Abstract
Fraxinellone is a naturally occurring degraded limonoid isolated from many species of plants in Meliaceae and Rutaceae. Besides structural modification of the lead compounds, the toxicology study of the lead compounds is also a very important procedure to develop insecticidal agents. Herein the toxicology study of fraxinellone was carried out as the ovicidal agent against the eggs of two lepidopteran insects Mythimna separata Walker and Bombyx mori Linaeus. Fraxinellone selectively exhibited an ovicidal activity against the eggs of M. separata. After treatment with fraxinellone, the eggshells of M. separata were shrinked, whereas those of B. mori had no obvious change. The dynamic process of M. separata embryo development demonstrated that the distinct difference between the treated eggs and the control ones was obvious at the second day after treatment, especially, the control embryo finished blastokinesis, whereas the treated ones were still laid at pre-reversion status and a lot of yolk can be seen around the embryo. It ultimately resulted in the eggshell withered and the egg hatching inhibited.
1 Introduction
Although synthetic chemical insecticides have played a significant role in modern agricultural pest management, repeat and extensive application of those agrochemicals over the years has resulted in the development of resistance in insect pest populations and environmental problems [1], [2], [3]. Due to pesticides produced from plant secondary metabolites may causing less or slower resistance development and lower environmental pollution, recently, the discovery of new insecticidal agents directly from plant secondary metabolites, or by using them as the lead compounds for structural modifications, have been one of the important procedures for research and development of new pesticides [4], [5], [6], [7], [8], [9], [10]. Additionally, besides structural modification of the lead compounds, the toxicology study of the lead compounds is also a very important procedure to develop new insecticidal agents. At oviposition, insect eggs provide all the nutrients and energy necessary for their embryonic development, and their eggshells, which are used to protect eggs away from all natural dangers, are normally composed of three layers such as the vitelline membrane (VM), endochorion and exochorion. The eggshell is created to facilitate fertilization and allows respiration of the developing embryo [11]. Currently, the large majority of insecticides are focused on the management of the most destructive stages of insect pests such as at the larval, nymphal and adult stages. However, the ovicidal effects of insecticides are usually ignored.
Fraxinellone (Figure 1), a naturally occurring degraded limonoid, has been successfully isolated from many species of plants in Meliaceae and Rutaceae, including Dictamnus angustifolius, Fagaropsis glabra, Melia azadarach, Raulinoa echinata, and Dictamnus dasycarpus [12]. Although many bioactivities, such as fraxinellone showing slow-delayed toxic activity and the insects possessing digestive tract poisoning symptoms [13], [14], and protease (especially the weak alkaline trypsin-like enzyme), Carboxylesterase (CarE) and glutathione S-transferase (GST) of the treated Mythimna separata Walker played important roles in the metabolism of fraxinellone in the midgut [15], [16], have been reported by our group and other researchers. In continuation of our program aimed at the discovery and development of natural-product-based insecticidal agents [17], [18], in this paper we studied the toxicology of fraxinellone as the ovicidal agent against the eggs of two lepidopteran insects M. separata and Bombyx mori Linaeus. We hope it will pave the way for further structural modifications of fraxinellone as ovicidal agents.

The chemical structure of fraxinellone.
2 Materials and methods
2.1 Insect and chemicals
Fraxinellone was isolated from D. dasycarpus as a white solid, and its purity was larger than 99% (purchased from Baoji Haoxiang Bio-technology Co. Ltd). The larvae of M. separata were obtained from Institute of Pesticide Science, Northwest A&F University and were reared on wheat leaves in a conditioned room (25 ± 2 °C, 60–80% relative humidity (RH), 12 h/12 h (light/dark) photoperiod) till they laid plump eggs. The eggs of silkworm B. mori were purchased from the Sericultural and Silk Research Institute of Shaanxi province.
2.2 Ovicidal activity assay
The newly laid plump eggs of M. separata and B. mori were collected. Three acetone solutions of fraxinellone were prepared at the concentrations of 5.0, 10.0, and 20.0 mg mL−1, respectively. Each concentration was done in three replicates. About 100 eggs were used in each replicate and dipped into the corresponding solution for 3 s. Excess solutions were removed by filter paper. The treated egg masses were then transferred into petri dishes with filter paper on the bottom. The fresh wheat leaves were used to keep the humidity. Egg masses were treated with acetone alone as the blank control group (CG). The experiment was carried out at 25 ± 2 °C and 60−80% RH, and at 12 h/12 h (light/dark) photoperiod. The hatching rate (HR) of eggs was calculated by the formula: HR (%) = the number of first-instar larvae × 100 / the number of total eggs. All the assay data were analyzed by Duncan’s posttest, which was conducted using statistical product and service solutions (SPSS) 17.0 software to examine the significance of differences.
2.3 Scanning electron microscopy (SEM)
The eggs were treated as the method mentioned above and the concentration of the acetone solution of fraxinellone was 20 mg mL−1. Selected eggs of M. separata and B. mori were fixed in 2.5% glutaraldehyde for 2 h. After rinsing twice with 0.2 M phosphate buffered saline (PBS), the samples were dehydrated with increasing concentrations of alcohol at 15 min intervals. In order to complete the dehydration process, the samples were then subjected to critical-point drying. Subsequently, the samples were attached to a copper platform with double-stick tape and coated with gold-palladium in a sputter coating apparatus. Finally, the samples were observed with a JSM-6360LV scanning electron microscope.
2.4 Light microscopy (LM)
The newly laid eggs of M. separata were collected and treated with the acetone solution of fraxinellone at 20 mg mL−1. The eggs treated with acetone alone were used as the blank control group. After treatment, the eggs were maintained at 25 ± 2 °C and 60−80% RH, and at 12 h/12 h (light/dark) photoperiod. Every 24 h, some of the treated eggs were selected and fixed with Bouin’s and Carnoy’s solution for 12 and 4 h, respectively. A solution of 10% aq. KCl was used to soften the eggshells, which were further dehydrated in grade ethanol solution and embedded in paraffin. The 5 μm sections were stained with hematoxylin and eosin (H & E) and observed in a Nikon microscope. The specimens were prepared till the control group started hatching.
3 Results and discussion
In our previous report [14], we found that fraxinellone exhibited the inhibition ability on the egg hatching of M. separata. In the present paper, the ovicidal activity of fraxinellone was tested against eggs of M. separata and B. mori, and fraxinellone selectively displayed the ovicidal activity against eggs of M. separata (Figure 2). For example, when the eggs of M. separata were treated with fraxinellone at the concentrations of 5, 10 and 20 mg mL−1, the corresponding HRs of the eggs were 54, 52 and 48%, respectively (Figure 2-up), whereas the HR of the eggs of the CG was 96%. On the contrary, fraxinellone had no distinct effect on the egg hatching against B. mori. When the eggs of B. mori were treated with fraxinellone at 5, 10 and 20 mg mL−1, the corresponding HRs of the eggs were all larger than 80% (Figure 2-bottom).

Effects of fraxinellone on the hatching from eggs of Mythimna separata (up) and Bombyx mori (bottom). Data in the figure are mean ± SE. Different lowercase letters indicate the significant differences among different groups (p < 0.05).
The eggshell is the first barrier to insecticide penetration. Due to the important roles of eggshell in protecting embryo away from harm, the structures of the treated eggshell of M. separata and B. mori were also investigated. By SEM, we found that the newly plump eggs of M. separata looked like a number of shining pearl, and the diameter of them is about 0.7 mm. The egg surface is very smooth and beautiful curlicue arranged on the one pole. It is the micropyle of egg. Around the hole, there are many quadrangles or diamond structures (Figure 3a–c). Once the eggs of M. separata were treated with fraxinellone at 20 mg mL−1, their eggshells were shrinked (Figure 3d). Finally, it resulted in the eggshell wrinkled and the egg hatching inhibited. Different from that of M. separata, the eggshell (about 1.1–1.4 mm diameter) of B. mori is rough and covered with an outer layer typified by hexagonal structures, which were filled with small nodules (Figure 4a–c). Interestingly, even if the eggs of B. mori were treated with fraxinellone at 20 mg mL−1, the eggshell had no obvious change (Figure 4d).

The microscopic structures of the eggshell of M. separata. Control egg (a, b and c); treated egg (d). The black arrow (Figure 3c) indicates the micropyle of M. separata egg.

The microscopic structures of the eggshell of B. mori. Control egg (a, b and c); treated egg (d).
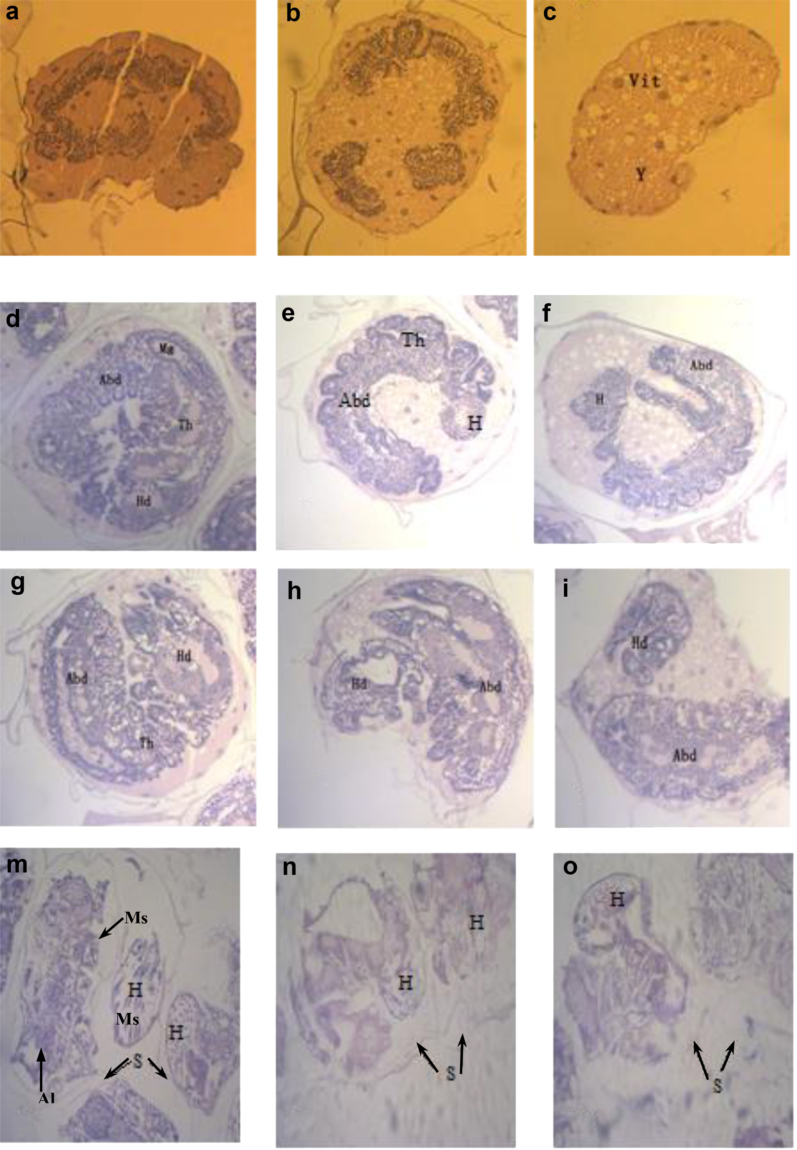
The dynamic process of M. separata embryo development was investigated by LM as shown in Figure 5. At the first day, there was no obvious difference between the control eggs and the treated ones (at 20 mg mL−1 of fraxinellone), and most of them stayed at the period of segmentation and appearance of appendages (Figures 5a and b). A few of treated embryos were full of yolk and vitellophage, and had no hatching evidence (Figure 5c). At the second day, the abdomen part of embryo of the control eggs was towards inner and finished blastokinesis (Figure 5d), whereas the treated ones were still stunted and laid at pre-reversion status (Figure 5e). Especially a lot of yolk of the treated ones can be seen around the embryo (Figure 5f). At the third day, the midgut of the embyro of control eggs can be seen easily and the shape of eggshell was regular (Figure 5g). On the contrary, the thinner cells still appeared within foregut-midgut and midgut-hindgut of the treated embryo (Figure 5h). Meanwhile, the eggshell of the treated ones was changed irregularly (Figure 5i). At the fifth day, the eggshell of the control group was integer, and the shape was regular. Under the microscope, the muscle fiber and nucleus of the control group were red and dark amaranth, respectively. The cells of alimentary tract were arranged tightly, and their cytoplasm generally was stained amaranth in the control group (Figure 5m). However, the inner part of embryo of the treated ones was stained red and their eggshells were changed rough (Figure 5n and o). It indicated that the larvae tissues of M. separata showed hypereosinophilic.

The dynamic development process of embryo of M. separata under light micrograph (200X). Control group (a, d, g and m); treated group (b, c, e, f, h, i, n and o). The first, second, third and fourth horizontal lines represented 1, 2, 3 and 5 days after treatment, respectively. Vit: vitellophage; Y: yolk protein; Hd/H: head; Th: thorax; Abd: abdomen; Mg: midgut; Ms: muscle fiber; S: eggshell; Al: alimentary tract.
In summary, the ovicidal activity of fraxinellone was evaluated against the eggs of two lepidopteran insects M. separata and B. mori. Fraxinellone selectively exhibited the ovicidal activity against the eggs of M. separata. After treatment with fraxinellone, the eggshells of M. separata were shrinked, whereas that of B. mori had no obvious change. The dynamic process of M. separata embryo development demonstrated that the distinct difference between the treated eggs and the control ones was obvious at the second day after treatment. It ultimately resulted in the eggshell withered and the egg hatching inhibited. Moreover, we will prepare some novel fraxinellone derivatives as ovicidal agents against the eggs of M. separata.
Acknowledgments
This work was supported by Special Funds of Central Colleges Basic Scientific Research Operating Expenses, Northwest A&F University (grant nos. 2452018110).
Author contribution: All the authors have accepted responsibility for the entire content of this submitted manuscript and approved submission.
Research funding: This work was supported by Special Funds of Central Colleges Basic Scientific Research Operating Expenses, Northwest A&F University (grant nos. 2452018110).
Employment or leadership: None declared.
Honorarium: None declared.
Conflict of interest statement: The authors report no declarations of interest.
References
1. Heckel, DG. Insecticide resistance after silent spring. Science 2012;337:1612−4. https://doi.org/10.1126/science.1226994.Search in Google Scholar
2. Gould, F, Brown, ZS, Kuzma, J. Wicked evolution: can we address the sociobiological dilemma of pesticide resistance?. Science 2018;360:728–32. https://doi.org/10.1126/science.aar3780.Search in Google Scholar
3. Gevao, B, Semple, KT, Jones, KC. Bound pesticide residues in soils: a review. Environ Pollut 2000;108:3–14. https://doi.org/10.1016/s0269-7491(99)00197-9.Search in Google Scholar
4. Sun, Z, Lv, M, Yu, X, Xu, H. Application of sustainable natural bioresources in crop protection: insight into a podophyllotoxin-derived botanical pesticide for regulating insect vestigial wing of Mythimna separata Walker. ACS Sust Chem Eng 2017;5:3945−54. https://doi.org/10.1021/acssuschemeng.6b03145.Search in Google Scholar
5. Wu, HX, Yang, W, Zhang, ZX, Huang, T, Yao, GK, Xu, HH. Uptake and phloem transport of glucose-fipronil conjugate in Ricinus communis involve a carrier-mediated mechanism. J Agric Food Chem 2012;60:6088−94. https://doi.org/10.1021/jf300546t.Search in Google Scholar
6. Yu, X, Che, Z, Xu, H. Recent advances in the chemistry and biology of podophyllotoxins. Chem Eur J 2017;23:4467–526. https://doi.org/10.1002/chem.201602472.Search in Google Scholar
7. Seiber, JN, Coats, J, Duke, SO, Gross, AD. Biopesticides: state of the art and future opportunities. J Agric Food Chem 2014;62:11613–9. https://doi.org/10.1021/jf504252n.Search in Google Scholar
8. Wang, Q, Xu, Y, Bao, W, Pa, B, Hao, J. Structure elucidation and antimicrobial activities of five compounds from Artemisia integrifolia L. Z Naturforsch 2019;74c:275. https://doi.org/10.1515/znc-2018-0208.Search in Google Scholar
9. Teneva, D, Denkova-Kostova, R, Goranov, B, Hristova-Ivanova, Y, Slavchev, A, Denkova, Z, et al. Chemical composition, antioxidant activity and antimicrobial activity of essential oil from Citrus aurantium L zest against some pathogenic microorganisms. Z Naturforsch 2019;74c:105. https://doi.org/10.1515/znc-2018-0062.Search in Google Scholar
10. Loza-Mejia, MA, Salazar, JR, Sanchez-Tejeda, JF. In silico studies on compounds derived from Calceolaria: Phenylethanoid glycosides as potential multitarget inhibitors for the development of pesticides. Biomolecules 2018;8:121. https://doi.org/10.3390/biom8040121.Search in Google Scholar
11. Watts, JS, Morton, DG, Kemphues, KJ, Watts, JL. The biotin-ligating protein BPL-1 is critical for lipid biosynthesis and polarization of the Caenorhabditis elegans embryo. J Biol Chem 2018;293:610–22. https://doi.org/10.1074/jbc.m117.798553.Search in Google Scholar
12. Zhang, Y, Xu, H. Recent progress in the chemistry and biology of limonoids. RSC Adv 2017;7:35191–220. https://doi.org/10.1039/c7ra04715k.Search in Google Scholar
13. Lü, M, Wu, WJ, Liu, HX. Effects of fraxinellone on the midgut ultrastructural changes of Mythimna separata Walker. Pestic Biochem Physiol 2010;98:263–8. https://doi.org/10.1016/j.pestbp.2010.06.017.Search in Google Scholar
14. Lü, M, Wu, WJ, Liu, HX. Insecticidal and feeding deterrent effects of fraxinellone from Dictamnus dasycarpus against four major pests. Molecules 2013;18:2754–62. https://doi.org/10.3390/molecules18032754.Search in Google Scholar
15. Lü, M, Chen, SY, Han, LB, Hu, JY, Xu, H, Wu, WJ. Effects of fraxinellone on the peritrophic memebrane of Mythimna separata (Lepidoptera: Noctuidae). Acta Entomol Sin 2014;57:1389–94.Search in Google Scholar
16. Lv, M, Wu, WJ, Liu, HX. Effects of fraxinellone on the midgut enzyme activities of the 5th instar larvae of oriental armyworm, Mythimna separata Walker. Toxins 2014;6:2708–18. https://doi.org/10.3390/toxins6092708.Search in Google Scholar
17. Yang, C, Zhi, X, Xu, H. Semisynthesis and insecticidal activity of arylmethylamine derivatives of the neolignan honokiol against Mythimna separata Walker. Z Naturforsch 2015;70c:65–9. https://doi.org/10.1515/znc-2014-4187.Search in Google Scholar
18. Zhang, BC, Sun, ZQ, Lv, M, Xu, H. Semisynthesis of matrinic acid/alcohol/ester derivatives, their pesticidal activities, and investigation of mechanisms of action against Tetranychus cinnabarinus. J Agric Food Chem 2018;66:12898–910. https://doi.org/10.1021/acs.jafc.8b04965.Search in Google Scholar
© 2020 Walter de Gruyter GmbH, Berlin/Boston
Articles in the same Issue
- Frontmatter
- Editorial
- Essential oils
- Letter
- Bioinsecticides based on plant essential oils: a short overview
- Review Articles
- The application of essential oils as a next-generation of pesticides: recent developments and future perspectives
- Selected essential oils and their mechanisms for therapeutic use against public health disorders. An overview
- Potential use of essential oils to enhance heat tolerance in plants
- Essential oils of spontaneous species of the genus Lavandula from Portugal: a brief review
- Research Articles
- Analysis of the essential oil composition of three cultivated Nepeta species from Iran
- Effect of geographical origin on yield and composition of cone essential oils of Cedrus libani A. Rich. growing in Lebanese protected areas and variability assessment in comparison with literature survey
- Helichrysum araxinum Takht. ex Kirp. grown in Italy: volatiloma composition and in vitro antimicrobial activity
- Composition of the essential oil of Satureja metastasiantha: a new species for the flora of Turkey
- Bergamot essential oil nanoemulsions: antimicrobial and cytotoxic activity
- Toxicology study of fraxinellone as ovicidal agents against Mythimna separata Walker and Bombyx mori Linaeus
- Rapid Communication
- Essential oil composition of three Cryptocarya species from Malaysia
Articles in the same Issue
- Frontmatter
- Editorial
- Essential oils
- Letter
- Bioinsecticides based on plant essential oils: a short overview
- Review Articles
- The application of essential oils as a next-generation of pesticides: recent developments and future perspectives
- Selected essential oils and their mechanisms for therapeutic use against public health disorders. An overview
- Potential use of essential oils to enhance heat tolerance in plants
- Essential oils of spontaneous species of the genus Lavandula from Portugal: a brief review
- Research Articles
- Analysis of the essential oil composition of three cultivated Nepeta species from Iran
- Effect of geographical origin on yield and composition of cone essential oils of Cedrus libani A. Rich. growing in Lebanese protected areas and variability assessment in comparison with literature survey
- Helichrysum araxinum Takht. ex Kirp. grown in Italy: volatiloma composition and in vitro antimicrobial activity
- Composition of the essential oil of Satureja metastasiantha: a new species for the flora of Turkey
- Bergamot essential oil nanoemulsions: antimicrobial and cytotoxic activity
- Toxicology study of fraxinellone as ovicidal agents against Mythimna separata Walker and Bombyx mori Linaeus
- Rapid Communication
- Essential oil composition of three Cryptocarya species from Malaysia