Recurrent Painful Calcium Pyrophosphate Arthropathy
-
Lisa Carpenter
, Noelle Juliano and Ronald Herb
Keywords: calcium pyrophosphate arthropathy, calcium pyrophosphate crystals, calcium pyrophosphate deposition disease
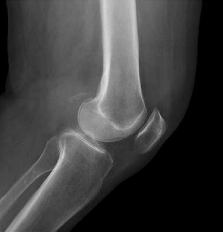
A 69-year-old woman presented to her primary care physician with pain and decreased range of motion in her left knee for the past 5 days. She reported no history of trauma. The patient underwent an arthrocentesis and received a 1.5-mL injection of triamcinolone, which improved her pain and range of motion. She returned 9 months later with the same symptoms lasting for 3 days. Physical examination revealed decreased flexion and extension and fullness in the posterior joint space. Laboratory studies revealed a high erythrocyte sedimentation rate (63 mm/h) and C-reactive protein level (7.66 mg/dL). Plain film radiograph of the knee showed calcification in the popliteal fossa (image). Calcium pyrophosphate crystals were identified in the synovial fluid, and calcium pyrophosphate deposition disease was diagnosed. She was given a 1.2-mg dose of colchicine orally, followed by a 0.6-mg dose 6 hours later, which resolved her symptoms and improved her range of motion.
Deposition of calcium pyrophosphate crystals into joint spaces can lead to severe, chronic arthritic attacks and damage to the cartilage.1 The most common management of localized symptoms is corticosteroid injection. Oral methods include colchicine and nonsteroidal anti-inflammatory drugs.2 Colchicine can also be used prophylactically. Methotrexate and anakinra have been used for management, but recent studies suggest they provide no notable effect.2,3

References
1. Rosenthal AK , RyanLM. Calcium pyrophosphate deposition disease. N Engl J Med . 2016;374(26):2575-2584. doi:10.1056/NEJMra151111710.1056/NEJMra1511117Search in Google Scholar PubMed PubMed Central
2. Finckh A , Mc CarthyGM, MadiganA, et al. Methotrexate in chronic-recurrent calcium pyrophosphate deposition disease: no significant effect in a randomized crossover trial. Arthritis Res Ther . 2014;16(5):458. doi:10.1186/s13075-014-0458-410.1186/s13075-014-0458-4Search in Google Scholar PubMed PubMed Central
3. Ottaviani S , BrunierL, SibilaJ, et al. Efficacy of anakinra in calcium pyrophosphate crystal-induced arthritis: a report of 16 cases and review of the literature. Joint Bone Spine . 2013;80(2):178-182. doi:10.1016/j.jbspin.2012.07.01810.1016/j.jbspin.2012.07.018Search in Google Scholar PubMed
© 2017 American Osteopathic Association
This work is licensed under the Creative Commons Attribution-NonCommercial-NoDerivatives 4.0 International License.
Articles in the same Issue
- EDITORIAL
- History of Osteopathic Medicine: Still Relevant?
- STILL RELEVANT?
- Opening the Doors of Medicine to Women
- ORIGINAL CONTRIBUTION
- Predictors of Sunburn Risk Among Florida Residents
- Dermascope Use by Osteopathic Primary Care Physicians
- Use of the Spencer Technique on Collegiate Baseball Players: Effect on Physical Performance and Self-Report Measures
- MEDICAL EDUCATION
- Osteopathic Medical Student Practice of Osteopathic Manipulative Treatment During School Break
- SPECIAL COMMUNICATION
- A Qualitative, Interview-Based Study of the Health Policy Fellowship’s Osteopathic Identity
- CASE REPORT
- Gabapentin-Induced Bullous Pemphigoid
- Osteopathic Manipulative Treatment in the Management of Isaacs Syndrome
- CLINICAL IMAGES
- Recurrent Painful Calcium Pyrophosphate Arthropathy
Articles in the same Issue
- EDITORIAL
- History of Osteopathic Medicine: Still Relevant?
- STILL RELEVANT?
- Opening the Doors of Medicine to Women
- ORIGINAL CONTRIBUTION
- Predictors of Sunburn Risk Among Florida Residents
- Dermascope Use by Osteopathic Primary Care Physicians
- Use of the Spencer Technique on Collegiate Baseball Players: Effect on Physical Performance and Self-Report Measures
- MEDICAL EDUCATION
- Osteopathic Medical Student Practice of Osteopathic Manipulative Treatment During School Break
- SPECIAL COMMUNICATION
- A Qualitative, Interview-Based Study of the Health Policy Fellowship’s Osteopathic Identity
- CASE REPORT
- Gabapentin-Induced Bullous Pemphigoid
- Osteopathic Manipulative Treatment in the Management of Isaacs Syndrome
- CLINICAL IMAGES
- Recurrent Painful Calcium Pyrophosphate Arthropathy