1 Introduction and contextualization
The Department of Applied Sciences in the Faculty of Engineering, Science and the Built Environment (FESBE) has recently launched a new Centre for Green Process Engineering (CGPE) under the direction of Professor Basu Saha. Its inception is based on the growing concern for the environment, increasingly stringent standards for the release of chemicals into the environment, and economic competitiveness. These all focus the need for extensive efforts to improve chemical synthesis and manufacturing methods, as well as the development of new synthetic methodologies that minimize or completely eliminate pollutants. As a consequence, more and more attention has been focused on the use of safer chemicals, through the proper design of clean processes and products. This approach is largely referred to as ‘green chemistry’. The principles of green chemistry can be applied to all areas of chemistry, including synthesis, catalysis, reaction conditions, separations, analysis and monitoring. Furthermore, the use of catalysis often plays a central role in the development of environmentally benign and clean chemical processes. Efficient, selective organic reactions, that are otherwise unfeasible, can be carried out under milder reaction conditions in the presence of proper catalysts, thus avoiding the use of hazardous reagents and drastically reducing the outflow of potentially polluting by-products.
Ideally, chemical reactions would have attributes such as simplicity, safety, high yield and selectivity, energy efficiency, use of renewable and recyclable reagents and raw materials. In general, chemical reactions cannot achieve all of these goals simultaneously and it is the task of chemists and chemical and process engineers, to identify pathways that optimize the balance of desirable attributes. To this end, the centre will be, by definition, interdisciplinary, bringing together complementary activities from across the faculty. It is hoped that the centre will provide a platform for chemical and process engineers and chemists from industry and academia, working in fine or specialty chemicals, pharmaceuticals or similar industries.
2 CGPE launch event
Launched at London South Bank University (LSBU) Keyworth Centre, the CGPE will integrate new, environmentally-friendly chemical routes and technical innovation, to achieve green chemical process development. The official launch event was attended by external and internal academic and technical members of staff, IChemE Chief Executive, LSBU PhD students, post-docs, Research Fellows, and final year undergraduate chemical engineering students. Professor Rao Bhamidimarri, Executive Dean of FESBE at LSBU, formally welcomed the audience.
Keynote speakers on the day included Professor Chris Hardacre, Head of School of Chemistry and Chemical Engineering at Queen’s University Belfast, Dr Tim Davies, Chief Technical Officer at Green Biologics Ltd, and Professor Volker Hessel, Professor of Micro Flow Chemistry and Process Technology at Eindhoven University of Technology. Their lectures addressed the latest progress in the area of green process development, giving participants a chance to discover the diverse and exciting research work currently taking place in the industry and academia. Professor Basu Saha gave an overview of current Green Process Engineering (GPE) research activities at LSBU. There were also opportunities for networking and discussions between the delegates in the evening.
3 Aims and objectives of CGPE
The GPE centre aims to expand LSBU’s academic undergraduate (UG) and postgraduate (PG) portfolio in the field of GPE, increasing research activity and developing enterprise activities, such as continuing professional development (CPD). The centre will establish a termly lecture series and networking with industry, as well as developing cross-departmental activities.
Further down the line, it is hoped that the centre will produce and contribute green process technologies modules within the UG and PG programmes in the faculty, and the feasibility of developing an MSc in GPE will be assessed. Over the longer term, as the centre establishes itself nationally and internationally, it will seek to attract more external funding.
4 Current GPE research activities
CGPE is one of the most active and emerging research centres at LSBU that looks at designing sustainable and safe chemical processes. Our research covers greening of alkene/terpene epoxidation, graphene from supercritical fluid (SCF) technologies, biodiesel production from used cooking oil (UCO), CO2 conversion to value added chemicals and fuels and continuous synthesis of products using multi-functional reactors such as the FlowSyn continuous flow reactor, the reactive distillation column (RDC) and the chromatographic reactor. The research has been funded by the UK Engineering and Physical Sciences Research Council (EPSRC), the European Commission, The Royal Society and the industrial partners. Examples of on-going GPE activities are given below.
4.1 Greening of alkene epoxidations via use of polymer-supported Mo(VI) catalysts for the production of commercially important epoxide building blocks
A cleaner and sustainable alkene epoxidation process technology has recently been developed by our research group in collaboration with the University of Strathclyde and Purolite International Ltd (EPSRC funded). Epoxides are a raw material for a broad range of products, from pharmaceuticals to plastics and paints to adhesives. In industry, the production of epoxides often uses the stoichiometric peracid, such as peracetic acid and m-chloroperbenzoic acid, in batch reactions. The employment of peracids is not an environment friendly synthesis, since equivalent amounts of acid waste are produced. In this research, polymer-supported molybdenum-based catalysts have been employed for batch and continuous epoxidation of alkenes and terpenes, using environmentally benign synthetic procedures. Batch experimental data provided useful information for the continuous epoxidation experiments in multi-functional reactors, such as the RDC and the FlowSyn continuous flow reactor.
Our new process promises to make the epoxides production cheaper, more environmentally friendly, safer and more flexible. This has been achieved by designing the process to operate continuously, rather than as a batch process that takes place in a single unit combining the reactor and separator. This offers the manufacturer significant business flexibility with their customers. Moreover, the process uses a highly selective and stable insoluble catalyst and no solvent, uses the heat from the exothermic reaction to support the distillation step, reduces unwanted side reactions by separation products out as soon as they are formed, and recycles the alcohol by-product as a chemical feedstock.
This new process provides many advantages to potential users: feedstock flexibility, ‘atom efficiency’, flexibility of scale of production, reduced unit costs and improved profitability. Importantly, as well, the new process makes a big impact on the environmental acceptability of epoxide production. Overall, therefore, such an integrated process also provides a more environmentally acceptable process technology, hence contributing to improving the quality of human life. Professor Saha has recently won The Royal Society Brian Mercer Award to study the feasibility of this process for possible commercialization.
4.2 Green processing of advanced functional nanomaterials using SCF technologies
Our group has a strong interest in seeking greener and cleaner chemical synthesis methods for materials synthesis. As such, SCF have been widely employed as an excellent medium for the synthesis of various nanomaterials. The main factors influencing the increased interest in the use of SCF, are their potential to replace toxic organic solvents and the simplicity of optimizing their properties by altering the pressure. Most conventional chemical reactions using volatile organic compounds are associated with toxicity, the production of large amounts of waste, flammability and non-sustainability. The replacement of organic and toxic solvents by SCF (such as CO2 or water) offers a great advantage in the chemical and environmental fields.
An SCF is a material used in a state above the critical temperature and critical pressure, where gases and liquids can coexist. They show unique properties that are different from those of either gases or liquids under standard conditions. An SCF has a higher diffusion coefficient, lower viscosity (gas-like), and lower surface tension than a liquid solvent, as well as enhanced mass transport properties. SCF properties can be modified dramatically by small changes in pressure, especially when the critical parameters are being approached.
4.3 Graphene nanocomposites from supercritical carbon dioxide
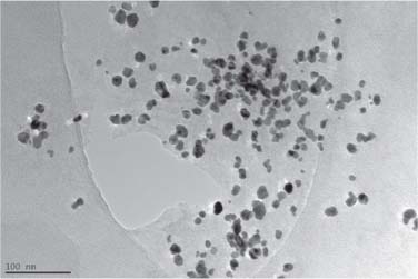
Graphene, a recently discovered material, composed of 1 nm thick layers of carbon packed into a honeycomb network, is one of the most promising materials in nanotechnology. Its unique physical, chemical and mechanical properties, including a very high surface area and easy surface modification (offering an attractive substrate for deposition of inorganic nanoparticles), are outstanding and could allow the preparation of nanocomposite materials with unprecedented characteristics. Our group has employed an innovative approach for synthesizing graphene-inorganic nanoparticles via the utilization of supercritical CO2 (sc-CO2), which allows various nanoparticles to be homogeneously grown and dispersed onto graphene. sc-CO2 has attracted interest, due to its relatively low critical parameters (critical temperature, Tc=31.1°C, critical pressure, Pc=7.38 MPa), non-flammability, non-toxicity and recyclability. This is a promising strategy for designing, synthesizing and developing the next-generation functional novel nanomaterials with a broad range of applications, where the simplicity of the reactor design offers great possibilities for the production of the graphene based materials. These materials are currently being studied for a wide range of applications, including photo catalysis and energy related applications.

Transmission electron microscopy (TEM) image of a graphene sheet decorated with nanoparticles.

Atomic force microscopy (AFM) image of a graphene sheet.
4.4 Continuous hydrothermal flow synthesis
In addition to sc-CO2, our research group has employed continuous hydrothermal flow synthesis (CHFS) for preparing a wide range of functional nanomaterials with a broad range of applications. In the manufacture of inorganic nanomaterials, hydrothermal (superheated or supercritical water) syntheses can offer many advantages over more conventional preparation methods, e.g., lower synthesis temperatures and relatively less processing steps. Generally, the CHFS process involves mixing a controlled flow of superheated or supercritical water (375°C, 24 MPa) with a flow of aqueous metal salt(s) to give rapid precipitation and controlled growth of nanoparticles in a continuous manner. In such processes, control over particle properties, such as size and composition, is easily achievable. Further, continuous hydrothermal systems offer a short reaction time, and the large scale production of nanoparticles is a real possibility.
4.5 Conversion of CO2 to value added chemicals and fuels

CO2 emissions have increased to unsustainable levels in the atmosphere, which has led to climate change. The reduction of CO2emissions has therefore become a global environmental challenge. Chemical engineers have a vital role in tackling CO2 levels in the atmosphere. At LSBU, we are using our expertise to design an environmentally benign green process for the synthesis of value added chemicals from CO2. Our current research focuses on the production of various highly valued organic carbonates in the presence of heterogeneous catalysts, using a high pressure reactor. Organic carbonates have many industrial applications, including as useful intermediates in the synthesis of pharmaceuticals polymers and fine chemicals and fuel additives. Our aim is to reduce the complexity of the homogeneous catalytic system, by replacing it with a solvent free system (by using heterogeneous catalysts) and thus, enhancing the potential for numerous industrial applications. We are currently investigating a detailed study for the conversion of CO2 to value added chemicals in collaboration with MEL Chemicals, one of the world’s leading producers and suppliers of inorganic chemicals specializing in zirconium based catalysts and hydrotalcites.
4.6 Environmentally benign biodiesel production from UCO
A majority of the world’s energy is supplied through petrochemical sources, coal and natural gas. However, a high energy demand from various sectors, global warming, an unstable price and finite availability of petroleum-based oil, and environmental pollution due to the widespread use of fossil fuels, make petroleum-based energy unreliable. The world energy forum has also predicted that, in <10 decades, the fossil-based oil, including coal and natural gaseous, will be depleted. Therefore, it is increasingly necessary to develop renewable energy resources to replace the traditional sources. Biodiesels, in particular, have the following advantages over diesel fuel: they produce less smoke and particulates, have higher cetane numbers, produce lower carbon monoxide and hydrocarbon emissions, they are biodegradable and non toxic, and they provide better performances in engine lubricity compared to low sulfur diesel fuels. Our research emphasizes producing biodiesel of an EN14214 standard, using UCO as a feedstock. We are currently working on a knowledge transfer collaboration (KTC) project with Uptown Biodiesel Ltd and PricewaterhouseCoopers (PwC), that involves pre-treatment of UCO and process optimization to achieve biodiesel as per the EN14214 standard.
4.7 Continuous reactors used in our research at CGPE: FlowSyn continuous flow reactor

The need for greener and more sustainable chemical processes has led to significant developments in process intensification, through application of micro reactors/flow chemistry in organic synthesis. The goal is to reduce the size of plants, by replacing large, expensive and energy-intensive equipment or processes, with smaller, less costly and more efficient ones. FlowSyn continuous flow reactors have many advantages and efficiency, such as reduced reaction times, enhanced safety, reduced solvent usage, lower waste generation, as well as containment of hazardous or unstable intermediates.
4.8 Reactive distillation (RD)

RD is one of the emerging technologies that have an extremely attractive potential as a process alternative for carrying out equilibrium limited liquid phase chemical reactions. It is a unit operation, which combines a simultaneous chemical reaction and multi-component distillation in the same vessel in a single step. By performing the reaction and separation simultaneously, equilibrium can be shifted and in some applications, almost complete conversion of the feedstock is economically achieved. RD can also offer heat integration benefits. In the case of exothermic reactions, the heat of reaction replaces some of the energy required for performing the distillation.
4.9 Chromatographic reactor (CR)

A simultaneous reaction and separation carried out in a single vessel, also known as a multifunctional reactor, are gaining in interest, as they could be highly feasible. Some chemical reactions which are limited by chemical equilibrium are solved by multifunctional reactors, since the reaction and separation takes place at the same time. An example of a multifunctional reactor is the chromatographic reactor (CR). The CR concept lies in the adsorptivity of the different components involved in the chemical reaction.
5 The Institution
LSBU has over 100 years of experience of providing high quality education for all types of students. Founded in 1892 as the Borough Polytechnic, it merged in 1970 with four other colleges to become South Bank Polytechnic and was granted university status in 1992. In 2003, it adopted the name of LSBU. The change of name is not merely cosmetic. It represents a mission to reposition the university to address London’s needs. This enables the promotion of high quality education and research across the capital, the UK and global marketplaces. The university is a dynamic institution, internationally renowned for the vocational nature of its courses. With a diverse multi-cultural population of around 22,000 students, of whom 10% are international students from 120 countries, and some 2000 academic and support staff, LSBU is the top London modern university for graduate prospects. We received the highest possible rating for the quality of our education from the independent Quality Assurance Agency (QAA) and are proud of all our achievements in delivering excellent student outcomes.
The university is divided into four faculties: Business, Computing, and Information Management (BCIM); Engineering, Science and the Built Environment (ESBE); Health and Social Care (HSC); and Arts and Human Sciences (AHS). The FESBE is composed of four departments which are: Applied Sciences; Engineering and Design; The Built Environment; and Urban Engineering. Through teaching programmes at UG, PG and post-experience levels, the FESBE aims to provide learning at the cutting edge of each subject, underpinned by first class teaching, scholarship and research. Its courses are designed to equip students with the knowledge and skills necessary for employment in the modern world and to prepare people for the opportunities available in London as a world city.
Students are drawn to the faculty from across the UK and increasingly from other parts of the world. The faculty has developed close links with universities and researchers in Europe, especially in Germany, Guernsey and Jersey. It also has growing links with China and India.
Situated close to Waterloo and London Bridge stations, LSBU’s main campus at Elephant and Castle, in historic Southwark, is at the hub of local transport only minutes away from the professional, social and cultural facilities of central London and the arts centres on the South Bank.
5.1 Pictures taken on the CGPE launch day event at LSBU:

Professor Basu Saha (third from left), Professor Volker Hessel (fourth from left), Dr. Tim Davies (fifth from left) with other attendees at the launch of the new Centre for Green Process Engineering.

Professor Basu Saha (fifth from left), Ms Mandy Maidment, Acting Head of Applied Sciences Department, LSBU (sixth from left) with the members of the GPE group at the launch of the new Centre for Green Process Engineering.
Originally, also the just-accepted version of the article ISOS XVII BERLIN 2014: The 17th International Symposium on Silicon Chemistry jointly with the 7th European Silicon Days (Berlin, Germany, August 3–8, 2014) was published under this DOI. Its correct DOI is 10.1515/gps-2014-0015.
I wish to acknowledge the work of many PG and postdoctoral researchers and academic collaborators who have contributed to our research activities over a period of many years. In particular, I would like to mention the important contributions of Professor David Sherrington, Dr Dipesh Patel, Dr Suela Kellici, Dr Rene Mbeleck, Dr Krzysztof Ambroziak, Misbahu Ladan Mohammed, Isaac Adeleye, Rim Saada, and Jobin Solomon.
©2013 by Walter de Gruyter Berlin Boston
Articles in the same Issue
- Masthead
- Masthead
- Graphical abstracts
- In this Issue
- Editorial
- Scientific spring metamorphosis
- Original articles
- Development highlights of micro-nano technologies in the MENA region and pathways for initiatives to support and network
- Integrated processing for the separation of biobutanol. Part A: experimental investigation and process modelling
- Integrated processing for the separation of biobutanol. Part B: model-based process analysis
- Direct saccharification of lignocellulosic biomass by hydrolysis with formic acid solution
- A facile synthesis of 2H-chromen-2-ones via Pechmann condensation under solvent free conditions using grinding technique
- Counter-current arrangement of microfluidic liquid-liquid droplet flow contactors
- Organization profiles
- The Centre for Green Process Engineering (CGPE) opens with launch event at London South Bank University (LSBU)
- King Saud University: nanoscience and nanotechnology research highlights
- Kuwait Institute for Scientific Research
- University profile
- Nanoscience and nanotechnology research highlights at Kuwait University
- Laboratory profiles
- Microfluidics Group – Department of Chemistry, Sultan Qaboos University
- Assiut Microfluidics Laboratory
- Company profiles
- Hikma Pharmaceuticals
- SÜSS MicroTec and iX-factory: qualified process and equipment support for development, research and production – made in Germany
- LionX: our chips enable your products
- Conference announcements
- 17th Annual Green Chemistry and Engineering Conference (GC&E; North Bethesda, MD, USA, June 18–20, 2013)
- 17th IUPAC Conference on Organometallic Chemistry Directed Towards Organic Synthesis (OMCOS 17), Fort Collins, CO, USA, July 28–August 1, 2013
- Conferences 2013/2014
- Book review
- Chemicals from biomass: integrating bioprocesses into chemical production complexes for sustainable development
Articles in the same Issue
- Masthead
- Masthead
- Graphical abstracts
- In this Issue
- Editorial
- Scientific spring metamorphosis
- Original articles
- Development highlights of micro-nano technologies in the MENA region and pathways for initiatives to support and network
- Integrated processing for the separation of biobutanol. Part A: experimental investigation and process modelling
- Integrated processing for the separation of biobutanol. Part B: model-based process analysis
- Direct saccharification of lignocellulosic biomass by hydrolysis with formic acid solution
- A facile synthesis of 2H-chromen-2-ones via Pechmann condensation under solvent free conditions using grinding technique
- Counter-current arrangement of microfluidic liquid-liquid droplet flow contactors
- Organization profiles
- The Centre for Green Process Engineering (CGPE) opens with launch event at London South Bank University (LSBU)
- King Saud University: nanoscience and nanotechnology research highlights
- Kuwait Institute for Scientific Research
- University profile
- Nanoscience and nanotechnology research highlights at Kuwait University
- Laboratory profiles
- Microfluidics Group – Department of Chemistry, Sultan Qaboos University
- Assiut Microfluidics Laboratory
- Company profiles
- Hikma Pharmaceuticals
- SÜSS MicroTec and iX-factory: qualified process and equipment support for development, research and production – made in Germany
- LionX: our chips enable your products
- Conference announcements
- 17th Annual Green Chemistry and Engineering Conference (GC&E; North Bethesda, MD, USA, June 18–20, 2013)
- 17th IUPAC Conference on Organometallic Chemistry Directed Towards Organic Synthesis (OMCOS 17), Fort Collins, CO, USA, July 28–August 1, 2013
- Conferences 2013/2014
- Book review
- Chemicals from biomass: integrating bioprocesses into chemical production complexes for sustainable development