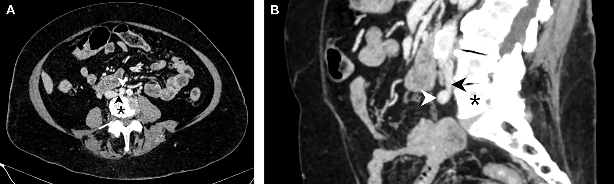
An 81 year old woman presented to the emergency department after experiencing left lower extremity swelling for four days prior. She had no associated chest pain or shortness of breath. She had a negative venous doppler ultrasound of the extremity one day earlier, but returned due to worsening pain and swelling. Physical examination revealed cyanosis and swelling extending from the left foot to the groin. Computed tomography (CT) venography revealed compression of the left common iliac vein (Images A and B, black arrowhead) between the right common iliac artery (Images A and B, white arrowhead) and the L5 vertebral body (Images A and B, black asterisk) and extensive iliofemoral deep venous thrombosis (DVT). The patient underwent mechanical thrombectomy and stenting of left common iliac vein, and she was prescribed long-term anticoagulation with apixaban. She was seen by her primary care provider five months post-presentation for her annual wellness examination and there were no residual issues. Besides the anatomic variant, no other provoking factors for DVT were identified.

May–Thurner syndrome (MTS) is an anatomic variant estimated to occur in up to 22–32% of the population [1], [2], [3]. It most commonly results from compression of the left common iliac vein between the right common iliac artery and a vertebral body [2]. MTS is a risk factor for left iliofemoral DVT which is associated with significant morbidity and mortality [4], [5], [6]. Ultrasonography has a sensitivity of 95% for proximal DVT, but has limited utility in the assessment of the inferior vena cava (IVC) and iliac veins; therefore, if iliofemoral DVT is suspected, CT or magnetic resonance venography may be considered [5]. Treatment of DVT associated with MTS is usually staged thrombolysis with or without IVC filter placement, then angioplasty with or without stenting of the left common iliac vein [7], [8], [9]. Only 5–7% of MTS-associated DVT cases receive anticoagulation alone [1], [, 10].
Research funding: None reported.
Author contributions: All authors provided substantial contributions to conception and design, acquisition of data, or analysis and interpretation of data; all authors drafted the article or revised it critically for important intellectual content; all authors gave final approval of the version of the article to be published; and all authors agree to be accountable for all aspects of the work in ensuring that questions related to the accuracy or integrity of any part of the work are appropriately investigated and resolved.
Competing interests: None reported.
Informed consent: Informed consent was obtained from the patient described in this report.
References
1. Kaltenmeier, CT, Erben, Y, Indes, J, Lee, A, Dardik, A, Sarac, T, et al.. Systematic review of May-Thurner syndrome with emphasis on gender differences. J Vasc Surg Venous Lymphatic Disord 2018;6:399–407.e4. https://doi.org/10.1016/j.jvsv.2017.11.006.Search in Google Scholar PubMed
2. Kibbe, MR, Ujiki, M, Goodwin, AL, Eskandari, M, Yao, J, Matsumura, J. Iliac vein compression in an asymptomatic patient population. J Vasc Surg 2004;39:937–43. https://doi.org/10.1016/j.jvs.2003.12.032.Search in Google Scholar PubMed
3. May, R, Thurner, J. The cause of the predominantly sinistral occurrence of thrombosis of the pelvic veins. Angiology 1957;8:419–27. https://doi.org/10.1177/000331975700800505.Search in Google Scholar PubMed
4. Søgaard, KK, Schmidt, M, Pedersen, L, Horváth–Puhó, E, Sørensen, HT. 30-year mortality after venous thromboembolism. Circulation 2014;130:829–36. https://doi.org/10.1161/CIRCULATIONAHA.114.009107.Search in Google Scholar PubMed
5. Liu, D, Peterson, E, Dooner, J, Baerlocher, M, Zypchen, L, Gagnon, J, et al.. Diagnosis and management of iliofemoral deep vein thrombosis: clinical practice guideline. CMAJ (Can Med Assoc J) 2015;187:1288–96. https://doi.org/10.1503/cmaj.141614.Search in Google Scholar PubMed PubMed Central
6. Salahuddin, T, Armstrong, EJ. Intervention for iliofemoral deep vein thrombosis and May-Thurner syndrome. Intervent Cardiol Clin 2020;9:243–54. https://doi.org/10.1016/j.iccl.2019.11.003.Search in Google Scholar PubMed
7. Bi, Y, Yu, Z, Chen, H, Ren, J, Han, X. Long-term outcome and quality of life in patients with iliac vein compression syndrome after endovascular treatment. Phlebology 2019;34:536–42. https://doi.org/10.1177/0268355518825090.Search in Google Scholar PubMed
8. Mousa, AY, AbuRahma, AF. May-Thurner syndrome: update and review. Ann Vasc Surg 2013;27:984–95. https://doi.org/10.1016/j.avsg.2013.05.001.Search in Google Scholar PubMed
9. Rodrigues, LDS, Bertanha, M, El Dib, R, Moura, R. Association between deep vein thrombosis and stent patency in symptomatic iliac vein compression syndrome: systematic review and meta-analysis. J Vasc Surg Venous Lymphatic Disord 2021;9:275–84. https://doi.org/10.1016/j.jvsv.2020.08.022.Search in Google Scholar PubMed
10. Hansrani, V, Moughal, S, Elmetwally, A, Al-Khaffaf, H. A review into the management of May-Thurner syndrome in adolescents. J Vasc Surg Venous Lymphatic Disord 2020;8:1104–10. https://doi.org/10.1016/j.jvsv.2020.05.006.Search in Google Scholar PubMed
© 2021 Nathan C. Ellis et al., published by De Gruyter, Berlin/Boston
This work is licensed under the Creative Commons Attribution 4.0 International License.
Articles in the same Issue
- Frontmatter
- Editorial
- Working against bias: double blind peer review at Journal of Osteopathic Medicine
- Behavioral Health
- Original Article
- Predictors of emotional wellbeing in osteopathic medical students in a COVID-19 world
- Cardiopulmonary Medicine
- Original Article
- Abnormal vascular physiology in the lower extremities as a risk factor for ischemic stroke and mortality
- General
- Case Report
- An uncommon cause of headache and dizziness after cruise travel: case report of Mal De Debarquement syndrome
- Medical Education
- Original Article
- The flipped classroom: a novel approach to physical examination skills for osteopathic medical students
- Medical Education
- Commentary
- Organizational behavior among academic medical school faculty
- Musculoskeletal Medicine and Pain
- Original Article
- Manual treatment for kidney mobility and symptoms in women with nonspecific low back pain and urinary infections
- Commentary
- Evidence based management of sports related concussion
- Neuromusculoskeletal Medicine (OMT)
- Original Article
- Characteristics and treatment of geriatric patients in an osteopathic neuromusculoskeletal medicine clinic
- Pediatrics
- Brief Report
- Healthier together: a pilot study on the implementation of a novel family centered pediatric obesity prevention program
- Clinical Images
- May–Thurner syndrome with left iliofemoral deep venous thrombosis
- Acute fracture of extensive Achilles tendon calcific tendinopathy
Articles in the same Issue
- Frontmatter
- Editorial
- Working against bias: double blind peer review at Journal of Osteopathic Medicine
- Behavioral Health
- Original Article
- Predictors of emotional wellbeing in osteopathic medical students in a COVID-19 world
- Cardiopulmonary Medicine
- Original Article
- Abnormal vascular physiology in the lower extremities as a risk factor for ischemic stroke and mortality
- General
- Case Report
- An uncommon cause of headache and dizziness after cruise travel: case report of Mal De Debarquement syndrome
- Medical Education
- Original Article
- The flipped classroom: a novel approach to physical examination skills for osteopathic medical students
- Medical Education
- Commentary
- Organizational behavior among academic medical school faculty
- Musculoskeletal Medicine and Pain
- Original Article
- Manual treatment for kidney mobility and symptoms in women with nonspecific low back pain and urinary infections
- Commentary
- Evidence based management of sports related concussion
- Neuromusculoskeletal Medicine (OMT)
- Original Article
- Characteristics and treatment of geriatric patients in an osteopathic neuromusculoskeletal medicine clinic
- Pediatrics
- Brief Report
- Healthier together: a pilot study on the implementation of a novel family centered pediatric obesity prevention program
- Clinical Images
- May–Thurner syndrome with left iliofemoral deep venous thrombosis
- Acute fracture of extensive Achilles tendon calcific tendinopathy