Mammary Paget Disease
-
Michael J. Burke
und Tracy O. Middleton
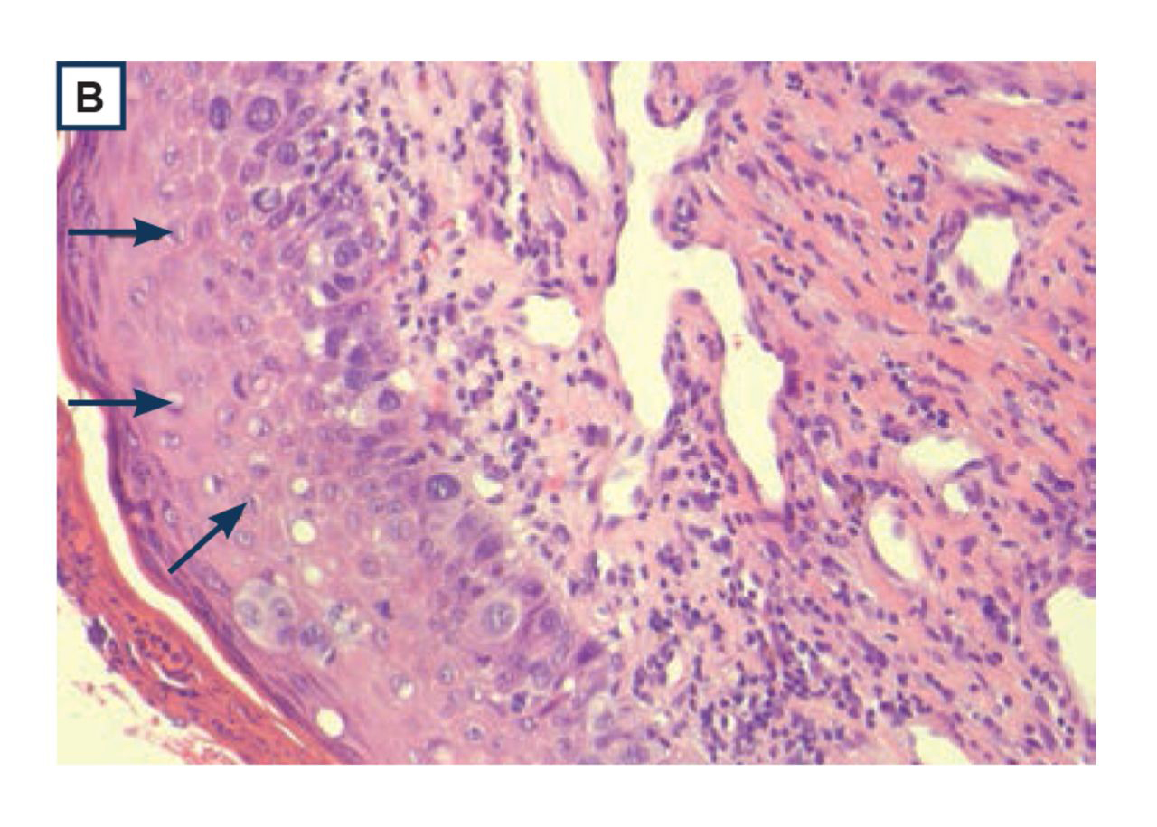
A 45-year-old woman presented with a 4-month history of a 3.5-cm pruritic scaly plaque with an irregular border and central ulceration (image A, arrow) of her left nipple-areola complex. Although the patient had no other relevant medical history and no palpable breast masses or nodules, mammary Paget disease was suspected. A wedge biopsy and histopathologic examination (image B; hematoxylin-eosin stain; original magnification, ×40) revealed intraepidermal Paget cells (arrows) with moderate amounts of pale cytoplasm and enlarged pleomorphic nuclei. Mammographic microcalcification patterns (not pictured) suggested subareolar ductal carcinoma in situ. The patient underwent a partial mastectomy with removal of the nipple-areola complex and underlying microcalcifications followed by sentinel node biopsy, which was negative for tumor cells. The patient tolerated both the partial mastectomy and sentinel node biopsy well and is currently undergoing radiation therapy.
Mammary Paget disease is characterized by intraepidermal infiltration by malignant glandular epithelial cells. The age-adjusted incidence decreased from 1.31/100,000 woman-years in 1988 to 0.64/100,000 woman-years in 2002.1 In the United States, 82% to 87% of Paget disease cases include underlying ductal carcinoma in situ or invasive ductal carcinoma, but breast masses are palpable in only 14% to 44% of cases.1-3 Physicians should maintain a high level of suspicion for nipple-areolar abnormalities, as the superficial lesion of mammary Paget disease may be the only sign of an underlying neoplasm.


-
Financial Disclosures: None reported.
References
1 Chen CY Sun LM Anderson BO . Paget disease of the breast: changing patterns of incidence, clinical presentation, and treatment in the U.S.Cancer. 2006;107(7):1448-1458.10.1002/cncr.22137Suche in Google Scholar
2 Kollmorgen DR Varanasi JS Edge SB Carson WE III . Paget's disease of the breast: a 33-year experience. J Am Coll Surg.1998;187(2):171-177.10.1016/S1072-7515(98)00143-4Suche in Google Scholar
3 Zakaria S Pantvaiyda G Ghosh K Degnim AC . Paget's disease of the breast: accuracy of preoperative assessment. Breast Cancer Res Treat. 2007;102(2):137-142.10.1007/s10549-006-9329-2Suche in Google Scholar PubMed
© 2013 The American Osteopathic Association
This work is licensed under the Creative Commons Attribution-NonCommercial-NoDerivatives 4.0 International License.
Artikel in diesem Heft
- Special Report
- 2013-2022 Strategic Plan for Research: A Role for Everyone in Promoting Research in the Osteopathic Medical Profession
- Letters to the Editor
- Osteopathic Manual Treatment and Ultrasound Therapy for Chronic Low Back Pain: An Illustration of Osteopathic Semantic Confusion
- Response
- Correction
- Correction
- Original Contribution
- Frequency of Serious Outcomes in Patients With Hypertension as a Chief Complaint in the Emergency Department
- Leg Length Discrepancy and Osteoarthritic Knee Pain in the Elderly: An Observational Study
- Evidence-Based Clinical Review
- Fibromyalgia: A Clinical Update
- Medical Education
- Frequency of Counterstrain Tender Points in Osteopathic Medical Students
- Special Communication
- The 2012-2013 Influenza Epidemic and the Role of Osteopathic Manipulative Medicine
- Case Report
- Mucormycosis in a Patient With AIDS Receiving Systemic Steroids
- Clinical Images
- Mammary Paget Disease
Artikel in diesem Heft
- Special Report
- 2013-2022 Strategic Plan for Research: A Role for Everyone in Promoting Research in the Osteopathic Medical Profession
- Letters to the Editor
- Osteopathic Manual Treatment and Ultrasound Therapy for Chronic Low Back Pain: An Illustration of Osteopathic Semantic Confusion
- Response
- Correction
- Correction
- Original Contribution
- Frequency of Serious Outcomes in Patients With Hypertension as a Chief Complaint in the Emergency Department
- Leg Length Discrepancy and Osteoarthritic Knee Pain in the Elderly: An Observational Study
- Evidence-Based Clinical Review
- Fibromyalgia: A Clinical Update
- Medical Education
- Frequency of Counterstrain Tender Points in Osteopathic Medical Students
- Special Communication
- The 2012-2013 Influenza Epidemic and the Role of Osteopathic Manipulative Medicine
- Case Report
- Mucormycosis in a Patient With AIDS Receiving Systemic Steroids
- Clinical Images
- Mammary Paget Disease