Nephroblastoma Arising in a Primary Testicular Teratoma in a Nonatrophic Testis of a 50-Year-Old Man
-
Joseph J. Kromka
, Kevin Turner , Anthony Elisco and Nathan Hale
Abstract
Extrarenal nephroblastoma is an extremely rare tumor thought to be related to teratoid tumors of germ cell origin. Because few cases have been reported, no standard method for categorizing and managing these tumors exists. To our knowledge, there have only been 3 adult cases of nephroblastoma arising in a germ cell tumor of testicular origin in a nonatrophic testis, all in men aged 19 to 22 years and with aggressive clinical courses. We report a case of nephroblastoma in a nonatrophic testis, with nephroblastoma being the only non–germ cell component, in an older patient and with a more indolent clinical course that was responsive to localized treatment.
Nephroblastoma, also known as Wilms tumor, is a malignant embryonal neoplasm of the kidney derived from nephrogenic blastemal cells.1 It is the most common childhood renal malignant tumor, with 98% of cases occurring in children younger than 10 years.1,2 Nephroblastoma typically arises from a primary renal site and is associated with WT1 (11p13), WT2 (11p15), and WT3 (16q) genes.3 However, cases of primary extrarenal nephroblastoma have also been described. These cases are rare, but WT1 has also been implicated in their pathogenesis as teratoid tumors of suggested germ cell origin.3,4
To our knowledge, there are only 3 reported cases of nephroblastoma arising in a primary testicular teratoma in a nonatrophic testis. Emerson et al2 reported the first case of nephroblastoma arising in a nonatrophic testis in association with teratoma and rhabdomyosarcoma. Keskin et al5 reported a second case of a nephroblastoma in a primary testicular teratoma in a nonatrophic testis with nephroblastoma as the only non–germ cell element. Alatassi et al6 reported a case of a mixed germ cell tumor composed of yolk sac tumor, embryonal carcinoma, and mature and immature teratoma with a significant portion of nephroblastoma.
We report a case of adult nephroblastoma that arose within the primary testicular teratoma of a nonatrophic testis in a 50-year-old man. Compared with previously reported cases, the disease in this case was well controlled with local surgical treatment without lymph node dissection or chemotherapy. This case suggests that, depending on the clinical picture, a more conservative treatment plan can be appropriate for patients with an extrarenal nephroblastoma.
Report of Case
A 50-year-old man with a painless, palpable mass in his left testicle was referred to the urology clinic. He had a history of Crohn disease that was managed with bowel resection but was otherwise previously healthy. He reported that the testicle mass was firm and hard, nontender, and had been present for about 1 month with no associated symptoms. Ultrasonographic image of the testicle demonstrated complex marked heterogeneous echotexture with cystic and solid components and prominent vascularity consistent with neoplasm (Figure 1). The right testicle was normal. Serum human chorionic gonadotropin was in the normal range at less than 1.0 mIU/mL, and α-fetoprotein (AFP) was elevated at 9.4 ng/mL. At this time, the mass was considered a probable nonseminomatous germ cell tumor. Computed tomography (CT) of the abdomen and pelvis revealed a left testicular mass consistent with testicular cancer without adenopathy or metastatic disease. Radical orchiectomy was performed 5 days after presentation without complication.

Longitudinal ultrasonographic image of the left testicle showing the majority of the testicle encompassed by a heterogeneous complex hypervascular mass with cystic and solid components consistent with large neoplasm.
At pathologic examination, the gross surgical specimen consisted of a testis with spermatic cord that was sectioned to reveal a well-circumscribed, partially solid, and multicystic mass measuring 5.5×4.6×4.3 cm. The tumor was confined to the testis with no gross involvement of the spermatic cord or tunica layers.
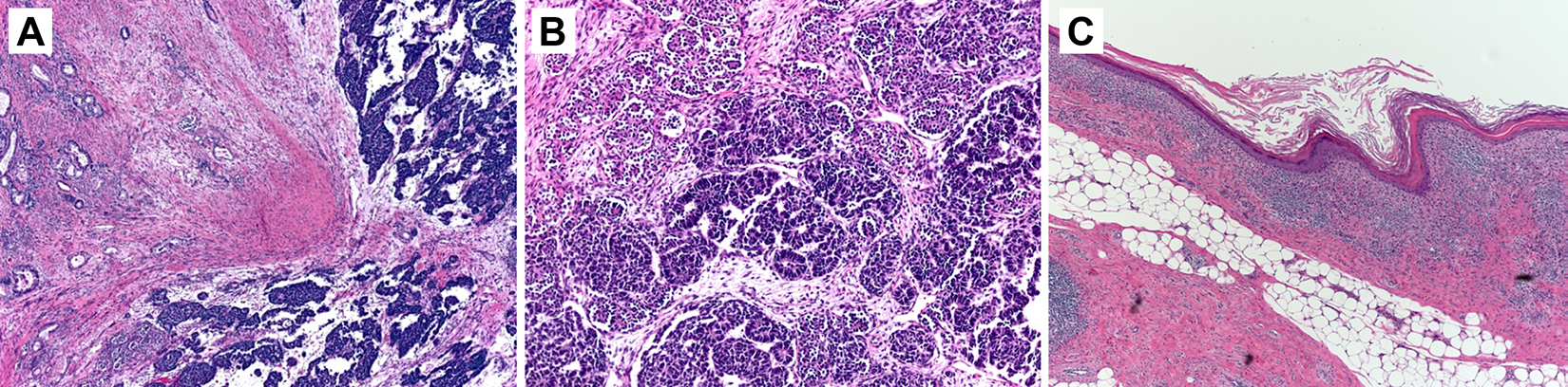
Microscopically, the tumor was predominantly nephroblastoma with intermixed areas of teratoma. The nephroblastoma component was composed of columnar epithelial cells with elongated hyperchromatic nuclei, nuclear molding, and high nuclear to cytoplasmic ratio arranged in tubules and nests with interspersed immature spindled stroma. Teratoma elements included tubular epithelium, primitive glomeruloid structures, cartilage, adipose tissue, and squamous epithelium (Figure 2).

Histologic evaluation using hematoxylin-eosin staining demonstrated (A) teratoma (left side) with secondary somatic malignant neoplasm in the form of nephroblastoma (right side) (low magnification); (B) nephroblastoma with adjacent primitive glomeruloid structures and nephroblastoma composed of columnar epithelial cells with elongated, hyperchromatic nuclei arranged in tubules and nests (high magnification); and (C) teratoma including squamous epithelium and adipose tissue (low magnification).
Immunohistochemistry results were positive for pancytokeratin, glypican-3, WT-1, and CD56 in the nephroblastoma component and negative for CD30, CD117, chromogranin, synaptophysin, CD99, and FLI-1. The teratoma component was positive for pancytokeratin. The morphology and immunoprofile were consistent with a teratoma with secondary somatic malignancy in the form of nephroblastoma. The pathologic stage of the tumor was pT1 N×Mx at this time.
A CT image of the chest revealed reticular nodular densities in the right lung that could possibly represent metastatic disease. However, a positron emission tomographic image revealed that these lesions were not radiotracer avid, and noncancer cause was favored. An abdominal CT image revealed a 14×9-mm para-aortic lymph node. Retroperitoneal lymph node dissection was considered; however, several years of prior imaging secondary to the patient's history of Crohn disease revealed the node to be stable. Consultation with an oncologist was recommended, but in considering the lack of data on the management of this tumor type, the patient opted for active surveillance with no chemotherapy for potential residual disease. Follow-up chest and abdominal CT images 2 months after orchiectomy showed a stable para-aortic lymph node and an interval decrease in size but an increase in the number of reticulonodular opacities throughout the right lung. Follow-up with laboratory testing at 3 months showed that AFP had decreased to 7 ng/mL. Repeated imaging with noncontrast chest CT and abdominal imaging and pelvis magnetic resonance imaging 8 months after the operation demonstrated stability of the para-aortic lymph node findings and a marked improvement in the reticular nodular densities and pulmonary nodules. At that time, the patient was asymptomatic. He had no respiratory symptoms suggesting lung involvement, and the surgical site was well healed with no evidence of lymphadenopathy.
At a follow-up visit 15 months after the operation, the patient remained asymptomatic with well-healed incisions and no evidence of lymphadenopathy. Surveillance imaging occurred at 16 months after the operation, which included noncontrast chest CT, the results of which showed no evidence of metastatic disease. The medical record noted that “the previously seen nodular densities in the medial anterior left upper lobe were not conspicuous on today's examination as pulmonary nodules.” Noncontrast magnetic resonance imaging of the abdomen and pelvis was performed as well, the results of which did not show any appreciable lymphadenopathy or any findings that were concerning for residual or metastatic disease.
Discussion
Nephroblastoma is a neoplasm derived from nephrogenic blastemal cells. It is usually seen in the kidneys of children. This disease is rare in adults, and adult extrarenal nephroblastoma is rarer still. When seen, it is usually after chemotherapy in patients with metastatic testicular germ cell tumors.1,3,7,8 Multiple cases2,7,9-12 have reported nephroblastomas occurring with teratomas, which are germ cell tumors made up of several types of tissue from different germ layers. They can be well or poorly differentiated and contain tissue quite different from the surrounding tissue. However, because of the rarity of teratoma with a nephroblastoma component, there is little data for its categorization and management. Currently, data exist on approximately 200 patients with teratoma and malignant transformation, but most of these data are in case reports and nearly all have occurred in metastatic cases.9
To our knowledge, only 3 adult case reports have described a testicular teratoma with a nephroblastoma component arising in a nonatrophic testis (Table). The first case was reported by Emerson et al2 and described a testicular tumor composed of nephroblastoma, teratoma, and rhabdomyosarcoma in a nonatrophic testis of a 22-year-old man. After chemotherapy, supraclavicular and retroperitoneal lymphadenopathy with metastatic teratoma developed. In this case, the authors were able to use tissue microdissection and loss of heterozygosity analysis to demonstrate a common clonal origin for the nephroblastoma and the components of its metastases.
Cases of Nephroblastoma, or Wilms Tumor, in a Nonatrophic Testis
| Case Report | Patient Age, y | Pathologic Findings | Treatment | Outcome |
|---|---|---|---|---|
| Emerson et al2 | 22 | Nephroblastoma, teratoma, and rhabdomyosarcoma | Orchiectomy; 3 cycles of bleomycin, etoposide, cisplatin; and retroperitoneal lymph node dissection | Supraclavicular and retroperitoneal lymphadenopathy with metastatic teratoma |
| Keskin et al5 | 19 | Teratoma and nephroblastoma within the teratoma and intratubular germ cell neoplasia in the adjacent testicular parenchyma | Orchiectomy; 4 courses of bleomycin, etoposide, cisplatin; and schedule of paclitaxel, isosfamide, and cisplatin | Para-aortic lymphadenopathy, cystic liver metastasis, and patient death in 18th month after diagnosis |
| Alatassi et al6 | 19 | Immature teratoma with nephroblastoma (40%), mature teratoma, embryonal carcinoma, and yolk sac tumor | Orchiectomy and 6 cycles of VP-16-ifosfamide-cisplatin | Partial response of hepatic and pulmonary visceral metastases with persistence of a large retroperitoneal mass |
The second case was reported by Keskin et al5 and described a testicular teratoma with a nephroblastoma component in a 19-year-old man. In this case, postorchiectomy serum human chorionic gonadotropin and AFP levels were both elevated at 939 mIU/mL and 2904 ng/mL, respectively, and a CT image of the thorax and abdomen showed multiple lymphadenopathies ranging in size from 3 to 7 cm. The patient received chemotherapy with bleomycin, etoposide, and cisplatin, which were later switched to paclitaxel, ifosfamide, and cisplatin. However, the patient had a poor response to chemotherapy and died in the 18th month after diagnosis.
The third case was reported by Alatassi et al6 and described a case of a mixed germ cell testicular tumor composed of yolk sac tumor, embryonal carcinoma, and mature and immature teratoma with a significant portion of nephroblastoma in a 19-year-old man. The patient had a large retroperitoneal mass, as well as liver and lung metastases. The patient received chemotherapy, and no recurrence was noted at 6-month follow-up. However, imaging after chemotherapy revealed partial response of the hepatic and pulmonary metastases and persistent retroperitoneal mass.
We report a fourth case of a testicular teratoma with a nephroblastoma component arising in a nonatrophic testis, but this time in a 50-year-old man. Pathologically, this tumor appeared similar to the cases described by Keskin et al5 and Alatassi et al,6 but imaging suggested either a less aggressive disease or earlier disease process at the time of orchiectomy. Additionally, this tumor exhibited mature characteristics such as squamous epithelium, adipose tissue, and cartilage, which may have affected the disease course compared with a more immature tumor. The CT results that showed a stable aortic node were not concerning, as that node had been correlated to previous CT scans for Crohn disease and had been attributed to inflammation from that disease process. For this reason, retroperitoneal lymph node dissection was not performed. The pulmonary nodules seen on CT images are unlikely to represent metastatic disease given their stable appearance and lack of enhancement on positron emission tomography, but at this time, their malignant potential cannot be completely excluded. Despite the aggressive nature of the disease and treatment with chemotherapy as described in the 3 previous cases, there is evidence in the literature that nephroblastoma in germ cell metastases can be treated with surgical excision alone. A case series and 2 case reports describe nephroblastoma in the metastases of germ cell tumors.12-14 These metastases were often effectively treated by surgical excision alone and did not exhibit the more aggressive behavior typically associated with secondary components, such as primitive neuroectodermal tumor and rhabdomyosarcoma. Therefore, in this stable patient, the decision to forgo further surgery or medical treatment seems reasonable, though this conclusion should be interpreted with caution given limited long-term follow-up.
Conclusion
The present case of an adult nephroblastoma occurring in a primary testicular teratoma in a nonatrophic testis is the second case in which nephroblastoma was the only non–germ cell element and the first case in a patient older than 22 years. Despite previous reports of aggressive disease that required adjuvant medical therapy, it appears that in this case, radical orchiectomy without retroperitoneal lymph node dissection or chemotherapy was a reasonable approach to treatment in the absence of metastatic disease. The present case is distinct from previous cases of aggressive disease in that the patient was older and that the tumor's mature characteristics may have been a factor in a more indolent disease course. Thus, a conservative treatment approach may be appropriate for select patients with localized disease. It also has implications for patient education and prognosis, as this case documents a favorable outcome in a disease with few documented cases that have all shown aggressive disease. We hope this case will help characterize the nature of this rare tumor and inform decisions regarding its management.
References
1. Eble JN , GuidoS, EpsteinJI, SesterhennIA. Pathology and Genetics of Tumours of the Urinary System and Male Genital Organs. Geneva, Switzerland: World Health Organization Classification of Tumours; 2004.Search in Google Scholar
2. Emerson RE , UlbrightTM, ZhangS, FosterRS, EbleJN, ChengL. Nephroblastoma arising in a germ cell tumor of testicular origin. Am J Surg Pathol. 2004;28(5):687-692.10.1097/00000478-200405000-00019Search in Google Scholar
3. Gillis AJ , OosterhuisJW, SchipperME, et al. Origin and biology of a testicular Wilms’ tumor. Genes Chromosomes Cancer. 1994;11(2):126-135.10.1002/gcc.2870110209Search in Google Scholar
4. Boublikova L , KalinovaM, RyanJ, et al. Wilms’ tumor gene 1 (WT1) expression in childhood acute lymphoblastic leukemia: a wide range of WT1 expression levels, its impact on prognosis and minimal residual disease monitoring. Leukemia. 2006;20(2):254-263.10.1038/sj.leu.2404047Search in Google Scholar
5. Keskin S , EkenelM, BaşaranM, et al. The first case of primary testicular germ cell tumor containing nephroblastoma as the only one non-germ cell component. Jpn J Clin Oncol.2011;41(8):1037-1040.10.1093/jjco/hyr080Search in Google Scholar
6. Alatassi H , O’BryanBE, MesserJC, WangZ. Nephroblastoma arising from primary testicular germ cell tumor: a case report and literature review. Case Rep Pathol. 2016;2016:7318672.10.1155/2016/7318672Search in Google Scholar
7. Ulbright TM . Germ cell tumors of the gonads: a selective review emphasizing problems in differential diagnosis, newly appreciated, and controversial issues. Mod Pathol. 2005;18(suppl 2):S61-S79.10.1038/modpathol.3800310Search in Google Scholar
8. Ulbright TM . Testis risk and prognostic factors: the pathologist's perspective. Urol Clin North Am. 1999;26(3):611-626.10.1016/S0094-0143(05)70202-0Search in Google Scholar
9. Rebischung, C, CottuPH, DabanA, et al. Germ-cell tumours containing non germ-cell neoplasms: teratoma with malignant transformation. Urol Oncol.2001;6(6):239-242.10.1016/S1078-1439(01)00133-8Search in Google Scholar
10. Badillo AT , KreigerPA, SchmitzKR, ErnstLM, KaiserLR, LiechtyKW. Wilms’ tumor arising within a mediastinal teratoma. J Pediatr Surg. 2006;41(8):e1-e5.10.1016/j.jpedsurg.2006.04.004Search in Google Scholar PubMed
11. Rajab R , BerneyDM. Ten testicular trapdoors. Histopathology. 2008;53(6):728-739. doi:10.1111/j.1365-2559.2008.03001.xSearch in Google Scholar PubMed
12. Michael H , HullMT, FosterRS, SweeneyCJ, UlbrightTM. Nephroblastoma-like tumors in patients with testicular germ cell tumors. Am J Surg Pathol. 1998;22(9):1107-1114.10.1097/00000478-199809000-00010Search in Google Scholar
13. Carney JA . Wilms’ tumor and renal cell carcinoma in retroperitoneal teratoma. Cancer. 1975;35(4):1179-1183.10.1002/1097-0142(197504)35:4<1179::AID-CNCR2820350424>3.0.CO;2-OSearch in Google Scholar
14. Ulbright TM , LoehrerPJ, RothLM, EinhornLH, WilliamsSD, ClarkSA. The development of non-germ cell malignancies within germ cell tumors: a clinicopathologic study of 11 cases. Cancer. 1984;54(9):1824-1833.10.1002/1097-0142(19841101)54:9<1824::AID-CNCR2820540910>3.0.CO;2-JSearch in Google Scholar
© 2018 American Osteopathic Association
This work is licensed under the Creative Commons Attribution-NonCommercial-NoDerivatives 4.0 International License.
Articles in the same Issue
- THE SOMATIC CONNECTION
- Stand Up and Climb Out of Ankle Spasticity
- OMT MINUTE
- OMT for Cancer Patients After Bowel Resection
- STILL RELEVANT
- Discovering Osteopathic Antiquity in Historical Osteopathic Pamphlets
- LETTERS TO THE EDITOR
- Chronic Pain Management: Perspective of an Osteopathic Medical Student in New Mexico
- ORIGINAL CONTRIBUTION
- Variations in Progression and Regression of Precancerous Lesions of the Uterine Cervix on Cytology Testing Among Women of Different Races
- Medical Student Decision-Making: Standard Surgical Excision or Mohs Micrographic Surgery to Manage Basal Cell Carcinoma
- BRIEF REPORT
- Evaluating the Effectiveness of One-on-One Conversations to Increase Colorectal Cancer Screening in a Community-Based Clinical Setting
- JAOA/AACOM MEDICAL EDUCATION
- Effect of Ultrasonography on Student Learning of Shoulder Anatomy and Landmarks
- CASE REPORT
- Toxic Injury to the Gastrointestinal Tract After Ipilimumab Therapy for Advanced Melanoma
- Nephroblastoma Arising in a Primary Testicular Teratoma in a Nonatrophic Testis of a 50-Year-Old Man
- THE SOMATIC CONNECTION
- It Makes a Difference What You Are Thinking When You Touch Someone Clinically
- OMT May Be Helpful in the Management of Benign Paroxysmal Positional Vertigo
- CSF Flow Has a Significant Respiratory Component
- Lymphatic Vessels Found in the Brain—Osteopathic Considerations, Part 2: Now in Humans and Monkeys
- CLINICAL IMAGES
- Pott Puffy Tumor
- IN YOUR WORDS
- Gratitude: Reflections and Belonging in the Osteopathic Family
Articles in the same Issue
- THE SOMATIC CONNECTION
- Stand Up and Climb Out of Ankle Spasticity
- OMT MINUTE
- OMT for Cancer Patients After Bowel Resection
- STILL RELEVANT
- Discovering Osteopathic Antiquity in Historical Osteopathic Pamphlets
- LETTERS TO THE EDITOR
- Chronic Pain Management: Perspective of an Osteopathic Medical Student in New Mexico
- ORIGINAL CONTRIBUTION
- Variations in Progression and Regression of Precancerous Lesions of the Uterine Cervix on Cytology Testing Among Women of Different Races
- Medical Student Decision-Making: Standard Surgical Excision or Mohs Micrographic Surgery to Manage Basal Cell Carcinoma
- BRIEF REPORT
- Evaluating the Effectiveness of One-on-One Conversations to Increase Colorectal Cancer Screening in a Community-Based Clinical Setting
- JAOA/AACOM MEDICAL EDUCATION
- Effect of Ultrasonography on Student Learning of Shoulder Anatomy and Landmarks
- CASE REPORT
- Toxic Injury to the Gastrointestinal Tract After Ipilimumab Therapy for Advanced Melanoma
- Nephroblastoma Arising in a Primary Testicular Teratoma in a Nonatrophic Testis of a 50-Year-Old Man
- THE SOMATIC CONNECTION
- It Makes a Difference What You Are Thinking When You Touch Someone Clinically
- OMT May Be Helpful in the Management of Benign Paroxysmal Positional Vertigo
- CSF Flow Has a Significant Respiratory Component
- Lymphatic Vessels Found in the Brain—Osteopathic Considerations, Part 2: Now in Humans and Monkeys
- CLINICAL IMAGES
- Pott Puffy Tumor
- IN YOUR WORDS
- Gratitude: Reflections and Belonging in the Osteopathic Family