Abstract
Situs inversus with dextrocardia is a rare condition, with complete transposition of all the body organs, including the heart. Percutaneous coronary intervention (PCI) in these patients is technically difficult because of the mirror image of organs. Here, we describe a 56-year-old man with coronary heart disease with known situs inversus with dextrocardia and coronary percutaneous intervention was performed for stenosis in the right coronary artery. A drug eluting stent was implanted at this site successfully. This case suggested that the interventional management of such patients follows the same general rules as for non-dextrocardia patients, but the manipulation of the catheter and projection position choices need to be taken into consideration to obtain optimal benefits for the patient.
1 Introduction
Dextrocardia is a rare congenital anomaly that includes complete situs inversus, with complete transposition of all the body organs, including the heart [1]. Prevalence of coronary artery disease in this setting is not precisely known, but considered to be similar to that in the general population [2]. Meanwhile, interventional management in such individuals is seldom reported in the literature, probably due to the rarity of this condition. Apart from standard general guidelines, special technical aspects should be considered in percutaneous coronary angioplasty of these patients, e.g. the opposite direction of manipulation of catheters. In addition, with respect to coronary imaging, mirror images are usually needed, i.e. equivalent right-sided views to produce the usual left-sided images and vice versa, without changing cranial or caudal angulations [3].
2 Case report
A 56-year-old hypertensive and dyslipidemia male patient with known dextrocardia (complete situs inversus type) diagnosed with coronary artery disease (CAD) four years ago, was admitted to our hospital due to aggravated symptoms of physical activity-related chest tightness and shortness of breath. The chest X-ray showed dextrocardia with a rightsided stomach air bubble. Apex located right chest, aortic arch and descending aorta were also on the right (Fig. 1A). Coronal computed tomography (CT) scan showed complete situs inversus (Fig. 1B). Moreover, the patient was diagnosed with coronary artery disease and underwent coronary angiography (CAG) four years ago, which found 50% diameter stenosis of the right coronary artery (RCA).

(A) Chest X-ray showing dextrocardia with a right aortic arch, right-sided stomach air bubble; (B) coronal CT scan showing the complete situs inversus. CT: computed tomography.
Considering the patient’s previous history, coronary angiography was performed. The patient was fully informed of the risks and benefits prior to our intervention. Cardiac catheterization was performed via the right radial artery. The left coronary artery (LCA) was cannulated with clockwise rotation of the catheter, while taking the right anterior oblique 45° projection position. The catheter was rotated counterclockwise for cannulating the right coronary artery, instead of the usual clockwise approach. During the RCA angiography, the projected position needed to be changed to the left anterior oblique 45° projection position, while the head and foot projection position did not need to change.
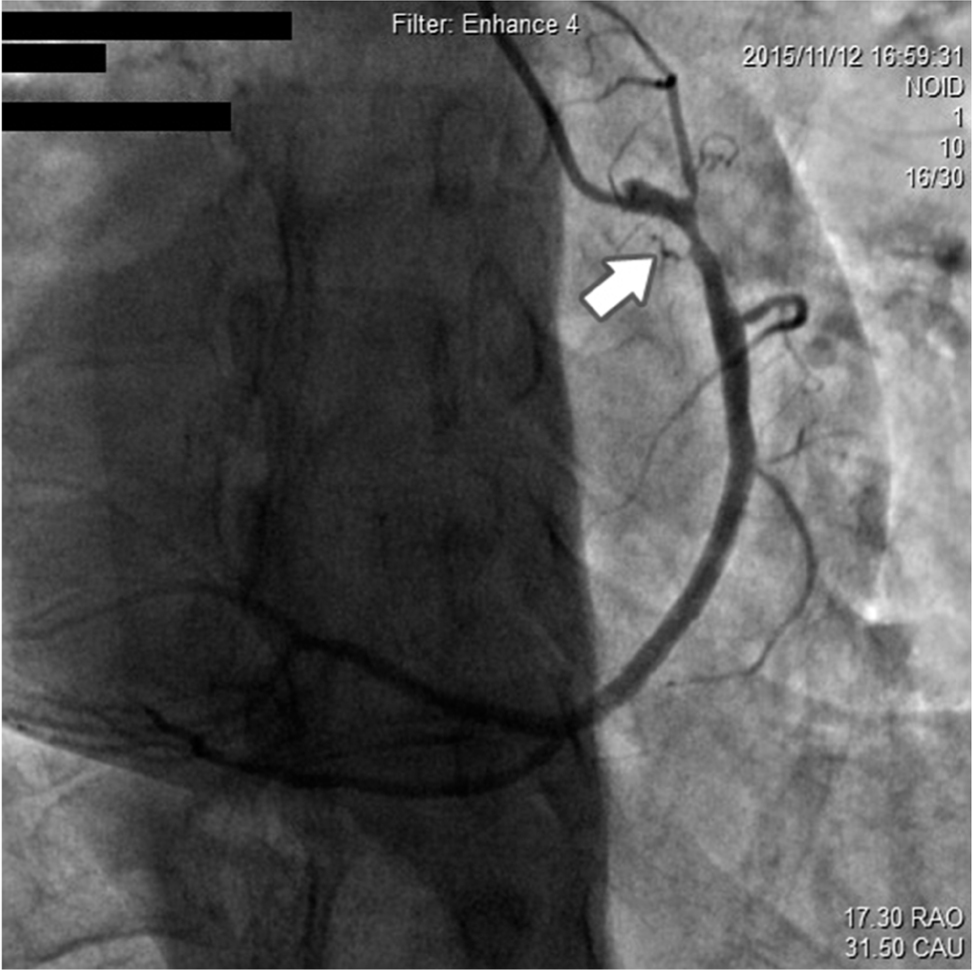
Regarding angiographic findings, no hemodynamically significant stenosis of left anterior descending artery (LAD), left main coronary artery (LM), left circumflex artery (LCX), and antegrade TIMI III flow was found ( Fig. 2). The RCA, as a dominant vessel, was thick with 80% diameter stenosis ( Fig. 3). Assuming this site to be the cause of discomfort, we proceeded with surgical intervention to open the occluded RCA. After balloon pre-dilatation, a Xience V® 3.0 × 23 mm (Abbott Vascular, Santa Clara, CA, USA) drug-eluting stent was subsequently implanted at the lesion site (Fig.4A), using an inflation pressure of 16 atm for 20s. The intervention was successful, achieving optimal antegrade TIMI III flow without residual stenosis (Fig. 4B). The patient’s recovery post-angioplasty was uneventful.

Coronary angiography showing no lesion in LAD.

RCA showing nearly 80% of proximal segment stenosis.

A drug-eluting stent was subsequently implanted at the lesion site and the intervention achieved optimal antegrade TIMI III flow without residual stenosis.
No complications occurred during hospitalization, and the patient received dual antiplatelet therapy (DAPT) with aspirin and clopidogrel for at least a year. He remained free of the symptoms of chest tightness and shortness of breath, and was well at 10 months telephone follow-up. This case report was approved by the Ethics Committee of our institution. Informed consent has been obtained from all individuals included in this study.
3 Discussion
Dextrocardia, usually describing the localization of the heart mainly in the right chest with the cardiac long axis directing to the right and inferiorly, occurs rarely with a frequency of 1/10 000 in the general population [4]. Although patients with dextrocardia constitute a minor portion of the general population, the incidence of coronary artery disease in this setting is likely similar to that in the general population [5]. Coronary angiography for dextrocardia was first reported in 1974 in a patient who underwent left ventricular aneurysmectomy [6]. Coronary artery bypass surgery in a patient with dextrocardia was described in 1982 [7]. Percutaneous coronary intervention in dextrocardia with situs inversus was first reported in 1987 [8].
However, published literature about percutaneous intervention in patients with dextrocardiais is scarce in public databases, due to the rarity of this condition. The interventional management of such individuals follows the same general rules as for non-dextrocardia patients, but some technical details should be taken into consideration in order to obtain optimal benefits for the patient.
In the case reported here, we performed cardiac catheterization via the radial arterial approach rather than the femoral one, which had no advantage over the radial arterial approach in this situation [3].
Optimal management could be achieved with the use of standard catheters, but their manipulation must be in the opposite direction, with the JR4 catheter rotated counterclockwise to cannulate the left anatomical RCA.
Mirror images are needed, i.e. equivalent right-sided views to produce the usual left-sided images and vice versa, without changing cranial or caudal angulations. However, some physicians chose to use horizontal (right-to-left) image inversion during image processing, so that the images obtained were effectively normalized [9]. We simply used equivalent right-sided views to produce the usual left-sided images and vice versa. Thus, the cameras in the LAO cranial position yielded a mirror image of the RAO cranial view.
In the case described here, we applied the aforementioned technique for coronary artery imaging, and performed angioplasty for stenosis in the RCA with standard wire, balloons and stent, with a satisfactory angiographic outcome.
In conclusion, the interventional management of dextrocardia patients follows the same general rules as for non-dextrocardia patients, but some technical details, such as the mirror image, different manipulation of the catheter and projection position choices should be taken into consideration to obtain optimal benefits for the patient.
Acknowledgements
This work was supported by the Specific Research Fund for TCM Science and Technology of Guangdong Provincial Hospital of Chinese Medicine (Number: YN2016QL08). We are grateful to Professor Licheng Zhao from Guangzhou University of Chinese Medicine for his inspiring guidance to this work. We also thanks to Miss Jingyi Xu for her help on writing.
Conflict of interest: All authors declare that they have no any conflict of interests.
References
[1] Perloff J.K., The cardiac malpositions, Am. J. Cardiol., 2011, 108, 1352-1361, 10.1016/j.amjcard.2011.06.055Search in Google Scholar PubMed
[2] Dhanjal T.S., Davison P., Cotton J.M., Primary percutaneous coronary intervention for acute myocardial infarction in a patient with dextrocardia, Cardiol J., 2009, 16, 168-171Search in Google Scholar
[3] Macdonald J.E., Gardiner R., Chauhan A., Coronary angioplasty via the radial approach in an individual with dextrocardia, Int. J. Cardiol., 2008, 131, e10-11, 10.1016/j.ijcard.2007.07.035Search in Google Scholar PubMed
[4] Cakar M.A., Gunduz H., Can Y., Vatan M.B., Percutaneous coronary intervention in a patient with situs inversus and dextrocardia, Anadolu Kardiyol. Derg., 2012, 12, 437-438, 10.5152/akd.2012.129Search in Google Scholar PubMed
[5] Menozzi M., Guiducci V., Pignatelli G., Giacometti P., Manari A., Coronary stenting using the radial approach in two women with situs viscerum inversus and acute myocardial infarction, Cardiovasc. Revasc. Med., 2012, 13, 128-132, 10.1016/j.carrev.2010.06.006Search in Google Scholar PubMed
[6] Richardson R.L., Yousufuddin M., Eubanks D.R., Ventricular aneurysm, arrhythmia and open heart operation in a patient with dextrocardia, Am. Surg., 1974, 40, 66 6-66 9Search in Google Scholar
[7] Irvin R.G., Ballenger J.F., Coronary artery bypass surgery in a patient with situs inversus, Chest, 1982, 81, 380-381, 10.1378/chest.81.3.380Search in Google Scholar PubMed
[8] Moreyra A.E., Saviano G.J., Kostis J.B., Percutaneous transluminal coronary angioplasty in situs inversus, Cathet. Cardiovasc. Diagn., 1987, 13, 114-116, 10.1002/ccd.1810130208Search in Google Scholar PubMed
[9] Yabe Y., Tsukahara R., Percutaneous transluminal coronary angioplasty for culprit lesions in patients with post myocardial infarction angina based on dextrocardia and anomalous coronary arteries. Case reports and methods, Angiology, 1995, 46, 431-440, 10.1177/000331979504600511Search in Google Scholar PubMed
© 2017 Wenjie Long et al.
This work is licensed under the Creative Commons Attribution-NonCommercial-NoDerivatives 4.0 License.
Articles in the same Issue
- Regular Articles
- Intravascular treatment of left subclavian artery aneurysm coexisting with aortic coarctation in an adult patient
- Regular Articles
- Effect of electrical stimulation on blood flow velocity and vessel size
- Regular Articles
- Live birth pregnancy outcome after first in vitro fertilization treatment in a patient with Systemic Lupus Erythematosus and isolated high positive IgA anti-β2glycoprotein I antibodies: a case report
- Regular Articles
- Periodontal ligament stem cells regulate apoptosis of neutrophils
- Regular Articles
- Platelet-rich fibrin (PRF) in implants dentistry in combination with new bone regenerative flapless technique: evolution of the technique and final results
- Regular Articles
- The significance of strong ion gap for predicting return of spontaneous circulation in patients with cardiopulmonary arrest
- Regular Articles
- Clinicopathology of EpCAM and EGFR in human epithelial ovarian carcinoma
- Regular Articles
- Intraosseous lipoma of the mandibula: A case report and review of the literature
- Regular Articles
- Transurethral resection of the prostate, bladder explosion and hyponatremic encephalopathy: a rare case report of malpractice
- Regular Articles
- Brain strokes related to aortic aneurysma – the analysis of three cases
- Regular Articles
- Effect of Bicyclol tablets on drug induced liver injuries after kidney transplantation
- Regular Articles
- Plasma free fatty acids in hyperemesis gravidarum pregnancy
- Regular Articles
- Impact of chromosomal rearrangement upon DNA methylation patterns in leukemia
- Regular Articles
- Gefitinib versus docetaxel in treated non-small-cell lung cancer: a meta-analysis
- Regular Articles
- The clinical characteristics of patients with chronic idiopathic anal pain
- Regular Articles
- Bone tunnel impaction reduced the tibial tunnel enlargement
- Regular Articles
- Effects of S-1 combined with radiotherapy in the treatment of nasopharyngeal cancer: a meta-analysis based on randomized controlled trials
- Regular Articles
- Predictions and outcomes of atrial fibrillation in the patients with acute myocardial infarction
- Regular Articles
- An accuracy study of the Intracavitary Electrocardiogram (IC-ECG) guided peripherally inserted central catheter tip placement among neonates
- Regular Articles
- Serum CA125, CA199 and CEA combined detection for epithelial ovarian cancer diagnosis: A meta-analysis
- Regular Articles
- Surface coil intensity correction in magnetic resonance imaging in spinal metastases
- Regular Articles
- Muscle stem cell and physical activity: what point is the debate at?
- Regular Articles
- MicroRNA let-7g directly targets forkhead box C2 (FOXC2) to modulate bone metastasis in breast cancer
- Regular Articles
- Monitoring health inequalities at the municipal level: Lithuanian experience
- Regular Articles
- Role of Epstein-Barr virus in the development of nasopharyngeal carcinoma
- Regular Articles
- Thrombectomy combined with indwelling-catheter thrombolysis is more effective than pure thrombectomy for the treatment of lower extremity deep venous thrombosis
- Regular Articles
- Expression of Hepcidin and Neogenin in colorectal cancer
- Regular Articles
- Carnitine and adiponectin levels in breast cancer after radiotherapy
- Regular Articles
- Pathophysiology of meningioma growth in pregnancy
- Regular Articles
- Causal neuro-immune relationships at patients with chronic pyelonephritis and cholecystitis. Correlations between parameters EEG, HRV and white blood cell count
- Regular Articles
- Measuring efficiency of secondary healthcare providers in Slovenia
- Regular Articles
- Galectin-3 expression in colorectal cancer and its correlation with clinical pathological characteristics and prognosis
- Regular Articles
- Model for studying anti- allergic drugs for allergic conjunctivitis in animals
- Regular Articles
- Barriers perceived by nurses in the optimal treatment of postoperative pain
- Regular Articles
- Tumor microenvironment in treatment of glioma
- Regular Articles
- Delirium risk of dexmedetomidine and midazolam in patients treated with postoperative mechanical ventilation: A meta-analysis
- Regular Articles
- Hemangioma of the rib: a rare case report and literature review
- Regular Articles
- The diagnostic accuracy of conventional forceps biopsy compared to ESD
- Regular Articles
- Increased miR-25 expression in serum of gastric cancer patients is correlated with CA19-9 and acts as a potential diagnostic biomarker
- Regular Articles
- Therapeutic nanomedicine surmounts the limitations of pharmacotherapy
- Regular Articles
- Relationship between PD-L1 expression and clinical characteristics in patients with breast invasive ductal carcinoma
- Regular Articles
- Trypsinogen activation peptide induces HMGB1 release from rat pancreatic acinar cells
- Regular Articles
- The effective regulation of pro- and anti-inflammatory cytokines induced by combination of PA-MSHA and BPIFB1 in initiation of innate immune responses
- Regular Articles
- Cell based therapeutic approach in vascular surgery: application and review
- Regular Articles
- Clinical efficacy of alprostadil combined with α-lipoic acid in the treatment of elderly patients with diabetic nephropathy
- Regular Articles
- Professional burnout and concurrent health complaints in neonatal nursing
- Regular Articles
- Esophageal xanthoma: presence of M2 macrophages suggests association with late inflammatory and reparative processes
- Regular Articles
- Cone beam computed tomography analysis in 3D position of maxillary denture
- Regular Articles
- CK20 mRNA expression in serum as a biomarker for colorectal cancer diagnosis: A meta-analysis
- Regular Articles
- Serum AFU, 5’-NT and AFP as biomarkers for primary hepatocellular carcinoma diagnosis
- Regular Articles
- Absolute reliability and concurrent validity of hand held dynamometry and isokinetic dynamometry in the hip, knee and ankle joint: systematic review and meta-analysis
- Regular Articles
- The Fountain of Youth: A tale of parabiosis, stem cells, and rejuvenation
- Regular Articles
- Foam sclerotherapy during shunt surgery for portal hypertension and varices
- Regular Articles
- Insomnia and depression: Japanese hospital workers questionnaire survey
- Regular Articles
- Serum NF-κBp65, TLR4 as biomarker for diagnosis of preeclampsia
- Regular Articles
- Docetaxel/cisplatin therapy in myasthenia gravis with hypertension/diabetes
- Regular Articles
- Fluid resuscitation and markers of glycocalyx degradation in severe sepsis
- Regular Articles
- Modified Sauve-Kapandji procedure for patients with old fractures of the distal radius
- Regular Articles
- Bile leakage after liver transplantation
- Regular Articles
- VEGF overexpression predicts poor survival in hepatocellular carcinoma
- Regular Articles
- Galen vein aneurysm– challenge for treatment
- Regular Articles
- Retrieval of a broken sewing needle from the sacrum aided by a permanent magnet: a case report and literature review
- Regular Articles
- HIV/STI prevention interventions: A systematic review and meta-analysis
- Regular Articles
- Aortic aneurysm as a complication of myeloperoxidase-antineutrophil cytoplasmic antibody-associated vasculitis
- Regular Articles
- Real-time monitoring of contrast-enhanced ultrasound for radio frequency ablation
- Regular Articles
- Successful drug-eluting stent implantation in a male patient with dextrocardia: a case report
- Regular Articles
- Primary pleomorphic liposarcoma of fallopian tube with recurrence: a case report and review of the literature
- Regular Articles
- Color Doppler Ultrasound in Uterine Arterial Embolization
- Regular Articles
- Pattern of alcohol consumption by young people from North Eastern Portugal
- Regular Articles
- Effects of out-of-hospital continuing nursing on schizophrenia patients' rehabilitation and quality of life
Articles in the same Issue
- Regular Articles
- Intravascular treatment of left subclavian artery aneurysm coexisting with aortic coarctation in an adult patient
- Regular Articles
- Effect of electrical stimulation on blood flow velocity and vessel size
- Regular Articles
- Live birth pregnancy outcome after first in vitro fertilization treatment in a patient with Systemic Lupus Erythematosus and isolated high positive IgA anti-β2glycoprotein I antibodies: a case report
- Regular Articles
- Periodontal ligament stem cells regulate apoptosis of neutrophils
- Regular Articles
- Platelet-rich fibrin (PRF) in implants dentistry in combination with new bone regenerative flapless technique: evolution of the technique and final results
- Regular Articles
- The significance of strong ion gap for predicting return of spontaneous circulation in patients with cardiopulmonary arrest
- Regular Articles
- Clinicopathology of EpCAM and EGFR in human epithelial ovarian carcinoma
- Regular Articles
- Intraosseous lipoma of the mandibula: A case report and review of the literature
- Regular Articles
- Transurethral resection of the prostate, bladder explosion and hyponatremic encephalopathy: a rare case report of malpractice
- Regular Articles
- Brain strokes related to aortic aneurysma – the analysis of three cases
- Regular Articles
- Effect of Bicyclol tablets on drug induced liver injuries after kidney transplantation
- Regular Articles
- Plasma free fatty acids in hyperemesis gravidarum pregnancy
- Regular Articles
- Impact of chromosomal rearrangement upon DNA methylation patterns in leukemia
- Regular Articles
- Gefitinib versus docetaxel in treated non-small-cell lung cancer: a meta-analysis
- Regular Articles
- The clinical characteristics of patients with chronic idiopathic anal pain
- Regular Articles
- Bone tunnel impaction reduced the tibial tunnel enlargement
- Regular Articles
- Effects of S-1 combined with radiotherapy in the treatment of nasopharyngeal cancer: a meta-analysis based on randomized controlled trials
- Regular Articles
- Predictions and outcomes of atrial fibrillation in the patients with acute myocardial infarction
- Regular Articles
- An accuracy study of the Intracavitary Electrocardiogram (IC-ECG) guided peripherally inserted central catheter tip placement among neonates
- Regular Articles
- Serum CA125, CA199 and CEA combined detection for epithelial ovarian cancer diagnosis: A meta-analysis
- Regular Articles
- Surface coil intensity correction in magnetic resonance imaging in spinal metastases
- Regular Articles
- Muscle stem cell and physical activity: what point is the debate at?
- Regular Articles
- MicroRNA let-7g directly targets forkhead box C2 (FOXC2) to modulate bone metastasis in breast cancer
- Regular Articles
- Monitoring health inequalities at the municipal level: Lithuanian experience
- Regular Articles
- Role of Epstein-Barr virus in the development of nasopharyngeal carcinoma
- Regular Articles
- Thrombectomy combined with indwelling-catheter thrombolysis is more effective than pure thrombectomy for the treatment of lower extremity deep venous thrombosis
- Regular Articles
- Expression of Hepcidin and Neogenin in colorectal cancer
- Regular Articles
- Carnitine and adiponectin levels in breast cancer after radiotherapy
- Regular Articles
- Pathophysiology of meningioma growth in pregnancy
- Regular Articles
- Causal neuro-immune relationships at patients with chronic pyelonephritis and cholecystitis. Correlations between parameters EEG, HRV and white blood cell count
- Regular Articles
- Measuring efficiency of secondary healthcare providers in Slovenia
- Regular Articles
- Galectin-3 expression in colorectal cancer and its correlation with clinical pathological characteristics and prognosis
- Regular Articles
- Model for studying anti- allergic drugs for allergic conjunctivitis in animals
- Regular Articles
- Barriers perceived by nurses in the optimal treatment of postoperative pain
- Regular Articles
- Tumor microenvironment in treatment of glioma
- Regular Articles
- Delirium risk of dexmedetomidine and midazolam in patients treated with postoperative mechanical ventilation: A meta-analysis
- Regular Articles
- Hemangioma of the rib: a rare case report and literature review
- Regular Articles
- The diagnostic accuracy of conventional forceps biopsy compared to ESD
- Regular Articles
- Increased miR-25 expression in serum of gastric cancer patients is correlated with CA19-9 and acts as a potential diagnostic biomarker
- Regular Articles
- Therapeutic nanomedicine surmounts the limitations of pharmacotherapy
- Regular Articles
- Relationship between PD-L1 expression and clinical characteristics in patients with breast invasive ductal carcinoma
- Regular Articles
- Trypsinogen activation peptide induces HMGB1 release from rat pancreatic acinar cells
- Regular Articles
- The effective regulation of pro- and anti-inflammatory cytokines induced by combination of PA-MSHA and BPIFB1 in initiation of innate immune responses
- Regular Articles
- Cell based therapeutic approach in vascular surgery: application and review
- Regular Articles
- Clinical efficacy of alprostadil combined with α-lipoic acid in the treatment of elderly patients with diabetic nephropathy
- Regular Articles
- Professional burnout and concurrent health complaints in neonatal nursing
- Regular Articles
- Esophageal xanthoma: presence of M2 macrophages suggests association with late inflammatory and reparative processes
- Regular Articles
- Cone beam computed tomography analysis in 3D position of maxillary denture
- Regular Articles
- CK20 mRNA expression in serum as a biomarker for colorectal cancer diagnosis: A meta-analysis
- Regular Articles
- Serum AFU, 5’-NT and AFP as biomarkers for primary hepatocellular carcinoma diagnosis
- Regular Articles
- Absolute reliability and concurrent validity of hand held dynamometry and isokinetic dynamometry in the hip, knee and ankle joint: systematic review and meta-analysis
- Regular Articles
- The Fountain of Youth: A tale of parabiosis, stem cells, and rejuvenation
- Regular Articles
- Foam sclerotherapy during shunt surgery for portal hypertension and varices
- Regular Articles
- Insomnia and depression: Japanese hospital workers questionnaire survey
- Regular Articles
- Serum NF-κBp65, TLR4 as biomarker for diagnosis of preeclampsia
- Regular Articles
- Docetaxel/cisplatin therapy in myasthenia gravis with hypertension/diabetes
- Regular Articles
- Fluid resuscitation and markers of glycocalyx degradation in severe sepsis
- Regular Articles
- Modified Sauve-Kapandji procedure for patients with old fractures of the distal radius
- Regular Articles
- Bile leakage after liver transplantation
- Regular Articles
- VEGF overexpression predicts poor survival in hepatocellular carcinoma
- Regular Articles
- Galen vein aneurysm– challenge for treatment
- Regular Articles
- Retrieval of a broken sewing needle from the sacrum aided by a permanent magnet: a case report and literature review
- Regular Articles
- HIV/STI prevention interventions: A systematic review and meta-analysis
- Regular Articles
- Aortic aneurysm as a complication of myeloperoxidase-antineutrophil cytoplasmic antibody-associated vasculitis
- Regular Articles
- Real-time monitoring of contrast-enhanced ultrasound for radio frequency ablation
- Regular Articles
- Successful drug-eluting stent implantation in a male patient with dextrocardia: a case report
- Regular Articles
- Primary pleomorphic liposarcoma of fallopian tube with recurrence: a case report and review of the literature
- Regular Articles
- Color Doppler Ultrasound in Uterine Arterial Embolization
- Regular Articles
- Pattern of alcohol consumption by young people from North Eastern Portugal
- Regular Articles
- Effects of out-of-hospital continuing nursing on schizophrenia patients' rehabilitation and quality of life