Aspiration of Dental Crown
-
Frank A. Lopez
and Michael Burton
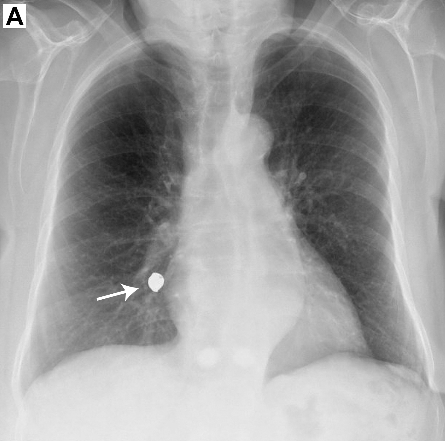
An 86-year-old woman presented to the pulmonology department following a 4-month history of a progressive nonproductive cough, wheezing, and exertional dyspnea. A plain-film chest radiograph demonstrated a foreign body in the lower lobe of her right lung (image A). Symptoms began 1 week after a tooth extraction, during which a gold crown on an adjacent tooth was dislodged and presumably ingested. Chest computed tomography confirmed a foreign body in the basal segment of the right lower lobe. Subsequent flexible bronchoscopy revealed a metallic-appearing object in the right bronchus intermedius (image B), which was successfully extracted via bronchoscopy using a basket instrument for renal stones.


Tracheobronchial foreign body aspiration is a rare occurrence among adults.1,2 Clinical manifestations of distal airway obstruction include chronic cough, fever, hemoptysis, chest pain, and wheezing, which can be further complicated by postobstructive pneumonia and atelectasis.1,3 Flexible bronchoscopy serves as a diagnostic and therapeutic modality in the management of lower airway obstruction.1,4
References
1. Rafanan AL , MehtaAC. Adult airway foreign body removal. Clin Chest Med. 2001;22(2):319-330. doi:10.1016/s0272-5231(05)70046-0Search in Google Scholar
2. Boyd M , ChatterjeeA, ChilesC, ChinRJr. Tracheobronchial foreign body aspiration in adults. South Med J. 2009;102(2):171-174. doi:10.1097/smj.0b013e318193c9c8Search in Google Scholar
3. Hu X , LeeJS, PianosiPT, RyuJH. Aspiration-related pulmonary syndromes. Chest. 2015;147(3):815-823. doi:10.1378/chest.14-1049Search in Google Scholar PubMed
4. Swanson KL . Airway foreign bodies: what's new?Semin Respir Crit Care Med. 2004;25(4):405-411. doi:10.1055/s-2004-832713Search in Google Scholar PubMed
© 2018 American Osteopathic Association
This work is licensed under the Creative Commons Attribution-NonCommercial-NoDerivatives 4.0 International License.
Articles in the same Issue
- SURF
- Neurobiology of Sexual Assault and Osteopathic Considerations for Trauma-Informed Care and Practice
- OMT MINUTE
- OMT to Address the Physiologic Effects of Stress
- IN MY VIEW
- Model to Reduce Unintentional Firearms Injury and Death: Safety Through Education
- CORRECTION
- Correction
- SPECIAL REPORT
- Contemporary Routes of Cannabis Consumption: A Primer for Clinicians
- AOA COMMUNICATION
- JAOA Peer Reviewers, 2017
- ORIGINAL CONTRIBUTION
- Reducing Patient No-Shows: An Initiative at an Integrated Care Teaching Health Center
- BRIEF REPORT
- Prevalence of Homelessness by Gender in an Emergency Department Population in Pennsylvania
- REVIEW
- Plantar Warts: Epidemiology, Pathophysiology, and Clinical Management
- JAOA/AACOM MEDICAL EDUCATION
- Association Between Undergraduate Performance Predictors and Academic and Clinical Performance of Osteopathic Medical Students
- SPECIAL COMMUNICATION
- Conceptualizing Addiction From an Osteopathic Perspective: Dopamine Homeostasis
- CASE REPORT
- Development of Neuromyelitis Optica Spectrum Disorder and Spinal Arachnoid Cysts in a Patient With Intractable Epilepsy
- CLINICAL IMAGES
- Aspiration of Dental Crown
Articles in the same Issue
- SURF
- Neurobiology of Sexual Assault and Osteopathic Considerations for Trauma-Informed Care and Practice
- OMT MINUTE
- OMT to Address the Physiologic Effects of Stress
- IN MY VIEW
- Model to Reduce Unintentional Firearms Injury and Death: Safety Through Education
- CORRECTION
- Correction
- SPECIAL REPORT
- Contemporary Routes of Cannabis Consumption: A Primer for Clinicians
- AOA COMMUNICATION
- JAOA Peer Reviewers, 2017
- ORIGINAL CONTRIBUTION
- Reducing Patient No-Shows: An Initiative at an Integrated Care Teaching Health Center
- BRIEF REPORT
- Prevalence of Homelessness by Gender in an Emergency Department Population in Pennsylvania
- REVIEW
- Plantar Warts: Epidemiology, Pathophysiology, and Clinical Management
- JAOA/AACOM MEDICAL EDUCATION
- Association Between Undergraduate Performance Predictors and Academic and Clinical Performance of Osteopathic Medical Students
- SPECIAL COMMUNICATION
- Conceptualizing Addiction From an Osteopathic Perspective: Dopamine Homeostasis
- CASE REPORT
- Development of Neuromyelitis Optica Spectrum Disorder and Spinal Arachnoid Cysts in a Patient With Intractable Epilepsy
- CLINICAL IMAGES
- Aspiration of Dental Crown