First trimester examination of fetal anatomy: clinical practice guideline by the World Association of Perinatal Medicine (WAPM) and the Perinatal Medicine Foundation (PMF)
-
Nicola Volpe
, Cihat Sen
, Sifa Turan
, Waldo Sepulveda
, Asma Khalil
, Daniel L Rolnik
, Valentina De Robertis
, Paolo Volpe
, Mar M Gil
, Petya Chaveeva
, Themistoklis Dagklis
, Ritsuko Pooh
, Przemyslaw Kosinski
, Jader Cruz
, Erasmo Huertas
, Francesco D’ Antonio
, Jesus Rodriguez Calvo
and Ana Daneva Markova
Abstract
This recommendation document follows the mission of the World Association of Perinatal Medicine in collaboration with the Perinatal Medicine Foundation. We aim to bring together groups and individuals throughout the world for precise standardization to implement the ultrasound evaluation of the fetus in the first trimester of pregnancy and improve the early detection of anomalies and the clinical management of the pregnancy. The aim is to present a document that includes statements and recommendations on the standard evaluation of the fetal anatomy in the first trimester, based on quality evidence in the peer-reviewed literature as well as the experience of perinatal experts around the world.
Introduction
From aneuploidies screening to first trimester fetal anatomy
The 11+0 to 13+6 weeks gestational window provides a great opportunity to evaluate the accurate dating and the risk of fetal aneuploidy. Although it gives us an excellent opportunity to look for basic anatomical landmarks at early ages, the major focus of the 11+0 to 13+6 weeks scan has been on aneuploidy screening [1]. First trimester combined screening has been proposed and established in different countries as an accurate and reproducible method to select a population of fetuses at high risk for chromosomal abnormalities [2, 3]. Such screening is based on the combination of several parameters, including the nuchal translucency (NT), obtained by a targeted ultrasound scan performed at 11+0 to 13+6 weeks [1, 3]. The NT measurement reproducibility relies on a strict methodology and a well-defined certification and auditing system. The number of certified operators has been increasing in the last few years, witnessing a significant diffusion of the first-trimester scan worldwide. The consequent improvement of operators’ skills in first-trimester ultrasound, the increased knowledge of early fetal anatomy, the association between increased NT and fetal structural abnormalities [4], [5], [6], [7], [8], and the improving ultrasound technology allowing higher image resolution (software and hardware implementations, availability of the transvaginal probes), have led to increased detection of fetal structural anomalies already in the first trimester [5, 9], [10], [11], [12], [13], [14], [15], [16], [17]. A recent systematic review [18] has shown an estimated detection rate of fetal structural abnormalities in the first trimester, ranging between 32 and 61%, according to the type of anomalies and population characteristics. In particular, the detection rate seems higher when focusing on major anomalies than all types of anomalies (about 46 vs. 32% detection rate), and even higher when scanning a high-risk rather than an unselected population of pregnant women (61% detection rate of structural anomalies). Such figures seem to be widely variable in the literature, according to different factors, such as operator skills (experience, training, knowledge of fetal embryology or use of indirect ultrasound markers of anomalies) [5, 15, 16, 18], [19], [20], [21], [22], [23], [24], [25], [26], [27], [28], [29], [30], [31], gestational age at the time of examination [28], route of ultrasound (transvaginal [TV] or transabdominal [TA]) [21, 25, 28, 31], or time allocated for the scan [16, 22, 24, 27, 28, 31]. However, most of the studies show exceedingly higher detection rates for specific fetal organ system anomalies, such as major brain structural defects (acrania, alobar holoprosencephaly, cephalocele), major anterior wall defects (exomphalos, gastroschisis), pathological bladder dilation (megacystis), leading to the definition of such anomalies as “always detectable” already in the first trimester [5, 16]. The increasing detection rates of fetal structural anomalies in the first trimester, with few of them considered almost always detectable, together with the establishment in different settings of a first-trimester routine ultrasound evaluation due to the diffusion of the aneuploidy screening, seems to justify the implementation of a fetal anatomical ultrasound survey at such gestational age [32].
Summary of the structures recommended or suggested as part of the routine evaluation of the fetal anatomy in the first trimester, including the key features to check and the main anomalies potentially associated in case of abnormal features.
| Organ | Structure | R/S | Suggested plane, s | Key features | Possible anomalies |
|---|---|---|---|---|---|
| Head and brain | Skull | R | Ax | Oval uninterrupted shape, uniformly hyperechoic | Acrania, cephalocele |
| Midline falx | R | Ax | Uninterrupted | Holoprosencephaly | |
| Lateral ventricles/CP | R | Ax | Symmetric, filled by CP | Ventriculomegaly | |
| Cranial posterior fossa | R | Sag | Three similar anechoic spaces | Chiari malformation, cystic anomalies | |
| Neck | Nuchal translucency | R | Sag | Thickness < 95th centile | Marker for anomalies |
| Spine | Vertebrae | R | Sag, Co | Uninterrupted vertebral line | Open spina bifida, kyphoscoliosis |
| Dorsal skin | R | Sag | Uninterrupted skin | Myelomeningocele | |
| Face | Profile | R | Sag | No flat, no abnormal protrusions, regular chin | Micrognatia, flat face |
| Orbits | S | Ax, Co | Anechoic symmetric orbits | An/microphtalmia, hypotelorism | |
| Anterior palate | S | Co, Ax, Sag | Uninterrupted bone | Cleft | |
| Thorax | Lung fields | R | Ax | Homogeneous structure, shape continuity with abdomen | Pleural effusion, diaphragmatic hernia, lung agenesis, CHAOS, severe skeletal dysplasias |
| Heart | Heart activity | R | Ax | Regular, 150–170 bpm | Bradycardia, arrhythmias |
| Cardiac situs | R | Ax | Apex pointing left, left-sided stomach | Isomerism | |
| Size and position | R | Ax | Occupies 1/3 of the chest, lies on the midline (2/3 of heart on its left) | Diaphragmatic hernia, hypoplastic Rt/Lt heart, ectopia cordis | |
| Four chambers | R | Ax | Four balanced chambers (consider doppler) | Hypoplastic Rt/Lt heart, valvular stenosis/atresia, AV septal defect | |
| Three vessels/arches | S | Ax | V-sign, balanced arches, doppler suggested | Cono-truncal anomalies, valvular stenosis/atresia | |
| GIT and abdominal wall | Stomach | R | Ax | Round-shaped, anechoic, left-sided | Diaphragmatic hernia, esophageal or duodenal atresia |
| Cord insertion | R | Ax, Sag | No bowel protrusion | Exomphalos, gastroschisis, body stalk anomaly | |
| Urinary tract and genitalia | Bladder | R | Ax, Sag | Round-shaped, anechoic, diameter <7 mm | Bladder extrophy, bilateral renal agenesis, megacystis, LUTO, cloacal anomaly |
| Umbilical arteries | R | Ax | Two arteries on bladder sides (doppler) | Single umbilical artery | |
| Kidneys | S | Ax, Co | Two symmetric kidneys, homogeneous structure, upper abdomen | Renal agenesis, pelvic/horseshoe kidney, cystic/hyperechoic kidneys, hydronephrosis | |
| Genital tubercle | S | Sag | Flat shape for female, upwards position for males | — | |
| Limbs | Active movements | R | — | Flexion/extension | Neuromuscular anomalies, FADS |
| Three segments | R | Ax, Sag | Bones present, regular proportions | Limb reduction defects, skeletal dysplasias | |
| Hands/feet | R | Ax, Sag | Present | Limb reduction defects |
-
R, recommended; S, suggested; Ax, axial; Sag, sagittal; Co, coronal; CP, choroid plexus; CHAOS, congenital high airways obstruction syndrome; bpm, beats per minute; Rt, right; Lt, left; AV, atrio-ventricular; GIT, gastro-intestinal tract; LUTO, lower urinary tract obstruction; FADS, fetal akinesia deformation sequence.
Implementing the first trimester ultrasound evaluation of fetal anatomy
The systematic review from Karim et al. has shown a significant improvement of detection rates for fetal structural abnormalities when scanning high-risk fetuses and using an anatomical protocol with standard sonographic views [18].
Several ultrasound findings have been described as potential markers of fetal structural abnormalities. For example, an increased fetal NT is associated with fetal aneuploidies or genetic syndromes and structural abnormalities, reported in about 10% of cases with NT >99th percentile [4]. Moreover, increased NT and fetal tricuspid regurgitation and ductus venosus flow abnormalities have been associated with fetal major structural cardiac defects [8, 33]. Recently, the ultrasound appearance of cranial posterior fossa (CPF) structures has been described as three anechoic spaces just above the occipital bone, in the same midsagittal view obtained to measure the fetal NT. An abnormal arrangement of such spaces (visualization of only two spaces rather than three or abnormal ratio between the width of the anterior space and the two posterior ones) is predictive of open spina bifida, or cystic abnormalities of posterior fossa [5, 34], [35], [36], [37], [38], [39], [40], [41], [42], [43], [44]. Therefore, such findings could be considered ultrasound markers of fetal structural abnormalities, allowing the selection of a high-risk population of fetuses deserving a thorough ultrasound evaluation.
Adopting an anatomical protocol with standard sonographic views also seems associated with higher detection rates for fetal structural anomalies [18], even if different protocols have been described in the literature [5, 15, 16, 45], [46], [47]. In 2013, a comprehensive first-trimester anatomic protocol has been proposed [47] combining the data from four different studies [48], [49], [50], [51], suggesting a list of fetal structures to be evaluated in the first trimester, and briefly describing their normal appearance, with only a few details about the methodology to obtain an adequate ultrasound evaluation. Moreover, the same guideline remarked that the second-trimester scan remains the standard of care for fetal anatomical evaluation. However, as mentioned, the detection rate of fetal structural anomalies in the first trimester has been increasing in the last few years, together with the advances of ultrasound technology and image resolution, with few fetal defects almost always detectable before 14 weeks. Therefore, the time has probably come to offer a standardized evaluation of the fetal anatomy in the first trimester, rather than limiting the assessment to ultrasound markers, as establishing normal fetal anatomy should be one of the aims of pregnancy care.
The detection of a fetal structural anomaly or an abnormality on the ultrasound views provided as standard anatomical protocol should prompt the referral for a detailed evaluation of the fetal anatomy. The diagnostic anatomical survey should include additional views and a more detailed assessment of the fetal structures, performed by perinatal expert, in optimal conditions (adequate ultrasound machine, time allocated to the examination, route of examination). A referral center would represent the ideal setting for a thorough evaluation for the diagnosis and management of fetal structural abnormalities, including further genetic testing or imaging, appropriate multidisciplinary counseling and possible treatment.
The concept of anatomical evaluation for diagnosis in referral centres
One of the first published first trimester anatomic protocols [47] included structures suggested for routine ultrasound evaluation and some optional ones (face features, four chambers of the heart, bladder, kidneys, hands, and feet, and three-vessel cord), therefore creating at least two levels of the anatomic survey: a basic, including the evaluation of suggested structures and a more detailed one, including also optional structures. However, the prerequisites of the two approaches have not been described.
The concept of different levels of anatomic evaluation includes different aspects:
Advanced vs. basic training (what you are trained to do), involving the type of training, the corresponding certification of trainees, and the expertise by accumulating experience.
Routine vs. expanded anatomic protocol (what you are expected to do) is based not only on the difficulty and time required to obtain specific views of the anatomic structures but also on the possibility of detecting the corresponding abnormalities in the first trimester.
Different protocols comprising a more or less extensive assessment of fetal anatomy have been proposed over the last years [5, 15, 16, 45], [46], [47]. As mentioned, the choice of the structures and views to include is not necessarily related to the level of the sonographer’s expertise but could also be based on cost-effectiveness studies or other considerations. To be more precise, an examiner may be capable of performing a detailed anatomic evaluation. Still, the protocol may not require a thorough examination for reasons such as limited time for the ultrasound evaluation or as a part of a national strategy based on cost-effectiveness studies or studies on maternal anxiety. In general, the aim of a routine ultrasound anatomical evaluation should be to establish normal fetal anatomy, whereas a referral center is expected to provide diagnostic definition of fetal structural anomalies, such as further testing (if required) and management.
According to the American Institute of ultrasound in medicine (AIUM), the specialized diagnostic examination is an extension of the standard sonographic fetal assessment described in the AIUM-ACRACOG-SMFM-SRU Practice Parameter for the Performance of Standard Diagnostic Obstetric Ultrasound Examinations and the American College of Obstetricians and Gynecologist practice bulletin Ultrasound in Pregnancy [52]. The detailed obstetric ultrasound examination in the late first trimester is an indication-driven examination for women at increased risk of fetal abnormalities that are potentially detectable at such gestational age. In particular, a targeted early echocardiography could be performed for fetuses at high risk for congenital heart defects (maternal history, ultrasound markers of cardiac anomaly, suspected defect at the routine scan) [53], [54]. Similarly, indirect ultrasound signs of central nervous system anomalies, or suspected defects at the routine anatomic survey, could be the indication for a targeted early neurosonogram [42, 55, 56]. Performance and interpretation of diagnostic examinations require adequate training, knowledge, imaging skills, and the ability to communicate the findings to the patient and referring physician effectively and appropriately. Thus, the performance of a detailed, advanced first-trimester ultrasound examination should be rare outside referral practices with special expertise in identifying and diagnosing fetal anomalies in the first trimester. In addition, genetic counseling and diagnostic testing services should be available for patients diagnosed with fetal abnormalities in early gestation.
Advantages and limitations of an early anatomy evaluation
The early detection of fetal anomalies yields significant advantages for the perspective parents and the clinical management of the pregnancy. In particular, when further investigations are required, an early detection of the defect allows longer times for genetic analysis, more detailed imaging, earlier detection of associated anomalies, or fetal treatment planning. In addition, if the parents opt for termination of pregnancy, an early procedure is usually safer, less traumatic, and allows more privacy to the patient. Moreover, in case of high-risk pregnancy due to structural anomaly of a previous fetus or child, when an early anatomic survey is possible, the absence of fetal abnormalities in the first trimester is reassuring, reducing maternal anxiety.
However, certain limitations of an early ultrasound survey of the fetal anatomy need to be acknowledged. These include the small size of anatomical structures due to early gestational age [26], [27], [28], [29], [30], [31] and the normal appearance of structures affected by some defects, showing abnormal anatomy only later in pregnancy (evolutive or late-onset defects) [5, 16, 23], [24], [25], [26], [27], [28, 30]. When dealing with such small structures, increased maternal body mass index, uterine fibroids or a shadowing abdominal scar have an even greater impact on the quality of the images than would be expected in the second trimester. In case of maternal obesity, or in patients with previous abdominal surgeries (e.g. abdominoplasty, cesarean section, etc) the abdominal wall tissue could significantly limit ultrasound transmission, with poor visualization of the fetus, often forcing the operator to switch to the transvaginal route, with better image resolution, but limited probe maneuverability.
A possible concern of the early detection of major abnormalities could be the occurrence of a false positive diagnosis. An abnormal finding is usually associated to an increased maternal anxiety, often needing additional ultrasound assessment, genetic testing, dedicated counseling, with additional clinical, economical and psychological burden. A false positive finding could therefore lead to unnecessary clinical efforts, invasive testing, or even termination of pregnancy, in the worst-case scenario. The true occurrence of false positive cases is not well known, due to the scarcity of specific data in the literature. However, low rates of false positive diagnosis are reported by a big trial involving more than 39,000 pregnancies [25], with general incidence of false positives <0.5%, but much lower in the first trimester than in the second trimester ultrasound. Such numbers could vary according to the definition of structural abnormality, in particular when considering isolated evolving anomalies with spontaneous resolution in prenatal life (e.g. mild megacystis, small bowel-only exomphalos, etc).
Scope
The scope of the first-trimester anatomic survey is expanding with advancing technology and expertise. The evaluation of fetal anatomy, including fetal heart and central nervous system, has evolved drastically in the past decade [18, 42, 53]. This is a continuous process that needs updating of the protocols as new data emerge (Table 1).
The scope of this document is to propose a new model of standardized approach to the evaluation of fetal anatomy in the first trimester of pregnancy, reached by a consensus of experts, in routine obstetric care in low-risk pregnancies at 11–13 weeks of gestation to improve the prenatal detection of severe anomalies.
Technical issues
Preferred time of evaluation
The first-trimester screening for chromosomal abnormalities has been developed for fetuses with the crown-rump length (CRL) between 45 and 84 mm (11+0 to 13+6 weeks) [1]. Fetal growth and development at this stage of pregnancy are rapid and differences in fetal anatomy during these three weeks are significant. As described, many fetal structural abnormalities are already detectable during the ultrasound examination at 11+0 to 13+6 weeks of gestation. Therefore, the optimal timing for this scan, for both the technically appropriate measurement of nuchal translucency and maximum detection of anomalies, was suggested to be 13 weeks of pregnancy, also based on the need for the second scan and number of unsuccessful scans due to non-viable pregnancy [57], [58], [59]. However, in the subsequent years, technical advances of ultrasound machines and the implementation of perinatal specialist’s expertise improved the visualization of anatomical structures showing similar visualization rates at 12 and 13 weeks of gestation [60]. Moreover, the closer to the end of the first trimester the scan is performed, the lower is the probability of finding the fetus in a supine neutral position, optimal for NT measurement. Therefore, some data [61] suggest an optimum time for nuchal translucency measurement and anatomic evaluation at 12–13 weeks.
Ultrasound transducers (TA and TV, frequency)
High-frequency ultrasound transducers increase the spatial resolution but decrease the penetration of the beam. The selection of the optimal transducer and their frequency depends on gestational age, maternal body habitus, the position of the fetus, and the scanning approach used. Transabdominal transducers with 3–5 MHz, are mainly used; however, while they “penetrate” deeper, their resolution is lower than high frequency probes such as 4–8 MHz and those of the transvaginal probe, which are often closer to the fetus and operate at higher frequencies, increasing images resolution.
The examination is usually performed with grayscale 2D ultrasound. It may be essential to mention that harmonic and speckle-reduction filters may enhance image quality, mainly in patients with increased body mass index or abdominal scars.
The use of transvaginal probes should always be considered if the fetus is in suboptimal position, or in case of low transabdominal images quality. In such cases a transvaginal approach could be offered and performed if the patient agrees.
Methods
With the scope of reaching a consensus among experts, a survey was conducted among group members.
The main fetal structures that could be included in an anatomical ultrasound survey between 11+0 and 13+6 weeks, were listed and group members were asked to answer the following questions:
Should the following anatomical structures be always evaluated, possibly, or never at the time of the first-trimester anatomy scan?
Do you suggest one or more planes?
Agreement among members was evaluated for each anatomical structure and scanning plane.
The evaluation of structures and planes that should always be evaluated with an agreement among members exceeding 75% are referred to in this document as “recommended” as part of the first-trimester standard ultrasound examination of the fetal anatomy.
The evaluation of structures and planes that should be possibly evaluated with an agreement among members exceeding 75% are referred to in this document as “suggested” as part of the first-trimester standard ultrasound examination of the fetal anatomy.
The evaluation of structures and planes that should never be evaluated with an agreement among members exceeding 75% are considered in this document as not being part of the first-trimester standard ultrasound examination of the fetal anatomy.
The same method was applied for the quantitative assessment. The main fetal anatomical structures reported in the literature as measurable were listed. Group members were asked if such anatomical structures should always be measured, possibly or never, and on which planes. According to the level of agreement among members, each measurement is referred to as recommended, suggested, or excluded, following the same criteria for the qualitative anatomical assessment.
The members were asked to vote again after collegial discussion until consensus was obtained if no agreement was reached.
First trimester examination of the fetal anatomy in routine practice
Head and brain
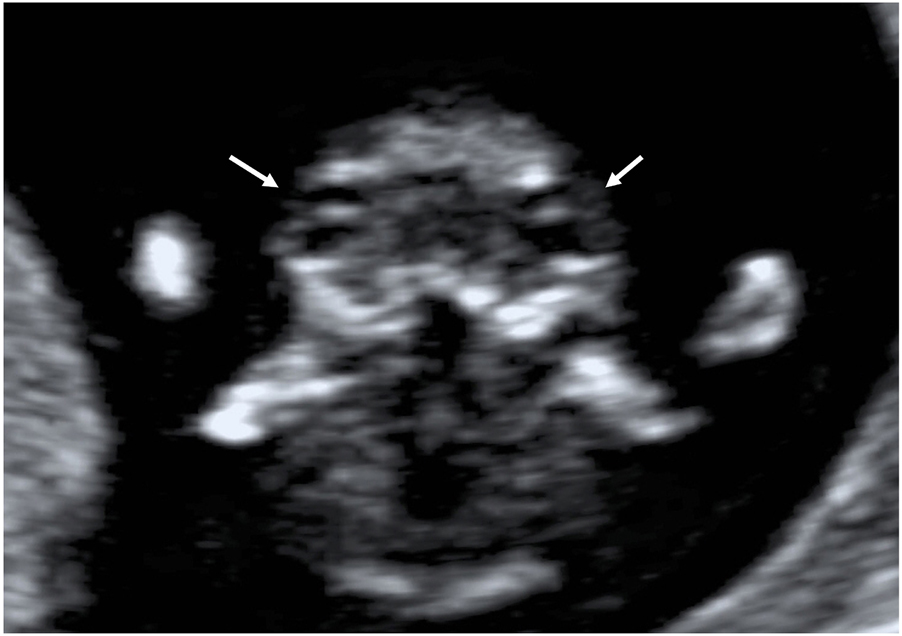
Under normal conditions, the fetal skull appears as an oval-shaped hyperechoic bony structure. The two hemispheres, similar in size, are separated by a straight, uninterrupted midline echo (interhemispheric fissure) on the axial planes. The choroid plexuses should fill the two lateral ventricles on the sides of the midline (butterfly sign on axial view [62]) occupying roughly half or more of the ventricle length/area [63,64] (Figure 1). On the midsagittal view, the anechoic round-shaped diencephalon is visible in the middle of the fetal brain, and the cranial posterior fossa (CPF) structures are just posterior to it, including the brainstem (BS), the 4th ventricle (4V), and the cisterna magna (CM), appearing as three anechoic spaces, roughly similar in size (Figure 2). The biparietal diameter (BPD) could be measured on the axial view in selected cases, mainly for dating purposes.

Axial view of the fetal head and brain.
The hyperechoic oval-shaped skull is visible. The fetal hemispheres are separated by the interhemispheric fissure (arrows). Lateral ventricles (*) containing choroid plexuses (C) are also visible.

Midsagittal view of the fetal head and brain.
It is possible to visualize the diencephalon (D) and the cranial posterior fossa structures, including the brainstem (BS), the 4th ventricle (4V), and the cisterna magna (*) appearing as three anechoic spaces, roughly similar in size. The nuchal translucency (NT) is also visible as a fluid space behind the fetal neck. The fetal profile is well visible on this view, including the forehead (F), the nose (N), lips (L) and chin (C).
Recommendations
Skull and head shape, midline echo, and brain hemispheres, including lateral ventricles and choroid plexuses, should always be evaluated at the routine first-trimester examination. These structures should be preferably assessed on axial planes.
The measurements of the biparietal diameter and head circumference are not recommended on a routine basis but helpful.
The cranial posterior fossa should be evaluated routinely on the midsagittal plane, showing three distinguished anechoic spaces similar in size. The measurement of the ratio between the width of the brainstem and the space behind it (BS/BSOB – [36]) is not recommended on a routine basis but could be helpful when the three spaces seem abnormal.
Doppler studies should not be included in the standard evaluation of the fetal brain in the first trimester.
Technical issues
The evaluation of the fetal structures requires adequate magnification: the fetal anatomical area, including the target structure, should occupy about 75% of the ultrasound image.
The axial view of the fetal brain should be obtained with the ultrasound beam perpendicular to the interhemispheric fissure, appearing as the midline echo, to evaluate its integrity adequately. In addition, the brain hemispheres should be equal in size, witnessing a proper axial rather than oblique approach, and the plane required for the routine evaluation of the fetal anatomy should be just above the thalami and midbrain to adequately visualize the choroid plexuses and ventricles from frontal to occipital horns.
An anterior approach could obtain the midsagittal view of the fetal head (Figure 2), with the ultrasound beam encountering the fetal face before reaching the intracranial structures. To be correctly midsagittal, the fetal profile should be visible, including forehead, nose (bone, overlying skin, and tip), rectangular-shaped palate, diencephalon, and anechoic structures in posterior fossa (BS, 4V and CM). In addition, on a proper midsagittal plane, the bony process above the palate (zygomatic process of the maxilla) should not be visible. The nuchal translucency should be measured on this plane when the ultrasound beam is perpendicular to its lines.
Neck
Under normal conditions, a thin subcutaneous collection of fluid should be visible at the level of the fetal neck (nuchal translucency – NT). No lateral cysts, septa or abnormally thick NT should be visualized.
Recommendation
The NT should be routinely measured on the midsagittal plane during the first-trimester evaluation.
Technical issues
The methodology to obtain a correct midsagittal view of the fetal head has been described. On this plane, the fetus should be resting, with the neck neither flexed nor extended, such that the nuchal profile should not appear bent but generally flat, and the fetal chin should not be touching the chest. The NT could be visualized behind the fetal neck as an anechoic fluid space (Figure 2). The lines of the NT are adequately visualized if the ultrasound beam is perpendicular and the gain is set low, enough to see the edges of the lines as sharp rather than fuzzy. The measurement callipers should be placed on the inner borders of the lines, with the crossbar touching their edges, but within the white line rather than in the black translucency (“on-to-on” rather than “in-to-in”). The NT width should be measured at its thickest part, and the widest of three measurements should be chosen.
Spine
The fetal spine typically appears as linear structure, composed of a continuous sequence of vertebrae, covered by the uninterrupted skin (Figure 3). The spine could bend according to the fetal movements, but no disruptions or interruptions of the vertebral lines or overlying skin should be visualized in normal conditions.

Midsagittal (A) and coronal (B) views of the fetal spine.
The vertebral lines, composed by the sequence of their ossification centers, are visible in both views, but the covering skin only on the midsagittal one.
Recommendations
The fetal spine should be routinely evaluated in the first trimester.
The midsagittal evaluation of the spine is considered the best option to define if the spine has a straight appearance and the overlying skin is uninterrupted. However, a coronal approach could be easier to obtain and use to assess the vertebrae but suboptimal to evaluate the skin.
The evaluation of medullary structures, such as the conus medullaris, is not recommended in the first trimester.
Technical issues
The fetal spine should be preferably evaluated on a sagittal plane, showing dotted hyperechogenic lines, representing the ossification nuclei of the vertebral bodies or posterior laminae. An appropriate sagittal view allows visualizing the entire profile of the spine and the overlying skin.
The normal appearance of the spine should be satisfactorily evaluated irrespective of the fetal position. However, the spine-up position is suggested to assess the overlying skin adequately. Moreover, if the skin of the fetal back is in close contact with the uterine wall, its evaluation may be suboptimal.
Face
The fetal profile is usually visualized on the midsagittal view of the fetus, showing fetal forehead, nose, lips, and chin (Figure 2). The profile should neither be flat nor show any protruding structures. The nasal bone should be visible and brighter than the overlying skin. Two anechoic orbits are usually visible on axial view, similar in size, with an oval lens within each orbit, close to its anterior surface (Figure 4). Fetal bony palate and upper lip could also be evaluated, showing no clefts or disruptions (Figure 5).

Fetal eyes and lenses on an axial plane (arrows).

Fetal bony palate (arrows) on coronal (A) and axial (B) planes.
The bony palate represents the base of the retronasal triangle visible on the coronal plane (A, arrow), whereas the alveolar ridge (arrows) and upper lip (*) are visualized on the axial plane (B).
Recommendation
The fetal profile should be routinely evaluated in the first trimester, on the midsagittal view of the fetal head.
The evaluation of fetal eye orbits and bony palate are not recommended on a routine basis but suggested during the first trimester fetal anatomic survey.
The evaluation of the upper lip is not routinely recommended in the first trimester.
Technical issues
The technical suggestions to obtain a proper midsagittal view of the fetal head have been already described for the brain evaluation. On such view the profile is adequately visible.
The eye orbits can be ideally evaluated on an axial frontal view, easily obtained by a 90° rotation of the probe starting from the profile (midsagittal) view.
Thorax
Under normal conditions, two lung fields should be visualized on both sides of the fetal heart (Figure 6), showing the homogeneous structure. The ribcage is formed by symmetric ribs on the two sides, with a convex uninterrupted muscular floor (the diaphragm).

Grayscale image of the fetal heart and thorax.
The lung fields are visible on the sides of the heart, showing four balanced chambers, two atria (A) and two ventricles (v) (B) The atrioventricular flows (arrows) are highlighted by color Doppler on a four-chambers view.
Recommendations
The lung fields should be routinely evaluated on axial planes during the first trimester evaluation.
The diaphragm and rib cage evaluation are not routinely recommended.
Heart
The fetal heart lies in the middle of the fetal chest, occupying about one third of it, with the apex pointing towards the left side and with two thirds of its area on the left of the thoracic midline. The four chambers should be balanced in size, with the ventricles mildly bigger than the atria (Figure 6). The great arteries are similar in size but showing opposite direction (crossover of the outflow tracts). The aorta arises from the left ventricle and points to the right and the pulmonary artery from the right ventricle but with an anteroposterior direction, roughly parallel to the midline. The aortic and ductal arches could be visualized just above the outflow tracts joining just before and to the left of the fetal spine (Figure 7). At the same level, the superior vena cava could be possibly visualized in the context of a “3 vessel and trachea” view.

Aortic (A) and ductal (D) arches (V-shape) highlighted by color Doppler on a three vessels and trachea view.
The aortic arch is on the left of the trachea (T). Superior vena cava (C) is just on the right of the aorta (A).
Recommendation
Heartbeat, heart rate, cardiac situs, size, and position should be routinely evaluated in the first trimester.
Evaluating the four chambers view is recommended but limited to the visualization of four distinct chambers, looking balanced. Color Doppler could be useful to implement the visualization and the assessment of this view.
The visualization of the three-vessels or arches view (V-sign) on the axial plane by color Doppler is suggested but not mandatory in the first trimester.
The evaluation of the superior and inferior vena cava is not routinely recommended in the first trimester.
The evaluation of the ductus venosus and the measurement of its blood flow velocity should not be considered as part of the routine anatomic survey but included only for aneuploidies screening if established by the local screening strategy.
Technical issues
To avoid oblique planes, the fetal heart should be observed on an axial view of the thorax, ideally including no more than one rib on each fetal side. The ultrasonic beam should be as parallel as possible to the ventricular septum (apical view) to optimize the visualization of the atrioventricular (AV) valves, allowing a better distinction of the four cardiac chambers. However, a transverse view of the heart could also be considered, with the ultrasound beam parallel to the ventricular and atrial septum, allowing better visualization of these structures, but often with a suboptimal visualization of the AV valves and a less clear distinction of the chambers. On an apical view, the heart rate could be calculated after sampling one of the AV valves, with a gate width of about 3 mm, and insonation angle ideally less than 30° from the ventricular septum.
The color Doppler could be helpful in case of limited visualization of the structures due to fetal or uterine unfavorable position, high maternal body mass index, or early gestational age. In addition, the Doppler signal allows distinguishing the atrioventricular flow through the mitral and tricuspid valves, providing information about the presence of balanced atria and ventricles, if the flow signals are similar in size, direction, and velocity, excluding significant valve regurgitation, critical stenosis or atresia.
The plane, including the arches, could be obtained starting from the four chambers apical view, sweeping the probe cranially. Such structures could be highlighted by color Doppler, which would appear similar in size and color in normal conditions.
Doppler settings should be adequate to depict the blood flow through the valves and vessels without blurring.
Gastro-intestinal tract (GIT)/abdominal wall
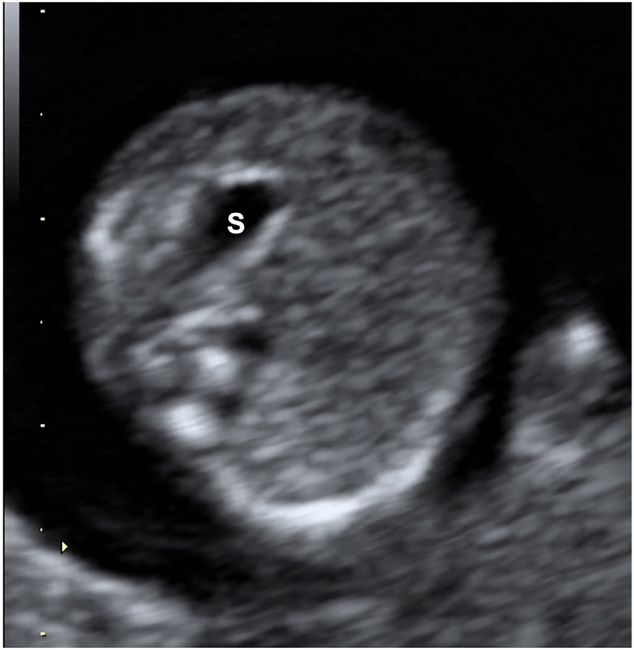
Under normal conditions, the abdominal wall has an uninterrupted profile, except for the umbilical cord insertion. The cord vessels (one vein and two arteries) enter the abdomen surrounded only by Wharton’s jelly (Figure 8). No protrusion of the fetal bowel should be visible at this level. The stomach is a round-shaped anechoic structure, on the left side of the fetus, in the upper part of the abdomen (Figure 9). No bowel dilation, other cystic structures, or masses should be visible intraabdominally.

Axial view of the fetal abdominal anterior wall at the level of the fetal cord insertion (arrows).

Axial view of the fetal abdomen and stomach (S), lying on the upper left part of the abdomen.
Recommendation
Stomach and abdominal cord insertion should be routinely evaluated during the first-trimester scan, preferably on axial planes.
The abdominal circumference measurement, including the visualization of the umbilical vein, is not recommended as part of the standard anatomic survey.
The evaluation of the bowel is not recommended in routine evaluation. Still, if any images suggesting dilation of the bowel, other cystic structures, or masses are noticed, the patient should be referred for advanced evaluation.
Technical issues
Axial or sagittal views could evaluate the cord insertion. Such structure could be better visualized on the axial plane if the fetus lies on its side, allowing a perpendicular insonation of the cord entering the fetal abdomen.
The cord bending just close to the abdominal insertion could resemble some small bowel herniation, erroneously leading to the suspicion of exomphalos. Color Doppler could be used to rule out such anomalies, distinguishing cord folds (color-filled) from actual bowel.
Urinary tract and genitalia
The bladder appears as an anechoic structure in the middle of the fetal pelvis, surrounded by the two umbilical arteries on both sides on axial view (Figure 10). The kidneys are visible on both sides of the spine, just anteriorly, symmetric in size and showing homogeneous structure (Figure 11). In the first trimester, the fetal genitalia have a significantly different appearance than in the second trimester, showing a flat genital tubercle in most of female fetuses. In contrast, it appears to point upwards in male fetuses (Figure 12).

On the axial plane, the fetal bladder (b) could be visualized as an anechoic structure surrounded be the perivesical arteries (*).

Fetal kidneys (k) on a coronal plane, lying on the sides of the spine, in the upper part of the fetal abdomen.

Fetal genitalia on the midsagittal view (A) The typical position of a male tuberculus genitalis (arrow), pointing upwards, could be visualized on the anterior surface of the fetal pelvis (B) In female fetuses, the tuberculus appears flat (*).
Recommendation
The bladder should be routinely evaluated during the first-trimester anatomy survey, either on axial or sagittal planes, and measured only if appearing larger than usual, on midsagittal view.
Peri-vesical/umbilical arteries should also be evaluated, with the support of color Doppler, on the axial plane.
The visualization of the kidneys is not recommended on a routine basis but suggested during the first-trimester anatomic survey. Kidneys could be preferably evaluated on axial or coronal planes.
The visualization of the genital tubercle is not recommended on a routine basis, but suggested if feasible, on a midsagittal view.
Technical issues
The fetal bladder could be empty and therefore not visible during the scan. It should be considered an abnormal finding if still not visible at reevaluation after at least 20 min.
In the first trimester, renal function impairment or agenesis could coexist with normal amniotic fluid surrounding the fetus.
A dilated bladder could be defined if having largest diameter >10% of the fetal CRL. Severe megacystis is usually defined when bladder diameter is >15 mm in the first trimester [66].
Limbs
Under normal conditions, the three segments of each limb could be visualized: thigh, leg, and foot in both lower limbs; arm, forearm, and hand in both upper limbs (Figure 13). Long bones should look straight, with regular proportions. The position of the three segments, in particular hands and feet, should also be evaluated, and an excessive rotation or bending should be excluded. In favorable conditions, dedicated views of the open hands and the foot soles could show normal fingers and toes. Spontaneous active fetal movements should also be noted.

Lower (A) and upper (B) limbs. In (A) the tight (T), the leg (L) and the foot (F) are visible. In (B) it is possible to visualize the arm (A), the forearm (F) and the hand (H).
Recommendation
The presence of the three segments of the limbs, including hands and feet, should be routinely assessed.
Active fetal movements should also be visualized and reported routinely.
The evaluation of the fingers and toes is not recommended as part of the standard anatomic survey.
The measurement of the femur and humerus is not recommended in the first trimester.
Conclusions
The World Association of Perinatal Medicine (WAPM) and the Perinatal Medicine Foundation (PMF) study group on the first trimester anatomy produced this recommendation document identifying those fetal structures to be included in a routine ultrasound anatomic survey at 11+0 to 13+6 weeks of gestation (Table 1). This document provides also technical hints to facilitate the adequate evaluation of fetal anatomy and standardize images acquisition and interpretation. As mentioned, the availability of such methodological protocol is expected to improve the operators’ ability to identify fetuses at risk or suspected for fetal anomalies, optimize the referral process and implement the detection of fetal structural abnormalities in the first trimester.
-
Research funding: None declared.
-
Author contributions: All authors have accepted responsibility for the entire content of this manuscript and approved its submission.
-
Competing interests: Authors state no conflict of interest.
-
Informed consent: Not applicable.
-
Ethical approval: Not applicable.
References
1. Nicolaides, KH. Screening for fetal aneuploidies at 11 to 13 weeks. Prenat Diagn 2011;31:7–15. https://doi.org/10.1002/pd.2637.Search in Google Scholar PubMed
2. Pandya, PP, Altman, DG, Brizot, ML, Pettersen, H, Nicolaides, KH. Repeatability of measurement of fetal nuchal translucency thickness. Ultrasound Obstet Gynecol 1995;5:334–7. https://doi.org/10.1046/j.1469-0705.1995.05050334.x.Search in Google Scholar PubMed
3. Santorum, M, Wright, D, Syngelaki, A, Karagioti, N, Nicolaides, KH. Accuracy of first-trimester combined test in screening for trisomies 21, 18 and 13. Ultrasound Obstet Gynecol 2017;49:714–20. https://doi.org/10.1002/uog.17283.Search in Google Scholar PubMed
4. Souka, AP, von Kaisenberg, CS, Hyett, JA, Sonek, JD, Nicolaides, KH. Increased nuchal translucency with normal karyotype. Am J Obstet Gynecol 2005:1005–21. https://doi.org/10.1016/j.ajog.2004.12.093.Search in Google Scholar PubMed
5. Syngelaki, A, Hammami, A, Bower, S, Zidere, V, Akolekar, R, Nicolaides, KH. Diagnosis of fetal non-chromosomal abnormalities on routine ultrasound examination at 11–13 weeks’ gestation. Ultrasound Obstet Gynecol 2019;54:468–76. https://doi.org/10.1002/uog.20844.Search in Google Scholar PubMed
6. Clur, SA, Ottenkamp, J, Bilardo, CM. The nuchal translucency and the fetal heart: a literature review. Prenat Diagn 2009;29:739–48. https://doi.org/10.1002/pd.2281.Search in Google Scholar PubMed
7. Atzei, A, Gajewska, K, Huggon, IC, Allan, L, Nicolaides, KH. Relationship between nuchal translucency thickness and prevalence of major cardiac defects in fetuses with normal karyotype. Ultrasound Obstet Gynecol 2005;26:154–7. https://doi.org/10.1002/uog.1936.Search in Google Scholar PubMed
8. Volpe, P, Ubaldo, P, Volpe, N, Campobasso, G, Robertis, Vde, Tempesta, A, et al.. Fetal cardiac evaluation at 11–14 weeks by experienced obstetricians in a low-risk population. Prenat Diagn 2011;31:1054–61. https://doi.org/10.1002/pd.2831.Search in Google Scholar PubMed
9. Vayna, AM, Veduta, A, Duta, S, Panaitescu, AM, Stoica, S, Buinoiu, N, et al.. Diagnosis of fetal structural anomalies at 11 to 14 weeks. J Ultrasound Med 2018;37:2063–73. https://doi.org/10.1002/jum.14561.Search in Google Scholar PubMed
10. Bardi, F, Smith, E, Kuilman, M, Snijders, RJM, Bilardo, CM. Early detection of structural anomalies in a primary care setting in The Netherlands. Fetal Diagn Ther 2019;46:12–9. https://doi.org/10.1159/000490723.Search in Google Scholar PubMed PubMed Central
11. Rayburn, WF, Jolley, JA, Simpson, LL. Advances in ultrasound imaging for congenital malformations during early gestation. Birth Defects Res A – Clin Mol Teratol 2015;103:260–8. https://doi.org/10.1002/bdra.23353.Search in Google Scholar PubMed PubMed Central
12. Rossi, AC, Prefumo, F. Accuracy of ultrasonography at 11-14 weeks of gestation for detection of fetal structural anomalies: a systematic review. Obstet Gynecol 2013;122:1160–7. https://doi.org/10.1097/aog.0000000000000015.Search in Google Scholar PubMed
13. Grande, M, Arigita, M, Borobio, V, Jimenez, JM, Fernandez, S, Borrell, A. First-trimester detection of structural abnormalities and the role of aneuploidy markers. Ultrasound Obstet Gynecol 2012;39:157–63. https://doi.org/10.1002/uog.10070.Search in Google Scholar PubMed
14. Anderson, N, Boswell, O, Duff, G. Prenatal sonography for the detection of fetal anomalies: results of a prospective study and comparison with prior series. Am J Roentgenol 1995;165:934–50. https://doi.org/10.2214/ajr.165.4.7676997.Search in Google Scholar PubMed
15. Iliescu, D, Tudorache, S, Comanescu, A, Antsaklis, P, Cotarcea, S, Novac, L, et al.. Improved detection rate of structural abnormalities in the first trimester using an extended examination protocol. Ultrasound Obstet Gynecol 2013;42:300–9. https://doi.org/10.1002/uog.12489.Search in Google Scholar PubMed
16. Syngelaki, A, Chelemen, T, Dagklis, T, Allan, L, Nicolaides, KH. Challenges in the diagnosis of fetal non-chromosomal abnormalities at 11–13 weeks. Prenat Diagn 2011;31:90–102. https://doi.org/10.1002/pd.2642.Search in Google Scholar PubMed
17. Kenkhuis, MJA, Bakker, M, Bardi, F, Fontanella, F, Bakker, MK, Fleurke-Rozema, JH, et al.. Effectiveness of 12–13-week scan for early diagnosis of fetal congenital anomalies in the cell-free DNA era. Ultrasound Obstet Gynecol 2018;51:463–8. https://doi.org/10.1002/uog.17487.Search in Google Scholar PubMed
18. Karim, JN, Roberts, NW, Salomon, LJ, Papageorghiou, AT. Systematic review of first-trimester ultrasound screening for detection of fetal structural anomalies and factors that affect screening performance. Ultrasound Obstet Gynecol 2017;50:429–41. https://doi.org/10.1002/uog.17246.Search in Google Scholar PubMed
19. Carvalho, MHB, Brizot, ML, Lopes, LM, Chiba, CH, Miyadahira, S, Zugaib, M. Detection of fetal structural abnormalities at the 11–14 week ultrasound scan. Prenat Diagn 2002;22:1–4. https://doi.org/10.1002/pd.200.Search in Google Scholar PubMed
20. Drysdale, K, Ridley, D, Walker, K, Higgins, B, Dean, T. First-trimester pregnancy scanning as a screening tool for high-risk and abnormal pregnancies in a district, general hospital setting. J Obstet Gynaecol 2002;22:159–65. https://doi.org/10.1080/01443610120113300.Search in Google Scholar PubMed
21. Cedergren, M, Selbing, A. Detection of fetal structural abnormalities by an 11–14-week ultrasound dating scan in an unselected Swedish population. Acta Obstet Gynecol Scand 2006;85:912–5. https://doi.org/10.1080/00016340500448438.Search in Google Scholar
22. Hernádi, L, Töröcsik, M. Screening for fetal nomalies in the 12th week of pregnancy by transvaginal sonography in an unselected population. Prenat Diagn 1997;17:753–9.10.1002/(SICI)1097-0223(199708)17:8<753::AID-PD148>3.0.CO;2-PSearch in Google Scholar
23. den Hollander, NS, Wessels, MW, Niermeijer, MF, Los, FJ, Wladimiroff, JW. Early fetal anomaly scanning in a population at increased risk of abnormalities. Ultrasound Obstet Gynecol 2002;19:570–4. https://doi.org/10.1046/j.1469-0705.2002.00649.x.Search in Google Scholar
24. Taipale, P, Ämmälä, M, Salonen, R, Hiilesmaa, V. Learning curve in ultrasonographic screening for selected fetal structural anomalies in early pregnancy. Obstet Gynecol 2003;101:273–8. https://doi.org/10.1097/00006250-200302000-00013.Search in Google Scholar
25. Saltvedt, S, Almström, H, Kublickas, M, Valentin, L, Grunewald, C. Detection of malformations in chromosomally normal fetuses by routine ultrasound at 12 or 18 weeks of gestation – a randomised controlled trial in 39 572 pregnancies. BJOG An Int J Obstet Gynaecol 2006;113:664–74. https://doi.org/10.1111/j.1471-0528.2006.00953.x.Search in Google Scholar
26. Whitlow, BJ, Chatzipapas, IK, Lazanakis, ML, Kadir, RA, Economides, DL. The value of sonography in early pregnancy for the detection of fetal abnormalities in an unselected population. BJOG An Int J Obstet Gynaecol 1999;106:929–36. https://doi.org/10.1111/j.1471-0528.1999.tb08432.x.Search in Google Scholar
27. Chen, M, Lam, YH, Lee, CP, Tang, MHY. Ultrasound screening of fetal structural abnormalities at 12 to 14 weeks in Hong Kong. Prenat Diagn 2004;24:92–7. https://doi.org/10.1002/pd.798.Search in Google Scholar
28. Souka, AP, Pilalis, A, Kavalakis, I, Antsaklis, P, Papantoniou, N, Mesogitis, S, et al.. Screening for major structural abnormalities at the 11- to 14-week ultrasound scan. Am J Obstet Gynecol 2006;194:393–6. https://doi.org/10.1016/j.ajog.2005.08.032.Search in Google Scholar
29. Dane, B, Dane, C, Sivri, D, Kiray, M, Cetin, A, Yayla, M. Ultrasound screening for fetal major abnormalities at 11–14 weeks. Acta Obstet Gynecol Scand 2007;86:666–70. https://doi.org/10.1080/00016340701253405.Search in Google Scholar
30. Chen, M, Lee, CP, Lam, YH, Tang, RYK, Chan, BCP, Wong, SF, et al.. Comparison of nuchal and detailed morphology ultrasound examinations in early pregnancy for fetal structural abnormality screening: a randomized controlled trial. Ultrasound Obstet Gynecol 2008;31:136–46. https://doi.org/10.1002/uog.5232.Search in Google Scholar
31. Pilalis, A, Basagiannis, C, Eleftheriades, M, Faros, E, Troukis, E, Armelidou, E, et al.. Evaluation of a two-step ultrasound examination protocol for the detection of major fetal structural defects. J Matern Fetal Neonatal Med 2012;25:1814–7. https://doi.org/10.3109/14767058.2012.664199.Search in Google Scholar PubMed
32. Petousis, S, Sotiriadis, A, Margioula-Siarkou, C, Tsakiridis, I, Christidis, P, Kyriakakis, M, et al.. Detection of structural abnormalities in fetuses with normal karyotype at 11–13 weeks using the anatomic examination protocol of the International Society of Ultrasound in Obstetrics and Gynecology (ISUOG). J Matern Fetal Neonatal Med 2020;33:2581–7. https://doi.org/10.1080/14767058.2018.1555807.Search in Google Scholar PubMed
33. Pereira, S, Ganapathy, R, Syngelaki, A, Maiz, N, Nicolaides, KH. Contribution of fetal tricuspid regurgitation in first-trimester screening for major cardiac defects. Obstet Gynecol 2011;117:1384–91. https://doi.org/10.1097/aog.0b013e31821aa720.Search in Google Scholar PubMed
34. Chaoui, R, Nicolaides, KH. From nuchal translucency to intracranial translucency: towards the early detection of spina bifida. Ultrasound Obstet Gynecol 2010;35:133–8. https://doi.org/10.1002/uog.7552.Search in Google Scholar PubMed
35. Chaoui, R, Nicolaides, KH. Detecting open spina bifida at the 11–13-week scan by assessing intracranial translucency and the posterior brain region: mid-sagittal or axial plane? Ultrasound Obstet Gynecol 2011;38:609–12. https://doi.org/10.1002/uog.10128.Search in Google Scholar PubMed
36. Lachmann, R, Chaoui, R, Moratalla, J, Picciarelli, G, Nicolaides, KH. Posterior brain in fetuses with open spina bifida at 11 to 13 weeks. Prenat Diagn 2011;31:103–6. https://doi.org/10.1002/pd.2632.Search in Google Scholar PubMed
37. Chaoui, R, Benoit, B, Mitkowska-Wozniak, H, Heling, KS, Nicolaides, KH. Assessment of intracranial translucency (IT) in the detection of spina bifida at the 11–13-week scan. Ultrasound Obstet Gynecol 2009;34:249–52. https://doi.org/10.1002/uog.7329.Search in Google Scholar PubMed
38. Lachmann, R, Sinkovskaya, E, Abuhamad, A. Posterior brain in fetuses with Dandy-Walker malformation with complete agenesis of the cerebellar vermis at 11–13 weeks: a pilot study. Prenat Diagn 2012;32:765–9. https://doi.org/10.1002/pd.3899.Search in Google Scholar PubMed
39. Wertaschnigg, D, Ramkrishna, J, Ganesan, S, Tse, C, Scheier, M, Volpe, N, et al.. Cranial sonographic markers of fetal open spina bifida at 11 to 13 weeks of gestation. Prenat Diagn 2020;40:365–72. https://doi.org/10.1002/pd.5614.Search in Google Scholar PubMed
40. Volpe, P, Persico, N, Fanelli, T, de Robertis, V, D’Alessandro, J, Boito, S, et al.. Prospective detection and differential diagnosis of cystic posterior fossa anomalies by assessing posterior brain at 11–14 weeks. Am J Obstet Gynecol MFM 2019;1:173–81. https://doi.org/10.1016/j.ajogmf.2019.06.004.Search in Google Scholar PubMed
41. Volpe, P, Contro, E, Fanelli, T, Muto, B, Pilu, G, Gentile, M. Appearance of fetal posterior fossa at 11–14 weeks in fetuses with Dandy-Walker malformation or chromosomal anomalies. Ultrasound Obstet Gynecol 2016;47:720–5. https://doi.org/10.1002/uog.14883.Search in Google Scholar PubMed
42. Volpe, N, Dall’Asta, A, di Pasquo, E, Frusca, T, Ghi, T. First-trimester fetal neurosonography: technique and diagnostic potential. Ultrasound Obstet Gynecol 2021;57:2004–14. https://doi.org/10.1002/uog.23149.Search in Google Scholar PubMed
43. Volpe, P, Muto, B, Passamonti, U, Rembouskos, G, de Robertis, V, Campobasso, G, et al.. Abnormal sonographic appearance of posterior brain at 11–14 weeks and fetal outcome. Prenat Diagn 2015;35:717–23. https://doi.org/10.1002/pd.4598.Search in Google Scholar PubMed
44. Volpe, P, de Robertis, V, Volpe, G, Boito, S, Fanelli, T, Olivieri, C, et al.. Position of the choroid plexus of the fourth ventricle in first- and second-trimester fetuses: a novel approach to early diagnosis of cystic posterior fossa anomalies. Ultrasound Obstet Gynecol 2021;58:568–75. https://doi.org/10.1002/uog.23651.Search in Google Scholar PubMed
45. Liao, Y, Wen, H, Ouyang, S, Yuan, Y, Bi, J, Guan, Y, et al.. Routine first-trimester ultrasound screening using a standardized anatomical protocol. Am J Obstet Gynecol 2021;224:396.e1–396.e15. https://doi.org/10.1016/j.ajog.2020.10.037.Search in Google Scholar PubMed
46. Bromley, B, Henningsen, C, Jones, DC, Timor-Tritsch, I, Simpson, LL, Thiel, L, et al.. AIUM practice parameter for the performance of detailed diagnostic obstetric ultrasound examinations between 12 Weeks 0 Days and 13 Weeks 6 days. J Ultrasound Med 2021;40:E1–16. https://doi.org/10.1002/jum.15477.Search in Google Scholar PubMed
47. Salomon, LJ, Alfirevic, Z, Bilardo, CM, Chalouhi, GE, Ghi, T, Kagan, KO, et al.. ISUOG practice guidelines: performance of first-trimester fetal ultrasound scan. Ultrasound Obstet Gynecol 2013;41:102–13. https://doi.org/10.1002/uog.12342.Search in Google Scholar PubMed
48. Taipale, P, Ämmälä, M, Salonen, R, Hillesmaa, V. Two-stage ultrasonography in screening for fetal anomalies at 13-14 and 18-22 weeks of gestation. Acta Obstet Gynecol Scand 2004;83:1141–6. https://doi.org/10.1111/j.0001-6349.2004.00453.x.Search in Google Scholar PubMed
49. McAuliffe, FM, Fong, KW, Toi, A, Chitayat, D, Keating, S, Johnson, JA. Ultrasound detection of fetal anomalies in conjunction with first-trimester nuchal translucency screening: a feasibility study. Am J Obstet Gynecol 2005;193:1260–5. https://doi.org/10.1016/j.ajog.2005.06.075.Search in Google Scholar PubMed
50. von Kaisenberg, CS, Kuhling-Von Kaisenberg, H, Fritzer, E, Schemm, S, Meinhold-Heerlein, I, Jonat, W. Fetal transabdominal anatomy scanning using standard views at 11 to 14 weeks’ gestation. Am J Obstet Gynecol 2005;192:535–42. https://doi.org/10.1016/j.ajog.2004.08.034.Search in Google Scholar PubMed
51. Fong, KW, Toi, A, Salem, S, Hornberger, LK, Chitayat, D, Keating, SJ, et al.. Detection of fetal structural abnormalities with US during early pregnancy. Radiographics 2004;24:157–74. https://doi.org/10.1148/rg.241035027.Search in Google Scholar PubMed
52. Pellerito, J, Bromley, B, Allison, S, Chauhan, A, Destounis, S, Dickman, E, et al.. AIUM-ACR-ACOG-SMFM-SRU practice parameter for the performance of standard diagnostic obstetric ultrasound examinations. J Ultrasound Med 2018;37:E13-24. https://doi.org/10.1002/jum.14831.Search in Google Scholar PubMed
53. Minnella, GP, Crupano, FM, Syngelaki, A, Zidere, V, Akolekar, R, Nicolaides, KH. Diagnosis of major heart defects by routine first-trimester ultrasound examination: association with increased nuchal translucency, tricuspid regurgitation and abnormal flow in ductus venosus. Ultrasound Obstet Gynecol 2020;55:637–44. https://doi.org/10.1002/uog.21956.Search in Google Scholar PubMed
54. Turan, S, Turan, OM, Ty-Torredes, K, Harman, CR, Baschat, AA. Standardization of the first-trimester fetal cardiac examination using spatiotemporal image correlation with tomographic ultrasound and color Doppler imaging. Ultrasound Obstet Gynecol 2009;33:652–6. https://doi.org/10.1002/uog.6372.Search in Google Scholar PubMed
55. Malinger, G, Paladini, D, Haratz, KK, Monteagudo, A, Pilu, GL, Timor-Tritsch, IE. ISUOG practice guidelines (updated): sonographic examination of the fetal central nervous system. Part 1: performance of screening examination and indications for targeted neurosonography. Ultrasound Obstet Gynecol 2020;56:476–84. https://doi.org/10.1002/uog.22145.Search in Google Scholar PubMed
56. Paladini, D, Malinger, G, Birnbaum, R, Monteagudo, A, Pilu, G, Salomon, LJ, et al.. ISUOG practice guidelines (updated): sonographic examination of the fetal central nervous system. Part 2: performance of targeted neurosonography. Ultrasound Obstet Gynecol 2021;57:661–71. https://doi.org/10.1002/uog.23616.Search in Google Scholar PubMed
57. Roberts, LS, Bewley, S, Mackinson, A-M, Rodeck, CH. First trimester fetal nuchal translucency: problems with screening the general population 1 & 2. BJOG An Int J Obstet Gynaecol 1995;102:381–5. https://doi.org/10.1111/j.1471-0528.1995.tb11289.x.Search in Google Scholar PubMed
58. Braithwaite, JM, Armstrong, MA, Economides, DL. Assessment of fetal anatomy at 12 to 13 weeks of gestation by transabdominal and transvaginal sonography. BJOG An Int J Obstet Gynaecol 1996;103:82–5. https://doi.org/10.1111/j.1471-0528.1996.tb09520.x.Search in Google Scholar PubMed
59. Whitlow, BJ, Economides, DL. The optimal gestational age to examine fetal anatomy and measure nuchal translucency in the first trimester. Ultrasound Obstet Gynecol 1998;11:258–61. https://doi.org/10.1046/j.1469-0705.1998.11040258.x.Search in Google Scholar PubMed
60. Platt, LD. Should the first trimester ultrasound include anatomy survey? Semin Perinatol 2013;37:310–22. https://doi.org/10.1053/j.semperi.2013.06.007.Search in Google Scholar PubMed
61. Mulvey, S, Baker, L, Edwards, A, Oldham, J, Shekleton, P, Wallace, EM. Optimising the timing for nuchal translucency measurement. Prenat Diagn 2002;22:775–7. https://doi.org/10.1002/pd.406.Search in Google Scholar PubMed
62. Sepulveda, W, Wong, AE. First trimester screening for holoprosencephaly with choroid plexus morphology (“butterfly” sign) and biparietal diameter. Prenat Diagn 2013;13:1233–7. https://doi.org/10.1002/pd.4235.Search in Google Scholar PubMed
63. Loureiro, T, Ushakov, F, Maiz, N, Montenegro, N, Nicolaides, KH. Lateral ventricles in fetuses with aneuploidies at 11-13 weeks’ gestation. Ultrasound Obstet Gynecol 2012;40:282–7. https://doi.org/10.1002/uog.11197.Search in Google Scholar PubMed
64. Manegold-Brauer, G, Oseledchyk, A, Floeck, A, Berg, C, Gembruch, U, Geipel, A. Approach to the sonographic evaluation of fetal ventriculomegaly at 11 to 14 weeks gestation. BMC Pregnancy Childbirth [Internet] 2016;16:1–8. https://doi.org/10.1186/s12884-016-0797-z.Search in Google Scholar PubMed PubMed Central
65. Sepulveda, W, Wong, AE, Martinez-Ten, P, Perez-Pedregosa, J. Retronasal triangle: a sonographic landmark for the screening of cleft palate in the first trimester. Ultrasound Obstet Gynecol 2010;35:7–13. https://doi.org/10.1002/uog.7484.Search in Google Scholar PubMed
66. Liao, AW, Sebire, NJ, Geerts, L, Cicero, S, Nicolaides, KH. Megacystis at 10–14 weeks of gestation: chromosomal defects and outcome according to bladder length. Ultrasound Obstet Gynecol 2003;21:338–41. https://doi.org/10.1002/uog.81.Search in Google Scholar PubMed
© 2022 Walter de Gruyter GmbH, Berlin/Boston
Articles in the same Issue
- Frontmatter
- Review
- Neonatal and child mortality – are they different in developing and developed countries?
- WAPM Guideline
- First trimester examination of fetal anatomy: clinical practice guideline by the World Association of Perinatal Medicine (WAPM) and the Perinatal Medicine Foundation (PMF)
- Original Articles – Obstetrics
- Symptoms of maternal psychological distress during pregnancy: sex-specific effects for neonatal morbidity
- Efficacy of the lactate dehydrogenase (LDH)/lymphocyte ratio (LLR) to reduce the need for X-ray in pregnant patients with COVID-19
- Attitude of pregnant and lactating women toward COVID-19 vaccination in Jordan: a cross-sectional study
- Association between maternal thyroid function and risk of gestational hypertension and preeclampsia
- Evaluation of umbilical cord immune cells in pregnancies with autoimmune disorders and/or methylenetetrahydrofolate reductase polymorphisms
- The association between induction of labour in nulliparous women at term and subsequent spontaneous preterm birth: a retrospective cohort study
- Transvaginally surgically treatment of early postpartum hemorrhage caused by lower uterine segment atony
- Value of soluble fms-like tyrosine kinase-1/placental growth factor test in third trimester of pregnancy for predicting preeclampsia in asymptomatic women
- Fetal growth regulation via insulin-like growth factor axis in normal and diabetic pregnancy
- Intrapartum cardiotocography in pregnancies with and without fetal CHD
- Racial and ethnic representation in 17-hydroxyprogesterone caproate preterm birth prevention studies: a systematic review
- Original Articles – Fetus
- Improved method for revising the Israel birthweight references
- A single center experience in 90 cases with nonimmune hydrops fetalis: diagnostic categories ‒ mostly aneuploidy and still often idiopathic
- Original Articles – Neonates
- Diagnosis of congenital infections in premature, low-birthweight newborns with intrauterine growth restriction caused by cytomegalovirus (CMV), herpes simplex virus (HSV), Parvo-B 19, and Zika virus: a systematic review
- The impact of COVID-19 on smoking cessation in pregnancy
- Letter to the Editor
- Early placenta previa percreta and treatment with supracervical abortion hysterectomy
Articles in the same Issue
- Frontmatter
- Review
- Neonatal and child mortality – are they different in developing and developed countries?
- WAPM Guideline
- First trimester examination of fetal anatomy: clinical practice guideline by the World Association of Perinatal Medicine (WAPM) and the Perinatal Medicine Foundation (PMF)
- Original Articles – Obstetrics
- Symptoms of maternal psychological distress during pregnancy: sex-specific effects for neonatal morbidity
- Efficacy of the lactate dehydrogenase (LDH)/lymphocyte ratio (LLR) to reduce the need for X-ray in pregnant patients with COVID-19
- Attitude of pregnant and lactating women toward COVID-19 vaccination in Jordan: a cross-sectional study
- Association between maternal thyroid function and risk of gestational hypertension and preeclampsia
- Evaluation of umbilical cord immune cells in pregnancies with autoimmune disorders and/or methylenetetrahydrofolate reductase polymorphisms
- The association between induction of labour in nulliparous women at term and subsequent spontaneous preterm birth: a retrospective cohort study
- Transvaginally surgically treatment of early postpartum hemorrhage caused by lower uterine segment atony
- Value of soluble fms-like tyrosine kinase-1/placental growth factor test in third trimester of pregnancy for predicting preeclampsia in asymptomatic women
- Fetal growth regulation via insulin-like growth factor axis in normal and diabetic pregnancy
- Intrapartum cardiotocography in pregnancies with and without fetal CHD
- Racial and ethnic representation in 17-hydroxyprogesterone caproate preterm birth prevention studies: a systematic review
- Original Articles – Fetus
- Improved method for revising the Israel birthweight references
- A single center experience in 90 cases with nonimmune hydrops fetalis: diagnostic categories ‒ mostly aneuploidy and still often idiopathic
- Original Articles – Neonates
- Diagnosis of congenital infections in premature, low-birthweight newborns with intrauterine growth restriction caused by cytomegalovirus (CMV), herpes simplex virus (HSV), Parvo-B 19, and Zika virus: a systematic review
- The impact of COVID-19 on smoking cessation in pregnancy
- Letter to the Editor
- Early placenta previa percreta and treatment with supracervical abortion hysterectomy