Influence of silver nanoparticles on post-surgical wound healing following topical application
-
Sushovan Chowdhury
, Munmun De , Rajdeep Guha , Subhasis Batabyal , Indranil Samanta , Samir Kumar Hazra , Tamal Kanti Ghosh , Aditya Konar und Sarbani Hazra
Abstract
Background: Prevention of surgical site infection and wound dehiscence are imperative and also challenging in clinical practice. This study examines the healing response of laparotomy wounds following application of silver nanoparticles.
Materials and Methods: Dermal fibroblasts were exposed to incremential doses of silver nanoparticles and its effect on collagen synthesis and cytotoxicity was assessed. Laparotomy surgery was performed on rabbits and the operation site was treated topically either with silver nanoparticle once, or once daily for 14 days or with vehicle. Healing response and local tissue reaction was evaluated clinically by histopathology and scanning electron microscopy (SEM); microbial load on the operation site was assessed. Clinical tests and histopathology were performed to assess systemic toxicity.
Results: Silver nanoparticles increased collagen expression from dermal fibroblasts and longer time exposure increased caspase 3 expression and produced cyotoxic effect with an IC50 of 0.16 mg/mL. Daily treatment of operation sites resulted in increased collagen deposition and improved wound healing, microbial load was reduced. Although a sub dermal edema was evident in histopathology, SEM showed normal architecture of cells with infiltration of lymphocytes. There was no systemic toxicity.
Conclusions: Silver nanoparticles exhibit a positive influence on wound healing but its effect on local tissue remains a concern.
Introduction
Laparotomy is one of the most frequently performed surgeries in clinical practice. Surgical site infection and wound dehiscence are major postoperative complications following laparotomy surgery. Global incidence of surgical site infection ranges between 2.5% and 41.9% (1). The incidence of wound dehiscence following laparotomy surgery varies between 0.25% and 3%, (2–4) such cases often necessitate immediate surgery that sometimes becomes fatal, death has been reported in 20% of such patients (5). Among various other causes like hematoma, improper use of suture material and technique, surgical site infection is also a major cause of wound dehiscence following laparotomy.
Laparotomy involves creating a full thickness wound in the abdomen including the peritoneum to reach the abdominal cavity, it makes the wound more susceptible to local as well as systemic infections compared to superficial wounds; moreover, the presence of fat in the abdomen is a contributing factor to increased chances of infection following laparotomy.
Therefore, it is imperative to ensure early restoration of wound strength to prevent wound dehiscence which may lead to evisceration. To this end it will be worthwhile to prevent post surgical microbial load and initiate early restoration of wound strength to provide effective post surgical rehabilitation.
Antibiotic resistance is a major challenge for surgeons and physicians while dealing with infection. Silver nanoparticles have exhibited profound antibacterial activity with no report of bacterial resistance and also demonstrated improved collagen deposition (6), both these attributes might contribute to healing of laparotomy wound. Thus the present work was designed to evaluate for the first time the effects of silver nanoparticles (AgNP) on post laparotomy wound healing, although a similar attempt to use silver as antimicrobial agent (in the form of silver dressing) in post-laparotomy wound healing was recently made in clinical practice (7). Growing interest towards the use of silver nanoparticles has increased concern on the safety and judicious use of silver nanoparticles. The efficacy of antibacterial activity of silver is enhanced considerably by reducing the size (8) but then its toxic effect is increased (9, 10); therefore, striking the right balance between its possible therapeutic benefit and toxicity by selecting optimum size of nanoparticle is very important.
In the present study 40 nm silver nanoparticles were used topically in laparotomy wounds to evaluate its efficacy to reduce bacterial load, improve wound healing and identify any local and systemic side effect.
Materials and methods
Silver nanoparticles
Silver nano powder (Auto Fibre Craft), having average particle size of 40 nm and BET surface area – 8–10 m2/g was purchased from Auto Fibre Craft (India).
Atomic force microscopy of silver nanoparticles
Silver nanoparticles were added in water and a suspension was prepared by vigorous pipetteing. A drop from this aqueous suspension was immediately deposited on the freshly cleaved muscovite ruby mica sheet (ASTM V1 grade ruby mica; MICAFAB, Chennai, India) and imaged using PicoPlusTM 5500 ILM AFM (Agilent Technologies, CA, USA) in tapping mode.
Cell culture
Female Sprague-Dawley rats, weighing about 100 g were sacrificed with excess of xylazine (Xylaxine® Indian Immunologicals Ltd, Hyderabad, India) and ketamine HCL (Ketamine 50®, Themis, Mumbai, India) anesthesia, a small portion of skin was excised following removal of hairs and small explants were cultured in T25 tissue culture flasks using Dulbecco’s Modified Eagle’s medium (DMEM) containing 10% FBS at 37°C in 5% CO2. Skin fibroblasts gradually divided and migrated to form a confluent monolayer within 2–3 weeks. Subsequently cells were subcultured in T25 culture flasks for future use.
Immunocytochemistry
Skin fibroblast cells were cultured on cover slips for 24 h. Cells were either left untreated or treated with indicated doses of silver nanoparticle in serum-deprived medium and incubated for 48 h. Then the cover slips were washed three times with Hanks’ balanced salt solution (HBSS); cells were fixed with 4% paraformaldehyde for 20 min and were rinsed with PBS and permeabilized with 0.1% Triton X-100 for 1 min on ice. Cells were overlaid with 3% goat serum for 1 h at room temperature, rinsed with PBS-T (PBS with 0.03% triton-X) and incubated with anti collagen I antibody (1:100, Abcam, ab34710) overnight at 4°C in a humid chamber. After washing with PBS-T, cells were incubated with a secondary antibody (Alexa Fluor 488 goat anti-rabbit IgG, Invitrogen, A11034) for 2 h at room temperature. Cells were washed three times, counterstained with DAPI to visualize the nuclei, and examined under a fluorescence microscope (Leica DMI 4000B, Leica Microsystems, Germany).
MTT assay
Viability of skin fibroblast following exposure to different doses of silver nanoparticles was examined by MTT assay using assay kit (Millipore, MA, USA) following kit protocol. Briefly, 104 skin fibroblast cells were seeded in each well of a 96-well plate and grown overnight. Silver nanoparticles at a specified concentration were added to the culture media and pipetted, it was then transferred to each well and incubated. After 96 h the media was replaced with MTT and re-incubated at 37°C. After 3 h formazon crystals were solubilized with isopropanol solution and the absorbance was measured at 595 nm and a reference wave length of 600 nm using an enzyme-linked immunosorbent assay (ELISA) reader (Thermo Scientific).
Western blotting
Skin fibroblast cell monolayer cultures were either left untreated or treated with indicated doses of silver nanoparticles for 96 h. Cells were lysed with ice cold lysis buffer [(50 mM Tris-HCl, pH 7.2, 150 mM NaCl, 2 mM EDTA, 10% (v/v) NP-40, 1 mM sodium orthovanadate, 50 mM sodium pyrophosphate, 100 mM sodium fluoride, 0.01% (v/v) aprotinin, 4 mg/mL of pepstatin A, 10 mg/mL of leupeptin and 1 mM phenylmethylsulfonyl fluoride, PMSF)] for 30 min. The cell lysates were homogenized and the supernatant was collected following centrifugation at 15,000 g for 10 min. Protein in the supernatant was estimated using Bradford reagent. Laemmli sample buffer was added to cell lysate proteins and boiled for 5 min. Proteins in equal quantities were separated by 12% SDS-PAGE gels and transferred to polyvinylidene fluoride membranes (PVDF; Millipore, Billerica, MA, USA).
The membranes were incubated in blocking buffer (5% skimmed milk powder in TBST (0.1 M Tris, pH 9.5, containing 0.05 M MgCl2 0.1 M NaCl and 0.1% Tween 20) for 2 h and incubated overnight with caspase3 (1:500, Sc 7148) or beta actin (1:500, Cell Signalling, #4970) antibody. After washing with TBST, membranes were incubated with with HRP conjugated secondary antibody (1:5000, Immunopure antibody, Thermoscientific, #31460). After washing with TBST, specific antigen-antibody complexes were developed by using Super-Signal®West Dura (Thermoscientific, #34076) and the chemoilluminescence was detected by using imaging system (Gel Logic 4000 PRO, Carestream Health, Canada).
Animal studies
The study was performed with prior permission from Institutional Animal Ethics Committee (IAEC), following CPCSEA guidelines. Twelve healthy, female New Zealand White rabbits of same body weight and around 1 year of age were used for the study. Female animals were chosen considering laparotomy is the most frequently performed surgery in female patients for various indications like cesarean section, hysterectomy, laparoscopic gynecological diagnosis.
Experiment
Preoperatively blood was aseptically collected from the ear vein for evaluation of preoperative haematological and clinical biochemistry parameters, i.e., Hb%, TLC, DLC, AST, ALT, urea, creatinine.
The animals were anesthetized with 6 mg/kg of xylazine hydrochloride (Xylaxine® Indian Immunologicals Ltd, Hyderabad, India) and 30 mg/kg of ketamine hydrochloride (Ketamine 50®Themis). The abdomen was prepared for laparotomy surgery, the hair was removed by chemical epilation and the surgical area was carefully disinfected using betadine solution. The abdominal area was covered with a sterile drape. A 4 cm incision was made in the skin along the linea alba, i.e., the sheath of the rectus abdominis. Using a pair of scissors, the subcutaneous connective tissue was bluntly dissected to visualize the linea alba. Intermittent swabbing was done for hemostasis. The abdomen was entered by tenting the linea alba followed by a stab incision, which was extended with scissors. The muscular layers were closed by simple interrupted sutures using catgut (2–0), followed by subcuticular sutures to close the pocket. The skin was sutured using silk, the final area of the surgical site exposed to treatment was assessed to be 12 cm2 i.e., (6 cm×2 cm). The 12 rabbits were randomly divided into three groups following laparotomy surgery and in each group either 1 mL of PBS or suspension of silver nanoparticles (prepared by method described previously: 10 mg silver nano particles in 1 mL PBS once), or 10 mg silver nano particle in 1 mL PBS once daily for 14 days, were topically applied to the operation site along the line of incision. The wound sites in all the animals were kept covered with soft bandage and were replaced daily after dressing. No other local or systemic medication was instituted apart from silver nanoparticles or PBS. The progressive healing and adhesion of the wound lips was assessed using mild traction with sterile forceps and recorded. Sterile swabs were collected from all the 12 rabbits on the 7th day after surgery for evaluation of bacterial load. The cotton swab was rubbed gently over the skin along same length of each incision line with caution to prevent contact with associated tissues and returned to the sterile vial. On the 14th day following surgery and treatment, blood was collected from all rabbits for hematological and biochemical study.
Bacterial count: The swab collected from each operation site was dissolved in sterile PBS (pH 7.4) and was 10-fold diluted with the same PBS. From higher dilution (10–6), 10 μL sample for each swab was spread on Nutrient agar (HiMedia, India) and was incubated at 37°C overnight. The next day the bacterial colonies were counted and the bacterial load was expressed as colony forming unit (cfu). Bacterial load in the incision site was calculated as percentage of mean bacterial load in PBS treated animals and presented as mean ± SD in percentage change of bacterial load.
Histopathology
At the end of the study period of 14 days all the rabbits were euthanized with an overdose of barbiturate. Tissue samples from liver, lungs, spleen, kidney, heart and tissue from incision sites were collected in 10% formalin for histopathology. Formalin fixed tissues were cleared in xylene, dehydrated in graded alcohol and embedded in paraffin. Five micron sections were prepared in microtome and stained with hematoxylin and eosin. Sections of skin from the incision sites were also stained with Sirius red.
Scanning electron microscopy
Tissue samples from incision sites were collected in 2.5% glutaraldehyde for electron microscopic studies. Tissues were processed by dehydration in graded alcohol followed by critical point drying and coating with gold (IB-2 ion coater; Eiko Engineering, Ibaraki, Japan). Then the tissues were observed under electron microscope (SEM; Hitachi S530; Hitachi, Tokyo, Japan).
Statistical analysis
All values, unless otherwise stated, are expressed as mean±standard error of the mean. The minimum number of replicates for all measurements was at least 3. One-way analysis of variance was used for comparison between groups and the significance level was set at p<0.05.
Results
Characteristics of silver nanoparticles
Atomic force microscopy image of the silver nanoparticle (Figure 1) showed unimodal distribution of uniform sized silver nanoparticles. The nanoparticles also had smooth surfaces.

AFM image of silver nanoparticles shows uniform size and unimodal distribution.
Silver nanoparticles increased collagen synthesis from skin fibroblasts
Synthesis of collagen in the incision site is an important determinant of wound adhesion and adhesion strength. Immunocytochemistry showed increased collagen I expression from skin fibroblast exposed to silver nanoparticles (Figure 2).

Silver nanoparticles induce expression of collagen-I in skin fibroblasts.
Immunocytochemistry shows increased expression of collagen-I from cultured fibroblast cells treated with different doses of silver nanoparticles (column 1), DAPI stained (column 2) and merged images (column 3).
Silver nanoparticles decreased survival of skin fibroblasts
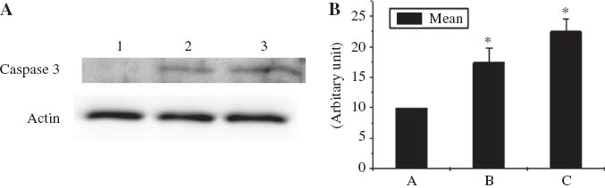
Viability of skin fibroblast cells following exposure to the silver nanoparticle is an important criterion for its direct use on the incision site. Exposure of silver nanoparticles to skin fibroblast caused a dose-dependent decrease in the survival of fibroblasts (Figure 3). The IC50 of the silver nanoparticle determined by MTT assay was 0.16 mg/mL (Figure 4). Exposure of skin fibroblasts with 0.2 mg/mL and 0.4 mg/mL silver nanoparticles also showed significant increase in caspase 3 expression (Figure 5).

Silver nanoparticles reduce the survival of skin fibroblasts. Images of skin fibroblast cells treated with incremental doses of silver nanoparticles show decrease in number of cells.

Silver nanoparticles decrease survival of skin fibroblast. Dose-response curves representing cell viability (% of control) after treatment with various concentration of silver nanoparticles (mg/mL). A non-linear (polynomial) trend line was constructed and the equation of the line along with r2 value has been displayed on the chart. Data are presented as the percentage (of control) of the mean ± S.E.M., n=5.

Silver nanoparticles induce caspase 3 in skin fibroblasts. A. Western blot analysis shows increased expression of caspase 3 in silver nanoparticle treated fibroblasts compared to normal cells, Lane1: Normal cells, Lane 2: Cells treated with 0.2 mg/mL silver nanoparticles, Lane 3: Cells treated with 0.4 mg/mL silver nanoparticles. B. Bar diagram showing mean ± sd values.
Silver nanoparticles reduced bacterial load on the incision site
Bacterial load on the incision site along the incision line from PBS treated, single silver nanoparticle treated and daily silver nanoparticle treated animals was measured and compared (Figure 6). A significant (p<0.05) reduction in the percentage of bacterial load was observed on the operation site of the animals treated daily with silver nanoparticles compared to the control group (15.3±1.4 vs. 100; n=4). However, the percentage of bacterial load on the operation site of single time silver nanoparticles treated animals were not significantly (p>0.05) different from the control animals (94.9±9.3 vs. 100; n=4).

Silver nanoparticles reduced bacterial load on the incision site. A reduction in the bacterial load on the incision site of daily silver nanoparticle treated animals (C) was observed as compared to control animals (A), bacterial load on the operation site of single time silver nanoparticle treated animals (B) did not differ from the control animals. Data represented as mean± sd, n=4, *p<0.05.
Silver nanoparticles enhanced wound adhesion and improved healing
The time for complete adhesion of a wound is an important parameter that reflects the healing response. A significant (p<0.05) decrease in wound adhesion time was observed following daily silver nano particle treatment. Complete adhesion of wound in daily silver nanoparticles treated animals was achieved within 3±0.82 days of operation whereas in control animals mean complete wound adhesion time was 5.25±1.26 days. However, in single silver nanoparticles treated animals the complete adhesion was achieved on 4.0±0.82 day which was not significantly (p>0.05) different from the control animals (Figure 7). Hence an improvement in the wound healing time was noted in the daily treated group.

Silver nanoparticles induced early wound adhesion and improved healing. Representative images of operation site on day 3 shows complete adhesion of wound in daily silver nanoparticle treated animals and incomplete adhesion in control as well as single silver nanoparticle treated animals.
Silver nanoparticles enhanced collagen deposition on the incision site
Histology sections from incision sites were stained with Sirius red to examine collagen deposition. Sections of incision site from daily silver nanoparticles treated animals showed increased pink stained collagen with sirius red compared to the control animals. However, the sections from single silver nanoparticles treated animals did not show similar increase and was comparable to the controls (Figure 8).

Daily treatment of silver nanoparticles increased collagen deposition on the operation site. Sirius red staining showed increased collagen staining of skin sections from daily silver nanoparticles treated animals compared to single treated and control animals. Magnification: x100.
Silver nanoparticles did not cause any systemic toxicity
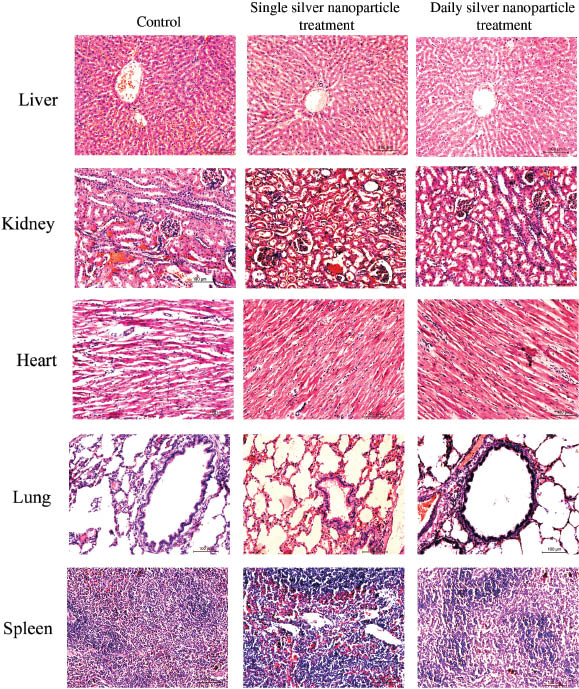
Treatment of the operation site either once or once daily for 14 days with silver nanoparticles did not change total leukocyte, hemogloblin%, AST, ALT, urea, creatinine in the blood from their pre-treatment values (Table 1). The histological sections of the heart, liver, lungs, spleen, and kidney from the treated animals also did not show any change in the morphology and architecture (Figure 9).
Daily treatment of silver nanoparticles did not change hematological and biochemical parameters of blood compared to control animals.
| Control | Daily silver nanoparticle treated | |
|---|---|---|
| Total leukocyte | 8875±1043 | 7625±1135 |
| Hemoglobin, % | 12.5±1.67 | 13.7±1.1 |
| AST | 72±4.2 | 71.5±4.1 |
| ALT | 63±6.4 | 62.5±6.5 |
| Urea | 77.75±6.2 | 77±7 |
| Creatinine | 2.15±0.24 | 2.1±0.25 |
Data expressed as mean±SD, p>0.05, n=4.

Silver nanoparticles did not change the histology of vital organs. Histopathology of liver, kidney, heart, lung, spleen from silver nanoparticle treated animals did not show any change from the normal architecture. Magnification: x200.
Silver nanoparticles changed the histology of skin
Gross evaluation of the incision site at the end of 14 days showed that there was a complete healing and no sign of local edema or erythema was observed in any treatment group (10 A). However, section of skin from both single and daily silver nanoparticle treated animals showed sub epidermal edema with focal areas of lymphocytic aggregation and few congested blood vessels (Figure 10B). Scanning electron microscopy also showed lymphocytic infiltration (Figure 11).

Gross evaluation of the operative site on day 14 showed completely healed wound in all treatment groups, there was no sign of local edema or erythema in any treatment group (A). The section of the skin from both single and daily silver nanoparticles treated animals showed sub epidermal edema with focal areas of lymphocytic aggregation and few congested blood vessels. Whereas skin sections from control animals showed normal architecture (B). Magnification: x200.

Scanning electron microscopy showed increased infiltration of leukocytes (L) in both single and daily silver nanoparticles treated animals.
Discussion
This study demonstrates for the first time, wound response in laparotomy surgery following topical treatment with silver nanoparticles. Laparotomy surgery requires full thickness incision in the abdomen including the peritoneum. Therefore, it makes the wound susceptible to local as well as systemic infections; and it is imperative to ensure early restoration of wound strength to prevent wound dehiscence which may lead to evisceration.
Taking into consideration that improved antibacterial efficacy is accompanied by obvious toxicity with small sized silver nanoparticles (9, 10), in the present study we therefore selected medium sized, i.e., 40 nm particles for evaluating efficacy and adverse effects in post surgical wounds. Based on the fact that our model of full thickness wounds was more susceptible to developing infection, requiring early wound closure and involving a larger surface area, we have used a concentration of 10 mg/mL of 40 nm silver nanoparticles on the 12 cm2 surgical site, as previously reported use of 8 mg/mL of 30 nm silver nanoparticles over a surface area of 6 cm2 that did not cause any local or generalized adverse effect (10).
Our result shows an increased expression of collagen from skin fibroblasts following exposure to silver nanoparticles, which justifies its use in surgical wound. Significant decrease in wound adhesion time was observed following daily treatment of silver nanoparticles compared to control and single time application of silver nanoparticles, which may be attributed by increased collagen deposition in the wound area as revealed by the sirius red stained histology sections. Our results also demonstrate effective reduction of microbial load at the surgical site of daily silver nanoparticles treated animals, which has also contributed to the early adhesion of the wounds. Other studies have also demonstrated improved collagen deposition (6) and enhanced healing with silver nanoparticles treatment in burn and partial thickness wounds (11) where the clinical complications like wound dehiscence are not so profound as in a laparotomy wound. However, the mechanism of collagen deposition could not be elucidated in this study.
The histopathology as well as the SEM of the skin from the wounds treated daily with silver nanoparticles, showed increased infiltration of lymphocytes. This increased infiltration of lymphocyte might have also contributed to the superior healing. The dynamic and distinctive role of lymphocytes in promoting wound healing was demonstrated by other investigators (12, 13). It was suggested that the wound cleansing effect of lymphocytes and improved collagen deposition could be the possible effects of lymphocytic infiltration in the wound bed. We observed reduced survival of skin fibroblasts with an IC50 of 0.16 mg/mL in-vitro following an exposure to silver nanoparticles. Contradictory reports exist regarding the survival of cells following exposure to silver nanoparticles. It was shown to reduce the viability of Hep-2 cells (14), HeLa and HaCaT cells (15), T47D human breast cancer cells (16), whereas it was reported to cause minimum effect to human fibroblast cell HBT68 cells (17) or no toxicity to V79 lung fibroblast (18). The silver nanoparticle-based dressing, Acticoat™ Flex 3 also did not cause any cell death following application to 3D fibroblast cell culture in vitro and to a real partial thickness burn patient (19). Difference in types of cells, particle size and exposure time might have contributed to the variation of the effect. We observed an increased expression caspase 3 from the silver nanoparticle treated fibroblasts, which also confirms its apoptotic effect. Bovine retinal endothelial cells showed an increase in caspase 3 and apoptosis during treatment with silver nanoparticles (20).
Macroscopically there was no sign of dermal toxicity, i.e., gross signs of erythema or edema, in any of the groups in our study following application of 40 nm silver nanoparticles on surgical wound. Treatment of intact skin with 20 nm and 50 nm silver nanoparticles for 14 days did not cause erythema or edema (21) whereas 10 nm and 20 nm silver nanoparticles were reported to produce these symptoms (10). However, they did not find any sign of dermal toxicity following treatment with 30 nm silver nanoparticle. These results indicate that medium sized nanoparticles are less likely to incite local toxicity.
Histopathology of skin from both single and daily silver nanoparticle treated animals showed edema and lymphocytic infiltration. Disruption of cell membrane by silver nanoparticles leading to extravasation of cellular fluid might be the cause for local edema observed in this study and in previous studies (10, 20).
Total count of the white blood cells and hemoglobin% in single as well as daily silver nanoparticle treated animals did not change from the pre-treatment values. There was no significant change in the serum AST, ALT, urea and creatinine following silver nanoparticles treatment from the pre-treatment values.
Histology of liver, spleen, heart, lungs and kidney from treated animals were similar to the PBS treated control animals. These results indicated that topical application of 40 nm silver nanoparticles on laparotomy wound did not cause any systemic toxicity to the animals. Koohi et al. (10) also reported absence of local as well as systemic toxicity following dermal treatment with 30 nm silver nanoparticles but they observed systemic toxicity with affections in liver, spleen, heart and brain following dermal treatment with 10 nm and 20 nm silver nanoparticles.
It is probable that the smaller sized particles are distributed through general circulation and produce systemic toxicity whereas the larger particles remain on the site and cause local toxicity. Therefore, silver nanoparticles show potential to be used in surgical wounds but further studies on local tissue response with different concentration and duration can give better insight into its safety.
We conclude that topical use of 40 nm silver nanoparticles significantly improves full thickness surgical wound healing, its daily local use for two weeks did not incite systemic toxicity, however local tissue edema detected, raises some concern.
Author Contributions
Sarbani Hazra, Aditya Konar, Samir Kumar Hazra: Conceiving and designing the study; or collecting the data; or analyzing and interpreting the data; writing the manuscript or providing critical revisions that are important for the intellectual content; and approving the final version of the manuscript.
Sarbani Hazra, Tamal Kanti Ghosh: Analyzing and interpreting the data.
Sushovan Chowdhury, Munmun De, Rajdeep Guha: Collecting the data.
Indranil Samanta, Subhasis Batabyal: Collecting the data; or analyzing and interpreting the data.
Acknowledgments
We acknowledge West Bengal University of Animal & Fishery Sciences and CSIR-IICB for the support.
References
1. Mawalla B, Stephen EM, Phillipo LC, Can I, William M. Predictors of surgical site infections among patients undergoing major surgery at Bugando Medical Centre in Northwestern Tanzania. BMC Surgery 2011;11:21.10.1186/1471-2482-11-21Suche in Google Scholar
2. Hugh TB. Abdominal wound dehiscence, editorial comment. Aust NZ J Surgery 1990;60:153–5.10.1111/ans.1990.60.3.153Suche in Google Scholar
3. Mokela JI, Kiviniemi H, Juvonen T, Laitinen S. Factors influencing wound dehiscence after midline laparotomy. Am J Surg 1995;170:387–90.10.1016/S0002-9610(99)80309-2Suche in Google Scholar
4. Heller L, Levin S, Butler C. Management of abdominal wound dehiscence using vacuum assisted closure in patients with compromised healing. Am J Surg 2006;191:165–72.10.1016/j.amjsurg.2005.09.003Suche in Google Scholar PubMed
5. Spiliotis J, Tsiveriotis K, Datsis AD, Vaxevanidou A, Zacharis G, Giafis K, et al. Wound dehiscence: is still a problem in the 21th century: a retrospective study. World J Emerg Surg 2009;4:12.10.1186/1749-7922-4-12Suche in Google Scholar PubMed PubMed Central
6. Kwan KH, Liu X, To MK, Yeung KW, Ho C-M, Wong KK. Modulation of collagen alignment by silver nanoparticles results in better mechanical properties in wound healing. Nanomed: Nanotechnol, Biol Med 2011;7:497–504.10.1016/j.nano.2011.01.003Suche in Google Scholar PubMed
7. Arhi C, El-Gaddal A. Use of a silver dressing for management of an open abdominal wound complicated by an enterocutaneous fistula from hospital to community. J Wound Ostomy Continence Nurs 2013;40:101–103.10.1097/WON.0b013e318279bfa5Suche in Google Scholar PubMed
8. Pal S, Tak YK, Song JM. Does the antibacterial activity of Silver nanoparticles depend on the shape of the nanoparticle? A study of the gram-negative bacterium Escherichia coli. Appl Environ Microbiol 2007;73:1712–20.10.1128/AEM.02218-06Suche in Google Scholar PubMed PubMed Central
9. Liu H-L, Dai SA, Fu K-Y, Hsu S-H. Antibacterial properties of silver nanoparticles in three different sizes and their nanocomposites with a new waterborne polyurethane. Int J Nanomed 2010;5:1017–28.10.2147/IJN.S14572Suche in Google Scholar PubMed PubMed Central
10. Koohi MK, Hejazy M, Asadi F, Asadian P. Assessment of dermal exposure and histopathologic changes of different sized nano-silver in healthy adult rabbits. J Phys: Conf Ser 2011;304:012028.10.1088/1742-6596/304/1/012028Suche in Google Scholar
11. Tian J, Wong KK, Ho CM, Lok CN, Yu WY, Che CM, et al. Topical delivery of silver nanoparticles promotes wound healing. Chem Med Chem 2007;2:129–36.10.1002/cmdc.200600171Suche in Google Scholar PubMed
12. Fishel RS, Barbul A, Beschorner WE, Wasserkrug HL, Efron G. Lymphocyte participation in wound healing. Morphologic assessment using monoclonal antibodies. Ann Surg 1987;206:25–9.10.1097/00000658-198707000-00004Suche in Google Scholar PubMed PubMed Central
13. Gouttefangeas C, Eberle M, Ruck P, Stark M, Müller JE, Becker HD, et al. Functional T lymphocytes infiltrate implanted polyvinyl alcohol foams during surgical wound closure therapy. Clin Exp Immunol 2001;124:398–405.10.1046/j.1365-2249.2001.01547.xSuche in Google Scholar PubMed PubMed Central
14. Satyavani K, Gurudeeban S, Ramanathan T, Balasubramanian T. Toxicity study of silver nanoparticles synthesized from Suaeda monoica on Hep-2 cell line. Avicenna J Med Biotech 2012;4:35–3.Suche in Google Scholar
15. Gupta Mukherjee S, O’Claonadha N, Casey A, Chambers G. Comparative in vitro cytotoxicity study of silver nanoparticle on two mammalian cell lines. Toxicol In-Vitro 2012;26: 238–51.10.1016/j.tiv.2011.12.004Suche in Google Scholar PubMed
16. Ostad SN, Dehnad S, Nazari ZE, Fini ST, Mokhtari N, Shakibaie M, et al. Cytotoxic activities of silver nanoparticles and silver ions in parent and tamoxifen-resistant T47D human breast cancer cells and their combination effects with tamoxifen against resistant cells. Avicenna J Med Biotech2010;2:187–96.Suche in Google Scholar
17. Salem HF, Eid KA, Sharaf MA. Formulation and evaluation of silver nanoparticles as antibacterial and antifungal agents with a minimal cytotoxic effect. Int J Drug Delivery 2011;3: 293–304.Suche in Google Scholar
18. Melo PS, Marcato PD, Huber SC, Ferreira IR, de Paula LB, Almeida AB, et al. Nanoparticles in treatment of thermal injured rats:Is it safe? Nanosafe2010: International Conferenceon Safe Production and Use of Nanomaterials IOP Publishing Journal of Physics:ConferenceSeries 2011;304. 012027.10.1088/1742-6596/304/1/012027Suche in Google Scholar
19. Rigo C, Ferroni L, Tocco I, Roman M, Munivrana I, Gardin C, et al. Active Silver Nanoparticles for Wound Healing. Int J Mol Sci 2013;14:4817–4840.10.3390/ijms14034817Suche in Google Scholar PubMed PubMed Central
20. Kalishwaralal K, Banumathi E, Pandian SR, Deepak V, Muniyandi J, Eom SH, et al. Silver nanoparticles inhibit VEGF induced cell proliferation and migration in bovine retinal endothelial cells. Colloids Surf B Biointerfaces 2009;73:51–7.10.1016/j.colsurfb.2009.04.025Suche in Google Scholar PubMed
21. Samberg ME, Oldenburg SJ, Monteiro-Riviere NA. Evaluation of Silver Nanoparticle Toxicity in Skin in Vivo and Keratinocytes in Vitro. Environ Health Perspectives 2010;118:407–13.10.1289/ehp.0901398Suche in Google Scholar PubMed PubMed Central
©2014 by De Gruyter
Artikel in diesem Heft
- Frontmatter
- In this issue
- What’s up in nanomedicine?
- News from the CLINAM Foundation
- Review
- Magnetoliposomes: opportunities and challenges
- Original articles
- Beta-casein nanocarriers of celecoxib for improved oral bioavailability
- Albendazole loaded albumin nanoparticles for ovarian cancer therapy
- Influence of silver nanoparticles on post-surgical wound healing following topical application
- Acknowledgement to our reviewers
- Acknowledgement to our reviewers
Artikel in diesem Heft
- Frontmatter
- In this issue
- What’s up in nanomedicine?
- News from the CLINAM Foundation
- Review
- Magnetoliposomes: opportunities and challenges
- Original articles
- Beta-casein nanocarriers of celecoxib for improved oral bioavailability
- Albendazole loaded albumin nanoparticles for ovarian cancer therapy
- Influence of silver nanoparticles on post-surgical wound healing following topical application
- Acknowledgement to our reviewers
- Acknowledgement to our reviewers