Journal of Pediatric Endocrinology and Metabolism
Issue
Licensed
Unlicensed Requires Authentication

Volume 38, Issue 1

Contents
  • Publicly Available
    Frontmatter
    January 10, 2025
    Page range: i-iii
  • Review
  • December 16, 2024
    Stefanie Stasek, Frank Zaucke, Heike Hoyer-Kuhn, Julia Etich, Susanna Reincke, Isabell Arndt, Mirko Rehberg, Oliver Semler
    Page range: 1-15
  • Opinion Paper
  • November 25, 2024
    Clemens Kamrath, Hedi L. Claahsen-van der Grinten
    Page range: 16-21
  • Original Articles
  • November 28, 2024
    Esha A. Gupta, Xiaofan Huang, Horacio J. Velasquez, Khushboo Golani, Alejandro F. Siller, Charles G. Minard, Mustafa Tosur, Maria J. Redondo
    Page range: 22-28
  • November 28, 2024
    Sushil Yewale, Navendu Chaudhary, Demi Miriam, Shital Bhor, Nimisha Dange, Nikhil Shah, Vaman Khadilkar, Anuradha Khadilkar
    Page range: 29-36
  • November 22, 2024
    Serkan Bilge Koca, Tarik Kirkgoz, Leyla Kara
    Page range: 37-44
  • November 14, 2024
    Ihsan Esen, Nilgun Eraslan, Deniz Okdemir
    Page range: 45-50
  • December 16, 2024
    Carly R. Westermann, Tom B. Davidson, Kaaren Waters, Ashley S. Margol, Clement C. Cheung
    Page range: 58-64
  • November 28, 2024
    Rofaida M. Magdy, Karen Reznik Dolins, Hanan Nagdy, Tasneem Mohammed Ali, Heba S. Elabd, Mohammad Ahmad Hassan
    Page range: 65-72
  • Case Reports
  • Requires Authentication Unlicensed
    Licensed
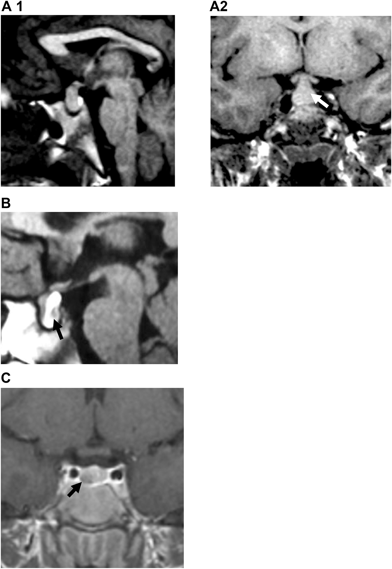
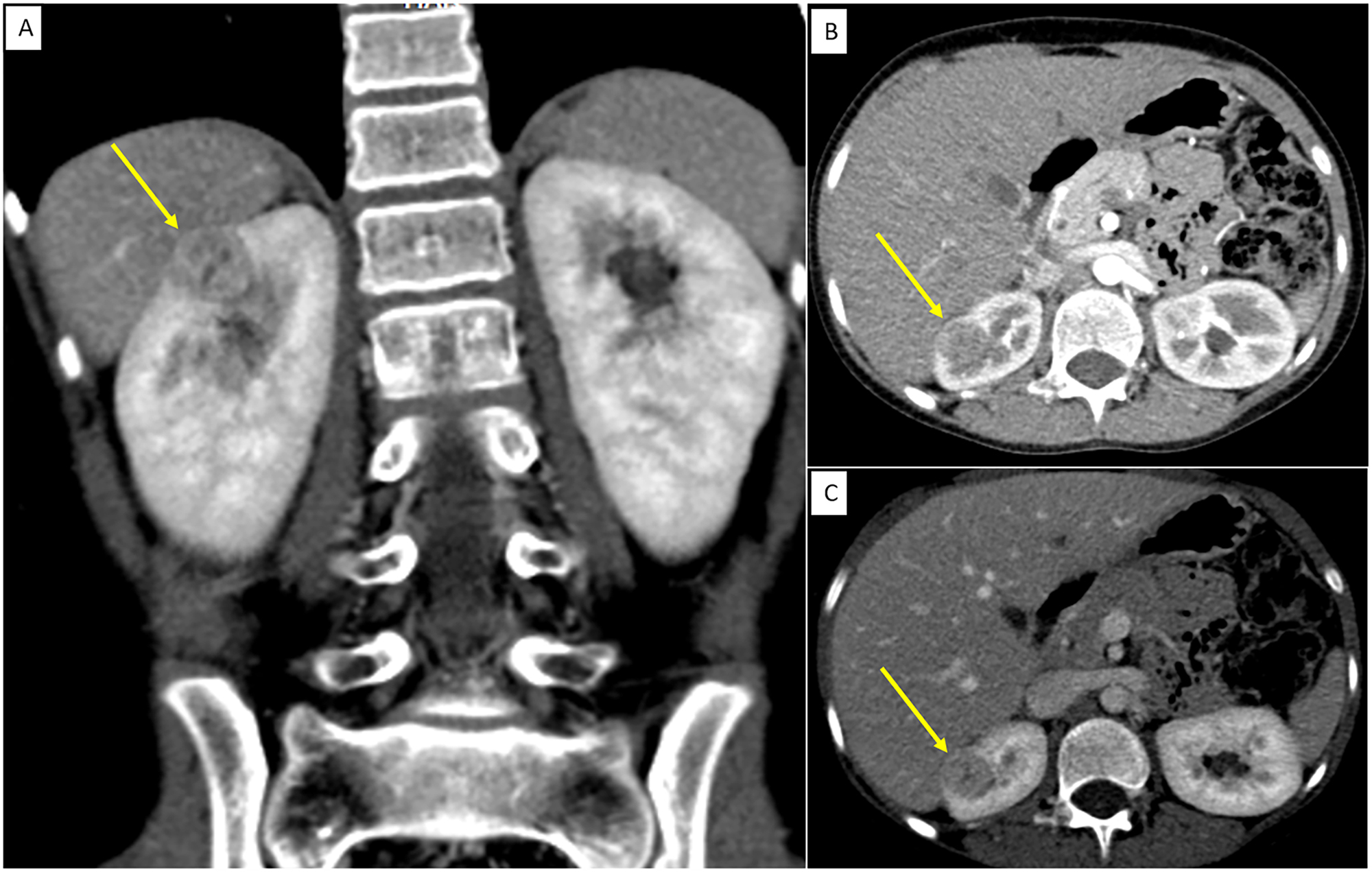
    Reninoma: an unusual cause of growth failure
    December 12, 2024
    Nupoor Vaghasia, Ganesh Jevalikar, Mohammad Shafi Kuchay, Lipika Lipi, Ambrish Mithal
    Page range: 73-78
  • November 28, 2024
    Mehmet Akyar, İpek Guney Varal, Gaffari Tunç, Ayşe Ören, Yasemin Denkboy Öngen, Eren Çağan
    Page range: 79-81
  • November 19, 2024
    Iratxe Martínez Castillo, Mariana Aziz, Isabel Di Palma, Laura López, Alicia Chaparro, Javier González Ramos, Celeste Mansilla, Fabiana Lubienecki, Gabriela Lamas, Carlos Adrián Rugilo, Juan Manuel Lazzatti, Marta Ciaccio, Silvia Gil
    Page range: 82-89
  • Requires Authentication Unlicensed
    Licensed
    A novel de novo missense OTC mutation in an Iranian girl: a case report
    November 25, 2024
    Ensiyeh Bahadoran, Fatemeh Saffari, Mehrzad Ramezani, Sahar Moghbelinejad
    Page range: 90-94
Downloaded on 26.12.2025 from https://www.degruyterbrill.com/journal/key/jpem/38/1/html?lang=en&srsltid=AfmBOopDzbJNU5w1YyxiRRHwN_aNw7oTZwYMChyPOOJhCcbuH2uyb2MY
Scroll to top button