Abstract
Congenital periventricular pseudocysts are found in about 1–5% of neonates. These pseudocysts originate from the persistence of the germinal matrix and have a good prognosis, disappearing in the first months. Periventricular pseudocysts are rarely detected in the fetus. We describe a case of prenatal detection of periventricular pseudocysts by prenatal transvaginal ultrasound and a three-dimensional technique. Prenatal ultrasound showed partial regression of the pseudocysts. At postnatal ultrasound, the complete disappearance of the pseudocysts was detected.
Introduction
Periventricular pseudocysts are detected by ultrasound in the first days of life in about 1–5% of term and preterm newborns, and are suggested to have a prenatal origin [1, 5]. They do not have a proper cystic wall, and their origin from cystic regression of the germinal matrix has been suggested, hence the name subependimal pseudocysts. Pseudocysts may be either monolateral or bilateral and are located in the proximity of the lateral wall of the caudate nucleus, or in the caudothalamic groove. Isolated pseudocysts have a good prognosis and outcome [3]. In contrast to the high frequency of detection in the neonatal period, prenatal identification of these formations is rare [4, 8].
We report a case of prenatal ultrasound detection of periventricular pseudocysts at 28 weeks plus 4 days and its follow-up. Transabdominal ultrasound was not able to detect the pseudocysts, while transvaginal ultrasound, carried out in order to perform a fetal neuroscan, allowed the detection of the pseudocysts. Transvaginal three-dimensional ultrasound and analysis of obtained volumes allowed for the mapping of the location of the pseudocysts in respect to the wall of the cerebral ventricular horns, and gave crucial insights into the prenatal diagnosis and prognosis. Magnetic resonance imaging (MRI) confirmed the diagnosis. Prenatal ultrasound showed partial regression, and postnatal ultrasound evidentiate the complete disappearance of the pseudocysts.
Case presentation
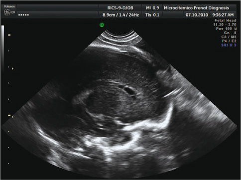
A 35-year-old woman in her first pregnancy had two uneventful ultrasound routine examinations at 12 and 22 weeks. At 28 weeks plus 4 days, she was referred to our unit because of persistent positivity of immunoglobulins M and G against cytomegalovirus (CMV) during pregnancy. Because of the titer stability of immunoglobulins M and G and the high avidity of immunoglobulin G since the early weeks, an infection contracted during pregnancy was considered unlikely. A careful examination of fetal anatomy by transabdominal ultrasound was performed. Fetal transabdominal ultrasound showed normal growth and anatomy. Because of the position being cephalic and the clinical indication, the specific examination of the fetal brain (neuroscan) was performed by transvaginal sonography. By transvaginal bidimensional ultrasound, bilateral tear-shaped cystic structures were detected adjacent to the side wall of the anterior horns of the cerebral ventricles (Figure 1), whose presence was not suspected in the previous transabdominal examination. Through a more detailed study, conducted by sweeping the head volume obtained by three-dimensional ultrasound, the bilaterally symmetrical cystic structures, located in the caudothalamic groove, showed a thin echogenic wall, and were oval-shaped with a maximum diameter of 14 mm and a depth of 5 mm. Some thin septa were present inside the structures, which identified three chambers for each side (Figure 1).

Periventricular pseudocysts detected by transvaginal ultrasound at 28 weeks plus 4 days.
Thin septa are evident, which delimited three chambers for each side.
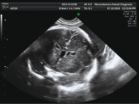
The location of the pseudocysts on axial scans was below the outer edge of the lateral ventricles (Figure 2). The lateral ventricles were symmetrical and of normal size and shape. Other structures, such as orbits, corpus callosum, septum pellucidum, ventricles, thalami, pons, cerebellar vermis, and posterior fossa, were confirmed.

Prenatal ultrasound at 28 weeks plus 4 days obtained by sweeping the three-dimensional volume.
Periventricular pseudocysts were located below the angle of the outer edge of the lateral ventricles in the coronal plane.
To further study the intracranial anatomy, an MRI was scheduled. MRI at 29 weeks plus 1 day confirmed, by the finding of a hypersignal in T2, the presence of cystic areas located bilaterally at the frontal periventricular germinal matrix zone, larger on the left (12 mm vs. 7 mm), with no restriction on diffusion-weighted imaging. The ventricular complex was within normal limits (Figure 3).

Prenatal MRI at 29 weeks plus 1 day.
Single-shot fast spin-echo T2 coronal image confirms the cystic-signal cerebrospinal fluid localized in the periventricular zone.
Thin septa are evident, which delimited three chambers for each side.
At 29 weeks plus 2 days, on maternal request, an amniocentesis was performed for karyotype analysis and the presence of CMV DNA was evaluated by quantitative polymerase chain reaction. A normal male (46, XY) karyotype was found, and the search for CMV DNA in the amniotic fluid was negative.
Two subsequent fetal neuroscans, by transvaginal bidimensional and three-dimensional probes, were performed at 32 weeks plus 2 days and 35 weeks plus 2 days, showing the persistence of the periventricular pseudocysts. Their dimension was slightly smaller at 32 weeks plus 2 days (maximum diameter, 10 mm) and substantially reduced (around 6 mm) at 35 weeks plus 2 days. A 3750-g male baby was spontaneously delivered at 40 weeks plus 1 day. Neurological examination of the newborn gave normal results, and postnatal transfontanellar ultrasound did not detect the presence of periventricular cysts. The outcome at 3 months was uneventful as well.
Discussion
The present study shows a case of prenatal detection of isolated bilateral periventricular pseudocysts at 28 weeks plus 4 days, and its evolution in utero during the third trimester. Prenatal ultrasound showed partial regression and postnatal ultrasound demonstrated the complete disappearance of the pseudocysts. The neonatal outcome was good.
Periventricular brain cysts are a relatively common finding in both term and preterm infants, with a frequency ranging between 1% and 5% of all cases, and their origin is assumed to be prenatal [1, 5]. Due to the lack of a true epithelial lining and because they are surrounded by germinal cells and glial tissue, they are called pseudocysts. Typical and isolated pseudocysts are oval shaped, multilocular, bilateral, and symmetrical, located on the side wall of the frontal horns of the lateral ventricles along the caudothalamic groove. Moreover, while in periventricular leukomalacia the location of cysts is usually above the angle of the outer edge of the lateral ventricles in the coronal plane, typical isolated pseudocysts are located below this angle owing to degeneration of the corona radiata and the semioval center [1, 6]. Transvaginal ultrasound allowed the detection of the pseudocysts. The shape (oval, tear-shaped) and location (below the angle of the lateral ventricles) of the pseudocysts, assessed by means of transvaginal three-dimensional ultrasound, were crucial in confirming the diagnosis. Prenatal MRI confirmed the ultrasound findings.
The pathogenesis of typical isolated pseudocysts is still uncertain; however, they most likely arise from the cystic degeneration of the germinal matrix, subject to minor insults and not to bleeding. Typical pseudocysts regress after birth in most cases, and have a good prognosis in both prenatal and postnatal diagnosis [3, 6]. In contrast, other atypical non-isolated pseudocysts may originate by cerebral bleeding, viral infections, chromosomal abnormalities (Del q6 or Del p4), toxic substance consumption by the mother, or some metabolic diseases. They have a different prognosis, depending on the causative factor [2]. Moreover, the position of the pseudocyst in respect to the wall of the lateral cerebral ventricle has been suggested to indicate the likely period of their formation. Pseudocysts originating before 28 weeks’ gestation are in fact located around the frontal and temporal horns where the germinal matrix is represented up to 28 weeks. However, those located closer to the ventricular wall, in the caudothalamic sulcus, may form at any time during pregnancy, as the germinal matrix is represented there until 34–35 weeks [1]. Our pseudocysts were located near the caudothalamic wall, and the period of their onset remained uncertain.
High-frequency transvaginal neuroscan showed normal cerebral anatomy, suggesting that the pseudocysts in our case were an isolated finding. The MRI did not add crucial details to the three-dimensional transvaginal ultrasound study, but confirmed the integrity of brain structures [7].
The issue of the uncommon prenatal detection of such pseudocysts as compared with the higher frequency of postnatal diagnosis still remains. It has been attributed to the low resolution of obstetrical transabdominal ultrasound, which is usually performed for other purposes besides fetal neuroanatomy survey, or to a general lack of knowledge of the subject by gynecologists [8]. In our case, the transvaginal neuroscan performed because of the clinical indication was essential for the detection of the pseudocysts. We observed the prenatal regression of pseudocysts, their complete postnatal disappearance, and the good outcome. This case further confirms that patients can be assured of good prognosis and outcome when the diagnosis is periventricular isolated pseudocysts.
Take home messages
Isolated pseudocysts are a rare finding in the fetus.
Isolated pseudocysts have good prognosis and outcome.
Transvaginal ultrasound has a better resolution than transabdominal ultrasound for detection of pseudocysts.
Three-dimensional transvaginal ultrasound was crucial for diagnosis.
References
[1] Bats AS, Molho M, Senat MV, Paupe A, Bernard JP, Ville Y. Subependymal pseudocysts in the fetal brain: prenatal diagnosis of two cases and review of the literature. Ultrasound Obstet Gynecol. 2002;20:502–5.10.1046/j.1469-0705.2002.00848.xSearch in Google Scholar
[2] Larcos G, Gruenewald SM, Lui K. Neonatal subependymal cysts detected by sonography: prevalence, sonographic findings, and clinical significance. AJR Am J Roentgenol. 1994;162:953–6.10.2214/ajr.162.4.8141023Search in Google Scholar
[3] Makhoul IR, Zmora O, Tamir A, Shahar E, Sujov P. Congenital subependymal pseudocysts: own data and meta-analysis of the literature. Isr Med Assoc J. 2001;3:178–83.Search in Google Scholar
[4] Malinger G, Ben-Sira L, Lev D, Ben-Aroya Z, Kidron D, Lerman-Sagie T. Fetal brain imaging: a comparison between magnetic resonance imaging and dedicated neurosonography. Ultrasound Obstet Gynecol. 2004;23:333–40.10.1002/uog.1016Search in Google Scholar
[5] Malinger G, Lev D, Ben Sira L, Kidron D, Tamarkin M, Lerman-Sagie T. Congenital periventricular pseudocysts: prenatal sonographic appearance and clinical implications. Ultrasound Obstet Gynecol. 2002;20:447–51.10.1046/j.1469-0705.2002.00840.xSearch in Google Scholar
[6] Pal BR, Preston PR, Morgan ME, Rushton DI, Durbin GM. Frontal horn thin walled cysts in preterm neonates are benign. Arch Dis Child Fetal Neonatal Ed. 2001;85:F187–93.10.1136/fn.85.3.F187Search in Google Scholar
[7] Ramenghi LA, Domizio S, Quartulli L, Sabatino G. Prenatal pseudocysts of the germinal matrix in preterm infants. J Clin Ultrasound. 1997;25:169–73.10.1002/(SICI)1097-0096(199705)25:4<169::AID-JCU3>3.0.CO;2-CSearch in Google Scholar
[8] Rohrbach M, Chitayat D, Maegawa G, Shanske S, Davidzon G, Chong K, et al. Intracerebral periventricular pseudocysts in a fetus with mitochondrial depletion syndrome: an association or coincidence. Fetal Diagn Ther. 2009;25: 177–82. Epub 2009 Mar 25.10.1159/000209385Search in Google Scholar
-
The authors stated that there are no conflicts of interest regarding the publication of this article.
©2012 by Walter de Gruyter Berlin Boston
Articles in the same Issue
- Masthead
- Masthead
- Editorial
- Editorial
- Case reports – Obstetrics
- Sonographic presentations of uterine rupture following vaginal birth after cesarean – report of two cases 12 h apart
- Prenatal diagnosis of thrombocytopenia-absent radius syndrome
- Cervico-isthmic pregnancy with cervical placenta accreta
- Prelabor uterine rupture and extrusion of fetus with intact amniotic membranes: a case report
- Hyperreactio luteinalis in a spontaneously conceived pregnancy associated with polycystic ovarian syndrome and high levels of human chorionic gonadotropin
- Should clinicians advise terminating a pregnancy following the diagnosis of a serious fetal cardiac abnormality?
- Absence of hemolytic disease of fetus and newborn (HDFN) in a pregnancy with anti-Yka (York) red cell antibody
- Congenital midgut malrotation causing intestinal obstruction in midpregnancy managed by prolonged total parenteral nutrition: case report and review of the literature
- Skin popping scars – a telltale sign of past and present subcutaneous drug abuse
- Botulinum toxin for the treatment of achalasia in pregnancy
- Thrombotic stroke in association with ovarian hyperstimulation and early pregnancy rescued by thrombectomy
- Normal pregnancy outcome in a woman with chronic myeloid leukemia and epilepsy: a case report and review of the literature
- Three-dimensional power Doppler assessment of pelvic structures after unilateral uterine artery embolization for postpartum hemorrhage
- Deep congenital hemangioma: prenatal diagnosis and follow-up
- Case reports – Fetus
- Diagnosis of cleft lip-palate during nuchal translucency screening – case report and review of the literature
- Vein of Galen aneurysm that was diagnosed prenatally and supracardiac obstructed total anomalous pulmonary venous return with pulmonary hypertension: case report
- A fetus with 19q13.11 microdeletion presenting with intrauterine growth restriction and multiple cystic kidneya
- Prenatal detection of periventricular pseudocysts by ultrasound: diagnosis and outcome
- Twin-to-twin transfusion syndrome and limb ischemia: a case report
- Prenatal surgery in a triplet pregnancy complicated by a double twin reversed arterial perfusion (TRAP) sequence
- A case of a four-vessel umbilical cord: don’t stop counting at three!
- Case reports – Newborn
- Supratentorial hemorrhage suggested on susceptibility-weighted magnetic resonance imaging in an infant with hydranencephaly
- Differential diagnosis of pseudotrisomy 13 syndrome
- Carey-Fineman-Ziter syndrome: a spectrum of presentations
Articles in the same Issue
- Masthead
- Masthead
- Editorial
- Editorial
- Case reports – Obstetrics
- Sonographic presentations of uterine rupture following vaginal birth after cesarean – report of two cases 12 h apart
- Prenatal diagnosis of thrombocytopenia-absent radius syndrome
- Cervico-isthmic pregnancy with cervical placenta accreta
- Prelabor uterine rupture and extrusion of fetus with intact amniotic membranes: a case report
- Hyperreactio luteinalis in a spontaneously conceived pregnancy associated with polycystic ovarian syndrome and high levels of human chorionic gonadotropin
- Should clinicians advise terminating a pregnancy following the diagnosis of a serious fetal cardiac abnormality?
- Absence of hemolytic disease of fetus and newborn (HDFN) in a pregnancy with anti-Yka (York) red cell antibody
- Congenital midgut malrotation causing intestinal obstruction in midpregnancy managed by prolonged total parenteral nutrition: case report and review of the literature
- Skin popping scars – a telltale sign of past and present subcutaneous drug abuse
- Botulinum toxin for the treatment of achalasia in pregnancy
- Thrombotic stroke in association with ovarian hyperstimulation and early pregnancy rescued by thrombectomy
- Normal pregnancy outcome in a woman with chronic myeloid leukemia and epilepsy: a case report and review of the literature
- Three-dimensional power Doppler assessment of pelvic structures after unilateral uterine artery embolization for postpartum hemorrhage
- Deep congenital hemangioma: prenatal diagnosis and follow-up
- Case reports – Fetus
- Diagnosis of cleft lip-palate during nuchal translucency screening – case report and review of the literature
- Vein of Galen aneurysm that was diagnosed prenatally and supracardiac obstructed total anomalous pulmonary venous return with pulmonary hypertension: case report
- A fetus with 19q13.11 microdeletion presenting with intrauterine growth restriction and multiple cystic kidneya
- Prenatal detection of periventricular pseudocysts by ultrasound: diagnosis and outcome
- Twin-to-twin transfusion syndrome and limb ischemia: a case report
- Prenatal surgery in a triplet pregnancy complicated by a double twin reversed arterial perfusion (TRAP) sequence
- A case of a four-vessel umbilical cord: don’t stop counting at three!
- Case reports – Newborn
- Supratentorial hemorrhage suggested on susceptibility-weighted magnetic resonance imaging in an infant with hydranencephaly
- Differential diagnosis of pseudotrisomy 13 syndrome
- Carey-Fineman-Ziter syndrome: a spectrum of presentations