Abstract
Background: Diagnosis of adolescent polycystic ovary syndrome (PCOS) remains a challenge despite several existing criteria, and may be difficult to distinguish from pubertal changes. Different parameters to study ovarian function using ultrasonography have been proposed, but there is still no consensus about their diagnostic value.
Objective: To evaluate the role of ultrasonography in the diagnosis of adolescent PCOS by reviewing available studies that assessed the ovarian volume (OV) and other ovarian morphological features such as location and number of follicles, stromal area, and volume.
Methods: MEDLINE/PubMed database were searched to identify studies that assessed ovarian characteristics of adolescent PCOS patients by ultrasound. Studies on adults were also reviewed if study population included adolescents and stromal characteristics were assessed by three-dimensional (3D) sonogram.
Results: Five studies, including 262 PCOS adolescents (10–19 years of age) and two-dimensional (2D) ultrasound analysis, were identified. Mean OV was 9.29 cm3 for PCOS patients and 4.77 cm3 for controls. The morphology of ovarian follicles, when reported, showed multiple (>10) peripheral follicles in 83% of cases. Two studies, including 157 PCOS adolescents and young women (15–35 years of age) and 2D and 3D ultrasound analysis, were identified. Patients with PCOS patients had a MOV 13.1 cm3, multiple follicles (>15), and a statistically significant greater S/A ratio compared to controls. Stromal volume indices were positively correlated with hyperandrogenemia in PCOS patients.
Conclusion: Pelvic ultrasound is an increasingly important aid in the diagnosis of PCOS in adolescents. Besides ovarian volume, ovarian morphology must be assessed with 2D ultrasound to look for peripherally located multiple follicles. Further studies are warranted to evaluate the utility of 3D ultrasonographic assessment in adolescents with PCOS.
Introduction
Polycystic ovary syndrome (PCOS) is one of the most common endocrine disorders affecting up to 6%–10% of reproductive-age women (1). Symptoms of PCOS can often be traced to the peripubertal years and may present as premature adrenarche. The pathogenesis of PCOS is difficult to ascertain as it is considered a complex multigenetic disorder characterized by disordered gonadotropin release from the pituitary and abnormal ovarian steroidogenesis (2). Although the presentation of PCOS varies widely, some of the key features of PCOS include menstrual irregularity, clinical and biochemical hyperandrogenism, and polycystic-appearing ovaries. It is often associated with obesity and insulin resistance. However, in adolescents the PCOS features may be difficult to distinguish from pubertal changes. In general, menstrual abnormalities are common in adolescents immediately following menarche and may be a less reliable diagnostic feature of PCOS (3). In addition, increased ovarian and adrenal androgen production during puberty may lead to increased acne and mild hirsutism. Thus, PCOS in adolescent patients poses a diagnostic challenge.
Adolescents with PCOS are at an increased risk for developing other disorders, such as adulthood infertility, obstructive sleep apnea, diabetes mellitus, metabolic syndrome, and psychiatric morbidities (4). Thus, an early diagnosis of PCOS in adolescents may allow for screening of metabolic complications and timely intervention to reduce circulating androgen levels and may improve health consequences and quality of life of women with this disorder.
The criteria used to diagnose adolescents with PCOS remain controversial. It is unclear whether the adult criteria for the diagnosis of PCOS may be adapted for diagnosis in the adolescent population. At the first international conference on PCOS at the National Institutes of Health in 1990, a diagnosis of PCOS required a combination of chronic anovulation and clinical or biochemical signs of hyperandrogenism and exclusion of other endocrine disorders. An expert meeting at Rotterdam in 2003 recommended that a diagnosis of PCOS be made when at least two of the three following features were present: chronic anovulation or oligoovulation, clinical or biochemical hyperandrogenism, and clearly defined polycystic ovaries on ultrasound. Polycystic ovarian morphology on ultrasound is defined as the presence of 12 or more follicles per ovary measuring 2–9 mm diameter and/or an ovarian volume <10 mL (5). Historically, ultrasound was used to describe the ovarian morphology in women already diagnosed with PCOS rather than to establish a diagnosis of PCOS. The inclusion of polycystic ovarian morphology as one of the criteria for the diagnosis of PCOS sparked controversy as it widens the population of women who meet the criteria for PCOS (6).
Different parameters to study ovarian function using ultrasonography have been proposed in adult patients, but there is still no consensus about their diagnostic value in adolescents. The classic routine transabdominal ultrasound gives information pertaining to ovarian volume and the location and number of follicles in each ovary (7). Recent advances in ultrasonography have emphasized the importance of ovarian stromal area/total area (S/A) ratio and its correlation to hyperandrogenism (8). The purpose of this review is to evaluate the available studies of ultrasonography that have been performed in adolescent PCOS patients and highlight the role of ultrasound in diagnosis and management of PCOS in adolescents.
Methods
Relevant research concerning the use of ultrasound in adolescent PCOS patients was identified by doing a PubMed/Medline search. In order to ensure that relevant studies were not missed, the search terms used were “ultrasound”, plus “adolescent”, plus “polycystic ovary syndrome” anywhere in the title or abstract. Studies after 2003 until the current time frame were included in the study because the Rotterdam diagnostic criteria were updated in 2003 to include ultrasound assessment of polycystic ovarian morphology. Studies were eligible for consideration if (a) the study included PCOS subjects of adolescent age (10–19 years of age) and controls, and (b) ultrasound was performed to assess ovarian characteristics, including ovarian volume and/or ovarian follicular details. Studies were omitted if the patient population did not include adolescents or if the patient population was not already diagnosed with PCOS. In addition, we included studies with two-dimensional (2D) and three-dimensional (3D) ultrasound in older patients if the patient population included the adolescent age group.
Results of ovarian ultrasound studies in adolescents
Overall, nine studies conducted between 2003 and 2013 were identified, and seven were used in this review (8–14). Two studies were excluded from our analysis because there was a lack of ultrasonographic quantitative data (15, 16).
Two groups were created. Group A included five studies, which had PCOS adolescents with or without controls and used 2D ultrasound (9–11, 13, 14). Group B included two studies, which consisted of both adolescents and young women and used 2D and 3D ultrasound (8, 12).
Demographic characteristics of studies including adolescent PCOS patients and 2D ultrasound analysis (group A)
General characteristics of the studies assessed are presented in Table 1. Group A included 262 PCOS patients in the age group of 10–19 years. Seventy percent of patients were overweight/obese, and 30% of patients were non-obese. Ethnic groups included Caucasian (46%), Asian (30%), Hispanic (19%), and African American (5%). Most Caucasians (94%) and Hispanics (95%) were overweight/obese, and most Asians (86%) were non-obese. The mean age was 16.9, 15.4, and 15.9 years for non-obese PCOS, overweight/obese PCOS, and control patients, respectively. Ovarian volume, ovarian morphology, and serum androgen levels were assessed.
Characteristics of studies that used ultrasound to assess ovarian volume and morphology in PCOS adolescents.
| Study | Population | Variables assessed within study | |||||||
|---|---|---|---|---|---|---|---|---|---|
| Ethnicity (n) | Non-obese PCOS mean age±SD (n) | Overweight/Obese PCOS mean age±SD (n) | Controls mean age±SD (n) | Ovarian volume | Ovarian morphology | Serum testosterone levels | Stromal area/total ovarian area (S/A) | ||
| Group Aa | |||||||||
| 1 | Silfen et al. (11) | C (16) H (22) AA (10) | 16.1±1.9 (11) | 15.5±1.4 (22) | 14.4±1.5 (15) | + | + | + | – |
| 2 | Chen et al. (9) | A (95) | 17.01±1.88 (69) | – | 17.85±0.88 (26) | + | – | + | – |
| 3 | Shah et al. (10) | H (28) C (10) A (8) AA (5) | – | 15c (51) | – | + | + | – | – |
| 4 | Villa et al. (13) | C (134) | – | 15.7±1.4 (86) | 15.3±1.7 (48) | + | – | + | – |
| 5 | Pawelczak et al. (14) | H (18) A (3) AA (2) | – | 15.2±1.84 (23) | – | + | + | + | – |
| Group Bb | |||||||||
| 6 | Battaglia et al. (8) | C (164) | 26.2±4.6 (112) | – | 25.5±5.1 (52) | + | – | + | + |
| 7 | Sun and Fu (12) | A (100) | – | 20.3±5.2 (45) 19.1±4.5d (30) | 20.1±3.7 (25) | + | – | + | + |
aStudies including adolescent PCOS patients and 2D ultrasound analysis. bStudies including adolescents and young women with PCOS and 3D ultrasound analysis. cMean age in years. dOnly polycystic ovaries (PCO) without clinical symptoms. C, Caucasian; H, Hispanic; AA, African American; A, Asian.
Ultrasound (2D) and biochemical features of studies including adolescent PCOS patients (group A)
Ultrasonographic and hormonal features of the PCOS studies are shown in Table 2 for group A. The overall mean ovarian volume was 9.29±4.62 cm3 for PCOS patients and 4.77±2.30 cm3 for controls (p<0.001). This was calculated using studies that had both PCOS and control patients (9, 11, 13). The morphology of ovarian follicles was reported in three of the studies, which showed peripheral and multiple follicles (>10) in 83% of cases (10, 11, 14). Greater levels of androgens, including total and free testosterone, were found in the obese PCOS patients, compared with the controls in four studies (9, 11, 13, 14).
Analysis of PCOS studies.
| Mean ovarian volume (MOV) (mL) | Number of follicles | Percent of patients with peripheral distribution of follicles | Stromal area to total ovarian area (S/A ratio) | Serum testosterone | |||||||||||
|---|---|---|---|---|---|---|---|---|---|---|---|---|---|---|---|
| Study | Non-obese PCOS | Obese PCOS | Controls | p | PCOS | Controls | Non-obese PCOS | Obese PCOS | Controls | PCOS | PCO | Controls | p-Value | p | Correlation to ovarian parameters |
| Group A | |||||||||||||||
| 1 | 9.3±3.1 | 8.2±4.4 | 5.9±3.9 | – | – | – | 75% | 100% | 31% | – | – | – | – | p<0.001 | – |
| 2 | 9.25±5.2 | – | 4.44±2.1 | p<0.01 | – | – | – | – | – | – | – | – | – | p<0.01 | – |
| 3 | – | 9.9 | – | – | 83%b | – | – | 81% | – | – | – | – | – | – | – |
| 4 | – | 9.6±4.4 | 4.6±1.9 | p<0.001 | – | – | – | – | – | – | – | – | – | p<0.001 | Testosterone to MOV p<0.03 |
| 5 | – | 9.65±4.58 | – | – | 83% b | – | – | 76% | – | – | – | – | – | p<0.01 | – |
| Group B | |||||||||||||||
| 6 | 12.6±3.5 | – | 5.7±1.5 | p<0.0001 | 14.5 | 3.2 | – | – | – | 0.87±0.03 | 0.65±0.06 | p<0.0001 | p=0.001 | – | |
| 7 | – | 14.79±2.16 13.68±3.47a | 7.69±1.86 | p<0.01 p<0.05a | 15.96 | 4.31 | – | – | – | 0.513±0.12 | 0.321±0.05 | 0.27±0.07 | p<0.05 | p<0.01 | Testosterone to S/A, r=0.685, p<0.01 |
aOnly polycystic ovaries (PCO) without clinical symptoms. bThe percent of patients that had >10 follicles.
Demographic characteristics of studies including adolescents and young women with PCOS and 3D ultrasound analysis (group B)
General characteristics of the studies assessed are presented in Table 1. Group B included 157 PCOS patients in the age group of 15–35 years. Each study had unique patient populations. Battaglia et al. conducted a study that comprised 112 non-obese young Italian women (18–35 years) and 52 healthy age-matched volunteers (18–35 years) with normal ovulatory cycles. Ovarian volume, androgen levels, and stromal area to total ovarian area ratio (S/A ratio) were assessed using both 2D and 3D transvaginal ultrasound (8). Sun and Fu evaluated ovarian volume, serum androgen levels, and S/A ratio using a 3D transrectal ultrasound in 45 obese Chinese adolescent and young women (15–25 years), 30 obese PCO patients (polycystic ovaries without clinical symptoms of PCOS, 15–25 years), and 25 healthy age-matched controls (12).
3D Ultrasound and biochemical features of studies including adolescents and young women with PCOS (group B)
Ultrasonographic and hormonal features of the PCOS studies are shown in Table 2 for group B. The mean ovarian volume of group B using 3D ultrasound was 13.1±3.2 cm3 for PCOS patients and 6.3±1.6 cm3 for controls (p<0.001). The average numbers of follicles were >15 in all PCOS patients, and stromal area to total ovarian area (S/A) ratio was significantly higher in PCOS patients than in controls (8, 12). In addition, there was a statistically significant difference in the S/A ratio between patients with PCOS vs. patients with PCO (12). Stromal volume (SV) and stromal/ovarian volume (SV/OV) ratio were significantly higher in PCOS patients than in controls, and ovarian vascularization significantly lower in controls than in PCOS patients (8). Indices such as S/A ratio, SV, and SV/OV ratio were positively correlated with hyperandrogenemia in PCOS patients (8, 12).
Discussion
Ovarian volume
Pelvic ultrasound is an important tool used in the diagnosis of PCOS in adolescent girls and young women. One of the diagnostic criteria in the Rotterdam criteria includes the ultrasound evaluation of polycystic ovaries (the presence of 12 or more follicles per ovary measuring 2–9 mm diameter and/or an ovarian volume <10 mL). Four of the seven studies done in adolescents revealed statistically significant differences in ovarian volume between PCOS patients and controls (8, 9, 12, 13). Shah et al. and Pawelczak et al. revealed that in a cohort of 74 overweight/obese PCOS adolescents, 40% of adolescents had an enlarged ovarian volume (10, 14). Ovarian volume was also found to be similar in patients with PCOS and patients with polycystic ovaries but with no clinical manifestations of PCOS (12). However, a mean ovarian volume may be <10 mL in adolescents because of either a shorter duration or milder form of disease and may be influenced by stage of puberty. Thus, ovarian volume is important to evaluate in adolescent patients but is not enough in making a definitive diagnosis of PCOS in adolescents.
Morphology of the ovaries
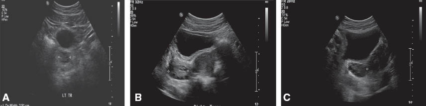
Morphological characteristics of ovaries include number and location of the follicles distributed within the ovary, stromal echogenicity, and vascularization (17). Silfen et al. reported that 100% obese PCOS and 75% non-obese PCOS patients had multiple peripherally oriented ovarian follicles, compared with 31% of controls (11). Shah et al. and Pawelczak et al. reported that more than 80% of obese adolescent PCOS patients had >10 follicles located peripherally (10, 14). Figure 1 shows the peripherally located follicles in obese and non-obese PCOS adolescents, compared with a normal ovary. Figure 2 shows both transabdominal and transvaginal ultrasound of a polycystic ovary in an overweight PCOS adolescent.

Transabdominal transverse ultrasound images (A) normal ovary. (B) Right ovary in a non-obese adolescent with PCOS (ovarian volume 13 mL). Several small follicles are peripherally located, without evidence of a dominant follicle. (C) Right ovary in an obese PCOS adolescent (ovarian volume 17 mL). Several small follicles are also peripherally located. Body habitus limits the quality of the image.

(A) Transabdominal longitudinal ultrasound image of the right ovary in an overweight adolescent with PCOS. (B) Transvaginal longitudinal ultrasound image of the right ovary in the same patient. The quality of the image is improved with transvaginal ultrasound.
The pathophysiology leading to this ultrasound finding is thought to be explained by phenomena put forth by Panchal et al. Androgen leads to proliferation of stromal and theca cells, leading to increased stroma. As the disease progresses and the stroma expands, the follicles in the central part of the ovary move out to the periphery, leading to a peripheral polycystic ovary. A peripheral cystic pattern is suggestive of a long-standing, more severe disease (17). Thus, the number and distribution of ovarian follicles, even in the absence of an enlarged ovarian volume, can be suggestive of PCOS in adolescents. The radiological findings are most useful when combined with the clinical and biochemical findings consistent with PCOS (10).
Ovarian stromal area/total area (S/A) ratio
Studies using newer 3D ultrasound showed that the ovarian stromal area and S/A ratio were significantly greater in PCOS patients than in controls, as well as patients with polycystic ovaries, a condition known to occur in 20% of the female population (8, 12, 18). The S/A ratio was also significantly correlated with androgen levels and hirsutism (8, 12).
It is thought that thickening of the ovarian stroma correlates with prominent theca and fibrotic thickening of the lutheal cell albuginea. Theca cells reside in the ovarian stroma and are responsible for androgen production. The androgens are required by the developing follicle and are transported to the granulosa cells for conversion into estrogens (19). Ovarian stromal hypertrophy is involved in the pathophysiology of the PCOS, but its acceptance as a criterion for diagnosis of PCOS remains controversial (20). The data strongly support the use of 3D ultrasound to assess S/A ratio in the diagnosis of PCOS, as it was found to be the parameter most closely correlated with androgen levels.
Comparison of 2D vs. 3D ultrasound techniques
In adolescents who are not sexually active, pelvic ultrasonography is preferred using the transabdominal approach. The resolution of the image may be suboptimal, especially in overweight and obese individuals, making evaluation of ovarian morphology more difficult (21). The use of 2D sonography to assess ovarian stromal echogenicity has been criticized for user subjectivity and inaccurate reproducibility (8). With the advent of 3D ultrasound, the transverse plane of the pelvis can be visualized, allowing for the ovary to be examined simultaneously in three orthogonal planes and for ovarian stroma measurement. Direct measurement of the ovarian stromal volume is done by subtraction of the total follicular volume from the total ovarian volume (8, 22).
3D ultrasound assessment of ovarian morphology is less subjective than 2D ultrasound and allows for a more precise and objective assessment of ovarian volume, total ovarian area, stromal area, and overall blood flow within the ovary (8). The hyperechogenicity of the ovarian stroma seen in patients with PCOS is useful for differentiation of multicystic ovaries normally seen in adolescence (17). Using a 3D transabdominal probe in the adolescent population to assess the S/A ratio may pose a challenge as the resolution of the scan is decreased because there is an increased distance between the probe and ovary, compared with the transvaginal method. Research studies need to be done to assess whether using a 3D transabdominal probe is a feasible method to assess ovarian features, especially S/A ratio, in both the non-obese and obese adolescent population.
Vascularization
Most research evaluating changes in ovarian vascularization in PCOS has occurred in young women. Studies have showed that increased ovarian blood flow is a common feature in PCOS patients (23, 24). Battaglia et al. showed that stromal 3D power Doppler indices were significantly greater in PCOS women compared with controls (8). Similarly, other studies have showed that total ovarian vascularization index, flow index, and vascularization flow were significantly higher in normal weight PCOS women compared with overweight PCOS women (17, 25, 26). Vascularization analysis has also proven to be an important tool when a clinician is assessing infertility and response to fertility treatment in women (27, 28).
It is thought that elevated luteinizing hormone (LH) levels may be accountable for increased stromal vascularization through a variety of mechanisms: neoangiogenesis, catecholaminergic stimulation, leukocyte and cytokine activation, and elevated levels of vascular endothelial growth factor (8, 17). With the recent advances of 3D ultrasound, the detection of an increased stromal Doppler signal may be a possible ultrasound marker in the diagnosis of PCOS.
Correlation of radiologic findings to biochemical findings
Increased ovarian volume was significantly associated with circulating testosterone and insulin and indications of insulin resistance (11, 13). Sun and Fu revealed that there was a significant correlation between S/A ratio and testosterone level. The ovarian stromal area was also found to correlate with LH and LH/FSH levels (12). Battaglia et al. reported that ovarian stroma/total ovarian volume ratio was the most accurate predictor of both hyperandrogenemia and hirsutism (8).
Hyperinsulinemia and elevated serum LH levels play an important role in ovarian enlargement and androgen synthesis in PCOS patients. In vitro studies have showed that insulin promotes theca cell proliferation and androgen production. Insulin also stimulates insulin-like growth factor I (IGF-I), which binds to IGF receptors on theca cells to promote more androgen production (19). Insulin also inhibits hepatic synthesis of sex hormone-binding globulin, thus increasing the free testosterone in circulation (29). In a clinical situation, it is advisable to obtain both radiologic and biochemical tests when PCOS is suspected. However, not all clinical, biochemical, and radiologic features may be present in an individual case.
Conclusion
Currently, ultrasonography is not diagnostic of PCOS in adolescents but provides supportive evidence, mainly in the setting of an enlarged ovarian volume. Ovarian volume is important to evaluate in adolescents but is not enough in making a definitive diagnosis of PCOS.
Although morphologic sonographic features, such as peripheral distribution of follicles, increased stromal area, and vascularization are not included in the diagnostic criteria for PCOS, they may have significant potential to increase the accuracy of diagnosis of PCOS in adolescents. Thus, ovarian volume and morphology should be assessed with 2D ultrasound while working up cases of PCOS.
With the advent of new technology, such as 3D ultrasound, ultrasound analysis allows for a more precise and objective assessment of not only ovarian morphology but also stromal area, volume, and overall blood flow within the ovary. Further studies are warranted to evaluate the utility of 3D ultrasonographic assessment in adolescents with PCOS.
Conflict of interest statement: The authors declare that they have no conflict of interest.
References
1. Rackow BW. Polycystic ovary syndrome in adolescents. Curr Opin Obstet Gynecol 2012;24:281–7.10.1097/GCO.0b013e32835669ffSearch in Google Scholar PubMed
2. Harwood K, Vuguin P, DiMartino-Nardi J. Current approaches to the diagnosis and treatment of polycystic ovarian syndrome in youth. Horm Res 2007;68:209–17.10.1159/000101538Search in Google Scholar PubMed PubMed Central
3. Shayya R, Chang RJ. Reproductive endocrinology of adolescent polycystic ovary syndrome. Brit J Obstet Gynaec 2010;117:150–5.10.1111/j.1471-0528.2009.02421.xSearch in Google Scholar PubMed
4. Orsino A, Van Eyk N, Hamilton J. Clinical features, investigations and management of adolescents with polycystic ovary syndrome. Paediatr Child Health 2005;10:602–8.10.1093/pch/10.10.602Search in Google Scholar PubMed PubMed Central
5. Rotterdam ESHRE/ASRM-Sponsored PCOS Consensus Workshop Group. Revised 2003 consensus on diagnostic criteria and long-term health risks related to polycystic ovary syndrome (PCOS). Hum Reprod 2004;19:41–7.10.1093/humrep/deh098Search in Google Scholar PubMed
6. Porter MB. Polycystic ovary syndrome: the controversy of diagnosis by ultrasound. Semin Reprod Med 2008;26:241–51.10.1055/s-2008-1076143Search in Google Scholar PubMed
7. Belosi C, Selvaggi L, Apa R, Guido M, Romualdi D, et al. Is the PCOS diagnosis solved by ESHRE/ASRM 2003 consensus or could it include ultrasound examination of the ovarian stroma? Hum Reprod 2006;21:3108–15.10.1093/humrep/del306Search in Google Scholar PubMed
8. Battaglia C, Battaglia B, Morotti E, Paradisi R, Zanetti I, et al. Two- and three-dimensional sonographic and color Doppler techniques for diagnosis of polycystic ovary syndrome. The stromal/ovarian volume ratio as a new diagnostic criterion. J Ultrasound Med 2012;31:1015–24.10.7863/jum.2012.31.7.1015Search in Google Scholar PubMed
9. Chen Y, Yang D, Li L, Chen X. The role of ovarian volume as a diagnostic criterion for Chinese adolescents with polycystic ovary syndrome. J Pediatr Adolesc Gynecol 2008;21:347–50.10.1016/j.jpag.2008.01.081Search in Google Scholar PubMed
10. Shah B, Parnell L, Milla S, Kessler M, David R. Endometrial thickness, uterine, and ovarian ultrasonographic features in adolescents with polycystic ovarian syndrome. J Pediatr Adolesc Gynecol 2010;23:146–52.10.1016/j.jpag.2009.07.002Search in Google Scholar PubMed
11. Silfen ME, Denburg MR, Manibo AM, Lobo RA, Jaffe R, et al. Early endocrine, metabolic, and sonographic characteristics of polycystic ovary syndrome (PCOS): comparison between nonobese and obese adolescents. J Clin Endocrinol Metab 2003;88: 4682–8.10.1210/jc.2003-030617Search in Google Scholar
12. Sun L, Fu Q. Three-dimensional transrectal ultrasonography in adolescent patients with polycystic ovarian syndrome. Int J Gynaecol Obstet 2007;98:34–8.10.1016/j.ijgo.2007.02.024Search in Google Scholar
13. Villa P, Rossodivita A, Sagnella F, Moruzzi MC, Mariano N, et al. Ovarian volume and gluco-insulinaemic markers in the diagnosis of PCOS during adolescence. Clin Endocrinol 2013;78:285–90.10.1111/j.1365-2265.2012.04475.xSearch in Google Scholar
14. Pawelczak M, Kenigsberg L, Milla S, Liu YH, Shah B. Elevated serum anti-Mullerian hormone in adolescents with polycystic ovary syndrome: relationship to ultrasound features. J Pediatr Endocrinol Metab 2012;25:983–9.10.1515/jpem-2012-0013Search in Google Scholar
15. Mortensen M, Rosenfield RL, Littlejohn E. Functional significance of polycystic-size ovaries in healthy adolescents. J Clin Endocrinol Metab 2006;91:3786–90.10.1210/jc.2006-0835Search in Google Scholar
16. McManus SS, Levitsky LL, Misra M. Polycystic ovary syndrome: clinical presentation in normal-weight compared with overweight adolescents. Endocr Pract 2013;19:471–8.10.4158/EP12235.ORSearch in Google Scholar
17. Panchal S, Nagori CB. Baseline scan and ultrasound diagnosis of PCOS. Donald School J Ultrasound Obstet Gynecol 2012;6:290–9.10.5005/jp-journals-10009-1252Search in Google Scholar
18. Polson DW, Adams J, Wadsworth J, Franks S. Polycystic ovaries – a common finding in normal women. Lancet 1988;870–2.10.1016/S0140-6736(88)91612-1Search in Google Scholar
19. Young JM, McNeilly AS. Theca: the forgotten cell of the ovarian follicle. Reproduction 2010;140:489–504.10.1530/REP-10-0094Search in Google Scholar PubMed
20. Loverro G, De Pergola G, Di Naro E, Tartagni M, Lavopa C, et al. Predictive value of ovarian stroma measurement for cardiovascular risk in polycyctic ovary syndrome: a case control study. J Ovarian Res 2010;3:25.10.1186/1757-2215-3-25Search in Google Scholar PubMed PubMed Central
21. Nicandri KF, Hoeger K. Diagnosis and treatment of polycystic ovarian syndrome in adolescents. Curr Opin Endocrinol Diabetes Obes 2012;19:497–504.10.1097/MED.0b013e32835a1a03Search in Google Scholar
22. Kyei-Mensah AA, LinTan S, Zaidi J, Jacobs HS. Relationship of ovarian stromal volume to serum androgen concentrations in patients with polycystic ovary syndrome. Hum Reprod 1998;13:1437–41.10.1093/humrep/13.6.1437Search in Google Scholar
23. Pan HA, Wu MH, Cheng YC, Li CH, Chang FM. Quantification of Doppler signal in polycystic ovarian syndrome using 3D power Doppler ultrasonography. Hum Reprod 2002;17:2484.10.1093/humrep/17.9.2484Search in Google Scholar
24. Battaglia C, Artini PG, D’Ambrogio G, Genazzani AD, Genazzani AR. The role of color Doppler imaging in the diagnosis of polycystic ovary syndrome. Am J Obstet Gynecol 1995;172:108–13.10.1016/0002-9378(95)90094-2Search in Google Scholar
25. Ng EH, Chan CC, Yeung WS, Ho PC. Comparison of ovarian stromal blood flow between fertile women with normal ovaries and infertile women with polycystic ovary syndrome. Hum Reprod 2005;20:1881–6.10.1093/humrep/deh853Search in Google Scholar PubMed
26. Ozkan S, Vural B, Caliskan E, Bodur H, Turkoz E, et al. Color Doppler sonographic analysis of uterine and ovarian artery blood flow in women with polycystic ovary syndrome. J Clin Ultrasound 2007;35:305–13.10.1002/jcu.20358Search in Google Scholar PubMed
27. Kupesic S, Kurjak A. Predictors of IVF outcome by three-dimensional ultrasound. Hum Reprod 2002;17:950–5.10.1093/humrep/17.4.950Search in Google Scholar PubMed
28. Shrestha SM, Costello MF, Sjoblom P, McNally G, Bennett M, et al. Power Doppler ultrasound assessment of follicular vascularity in the early follicular phase and its relationship with outcome of in vitro fertilization. J Assist Reprod Genet 2006;23:161–9.10.1007/s10815-006-9029-1Search in Google Scholar PubMed PubMed Central
29. Lee TT, Rausch ME. Polycystic ovarian syndrome: role of imaging in diagnosis. Radiographics 2012;32:1643–57.10.1148/rg.326125503Search in Google Scholar PubMed
©2015 by De Gruyter
Articles in the same Issue
- Frontmatter
- Highlight: Obesity
- Childhood obesity at the crossroads
- Obesogenic environments: environmental approaches to obesity prevention
- Childhood obesity and eating behaviour
- Hypothalamic obesity in children: pathophysiology to clinical management
- The reliability of body mass index in the diagnosis of obesity and metabolic risk in children
- Determining abdominal obesity cut-offs and relevant risk factors for anthropometric indices in Turkish children and adolescents
- The effect of body mass index on blood pressure varies by race among obese children
- Insulin secretion response during oral glucose tolerance test is related to low cardiorespiratory fitness in obese adolescents
- Is there a relationship between cardiovascular risk factors and dehydroepiandrosterone sulfate levels in childhood obesity?
- The effect of lifestyle change and metformin therapy on serum arylesterase and paraoxonase activity in obese children
- Childhood obesity, thyroid function, and insulin resistance – is there a link? A longitudinal study
- Associations between IGF-I, IGF-binding proteins and bone turnover markers in prepubertal obese children
- Osteocalcin is inversely associated with adiposity and leptin in adolescent boys
- Association between cardiovascular risk factors and carotid intima-media thickness in prepubertal Brazilian children
- Insulin resistance and cardiometabolic risk factors in obese children and adolescents: a hierarchical approach
- The role of apolipoprotein E polymorphism in improving dyslipidemia in obese adolescents following physical exercise and National Cholesterol Education Program Step II intervention
- Review article
- Is ultrasound useful in the diagnosis of adolescents with polycystic ovary syndrome?
- Original articles
- IGF-II expression and methylation in small for gestational age infants
- Early screening of FTO and MC4R variants in newborns of Greek origin
- Pitfalls in hormonal diagnosis of 17-beta hydroxysteroid dehydrogenase III deficiency
- The prevalence of vitamin D deficiency among schoolchildren: a cohort study from Xinxiang, China
- Management of testosterone therapy in adolescents and young men with hypogonadism: are we following adult clinical practice guidelines?
- Vitamin D status and its associations with components of metabolic syndrome in healthy children
- Metformin treatment improves weight and dyslipidemia in children with metabolic syndrome
- Patient reports
- Hypothyroidism caused by the combination of two heterozygous mutations: one in the TSH receptor gene the other in the DUOX2 gene
- Ovarian carcinoma in a 14-year-old with classical salt-wasting congenital adrenal hyperplasia and bilateral adrenalectomy
- An asymptomatic mother diagnosed with 3-methylcrotonyl-CoA carboxylase deficiency after newborn screening
- A new missense mutation in the BCKDHB gene causes the classic form of maple syrup urine disease (MSUD)
- Ovotesticular disorder of sex development with unusual karyotype: patient report
- First case report of medium-chain acyl-coenzyme A dehydrogenase deficiency in China
- Virilizing adrenal oncocytoma in a 9-year-old girl: rare neoplasm with an intriguing postoperative course
- Unexpected clinical features in a female patient with proopiomelanocortin (POMC) deficiency
- Sirolimus therapy in a patient with severe hyperinsulinaemic hypoglycaemia due to a compound heterozygous ABCC8 gene mutation
- Cross-reactivity of adrenal steroids with aldosterone may prevent the accurate diagnosis of congenital adrenal hyperplasia
- Hyperthyroidism hidden by congenital central hypoventilation syndrome
- The use of pamidronate for acute vitamin D intoxication, clinical experience with three cases
- Chondrocalcinosis related to familial hypomagnesemia with hypercalciuria and nephrocalcinosis
- Cushing syndrome related to leukemic infiltration of the central nervous system
- Hashimoto’s encephalopathy: a rare pediatric brain disease
- Short communication
- A novel ABCD1 gene mutation in a Chinese patient with X-linked adrenoleukodystrophy
Articles in the same Issue
- Frontmatter
- Highlight: Obesity
- Childhood obesity at the crossroads
- Obesogenic environments: environmental approaches to obesity prevention
- Childhood obesity and eating behaviour
- Hypothalamic obesity in children: pathophysiology to clinical management
- The reliability of body mass index in the diagnosis of obesity and metabolic risk in children
- Determining abdominal obesity cut-offs and relevant risk factors for anthropometric indices in Turkish children and adolescents
- The effect of body mass index on blood pressure varies by race among obese children
- Insulin secretion response during oral glucose tolerance test is related to low cardiorespiratory fitness in obese adolescents
- Is there a relationship between cardiovascular risk factors and dehydroepiandrosterone sulfate levels in childhood obesity?
- The effect of lifestyle change and metformin therapy on serum arylesterase and paraoxonase activity in obese children
- Childhood obesity, thyroid function, and insulin resistance – is there a link? A longitudinal study
- Associations between IGF-I, IGF-binding proteins and bone turnover markers in prepubertal obese children
- Osteocalcin is inversely associated with adiposity and leptin in adolescent boys
- Association between cardiovascular risk factors and carotid intima-media thickness in prepubertal Brazilian children
- Insulin resistance and cardiometabolic risk factors in obese children and adolescents: a hierarchical approach
- The role of apolipoprotein E polymorphism in improving dyslipidemia in obese adolescents following physical exercise and National Cholesterol Education Program Step II intervention
- Review article
- Is ultrasound useful in the diagnosis of adolescents with polycystic ovary syndrome?
- Original articles
- IGF-II expression and methylation in small for gestational age infants
- Early screening of FTO and MC4R variants in newborns of Greek origin
- Pitfalls in hormonal diagnosis of 17-beta hydroxysteroid dehydrogenase III deficiency
- The prevalence of vitamin D deficiency among schoolchildren: a cohort study from Xinxiang, China
- Management of testosterone therapy in adolescents and young men with hypogonadism: are we following adult clinical practice guidelines?
- Vitamin D status and its associations with components of metabolic syndrome in healthy children
- Metformin treatment improves weight and dyslipidemia in children with metabolic syndrome
- Patient reports
- Hypothyroidism caused by the combination of two heterozygous mutations: one in the TSH receptor gene the other in the DUOX2 gene
- Ovarian carcinoma in a 14-year-old with classical salt-wasting congenital adrenal hyperplasia and bilateral adrenalectomy
- An asymptomatic mother diagnosed with 3-methylcrotonyl-CoA carboxylase deficiency after newborn screening
- A new missense mutation in the BCKDHB gene causes the classic form of maple syrup urine disease (MSUD)
- Ovotesticular disorder of sex development with unusual karyotype: patient report
- First case report of medium-chain acyl-coenzyme A dehydrogenase deficiency in China
- Virilizing adrenal oncocytoma in a 9-year-old girl: rare neoplasm with an intriguing postoperative course
- Unexpected clinical features in a female patient with proopiomelanocortin (POMC) deficiency
- Sirolimus therapy in a patient with severe hyperinsulinaemic hypoglycaemia due to a compound heterozygous ABCC8 gene mutation
- Cross-reactivity of adrenal steroids with aldosterone may prevent the accurate diagnosis of congenital adrenal hyperplasia
- Hyperthyroidism hidden by congenital central hypoventilation syndrome
- The use of pamidronate for acute vitamin D intoxication, clinical experience with three cases
- Chondrocalcinosis related to familial hypomagnesemia with hypercalciuria and nephrocalcinosis
- Cushing syndrome related to leukemic infiltration of the central nervous system
- Hashimoto’s encephalopathy: a rare pediatric brain disease
- Short communication
- A novel ABCD1 gene mutation in a Chinese patient with X-linked adrenoleukodystrophy