Abstract
Stanozolol is an anabolic-androgenic steroid which is commonly abused by athletes for improved energy, appearance, and physical size. It has been previously shown to cause changes in behaviour and has various physical effects. Studies have previously been conducted on its neurotoxic effect on the central nervous system (CNS), which are typically psychological in nature. This study was performed to investigate the apoptotic effect of stanozolol on different parts of the rat hippocampus. Sixteen male Wistar rats were divided randomly into two groups (experimental and control). The experimental group received subcutaneous injections of stanozolol (5mg/kg/day) for consecutive 28 days, whereas the control group received saline using the same dosing schedule and administration route. After routine procedures, coronal sections of rat brain were stained with Toluidine blue and TUNEL for pre-apoptotic and apoptotic cell detection, respectively. In order to compare groups, the mean number of TUNEL-positive and pre-apoptotic neurons per unit area were calculated and analysed. Histopathological examination revealed that the mean number of pre-apoptotic and apoptotic neurons in the CA1, CA2, CA3 and DG areas of the hippocampus were significantly increased in the stanozolol treated group. In conclusion, stanozolol abuse may induce pre-apoptotic and apoptotic cell formation in different regions of the hippocampus.
Introduction
Anabolic-androgenic steroids (AASs) are a group of hormones which include natural male hormone, testosterone and testosterone synthetic derivatives which have been synthesized over the last seven decades. These compounds have both anabolic (muscle building)and androgenic (masculinizing) effects [1].
AASs are used clinically for androgen replacement therapy (ART) and pharmacological androgen therapy (PAT) [2]. Due to their muscle hypertrophy effects and ergogenic properties, AASs are widely used among athletes, in particular, bodybuilders. Moreover, these compounds rapidly increase muscle mass and decrease body fat percentage simultaneously, beyond the rate which can be obtained naturally [1, 3, 4].
Misuse of AASs has been escalating in athletes and the younger population, therefore it is vital to investigate the potential side effects [1]. One of the most popular members of the AAS family is stanozolol which is used by athletes in high doses for boosting their energy and improving their physical appearance and size [5]. Despite being a banned substance by the International Olympic Committee since 1974, stanozolol is one of the most commonly abused synthetic AASs in sport [6].
Stanozolol (5α-androstane-17α-methyl-17β-ol[3,2-c] pyrazole) is a heterocyclic AAS first synthesised by Clinton in 1959 (Figure 1). Its chemical structure is different from both intrinsic and most extrinsic steroids [6]. These steroids are transferred to the nucleus as the hormone-receptor complex through the intracellular receptor and induce protein synthesis leading to the construction of new proteins [1]. Therapeutic effects have been reported in osteoporosis, protein deficiency, increasing appetite and weight, inherited angioedema and specific kinds of anaemia [6, 7, 8].

The chemical structure of stanozolol.
The impact of stanozolol is dose-related; however, it might be affected by individual susceptibility and other negative habits like alcoholism [8]. Reports have shown that the use of this drug could induce physical and histological damage, in addition to behavioural disorders.
In animal studies, stanozolol caused male sexual behaviour to decrease by suppressing the serum level of testosterone [9]. In addition, depression, anxiety, paranoia, aggressive behaviour and somatic disorders are the most common complaints which athletes present during the usage period of stanozolol and other AASs [10].
Reported physical side effects include constructive effects on the cardiovascular system, decreased serum apolipoprotein A1 and increased serum apolipoprotein B, hepatotoxicity and nephrotoxicity [5, 11, 12, 13, 14, 15, 16]. These side effects occurred during the treatment of hereditary angioedema, compromised menstrual disturbances and virilism in women and the elevation of creatine phosphokinase (CPK) in men [17].
To date, there have been few studies conducted on the neurotoxic impacts of stanozolol, as most of these impacts are psychological and behavioural [18]; and whether AASs are neurotoxic has yet to be elucidated. One study substantiated that these compounds, including stanozolol, increased the vulnerability of neurons in response to the extracellular stimulations thus facilitating neural death, followed by acute or chronic CNS disorders [19]. Furthermore, it has been found to lead to a decline in the neurotrophic factors derived from the brain in the hippocampus and the prefrontal cortex, and reduces interactions between the low-affinity receptor and corticosteroids in the hippocampus. In addition, it increases the morning plasma level of corticosteroids [4].
Since the hippocampus plays a role in the transferral of information from short-term to long-term memory, its damage decreases the ability to memorise in the long-term and causes anterograde and also retrograde amnesia [20, 21].
Based on the role of the hippocampus in memory [21] and the studies that report memory dysfunction related to using AASs [22], we investigated the apoptotic effects of stanozolol (as a probable reason of hippocampal dysfunction) on the hippocampus. For this purpose, we decided to semi quantitatively evaluate the apoptotic effects of stanozolol using a dose commonly abused by athletes, on different parts of the hippocampus using a male rat model.
Materials & Methods
Animals and Treatment
The Wistar rat was chosen as the animal model in accord with previous studies [23]. Although 12 rats were sufficient for statistical power [23], to perform this interventional study 16 male Wistar rats (weighing between 200-250 g) were purchased from the animal centre of Mashhad University of Medical Sciences. Animals were divided into two groups of eight by simple random sampling and dosed daily for a total of 28 days.
Animals were kept in under standard laboratory conditions, including a room with an air ventilator, between 50-60% humidity, a temperature of 22-240C,12-hour light:dark cycles and access to food and water ad libitum.
Ethical approval: The research related to animals use has been complied with all the relevant national regulations and institutional policies for the care and use of animals.
Chemicals and Preparation
Stanozolol (Sterug Pharma Company, US) was diluted with 0.5cc of normal saline for daily administration.
Experimental Procedure
The control group was administered subcutaneous saline (0.5cc) daily and the experimental group was administered subcutaneous stanozolol (5 mg/kg/day diluted with 0.5cc saline), for a total of 28 days. This dose was consistent with the equivalent human dose (based on mg/ kg of body weight) which is reportedly abused among athletes [4, 9, 24, 25, 26] by subcutaneous injection therefore, we chose this route of administration [27]. Our 28-day dosing schedule was in line with previous studies evaluating the effect of stanozolol and other AASs [4, 28].
Tissue Collection and Processing
At end-point and under the approval of the ethical committee of Mashhad University of Medical Sciences, all animals were euthanized with chloroform and brains were dissected from the crania and fixed in 10% formalin solution. The dehydration process was performed as standard, and the samples were then embedded into molten paraffin. A microtome was used to cut 5 μm serial coronal sections. Slides were created from tissue slices for cell staining [29, 30].
Apoptotic Cell Staining
After preparing the slides, Terminal Deoxynucleotidyl Transferase-mediated Nick End Labelling (TUNEL) staining was performed as standard to visualize apoptotic neurons [23].
In brief, sections were deparaffinised and hydrated as standard, and peroxidase activity blocked using H2O2 3% in 15 minutes. Sections were washed with PBS (Phosphate Buffered Saline) and then incubated 20 minutes with Proteinase K (Fermentas, US) in room temperature. This was followed by another PBS wash and staining using the TUNEL kit solution (Roche Diagnostics, Germany). Sections were washed again with PBS and then Converter-Peroxidase solution (Merck, US) was added for 15 minutes in room temperature. After that, samples were incubated with DAB (3,3’-diaminobenzidine) substrate followed by a rinse using running water. Haematoxylin was used to create a background stain and then rinsed with running water. Sections were then dehydrated with alcohol and cleared with Xylene. Light microscopy was used to image the sections, cells with brown nuclear staining indicated apoptotic cells.
Toluidine Blue Staining
Toluidine blue staining was used to detect dark neurons [31, 32, 33, 34] defined as pre-apoptotic cells which have undergone apoptotic changes but had not complete the process. These neurons appear darker via light microscopy as they absorb more colour (toluidine blue).
In brief, sections were deparaffinised and hydrated, then stained with toluidine blue as standard [23].
Scoring Apoptotic and Pre-apoptotic Cells
After TUNEL staining, slides were prepared for light microscope imaging. Apoptotic cells were counted in different parts of the right hippocampus under x40 magnification. Images were taken and scores were recorded. Please note, the right hippocampus was studied in all slides to ensure experimental uniformity. The pre-apoptotic and TUNEL-positive cell density was estimated by unit area via a grading system containing unbiased frames and via morphometric methods. Cell means were calculated per unit area for different parts of the hippocampus using the formula below:
NA: numerical aperture
ΣQ: number of cells counted in a slice
a/f: area in relation to each frame
ΣP: number of frames counted
Data and Statistical Analysis
All statistical analyses were performed using SPSS (Statistical Package for the Social Sciences) software (version 16) using at-test. Results were considered statistically significant if the p-value (predictive value) was estimated as less than 0.05.
Results
Results of the TUNEL Assay Analysis of Apoptotic Cells
The mean number of TUNEL positive cells in the unit area (NA) of CA1, CA2, CA3 and DG parts of hippocampus were estimated via light microscopy. In comparison with the control group, the mean number of TUNEL positive cells in these areas had dramatically increased in the stanozolol group (Figures 2, 3, 4 and 5). Statistical analysis indicated a significant increase in stanozolol group compared to the control for all areas (Figure 6).

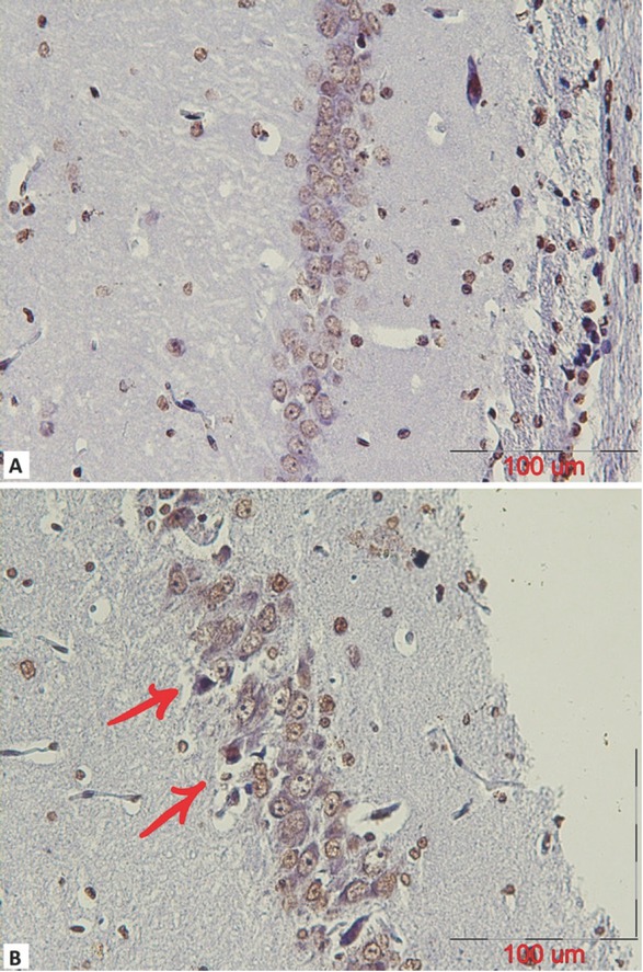
A representative coronal section of the CA1 part of a mature male rat’s hippocampus which was stained using a TUNEL assay to observe apoptotic cells in (A) control and (B) stanozolol treated groups. The arrows indicate TUNEL positive cells with dark brown nuclei (scalebar=100μm).

A representative coronal section of the CA2 part of a mature male rat’s hippocampus stained using a TUNEL assay to observe apoptotic cells in (A) control and (B) stanozolol treated groups. The arrows indicate TUNEL positive cells with dark brown nuclei (scalebar=100μm).

A representative coronal section of the CA3 part of a mature male rat’s hippocampus stained using a TUNEL assay to observe apoptotic cells in (A) control and (B) stanozolol treated groups. The arrows indicate TUNEL positive cells with dark brown nuclei (scalebar=100μm).

A representative coronal section of the DG part of a mature male rat’s hippocampus stained using a TUNEL assay to observe apoptotic cells in (A) control and (B) stanozolol treated groups. The arrows indicate TUNEL positive cells with dark brown nuclei (scalebar=100μm).

The comparison of the mean number of apoptotic cells in the stanozolol group versus the control group in CA1, CA2, CA3 and DG of parts of mature male rats’ hippocampus (mean±SEM). Stanozolol treatment resulted in a statistically significant increase in the number of apoptotic cells in each brain area, when compared to the control group (*PV<0.05 for CA1, CA2 and CA3, **PV<0.01 for CA3).
Toluidine Blue Analysis of Pre-apoptotic Cells
In both treated and control groups, the number of pre-apoptotic cells was estimated by unit area(NA) inCA1, CA2, CA3 and DG parts of the hippocampus. In the control group, there were only few pre-apoptotic cells whereas in the treated group the number increased statistically significantly for each area of the hippocampus (Figures 7, 8, 9, 10 and 11).

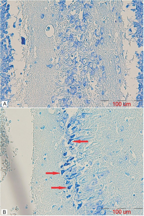
A representative coronal section of the CA1 area of a mature male rat’s hippocampus stained using Toluidine Blue to observe pre-apoptotic cells in (A) control and (B) stanozolol treated groups. The arrows indicate dark neurons (scalebar=100μm).

A representative coronal section of the CA2 area of a mature male rat’s hippocampus stained using Toluidine Blue to observe pre-apoptotic cells in (A) control and (B) stanozolol treated groups. The arrows indicate dark neurons (scalebar=100μm).

A representative coronal section of the CA3 area of a mature male rat’s hippocampus stained using Toluidine Blue to observe pre-apoptotic cells in (A) control and (B) stanozolol treated groups. The arrows indicate dark neurons (scalebar=100μm).

A representative coronal section of the DG area of a mature male rat’s hippocampus stained using Toluidine Blue to observe pre-apoptotic cells in (A) control and (B) stanozolol treated groups. The arrows indicate dark neurons (scalebar=100μm).

The comparison of the mean number of dark neurons in stanozolol group versus the control group in CA1, CA2, CA3 and DG of areas of mature male rats’ hippocampus (mean±SEM). Stanozolol treatment resulted in a statistically significant increase in the number of dark neurons in each brain area when compared to the control group (*p<0.05 in CA1, CA2, CA3, and DG).
Discussion
We have found that stanozolol induces neuronal histopathologic changes by inducing apoptotic and pre-apoptotic cells in all areas of the hippocampus. These changes were the result of daily injections of stanozolol to male adult rats for a total of 28 days. Histological evaluation of the hippocampi by TUNEL and toluidine blue assay revealed a statistically significant increase in the number of apoptotic and pre-apoptotic cells, respectively, in the drug treated group.
Previous literature on the neurotoxic effects of stanozolol on the CNS, are from the psychological viewpoint [18]. Here, for the first time, the apoptotic effect of stanozolol in the hippocampus has been investigated and semi quantitatively assessed.
In the study by Matriscano, it was shown that stanozolol induced changes in the hippocampus, related to the pathogenesis of major depressive disorder. In addition, these changes were prevented by the simultaneous administration of clomipramine as an antidepressant agent. Currently, concerns are rising that AASs can cause depression, regardless of risk factors [4].
In line with our research, the results of Dr. Zaugg et al. confirmed the apoptotic effects of stanozolol and showed for the first time that AASs induce apoptosis in a dose-dependent manner [13]. The in vitro exposure of the adult male rats’ myocytes to stanozolol, in addition to other AASs, was evaluated and the number of the apoptotic cells was assessed by TUNEL assay, which was higher than the control group. In addition, the evaluation of gene expression through the formation of complementary DNA (cDNA) transcripts from RNA (reverse transcription-PCR) was shown that these compounds increase the expression of the Bax-alpha which is a pre-apoptotic oncogene [13].
Dr. Orlando et al. have shown that neural vulnerability to an extrinsic cytotoxic stimulus was boosted in presence of AASs, and therefore facilitated neural death and subsequent acute or chronic CNS disorders [35]. Another study with similar results suggested that AASs, including stanozolol, enhanced neural damage leading to acute or chronic CNS disorders [19]. These studies are in line with our results confirming an increase in neural death.
Research by Gomes et al. also supported stanozolol-induced neural damage, where chronic exposure to AASs may cause psychological disorders, disturbances of neural transmission, changes in the level of neurotrophic factors, decreased cellular proliferation and neurogenesis, and enhanced the neural death [36]. It needs to be mentioned that AASs effects are dose-dependent, however, they are influenced by personal liability and lifestyle risk factors such as alcohol consumption [8].
Based on previous literature, AAS consumption as lead to memory disorders [37]. As hippocampal neurons play a key role in memory and learning processes, one probable reason for memory impairment is due to the apoptotic effects which cause neural death in the hippocampal area. In addition, stanozolol has demonstrated toxic effects on NMDA receptors in vitro at nanomolar concentrations [19]. Due to the important role of these receptors in memory and learning processes, it is assumed that AAS-induced memory disorders are due to the toxic effect on NMDA receptors.
Our study demonstrated that hippocampal damage is via the induction of apoptosis. It was confirmed by detecting the increase in apoptotic and pre-apoptotic cells in the rats’ hippocampi in the stanozolol treated group. These results reveal that the mean number of apoptotic and pre-apoptotic neurons in the experiment group was significantly increased when compared to the control group.
Two factors that are known to play a role in apoptotic cell death are oxidative stress and free radicals. Oxidative stress results in the destruction of cell membranes and intracellular organelles by the activation of chemical signalling involved in apoptosis. Considering the confirmed role of stanozolol in causing oxidative stress [38], it can be concluded that one reason for the increase in the number of apoptotic cells in our study is due to oxidative stress.
Conclusion
In conclusion, the anabolic-androgenic steroid stanozolol, as an anabolic-androgenic steroid, caused neural destruction in rat hippocampi by creating apoptotic and pre-apoptotic cells. The hippocampus plays an important role in memory function, therefore, neural damage in this area may induce memory disorders. Future behavioural studies to investigate the formation and severity of memory dysfunction are needed.
Conflict of interest: Authors state no conflict of interest.
References
1 Pope HG, Kanayama G. Anabolic–Androgenic Steroids. In: Verster CJ, Brady K, Galanter M, Conrod P, editors. Drug Abuse and Addiction in Medical Illness: Causes, Consequences and Treatment. New York, NY: Springer New York; 2012. p. 251-64.10.1007/978-1-4614-3375-0_19Search in Google Scholar
2 Maini AA, Maxwell-Scott H, Marks DJ. Severe alkalosis and hypokalemia with stanozolol misuse. Am J Emerg Med. 2014;32(2):196 e3-4.10.1016/j.ajem.2013.09.027Search in Google Scholar PubMed
3 van Amsterdam J, Opperhuizen A, Hartgens F. Adverse health effects of anabolic-androgenic steroids. RegulToxicolPharmacol. 2010;57(1):117-23.10.1016/j.yrtph.2010.02.001Search in Google Scholar
4 Matrisciano F, Modafferi AM, Togna GI, Barone Y, Pinna G, Nicoletti F, et al. Repeated anabolic androgenic steroid treatment causes antidepressant-reversible alterations of the hypothalamic-pituitary-adrenal axis, BDNF levels and behavior. Neuropharmacology. 2010;58(7):1078-84.10.1016/j.neuropharm.2010.01.015Search in Google Scholar PubMed
5 Beutel A, Bergamaschi CT, Campos RR. Effects of chronic anabolic steroid treatment on tonic and reflex cardiovascular control in male rats. J Steroid BiochemMol Biol. 2005;93(1):43-8.10.1016/j.jsbmb.2004.11.003Search in Google Scholar
6 Musharraf SG, Arfeen QU, Mazhar W, Kanwal N. A validated stability-indicating TLC-densitometric method for the determination of stanozolol in pharmaceutical formulations. Chem Cent J. 2013;7(1):142.10.1186/1752-153X-7-142Search in Google Scholar PubMed
7 Chesnut CH, 3rd, Ivey JL, Gruber HE, Matthews M, Nelp WB, Sisom K, et al. Stanozolol in postmenopausal osteoporosis: therapeutic efficacy and possible mechanisms of action. Metabolism. 1983;32(6):571-80.10.1016/0026-0495(83)90027-6Search in Google Scholar PubMed
8 Ampuero J, Garcia ES, Lorenzo MM, Calle R, Ferrero P, Gomez MR. Stanozolol-induced bland cholestasis. Gastroenterol Hepatol. 2014;37(2):71-2.10.1016/j.gastrohep.2013.09.009Search in Google Scholar PubMed
9 Clark AS, Harrold EV, Fast AS. Anabolic-androgenic steroid effects on the sexual behavior of intact male rats. HormBehav. 1997;31(1):35-46.10.1006/hbeh.1997.1355Search in Google Scholar PubMed
10 Perry PJ, Yates WR, Andersen KH. Psychiatric Symptoms Associated with Anabolic Steroids: A Controlled, Retrospective Study. Ann Clin Psychiatry. 1990;2(1):11-7.10.3109/10401239009150000Search in Google Scholar
11 Maravelias C, Dona A, Stefanidou M, Spiliopoulou C. Adverse effects of anabolic steroids in athletes. A constant threat. Toxicol Lett. 2005;158(3):167-75.10.1016/j.toxlet.2005.06.005Search in Google Scholar PubMed
12 Abu-Shakra S, Alhalabi MS, Nachtman FC, Schemidt RA, Brusilow WS. Anabolic steroids induce injury and apoptosis of differentiated skeletal muscle. J Neurosci Res. 1997;47(2):186-97.10.1002/(SICI)1097-4547(19970115)47:2<186::AID-JNR7>3.0.CO;2-BSearch in Google Scholar PubMed
13 Zaugg M, Jamali NZ, Lucchinetti E, Xu W, Alam M, Shafiq SA, et al. Anabolic-androgenic steroids induce apoptotic cell death in adult rat ventricular myocytes. J Cell Physiol. 2001;187(1):90-5.10.1002/1097-4652(2001)9999:9999<00::AID-JCP1057>3.0.CO;2-YSearch in Google Scholar PubMed
14 Pey A, Saborido A, Blazquez I, Delgado J, Megias A. Effects of prolonged stanozolol treatment on antioxidant enzyme activities, oxidative stress markers, and heat shock protein HSP72 levels in rat liver. J Steroid BiochemMol Biol. 2003;87(4-5):269-77.10.1016/j.jsbmb.2003.09.001Search in Google Scholar
15 Boada LD, Zumbado M, Torres S, Lopez A, Diaz-Chico BN, Cabrera JJ, et al. Evaluation of acute and chronic hepatotoxic effects exerted by anabolic-androgenic steroid stanozolol in adult male rats. Arch Toxicol. 1999;73(8-9):465-72.10.1007/s002040050636Search in Google Scholar PubMed
16 Habscheid W, Abele U, Dahm HH. [Severe cholestasis with kidney failure from anabolic steroids in a body builder]. Dtsch Med Wochenschr. 1999;124(36):1029-32.10.1055/s-2007-1024477Search in Google Scholar
17 Sheffer AL, Fearon DT, Austen KF. Clinical and biochemical effects of stanozolol therapy for hereditary angioedema. J Allergy Clin Immunol. 1981;68(3):181-7.10.1016/0091-6749(81)90181-0Search in Google Scholar PubMed
18 Pomara C, Neri M, Bello S, Fiore C, Riezzo I, Turillazzi E. Neurotoxicity by synthetic androgen steroids: oxidative stress, apoptosis, and neuropathology: A review. CurrNeuropharmacol. 2015;13(1):132-45.10.2174/1570159X13666141210221434Search in Google Scholar
19 Orlando R, Caruso A, Molinaro G, Motolese M, Matrisciano F, Togna G, et al. Nanomolar concentrations of anabolic-androgenic steroids amplify excitotoxic neuronal death in mixed mouse cortical cultures. Brain Res. 2007;1165:21-9.10.1016/j.brainres.2007.06.047Search in Google Scholar PubMed
20 Snell RS. Clinical Neuroanatomy. Seventh ed. (January 22, 2009). Philadelphia: Wolters Kluwer Health/Lippincott Williams & Wilkins; c2010. 560 p.Search in Google Scholar
21 Hall JE. Guyton and Hall: Textbook of Medical Physiology. 13th ed. (June 3, 2015). Saunders Imprint. Philadelphia, US. Chapter 59, P759-760.Search in Google Scholar
22 Rubinow DR, Schmidt PJ. Androgens, brain, and behavior. The American Journal of Psychiatry. 1996;153(8):974-984.10.1176/ajp.153.8.974Search in Google Scholar PubMed
23 Bagheri-Abassi F, Alavi H, Mohammadipour A, Motejaded F, Ebrahimzadeh-Bideskan A. The effect of silver nanoparticles on apoptosis and dark neuron production in rat hippocampus. Iran J Basic Med Sci. 2015;18(7):644-8.Search in Google Scholar PubMed
24 Blasberg ME, Clark AS. Anabolic-androgenic steroid effects on sexual receptivity in ovariectomized rats. Horm Behav. 1997;32(3):201-8.10.1006/hbeh.1997.1422Search in Google Scholar PubMed
25 Clark AS, Kelton MC, Whitney AC. Chronic administration of anabolic steroids disrupts pubertal onset and estrous cyclicity in rats. Biol Reprod. 2003;68(2):465-71.10.1095/biolreprod.102.008078Search in Google Scholar PubMed
26 Clark AS, Fast AS. Comparison of the effects of 17 alpha-methyltestosterone, methandrostenolone, and nandrolone decanoate on the sexual behavior of castrated male rats. Behav Neurosci. 1996;110(6):1478-86.10.1037/0735-7044.110.6.1478Search in Google Scholar PubMed
27 Duchaine D. Underground Steroid Handbook II: Incorporating Material from the Original Underground Steroid Handbook, Ultimate Muscle Mass, and the USH Updates #1-10: HLR Technical Books; 1989.Search in Google Scholar
28 Pieretti S, Mastriota M, Tucci P, Bataglia G, Trabace L, Nicoletti F, et al. Brain nerve growth factor unbalance induced by anabolic androgenic steroids in rats. Med Sci Sports Exerc. 2013;45(1):29-35.10.1249/MSS.0b013e31826c60eaSearch in Google Scholar PubMed
29 Kudo K, Wati H, Qiao C, Arita J, Kanba S. Age-related disturbance of memory and CREB phosphorylation in CA1 area of hippocampus of rats. Brain Res. 2005;1054(1):30-7.10.1016/j.brainres.2005.06.045Search in Google Scholar PubMed
30 Sreekumaran E, Ramakrishna T, Madhav TR, Anandh D, Prabhu BM, Sulekha S, et al. Loss of dendritic connectivity in CA1, CA2, and CA3 neurons in hippocampus in rat under aluminum toxicity: antidotal effect of pyridoxine. Brain Res Bull. 2003;59(6):421-7.10.1016/S0361-9230(02)00944-9Search in Google Scholar PubMed
31 Jekal SJ, Cha HH. Discrimination of early and late apoptotic cells by toluidine blue staining in paraffin-embedded tissues. The Korean Journal of Clinical Laboratory Science (KJCLS). 1998;30:275-90.Search in Google Scholar
32 Sadeghi A, Ebrahimzadeh Bideskan A, Alipour F, Fazel A, Haghir H. The Effect of Ascorbic Acid and Garlic Administration on Lead-Induced Neural Damage in Rat Offspring’s Hippocampus. Iranian Journal of Basic Medical Sciences. 2013;16(2):157-64.Search in Google Scholar PubMed
33 Abrams JM, White K, Fessler LI, Steller H. Programmed cell death during Drosophila embryogenesis. Development. 1993;117(1):29-43.10.1242/dev.117.1.29Search in Google Scholar PubMed
34 Erenpreisa J, Erenpreiss J, Freivalds T, Slaidina M, Krampe R, Butikova J, et al. Toluidine blue test for sperm DNA integrity and elaboration of image cytometry algorithm. Cytometry A. 2003;52(1):19-27.10.1002/cyto.a.10015Search in Google Scholar PubMed
35 MohdMutalip SS, Surindar Singh GK, Mohd Shah A, Mohamad M, Mani V, Hussin SN. Histological changes in testes of rats treated with testosterone, nandrolone, and stanozolol. Iran J Reprod Med. 2013;11(8):653-8.Search in Google Scholar PubMed
36 Novaes Gomes FG, Fernandes J, Vannucci Campos D, Cassilhas RC, Viana GM, D’Almeida V, et al. The beneficial effects of strength exercise on hippocampal cell proliferation and apoptotic signalling is impaired by anabolic androgenic steroids. Psychoneuroendocrinology. 2014;50:106-17.10.1016/j.psyneuen.2014.08.009Search in Google Scholar PubMed
37 Bueno A, Carvalho FB, Gutierres JM, Lhamas C, Andrade CM. A comparative study of the effect of the dose and exposure duration of anabolic androgenic steroids on behavior, cholinergic regulation, and oxidative stress in rats. PLoS One. 2017;12(6):e0177623.10.1371/journal.pone.0177623Search in Google Scholar PubMed PubMed Central
38 Bueno A, Carvalho FB, Gutierres JM, Lhamas CL, Brusco I, Oliveira SM, et al. Impacts of dose and time of boldenone and stanazolol exposure in inflammatory markers, oxidative and nitrosative stress and histopathological changes in the rat testes. Theriogenology. 2017;90:101-8.10.1016/j.theriogenology.2016.11.024Search in Google Scholar PubMed
© 2019 Faezeh Nemati Karimooy et al., published by De Gruyter
This work is licensed under the Creative Commons Attribution 4.0 Public License.
Articles in the same Issue
- Research Article
- ATP Synthase: Structure, Function and Inhibition
- Insulin Promotes Wound Healing by Inactivating NFkβP50/P65 and Activating Protein and Lipid Biosynthesis and alternating Pro/Anti-inflammatory Cytokines Dynamics
- Mini review
- The disordered boundary of the cell: emerging properties of membrane-bound intrinsically disordered proteins
- Research Article
- Expression of OX40 Gene and its Serum Levels in Neuromyelitis Optica Patients
- Advances in Molecular biomarker for early diagnosis of Osteoarthritis
- Identification of BRCA1/2 p.Ser1613Gly, p.Pro871Leu, p.Lys1183Arg, p.Glu1038Gly, p.Ser1140Gly, p.Ala2466Val, p.His2440Arg variants in women under 45 years old with breast nodules suspected of having breast cancer in Burkina Faso
- Endometriosis Pathoetiology and Pathophysiology: Roles of Vitamin A, Estrogen, Immunity, Adipocytes, Gut Microbiome and Melatonergic Pathway on Mitochondria Regulation
- Integral membrane protein expression of human CD25 on the cell surface of HEK293 cell line: the available cellular model of CD25 positive to facilitate in vitro developing assays
- Review Article
- Role of Nanomedicine in Redox Mediated Healing at Molecular Level
- Research Article
- Glutathione S-transferase M1 (GSTM1) and T1 (GSTT1) variants and breast cancer risk in Burkina Faso
- Incidence of viruses infecting pepper in Thailand
- Mechanochemistry of von Willebrand factor
- Schizophrenia phenomenology comprises a bifactorial general severity and a single-group factor, which are differently associated with neurotoxic immune and immune-regulatory pathways
- Role of Killer cell immunoglobulin-like receptors (KIR) genes in stages of HIV-1 infection among patients from Burkina Faso
- The effect of rs9930506 FTO gene polymorphism on obesity risk: a meta-analysis
- Special Issue: Recent Advances in Basic and Clinical Medicine
- Antihyperglycemic and antihyperlipidemic activities of Nannochloropsis oculata microalgae in Streptozotocin-induced diabetic rats
- Comparison of the effect of vitamin D on osteoporosis and osteoporotic patients with healthy individuals referred to the Bone Density Measurement Center
- Zinc enhances the expression of morphine-induced conditioned place preference through dopaminergic and serotonergic systems
- Pre-operative laparoscopic staging of gastric cancer in patients who are candidates for neo-adjuvant chemotherapy: A Cross Sectional Study
- Neurotoxic Effects of Stanozolol on Male Rats‘ Hippocampi: Does Stanozolol cause apoptosis?
- Only serum pepsinogen I and pepsinogen I/II ratio are specific and sensitive biomarkers for screening of gastric cancer
- Evaluation of Quality of Life in Terms of Sinonasal Symptoms in Children with Cystic Fibrosis
- The Effect of Fine needle aspiration on Detecting Malignancy in Thyroid Nodule
- Diagnosis of Primary Hydatid Cyst of Thyroid Gland: A Case Report
- Ultrasonography in the diagnosis of lung adhesion before surgery
Articles in the same Issue
- Research Article
- ATP Synthase: Structure, Function and Inhibition
- Insulin Promotes Wound Healing by Inactivating NFkβP50/P65 and Activating Protein and Lipid Biosynthesis and alternating Pro/Anti-inflammatory Cytokines Dynamics
- Mini review
- The disordered boundary of the cell: emerging properties of membrane-bound intrinsically disordered proteins
- Research Article
- Expression of OX40 Gene and its Serum Levels in Neuromyelitis Optica Patients
- Advances in Molecular biomarker for early diagnosis of Osteoarthritis
- Identification of BRCA1/2 p.Ser1613Gly, p.Pro871Leu, p.Lys1183Arg, p.Glu1038Gly, p.Ser1140Gly, p.Ala2466Val, p.His2440Arg variants in women under 45 years old with breast nodules suspected of having breast cancer in Burkina Faso
- Endometriosis Pathoetiology and Pathophysiology: Roles of Vitamin A, Estrogen, Immunity, Adipocytes, Gut Microbiome and Melatonergic Pathway on Mitochondria Regulation
- Integral membrane protein expression of human CD25 on the cell surface of HEK293 cell line: the available cellular model of CD25 positive to facilitate in vitro developing assays
- Review Article
- Role of Nanomedicine in Redox Mediated Healing at Molecular Level
- Research Article
- Glutathione S-transferase M1 (GSTM1) and T1 (GSTT1) variants and breast cancer risk in Burkina Faso
- Incidence of viruses infecting pepper in Thailand
- Mechanochemistry of von Willebrand factor
- Schizophrenia phenomenology comprises a bifactorial general severity and a single-group factor, which are differently associated with neurotoxic immune and immune-regulatory pathways
- Role of Killer cell immunoglobulin-like receptors (KIR) genes in stages of HIV-1 infection among patients from Burkina Faso
- The effect of rs9930506 FTO gene polymorphism on obesity risk: a meta-analysis
- Special Issue: Recent Advances in Basic and Clinical Medicine
- Antihyperglycemic and antihyperlipidemic activities of Nannochloropsis oculata microalgae in Streptozotocin-induced diabetic rats
- Comparison of the effect of vitamin D on osteoporosis and osteoporotic patients with healthy individuals referred to the Bone Density Measurement Center
- Zinc enhances the expression of morphine-induced conditioned place preference through dopaminergic and serotonergic systems
- Pre-operative laparoscopic staging of gastric cancer in patients who are candidates for neo-adjuvant chemotherapy: A Cross Sectional Study
- Neurotoxic Effects of Stanozolol on Male Rats‘ Hippocampi: Does Stanozolol cause apoptosis?
- Only serum pepsinogen I and pepsinogen I/II ratio are specific and sensitive biomarkers for screening of gastric cancer
- Evaluation of Quality of Life in Terms of Sinonasal Symptoms in Children with Cystic Fibrosis
- The Effect of Fine needle aspiration on Detecting Malignancy in Thyroid Nodule
- Diagnosis of Primary Hydatid Cyst of Thyroid Gland: A Case Report
- Ultrasonography in the diagnosis of lung adhesion before surgery