Abstract
Delayed postpartum hemorrhage, defined as bleeding following delivery up to 6 weeks postpartum, is a risk following cesarean or vaginal delivery. Episodes most commonly occur between 8 and 14 days postpartum. Here, we present a case of a 24-year-old woman presenting with delayed postpartum hemorrhage 14 days after delivery, which later proved to be caused by left uterine artery hemorrhage. The hemorrhage was refractory to local treatment and required invasive measures to prevent hypotensive shock. In lieu of a hysterectomy, a unilateral uterine artery embolization (UAE) was performed to preserve fertility in this 24-year-old patient. Three-dimensional power Doppler ultrasonography was performed 3 weeks after UAE to assess the volume and vascularity of the pelvic structures. This case illustrates a viable intervention for women with postpartum hemorrhage who desire to preserve future fertility, as well as a method to detect structural and vascular changes after the treatment to evaluate their future fertility prospects.
Introduction
We present a case of a unilateral uterine artery embolization (UAE) in a 24-year-old woman for the treatment of delayed postpartum hemorrhage (PPH) refractory to local treatment. Color and pulsed Doppler ultrasound (US) and three-dimensional (3-D) power Doppler US were performed to assess the structural and circulatory changes of the uterus and ovaries. Follow-up with 3-D power Doppler post UAE may provide a viable option to assess future fertility prospects at a much earlier date than previously documented.
Presentation of the case
With an incidence of 3–5%, delayed PPH, often due to uterine atony, retained products of conception, or coagulopathy, is a significant cause of maternal morbidity [7]. We describe a case of PPH due to left uterine artery hemorrhage in a 24-year-old G1P1 who presented on postpartum day 14 with vaginal bleeding. Two weeks previously at an outside institution, she had undergone an uncomplicated primary low transverse cesarean delivery for failure to dilate and non-reassuring fetal heart tones. Hemoglobin (Hb) and hematocrit (HCT) were evaluated when she precipitously became tachycardic, hypotensive, dizzy, and pale and was passing large clots after initially having Hb 6.9 mmol/L (11.1 g/dL) and HCT 33.1%. She was admitted 6 h after presentation with Hb and HCT of 4.0 mmol/L (6.5 g/dL) and 19%, respectively.
On pelvic examination there was a large amount of blood and clots, with palpation of a 20-week-size uterus. A previous US showed a distended uterine cavity with fluid, but no evidence of retained products of conception. Retained products of conception were still suspected, so she was taken for an emergent dilatation and curettage. She was given 2 units of packed red blood cells (RBCs), hemabate, and 900 μg of misoprostol per rectum before being taken to the operating room. There the cervix was found to be dilated and the uterus boggy. Suction curettage was performed, and several blood clots and tissue fragments were removed and sent to pathology. Sharp curettage followed, but she continued to bleed. An intrauterine balloon (Bakri balloon) was inserted and filled with 525 mL of normal saline and a vaginal pack placed. When no bleeding was noted on the pack after 15 min of tamponade, she was transferred to the recovery room. She was transfused with fresh frozen plasma (FFP) and transferred to the intensive care unit. There the patient again became tachycardic, hypotensive, and was noted to again be hemorrhaging. She received 4 units of packed red blood cells, a 10 pack of platelets, FFP, cryoprecipitate, and factor VIIa (150 µg/kg), but Hb increased from 3.7 mmol/L (6 g/dL) to only 4.8 mmol/L (7.7 g/dL). As the 24-year-old patient desired future fertility, interventional radiology was consulted for UAE in lieu of hysterectomy. Pelvic angiography demonstrated an active arterial extravasation arising from the left uterine artery, which appeared to be vasospastic. The angiogram of the right internal iliac artery showed no extravasation arising from the right uterine artery, which appeared normal in caliber and appearance. A unilateral embolization of the left uterine artery using 5 microcoils (3–4 mm in diameter) followed by gelfoam was performed. No opacification of that vessel was seen on postembolization images and contrast refluxed back into the posterior division of the left internal iliac artery. On postoperative day (POD) 2, she was transferred to the floor where she remained stable with no further complications. Upon discharge, Hb and HCT on POD3 were 5.5 mmol/L (8.9 g/dL) and 26.1%, respectively.
Two weeks after UAE, pelvic exam showed no vaginal bleeding and normal uterine size. A novel approach was used to evaluate her pelvic structures and assess the circulatory changes of the uterus and ovaries. Transvaginal US was performed using an electronic 5–7.5 MHz transducer with color, power, pulsed Doppler, and 3-D facilities (Voluson 730 Pro-system; GE Medical Systems, Milwaukee, MI, USA). The morphology of the uterus and the ovaries was evaluated by B-mode US, while color and power Doppler flow was superimposed to detect the uterine and ovarian circulation. The equipment was set to achieve the maximum sensitivity so as to detect the low-velocity flow with least noise [frequency 5 MHz, power Doppler gain 20 (range 1–30), dynamic range 20–40 dB, edge 1, persistence 2, color map 1, gate 2, filter 3, and pulsed repetition frequency 0.6 kHz]. Three-dimensional power Doppler examination took approximately 20–25 min [5].
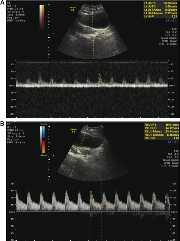
On 2-D and 3-D transvaginal US 3 weeks after UAE, the right ovary, contralateral to UAE, showed a volume of 8.2 cm3, while the left ovary showed a volume of 4.2 cm3. Three-dimensional US demonstrated an arcuate uterus in the coronal plane (Figure 1) with hyperechogenic bands within the endometrium, suggestive of intrauterine adhesions. Pulsed Doppler waveform signals from the untreated right uterine artery showed a pulsatility index (PI) of 1.08 and a resistive index (RI) of 0.63 (Figure 2A). The pulsed Doppler waveform signals from the treated left uterine artery showed a PI of 2.28 and RI of 0.78 (Figure 2B).

A multiplanar view by 3-D US demonstrating an arcuate uterus in the coronal plane (indicated by arrow).

Pulsed Doppler waveform signals obtained from the left uterine artery demonstrated a PI of 2.28 (A). Pulsed Doppler waveform signals obtained from the right uterine artery demonstrated a PI of 1.08 (B).
Discussion
Initial management for delayed PPH includes aggressive volume resuscitation, conservative techniques such as an intrauterine catheter (Bakri balloon), and uterine artery ligation. Hysterectomy is the definitive treatment for PPH. An alternative is pelvic angiography for UAE. Several reviews, case reports, and series have shown UAE to be a viable method for controlling bleeding in PPH [1, 9, 10], with success rates ranging from 86% [9] to 98% [10]. In the case we discuss here, a 24-year-old patient was spared a hysterectomy by employing a unilateral UAE.
Although several studies have been published exploring this topic, there is no solid consensus on the subsequent fertility of a patient following UAE for PPH. Some studies have cited good fertility outcomes [1, 8] with up to 100% pregnancy rates in those who wish to conceive following UAE [1]. Other studies have identified issues with fertility following UAE [1–3], with as low as 62% pregnancy rate in one study [1]. Horng et al. [3] showed that 100% of women who underwent UAE for PPH had regular menstruation. Seventy-five percent of attempted pregnancies in this group were successful after a median follow-up of 82 months. Studies have reported, however, an increased incidence of hypomenorrhea [3] and complications to subsequent pregnancies after UAE, including, most frequently, recurrent PPH, synechia, and rare fetal growth restriction [1]. UAE is effective in treating PPH and may preserve fertility; however, there may be postprocedural effects on fertility and/or the ability to deliver future pregnancies. The importance of these effects is unclear, and with no current method of evaluating future fertility, many women are left to wonder if they will be able to become pregnant again.
In our patient, 3-D US detected thickening of the midline fundal myometrium and fundal cavity indentation. Irregular shape of the uterine cavity and normal outer fundal contour were consistent with arcuate uterus. This finding may explain the obstetric complication. Discrete hyperechogenic bands were suggestive of intrauterine adhesions [6].
The ensuing follow-up by color Doppler and 3-D power Doppler US can assess revascularization following UAE. Previous studies have recorded Doppler sonography of the uterine arteries post embolization showing normal revascularized uterine arteries [1]; however, these patients were already pregnant, rendering the predictive value of these studies meaningless. On the basis of the color and pulsed Doppler assessment at the 3 weeks follow-up, the left, embolized uterine artery showed decreased flow with increased PI and RI compared with the untreated right uterine artery. It is expected that formation and propagation of collaterals will further improve uterine blood flow, leading to restoration of fertility. UAE is a viable intervention for PPH in women who desire to preserve future fertility, while pulsed and 3-D power Doppler is a non-invasive tool for detecting causes of obstetric complications, evaluating structural and circulatory changes before and after UAE, and evaluating patients’ future fertility prospects [4].
References
[1] Berkane N, Moutafoff-Borie C. Impact of previous uterine artery embolization on fertility. Curr Opin Obstet Gynecol. 2010;22:242–7.10.1097/GCO.0b013e328338c179Search in Google Scholar PubMed
[2] Hardeman S, Decroisette E, Marin B, Vincelot A, Aubard Y, Pouquet M, et al. Fertility after embolization of the uterine arteries to treat obstetrical hemorrhage: a review of 23 cases. Fertil Steril. 2010;7:2574–9.10.1016/j.fertnstert.2010.02.052Search in Google Scholar PubMed
[3] Horng H, Hu W, Tseng H, Chang W, Chao K, Yang M. Uterine arterial embolization in the management of severe, post-partum hemorrhage: a successful rescue method to avoid peripartum hysterectomy. J Chin Med Assoc. 2011;6:255–8.10.1016/j.jcma.2011.04.004Search in Google Scholar PubMed
[4] Kupesic S, Kurjak A. Predictors of IVF outcome by three-dimensional ultrasound. Hum Reprod. 2002;17:950–5.10.1093/humrep/17.4.950Search in Google Scholar PubMed
[5] Kupesic S, Bekavac I, Bjelos D, Kurjak A. Assessment of endometrial receptivity by transvaginal color Doppler and three-dimensional power Doppler ultrasonography in patients undergoing in vitro fertilization procedures. J Ultrasound Med. 2001;20:125–34.10.7863/jum.2001.20.2.125Search in Google Scholar PubMed
[6] Kupesic S, Kurjak A, Skenderovic S, Bjelos D. Screening for uterine abnormalities by 3D ultrasound improves perinatal outcome. J Perinat Med. 2002;30:9–17.10.1515/JPM.2002.002Search in Google Scholar PubMed
[7] Pelage P, Dref O, Mateo J, Soyer P, Jacob D, Kardache M. Life threatening primary postpartum hemorrhage: treatment with emergency selective arterial embolisation. Radiology. 1998;208:359–62.10.1148/radiology.208.2.9680559Search in Google Scholar PubMed
[8] Sentilhes L, Gromez A, Clavier E, Resch B, Verspyck E, Marpeau L. Fertility and pregnancy following pelvic arterial embolisation for postpartum haemorrhage. Br J Obstet Gynaecol. 2010;117:84–93.10.1111/j.1471-0528.2009.02381.xSearch in Google Scholar PubMed
[9] Shim J, Yoon H, Won H, Kim S, Lee P, Kim A. Angiographic embolization for obstetrical hemorrhage: effectiveness and follow-up outcome of fertility. Acta Obstet Gynecol. 2006;85:815–20.10.1080/00016340500438652Search in Google Scholar PubMed
[10] Suvranu G, Stecker MS, Pyne D, Baum RA, Fan CM. Uterine artery embolization in the treatment of postpartum uterine hemorrhage. J Vasc Interv Radiol. 2011;2:169–76.10.1016/j.jvir.2010.09.031Search in Google Scholar
-
The authors stated that there are no conflicts of interest regarding the publication of this article.
©2012 by Walter de Gruyter Berlin Boston
Articles in the same Issue
- Masthead
- Masthead
- Editorial
- Editorial
- Case reports – Obstetrics
- Sonographic presentations of uterine rupture following vaginal birth after cesarean – report of two cases 12 h apart
- Prenatal diagnosis of thrombocytopenia-absent radius syndrome
- Cervico-isthmic pregnancy with cervical placenta accreta
- Prelabor uterine rupture and extrusion of fetus with intact amniotic membranes: a case report
- Hyperreactio luteinalis in a spontaneously conceived pregnancy associated with polycystic ovarian syndrome and high levels of human chorionic gonadotropin
- Should clinicians advise terminating a pregnancy following the diagnosis of a serious fetal cardiac abnormality?
- Absence of hemolytic disease of fetus and newborn (HDFN) in a pregnancy with anti-Yka (York) red cell antibody
- Congenital midgut malrotation causing intestinal obstruction in midpregnancy managed by prolonged total parenteral nutrition: case report and review of the literature
- Skin popping scars – a telltale sign of past and present subcutaneous drug abuse
- Botulinum toxin for the treatment of achalasia in pregnancy
- Thrombotic stroke in association with ovarian hyperstimulation and early pregnancy rescued by thrombectomy
- Normal pregnancy outcome in a woman with chronic myeloid leukemia and epilepsy: a case report and review of the literature
- Three-dimensional power Doppler assessment of pelvic structures after unilateral uterine artery embolization for postpartum hemorrhage
- Deep congenital hemangioma: prenatal diagnosis and follow-up
- Case reports – Fetus
- Diagnosis of cleft lip-palate during nuchal translucency screening – case report and review of the literature
- Vein of Galen aneurysm that was diagnosed prenatally and supracardiac obstructed total anomalous pulmonary venous return with pulmonary hypertension: case report
- A fetus with 19q13.11 microdeletion presenting with intrauterine growth restriction and multiple cystic kidneya
- Prenatal detection of periventricular pseudocysts by ultrasound: diagnosis and outcome
- Twin-to-twin transfusion syndrome and limb ischemia: a case report
- Prenatal surgery in a triplet pregnancy complicated by a double twin reversed arterial perfusion (TRAP) sequence
- A case of a four-vessel umbilical cord: don’t stop counting at three!
- Case reports – Newborn
- Supratentorial hemorrhage suggested on susceptibility-weighted magnetic resonance imaging in an infant with hydranencephaly
- Differential diagnosis of pseudotrisomy 13 syndrome
- Carey-Fineman-Ziter syndrome: a spectrum of presentations
Articles in the same Issue
- Masthead
- Masthead
- Editorial
- Editorial
- Case reports – Obstetrics
- Sonographic presentations of uterine rupture following vaginal birth after cesarean – report of two cases 12 h apart
- Prenatal diagnosis of thrombocytopenia-absent radius syndrome
- Cervico-isthmic pregnancy with cervical placenta accreta
- Prelabor uterine rupture and extrusion of fetus with intact amniotic membranes: a case report
- Hyperreactio luteinalis in a spontaneously conceived pregnancy associated with polycystic ovarian syndrome and high levels of human chorionic gonadotropin
- Should clinicians advise terminating a pregnancy following the diagnosis of a serious fetal cardiac abnormality?
- Absence of hemolytic disease of fetus and newborn (HDFN) in a pregnancy with anti-Yka (York) red cell antibody
- Congenital midgut malrotation causing intestinal obstruction in midpregnancy managed by prolonged total parenteral nutrition: case report and review of the literature
- Skin popping scars – a telltale sign of past and present subcutaneous drug abuse
- Botulinum toxin for the treatment of achalasia in pregnancy
- Thrombotic stroke in association with ovarian hyperstimulation and early pregnancy rescued by thrombectomy
- Normal pregnancy outcome in a woman with chronic myeloid leukemia and epilepsy: a case report and review of the literature
- Three-dimensional power Doppler assessment of pelvic structures after unilateral uterine artery embolization for postpartum hemorrhage
- Deep congenital hemangioma: prenatal diagnosis and follow-up
- Case reports – Fetus
- Diagnosis of cleft lip-palate during nuchal translucency screening – case report and review of the literature
- Vein of Galen aneurysm that was diagnosed prenatally and supracardiac obstructed total anomalous pulmonary venous return with pulmonary hypertension: case report
- A fetus with 19q13.11 microdeletion presenting with intrauterine growth restriction and multiple cystic kidneya
- Prenatal detection of periventricular pseudocysts by ultrasound: diagnosis and outcome
- Twin-to-twin transfusion syndrome and limb ischemia: a case report
- Prenatal surgery in a triplet pregnancy complicated by a double twin reversed arterial perfusion (TRAP) sequence
- A case of a four-vessel umbilical cord: don’t stop counting at three!
- Case reports – Newborn
- Supratentorial hemorrhage suggested on susceptibility-weighted magnetic resonance imaging in an infant with hydranencephaly
- Differential diagnosis of pseudotrisomy 13 syndrome
- Carey-Fineman-Ziter syndrome: a spectrum of presentations