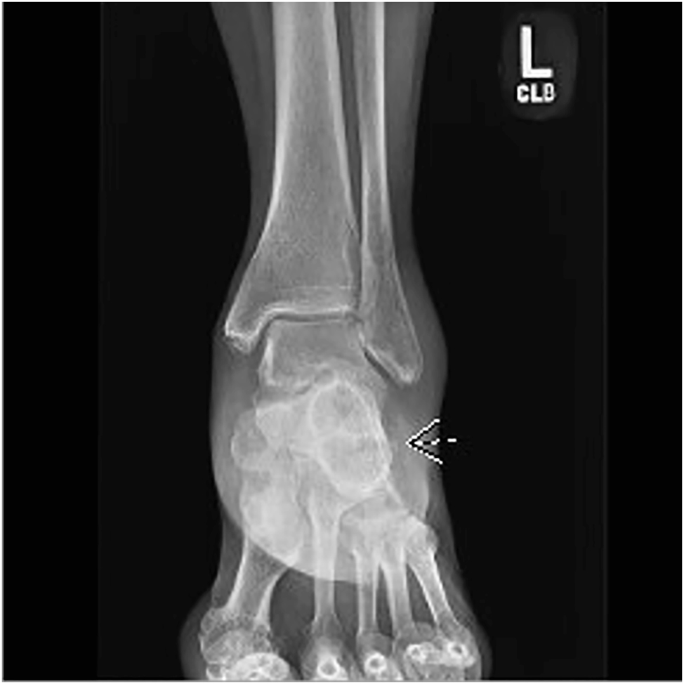
A 75-year-old woman presented to the emergency department in January 2023 with pain and swelling of the lateral left ankle after an inversion injury 1 week earlier. She underwent X-rays of the left foot, and she was diagnosed with a small, nondisplaced avulsion fracture of the lateral calcaneus as well as a large Haglund deformity of the calcaneus (Figures 1 and 2). The patient noted that she had a history of ankle pain due to a Haglund deformity, a bony prominence found on the superior posterior aspect of the calcaneus [1], [2], [3]. The deformity caused pain that worsened with ambulation. The pain also worsened when wearing sling-back shoes. It became too painful for her to walk, so she had surgery approximately 50 years ago to partially remove the deformity and lift the Achilles tendon. Since then, she has been doing well and has not had any heel discomfort.

The anteroposterior X-ray of the left foot showing a nondisplaced avulsion fracture of the lateral calcaneus.

The lateral X-ray of the left foot showing a large Haglund deformity of the calcaneus.
Haglund deformities are found lateral to the insertion site of the Achilles tendon on the calcaneus [1, 4]. Several possible etiologies have been suggested, including Achilles tendon tightness, joint abnormalities, anatomical calcaneal abnormalities, genetics, tight-fitting shoes, and high-arched feet [2, 5]. Haglund deformities are commonly found in women in their 20s to middle age [1, 3, 5]. The typical presentation involves posterior heel pain and swelling that tend to worsen with walking due to inflammation of the soft tissues and often the retrocalcaneal bursa and the calcaneal tendon bursa [1], [2], [3], [4], [5]. The diagnosis is made by X-ray evaluation displaying a large bony prominence on the superior posterior aspect of the calcaneus [1, 2]. The first-line treatment of a Haglund deformity is typically conservative and involves anti-inflammatory medications, steroid injections, shoe alterations to decrease pressure in the area, and physical therapy [1], [2], [3], [4], [5]. Osteopathic manipulative treatment (OMT) can focus on the Achilles tendon, particularly counterstrain, which has been shown to be a useful technique by relieving tension on the Achilles tendon [6]. If conservative therapy fails, then surgical removal of the bony prominence is indicated [1, 3, 5]. One study found that more than 2 % of patients who underwent surgery needed additional surgery, due mainly to pain from the implanted hardware [7]. There are several possible diagnoses to consider in addition to a Haglund deformity when it comes to posterior heel pain, including but not limited to calcaneal tendon avulsion, calcaneal apophysitis, Achilles tendinopathy, and retrocalcaneal bursitis [1], [2], [3], [4]. It is necessary to be aware of Haglund deformity and to obtain imaging if it is on the differential as it can mimic several other pathologies.
-
Research funding: None reported.
-
Author contributions: All authors provided substantial contributions to conception and design, acquisition of data, or analysis and interpretation of data; all authors drafted the article or revised it critically for important intellectual content; all authors contributed to the analysis and interpretation of data; all authors gave final approval of the version of the article to be published; and all authors agree to be accountable for all aspects of the work in ensuring that questions related to the accuracy or integrity of any part of the work are appropriately investigated and resolved.
-
Competing interests: None reported.
References
1. Vaishya, R, Agarwal, AK, Azizi, AT, Vijay, V. Haglund’s syndrome: a commonly seen mysterious condition. Cureus 2016;8:e820. https://doi.org/10.7759/cureus.820.Search in Google Scholar PubMed PubMed Central
2. Choo, YJ, Park, CH, Chang, MC. Rearfoot disorders and conservative treatment: a narrative review. Ann Palliat Med 2020;9:3546–52. https://doi.org/10.21037/apm-20-446.Search in Google Scholar PubMed
3. Tu, P, Bytomski, JR. Diagnosis of heel pain. Am Fam Physician 2011;84:909–16.Search in Google Scholar
4. Agyekum, EK, Ma, K. Heel pain: a systematic review. Chin J Traumatol 2015;18:164–9. https://doi.org/10.1016/j.cjtee.2015.03.002.Search in Google Scholar PubMed
5. Tang, SC, Tu, KC, Liao, WJ, Hsu, CT, Shih, HT, Tung, KK, et al.. Novel radiographic measurements for operatively treated Haglund’s deformity. Tomography 2022;8:284–92. https://doi.org/10.3390/tomography8010023.Search in Google Scholar PubMed PubMed Central
6. Saini, SS, Reb, CW, Chapter, M, Daniel, JN. Achilles tendon disorders. J Am Osteopath Assoc 2015;115:670–6. https://doi.org/10.7556/jaoa.2015.138.Search in Google Scholar PubMed
7. Yuen, WLP, Tan, PT, Kon, KKC. Surgical treatment of Haglund’s deformity: a systematic review and meta-analysis. Cureus 2022;14:e27500. https://doi.org/10.7759/cureus.27500.Search in Google Scholar PubMed PubMed Central
© 2023 the author(s), published by De Gruyter, Berlin/Boston
This work is licensed under the Creative Commons Attribution 4.0 International License.
Articles in the same Issue
- Frontmatter
- Cardiopulmonary Medicine
- Original Article
- Systolic blood pressure in acute ischemic stroke and impact on clinical outcomes
- Medical Education
- Brief Report
- Osteopathic manipulative treatment for the allopathic resident elective: does it change practice after graduation?
- Neuromusculoskeletal Medicine (OMT)
- Clinical Practice
- Potential therapeutic effects of adjunct osteopathic manipulative treatments in SARS-CoV-2 patients
- Public Health and Primary Care
- Brief Reports
- Physician stress in the era of COVID-19 vaccine disparity: a multi-institutional survey
- Trends and forecasted rates of adverse childhood experiences among adults in the United States: an analysis of the Behavioral Risk Factor Surveillance System
- Clinical Image
- Haglund deformity of the posterior heel
- Letters to the Editor
- Surgical simulation in osteopathic medical schools
- Comments on “Is cadaveric dissection essential in medical education? A qualitative survey comparing pre-and post-COVID-19 anatomy courses”
Articles in the same Issue
- Frontmatter
- Cardiopulmonary Medicine
- Original Article
- Systolic blood pressure in acute ischemic stroke and impact on clinical outcomes
- Medical Education
- Brief Report
- Osteopathic manipulative treatment for the allopathic resident elective: does it change practice after graduation?
- Neuromusculoskeletal Medicine (OMT)
- Clinical Practice
- Potential therapeutic effects of adjunct osteopathic manipulative treatments in SARS-CoV-2 patients
- Public Health and Primary Care
- Brief Reports
- Physician stress in the era of COVID-19 vaccine disparity: a multi-institutional survey
- Trends and forecasted rates of adverse childhood experiences among adults in the United States: an analysis of the Behavioral Risk Factor Surveillance System
- Clinical Image
- Haglund deformity of the posterior heel
- Letters to the Editor
- Surgical simulation in osteopathic medical schools
- Comments on “Is cadaveric dissection essential in medical education? A qualitative survey comparing pre-and post-COVID-19 anatomy courses”