Abstract
Objectives
To investigate the long-term effects of the SARS-CoV-2 infection on the fetal immune system by fetal thymus size measurements with ultrasound (USG).
Methods
This prospective study was conducted in the Turkish Ministry of Health Ankara City Hospital between November 1, 2020 and April 1, 2021, with recovered, pregnant women, four weeks after they had been confirmed for the SARS-CoV-2 infection by real-time polymerase-chain-reaction (RT-PCR). COVID-19 recovered (CR) pregnant women compared with age-matched pregnant controls in terms of demographic features, fetal thymic-thoracic ratio (TTR), and laboratory parameters.
Results
There was no difference in demographic features between the two groups. TTR found significantly lower in the CR group than the control group (p=0.001). The fetal TTR showed a significant and moderate correlation with maternal monocyte counts, monocyte to lymphocyte ratio (MLR), and red cell distribution width (RDW); while it did not correlate with lymphocyte counts, c-reactive protein (CRP), and procalcitonin levels.
Conclusions
The 2019 novel coronavirus disease (COVID-19) reduces fetal thymus size in pregnant women with mild or moderate symptoms after recovery from the infection.
Introduction
Both pregnant women and their fetuses are considered a high-risk group during the current 2019 novel coronavirus disease (COVID-19) pandemic, caused by severe acute respiratory syndrome coronavirus-2 (SARS-CoV-2) [1]. The hyperimmune response was evident in SARS-CoV-2 infections compared with other coronavirus infections, and this situation contributes to the severity of the disease [2]. Elevated inflammatory cytokine levels, especially IL-6, IL-1, and IL-10, were observed in patients with COVID-19 [3]. Also, cytokine levels are inversely correlated with CD-4 and CD-8 T-cell counts, which appear as lymphopenia in the peripheral blood, and this delayed immune response underlies the hyperinflammatory syndrome in COVID-19 [4].
After more than a year there are still many unanswered questions about the fetal effects of SARS-CoV-2, but we know that obstetric complications such as preterm labor, fetal distress, and stillbirths have increased [5], [6], [7], [8]. Decreased maternal oxygen levels, excessive inflammation, and pathological changes to the placenta, such as villitis, might contribute to these results [9]. Additionally, in consequence of maternal infection and inflammation, fetal immune system activation has been defined as fetal inflammatory response syndrome (FIRS) in the literature [10], and maternal SARS-CoV-2 infection-related FIRS was reported previously [11].
The fetal thymus is one of the main organs that creates the fetal immune system by producing T-lymphocytes. The development of the fetal thymus starts from the endoderm in the fifth gestational week, and continues with the immigration of lymphatic progenitor cells from other immune organs, creating thymocytes. The maturation and differentiation of thymocytes to T-lymphocytes also occurs in the thymus, which is crucial for a healthy immune system [12, 13]. The alteration of the fetal thymus size due to infections has been demonstrated in several studies [12, 14], [15], [16], [17]. In particular, small fetal thymus size pointed as a sonographic marker of FIRS [16, 17]. We hypothesized that due to excessive immunological alterations and stress-related conditions of the infection, the fetal thymus size might change in COVID-19 recovered (CR) women, compared to a healthy mother’s fetus.
We aimed to evaluate the long-term influence of the SARS-CoV-2 infection on the fetal immune system by fetal thymus size measurements with ultrasound (USG).
Materials and methods
This is a prospective study that was conducted between November 1, 2020 and April 1, 2021 in Turkish Ministry of Health Ankara City Hospital with recovered, pregnant women, four weeks after they had been confirmed for the SARS-CoV-2 infection. Four week time interval has chosen according to CDC case definition for multisystem inflammatory syndrome in children (MIS-C) report, which recommends for diagnosis; COVID-19 exposure within four weeks prior the onset of the symptoms [18]. Positive real-time polymerase-chain-reaction (RT-PCR) results were used for infection confirmation. The patients who had recovered from COVID-19 were compared with maternal and gestational age-matched control group of pregnant women monitored for routine antenatal care. Fetal growth restriction, multifetal pregnancy, fetal structural anomalies, preterm premature rupture of the membranes (PPROM), and maternal systemic diseases were used as exclusion criteria. Also, pregnant women with any symptoms of COVID-19 infection (fever, cough, myalgia, etc.) were not included in the control group. Written informed consent was obtained from all participants. The applied protocol was approved by Medical Research Ethics Department of the hospital (E2-21-550) and Turkish Ministry of Health.
Target alpha (α) and beta (β) error levels were taken as 0.05 and 0.05, respectively, to obtain 70% power and minimum required number was calculated as 41.
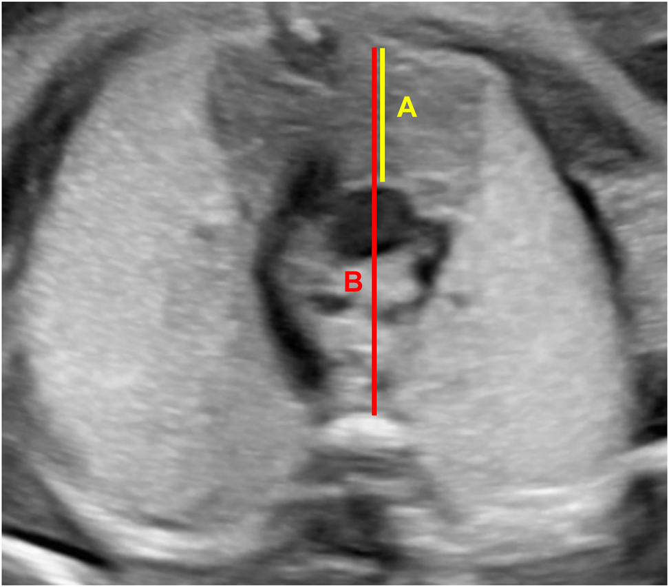
The gestational age of the patients was determined by the last menstrual period or first trimester crown-rump length. The pregnant women who recovered from COVID-19 were called by telephone and evaluated four weeks after the infection was confirmed. Thymus measurements were performed between 28 and 36 weeks of gestation. The same maternal fetal medicine specialists who are experienced for fetal thymic evaluation (SGA, ET) performed USG evaluations with software of GE Voluson E8 Ultrasound machine C 2–9 convex probe (3–9 MHz). To avoid orthostatic hypotension, examinations were performed in a semi-Fowler position. A transversal section of the fetal thorax in the three-vessel view was used for the measurement of the fetal thymus size. The thymus was identified as a homogeneous structure at the level of the three-vessel view, in the anterior mediastinum, in front of the great vessels. The fetal sternum and the fetal spine were defined for an eligible measurement. The thymus diameter (anteroposterior thymus diameter) was measured from the posterior edge of the fetal sternum through the aorta. The thorax diameter (intrathoracic mediastinal diameter) was then measured from the posterior edge of the fetal sternum, through the anterior edge of the fetal vertebra. The thymic-thoracic ratio (TTR) was calculated as follows: thymus diameter/thorax diameter (see Figure 1).

Thymus and thorax diameters. (A) Thymus diameter (anteroposterior thymus diameter) and (B) thorax diameter (intrathoracic mediastinal diameter), TTR: (A)/(B).
The laboratory parameters of the CR group were evaluated at the time of diagnosis.
Statistical analysis was performed using the Statistical Package for the Social Science (SPSS Inc, Chicago, IL, USA) version 17.0. The Shapiro–Wilk test was used to determine the normality distribution of the data. The continuous variables were not-normally distributed and they presented as mean and standard deviation. Groups were compared with Mann–Whitney U test and they presented as median and interquartile range (IQR). An association between fetal TTR and maternal inflammation parameters was investigated with the Spearman correlation coefficient. Kruskal Wallis test was used to compare more than two groups. The p-values below 0.05 were considered statistically significant.
Results
Table 1 shows the demographic features of patients in the CR group (n=41), and patients in the control group (n=82). The two groups were homogenous, and no significant differences were noted in the demographic data. When the TTR of the two groups were compared, the CR group’s results were statistically significantly lower than that of the control group (0.33 vs. 0.39, p=0.001). Table 2 provides a comparison of the TTR parameters. In addition, the TTR in the CR group was compared between mild (n=29) and moderate infection (n=12) subgroups, and no statistical significance (p=0.506) was observed (Table 3). The fetal TTR showed a significant and moderate correlation with maternal monocyte counts (r=−0.436; p=0.015), monocyte to lymphocyte ratio (MLR) (r=−0.436; p=0.013), and red cell distribution width (RDW) (r=0.380; p=0.032); while it did not correlate with lymphocyte counts, c-reactive protein (CRP), and procalcitonin levels. Table 4 provides the correlation between the fetal TTR and maternal inflammation parameters.
Demographic data.
| Variables (mean, SD) | COVID-19 recovered group (n=41) | Control group (n=82) |
|---|---|---|
| Age, years | 28.6 ± 5.5 | 28.4 ± 5.6 |
| Gravidity | 2.2 ± 1.4 | 2.3 ± 1.3 |
| Parity | 0.9 ± 0.9 | 0.9 ± 0.8 |
| Gestational week | 32.4 ± 4.3 | 33.4 ± 2.6 |
Fetal USG parameters.
| Variables (median, IQR) | COVID-19 recovered group (n=41) | Control group (n=82) | p-Value |
|---|---|---|---|
| TTR | 0.33 (0.21–0.45) | 0.39 (0.34–0.44) | 0.001a |
-
aMann–Whitney U test. IQR, interquartile range; TTR, thymic-thoracic ratio; USG, ultrasound.
Comparison of TTR with COVID-19 infection severity.
| Variables (median, IQR) | Mild infection (n=29) | Moderate infection (n=12) | p-Value |
|---|---|---|---|
| TTR | 0.32 (0.27–0.40) | 0.36 (0.29–0.38) | 0.506a |
-
aMann–Whitney U test. IQR, interquartile range; TTR, thymic-thoracic ratio.
Correlation between fetal TTR and maternal inflammation parameters.
| Lymphocyte | Monocyte | MLR | CRP | Pct | RDW | |
|---|---|---|---|---|---|---|
| r-Valuea | 0.131 | −0.427 | −0.436 | 0.052 | −0.096 | 0.380 |
| p-Valuea | 0.475 | 0.015 | 0.013 | 0.778 | 0.613 | 0.032 |
-
aSpearman correlation analyze. MLR, monocyte-lymphocyte ratio; CRP, C-reactive protein; Pct, procalcitonin; RDW, red cell volume distribution width; TTR, thymic-thoracic ratio.
TTR percentiles (P) of the CR group were evaluated and, three groups created; <10 P (TTR <0.25), 10–90 P (TTR: 0.25–0.44), >90 P (TTR >0.45), respectively. These three groups compared about maternal inflammatory parameters with Kruskal Wallis test. Although there is a difference in the results of the groups, it was not different statistically (Table 5).
Comparison of fetal TTR percentiles and maternal inflammation parameters.
| Variables (median, IQR) | TTR <10 P (n=5) | TTR 10–90 P (n=23) | TTR <90 P (n=4) | p-Value |
|---|---|---|---|---|
| Lymphocyte | 910 (860–1,280) | 1,210 (850–1,540) | 1,550 (1,205–1,745) | 0.330a |
| Monocyte | 500 (360–570) | 350 (260–510) | 315 (260–415) | 0.278a |
| MLR | 0.40 (0.39–0.54) | 0.32 (0.20–0.52) | 0.23 (0.17–0.31) | 0.123a |
| CRP | 23.2 (11–28.1) | 10 (4.9–22.3) | 15 (5–20) | 0.534a |
| Pct | 0.17 (0.15–0.18) | 0.18 (0.15–0.21) | 0.17 (0.14–0.18) | 0.336a |
| RDW | 13.3 (13–13.6) | 13.7 (13–14.8) | 14.9 (13.7–15.9) | 0.334a |
-
aKruskal-Wallis test. P, percentile; MLR, monocyte-lymphocyte ratio; CRP, C-reactive protein; Pct, procalcitonin; RDW, red cell volume distribution width; TTR, thymic-thoracic ratio.
Discussion
The fetal thymus has been shown to actively respond to systemic maternal inflammation throughout the gestational period [12, 14], [15], [16], [17]. A well-known pathophysiology of COVID-19 is hyperinflammation and a cytokine storm as immune response [6, 19]. Consistent with this situation we found a decreased TTR result in the CR group.
Chorioamnionitis is the most investigated infection into fetal thymic alterations in the literature. De Felice et al. showed that even subclinical chorioamnionitis in PPROM, creates reduction in the thymus size [20]. Another study conducted with PPROM and chorioamnionitis, also reported a decreased size of the fetal thymus and concluded that this ultrasonographic tool might be an early warning of intrauterine infection in PPROM cases [15]. The pathology behind this involution could be explained by hypothalamic-pituitary-adrenal axis activation and lymphocyte migration towards the affected organs, and these situations result from a corticomedullary decrease in fetal thymus [21, 22].
The rise of maternal proinflammatory cytokines, causing fetal immune system activation, has become known as FIRS. It is a subclinical condition accompanied by multiorgan involvement, including fetal thymus. Excessive inflammation, such as a cytokine storm, was one of the predominant effects of COVID-19- and SARS-CoV-2-related FIRS, as reported previously [11]. The rationale of this study: that fetal thymus evaluation was related to this point and consistent with the literature on COVID-19 infection, resulting in decreased fetal thymus size.
The infection was not the only reason for inflammation in pregnancy. The systemic effects of a vitamin D deficiency (VDD) in both the fetus and the mother, were researched, and due to the non-specific inflammatory response, a small fetal thymus size was reported in VDD pregnant women, compared with healthy controls [23]. Similarly, systemic diseases associated with hyperinflammation, such as pre-eclampsia and diabetes, were correlated with a decreased fetal thymus size [24, 25]. The possible pathophysiology of this result was triggered by systemic stress that leads to increased endogenous corticosteroids, due to the activation of the hypothalamic-pituitary-adrenal axis that induces apoptosis in thymic involution.
In our recent study, we did not find any difference in fetal TTR parameters between COVID-19 positive pregnant women and controls [26]. Therefore, the results of the present study show that COVID-19 had negatively affected fetal immune system in long-term period rather than acute phase of the infection. Although the vertical transmission of SARS-CoV-2 has not been proven yet, it is likely that COVID-19 related inflammatory reactions caused significant decrease in fetal TTR, similar to other hyperimmune related pathologies of pregnancy in long-term [3, 4, 15, 23], [24], [25, 27].
The CR group had a mild or moderate infection and the TTR was similar between the two groups. Furthermore, among the inflammation parameters, only the monocyte counts, MLR, and RDW were found correlated with the TTR, despite the well-known altered parameters connected with the COVID-19 infection in this group. Both monocyte and RDW have been pointed out as inflammation mediators in the pathogenesis of systemic diseases, like pre-eclampsia, in pregnancy before [28, 29]. Additionally, there was no significantly difference between the <10 P, 10–90 P, >90 P of TTR and maternal inflammatory parameters. Maternal COVID-19 related inflammatory parameters were not given an additional hint about the long-term fetal immune effects of the SARS-CoV-2 on fetal thymus parameter and, not need to be used for fetal follow-up.
The fetal thymus size was evaluated with TTR, because the ratio did not change throughout gestation. In addition, the fetal gender and the maternal body mass index also did not influence the measurement [25, 30].
COVID-19 has kept its secret despite affecting millions of people. Although SARS-CoV-2 virions were shown in the placental villi microscopically [31], there is no evidence to prove vertical transmission to date. However, it is certain that excessive inflammation has an effect on the fetal immune system in long-term. The findings of this specific study may improve our limited knowledge for the application of fetal immune status in pregnant women recovered from COVID-19. Not only the acute viral effects of the SARS-CoV-2 also, post infection events become more important and challenging in the management of these patients. This point can only be proven by larger studies, focused on both fetal and neonatal outcomes.
The main strengths of the present study were its novelty and prospective design. The main limitations were no severe category participants in CR group and a lack of long-term information of the fetuses.
Conclusions
In conclusion, COVID-19 infection reduces fetal thymus size in pregnant women with mild or moderate symptoms after recovery from the infection. This is the first study about this effect of SARS-CoV-2 in the literature to date. Besides the acute results of the virus, the possibility of negative, post-COVID manifestations must be kept in mind. More specific and targeted sonographic evaluation is required for fetuses that are at risk of developing FIRS related to COVID-19. Further studies are needed to confirm the results reported here.
Acknowledgments
Special thanks to all the perinatology division staff who works very hard during the pandemic period and also thanks to Prof. Dr. Tolga Güler, Oby & Gyn Department, Pamukkale University, expert on medical statistics for revising the statistical analyses of the article.
-
Research funding: None declared.
-
Author contributions: All authors have accepted responsibility for the entire content of this manuscript and approved its submission.
-
Competing interests: Authors state no conflict of interest.
-
Informed consent: Informed consent was obtained from all individuals included in this study.
-
Ethical approval: Research involving human subjects complied with all relevant national regulations, institutional policies and is in accordance with the tenets of the Helsinki Declaration (as revised in 2013), and has been approved by the authors’ Institutional Review Board (E2-21-550).
References
1. DeBolt, CA, Bianco, A, Limaye, MA, Silverstein, J, Penfield, CA, Roman, AS, et al.. Pregnant women with severe or critical coronavirus disease 2019 have increased composite morbidity compared with nonpregnant matched controls. Am J Obstet Gynecol 2021;224:510.e1–12. https://doi.org/10.1016/j.ajog.2020.11.022.Suche in Google Scholar
2. Mehta, P, McAuley, DF, Brown, M, Sanchez, E, Tattersall, RS, Manson, JJ. HLH across Speciality Collaboration, UK. COVID-19: consider cytokine storm syndromes and immunosuppression. Lancet 2020;395:1033–4. https://doi.org/10.1016/s0140-6736(20)30628-0.Suche in Google Scholar
3. Gustine, JN, Jones, D. Immunopathology of hyperinflammation in COVID-19. Am J Pathol 2021;191:4–17. https://doi.org/10.1016/j.ajpath.2020.08.009.Suche in Google Scholar
4. Luo, XH, Zhu, Y, Mao, J, Du, RC. T cell immunobiology and cytokine storm of COVID-19. Scand J Immunol 2021;93:e12989. https://doi.org/10.1111/sji.12989.Suche in Google Scholar
5. Turan, O, Hakim, A, Dashraath, P, Jeslyn, WJL, Wright, A, Abdul-Kadir, R. Clinical characteristics, prognostic factors, and maternal and neonatal outcomes of SARS-CoV-2 infection among hospitalized pregnant women: a systematic review. Int J Gynaecol Obstet 2020;151:7–16. https://doi.org/10.1002/ijgo.13329.Suche in Google Scholar
6. Sahin, D, Tanacan, A, Erol, SA, Anuk, AT, Yetiskin, FDY, Keskin, HL, et al.. Updated experience of a tertiary pandemic center on 533 pregnant women with COVID-19 infection: a prospective cohort study from Turkey. Int J Gynaecol Obstet 2021;152:328–34. https://doi.org/10.1002/ijgo.13460.Suche in Google Scholar
7. Dey, M, Singh, S, Tiwari, R, Nair, VG, Arora, D, Tiwari, S. Pregnancy outcome in first 50 SARS-Cov-2 positive patients at our center. Gynecol Obstet Reprod Med 2021;27:11–6.10.21613/GORM.2021.1176Suche in Google Scholar
8. Fadiloglu, E, Tanacan, A, Unal, C, Beksac, MS. Evaluation and management of women who have experienced stillbirth in their previous pregnancies. Gynecol Obstet Reprod Med 2021;16.10.21613/GORM.2018.892Suche in Google Scholar
9. Shanes, ED, Mithal, LB, Otero, S, Azad, HA, Miller, ES, Goldstein, JA. Placental pathology in COVID-19. Am J Clin Pathol 2020;154:23–32. https://doi.org/10.1093/ajcp/aqaa089.Suche in Google Scholar
10. Gomez, R, Romero, R, Ghezzi, F, Yoon, BH, Mazor, M, Berry, SM. The fetal inflammatory response syndrome. Am J Obstet Gynecol 1998;179:194–202. https://doi.org/10.1016/s0002-9378(98)70272-8.Suche in Google Scholar
11. McCarty, KL, Tucker, M, Lee, G, Pandey, V. Fetal inflammatory response syndrome associated with maternal SARS-CoV-2 infection. Pediatrics 2020;29:e2020010132. https://doi.org/10.1542/peds.2020-010132.Suche in Google Scholar
12. Gasthaus, CL, Schmitz, R, Hammer, K, Oelmeier de Murcia, K, Falkenberg, MK, Braun, J, et al.. Influence of maternal HIV infection on fetal thymus size. J Perinat Med 2019;48:67–73. https://doi.org/10.1515/jpm-2019-0060.Suche in Google Scholar
13. Gordon, J, Manley, NR. Mechanisms of thymus organogenesis and morphogenesis. Development 2011;138:3865–78. https://doi.org/10.1242/dev.059998.Suche in Google Scholar
14. Sciaky-Tamir, Y, Hershkovitz, R, Mazor, M, Shelef, I, Erez, O. The use of imaging technology in the assessment of the fetal inflammatory response syndrome-imaging of the fetal thymus. Prenat Diagn 2015;35:413–9. https://doi.org/10.1002/pd.4560.Suche in Google Scholar
15. Yinon, Y, Zalel, Y, Weisz, B, Mazaki-Tovi, S, Sivan, E, Schiff, E, et al.. Fetal thymus size as a predictor of chorioamnionitis in women with preterm premature rupture of membranes. Ultrasound Obstet Gynecol 2007;29:639–43. https://doi.org/10.1002/uog.4022.Suche in Google Scholar
16. El-Haieg, DO, Zidan, AA, El-Nemr, MM. The relationship between sonographic fetal thymus size and the components of the systemic fetal inflammatory response syndrome in women with preterm prelabour rupture of membranes. BJOG 2008;115:836–41. https://doi.org/10.1111/j.1471-0528.2008.01715.x.Suche in Google Scholar
17. Mastrolia, SA, Erez, O, Loverro, G, Di Naro, E, Weintraub, AY, Tirosh, D, et al.. Ultrasonographic approach to diagnosis of fetal inflammatory response syndrome: a tool for at-risk fetuses? Am J Obstet Gynecol 2016;215:9–20. https://doi.org/10.1016/j.ajog.2016.01.164.Suche in Google Scholar
18. CDC health alert network mulitsystem inflammatory syndrome in children (MIS-C) associated with coronavirus disease 2019 (COVID-19). Available from: https://emergency.cdc.gov/han/2020/han00432.asp [Accessed 23 May 2020].Suche in Google Scholar
19. Soy, M, Keser, G, Atagündüz, P, Tabak, F, Atagündüz, I, Kayhan, S. Cytokine storm in COVID-19: pathogenesis and overview of anti-inflammatory agents used in treatment. Clin Rheumatol 2020;39:2085–94. https://doi.org/10.1007/s10067-020-05190-5.Suche in Google Scholar
20. De Felice, C, Toti, P, Santopietro, R, Stumpo, M, Pecciarini, L, Bagnoli, F. Small thymus in very low birth weight infants born to mothers with subclinical chorioamnionitis. J Pediatr 1999;135:384–6. https://doi.org/10.1016/s0022-3476(99)70140-x.Suche in Google Scholar
21. De Felice, C, Toti, P, Musarò, M, Peruzzi, L, Paffetti, P, Pasqui, L, et al.. Early activation of the hypothalamic-pituitary-adrenal-axis in very-low-birth-weight infants with small thymus at birth. J Matern Fetal Neonatal Med 2008;21:251–4. https://doi.org/10.1080/14767050801927871.Suche in Google Scholar PubMed
22. Kuypers, E, Wolfs, TG, Collins, JJ, Jellema, RK, Newnham, JP, Kemp, MW, et al.. Intraamniotic lipopolysaccharide exposure changes cell populations and structure of the ovine fetal thymus. Reprod Sci 2013;20:946–56. https://doi.org/10.1177/1933719112472742.Suche in Google Scholar PubMed PubMed Central
23. Gur, EB, Gur, MS, Ince, O, Kasap, E, Genc, M, Tatar, S, et al.. Vitamin D deficiency in pregnancy may affect fetal thymus development. Ginekol Pol 2016;87:378–83. https://doi.org/10.5603/gp.2016.0008.Suche in Google Scholar PubMed
24. Mohamed, N, Eviston, DP, Quinton, AE, Benzie, RJ, Kirby, AC, Peek, MJ, et al.. Smaller fetal thymuses in pre-eclampsia: a prospective cross-sectional study. Ultrasound Obstet Gynecol 2011;37:410–5. https://doi.org/10.1002/uog.8953.Suche in Google Scholar PubMed
25. Dörnemann, R, Koch, R, Möllmann, U, Falkenberg, MK, Möllers, M, Klockenbusch, W, et al.. Fetal thymus size in pregnant women with diabetic diseases. J Perinat Med 2017;45:595–601.10.1515/jpm-2016-0400Suche in Google Scholar PubMed
26. Goncu Ayhan, S, Oluklu, D, Sinaci, S, Atalay, A, Erol, SA, Ozden Tokalioglu, E, et al.. Fetal thymus size in pregnant women with COVID-19 infection. Gynecol Obstet Reproductive Med 2021;27:84–8. https://doi.org/10.21613/gorm.2021.1222.Suche in Google Scholar
27. Sinaci, S, Ocal, DF, Seven, B, Anuk, AT, Besimoglu, B, Keven, MC, et al.. Vertical transmission of SARS-CoV-2: a prospective cross-sectional study from a tertiary center. J Med Virol 2021;3:5864–72.10.1002/jmv.27128Suche in Google Scholar PubMed PubMed Central
28. Sen-Yu, W, Chao, X. Assessment of the relationship between red blood cell distribution width and pregnancy hypertension disease. J Obstet Gynaecol Res 2016;42:1258–62. https://doi.org/10.1111/jog.13067.Suche in Google Scholar PubMed
29. Vishnyakova, P, Elchaninov, A, Fatkhudinov, T, Sukhikh, G. Role of the monocyte-macrophage system in normal pregnancy and preeclampsia. Int J Mol Sci 2019;28:3695. https://doi.org/10.3390/ijms20153695.Suche in Google Scholar PubMed PubMed Central
30. De Leon-Luis, J, Gámez, F, Pintado, P, Antolin, E, Pérez, R, Ortiz-Quintana, L, et al.. Sonographic measurements of the thymus in male and female fetuses. J Ultrasound Med 2009;28:43–8. https://doi.org/10.7863/jum.2009.28.1.43.Suche in Google Scholar PubMed
31. Algarroba, GN, Rekawek, P, Vahanian, SA, Khullar, P, Palaia, T, Peltier, MR, et al.. Visualization of severe acute respiratory syndrome coronavirus 2 invading the human placenta using electron microscopy. Am J Obstet Gynecol 2020;223:275–8. https://doi.org/10.1016/j.ajog.2020.05.023.Suche in Google Scholar PubMed PubMed Central
© 2021 Walter de Gruyter GmbH, Berlin/Boston
Artikel in diesem Heft
- Frontmatter
- Corner of Academy
- External cephalic version in the outpatient clinic
- Original Articles – Obstetrics
- How COVID-19 pandemic is changing the practice of prenatal screening and diagnosis?
- Analysis of prevalence and sociodemographic conditions among women in labor with and without COVID-19 in public hospitals in Chile
- Influence of Covid-19 infection on fetal thymus size after recovery
- Second trimester fetal thymus size in association to preterm birth
- Heat stable carbetocin vs. oxytocin for the prevention of post-partum hemorrhage in emergency caesarean delivery: a randomized controlled trial
- Enhanced S100B expression in T and B lymphocytes in spontaneous preterm birth and preeclampsia
- The impact of parity and maternal obesity on the fetal outcomes of a non-selected Lower Saxony population
- Importance of frame rate for the measurement of strain and synchrony in fetuses using speckle tracking echocardiography
- Kidney graft function before pregnancy as a predictor of graft, maternal and fetal outcomes in pregnant renal transplant recipients
- Sociodemographic factors affecting perceived stress during pregnancy and the association with immune-mediator concentrations
- Original Articles – Neonates
- Smoking influence on early and late fetal growth
- Maternal oxytocin administration modulates gene expression in the brains of perinatal mice
- Original Articles – Fetus
- Human epididymis protein 4 and fetal lung maturity
- Commentary
- Plato unmasks hidden limits of tele-education
- Letter to the Editors
- COVID-19 delta variant and anxiety and fear in pregnant women
- Reply to: COVID-19 Delta variant and anxiety and fear in pregnant women
- COVID-19 infected pregnant women and cardiotocographic features
- Letter Reply
- Response to the concern that the baseline change in CTG traces does not reflect the impact of maternal COVID-19
Artikel in diesem Heft
- Frontmatter
- Corner of Academy
- External cephalic version in the outpatient clinic
- Original Articles – Obstetrics
- How COVID-19 pandemic is changing the practice of prenatal screening and diagnosis?
- Analysis of prevalence and sociodemographic conditions among women in labor with and without COVID-19 in public hospitals in Chile
- Influence of Covid-19 infection on fetal thymus size after recovery
- Second trimester fetal thymus size in association to preterm birth
- Heat stable carbetocin vs. oxytocin for the prevention of post-partum hemorrhage in emergency caesarean delivery: a randomized controlled trial
- Enhanced S100B expression in T and B lymphocytes in spontaneous preterm birth and preeclampsia
- The impact of parity and maternal obesity on the fetal outcomes of a non-selected Lower Saxony population
- Importance of frame rate for the measurement of strain and synchrony in fetuses using speckle tracking echocardiography
- Kidney graft function before pregnancy as a predictor of graft, maternal and fetal outcomes in pregnant renal transplant recipients
- Sociodemographic factors affecting perceived stress during pregnancy and the association with immune-mediator concentrations
- Original Articles – Neonates
- Smoking influence on early and late fetal growth
- Maternal oxytocin administration modulates gene expression in the brains of perinatal mice
- Original Articles – Fetus
- Human epididymis protein 4 and fetal lung maturity
- Commentary
- Plato unmasks hidden limits of tele-education
- Letter to the Editors
- COVID-19 delta variant and anxiety and fear in pregnant women
- Reply to: COVID-19 Delta variant and anxiety and fear in pregnant women
- COVID-19 infected pregnant women and cardiotocographic features
- Letter Reply
- Response to the concern that the baseline change in CTG traces does not reflect the impact of maternal COVID-19