworm eggs, which in the human intestine hatch into embryos that penetrate the small bowel mucosa and travel to the liver. Hydatid cysts most often develop in the liver. However, when embryos jump through this first filter, they reach the second most frequent location, the lung, even though hydatid cysts occur anywhere in the body [2]. The symptoms and clinical signs depend on the structures and organs of the body affected by the pathogens. In the adrenal affection the major clinical signs could be hypertension, pain, hormone disorders and other manifestations because there are many substances produced by this gland. However there have been 20 cases of primary hydatid cysts of the adrenal glands reported up to 2007 [3] and it is impossible to learn much about so rare a disease; in addition to this our case is the most rare of the above-mentioned cases because it is an isolated cystic mass without significant involvement of the adrenal gland. Imaging diagnostic problems linked with so rare a localization of the mass as well as an unspecific alteration in the hemagglutination indirect exam, suggested treating this lesion directly with a radical surgery. The imaging about HD is current variable; indeed it depends on the stage of evolution of the disease. Early lesions appear purely cystic; after modification of the germinal layer and a reduction of intraluminal pressure the capsule becomes fibrotic and sometimes calcified, while the daughter cysts discharge from the wall and float in the lumen. Hydatid cyst identification in the adrenal gland space is based mainly on ultrasonography and CT scans [4-6,14-17]; they reach a sensitivity range from 93% to 98% for Ultrasonography while CT scans reach around 97%. On radiology hydatid cysts can be described according to the classification of Gharbi et al. [7] which is based on ultrasonography features and includes five types. In our case the Cyst was a Type IV sec. Gharbi classification described as nonspecific solid mass with unclear hypoechoic pattern. The undefined diagnosis forced us to require additional exams, indeed we underwent the patient further to MRI. Few reports of MRI of adrenal HD have been published. On MRI the complex cyst contents can be well displayed and the cyst membrane, whether collapsed or not, can be clearly seen as a low-intensity curvilinear structure on both short and long repetition time spin-echo images [11], unfortunately in our case these characteristic were not in the MRI exam [14]. The differential diagnosis of an adrenal cyst should include an endothelial cyst, a pseudocyst due to infarction or hemorrhage in the adrenal gland, cystic neoplasm, ectopic glandular tissue and a post traumatic cyst [8-10,12,18-20]. For the above reasons treatment of undefined cyst in the retroperitoneal adrenal gland space is mostly surgical [11]. Pericystectomy or resection of the entire adrenal gland is the two preferred choices. Resection of the cyst with the conservation of the gland remains the optimal procedure [13]. It is preferred to follow an appropriate dissection plane between the cyst and the adrenal gland in order for a complete cystectomy to be achieved. However, it is not always possible and may cause hemorrhage because of adherence of the cystic wall to the adrenal gland’s parenchyma. In the case of hemorrhage or failure to perform the cystectomy, ablation of the entire adrenal gland including the cyst should be performed. Partial dissection should be avoided because of a higher risk of dissemination or recurrence and, in rare cases, anaphylactic shock. As shown by the definitive histological report, we reached a complete eradication of the lesion, without damage to the adrenal gland. Laparoscopic access to adrenal gland space could be performed either anterior trans-abdominal and trans-peritoneal access or posterior and retroperitoneal access. We decided for a laparoscopic trans-abdominal and trans-peritoneal access [13]; indeed we think this approach guarantees a good dominance of the surgical field and at the same time it permits ergonomic movements to the first operator; we think that in an expert surgeon’s hands this is the best approach available for elder patients [21-24].
4 Conclusion
In every country, due to migrant flows and intercontinental touristic journey, HD has to be considered the most probable diagnosis when there is an uncommon cystic or semi-cystic lesion even if there are no laboratory markers which confirm this suspect.
The best treatment for these cystic lesions still remains pericystectomy.
Laparoscopic surgery can guarantee a radical surgery for these lesions, when an expert surgeon in this field performs it.

Rm scan T1weighted axial image showing the adrenal mass

Rm scan T1weighted sagittal image showing the adrenal mass

Rm scan T2weighted sagittal image showing the adrenal mass

Rm scan T2 weighted coronal image showing the adrenal mass

Specimen
Highlights
HD may occur in an uncommon organ or tissue
HD diagnosis is sometimes difficult to gain
Radical surgery is the best treatment in HD disease
Laparoscopic surgery can also be possible in HD
Conflict of interest: The authors declare no conflict of interest.
References
[1] Krasniqi, Avdyl, et al. Primary hydatid cyst of the gallbladder: a case report. J Med Case Rep 2010: 4: 2910.1186/1752-1947-4-29Suche in Google Scholar PubMed PubMed Central
[2] Wani, Rauf Ahmad, et al. Primary extrahepatic abdominal hydatidosis. International Journal of Surgery 2005: 3:125-12710.1016/j.ijsu.2005.06.004Suche in Google Scholar PubMed
[3] Di Cataldo, A., et al. Hydatid disease in a very unusual location: the adrenal gland. A case report. Chirurgia italiana 2002: 55: 275-278Suche in Google Scholar
[4] Horchani, Ali, et al. Hydatid cyst of the adrenal gland: a clinical study of six cases. The Scientific World Journal 2006: 6: 2420-242510.1100/tsw.2006.375Suche in Google Scholar PubMed PubMed Central
[5] de Werra C., et al. Hydatid disease of the liver: thirty years of surgical experience. CHIRURGIA ITALIANA-MILANO THEN ROMA 2007: 59: 611Suche in Google Scholar
[6] De Werra C., Del Giudice R., Di Micco R., Bracciano L., De Filippo D., Cervotti M., Palumbo R., Aloia S. Management delle cisti epatiche benigne. Nostra esperienza Chirurgia 2014:27(2):79-84Suche in Google Scholar
[7] Gharbi, Hassen A., et al. Ultrasound examination of the hydatic liver. Radiology 1981 :139.2: 459-46310.1148/radiology.139.2.7220891Suche in Google Scholar PubMed
[8] Akçay, Müfide Nuran, et al. Hydatid cysts of the adrenal gland: review of nine patients. World journal of surgery 2004: 97-9910.1007/s00268-003-6901-3Suche in Google Scholar PubMed
[9] Bastounis, Elias, et al. Hydatid disease: a rare cause of adrenal cyst. The American surgeon 1996: 62: 383-385Suche in Google Scholar
[10] Otal, Philippe, et al. Imaging Features of Uncommon Adrenal Masses with Histopathologic Correlation 1. Radiographics 1999: 19: 569-58110.1148/radiographics.19.3.g99ma07569Suche in Google Scholar PubMed
[11] Mayo-Smith, William W., et al. State-of-the-Art Adrenal Imaging. Radiographics 2001: 21: 995-101210.1148/radiographics.21.4.g01jl21995Suche in Google Scholar PubMed
[12] Pedrosa, Iván, et al. Hydatid Disease: Radiologic and Pathologic Features and Complications. Radiographics 2000: 20: 795-81710.1148/radiographics.20.3.g00ma06795Suche in Google Scholar PubMed
[13] Chowbey, P. K., et al. Minimal access surgery for hydatid cyst disease: laparoscopic, thoracoscopic, and retroperitoneoscopic approach. Journal of Laparoendoscopic & Advanced Surgical Techniques 2003: 13: 159-16510.1089/109264203766207672Suche in Google Scholar PubMed
[14] Benassai G, Perrotta S, Furino E, De Werra C, Aloia S, Del Giudice R, Amato B, Vigliotti G, Limite G, Quarto G. Ductal adenocarcinoma in anular pancreas. Int J Surg. 2015: S95-7. DOI: 10.1016/j.ijsu.2015.04.086Suche in Google Scholar PubMed
[15] Dicitore, A., Caraglia, M., Gaudenzi, G., Arra, C., Vitale, G.: Type I interferon-mediated pathway interacts with peroxisome proliferator activated receptor-y (PPAR-y): At the cross-road of pancreatic cancer cell proliferation. Biochimica et Biophysica Acta - Reviews on Cancer 2014: 1845 (1): 42-52 DOI: 10.1016/j.bbcan.2013.11.003Suche in Google Scholar
[16] Benassai, G., Desiato, V., Benassai, G., Bianco, T., Sivero, L., Compagna, R., Vigliotti, G., Limite, G., Amato, B., Quarto, G. Adrenocortical carcinoma: What the surgeon needs to know. Case report and literature review International Journal of Surgery 2014, 12: 22-28. DOI: 10.1016/j.ijsu.2014.05.03Suche in Google Scholar
[17] von Sinner, Walther N. New diagnostic signs in hydatid disease; radiography, ultrasound, CT and MRI correlated to pathology. European journal of radiology 1991: 12: 150-15910.1016/0720-048X(91)90119-GSuche in Google Scholar
[18] Soscia A, Guerra G, Cinelli MP, Testa D, Galli V, Macchi V, De Caro R. Parapharyngeal Ectopic Thyroid: the possible persistence of the lateral thyroid anlage. Surgical Radiologic Anatomy 2004, 26(4):338-34310.1007/s00276-004-0241-3Suche in Google Scholar PubMed
[19] Guerra G, Cinelli M, Mesolella M, Tafuri D, Rocca A, Amato B, Rengo S, Testa D. Morphological, diagnostic and surgical features of ectopic thyroid gland: A review of literature. Int J Surg. 2014;12S1:3-1110.1016/j.ijsu.2014.05.076Suche in Google Scholar PubMed
[20] Rocca A, Calise F, Marino G, Montagnani S, Cinelli M, Amato B, Guerra G. Primary giant hepatic neuroendocrine carcinoma: A case report. Int J Surg. 2014;12 Suppl 1:218-22110.1016/j.ijsu.2014.05.056Suche in Google Scholar PubMed
[21] Amato, B., Sivero, L., Vigliotti, G., et al.: Surgery for cancer in the elderly: State of the art. Chirurgia (Turin), 2013: 26 (4): 313-315Suche in Google Scholar
[22] Rispoli C, Rocco N, Iannone L, Amato B : Developing guidelines in geriatric surgery: role of the grade system. BMC Geriatrics 2009, 9 ( SUPPL. 1): A9910.1186/1471-2318-9-S1-A98Suche in Google Scholar
[23] Compagna, R., Vigliotti, G., Rispoli, C., Sivero, L., Amato, B.: Carotid screening with Duplex ultrasound in elderly asymptomatic patients candidate to general surgery. Chirurgia (Turin), 2013, 26 (4): 291-294Suche in Google Scholar
[24] Amato, B., Donisi, M., Rispoli, C., Rocco, N., Iannone, L., Testa, S., Compagna, R., Vigliotti, G., Salvati, V., Gentile, M., Sivero, L. Enhanced recovery after surgery (ERAS) program in the elderly: Is it feasible? Chirurgia (Turin), 2013: 26 (4): 307-308Suche in Google Scholar
© 2016 Giovanni Aprea et al.
This work is licensed under the Creative Commons Attribution-NonCommercial-NoDerivatives 3.0 License.
Artikel in diesem Heft
- Research Article
- The possible molecular regulation mechanism of CIK cells inhibiting the proliferation of Human Lung Adenocarcinoma NCL-H157 Cells
- Case Report
- Urethral stone of unexpected size: case report and short literature review
- Case Report
- Complete remission through icotinib treatment in Non-small cell lung cancer epidermal growth factor receptor mutation patient with brain metastasis: A case report
- Research Article
- FPL tendon thickness, tremor and hand functions in Parkinson’s disease
- Research Article
- Diagnostic value of circulating tumor cells in cerebrospinal fluid
- Research Article
- A meta-analysis of neuroprotective effect for traditional Chinese medicine (TCM) in the treatment of glaucoma
- Research Article
- MiR-218 increases sensitivity to cisplatin in esophageal cancer cells via targeting survivin expression
- Research Article
- Association of HOTAIR expression with PI3K/Akt pathway activation in adenocarcinoma of esophagogastric junction
- Research Article
- The role of interleukin genes in the course of depression
- Case Report
- A rare case of primary pulmonary diffuse large B cell lymphoma with CD5 positive expression
- Research Article
- DWI and SPARCC scoring assess curative effect of early ankylosing spondylitis
- Research Article
- The diagnostic value of serum CEA, NSE and MMP-9 for on-small cell lung cancer
- Case Report
- Dysphonia – the single symptom of rifampicin resistant laryngeal tuberculosis
- Review Article
- Development of epidermal growth factor receptor tyrosine kinase inhibitors against EGFR T790M. Mutation in non small-cell lung carcinoma
- Research Article
- Negative regulation of CDC42 expression and cell cycle progression by miR-29a in breast cancer
- Research Article
- Expression analysis of the TGF-β/SMAD target genes in adenocarcinoma of esophagogastric junction
- Research Article
- Blood cells in thyroid cancer patients: a possible influence of apoptosis
- Research Article
- Detected EGFR mutation in cerebrospinal fluid of lung adenocarcinoma patients with meningeal metastasis
- Mini-review
- Pathogenesis-oriented approaches for the management of corticosteroid-resistant or relapsedprimary immune thrombocytopenia
- Research Article
- GSTP1 A>G polymorphism and chemosensitivity of osteosarcoma: A meta-analysis
- Research Article
- A meta-analysis of adiponectin gene rs22411766 T>G polymorphism and ischemic stroke susceptibility
- Research Article
- The diagnosis and pathological value of combined detection of HE4 and CA125 for patients with ovarian cancer
- Research Article
- SOX7 inhibits tumor progression of glioblastoma and is regulated by miRNA-24
- Research Article
- Sevoflurane affects evoked electromyography monitoring in cerebral palsy
- Case Report
- A case report of hereditary spherocytosis with concomitant chronic myelocytic leukemia
- Case Report
- A case of giant saphenous vein graft aneurysm followed serially after coronary artery bypass surgery
- Research Article
- LncRNA TUG1 is upregulated and promotes cell proliferation in osteosarcoma
- Review Article
- Meningioma recurrence
- Case Report
- Endobronchial amyloidosis mimicking bronchial asthma: a case report and review of the literature
- Case Report
- A confusing case report of pulmonary langerhans cell histiocytosis and literature review
- Research Article
- Effect of hesperetin on chaperone activity in selenite-induced cataract
- Research Article
- Clinical value of self-assessment risk of osteoporosis in Chinese
- Research Article
- Correlation analysis of VHL and Jade-1 gene expression in human renal cell carcinoma
- Research Article
- Is acute appendicitis still misdiagnosed?
- Retraction
- Retraction of: application of food-specific IgG antibody detection in allergy dermatosis
- Review Article
- Platelet Rich Plasma: a short overview of certain bioactive components
- Research Article
- Correlation between CTLA-4 gene rs221775A>G single nucleotide polymorphism and multiple sclerosis susceptibility. A meta-analysis
- Review Article
- Standards of anesthesiology practice during neuroradiological interventions
- Research Article
- Expression and clinical significance of LXRα and SREBP-1c in placentas of preeclampsia
- Letter to the Editor
- ARDS diagnosed by SpO2/FiO2 ratio compared with PaO2/FiO2 ratio: the role as a diagnostic tool for early enrolment into clinical trials
- Research Article
- Impact of sensory integration training on balance among stroke patients: sensory integration training on balance among stroke patients
- Review Article
- MicroRNAs as regulatory elements in psoriasis
- Review Article
- Influenza A(H1N1)pdm09 and postpandemic influenza in Lithuania
- Review Article
- Garengeot’s hernia: two case reports with CT diagnosis and literature review
- Research Article
- Concept of experimental preparation for treating dentin hypersensitivity
- Research Article
- Hydrogen water reduces NSE, IL-6, and TNF-α levels in hypoxic-ischemic encephalopathy
- Research Article
- Xanthogranuloma of the sellar region diagnosed by frozen section
- Case Report
- Laparoscopic antegrade cholecystectomy: a standard procedure?
- Case Report
- Maxillary fibrous dysplasia associated with McCune-Albright syndrome. A case study
- Regular Article
- Sialoendoscopy, sialography, and ultrasound: a comparison of diagnostic methods
- Research Article
- Antibody Response to Live Attenuated Vaccines in Adults in Japan
- Conference article
- Excellence and safety in surgery require excellent and safe tutoring
- Conference article
- Suggestions on how to make suboptimal kidney transplantation an ethically viable option
- Regular Article
- Ectopic pregnancy treatment by combination therapy
- Conference article
- Use of a simplified consent form to facilitate patient understanding of informed consent for laparoscopic cholecystectomy
- Regular Article
- Cusum analysis for learning curve of videothoracoscopic lobectomy
- Regular Article
- A meta-analysis of association between glutathione S-transferase M1 gene polymorphism and Parkinson’s disease susceptibility
- Conference article
- Plastination: ethical and medico-legal considerations
- Regular Article
- Investigation and control of a suspected nosocomial outbreak of pan-drug resistant Acinetobacter baumannii in an intensive care unit
- Regular Article
- Multifactorial analysis of fatigue scale among nurses in Poland
- Regular Article
- Smoking cessation for free: outcomes of a study of three Romanian clinics
- Regular Article
- Clinical efficacy and safety of tripterygium glycosides in treatment of stage IV diabetic nephropathy: A meta-analysis
- Special Issue on Italian Society for the Study of Vascular Anomalies
- Prevention and treatment of peritoneal adhesions in patients affected by vascular diseases following surgery: a review of the literature
- Special Issue on Italian Society for the Study of Vascular Anomalies
- Surgical treatment of recidivist lymphedema
- Special Issue on Italian Society for the Study of Vascular Anomalies
- CT and MR imaging of the thoracic aorta
- Special Issue on Italian Society for the Study of Vascular Anomalies
- Role of FDG-PET scan in staging of pulmonary epithelioid hemangioendothelioma
- Special Issue on Italian Society for the Study of Vascular Anomalies
- Sternal reconstruction by extracellular matrix: a rare case of phaces syndrome
- Special Issue on Italian Society for the Study of Vascular Anomalies
- Prenatal diagnosis, 3-D virtual rendering and lung sparing surgery by ligasure device in a baby with “CCAM and intralobar pulmonary sequestration”
- Special Issue on Italian Society for the Study of Vascular Anomalies
- Serum levels of inhibin B in adolescents after varicocelelectomy: A long term follow up
- Special Issue on Italian Society for the Study of Vascular Anomalies
- Our experience in the treatment of Malignant Fibrous Hystiocytoma of the larynx: clinical diagnosis, therapeutic approach and review of literature
- Special Issue on Italian Society for the Study of Vascular Anomalies
- Delayed recurrent nerve paralysis following post-traumatic aortic pseudoaneurysm
- Special Issue on Italian Society for the Study of Vascular Anomalies
- Integrated therapeutic approach to giant solitary fibrous tumor of the pleura: report of a case and review of the literature
- Special Issue on Italian Society for the Study of Vascular Anomalies
- Celiac axis compression syndrome: laparoscopic approach in a strange case of chronic abdominal pain in 71 years old man
- Special Issue on Italian Society for the Study of Vascular Anomalies
- A rare case of persistent hypoglossal artery associated with contralateral proximal subclavian stenosis
- Focus on Medico-Legal and Ethical Topics in Surgery in Italy
- Contralateral risk reducing mastectomy in Non-BRCA-Mutated patients
- Focus on Medico-Legal and Ethical Topics in Surgery in Italy
- Professional dental and oral surgery liability in Italy: a comparative analysis of the insurance products offered to health workers
- Focus on Medico-Legal and Ethical Topics in Surgery in Italy
- Informed consent in robotic surgery: quality of information and patient perception
- Focus on Medico-Legal and Ethical Topics in Surgery in Italy
- Malfunctions of robotic system in surgery: role and responsibility of surgeon in legal point of view
- Focus on Medico-Legal and Ethical Topics in Surgery in Italy
- Medicolegal implications of surgical errors and complications in neck surgery: A review based on the Italian current legislation
- Focus on Medico-Legal and Ethical Topics in Surgery in Italy
- Iatrogenic splenic injury: review of the literature and medico-legal issues
- Focus on Medico-Legal and Ethical Topics in Surgery in Italy
- Donation of the body for scientific purposes in Italy: ethical and medico-legal considerations
- Focus on Medico-Legal and Ethical Topics in Surgery in Italy
- Cosmetic surgery: medicolegal considerations
- Focus on Medico-Legal and Ethical Topics in Surgery in Italy
- Voluntary termination of pregnancy (medical or surgical abortion): forensic medicine issues
- Review Article
- Role of Laparoscopic Splenectomy in Elderly Immune Thrombocytopenia
- Review Article
- Endoscopic diagnosis and treatment of neuroendocrine tumors of the digestive system
- Review Article
- Efficacy and safety of splenectomy in adult autoimmune hemolytic anemia
- Research Article
- Relationship between gastroesophageal reflux disease and Ph nose and salivary: proposal of a simple method outpatient in patients adults
- Case Report
- Idiopathic pleural panniculitis with recurrent pleural effusion not associated with Weber-Christian disease
- Research Article
- Morbid Obesity: treatment with Bioenterics Intragastric Balloon (BIB), psychological and nursing care: our experience
- Research Article
- Learning curve for endorectal ultrasound in young and elderly: lights and shades
- Case Report
- Uncommon primary hydatid cyst occupying the adrenal gland space, treated with laparoscopic surgical approach in an old patient
- Research Article
- Distraction techniques for face and smile aesthetic preventing ageing decay
- Research Article
- Preoperative high-intensity training in frail old patients undergoing pulmonary resection for NSCLC
- Review Article
- Descending necrotizing mediastinitis in the elderly patients
- Research Article
- Prophylactic GSV surgery in elderly candidates for hip or knee arthroplasty
- Research Article
- Diagnostic yield and safety of C-TBNA in elderly patients with lung cancer
- Research Article
- The learning curve of laparoscopic holecystectomy in general surgery resident training: old age of the patient may be a risk factor?
- Research Article
- Self-gripping mesh versus fibrin glue fixation in laparoscopic inguinal hernia repair: a randomized prospective clinical trial in young and elderly patients
- Research Article
- Anal sphincter dysfunction in multiple sclerosis: an observation manometric study
Artikel in diesem Heft
- Research Article
- The possible molecular regulation mechanism of CIK cells inhibiting the proliferation of Human Lung Adenocarcinoma NCL-H157 Cells
- Case Report
- Urethral stone of unexpected size: case report and short literature review
- Case Report
- Complete remission through icotinib treatment in Non-small cell lung cancer epidermal growth factor receptor mutation patient with brain metastasis: A case report
- Research Article
- FPL tendon thickness, tremor and hand functions in Parkinson’s disease
- Research Article
- Diagnostic value of circulating tumor cells in cerebrospinal fluid
- Research Article
- A meta-analysis of neuroprotective effect for traditional Chinese medicine (TCM) in the treatment of glaucoma
- Research Article
- MiR-218 increases sensitivity to cisplatin in esophageal cancer cells via targeting survivin expression
- Research Article
- Association of HOTAIR expression with PI3K/Akt pathway activation in adenocarcinoma of esophagogastric junction
- Research Article
- The role of interleukin genes in the course of depression
- Case Report
- A rare case of primary pulmonary diffuse large B cell lymphoma with CD5 positive expression
- Research Article
- DWI and SPARCC scoring assess curative effect of early ankylosing spondylitis
- Research Article
- The diagnostic value of serum CEA, NSE and MMP-9 for on-small cell lung cancer
- Case Report
- Dysphonia – the single symptom of rifampicin resistant laryngeal tuberculosis
- Review Article
- Development of epidermal growth factor receptor tyrosine kinase inhibitors against EGFR T790M. Mutation in non small-cell lung carcinoma
- Research Article
- Negative regulation of CDC42 expression and cell cycle progression by miR-29a in breast cancer
- Research Article
- Expression analysis of the TGF-β/SMAD target genes in adenocarcinoma of esophagogastric junction
- Research Article
- Blood cells in thyroid cancer patients: a possible influence of apoptosis
- Research Article
- Detected EGFR mutation in cerebrospinal fluid of lung adenocarcinoma patients with meningeal metastasis
- Mini-review
- Pathogenesis-oriented approaches for the management of corticosteroid-resistant or relapsedprimary immune thrombocytopenia
- Research Article
- GSTP1 A>G polymorphism and chemosensitivity of osteosarcoma: A meta-analysis
- Research Article
- A meta-analysis of adiponectin gene rs22411766 T>G polymorphism and ischemic stroke susceptibility
- Research Article
- The diagnosis and pathological value of combined detection of HE4 and CA125 for patients with ovarian cancer
- Research Article
- SOX7 inhibits tumor progression of glioblastoma and is regulated by miRNA-24
- Research Article
- Sevoflurane affects evoked electromyography monitoring in cerebral palsy
- Case Report
- A case report of hereditary spherocytosis with concomitant chronic myelocytic leukemia
- Case Report
- A case of giant saphenous vein graft aneurysm followed serially after coronary artery bypass surgery
- Research Article
- LncRNA TUG1 is upregulated and promotes cell proliferation in osteosarcoma
- Review Article
- Meningioma recurrence
- Case Report
- Endobronchial amyloidosis mimicking bronchial asthma: a case report and review of the literature
- Case Report
- A confusing case report of pulmonary langerhans cell histiocytosis and literature review
- Research Article
- Effect of hesperetin on chaperone activity in selenite-induced cataract
- Research Article
- Clinical value of self-assessment risk of osteoporosis in Chinese
- Research Article
- Correlation analysis of VHL and Jade-1 gene expression in human renal cell carcinoma
- Research Article
- Is acute appendicitis still misdiagnosed?
- Retraction
- Retraction of: application of food-specific IgG antibody detection in allergy dermatosis
- Review Article
- Platelet Rich Plasma: a short overview of certain bioactive components
- Research Article
- Correlation between CTLA-4 gene rs221775A>G single nucleotide polymorphism and multiple sclerosis susceptibility. A meta-analysis
- Review Article
- Standards of anesthesiology practice during neuroradiological interventions
- Research Article
- Expression and clinical significance of LXRα and SREBP-1c in placentas of preeclampsia
- Letter to the Editor
- ARDS diagnosed by SpO2/FiO2 ratio compared with PaO2/FiO2 ratio: the role as a diagnostic tool for early enrolment into clinical trials
- Research Article
- Impact of sensory integration training on balance among stroke patients: sensory integration training on balance among stroke patients
- Review Article
- MicroRNAs as regulatory elements in psoriasis
- Review Article
- Influenza A(H1N1)pdm09 and postpandemic influenza in Lithuania
- Review Article
- Garengeot’s hernia: two case reports with CT diagnosis and literature review
- Research Article
- Concept of experimental preparation for treating dentin hypersensitivity
- Research Article
- Hydrogen water reduces NSE, IL-6, and TNF-α levels in hypoxic-ischemic encephalopathy
- Research Article
- Xanthogranuloma of the sellar region diagnosed by frozen section
- Case Report
- Laparoscopic antegrade cholecystectomy: a standard procedure?
- Case Report
- Maxillary fibrous dysplasia associated with McCune-Albright syndrome. A case study
- Regular Article
- Sialoendoscopy, sialography, and ultrasound: a comparison of diagnostic methods
- Research Article
- Antibody Response to Live Attenuated Vaccines in Adults in Japan
- Conference article
- Excellence and safety in surgery require excellent and safe tutoring
- Conference article
- Suggestions on how to make suboptimal kidney transplantation an ethically viable option
- Regular Article
- Ectopic pregnancy treatment by combination therapy
- Conference article
- Use of a simplified consent form to facilitate patient understanding of informed consent for laparoscopic cholecystectomy
- Regular Article
- Cusum analysis for learning curve of videothoracoscopic lobectomy
- Regular Article
- A meta-analysis of association between glutathione S-transferase M1 gene polymorphism and Parkinson’s disease susceptibility
- Conference article
- Plastination: ethical and medico-legal considerations
- Regular Article
- Investigation and control of a suspected nosocomial outbreak of pan-drug resistant Acinetobacter baumannii in an intensive care unit
- Regular Article
- Multifactorial analysis of fatigue scale among nurses in Poland
- Regular Article
- Smoking cessation for free: outcomes of a study of three Romanian clinics
- Regular Article
- Clinical efficacy and safety of tripterygium glycosides in treatment of stage IV diabetic nephropathy: A meta-analysis
- Special Issue on Italian Society for the Study of Vascular Anomalies
- Prevention and treatment of peritoneal adhesions in patients affected by vascular diseases following surgery: a review of the literature
- Special Issue on Italian Society for the Study of Vascular Anomalies
- Surgical treatment of recidivist lymphedema
- Special Issue on Italian Society for the Study of Vascular Anomalies
- CT and MR imaging of the thoracic aorta
- Special Issue on Italian Society for the Study of Vascular Anomalies
- Role of FDG-PET scan in staging of pulmonary epithelioid hemangioendothelioma
- Special Issue on Italian Society for the Study of Vascular Anomalies
- Sternal reconstruction by extracellular matrix: a rare case of phaces syndrome
- Special Issue on Italian Society for the Study of Vascular Anomalies
- Prenatal diagnosis, 3-D virtual rendering and lung sparing surgery by ligasure device in a baby with “CCAM and intralobar pulmonary sequestration”
- Special Issue on Italian Society for the Study of Vascular Anomalies
- Serum levels of inhibin B in adolescents after varicocelelectomy: A long term follow up
- Special Issue on Italian Society for the Study of Vascular Anomalies
- Our experience in the treatment of Malignant Fibrous Hystiocytoma of the larynx: clinical diagnosis, therapeutic approach and review of literature
- Special Issue on Italian Society for the Study of Vascular Anomalies
- Delayed recurrent nerve paralysis following post-traumatic aortic pseudoaneurysm
- Special Issue on Italian Society for the Study of Vascular Anomalies
- Integrated therapeutic approach to giant solitary fibrous tumor of the pleura: report of a case and review of the literature
- Special Issue on Italian Society for the Study of Vascular Anomalies
- Celiac axis compression syndrome: laparoscopic approach in a strange case of chronic abdominal pain in 71 years old man
- Special Issue on Italian Society for the Study of Vascular Anomalies
- A rare case of persistent hypoglossal artery associated with contralateral proximal subclavian stenosis
- Focus on Medico-Legal and Ethical Topics in Surgery in Italy
- Contralateral risk reducing mastectomy in Non-BRCA-Mutated patients
- Focus on Medico-Legal and Ethical Topics in Surgery in Italy
- Professional dental and oral surgery liability in Italy: a comparative analysis of the insurance products offered to health workers
- Focus on Medico-Legal and Ethical Topics in Surgery in Italy
- Informed consent in robotic surgery: quality of information and patient perception
- Focus on Medico-Legal and Ethical Topics in Surgery in Italy
- Malfunctions of robotic system in surgery: role and responsibility of surgeon in legal point of view
- Focus on Medico-Legal and Ethical Topics in Surgery in Italy
- Medicolegal implications of surgical errors and complications in neck surgery: A review based on the Italian current legislation
- Focus on Medico-Legal and Ethical Topics in Surgery in Italy
- Iatrogenic splenic injury: review of the literature and medico-legal issues
- Focus on Medico-Legal and Ethical Topics in Surgery in Italy
- Donation of the body for scientific purposes in Italy: ethical and medico-legal considerations
- Focus on Medico-Legal and Ethical Topics in Surgery in Italy
- Cosmetic surgery: medicolegal considerations
- Focus on Medico-Legal and Ethical Topics in Surgery in Italy
- Voluntary termination of pregnancy (medical or surgical abortion): forensic medicine issues
- Review Article
- Role of Laparoscopic Splenectomy in Elderly Immune Thrombocytopenia
- Review Article
- Endoscopic diagnosis and treatment of neuroendocrine tumors of the digestive system
- Review Article
- Efficacy and safety of splenectomy in adult autoimmune hemolytic anemia
- Research Article
- Relationship between gastroesophageal reflux disease and Ph nose and salivary: proposal of a simple method outpatient in patients adults
- Case Report
- Idiopathic pleural panniculitis with recurrent pleural effusion not associated with Weber-Christian disease
- Research Article
- Morbid Obesity: treatment with Bioenterics Intragastric Balloon (BIB), psychological and nursing care: our experience
- Research Article
- Learning curve for endorectal ultrasound in young and elderly: lights and shades
- Case Report
- Uncommon primary hydatid cyst occupying the adrenal gland space, treated with laparoscopic surgical approach in an old patient
- Research Article
- Distraction techniques for face and smile aesthetic preventing ageing decay
- Research Article
- Preoperative high-intensity training in frail old patients undergoing pulmonary resection for NSCLC
- Review Article
- Descending necrotizing mediastinitis in the elderly patients
- Research Article
- Prophylactic GSV surgery in elderly candidates for hip or knee arthroplasty
- Research Article
- Diagnostic yield and safety of C-TBNA in elderly patients with lung cancer
- Research Article
- The learning curve of laparoscopic holecystectomy in general surgery resident training: old age of the patient may be a risk factor?
- Research Article
- Self-gripping mesh versus fibrin glue fixation in laparoscopic inguinal hernia repair: a randomized prospective clinical trial in young and elderly patients
- Research Article
- Anal sphincter dysfunction in multiple sclerosis: an observation manometric study