Abstract
Background
Human bone marrow mesenchymal stem cells (BMSCs) are of great significance for bone regeneration and bone formation. Long non-coding RNAs (lncRNAs) may be involved in modulating cell differentiation. This study aimed to investigate the role of lncR-2271 in promoting osteogenic differentiation in human BMSCs.
Methods
Human BMSCs were infected using lncR-2271 overexpression (group A) with lentiviral system or transfected with lncR-2271 siRNA (group B). Cells transfected with scrambled plasmids were used as a negative control (group C). Osteogenesis markers were evaluated using alkaline phosphatase (ALP) activity, RUNX2 and osterix (OSX) at protein levels and calcification by Alizarin Red staining.
Results
BMSCs from group A showed significantly higher ALP activity compared to BMSCs in group B and control group (group C) at both days 7 and 14 following osteogenic induction; ALP activity was significantly lower in the group B compared to the group C. RUNX2 and OSX protein expressions were significantly higher in group A and significantly lower in group B, compared to those in group C, respectively. At day 21, calcification in human BMSCs in group A was significantly higher compared to groups B and C as shown by Alizarin Red staining; calcification was significantly lower in group B compared to group C.
Conclusion
Our data suggested lncR-2271 played a role in promoting osteogenic differentiation in human BMSCs. This study is the first to illustrate the important role of lncR-2271 in bone formation.
1 Introduction
Bone formation by osteoblasts is crucial for bone remodeling hemostasis. A defect in bone formation can greatly hamper bone remodeling, bone regeneration, fracture healing, and overall skeletal health [1, 2]. Bone marrow mesenchymal stem cells (BMSCs) are a group of multipotent stem cells that can differentiate into functional osteoblasts [3]. BMSCs have stable self-renewal ability and they are considered promising candidates for bone tissue regeneration in clinical applications [4, 5, 6]. Osteogenesis is a complex cell differentiation process modulated by several genetic and epigenetic factors, among which RUNX2 and osterix (OSX) are key transcription factors that play a pivotal role in osteoblast differentiation and bone formation [7, 8]. However, the epigenetic control of osteogenesis is not clearly described [9].
Long non-coding RNA (lncRNA) is a class of non-coding RNA sized between 200 – 100,000 nucleotides, which is found in eukaryotes and plays an important role in epigenetic regulation in mammals [10]. Current findings suggest that lncRNAs are largely involved in multiple important molecular functions such as regulation of gene expression and post-transcriptional RNA modifications, most likely mediated via interactions with relevant transcription factors [10, 11]. LncRNAs are also closely related to many human diseases including cardiometabolic and immunology disorders [12, 13]. More importantly, recent research indicates that lncRNAs effectively regulate mesenchymal stem cell differentiation [14], indicating that lncRNAs may also affect the osteogenic potential of BMSCs. However, relevant data to support this is scarce.
In our previous study, we screened 87 lncRNAs by microarray analysis and demonstrated that several lncRNAs were differentially expressed during osteogenic differentiation, among which lncRNA ENSG00000232271 (named lncR-2271; chromosome 20; start site: 7,050,261; end site: 7,127,303) was the most significantly differentially expressed lncRNA [15]. This suggested that lncR-2271 is possibly involved in the process of BMSC osteogenesis, however, the specific relationship between lncR-7721 and human BMSC osteogenesis is unclear.
In this study, we intended to investigate the role of lncR-2271 in osteogenic differentiation of BMSCs by overexpressing or inhibiting lncR-2271 expression and evaluate its effect on the osteogenic differentiation of human BMSC. We also attempted to explore the potential mechanisms by probing the expressions of critical regulators of osteogenesis including RUNX2 and OSX.
2 Materials and Methods
2.1 Cells
This study used human BMSCs purchased from the Cobioer Biosciences Co., Ltd (Nanjing, China). Routine cell culture was performed using Dulbecco’s modified Eagle’s medium (DMEM) supplemented with 10% fetal bovine serum (FBS; Invitrogen, California, USA) in a humidified incubator with 5% CO2 at 37˚C. All culture medium was changed every 2 days and routine cell passage was performed when cells reached confluency. Cells were consistently used at passages 3 to 5. After adjusting the density of BMSCs to 1 × 106 ml by cell counting method, the cell culture medium was inoculated into the pore plate.
2.2 Analysis of BMSCs surface antigen markers
The third passage of BMSCs were digested and suspended by trypsin, then centrifuged twice with a rotational speed of 1200 r/min for 5 mins with phosphate-buffered saline (PBS). Then the BMSCs were counted in L-DMEM (Gibco, USA) complete culture medium, and the density of BMSCs was adjusted to 1 × 106 cells per mL, and divided into 5 tubes. Briefly, the cells were grown to 70% confluence, tryspinized, and washed with PBS. One was used as a blank control, and the remaining four were included to each of them by adding mouse anti-human CD34, CD45, CD44 and CD29 / FITC monoclonal antibodies (Cell Signaling Technology, Inc., Santa Cruz, CA, USA) 5 μl respectively, and then placed at room temperature for 20 mins, and then centrifuged each sample tube (rate 1200 rpm/min) 5 mins and discard the supernatant. After washing with 0.5 ml washing solution for two times, the cells were resuspended in 1 × PBS equilibrium salt solution of each tube. Finally, the cell surface antigen was detected and analyzed on a FACS Canto II (Becton Dickinson) using Diva Software (Beckton Dickinson).
2.3 Knockdown or overexpression of lncR-2271
The design and synthesis of lncR-2271, plasmids and lentiviruses were accomplished by GeneChem (Shanghai GeneChem, Shanghai, China). The lncR-2271 sequence was amplified using the indicated primers: lncR-2271 Forward: 5’-AAC CTT TGC TCC AAC TTT CTC C-3’ and Reverse: 5 ‘- ACA CCC TGG CAG TGC CTA TT - 3’. Full-length lncR-2271 and pGreenFire control plasmids (Cat no. TR000PA-1, System Biosciences, LLC, CA, USA) were cloned into pcDNA3.1 vector (Invitrogen, Carlsbad, CA, USA).And the blank plasmid vector is made as an NC. For lentivirus packaging, 293T cells were transferred with an lncRNA-2271 plasmid vector. Preparation of lentivirus mixture before transfection: adding 15 μL EndoFection transfection reagent (Invitrogen, Carlsbad, CA, USA) into the mixture containing 5 μL Lenti-Pac HIV reagents (Cat no. HPK-LvTR-40, GeneCopoeia, USA) and lentivirus expression plasmids, then resting at room temperature, then adding them to the medium for overnight culture. The harvested lentiviruses were concentrated, purified and preserved at −80°C. BMSCs were cultured at a concentration of 1 × 106 cells per well in 24-well plates. After the cells had grown to 50-60% confluence, they were transfected with lentiviruses in the presence of polybrene at a multiplicity of transfection of 50. Plasmid transfection was conducted using Lipofectamine 2000 (Cat no. 11668-019, Invitrogen) transfection reagent following the manufacturer’s protocol. After 48 h of transfection, the cells were collected and used for further investigations. The supernatants were placed on primary human BMSCs and incubated in the presence of polybrene (Nanjing SenBeiJia Biological Technology Co., Ltd., Nanjing, China) for 72 hours.
Transfection was performed by treating BMSCs with lncR-2271 siRNA(Cat no. L1025, Genepharma, Shanghai, China) (group B) using lipofectamine 2000 (Cat no. 11668-019, Invitrogen). Cells transfected with control siRNA (cat no. CW0871, System Biosciences, LLC, CA, USA) were categorized as control (group C). Sequences of siRNAs used in these studies: F: 5’-GGACGAGGAGTTATTCTATTG dTdT-3’ and reverse: R: 5’-dTdTCCTGCTCGTCAATAAGATAAC-3’.
2.4 Analysis of cell survival and transfection efficiency
After 48 hours of transfection, 10 μL Cell Counting Kit-8 solution (Cell Proliferation Kit, Dojindo Laboratories, Japan) were added into each 24-well and incubated for 2 hours at 37. Absorbance of each well was measured using a microplate reader (μQuant, Bio-Tek, USA) at 450 nm.
After 48 hours of transfection, media was removed from cells and rinsed with PBS. GFP intensity was measured using versatile fluorescence micro plate reader at 509 nm (μQuant, Bio-Tek, USA).
2.5 Osteoblastic differentiation induction
Following transfection, BMSC osteoblastic differentiation was induced using osteoblastic culture media containing DMEM with 5% FBS and 200 ng/ml recombinant human bone morphogenic protein 2 (BMP2; PeproTech, Rocky Hill, USA) for 21 days.
2.6 Alkaline phosphatase activity assay
Alkaline phosphatase (ALP) activity was evaluated at days 7 and 14 after differentiation induction using a commercial kit according to the manufacturer’s protocol (Labtest Diagnostica SA, Lagoa Santa, MG, Brazil). Briefly, cells were lysed by five cycles of thermal shock (-20˚C for 20 min and 37˚C for 15 min). Fifty μL of preheated (37˚C for 2 min) thymolphthalein monophosphate containing 0.3 M diethanolamine buffer (pH 10.1) was then added to the cell lysate and the mixture was kept at 37˚C for 10 min. The reaction was stopped by adding 2 mL of a sodium carbonate (0.09 mmol/mL) and sodium hydroxide (0.25 mmol/mL) solution. Optical density was measured at 590 nm (μQuant, Bio-Tek, USA) using distilled water as a blank control. ALP activity was averaged from quintuplicate (n = 5) samples and normalized to total protein content [16].
2.7 Alizarin red staining
Calcium deposits in differentiated BMSCs at day 21 were detected by alizarin red staining. Cells were fixed with 4% paraformaldehyde after washing with phosphate buffered saline (PBS) for 30 min. Alizarin red solution was then added to the cell culture for 3 to 5 min. Cells were then observed under a microscope (SZL6745 Zoom Stereo Microscope, Yuyao Dagong Instrument Co., Ltd., Hangzhou, China) after washing with PBS again, and images were taken. Image-Pro Plus 6.0 analysis software (Media Cybernetics, Bethesda, MD, USA) was used to evaluate the staining density of the images.
2.8 Real-time quantitative PCR
Total RNA was extracted from BMSCs at days 7 and 14 after differentiation using the TRIzol reagent (Life Technologies, USA), and RNA concentrations were evaluated using NanoDrop 1000 (Thermo Fisher Scientific, MA, USA). cDNA was first synthesized using the Moloney Murine Leukemia Virus Reverse Transcriptase kit (Life Technologies, USA) using random primers (Takara Bio, Otsu, Japan) at 55˚C for 30 min. Real-time PCR was then performed by combining the cDNA product with 2×Taq PCR Master mix (Tiangen Biotech Co., Beijing, China) containing 10 pmol/l of primer pairs (Takara Bio, Japan). The qPCR procedure was performed on a LightCycler 480 instrument (Roche Diagnostics, Mannheim, Germany) and the cycle was as follows: 95˚C for 15 min, 40 cycles of 94˚C for 15 sec, 55˚C for 30 sec, and 72˚C for 30 sec. The fluorescence was measured and the relative expression was calculated by the the 2-ΔΔCt method using glyceraldehyde phosphate dehydrogenase (GAPDH) for normalization [17]. The primer sequences were as follows: lncR-2271 Forward: 5’-AAC CTT TGC TCC AAC TTT CTC C-3’ and Reverse: 5‘-ACA CCC TGG CAG TGC CTA TT-3’; GAPDH forward: 5’-ACA GCC TCA AGA TCA TCA GCA-3’ and reverse: 5’-CAT CAC GCC ACA GTT TCC C-3’.
2.9 Western blot
Total protein was extracted from BMSCs using a lysis buffer (Beyotime, China) and further separated by 10% SDS-PAGE. Separated proteins were then transferred to a nitrocellulose filter membrane. The membrane was incubated with primary antibodies for either RUNX2 (1:500, ab76956, Abcam) or OSX (1:1,000, ab187158, Abcam), and tubulin (1:1,000, ab59680, Abcam) as a loading control. The membranes were then incubated with a corresponding horseradish peroxidase (HRP)-conjugated secondary antibody (anti-mouse IgG, HRP, 1:5,000, ab6728, or anti-rabbit IgG, HRP, 1:5,000, ab6721, Abcam). Protein band signals were visualized using an enhanced chemiluminescence (ECL) kit (Pierce, IL, USA), and band intensity was further analyzed by Image-J software (version 1.42, NIH, USA).
2.10 Statistical analysis
All statistical analyses were performed with SPSS18.0 statistical software (SPSS Inc., USA). Comparisons of lncR-2271 transfection efficacy, ALP activity, Osteoblastic marker expression and Calcification expression between two groups were performed by independent t-test. Data are presented as mean ± standard deviation (SD). A P value less than 0.05 was considered statistically significant. All experiments were replicated at least three times.
Informed consent: Informed consent has been obtained from all individuals included in this study.
Ethical approval: The research related to human use has been complied with all the relevant national regulations, institutional policies and in accordance the tenets of the Helsinki Declaration, and has been approved by the authors’ institutional review board or equivalent committee.
3 Results
3.1 Characterization of human BMSCs surface marker antigen (CD molecule)
The human BMSCs cultured in this experiment was characterized by surface antigen relative specificity molecular identification. The results showed that 97% of the cells were CD44+ and 89% of the cells were CD29+, 6% of the cells were CD45- and 8% of the cells were CD34-. The results of CD antigen molecules on the surface of the above cells were consistent with the identification characteristics of hBMSCs cell surface markers and purity was acceptable.
3.2 lncR-2271 transfection efficacy
Cell survival rate after transfection was higher than 90% and transfection efficiency was more than 50%. Successful manipulations of lncR-2271 expression were demonstrated by RT-PCR in BMSCs 48 hours after transfection (Figure 1). Overexpression of lncR-2271 in group A was about 7-fold greater than the control group C (P < 0.01), the relative expression of lncR-2271 in group B was decreased to 30% compared to group C (P < 0.01). The endogenous level of lncR-2271 was comparable to the control (group C). Our data suggested that lncR-2271 was successfully overexpressed in group A, and knockdown in the group B.

lncR-2271 was overexpressed and knocked down in human BMSCs. Group A: lncR-2271 was overexpressed human BMSCs; Group B: lncR-2271 was knocked down in human BMSCs by transfection with siRNA-lncRNA-2271; Group C: human BMSCs were transfected with scramble plasmids - control; Data are presented as mean ± SD; ** P < 0.01 compared to group C
3.3 Alkaline phosphatase activity
The ALP activity in human BMSCs were not significantly different among group A, group B and group C before transfection. The activity of ALP showed the most obvious difference after 7 days of BMSCs transfection, so we chose to assess it at 7 and 14 days after differentiation. ALP activity was assessed at days 7 and 14 after differentiation (Figure 2). Our data demonstrate that ALP activity in group A was significantly higher compared to groups B and C at both days (day 7, A: 119.6 ± 3.2 vs. B: 39.0 ± 1.0; A vs. C: 69.4 ± 1.9; day 14, A: 340.4 ± 5.9 vs. B: 97.8 ± 2.7; A vs. C: 159.0 ± 3.8; all P < 0.01). ALP activity in group B was also significantly lower compared to group C (day 7, B vs. C, P < 0.01; day 14, B vs. C, P < 0.01). This part of the experiment shows that lncR-2271 can enhance the ALP activity in bone differentiation of BMSCs, while ALP activity is a sign of early osteogenic differentiation, so the experiment further shows that lncR-2271 can promote the osteogenic differentiation of BMSCs.

ALP activity was analyzed in human BMSCs at days 7 and 14 after osteoblastic differentiation. Group A: lncR-2271 was overexpressed human BMSCs; Group B: lncR-2271 was knocked down in human BMSCs by transfection with lncRNA-2271 siRNA; Group C: human BMSCs were transfected with scrambled plasmids - control; Data are presented as mean ± SD; ** P < 0.01 compared to group C.
3.4 Osteogenic marker expression
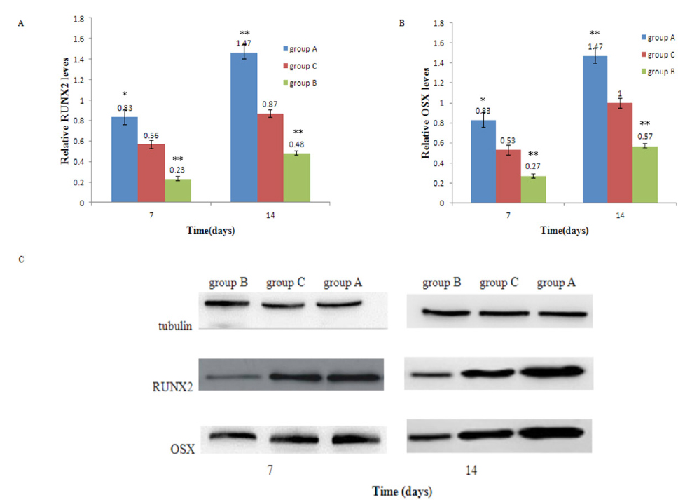
RUNX2 and OSX are assessed to test effect of lncR-2271 on osteogenic differentiation of BMSC. The expressions of RUNX2 and OSX in human BMSCs were no differences among group A, group B and group C before transfection. The expression of RUNX2 and OSX showed the most obvious difference after 7 days of BMSCs transfection; thus, they were assessed at 7 and 14 days after differentiation. Protein expression of osteoblastic markers RUNX2 and OSX were analyzed at days 7 and 14 after BMSC differentiation (Figure 3). Our data demonstrate that group A had significantly higher RUNX2 and OSX protein expression compared to groups B and group C after transfection at day 7 (RUNX2, A: 0.83 ± 0.05 vs. B: 0.23 ± 0.02, P < 0.05; A vs. C: 0.56 ± 0.04, P < 0.01; OSX, A: 0.83 ± 0.05 vs. B: 0.27 ± 0.02; P < 0.05; A vs. C: 0.53 ± 0.04, P < 0.01) (Figure 3A). A similar trend was also demonstrated at day 14 (RUNX2, A: 1.47 ± 0.12 vs. B: 0.48 ± 0.03, P < 0.01; A vs. C: 0.87 ± 0.05, P < 0.01; OSX: A: 1.47 ± 0.11 vs. B: 0.57 ± 0.03, P < 0.01; A vs. C: 1.00 ± 0.06, P < 0.01) (Figure 3B). RUNX2 and OSX expression in group B was also significantly lower compared to group C (day 7, RUNX2: B: 0.23 ± 0.02 vs. C: 0.56 ± 0.04, P < 0.01; OSX: B: 0.27 ± 0.02 vs. C: 0.53 ± 0.04, P < 0.01; day 14, RUNX2: B: 0.48 ± 0.03 vs. C: 0.87±0.05, P < 0.01; OSX: B: 0.57 ± 0.03 vs. C 1.00 ± 0.06, P < 0.01) (Figure 3C). Our results indicated that overexpression of lncR-2271 increases the expressions of RUNX2 and OSX in human BMSCs, while the inhibition of lncR-2271 expression reduces the expressions of RUNX2 and OSX. RUNX2 is significant transcription factor in osteogenic differentiation, and OSX is important for bone formation. Therefore, our data suggested that lncR-2271 can promote osteogenic differentiation of human BMSCs.

RUNX2 and OSX protein expressions were analyzed in human BMSCs at days 7 and 14 after osteoblastic differentiation. A) RUNX2 expression; B) OSX expression; C) Western blot results for RUNX2 and OSX; group A: lncR-2271 was overexpressed human BMSCs; group B: lncR-2271 was knocked down in human BMSCs by transfection with lncRNA-2271 siRNA; group C: human BMSCs were transfected with scrambled plasmids - control; Data are presented as mean ± SD; * P < 0.05, ** P < 0.01 compared to group C.
3.5 Calcification
The calcification in human BMSCs were no differences among group A, group B and group C before transfection. Calcification level are assessed to test effect of lncR-2271 on osteogenic differentiation of BMSC. Calcium deposition is later several days than RUNX2 and OSX. Calcification was evaluated at day 21 after differentiation using Alizarin red staining. BMSCs in group A exhibited the most calcium nodules; whereas BMSC in group B exhibited the least calcification by day 21 (Figure 4A). The optical density of alizarin red staining also demonstrated that calcification in group A was significantly higher compared to groups B and C (A: 215 ± 0.05% vs. B: 44 ± 0.02%, P < 0.01; A vs. C: 100 ± 0.04%, P < 0.01). The calcification level in BMSCs in group B was also significantly lower compared to group C (P < 0.01) (Figure 4B). The results show that overexpression of lncR-2271 promotes calcification, while decrease of lncR-2271 expression inhibits calcification. Calcium deposition is a late indicator of osteogenic differentiation in human BMSCs and a marker of late osteogenic differentiation. Therefore, our data suggested that lncR-2271 regulates the osteogenic differentiation of human BMSCs.

Calcification indicated by Alizarin red staining in human BMSCs after osteogenic differentiation induction for 21 days. A) microscopic images of Alizarin red staining results; B) quantification of average staining density of cells. Group A: lncR-2271 was overexpressed human BMSCs; Group B: lncR-2271 was knocked down in human BMSCs by transfection with lncRNA-2271 siRNA; Group C: human BMSCs transfected with scrambled plasmids - control; Data are presented as mean ± SD; ** P < 0.01 compare
4 Discussion
At present, bone defects, cartilage defects and degenerative diseases caused by trauma and tumor, osteonecrosis and the collapse of bone remain challenging in clinical treatment. In this study, we found that lncR-2271 overexpression promoted ALP activity, calcification, and expressions of the osteogenic transcription factors RUNX2 and OSX; whereas lncR-2271 down-regulation hampered osteogenesis. Our data demonstrated that lncR-2271 plays an important role in osteogenic development in human BMSCs and is of great importance to bone regeneration and bone formation. This study provides new potential therapeutic target for the treatment of bone defects, cartilage defects and osteonecrosis diseases using human BMSCs.
Despite the current understanding of the role of lncRNAs in a number of physiologic and pathologic conditions, little is known about lncRNAs in bone health. However, with the basic completion of human genome sequencing, more and more studies have confirmed the important role of lncRNAs in promoting osteogenic differentiation of BMSCs [18]. The process of osteogenic differentiation of BMSCs is regulated by
up- or down-regulation of specific genes expression in a specific sequence [19]. But the early stage of osteogenic differentiation determines the direction of BMSCs formation. Therefore, the study of lncRNA on the the regulation of early stage of osteogenic differentiation in BMSCs will provide more insights for the research and development of bone tissue engineering and will also provide a new target for the clinical treatment, prognosis and screening of drugs for bone tissue repair. This study first provided information about the important role of lncR-2271 in osteogenesis of human BMSCs. Our findings regarding lncR-2271 are in accordance with previous studies showing the role of lncRNAs in osteogenesis. Xu et al showed that lncR-HIF1α-AS1 promoted osteoblast differentiation via increasing expression of Homeobox D10 [19]. Zhuang et al. also demonstrated that lncR-MEG3 enhanced osteogenesis in BMSCs from multiple myeloma patients through promoter-specific transcriptional activation of bone morphogenic protein 4 (BMP4) [20]. In contrast, a previous study suggested that lncR-NONHSAT009968 was involved in inflammation, which potentially inhibited osteoblast development [21]. Our study is the first to characterize the role of lncR-2271 in promoting BMSC osteogenic differentiation and demonstrated that lncR-2271 controls the osteogenic differentiation of BMSC by regulating the expressions of key regulators RUNX2 and OSX during osteogenic differentiation.
ALP activity, calcification and collagen type I expressions are generally used as indicators of osteogenic differentiation. ALP, as one of the important characteristics of osteoblast phenotype, plays a very important role in calcification in vitro. A large amount of calcium deposits occur after ALP is increased. The higher the ALP activity is, the stronger the osteogenic activity is. Osteocalcin has a role in promoting cell mineralization, and osteocalcin plays an important role in maintaining a certain bone calcification, which is recognized as the most specific marker of osteogenic differentiation. Our study demonstrates that lncR-2271 overexpression increases osteogenic phenotypes, including increased ALP activity and the number, size and color depth of bone calcium nodules, indicating that lncR-2271 can potentially affect multipotent human BMSCs down the osteogenic pathway. However, whether lncR-2271 also has a crucial role in bone formation and repair in physiological homeostasis remains uncertain. The mechanism by which lncRNA modulates osteogenesis is most likely through regulating expression of key differentiation genes. Many molecules play an important role in the process of osteogenic differentiation of BMSCs. In this study, we evaluated two osteogenesis-related transcription factors, RUNX2 and OSX. RUNX2 is known as a critical regulator of osteoblast differentiation, which functions as a transcription factor and is required for osteogenic differentiation. The structure of RUNX2 contains 3 domains, which are the N terminal glutamine / alanine repeat sequence domain (Q / A), the C end consists of proline, serine, threonine, and the PST domain in the middle DNA binding domain [22]. It regulates expression of ossification related genes and therefore plays a pivotal role in the formation, differentiation and maturation of osteoblasts, the formation and absorption of osteoclasts, the differentiation and maturation of chondrocytes, and the production of bone matrix proteins [7, 22]. OSX acts downstream of RUNX2 and is important for bone formation. The final differentiation and maturation of osteoblasts requires the expression of Osterix. When Osterix is downregulated, BMSCs was not able to differentiate into osteoblasts, which is confirmed by no markers expression from endochondral or endochondral osteoblasts [8]. In this study, lncR-2271 overexpression significantly increased protein expression of both RUNX2 and OSX. More importantly, lncR-2271 down-regulation significantly reduced the osteogenic potential of human BMSCs and expression of both RUNX2 and OSX, indicating the indispensable role of lncR-2271 in osteogenesis and bone formation. However, whether lncR-2271 effects are through a direct interaction with RUNX2 and OSX or through other regulating elements requires further study.
The current study has demonstrated that lncR-2271 regulates osteogenesis of BMSC through modulating the expressions of RUNX2 and OSX. This could be possibly mediated through the TGF- β Smad pathway, MAPK/ERK pathway or β-catenin pathway [23] or microRNAs [24, 25]. However, the specific pathway for lncR-2271 to regulate the expression of RUNX2, the mode and the site of action need to be further verified in our future studies.
5 Conclusions
LncR-2271 promoted osteogenesis of human BMSCs via increasing ALP activity, calcification, and expressions of osteogenic transcription factors RUNX2 and OSX. This study is the first to illustrate the important role of lncR-2271 in bone formation; however, future studies are warranted to investigate the interaction between lncR-2271 and epigenetic regulation of bone-related genes. Further understanding of the epigenetic regulation of osteogenesis will be potentially beneficial for clinically promoting bone repair.
Acknowledgements
This project was supported by the Guangxi Zhuang Autonomous Region Natural Science Foundation (No. 2014GXNSFAA118186)
Conflict of interest: Authors state no conflict of interest.
References
[1] Hankenson KD, Zimmerman G, Marcucio R. Biological perspectives of delayed fracture healing Injury. 2014;45 Suppl 2:S8-S15.10.1016/j.injury.2014.04.003Search in Google Scholar
[2] Iolascon G, Frizzi L, Di Pietro G, Capaldo A, Luciano F, Gimigliano F. Bone quality and bone strength: benefits of the bone-forming approach Clin Cases Miner Bone Metab. 2014;11:20–4.10.11138/ccmbm/2014.11.1.020Search in Google Scholar
[3] Charbord P. Bone marrow mesenchymal stem cells: historical overview and concepts. Hum Gene Ther. 2010;21:1045-56.10.1089/hum.2010.115Search in Google Scholar
[4] Liu Y, Wu J, Zhu Y, Han J. Therapeutic application of mesenchymal stem cells in bone and joint diseases. Clin Exp Med. 2014;14:13-24.10.1007/s10238-012-0218-1Search in Google Scholar
[5] Marmotti A, de Girolamo L, Bonasia DE, Bruzzone M, Mattia S, Rossi R, et al. Bone marrow derived stem cells in joint and bone diseases: a concise review. Int Orthop. 2014;38:1787-801.10.1007/s00264-014-2445-4Search in Google Scholar
[6] Xiao Y, Mareddy S, Crawford R. Clonal characterization of bone marrow derived stem cells and their application for bone regeneration. Int J Oral Sci. 2010;2:127-35.Search in Google Scholar
[7] Komori T, Yagi H, Nomura S, Yamaguchi A, Sasaki K, Deguchi K, et al. Targeted disruption of Cbfa1 results in a complete lack of bone formation owing to maturational arrest of osteoblasts. Cell. 1997;89:755-64.10.1016/S0092-8674(00)80258-5Search in Google Scholar
[8] Nakashima K, Zhou X, Kunkel G, Zhang Z, Deng JM, Behringer RR, et al. The novel zinc finger-containing transcription factor osterix is required for osteoblast differentiation and bone formation. Cell. 2002;108:17-29.10.1016/S0092-8674(01)00622-5Search in Google Scholar
[9] Im GI, Shin KJ. Epigenetic approaches to regeneration of bone and cartilage from stem cells. Expert Opin Biol Ther. 2015;15:181-93.10.1517/14712598.2015.960838Search in Google Scholar PubMed
[10] Ørom UA, Shiekhattar R. Long noncoding RNAs usher in a new era in the biology of enhancers. Cell. 2013;154:1190-3.10.1016/j.cell.2013.08.028Search in Google Scholar PubMed PubMed Central
[11] Wutz A. RNA-mediated silencing mechanisms in mammalian cells. Prog Mol Biol Transl Sci. 2011;101:351-76.10.1016/B978-0-12-387685-0.00011-1Search in Google Scholar PubMed
[12] Dechamethakun S, Muramatsu M. Long noncoding RNA variations in cardiometabolic diseases. J Hum Genet. 2017;62:97-104.10.1038/jhg.2016.70Search in Google Scholar
[13] Sigdel KR, Cheng A, Wang Y, Duan L, Zhang Y. The Emerging Functions of Long Noncoding RNA in Immune Cells: Autoimmune Diseases. J Immunol Res. 2015;2015:848790.10.1155/2015/848790Search in Google Scholar
[14] Tye CE, Gordon JA, Martin-Buley LA, Stein JL, Lian JB, Stein GS. Could lncRNAs be the missing links in control of mesenchymal stem cell differentiation? J Cell Physiol. 2015;230:526-34.10.1002/jcp.24834Search in Google Scholar
[15] Wang L, Wang Y, Li Z, Li Z, Yu B. Differential expression of long noncoding ribonucleic acids during osteogenic differentiation of human bone mesenchymal stem cells. Int Orthop. 2015;39:1013-9.10.1007/s00264-015-2683-0Search in Google Scholar
[16] Lowry OH, Rosebrough NJ, Farr AL, Randall RJ. Protein measurement with the Folin phenol reagent. J Biol Chem. 1951;193:265-75.10.1016/S0021-9258(19)52451-6Search in Google Scholar
[17] Livak KJ, Schmittgen TD. Analysis of relative gene expression data using real-time quantitative PCR and the 2(-Delta Delta C(T)) Method. Methods. 2001;25:402-8.10.1006/meth.2001.1262Search in Google Scholar PubMed
[18] Huang Y, Zheng Y, Jia L, Li W. Long Non-Coding RNA H 19 Promotes Osteoblast Differentiation via TGF-p1/Smad3/HDA Signaling path way by Deriving miR-675. Stem Cells. 2015;33:3481-92.10.1002/stem.2225Search in Google Scholar PubMed
[19] Xu Y, Wang S, Tang C, Chen W. Upregulation of long non-coding RNA HIF 1α-anti-sense 1 induced by transforming growth factor-β-mediated targeting of sirtuin 1 promotes osteoblastic differentiation of human bone marrow stromal cells. Mol Med Rep. 2015;12:7233-8.10.3892/mmr.2015.4415Search in Google Scholar PubMed PubMed Central
[20] Zhuang W, Ge X, Yang S, Huang M, Zhuang W, Chen P, et al. Upregulation of lncRNA MEG3 Promotes Osteogenic Differentiation of Mesenchymal Stem Cells From Multiple Myeloma Patients By Targeting BMP4 Transcription. Stem Cells. 2015;33:1985-97.10.1002/stem.1989Search in Google Scholar PubMed
[21] Cui Y, Lu S, Tan H, Li J, Zhu M, Xu Y. Silencing of Long Non-Coding RNA NONHSAT009968 Ameliorates the Staphylococcal Protein A-Inhibited Osteogenic Differentiation in Human Bone Mesenchymal Stem Cells. Cell Physiol Biochem. 2016;39:1347-59.10.1159/000447839Search in Google Scholar PubMed
[22] Takarada T, Nakazato R, Tsuchikane A, Fujikawa K, Iezaki T, Yoneda Y, et al. Genetic analysis of Runx2 function during intramembranous ossification. Development. 2016;143:211-8.10.1242/dev.128793Search in Google Scholar PubMed
[23] Jiang Z, Wang H, Yu K, Feng Y, Wang Y, Huang T, et al. Light-Controlled BMSC Sheet-Implant Complexes with Improved Osteogenesis via an LRP5/β-Catenin/Runx2 Regulatory Loop. ACS Appl Mater Interfaces. 2017;9:34674-86.10.1021/acsami.7b10184Search in Google Scholar PubMed
[24] Shang G, Wang Y, Xu Y, Zhang S, Sun X, Guan H, et al. Long non-coding RNA TCONS_00041960 enhances osteogenesis and inhibits adipogenesis of rat bone marrow mesenchymal stem cell by targeting miR-204-5p and miR-125a-3p. J Cell Physiol. 2018;233:6041-51.10.1002/jcp.26424Search in Google Scholar PubMed PubMed Central
[25] Wang Y, Liu W, Liu Y, Cui J, Zhao Z, Cao H, et al. Long noncoding RNA H19 mediates LCoR to impact the osteogenic and adipogenic differentiation of mBMSCs in mice through sponging miR-188. J Cell Physiol. 2018;233:7435-46.10.1002/jcp.26589Search in Google Scholar PubMed
© 2018 Li-Cheng Xi et al., published by De Gruyter
This work is licensed under the Creative Commons Attribution-NonCommercial-NoDerivatives 4.0 License.
Articles in the same Issue
- Research Article
- Purification of Tea saponins and Evaluation of its Effect on Alcohol Dehydrogenase Activity
- Runt-related transcription factor 3 promoter hypermethylation and gastric cancer risk: A meta-analysis
- Risk Factors for Venous Thromboembolism in Hospitalized Patients in the Chinese Population
- Value of Dual-energy Lung Perfusion Imaging Using a Dual-source CT System for the Pulmonary Embolism
- A new combination of substrates: biogas production and diversity of the methanogenic microorganisms
- mTOR modulates CD8+ T cell differentiation in mice with invasive pulmonary aspergillosis
- Direct Effects on Seed Germination of 17 Tree Species under Elevated Temperature and CO2 Conditions
- Role of water soluble vitamins in the reduction diet of an amateur sportsman
- Aberrant DNA methylation involved in obese women with systemic insulin resistance
- 16S ribosomal RNA-based gut microbiome composition analysis in infants with breast milk jaundice
- Characterization of Haemophilus parasuis Serovar 2 CL120103, a Moderately Virulent Strain in China
- MiRNA-145 induces apoptosis in a gallbladder carcinoma cell line by targeting DFF45
- Telmisartan induces osteosarcoma cells growth inhibition and apoptosis via suppressing mTOR pathway
- Optimizing the Formulation for Ginkgolide B Solid Dispersion
- Determination of the In Vitro Gas Production and Potential Feed Value of Olive, Mulberry and Sour Orange Tree Leaves
- Factors Influencing the Successful Isolation and Expansion of Aging Human Mesenchymal Stem Cells
- The Value of Diffusion-Weighted Magnetic Resonance Imaging in Predicting the Efficacy of Radiation and Chemotherapy in Cervical Cancer
- Chemical profile and antioxidant activity of Trollius europaeus under the influence of feeding aphids
- SSR Markers Suitable for Marker Assisted Selection in Sunflower for Downy Mildew Resistance
- A Fibroblast Growth Factor Antagonist Peptide Inhibits Breast Cancer in BALB/c Mice
- Antihyperglycemic and antihyperlipidemic effects of low-molecular-weight carrageenan in rats
- Microbial indicators and environmental relationships in the Umhlangane River, Durban, South Africa
- TUFT1 promotes osteosarcoma cell proliferation and predicts poor prognosis in osteosarcoma patients
- Long non-coding RNA-2271 promotes osteogenic differentiation in human bone marrow stem cells
- The prediction of cardiac events in patients with acute ST segment elevation myocardial infarction: A meta–analysis of serum uric acid
- Risk expansion of Cr through amphibious clonal plant from polluted aquatic to terrestrial habitats
- Overexpression of Zinc Finger Transcription Factor ZAT6 Enhances Salt Tolerance
- Sini decoction intervention on atherosclerosis via PPARγ-LXRα-ABCA1 pathway in rabbits
- Soluble myeloid triggering receptor expressed on myeloid cell 1 might have more diagnostic value for bacterial ascites than C-reactive protein
- A Preliminary Study on the Newly Isolated High Laccase-producing Fungi: Screening, Strain Characteristics and Induction of Laccase Production
- Hydrolytic Enzyme Production by Thermophilic Bacteria Isolated from Saudi Hot Springs
- Analysis of physiological parameters of Desulfovibrio strains from individuals with colitis
- Emodin promotes apoptosis of human endometrial cancer through regulating the MAPK and PI3K/ AKT pathways
- Down-regulation of miR-539 indicates poor prognosis in patients with pancreatic cancer
- Inhibitory activities of ethanolic extracts of two macrofungi against eggs and miracidia of Fasciola spp.
- PAQR6 expression enhancement suggests a worse prognosis in prostate cancer patients
- Characterization of a potential ripening regulator, SlNAC3, from Solanum lycopersicum
- Expression of Angiopoietin and VEGF in cervical cancer and its clinical significance
- Umbilical Cord Tissue Derived Mesenchymal Stem Cells Can Differentiate into Skin Cells
- Isolation and Characterization of a Phage to Control Vancomycin Resistant Enterococcus faecium
- Glycogen Phosphorylase Isoenzyme Bb, Myoglobin and BNP in ANT-Induced Cardiotoxicity
- BAG2 overexpression correlates with growth and poor prognosis of esophageal squamous cell carcinoma
- Relationship between climate trends and grassland yield across contrasting European locations
- Review Articles
- Mechanisms of salt tolerance in halophytes: current understanding and recent advances
- Salivary protein roles in oral health and as predictors of caries risk
- Nanoparticles as carriers of proteins, peptides and other therapeutic molecules
- Survival mechanisms to selective pressures and implications
- Up-regulation of key glycolysis proteins in cancer development
- Communications
- In vitro plant regeneration of Zenia insignis Chun
- DNA barcoding of online herbal supplements: crowd-sourcing pharmacovigilance in high school
- Case Reports
- Management of myasthenia gravis during pregnancy: A report of eight cases
- Three Cases of Extranodal Rosai-Dorfman Disease and Literature Review
- Letters to the Editor
- First report of Chlamydia psittaci seroprevalence in black-headed gulls (Larus ridibundus) at Dianchi Lake, China
- Special Issue on Agricultural and Biological Sciences - Part II
- Chemical composition of essential oil in Mosla chinensis Maxim cv. Jiangxiangru and its inhibitory effect on Staphylococcus aureus biofilm formation
- Secondary metabolites of Antarctic fungi antagonistic to aquatic pathogenic bacteria
- Study of Seizure-Manifested Hartnup Disorder Case Induced by Novel Mutations in SLC6A19
- Transcriptome analysis of Pinus massoniana Lamb. microstrobili during sexual reversal
- Mechanism of oxymatrine-induced human esophageal cancer cell apoptosis by the endoplasmic reticulum stress pathway
- Methylation pattern polymorphism of cyp19a in Nile tilapia and hybrids
- A Method of Biomedical Information Classification based on Particle Swarm Optimization with Inertia Weight and Mutation
- A novel TNNI3 gene mutation (c.235C>T/ p.Arg79Cys) found in a thirty-eight-year-old women with hypertrophic cardiomyopathy
- Remote Sensing-Based Extraction and Analysis of Temporal and Spatial Variations of Winter Wheat Planting Areas in the Henan Province of China
- Topical Issue on Precision Medicine
- Serum sTREM-1, PCT, CRP, Lac as biomarkers for death risk within 28 days in patients with severe sepsis
- IL-17 gene rs3748067 C>T polymorphism and gastric cancer risk: A meta-analysis
- Efficacy of Danhong injection on serum concentration of TNF-α, IL-6 and NF-κB in rats with intracerebral hemorrhage
- An ensemble method to predict target genes and pathways in uveal melanoma
- Evaluation of the quality of CT images acquired with smart metal artifact reduction software
- NPM1A in plasma is a potential prognostic biomarker in acute myeloid leukemia
- Arterial infusion of rapamycin in the treatment of rabbit hepatocellular carcinoma to improve the effect of TACE
- New progress in understanding the cellular mechanisms of anti-arrhythmic drugs
Articles in the same Issue
- Research Article
- Purification of Tea saponins and Evaluation of its Effect on Alcohol Dehydrogenase Activity
- Runt-related transcription factor 3 promoter hypermethylation and gastric cancer risk: A meta-analysis
- Risk Factors for Venous Thromboembolism in Hospitalized Patients in the Chinese Population
- Value of Dual-energy Lung Perfusion Imaging Using a Dual-source CT System for the Pulmonary Embolism
- A new combination of substrates: biogas production and diversity of the methanogenic microorganisms
- mTOR modulates CD8+ T cell differentiation in mice with invasive pulmonary aspergillosis
- Direct Effects on Seed Germination of 17 Tree Species under Elevated Temperature and CO2 Conditions
- Role of water soluble vitamins in the reduction diet of an amateur sportsman
- Aberrant DNA methylation involved in obese women with systemic insulin resistance
- 16S ribosomal RNA-based gut microbiome composition analysis in infants with breast milk jaundice
- Characterization of Haemophilus parasuis Serovar 2 CL120103, a Moderately Virulent Strain in China
- MiRNA-145 induces apoptosis in a gallbladder carcinoma cell line by targeting DFF45
- Telmisartan induces osteosarcoma cells growth inhibition and apoptosis via suppressing mTOR pathway
- Optimizing the Formulation for Ginkgolide B Solid Dispersion
- Determination of the In Vitro Gas Production and Potential Feed Value of Olive, Mulberry and Sour Orange Tree Leaves
- Factors Influencing the Successful Isolation and Expansion of Aging Human Mesenchymal Stem Cells
- The Value of Diffusion-Weighted Magnetic Resonance Imaging in Predicting the Efficacy of Radiation and Chemotherapy in Cervical Cancer
- Chemical profile and antioxidant activity of Trollius europaeus under the influence of feeding aphids
- SSR Markers Suitable for Marker Assisted Selection in Sunflower for Downy Mildew Resistance
- A Fibroblast Growth Factor Antagonist Peptide Inhibits Breast Cancer in BALB/c Mice
- Antihyperglycemic and antihyperlipidemic effects of low-molecular-weight carrageenan in rats
- Microbial indicators and environmental relationships in the Umhlangane River, Durban, South Africa
- TUFT1 promotes osteosarcoma cell proliferation and predicts poor prognosis in osteosarcoma patients
- Long non-coding RNA-2271 promotes osteogenic differentiation in human bone marrow stem cells
- The prediction of cardiac events in patients with acute ST segment elevation myocardial infarction: A meta–analysis of serum uric acid
- Risk expansion of Cr through amphibious clonal plant from polluted aquatic to terrestrial habitats
- Overexpression of Zinc Finger Transcription Factor ZAT6 Enhances Salt Tolerance
- Sini decoction intervention on atherosclerosis via PPARγ-LXRα-ABCA1 pathway in rabbits
- Soluble myeloid triggering receptor expressed on myeloid cell 1 might have more diagnostic value for bacterial ascites than C-reactive protein
- A Preliminary Study on the Newly Isolated High Laccase-producing Fungi: Screening, Strain Characteristics and Induction of Laccase Production
- Hydrolytic Enzyme Production by Thermophilic Bacteria Isolated from Saudi Hot Springs
- Analysis of physiological parameters of Desulfovibrio strains from individuals with colitis
- Emodin promotes apoptosis of human endometrial cancer through regulating the MAPK and PI3K/ AKT pathways
- Down-regulation of miR-539 indicates poor prognosis in patients with pancreatic cancer
- Inhibitory activities of ethanolic extracts of two macrofungi against eggs and miracidia of Fasciola spp.
- PAQR6 expression enhancement suggests a worse prognosis in prostate cancer patients
- Characterization of a potential ripening regulator, SlNAC3, from Solanum lycopersicum
- Expression of Angiopoietin and VEGF in cervical cancer and its clinical significance
- Umbilical Cord Tissue Derived Mesenchymal Stem Cells Can Differentiate into Skin Cells
- Isolation and Characterization of a Phage to Control Vancomycin Resistant Enterococcus faecium
- Glycogen Phosphorylase Isoenzyme Bb, Myoglobin and BNP in ANT-Induced Cardiotoxicity
- BAG2 overexpression correlates with growth and poor prognosis of esophageal squamous cell carcinoma
- Relationship between climate trends and grassland yield across contrasting European locations
- Review Articles
- Mechanisms of salt tolerance in halophytes: current understanding and recent advances
- Salivary protein roles in oral health and as predictors of caries risk
- Nanoparticles as carriers of proteins, peptides and other therapeutic molecules
- Survival mechanisms to selective pressures and implications
- Up-regulation of key glycolysis proteins in cancer development
- Communications
- In vitro plant regeneration of Zenia insignis Chun
- DNA barcoding of online herbal supplements: crowd-sourcing pharmacovigilance in high school
- Case Reports
- Management of myasthenia gravis during pregnancy: A report of eight cases
- Three Cases of Extranodal Rosai-Dorfman Disease and Literature Review
- Letters to the Editor
- First report of Chlamydia psittaci seroprevalence in black-headed gulls (Larus ridibundus) at Dianchi Lake, China
- Special Issue on Agricultural and Biological Sciences - Part II
- Chemical composition of essential oil in Mosla chinensis Maxim cv. Jiangxiangru and its inhibitory effect on Staphylococcus aureus biofilm formation
- Secondary metabolites of Antarctic fungi antagonistic to aquatic pathogenic bacteria
- Study of Seizure-Manifested Hartnup Disorder Case Induced by Novel Mutations in SLC6A19
- Transcriptome analysis of Pinus massoniana Lamb. microstrobili during sexual reversal
- Mechanism of oxymatrine-induced human esophageal cancer cell apoptosis by the endoplasmic reticulum stress pathway
- Methylation pattern polymorphism of cyp19a in Nile tilapia and hybrids
- A Method of Biomedical Information Classification based on Particle Swarm Optimization with Inertia Weight and Mutation
- A novel TNNI3 gene mutation (c.235C>T/ p.Arg79Cys) found in a thirty-eight-year-old women with hypertrophic cardiomyopathy
- Remote Sensing-Based Extraction and Analysis of Temporal and Spatial Variations of Winter Wheat Planting Areas in the Henan Province of China
- Topical Issue on Precision Medicine
- Serum sTREM-1, PCT, CRP, Lac as biomarkers for death risk within 28 days in patients with severe sepsis
- IL-17 gene rs3748067 C>T polymorphism and gastric cancer risk: A meta-analysis
- Efficacy of Danhong injection on serum concentration of TNF-α, IL-6 and NF-κB in rats with intracerebral hemorrhage
- An ensemble method to predict target genes and pathways in uveal melanoma
- Evaluation of the quality of CT images acquired with smart metal artifact reduction software
- NPM1A in plasma is a potential prognostic biomarker in acute myeloid leukemia
- Arterial infusion of rapamycin in the treatment of rabbit hepatocellular carcinoma to improve the effect of TACE
- New progress in understanding the cellular mechanisms of anti-arrhythmic drugs