Abstract
Objectives
A novel betacoronavirus, SARV-COV-2, was first reported in China on December 31, 2019. Since that time, the number of cases worldwide has grown exponentially. Because this coronavirus was newly described in the human population, strategies to combat spread, to test appropriately, and to identify those at higher risk for severe disease changed frequently as understanding evolved.
Case presentation
This is a report of a case that demonstrate that coinfection with SARS-CoV-2 is possible and likely more common than initially projected. The patient is a 28-year-old G2P1001 at 31 weeks and four days gestation that presented with a 5-day history of high fevers, cough, myalgias, malaise and headache. Patient was diagnosed with Rhinovirus/Enterovirus, admitted for supportive care, and no longer considered a person under investigation for COVID19 because of her positive respiratory panel. Patient’s SARS-CoV-2 screen came back positive two days after her discharge from the hospital. Patient required readmission for worsening symptoms later that night, presenting with tachypnea, hypotension, and pneumonia. Patient was successfully discharged home on hospital day six.
Conclusions
Co-infection with other respiratory viruses happens more than originally thought, therefore going forward protocols should be cognizant of this. When patients present with symptoms suspicious of COVID-19, he or she should be tested regardless of the status of the respiratory viral panel, including influenza.
Introduction
Coronaviruses are enveloped, single stranded RNA viruses that infect birds and several mammalian species, including humans [1]. The first human coronaviruses were first described in the 1960s, and the four endemic human coronaviruses HCoV-229E, -NL63, -OC43, and -HKU1 contribute a substantial portion of all upper and lower respiratory tract infections [1]. A novel betacoronavirus, now named SARV-COV-2, was first reported in Wuhan, China, on December 31, 2019 [2]. Since then, the number of cases worldwide has grown exponentially, and the World Health Organization declared the outbreak a public health emergency of international concern on January 30, 2020. The United States declared this a public health emergency the following day [2].
Our understanding of SARS-CoV-2/COVID-19 is constantly deepening as more and more institutions compile and share their data from around the world. However, there continues to be many unknowns surrounding the virus and the disease it causes. Recommendations for health care institutions, businesses and the general community are continually evolving as new information becomes available. In the United States, the Center for Disease Control provides these recommendations, including whom to test. The recommendations take into account both scientific data and available resources. Hospitals have been faced with various obstacles to testing including limited facilities to process tests, long turnaround times for results, shortage of nasopharyngeal swabs and transport media. Many hospitals also struggle to make comprehensive testing strategies in the face of significant shortages of personal protective equipment (PPE). Enacting COVID-19 level infectious disease precautions to all patients under investigation (PUI) would further compromise these PPE shortages. Furthermore, while COVID-19 is a novel infection, it is important when devising testing strategies to recognize that SARS-CoV-2 may co-exist with a myriad of other infections. It is equally as important for researchers to investigate whether SARS-CoV-2 potentially increases a person’s susceptibility to other infections.
The objectives of this case report are to demonstrate that coinfection is indeed possible and likely more common than initially projected; and how this can affect testing strategies PUIs for COVID 19.
Case presentation
A 28-year old G2P1001 at 31 weeks and 4 days gestation Spanish speaking Salvadoran patient presented to the emergency room with influenza like symptoms. History was attained through a telephone based interpreter service. She reported fever as high as 104 °F, myalgias, malaise, and headache over the last five days and a dry nonproductive cough for 1 day. Patient denied chest pain or shortness of breath. She received the influenza vaccination earlier in this pregnancy. Upon further questioning the patient revealed two weeks of discomfort with urination but denied burning or hematuria. She reported good fetal movement and denied any obstetrical issues. Patient also states that her 6-year-old son has similar symptoms. Her son was seen in the pediatric emergency room where she was told he had a viral infection and was discharged. No nasal swab was collected. Patient was deemed to be a PUI for COVID-19 based on history.
Past medical history was significant for anemia requiring intravenous iron infusions in this pregnancy. Surgical history was significant for a laparoscopic cholecystectomy. Her last pregnancy was complicated by preeclampsia without severe features and resulted in a full term spontaneous vaginal delivery. The patient was only taking prenatal vitamins and had no known drug allergies. She denied any tobacco, alcohol or recreational drug use. Review of systems was positive for mild nausea, decreased appetite.
Rapid PCR viral respiratory panel test results.
| Virus tested | Test outcome |
|---|---|
| Influenza A | Negative |
| Influenza B | Negative |
| RSV | Negative |
| Parainfluenza 1-4 | Negative |
| Rhinovirus/Enterovirus | Positive |
| Adenovirus | Negative |
| Coronavirus 229E | Negative |
| Coronavirus HKU1 | Negative |
| Coronavirus NL63 | Negative |
| Coronavirus OC43 | Negative |
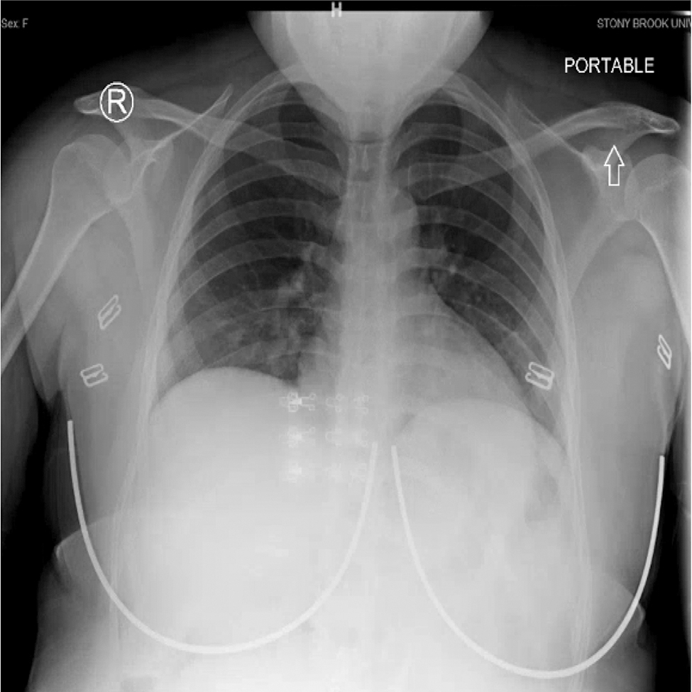
In the emergency department her maximum temperature was 39.4 °C, heart rate ranged from 110 to 130 beats per minute, respiratory rate was 16 breaths per minute, blood pressure was 100/59 mm Hg, oxygen saturation was 99% on room air. Physical exam revealed an ill but not toxic appearing patient. Lungs were clear to bilateral auscultation, no increased work of respiration. Heart rate was tachycardic, but regular rhythm. Abdomen was gravid, non-tender, without suprapubic tenderness. There was no flank tenderness or costovertebral angle tenderness. Bedside ultrasound revealed a fetus in breech presentation, with posterior placenta and amniotic fluid index of 16. Initial chest X-ray was found to have no acute cardiopulmonary findings (Figure 1).

Chest X-ray on initial presentation for first admission. Radiologic impression: no acute cardiopulmonary process.
Per the hospital’s testing guidelines at the time, both the respiratory panel and the SARS-CoV-2 test were both sent. The patient’s respiratory panel was positive for Rhinovirus/Enterovirus (Table 1), therefore she was no longer considered a PUI. Full in hospital COVID specific PPE requirements were discontinued in the hospital when the patient’s viral panel came back positive for Rhinovirus, and isolation precautions were downgraded to droplet precautions. She was admitted to labor and delivery for further monitoring, treatment of suspected genitourinary infection and supportive care for the Rhinovirus/Enterovirus. The pertinent labs during her admission are summarized in Table 2. She was started on ceftriaxone 1 g every 24 h. Shortly after admission, she had an episode of worsening hypotension (80 s/50 s mmHg) and tachycardia (130 s). Her vitals improved quickly with intravenous fluid resuscitation and the patient reported feeling significantly better. Her only complaint throughout the remainder of her admission was intermittent headaches. The next day, the patient was discharged home after being afebrile for 24 h without antipyretics with precautions to self-quarantine until asymptomatic for one week or until COVID testing resulted. Patient’s SARS-CoV-2 results were pending at time of discharge. The hospital policy for the patient’s self-quarantine at home was “extra precaution”. There were conflicting precautions from inpatient to outpatient in terms of concern for COVID 19 risk.
Maternal laboratory results during admission and readmission.
| Lab | Admission 1 | Admission 2 |
|---|---|---|
| Complete blood count | ||
| WBC, K/uL | 9.94 | 5.7 |
| RBC, M/uL | 4.38 | 4.29 |
| Hemoglobin, g/dL | 12 | 11.7 |
| Hematocrit, % | 36.5 | 35.7 |
| MCV | 83.3 | 83.2 |
| PLT, K/uL | 191 | 179 |
| Lymphocyte, % | 8.7 | 14.4 |
| Monocyte, % | 5.5 | 3.9 |
| Neutrophil, % | 84.8 | 80.6 |
| Immature granulocyte, % | 0.7 | 0.9 |
| Eos, % | 0.1 | 0 |
| Basophil, % | 0.2 | 0.2 |
| Complete metabolic profile, CMP | ||
| Sodium, mmol/L | 133 | 136 |
| Potassium, mmol/L | 3.6 | 3.4 |
| Chloride, mmol/L | 96 | 99 |
| Bicarbonate, mmol/L | 22 | 24 |
| Glucose, mg/dL | 83 | 130 |
| BUN, mg/dL | 5 | 5 |
| Creatinine, mg/dL | 0.46 | 0.61 |
| Calcium, mg/dL | 9.7 | 9.2 |
| Phosphorus, mg/dL | 3.6 | |
| Magnesium, mg/dL | 1.7 | |
| Bilirubin, total, mg/dL | 0.6 | 0.6 |
| Bilirubin, direct, mg/dL | <0.2 | 0.3 |
| ALT (SGPT), IU/L | 11 | 14 |
| AST (SGOT), IU/L | 18 | 29 |
| Alk phos, IU/L | 156 | 172 |
| Albumin, g/dL | 3.3 | 3.4 |
| Total protein, g/dL | 7.4 | 7.5 |
| Urinalysis | ||
| Color | Yellow | Yellow |
| Clarity | Clear | Clear |
| Glucose | Negative | NEgative |
| Ketones | Trace | Trace |
| Bilirubin | Negative | Negative |
| Specific gravity | 1.004 | 1.004 |
| Blood | Small | Negative |
| pH | 7 | 8 |
| Protein | Negative | Negative |
| Urobilinogen | <2.0 | <2.0 |
| Nitrite | Negative | Negative |
| Leukocyte esterase | Trace | Negative |
| RBC/HPF | 5 | 0 |
| WBC/HPF | 3 | 1 |
| Squamous epithelial/HPF | Few | Occasional |
| Bacteria | Many | Few |
| Miscellaneous | ||
| SARS-CoV-2 PCR | Positive | |
| Respiratory viral panel | Negative | |
| Lactic acid, mmol/L | 1 | 1.6 |
| Procalcitonin, ng/mL | 0.6 | 0.1 |
| Ferritin, mmol/L | 107.8 | |
| D-dimer, ng/mL | 499 | |
| PT, seconds | 10.8 | |
| PTT, seconds | 30.6 | |
| Urine culture, CFU/mL | 9000 colonies gram+cocci | |
| Blood culture | No growth | No growth |
Two days later, the patient’s SARS-CoV-2 resulted as positive. The patient was contacted and informed of the result. She reported being afebrile since discharge and continued to feel well. She was given instructions to continue to self-quarantine until further notice, techniques to minimize spread to family, and precautions to return to the hospital for shortness of breath or any obstetric complaints.
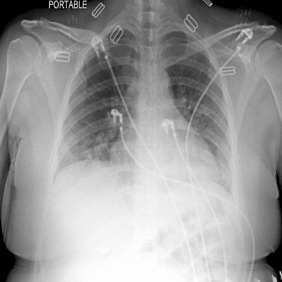
She returned to the hospital that same night with gradually worsening shortness of breath, myalgias, low grade fever and worsening headache. On presentation she was tachycardia (heart rate 110 bpm), tachypneic (respiratory rate 24), hypotensive (blood pressure 80 s/50 s), and she had an oxygen saturation of 95% on room air. Labs for her second admission are summarize in Table 2. Chest X-ray at that time suggested possible pneumonia (Figure 2). The patient was admitted to the general medicine service where she received ceftriaxone for one day, azithromycin for a total of seven days and supplemental oxygen with a maximum oxygen requirement of 3 L nasal cannula. She was discharged on hospital day 6 once weaned from oxygen. She continues to do well. Written informed consent was obtained from the patient for publication.

Chest X-ray on representation for second admission. Radiologic impression: patchy airspace opacification in the lower lobes with vascular crowding.
Discussion
This report highlights the case of young healthy female in her third trimester with fever and URI symptoms initially attributed to a respiratory viral panel positive for Rhinovirus/Enterovirus. SARS-CoV-2 test resulted days after discharge as positive, and the patient was rehospitalized with worsening symptoms and suspected pneumonia. Because this coronavirus was newly described in the human population, strategies to combat spread, to test appropriately, and to identify those at higher risk for severe disease changed frequently as understanding evolved. Testing strategies in many hospitals were fluid from day to day. Within the course of 1 week, three different testing strategies were rolled out and then subsequently changed. Initially, patients presenting with ‘influenza like symptoms’ were screened with a respiratory viral panel. Respiratory viral panels were run in house with a 2 h turn around. A positive respiratory viral panel “ruled out” the patient for COVID-19 and no further viral testing was performed. The purported advantage of this strategy was the efficient ruling out of COVID-19 and conservation of PPE. This testing strategy was based on of early data from China that showed low rates of co-infection around 4% [3].
As nasal swabs quickly became limited at our hospital, testing strategy changed to conserve swabs. Patients presenting with concerning symptoms for COVID-19 had one swabbed performed, and both the respiratory viral panel and SARS-CoV-2 tests were sent. This conserved swabs by not utilizing a second swab on patients’ whose respiratory viral panels were negative. However, a positive respiratory panel continued to “rule out” the patient for COVID-19 and the staff were no longer utilizing PUI PPE. Days later as tests became more sparse and the number of suspected PUIs drastically increased, the hospital moved towards a policy where no one was offered respiratory viral panels or COVID-19 testing unless the patient and the result would change patient care or an employee’s ability to work. This mostly limited testing to patients with severe disease, those requiring ICU admission, and symptomatic employees.
The testing strategy utilizing a positive respiratory viral panel to rule out COVID-19 was based on data that reflective of what we are seeing in the United States. Preliminary data from Stanford Medical Center found that 22.4% of patients with SARS-CoV-2 were co-infected with another respiratory virus [4]. Rhinovirus/Enterovirus were the most common viral co-infection agents, like with our patient [4]. Furthermore, regional differences in epidemiology may also be seen. Xing et al. found 20% of COVID-19 patients from Qingdao had co-infection with seasonal respiratory pathogens, influenza being the most common (60%) [5]. Co-infection with other respiratory viruses happens more than originally thought, therefore going forward protocols should be cognizant of this. Healthcare providers should always consider whether the detection of the virus identified explains the entire clinical picture of the patient. When patients present with symptoms suspicious of COVID-19, he or she should be tested regardless of the status of the respiratory viral panel, including influenza. Furthermore, one should consider the strengths and limitations of the methods used to test patients. Due to its rapid detection, high sensitivity and specificity, the polymerase chain reaction (PCR) method is often considered the ‘gold standard’ for the detection of many viruses [6]. While there have been noted challenges in PCR detection of SARS-CoV-2 (e.g. primers affected by variation of viral RNA sequences), the known assays are highly specific for SARS-CoV-2 virus with no known cross-reactivity to other known respiratory pathogens or to other known human coronaviruses [6], [7], [8]. PCR detection of respiratory viruses should therefore be treated as true co-infections.
While our case highlighted viral co-infection, we do not currently know how co-infection in pregnancy affects progression of disease or pregnancy outcomes. Pregnant women and their fetuses often represent high risk populations during infectious disease outbreaks, like with Zika and H1N1 [2], [9]. Mechanical and physiologic adaptations in pregnancy increase a woman’s susceptibility to infection, furthermore the immunologic shifts of the T-helper 2 (Th2) system predominance over the T-helper 1 (Th1) system makes the pregnant women more vulnerable to viral infections [9]. Approximately 10–35% of pregnant women infected with SARS-CoV and MERS-CoV died from the illness [10]. Dashraath et al. postulate that the activation of both Th1 and Th2 with SARS-CoV-2 vs. the predominance of Th1 activation by SARS-CoV may be why we are seeing less severity of COVID-19 compared to prior outbreaks and to non-pregnant women [9]. A recent systematic review of 108 infected pregnant women found no maternal fatalities but an increase in severe maternal morbidity, including admission to the ICU [11]. There is a scarcity of reporting on maternal mortality associated with COVID-19; thus far less than 10 maternal deaths have been described in literature [12]. The most common presenting symptoms were fever on admission (68%), persistent dry cough (34%), malaise (13%), and dyspnea (12%) [11]. Breslin et al. described 38 cases of pregnant women with SARS-CoV-2 in New York City and found 86% had mild disease, 9.3% had severe disease, and 4.7% developed critical disease [13]. This breakdown of disease severity is similar to those of the non-pregnant population: 81% mild, 14% severe, and 5% critical [13]. However, co-infection is not often commented upon in these pregnant women case series. Co-infection with other respiratory viruses has the potential to change the woman’s ability to mount as vigorous of an immune response, and therefore has the potential to affect outcomes. Further, research into co-infection in both the general population and the pregnant population will help with risk assessment and guide future management.
Some hospitals in high volume areas have started to test all women presenting to labor and delivery. This strategy has shown that 32.6% of pregnant women are asymptomatic carriers [13]. This is an important point to keep in mind as we continue to develop and roll out testing protocols and PPE protocols within our labor units and outpatient settings. The more robust our knowledge of this virus becomes, the better our guidelines and protocols can be tailored. Researchers out of the University of California San Francisco have started a registry, Pregnancy Coronavirus Outcomes Registry (PRIORITY), to begin to collect the needed information on our vulnerable pregnant population. This continues to be important for the continued management of pregnant women during this pandemic, but also for the future. There is distinct chance that SARS-CoV-2 could become one of the endemic viruses in the human population, like influenza. It is incredibly important to gather information and learn from our past mistakes. In the future, no testing strategy should rule out SARS-CoV-2 due to a positive respiratory panel. Furthermore, if a patient presents with symptoms of fever, cough, shortness of breath, one should not forget SARS-CoV-2 as a potential causative agent even after the resolution of this current pandemic.
Research funding: None declared.
Author contributions: All authors have accepted responsibility for the entire content of this manuscript and approved its submission.
Competing interests: Authors state no conflict of interest.
Informed consent: Informed consent was obtained from all individuals included in this study.
Ethical approval: Research involving human subjects complied with all relevant national regulations, institutional policies and is in accordance with the tenets of the Helsinki Declaration (as revised in 2013), and has been approved by the authors’ Institutional Review Board or equivalent committee.
References
1. Corman, VM, Muth, D, Niemeyer, D, Drosten, C. Chapter eight – hosts and sources of endemic human coronaviruses. Adv Virus Res 2018;100:163–88 https://doi.org/10.1016/bs.aivir.2018.01.001.Search in Google Scholar
2. Rasmussen, SA, Smulian, JC, Lednicky, JA, Wen, TS, Jamieson, DJ. Coronavirus disease 2019 (COVID-19) and pregnancy: what obstetricians need to know. Am J Obstet Gynecol 2020;222:415–26. https://doi.org/10.1016/j.ajog.2020.02.017.Search in Google Scholar
3. Ding, Q, Lu, P, Fan, Y, Xia, Y, Liu, M. The clinical characteristics of pneumonia patients coinfected with 2019 novel coronavirus and influenza virus in Wuhan, China. J Med Virol 2020;92:1549–55. https://doi.org/10.1002/jmv.25781.Search in Google Scholar
4. Shah, N. Higher co-infection rates in COVID19. Medium: coronavirus website; 2020. Available from: https://medium.com/@nigam/higher-co-infection-rates-in-covid19-b24965088333 [Accessed 11 April].Search in Google Scholar
5. Xing, Q, Li, G, Xing, Y, Chen, T, Li, W, Ni, W, et al. Precautions are needed for COVID-19 patients with coinfection of common respiratory pathogens. medRxiv 2020. https://doi.org/10.1101/2020.02.29.20027698.Search in Google Scholar
6. Tahamtan, A, Ardebili, A. Real-time RT-PCR in COVID-19 detection: issues affecting the results. Expert Rev Mol Diagn 2020;20:453–4. https://doi.org/10.1080/14737159.2020.1757437.Search in Google Scholar
7. La Marca, A, Capuzzo, M, Paglia, T, Roli, L, Trenti, T, Nelson, SM. Testing for SARS-CoV-2 (COVID-19): a systematic review and clinical guide to molecular and serological in-vitro diagnostic assays. Reprod Biomed Online 2020;S1472-6483:30318–7. https://doi.org/10.1016/j.rbmo.2020.06.001.Search in Google Scholar
8. Zhang, N, Wang, L, Deng, X, Liang, R, Su, M, He, C, et al. Recent advances in the detection of respiratory virus infection in humans. J Med Virol 2020;92:408–17. https://doi.org/10.1002/jmv.25674.Search in Google Scholar
9. Dashraath, P, Wong, J, Lim, M, Li, S, Biswas, A, Choolani, M, et al. Coronavirus disease 2019 (COVID-19) pandemic and pregnancy. Am J Obstet Gynecol 2020;222:521–31. https://doi.org/10.1016/j.ajog.2020.03.021.Search in Google Scholar
10. Di Mascio, D, Khalil, A, Saccone, G, et al. Outcome of coronavirus spectrum infections (SARS, MERS, COVID-19) during pregnancy: a systematic review and meta-analysis. Am J Obstet Gynecol MFM 2020;2:100107. https://doi.org/10.1016/j.ajogmf.2020.100107.Search in Google Scholar
11. Zaigham, M, Andersson, O. Maternal and perinatal outcomes with COVID-19: a systematic review of 108 pregnancies. Acta Obstet Gynecol Scand 2020;00:1–7 https://doi.org/10.1111/aogs.13867.Search in Google Scholar
12. Metz, TD, Collier, C, Hollier, LM. Maternal mortality from coronavirus disease 2019 (COVID-19) in the United States. Obstet Gynecol 2020;136.10.1097/AOG.0000000000004024Search in Google Scholar PubMed
13. Breslin, N, Baptiste, C, Gyamfi-Bannerman, C, et al. COVID-19 infection among asymptomatic and symptomatic pregnant women: two weeks of confirmed presentations to an affiliated pair of New York city hospitals. Am J Obstet Gynecol MFM 2020;2:100118. https://doi.org/10.1016/j.ajogmf.2020.100118.Search in Google Scholar
© 2020 Walter de Gruyter GmbH, Berlin/Boston
Articles in the same Issue
- Case Reports – Obstetrics
- Fetal pulmonary choristoma: report of first case and literature review
- Ultrasound prenatal diagnosis of a de novo 14q distal duplication associated with foetal anomalies: a case report
- Prenatal diagnosis of Kleefstra syndrome
- Cardiac implant and the risk of infective endocarditis in pregnancy
- Iatrogenic fetal goiter. Conservative management and spontaneous resolution
- Management in cases of large uterine myomas in pregnancy
- Significantly enlarged varix in the free-loop of the umbilical cord during the second trimester
- A case report of co-infection with rhinovirus and SARS-CoV-2 in pregnancy
- Monoamniotic twins pregnancy complicated by a fetal congenital heart defect – a challenge for perinatal decisions
- Favorable outcome after nine minutes of shoulder dystocia preceded by a tight nuchal cord
- Circumvallate placenta and abnormal cord insertion as risk factors for intrauterine growth restriction and preterm birth: a case report
- A rare case of intra-uterine blood transfusion for fetal anemia caused by a giant placental chorioangioma
- Septated fetal bladder in a case of 2q13 deletion
- A case of prenatal diagnosis of single umbilical artery due to thrombosis diagnosed by the ultrasound finding of “wink-sign”
- Ultrasound diagnosis of myelomeningocele: the role of 3D ultrasonography in determining surficial status of the pathological lesion
- Pragmatic approach and variations in the management of pregnant women with type 1 diabetes mellitus on insulin pump: a case series
- A great pre-eclampsia masquerader. Hemophagocytic lymphohistiocytosis (HLH) presenting in pregnancy
- Survival of both twins in a pregnancy complicated by pre-viable cord prolapse at 21 weeks of gestation
- A case report of a pregnant woman diagnosed with intrahepatic cholangiocarcinoma (ICC) complicated by opioid tolerance
- Prenatal and postnatal imaging of an intrapericardial teratoma
- Case report of a ruptured uterine sacculation in the 19th week of pregnancy
- Is thromboelastography reliable in postpartum coagulopathies? Two case reports and a literature review
- Prenatal diagnosis of megacystis-microcolon-intestinal hypoperistalsis syndrome
- Fetal head entrapment within the lower uterine segment
- Case Reports – Fetus
- A case of diprosopus: a rare form of twinning radiology-pathology correlation
- Case Reports – Newborn
- Transmission of SARS-CoV-2 to premature twins from an asymptomatic mother
- Spinal dysraphism, club feet, and dextrocardia with situs inversus totalis in a neonate: a rare association and review
- Giant congenital vascular malformation: diagnostic approach and clinical course
- Transient neonatal myasthenia gravis following maternal myasthenia gravis presenting in pregnancy after treatment with Alemtuzumab
- Congenital pulmonary lymphangiectasia in an extremely low birth weight: a case report
- Congenital kaposiform hemangioendothelioma: don’t let the appearances fool you
- Agnathia-otocephaly complex: a case report and a literature review on recurrence risk
- Perinatal severe hypophosphatasia: a case report
- Recurrent neonatal group B streptococcus cellulitis and adenitis syndrome with late-onset sepsis
- Neonatal hypertension caused by left-to-right shunt flow through a patent ductus arteriosus in a premature infant
- Maternal Babesia infection associated with neonatal extramedullary hematopoiesis and acute myeloid leukemia in late infancy
- Congenital high airway obstruction syndrome complicated with foregut malformation and high airway fistula to the alimentary tract – a case series with four distinct types
- Aplasia cutis congenita as a consequence of fetal reduction in a triplet pregnancy
- Anhydramnios, but prenatally normal kidneys: renal tubular dysgenesis – patient with mutations in the renin-angiotensin system gene AGTR1
- Symptomatic and lethal congenital primary cardiac rhabdomyoma
Articles in the same Issue
- Case Reports – Obstetrics
- Fetal pulmonary choristoma: report of first case and literature review
- Ultrasound prenatal diagnosis of a de novo 14q distal duplication associated with foetal anomalies: a case report
- Prenatal diagnosis of Kleefstra syndrome
- Cardiac implant and the risk of infective endocarditis in pregnancy
- Iatrogenic fetal goiter. Conservative management and spontaneous resolution
- Management in cases of large uterine myomas in pregnancy
- Significantly enlarged varix in the free-loop of the umbilical cord during the second trimester
- A case report of co-infection with rhinovirus and SARS-CoV-2 in pregnancy
- Monoamniotic twins pregnancy complicated by a fetal congenital heart defect – a challenge for perinatal decisions
- Favorable outcome after nine minutes of shoulder dystocia preceded by a tight nuchal cord
- Circumvallate placenta and abnormal cord insertion as risk factors for intrauterine growth restriction and preterm birth: a case report
- A rare case of intra-uterine blood transfusion for fetal anemia caused by a giant placental chorioangioma
- Septated fetal bladder in a case of 2q13 deletion
- A case of prenatal diagnosis of single umbilical artery due to thrombosis diagnosed by the ultrasound finding of “wink-sign”
- Ultrasound diagnosis of myelomeningocele: the role of 3D ultrasonography in determining surficial status of the pathological lesion
- Pragmatic approach and variations in the management of pregnant women with type 1 diabetes mellitus on insulin pump: a case series
- A great pre-eclampsia masquerader. Hemophagocytic lymphohistiocytosis (HLH) presenting in pregnancy
- Survival of both twins in a pregnancy complicated by pre-viable cord prolapse at 21 weeks of gestation
- A case report of a pregnant woman diagnosed with intrahepatic cholangiocarcinoma (ICC) complicated by opioid tolerance
- Prenatal and postnatal imaging of an intrapericardial teratoma
- Case report of a ruptured uterine sacculation in the 19th week of pregnancy
- Is thromboelastography reliable in postpartum coagulopathies? Two case reports and a literature review
- Prenatal diagnosis of megacystis-microcolon-intestinal hypoperistalsis syndrome
- Fetal head entrapment within the lower uterine segment
- Case Reports – Fetus
- A case of diprosopus: a rare form of twinning radiology-pathology correlation
- Case Reports – Newborn
- Transmission of SARS-CoV-2 to premature twins from an asymptomatic mother
- Spinal dysraphism, club feet, and dextrocardia with situs inversus totalis in a neonate: a rare association and review
- Giant congenital vascular malformation: diagnostic approach and clinical course
- Transient neonatal myasthenia gravis following maternal myasthenia gravis presenting in pregnancy after treatment with Alemtuzumab
- Congenital pulmonary lymphangiectasia in an extremely low birth weight: a case report
- Congenital kaposiform hemangioendothelioma: don’t let the appearances fool you
- Agnathia-otocephaly complex: a case report and a literature review on recurrence risk
- Perinatal severe hypophosphatasia: a case report
- Recurrent neonatal group B streptococcus cellulitis and adenitis syndrome with late-onset sepsis
- Neonatal hypertension caused by left-to-right shunt flow through a patent ductus arteriosus in a premature infant
- Maternal Babesia infection associated with neonatal extramedullary hematopoiesis and acute myeloid leukemia in late infancy
- Congenital high airway obstruction syndrome complicated with foregut malformation and high airway fistula to the alimentary tract – a case series with four distinct types
- Aplasia cutis congenita as a consequence of fetal reduction in a triplet pregnancy
- Anhydramnios, but prenatally normal kidneys: renal tubular dysgenesis – patient with mutations in the renin-angiotensin system gene AGTR1
- Symptomatic and lethal congenital primary cardiac rhabdomyoma