Diffuse Idiopathic Skeletal Hyperostosis
-
Zaid Saffo
und Paul Pulice
Keywords: diffuse idiopathic skeletal hyperostosis, dysphagia, hyperostosis
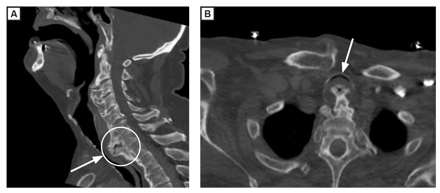
A 74-year-old man with a history of diabetes mellitus and hypertension was found unresponsive in his home. The patient arrived at the emergency department after having cardiac arrest in the ambulance. He was admitted to the intensive care unit and ventilation was discontinued on hospital day 2. A positional stridor, hypoxia, and dysphagia were noticed after extubation. A computed tomographic image of the cervical spine showed anterior hyperostosis that was most prominent at C6-7 (image A, circle), which caused marked extrinsic compression of the esophagus and posterior trachea (image A and image B, arrows). An osteophyte excision was performed on day 10. The patient was able to maintain his own airway; however, dysphagia persisted and a percutaneous endoscopic gastrostomy tube was placed on day 15. On day 20, the patient was discharged to inpatient rehabilitation. Two months later, the tube was removed.
Diffuse idiopathic skeletal hyperostosis (DISH) is a rheumatologic disorder, with primary clinical features being rigidity of the spine and advanced age.1 In severe cases, DISH can cause dysphagia and stridor.2 Classification criteria for identifying DISH include calcification and ossification along the anterolateral aspect of at least 4 contiguous vertebrae, preservation of the spaces between the intervertebral disks, and absence of facet joint ankylosis or sacroiliac joint erosion.3 Treatment depends on the symptoms.

References
1. Forestier J , Rotes-QuerolJ. Senile ankylosing hyperostosis of the spine. Ann Rheum Dis. 1950;9(4):321-330.10.1136/ard.9.4.321Suche in Google Scholar PubMed PubMed Central
2. Castellano DM , SinacoriJT, KaraklaDW. Stridor and dysphagia in diffuse idiopathic skeletal hyperostosis (DISH). Laryngoscope. 2006;116(2):341-344. doi:10.1097/01.mlg.0000197936.48414.fa10.1097/01.mlg.0000197936.48414.faSuche in Google Scholar PubMed
3. Resnick D , NiwayamaG. Radiographic and pathologic features of spinal involvement in diffuse idiopathic skeletal hyperostosis (DISH). Radiology. 1976;119(3):559-568. doi:10.1148/119.3.55910.1148/119.3.559Suche in Google Scholar PubMed
© 2017 American Osteopathic Association
This work is licensed under the Creative Commons Attribution-NonCommercial-NoDerivatives 4.0 International License.
Artikel in diesem Heft
- LETTERS TO THE EDITOR
- Landmark Article Transforms Traditional View of the Autonomic Nervous System
- AOA COMMUNICATION
- JAOA Peer Reviewers, 2016
- ORIGINAL CONTRIBUTION
- Use of Patient-Authored Prehistory to Improve Patient Experiences and Accommodate Federal Law
- BRIEF REPORT
- Somatic Dysfunction in the Diagnosis of Uncommon Ectopic Pregnancies: Surgical Correlation and Comparison With Related Pathologic Findings
- REVIEW
- Common Foot and Ankle Injuries: What Not to Miss and How Best to Manage
- CLINICAL PRACTICE
- Pectus Excavatum: A Review of Diagnosis and Current Treatment Options
- MEDICAL EDUCATION
- Comparison of Basic Science Knowledge Between DO and MD Students
- SPECIAL COMMUNICATION
- Buerger Test for Erythromelalgia Revisited
- CASE REPORT
- Ruptured Primary Omental Pregnancy Mimicking Adnexal Implantation
- Long Thoracic Nerve Injury Caused by Overhead Weight Lifting Leading to Scapular Dyskinesis and Medial Scapular Winging
- CLINICAL IMAGES
- Diffuse Idiopathic Skeletal Hyperostosis
Artikel in diesem Heft
- LETTERS TO THE EDITOR
- Landmark Article Transforms Traditional View of the Autonomic Nervous System
- AOA COMMUNICATION
- JAOA Peer Reviewers, 2016
- ORIGINAL CONTRIBUTION
- Use of Patient-Authored Prehistory to Improve Patient Experiences and Accommodate Federal Law
- BRIEF REPORT
- Somatic Dysfunction in the Diagnosis of Uncommon Ectopic Pregnancies: Surgical Correlation and Comparison With Related Pathologic Findings
- REVIEW
- Common Foot and Ankle Injuries: What Not to Miss and How Best to Manage
- CLINICAL PRACTICE
- Pectus Excavatum: A Review of Diagnosis and Current Treatment Options
- MEDICAL EDUCATION
- Comparison of Basic Science Knowledge Between DO and MD Students
- SPECIAL COMMUNICATION
- Buerger Test for Erythromelalgia Revisited
- CASE REPORT
- Ruptured Primary Omental Pregnancy Mimicking Adnexal Implantation
- Long Thoracic Nerve Injury Caused by Overhead Weight Lifting Leading to Scapular Dyskinesis and Medial Scapular Winging
- CLINICAL IMAGES
- Diffuse Idiopathic Skeletal Hyperostosis