Streptococcus gallolyticus Group Bacteremia and Colonic Adenocarcinoma
-
Agnes McAuliffe
, Varun Bhat und Jaclyn Cox
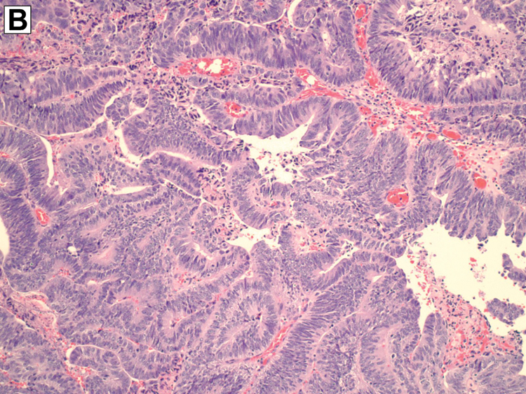
A 76-year-old woman presented to the emergency department with a fever (38.9°C), vomiting, and diarrhea of 2 days’ duration. The patient's medical history included coronary artery disease, stroke, hypertrophic cardiomyopathy, diastolic heart failure, hypertension, and end-stage renal disease, for which she received dialysis. She had no personal or family history of colon cancer. Blood cultures demonstrated growth of Streptococcus gallolyticus (formerly known as Streptococcus bovis) group bacteremia. A transesophageal echocardiogram did not show valvular vegetation. Colonoscopy results revealed a nonobstructing, fungating mass in the distal rectum (image A). Histologic evaluation confirmed low-grade rectal adenocarcinoma with submucosal invasion (image B). The patient was treated with 2 g of intravenous ceftriaxone daily, as the minimal inhibitory concentration to penicillin was 0.10 μg/mL. This regimen was changed to 2 g of cefazolin 3 times per week after dialysis when she was discharged to an acute rehabilitation center for a total of 4 weeks of therapy. She underwent transanal excision of her colonic mass and did not require further radiation or chemotherapy.


Patients with S gallolyticus bacteremia or endocarditis have a higher rate of colorectal cancer compared with the general population.1 Specifically, there is a higher risk for advanced adenomas and invasive carcinomas, and colonoscopy may be necessary.2
References
1. Corredoira-Sanchez J , García-GarroteF, RabuñalR, et al. Association between bacteremia due to Streptococcus gallolyticus subsp. gallolyticus (Streptococcus bovis I) and colorectal neoplasia: a case-control study. Clin Infect Dis. 2012;55(4):491-496. doi:10.1093/cid/cis434Suche in Google Scholar PubMed
2. Corredoira JC , AlonsoMP, García-PaísMJ, et al. Is colonoscopy necessary in cases of infection by Streptococcus bovis biotype II? Eur J Clin Microbiol Infect Dis. 2014;33(2):171-177. doi:10.1007/s10096-013-1940-7Suche in Google Scholar PubMed
© 2019 American Osteopathic Association
This work is licensed under the Creative Commons Attribution-NonCommercial-NoDerivatives 4.0 International License.
Artikel in diesem Heft
- EDITORIAL
- Driving Progress and Innovation Through Research
- STILL RELEVANT?
- Jeanette “Nettie” Bolles: The First Female DO
- ORIGINAL CONTRIBUTION
- Correlation Between Physiologic and Osteopathic Measures of Sympathetic Activity in Women With Polycystic Ovary Syndrome
- BRIEF REPORT
- Tolerance of Rib Raising Among Hospitalized Patients: A Pilot Study
- REVIEW
- Nonpharmacologic Management of Symptoms in Females With Polycystic Ovary Syndrome: A Narrative Review
- Structural and Functional Aberrations of the Auditory Brainstem in Autism Spectrum Disorder
- JAOA/AACOM MEDICAL EDUCATION
- First-Year Experience Implementing an Adaptive Learning Platform for First- and Second-Year Medical Students at the Lake Erie College of Osteopathic Medicine
- CASE REPORT
- Dry Needling–Induced Pneumothorax
- CLINICAL IMAGES
- Creutzfeldt-Jakob Disease
- Streptococcus gallolyticus Group Bacteremia and Colonic Adenocarcinoma
Artikel in diesem Heft
- EDITORIAL
- Driving Progress and Innovation Through Research
- STILL RELEVANT?
- Jeanette “Nettie” Bolles: The First Female DO
- ORIGINAL CONTRIBUTION
- Correlation Between Physiologic and Osteopathic Measures of Sympathetic Activity in Women With Polycystic Ovary Syndrome
- BRIEF REPORT
- Tolerance of Rib Raising Among Hospitalized Patients: A Pilot Study
- REVIEW
- Nonpharmacologic Management of Symptoms in Females With Polycystic Ovary Syndrome: A Narrative Review
- Structural and Functional Aberrations of the Auditory Brainstem in Autism Spectrum Disorder
- JAOA/AACOM MEDICAL EDUCATION
- First-Year Experience Implementing an Adaptive Learning Platform for First- and Second-Year Medical Students at the Lake Erie College of Osteopathic Medicine
- CASE REPORT
- Dry Needling–Induced Pneumothorax
- CLINICAL IMAGES
- Creutzfeldt-Jakob Disease
- Streptococcus gallolyticus Group Bacteremia and Colonic Adenocarcinoma